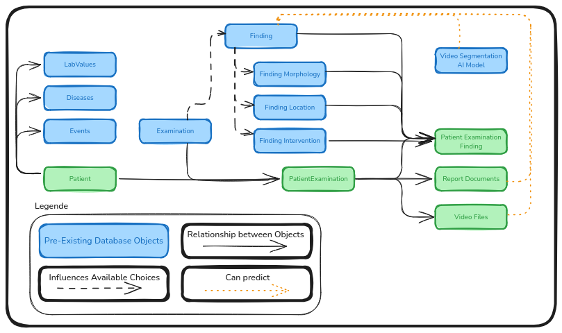
Kurzvortragsprogramm

In den Kurzvortragssitzungen werden alle akzeptierten Abstracts als Vortrag präsentiert. Die Kurzvortragssitzungen finden Donnerstag und Freitag vor Ort im CCL Leipzig statt.

Kurzvortragssitzung

Endo Safe: Risiken erkennen, Komplikationen vermeiden

09:41 – 10:53

Fr 19.09.

Seminarraum 6 + 7

Open Accordion - Icon Close Accordion - Icon

Vorsitz: Martin Götz (Böblingen) und Renata Miler (Celle)

09:41 – 09:47

KV 404 Einfluss einer Impedanzplanimetrie auf die Therapieoptimierung bei komplexen benignen Ösophagusstenosen – eine prospektive, randomisierte Studie

Benjamin M. Walter (Ulm)

KV 404 Einfluss einer Impedanzplanimetrie auf die Therapieoptimierung bei komplexen benignen Ösophagusstenosen – eine prospektive, randomisierte Studie

K. Steger1, N. Sturm2, M. Wagner1, M. Müller1, T. Seufferlein1, B. Walter1

1Universitätsklinikum Ulm, Klinik für Innere Medizin I, Ulm, Deutschland, 2Gastroenterologische Schwerpunktpraxis, Dornstadt, Deutschland

Einleitung: Die präzise Beurteilung komplexer benigner Ösophagusstenosen ist entscheidend für den Erfolg endoskopischer Dilatationsverfahren. Die endoskopische Bewertung ist jedoch subjektiver Natur, während radiographische Verfahren mit Strahlenexposition einhergehen.
Ziele: Diese prospektive Studie untersuchte den Einfluss eines 3D-Impedanzplanimetrie-Systems (EndoFLIP) auf die Optimierung der Beurteilung und Therapie komplexer benigner Ösophagusstenosen.
Methodik: 22 erwachsene Patienten mit komplexen benignen Ösophagusstenosen wurden in eine Planimetriegruppe und eine Kontrollgruppe randomisiert und endoskopisch therapiert. In der Planimetriegruppe wurden zusätzlich zur endoskopischen Einschätzung prä- und posttherapeutische EndoFLIP-Messungen durchgeführt. In der Kontrollgruppe erfolgte die Beurteilung ausschließlich durch endoskopische und bei Bedarf fluoroskopische Verfahren. Die Symptomlast wurde mittels des G‑SWAL‑QOL-Fragebogens vor der Intervention sowie 14 Tage danach evaluiert.

Zwei farbkodierte 3D-Impedanzplanimetrie-Darstellungen (EndoFLIP) einer Ösophagusstenose bei 40 ml Füllvolumen: links „Prätherapeutisch“ mit starker Mitteneinschnürung, rechts „Posttherapeutisch“ mit abgeschwächter Einschnürung.
Quelle: Prof. Benjamin M. Walter, Universitätsklinikum Ulm

Ergebnis: EndoFLIP ermöglichte die prä- und posttherapeutische Visualisierung der Stenosekonfiguration. Die Dilatation wurde durch die Zunahme des minimalen Öffnungsdurchmessers (p=0,003), der minimalen Querschnittsfläche (p=0,003) und des Distensibilitätsindex (p=0,004) quantitativ erfasst. In der Planimetriegruppe wurde die Stenoselänge im Vergleich zu den EndoFLIP-Messungen endoskopisch um durchschnittlich 14,4 mm unterschätzt (95%-KI: 12,5–16,4 mm). Der auf dem Bougiedurchmesser basierende posttherapeutische Öffnungsdurchmesser lag im Mittel um 1,2 mm über der EndoFLIP-Messung (95%-KI: 0,4–1,8 mm). Nach 14 Tagen zeigte die Planimetriegruppe (56 auf 61 Punkte, p=0,005) eine ausgeprägtere Symptombesserung als die Kontrollgruppe (42 auf 44 Punkte, p=0,176). Die Aufnahmefähigkeit fester Nahrung verbesserte sich in der Planimetriegruppe von 9,1% auf 63,6% (p=0,014) und in der Kontrollgruppe von 12,5% auf 25,0% (p=0,317).
Schlussfolgerung: EndoFLIP ermöglichte eine standardisierte und strahlungsfreie Beurteilung komplexer Ösophagusstenosen. Der Einsatz einer 3D-Impedanzplanimetrie kann dazu beitragen, die Therapie komplexer benigner Stenosen des oberen Gastrointestinaltrakts zu optimieren.

09:49 – 09:55

KV 405 Erste klinische Erfahrungen beim Einsatz eines neuen Vacuumfolienstents am oberen GIT

Marcus Kantowski (Heidelberg)

KV 405 Erste klinische Erfahrungen beim Einsatz eines neuen Vacuumfolienstents am oberen GIT

M. Kantowski1, G. Loske2

1Klinik für Allgemein-, Viszeral- und Transplantationschirurgie, Viszeral- und Transplantationschirurgie, Heidelberg, Deutschland, 2Marienkrankenhaus Hamburg, Allgemein, Viszeral- und Thoraxchirurgie, Hamburg, Deutschland

Einführung: Die endoskopische Leckagetherapie im Gastrointestinaltrakt durch Metallstents oder endoskopische Vakuumtherapie ist seit vielen Jahren fest etabliert. Die Kombination aus selbstexpandierenden Metallstent überzogen mit einem Segment Polyurethanschwamm ist seit einigen Jahren kommerziell erhältlich (VacStent). Wir berichten über die ersten klinischen Erfahrungen mit der Kombination aus selbstexpandierender Metallstent und einer Ummantelung aus offenporiger Drainagefolie (Suprasorb CNP Drainage).
Material und Methoden: Es wurden sechs Patienten mit Leckage nach Resektion im oberen Gastrointestinaltrakt mit einem Vacfolienstent versorgt. Als Grundlage wurde ein komplett gecoateter Oesophagusstent verwendet. Ein Drainageschlauch ist mit der mittig auf dem Stent fixierten Drainagefolie verbunden und wird nasal ausgeleitet. Daran wird durch eine elektronische Pumpe ein Unterdruck angelegt. Die beiden Stenttulpen verblieben ohne Folie. Der Vacfolienstent (VFS) wird einfach nach Verjüngung durch Zug am vorderen und hinteren Tulpenfaden verschmälert und dann unter endoskopischer Sicht vor Ort gezogen. Es ist kein spezielles Einführsystem erforderlich.
Ergebnisse: Die Stentapplikation ließ sich bei allen 6 Patienten technisch gut durchführen. Nach Pausieren des Sogs war es bei allen 6 Patienten gut möglich zwischen Ösophaguswand und VFS mit einem Feinkaliberendoskop (XP, Firma Olympus) die Leckage auf Ihre Abheilung bei noch liegendem Stent zu untersuchen. Bei 1 von 6 Patienten wurde nach 3 Wochen bei immer noch nicht abgeheilter Leckage der VFS einmal entfernt und durch einen Neuen für weitere 2 Wochen ersetzt. Bei 4 von 6 Patienten gelang es mit dem VFS die Leckage erfolgreich zur Abheilung zu bringen. Bei zwei Patienten (2 Jahre alte Leckage der Gastroenterostomie und Torsion Magenconduit) gelang die Leckageabheilung nicht. Die Therapiedauer betrug im Median 16 Tage (range 8-28 Tage).
Schlussfolgerung: Die Kombination aus selbstexpandierenden Metallstent und Vakuumtherapie mit Hilfe einer offen porigen Drainagefolie im mittleren Stentanteil scheint Vorteile zu bieten. Durch eine Pausierung der Sogleistung an der Pumpe kann die endoskopische Kontrolle des Heilungsprozesses ohne Stententfernung oder -wechsel sehr gut durchführt werden. Der Stent kann deutlich länger liegen als ein Stent mit schwarzem Schwamm und die Entfernung ist technisch leichter.

09:57 – 10:03

KV 406 Stenttherapie maligner Ösophagusstenosen – größere Stents sind vorteilhafter

Özlem Çelebi

KV 406 Stenttherapie maligner Ösophagusstenosen – größere Stents sind vorteilhafter

Ö. Çelebi1, M. Razpotnik1, A. Adler1, A. Wree1, F. Tacke1

1Charité -Universitätsmedizin Berlin, Campus Virchow-Klinikum, Medizinische Klinik mit Schwerpunkt Hepatologie und Gastroenterologie, Berlin, Deutschland

Einleitung: Selbstexpandierende Metallstents (SEMS) werden im Allgemeinen in der palliativen Behandlung von malignen Ösophagusstenosen zur Linderung von Dysphagiebeschwerden eingesetzt. Komplikationen der Stenttherapie können die Lebensqualität der Patienten verringern und die Behandlungskosten aufgrund von notwendigen Re-Interventionen erhöhen. Die Vermeidung von Komplikationen ist daher von größter Bedeutung.
Ziele: Ziel der Studie war es, Komplikationen der Stenttherapie bei malignen Ösophagusstenosen zu evaluieren und die Stenteigenschaften zu vergleichen.
Methodik: Die Daten von 81 Patienten, die zwischen September 2013 und August 2023 einen SEMS aufgrund einer malignen Ösophagusstenose erhielten, wurden in einer monozentrischen, retrospektiven Studie untersucht. Neben den Patientencharakteristika und dem Auftreten von Komplikationen erfolgte die Analyse der Position, der Beschichtung, Länge und Breite der SEMS. Für den Vergleich der Daten wurde der Chi-Quadrat-Test genutzt und ein p-Wert kleiner als 0,05 als statistisch signifikant erachtet.
Ergebnis: Die Patienten waren im Median 68 Jahre alt, 76% waren männlich. Partiell beschichtete SEMS kamen in 68% der Fälle zum Einsatz, vollständig beschichtete in 27% und unbeschichtete in 5%. 54% der SEMS waren 18 oder 20 mm breit und 46% 22 oder 23 mm. Die Länge der SEMS variierte von 60 mm bis 150 mm.
Die Stenttherapie von malignen Ösophagusstenosen wies eine Gesamtkomplikationsrate von 25% auf. Die häufigsten Komplikationen waren Dislokationen und Okklusionen der SEMS, daneben traten außerdem schwere Schmerzen, Blutungen und Fistelbildungen auf. SEMS, die in den gastroösophagealen Übergang eingesetzt wurden, zeigten signifikant höhere Komplikationsraten als in anderen Bereichen des Ösophagus (50% vs. 15%). Partiell beschichtete und vollständig beschichtete SEMS hatten ähnliche Komplikationsraten. Kürzere Stents wiesen mehr Komplikationen auf als längere, der Unterschied war jedoch statistisch nicht signifikant. Der Einsatz von breiteren SEMS war mit signifikant geringeren unerwünschten Ereignissen verbunden als der von schmaleren SEMS (14% vs. 35%)
Schlussfolgerung: Die Behandlung maligner Stenosen mit SEMS ist mit hohen Komplikationsraten assoziiert, insbesondere bei Stentplatzierung in den gastroösophagealen Übergang. Partiell und vollständig beschichtete Stents unterscheiden sich nicht in ihren Komplikationsraten. Der Einsatz von breiteren SEMS kann das Auftreten von unerwünschten Ereignissen reduzieren.

10:05 – 10:11

KV 407 Stenoseprävention nach breitflächiger Ösophagus-ESD bei Frühkarzinomen: endoskopische Vakuumtherapie plus topisches Steroid versus topische Steroid-Monotherapie

Tobias Blasberg (Offenbach)

KV 407 Stenoseprävention nach breitflächiger Ösophagus-ESD bei Frühkarzinomen: endoskopische Vakuumtherapie plus topisches Steroid versus topische Steroid-Monotherapie

T. Blasberg1, M. Meiborg1, J. Richl1, M. Weber1, A. Mekolli1, L. Hiebel2, A. Amanzada2, V. Ellenrieder2, E. Wedi1

1Sana Klinikum Offenbach, Gastroenterologie, Offenbach, Deutschland, 2Universitätsmedizin Göttingen, Gastroenterologie, Göttingen, Deutschland

Einleitung: Stenosen nach breitflächiger endoskopischer Submukosadissektion (ESD) von Frühkarzinomen im Ösophagus stellen eine häufige und klinisch relevante Komplikation dar. Trotz verschiedener prophylaktischer Therapiestrategien konnte bislang keine Methode eine konsistent effektive Reduktion der Stenoserate erzielen. Eine innovative primärprophylaktische Kombinationstherapie aus endoluminaler Vakuumtherapie (EVT, Eso-SPONGE®) und topischem Steroid (Budesonid-Schmelztabletten, Jorveza®) könnte das Risiko substantiell senken.
Ziele: Ziel dieser Studie war der Vergleich der Kombinationstherapie aus EVT und topischem Steroid gegenüber der alleinigen Gabe eines topischen Steroids hinsichtlich der postinterventionellen Stenoserate nach breitflächiger Ösophagus-ESD.
Methodik: In diese prospektive, monozentrische Studie wurden Patienten eingeschlossen, die im Zeitraum von März 2022 bis Dezember 2024 am Sana Klinikum Offenbach eine ESD im Ösophagus (≥50% der Zirkumferenz, Resektatlänge ≥50 mm) erhielten. Unmittelbar nach der Resektion erfolgte eine EVT für 3–5 Tage, gefolgt von einer achtwöchigen Behandlung mit einem topischen Steroid (Jorveza®, 2× täglich 1 mg). Die Ergebnisse wurden mit einer historischen Kontrollgruppe verglichen, die ausschließlich das topische Steroid (Jorveza®, 2× täglich 1 mg) erhielt. Primärer Endpunkt war die Rate postinterventioneller Stenosen, differenziert in milde (≤7 Ballondilatationen) und refraktäre schwere Stenosen (≥8 Ballondilatationen).
Ergebnis: Die Kombinationstherapie (n=30 Patienten) führte zu einer niedrigeren Gesamtstenoserate im Vergleich zur Monotherapie (n=12 Patienten) mit einem topischen Steroid (17,9 % vs. 50 %). Die Rate milder Stenosen betrug 14,3 % vs. 40 %, die refraktärer Stenosen 3,6 % vs. 10 %. Trotz einer deutlich größeren Resektionsausdehnung in der Kombinationstherapie-Gruppe (≥75 % Zirkumferenz: 83,4 % vs. 41,7 %) war die Stenoserate geringer. Die Komplikationsrate war in beiden Gruppen vergleichbar (6,3% vs. 8,3%). EVT-assoziierte Komplikationen traten nicht auf. Eine Soorösophagitis als unerwünschtes Ereignis der Steroidtherapie wurde in 13,3 % vs. 8,3 % der Fälle beobachtet.
Schlussfolgerung: Im Vergleich zur alleinigen prophylaktischen Therapie mit einem topischen Steroid war die Kombinationstherapie aus EVT und topischem Steroid mit einer deutlich reduzierten postinterventionellen Stenoserate assoziiert. Diese Strategie stellt einen vielversprechenden Ansatz zur Stenoseprävention dar.

10:13 – 10:19

KV 408 Endoskopisch-retrograde Cholangio-Pankreatikographie (ERCP): Monozentrische retrospektive Analyse der Erfolgs- und Komplikationsraten unter Berücksichtigung der Papillenmorphologie

Valentin Altendorfer

KV 408 Endoskopisch-retrograde Cholangio-Pankreatikographie (ERCP): Monozentrische retrospektive Analyse der Erfolgs- und Komplikationsraten unter Berücksichtigung der Papillenmorphologie

V. Altendorfer1, L. Pfeifer1, K. Edenharter1, M. Brunner1, S. Baumer1, A. Salzberger1, W. Schorr1, O. Pech1

1Barmherzige Brüder Krankenhaus Regensburg, Klinik für Gastroenterologie und interventionelle Endoskopie, Regensburg, Deutschland

Einleitung: Die endoskopisch-retrograde Cholangio-Pankreatikographie (ERCP) ist ein hauptsächlich therapeutisch genutztes Standardverfahren mit einer im Vergleich zu anderen endoskopischen Eingriffen hohen Komplikationsrate.
Ziele: Analyse der Erfolgs- und Komplikationsrate sowie Identifizierung spezifischer Risikofaktoren.
Methodik: Es wurden retrospektiv über 6 Monate alle ERCPs in unserem Lehrkrankenhaus eingeschlossen. Erfasst wurden verschiedene patientenbezogene und technische Parameter sowie Indikationen und Komplikationen. Bei erstmaligen ERCPs (n=83) erfolgte zusätzlich eine Einteilung der Papillenmorphologie nach modifizierter Haraldsson-Klassifikation (Abb. 1).
Ergebnis: Bei den 275 eingeschlossenen Patienten (Durchschnittsalter 67 Jahre, 40 % Frauen) wurden insgesamt 291 ERCPs durchgeführt. In 83 Fällen (28,5 %) handelte es sich um eine erstmalige ERCP. Die Kanülierungsrate aller ERCPs lag bei 97 %, die der erstmaligen ERCPs bei 94 %. In 21 Fällen (7,2 %) kam es zu Blutungen, davon waren 86 % leichte selbstlimitierende Blutungen. Bei 14 % war eine Intervention notwendig, in keinem der Fälle gab es einen signifikanten Hb-Abfall. Die Blutungsrate betrug 11,4 % unter NOAK, 10,5 % unter Thrombozytenaggregationshemmern und 5,1 % ohne Gerinnungsmedikation. In 2 Fällen (0,7 %) kam es zu einer prozedurassoziierten Infektion, Perforationen traten nicht auf. Fieber entwickelten 4 Patienten (1,4 %) nach der ERCP. Es kam nach 7 Untersuchungen (2,4 %) zu einer Post-ERCP-Pankreatitis (PEP). Patienten mit PEP waren signifikant jünger (M = 56,29 Jahre, SD = 15,33) als Patienten ohne PEP (M = 68,55 Jahre, SD = 13,96). Die mittlere Durchleuchtungszeit betrug 4,34 Minuten (SD = 4,41), die mittlere Strahlenbelastung lag bei 544,37 cGy/cm² (SD = 794,10). In 20 Untersuchungen (6,9 %) wurde ein Precut der Papilla durchgeführt. Die häufigsten Nativpapillen waren Typ 1 mit 43,4 % und Typ 2 mit 19,3 % (siehe Tab. 1); es konnte keine signifikante Korrelation zwischen Papillenform, Komplikationen oder der Precutrate festgestellt werden.
Schlussfolgerung: Die retrospektive Auswertung der ERCPs über 6 Monate in unserem Zentrum zeigt eine niedrige Komplikations- und hohe Kanülierungsrate. Jüngeres Alter ließ sich als Risikofaktor für PEP identifizieren. Die Papillenmorphologie hatte in dieser Analyse keinen nachweisbaren Einfluss auf die Precutrate oder Komplikationen.

Abb. 1
Typ 1: klassisch, Typ 2: klein und oft flach, Typ 3: hervorstehend oder hängend, Typ 4: Form einer Furche, Mukosa herausgewölbt, Typ 5: innerhalb oder am Rande eines Divertikels

Tab. 1

N %
Typ 1 36 43,4%
Typ 2 16 19,3%
Typ 3 6 7,2%
Typ 4 5 6,0%
Typ 5 4 4,8%
NC 16 19,3%

10:21 – 10:27

KV 409 Führt die Implementierung der ESGE-Leitlinie zur Qualitätsverbesserung in der ERCP?- Vorläufige Ergebnisse einer europäischen Multizenter-Studie

Leonie Ruwisch

KV 409 Führt die Implementierung der ESGE-Leitlinie zur Qualitätsverbesserung in der ERCP?- Vorläufige Ergebnisse einer europäischen Multizenter-Studie

L. Ruwisch1, L. Braadt1, M. Tischendorf2, T. Meister3, M. Floer3, H. Heinzow4, J.G. Karstensen5, M. Ellrichmann6, J. Trebicka2, D. Domagk1

1Josephs Hospital Warendorf, Medizinische Klinik I, Warendorf, Deutschland, 2Universitätsklinikum Münster, Medizinische Klinik B, Münster, Deutschland, 3Klinikum Ibbenbüren, Medizinische Klinik I, Ibbenbüren, Deutschland, 4Krankenhaus der Barmherzigen Brüder Trier, Innere Medizin I, Trier, Deutschland, 5University of Copenhagen, Kopenhagen, Dänemark, 6Universitätsklinikum Schleswig-Holstein, Innere Medizin I, Kiel, Deutschland

Einleitung: Die European Society of Gastrointestinal Endoscopy (ESGE) veröffentlichte 2017 eine Leitlinie zur Qualitätsverbesserung mit der Festlegung sog. key performance measures (KPMs) (siehe Abb.) mit dem Ziel, die Untersuchungsqualität in Europa durch standardisierte Parameter zu verbessern.
Ziel: Ziel dieser Studie ist es zu prüfen, welchen Einfluss die Veröffentlichung der KPMs auf die ERCP-Qualität in endoskopischen Abteilungen hat.
Methodik: Die multizentrische Studie umfasst drei akademische Lehrkrankenhäuser (Warendorf (W), Ibbenbüren (I) und Trier (T)) sowie drei Universitätskliniken (Münster (M), Kiel (K) und Kopenhagen (C)). Primärer Endpunkt ist das Auftreten der post-ERCP-Pankreatitis (PEP). Als sekundäre Endpunkte wurden die Gallengangskanülierungsrate, Stentplatzierung sowie die Steinextraktionsrate definiert.
Es wurden drei Patientengruppen gebildet:

  • Gruppe I: Untersuchungen vor Implementierung der Leitlinie (retrospektiv), bis 2017
  • Gruppe II: Untersuchungen nach Implementierung der Leitlinie (retrospektiv), 2018–2023
  • Gruppe III: Untersuchungen nach Implementierung der Leitlinie (prospektiv), ab 2024

Ergebnisse: Die vorläufigen Daten von 900 Patienten, bisher erhoben aus drei Krankenhäusern (W, M, I), zeigten folgende Ergebnisse:
PEP-Rate

  • M: 10 % (Gruppe I), 10 % (Gruppe II), 6 % (Gruppe III)
  • W: 4 % (I), 3 % (II), 5 % (III)
  • I: 7% (I), 8% (II), 6% (III)

Gallengangskanülierung:

  • M: 96 % (I), 94% (II), 90% (III)
  • W: 92% (I), 95% (II) und 92% (III)
  • I: 90% (I), 100% (II), 96% (III)

Stentplatzierung:

  • M: 100 % (I), 91% (II), 92 % (III)
  • W: 94% (I), 90 % (II), 91 % (III)
  • I: 65% (I), 97% (II), 84% (III)

Steinextraktion:

  • M: 98 % (I), 80% (II), 100% (III)
  • W: 87% (I), 87% (II), 87% (III)
  • I: 86% (I), 90% (II), 89% (III)

Schlussfolgerung: Durch die Messung der Qualität kann das Auftreten einer post-ERCP-Pankreatitis auf niedrigere Werte reduziert werden, wie die prospektiv erhobenen Daten zeigen (von 10% auf 6%). Die höhere Komplikationsrate im universitären Setting könnte auf komplexere Fälle im diesem Patientengut zurückzuführen sein.
Die Qualität des zuvor definierten sekundären Endpunkts „Gallengangskanülierungsrate“ wird in den prospektiven Gruppen erreicht und entspricht den von der ESGE empfohlenen Schwellenwerten (>90 %). Die weiteren sekundären Endpunkte „Steinextraktion“ und „Stentplatzierung bei biliärer Obstruktion“ werden knapp verfehlt.

The picture is a graphic describing the key performance measurements from the ESGE guideline 2017: 1. Adequate antibiotic prophylaxis before ERCP (>90%), Bile duct cannulation rate (>90%), Clearance of common bile duct stones (>90%), Stent placement in case of biliary obstruction (>95%), Safety of ERCP (PEP rate <10%)

10:29 – 10:35

KV 410 Telemetrische Überwachung und frühzeitige Erkennung postinterventioneller Blutungen nach ESD und POEM mit neuartigem Hemopill-Monitor

Moritz Meiborg (Offenbach am Main)

KV 410 Telemetrische Überwachung und frühzeitige Erkennung postinterventioneller Blutungen nach ESD und POEM mit neuartigem Hemopill-Monitor

M. Meiborg1, T. Blasberg1, M. Weber1, J. Richl1, A. Mekolli1, E. Wedi1

1Sana Klinikum Offenbach, Medizinische Klinik II – Gastroenterologie, Onkologie und Interventionelle Endoskopie, Offenbach am Main, Deutschland

Einleitung: Postprozedurale Blutungen im oberen Gastrointestinaltrakt (OGIT) stellen relevante Komplikationen dar. Die HemoPill Acute (Ovesco Endoscopy, Tübingen) ist eine neuartige, nicht-bildgebende, kapselförmige Sonde zur nicht-invasiven Blutungsdetektion. Der HemoPill-Monitor (Ovesco Endoscopy, Tübingen) erweitert dieses Konzept um eine bis zu 28-tägige Echtzeitüberwachung und kann über ein OTSC-System distal zu Resektionsarealen positioniert werden.
Ziel: Ziel war die Evaluation des HemoPill-Monitors zur Überwachung postinterventioneller Blutungen nach ESD (OGIT) und POEM.
Methodik: Die Messwerte des opto-chemischen Sensors werden als HemoPill-Index (HI) dargestellt. Ein HI ≥ 1 über ≥ 30 Minuten wurde als Blutungsereignis definiert. Die HI-Verläufe wurden mit Hb-Dynamiken (Hb-Abfall ≥ 1 g/dl) sowie endoskopischen Befunden an den postinterventionellen Tagen 1–3 korreliert.
Ergebnis: In einer prospektiven Fallstudie wurden zwischen 07/2024 und 04/2025 neun Patienten (mittleres Alter: 58,7 ± 15 Jahre; männlich: 77,8 %) nach endoskopischer Intervention im OGIT in das HemoPill-Monitoring eingeschlossen. Es wurden sieben ESDs (Magenfrühkarzinome n = 3, Barrett-Frühkarzinome n = 4) und zwei POEMs (Pylorusstenose, Achalasie) durchgeführt. Eine orale Antikoagulation (Xarelto®) bestand in einem Fall (11,1 %), eine ASS-Dauermedikation in zwei Fällen (22,2 %). Zwei Blutungsereignisse mit HI ≥ 1 über > 90 min (22,2 %, Tag 1–3) wurden detektiert: ein Fall mit Hb-Abfall > 4 g/dl und endoskopisch gesicherter Nachblutung aus dem Resektionsareal (Tag 2-3), ein weiterer mit signifikanter Hb-Dynamik (> 1 g/dl) ohne endoskopisches Korrelat (Tag 2) . In 77,8 % blieb der HI < 1, bei stabilen Hb-Werten (< 1 g/dl) und ohne endoskopischen Blutungsnachweis. In 8/9 Fällen (88,9 %) erfolgte eine vollständige 28-tägige Überwachung, in einem Fall kam es zu einer vorzeitigen Deaktivierung des Monitors. Die OTSC-gestützte Positionierung war in allen Fällen (100 %) zuverlässig. Es traten keine unerwünschten Ereignisse oder Komplikationen im Zusammenhang mit dem HemoPill-Monitoring auf.
Schlussfolgerung: Vorläufige Ergebnisse deuten darauf hin, dass der HemoPill-Monitor eine sichere und diagnostisch präzise Methode zur nicht-invasiven Überwachung postinterventioneller Blutungen im OGIT darstellt. Die Option einer ambulanten Echtzeitüberwachung eröffnet neue Perspektiven zur Reduktion der stationären Aufenthaltsdauer.

10:37 – 10:43

KV 411 Endosonographisch gesteuerte Coil- und Histoacrylbehandlung von Varizen an der Hepatikojejunostomie – Ein Fallbericht

Thomas Heiduk (Göttingen)

KV 411 Endosonographisch gesteuerte Coil- und Histoacrylbehandlung von Varizen an der Hepatikojejunostomie – Ein Fallbericht

T. Heiduk1, A. Sasse1, V. Ellenrieder1, L. Hiebel1, G. Petzold1, A. Amanzada1

1Universitätsmedizin Göttingen, Gastroenterologie, gastroenterologische Onkologie und Endokrinologie, Göttingen, Deutschland

Einleitung: Die Ausbildung von Varizen stellt eine häufige Komplikation eines unbehandelten portalen Hypertonus dar. Zu den Hauptursachen zählen insbesondere die Leberzirrhose und die Pfortaderthrombose. Infolge eines unkontrollierten portalen Druckanstiegs kommt es nicht selten zu lebensbedrohlichen Blutungen, vor allem aus Ösophagus- und Fundusvarizen. Allerdings können Varizen auch an anderen Abschnitten des Gastrointestinaltrakts auftreten. Eine endoskopische Intervention zur Blutstillung oder zur Blutungsprophylaxe ist in vielen Fällen therapieentscheidend.
Ziele: Erfolgreiche endosonographisch-gesteuerte Coil- und Histoacrylbehandlung von Varizen an der Hepatikojejunostomie nach Pankreaskopfresektion nach Traverso zur Blutungsprophylaxe
Methodik: Externe Vorstellung des Patienten mit Meläna und vorliegen einer komplexen anatomischen Ausgangssituation bei Zustand nach pyloruserhaltender Pankreaskopfresektion mit Teilresektion der Pfortader aufgrund chronischer Pankreatitis. Zusätzlich besteht eine Pfortaderthrombose mit konsekutivem portalen Hypertonus. In der extern durchgeführten Gastroskopie zeigte sich frisches Blut in den Dünndarmschlingen sowie Ösophagusvarizen Grad III. In der durchgeführten Computertromographie (CT) konnte keine aktive Blutung nachgewiesen werden, jedoch bestanden ausgeprägte portosystemische Kollateralen. Es erfolgte die Übernahme in die Universitätsmedizin Göttingen. Hier erfolgte eine transhepatische Stentimplantation der Vena portae nach erfolgreicher transhepatischer Rekanalisation. Im weiteren Verlauf zeigte sich jedoch in der CT-Untersuchung eine In-Stent-Thrombose, woraufhin eine erneute, jedoch frustrane Rekanalisationsmaßnahme durchgeführt wurde. Entscheidung zur endoskopischen Intervention.
Ergebnis: Die Hepatikojejunostomie konnte erfolgreich endoskopisch dargestellt werden. Es zeigten sich mehrere ausgeprägte Gefäßkonvolute im Sinne von Varizen. Nach gezielter Punktion einer Varize erfolgte die Applikation von drei mit Faser versehenen Coils (je 7 mm). Zusätzlich wurde eine Portion Histoacryl injiziert. Im Anschluss wurde eine weitere Varize punktiert und mit zwei Coils (8 mm, ohne Faser) sowie zwei Portionen Histoacryl versorgt. Endosonographisch zeigte sich im Farbdoppler ein sehr gutes Akutergebnis. Endoskopisch traten keine akuten Komplikationen auf.
Schlussfolgerung: Auch nach veränderter gastrointestinaler Anatomie können Varizen in schwer erreichbaren Lokalisationen gezielt behandelt werden.

Abbilung 1: Endoskopisches Bild der Ösophagusvarizen (A) und der Varizen im Bereich der Hepatikojejunostomie (B)

Abbildung 3: (A) Preinterventionelle transkutane Sonographie mit Darstellung der Varizen, (B) Postinterventionelle transkutane Sonographie

10:45 – 10:51

KV 412 Häufigkeit und Relevanz von Burst-Suppression-Mustern in der gastrointestinalen Endoskopie und Bronchoskopie unter Propofolsedierung

Jakob Garbe (Halle)

KV 412 Häufigkeit und Relevanz von Burst-Suppression-Mustern in der gastrointestinalen Endoskopie und Bronchoskopie unter Propofolsedierung

J. Garbe1, V. Maltese2, L. Imhof1, S. Eisenmann1, J. Rosendahl1, J.W. Kantelhardt3, J. Damm4

1Universitätsklinikum Halle (Saale), Klinik für Innere Medizin I, Halle (Saale), Deutschland, 2Universitätsklinikum Würzburg, Neurologische Klinik und Poliklinik, Würzburg, Deutschland, 3Institut für Physik der Martin-Luther-Universität Halle-Wittenberg, Halle (Saale), Deutschland, 4Universitätsklinikum Halle (Saale), Universitätsklinik und Poliklinik für Neurologie, Halle (Saale), Deutschland

Einleitung: Die algorithmische Detektion von Burst-Suppression-Mustern (BSP) im Elektroenzephalogramm (EEG)-basierten Neuromonitoring ist in der Allgemeinanästhesie Standard zur Erkennung tiefer und sehr tiefer Narkose. Der Stellenwert von BSP in der Überwachung im Rahmen der Sedierung bei Endoskopien ist bisher unklar und BSP wurden bisher nur indirekt identifiziert [1]. Die angegebene BSP-Inzidenz von 28% bei ambulanten Koloskopien erscheint im Kontext klinischer Erfahrung und vorliegenden Sicherheitsdaten nicht glaubwürdig.
Ziele: Feststellung der BSP-Inzidenz durch visuelle Segmentierung klinisch annotierter EEGs von Endoskopien unter Propofolsedierung und Beurteilung der prädiktiven Relevanz für die Sedierungssicherheit.
Methodik: Ein klinisch annotierter multimodaler Biosignaldatensatz der Endoskopiesedierung mit 171 frontotemporalen 2-Kanal-EEGs [2] wurde zunächst algorithmisch auf das Auftreten von BSP durchsucht. Anschließend wurden 21 zufällig ausgewählte und alle algorithmisch positiven Aufzeichnungen, sowie 298 Segmente aus den verbleibenden Aufzeichnungen (Gesamtdauer 665 min) und eine Positivkontrolle visuell segmentiert. Gefundene BSP-Episoden wurden im Kontext der klinischen Referenzdaten und sedierungsassoziierter Komplikationen auf klinische Relevanz beurteilt.
Ergebnis: Es wurden zwei BSP-Episoden von 27 und 69 s Dauer in der algorithmisch positiven Aufzeichnung visuell identifiziert (Abb. 1). Dies entspricht 0,3 % der gesamten segmentierten Zeit, die Patienten bewusstlos waren und einer Inzidenz von 4,5 % auf Basis der vollständig visuell segmentierten EEGs. Von 19 milden sedierungsassoziierten Komplikationen in den 22 vollständig segmentierten Aufzeichnungen wurde keine in BSP-positiven Aufzeichnungen gefunden.
Schlussfolgerung: Trotz hoher Inzidenz und klinischer Relevanz in der Allgemeinanästhesie sind BSP seltene Ereignisse in der Sedierung bei Endoskopien und haben keine Relevanz für die Vorhersage sedierungsassoziierter Komplikationen. Wir bieten damit einen weiteren Erklärungsansatz für den geringen Nutzen EEG-basierter Neuromonitore aus der Allgemeinanästhesie in der Endoskopiesedierung.

Annotation Overview for completely segmented records.

[1] doi:10.1155/2020/7246570, [2] doi:10.1177/2050640620959153

Kurzvortragssitzung

Endoskopische Interventionen im unteren GI-Trakt: Vom Lumen zur Lösung

11:45 – 13:05

Do 18.09.

Seminarraum 6 + 7

Open Accordion - Icon Close Accordion - Icon

Vorsitz: Thomas Lux (Würzburg) und Christine Zhang (Heidelberg)

11:45 – 11:51

KV 446 Bimanuelle ESD plus mit dem neuartigen AWC duo (Additional Working Cannel duo). Präsentation der weltweit ersten Fallsammlung bei Patienten mit Indikation zur ESD im GI-Trakt

Steffen Kunsch (Winnenden)

KV 446 Bimanuelle ESD plus mit dem neuartigen AWC duo (Additional Working Cannel duo). Präsentation der weltweit ersten Fallsammlung bei Patienten mit Indikation zur ESD im GI-Trakt

S. Kunsch1

1Rems-Murr-Kliniken Winnenden, Gastroenterologie, Winnenden, Deutschland

Einleitung: Der AWC duo ist die konsequente Weiterentwicklung des bekannten AWC der Firma Ovesco. Neu ist die Kombination des zusätzlichen Arbeitskanals mit einer transparenten Abstandskappe. Somit ist es nun möglich, bei einer traditionelle Kappen-ESD im Bedarfsfall bimanuell zusätzliche Traktion über den zusätzlichen Arbeitskanal mit einem Greifer zu vermitteln.
Ziele: Evaluation der weltweit ersten ESD plus Resektionen mit dem neuartigen AWC duo bei Patienten mit Indikation zur Durchführung einer ESD im GI-Trakt.
Methodik: In den ersten drei Wochen nach Zulassung wurden in den Rems-Murr-Kliniken Winnenden 14 ESD plus Eingriffe mit dem neuartigen AWC duo durchgeführt. Erfasst wurden Lokalisation und Größe der Läsion, Resektionszeiten, en-bloc Resektionsrate, Benutzungszeit des Extrakanals und Histologie. Ebenso wurde dokumentiert, ob und wie hilfreich der Extrakanal empfunden wurde.
Ergebnis: Der neuartige AWC duo konnte problemlos montiert werden, verrutschte während der Resektionen nicht und schränkte die Flexibiliät des Endoskops in Inversion nur leicht ein. Die durchschnittliche Größe der Läsionen betrug 45mm (25-80mm). Lokalisationen waren Ösophagus: 1, Magen 2, Kolon 7 und Rektum 4. Insgesamt wurden 4 Frühkarzinome reseziert (Ösophagus: 1, Kolon: 2, Rektum: 1) und 5 Adenome mit hochgradigen Dysplasien (HGIN) (Magen: 1, Kolon: 2, Rektum: 2). Die Möglichkeit zur bimanuellen Traktionsvermittlung wurde in allen Fällen als hilfreich, in 64% als sehr hilfreich bewertet. Hier ist die vor allem die Traktionsvermittlung und der Wechsel der Instrumente zu nennen. In allen Fällen wurde die Qualität der Kappe als gut und subjektiv äquivalient zur Standard-ESD-Kappe bewertet. Der zusätzliche Arbeitskanal wurde durchschnittlich 35% der Dissektionszeit benutzt. Komplikationen traten nicht auf.
Schlussfolgerung: Diese weltweit erste Fallserie von ESD plus Resektion mit dem neuartigen AWC duo zeigt vielversprechende Ergebnisse. Die nun integrierte transparente Abstandskappe erlaubt eine zur Standartkappe äquivalente Kappen-ESD. Bei schwierigen anatomischen Verhältnissen kann punktgenau über den Extrakanal zusätzliche Traktion vermittelt werden. Somit hat der neuartige AWC duo mit seiner Möglichkeit zum bimanuellen resezieren das Potential die ESD technisch einfacher und sicherer zu machen. Dieser Vorteil scheint vor allem im Kolon und bei großen Läsionen von Vorteil zu sein.

AWC duo human

11:53 – 11:59

KV 447 Vergleich der Unterwasser- und konventionellen endoskopischen Submukosadissektion: Eine retrospektive Analyse aus einem deutschen High-Volume-Zentrum

Mousa Ayoub (Augsburg)

KV 447 Vergleich der Unterwasser- und konventionellen endoskopischen Submukosadissektion: Eine retrospektive Analyse aus einem deutschen High-Volume-Zentrum

M. Ayoub1, S. Nagl2, C. Römmele2, H. Messmann2, A. Ebigbo1

1St. Josef Hospital – Ruhr-Universität-Bochum, Bochum, Deutschland, 2Universitätsklinikum Augsburg, Augsburg, Deutschland

Einleitung: Die endoskopische Submukosa Dissektion (ESD) ist mittlerweile eine etablierte Methode für die Abtragung früher Neoplasien im Gastrointestinaltrakt (GIT). Eine Weiterentwicklung der ESD ist die sogenannte Saline-Immersion Therapeutic Endoscopy (SITE) bei der die Abtragung der Läsion unter isotoner Kochsalzlösung durchgeführt wird. Mögliche Vorteile sind der zügigere Eintritt in die Submukosa sowie die geringere intraprozedurale Komplikationsrate, insbesondere Blutungen in die Submukosa.
Ziel: Ziel dieser retrospektiven Analyse war es, die Effektivität und Sicherheit der uESD mit der konventionellen ESD (cESD) zu vergleichen.
Methodik: In einer retrospektiven Analyse wurden die Daten von 72 Patienten ausgewertet, die entweder eine uESD (n=36) oder eine cESD (n=36) erhielten. Um die Gruppen vergleichbar zu machen, wurden Patienten mit ähnlicher Lokalisation der Läsion (z. B. Magen, Kolon, Rektum) und ähnlicher Läsionsgröße in die Analyse eingeschlossen. Zur Validierung dieser Auswahl wurde ein Propensity Score Matching (PSM) durchgeführt, das bestätigte, dass keine signifikanten Unterschiede zwischen den Gruppen bestanden. Anschließend wurden Behandlungszeit, Komplikationsrate, En-BlocResektionsrate, R0-Resektionsrate und Rezidivrate verglichen.
Ergebnisse: Die mediane Läsionsgröße betrug 40 × 30 mm für uESD und 45 × 30 mm für cESD (p > 0.05). Die mediane Unerschungszeit war vergleichbar (uESD: 77 Minuten, cESD: 75 Minuten, p = 0.088). Die enbloc-Resektionsrate lag in beiden Gruppen bei 100 %, und die R0-Resektionsrate betrug 94,4 %
(uESD) vs. 91,7 % (cESD). Die Komplikationsrate war gering (uESD: 2,8 %, cESD: 5,6 %). Es wurden keine signifikanten Unterschiede zwischen den Gruppen festgestellt.
Zusammenfassung: Die Unterwasser-ESD ist eine ebenso effektive und sichere Methode wie die konventionelle ESD. Beide Techniken erzielen hohe technische und klinische Erfolgsraten bei niedrigen Komplikationsraten. Die uESD bietet eine vielversprechende Alternative zur cESD, insbesondere in erfahrenen Händen.

12:01 – 12:07

KV 448 Endoskopische Vollwandresektion (EFTR) versus konventionelle Therapie für rekurrierende oder inkomplett resezierte non-lifting Adenome im Kolorektum – Zwischenergebnisse einer randomisiert-kontrollierten multizentrischen Studie („CURE“)

Julius Mueller (Freiburg)

KV 448 Endoskopische Vollwandresektion (EFTR) versus konventionelle Therapie für rekurrierende oder inkomplett resezierte non-lifting Adenome im Kolorektum – Zwischenergebnisse einer randomisiert-kontrollierten multizentrischen Studie („CURE“)

J. Mueller1, A. Küllmer1, K. Kouladouros2,3, D. Albers4, A. Wannhoff5, U. Denzer6, M. Brand7, A. Probst8, T. Beyna9, E. Wedi10, T. von Hahn11, T. Rösch12, I. Steinbrück13, B. Walter14, M. Repp15, P. Zervoulakos16, M. Dollhopf17, A. Glitsch18, V. Rempel19, D. Domagk20, D. Schilling21, S. Belle3, K. Caca5, A. Meining7, H. Messmann8, R. Thimme1, A. Schmidt22

1Uniklinik Freiburg, Klinik Innere Medizin 2, Freiburg, Deutschland, 2Charité – Universitätsmedizin Berlin, Medizinische Klinik mit Schwerpunkt Hepatologie und Gastroenterologie, Berlin, Deutschland, 3Universitätsklinikum Mannheim, Zentrale interdisziplinäre Endoskopie, Baden-Württemberg, Deutschland, 4Elisabeth-Krankenhaus, Essen, Deutschland, 5RKH Gesundheit, Klinik für Innere Medizin, Gastroenterologie, Hämato-Onkologie, Diabetologie und Infektiologie, Ludwigsburg, Deutschland, 6Universitätsklinikum Marburg, Klinik für Gastroenterologie, Endokrinologie, Stoffwechsel und klinische Infektiologie, Marburg, Deutschland, 7Universitätsklinikum Würzburg, Medizinische Klinik II, Würzburg, Deutschland, 8Universität Augsburg, III. Medizinische Klinik, Augsburg, Deutschland, 9Evangelisches Krankenhaus, Medizinische Klinik, Düsseldorf, Deutschland, 10Sana Klinikum Offenbach, Offenbach, Deutschland, 11Asklepios Klinik Barmbek, Hamburg, Deutschland, 12UKE Hamburg, Klinik und Poliklinik für Interdisziplinäre Endoskopie, Hamburg, Deutschland, 13Diakoniekrankenhaus, Freiburg, Deutschland, 14Universitätsklinikum Ulm, Ulm, Deutschland, 15Klinikum Altenburger Land, Altenburg, Deutschland, 16Cellitinnen-Krankenhaus St. Vinzenz, Köln, Deutschland, 17München Klinik Neuperlach, München, Deutschland, 18Universitätsklinikum Greifswald, Greifswald, Deutschland, 19St. Anna Hospital – Katholische Kliniken Rhein-Ruhr, Herne, Deutschland, 20Josephs-Hospital Warendorf, Warendorf, Deutschland, 21Theresienkrankenhaus, Mannheim, Deutschland, 22Robert-Bosch-Krankenhaus, Abteilung für Gastroenterologie, Hepatologie und Endokrinologie, Stuttgart, Deutschland

Einleitung: Rezidiv-Adenome oder residuelle Läsionen nach inkompletter Resektion nach Piece-meal EMR sind häufig (10-15 %) und durch ein eventuell vorhandenes (in)komplettes Lifting schwer therapierbar. Die endoskopische Therapie dieser Läsionen ist nicht standardisiert. Es kommen Kombinationen aus EMR ± adjunktive Therapien (Avulsion, APC) zum Einsatz. Eine Alternative hierzu ist die endoskopische Vollwandresektion (EFTR) ggf. als EMR-EFTR Hybrid.
Ziele: Nachweis einer Überlegenheit der EFTR im Vergleich zu endoskopischen konventionellen Techniken bei der Behandlung von RRL im Kolorektum.
Methodik: In dieser multizentrischen, prospektiven randomisierten Studie wurden zwischen 10/2021 und 02/2025 an 21 deutschen Zentren insgesamt n= 237 Patienten eingeschlossen und randomisiert in Gruppe 1 (konventionelle Therapie) und Gruppe 2 (EFTR). Es erfolgten endoskopische Follow-up Untersuchungen (FU) nach 6 und 12 Monaten. Primärer Endpunkt ist die Rate an bioptisch gesicherten Rezidiven oder residuellen Läsionen (RRL) nach 12 Monaten. Sekundäre Endpunkte sind R0- und en bloc Resektionsrate, sowie Komplikationen. Im Rahmen dieser Zwischenanalyse werden die Ergebnisse des 6-Monats-FU präsentiert.
Ergebnis: Zum Zeitpunkt der Zwischenanalyse konnten n=175 Fälle (Gruppe 1: N=87; Gruppe 2: N=88) mit erfolgtem 6 Monats-Follow-Up ausgewertet werden. Es ergaben sich keine signifikanten Unterschiede beider Gruppen bezüglich der Baseline-Charakteristika. Die mittlere Läsionsgröße in Gruppe 1 lag bei 17 mm (range 5-30 mm), in Gruppe 2 bei 16 mm (range 5-30 mm). Es ergab sich nach 6 Monaten kein signifikanter Unterschied bzgl. der Rate an RRL beider Gruppen [Gruppe 1: n=16 (18.4 %) vs. Gruppe 2: n= 14 (15.9 %), p=0.69]. Es ergaben sich bei der Subgruppenanalyse der unterschiedlichen konventionellen endoskopischen Therapien (EMR + Avulsion, EMR + Randkoagulation, EMR + Avulsion + Randkoagulation) vs. EFTR bzgl. der Rezidivrate ebenfalls keine signifikanten Unterschiede. Die R0- und en bloc-Resektionsrate war signifikant höher in der EFTR-Gruppe (74% vs 22%, p<0.05; 72% vs 12%, p<0.05). Die Komplikationsraten waren mit 6% (Gruppe 1) und bei 8% (Gruppe 2) nicht signifikant unterschiedlich (p=0.77).
Schlussfolgerung: In dieser vorläufigen Analyse ergaben sich im 6 Monats Follow-up keine signifikanten Unterschiede im Hinblick auf die Rate an RRL bei allerdings höherer R0- und en bloc- Resektionsrate in der EFTR-Gruppe. Die endgültigen Ergebnisse der Studie bleiben abzuwarten.

12:09 – 12:15

KV 449 Effektivität und Sicherheit der endoskopischen Vollwandresektion (eFTR) bei neuroendokrinen Tumoren des Rektums (rNET) mit dem Full-Thickness Resektion Device (FTRD), eine multizentrische, retrospektive Studie

Petros Stathopoulos (Marburg)

KV 449 Effektivität und Sicherheit der endoskopischen Vollwandresektion (eFTR) bei neuroendokrinen Tumoren des Rektums (rNET) mit dem Full-Thickness Resektion Device (FTRD), eine multizentrische, retrospektive Studie

P. Stathopoulos1, A. Probst2, H. Messmann2, M. Brand3,4, A. Weich3,4, A. Wannhoff5, K. Caca5, A. Koutsoumpas6, G. Tribonias7, M. Mende8, M. Textor9, K. Kouladouros10, G. Paspatis11, U.W. Denzer1

1Interdisziplinäre Endoskopie, Klinik für Gastroenterologie, Endokrinologie, Stoffwechsel und klinische Infektiologie, Universitätsklinikum Marburg, Marburg, Deutschland, 2Klinik für Gastroenterologie, Universitätsklinikum Augsburg, Augsburg, Deutschland, 3Klinik für Innere Medizin II, Gastroenterologie, Universitätsklinikum Würzburg, Würzburg, Deutschland, 4NET-Zentrum Würzburg, European Neuroendocrine Tumor Society Center of Excellence, Universitätsklinikum Würzburg, Würzburg, Deutschland, 5Klinik für Gastroenterologie, Hämatoonkologie, Diabetologie und Infektiologie, RHK Klinikum Ludwigsburg, Ludwigsburg, Deutschland, 6Klinik für Gastroenterologie, National und Kapodistrian University of Athens, Laikon General Hospital, Athen, Griechenland, 7Klinik für Gastroenterologie, Red Cross Hospital Athens, Athen, Griechenland, 8Klinik für Gastroenterologie, Sana Klinikum Lichtenberg, Berlin, Deutschland, 9Klinik für Gastroenterologie, Hepatologie und Endokrinologie, Robert Bosch Krankenhaus, Stuttgart, Deutschland, 10Zentrale Interdisziplinäre Endoskopie, Klinik für Hepatologie und Gastroenterologie, Charité Universitätsmedizin Berlin, Campus Virchow-Klinikum (CVK), Berlin, Deutschland, 11Klinik für Gastroenterologie, Venizeleion General Hospital, Heraklion, Deutschland

Einleitung: rNET infiltrieren fast immer die Submukosa, so dass konventionelle Polypektomie-Techniken, wie die Resektion mit Biopsiezange und die endoskopische Mukosaresektion (EMR) oft zu einer unvollständigen Resektion führen (45% bei rNET <10mm). Die ESGE-Leitlinie empfiehlt zur Resektion von rNET eine modifizierte EMR, eine endoskopische Submukosa Dissektion oder die transanale endoskopische Mikrochirurgie. Die Datenlage zur eFTR ist noch begrenzt.
Ziele: Multizentrische, retrospektive Analyse zur Erfassung der Effektivität und Sicherheit der eFTR in der Behandlung von rNETs.
Methodik: Analysiert wurden die Dauer, Vollständigkeit der Resektion, Komplikations- und Rezidivraten von eFTR-Eingriffen bei rNET, die an 10 Zentren in Deutschland und Griechenland von 02/2016-10/2024 durchgeführt wurden. Das FTRD®-System (Ovesco Endoscopy, Tübingen, Deutschland) wurde für alle eFTRs verwendet.
Ergebnis: 82 Patienten mit rNET (medianes Alter 53J.; 27 ♀) unterzogen sich von 02/2016-10/2024 einer eFTR. 47/82 Patienten mit vorheriger unvollständiger bzw. unklarer Resektion (R1/Rx). 21/47 Fälle wiesen histologisch keine Residuen des vorbehandelten rNET auf. In den anderen 61/82 Fällen lag die Rate der vollständigen Resektion (R0) bei 96.7% (59/61). Histologie meist G1 L0 V0 (Ausnahmen: 7 rNET mit low G2, 2 rNET mit L1, 1 rNET mit V1). Die mediane Tumorgröße betrug 6 mm (1.5-15). Die mediane Prozedurzeit betrug 25 Minuten (10-63). Neben 9 leichten Nachblutungen (11%) traten keine schwerwiegenden Komplikationen auf. Eine endoskopische Nachsorge ist bei 61 Pat. verfügbar (74.4%). Nach einer medianen Nachbeobachtungszeit von 11 Monaten (2-71) wurde bei der erneuten Endoskopie kein Lokalrezidiv festgestellt (0%).
Schlussfolgerung: Die eFTR ist sicher und effektiv für die endoskopische Therapie von rNET, mit dem zusätzlichen Vorteil einer kurzen Prozedurdauer im Vergleich zu anderen fortgeschrittenen endoskopischen Resektionstechniken. Es sind jedoch vergleichende und vorzugsweise prospektive Studien erforderlich, um die am besten geeignete endoskopische Technik zu bestimmen.

Flowchart eFTR bei Patienten mit rNET

12:17 – 12:23

KV 450 Organerhalt bei komplexen Neoplasien des mittleren und unteren Rektums durch die endoskopische intermuskuläre Dissektion (EID): Ergebnisse einer ersten deutschen Pilotserie

Jonas Cramer

KV 450 Organerhalt bei komplexen Neoplasien des mittleren und unteren Rektums durch die endoskopische intermuskuläre Dissektion (EID): Ergebnisse einer ersten deutschen Pilotserie

J. Cramer1, J. Schwind1, J. Pohl1

1Asklepios Klinik Altona, Gastroenterologie und interventionelle Endoskopie, Hamburg, Deutschland

Einleitung: Die chirurgische Resektion des Rektums ist der Goldstandard für die Therapie von tief-submukosalen T1-Rektumkarzinomen. Die EID kann als minimal invasive Methode eine therapeutische Alternative sein, bei der die lokale Resektion von Neoplasien zwischen der zirkulären und der longitudinalen Muskelschicht erfolgt. Hierdurch könnte eine im Vergleich zu chirurgischen Verfahren nicht unterlegene R0-Resektions- und Lymphknotenmetastasierungsrate erreicht werden, bei gleichzeitigem Organerhalt und geringerer Morbidität.
Ziele: Ziel ist die funktionelle Erhaltung des Rektums durch eine möglichst hohe R0-Resektionsrate bei gleichzeitig geringem interventionellem Risiko und niedriger Komplikationsrate zur Vermeidung chirurgischer Eingriffe.
Methodik: Retrospektive Auswertung eines behandelten Patientenkollektivs in der Asklepios Klinik Altona zwischen 11/2023 und 04/2025 mit Beschreibung der Indikationen, der R0-Resektionsrate, der Komplikationsrate und des histologischen Outcomes.
Ergebnis: Im oben beschriebenen Zeitraum wurden bei 20 Patienten (Alter 64,5 (54,5-75) Jahre (Median (Interquartilsabstand); 13 Männer (65%)) eine EID durchgeführt.
Bei den Patienten mit Verdacht auf tiefe submukosale Infiltration bestätigte sich diese Prädiktion nur in 4/11 Fällen (36%) am Resektat – bei zwei Patienten (18%) war die Infiltration < 1.000 um (oberflächlich submukosal) und bei vier Patienten (36%) war bereits eine beginnende Muscularis-propria-Infiltration (T2) nachzuweisen.
Eine R0-Resektion gelang bei 15/20 (75 %) Patienten. Bei allen Patienten mit maximal T1b Neoplasie konnte histologisch eine R0 Resektion erzielt werden (14/14, 100 %). Bei T2 Neoplasien gelang dies nur in zwei von sechs Fällen. Schwere Komplikationen traten nicht auf. Postinterventionell kam es lediglich zu zwei Minorkomplikationen: einem Fall mit Schüttelfrost (mutmaßlich bei septischer Einschwemmung, weshalb eine Antibiotikagabe erfolgte) sowie einem Fall mit postinterventionellen Schmerzen, die eine intravenöse Analgesie erforderlich machten
Schlussfolgerung: Die EID kann auch bei tiefer submukosaler Infiltration einer Neoplasie eine R0 Resektion mit Organerhalt ermöglichen. Bei entsprechender Erfahrung ist das Interventionsrisiko gering. Eine Herausforderung besteht in der korrekten präinterventionellen Einschätzung der Infiltrationstiefe in die Submukosa.

Indikation Fallzahl (n) Anteil (%)
Rektumneoplasie mit Verdacht auf tiefe Submukosa-Infiltration 11 55 %
Nachresektion bei Zustand nach Polypektomie mit R1-reseziertem Karzinom 5 25%
Rezidive von Neoplasien 1 5%
Minimale Residuen nach total neoadjuvanter Therapie 3 15%
Gesamt 20 100 %

12:25 – 12:31

KV 451 Endoskopisch-intermuskuläre Dissektion (EID) als neue Perspektive für T1-Karzinome und hochrisikoläsionen im Rektum – erster Vergleich von 12 EID-Fällen mit 53 ESDS bei Läsionen mit histologischem Ergebnis Karzinom oder HGIEN

Jürgen Hochberger (Berlin)

KV 451 Endoskopisch-intermuskuläre Dissektion (EID) als neue Perspektive für T1-Karzinome und hochrisikoläsionen im Rektum – erster Vergleich von 12 EID-Fällen mit 53 ESDS bei Läsionen mit histologischem Ergebnis Karzinom oder HGIEN

J. Hochberger1, M. Ho2, C. Rickert3

1Charité Universitätsmedizin Berlin, Hepato-Gastroenterologie, Berlin, Deutschland, 2Vivantes Klinikum im Friedrichshain, Gastroenterologie, Berlin, Deutschland, 3Vivantes Klinikum im Friedrichshain, Institut für Pathologie, Berlin, Deutschland

Im Gegensatz zu mukosalen ADK / Adenomen + HGIEN im Rektum mit R0-Rate bis 92 % kann R0-Res. Rate bei T1 ADK mit tiefer SM-Infiltration bei thermischen Artefakten basal auf 30 % sinken. Oft folgt chiriugische TME. Eine tiefe SM-Infiltration als isolierter Risikofaktor, ohne L, V, G3 und Bd2-3, scheint mit geringem Risiko für LNM von nur 2,6 % verbunden. Die endoskopische intermuskuläre Dissektion (EID) trennt zirkuläre und longitudinale Muskelschicht. Die EID liefert idealerweise ein Präparat einschließlich der gesamten Submukosa und der inneren M.-propria.
12 sequenzielle EIDs wurden mit 53 historischen rektalen ESDs mit Histo: HGIEN oder Rektumkarzinom verglichen.
Ziele und Methoden: Läsionen mit biopsiebestätigtem ADK oder HGIEN des Rektums ohne endoskopische, EUS- oder klinische Anzeichen einer tiefen lokalen Infiltration. Endoskopie, EUS, MRT, CT und rektale digitale Untersuchung ohne Verdacht auf lokale maligne Infiltration. Den Patienten wurde nach umfassender Aufklärung im Rahmen eines prospektiven Protokolls die prospektive Teilnahme an einer EID angeboten. Vollnarkose, erfahrener interv. Endoskopiker durchgeführt. Die Ergebnisse der EID wurden mit einem historischen Kollektiv von 53 Fällen mit rektaler ESD und einem histologischen Befund von Rektumkarzinom oder HGIEN (08-2018 bis 12-2021) verglichen.
Ergebnisse: Von Nov. 2023 bis Sept. 2024 wurden 12 EIDs bei 12 Patienten (6 Frauen/6 Männer; M 63 J (34–83 Jahre) durchgeführt. 09/12 im unteres, 1/12 mittleres, 1/12 im unteren und mittleren und 1/12 im oberen Rektum. En-bloc-Resektionsrate 100 %, R0 89 % für Neoplasie/HGIEN. Histo: 3x ADK G2, 6x HGIEN, 3x LGIEN, incl. zweier Fälle nach neodadjuvanter RT/Ch bei Ca. Bei 2 der 3 ADKs R0-Resektion erreicht. Beide mit tiefer Sm-Infiltration ohne weitere Risikofaktoren. Tumorboard: enge klinische und bildg. Nachsorge. Im 3. ADK: TU-Infiltration innere Muskelschicht (T2). OP 10 Tage nach EID mit unkomplizierter TME. Krh-Aufenth m 7,1 T.. Keine schwerw. Komplikationen. In der historischen ESD-Gruppe: R0-Resektion in 100 % der HGIEN-Fälle (45/45), jedoch nur 3/8 ADK R0 (37,5 %).
Schlussfolgerung: Die EID scheint eine neue Perspektive für die endoskopische Resektion von T1-Rektumkarzinomen und verdächtigen Polypen im Rektum zu bieten. Für die endgültige Bewertung der EID als vielversprechende neue endoskopische Technik sind weitere Erfahrungen und ein Vergleich mit chirurgischen lokalen Verfahren (TAMIS etc.) erforderlich.

Endoskopisch intermuskuläre Dissektion (EID) Praeparat

12:33 – 12:39

KV 452 ESD bei flächigem Tumor im ileorektalen Pouch nach Kolektomie bei Colitis ulcerosa: Organerhaltende Therapieoption

Oscar Cahyadi (Bochum)

KV 452 ESD bei flächigem Tumor im ileorektalen Pouch nach Kolektomie bei Colitis ulcerosa: Organerhaltende Therapieoption

O. Cahyadi1, K. Hamesch2, C. Torres Reyes1, M. Tophof1, D. Quast1, M. Ayoub1, A. Ebigbo1

1St.Josef-Hospital, Medizinische Klinik I, Ruhr Universität Bochum, Bochum, Deutschland, 2Medizinische Klinik III für Gastroenterologie, Stoffwechselerkrankungen und Internistische Intensivmedizin, Universitätsklinik der RWTH Aachen, Aachen, Deutschland

Einleitung: Bei Patienten mit Colitis ulcerosa stellt die Detektion und Therapie dysplastischer Läsionen eine besondere Herausforderung dar. Die ESD ermöglicht eine en-bloc-Resektion großer Läsionen und bietet damit diagnostische und therapeutische Vorteile gegenüber einer primären chirurgischen Sanierung vor allem im Bezug eines Organerhalts.
Fallbericht: Ein 45 jähriger Patient mit bekannter Colitis ulcerosa und Zustand nach subtotaler Kolektomie mit ileorektaler Pouch-Anastomose sowie Lebertransplantation bei PSC stellte sich zur Drittmeinung vor. Bei einer endoskopischen Kontrolle des ileorektalen Pouchs wurde ein mindestens 50 mm großer, 50% der Zirkumferenz einnehmender lateral-spreading tumor ab 3 cm ab Ano im rektalen Anteil des Pouchs diagnostiziert. Bioptisch war eine high-grade Dysplasie nachgewiesen. Eine endoskopische Abtragung wurde in zwei Zentren als nicht möglich erachtet und eine Operation mit Ileostomaanlage empfohlen. Aufgrund eines starken Wunsches nach organerhaltender Therapie und nach ausführlicher Aufklärung im Sinne eines individuellen Heilversuchs – inklusive vorheriger Therapieoptimierung der Proktitis – wurde eine ESD-Resektion in unserer Abteilung durchgeführt. Die Präparation wurde an der ileorektalen Pouch-Anastomose aufgrund der Angulation mit einem neuen dünnen flexiblen Gastroskop durchgeführt. Die Histologie ergab ein 9,1 x 4,1 cm großes Resektat mit einem 8,7 x 3,9 cm polypoiden Anteil mit einer niedriggradigen Dysplasie, vollständig im Gesunden entfernt. Die antibiotische Therapie wurde ambulant für 7 Tage fortgeführt. Bei einer Kontrollendoskopie 4 Wochen später zeigte sich ein asymptomatischer Patient mit einer zeitgerechten Heilung der post ESD-Läsion ohne Stenosierung und ohne Rezidivverdacht. Eine weitere Nachsorge in 3 Monaten steht an.
Schlussfolgerung: Die ESD stellt bei selektierten Patienten mit Colitis ulcerosa eine minimalinvasive diagnostische und gleichzeitig therapeutische Alternative dar. Durch eine en-bloc-Resektion ist eine präzisere histopathologische Diagnostik einer Läsion besser möglich. Im Falle einer Dysplasieentwicklung im rektalen Anteil der ileorektalen Pouchanastomose bietet die ESD eine wertvolle organerhaltende Therapieoption. Eine sorgfältige Patientenselektion ist jedoch essenziell.

12:41 – 12:47

KV 453 Vergleich der kolonischen mit der nicht-kolonischen ESD in einem deutschen Hochvolumen ESD-Resektionszentrum

Steffen Kunsch (Winnenden)

KV 453 Vergleich der kolonischen mit der nicht-kolonischen ESD in einem deutschen Hochvolumen ESD-Resektionszentrum

S. Kunsch1, A. Nedjahi1, H. Schäffler1

1Rems-Murr-Kliniken Winnenden, Gastroenterologie, Winnenden, Deutschland

Einleitung: Obgleich die endoskopische Submukosadissektion in der Lage ist auch bei Läsionen größer 20mm eine verlässliche en-bloc Resektion zu gewährleisten wird diese Technik für Läsionen im Kolon in Deutschland nicht regelmäßig eingesetzt. Gründe hierfür sind die erhöhte technische Schwierigkeit und eine unterstellte hohe Komplikationsrate.
Ziele: Retrospektive Analyse der Effektivität der kolonischen ESD in Bezug auf Effektivität, R0 Resektionsrat und Komplikationsrate im Verglich zur nicht kolonischen ESD.
Methodik: Alle ESDs an der Rems-Murr-Klinik Winnenden aus den Jahren 2022 bis 2024 wurden analysiert auf Läsionsgröße, R0-Resektionsrate und Komplikationen. Die Effektivität und Sicherheit der kolonischen ESD wurde durch den Vergliche zu den Resektionen in Ösophagus, Magen und Rektum evaluiert.
Ergebnis: Insgesamt wurden in den 3 Jahren an der Rems-Murr Klinik Winnenden 246 ESDs durchgeführt. Im Kolon wurden 153 Eingriffe (rechts: 105 und links: 48) mit einer durchschnittlichen Resektatgröße von 42mm analysiert. Eine en-bloc Resektion gelang in 141/153 Fällen. Histologisch lagen 20 serratierte Adenome, 57 LGIN Adenome, 48 HGIN Adenome und 25 Karzinome vor, hiervon konnte bei 22/25 eine R0 Resektion erreicht werden. In Zusammenschau mit den Risikofaktoren wurden dann lediglich 19/25 als endoskopisch kurativ therapiert eingestuft. Zwei Perforationen traten in dieser Gruppe auf, sowie 2 Nachblutungen. Im Vergleich wurden 93 nicht kolonische ESDs (Rektum 48, Magen 26 und Ösophagus 17) mit einer durchschnittlichen Resektatgröße von 40mm durchgeführt. Eine en-bloc Resektion gelang in 89/93 Fällen. Histologisch lagen 2 serratierte Adenome, 22 LGIN Adenome, 21 HGIN Adenome und 22 Karzinome vor, hiervon konnte bei 16/22 eine R0 Resektion erreicht werden. In Zusammenschau mit den Risikofaktoren wurden dann lediglich 12/22 als endoskopisch kurativ therapiert eingestuft. Eine Perforation traten in dieser Gruppe auf, sowie 3 Nachblutungen. Im Vergleich von kolonischer und nicht-kolonischer ESD zeigten sich keine signifikanten Unterschiede in allen untersuchten Parametern.
Schlussfolgerung: Diese Untersuchung zeigt, dass die kolonischen ESD bei entsprechender Expertise mit einem hohen Maß an Effektivität und Sicherheit durchgeführt werden kann. Vor allem bei Frühkarzinomen ist die en-bloc Resektion Voraussetzung für eine kurative endoskopische Therapie.

12:49 – 12:55

KV 454 Düsseldorfer ESD Register- Interimsanalyse

Maximilian Schneider (Düsseldorf)

KV 454 Düsseldorfer ESD Register- Interimsanalyse

M. Schneider1, T. Veiser1, T. Dertmann1, T. Beyna1

1Evangelisches Krankenhaus Düsseldorf, Gastroenterologie/ Innere Medizin, Düsseldorf, Deutschland

Einleitung: Die endoskopische Submukosadissektion ist ein etabliertes Verfahren zur Therapie prämaligner und maligner Läsionen im Gastrointestinaltrakt.
In vielen Studien konnte die Sicherheit und Effektivität des Verfahrens nachgewiesen werden, woraufhin sich die ESD auch an westlichen Zentren etabliert hat. Die technischen Abläufe des Eingriffs, die Instrumente, sowie periinterventionelle Therapiemethoden der Komplikationen sind in stetigem Wandel, was die fortlaufende, Evaluation des Verfahrens notwendig macht.
Ziele und Methoden: Ziel der Studie ist die prospektive, monozentrische Evaluation der Sicherheit und Effektivität der endoskopischen Submukosadissektion an einem Referenzzentrum mit großer Expertise in der ESD. Für die hier vorgelegte Zwischenanalyse wurden Patienten mit mukosalen gastrointestinalen Läsionen, die eine ESD am Evangelischen Krankenhaus Düsseldorf zwischen dem 17.09.2024 und dem 27.03.2025 erhalten haben, eingeschlossen. Primäre Endpunkte sind die technische Erfolgsrate im Sinne einer en-bloc Resektion, die R0-Resektionsrate, sowie peri- und postinterventionelle Komplikationen. Sekundäre Endpunkte sind die klinische Erfolgs-, Komplikations-, Rezidivrate, sowie untersucher-, patientenseitige und technische Einflussfaktoren auf die technische und klinische Erfolgsrate.
Ergebnisse
: Es wurden 88 Patienten mit einem mittleren Alter von 67 Jahren eingeschlossen (m/w: 59/29). Die Resektionen fanden im Ösophagus (40/88), Magen (23/88), Rektum (23/88), Duodenum (1/88) und Kolon (1/88) statt.
Der Anteil an Karzinomen respektive HGIEN lag im Ösophagus bei 85% (34/40), im Magen und Rektum bei je 39,1% (9/23). Es konnte eine en-bloc Resektionsrate von 96,6% (85/88) erzielt werden.
Die histopathologische R0 Resektionsrate lag bei 89,5%(51/57).
Intraprozedural traten in 3,4% (3/88) Komplikationen in Form einer Perforation auf, welche alle endoskopisch therapiert werden konnten.
Schlussfolgerung: Die ESD ist auch an westlichen Zentren in der Hand erfahrener Untersucher ein technisch und hinsichtlich des onklogischen Ergebnisses sicheres und effizientes Verfahren. Angesichts der fortlaufenden Entwicklung und neuen Erkenntnissen auch mit Blick auf die Indikation des Verfahrens, bedarf es einer fortlaufenden Evaluation im Rahmen klinischer Studien. Hier soll die vorliegende Registerstudie auch im Hinblick auf langfristige Endpunkte zukünftig einen Beitrag leisten.

12:57 – 13:03

KV 455 Chirurgische und interventionell-endoskopische Implikationen einer CT-Kolonografie bei technisch nicht komplett durchführbarer Koloskopie

Constanze Jakob (Leipzig)

KV 455 Chirurgische und interventionell-endoskopische Implikationen einer CT-Kolonografie bei technisch nicht komplett durchführbarer Koloskopie

C. Jakob1,2, T. Arens3, A. Borkenhagen1, C. Nikolaus1, T. Klugmann1, P. Dietel1, C. Klecker1, A. Stallmach2, N. Teich1,2

1Internistische Gemeinschaftspraxis für Verdauungs- und Stoffwechselkrankheiten, Leipzig, Deutschland, 2Universitätsklinikum Jena, Klinik für Innere Medizin IV, Jena, Deutschland, 3Zentrum für Radiologie und Nuklearmedizin am Johannisplatz, Leipzig, Deutschland

Einleitung: Nicht immer kann eine vollständige Koloskopie mit Intubation des Zökums durchgeführt werden (Shah HA et al.: Gastroenterology 2007, 132: 2297-2303). Dann muss in Abhängigkeit von der Fragestellung eine andere Untersuchungstechnik des Dickdarmes gewählt werden. Die Leitlinie der DGVS empfiehlt eine CT-Colonographie (CTC).
Ziele: Ziel dieser Studie war es, die chirurgischen und interventionell-endoskopischen Implikationen der Ergebnisse einer CTC bei Personen nach technisch nicht möglicher vollständiger konventioneller Koloskopie (CC) zu untersuchen.
Methodik: In einer Fall-Kontrollstudie wurden 302 Personen, bei denen nur eine unvollständige CC durchgeführt werden konnte, retrospektiv untersucht. Die Kontrollgruppe umfasste 302 Personen gleichen Geschlechts, die sich im selben Kalenderjahr einer vollständigen CC durch denselben Untersucher unterzogen hatten. Häufigste Indikationen waren Vorsorgekoloskopie (29,1%) pathologischer iFOBT (9,6%) und Kontrolle nach früherer Polypektomie (9,6%).
Ergebnis: Personen mit inkompletter CC waren älter (66 vs. 61 Jahre, p<0.0003) und berichteten häufiger über frühere abdominelle Operationen (53.3% vs. 41.1, p<0.003). Häufigste CC-Abbruchgründe waren vermutete Adhäsionen (n=64), ein langes Sigma ± entzündungsfreien Divertikeln (n=59) sowie Colonstenosen (n=19). Das Sigma war der häufigste Darmabschnitt, in dem die CC abgebrochen wurde (n=149, 49,3 %). Die CTC war in 99,7% technisch erfolgreich. Aufgrund CTC-Verdacht eines Malignoms wurde bei vier Patienten eine Sigmaresektion durchgeführt; histologisch zeigte sich jeweils eine chronische Divertikulitis. Bei 13 Personen (4,3 %) wurden in der CTC Dickdarmpolypen vermutet. In der Folge wurden mittels erneuter CC acht präkanzerösen Läsionen entfernt. Es wurden 396 extrakolonische CTC-Befunde bei 197 Patienten (65,2 %) beschrieben. Diese umfassten 382 gutartige (96,7 %) und 13 potentiell maligne Befunde (3,3 %). Die weitere Abklärung der malignitätsverdächtigen Befunde ergab zwei histologisch bestätigte Malignome.
Schlussfolgerung: Die CTC erbrachte in unserer Kohorte nur eine geringe Zahl (prä-) maligner (extra-) intestinaler Befunde und nur bei einem Patienten war eine kurative Resektion eines extraintestinalen Malignoms möglich. Wir empfehlen daher in Abhängigkeit der Indikation und des zum Abbruch führenden Lokalbefundes der CC eine sehr enge Indikationsstellung zur CTC.

Kurzvortragssitzung

Komplikationen der Zirrhose – State of the Art

08:30 – 09:50

Fr 19.09.

Seminarraum 14 + 15

Open Accordion - Icon Close Accordion - Icon

Vorsitz: Christoph Sarrazin (Wiesbaden) und Eva M. Schleicher (Mainz)

08:30 – 08:36

KV 122 Einsatz des Tablet-basierten OCS-Plus Tests zur Erfassung der hepatischen Encephalopathie bei Patient*innen mit Leberzirrhose

Lennard Behrens (Jena)

KV 122 Einsatz des Tablet-basierten OCS-Plus Tests zur Erfassung der hepatischen Encephalopathie bei Patient*innen mit Leberzirrhose

L. Behrens1, V. Kozik2, K. Finke2, A. Stallmach1, P. Reuken1

1Universitätsklinikum Jena, Klinik für Innere Medizin IV, Jena, Deutschland, 2Universitätsklinikum Jena, Klinik für Neurologie, Jena, Deutschland

Einleitung: Eine hepatische Encephalopathie (HE) ist eine häufige Komplikation bei Patient*innen mit Leberzirrhose, die bereits in frühen Stadien mit einer deutlichen Reduktion der Lebensqualität bei gleichzeitig deutlich erhöhter Mortalität einhergeht. Demgegenüber ist die Diagnose von frühen HE-Stadien aufwändig, da dies nur über psychometrische Tests möglich ist, die spazialisiertes Personal und einen hohen Zeitaufwand benötigen. Hier haben Tablet-basierte Tests, wie der für neurologische Erkrankungen evaluierte Oxford Cognitive Screening plus (OCS-Plus) Test das Potential, die Diagnose zu erleichtern
Methodik: Patient*innen mit Leberzirrhose ohne overte HE wurden prospektiv in die Studie eingeschlossen. Es erfolgte nacheinander die Durchführung der psychometrischen HE-Tests sowie des Tablet-basierten OCS-Plus und der Messung der kritischen Flimmer Frequenz (CFF).
Ergebnis: Insgesamt wurden 103 Patient*innen mit einem medianen Alter von 63 Jahren in die Studie eingeschlossen, von denen 61 Patienten männlich waren (59,2%). Die überwiegende Ätiologie waren Alkohol (51 Patient*innen (49,5%)) und MASLD (25 Patient*innen (24,3%)) mit einem medianen MELD-Score von 11 Punkten und einem medianen Child-Pugh-Score von 6 Punkten. Die mediane CFF lag bei 48. Die mediane Dauer der Papierbasierten Zahlenverbindungstests lag bei 57 Sekunden (Variante A) bzw. 42 Sekunden (Variante B), wobei 12 bzw. 22 Patient*innen ≤30 Sekunden benötigten. Der OCS-Plus konnte bei 95 der Patient*innen erfolgreich durchgeführt werden, mit einer medianen Testdauer von 22,7 Minuten. Dabei zeigten sich im Vergleich zu den Testnormdaten signifikante Auffälligkeiten insbesondere in den Untertests „Word Memory“, „Cancellation“ und „Trails“. Die OCSplus Resultate korrelierten signifikant mit den Leistungen in den papierbasierten Zahlenverbindungstests (jeweils p<0,05).
Schlussfolgerung: Der Einsatz des Tablet-basierten OCS-Plus ist bei Patient*innen mit Leberzirrhose eine einfache, rasche und delegierbare Untersuchung. Ihre Validität bei der Erfassung einer minimal HE wurde hier durch die Korrelationen mit der etablierten psychometrischen HE Testung belegt. Somit könnte sie die Diagnosemöglichkeiten verbessern. Weitere Untersuchungen in größeren Kollektiven und im Längsschnitt sind notwendig, um den OCS-Plus in diesem Kollektiv weiter zu evaluieren.

08:38 – 08:44

KV 123 Der renale resistivity index (RI) ist prädiktiv für das Auftreten eines akut auf chronischen Leberversagens, aber nicht für ein hepatorenales Syndrom bei Patienten mit fortgeschrittener Zirrhose

Amos Cornelius Zeller (Essen)

KV 123 Der renale resistivity index (RI) ist prädiktiv für das Auftreten eines akut auf chronischen Leberversagens, aber nicht für ein hepatorenales Syndrom bei Patienten mit fortgeschrittener Zirrhose

A.C. Zeller1, J. Rashidi-Alavijeh1, H. Schmidt1, H.H. Wedemeyer2, C.M. Lange3, L. Jochheim1

1Universitätsklinikum Essen, Gastroenterologie, Hepatologie und Transplantationsmedizin, Essen, Deutschland, 2Medizinische Hochschule Hannover, Gastroenterologie, Hepatologie, Infektiologie und Endokrinologie, Hannover, Deutschland, 3Ludwig-Maximilians-Universitätsklinikum München, Medizinische Klinik II Gastroenterologie, Hepatologie, München, Deutschland

Einleitung: Das hepatorenale Syndrom (HRS-AKI) ist eine häufige Komplikation der Leberzirrhose und ist mit einer schlechten Prognose assoziiert. Es ist bekannt, dass der renale resistivity index (RI) als Surrogatmarker für die renale Perfusion bei Ascites und HRS-AKI erhöht ist. In der dieser Studie untersuchten wir, ob der RI prädiktiv für das Auftreten eines HRS-AKI, akut auf chronischen Leberversagens (ACLF) oder das Überleben ist.
Ziele: Ziel der Studie war es den Zusammenhang zwischen dem renalen RI und dem Auftreten eines HRS-AKI, ACLF, sowie dem Gesamtüberleben zu prüfen.
Methodik: In dieser prospektiven, monozentrischen Beobachtungsstudie wurde bei hospitalisierten Patienten mit Leberzirrhose und nachweisbarem Aszites das Auftreten eines HRS-AKI, ACLF und das Gesamtüberleben innerhalb von 45 Tagen in abhängig des renalen RI registriert. Die Bestimmung des RI erfolgte dopplersonographisch in den Aa. interlobares. Ein RI ≥0,7 wurde als erhöht prädefiniert.
Ergebnisse: Es wurden 134 Patienten eingeschlossen, von denen 85 (63,4 %) einen erhöhten RI aufwiesen. Bereits zum Zeitpunkt des Studieneinschlusses wiesen signifikant mehr Patienten mit erhöhtem RI eine akute Nierenschädigung (AKI) oder ein HRS-AKI auf (10,2 % und 6,3 % vs. 36,5 % and 28,2 %, p=0,004 und p=0,005). Das Risiko, ein AKI oder HRS-AKI im Beobachtungszeitraum zu entwickeln, unterschied sich nicht in den beiden Vergleichsgruppen (p=0,113 und p=0,16). Allerdings entwickelten signifikant mehr Patienten mit erhöhtem RI ein ACLF (26 % vs. 7 %, p=0,013). Dennoch konnte kein Unterschied hinsichtlich des Gesamtüberleben nach 30 und 45 Tagen festgestellt werden (p=0,096 und p=0,301).
Schlussfolgerung: Ein erhöhter renaler RI zu Behandlungsbeginn ist mit einem erhöhten Risiko für das Auftreten eines ACLF, nicht aber eines HRS-AKI assoziiert.

08:46 – 08:52

KV 124 Risikofaktoren für Ösophagusvarizenblutung nach Ligaturtherapie – eine retrospektive unizentrische Analyse

Ulrike Bauer (München)

KV 124 Risikofaktoren für Ösophagusvarizenblutung nach Ligaturtherapie – eine retrospektive unizentrische Analyse

T. Gottschalk1, U. Mayr1, M. Ringelhan1, M. Abdelhafez1, T. Lahmer1, F. Geisler1, M. Treiber1, R.M. Schmid1, U. Ehmer1, U. Bauer1

1Technical University of Munich, TUM School of Medicine and Health, Department for Internal Medicine II, TUM University Hospital, München, Deutschland

Einleitung: Die Ösophagusvarizenblutung stellt eine schwerwiegende Komplikation des portalen Hypertonus dar, welcher oft bei Leberzirrhose vorliegt. Eine etablierte Prophylaxe sowie Therapieverfahren bei höhergradigen Varizen ist die Gummibandligatur. Routinemäßig erfolgt hierbei eine kurzzeitige stationäre Überwachung. Häufigkeit und Zeitpunkt der postinterventionellen Komplikationen sowie insbesondere der Nachblutungsrate bleibt aufgrund fehlender Daten jedoch unklar. Ziel dieser retrospektiven Analyse war eine strukturierte Risikobewertung für Nachblutungen sowie die Identifikation von patienten- und verfahrensspezifischen Risikofaktoren.
Methodik: Es wurden unizentrisch die Daten von 233 Patienten sowie insgesamt 616 Interventionen untersucht, welche zwischen Januar 2019 und Februar 2023 am TUM Klinikum rechts der Isar eine Ösophagusvarizenligatur erhalten haben. Das Auftreten einer post-banding Blutung binnen 21 Tagen wurde analysiert. Zudem wurden Patientencharakteristika, Laborparameter sowie Interventionseigenschaften erfasst. Die statistische Auswertung erfolgte mittels R und SPSS.
Ergebnisse: In 4,9% (60/616) der Interventionen kam es zu einer post-banding Blutung. Hierbei war die Blutungsrate deutlich höher, wenn die Intervention notfallmäßig erfolgte (20,8% vs. 2,6 %, p < 0,001). Weitere Risikofaktoren waren aktiver Alkoholabusus (50% vs. 20,3 %, p < 0,001) sowie eine kompromittierte Leberfunktion gemessen anhand von Child-Pugh- oder MELD-Score (p < 0,001). Eine vorliegende Thrombozytopenie (< 50 G/l) oder die Einnahme von Acetylsalicylsäure (ASS) hatten keinen statistisch signifikanten Einfluss auf die Nachblutungsrate.
Schlussfolgerung: Unsere Daten zeigen, dass eine elektive Ösophagusvarizenligatur insgesamt eine sichere Intervention mit nur geringem Nachblutungsrisiko darstellt. Risikofaktoren für eine Blutung nach Ligatur waren ein aktiver Alkoholabusus sowie eine eingeschränkte Leberfunktion, ebenso wie eine notfallmäßige Intervention in der Blutungssituation. Dagegen zeigte sich auch unter Einnahme von ASS sowie bei Thrombozytopenie keine Risikoerhöhung. Mit diesen Erkenntnissen soll eine gezielte Risikostratifizierung ermöglicht und somit das postinterventionelle Management optimiert werden.

08:54 – 09:00

KV 125 Inzidenz und prognostische Relevanz COVID-19 assoziierter Depression bei Patient:innen mit Leberzirrhose: Ergebnisse einer longitudinalen Kohorten-Studie

Greta Priebe (Hamburg)

KV 125 Inzidenz und prognostische Relevanz COVID-19 assoziierter Depression bei Patient:innen mit Leberzirrhose: Ergebnisse einer longitudinalen Kohorten-Studie

G. Priebe1, L. Kuballa1, T. Brehm1,2, T. Horvatits3, K. Horvatits3, J. Kluwe4, A. Lohse1, S. Huber1, S. Pischke1, T. Fründt1

1Universitätsklinikum Hamburg-Eppendorf, I. Medizinische Klinik und Poliklinik, Hamburg, Deutschland, 2Forschungszentrum Borstel Leibniz Lungenzentrum Partnerside Lübeck, Hamburg, Sülfeld, Deutschland, 3Gastromedics, Eisenstadt, Österreich, 4Ev. Amalie Sieveking Krankenhaus Hamburg, Allg. Innere Medizin und Gastroenterologie, Hamburg, Deutschland

Einleitung: Die COVID-19-Pandemie führte weltweit zu einem signifikanten Anstieg psychischer Erkrankungen, v.a. bei Menschen mit chronischen Erkrankungen. Über die psychische Belastung von Menschen mit Leberzirrhose (LC) während der Pandemie liegen nur begrenzte Daten vor. Unklar ist zudem, ob das Auftreten einer Depression prognostisch relevant ist.
Ziele: Erfassung Prävalenz und Auswirkung von Depression bei hospitalisierten Patienten mit und ohne LC auf den Krankheitsverlauf in verschiedenen Pandemiephasen.
Methodik: Retrospektiven Analyse dreier Kohorten stationärer Patienten, die zu unterschiedlichen Zeitpunkten behandelt wurden: Kohorte 1 (prä-COVID): April–Juni 2019; Kohorte 2 (COVID- Kohorte): April–Juni 2020; Kohorte 3 (post-COVID): April–Juni 2024. Screening auf Depression mittels Patient Health Questionnaire-4 (PHQ-4). Prospektives Follow up der COVID-Kohorte über 12 Monate, primärer Endpunkt: hydrope/ metabolische Dekompensation mit notwendiger Hospitalisierung.
Ergebnis: Analyse von n= 603 Patienten, n= 294 mit LC (LC; Kohorte 1/2/3: n = 110/129/55) und n= 309 ohne Lebererkrankung (non-LD; n = 104/101/104). In Kohorte 1 lag die Prävalenz der Depression bei 3,6 % (LC) vs. 2,8 % (non-LC) (p = 0,75), Kohorte 2: 19 % vs. 3,9 % (p < 0,005), Kohorte 3: 3,5 % vs. 2,8 % (p = 0,81). Mittels multivariater Regressionsanalyse unter Einbezug von Alter, Geschlecht, Leberfunktion, Vorliegen LC sowie pandemiebedingter Exposition Identifikation von letzterem als signifikanter Risikofaktor (RF) für das Auftreten von Depressionen (OR: 4,6; 95 %-KI: 1,6–17,2; p = 0,03). In der COVID-Kohorte traten Dekompensationen während des Follow-up signifikant häufiger bei depressiven Menschen auf (58% vs. 21%; p = 0.04). In der multivariaten Analyse waren nur Depression (OR: 2.2; 95% CI: 1.19- 8.79) und Child-Pugh Score (OR: 3.3, 95% CI: 1.6- 5.7) signifikante RF für eine neuerliche Dekompensation.
Schlussfolgerung: Die COVID-19 Pandemie führte zu einem signifikanten Anstieg von Depression bei Menschen mit Leberzirrhose, was deren Anfälligkeit gegenüber externen Stressoren belegt. Depression ist dabei ein unabhängiger Risikofaktor für eine neuerliche Dekompensationen. Zwar ist die psychische Belastung in der post-pandemischen Phase rückläufig, allerdings unterstreichen die Ergebnisse die Notwendigkeit frühzeitiger psychologischer Diagnostik und zielgerichteter Interventionen bei Menschen mit fortgeschrittener Lebererkrankung – v.a. im Kontext globaler Gesundheitskrisen.

09:02 – 09:08

KV 126 Ansprechen auf Terlipressin in Patienten mit akuter Nierenschädigung – Hepatorenalem Syndrom (AKI-HRS) und chronischer Nierenerkrankung (CKD)

Frank E. Uschner (Münster)

KV 126 Ansprechen auf Terlipressin in Patienten mit akuter Nierenschädigung – Hepatorenalem Syndrom (AKI-HRS) und chronischer Nierenerkrankung (CKD)

F.E. Uschner1, E.M. Schleicher2, M. Passenberg3, J. Pohl4, M. Praktiknjo1, A.T. Volk5, H. Karbannek6, J. Chang7, K. Große8, C. Rohrer9, C. Labenz2, B. Maasoumy10, P. Jamme11, J. Cardinal von Widdern12, A. Queck5, J. Trebicka1, C. Engelmann4, J. Rashidi-Alavijeh3, D. Bettinger9, C. Ripoll6, German Cirrhosis Study Group

1Universitätsklinikum Münster, Medizinische Klinik B, Münster, Deutschland, 2Universitätsmedizin, Johannes-Gutenberg-Universität, I. Medizinische Klinik und Poliklinik, Mainz, Deutschland, 3Universitätsklinikum Essen, Klinik für Gastroenterologie, Hepatologie und Transplantationsmedizin, Essen, Deutschland, 4Charité-Universitätsmedizin Berlin, Medizinische Klinik für Gastroenterologie, Infektiologie und Rheumatologie, Berlin, Deutschland, 5Universitätsklinikum Frankfurt, Krankenhaus der Goethe Universität, Medizinische Klinik I, Frankfurt am Main, Deutschland, 6Universitätsklinikum Jena, Klinik für Innere Medizin IV, Jena, Deutschland, 7Universitätsklinikum Bonn, Medizinische Klinik und Poliklinik I, Bonn, Deutschland, 8Uniklinik RWTH Aachen, Medizinische Klinik III, Aachen, Deutschland, 9Universitätsklinikum Freiburg, Klinik für Innere Medizin II, Freiburg, Deutschland, 10Medizinische Hochschule Hannover, Klinik für Gastroenterologie, Hepatologie, Infektiologie und Endokrinologie, Hannover, Deutschland, 11LMU Klinikum München, Medizinische Klinik und Poliklinik II, München, Deutschland, 12Universitätsmedizin Halle, Martin-Luther-Universität Halle-Wittenberg, Innere Medizin I, Halle, Deutschland

Einleitung: Die Standardtherapie für Patienten mit akuter Nierenschädigung und hepatorenalem Syndrom (AKI-HRS) besteht aus einer Kombination von Terlipressin und Albumin. Das HRS galt früher als Ausschlussdiagnose, kann mittlerweile aber auch in Patienten mit chronischer Nierenerkrankung (CKD) diagnostiziert werden. Es existieren keine Daten zur Wirksamkeit einer Kombinationstherapie aus Terlipressin und Albumin in Patienten mit AKI-HRS und vorbestehender CKD.
Ziele: Das Ziel dieser multizentrischen, retrospektiven Observationsstudie war es, das Therapieansprechen des AKI-HRS auf Terlipressin in Patienten mit vorbestehender CKD zu untersuchen.
Methodik: Es wurden insgesamt 395 hospitalisierte Patienten eingeschlossen, die von 2018 bis 2022 eine Therapie mit Terlipressin und Albumin aufgrund eines AKI-HRS erhalten haben. Der primäre Endpunkt war ein vollständiges Therapieansprechen gemäß ICA-Empfehlungen. Sekundäre Endpunkte beinhalteten die Notwendigkeit einer Dialyse und das transplantationsfreie Überleben im Verlauf. Die Patienten wurden anhand der „kidney disease – improving global outcomes“ (KDIGO) Kriterien für eine CKD stratifiziert: (i) glomeruläre Filtrationsrate (GFR) < 60ml/min und (ii) Vorgeschichte einer primären Nierenerkrankung oder (iii) Nachweis einer strukturellen Nierenschädigung oder (iv) bekannte kardiovaskuläre Risikofaktoren.
Ergebnis: Der primäre Endpunkt des vollständigen Therapieansprechens wurde in 37.6 % der Patienten mit CKD und in 45.6 % der Patienten ohne CKD erreicht (p = 0.201). Einzig das delta SCr (als Differenz zwischen Baseline- und Peak Serum Kreatinin) war signifikant mit dem Therapieansprechen assoziiert (sHR 0.59 [0.47-0.73]). Auch nach Korrektur für Ätiologie, delta SCr, CRP, Bilirubin und Albumin hatte die CKD keinen Einfluss auf das Ansprechen auf Terlipressin in Patienten mit AKI-HRS. Die sekundären Endpunkte Dialysepflichtigkeit und transplantationsfreies Überleben unterschieden sich nicht zwischen Patienten mit oder ohne CKD. Patienten mit und ohne CKD zeigten, unter Berücksichtigung von MELD Score und Therapieansprechen, ein vergleichbares Gesamtüberleben nach AKI-HRS (sHR 1.08 [0.63-1.72], p = 0.759).
Schlussfolgerung: Eine CKD verschlechtert weder das Therapieansprechen auf Terlipressin noch die Gesamtmortalität in Patienten mit AKI-HRS. Diese Ergebnisse unterstützen den frühen Einsatz von Terlipressin in Patienten mit AKI-HRS, unabhängig von einer vorbestehenden CKD.

09:10 – 09:16

KV 127 Skelettmuskelmasse als Prädiktor für das Ansprechen auf Terlipressin bei der Behandlung des Hepatorenalen Syndroms

Sina Oesinghaus (Berlin)

KV 127 Skelettmuskelmasse als Prädiktor für das Ansprechen auf Terlipressin bei der Behandlung des Hepatorenalen Syndroms

S. Oesinghaus1, J. Pohl1, T. Villar de Rhode1, N. Beetz2, D. Geisel2, F. Tacke1, C. Engelmann1

1Charité Campus Virchow und Campus Mitte – Universitätsmedizin Berlin, Klinik für Innere Medizin m.d.S. für Gastroenterologie und Hepatologie, Berlin, Deutschland, 2Charité – Universitätsmedizin Berlin, Klinik für Radiologie, Berlin, Deutschland

Einleitung: Das Hepatorenale Syndrom (HRS) ist eine schwere Form des akuten Nierenversagens bei Leberzirrhose und geht unbehandelt mit einer hohen Kurzzeit-Mortalität einher. Terlipressin in Kombination mit Albumin stellt die Standardtherapie dar. Die KI-gestützte CT-Body Composition Analyse (BCA) hat sich als vielversprechender Ansatz zur Risikostratifizierung bei Leberzirrhose etabliert, wodurch sie das Potenzial zur frühzeitigen Identifikation vulnerabler Patient:innengruppen bietet.
Ziele: Ziel der Studie ist es, prognostische Faktoren für das transplantationsfreie Überleben zu untersuchen und mithilfe der BCA prädiktive Marker für das Terlipressinansprechen zu identifizieren.
Methodik: Retrospektiv wurden 121 Patient:innen mit HRS eingeschlossen, die zwischen 2018 und 2022 eine Terlipressintherapie erhielten. Das Therapieansprechen wurde nach 14 Tagen anhand dreier Definitionen evaluiert: (1) Rückgang des Serumkreatinins auf ±0,3 mg/dl des Ausgangswerts, (2) Reduktion des Peak-Serumkreatinins um ≥25 %, (3) Verbesserung der Nierenfunktion um ≥1 ANV-Stadium. Anhand der BCA wurde die Muskelfläche auf L3-Höhe erhoben, indexiert [cm²/m²] und der Skelettmuskelindex (SMI) berechnet. Regressions- und Competing-Risk-Analysen identifizierten unabhängige Prädiktoren für das Terlipressinansprechen und das transplantationsfreie Überleben nach 12 Monaten.
Ergebnis: Der mittlere SMI betrug bei Männern 39,2 ± 8,7 cm²/m² und bei Frauen 35,9 ± 6,0 cm²/m². Nach 12 Monaten waren 66 der 121 Patient:innen (54,5 %) verstorben und 6 (5,0 %) lebertransplantiert. Das Terlipressinansprechen betrug 29,8 %, 45,5 % bzw. 47,1 % entspr. der Definitionen 1–3. In der Competing-Risk-Analyse war ein Therapieansprechen gem. aller drei Definitionen mit einem signifikant besseren transplantationsfreien Überleben nach 12 Monaten assoziiert. Ein Abfall des Peak-Serumkreatinins um mindestens 25% bis Tag 14 erwies sich hierbei als stärkster Prädiktor (HR 0,25; KI-95% 0,14-0,42; p < 0,0001). In den multivariaten COX-Modellen war ein niedriger SMI ein robuster unabhängiger Prädiktor für ein fehlendes Terlipressinansprechen gem. Definition (2) (HR 1,95; KI-95% 1,24-3,07; p < 0,01).
Schlussfolgerung: Die Muskelmasse, gemessen am SMI, ist ein unabhängiger Prädiktor für das Ansprechen auf Terlipressin bei der Behandlung des HRS. Größere multizentrische Studien sind jedoch notwendig, um Patient:innen mit unzureichendem Therapieansprechen anhand dessen zu identifizieren.

09:18 – 09:24

KV 128 Einfluss eines Seiten-alternierenden Ganzkörpervibrationstrainings auf Muskelmasse und Muskelkraft bei Patient*innen mit Leberzirrhose: Ein klinisches Pilotprojekt

Eva Dittmann (Köln)

KV 128 Einfluss eines Seiten-alternierenden Ganzkörpervibrationstrainings auf Muskelmasse und Muskelkraft bei Patient*innen mit Leberzirrhose: Ein klinisches Pilotprojekt

E. Dittmann1, P. Kasper1

1Uniklinikum Köln, Klinik für Gastroenterologie und Hepatologie, Köln, Deutschland

Einleitung: Die Sarkopenie ist eine häufige Komplikation der Leberzirrhose und gilt als unabhängiger Risikofaktor für erhöhte Morbidität, Mortalität und reduzierte Lebensqualität. Trotz wachsender prognostischer Relevanz existieren bislang keine standardisierten Therapieoptionen jenseits allgemeiner Bewegungs- und Ernährungsempfehlungen. Das Seiten-alternierende Vibrationstraining stellt eine innovative Trainingsmethode dar, deren potenzieller Nutzen bei Zirrhose bisher nicht untersucht wurde.
Ziel: Ziel dieser Studie ist die Evaluation der Effektivität und Sicherheit eines Seiten-alternierenden Vibrationstrainings hinsichtlich des Erhalts von Muskelmasse, Kraftsteigerung und Verbesserung funktioneller Mobilitätsparameter bei Patient*innen mit Leberzirrhose.
Methodik: In einer interventionellen Pilotstudie absolvierten 10 Teilnehmende ein 12-wöchiges Training auf der Seiten-alternierenden Vibrationsplattform (Galileo-System) mit 2 Einheiten à 30–50 Minuten pro Woche. Muskelkraft wurde mittels Beinpresse (MVIC) und Handgriffdynamometer erhoben, die funktionelle Leistungsfähigkeit wurde anhand des Liver Frailty-Index und der 6-Minuten-Gehstrecke erfasst. Veränderungen der Muskelmasse wurden mittels Bioimpedanzanalyse (ASMM, FM und FFM) gemessen.
Ergebnis: Die Auswertung der vorläufigen Ergebnisse zeigt eine Zunahme der Muskelkraft um +28,7 kg (+23,7 %) in der Beinpresse (MVIC) und +4,88 kg (+11,8 %) in der Handkraft bei Männern. Bei Frauen ergaben sich Steigerungen um +16,03 kg (+34,3 %) bzw. +1,8 kg (+9,9 %). Die 6-Minuten-Gehstrecke nahm bei Männern um +34,2 m (+7,6 %) und bei Frauen um +33,4 m (+7,7 %) zu. Der Chair-Stand-Test verbesserte sich bei Männern um −3,59 s (−24,2 %) und bei Frauen um −4,59 s (−28,9 %). Konsekutiv konnte eine Reduktion des Liver Frailty Index um −15,1 % (Männer) bzw. −13,3 % (Frauen) gemessen werden. Die ASMM stieg bei Männern um +3,74 kg (+12,8 %), bei Frauen zeigte sich eine leichte Abnahme (−1,55 %). Zusätzlich wurde eine Reduktion der Fettmasse (FM; −26,1 % Männer; −11,4 % Frauen) sowie eine Zunahme der fettfreien Masse (FFM) beobachtet (+12,7 % Männer; +1,3 % Frauen).
Schlussfolgerung: Das Seiten-alternierende Vibrationstraining könnte eine effektive, sichere und praktikable therapeutische Strategie zur Verbesserung der Sarkopenie bei Leberzirrhose darstellen. Vorläufige Auswertungen deuten auf positive Effekte bezüglich der Muskelkraft sowie der funktionellen Leistungsfähigkeit im Verlauf der Intervention hin.

Parameter Vor Intervention Nach 6 Wochen Nach Intervention Effekt (absolut) Effekt (%)
Beinpresse (MVIC, kg) Frauen (3) 46,80 65,67 62,83 + 16,03 + 34,25
Männer (5) 121,16 140,84 149,9 + 28,70 + 23,68
Handgriffkraft (kg) Frauen 18,20 19,33 20 + 1,80 + 9,89
Männer 41,36 44,60 46,24 + 4,88 + 11,80
6-Minuten-Gehstrecke (m) Frauen 433,33 440,33 466,67 + 33,4 + 7,71
Männer 449,40 467,80 483,6 + 34,2 + 7,61
Chair Stand (s) Frauen 15,89 11,73 11,30 – 4,59 – 28,89
Männer 14,86 11,62 11,26 – 3,59 – 24,16
Liver Frailty Index Frauen 4,27 3,93 3,70 – 0,567 – 13,29
Männer 3,84 3,46 3,26 – 0,580 – 15,10
ASMM (kg) Frauen 17,40 17,27 17,13 – 0,27 – 1,55
Männer 29,16 30,84 32,90 + 3,74 + 12,83
Fettmasse (kg) Frauen 23,40 22,17 21,03 – 2,67 – 11,41
Männer 30 26,98 22,95 – 7,84 – 26,13
Fettfreie Muskelmasse (kg) Frauen 42,93 43,30 43,47 + 0,54 + 1,26
Männer 72,02 75,70 81,14 + 9,12 + 12,66

09:26 – 09:32

KV 129 Die Einnahme von Kortikosteroiden ist mit einem reduzierten Risiko für akutes Nierenversagen bei Patienten mit schwerer alkoholischer Hepatitis assoziiert

Laura Buttler (Hannover)

KV 129 Die Einnahme von Kortikosteroiden ist mit einem reduzierten Risiko für akutes Nierenversagen bei Patienten mit schwerer alkoholischer Hepatitis assoziiert

L. Buttler1, J. Stange2, N. Pyrsopoulos3, T. Hassanein4, H. Wedemeyer1,5, B. Maasoumy1,5, M. Busch1

1Klinik für Gastroenterologie, Hepatologie, Infektiologie und Endokrinologie, Medizinische Hochschule Hannover, Hannover, Deutschland, 2Center for Extracorporeal Organ Support (CEOS), Biomedical Research Center, Department of Nephrology, University of Rostock, Rostock, Deutschland, 3Liver Disease in New Jersey, NYU Grossman School of Medicine, NYU Langone Transplant Institute, New York, New York, Vereinigte Staaten, 4Southern California Research Center, Coronado, California, Coronado, Vereinigte Staaten, 5German Center for Infection Research (DZIF), Hannover-Braunschweig, Hannover, Deutschland

Einleitung: Die schwere alkoholische Hepatitis (sAH) stellt eine lebensbedrohliche Erkrankung dar, die mit einer Vielzahl klinischer Komplikationen assoziiert ist. Eine häufige Komplikation der sAH ist das akute Nierenversagen (AKI).
Ziele: Unsere Ziele bestanden darin, (i) Risikofaktoren des AKI sowie (ii) Prädiktoren für die AKI-Reversion zu identifizieren und (iii) den Einfluss des AKI auf den klinischen Verlauf zu untersuchen.
Methodik: In einer Post-hoc-Analyse der prospektiven, multizentrischen VTL-308 Studie wurden 151 Patienten mit sAH analysiert. Competing Risk Analysen wurden für die Analyse von Prädiktoren für das Auftreten sowie den Rückgang des AKI durchgeführt. Der Einfluss des AKI auf die Mortalität wurde in einer Cox Regression mit zeitabhängiger Kovariable während eines einjährigen Follow-ups untersucht.
Ergebnis: Die untersuchten Patienten waren im Median 40 Jahre alt und hatten eine Maddrey Discriminant Function (DF) von 63 Punkten. Innerhalb von 90 Tagen entwickelten 63 (41.7%) Patienten ein AKI. Ein hohes Bilirubin erwies sich mit einem Hazard Ratio von 1.06 als signifikanter Risikofaktor für das Auftreten eines AKI (p=0.004). Ebenso waren etablierte Scores, wie der MELD Score (HR=1.2; p=0.009) und die Maddrey DF (1.02; p=0.01), die Bilirubin als Komponente beinhalten, nicht aber die anderen untersuchten Variablen, mit einem erhöhten AKI-Risiko assoziiert. In Kongruenz dazu konnte Bilirubin als negativer Prädiktor für die Reversion des AKI identifiziert werden (HR=0.997; p=0.046). Hervorzuheben ist, dass die Einnahme von Kortikosteroiden mit einem geringeren AKI-Risiko einherging (HR=0.49; p=0.02). Dieser Effekt blieb auch multivariabel, adjustiert nach Bilirubin, statistisch signifikant (HR=0.47; p=0.01). Bezüglich des klinischen Outcomes war das AKI, sowohl im 90-tägigen, als auch im einjährigen Follow-up, mit einem deutlich erhöhten Sterblichkeitsrisiko verbunden (90 Tage: HR=12.7; p<0.001; ein Jahr: HR=6.3; p<0.001). Auch im multivariablen Modell, adjustiert nach dem Glasgow Alcoholic Hepatitis Score, war das AKI mit einem sechs bis 12-fach erhöhten Mortalitätsrisiko assoziiert (90 Tage: HR=12.1; p<0.001; ein Jahr: HR=6.0; p<0.001).
Schlussfolgerung: Das akute Nierenversagen ist eine häufige Komplikation bei Patienten mit sAH und stellt einen unabhängigen Risikofaktor für eine erhöhte Mortalität dar. Unsere Ergebnisse weisen darauf hin, dass sich die Einnahme von Kortikosteroiden günstig auf das AKI-Risiko auswirken könnte.

Abbildung 1 zeigt den Einfluss der Kortikosteroidtherapie auf da Risiko für das Auftreten eines akuten Nierenversagens (AKI). Die Steroideinnahme war in der Competing Risk Analyse, sowohl im univariablen, als auch im multivariablen Modell, mit einem signifikant geringeren AKI-Risiko assoziiert.

Abbildung 2 veranschaulicht den Einfluss des AKI auf die Mortalität. Diese war, sowohl im 90-tägigen, als auch im längeren einjährigen Follow-up, bei Patienten mit AKI deutlich erhöht.

09:34 – 09:40

KV 130 Ninjurin-1 mediates hepatic ischemia-reperfusion injury

Jan Mossemann

KV 130 Ninjurin-1 mediates hepatic ischemia-reperfusion injury

J. Mossemann1,2, B. Martins2, S. Zhao3, P. Bilan2, N. Goldenberg2,4, B. Steinberg3,4, B. Sayed2,5, D. Stippel1, C. Bruns1

1Uniklinik Köln, Klinik und Poliklinik für Allgemein-, Viszeral-, Thorax- und Transplantationschirurgie, Köln, Deutschland, 2The Hospital for Sick Children, Cell Biology Program, Toronto, Kanada, 3The Hospital for Sick Children, Neuroscience and Mental Health Program, Toronto, Kanada, 4The Hospital for Sick Children, Department of Anesthesia and Pain Medicine, Toronto, Kanada, 5University Health Network, Ajmera Transplant Centre, Toronto, Kanada

Background: Ischemia-reperfusion injury (IRI) is a major clinical challenge during liver transplantation that can lead to early allograft dysfunction (EAD), graft rejection, and even death of the recipient. Induced lytic cell death (LCD) decreases functional cell mass and triggers a harmful pro-inflammatory immune response. Rupture of the plasma membrane, the final stage of several LCD pathways, could recently be shown to be an active and highly regulated process mediated by the transmembrane protein Ninjurin-1 (NINJ1). The role NINJ1 plays during hepatic IRI remains unknown.
Aims: To investigate the role of Ninjurin-1 activation on hepatic IRI.
Methods: A model of 70% segmental warm hepatic IRI was used in mice and rats with conventional whole-body (Ninj1-/-) knockout and mice with hepatocyte-specific (Ninj1fl/fl Alb-Cre+) and myelomonocyte/Kupffer cell (KC)-specific (Ninj1fl/fl LysM-Cre+) knockout as well as their respective controls. The resulting injury was assessed using serum (AST, ALT, LDH) and histopathological (Suzuki score, TUNEL staining) markers for hepatic IRI. Treatment of WT mice with glycine or clone D1, an antagonizing antibody, both known to preserve plasma membrane integrity in a NINJ1-dependent manner, was used to assess pharmacological inhibition in vivo. To mimic IRI in vitro, we cultivated isolated and purified murine hepatocytes and KCs under hypoxia/reoxygenation conditions (H/R) and quantified LCD. Non-denaturing gel electrophoresis (BN-PAGE) was used to assess NINJ1 activation in liver samples from IRI- and sham-treated mice and biopsies from human liver grafts (hLG) pre-implantation and post-reperfusion.
Results: NINJ1 deficiency in both mice and rats led to a significant reduction of all assessed parameters for hepatic IRI. Accordingly, pharmacological inhibition protected mice against IRI in vivo. Both hepatocytes and KCs undergo H/R-induced LCD contributing to hepatic IRI in vivo. Moreover, NINJ1 activation in post-reperfusion biopsies from hLG was markedly increased in recipients with EAD (peak AST >5,000 U/l postoperatively) compared to recipients with low AST levels (<200 U/l).
Conclusion: Across species, we demonstrate that NINJ1 mediates hepatic IRI, which can be prevented by pharmacological targeting of NINJ1. Moreover, in hLG recipients, EAD was associated with increased NINJ1 activation. Thus, we propose NINJ1 as a new target to treat hepatic IRI and improve patient outcomes during liver transplantation.

09:42 – 09:48

KV 131 Die Supplementation der kurzkettigen Fettsäure Propionat ist mit einer Verbesserung des Liver Frailty Index bei Patienten mit Leberzirrhose assoziiert

Laura Buttler (Hannover)

KV 131 Die Supplementation der kurzkettigen Fettsäure Propionat ist mit einer Verbesserung des Liver Frailty Index bei Patienten mit Leberzirrhose assoziiert

L. Buttler1, S.K. Mrowietz1, J.C. Eichholz1, K. Deterding1, K. Port1, H. Wedemeyer1,2,3, M. Vital4,2, K.L. Hupa-Breier1, B. Maasoumy1,2

1Klinik für Gastroenterologie, Hepatologie, Infektiologie und Endokrinologie, Medizinische Hochschule Hannover, Hannover, Deutschland, 2German Center for Infection Research (DZIF), Hannover-Braunschweig, Hannover, Deutschland, 3RESIST Cluster of Excellence, Hannover Medical School, Hannover, Hannover, Deutschland, 4Institute for Medical Microbiology and Hospital Epidemiology, Hannover Medical School, Hannover, Deutschland

Einleitung: Patienten mit Leberzirrhose entwickeln häufig eine Dysbiose des intestinalen Mikrobioms, die mit einer verminderten Produktion von kurzkettigen Fettsäuren (SCFA) durch die Darmbakterien einhergeht. Zudem leiden sie oft an körperlicher Gebrechlichkeit (Frailty), was mit einer schlechten Prognose assoziiert ist. Tiermodelle geben Hinweise auf eine Verbesserung der Muskelfunktion durch die Substitution von SCFA. Der Nutzen einer SCFA-Supplementation bei Leberzirrhose ist bisher allerdings unerforscht.
Ziele: Unser Ziel war es, den Einfluss der Substitution der kurzkettigen Fettsäure Propionat auf die Frailty bei Zirrhose-Patienten zu untersuchen.
Methodik: In einer prospektiven Studie (NCT06634186) erfolgte bei 38 Patienten mit Zirrhose eine achtwöchige Supplementation von 1000 mg Propionat täglich. Primärer Endpunkt war die Verbesserung des Liver Frailty Index (LFI). Zusätzlich wurden Änderungen der Lebensqualität (SF-36 Fragebogen), der Inflammation (Interleukin-6) sowie der Sarkopenie (Phasenwinkel und Körperzellmasse) evaluiert.
Ergebnis: Die untersuchten Patienten waren im Median 62 Jahre alt und hatten einen MELD-Score von 9 Punkten. Acht Patienten hatten einen MELD-Score von über 15 Punkten. Der LFI betrug initial im Median 3,8 Punkte, sodass der Großteil der Kohorte (n=25; 66%) als pre-frail einzustufen war.
Im Hinblick auf den primären Endpunkt war die Einnahme von Propionat mit einer signifikanten Verbesserung des LFI assoziiert (p=0,009). Dabei nahm dieser von 3,8 (Interquartilsabstand (IQ): 3,3-4,4) auf 3,5 (IQ: 3,0-4,2) Punkte ab. Passend dazu stieg der Anteil der robusten Patienten von 18% auf 29%, während der Anteil der pre-frailen Patienten von 66% auf 56% abnahm.
Die körperliche Lebensqualität blieb im Studienverlauf stabil und lag im Median bei 39% (p=0,40). Hervorzuheben ist, dass es zu einem statistisch signifikanten Anstieg der psychischen Lebensqualität von 48% auf 54% kam (p=0,03). Veränderungen der Körperzellmasse, welche initial im Median bei 25 kg lag (IQ: 22-31; p=0,87), oder des Phasenwinkels, der initial 4,8 Grad betrug (IQ: 4.3-5.4; p=0,15) konnten nicht festgestellt werden. Zudem zeigten sich keine Änderungen der Interleukin-6 Konzentration (p=0,68).
Schlussfolgerung: Die erstmals bei Leberzirrhose durchgeführte Substitution der kurzkettigen Fettsäure Propionat war in unserer Pilot-Studie mit einer signifikanten Verbesserung des Liver Frailty Index und der Lebensqualität assoziiert.

Baseline-Charakteristika

Patients (n=38)
Alter (Jahre) 61.5 (52.9-69.9)
Männliches Geschlecht 19 (50.0)
Ätiologie
– ALD
– MetALD
– MASLD
– Viral
– Kryptogen
– Sonstige

  • 10 (26.3)
  • 5 (13.2)
  • 3 (7.9)
  • 4 (10.5)
  • 5 (13.2)
  • 11 (28.9)
MELD Score 9 (7-14)
Child Pugh Score 5 (5-6)
Laborwerte
Thrombozyten (Tsd/µl) 98.5 (70.8-163.0)
INR 1.1 (1.1-1.3)
Natrium (mmol/l) 139 (136-140)
Bilirubin (µmol/l) 16.0 (11.8-26.5)
Kreatinin (µmol/l) 86.0 (67.5-114.8)
Interleukin-6 8.0 (4.0-16.8)
Serum-Cholinesterase (kU/l) 4.8 (3.5-6.5)
Albumin (g/l) 36.0 (32.8-42.0)
Frailty Untersuchung
Liver frailty index 3.8 (3.3-4.4)
  • Robust
  • Pre-frail
  • Frail
  • 7 (18.4)
  • 25 (65.8)
  • 6 (15.8)
Ernährungsstatus
Body Mass Index (kg/m2) 27.2 (23.5-31.5)
Phasenwinkel (°) 4.8 (4.3-5.4)
Körperzellmasse (kg) 25.2 (21.6-31.0)
Kategoriale Variablen: Anzahl (Prozent), kontinuierliche Variablen: Median (Interquartilsabstand).

Abbildung 1 illustriert, dass die achtwöchige Supplementation der kurzkettigen Fettsäure Propionat mit einer signifikanten Verbesserung des Liver Frailty Index assoziiert war.
Abbildung 2 zeigt, dass die körperliche Komponente der Lebensqualität während der achtwöchigen Propionat-Substitution konstant blieb, während die psychische Lebensqualität signifikant anstieg.

Kurzvortragssitzung

KI und Bildgebung bei Pankreasraumforderung

08:30 – 09:33

Fr 19.09.

Seminarraum 6 + 7

Open Accordion - Icon Close Accordion - Icon

Vorsitz: Frauke Fritze-Büttner (Berlin) und Anselm Kunstein (Düsseldorf)

08:30 – 08:35

KV 178 Retrospektive Formulierung und Validierung einer Tumorboardempfehlung für Pankreaskarzinomprimärfälle durch ein Open-Source-KI-Modell

Till Kaltofen

KV 178 Retrospektive Formulierung und Validierung einer Tumorboardempfehlung für Pankreaskarzinomprimärfälle durch ein Open-Source-KI-Modell

T. Kaltofen1, G. Glehr1, N. Bogovic1, L. Schurr1, A. Türkoglu1, K. Schmidt1, H.-J. Schlitt1, K. Wohlfart1

1Universitätsklinikum Regensburg, Klinik und Poliklinik für Chirurgie, Regensburg, Deutschland

Einleitung: Künstliche Intelligenz (KI) hat nicht nur in unser alltägliches Leben Einzug gehalten, sondern ist auch in allen Wissenschaftsdisziplinen auf dem Vormarsch. Die möglichen Implikationen in der Medizin sind mannigfaltig. Eine bis dato zwar teilweise beforschte aber kaum klinisch implementierte potentielle Fähigkeit von KI ist die Formulierung einer Therapieempfehlung. Sogenannte Large Language Models bieten sich dafür grundlegend an.
Ziele: Im Rahmen dieser Arbeit sollen retrospektiv Tumorboardempfehlungen für Pankreaskarzinomprimärfälle, die im Jahr 2023 im viszeralonkologischen Zentrum des Universitätsklinikums Regensburg behandelt wurden, erstellt und validiert werden.
Methodik: Ein standardisierter Textbaustein mit anonymisierten Patientendaten, wie zur Tumorboardanmeldung üblich, wird dem Open-Source-KI-Modell Llama3-Med42-8B zur Verfügung gestellt. Bei dieser Form von KI-Modellen ist der Quellcode frei zugänglich und die Entscheidungsrationale kann reproduziert werden. Es basiert auf Metas LLaMA-3-Architektur, verfügt über acht Milliarden Parameter und wurde durch M42 Health mit kuratierten, frei-zugänglichen medizinischen Datensätze trainiert. Aktuell ist es nicht für den klinischen Einsatz zugelassen. In einer ersten Auswertung wird das KI-Modell aufgefordert, eine Freitextantwort als Therapieempfehlung zu formulieren. In der zweiten Auswertung soll es aus vorgegebenen leitliniengerechten Therapieoptionen eine Empfehlung auswählen. Abschließend werden die KI-generierten Empfehlungen mit den vorhandenen Tumorboardempfehlungen des viszeralonkologischen Zentrums abgeglichen und die Übereinstimmungsquote ausgewertet.
Ergebnis: Im Jahr 2023 wurden 46 Pankreaskarzinomprimärfälle am Universitätsklinikum Regensburg behandelt. Zum Zeitpunkt der Abstracteinreichung ist erst eine Teilmenge der Fälle durch das Modell bearbeitet worden. Hierbei zeigt sich bereits eine relevante Übereinstimmungsquote mit den tatsächlichen Empfehlungen und teilweise ein ergänzender leitlinienbasierter Zusatz.
Schlussfolgerung: Bei insuffizienter Datenlage für die praktische Nutzung von KI zur Formulierung von Therapieempfehlungen, trägt diese Arbeit dazu bei, das Defizit im onkologischen Kontext zu verringern. Trotz vielversprechender Ergebnisse muss eine klinische Implementierung prospektiv untersucht und ethisch kritisch diskutiert werden.

08:37 – 08:42

KV 180 Clinical decision-making using chatgpt-4 in pancreatic cancer

Ole Henrik Fiete Gehrisch (Hamburg)

KV 180 Clinical decision-making using chatgpt-4 in pancreatic cancer

O.H.F. Gehrisch1, K. Kirkgöz1, A. Willner1, F.G. Uzunoglu1, M. Sinn2, J. Bardenhagen1, M.R. Götz1, F. Nickel1, A. Nießen1, T. Hackert1, T. Welsch1,3

1University Medical Center Hamburg-Eppendorf, Department of General, Visceral and Thoracic Surgery, Hamburg, Deutschland, 2University Medical Center Hamburg-Eppendorf, II. Department of Medicine, Hamburg, Deutschland, 3Krankenhaus Nordwest Frankfurt, Department of General, Visceral and Tumor Surgery, Frankfurt am Main, Deutschland

Introduction: With the advent of large language models, which are trained on extensive data sets of human-generated texts, different studies have demonstrated AI to be a useful tool in clinical-decision making. Since its launch in March 2024 ChatGPT-4 (OpenAI), has demonstrated superior capabilities compared to its predecessors. Whether ChatGPT-4 can assist clinical decision-making in patients with pancreatic cancer remains to be determined.
Objective: This study aims to assess the concordance between therapeutic decisions generated with ChatGPT-4 and those of a multidisciplinary tumor board (MDT) in patients with newly diagnosed pancreatic cancer.
Methods: Retrospectively collected patient data from tumor board referrals of newly diagnosed pancreatic cancer cases were transferred to a clinical data matrix and entered into ChatGPT-4, along with a request for a therapeutic recommendation. Following the initial output, 41 abstracts of key RCTs relevant to pancreatic cancer treatment were added, prompting ChatGPT to reassess its recommendation. Concordance between ChatGPT and the multidisciplinary tumor board (MDT) was evaluated both before and after literature input.
Results: Between 09/2024 and 03/2025, 45 patients with newly diagnosed pancreatic cancer were enrolled in this study. Concordance between ChatGPT and the MDT was evaluated both before and after additionally supplementing ChatGPT-4 with 41 high-ranking RCT abstracts. The initial concordance rate for treatment recommendations between ChatGPT-4 and MDT was 64.4%. Following literature-based prompting, the rate was 62.2%, with no significant difference between the pre- and post-prompting group. A comparison of patient characteristics between matched and unmatched groups also revealed no significant statistical differences.
Conclusion: In patients with pancreatic cancer, a structured clinical data matrix enables ChatGPT-4 to generate high-quality treatment recommendations. ChatGPT-4 demonstrated a concordance rate of 64.4% with MDT recommendations, which remained comparable (62.2%) even after supplementation with relevant literature. No significant differences were observed in concordance rates or patient characteristics between matched and unmatched groups. These findings suggest that ChatGPT-4 aligns substantially with guideline-based expert recommendations and may therefore serve as a valuable tool along the clinical decision-making process in patients with newly diagnosed pancreatic cancer.

08:44 – 08:49

KV 181 Präoperative Vorhersage der postoperativen Pankreasfistel nach Pankreaskopfresektion mittels Radiomics und maschinellem Lernen auf Grundlage computertomographischer Diagnostik

Johannes D. Kaiser

KV 181 Präoperative Vorhersage der postoperativen Pankreasfistel nach Pankreaskopfresektion mittels Radiomics und maschinellem Lernen auf Grundlage computertomographischer Diagnostik

J.D. Kaiser1, M. Benndorf2, E. Biesel1, C. Neubauer2, S. Fichtner-Feigl1, F. Bamberg2, U. Wittel1, J. Neubauer2

1Universitätsklinik Freiburg, Department Allgemein- und Viszeralchirurgie, Freiburg, Deutschland, 2Universitätsklinik Freiburg, Department für interventionelle und diagnostische Radiologie, Freiburg, Deutschland

Einleitung: Die postoperative Pankreasfistel (POPF) ist eine der häufigsten Komplikationen nach Pankreaskopfresektion und kann für den Patienten lebensbedrohlich sein. Die präoperative Identifizierung von Hoch-Risiko Patient*Innen ist für ein patientenzentriertes Therapiekonzept entscheidend.
Ziele: In dieser Studie wurde mittels maschineller Lernverfahren und Radiomics untersucht, ob postoperative Pankreasfisteln und die postoperative Amylase-Dynamik in der Drainageflüssigkeit nach Pankreaskopfresektion auf Grundlage präoperativer Bildgebung vorhergesagt werden können. Weiter wurde untersucht ob das POPF-Vorhersagemodell dem konventionellen Score nach Roberts et al. überlegen ist.
Methoden: Es wurden 68 Patienten eingeschlossen. Die Extraktion der Radiomics-Features der Bauchspeicheldrüse erfolgte aus der arteriellen Phase der Computertomographie mit einer Schichtdicke von 1 mm. Für das POPF-Prädiktionsmodell (PPM) und das Amylase-Prädiktionsmodell (APM) wurden Features mit der Entstehung von POPF bzw. den postoperativen maximalen Amylasewerten in der Drainageflüssigkeit bei einem Cut-off von 1000U/l korreliert. In der PPM wurden klinische Parameter analag zu dem Score nach Roberts et al. eingeschlossen. Für unsere Modelle wurden nur dir Features mit der höchsten Korrelation mit POPF ausgewählt, wobei Autokorrelationen kontrolliert und die Bonferroni-Korrektur für die P-Werte angewendet wurde. Zur Bewertung der resultierenden Vorhersagemodelle wurde eine ROC-Analyse und ein Vergleich zwischen Roberts Score und PPM durchgeführt.
Ergebnisse: Das POPF-Vorhersagemodell erzielte eine AUC von 0,897 (CI = 82,3-97,1%). Die AUC des PPM war höher als die des Roberts-Scores. Der Versuch, die postoperative Amylase-Dynamik in der Drainageflüssigkeit vorherzusagen, erzielte eine AUC von 0,936 (C I= 88%-99,1%).
Schlussfolgerungen: Die präoperative Vorhersage der POPF- und Amylase Dynamik in der Drainagenflüssigkeit mithilfe von Radiomics und maschinellem Lernen zeigt vielversprechende Ergebnisse. Beide Modelle bieten neue Ansätze für das klinische Management von POPF.Heatmap der 86 Pyradiomics features mit Markierung der signifikantesten FeaturesErgebnisse des POPF-Prädiktionsmodells in Gegenüberstellung zu Roberts et al.

08:51 – 08:56

KV 182 Malignant transformation from IPMN to invasive IPMN and PDAC is characterized by distinct shifts in body composition – an AI-based body composition analysis

Anastasia Chernysheva

KV 182 Malignant transformation from IPMN to invasive IPMN and PDAC is characterized by distinct shifts in body composition – an AI-based body composition analysis

A. Chernysheva1, M. Sieren2, J. Schütte3, S. Mogadas2, L. Berkel4, H. Grasshoff5, T. Sauer3, K.C. Honselmann1, U.F. Wellner1, E. Dazert6, N.C. von Bubnoff6, R. Deck7, C. Lill7, L. Wagner7, T. Keck1, R. Hosch8, F. Nensa4, T. Gemoll3, R. Klöckner2, L. Bolm1

1Department of Surgery, University Medical Center Schleswig-Holstein, Campus Lübeck, Lübeck, Deutschland, 2Department of Interventional Radiology, University Medical Center Schleswig-Holstein, Campus Lübeck, Lübeck, Deutschland, 3Section for Translational Surgical Oncology and Biobanking, Department of Surgery, University Medical Center Schleswig-Holstein, Campus Lübeck, Lübeck, Deutschland, 4Institute of Radiology and Nuclear Medicine, University Medical Center Schleswig-Holstein, Campus Lübeck, Lübeck, Deutschland, 5Department of Rheumatology and Clinical Immunology, University Medical Center Schleswig-Holstein, Campus Lübeck, Lübeck, Deutschland, 6Department of Hematology and Oncology, University Medical Center Schleswig-Holstein, Campus Lübeck, Lübeck, Deutschland, 7Institute of Social Medicine and Epidemiology, University of Lübeck, Lübeck, Deutschland, 8Institute for Artificial Intelligence in Medicine, University Hospital Essen, Lübeck, Deutschland

Introduction: Intraductal papillary mucinous neoplasms (IPMN) are cystic lesions of the pancreas that may undergo malignant transformation. A comprehensive characterization of body composition has not been performed in patients with non-invasive IPMN as compared to invasive IPMN or pancreatic ductal adenocarcinoma (PDAC) yet.
Patients and Methods: Patients with IPMN, invasive IPMN and PDAC were identified from our prospectively maintained institutional database. Analyzing patients’ routine CT scans at the time of diagnosis, body compartments were automatically segmented with a validated AI-based body composition algorithm (BCA), and body composition parameters including adipose tissue compartments, muscle and bone were quantified. Body composition measures were compared between patients with IPMN, invasive IPMN and PDAC.
Results: A total of 181 patients were identified, 53 (29.3%) had IPMN, 16 (8.8%) had invasive IPMN, and 112 (61.9%) had PDAC. Median age was 68 (range 39-87) and 51.9% (n=94) of the patients were female. Mean BMI in all patients was 25.3 kg/m2, BMI values were comparable for patients with IPMN (24.6 kg/m2), invasive IPMN (24.7 kg/m2), and PDAC (25.5kg/m2). Comparing patients with IPMN and invasive IPMN, there was a trend for more pronounced visceral obesity (mean 0.31 vs. 0.33, p=0.055). In contrast, subcutaneous obesity was more common among IPMN patients (0.59 vs. 0.58, p=0.045). There was no difference regarding sarcopenia measures between the two groups. Patients with PDAC as opposed to IPMN had considerably higher rates of visceral obesity (0.68 vs. 0.59, p=0.015). In contrast, IPMN patients displayed higher rates of subcutaneous obesity than PDAC (0.58 vs. 0.56, p=0.013). There was a trend for more pronounced sarcopenia in PDAC patients as compared to IPMN (1.63 vs. 1.71, p=0.083). Comparing body composition parameters between PDAC and invasive IPMN, no statistically significant differences were detected for the adipose tissue, muscle and bone compartments.
Conclusion: We performed the first analysis systematically by comparing objectively derived body composition measures between IPMN, invasive IPMN, and PDAC. IPMN as compared to malignant lesions was characterized by distinct body composition profiles. Invasive IPMN and even more so PDAC was associated with cancer body composition markers visceral obesity and sarcopenia. Body composition parameters may therefore be an important tool for early detection of malignancy in IPMN.

08:58 – 09:03

KV 183 Bevölkerungsbasierte MRT-Längsschnittstudie zur Bedeutung des erweiterten Pankreashauptganges ≥ 5 mm im Hinblick auf das (IPMN-assoziierte)* Pankreaskarzinom (SHIP-Studie)

Fabian Yazdi (Schwerin)

KV 183 Bevölkerungsbasierte MRT-Längsschnittstudie zur Bedeutung des erweiterten Pankreashauptganges ≥ 5 mm im Hinblick auf das (IPMN-assoziierte)* Pankreaskarzinom (SHIP-Studie)

F. Yazdi1, R. Bülow2, S.A.R. Shahvaran1, H. Völzke3, F. Grassmann4, A. Aghdassi5, D. Schmitz1

1Helios Kliniken Schwerin, Universitärer Campus der Medical School Hamburg, Abteilung für Gastroenterologie und Infektiologie, Schwerin, Deutschland, 2Universitätsmedizin Greifswald, Diagnostische Radiologie und Neuroradiologie, Greifswald, Deutschland, 3Universitätsmedizin Greifswald, Institut für Community Medicine, Greifswald, Deutschland, 4Health and Medical University Potsdam, Institut für Medizinische Statistik, Potsdam, Deutschland, 5Universitätsmedizin Greifswald, Klinik für Innere Medizin A, Greifswald, Deutschland

Einleitung: Eine Pankreashauptgangerweiterung (PHGE) ≥ 5 mm gilt als möglicher Hinweis auf eine Hauptgang-IPMN, welche mit der Entwicklung eines Pankreaskarzinomes einhergehen kann. Über die Prävalenz und den natürlichen Verlauf einer PHGE in der Allgemeinbevölkerung ist bislang wenig bekannt.
Ziel: Ziel dieser Studie war es daher, die im Rahmen der Study of Health in Pomerania (SHIP) in Deutschland erstellten MRT-Bilder von erwachsenen Personen der Allgemeinbevölkerung zu analysieren und mit Gesundheitsdaten zu korrelieren
Methodik: Der Durchmesser des Pankreashauptganges wurde an drei definierten Organabschnitten ausgemessen. Dabei wurden die Daten aus zwei Kohorten aus dem Zeitraum von 15 Jahren (2008 bis 2021) gepoolt. Bei Individuen mit einer PHGE ≥ 5 mm erfolgte anschließend eine Korrelation mit den Gesundheitsdaten.
Ergebnisse: 6055 MRT-Bildsequenzen von Individuen im Alter von 20 bis 89 Jahren wurden ausgewertet. Die initiale Prävalenz einer PHGE ≥ 5 mm lag nach den Einschlusskriterien bei 81/2985 (2.7%). Der Durchmesser einer PHGE blieb im ersten Follow up nach 5 Jahren bei 20 von 82 (24,4 %) und im zweiten Follow up nach 10 Jahren bei 7 von 37 (18,9%) größenstabil. Bei lediglich 2/2985 (0.1%) der Individuen lag eine PHGE ≥ 10 mm vor. Bei 79/81 (97.5%) lag der Durchmesser zwischen ≥ 5 und < 10 mm. Die Inzidenz neu hinzugekommener PHGE ≥ 5 mm lag im ersten Follow up bei 34 von 2879 (1,2%) und im zweiten Follow up bei 5 von 639 (0,8%). 38 (1.3%) der Individuen sind im Verlauf an einem Pankreaskarzinom verstorben, die umfassende Assoziationsanalyse zu den Individuen mit PGHE steht noch aus und wird nachgereicht.
Schlussfolgerung: Eine PHGE von ≥ 5 bis < 10 mm („worrisome feature“) ist in der Allgemeinbevölkerung ein häufiger MRT-Zufallsbefund, eine PGHE ≥ 10 mm („high risk stigma“) findet sich hingegen selten. Nur weniger als ¼ der Individuen weisen im Follow up von bis zu 10 Jahren einen stabilen Durchmesser des Pankreashauptganges auf. Durchmesser und Dynamik einer PHGE bieten daher Ansatzpunkte zur Früherkennung eines Pankreaskarzinomes.

1. Studienablaufdiagramm (Flow-Chart) Kohorte SHIP-TREND 0-1 MRCP,Magnetresonanz-Cholangiopankreatikographie; SHIP, Studie zur Gesundheit in Pommern; Ganzkörper-Magnetresonanztomographie
2. Studienablaufdiagramm (Flow-Chart) Kohorte SHIP2 - SHIP4 MRCP,Magnetresonanz-Cholangiopankreatikographie; SHIP, Studie zur Gesundheit in Pommern; Ganzkörper-Magnetresonanztomographie

09:05 – 09:10

KV 184 Standardisierte Evaluierung des Mesopankreas bei Patienten mit Pankreaskopfkarzinom mittels Computertomographie

Stephan David

KV 184 Standardisierte Evaluierung des Mesopankreas bei Patienten mit Pankreaskopfkarzinom mittels Computertomographie

S. David1, S. Safi1, W.T. Knoefel1, F. Ziayee2

1Unklinikum Düsseldorf, Klinik für Allgemein-, Viszeral- und Kinderchirurgie UKD, Düsseldorf, Deutschland, 2Unklinikum Düsseldorf, Institut für Diagnostische und Interventionelle Radiologie, Düsseldorf, Deutschland

Einleitung: Das Mesopankreas (MP) ist bei der Mehrzahl der Pankreaskopfkarzinome (PDAC) tumorinfiltriert und spielt eine entscheidende Rolle für das Erreichen einer R0-Resektion. Dennoch bleibt es in aktuellen Resektabilitätskriterien, die primär die tumoröse Beziehung zu den viszeralen Gefäßen berücksichtigen, unberücksichtigt. Die Einführung des CRM-Konzepts im Rahmen des LEEP-Protokolls hat die Bedeutung zirkumferenzieller Tumorausdehnung für die chirurgische Radikalität verdeutlicht. Ziel dieser Studie war es, eine objektive, präoperative CT-basierte Methode zur quantitativen Beurteilung der MP Infiltration zu entwickeln und deren Korrelation mit dem histopathologisch gesicherten Infiltrationsstatus zu evaluieren.
Methoden: Es wurden retrospektiv CT-Daten von 173 PDAC-Patienten analysiert. Erfasst wurden die Dimensionen des MP (cranio-caudal, horizontal, dorso-ventral) sowie die mittlere Dichte in Hounsfield-Einheiten (HU) auf Höhe der maximalen Tumorausdehnung (Abb 1). Eine radiologische Kontrollgruppe bestand aus 19 Patienten ohne Pankreaserkrankung. Die histopathologische Aufarbeitung folgte standardisiert dem LEEP-Protokoll mit spezifischer Bewertung des MP-Infiltrationsstatus.
Ergebnisse: In 72,3 % der Fälle wurde eine histologisch gesicherte Infiltration des Mesopankreas festgestellt. Die mittlere Dichte des MP bei PDAC-Patienten betrug +3 HU und war signifikant höher als in der Kontrollgruppe (−33 HU; p < 0,001)

Table 1: Correlation analysis of geometric-extension data and density between the PDAC-Group and Reference-Group. Statistical significance calculated using the Mann-Whitney U Test. (p≤0.05 is significant).
PDAC
n=173
Reference
n=19
median (min.-max.) median (min.-max.) p-value
Cranio- caudal extent (mm) 61.5 (34.0-95.0) 62.0 (39.0-85.0) 0.545
Horizontal-SMA-extent (mm) 30.0 (2.0-63.0) 36.0 (15.0-55.0) 0.059

Horizontal-AA-extent
(mm)
37.0 (9.0-71.0) 39.0 (13.0-55.0) 0.368
Dorso-ventral-PV- extent-
(mm)
12.0 (2.0-28.0) 13.0 (7.0-23.0) 0.502
Dorsal-ventral-T-extent- (mm) 7.0 (2.0-26.0) 9.0 (3.0-14.0) 0.472
Density- (HU) 3.0 (-92.0-112.0) -33.0 (-82.0-7.0) <0.001

Eine erhöhte Dichte korrelierte signifikant mit dem Infiltrationsstatus (Cut-off −9,0 HU; OR = 2,7; p = 0,005). Diese Korrelation war in der Subgruppe der primär resektablen Patienten bestätigt, jedoch nicht in den borderline resektablen Fällen. Aktuelle NCCN-Resektabilitätskriterien zeigten keine signifikante Assoziation mit der tatsächlichen MP-Infiltration (p = 0,344). Eine reduzierte cranio-caudale und dorso-ventrale Ausdehnung des MP war signifikant mit einem positiven dorsalen Resektionsrand assoziiert (p = 0,018 bzw. p = 0,017).
Schlussfolgerung: Die derzeitigen Resektabilitätskriterien unterschätzen die Bedeutung des Mesopankreas als häufig infiltriertes Resektionsareal. CT-basierte Parameter wie Dichte und Ausdehnung bieten das Potenzial, den Infiltrationsstatus präoperativ verlässlich abzubilden. Ihre Integration in die präoperative Diagnostik könnte eine präzisere Risikostratifizierung ermöglichen und bislang als primär operabel eingestufte Hochrisikopatienten frühzeitig für eine neoadjuvante Therapie identifizieren.
Auswertug der CT Bilder : Zusehen ist das gelb markierte Mesopankreas und die eingezeichneten geometrischen Dimensionen

09:12 – 09:17

KV 185 Die Rolle der Anamnese und konsekutiver Bildgebung bei zystischen Läsionen des Panreas

Tobias Kleemann (Cottbus)

KV 185 Die Rolle der Anamnese und konsekutiver Bildgebung bei zystischen Läsionen des Panreas

T. Kleemann1, P. Podlesny2, P. Göltl2, M. Ebert2, S. Belle2, M. Hirth2

1Medizinische Universität Lausitz, 4. Medizinische Klinik, Cottbus, Deutschland, 2Universitätsklinikum Mannheim, II. Medizinische Klinik, Mannheim, Deutschland

Einleitung: Aufgrund des zunehmenden Einsatzes von Bildgebung in der Medizin werden immer mehr zystischen Pankreasläsionen detektieret, die neben einer ökonomischen Belastung auch eine diagnostische Herausforderung darstellen. Die zugrundeliegenden Veränderungen reichen von (semi-)malignen bis benignen Befunden und sind mitunter schwierig zu differenzieren.
Ziele: Wie kann die Behandlung von zystischen Läsionen des Pankreas verbessert werden? Welche Rolle spielt die Anamnese und eine konsekutive Bildgebung?
Methodik: In einer retrospektiven Studie haben wir alle Patienten mit Zysten des Pankreas am Universitätsklinikum Mannheim (n=284) untersucht und unsere Ergebnisse an einer Kontrollkohorte des Uniklinikums Cottbus (n=51) validiert.
Ergebnis: Im Vergleich zwischen Pankreaszysten, die zeitgleich in mittels Schnittbildgebung (CT/MRT) oder Endosonographie (EUS) untersucht wurden, zeigte sich bei 33% der Fälle eine kritische Abweichung von >30% und >5 mm (Abb. 1A). Vor allem Zysten <20mm wurden mittels CT/MRT signifikant kleiner gemessen (p<0.05; t-test; Abb. 1B-C). Die Detektion von worrysome features und high risk stigmata gelang vergleichbar gut mittels CT/MRT bzw. Endosonographie (p>0.05, X² test). Der Einsatz einer simultanen zweiten Bildgebung (Endosonographie bzw. CT/MRT) führte bei 31% zu einer Änderung der Behandlung bzw. der Nachsorge (Abb. 1D). Trotz des Einsatzes von z.T. mehrerer unterschiedlicher Bildgebungsmodalitäten, lag in unserer „real-world“ Kohorte die Übereinstimmung mit der Histologie nach Resektion lediglich bei 73%. Pseudozysten und walled-of necrosis waren die mit Abstand häufigsten Formen von Zysten des Pankreas, sofern sich anamnetisch eine chronische oder Z.n. akuter Pankreatitis eruieren ließ (80% vs. 10%; p<0.00001; X² test; Abb. 1E). Die Ergebnisse konnten im Wesentlichen in der Kontroll-kohorte bestätigt werden.
Schlussfolgerung: Die Behandlung von zystischen Läsionen des Pankreas ist herausfordernd, insbesondere da alle bildmorphologischen Tools eine beschränkte diagnostische Genauigkeit aufweisen. Der Anamnese sollte dabei mehr Gewicht eingeräumt werden, da sie einen hohen prädiktiven Wert bei bekannter Pankreatitis aufweist. In unklaren Fällen kann der Einsatz einer komplementären Bildgebung in der Entscheidungsfindung helfen. Die Endoskopie erscheint vor allem bei kleinen Zysten von Vorteil zu sein.

Zysten des Pankreas

09:19 – 09:24

KV 186 Trends in the treatment and survival of pancreatic cancer: Analysis of 23,339 patients diagnosed between 2010 and 2017

Marko Damm

KV 186 Trends in the treatment and survival of pancreatic cancer: Analysis of 23,339 patients diagnosed between 2010 and 2017

M. Damm1, M. Heinig2, J. Rosendahl1, P. Michl3, U. Haug2,4, S. Krug3

1Klinik für Innere Medizin I, Universitätsklinikum Halle, Halle, Deutschland, 2Leibniz-Institut für Präventionsforschung und Epidemiologie – BIPS, Klinische Epidemiologie, Bremen, Deutschland, 3Klinik für Innere Medizin IV, Universitätsklinikum Heidelberg, Heidelberg, Deutschland, 4Universität Bremen, Fachbereich für Human- und Gesundheitswissenschaften, Bremen, Deutschland

Introduction: With a rising incidence and unchanged poor prognosis, pancreatic cancer is increasingly becoming a focus of gastroenterological oncology, but there is a lack of real-world data. The aim of the current study was to investigate trends in survival and treatment patterns by analyzing German health claims data.
Methods: Pancreatic cancer patients diagnosed between 2010­ and 2017 were identified from the German Pharmacoepidemiological Research Database (GePaRD, approximately 20% of the German population). Data on demographics, tumor treatment within one year after diagnosis and survival were extracted.
Results: The study population comprised 23,339 patients with a median age of 74 years (IQR 66-80) and 44% with localized and 56% with metastatic disease. Overall, 52.4% received any chemotherapy and curative intended resection was performed in 28.3%. Neoadjuvant and adjuvant therapy were performed in 4.4% and 58.7% of the cases, respectively.
The median overall survival of the whole study population was 7.84 months. Patients diagnosed in the most recent period (2014-2017) had a significantly better prognosis (8.20 months (95%CI 7.97-8.43)) than patients who were diagnosed in the earlier period (2010-2013) (7.54 months (95%CI 7.31-7.70)), with an age-, sex- and stage-adjusted hazard ratio of 0.87 (95% CI 0.85-0.9). Over time, the most pronounced treatment trends have affected patients with localized disease, with increasing frequency of resection and neoadjuvant therapy and decreasing frequency of best supportive care.
Conclusion: This comprehensive insight into survival and treatment of pancreatic cancer in Germany shows presumably medically beneficial therapy trends with, however, only marginal improvements in prognosis to date.Therapietrends von 23.339 Patienten mit Pankreaskarzinom. Die einzelnen Abbildungen zeigen die Trends in der Häufigkeit der Anwendung bestimmter Therapien über die Jahre 2010 bis 2017. A) Resektion, B) Jegliche Chemo-/Radiotherapie, C) Neoadjuvante Therapie, D) Adjuvante Therapie, E) Best Supportive Care.Vergleich des medianen Gesamtüberlebens (mOS) von Patienten, die in einem früheren Zeitraum die Diagnose Pankreaskarzinom erhielten (2010-2013) und Patienten die die Diagnose in einer späteren Periode bekamen (2014-2017). Es zeigt sich ein signifikant verbessertes Überleben der Patienten aus der Periode von 2014-2017 (p<0.0001).

09:26 – 09:31

KV 187 Transkutane Elastographie des Pankreas bei chronischer Pankreatitis

Felix Stroop (Mannheim)

KV 187 Transkutane Elastographie des Pankreas bei chronischer Pankreatitis

F. Stroop1, P. Göltl1, H. Hardt1, M. Ebert1, M. Hirth1

1Universitätsklinikum Mannheim, II. Medizinische Klinik, Mannheim, Deutschland

Einleitung: Die transkutane Elastographie ist eine schnelle und nicht-invasive Methode zur Messung der Organsteifigkeit an einem, durch den Untersucher, festgelegten Ort („Point of interest“) mittels Ultraschall. In der Hepatologie ist die transkutane Elastographie eine häufige verwendete Untersuchung zur Detektion einer Leberzirrhose. Die Messung der Steifigkeit ist auch im Pankreas möglich.
Ziele: Wir vermuten, dass die transkutane Elastographie des Pankreas

  1. ein Prädiktor für eine hereditäre Genese der chronischen Pankreatitis darstellen kann. Hereditäre Formen zeichnen sich durch einen individuellen Pathomechanismus aus und wir vermuten, dass sie eine geringere Steifigkeit aufweisen als bei nicht-hereditäre Formen.
  2. Ein geeignetes Tool zum Monitoring der chronischen Pankreatitis darstellt, wobei ein zunehmender Gewebeumbau zu einer erhöhten Steifigkeit führen sollte.

Methodik: Wir führenten eine prospektive, monozentrische Studie mit 100 Patienten mit nachgewiesener chronischer Pankreatitis am Universitätsklinikum Mannheim durch. Die Steifigkeit des Pankreas wurde mittels transkutaner acoustic radiation force impulse am Kopf-Korpus-Übergabe gemessen.
Ergebnis: Insgesamt zeigt sich eine signifikant erhöhte Pankreassteifigkeit bei Patienten mit chronischer Pankreatitis im Vergleich zu gesunden Kontrollen (Abb. 1A-B). Daraus resultiert anhand der Pankreassteifigkeitsmessung ein positiv prädiktiver Wert von 93% zur Detektion einer chronischen Pankreatitis. Innerhalb der Gruppe der Patienten mit chronische Pankreatitis wiesen Patienten mit hereditärer Genese eine signifikant niedrigere Steifigkeit auf (Abb. 1C-D). Wir führten eine ROC-Analyse durch und konnten einen cut-off-Wert etablieren, der mit einer AUC von 0.9 Patienten mit hereditärer Genese identifizieren kann (Sensitivität 94%; Spezifität 78%, Abb. 1E).
Die Krankheitsschwere zeigt hingegen eine positive Korrelation mit der Pankreassteifigkeit (Abb. 2). Dabei war eine erhöhte Steifigkeit des Pankreas assoziiert mit einem geringeren Serum-Albumin-Konzentration, dem Bedarf einer stationären Behandlung, CP-typischen Komplikationen und einer erhöhten Wahrscheinlichkeit einer stationären Behandlung innerhalb von 1 Jahr nach erfolgter Elastographie.
Schlussfolgerung: Die transkutane Elastographie des Pankreas stellt eine vielversprechende und nicht-invasive Technik dar, mit der Patienten mit hereditärer Genese identifiziert werden können und die Erkrankungsaktivität abgeschätzt werden kann.

Elatographie und Ätiologie der CP

Erkrankungsaktivität und Elastographie bei CP

Kurzvortragssitzung

AEG & Magenkarzinom

17:05 – 18:33

Do 18.09.

Vortragsraum 11

Open Accordion - Icon Close Accordion - Icon

Vorsitz: Fabian Finkelmeier (Frankfurt am Main) und Jens Peter Hölzen (Münster)

17:05 – 17:11

KV 209 Real-World-Daten zur Erstlinientherapie der Helicobacter pylori-Eradikation in Deutschland: Ergebnisse aus dem Hp-EuReg mit Fokus auf die Prävention des Magenkarzinoms

Marino Venerito (Magdeburg)

KV 209 Real-World-Daten zur Erstlinientherapie der Helicobacter pylori-Eradikation in Deutschland: Ergebnisse aus dem Hp-EuReg mit Fokus auf die Prävention des Magenkarzinoms

M. Venerito1, A. Kahraman2, R. Rosania3, A. Link3, R. Vasapolli4, A. Cano-Català5, L. Moreira6, P. Parra7, O.P. Nyssen7, F. Megraud8, C. O’Morain9, J.P. Gisbert7

1Otto-von-Guericke-Universitätsklinikum, Magdeburg, Deutschland, 2MaxGrundig Privatklinik GmbH, Bühlerhöhe, Deutschland, 3Otto-von-Guericke Universitätsklinikum, Magdeburg, Deutschland, 4Hospital of the Ludwig Maximilians University of Munich, München, Deutschland, 5Althaia Xarxa Assistencial Universitària de Manresa, Manresa, Spain, Manresa, Spanien, 6Department of Gastroenterology, Hospital Clínic de Barcelona, Centro de Investigación Biomédica en Red de Enfermedades Hepáticas y Digestivas (CIBERehd), Barcelona, Spanien, 7Department of Gastroenterology, Hospital Universitario de La Princesa, Instituto de Investigación Sanitaria Princesa (IIS-Princesa), Universidad Autónoma de Madrid (UAM), Madrid, Spanien, 8INSERM U1312, BRIC, Université de Bordeaux, Bordeaux, France, Bordeaux, Frankreich, 9School of Medicine, Trinity College Dublin, Dublin, Ireland, Dublin, Irland

Einleitung: Helicobacter pylori (H. pylori) ist ein wesentlicher Risikofaktor für das Magenkarzinom. In Deutschland, einem Land mit mittlerem Erkrankungsrisiko, empfehlen die aktuellen S3-Leitlinien ein zielgerichtetes Test-and-Treat-Verfahren bei definierten Risikogruppen zur Prävention des Magenkarzinoms. Daten zur Umsetzung dieser Empfehlungen und zu eingesetzten Therapieformen in der klinischen Praxis sind bislang begrenzt.
Ziele: Ziel dieser Studie war es, Indikationen und Ergebnisse der H. pylori-Eradikationstherapie in deutschen Zentren im Rahmen des europäischen Registers Hp-EuReg zu analysieren – mit besonderem Fokus auf leitlinienbasierte Strategien zur Prävention des Magenkarzinoms.
Methoden: Wir analysierten retrospektiv Patient:innen, die an fünf deutschen Zentren, beteiligt am Hp-EuReg, zwischen Juni 2013 und Januar 2025 eine empirische Erstlinientherapie gegen H. pylori erhielten. Die Indikationen wurden nach Symptomen, endoskopischen Befunden und Krebsrisiko klassifiziert. Die Wirksamkeit der Eradikationstherapie wurde nach dem modified intention-to-treat-Prinzip erfasst. Eradikationsraten wurden abhängig von Regime und Therapiedauer mittels χ²-Test verglichen.
Ergebnisse: Unter 448 Patient:innen (53 % männlich, medianes Alter 55 Jahre) waren die häufigsten Indikationen nicht weiter abgeklärte Dyspepsie (33 %) und Dyspepsie mit unauffälliger Endoskopie (30 %). Peptische Ulzera wurden bei 18 % dokumentiert. Eine Eradikation zur Prävention des Magenkarzinoms erfolgte bei 5 %, darunter bei Patient:innen mit vorausgegangenem Magenkarzinom (0,9 %), mit familiärer Vorbelastung (2,0 %) und im Rahmen eines Hochrisiko-Screenings (1,3 %). Weitere Indikationen umfassten Eisenmangelanämie (4,0 %), Vitamin-B12-Mangel (0,7 %) und MALT-Lymphom (0,2 %). Am häufigsten kamen eine Triple-Therapie mit Amoxicillin/Clarithromycin (54 %) sowie eine bismuthbasierte Vierfachtherapie in Einmalkapsel (41 %) zur Anwendung. Bei 10-tägiger Therapiedauer erreichten beide Regime hohe Eradikationsraten (97,8 % vs. 97,0 %).
Schlussfolgerung: In dieser multizentrischen deutschen Kohorte erfolgte der Großteil der Eradikationstherapien symptomorientiert. In einem relevanten Anteil wurde die Prävention des Magenkarzinoms leitliniengerecht umgesetzt. Beide empfohlenen Erstlinientherapien erwiesen sich bei 10-tägiger Anwendung als hoch wirksam und spiegeln eine zunehmende Umsetzung risikoadaptierter Strategien in der deutschen Praxis wider.

17:13 – 17:19

KV 210 Lösliches Galectin-9 ist ein diagnostischer und prognostischer Biomarker für Adenokarzinome des Magens und gastroösophagealen Übergangs

David Digomann (Dresden)

KV 210 Lösliches Galectin-9 ist ein diagnostischer und prognostischer Biomarker für Adenokarzinome des Magens und gastroösophagealen Übergangs

D. Digomann1,2,3, C. Reiche1,2, A. Stammberger4, T. Willms1,2, L.S. Rudek5,6,7, A. Grabenkamp5,7, A. Klimova8,9, F. Merboth1, L. Natusch1,2,3, M. Schmitz2,4,3, C.J. Bruns5,7, H.A. Schlößer5,6,7, J. Weitz1,2,3, L. Seifert1,2,3, A.M. Seifert1,2,3

1Medizinische Fakultät und Universitätsklinikum Carl Gustav Carus, Technische Universität Dresden, Klinik für Viszeral-, Thorax- und Gefäßchirurgi, Dresden, Deutschland, 2National Center for Tumor Diseases (NCT), Dresden, Deutschland, 3Deutsches Krebsforschungszentrum (DKFZ), Deutsches Konsortium für Translationale Krebsforschung (DKTK), Partnerstandort Dresden, Dresden, Deutschland, 4Medizinische Fakultät und Universitätsklinikum Carl Gustav Carus, Technische Universität Dresden, Institut für Immunologie, Dresden, Deutschland, 5Uniklinik Köln, Allgemein-, Viszeral-, Thorax- und Transplantationschirurgie, Köln, Deutschland, 6Uniklinik Köln, Zentrum für Molekulare Medizin, Köln, Deutschland, 7Uniklinik Köln, Centrum für Integrierte Onkologie, Köln, Deutschland, 8Medizinische Fakultät und Universitätsklinikum Carl Gustav Carus, Technische Universität Dresden, Institut für Medizinische Informatik und Biometrie (IMB), Dresden, Deutschland, 9National Center for Tumor Diseases (NCT), Core Unit for Data Management and Analytics (CDMA), Dresden, Deutschland

Einleitung: Adenokarzinome des gastroösophagealen Übergangs (GEJ) und des Magens (GC) haben mit einer 5-Jahres-Überlebensrate von unter 30 % eine schlechte Prognose. Aktuelle Studien konnten einen signifikanten Überlebensvorteil durch die Blockade des Immuncheckpoints PD-1 nachweisen. Weitere Immuncheckpoints jenseits der PD-1/PD-L1-Achse werden aktuell untersucht. Begleitend werden bessere nicht-invasive Biomarker für die Diagnose und Therapiestratifizierung benötigt. Die Rolle löslicher Immuncheckpoints ist dabei weitestgehend unbekannt.
Ziele: In dieser Studie wurde die Rolle von löslichem Galectin-9 (sGal-9) und TIM-3 (sTIM-3) bei GC- und GEJ-PatientInnen untersucht.
Methodik: Serumproben von 158 PatientInnen mit verschiedenen Stadien von GC und GEJ sowie 20 gesunde ProbandInnen wurden mittels Luminex xMAP-Technologie untersucht. Die Ergebnisse wurden mittels Enzymimmunoassay (ELISA) bei insgesamt 310 GC-/GEJ-PatientInnen und 82 gesunden ProbandInnen untersucht. Zur Optimierung diagnostischer Cut-off-Werte wurde die Youden-J-Statistik verwendet. Ein Cox-Proportional-Hazards-Regressionsmodell wurde empirisch zur Optimierung prognostischer Schwellenwerte eingesetzt. Für Überlebensanalysen wurden der Kaplan-Meier-Schätzer und multivariate Cox-Regressionen verwendet.
Ergebnis: sGal-9 war im Serum von PatientInnen mit GC und GEJ im Vergleich zu gesunden ProbandInnen signifikant erhöht (P < 0.001). Die AUC der ROC-Analyse betrug 0.7 für sGal-9, und in Kombination mit sTIM-3 0.8. Die Kombination von sTIM-3 und sGal-9 zeigte dabei eine höhere diagnostische Genauigkeit als die etablierten Tumormarker CEA, CA19-9, und CA72-4. sTIM-3 und sGal-9 waren statistisch unabhängig vom Tumorstadium, jedoch hatten Patienten mit erhöhten Serumspiegel eine signifikant reduzierte Gesamtüberlebenszeit mit einer Hazard-Ratio von 1.77 (sTIM-3 high), 1.82 (sGal-9 high) und 2.27 (sTIM-3 high + sGal-9 high).
Schlussfolgerung: Lösliches Galectin-9, insbesondere in Kombination mit sTIM-3, kann als neuer nicht-invasiver Biomarker zur Diagnose und Prognoseabschätzung bei PatientInnen mit GC und GEJ verwendet werden.

17:21 – 17:27

KV 211 Collagen turnover biomarkers to predict outcome of patients with gastric cancer

Leonard Kaps (Homburg)

KV 211 Collagen turnover biomarkers to predict outcome of patients with gastric cancer

L. Kaps1, M.A. Genc2, M. Moehler2, S. Grabbe3, S.C. Sadiq1, P. Schneider3, J.M. Schattenberg1, D. Schuppan1, R.S. Pedersen4, M.A. Karsdal4, A. Maderer2, N. Willumsen4

1Saarland University Medical Center, Department of Medicine II, Homburg, Deutschland, 2University Medical Center of the Johannes Gutenberg-University, First Department of Medicine, Mainz, Deutschland, 3University Medical Center of the Johannes Gutenberg-University, Department of Dermatology, Mainz, Deutschland, 4Nordic Bioscience A/S, Herlev, Dänemark

Background: The tumor stroma plays a pivotal role in gastric cancers (GC). Circulating collagen turnover markers of type I collagen (reC1M), type III collagen (PRO-C3 and C3M), type IV collagen (C4G), type VIII collagen (PRO-C8 and TUM), type XI collagen (PRO-C11) and type XVII collagen (PRO-C17) may be used as potential non-invasive biomarkers.
Methods: Eight biomarkers of collagen turnover were assessed in 74 patients with GC and compared to 50 healthy volunteers. The diagnostic and prognostic value of the markers was evaluated for overall survival (OS) and progression-free survival (PFS).
Results: With the exception of C4G, all collagen turnover markers were significantly elevated (p<0.001) in the serum of patients with gastric cancer (GC) compared to healthy controls at baseline. C3M demonstrated the strongest discriminatory power, achieving an AUROC of 0.88 (95% CI 0.81; 0.95) with a balanced sensitivity (78%) and specificity (77%). Patients with high levels of reC1M (HR 2.69, 95% CI 1.18; 6.15), followed by C3M (HR 2.12, 95% CI 1.17; 4.17), PRO-C11 (HR 2.04, 95% CI 1.05; 3.98) and TUM (HR 1.91, 95% CI 0.98; 3.74) had a significantly shorter OS after adjusting for relevant risk factors, including CA 19-9 and CEA at baseline, age, presence of metastases, BMI, and sex. In contrast, none of the established tumor markers, CA 19-9, CEA, or CA 72.4 remained prognostic of OS. In a longitudinal analysis, patients who exhibited a reduction of greater than 20% in PRO-C3 and PRO-C11 biomarker levels from baseline to post-first CTX had a longer overall survival (OS) compared to non-responders.
Conclusion: The collagen turnover markers reC1M, C3M, TUM and PRO-11 were prognostic for OS in patients with GC, while the established tumor markers 19-9, CEA, or CA 72.4 had no prognostic value. C3M showed the best diagnostic performance to discriminate between patients with GC and controls.

17:29 – 17:35

KV 212 Pretherapeutic understaging in T2 N0 upper gastrointestinal cancers remains a clinical dilemma

Johannes Riebeling

KV 212 Pretherapeutic understaging in T2 N0 upper gastrointestinal cancers remains a clinical dilemma

J. Riebeling1, J. Kitz2, M. Leu3, A. Amanzada4, V. Ellenrieder4, M. Ghadimi1, A. König4, M. Grade1

1Universitätsmedizin Göttingen, Allgemein-, Viszeral- und Kinderchirurgie, Göttingen, Deutschland, 2Universitätsmedizin Göttingen, Institut für Pathologie, Göttingen, Deutschland, 3Universitätsmedizin Göttingen, Strahlentherapie und Radioonkologie, Göttingen, Deutschland, 4Universitätsmedizin Göttingen, Gastroenterologie und gastrointestinale Onkologie, Göttingen, Deutschland

Background: The optimal treatment strategy for cT2N0 carcinoma of the upper digestive tract remains a clinical challenge, primarily due to the lack of randomized clinical data and the limited reliability of pretherapeutic staging methods.
Aim of the project: This study aimed to assess the concordance between pretherapeutic endoscopic ultrasound (EUS) staging and final histopathology, and to identify potential clinicopathological risk factors associated with understaging.
Methods: Retrospectively all patients with cT2 cN0 carcinoma of the esophagus, gastroesophageal junction (GEJ), or stomach who underwent primary surgery between 2014 and 2024 at the University Medical Center in Göttingen were included. Besides comparing clinicopathological characteristics between understaged and correctly or overstaged patients, we analyzed the mean diameter of tumor-infiltrated lymph nodes and the size of corresponding lymph node metastases.
Results: A total of 52 patients met the inclusion criteria. 69.2% were male, and the majority of tumors were adenocarcinomas (90.4%). The most common tumor site was the GEJ (50%), followed by the stomach (40.4%), with a minority located in the distal esophagus (9.6%). In 25 cases (48.1%), final histopathology revealed understaging by EUS, while 27 cases (51.9%) were correctly staged or overstaged. Tumors of the GEJ and stomach were similarly understaged (11/25 vs. 13/25). Only one esophageal tumor was understaged. The mean age of understaged patients was 67.0 years compared to 66.2 years in the correctly or overstaged group (not significant). The mean BMI was 26.3 in understaged patients versus 26.6 in correctly or overstaged patients (not significant). The time interval between EUS and surgery was 14.8 days for understaged patients versus 10.6 days for the others. The N-category was more often understaged than the T-category (42.3% vs. 32.7%). Mostly both were understaged. Among the assessed clinical features, none were identified as significant risk factors for pretherapeutic understaging. However, preliminary results suggest that the majority of tumor-infiltrated lymph nodes in understaged patients measured less than 10 mm and that understaged tumors were primarily poorly differentiated.
Conclusions: Pretherapeutic EUS remains highly inaccurate for staging cT2N0 tumors of the upper digestive tract. In the absence of risk factors for understaging, neoadjuvant treatment strategies should be considered for this patient subgroup.

17:37 – 17:43

KV 213 Chirurgische Strategien beim potentiell kurativ resektablen AEG Typ II nach Siewert: Transhiatal erweiterte Gastrektomie versus Ivor Lewis Ösophagusresektion versus proximale Gastrektomie mit Double Tract Rekonstruktion nach Aikou und Nishi

Johannes Zacherl (Wien)

KV 213 Chirurgische Strategien beim potentiell kurativ resektablen AEG Typ II nach Siewert: Transhiatal erweiterte Gastrektomie versus Ivor Lewis Ösophagusresektion versus proximale Gastrektomie mit Double Tract Rekonstruktion nach Aikou und Nishi

J. Zacherl1,2, W. Radlspöck1, B. Soliman1, B. Strasser1, C. Marolt1, A. Beham1, L. Öhler3, C. Sitzwohl4

1St. Josef Krankenhaus, Chirurgie, Wien, Österreich, 2Sigmund Freud Privatuniversität, Wien, Österreich, 3St. Josef Krankenhaus, Onkologie, Wien, Österreich, 4St. Josef Krankenhaus, Anästhesie und Intensivmedizin, Wien, Österreich

Einleitung: Die Frage der optimalen OP-Methode für das Cardiakarzinom (AEG II) wird seit Jahrzehnten lebhaft diskutiert. Zumeist wird eine Ösophagusresektion (IL) oder eine transhiatal erweiterte Gastrektomie (TEG) durchgeführt. Inspiriert von asiatischen Berichten haben wir seit 2019 Erfahrung mit der proximalen Gastrektomie mit double tract Rekonstruktion (PG-DTR) gesammelt.
Ziele: Ergebnisbezogener Vergleich der drei Methoden in Hinblick auf die Erfüllung onkologischer Qualitätskriterien, auf Morbidität und Letalität und auf das rezidivfreie Überleben und Gesamtüberleben.
Methodik: Wir präsentieren eine retrospektive Analyse perioperativer Daten und Überlebensdaten von PatientInnen, die von 2016 bis 2024 wegen eines potentiell kurativ resektablen AEG II operiert wurden. Die drei OP Methoden werden bezüglich onkologischer Qualitätskriterien, perioperativer Daten und in Hinblick auf die Überlebensraten verglichen.
Ergebnisse: Insgesamt wurden 106 Pat. (33 Frauen, 73 Männer) mit AEG II operiert, davon 37, 31 und 38 mittels IL, TEG bzw. PG-DTR. Von diesen Pat. waren 16,2%, 19,4% bzw. 26,3% älter als 74 Jahre. Beim klinischen Staging lag bei 69,4%, 71% bzw. 52,6% ein UICC Stadium III-IV vor. Eine perioperative Chemotherapie erfolgte bei 86,5%, 80,6% bzw. 63,2%, eine präoperative Radiochemotherapie bei 2,7%, 3,2% bzw. 0%. Die R-0-Rate liegt bei 89,2%, 93,5% bzw. 94,7%.
Die mediane Anzahl untersuchter Lymphknoten ist 43, 33 bzw. 31, die mediane KH-Aufenthaltsdauer 11, 12 bzw. 12 Tage, die Rate schwerer Komplikationen 12.5, 26.7 bzw. 30% (p=0.09), die KH-Letalität 3.1, 0 bzw. 0% (gesamt 1.1%). Die Leakrate ist 3.3, 20 bzw. 9.4%. Die 1- und 3-Jahresüberlebensraten sind 93, 89 bzw. 93% und 78, 58 bzw. 82%.
Schlussfolgerung: Dies ist die erste uns bekannte westliche Single-Center-Serie, die die drei genannten Operationsverfahren zur Behandlung des potentiell kuraktiv resektablen AEG Typ II evaluiert. Obwohl es sich bei der PG-DTR im Vergleich mit IL und TEG um einen limitierten Eingriff handelt, war der Erfüllungsgrad der onkochirurgischen Qualitätsparameter bei allen drei OP-Methoden adäquat und vergleichbar. Sowohl bzgl. perioperativer Sicherheit als auch bzgl. der Überlebensdaten erscheint die PG-DTR als gleichwertige Alternative zur TEG und IL. Insgesamt ist in dieser Serie die Leakrate der Ösophagojejunostomien höher als die der Ösophagogastrostomien. Im stadienabhängigen Vergleich der Überlebensraten waren die drei Methoden gleichwertig.

17:45 – 17:51

KV 214 Retrospektive Datenanalyse des Tumorregressionsgrads und dessen prognostischen Bedeutung nach neoadjuvanter Chemotherapie beim Adenokarzinom des gastroösophagealen Übergangs (AEGs)

Akio Sakaki (Berlin)

KV 214 Retrospektive Datenanalyse des Tumorregressionsgrads und dessen prognostischen Bedeutung nach neoadjuvanter Chemotherapie beim Adenokarzinom des gastroösophagealen Übergangs (AEGs)

A. Sakaki1, V. Frese1, K. Rehmet1, M. Müller1

1Vivantes Klinikum Neukölln, Klinik für Chirurgie -Minimal-Invasive Chirurgie und Viszeralchirurgie, Berlin, Deutschland

Einleitung: Seit der MAGIC Studie von 2009 wurde die neoadjuvante Chemotherapie ein fester Bestandteil der multimodalen Therapie des lokal fortgeschrittenen Adenokarzinom des gastroösophagealen Übergangs (AEGs). Auf Grundlage der FLOT4 AIO-Studie und ESOPEC-Studie entwickelt sich die perioperative Chemotherapie nach dem FLOT Schema zur Standardtherapie in Deutschland. Der Tumorregressionsgrad (TRG) dient zur Beurteilung des Therapieeffekts der neoadjuvanten Behandlung. Einige Studien zeigen eine prognostische Bedeutung des TRGs auf, doch liegen unzureichend Daten aus nicht-universitären Einrichtungen vor.
Ziele:
Die prognostische Aussagekraft des TRGs wird mithilfe einer retrospektiven Analyse von prospektiv gesammelten Daten untersucht.
Methodik:
Unsere Datenbank (Zeitraum 2019 bis 2025) beinhaltet 84 Patienten mit einem lokal fortgeschrittenen AEG, die kurativ intendiert eine neoadjuvante Chemotherapie erhielten und operativ behandelt wurden. Für die Beurteilung des TRGs wurde der Grading-Score nach Becker et al verwendet. In Abhängigkeit vom TRG wurden die 5-Jahresüberlebensrate verglichen.
Ergebnis:
Das Patientenkollektiv unterteilte sich nach Siewert-Klassifikation (Typ I: 47, Typ II: 31 und Typ III:6). Durchgeführt wurden die folgenden Operationen: 68-mal Ivor-Lewis-Ösophagektomie,15-mal transhiatal erweiterte Gastrektomie und einmal McKeown-Ösophagektomie. Als Neoadjuvants wurden FLOT in 69 Fällen und FLO bei 11 Fällen gegeben, bei zwei weiteren wurde die FLOT abgebrochen. Zwei Patienten erhielten eine kombinierte Systemtherapie mit FLOT und Atezolizumab. Der postoperative TRG lautete: TRG 1a: 17 (20,2%), TRG 1b 14 (16,7%), TRG 2: 22 (26,2%) und TRG 3: 31 (36,9%). Die gesamte 5-Jahresüberlebensrate betrug 53,8%. Die Überlebenskurven unterschieden sich nicht zwischen TRG 1a und 1b sowie zwischen 2 und 3. Zwischen den Gruppen von “gutem” Ansprechen (TRG 1a und 1b) und “schlechtem” Ansprechen (TRG 2 und 3) ergab sich ein signifikanter Unterschied mit jeweiligen 5-Jahresüberlebensrate von 74,6% und 43,4% (p=0,0012).
Schlussfolgerung:
FLOT und FLO sind effektive neoadjuvante Chemotherapien und Basis der Weiterentwicklung der Systemtherapie. TRG ist ein guter Parameter für die Effektivität der neoadjuvanten Therapie und liefert zwischen gutem und schlechtem Ansprechen eine prognostische Aussage hinsichtlich Langzeitüberleben. Die Studiendaten leisten einen Beitrag zur Debatte über die Behandlungsstrategie, insbesondere bei Patienten mit schlechtem Ansprechen.
GesamtüberlebenVergleich nach TRG
Vergleich zwischen "gutem" und "schlechtem" Ansprechen

17:53 – 17:59

KV 215 EDGE-Gastric Arm A1: Phase 2 study of domvanalimab (D), zimberelimab (Z), and FOLFOX in first-line (1L) advanced gastroesophageal (GE) cancer

Anja Eylenstein (Martinsried b. München)

KV 215 EDGE-Gastric Arm A1: Phase 2 study of domvanalimab (D), zimberelimab (Z), and FOLFOX in first-line (1L) advanced gastroesophageal (GE) cancer

A. Eylenstein1, S. Young Rha2, D.-Y. Oh3, M. Pelster4, Z.A. Wainberg5, A. Sison6, J.R. Scott6, S. Nelson6, D. Wishengrad6, J. Rhee7, D.S.A. Nuyten6, Y. Janjigian8

1Gilead Sciences GmbH, Martinsried b. München, Deutschland, 2Yonsei Cancer Center, Yonsei University College of Medicine, Seoul, Korea, Republik, 3Seoul National University College of Medicine, Seoul, Korea, Republik, 4Sarah Cannon Research Institute at Tennessee Oncology, Nashville, Vereinigte Staaten, 5University of California, David Geffen School of Medicine, Los Angeles, Vereinigte Staaten, 6Arcus Biosciences, Hayward, Vereinigte Staaten, 7Gilead Sciences, Inc., Foster City, Vereinigte Staaten, 8Memorial Sloan Kettering Cancer Center, New York, Vereinigte Staaten

Background: Adding programmed cell death protein 1 (PD-1) inhibitors to chemotherapy confers a survival advantage in 1L GE cancers, yet long-term outcomes remain poor. Dual PD-1 and anti-T-cell immunoglobulin and ITM domain (TIGIT) blockade increases tumor specific CD8+ T cells, resulting in potent antitumor activity.
Aim of the Study: The ongoing, multi-arm, global EDGE-Gastric trial (NCT05329766) is evaluating the safety and efficacy of various combinations of the anti-TIGIT Fc-silent monoclonal antibody (mAb) domvanalimab (D) and the anti-PD-1 mAb zimberelimab (Z) in patients (pts) with locally advanced unresectable or metastatic gastric (G)/gastroesophageal junction (GEJ)/esophageal (E) adenocarcinoma. Arm A1 is fully enrolled and results from this 1L arm are presented here.
Methods: Pts received D 1600 mg intravenously (IV) every 4 weeks (Q4W) + Z 480 mg IV Q4W + FOLFOX (oxaliplatin 85 mg/m2 IV, leucovorin 400 mg/m2 IV, fluorouracil 400 mg/m2 IV bolus + 2400 mg/m2 continuous 46-48-hour IV infusion) Q2W. Primary endpoints were safety and objective response rate (ORR) per RECIST 1.1. Secondary endpoints included ORR by PD-L1 status and PFS.
Results: As of data cutoff (12Mar2024), 41 pts were enrolled. There was an even distribution of pts from Asia vs. rest of world; 63% had gastric cancer. Median (m) time on treatment was 11.4 months, 13 pts (32%) continue on therapy. Confirmed ORR was 59% (95% CI 42, 74) and mPFS was 12.9 months (9.8, 13.8). Outcomes by PD-L1 status are in Table 1. Most common treatment-emergent adverse events (TEAE) were neutropenia (61%), nausea (59%), and anemia (29%). Infusion related reactions (investigator assessed) were observed in 20% (n=8); n=2 related to D/Z. Grade ≥3 TEAEs occurred in 73% of pts; 59% and 15% related to FOLFOX and D/Z, respectively. Serious TEAEs occurred in 37% of pts: 5% related to FOLFOX and none to D/Z. TEAEs leading to FOLFOX discontinuation occurred in 26 pts (63%), and D/Z discontinuation in 4 pts (10%). There were no treatment related deaths.
Conclusions: Addition of DZ to FOLFOX showed encouraging ORR and mPFS, particularly in pts with PD-L1-high tumors. The regimen was well tolerated, with a similar AE profile to anti-PD-1+FOLFOX.
Table 1

Overall
(n=41)
PD-L1 High
(TAP ≥5%) (n=16)
PD-L1 Low
(TAP <5%) (n=24)

Confirmed ORR, % (95% CI) 59
(42, 74)
69
(41, 89)
50
(29, 71)
Median PFS, months (95% CI) 12.9 (9.8, 13.8) 13.8 (11.3, NE) 11.3 (5.5, 13.8)
12-mo PFS Rate, % (95% CI) 58
(42, 74)
69
(46, 92)
47
(25, 69)
Tumor samples from 40 pts were available for central PD-L1 testing; NE: not estimable; PFS: progression free survival; TAP: Tumor Area Positivity.

18:01 – 18:07

KV 216 Postoperative outcomes in octa- and nonagenarian gastric and esophageal cancer patients: a retrospective single center analysis with propensity score matching

Christian Hillebrecht (Freiburg)

KV 216 Postoperative outcomes in octa- and nonagenarian gastric and esophageal cancer patients: a retrospective single center analysis with propensity score matching

C. Hillebrecht1, J. Hipp1, A. Bührle1, M. Diener2, S. Fichtner-Feigl1, J. Kuvendjiska1

1Universitätsklinikum Freiburg, Klinik für Allgemein- und Viszeralchirurgie, Freiburg, Deutschland, 2Klinikum Nürnberg, Universitätsklinik der Paracelsus Medizinischen Universität, Klinik für Allgemein-, Viszeral- und Thoraxchirurgie, Nürnberg, Deutschland

Introduction: With the global aging population, surgical management of gastric and esophageal malignancies in the elderly – and especially – octogenarians necessitates evidence-based risk assessment. While curative resection remains pivotal, concerns persist regarding age-related postoperative morbidity and mortality.
Goal: This study aimed to retrospectively compare the incidence and spectrum of postoperative complications following surgery for esophageal or gastric cancer in patients aged over 80 years versus those under 80 years, and to identify factors associated with increased morbidity in the elderly cohort.
Methods: We analyzed 737 consecutive patients treated at a tertiary center between 2014–2023. Cohorts were stratified by age (80 years; 28 patients over 80 years were included), data included demographics, comorbidities, surgical approach (open vs. MIC), and postoperative complications graded by Clavien-Dindo classification. Multivariate logistic regression identified risk factors for morbidity. Statistical analyses included chi-squared tests for categorical variables and multivariate logistic regression to identify independent risk factors for complications. Propensity score matching was performed to reduce the risk of bias.
Results: While preoperative medical comorbidities (e. g. congestive heart failure) were more frequent in the elderly group, other preoperative patient and tumor characteristics (e.g. UICC stages, BMI, ASA-Score) and surgical approach were not different between groups. While there was a trend toward more Clavien-Dindo 3 complications in the elderly group and textbook-outcomes were more frequent in the younger group, this was not statistically significant. Comprehensive Complication Index was also not statistically different between groups and neither length-of-stay (ICU or overall) or time until oral refeeding differed significantly.
Conclusion: In conclusion, despite a higher prevalence of preoperative medical comorbidities in elderly patients, postoperative outcomes-including rates of major complications, textbook outcomes, overall complication burden, length of stay, and time to oral refeeding-were not significantly different between patients older than 80 years and those younger than 80 years. These findings suggest that advanced age alone should not be considered a contraindication for surgical treatment of gastric and esophageal cancer, provided that careful patient selection and perioperative management are ensured.

18:09 – 18:15

KV 217 Reduzierter Opioidbedarf und verbessertes perioperatives Outcome nach roboter-assistierter minimalinvasiver Gastrektomie versus offener Gastrektomie beim Magenkarzinom: Eine retrospektive Kohortenstudie

Jens Peter Hölzen (Münster)

KV 217 Reduzierter Opioidbedarf und verbessertes perioperatives Outcome nach roboter-assistierter minimalinvasiver Gastrektomie versus offener Gastrektomie beim Magenkarzinom: Eine retrospektive Kohortenstudie

J.P. Hölzen1, K. Winter1, A.-K. Eichelmann1, J. Merten1, C. Szardenings2, M. Juratli1, A. Pascher1, N. El-Sourani1

1Universitätsklinikum Münster (UKM), Klinik für Allgemein-, Viszeral- und Transplantationschirurgie, Münster, Deutschland, 2Universitätsklinikum Münster (UKM), Institut für Biometrie und Klinische Forschung, Münster, Deutschland

Einleitung: Die roboter-assistierte minimalinvasive Gastrektomie (RAMIG) etabliert sich als Alternative zur offenen Gastrektomie (OG) in der onkologischen Viszeralchirurgie. Evidenzbasierte Daten bezüglich analgetischer Anforderungen und perioperativer Parameter nach RAMIG sind derzeit insuffizient.
Ziele: Diese Studie zielt auf den Vergleich der Effektivität und Sicherheit von RAMIG versus OG ab, wobei der Fokus auf dem postoperativen Opioidkonsum, der Schmerzintensität und den Rekonvaleszenzparametern liegt.
Methodik: In diese retrospektive Kohortenstudie wurden 138 Patienten mit resektablem Magenkarzinom eingeschlossen, die zwischen Mai 2021 und August 2023 einer RAMIG (n = 39) oder OG (n = 99) bei fünftägiger PDA unterzogen wurden. Als primäre Endpunkte wurden die Schmerzintensität mittels Numerischer Rating-Skala (NRS) und der Opioidkonsum in Morphin-Milligramm-Äquivalenten (MME) definiert. Die sekundären Endpunkte umfassten die Intensiv-/Intermediate-Care-Verweildauer (ICU/IMC), Hospitalisierungsdauer, den intraoperativen Blutverlust, schwere Komplikationen (Clavien-Dindo ≥ 3b) und die Operationsdauer.
Ergebnisse: Das RAMIG-Kollektiv zeigte einen signifikant reduzierten Opioidkonsum (162,0 vs. 240,0 mg; p = 0,002) und niedrigere NRS-Werte bei Mobilisation an den postoperativen Tagen 5 und 7 (p = 0,011; p = 0,002) sowie in Ruhe am postoperativen Tag 7 (p = 0,005) bei fünftägiger Peridualanästhesie (ITT). Die ICU/IMC-Verweildauer war mit einer mittleren Differenz von 6,2 Tagen (p < 0,001) signifikant reduziert, ebenso die Gesamthospitalisierungsdauer mit einer mittleren Differenz von 8,5 Tagen (p < 0,001) und der Blutverlust (100 vs. 300 ml; p = 0,009). Schwere Komplikationen (inkl. Anastomoseninsuffizienzen) traten im RAMIG-Kollektiv seltener auf, jedoch ohne statistische Signifikanz (12,8% vs. 19,2%; p = 0,460). Die Operationsdauer war bei RAMIG prolongiert (7:12 vs. 4:49 h; p < 0,001).
Schlussfolgerung: RAMIG ist mit reduziertem Opioidbedarf, verbessertem Schmerzprofil, verkürzter ICU/IMC- und Hospitalisierungsdauer sowie vermindertem Blutverlust assoziiert, trotz prolongierter Operationszeit. Der minimalinvasive Ansatz ermöglicht eine akzelerierte Rekonvaleszenz im Sinne eines patientenzentrierten Konzepts. Limitiert durch das retrospektive Design liefert diese Studie dennoch wertvolle Daten für die Therapieentscheidung. Prospektive randomisierte Studien zur Validierung sind indiziert.

18:17 – 18:23

KV 218 Sarkopenie im Verlauf der neoadjuvanten Therapie als prognostischer Faktor bei Adenokarzinomen des Ösophagus und Magens

Jonas J. Staudacher (Berlin)

KV 218 Sarkopenie im Verlauf der neoadjuvanten Therapie als prognostischer Faktor bei Adenokarzinomen des Ösophagus und Magens

E.M. Köhne1, A. Dell’Orco2, L. Gutschick1, B. Siegmund1, C. Treese1, S. Daum1, A. Meddeb2,3, J.J. Staudacher1,3

1Charité – Universitätsmedizin Berlin, Klinik für Gastroenterologie, Infektiologie und Rheumatologie Campus Benjamin Franklin, Berlin, Deutschland, 2Charité – Universitätsmedizin Berlin, Klinik für Neuroradiologie, Berlin, Deutschland, 3Berlin Institute of Health at Charité, Berlin, Deutschland

Einleitung: Lokal fortgeschrittene Adenokarzinome des ösophagogastralen Übergangs und des Magens sind aggressive Tumoren mit einem 5-Jahres-Überleben von ca. 50 %. Eine Sarkopenie, ein Zustand reduzierter Muskelmasse und -funktion besteht bei diesen Patienten erschwerend häufig. Generell wird ein negativ-prognostischer Einfluss angenommen und ihre Bestimmung in aktuellen Leitlinien empfohlen. Daten zum temporalen Verlauf, insbesondere europäischer Patient:innen fehlen jedoch.
Ziele: Longitudinale Untersuchung der Sarkopenieprävalenz und ihres prognostischen Einflusses unter neoadjuvanter Therapie bei Patient:innen mit Adenokarzinom des ösophagogastralen Übergangs und Magens.
Methodik: In dieser retrospektiven monozentrischen Kohortenstudie wurden Patient:innen mit lokal fortgeschrittenem Adenokarzinom, die zwischen 2012 und 2023 neoadjuvant chemotherapiert und kurativ operiert wurden, eingeschlossen. Der Muskelquerschnitt auf Höhe des dritten Lendenwirbels wurde mittels validiertem KI-basiertem Algorithmus bestimmt. Eine Sarkopenie wurde anhand geschlechts- und größenadaptierter Cut-offs definiert. Verglichen wurden Patient:innen mit und ohne Sarkopenie bezüglich schwerer postoperativer Komplikationen (Clavien-Dindo ≥ Grad 3) und Gesamtüberleben.
Ergebnisse: Von 320 Patient:innen zeigte sich im Verlauf im Rahmen der neoadjuvanten Therapie numerisch eine Zunahme der Sarkopenie (bei Erstdiagnose 24,7 % vs. präoperativ 28,7 %, p = 0,099). Das Vorliegen einer Sarkopenie korrelierte sowohl bei Erstdiagnose als auch präoperativ mit schweren Komplikationen (ED: χ² = 5,01, p = 0,025; OP: χ² = 6,364, p = 0,012), jedoch war nur eine präoperativ vorliegende Sarkopenie signifikant mit einem kürzeren Gesamtüberleben assoziiert (median: 50,1 vs. 61,8 Monate, p = 0,011). Patient:innen mit unter Therapie aufgetretener Sarkopenie (n=33) hatten eine ähnlich schlechte Prognose wie durchgehend sarkopene (n=59) (50,4 vs. 49,7 Monate), hingegen war die Prognose von nur initial sarkopenen Patient:innen (n=20) vergleichbar mit durchgehend nicht-sarkopenen (n=208) (57,1 v s. 61,9 Monate).
Schlussfolgerung: Das Auftreten und Vorliegen einer Sarkopenie im Rahmen einer neoadjuvanten Chemotherapie zeigte sich in unserer Kohorte prognostisch negativ relevant für das Gesamtüberleben. Inwieweit in dieser Patient:innen Gruppe eine Verhinderung der Sarkopenie etwa durch eine optimierte Ernährungs- und Bewegungstherapie erreicht werden kann, müssen weitere Untersuchungen zeigen.

18:25 – 18:31

KV 219 Lebensqualität und klinischer Outcome nach proximaler Gastrektomie mit Double-Tract-Rekonstruktion vs. totale Gastrektomie

Kurzvortragssitzung

Pankreas: Komplikationsrisiko

16:30 – 17:50

Fr 19.09.

Seminarraum 14 + 15

Open Accordion - Icon Close Accordion - Icon

Vorsitz: Michael Hirth (Mannheim) und Ulrich F. Wellner (Lübeck)

16:30 – 16:36

KV 188 Preoperative hypoalbuminemia: a hidden predictor of morbidity and mortality after pancreatoduodenectomy

Abdulelah Al-Ahdal (Heidelberg)

KV 188 Preoperative hypoalbuminemia: a hidden predictor of morbidity and mortality after pancreatoduodenectomy

A. Ramouz1, A. Al-Ahdal1, G. Polychronidis1, A. Mehrabi1, M. Loos1, M.W. Büchler2, M. Al-Saeedi1

1Universitätsklinikum Heidelberg, Allgemein-, Viszeral und Transplantationschirurgie, Heidelberg, Deutschland, 2Botton-Champalimaud Pancreatic Cancer Centre, Lisbon, Portugal

Background: Pancreatoduodenectomy (PD) is the standard surgical approach for treating benign and malignant pancreatic lesions. Preoperative hyperbilirubinemia has been associated with adverse postoperative outcomes; however, the predictive significance of hypoalbuminemia remains unclear. This study aims to assess the impact of preoperative serum albumin and bilirubin levels on clinical outcomes in patients undergoing PD.
Methods: Patients who underwent partial or total PD at a single high-volume pancreatic surgery center were identified from a prospectively maintained database. Patients were categorized by preoperative serum albumin levels as normal (3.5–5 g/dL), mild hypoalbuminemia (3.0–3.49 g/dL), and moderate/severe hypoalbuminemia (<3.0 g/dL). Preoperative bilirubin levels were classified as mild (<10 mg/dL), moderate (10–15 mg/dL), or severe (>15 mg/dL). Postoperative complications, including pancreatic fistula (POPF), post-pancreatectomy hemorrhage (PPH), and mortality were analyzed across groups.
Results: Among 1149 patients undergoing PD, mild and moderate/severe hypoalbuminemia were observed in 42 and 32 patients, respectively. Moderate and severe hyperbilirubinemia occurred in 64 (5.6%) and 24 (2.1%) patients, respectively. Patients with moderate/severe hypoalbuminemia had significantly higher rates of grade C POPF (p<0.01) and PPH (p<0.01). Mortality rates at 30 and 90 days were 18.8% and 25%, respectively, among these patients, significantly higher than those with normal or mild hypoalbuminemia (p<0.01). Multivariate analysis identified moderate/severe hypoalbuminemia as an independent predictor of 30-day (odds ratio 4.9, p=0.03) and 90-day mortality (odds ratio 9.8, p<0.01).
Conclusion: Moderate/severe preoperative hypoalbuminemia is independently associated with worse outcomes, including increased postoperative complications and higher short-term mortality. These findings highlight the importance of hypoalbuminemia compared to hyperbilirubinemia, and emphasize the role preoperative optimization of nutritional and metabolic status in preventing hazardous events for patients undergoing PD.

16:38 – 16:44

KV 189 Präoperative Mangelernährung ist ein relevanter Faktor bei Patient:innen mit neuroendokrinen Tumoren des Pankreas – Erfahrungen an einem ERAS- und ENETS-Exzellenzzentrum

Alina Sophia Ritter

KV 189 Präoperative Mangelernährung ist ein relevanter Faktor bei Patient:innen mit neuroendokrinen Tumoren des Pankreas – Erfahrungen an einem ERAS- und ENETS-Exzellenzzentrum

A.S. Ritter1, F. Brodersen1, A. Willner1, J. Poppinga1, K.C. Steinkraus1, F. Ockenga1, F.G. Uzunoglu1, F. Viol2, T. Amin2, T. Fründt2, S. Huber2, J.R. Izbicki1, T. Hackert1, A. Nießen1

1Universitätsklinikum Hamburg-Eppendorf, Klinik für Allgemein-, Viszeral- und Thoraxchirurgie, Hamburg, Deutschland, 2Universitätsklinikum Hamburg-Eppendorf, 1. Medizinische Klinik und Poliklinik, Hamburg, Deutschland

Einleitung: Neuroendokrine Tumore des Pankreas (pNETs) sind seltene Tumore, welche meist operativ therapiert werden. Um die perioperative Stressreaktion abzumildern, kommen heutzutage ERAS (Enhanced Recovery After Surgery)-Protokolle zum Einsatz. Teil des ERAS-Programms ist dabei die präoperative Evaluation hinsichtlich einer Mangelernährung, welche mit einer erhöhten postoperativen Komplikationsrate assoziiert ist, sowie eine präoperative Ernährungstherapie. Dabei ist wenig über die Prävalenz und den Einfluss der präoperativen Mangelernährung bei pNET-Patient:innen bekannt.
Ziele: Ziel ist die Erhebung der präoperativen Prävalenz eines Risikos für Mangelernährung (RfM) bei Patient:innen mit pNETs an einem ERAS- und ENETS (European Neuroendocrine Tumor Society)-Exzellenzzentrum und deren Einfluss auf das perioperative Outcome zu untersuchen.
Methodik: Es wurden alle Patient:innen, die zwischen 03/17 und 01/25 aufgrund eines pNETs oder pNET-Lebermetastasen am Universitätsklinikum Hamburg-Eppendorf operiert und am ERAS-Programm teilgenommen haben, eingeschlossen. Die Daten wurden retrospektiv aus einer prospektiven Datenbank extrahiert. Als RfM wurden ≥2 Punkte im Nutritional Risk Screening 2002 definiert. Die klinischen Daten wurden mittels univariater Analyse verglichen.
Ergebnis: Im untersuchten Zeitraum wurden 58 pNET-Patient:innen, die am ERAS-Programm teilgenommen haben, identifiziert. Ein RfM lag bei 26 Patient:innen (44,8%) vor und betraf häufiger Patient:innen mit schlechter differenzierten pNETs. Bei diesen Patient:innen wurden häufiger offene Operationen, venöse Resektionen sowie totale Pankreatektomien durchgeführt. Es zeigte sich kein Unterschied bezogen auf Alter und Komorbiditäten zwischen den Gruppen. Die Gesamt-Compliance an das ERAS-Programm war ebenfalls vergleichbar. Patient:innen mit RfM erhielten häufiger eine prä- und postoperative Ernährungssubstitution. Hinsichtlich der 30-Tages Mortalität, der Major-Komplikationen und des Intensivaufenthalts bestanden keine Unterschiede.
Schlussfolgerung: Mehr als ein Drittel der pNET-Patient:innen weisen perioperativ ein RfM auf, insbesondere bei schlecht differenzierten pNET. Diese Analyse zeigt zum ersten Mal, dass das Risiko für Mangelernährung auch bei pNET-Patient:innen relevant ist und die Integration eines strukturierten ERAS-Programms mit perioperativer Ernährungstherapie das postoperative Outcome vor allem auch bei ausgedehnter Tumorresektion positiv beeinflusst.

16:46 – 16:52

KV 190 Lösliches CD40 im Serum und der Body-Mass-Index sind mit dem Auftreten pankreasspezifischer Komplikationen nach Pankreaschirurgie assoziiert

Loreen Natusch

KV 190 Lösliches CD40 im Serum und der Body-Mass-Index sind mit dem Auftreten pankreasspezifischer Komplikationen nach Pankreaschirurgie assoziiert

L. Natusch1, M.-T. Crede2, D. Digomann1,3, A.M.A. König1, A. Klimova3, M. Ghadimi2, F. Bösch2, J. Weitz1,3, A.M. Seifert1,3, L. Seifert1,3

1Universitätsklinikum Carl Gustav Carus Dresden, Klinik für Viszeral-, Thorax- und Gefäßchirurgie, Dresden, Deutschland, 2Universitätsmedizin Göttingen, Klinik für Allgemein-, Viszeral- und Kinderchirurgie, Göttingen, Deutschland, 3Nationales Centrum für Tumorerkrankungen Dresden (NCT/UCC), Dresden, Deutschland

Einleitung: Mit einer 5-Jahresüberlebensrate von nur 13% hat das duktale Adenokarzinom des Pankreas (PDAC) eine sehr schlechte Prognose. Die einzige kurative Therapieoption ist die chirurgische Resektion. Pankreasspezifische Komplikationen, wie die postoperative Pankreasfistel (POPF) und die postoperative pankreas-assoziierte Blutung (PPH), verzögern oder verhindern den Beginn einer adjuvanten Chemotherapie. Bislang gibt es keinen etablierten Biomarker zur präoperativen Abschätzung von postoperativen pankreasspezifischen Komplikationen.
Ziele: Untersuchung von löslichem CD40 (sCD40) als potenziellen präoperativen Biomarker zur Vorhersage pankreasspezifischer Komplikationen.
Methodik: Bei 185 PDAC-Patient:innen, bei denen eine pyloruserhaltende Pankreatikoduodenektomie (PPPD) oder eine Whipple-Operation erfolgte, wurden präoperativ Serumproben gesammelt. Es erfolgte die Detektion von sCD40 mittels Enzyme-linked immunosorbent assay (ELISA). Zusätzlich wurden klinische Parameter der Patient:innen untersucht. Das Auftreten postoperativer pankreasspezifischer Komplikationen wurde dokumentiert.
Ergebnis: Von 185 PDAC-Patient:innen wurde bei 151 eine PPPD und bei 34 eine Whipple-Operation durchgeführt. 10.3 % der Patient:innen entwickelten eine postoperative klinisch-relevante POPF und 7.6 % eine PPH. Patient:innen, die postoperativ eine POPF oder PPH entwickelten zeigten präoperativ eine signifikant niedrigere sCD40-Konzentration (P = 0.041 und P = 0.008). Patient:innen mit einer postoperativen Pankreasfistel hatten einen signifikant höheren BMI (P = 0.033). In der Grenzwertoptimierungskurve (ROC) zeigte sich für sCD40 eine Fläche unter der Kurve (AUC) von 0.643 und für den BMI von 0.649. In der multiplen logistischen Regressionsanalyse zeigt die Kombination beider Parameter für die POPF eine AUC von 0.705, für die PPH ergibt sich eine AUC von 0.750.
Schlussfolgerung: Die Kombination von löslichem CD40 im Serum und dem BMI kann für die präoperative Vorhersage des Auftretens einer postoperativen Pankreasfistel sowie einer pankreasassoziierten Blutung genutzt werden.

16:54 – 17:00

KV 191 Viszeral-vaskuläre Vulnerabilität hat entscheidenden Einfluss auf die Patientensicherheit nach Totaler Pankreatektomie

Darius Halm (Heidelberg)

KV 191 Viszeral-vaskuläre Vulnerabilität hat entscheidenden Einfluss auf die Patientensicherheit nach Totaler Pankreatektomie

D. Halm1, V. Pleines1, L. Brake1, A.J. Putri1, D. Tran1, U. Hinz1, T. Hank1, M.W. Büchler1, M. Loos1, B. Kinny-Köster1

1Universitätsklinikum Heidelberg, Klinik für Allgemein-, Viszeral- und Transplantationschirurgie, Heidelberg, Deutschland

Einleitung: Die Krankenhausmortalität nach Totaler Pankreatektomie (TP) ist deutschlandweit problematisch bei über 23% laut Statistischem Bundesamt.1 Gleichzeitig hat sich die Anzahl dieses Eingriffs in Deutschland innerhalb von 10 Jahren verdoppelt auf ca. 1500 Operationen in 2020. Hingegen wird an spezialisierten Zentren eine Mortalität von 5% erreicht.2 Eine TP wird als chirurgische Therapieoption stetig relevanter zur onkologischen Resektion lokal fortgeschrittener Tumore durch den Erfolg neoadjuvanter Systemtherapien.
Ziele: Ziel der Studie ist die Ursachenerfassung der Krankenhausmortalität nach TP an unserem spezialisierten Zentrum, um zeitabhängige Risiken zu identifizieren und die Patientensicherheit zu verbessern.
Methoden: Patienten, die zwischen 2003 bis 2022 nach TP am Universitätsklinikum Heidelberg verstorben sind, wurden aus dem institutionellem Pankreatektomieregister isoliert. Wir teilten die führende Ursache analog zur bereits etablierten Kategorien nach partieller Pankreatoduodenektomie ein in postpankreatektomiespezifisch (PP), viszeral-vaskulär (VV) und kardiopulmonale Komplikationen (CC).3
Ergebnisse: An unserer Klinik verstarben 95 Patienten nach 1705 Totalen Pankreatektomien während des stationären Aufenthaltes innerhalb 20 Jahre (Krankenhausmortalität 5.6%). Die Analyse der Ursachen ergab, dass bei 18% der Patienten postpankreatektomie-spezifische (PP), bei 62% viszeralvaskuläre (VV), und bei 20% kardiopulmonale Komplikationen (CC) auftraten (s. Tabelle 1). Die mediane Zeit bis zum Auftreten der Komplikation war an postoperativem Tag (POD) 11, POD 6 (PP vs. VV; p=0.011) und POD 4.5 (PP vs. CC; p=0.004). Die Patienten verstarben im Median an POD 39, POD 25 (PP vs. VV; p=0.038) und POD 23 (PP vs. CC; p=0.088). Die Zeitintervalle zwischen initialer Komplikation und Mortalität variierten mit einem Median von 29 Tagen, 19.5 Tagen (PP vs. VV; p=0.121) und 20.5 Tagen (PP vs. CC; p=0.164).
Schlussfolgerung: Viszeral-vaskuläre Komplikationen waren die führende Todesursache nach TP in unserem spezialisierten Zentrum. Das Monitoring des arteriellen und venösen intraabdominellen Blutflusses und die Therapie von Ischämien, Thrombosen, und Blutungen ist herausfordernd, hat jedoch einen hohen Einfluss auf die Patientensicherheit.
Referenzen:
1Mantke R et al, Abstract, APA Annual Meeting 2024, Maui (HI)
2Loos M et al, JAMA Surg, 2022, PMID 34787667
3Kinny-Köster B et al, Ann Surg, 2024, PMID 38967356

Tabelle 1. Ursachen der Krankenhausmortalität nach Totaler Pankreatektomie eingeteilt in postpankreatektomie-spezifisch (PP), viszeral-vaskulär (VV), und kardiopulmonale Komplikationen (CC).
Kategorie % Total Ursache % innerhalb Kategorie % Total
PP 17.8% GJ-Insuffizienz 31.3% 5.6%
HJ-Insuffizienz 31.3% 5.6%
Abdominelle Entzündung, nicht bedingt durch GJ-/HJ-Insuffizienz 25.0% 4.4%
Pneumonie, sekundär zu PP-spezifische Komplikationen (z.B. DGE) 6.3% 1.1%
Ileocolostomie-Insuffizienz 6.3% 1.1%
VV 62.2% Ischämie/Venöse Kongestion von Magen oder Kolon 28.6% 17.8%
Ischämie Leber 23.2% 14.4%
Blutung, nicht bedingt durch PP-spezifische Komplikation (z.B. chirurgisch) 23.2% 14.4%
Portalvenenthrombose 16.1% 10.0%
Sonstige Ischämie durch arteriellen Spasmus, Stenose, oder Verschluss 8.9% 5.6%
CC 20.0% Myokardinfarkt oder Herzrhythmusstörung 33.3% 6.7%
Hospital-acquired Pneumonie 27.8% 5.6%
Schlaganfall oder intrakranielle Blutung 22.2% 4.4%
Lungenarterienembolie 11.1% 2.2%
Reanimation ohne ROSC 5.5% 1.1%

17:02 – 17:08

KV 192 Perioperative blood transfusion negatively affects outcomes following surgery for pancreatic neuroendocrine neoplasms

Magdalena Lewosinska (Heidelberg)

KV 192 Perioperative blood transfusion negatively affects outcomes following surgery for pancreatic neuroendocrine neoplasms

M. Lewosinska1, N. Siegel1, F.A. Bechtiger1, B. Kinny-Köster1, M. Heckler1, M. Kryschi1, V. Pleines1, J. Kaiser1, M. Al-Saeedi1, C.W. Michalski1, M.W. Büchler2, M. Loos1, T. Hank1

1Universitätsklinikum Heidelberg, Allgemein-, Viszeral- und Transplantationschirurgie, Heidelberg, Deutschland, 2Botton-Champalimaud Pancreatic Cancer Center, Lissabon, Portugal

Introduction: Pancreatic neuroendocrine neoplasms (pNEN) are a rare and heterogeneous group of tumors, whose diagnosis, treatment, and research are particularly challenging due to their rarity and biological diversity. While surgical resection remains the primary curative approach for patients with resectable pNEN, the influence of perioperative blood transfusion on surgical and oncological outcomes in this patient population is not well understood.
Objective: This study investigates the relationship between transfusion and perioperative characteristics, postoperative complications and overall survival in pNEN patients.
Methods: Patients undergoing resection for pNEN were identified from a prospectively-maintained database and were stratified by receipt of perioperative blood transfusion vs. no transfusion. Baseline characteristics, intra- and postoperative outcomes and survival data were compared using appropriate statistical tests. Multivariate Cox regression identified independent predictors of overall survival.
Results: 632 patients were included, of whom 57 (9%) received blood transfusion. Transfused patients were significantly older (p=0.026), predominantly male (p<0.001) and had higher ASA scores (p<0.001). In addition, these patients underwent more frequently pancreatic head resection or total pancreatectomy (p<0.001), had greater intraoperative blood loss (p<0.001), longer operative time (p<0.001), larger tumors (p=0.004) and higher Ki-67 indices (p=0.014). Postoperatively, transfused patients experienced more severe pancreatic fistula (POPF grade C; p<0.001) and had an increased rate of R1 resections (p=0.004). On univariate analysis, perioperative transfusion was strongly associated with worse overall survival (HR 3.06; 95% CI 1.89–4.98; p<0.001). In multivariate analysis, transfusion remained an independent risk factor for mortality (HR 1.91; 95% CI 1.05–3.49; p=0.035), together with longer operative time, higher ASA score and lymph-node metastasis.
Conclusions: Perioperative blood transfusion in patients with pNEN undergoing pancreatic surgery is associated with more advanced disease, more extensive resections, increased postoperative morbidity and significantly impaired long-term survival. These findings underscore the need for optimized blood management strategies in pNEN surgery to improve patient outcomes.

17:10 – 17:16

KV 193 Die Rolle der Azinuszellen im Pankreasabsetzungsrand für das Auftreten Pankreas-assoziierter Komplikationen nach Pankreaslinksresektion

Sebastian Hempel

KV 193 Die Rolle der Azinuszellen im Pankreasabsetzungsrand für das Auftreten Pankreas-assoziierter Komplikationen nach Pankreaslinksresektion

S. Hempel1, J.C. Stieglitz1, O. Radulova-Mauersberger1, M. Distler1, J. Weitz1, F. Oehme1

1Universitätsklinikum Carl Gustav Carus Dresden, Klinik für Viszeral-, Thorax- und Gefäßchirurgie, Dresden, Deutschland

Hintergrund: Der Zellgehalt am Pankreasabsetzungsrand – insbesondere der Anteil an Azinuszellen – ist nachweislich ein Prädiktor für das Auftreten postoperativer Komplikationen nach Pankreatoduodenektomie. Ob dieser Zusammenhang auch für Pankreaslinksresektionen gilt, ist bislang unklar.
Ziel: Ziel dieser Studie war es, die klinische Relevanz des Zellgehalts am Resektionsrand nach Pankreaslinksresektion zu prüfen.
Methoden: 253 Patienten, bei denen aufgrund benigner und maligner Befunde eine Pankreaslinksresektion mit oder ohne simultaner Splenektomie durchgeführt wurde, wurden in die Analyse einbezogen. Die Resektionsränder wurden von zwei Pathologen, die gegenüber den klinischen Daten der Patienten verblindet waren, auf Azinuszell-, Fibrose- und Fettgehalt untersucht. Neben der Korrelation wurden Regressionsanalysen möglicher Prädiktoren für eine klinisch relevante postoperative Pankreasfistel (cr-POPF) und postoperative Hyperamylasämie/Pankreatitis (POH/PPAP) durchgeführt.
Ergebnisse: Die medianen Azinuszell-, Fibrose- und Fettgehalte betrugen 90% (IQR, 80%-95%), 0% (IQR, 0%-5%) bzw. 10% (IQR, 5%-15%). Die Raten von cr-POPF waren bei Patienten mit einem Azinuszellgehalt von >80% signifikant höher als bei Patienten mit einem Azinuszellgehalt von ≤80% (42.8% bzw. 29.2%; P = .03). Außerdem war die Rate der postoperativen Hyperamylasämie (POH) bei Patienten mit einem Azinuszellgehalt von >80% signifikant höher als bei Patienten mit einem Azinuszellgehalt von ≤80% (64% bzw. 44.7%; P = .02). Der mediane Fettgehalt unterschied sich nicht zwischen Patienten mit und ohne cr-POPF (13,3 % [IQR, 5 %- 10 %] bzw. 11.7 % [IQR, 5 %- 20 %]; P = .37). Ein Azinuszellgehalt von >80% am Pankreasresektionsrand (Odds Ratio [OR], 1,816; 95% CI, 1,009-3,268; P = .04) war in der multivariaten Analyse ein unabhängiger prädiktiver Faktor für cr-POPF.
Schlussfolgerung: Analog zur Pankreatoduodenektomie spielt auch bei der Pankreaslinksresektion der Azinuszellgehalt im Resektionsrand eine entscheidende Rolle. Ein Azinuszellgehalt von ≥80 % war ein signifikanter prädiktiver Faktor für cr-POPF und war ebenso signifikant mit einer POH assoziiert. Eine bizentrische Analyse zur Effektstärkung bzw. Validerung ist abgestrebt.

17:18 – 17:24

KV 194 Perioperatives Drug Repurposing mit Propranolol und Etodolac bei Pankreaskopfresektionen– Ergebnisse einer randomisiert-kontrollierten Phase-2 Studie (PROSPER)

Felix Hüttner (Nürnberg)

KV 194 Perioperatives Drug Repurposing mit Propranolol und Etodolac bei Pankreaskopfresektionen– Ergebnisse einer randomisiert-kontrollierten Phase-2 Studie (PROSPER)

F.J. Hüttner1, R. Klotz2, N. Giese2, B. Kong2, A. Ahmed3, D. Merz2, A. Pöchmann4, I. Burghaus5, T. Hackert6, O. Strobel7, A. Mihaljevic8, C. Michalski2, M.W. Büchler9, M.K. Diener1

1Klinikum Nürnberg, Klinik für Allgemein-, Viszeral- und Thoraxchirurgie, Nürnberg, Deutschland, 2Universitätsklinikum Heidelberg, Klinik für Allgemein-, Viszeral- und Thoraxchirurgie, Heidelberg, Deutschland, 3Universitätsklinikum Heidelberg, Nationales Centrum für Tumorerkrankungen, Heidelberg, Deutschland, 4Deutsches Krebsforschungszentrum, Heidelberg, Deutschland, 5Universität Heidelberg, KKS, Heidelberg, Deutschland, 6Universitätsklinikum Hamburg-Eppendorf, Hamburg, Deutschland, 7Medizinische Universität Wien, Wien, Österreich, 8Universitätsklinikum Tübingen, Tübingen, Deutschland, 9Botton-Champalimaud Pancreatic Cancer Center, Lisboa, Portugal

Einleitung: Der perioperative Zeitraum ist durch psychische und physische Stressreaktionen und entzündliche Prozesse geprägt, die eine Tumorprogression oder Metastasierung begünstigen können. Insbesondere Katecholamine und Prostaglandine spielen hierbei eine zentrale Rolle in der Vermittlung dieser Reaktionen.
Ziele: Ziel der PROSPER-Studie war es, die Durchführbarkeit und Sicherheit eines perioperativen Drug Repurposing mit einem nicht-selektiven Betablocker (Propranolol) und einem COX-2-Inhibitor (Etodolac) im Rahmen der operativen Behandlung des Pankreaskarzinoms zu untersuchen.
Methodik: Patient:innen, die sich einer partiellen Pankreatoduodenektomie aufgrund eines Pankreaskarzinoms unterzogen, wurden zu einer perioperativen Behandlung mit Propranolol und Etodolac oder entsprechenden Placebo randomisiert. Der primäre Safety-Endpunkt war die Rate schwerwiegender unerwünschter Ereignisse (SAE); der primäre Endpunkt zur Beurteilung der Durchführbarkeit war die Adhärenz zur Studienmedikation. Darüber hinaus wurden das Gesamtüberleben, das krankheitsfreie Überleben (DFS) sowie Tumorrezidive als Wirksamkeitsparameter erfasst. Die Studie wurde durch ein translationales Forschungsprojekt begleitet.
Ergebnisse: Aufgrund unzureichender Rekrutierung trotz mehrerer Anpassungen des Studiendesigns musste die Studie vorzeitig beendet werden. Insgesamt wurden 26 Patient:innen randomisiert, 6 davon nahmen jedoch nie die Studienmedikation ein. Letztlich erhielten 9 Patient:innen die Prüfmedikation und 11 Placebo. In der Behandlungsgruppe traten 6 SAE auf, in der Placebogruppe 14. Die Adhärenz war in der Behandlungsgruppe geringer, allerdings ohne statistische Signifikanz. Das mediane DFS lag bei 16,36 Monaten (95%-KI: 1,18 – not reached) in der Verumgruppe gegenüber 11,25 Monaten (95%-KI: 2,2 – 17,25) in der Placebogruppe. Die Rate an Fernrezidiven betrug 11,1 % in der Interventionsgruppe im Vergleich zu 54,5 % in der Placebogruppe.
Schlussfolgerung: Es ergaben sich keine sicherheitsrelevanten Bedenken hinsichtlich der Studienmedikation. Allerdings erwies sich die Intervention aufgrund eingeschränkter Rekrutierbarkeit und begrenzter Adhärenz als nicht praktikabel. Dennoch deuten die Ergebnisse der translationalen Begleitforschung sowie erste Wirksamkeitssignale auf ein vielversprechendes therapeutisches Potenzial hin, das in künftigen Studien weiter untersucht werden sollte.

17:26 – 17:32

KV 195 The critical 18 of postoperative white blood cells and C-reactive protein predicts postoperative pancreatic fistula after distal pancreatectomy

Ughur Aghamaliyev (München)

KV 195 The critical 18 of postoperative white blood cells and C-reactive protein predicts postoperative pancreatic fistula after distal pancreatectomy

U. Aghamaliyev1, A. Zamparas1, S. Jarmusch1, G. Seidel1, Y. Meyer1, F.O. Hofmann1, H. Niess1, J. Werner1, B.W. Renz1

1Klinikum der Universität München, Klinik für Allgemein-, Viszeral- und Transplantationschirurgie, München, Deutschland

Background: Distal pancreatectomy (DP) carries high risk for postoperative pancreatic fistula (POPF). This study evaluates WBC, CRP, and IL-6 as serum-based predictors, offering potential alternatives to drain amylase for early POPF diagnosis.
Material and methods: This retrospective cohort study included adult patients who underwent elective DP between 01/2014 and 12/2023. Exclusions were prior pancreatic surgery, combined DP/enucleation, or missing data. Data collected included demographics, comorbidities, intraoperative details, and postoperative serum markers (WBC, CRP, IL-6) from POD1 to POD5.
Results: This study included 363 patients who underwent DP and met all inclusion criteria. Median WBC counts were significantly higher in patients with POPF B/C), especially on POD 2 (18.1×10⁹/L vs. 15.8×10⁹/L, p=0.002). CRP levels also peaked higher in the POPF group on POD3 (18.9 mg/dL vs. 15.3 mg/dL, p=0.001). IL-6 levels showed no significant difference. ROC analysis identified WBC on POD2 and CRP on POD3 (AUC=0.63 each) as meaningful predictors. Among 210 patients with complete data, simultaneous elevation of both marker, termed “The Critical 18”, was associated with a 59% POPF rate versus 18% when neither was elevated.
Conclusion: In light of these findings, we propose the „The Critical 18“ as a simple yet powerful tool for early risk stratification of POPF B/C following DP. By using WBC >18 x 10×9/L on POD 2 and CRP >18 mg/dl on POD 3, clinicians can easily identify patients at escalating risk, offering a clear framework for guiding postoperative management and interventions.

17:34 – 17:40

KV 196 Analyse des postoperativen Komplikationsrisikos, der Mortalität und der Failure to Rescue bei elektiven Pankreasresektionen

17:42 – 17:48

KV 197 Interdisziplinäres Management der insuffizienten Pankreaticojejunostomie Endosonograpisches „Redo

Haluk Morgül (Münster)

KV 197 Interdisziplinäres Management der insuffizienten Pankreaticojejunostomie Endosonograpisches „Redo

H. Morgül1, M. Bartels2, H. Azam3, A. Pascher1, B. Strücker1, U. Halm4

1Universitätsklinikum Münster, Klinik für Allgemein-, Viszeral-, und Transplantationschirurgie, Münster, Deutschland, 2Helios Park-Klinikum Leipzig, Klinik für Allgemein-, Viszeral-, und Thoraxchirurgie, Leipzig, Deutschland, 3Universitätsklinik Tübingen, Klinik für Allgemein-, Viszeral-, und Transplantationschirurgie, Tübingen, Deutschland, 4Helios Park-Klinikum Leipzig, 4. Klinik für Gastroenterologie, Hepatologie, Hämatologie, Onkologie und Palliativmedizin, Leipzig, Deutschland

Einleitung: Eine Grad C Pankreasfistel nach Pankreaskopfresektion ist mit einer hohen Morbidität und Mortalität verbunden. Die Behandlungsverfahren für diese Komplikation sind die komplette Pankreatektomie oder pankreaserhaltende Verfahren wie die Übernähung, die Neuanlage der Anastomose und Drainageanlage. Die Behandlung richtet sich hauptsächlich nach der Erfahrung des behandelnden Teams und dem Zustand des Patienten; es gibt jedoch noch keine evidenzbasierte Empfehlung für das Management.
Ziele: Wir stellen hier einen Fall nach einer endosonograpischen Neuanlage einer Pankreaticojejunostomie vor.
Methodik: Ein 60-jähriger Patient mit chronischer Pankreatitis wurde mit bildmorphologischem Verdacht auf ein Pankreaskopfkarzinom vorgestellt. Nach Vorstellung des Falles im Tumorboard wurde die Indikation zur Pankreaskopfresektion gestellt. Die unkomplizierte pyloruserhaltene Pankreaskopfresektion mit Anlage einer Pankreaticojejunostomie wurde durchgeführt. Am 3. postoperativen Tag verschlechterte sich die Klinik des Patienten mit Erhöhung der Inflammationsparameter (CRP: 395 mg/l, Leukozyten: 15,30Gpt/l). Im CT zeigte sich eine Pankreatitis und ein peripankreatischer Verhalt, sodass eine operative Revision mit Lavage durchgeführt wurde. Bei der zweiten Revision wurde die Pankreaticojejunostomie aufgelöst und das Pankreassekret mit Drainagen abgeleitet. Der Patient konnte am 41. Tag mit den Drainagen entlassen werden. Die stationäre Wiederaufnahme erfolgte nach 1,5 Monaten bei abdominellen Schmerzen und Zunahme der peripankreatischen Flüssigkeit. Bildmorphologisch zeigte sich eine Gangdilatation. Somit wurde die Indikation zur endosonografischen Darstellung der abgesetzten Pankreaticojejunostomie gestellt. Hiermit konnte das Pankreas und der Pankreasgang über das blinde Ende der Jejunumschlinge eingestellt werden. Es erfolgte eine endosonografisch geführte transjejunale Punktion des Pankreasganges und Einlage einer Pankreasdrainage (7F, 5cm) im Sinne einer neuen Pankreaticojejunostomie („Redo“). Im Verlauf erfolgten mehrfache geplante unkomplizierte Stentwechsel mit sukzessiver Dilatation.
Ergebnisse: Aktuell ist der Patient beschwerdefrei und in einem sehr guten Zustand. Ein Diabetes mellitus besteht nicht.
Schlussforderung: Bei der Revision bei Pankreasfistel nach PPPD auch bei Pankreatitis sollte ein organerhaltentes Management favorisiert werden. Eine endoskopische Revision oder Neuanlage der Anastomose ist dabei eine mögliche und schonende Therapie.

Kurzvortragssitzung

Molekulare Therapie bei CED

11:15 – 12:51

Do 18.09.

MZF 1

Open Accordion - Icon Close Accordion - Icon

Vorsitz: Lea-Maxie Haag (Berlin) und Sebastian Zundler (Erlangen)

11:15 – 11:21

KV 052 Efficacy and safety of subcutaneous guselkumab induction therapy in patients with ulcerative colitis: results through week 24 from the phase 3 ASTRO study

Ursula Seidler (Hannover)

KV 052 Efficacy and safety of subcutaneous guselkumab induction therapy in patients with ulcerative colitis: results through week 24 from the phase 3 ASTRO study

U. Seidler1, M. Long2, J.R. Allegretti3, S. Danese4, M. Germinaro5, T. Baker5, Y. Alvarez5, S. Jorgens5, L. Jiang5, H. Zhang5, T. Hisamatsu6, D.T. Rubin7, L. Peyrin-Biroulet8

1Department of Gastroenterology, Hepatology, Infectious Diseases and Endocrinology, Hannover Medical School, Hannover, Deutschland, 2Division of Gastroenterology and Hepatology, University of North Carolina at Chapel Hill, Chapel Hill, NC, Vereinigte Staaten, 3Division of Gastroenterology, Hepatology, and Endoscopy, Brigham and Women’s Hospital, Harvard Medical School, Boston, MA, Vereinigte Staaten, 4Gastroenterology and Endoscopy, IRCCS Ospedale San Raffaele and University Vita-Salute San Raffaele, Milan, Italien, 5Johnson & Johnson, Spring House, PA, Vereinigte Staaten, 6Kyorin University School of Medicine, Tokyo, Japan, 7University of Chicago Medicine Inflammatory Bowel Disease Centre, Chicago, IL, Vereinigte Staaten, 8University of Lorraine, Inserm, NGERE; Groupe Hospitalier privé Ambroise Paré-Hartmann, Paris IBD Centre, Nancy / Neuilly sur Seine, Frankreich

Introduction: Guselkumab (GUS), a dual-acting IL-23p19 subunit inhibitor, demonstrated efficacy in patients (pts) with ulcerative colitis (UC) treated with GUS intravenous (IV) induction and subcutaneous (SC) maintenance (QUASAR).
Objectives: To evaluate GUS SC induction efficacy and safety in ASTRO, phase 3, randomized, double-blind, placebo (PBO)-controlled, parallel-group, multicenter trial in moderately to severely active UC.
Methodology: Eligible pts had inadequate response/intolerance to corticosteroids, immunosuppressants, biologics, JAK inhibitors, and/or S1P inhibitors (BIO/JAKi/S1Pi-IR)/were BIO/JAKi/S1Pi-naïve. Randomization was stratified by baseline (BL) BIO/JAKi/S1Pi status, Mayo endoscopic subscore (MES); 418 pts allocated 1:1:1 to GUS 400mg SC (q4w; x3)→GUS 200mg SC q4w (N=140), GUS 400mg SC q4w (x3)→GUS 100mg SC q8w (N=139)/PBO (N=139). Pts were rescued at week (W)16: PBO switched to GUS; GUS stayed on GUS (sham rescue). Primary endpoint: W12 clinical remission. Multiplicity-controlled secondary endpoints: clinical remission at W24; symptomatic remission, endoscopic improvement, clinical response: all W12 and W24; histo-endoscopic mucosal improvement (HEMI) at W12. Prespecified analysis compared combined GUS 400mg SC vs PBO at W12, each GUS SC maintenance regimen vs PBO at W24. Safety was assessed throughout.
Results: BL characteristics were similar across groups (overall mean age, 41.7yrs; mean UC duration, 7.6yrs; mean modified Mayo score, 6.7; MES=3, 56.0%; BIO/JAKi/S1Pi-IR, 40.2%).
The primary and all secondary endpoints were met. At W12, greater proportions of GUS- vs PBO-treated pts achieved clinical remission (27.6% vs 6.5%), symptomatic remission (51.3% vs 20.9%), endoscopic improvement (37.3% vs 12.9%), clinical response (65.6% vs 34.5%), HEMI (30.5% vs 10.8%); all P<0.001. At W24, greater proportions of pts treated with GUS 100mg SC q8w/GUS 200mg SC q4w vs PBO achieved clinical remission (35.3% and 36.4% vs 9.4%;both P<0.001), symptomatic remission (54.7% and 50.0% vs 25.2%;both P<0.001), endoscopic improvement (40.3% and 45.0% vs 12.2%;both P<0.001), clinical response (63.3% and 61.4% vs 30.9%;both P<0.001). In subgroups by BIO/JAKi/S1Pi history, greater proportions of GUS- vs PBO-treated pts achieved endpoints (Fig).
Proportions of GUS vs PBO pts with ≥1 AE, serious AE, AE leading to treatment discontinuation were not greater (Table).
Conclusion: ASTRO established efficacy of GUS SC induction in UC with no new safety concerns.

This image describes the Primary Endpoint and Week 12 and Week 24 Secondary Endpoints in subgroups defined by biologics/Janus kinase inhibitor/Sphingosine-1-phosphate inhibitor history. Patients treated with GUS showed significantly greater clinical remission, symptomatic remission, endoscopic improvement, clinical response, and histo-endoscopic mucosal improvement.This table provides a summary of the safety data through Week 24 for the placebo, GUS 400mg subcutaneous→GUS 200mg subcutaneous q4w, and GUS 400mg subcutaneous→GUS 100mg subcutaneous q8w groups. Infections were defined as AEs coded to MedDRA system organ class 'Infections and infestations.' Serious infections in the GUS groups included pilonidal disease and gastroenteritis (moderate intensity). The other 2 serious infections were appendicitis. Most common adverse events were defined as incidence of >5% in either GUS group. The proportions of GUS-treated patients with ≥1 adverse events, serious adverse events, adverse events leading to treatment discontinuation were not greater than placebo.

11:23 – 11:29

KV 053 Efficacy and safety of risankizumab in patients with moderate to severe crohn’s disease: Results from the one-year SEQUENCE open-label Long-term extension

Raja Atreya (Erlangen)

KV 053 Efficacy and safety of risankizumab in patients with moderate to severe crohn’s disease: Results from the one-year SEQUENCE open-label Long-term extension

L. Peyrin-Biroulet1,2, R. Atreya3, S. Danese4, J.O. Lindsay5, J.C. Chapman6, T. Anschutz7, X. Huang7, J. Zambrano7, A. Platt7, N. Joshi7, R.K. Cross8

1Centre Hospitalier Régional Universitaire de Nancy, Department of Gastroenterology, INFINY Institute, INSERM NGERE, Vandœuvre-lès-Nancy, Frankreich, 2McGill University Health Centre, Division of Gastroenterology and Hepatology, Montreal, Kanada, 3Friedrich-Alexander-Universität Erlangen-Nürnberg, Department of Medicine 1, Erlangen, Deutschland, 4IRCCS Ospedale San Raffaele and University Vita-Salute San Raffaele, Gastroenterology and Endoscopy, Mailand, Italien, 5Barts and the London School of Medicine and Dentistry, Queen Mary University of London, Centre for Immunobiology, London, Vereinigtes Königreich, 6Crohn’s and Colitis Center at the Baton Rouge General and the GI Alliance, Baton Rouge, Vereinigte Staaten, 7AbbVie Inc., North Chicago, Vereinigte Staaten, 8Melissa L. Posner Institute for Digestive Health & Liver Disease at Mercy Medical Center, Baltimore, Vereinigte Staaten

Background: Part 2 of the SEQUENCE study examines the long-term efficacy and safety of risankizumab (RZB), an IL-23 p19 inhibitor, in patients (pts) with moderate to severe Crohn’s disease (CD). We report the 1-year results from part 2 of the SEQUENCE study.
Methods: In part 2 of SEQUENCE, pts randomized to the RZB arm who completed the week (wk) 48 visit could continue on open-label 360mg subcutaneous (SC) RZB maintenance dose every 8 wks (Q8w).1 Pts with inadequate response during part 2 could receive rescue therapy (1x 600mg intravenous RZB, then 360mg RZB SC Q8w). Clinical remission (per CDAI and per stool frequency [SF]/abdominal pain score [APS]), steroid-free clinical remission, Inflammatory Bowel Disease Questionnaire [IBDQ] response, and IBDQ remission were assessed at wks 52 (baseline of OLE), 76, and 100. Data were assessed for all intent-to-treat (ITT) pts using as observed (AO) regardless of rescue therapy as well as per nonresponder imputation (NRI), where patients were categorised as nonresponders for visits with missing assessments, visits after premature discontinuation of study, and visits after initiation of rescue therapy . Treatment-emergent adverse events (TEAEs) reported on or after the first dose in part 2 were analysed
Results: 224 pts entered part 2 of SEQUENCE. Among the ITT pts, clinical remission rates (AO) remained stable from wk52 to wk100 (CDAI: 75.3% [168/223] to 84.4% [141/167]; SF/APS: 71.2% [158/222] to 74.7% [124/166]) (Figure). Most pts who achieved clinical remission were not receiving steroids at the corresponding visits (Figure). Pts also demonstrated sustained and clinically meaningful improvements in IBDQ response (86.7% [157/181]; AO) and IBDQ remission (65.3% [126/193]; AO) at wk100 (Figure). Similar results to AO were observed per NRI (Figure). 16 (7.1%) pts received rescue therapy during part 2, of which 77.8% (7/9) achieved wk100 clinical remission (AO). TEAEs and TEAEs of safety interest were consistent with the known safety profile of RZB. Adjudicated major cardiovascular adverse events, malignancies, serious infections and hepatic events remained stable with no new safety risks identified (Table).2,3 No deaths occurred during the OLE.
Conclusion: Pts who received 100 wks of continuous RZB therapy in SEQUENCE demonstrated durable clinical efficacy and quality of life benefits. The safety profile is consistent with the known safety profile of RZB and supports long-term RZB treatment.

References
1. Peyrin-Biroulet L, Chapman JC, Colombel JF, Caprioli F, D’Haens G, Ferrante M, et al. Risankizumab versus Ustekinumab for Moderate-to-Severe Crohn’s Disease. N Engl J Med. 2024 Jul 18;391(3):213–23.
2. Papp KA, de Vente S, Zeng J, Flack M, Padilla B, Tyring SK. Long-Term Safety and Efficacy of Risankizumab in Patients with Moderate-to-Severe Chronic Plaque Psoriasis: Results from a Phase 2 Open-Label Extension Trial. Dermatol Ther (Heidelb). 2021 Apr;11(2):487–97.
3. Ferrante M, Panaccione R, Colombel JF, Dubinsky M, Hisamatsu T, Lindsay JO, et al. DOP53 Long-term Efficacy and Safety of Risankizumab in Patients With Moderate to Severe Crohn’s Disease up to 3 Years of Treatment: Results From the FORTIFY Open-Label Long-term Extension. Journal of Crohn’s and Colitis. 2024 Jan 24;18(Supplement_1):i168–70.

Figure
As observed and NRI results for clinical remission, steroid-free clinical remission and IBDQ remission are shown for weeks 52, 76 and 100, respectively.

Definitions of the abbreviations used in the figure explainedTable

Treatment-Emergent Adverse Events (TEAEs) 600 mg IV/360 mg SC RZB
(N=262)
n (%)
Overall TEAE
Any TEAE 243 (92.7)
TEAE related to study drug according to the investigator 87 (33.2)
Severe TEAE 65 (24.8)
Serious TEAE 47 (17.9)
TEAE leading to discontinuation study drug 15 (5.7)
Death 0
TEAE of safety interest
Adjudicated MACE events 0
Serious infections 17 (2.9)
Opportunistic infections excluding tuberculosis and herpes zoster 2 (0.3)
Malignant tumours 4 (0.7)
Herpes zoster 3 (0.5)
Non-melanoma skin cancer (NMSC) 2 (0.3)
Hypersensitivity 52 (8.8)
Hepatic events 36 (6.1)
Injection site reactions 13 (2.2)

E, events; CTE, continuous trial extension; MACE, major adverse cardiovascular event; NMSC, non-melanoma skin cancer; OLE, open-label extension; PY, patient-years; RZB, risankizumab; TEAE, treatment-emergent adverse event.

E/100PYs = Events per 100 patient-years. Safety summary includes all patients who received at least one dose of study drug during OLE. TEAEs during OLE were defined as events that begin either on or after the first dose of the study drug and within 140 days after the last dose of study drug in OLE for patients who do not participate in CTE or until first dose of CTE if the patient is enrolled into CTE.

11:31 – 11:37

KV 054 Efficacy and safety of Long-term mirikizumab treatment in patients with moderate-to-severe crohn’s disease

Oliver Bachmann (Non-author Presenter)

KV 054 Efficacy and safety of Long-term mirikizumab treatment in patients with moderate-to-severe crohn’s disease

B.E. Sands1, G. D’Haens2, T. Hisamatsu3, V. Jairath4, E. Barnes5, P. Pellanda6, R. R Hozak6, Z. Lin6, G. Yu6, M. Protic6, C.C. Owen6, M. Fischer7, O. Bachmann (Non-author Presenter)8

1Icahn School of Medicine at Mount Sinai, New York, Vereinigte Staaten, 2Amsterdam University Medical Center, Amsterdam, Niederlande, 3Kyorin University, Tokyo, Japan, 4Western University, London, Kanada, 5University of North Carolina School of Medicine, Chapel Hill, Vereinigte Staaten, 6Eli Lilly and Company, Indianapolis, Vereinigte Staaten, 7Indiana University, Indianapolis, Vereinigte Staaten, 8Siloah St. Trudpert Hospital, Pforzheim, Deutschland

Introduction: Mirikizumab (miri), an anti-IL-23p19 antibody, was efficacious and safe as a treatment for moderately-to-severely active Crohn’s disease (CD) over 104 weeks in a Phase 2 study (AMAG; NCT02891226). Here we show continued activity through an additional 3 years (up to 6.5 years total) in a long-term extension study, AMAX (NCT04232553).
Methods: Data through January 20, 2024 are presented for all patients who enrolled in AMAX from AMAG; patients continued on open-label miri 300 mg subcutaneously every 4 weeks. Endoscopy was performed at 3 years in AMAX. Efficacy definitions were endoscopic response, ≥50% reduction from AMAG baseline in Simple Endoscopic Score for Crohn’s Disease (SES-CD) Total Score; endoscopic remission, SES-CD Total Score ≤4 and ≥2-point reduction from baseline with no subscore >1 for any individual variable; Crohn’s Disease Activity Score (CDAI) response, CDAI decrease from baseline ≥100 points and/or <150; CDAI remission, CDAI <150. Data are presented as-observed. These studies have received IRB approval.
Results: 106 patients enrolled in AMAX; at database lock, median miri treatment duration (Q1, Q3) was 5.6 (5.3, 5.9) years. At Week 156 of AMAX, 18 patients (17.0%) had discontinued. For endoscopic results, 17 patients (16.0%) did not yet have data available for week 156. At Week 156 of AMAX, relative to AMAG baseline, the endoscopic response rate was 76.1% (n=54/71) and remission rate was 53.5% (n=38/71). For CDAI, 33 (31%) patients were ongoing but had missing data at Week 156; the CDAI response rate was 96.3% (n=52/54), and CDAI remission rate was 87.3% (n=48/55).
Summary safety data in AMAX (table) showed treatment-emergent adverse events (TEAEs) reported by 81.1% (n=86) of patients, with 9 (8.5%) patients reporting serious AEs. Rates of TEAEs of special interest were any infection/infestation, 54.7% (n=58); opportunistic infections, 3.8% (n=4; 1 candidiasis; 3 herpes zoster [with concomitant azathioprine use in 2 of these cases]); malignancies, 0.9% (n=1 non-melanoma skin cancer [basal cell carcinoma]); and cerebro-cardiovascular events, 0.9% (n=1 bradycardia).

Summary of Efficacy and Safety Through 156 Weeks in AMAX
Endoscopic response 54/71 (76.1)
Endoscopic remission 38/71 (53.5)
CDAI response 52/54 (96.3)
CDAI remission 48/55 (87.3)
TEAE
Mild
Moderate
Severe
86/106 (81.1)
28/106 (26.4)
50/106 (47.2)
8/106 (7.5)
Serious adverse events 9/106 (8.5)
Deaths 0
Discontinuation due to AEs 2/106 (1.9)
AE= adverse event; CDAI= Crohn’s Disease Activity Score; TEAE=treatment emergent adverse event. All data are shown as n/N (%), where N is the number of patients with data available at Week 156 for efficacy, and all patients enrolled from AMAG into AMAX for safety. Endoscopic response: ≥50% reduction from AMAG baseline in Simple Endoscopic Score for Crohn’s Disease (SES-CD) Total Score; Endoscopic remission: SES-CD Total Score ≤4 and ≥2-point reduction from baseline with no subscore >1 for any individual variable; Crohn’s Disease Activity Score (CDAI) response: CDAI decrease from baseline ≥100 points and/or <150; CDAI remission: CDAI <150. Data are presented as-observed. These studies have received IRB approval.

Conclusion: Miri demonstrated durable efficacy up to >6 years in patients with moderately-to-severely active CD. Rates of endoscopic and clinical remission were generally maintained from the end of the AMAG maintenance period at Week 52. No unexpected safety events were reported and there were few discontinuations due to AEs.

11:39 – 11:45

KV 055 Effects of mirikizumab versus placebo on histologic inflammation evaluated by comprehensive assessment in 5 intestinal segments in a randomized controlled phase 3 trial of participants with Crohn’s disease

Britta Siegmund (Non-author Presenter)

KV 055 Effects of mirikizumab versus placebo on histologic inflammation evaluated by comprehensive assessment in 5 intestinal segments in a randomized controlled phase 3 trial of participants with Crohn’s disease

V. Jairath1, F. Magro2, G. De Hertogh3, B. Feagan4, N. Harpaz5, T. Hisamatsu6, G. D’Haens7, R. Pai8, M. Protic9, E. Hon9, C. Owen9, R. Escobar9, W. Reinisch10, B. Siegmund (Non-author Presenter)11

1Western University, Department of Medicine, Division of Gastroenterology, Ontario, Kanada, 2University of Porto, Porto, Portugal, 3Faculty of Medicine, KU, Leuven, Belgien, 4Alimentiv Inc., London, Kanada, 5Icahn School of Medicine at Mount Sinai, New York, Vereinigte Staaten, 6Kyorin University, Tokyo, Japan, 7Amsterdam University Medical Center, Amsterdam, Niederlande, 8Mayo Clinic, Scottsdale, Vereinigte Staaten, 9Eli Lilly and Company, Indianapolis, Vereinigte Staaten, 10Medical University of Vienna, Wien, Österreich, 11Charité – Universitätsmedizin Berlin, Berlin, Deutschland

Introduction: Mirikizumab (MIRI) increased histologic response (H-Res) and remission (H-Rem) relative to placebo (PBO) in the Phase 2 SERENITY trial.
Methods: We compared the effect of MIRI on H-Res and H-Rem at week (W)12 and W52 to PBO by composite endpoints of response (clinical response by Patient-Reported Outcome [PRO] at W12 and W52 H-Res) and of remission (clinical response by PRO at W12 and W52 H-Rem) at W52. The overall population of patients with moderately-to-severely active Crohn’s Disease (CD), including those without prior biologic failure (non-BF), and those with prior BF were assessed, using data from the Phase 3 VIVID-1 trial (NCT03926130). Two biopsy specimens from each of the five intestinal segments (one ileal and four colonic) were obtained from the edge of ulcers, or the most inflamed mucosa from randomized patients at screening, W12, and W52. Clinical response by PRO was defined as ≥30% decrease in stool frequency and/or abdominal pain with neither score worse than baseline.
Results At W12, treatment with MIRI resulted in nominally statistically significantly higher rates of H-Res in all three patient groups analyzed (p<.001) (Table). At W12, differences between MIRI vs PBO were nominally significant in achieving H-Rem in all patients (p<.01) and in non-BF and BF patients (both p<.05). For W52 composite H-Res, differences between MIRI vs PBO were nominally statistically significant in all patient groups examined (p<.001). For W52 composite H-Rem, nominally statistically significant differences between MIRI vs PBO were observed in all patients (p<.001), in non-BF patients (p<.05), and in BF patients (p<.001).

All patients Without Prior Biologic failure With Prior Biologic Failure
PBO (N=199) MIRI (N=579) Difference (95% CI) PBO (N=91) MIRI (N=273) Difference
(95% CI)
PBO (N=88) MIRI (N=255) Difference (95% CI)
W12 H-Res 30.7 52.7 22.2
(14.6-29.7)***
37.4 58.6 21.2
(9.7-32.8)***
22.7 47.8 25.1
(14.4-35.8)***
W12 H-Rem 12.1 22.1 10.2
(4.7-15.7)**
14.3 27.5 13.2
(4.3-22.1)*
4.5 12.2 7.6
(1.7-13.5)*
W52 Composite H-Res 16.1 44.4 28.2
(21.6-34.7)***
26.4 46.5 20.1
(9.3-31.0)***
6.8 45.9 39.1
(31.0-47.1)***
W52 Composite H-Rem 8.5 23.3 14.7
(9.5-19.9)***
14.3 24.9 10.6
(1.8-19.5)*
2.3 21.6 19.3
(13.4-25.2)***
Data are %; *p<.05; **p<.01; ***p< .001 vs PBO
“Without prior biologic failure“ and “With prior biologic failure“ were subgroups of all patients with active histologic disease at baseline. P-values for “All patients” were from the Cochran–Mantel–Haenszel test adjusting for baseline covariates. P-values for the “Without prior biologic failure“ and “With prior biologic failure“ subgroups were from the Fisher’s exact test. H-Res=absence of epithelial neutrophils and epithelial damage, erosions, and ulceration or ≥50% decrease in either the sum of the 5 segments of Robarts Histopathology Index or the Global Histologic Disease Activity Score. H-Rem=complete absence of mucosal neutrophils (in epithelium and lamina propria), and no epithelial damage, erosions, and ulcers.
CI=confidence interval; H=histologic; MIRI=mirikizumab; PBO=placebo; Rem=remission; Res=response; W=week


Conclusions: Based upon strict definitions that applied to all 5 intestinal segments, MIRI achieved nominally significantly higher rates of H-Res and H-Rem compared to PBO in all patients at W12 and W52. The statistical difference was more pronounced in the BF population after one year of treatment.

11:47 – 11:53

KV 056 Mirikizumab effect on bowel urgency resolution in a randomised controlled phase 3 trial of participants with crohn’s disease

Stefan Schreiber (Kiel)

KV 056 Mirikizumab effect on bowel urgency resolution in a randomised controlled phase 3 trial of participants with crohn’s disease

V. Jairath, Vipul1, B.E. Sands2, M. Chaparro3, M. Chen4, G. D’Haens5, M. Dubinsky6, M. Ferrante7, L. Peyrin-Biroulet8, S. Schreiber9, S. Travis10, H. Carlier11, Z. Lin11, R. Moses11, M. Protic11, A. Vadhariya11, K. Tsilkos11, S. Ghosh12

1Western University, Department of Medicine, Division of Gastroenterology, Ontario, Kanada, 2Icahn School of Medicine at Mount Sinai, New York, Vereinigte Staaten, 3Hospital Universitario de La Princesa, Madrid, Spanien, 4First Affiliated Hospital of Sun Yat-sen University, Guangzhou, China, 5Amsterdam University Medical Center, Amsterdam, Niederlande, 6Icahn School of Medicine Mount Sinai, New York, Vereinigte Staaten, 7University Hospitals Leuven, Leuven, Belgien, 8Nancy University Hospital, Vandœuvre-lès-Nancy, Frankreich, 9Kiel University, Kiel, Deutschland, 10University of Oxford, Oxford, Vereinigtes Königreich, 11Eli Lilly and Company, Indianapolis, Vereinigte Staaten, 12University College Cork, Cork, Irland

Introduction: Bowel urgency (BU), the sudden or immediate need to have a bowel movement, is an impactful symptom of Crohn’s disease (CD) that varies in intensity. We report the efficacy of the IL-23 p19 inhibitor, mirikizumab (miri) in improving BU among patients with moderately-to-severely active CD from the phase 3 VIVID-1 trial (NCT03926130). VIVID-1 co-primary and gated endpoints, including comparison with ustekinumab, are already reported.
Methods: Adult patients (N=1065) were randomised to placebo (PBO) or miri 900mg intravenously at weeks (W) 0, 4, and 8, then 300mg subcutaneously every 4 weeks (Q4W) from W12 to W52. At W12, PBO responders continued PBO to W52, non-responders received the blinded miri regimen per protocol. BU was assessed at W12 and W52 using the Urgency Numeric Rating Scale (UNRS). We evaluated the proportion of patients with baseline (BL) UNRS ≥3 and ≥6 who achieved BU Clinically Meaningful Improvement (CMI; >3 change in UNRS) and BU remission (UNRS ≤2). Treatment comparisons used Cochran-Mantel-Haenszel tests with non-responder imputation for missing values.
Results: Study population: 55.1% male. Mean (SD) age 36.2 (13.0) years. Disease duration 7.4 (7.9) years. At BL, median (Q1, Q3) UNRS 6.9 (5.2, 8.1), 94.5% patients achieved UNRS ≥3 and 66.0% patients achieved ≥6. In patients with BL UNRS ≥3, nominally significantly higher proportions of miri versus PBO patients achieved BU CMI and BU remission at both W12 and W52 (Table). A nominally significantly greater proportion of miri-treated patients achieved W52 BU CMI-composite and BU remission-composite (Table). Similar results were seen with BL UNRS ≥6.

W12 PBO W12 Miri W12
p-value
W12 95% CI W52 PBO W52 Miri W52
p-value
W52 95% CI
UNRSa CFB (LSM ±SE) -1.58 (0.168) -2.44 (0.099) 0.00011 -1.24, -0.48 -1.23 (0.180) -3.24 (0.106) <0.0001 -2.42, -1.60


Patients with BL UNRS ≥3
BU CMI-TT 50/186 (26.9) 227/547 (41.5) 0.0004 6.7, 22.0 38/186 (20.4) 301/547 (55.0) <0.0001 28.0, 42.1
BU CMI-compositeb 38/186 (20.4) 251/547 (45.9) <0.0001 18.5, 32.8
BU Remissionc-TT 29/186 (15.6) 134/547 (24.5) 0.01 2.3, 15.0 21/186 (11.3) 209/547 (38.2) <0.0001 21.0, 33.2
BU Remission-composite 21/186 (11.3) 180/547 (32.9) <0.0001 15.7, 27.8


Patients with BL UNRS ≥6
BU CMI-TT 38/137 (27.7) 180/376 (47.9) 0.0001 9.8, 28.2 31/137 (22.6) 229/376 (60.9) <0.0001 30.1, 47.3
BU CMI-composite 31/137 (22.6) 188/376 (50.0) <0.0001 18.4, 36.0
BU Remission-TT 11/137 (8.0) 70/376 (18.6) 0.007 3.8, 15.8 13/137 (9.5) 126/376 (33.5) <0.0001 17.1, 31.1
BU Remission-composite 13/137 (9.5) 111/376 (29.5) 0.0002 13.2, 27.0
PBO, N=199; Miri, N=579. Data are N (%) unless otherwise stated. aUNRS scale: 0 (no urgency)-10 (worst possible urgency)3. bComposite=Clinical response by PRO (2 of the patient-reported items of the CDAI, AP and SF) at W12 and W52 parameter (CMI or Remission). cBU remission=no to minimal BU (UNRS≤2). Treatment comparison: CFB used a mixed model for repeated measures model containing treatment, BL value, visit, stratification factors and interaction of BL value by visit and treatment by visit. Response rates used Cochran-Mantel-Haenszel tests with non-responder imputation. AP=abdominal pain; BL=baseline; CFB=change from BL; CI=confidence interval; CMI=clinically meaningful improvement; LSM=least squares mean; PBO=placebo; PRO=Patient Reported Outcome; SD=standard deviation; SE=standard error; SF=stool frequency; TT=treat-through; UNRS=Urgency Numeric Rating Scale; W=week.

Conclusion: BU is one of the most unrecognised symptoms in patients with CD. Patients enrolled in VIVID-1 had high BU scores at BL. Compared to PBO-treated pts, miri-treated pts achieved nominally significantly higher rates of BU CMI and remission at W12 and W52.

11:55 – 12:01

KV 057 Real-World-Erfahrung mit Mirikizumab in der Therapie con mehrfach immunmodulierend vorbehandelten Patienten mit Colitis Ulcerosa: erste Interims-Analyse-Daten eines Europäischen CED-Zentrums

Thomas Ochsenkühn (München)

KV 057 Real-World-Erfahrung mit Mirikizumab in der Therapie con mehrfach immunmodulierend vorbehandelten Patienten mit Colitis Ulcerosa: erste Interims-Analyse-Daten eines Europäischen CED-Zentrums

T. Ochsenkühn1, C. Tillack-Schreiber2, D. Szokodi2, F. Schnitzler3, C. Waggershauser2

1Isarklinikum, Gastroenterologie, Munich, Deutschland, 2VIVAQ-MVZ, München, Deutschland, 3Praxisklinik München-Pasing, München, Deutschland

Einleitung: Mirikizumab, ein monoklonaler Antikörper, der die p19-Untereinheit von IL-23 hemmt, wurde im Mai 2024 in Deutschland zur Behandlung der mäßig bis schwer aktiven Colitis ulcerosa (CU) zugelassen. Ziel unserer Untersuchung war es, die Wirksamkeit und Sicherheit von Mirikizumab (MIRI) unter real-world-Bedingungen zu bewerten.
Ziele und Methodik: Im Oktober 2023 starteten wir eine Beobachtungsstudie, in der Daten von Patienten mit mäßig bis schwerer CU erhoben wurden, die eine Behandlung mit MIRI in unserem CED-Zentrum in München begannen. Die primären Endpunkte waren klinische Remission, definiert als ein Clinical Activity Index <4 (CAI, Lichtiger-Score), und endoskopische Remission, definiert als ein endoskopischer Mayo-Score ≤1 nach 12 Monaten. Sekundäre Endpunkte umfassten monatliche Entwicklungen des Calprotectins im Stuhl, der CAI-Scores, der Dringlichkeitsbewertungen auf einer numerischen Skala (NRS). Unerwünschte Ereignisse wurden systematisch erfasst.
Ergebnis: Bislang haben 73 Patienten eine zugelassene MIRI-Therapie begonnen; keiner hat die Behandlung abgebrochen. Von diesen haben 55 Patienten den 6-Monats-Follow-up erreicht. Diese 55 Patienten hatten eine mediane Krankheitsdauer von 11 Jahren (range 3–43), 55 % waren weiblich. Alle 55 Patienten hatten vor Beginn der MIRI-Therapie bereits drei oder mehr fortgeschrittene Therapien erhalten, und 23 Patienten (42 %) erhielten MIRI gleichzeitig mit einer weiteren zielgerichteten Therapie. Von den 55 Patienten hatten 29 (53 %) zuvor auf Ustekinumab (90 mg alle 8 Wochen) einen Wirkverlust gezeigt, und 19 (35 %) erhielten zu Beginn der MIRI-Therapie noch Steroide. Zu Studienbeginn hatten 36 Patienten einen Mayo-Endoskopie-Score von II oder III, und 19 einen Score von 0 oder I.

  • Die Raten klinischer Remission stiegen von 36 % zu Beginn auf 42 % nach 1 Monat (p=0,6), 40 % nach 2 Monaten (p=0,8), 49 % nach 3 Monaten (p=0,09), 58 % nach 4 Monaten (p=0,008) und 58 % nach 6 Monaten (p=0,008; McNemar-Test).
  • Der mediane NRS-Dringlichkeitswert verbesserte sich von 5 (range 0–10) zu Beginn auf 1 (range 0–9) nach 6 Monaten (p<0,0001; Wilcoxon-Test).
  • Der mediane Calprotectinwert sank von 460 (range 20–2100) zu Beginn auf 75 (range 20–2100) nach 6 Monaten (p<0,0001; Wilcoxon-Test).
  • Beobachtete Nebenwirkungen waren mild.

Schlussfolgerung: Mirikizumab zeigte unter real-world-Bedingungen eine klinische Wirksamkeit und gute Verträglichkeit in einer Kohorte von CU-Patienten mit mehrfachen Vorbehandlungen.

12:03 – 12:09

KV 058 Early and sustained improvement in patient-reported outcomes and biomarker concentrations with tulisokibart induction in patients with moderately to severely active ulcerative colitis: A post-hoc analysis from ARTEMIS-UC

Maik Sossdorf (Munich)

KV 058 Early and sustained improvement in patient-reported outcomes and biomarker concentrations with tulisokibart induction in patients with moderately to severely active ulcerative colitis: a post-hoc analysis from ARTEMIS-UC

M. Sossdorf1, L. Peyrin-Biroulet1, M. Yen5, W. Zhou5, B. Dong5, S. Danese2, B.G. Feagan6, B.E. Sands7

1MSD Sharp & Dohme GmbH, Munich, Deutschland, 2Department of Gastroenterology, INFINY Institute, INSERM NGERE, Centre Hospitalier Régional Universitaire de Nancy, Vandoeuvre-lès-Nancy, Frankreich, 3Merck & Co., Inc., Rahway, Vereinigte Staaten, 4Gastroenterology and Gastrointestinal Endoscopy Unit, IRCCS San Raffaele Scientific Institute, Vita-Salute San Raffaele University, Milan, Italien, 5Departments of Medicine, Epidemiology, and Biostatistics, Western University, London, Kanada, 6Dr. Henry D. Janowitz Division of Gastroenterology, Icahn School of Medicine at Mount Sinai, New York, Vereinigte Staaten

Introduction: In the phase 2 ARTEMIS-UC trial,1 12 weeks of induction treatment with tulisokibart led to significant rates of clinical remission, endoscopic improvement and mucosal healing, and improvement in patient-reported outcome (PRO) measures and disease surrogate biomarkers in patients with moderately to severely active ulcerative colitis (UC).
Objectives: This post-hoc analysis from ARTEMIS-UC examined the time course of improvement from baseline in PRO-2 score and biomarkers with tulisokibart.
Methodology: Patients were randomized 1:1 to receive i.v. placebo or tulisokibart (1000 mg on Day 1 and 500 mg at Weeks 2, 6, and 10). The study population consisted of 2 cohorts based on a genetic diagnostic test (Dx) assessing likelihood for responding to anti-TL1A treatment. Cohort 1 included participants stratified by Dx results while Cohort 2 included only Dx positive participants. Cohort 1 is the population used in this post-hoc analysis. Participants recorded stool frequency and rectal bleeding scores daily using an e-diary. Fecal calprotectin was assessed at baseline and Weeks 6 and 12, and hs-CRP was assessed at baseline and Weeks 2, 6, 10, and 12. Symptomatic response was defined as a reduction from baseline in PRO-2 score ≥ 1 point. A mixed model repeated measures approach was used to compare tulisokibart to placebo for the difference in PRO-2 score for the first 14 days of treatment and the fold change from baseline in fecal calprotectin and hs-CRP at each timepoint.
Results: Among 135 randomized participants in Cohort 1, 60/67 (89.6%) receiving placebo and 68/68 (100%) receiving tulisokibart completed the 12-week induction period. The numerical difference in improvement of PRO-2 started as early as Day 2 and achieved significant improvement with tulisokibart compared to placebo at Day 9, with a sustained improvement persisting from the latter part of Week 2 through Week 12 (Figure 1, Table 1). Significant improvements with tulisokibart compared to placebo in fecal calprotectin and hs-CRP were observed by Weeks 6 and 2 (the first time point when these biomarkers were measured), respectively, which were maintained through Week 12 (Table 1).
Conclusion: In patients with moderately to severely active UC, induction with tulisokibart led to early and sustained improvement in patient-reported outcomes. Induction with tulisokibart also led to early and persistent improvement in biomarkers.
References:
1. Sands, et al. N Engl J Med 2024;391:1119-29.

Table 1. Symptomatic response and biomarker results over time.

Figure 1. LS mean (SE) change from baseline in PRO-2 score over the first 14 days of the study.

12:11 – 12:17

KV 059 Long-term efficacy and safety of tulisokibart in participants with ulcerative colitis: the open-label extension of the phase 2 ARTEMIS-UC study

Maik Sossdorf (Munich)

KV 059 Long-term efficacy and safety of tulisokibart in participants with ulcerative colitis: the open-label extension of the phase 2 ARTEMIS-UC study

M. Sossdorf1, C. Ma2, S. Hoque3, M.P. Sparrow4, J.K. Anderson5, M. Yen5, B. Dong5, B.G. Feagan6, B.E. Sands7

1MSD Sharp & Dohme GmbH, Munich, Deutschland, 2Division of Gastroenterology & Hepatology, Departments of Medicine and Community Health Sciences, University of Calgary, Calgary, Kanada, 3Department of Gastroenterology, Barts Health NHS Trust, London, Vereinigtes Königreich, 4Department of Gastroenterology, School of Translational Medicine, Monash University and Alfred Health, Melbourne, Australien, 5Merck & Co., Inc., Rahway, Vereinigte Staaten, 6Departments of Medicine, Epidemiology, and Biostatistics, Western University, London, Kanada, 7Dr. Henry D. Janowitz Division of Gastroenterology, Icahn School of Medicine at Mount Sinai, New York, Vereinigte Staaten

Introduction: Tumor necrosis factor–like cytokine 1A (TL1A) is a regulator of inflammation and fibrosis in inflammatory bowel disease. Tulisokibart, an anti-TL1A monoclonal antibody, demonstrated efficacy without clinically meaningful safety findings vs placebo after a 12-week induction in adults with moderately to severely active UC in the multicenter, double-blind, placebo-controlled phase 2 ARTEMIS-UC study.1
Objectives: We report long-term efficacy and safety of tulisokibart among cohort 1 induction responders at week 50from the OLE period of ARTEMIS-UC.
Methodology: Participants were enrolled into 2 cohorts based on a genetic diagnostic test (Dx): cohort 1 (Dx-positive and negative) and cohort 2 (Dx-positive only; not reported here). Induction dosing was intravenous (IV) tulisokibart 1000 mg (day 1) and 500 mg (weeks 2, 6, and 10) or placebo. At week 14, induction responders (reduction of ≥2 points and ≥30% in modified Mayo score [mMS] from baseline, and reduction ≥1 in rectal bleeding subscore or absolute rectal bleeding subscore ≤1 at week 12) were randomized (stratified by Dx status) to open-label IV tulisokibart 100 mg or 250 mg every 4 weeks. We report clinical, endoscopy, biomarker, and safety outcomes up to week 50 for cohort 1 tulisokibart induction responders. Efficacy outcomes include clinical remission, endoscopic improvement, and fecal calprotectin.
Results: Tulisokibart induction responders (47/68) were randomized to tulisokibart 100 mg (n=22) or 250 mg (n=25). Clinical, endoscopic, and biomarker outcomes are shown in the Table. In the safety population, (tulisokibart 100 mg, n=30; 250 mg, n=35), adverse events (AEs) occurred in 77% and 63% of participants, respectively; most were mild to moderate in severity. Serious AEs occurred in 3% and 7% of patients in the 100 mg and 250 mg groups, respectively.
Conclusion: At week 50, maintenance of treatment efficacy was generally observed in cohort 1 induction responders in the tulisokibart group. A trend for higher efficacy with tulisokibart 250 mg vs 100 mg maintenance treatment was observed at week 50. Tulisokibart was well tolerated with no identified safety signals.
References:
1. Sands, et al. N Engl J Med 2024;391:1119-29.

Table. Clinical, endoscopic, and biomarker outcomes at week 12 in the cohort 1 tulisokibart group and at week 50 among cohort 1 induction responders in the tulisokibart group

12:19 – 12:25

KV 060 Efficacy and safety results of tulisokibart re-induction treatment in participants with ulcerative colitis in the Phase 2 ARTEMIS-UC clinical trial

Maik Sossdorf (Munich)

KV 060 Efficacy and safety results of tulisokibart re-induction treatment in participants with ulcerative colitis in the Phase 2 ARTEMIS-UC clinical trial

M. Sossdorf1, S. Hoque2, B.E. Sands3, B.G. Feagan4, M. Yen5, B. Dong5, W. Zhou5, S. Danese6

1MSD Sharp & Dohme GmbH, Munich, Deutschland, 2Department of Gastroenterology, Barts Health NHS Trust, London, Vereinigtes Königreich, 3Dr. Henry D. Janowitz Division of Gastroenterology, Icahn School of Medicine at Mount Sinai, New York, Vereinigte Staaten, 4Departments of Medicine, Epidemiology, and Biostatistics, Western University, London, Kanada, 5Merck & Co., Inc., Rahway, Vereinigte Staaten, 6Gastroenterology and Gastrointestinal Endoscopy Unit, IRCCS San Raffaele Scientific Institute, Vita-Salute San Raffaele University, Milan, Italien

Introduction: Tulisokibart is a monoclonal antibody targeting tumor necrosis factor-like cytokine 1A (TL1A), a key regulator of inflammation and fibrosis in ulcerative colitis (UC). The Phase 2 ARTEMIS-UC study showed that a higher percentage of tulisokibart participants achieved clinical remission after 12 weeks compared to placebo1.
Objectives: This analysis evaluated the effects of re-induction treatment for participants who did not respond during the initial 12-week induction phase of the study.
Methods: Participants (≥18 years) with moderate to severe active UC with conventional/advanced treatment failure were randomized (1:1 ratio) to placebo or 12 weeks of intravenous tulisokibart (1000 mg on Day 1 and 500 mg on Weeks 2, 6, and 10). The study included 2 cohorts based on a genetic diagnostic test assessing response likelihood to anti-TL1A treatment. Cohort 1 included participants stratified by Dx results, while Cohort 2 included only Dx-positive participants. Cohort 1 is used for post-hoc analyses of induction non-responders, defined as those who did not achieve a ≥2-point reduction and ≥30% in modified Mayo score at week 12 accompanied by a reduction ≥1 in rectal bleeding sub score or absolute rectal bleeding subscore ≤1 at week 12. Efficacy and safety were assessed at Week 26 after re-induction.
Results: In Cohort 1, 67 and 68 participants were randomized to receive placebo or tulisokibart induction treatment, respectively. At Week 14, 41 (placebo) and 21 (tulisokibart) induction non-responders entered re-induction and received 12-week open label tulisokibart treatment. At Week 26, 48% and 63% of participants who received initial 12-week of tulisokibart treatment (total 24-week tulisokibart treatment) and 63% and 76% of participants who received initial 12-week placebo treatment (total 12-week tulisokibart treatment) achieved symptomatic improvement and symptomatic response, respectively. Re-induction with tulisokibart was well tolerated with no serious AEs or discontinuations due to AEs and no new safety signals (Table).
Conclusions: Re-induction treatment with tulisokibart is effective in participants who did not respond to initial induction treatment. Additionally, up to two tulisokibart induction regimens of 24 weeks is well tolerated with no new safety signals identified.
References:
1. Sands, et al. N Engl J Med 2024;391:1119-29.

Table. Symptomatic Efficacy and Adverse Events After Re-Induction Treatment

12:27 – 12:33

KV 061 Long-Term Efficacy and Safety of Intravenous (IV) Tulisokibart in Patients with Crohn’s Disease (CD): Results from the Open-Label Extension Period of the Phase 2 APOLLO-CD Study

Maik Sossdorf (Munich)

KV 061 Long-term efficacy and safety of intravenous (IV) Tulisokibart in patients with crohn’s disease (CD): Results from the open-label extension period of the phase 2 APOLLO-CD study

M. Sossdorf1, C.A. Siegel2, R.W. Leong3, J.K. Anderson4, M. Yen4, B. Dong4, B.E. Sands5, S. Danese6, B.G. Feagan7

1MSD Sharp & Dohme GmbH, Munich, Deutschland, 2Dartmouth-Hitchcock Inflammatory Bowel Disease Center, Section of Gastroenterology and Hepatology, Dartmouth-Hitchcock Medical Center, Lebanon, Vereinigte Staaten, 3Concord Hospital and Macquarie University Hospital, Sydney, Australien, 4Merck & Co., Inc., Rahway, Vereinigte Staaten, 5Dr. Henry D. Janowitz Division of Gastroenterology, Icahn School of Medicine at Mount Sinai, New York, Vereinigte Staaten, 6Gastroenterology and Gastrointestinal Endoscopy Unit, IRCCS San Raffaele Scientific Institute, Vita-Salute San Raffaele University, Milan, Italien, 7Departments of Medicine, Epidemiology, and Biostatistics, Western University, London, Kanada

Introduction: Tumor necrosis factor–like cytokine 1A (TL1A) is a mediator of inflammation and fibrosis in CD. Tulisokibart, an anti-TL1A monoclonal antibody, demonstrated robust efficacy without adverse safety signals during the 12-week induction period in adults with moderately to severely active CD in the multicenter, open-label, phase 2a APOLLO-CD study.
Objectives: We report long-term efficacy and safety data for tulisokibart at week 50 from this open-label extension (OLE) study.
Methods: During the 12-week induction period, participants received IV tulisokibart 100 mg on day 1 and 500 mg at weeks 2, 6, and 10. Responders to tulisokibart at 12-weeks (defined as a decrease from baseline in CD activity index [CDAI] of ≥100 points or CDAI <150 at week 12) were given the opportunity to enter the OLE study; 12-week non-responders discontinued the study. At week 14, responders were randomized to receive IV tulisokibart 100 or 250 mg Q4W until week 170. Efficacy outcomes through week 50 in the intention-to-treat population are reported. Safety was evaluated in all participants who received ≥1 dose of tulisokibart.
Results: 53 of 55 participants completed the 12-week induction period; 37 were considered induction responders and were randomized to receive tulisokibart 250 mg (n=18) or 100 mg (n=19). A greater proportion of participants who were biologic-naive entered the OLE in the tulisokibart 250 vs 100 mg group (44% vs 21%). Improvements in clinical, endoscopic, and biomarker outcomes observed with tulisokibart were generally maintained through week 50 in both dose groups. At week 50, a greater proportion of participants achieved clinical and endoscopic outcomes with tulisokibart 250 mg vs 100 mg (Table). Normalization of high-sensitivity C-reactive protein favored the 250 vs the 100 mg dose. At week 50, AEs were reported in 83% and 84% of participants receiving tulisokibart 250 and 100 mg, respectively, and were mostly mild-to-moderate in severity. Serious AEs occurred in 1 (6%) and 2 (11%) participants receiving tulisokibart 250 and 100 mg, respectively.
Conclusions: At week 50, maintenance of treatment efficacy was generally observed with tulisokibart in induction responders. A trend for higher maintenance efficacy was observed with tulisokibart 250 vs 100 mg. Tulisokibart was well tolerated with no safety signals identified through 50 weeks of treatment. Larger trials are needed to confirm these findings.

Table. Clinical, endoscopic and biomarker outcomes at week 12 and among 12-week induction responders at week 50

12:35 – 12:41

KV 062 A pharmacokinetic (PK) similarity study between AVT05 and reference product golimumab

Steffen Leutz (Zürich)

KV 062 A pharmacokinetic (PK) similarity study between AVT05 and reference product golimumab

C. Wynne1, U. Lorch2, E. Krantz3, R. Katial4, T. Ashdown2, S. Leutz5, AVT05 Study Group

1New Zealand Clinical Research, Christchurch, Neuseeland, 2Richmond Pharmacology Ltd, London, Vereinigtes Königreich, 3Farmovs Integrated Research Solutions, Bloemfontein, Südafrika, 4New Zealand Clinical Research, Auckland, Neuseeland, 5Alvotech Swiss AG, Zürich, Schweiz

Introduction: AVT05, a recombinant human IgG1қ monoclonal antibody (mAb), is a proposed biosimilar to golimumab.
Objectives: This study assessed the pharmacokinetic (PK) similarity, safety, tolerability, and immunogenicity between AVT05 and reference product (RP) golimumab in healthy adult participants.
Methodology: 336 healthy male and female participants aged 18 to 55 years were randomized in a 1:1:1 ratio to AVT05, US licensed-RP (US-RP) or EU approved-RP (EU-RP; Figure 1). Participants received a single 50 mg/0.5 mL subcutaneous injection on Day 1 and were followed until Day 75. The primary PK endpoints were maximum serum concentration (Cmax) and area under the serum concentration-time curve from time zero to infinity (AUC0-inf). PK similarity was demonstrated if the 90% confidence intervals (CIs) for the geometric mean ratio (GMR) for both AUC0-inf and Cmax were contained entirely within the prespecified margins of 80.00% and 125.00% for all six pairwise treatment comparisons (Figure 1). Secondary endpoints were additional PK parameters, safety, tolerability and immunogenicity.
Figure 1: Study Schematic for AVT05-GL-P01
Results: Demographic and baseline characteristics were balanced between the treatment groups. The 90% CI for GMR of both primary PK parameters for all three pairwise comparisons was within the prespecified margins of 80.00% and 125.00% (Figure 2). Secondary PK parameters were comparable among the treatment arms. Mean serum golimumab concentrations through Day 75 post-dose were similar between treatment arms.
The frequency of TEAEs was comparable among the treatment arms, and most were mild to moderate in severity. There were 2 serious TEAEs reported (1(0.9%) each in AVT05 and EU-RP arms), neither of which were considered treatment-related. Local administration site reactions were mild in severity and observed in 6.1%, 10.8% and 5.5% of participants in the AVT05, EU-RP and US-RP arms, respectively. Overall, 87 (75.7%), 92 (82.9%) and 89 (80.9%) participants in the AVT05, EU-RP and US-RP arms, respectively, were anti-drug antibodies (ADAs) positive, among those 66 (57.4%), 68 (61.3%) and 61 (55.5%) participants, respectively, were neutralizing antibodies (NAbs) positive at least once during the study.
Figure 2: PK Similarity Assessment of Serum Golimumab Pharmacokinetic Parameters by Treatment (Pharmacokinetic Population)
Conclusion: Following a single dose administration, the study supported a demonstration of pharmacokinetic similarity between AVT05 and EU-and US-RP in healthy participants. Safety, tolerability, and immunogenicity profiles were comparable between the treatment arms.

12:43 – 12:49

KV 063 Assessment of comparative efficacy between candidate biosimilar AVT05 and reference golimumab

Steffen Leutz (Zürich)

KV 063 Assessment of comparative efficacy between candidate biosimilar AVT05 and reference golimumab

M. Luque1, K. Zhelyazkova1, L. Vashishta1, M. Rai1, A. Sattar1, R. Bucknall1, S. Leutz1, F. Berti1

1Alvotech Swiss AG, Zürich, Schweiz

Introduction: Golimumab is a safe and effective treatment for patients with RA. Biosimilars to the reference product (RP; Simponi®) may make treatment more accessible.
Objectives: We assessed comparable efficacy of AVT05, a golimumab candidate biosimilar, and RP, each used in combination with MTX , in participants with moderate to severe RA (NCT05842213).
Methodology: This was a 52-week, randomized, double-blind, 2-arm, parallel group, active control study. Participants were randomized 1:1 to receive AVT05 (n = 251) or RP (n = 251), 50 mg subcutaneously every 4 weeks to Week 12 inclusive. Randomization was stratified by baseline Disease Activity Score-28 for RA using C-reactive Protein (DAS28-CRP) score (≤5.1 and >5.1). The primary endpoint was change from baseline in DAS28-CRP at Week 16.
At Week 16, responder participants (DAS28-CRP decreased by >0.6 from baseline and disease activity DAS28-CRP ≤5.1) initially enrolled in the AVT05 arm, continued to receive AVT05 every 4 weeks. Responder participants initially randomized to RP were re-randomized 1:1 to either continue receiving RP or switch to AVT05. Non-responders were discontinued from study drug. Additional efficacy measures, as well as efficacy at additional timepoints, were assessed as secondary endpoints.
Safety and immunogenicity endpoints were also assessed.
Results: At Week 16 the two-sided 95% confidence interval of the least squares mean difference was entirely contained within the prespecified equivalence margin of -0.6, 0.6 (-0.07, 0.25), supporting a demonstration of comparative efficacy. Two sensitivity analyses supported the robustness of the primary endpoint estimates. There were no notable differences in subgroup analyses (Figure 1). Secondary efficacy analyses were consistent with the primary endpoint, including in participants who switched treatments.

Figure 1 Forest Plot of 95% CI of Change from Baseline in Disease Activity Score-28 using C-Reactive Protein (DAS28-CRP) Score up to Week 16 Excluding Data Impacted by ICEs
Overall safety profiles showed no clinically meaningful differences between treatments, including in participants who switched treatments. Immunogenicity profiles were comparable between treatment arms at all timepoints, including in participants who switched treatments.
Conclusion: Analysis of the change in DAS28-CRP from baseline to Week 16 supported the assessment of comparative efficacy between AVT05 and RP. Secondary efficacy endpoints were consistent with this, including in participants who switched. AVT05 had a safety and immunogenicity profile similar to that observed for RP at all timepoints, including in participants who switched.

Kurzvortragssitzung

MASLD und mehr: Genetische und metabolische Lebererkrankungen im Fokus

09:30 – 10:50

Do 18.09.

Seminarraum 14 + 15

Open Accordion - Icon Close Accordion - Icon

Vorsitz: Paul Horn (Berlin)

09:30 – 09:36

KV 132 Serumkonzentrationen von Apolipoprotein C3 in verschiedenen Stadien der metabolischen Dysfunktion-assoziierten steatotischen Lebererkrankung und deren diagnostische Relevanz

Eva Messer (Leipzig)

KV 132 Serumkonzentrationen von Apolipoprotein C3 in verschiedenen Stadien der metabolischen Dysfunktion-assoziierten steatotischen Lebererkrankung und deren diagnostische Relevanz

E.K. Messer1, J. Fischer1, T. Herta2,1, A. Böhlig3,1, M. Matz-Soja1, A. Tünnemann-Tarr4, S. Gaul4, U. Laufs4, T. Berg1

1Universitätsklinikum Leipzig, Hepatologie, Leipzig, Deutschland, 2Charité – Universitätsmedizin Berlin, Hepatologie und Gastroenterologie, Berlin, Deutschland, 3Klinik Delitzsch, Innere Medizin, Delitzsch, Deutschland, 4Universitätsklinikum Leipzig, Kardiologie, Leipzig, Deutschland

Einleitung: Die Serumkonzentration von Apolipoprotein C3 (ApoC3) korreliert eng mit den Plasmatriglyceridspiegeln. Über die Modulation des hepatischen Lipidstoffwechsels können erhöhte ApoC3-Spiegel zur Pathogenese der metabolischen Dysfunktion-assoziierten steatotischen Lebererkrankung (MASLD) beitragen.
Ziele: Ziel dieser Studie ist es, das Potential von ApoC3 als nicht-invasiven Biomarker zur Detektion fortgeschrittener Krankheitsstadien der MASLD (Fibrose, Zirrhose, hepatozelluläres Karzinom (HCC)) zu evaluieren.
Methodik: Die ApoC3-Serumkonzentrationen wurden mittels eines Enzymimmunoassays in Serumproben einer MASLD-Kohorte sowie gesunder Blutspender bestimmt. Zusätzlich wurden laborchemische Parameter und demografische Daten der Patienten erhoben. Der Schweregrad der Fibrose und Steatose wurde durch transiente Elastographie, einschließlich Messung der Lebersteifigkeit und des Controlled Attenuation Parameter (CAP), beurteilt. Vorliegende histopathologische Befunde aus Leberbiopsien wurden ergänzend in die Analyse einbezogen.
Ergebnis: Insgesamt wurden 197 MASLD-Patienten mit unterschiedlichen Stadien der Lebererkrankung (Steatose: n=52, Fibrose: n=22, Zirrhose: n=76, HCC: n=47) sowie 204 gesunde Kontrollen eingeschlossen. Die ApoC3-Serumkonzentrationen waren bei Patienten mit Zirrhose (Median 18,8 [2,9-119,3] mg/dL) oder HCC (21,9 [3,7-93,2] mg/dL) signifikant niedriger als bei Patienten mit einfacher Steatose (26,6 [6,0-235,0] mg/dL) (p=0,006 bzw. p=0,003). In der histopathologischen Auswertung zeigte sich eine Assoziation hoher ApoC3-Spiegel mit einem höheren Grad an Steatose (S3: 38,1 [3,7-39,0] vs. S2: 16,1 [4,1-60,9] vs. S1: 12,1 [3,7-39. 0] mg/dL, p=0,032) sowie mit ausgeprägter Leberentzündung (NAS-Score 5-8: 40,3 [3,8-52,4] mg/dL vs. NAS 0-2: 13,5 [3,7-59,9] mg/dL vs. NAS 3-4: 15,6 [9,0-60,9) mg/dL], p=0,045).
Schlussfolgerung: Die vorliegenden Daten zeigen, dass die Serumkonzentration von ApoC3 mit dem histologischen Schweregrad der MASLD korreliert. Während signifikant niedrigere ApoC3-Spiegel bei Patienten mit fortgeschrittener Lebererkrankung (Zirrhose, HCC) detektiert wurden, war eine Erhöhung der Konzentrationen mit höherem Steatosegrad sowie ausgeprägter Inflammation assoziiert. Diese Ergebnisse weisen auf eine potenzielle diagnostische Relevanz von ApoC3 im Rahmen der stadienbezogenen Charakterisierung der MASLD hin.

09:38 – 09:44

KV 133 Survodutid, ein dualer Glukagon/GLP-1 Rezeptoragonist, in Patient*innen mit MASH und Leberfibrose (F2-3): LIVERAGETM eine ereignisgesteuerte, randomisierte, placebokontrollierte Phase-3-Studie

Jörn Schattenberg (Homburg)

KV 133 Survodutid, ein dualer Glukagon/GLP-1 Rezeptoragonist, in Patient*innen mit MASH und Leberfibrose (F2-3): LIVERAGETM eine ereignisgesteuerte, randomisierte, placebokontrollierte Phase-3-Studie

J.M. Schattenberg1, M. Noureddin2, N. Alkhouri3, L. Borowska4, D.F. Mazo4, M. Brueckmann4, M. Fraessdorf4, S.A. Hussain4, R. Jounes4, A.J. Sanyal5

1Universität des Saarlandes, Klinik für Innere Medizin II, Homburg, Deutschland, 2Houston Methodist Hospital, Department of Medicine, Houston, Vereinigte Staaten, 3Arizona Liver Health, Phoenix, Vereinigte Staaten, 4Boehringer Ingelheim, Ingelheim am Rhein, Deutschland, 5Virginia Commonwealth University, Richmond, Vereinigte Staaten

Einleitung: Der duale Agonismus des Glukagon- (GCGR) und des Glucagon-like Peptid-1 (GLP-1R)-Rezeptors kann bei der Behandlung der metabolischen Dysfunktion-assoziierten Steatohepatitis (MASH) wirksam sein. Survodutid verbesserte die Steatohepatitis als auch die Leberfibrose in einer 48-wöchigen Phase-2-Studie bei Menschen mit MASH und Fibrose (F1-F3). Wir beschreiben hier das Design einer Phase-3-Studie mit Survodutid zur Behandlung von MASH (LIVERAGETM).
Methode: 2-teilige Studie, mit ~1800 Teilnehmer*innen in ~40 Ländern (NCT06632444).
Haupteinschlusskriterien: Alter ≥18 Jahre, biopsiebestätigte Diagnose von MASH und F2-F3-Fibrose, überprüft anhand folgender Parameter: Aspartat-Aminotransferase (AST) >20 E/l, Lebersteifigkeit durch FibroScan vibrationskontrollierte transiente Elastographie (VCTE) ≥7,5 kPa, FibroScan-AST (FAST)-Score >0,36 und Leberfettanteil ≥8 % durch MRT-PDF.
Ausschlusskriterien: AST oder Alanin Aminotransferase ≥5x Obergrenze des Normbereichs [ULN], Thrombozyten <140.000/mm3, Albumin <3,5 g/dl, international normalized ratio der Prothrombinzeit >1,3, Bilirubin ≥1,5x ULN, akute oder andere chronische Lebererkrankung, Zirrhose, portale Hypertonie, dekompensierte Lebererkrankung, hepatozelluläres Karzinom, MELD-Score ≥12, Lebertransplantation.
Teilnehmer*innen werden doppelblind im Verhältnis 2:1 randomisiert in 1x wöchentliche, subkutane Injektionen von Survodutid, auftitriert auf 6,0 mg, oder Placebo. Teil 1: beide primären Endpunkte der ersten 700 Teilnehmer*innen werden in Woche 52 bewertet: Auflösung der MASH ohne Verschlechterung der Leberfibrose und Verbesserung um ≥1 Punkt des Fibrosestadiums ohne Verschlechterung der MASH. Wichtigste sekundäre Endpunkte: relative Veränderung des Körpergewichts gegenüber Baseline (BL), absolute Veränderung des glykierten Hämoglobins gegenüber BL (Teilnehmer*innen mit Typ 2 Diabetes), Enhanced Liver Fibrosis Score und Lebersteifheit durch VCTE und Erreichen des nicht Voranschreitens der Fibrose. In Teil 2 ist der primäre Endpunkt für alle Teilnehmer*innen ein zusammengesetzter Endpunkt aus der Zeit bis zur ersten Progression zur Zirrhose, Gesamtmortalität, Lebertransplantation, hepatisches Dekompensationsereignis, Verschlechterung des MELD-Scores auf ≥15 oder Progression zu einer klinisch signifikanten portalen Hypertonie.
Ergebnis: Start der Rekrutierung Oktober 2024. Studienende 2031.
Schlussfolgerung: LIVERAGETM wird die Langzeitwirkungen von Survodutid auf Steatohepatitis, Fibrose, Leberereignisse und Gesamtmortalität bei Patient*innen mit fibrotischer MASH aufzeigen.

09:46 – 09:52

KV 134 Resmetirom effects on metabolic dysfunction associated steatohepatitis (MASH) with liver fibrosis in patients with mash genetic risk alleles

Jörn Schattenberg (Homburg)

KV 134 Resmetirom effects on metabolic dysfunction associated steatohepatitis (MASH) with liver fibrosis in patients with mash genetic risk alleles

J. Schattenberg1

1Universitätsklinikum des Saarlandes, Homburg, Deutschland

Introduction: MAESTRO-NASH is an ongoing 54-month, randomized, double-blind, placebo-controlled Phase 3 trial evaluating the
efficacy of resmetirom in patients with biopsy-confirmed nonalcoholic steatohepatitis (NASH/MASH) and fibrosis. 966 patients with
biopsy-confirmed NASH were randomized 1:1:1 to resmetirom 80 mg, resmetirom 100 mg, or placebo administered once daily.
Histologic endpoints were assessed after 52 weeks. Dual primary endpoints at Week 52 were achieved with both resmetirom 80 mg
and 100 mg: NASH resolution with no worsening of fibrosis (NR) or ≥1-stage reduction in fibrosis with no worsening of NAS (FI). In this
analysis, we examined the impact of baseline PNPLA3 ,TM6SF2 and MBOAT7 genotypes on the response to resmetirom on serial liver
biopsy and MRI-PDFF (magnetic resonance imaging proton density fat fraction).
Objectives and Methods: In the Phase 3 study (MGL-3196-11), PNPLA3 rs738409, TM6SF2 rs58542926 and MBOAT7 rs6141738 were
genotyped in patients consenting to DNA collection and genetic testing for the response to
resmetirom on serial liver biopsy and MRI-PDFF. The NASH resolution and fibrosis improvement responses on liver biopsy and the
MRI-PDFF (median percent change from baseline at Week 52) response were analyzed within each treatment arm, comparing wild
type, heterozygote and homozygote for each genetic risk allele.
Results: Across three treatment arms, 740 patients had genotyping and serial liver biopsy data. The frequency of PNPLA3GG (wild
type), PNPLA3 CG (heterozygous), and GG (homozygous) genotypes across 3 treatment arms were 30-32%, 45-50% and 20-24% respectively. The frequency of TM6SF2 CC (wild type), TM6SF2 CT (heterozygous),
and TM6SF2 TT (homozygous) genotypes were 79-82%, 15-21% and 0-3% across 3 treatment arms. The frequency of MBOAT7 CC (wild type), MBOAT7 CT (heterozygous) and MBOAT7 TT (homozygous)
genotypes were 28-29%, 47-50%, and 21-24% across 3 treatment arms. There were no differences observed in the level of response
on biopsy or MRI-PDFF to resmetirom or placebo treatment in patients with genetic risk alleles for PNPLA3 and TM6SF2 or
TMC4 (not shown).
Conclusion: MASH risk alleles were prevalent in the MAESTRO-NASH population and did not influence the treatment response to
resmetirom.

09:54 – 10:00

KV 135 Use of noninvasive tests (NITs) to diagnose and follow non-alcoholic steatohepatitis (NASH) with liver fibrosis patients treated with resmetirom

Jörn Schattenberg (Homburg)

KV 135 Use of noninvasive tests (NITs) to diagnose and follow non-alcoholic steatohepatitis (NASH) with liver fibrosis patients treated with resmetirom

J. Schattenberg1

1Universitätsklinikum des Saarlandes, Homburg, Deutschland

Background: MAESTRO-NASH (NCT03900429) is an ongoing 54-month, randomized, double-blind, placebo-controlled Phase 3 trial evaluating the efficacy of resmetirom in patients with biopsy-confirmed NASH and fibrosis. 966 patients with biopsy-confirmed NASH were randomized 1:1:1 to resmetirom 80 mg, resmetirom 100 mg, or placebo once daily. Dual primary endpoints at Week 52 were achieved with both resmetirom 80 mg and 100 mg: NASH resolution with no worsening of fibrosis (NR) or ≥1-stage improvement in fibrosis with no worsening of NAS (FI). Both Week 52 liver biopsy endpoints, NR and FI, were achieved. Resmetirom was recently approved for the treatment of adult patients with noncirrhotic NASH and liver fibrosis consistent with F2 to F3 stages.
Objectives: Expert guidances recommend treatment with resmetirom based on staging fibrosis using FibroScan VCTE.
EASL recommends stratifying patients using FIB-4. Most guidelines recommend using VCTE cutoffs lower than 10-<15 kPa for treatment.
Methodology: We assessed results from baseline noninvasive tests (FIB-4, VCTE) against biopsy results inlogy MAESTRO-NASH to measure how well they diagnosed noncirrhotic patients with NASH (consistent with F2-F3 stages at baseline). We assessed the utility of a lower VCTE cutoff (8.5 to <10 kPa) in capture of F2 and F3 patients who otherwise would be missed. Also evaluated was the addition of MRE/MRI-PDFF or ELF to FibroScan VCTE to assess diagnostic utility.
Results: FIB-4 poorly predicted patients in the non-cirrhotic fibrosis stages: F2 (60% patients fell into low-risk) and F3 (40% fell into low-risk). Including a lower cutoff of VCTE (8.5 to <10 kPa) captured F1B (34% 8.5-<10 kPa) and many F2 (25% 8.5-<10 kPa) and F3 patients (19% 8.5-<10 kPa). The addition of MRE/MRI-PDFF to FibroScan VCTE increased diagnostic accuracy for F2/F3 to 68% and F4 to 81%. The addition of the ELF to the FibroScan VCTE suggested that a low ELF result paired with high VCTE may warrant a VCTE repeat.
Conclusion: Identification of patients with NASH F2 to F3 was achieved with FibroScan and VCTE.
F1B are F2 equivalent (F1B is moderate fibrosis on biopsy). Patients with fibrosis stage F4 were effectively ruled out. In addition to FibroScan VCTE, practitioners may consider expanded noninvasive criteria (ELF, MRE) to help refine fibrosis staging.

10:02 – 10:08

KV 136 Evaluating resmetirom eligibility among patients with metabolic dysfunction-associated steatohepatitis (MASH): insights from the German steatotic liver disease (SLD)-registry

Eva Messer (Leipzig)

KV 136 Evaluating resmetirom eligibility among patients with metabolic dysfunction-associated steatohepatitis (MASH): insights from the German steatotic liver disease (SLD)-registry

E.K. Messer1, D. Petroff2, J.M. Schattenberg3,4, S. Zeuzem5, M. von der Ohe6, L. Ludwig7, M. Demir8, P. Buggisch9, K. Stein10, Y. Serfert11, H. Wedemeyer11,12, T. Berg1, W.P. Hofmann13, A. Geier14, J. Wiegand1

1Universitätsklinikum Leipzig, Medizinische Klinik II, Bereich Hepatologie, Leipzig, Deutschland, 2Clinical Trial Centre Leipzig, Leipzig, Deutschland, 3Department of Internal Medicine II at the Saarland University Medical Center, Homburg, Deutschland, 4Pharma Science Hub (PSH), Saarland University, Saarbrücken, Deutschland, 5Goethe University Hospital, Frankfurt am Main, Deutschland, 6Gastroenterologische Studiengesellschaft Herne, Herne, Deutschland, 7Praxis Ludwig & Güthle, Dornstadt, Deutschland, 8Charité – Universitätsmedizin Berlin, Department of Hepatology and Gastroenterology, Campus Virchow-Klinikum and Campus Charité Mitte, Berlin, Deutschland, 9ifi-Institute for Interdisciplinary Medicine, Hamburg, Deutschland, 10Hepatologie Magdeburg, Magdeburg, Deutschland, 11Leberstiftungs-GmbH Deutschland, Hannover, Deutschland, 12Hannover Medical School, Department of Gastroenterology, Hepatology, Infectious Diseases and Endocrinology, Hannover, Deutschland, 13Gastroenterologie am Bayerischen Platz, Berlin, Deutschland, 14University of Würzburg Medical Center, Division of Infectious Diseases, Department of Internal Medicine II, Würzburg, Deutschland

Background: The THR-β agonist resmetirom is the first treatment approved for metabolic dysfunction-associated steatohepatitis (MASH) in the US so far. It can be prescribed given MASH and F2/F3-fibrosis (“at-risk MASH”).
Aims: We analyzed how many patients qualify for resmetirom in a recently recruited Steatotic Liver Disease-cohort involving both tertiary and secondary care centers, the German SLD-Registry.
Methods: Indication for resmetirom was assessed by three different approaches: (i) biopsy proven MASH with F2/3 fibrosis and NAS-score ≥ 4; (ii) FibroScan-AST (FAST)-score ≥ 0.67 and vibration controlled transient elastography (VCTE) < 15 kPa; (iii) US expert recommendations with VCTE 10-15 kPa and platelets ≥ 140×109/L or VCTE 8-15 kPa.
Results: 1,113 patients were recruited across 8 tertiary and 12 secondary care centers. NAS grading and staging were available for 180 cases (16%) with 179/180 conducted at tertiary care level. Of these, 61 (34%) qualified for resmetirom. FAST score without histologic assessment was available for 638 cases (57.3%), of which 612 (87%) were from tertiary and 26 (11%) from secondary care centers. Based on approach (ii), 41 (6%) of these individuals qualified for resmetirom compared to 117 (18.3%) using approach (iii). Combining approach (iii) with FAST ≥ 0.67 leads to 191 (30.0%) eligible patients. Using VCTE 8-15 kPa results in 182 (28.5%) eligible patients.
Conclusions: Eligibility for resmetirom treatment depends on the available method used to identify “at-risk MASH”. Availability of VCTE was highest among different levels of care.

10:10 – 10:16

KV 137 Inzidenz und Prävalenz der Metabolischen Dysfunktion-assoziierten Steatohepatitis (MASH) in Deutschland: Eine Analyse von Krankenkassendaten

Frank Tacke (Berlin)

KV 137 Inzidenz und Prävalenz der Metabolischen Dysfunktion-assoziierten Steatohepatitis (MASH) in Deutschland: Eine Analyse von Krankenkassendaten

F. Tacke1, Y. Kim2, T. Ramezani2, C. Maas3, P. Rydqvist2, J. O’Donnell2, J.M. Schattenberg4

1Charité – Universitätsmedizin Berlin, Campus Virchow-Klinikum (CVK) and Campus Charité Mitte (CCM), Medical Department, Division of Hepatology and Gastroenterology, Berlin, Deutschland, 2Madrigal Pharmaceuticals Inc, West Conshohocken, Vereinigte Staaten, 3PharmaLex GmbH, part of Cencora Inc, Hannover, Deutschland, 4Saarland University Hospital, Department of Internal Medicine II, Homburg, Deutschland

Einleitung: Patient:innen mit MASH können an Leberzirrhose oder hepatozellulärem Karzinom erkranken, was eine erhebliche Belastung sowohl für die Betroffenen als auch Kostenträger darstellt. Schätzungen zufolge könnte bis 2030 etwa 6% der deutschen Bevölkerung von MASH betroffen sein. Dennoch ist die Epidemiologie der diagnostizierten MASH in Deutschland unzureichend untersucht. Ursachen der Unterdiagnostizierung könnten unzureichende Sensibilisierung der Ärzte, Leberbiopsien als Diagnose-Standard und das Fehlen spezifischer pharmakologischer Behandlungen sein.
Ziele: Ziel dieser Studie war es, die kodierten Inzidenz- und Prävalenzraten von MASH in Deutschland 2023 zu ermitteln und die Patient:innen nach Alter, Geschlecht und diagnostischen Tests zu charakterisieren.
Methodik: Es wurde eine retrospektive Analyse von Abrechnungsdaten der gesetzlichen Krankenversicherung, repräsentativ für 4,7% der deutschen Bevölkerung, für den Zeitraum vom 1. Januar 2021 bis 31. Dezember 2023 durchgeführt. Die kodierte MASH-Prävalenz und Inzidenz wurde anhand des ICD-10-GM-Diagnosecodes K75.8 mindestens einmal stationär oder zweimal ambulant im Jahr 2023 identifiziert. Für inzidente Fälle durfte innerhalb eines zweijährigen Vorbeobachtungszeitraums keine MASH-Diagnose vorliegen. Zudem durften während des gesamten Studienzeitraums keine anderen Lebererkrankungen vorliegen. Diagnostische Tests wurden anhand der Kodes für Biopsie, Elastographie oder andere nicht-invasive Verfahren identifiziert.
Ergebnis: Die Prävalenzrate von MASH für 2023 wurde auf 0,08% geschätzt, was hochgerechnet 64.466 (95% KI 62.084–66.916) Patient:innen entspricht. Die Inzidenzrate betrug 0,01%, was geschätzten 9.643 neu-diagnostizierten MASH-Fällen in der deutschen Bevölkerung entspricht (95% KI 8.735–10.619). Das Durchschnittsalter der Betroffenen mit bestehender MASH-Diagnose lag bei 59,6 Jahren, 47,1% waren weiblich. Bei neu diagnostizierten Patient:innen lag das Durchschnittsalter bei 56,2 Jahren. Leberbiopsien, Elastographien oder andere nicht-invasive diagnostische Tests wurden bei 35,0% der prävalenten Patient:innen durchgeführt.
Schlussfolgerung: Im Vergleich zu modellierten Prävalenzschätzungen zeigt unsere Studie, dass MASH in Deutschland erheblich unterdiagnostiziert und unterkodiert ist. Diese Diskrepanz verdeutlicht die Notwendigkeit einer stärkeren Sensibilisierung und den Einsatz nicht-invasiver diagnostischer Tests zur Diagnosestellung und Risikostratifizierung von MASH-Patient:innen.

10:18 – 10:24

KV 138 Einfluss einer MASLD auf den Verlauf nach TIPS-Anlage

Marlene Reincke (Freiburg)

KV 138 Einfluss einer MASLD auf den Verlauf nach TIPS-Anlage

M. Reincke1, L. Sturm1, S. Fastenmeier1, M. Schultheiss1,2, C. Rohrer1, R. Thimme1, D. Bettinger1

1Uniklinik Freiburg, Klinik für Innere Medizin II, Freiburg, Deutschland, 2Medizinische Fakultät Uniklinik Freiburg, Berta-Ottenstein-Programm, Freiburg, Deutschland

Einleitung: Die Häufigkeit von TIPS-Anlagen bei Patient*innen mit einer Leberzirrhose auf dem Boden einer metabolic-dysfunction associated steatotic liver disease (MASLD) nimmt zu. Bislang ist unklar, inwieweit die Genese der steatotischen Lebererkrankung (SLD) den Verlauf nach TIPS-Anlage beeinflusst.
Methodik: In diese monozentrische Studie wurden 553 Patient*innen mit Leberzirrhose und erfolgter TIPS-Anlage eingeschlossen (NCT05782556). Der Verlauf nach TIPS-Anlage wurde stratifiziert nach der Ätiologie der zugrundeliegenden Lebererkrankung (keine SLD, MASLD, alkoholische Lebererkrankung [ALD]) analysiert. Der primäre Endpunkt war das Auftreten einer weiteren Dekompensation (hepatische Enzephalopathie [HE], persistierender Aszites, bakterielle Infektion, Varizenblutung) innerhalb von 90 Tagen nach TIPS. Sekundäre Endpunkte waren das Auftreten eines ACLF, einer kardialen Dekompensation innerhalb 90 Tage nach TIPS, sowie das transplantationsfreie Überleben.
Ergebnisse: 95 Patient*innen (17.2%) ohne SLD, 91 (16.5%) mit einer MASLD und 367 mit einer ALD (66.4%) wurden in die Studie eingeschlossen. Der FIPS unterschied sich zwischen den Gruppen nicht signifikant, jedoch ergab sich ein Trend zu einem höheren FIPS bei Patient*innen mit einer MASLD (-0.20 vs. 0.22 vs. 0.01; p=0.075). Patient*innen mit einer ALD wurden im Vergleich zu MASLD- Patient*innen signifikant häufiger aufgrund eines rezidivierenden Aszites einer TIPS-Anlage zugeführt (62.6% vs. 75.9%; p=0.012) während die Sekundärprophylaxe der Varizenblutung die führende Ätiologie bei MASLD- Patient*innen war (50.5% vs. 36.4%; p=0.016). MASLD- Patient*innen entwickelten im Verlauf signifikant häufiger weitere Dekompensationsereignisse (43.2% bei keiner SLD vs. 48.4% bei MASLD vs. 34.9% bei ALD; p=0.037), wobei das Auftreten einer HE das führende Dekompensationsereignis darstellte (40.0% bei keiner SLD vs. 45.1% bei MASLD vs. 30.0% bei ALD; p=0.010). Kein Unterschied konnte im Auftreten eines ACLF oder einer kardialen Dekompensation nachgewiesen werden. Patient*innen mit einer MASLD zeigten nach Adjustierung an den FIPS kein erhöhtes Mortalitätsrisiko unter Berücksichtigung einer Lebertransplantation als konkurrierendes Ereignis (sHR 1.34 [0.71-2.50], p=0.365).
Schlussfolgerung: Patient*innen mit einer MASLD-bedingten Leberzirrhose entwickeln häufiger eine HE als weiteres Dekompensationsereignis nach einer TIPS-Anlage ohne dass es hierbei zu einem schlechteren Überleben kommt.

10:26 – 10:32

KV 139 Metallothionein: a game changer in histopathological diagnosis of Wilson disease

Isabelle Mohr (Heidelberg)

KV 139 Metallothionein: a game changer in histopathological diagnosis of Wilson disease

I. Mohr1, H. Wiethoff2, A. Fichtner3, U. Merle1, P. Schirmacher2, K.H. Weiss4, T. Longerich2

1Universitätsklinikum Heidelberg/ Innere Medizin IV, Gastroenterologie und Hepatologie, Heidelberg, Deutschland, 2Universitätsklinikum Heidelberg, Pathologie, Heidelberg, Deutschland, 3Universitätsklinikum Heidelberg, Pädiatrie, Heidelberg, Deutschland, 4Salemkrankenhaus, Innere Medizin, Heidelberg, Deutschland

Aims: Wilson disease (WD) is a genetic disorder of copper metabolism caused by mutations in the ATP7B gene. Toxic copper accumulation leads to hepatic, neurologic, and psychiatric disorders with variable presentation. Metallothionein (MT) immunohistochemistry was proposed as a diagnostic marker.
Methods: MT immunohistochemistry was performed on liver specimens of WD patients (n = 64) and control cases (n = 160) including acute liver failure, steatotic liver disease, autoimmune hepatitis, normal liver, primary biliary cholangitis, primary and secondary sclerosing cholangitis, and progressive familial intrahepatic cholestasis. The optimal cutoff for detection of WD was determined by receiver operating characteristic (ROC) analysis.
Results: At least moderate staining in >50% of hepatocytes was observed in 81% of analysed liver specimens (n = 56/69) of WD patients, while only five control cases showed this staining pattern. The sensitivity, specificity, and accuracy for a new diagnosis of WD were 85.7%, 96.9%, and 94.9%, respectively. Sensitivity in nonfibrotic patients was 70.6% and this MT pattern was robust in small biopsies. The hepatic copper concentration was similar between MT-positive and MT-negative liver samples (P > 0.05). Zinc treatment may induce hepatocellular MT expression. Kayser-Fleischer rings (50% versus 15%) and neurologic disorders (50% versus 13%) were significantly more prevalent in MT-negative compared to MT-positive WD patients, respectively.
Conclusion: MT immunostaining is an excellent biomarker for histological diagnosis of WD, should be incorporated in the diagnostic work-up of patients with potential WD, and is useful in a modified Leipzig score.

10:34 – 10:40

KV 140 Leberbeteiligung bei Sarkoidose

Katharina Zimmermann (Regensburg)

KV 140 Leberbeteiligung bei Sarkoidose

K. Zimmermann1, S. Rusch1, N. Sicker2, S. Schmid1, M. Malfertheiner2, M. Müller-Schilling1

1Universitätsklinikum Regensburg, Klinik und Poliklinik für Innere Medizin I, Gastroenterologie, Hepatologie, Endokrinologie, Rheumatologie und Infektiologie, Regensburg, Deutschland, 2Caritas-Krankenhaus St. Maria, Klinik für Pneumologie, Donaustauf, Deutschland

Einleitung: Die Sarkoidose – das „Chamäleon der Inneren Medizin“ – ist eine Multisystemerkrankung unklarer Ursache mit heterogenem Erscheinungsbild. Sie betrifft meist die Lunge, kann aber nahezu jedes Organ befallen. In 10-65 % ist die Leber betroffen – teils asymptomatisch, teils mit schweren Komplikationen bis hin zur Transplantationsindikation. Die variable klinische Präsentation lässt vermuten, dass die hepatische Sarkoidose unterdiagnostiziert ist.
Ziel: Untersuchung von Prävalenz und klinischen Merkmale der Leberbeteiligung bei Sarkoidose anhand zweier Kohorten: einer hepatologischen und einer pneumologischen Kohorte.
Methoden: In der hepatologischen Kohorte wurden 37 Patienten mit klinisch und/oder histologisch gesicherter Leberbeteiligung bei Diagnose, nach 3 und 12 Monaten ausgewertet.
Parallel wurde eine pneumologische Kohorte aus 346 Patienten mit biopsiegesicherter Sarkoidose auf auffällige Labor- oder Bildgebungsbefunde der Leber untersucht. Es erfolgte ein Vergleich zwischen Patienten mit und ohne Leberbeteiligung.
Ergebnisse: In der hepatologischen Kohorte waren 43,2 % männlich und 56,8 % weiblich; der mittlere BMI betrug 27,7 ± 7,3 kg/m². 18,9 % zeigten eine isolierte Leberbeteiligung, Die Zahl der Organmanifestationen reichte von 1 bis 6 (Median 3). Zwar wurde in 62,9 % die Diagnose bioptisch gesichert, aber nur 40 % zeigten bildgebende Korrelate. Laborchemisch imponierte ein cholestatisches Muster. Erhöhte Leberenzyme sanken während des Follow-Up. Häufige Symptome waren Fieber (27 %) und Gewichtsverlust (24,3 %); 16,2 % waren asymptomatisch. 51,3 % erhielten Glucocorticoide, 43,2 % keine Therapie.
In der pneumologischen Kohorte zeigten 49,7 % (n=172) Leberauffälligkeiten. Männer waren häufiger betroffen (54% vs. 43%, p=0,046). Patienten mit Leberbeteiligung hatten einen signifikant höheren BMI (Median 29,8 vs. 27,1 kg/m², p<0,001), jedoch kein höheres Alter. Milzveränderungen traten vermehrt bei Leberbeteiligung auf (23,4% vs. 7,7%, p < 0,001).
Schlussfolgerung: Die hepatische Kohorte zeigt, dass die bioptisch gesicherte hepatische Sarkoidose auch ohne bildgebendes Korrelat bestehen kann. Sie verläuft oft selbstlimitierend. Therapieoptionen sind Glucocorticoide, Immunsuppressiva oder bei Cholestase UDCA.
Die hohe Zahl an Leberauffälligkeiten in der pneumologischen Kohorte spricht für eine Unterdiagnose der hepatischen Sarkoidose. Sarkoidosepatienten sollten altersunabhängig mittels AP-Bestimmung auf Leberbeteiligung untersucht werden.

10:42 – 10:48

KV 141 Histologische Definition der pädiatrischen und erwachsenen Alpha1-Antitrysin-Mangel-assoziierten Lebererkrankung

Malin Fromme (Aachen)

KV 141 Histologische Definition der pädiatrischen und erwachsenen Alpha1-Antitrysin-Mangel-assoziierten Lebererkrankung

M. Fromme1, M. Bouchecareilh2, A. Lachaux3, M. Mobarki4,5, S. Collardeau-Frachon5, L. Restier6, R. Ganschow7, H. Bantel8, S. Janciauskiene9, M. Mandorfer10, E. Aigner11, E. Sturm12, M. Reichert13, G.F. Vogel14,15, J. Verbeek16, A. Krag17, P. Socha18, H. Denk19, M. Ruiz20, P. Strnad1

1University Hospital RWTH Aachen, Medical Clinic III, Gastroenterology, Metabolic diseases and Intensive Care, Aachen, Deutschland, 2University of Bordeaux, CNRS, INSERM, BRIC, U1312, Bordeaux, Frankreich, 3Children’s Hospital of Lyon, Department of Paediatric Gastroenterology, Hepatology and Nutrition, Reference Center for Rare Disease – Biliary Atresia And Genetic Cholestasis, Lyon, Frankreich, 4Jazan University, Department of Pathology, Faculty of Medicine, Jazan, Saudi-Arabien, 5Hôpital Femme-Mère-Enfant, Hospices Civils de Lyon, Université Claude Bernard Lyon 1, Institute of Pathology, Lyon, Frankreich, 6Hôpital Femme-Mère-Enfant, hospices civils de Lyon, Service de gastro-entérologie, hépatologie et nutrition pédiatriques, Bron, Frankreich, 7University Hospital of Bonn Children’s Hospital, Department of Pediatric Gastroenterology and Hepatology, Bonn, Deutschland, 8Hannover Medical School, Department of Gastroenterology, Hepatology, Infectious Diseases and Endocrinology, Hannover, Deutschland, 9Medical University Hannover, Clinic for Pneumology, Hannover, Deutschland, 10Medical University of Vienna, Division of Gastroenterology and Hepatology, Department of Internal Medicine III, Vienna, Österreich, 11Paracelsus Medical University, First Department of Medicine, Salzburg, Österreich, 12University Children’s Hospital Tübingen, Pediatric Gastroenterology and Hepatology, Tübingen, Deutschland, 13Saarland University, Department of Medicine II, Saarland University Medical Center, Homburg, Deutschland, 14Medical University of Innsbruck, Department of Paediatrics I, Innsbruck, Österreich, 15Medical University of Innsbruck, Institute of Cell Biology, Biocenter, Innsbruck, Österreich, 16KU Leuven University Hospitals, Department of Gastroenterology & Hepatology, Leuven, Belgien, 17Odense University Hospital, Department of Gastroenterology and Hepatology, Odense, Dänemark, 18The Children’s Memorial Health Institute, Department of Gastroenterology, Hepatology, Nutritional Disorders and Pediatrics, Warszawa, Polen, 19Medical University of Graz, Institute of Pathology, Graz, Österreich, 20Hôpital Femme Mère Enfant, Hospices civils de Lyon, Hépatologie, Gastroentérologie et Nutrition Pédiatriques, Lyon, Frankreich

Einleitung: Die Alpha1-Antitrypsin (AAT)-Mangel-assoziierte Lebererkrankung wird verursacht durch den homozygoten Genotyp Pi*ZZ und manifestiert sich typischerweise in der frühen Kindheit oder im späteren Erwachsenenalter, meistens nach dem 40. Lebensjahr.
Ziele: Ziel dieser Studie war der histologische Vergleich der pädiatrischen und erwachsenen Lebererkrankung in einer internationalen, multizentrischen Kohorte von Pi*ZZ-Individuen.
Methodik: Insgesamt wurden 67 Erwachsene und 48 Kinder im Alter von vier Wochen bis 17 Jahren mit Pi*ZZ-Genotyp aus sechs europäischen Ländern rekrutiert. Alle Teilnehmer unterzogen sich entweder einer Leberbiopsie oder Lebertransplantation nach medizinischer Indikation. Eine verblindete, histologische Auswertung wurde von zwei erfahrenen Pathologen durchgeführt.
Ergebnis: Pädiatrische Pi*ZZ-Proben stammten häufiger von Lebertransplantationen (64.6 vs. 21.2 %, p < .0001) und Kinder wiesen signifikant höhere Leberwerte auf als Erwachsene. Im Vergleich zu Erwachsenen wiesen die Kinder ein höheres Fibrosestadium nach METAVIR auf (4.0 vs. 2.5, p < .0001). Pi*ZZ-Erwachsene hatten häufiger eine Lebersteatose, während Gallenpfropfen und Duktopenie bei Kindern mit Pi*ZZ-Genotyp signifikant häufiger vorkamen (Gallenpfropfen: 43.8 vs. 10.4 %, p < .0001; Duktopenie 58.3 vs. 1.5 %, p < .0001). Es wurde kein Unterschied in der AAT-Akkumulation festgestellt.
Bei einer Unterteilung der pädiatrischen Kohorte nach Alter (< 1 Jahr, 1-5 Jahre und 6-17 Jahre) war die Zirrhose in beiden älteren Altersgruppen häufiger als bei jüngeren Kindern (64.7 vs. 75.0 vs. 30.8%, p = .045). Es gab keine Unterschiede bei den Parametern Lebersteatose, Entzündung oder Cholestase, jedoch wiesen die jüngsten Kinder eine geringere AAT-Akkumulation auf und hatten seltener größere Aggregate.
Schlussfolgerung: Unsere Studie definiert das histologische Muster bei Kindern und Erwachsenen mit einem schweren AAT-Mangel und bietet damit eine Grundlage für die Patientenberatung und weitere mechanistische Studien.

Kurzvortragssitzung

Endokrine Chirurgie

10:55 – 12:07

Fr 19.09.

Seminarraum 6 + 7

Open Accordion - Icon Close Accordion - Icon

Vorsitz: Volker Fendrich (Hamburg) und Kerstin Lorenz (Halle)

10:55 – 11:01

KV 343 Hochkomplexe Schilddrüsenchirurgie unter laufender VVA-ECMO-Therapie: Relevanz von interdisziplinärer Zusammenarbeit in einem spezialisierten Zentrum

Rahel Köhnlein

KV 343 Hochkomplexe Schilddrüsenchirurgie unter laufender VVA-ECMO-Therapie: Relevanz von interdisziplinärer Zusammenarbeit in einem spezialisierten Zentrum

R. Köhnlein1, C. Weitzel1, A. Willms1, S. Sommer1, C. Mahn1

1Bundeswehrzentralkrankenhaus Koblenz, Koblenz, Deutschland

Einleitung: Spezialisierte Zentren ermöglichen durch die intensive interdisziplinäre Kooperation die sichere und hochwertige Versorgung komplexer Krankheitsbilder.
Methodik: Kasuistik.
Fallbericht: Wir präsentieren den Fall eines 66-jährigen Patienten mit Struma per magna mit relevanter symptomatischer Kompression der Trachea und großen mediastinalen Anteilen. In der Vorgeschichte erfolgte eine Tracheotomie bei Polytrauma (vor 1,5 Jahren) sowie eine plastische Deckung eines Defektes nach Sternumosteomyelitis infolge ACVB-OP durch einen Latissimus-dorsi-Lappen. Durch diese komplexe Ausgangslage und den erforderlichen Erhalt von Lappenplastik und Bypässen war die interdisziplinäre Zusammenarbeit von besonderer Bedeutung.
Die präoperative Diagnostik umfasste eine CT-Angio, Lungenfunktion, Herzecho, EKG und Labor. Die OP wurde durch ein interdisziplinäres Board aus Viszeral-, Thorax-, Herzchirurgie; Innere Medizin, Nuklearmedizin und Kardioanästhesie geplant. Durch den instabilen Thorax (Sternumresektion), der schlechten Lungenfunktion (Restriktion und Obstruktion) und dem mediastinalem Massensyndrom (Bradykardie und Desaturierung im Lagerungstest) war eine perioperative VVA-ECMO erforderlich. In Sternotomiebereitschaft konnte die Hemithyreoidektomie links und subtotale Resektion rechts über den cervicalen Zugangs komplikationslos erfolgen. Die Heparinisierung (VVA-ECMO) führte zu einer verstärkten Blutungsneigung. Die Mobilisation der mediastinalen Anteile erfolgte zusammen mit den Kardiochirurgen, um die Bypässe zu schonen. Durch die hochgradige Tracheastenose musste auf das intraoperative Neuromonitoring verzichtet werden. Die post-OP Laryngoskopie zeigte eine regelrechte Stimmlippenfunktion. Die ECMO wurde am 4. postop.-Tag entfernt, und der Patient konnte nach komplikationslosem Verlauf zum Weaning verlegt werden.
Schlussfolgerung: Für hochkomplexe Krankheitsbilder sind interdiziplinäres Management in Vorbereitung und Durchführung in spezialisierten Zentren notwendig. Rückfallebenen zum Komplikationsmanagement müssen gegeben sein. Das Therapiekonzept muss auch über die OP hinaus bedacht werden.Präoperative LUFUCT APCT seitlich

11:03 – 11:09

KV 344 „Wieviel Zeit bleibt mir noch?“ Ein Fallbericht über ein primäres Schilddrüsenangiosarkom mit gleichzeitiger Appendixkarzinomdiagnose

Madeline Schmidt

KV 344 „Wieviel Zeit bleibt mir noch?“ Ein Fallbericht über ein primäres Schilddrüsenangiosarkom mit gleichzeitiger Appendixkarzinomdiagnose

M. Schmidt1, T. Mehlhorn1, L. Mirow1

1Klinikum Chemnitz, Allgemein- und Viszeralchirurgie, Chemnitz, Deutschland

Einleitung: Schilddrüsenangiosarkome sind extrem seltene, hoch aggressive Tumoren mit schlechter Prognose. Wir berichten über einen Patienten mit dieser Tumorentität sowie einem zeitgleich diagnostizierten Appendixadenokarzinom.
Fallbeschreibung: Ein 65-jähriger Mann stellte sich mit Appendizitis in der Notaufnahme vor. Die Histologie nach Appendektomie zeigte ein pT4a Appendixadenokarzinom. Im Rahmen von weiterer Diagnostik wurde ein schnell wachsender Knoten in der Schilddrüse festgestellt. Die Feinnadelpunktion war malignitätsverdächtig (Bethesda VI). Die anschließende Hemithyreoidektomie zeigte ein epitheloides Angiosarkom. Trotz multimodaler Therapie verstarb der Patient wenige Wochen nach Diagnosestellung.
Diskussion: Der gleichzeitige Nachweis zweier seltener Tumorentitäten erschwerte das Management. Die Prognose von Schilddrüsenangiosarkomen bleibt trotz Operation und Radiochemotherapie infaust.
Fazit: Seltene Tumoren stellen diagnostisch wie therapeutisch eine besondere Herausforderung dar. Die multidisziplinäre Zusammenarbeit und pathologische Zweitmeinung sind essenziell.

11:11 – 11:17

KV 345 Struma gigantosa mit manifester Hypothyreose unter Thyreostase

Angela Berger

KV 345 Struma gigantosa mit manifester Hypothyreose unter Thyreostase

A. Berger1, W. Reinhardt2, A. Koutses1, F. Jockenhövel3, C. Berger4, C. Braumann1, M. Kemen1

1EVK Herne, Viszeralchirurgie, Herne, Deutschland, 2Nephrologie, Uniklinik Essen, Essen, Deutschland, 3EVK Herne, MVZ Endokrinologie, Herne, Deutschland, 4EVK Herne, Anästhesiologie, Herne, Deutschland

Wir berichten von einer Riesenstruma bei einer Patientin, deren Entstehung auf das Zusammenspiel einer präexistenten Jodmangelstruma und einer langfristigen Überdosierung mit Thyreostatika zurückzuführen ist.
Eine 60 j. Patientin wurde aufgrund einer Hyperthyreose mit Thiamazol behandelt. Bis dahin war die Patientin bis auf eine mäßiggradige Halsschwellung klinisch unauffällig. Anschließende Kontrollen verliefen bei geringer Patientencompliance sehr unregelmäßig. Im Verlauf eines Jahres kam es zu einer zunehmenden Adynamie, Gewichtszunahme, Belastungsdyspnoe und Dyspnoe im Liegen.
Bei der Erstuntersuchung imponierte eine klinisch und laborchemisch manifeste Hypothyreose mit Vigilanzminderung und inspiratorischem Stridor (TSH: 36,10 mU/l; fT3: 2,32 ng/l; fT4 < 0,04 ng/dl, Thyreoglobulin > 500 ng/ml) bei negativen Schilddrüsen Antikörpern. Klinisch fand sich eine Struma gigantosa (Halsumfang 54 cm) mit komplett knotigem Umbau. Die CT zeigte eine massiv vergrößerte, nach retrosternal reichende Struma mit einem gemessenen Volumen des rechten Schilddrüsenlappens von 250 ml und des linken Schilddrüsenlappens von 500 ml. Zudem bestand eine Trachealverlagerung nach rechts mit trachealer Einengung auf 4 mm.
Es erfolgte die near – total Thyreoidektomie über einen zervikalen Zugang. Das Schilddrüsengewicht betrug 821 g. Unter IONM konnten beide Nn. laryngei recurrentes nach Resektion positiv abgeleitet werden. Drei Wochen postoperativ zeigte sich ein normales PTH und Calcium.
Der vorgestellte Fall zeigt die Gefahren einer thyreostatischen Überdosierung bei unzureichender Patientencompliance. Durch die konsekutiv erhöhte TSH – Inkretion kommt es einerseits zu einer Hypertrophie der Schilddrüsenzellen. Andererseits wird durch Thiamazol die Jodierung bei der Snythese von T3 und T4 gehemmt; der dadurch erzeugte Jodmangel führt zur Hyperplasie der Schilddrüse. Beides kann in einem raschen und ausgeprägten Schilddrüsenwachstum resultieren.
So hat sich bei unserer Patientin auf dem Boden einer präexistenten Jodmangelstruma eine funktionelle Autonomie entwickelt. Allerderdings kam es im Verlauf unter einer schlecht kontrollierten Thyreostase zu einer Hypothyreose. Durch die ständige TSH Stimulation resultierte ein rasantes Strumawachstum, welches schließlich ein rasches operatives Vorgehen notwendig machte.
In diesem speziellen Fall konnte die Patientin aufgrund ihrer ausgeprägten Hypothyreose krankheitsbedingt keine ausreichende Compliance mehr aufbringen und geriet dadurch in einen Teufelskreis.

11:19 – 11:25

KV 346 Notfälle beim primären Hyperparathyreoidismus auf dem Boden eines Nebenschilddrüsenadenoms – eine seltene Entität bedarf eines guten Notfallmanagements

Viktoria Hildebrand

KV 346 Notfälle beim primären Hyperparathyreoidismus auf dem Boden eines Nebenschilddrüsenadenoms – eine seltene Entität bedarf eines guten Notfallmanagements

V. Hildebrand1, D. Gajda1, A. Willms1, C. Weitzel1

1Bundeswehrzentralkrankenhaus Koblenz, Allgemein-, Viszeral- und Thoraxchirurgie, Koblenz, Deutschland

Einleitung: Das Nebenschilddrüsenadenom stellt mit 20-30 Neuerkrankungen/100.000 Einwohnern in Deutschland und einer Inzidenz von 25.000-30.000 Fällen/Jahr die häufigste Ursache für einen primären Hyperparathyreoidismus dar. Therapie der 1. Wahl ist die chirurgische Resektion, die in der Regel elektiv erfolgt. Das Notfallmanagement bezieht sich neben der akuten hyperkalzämischen Krise, einem lebensbedrohlichen endokrinologischen Notfall, auf das Erkennen und Management von stark symptomatischen Verläufen. Hierzu stellen wir ausgewählte Fälle aus unserem Patientenkollektiv vor.
Ziel: Erkennen von Notfallindikationen bei Nebenschilddrüsenadenomen und Management hinsichtlich Lokalisationsdiagnostik, Symptomkontrolle und operativer Therapie.
Methodik: Kasuistik aus eigenem Patientenkollektiv von 2021 bis 2024 mit 103 Nebenschilddrüsenadenomresektionen, davon 4 dringlich.
Ergebnis: Die Symptome reichten bei den Patienten von einem akut neuro-psychiatrischen Syndrom mit Wesensveränderung, Delir und Selbstverletzungstendenz, akuter Niereninsuffizienz mit Müdigkeit und Antriebslosigkeit über muskulo-skelettalen Ganzkörperschmerz bis hin zurvollständigen Immobilisation, Depressionen zu eine chronisch progrediente Niereninsuffizienz bei Nephrokalzinose. Die operative Sanierung fand durchschnittlich innerhalb von 6 Tagen nach Stabilisierung der Patienten statt. Zwischenzeitlich erfolgte die Lokalisationsdiagnostik interdisziplinär mittels Sonographie und Sesta-Mibi-Szintigraphie. In zwei Fällen erfolgte zusätzlich ein Cholin-PET-CT. Dabei zeigte sich in einem Fall eine Mehrdrüsenerkrankung. Bei allen Patienten fanden sich Serum-Kalziumwerte zwischen 3-4mmol/l und ein erhöhtes Parathormon bis 1445pg/ml. Eine medikamentöse Kalziumsenkung erfolgte mit Cinacalcet und Bisphosphonaten sowie intravenöser Kochsalzlösung forcierter Diurese. Am 3. postoperativen Tag waren bereits alle Serum-Kalziumwerte normwertig. Im Follow up waren insbesondere die muskulo-skelettalen und psychischen Beschwerden deutlich gebessert bis restitutio ad integrum, die akute Niereninsuffizienz war bereits bei Entlassung vollständig regredient, die Nephrokalzinose verbleibt als chronischer Zustand.
Schlussfolgerung: Auch wenn in den meisten Fällen die Operation bei Nebenschilddrüsenadenomen elektiv planbar ist, liegt bei manchen Fällen mit Aggravierung der Beschwerden oder bereits initial ausgeprägter Symptomatik ein Notfall vor, der neben einer supportiven Therapie einer zügigen Operation bedarf.Cholin-PET-CT bei MehrdrüsenerkrankungPerioperativer Verlauf von Kalzium und PTH

11:27 – 11:33

KV 347 Initial Experience with Dual-Time-Point 18F-Flurpiridaz PET/CT for Localization of Parathyroid Adenomas in Primary Hyperparathyroidism

Dennis Kleine-Döpke (Hannover)

KV 347 Initial experience with dual-time-point 18F-Flurpiridaz PET/CT for localization of parathyroid adenomas in primary hyperparathyroidism

T. Derlin1, D. Kleine-Döpke2, L. Neubert3, T.L. Ross1, B.P. Ringe2, M. Schmelzle2, F.M. Bengel1

1Medizinische Hochschule Hannover, Klinik für Nuklearmedizin, Hannover, Deutschland, 2Medizinische Hochschule Hannover, Klinik für Allgemein-, Viszeral- & Transplantationschirurgie, Hannover, Deutschland, 3Medizinische Hochschule Hannover, Institut für Pathologie, Hannover, Deutschland

Aim: To evaluate the feasibility of 18F-Flurpiridaz positron emission tomography/computed tomography (PET/CT) for localization of parathyroid adenomas in patients with primary hyperparathyroidism (pHPT).
Methods: Data of 11 patients with pHPT undergoing dual-time point 18F-Flurpiridaz PET/CT for localization of hyperfunctioning parathyroid glands were retrospectively analyzed. PET/CT findings were compared to results of other imaging tests, laboratory parameters, and intraoperative findings and final histology, serving as the reference standard.
Results: 18F-Flurpiridaz PET/CT identified parathyroid adenomas in 10/11 (91%) patients. Parathyroid adenomas were exclusively visualized in early PET images (P<0.0001). Uptake in adenomas declined over time (SUVmax, -65% ± 17%; P=0.002), as did uptake in background thyroid tissue (-56% ± 16%; P=0.002).
Conclusion: 18F-Flurpiridaz PET early after tracer administration has high detection efficacy in pHPT. This work provides a rationale for larger prospective studies evaluating its potential for localization of hyperfunctioning parathyroid glands in comparison to other imaging tests.

11:35 – 11:41

KV 348 Perioperativer Verlauf, Morbidität und Mortalität nach laparoskopischer Adrenalektomie – Hat die zugrunde liegende Erkrankung einen Einfluss?

Lina Lang (München)

KV 348 Perioperativer Verlauf, Morbidität und Mortalität nach laparoskopischer Adrenalektomie – Hat die zugrunde liegende Erkrankung einen Einfluss?

C. Oberste-Wilms1, L. Lang1, N. Beger1, J. Werner1, P. Zimmermann1

1Klinikum der LMU München, Klinik für Allgemein-, Viszeral- und Transplantationschirurgie, München, Deutschland

Einleitung: In der Behandlung von primären Nebennierentumoren ist laparoskopische Adrenalektomie der Goldstandard. Durch die Weiterentwicklung onkologischer Therapien treten zunehmend Nebennierenmetastasen auf, die nun ebenfalls eine häufige Indikation zur laparoskopischen Adrenalektomie darstellen. Gerade bei onkologischen Patienten ist eine niedrige perioperative Morbidität und Mortalität essentiell um eine weitere onkologische Therapie nicht zu verzögern.
Ziele: der hier vorliegenden Studie ist die Evaluation des Einflusses der zugrunde liegenden Erkrankung auf den perioperativen Verlauf nach laparoskopischer Adrenalektomie.
Methodik: In die retrospektive Kohortenstudie wurden alle Patienten eingeschlossen, die zwischen 01/2015 und 12/2023 aufgrund von hormoninaktiven Nebennierenadenomen, adrenalem Cushing-Syndrom, einem Phäochromozytom oder einer Nebennierenmetastase am Klinikum der Universität München operiert wurden. Der Einfluss der Grunderkrankung auf den perioperativen Verlauf wurde mithilfe von Kruskal-Wallis-Tests und post-hoc durchgeführten Dunn-Bonferroni-Tests analysiert.
Ergebnisse: Insgesamt wurden 226 Patienten eingeschlossen, 41 mit einem Nebennierenadenom, 82 mit einem adrenalem Cushing-Syndrom, 84 Patienten mit einem Phäochromozytom sowie 24 Patienten mit einer Nebennierenmetastase.
Der mediane ASA-Score lag bei 3. In der gesamten Kohorte traten 6 Komplikationen (2,6%) auf, davon 4 bei Cushing- sowie 2 bei Phäochromozytom-Patienten. Die Mortalität war 0.
Die mediane OP-Dauer betrug 64 Minuten (IQR 36) und unterschied sich signifikant zwischen den einzelnen Gruppen (p < 0.001). Resektionen aufgrund von Metastasen dauerten signifikant länger als bei Cushing- (p = 0.001) und Adenom-Patienten (p = 0.030), waren jedoch kürzer als bei Resektionen von Phäochromozytomen (p = 0.042). Der mediane Intensivaufenthalt lag bei 1 Tag mit signifikantem Unterschied zwischen den Gruppen (p < 0.001).
Die mediane stationäre Behandlungsdauer lag bei 6 Tagen ohne Unterschied zwischen den Gruppen (p = 0.242).
Schlussfolgerung: Die vorläufige Auswertung unserer Studie zeigt, dass die zugrunde liegende Erkrankung nur einen minimalen Einfluss auf die perioperativen Verläufe hat und hier insbesondere nur bei der Operationsdauer. Gerade beim Vorliegen von Nebennierenmetastasen stellt die laparoskopische Adrenalektomie einen sicheren Eingriff ohne erhöhte Morbidität oder Mortalität dar und sollte Patienten im Rahmen der onkologischen Therapie angeboten werden.

11:43 – 11:49

KV 349 Perioperative Verläufe und Lebensqualität nach laparoskopischer Nebennierenoperation bei älteren Patienten

Lina Lang (München)

KV 349 Perioperative Verläufe und Lebensqualität nach laparoskopischer Nebennierenoperation bei älteren Patienten

L. Lang1, M. Reiche1, N. Beger1, J. Werner1, P. Zimmermann1

1Klinikum der LMU München, Klinik für Allgemein-, Viszeral- und Transplantationschirurgie, München, Deutschland

Einleitung: Laparoskopische Nebennierenoperationen zur Behandlung Nebennieren-eigener und metastasischer Erkrankungen, stellen heutzutage ein Standardverfahren dar. Neben Operations-spezifischen Folgen des Eingriffs sowie Krankheits-bezogener Symptom-Kontrolle, stellt die Lebensqualität eine wesentliche Zielgröße dar. Gerade bei älteren Patienten sind eine niedrige perioperative Morbidität sowie der Erhalt einer guten Lebensqualität aufgrund potentiell bereits bestehender Komorbiditäten essentiell.
Ziel der hier vorliegenden Studie war es die perioperativen Verläufe sowie die postoperative Lebensqualität und potentielle Einflüsse auf Letztere bei älteren Patienten nach laparoskopischer Nebennierenoperation zu evaluieren.
Patienten und Methoden: Eingeschlossen wurden alle Patienten, die zwischen 01/2014 und 12/2023 am LMU Klinikum eine laparoskopische Nebennierenoperation erhielten und zum Zeitpunkt der Operation älter als 65 Jahre alt waren. Die Lebensqualität wurde mit dem SF-36 Fragebogen erhoben, der durch 7 Zusatzfragen im Hinblick auf den postoperativen Langzeitverlauf ergänzt wurde.
Ergebnisse: 98 Patienten erfüllte die Einschlusskriterien und erhielten die Fragebögen. 6 Patienten davon waren zwischenzeitlich verstorben, 3 lehnten die Teilnahme ab und ein Patient war körperlich nicht zur Teilnahme in der Lage. 61 Patienten (66,3%) schickten die ausgefüllten Fragebögen zurück. Das mediane Alter zum Zeitpunkt der OP lag bei 71 (65-83) Jahren. Der CCI lag median bei 4 (2-14). Eine Komplikation trat bei 4 Patienten (4,1%) auf. Eine Nebenniereninsuffizienz persistierte bei 13 Patienten (14,1%). Der physische Summenscore (PCS) lag für die Gesamtpopulation bei 47,61 (12,66), der psychische Summenscore (MCS) bei 42,18 (11,92).
In der Subgruppenanalyse zeigte sich der PCS am höchsten bei den 65-69 Jährigen (50,59 (SD 13,88)) sowie der MCS am höchsten bei 80-85 jährigen Patienten (51,37 (SD 11,95)). Am niedrigsten lagen beiden Summenscores bei 70-75 jährigen Patienten (38,35 (SD 8,11) PCS; 39,59 (SD 12,84) MCS).
Schlussfolgerung: Die bisherige Auswertung zeigt gute Ergebnisse der Lebensqualität und eine hohe Zufriedenheit mit dem operativen Eingriff. In wieweit sich spezifische perioperative Ergebnisse (z.B. Komplikationen, Nebenniereninsuffizienz, etc.) auf die Lebensqualität auswirken, wird in der weiteren Auswertung analysiert.

11:51 – 11:57

KV 350 CXCR4-gesteuerte PET-Bildgebung mit Ga68-Pentixafor zur Lokalisation von Conn-Adenomen: Erste klinische Erfahrungen

Aristodemos Kounnamas

KV 350 CXCR4-gesteuerte PET-Bildgebung mit Ga68-Pentixafor zur Lokalisation von Conn-Adenomen: Erste klinische Erfahrungen

A. Kounnamas1, S. Theurer2, P.F. Alesina1, M. Walz1

1Evangelische Kliniken Essen-Mitte, Klinik für Chirurgie und Minimal Invasive Chirurgie, Essen, Deutschland, 2Universitätsklinikum Essen, Institut für Pathologie, Essen, Deutschland

Einleitung: Die präoperative Lokalisation von Conn-Adenomen bzw. die Differenzierung zwischen Adenom und Hyperplasie als Ursache des primären Hyperaldosteronismus (PA) bleibt eine diagnostische Herausforderung. Konventionelle Bildgebungsverfahren wie CT, MRT und die selektive Nebennierenvenensondierung (AVS) weisen Einschränkungen hinsichtlich Sensitivität und Spezifität auf. Das Pentixafor-PET-CT, eine neuartige molekulare Bildgebungstechnik, könnte die diagnostische Genauigkeit verbessern und die chirurgische Entscheidungsfindung optimieren.
Methodik: Zwischen September 2022 und April 2025 wurden 35 Patienten (24 männlich) mit biochemisch gesichertem primärem Hyperaldosteronismus einem Ga68-Pentixafor-PET-CT unterzogen. Die Diagnose basierte auf einem erhöhten Aldosteron-Renin-Quotienten (ARQ) sowie weiteren bestätigenden Tests. Alle Patienten wiesen eine arterielle Hypertonie auf, die im Mittel mit 4 ± 1,5 Medikamenten behandelt wurde (Spanne: 1 bis 8 Medikamente); bei 21 Patienten (60 %) wurde eine Hypokaliämie festgestellt. Es wurden 24 CTs, 11 MRTs und 10 AVS durchgeführt. Die präoperative Lokalisation deutete bei 14 Patienten auf ein Adenom hin (CT: 8, MRT: 6, AVS: 2);
Alle Patienten wurden retroperitoneoskopisch operiert. Die Daten wurden prospektiv in einer Datenbank erfasst.
Ergebnis: Das Pentixafor-PET-CT zeigte einen einseitigen Uptake bei 21 Patienten, einen beidseitigen Uptake bei 3 Patienten, war negativ bei 5 Patienten und unklar bei 6 Patienten. Der SUVmax betrug 7,98 ± 3,85 (Spanne: 2,6–40,2). Insgesamt führte das PET-CT bei 21 Patienten zur Indikationsstellung für eine Operation. Es wurden 12 linke und 6 rechte Adrenalektomien sowie 3 bilaterale Eingriffe durchgeführt (7 Resektionen). Die Histologie bestätigte bei 14 Patienten ein Nebennierenadenom, bei 6 Patienten eine Nebennierenhyperplasie; bei einem Patienten wurde keine Läsion nachgewiesen.
Eine Immunhistochemie auf CXCR4 wurde bei 21 Präparaten durchgeführt und war in 9 Fällen positiv. Postoperativ normalisierten sich die Kaliumwerte bei 18 Patienten.
Bei 11 Patienten kam es zu einer klinischen Verbesserung der Hypertonie mit Reduktion der Anzahl der Antihypertensiva (2,1 ± 1,65 Medikamente); bei 5 Patienten konnte die antihypertensive Therapie vollständig abgesetzt werden.
Schlussfolgerung: Das Ga68-Pentixafor-PET-CT stellt ein neues, nicht-invasives Verfahren zum Nachweis gesteigerter Aldosteronproduktion dar, welches eine Ergänzung zur AVS oder potentiell deren Ersatz bietet.

11:59 – 12:05

KV 351 ​Die R0-Resektion als prognostischer Faktor für Gesamtüberleben nach kurativer Operation hepatisch metastasierter Neuroendokriner Neoplasien

Maximilian Evers (Hamburg)

KV 351 ​Die R0-Resektion als prognostischer Faktor für Gesamtüberleben nach kurativer Operation hepatisch metastasierter Neuroendokriner Neoplasien

M. Evers1, N. Bruhmüller1, K. Oldhafer1

1Asklepios Klinik Barmbek, Department für Viszeralchirurgie, Hamburg, Deutschland

Einleitung: Neuroendokrine Neoplasien (NEN) sind eine heterogene Gruppe seltener Tumoren, deren Inzidenz jedoch in der Vergangenheit kontinuierlich anstieg. Häufig wird die Diagnose erst im metastasierten Stadium gestellt. Am häufigsten ist die Leber von einer Fernmetastasierung von NEN betroffen. Die hepatische Metastasierung wirkt sich negativ auf die Prognose von Patienten aus. Trotz zahlreicher systematischer und interventioneller Therapieverfahren stellt die chirurgische Resektion von Lebermetastasen derzeit die einzige kurative Behandlungsoption dar. Nach kurativer Metastasenresektion lässt sich eine erhebliche Variabilität in den Langzeitüberlebensraten verzeichnen. Die aktuelle Lage an prognostisch aussagekräftigen Prädiktoren diesbezüglich ist begrenzt und uneinheitlich.
Ziele: Ziel dieser Arbeit war das Identifizieren von Prognosefaktoren in Bezug auf das Gesamtüberleben von Patienten nach kurativ intendierter Operation (R0, R1) hepatisch metastasierter NEN.
Methodik: Die Leberdatenbank der Asklepios Klinik Barmbek wurde nach Patienten, welche im Zeitraum zwischen 2010 und 2024 aufgrund einer hepatischen Metastasierung bei NEN operiert wurden, durchsucht. Eingeschlossen wurden Patienten bei denen eine potentiell kurative Resektion erfolgte. Demografische, chirurgische und pathologische Daten wurden retrospektiv erhoben und in Bezug auf das Gesamtüberleben bewertet. Die statistische Auswertung erfolgte mittels univariater Analyse.
Ergebnisse: Während des untersuchten Zeitraums wurden 27 Patienten mit Lebermetastasen einer NEN potentiell kuraktiv operiert. Von diesen waren 17 (63%) männlich, das mediane Alter bei Operation lag bei 65,1 (range 43,9-82,4) Jahren. Nach einem medianen Follow-up der Patienten von 38 (Spannweite 0-163) Monaten verstarben 7 Patienten im Median 17 (range 0-148) Monate nach Operation. In Bezug auf das Gesamtüberleben zeigte sich eine R1-Resektion in der Kaplan-Meier-Kurve mit zugehörigem Logrank-Test als prognostisch ungünstig (p=0,042). In der nachfolgend durchgeführten univariaten Cox-Regression wurde eine statistische Signifikanz knapp verfehlet (HR=4,319, 95% KI 0,9377-19,89, p=0,0605).
Schlussfolgerung: In der vorliegenden Arbeit ergab sich der Anhalt auf ein verbessertes Gesamtüberleben nach R0-Resektion. Die vollständige Tumorentfernung bis ins gesunde Gewebe erscheint somit – sofern chirurgisch möglich – erstrebenswert. Dieses Ergebnis sollte in zukünftigen Studien beachtet und weitergehend evaluiert werden.

Einflussparameter Gesamt (n=27) Verstorben (n=7) Lebend (n=20)
Männliches Geschlecht 17 (63%) 5 (71,4%) 12 (60%)
Alter > 65 Jahre 14 (51,9%) 4 (57,1%) 10 (50%)
Synchrone Metastasierung 11 (40,7%) 3 (42,9%) 8 (40%)
Bilobäre Metastasierung 10 (37%) 1 (14,3%) 9 (45%)
Multiple Metastasen 21/26 (77,8%) 7 (100%) 14/19 (73,7%)
G3 Grading 11 (40,7%) 3 (42,9%) 8 (40%)
Small Intestine NEN 9 (33,3%) 4 (57,1%) 5 (25%)
R0-Resektion 19 (70,4%) 3 (42,9%) 16 (80%)
Major-Hepatektomie 10 (37%) 3 (42,9%) 14 (70%)

Abbildung 1: Kaplan-Meier Kurve des Gesamtüberlebens für Patienten mit R0-Resektion (n=19) bzw. R1-Resektion (n=9). p-Wert des zugehörigen Logrank-Tests.

Einflussparameter Einflussparameter Hazard Ratio (95% KI) p-Wert
R-Resektion R1-Resektion 4,319 (0,9377 – 19,89) 0,0605

Kurzvortragssitzung

Minimalinvasive Chirurgie

14:15 – 15:51

Do 18.09.

Vortragsraum 10

Open Accordion - Icon Close Accordion - Icon

Vorsitz: Jasmina Hahn (Leverkusen) und Markus Mille (Eisenach)

14:15 – 14:21

KV 360 Standard-Setup und Ergebnisse der onkologischen Hemikolektomie rechts mit dem Hugo RAS

Orlin Belyaev (Bochum)

KV 360 Standard-Setup und Ergebnisse der onkologischen Hemikolektomie rechts mit dem Hugo RAS

O. Belyaev1, T. Fahlbusch1, W. Uhl1

1St. Josef Hospital, Katholisches Klinikum Bochum, Universitätsklinik für Allgemein- und Viszeralchirurgie, Bochum, Deutschland

Einleitung: Hugo RAS ist als eine neue robotische Plattform für die Viszeralchirurgie seit 2 Jahren in der EU zugelassen. Erfahrungen mit dem Hugo im Bereich der kolorektalen Chirurgie sind bis dato begrenzt.
Ziele: Beschreibung unseres Standard-Setups für onkologische Hemikolektomie rechts mit CME und Analyse der Lernkurve und der klinischen Ergebnisse.
Methodik: Die ersten 30 konsekutiven onkologischen rechtsseitigen Hemikolektomien wurden retrospektiv analysiert. Es erfolgte keine Patientenselektion. Alle Patienten gaben ihr schriftliches Einverständnis mit dem Hugo operiert zu werden.
Ergebnis: Unser Standard-Setup für die Armkonfiguration und die Trokarpositionen ist in Abb. 1 und Abb. 2 gezeigt. Bipolargrasper, Monopolarschere, doppelfenestrierter Grasper und Nadeltreiber wurden als robotische Instrumente benutzt. Stapler, Klips und Ligasure wurden vom Tisch-Assistenten eingesetzt. Redocking war bei keinem Eingriff notwendig. Es gab keine technischen Ausfälle und keine Konversionen.
Die Docking-, Konsolen- und Gesamt-OP-Zeiten haben sich alle im Verlauf signifikant reduziert, Abb.3.
Patientencharakteristika und Ergebnisse sind in Tab. 1 zusammengefasst. Das Kollektiv bestand hauptsächlich aus alten, polymorbiden, adipösen und antikoagulierten Patienten, ein Großteil davon mit massiven Adhäsionen durch Voroperationen. Mortalität war 0%, Majormorbidität 13%. Es gab keine Anastomoseninsuffizienz. Zwei Patienten wurden reoperiert wegen iatrogener Dünndarmperforation und bei nicht bestätigtem Verdacht auf Anasotmoseninsuffizienz, zwei Patienten entwicketlen eine passagere Niereninsuffizienz, es gab eine protrahierte Magendarmatonie. Die mediane Verweildauer lag bei 7 Tagen.
Schlussfolgerung: Die onkologische Hemikolektomie rechts ist mit dem Hugo RAS technisch auch in einem nicht selektierten Kollektiv machbar und sicher. Ein standardisiertes Setup ermöglicht die steile Lernkurve. Die für dieses Jahr erwartete Markteinführung von robotischen Stapler und Ligasure kann die Operationen schneller und bequemer machen.

Abbildung 1:

Abbildung 2:

Abbildung 3:

Op-Zeiten für Hugo hemikolektomie rechts
Tabelle 1:

Frauen/Männer n=16 (53%)/n=14 (47%)
BMI [kg/m²], median 26 (min. 22 – max. 38)
ASA II/III n=12 / n=18 (40% /60%)
≥ 2 System-Nebenerkrankungen 15/30 (50%)
Krebserkrankung in der Anamnese 15/30 (50%)
Massive Adhäsionen nach Voroperationen 10/30 (33%)
Präoperativer Anämie (HB <10 g/dl) 19/30 (63%)
Lokalisation – Zökum, Ascendens, Flexur n=15, n=10, n=5
Tumorgröße – pT1/ T2/ T3 / T4 n=3 / n=7 / n=15 / n=5
LK-Befall N+ 7/30 (23%)
LK Gewinn, median 27 (min. 22 – max. 38)
M1 Leber 2/30 (6.7%)
R0 30/30 (100%)
CME Grad 1 30/30 (100%)
Gesamt-OP-Zeit [Minuten] 220 (min. 150 – max. 383)
Blutverlust [mL], median 50 (min. 0 – max. 200)
Intrakorporale Anastomosen 27/30 (90%)
Komplikationen nach Clavien-Dindo
Grad 0 / I / II / III / IV / V
n=24 / n=2 / n=2 / n=2 / n=0
(80% / 7% / 7% / 7% / 0%)
Postoperativer Aufenthalt stationär, median 7 (min. 5 – max. 32) Tage

14:23 – 14:29

KV 361 Standard-Setup für viszeralchirurgische Engriffe im linken Oberbauch mit dem Hugo RAS

Orlin Belyaev (Bochum)

KV 361 Standard-Setup für viszeralchirurgische Engriffe im linken Oberbauch mit dem Hugo RAS

O. Belyaev1, T. Fahlbusch1, W. Uhl1

1St. Josef Hospital, Katholisches Klinikum Bochum, Universitätsklinik für Allgemein- und Viszeralchirurgie, Bochum, Deutschland

Einleitung: Hugo RAS ist eine neue robotische Plattform, welche für die Viszeralchirurgie seit 2 Jahren in der EU zugelassen ist. Setups für Armkonfiguration und Trokarposition für verschiedene Abdominaleingriffe sind noch nicht standardisiert und die Erfahrung ist international sehr begrenzt.
Ziele: Beschreibung des von uns entwickelten Standard-Hugo-Setups für Eingriffe im linken Oberbauch, inklusive solche an der linken Nebenniere, der Milz, der linken Kolonflexur und des Pankreasschwanz.
Methodik: Patienten werden in echte überstreckte Rechtsseitenlage positioniert. Es werden drei der vier Hugo-Arme benutzt; zwei 8 mm Trokare, ein 11 mm Optiktrokar und ein 12 mm Assistenttrokar werden im linken Oberbauch wie in Abbildungen 1 und 2 eingebracht. Robotisch werden Bipolargrasper und Monopolarschere benutzt, der Tisch Assistent kann bei Bedarf Ligasure, Sauger oder Klipapplikator benutzen.
Ergebnis: Das Setup wurde bis dato bei 10 Patienten erfolgreich ohne Konversionen eingesetzt. Es erfolgten: Milzzysten-Deroofing n=2, Adrenalektomie links n=5, Entefrnung eines retroperitonealen Schwannoms und zwei Mesothelzysten. Die mediane Docking Zeit war 6 Minuten, die Konsolenzeit 90 Minuten, die Gesamt-Op-Zeit 120 Minuten. Der mediane Blutverlust war <10 ml. Es gab keine Armkolisionen und keine technischen Ausfälle. Es traten keine intra- oder postoperative Komplikationen. Der mediane postoperative Aufenthalt war 5 Tage.
Schlussfolgerung: Das hier vorgestellte Arm- und Trokar-Setup erlaubt die sichere und schnelle robotische Durchführung viszeralchirurgischer Eingriffe im linken Oberbauch mit exzellenter Exposition der linken Kolonflexur, Pankreasschwanz, Milz, linken Nebenniere und Niere, der paraaortalen Lymphknoten und Magenhinterwand im Fundus/Korpus-Bereich.

Abbildung 1:
Abbildung 2

Trokarpositionen linker Oberbauch Hugo:

14:31 – 14:37

KV 362 Erste multizentrische prospektive Studie zur roboterassistierten rechtsseitigen Hemikolektomie mit dem Dexter Roboterchirurgiesystem

Julius Pochhammer (Kiel)

KV 362 Erste multizentrische prospektive Studie zur roboterassistierten rechtsseitigen Hemikolektomie mit dem Dexter Roboterchirurgiesystem

J. Pochhammer1, H. Mignot2, F. Grass3, D. Hahnloser3

1UKSH, Campus Kiel, Klinik für Allgemein-, Viszeral-, Thorax-, Transplantations- und Kinderchirurgie, Kiel, Deutschland, 2Groupe Hospitalier Saintes – Saint-Jean-D’Angély, Klinik für Allgemeinchirurgie, Saintes, Frankreich, 3Universitätsspital Lausanne CHUV, Universität Lausanne (UNIL), Klinik für Viszeralchirurgie, Lausanne, Schweiz

Einleitung: Die rechtsseitige Hemikolektomie zählt zu den häufigsten kolorektalen Resektionen und eignet sich aufgrund ihres standardisierten Ablaufs besonders für den frühen Einsatz roboterassistierter Verfahren. Das Dexter-Robotersystem wurde entwickelt, um den Zugang zur roboterassistierten Chirurgie zu erleichtern. Durch sein kompaktes, mobiles Design, eine offene sterile Konsole und die Kompatibilität mit vorhandener Laparoskopietechnik lässt sich das System nahtlos in etablierte OP-Setups integrieren und unterstützt einen flexiblen, intraoperativen Arbeitsablauf.
Ziele: Ziel dieser Studie war es, die Leistungsfähigkeit und kurzfristige Sicherheit der roboterassistierten rechtsseitigen Hemikolektomie mit Dexter zu bestätigen.
Methodik: Nach der klinischen Einführung wurde eine prospektive, multizentrische Beobachtungsstudie in drei europäischen Kliniken durchgeführt. Eingeschlossen wurden erwachsene Patienten mit geplanter elektiver minimal-invasiver rechtsseitiger Hemikolektomie bei benignen oder malignen Indikationen. Primäre Endpunkte waren der Erfolg des Eingriffs ohne gerätebedingte dauerhafte Konversion und das Auftreten von Clavien-Dindo-Komplikationen Grad ≥3. Sekundäre Endpunkte waren die intraoperative Leistung und die Genesungsdaten bis 30 Tage postoperativ.
Ergebnis: Zwischen November 2022 und Dezember 2024 wurden 33 Patienten mit Dexter operiert. Das Medianalter lag bei 71 Jahren (IQR 63-78) und der mediane BMI bei 25,4 kg/m² (IQR 23,4-27,9). Alle Eingriffe wurden erfolgreich ohne intraoperative Komplikationen oder gerätebedingte Konversionen durchgeführt. Die Operationszeit lag im Median bei 168 Minuten (IQR 152-197), einschließlich einer medianen Andockzeit von 6 Minuten (IQR 4-8) und einer medianen Konsolzeit von 90 Minuten (IQR 53-119). Der geschätzte Blutverlust lag im Median bei 100 ml (IQR 20-120). Die mediane Liegezeit betrug 5 Tage (IQR 4-6). Bei zwei Patienten traten Komplikationen des Schweregrades 3 nach Clavien-Dindo auf; bei einem weiteren Patienten traten sowohl ein Ereignis des Schweregrades 3 als auch ein Ereignis des Schweregrades 4 auf.
Schlussfolgerung: Dexter erwies sich als sichere und effektive Lösung für die roboterassistierte rechtsseitige Hemikolektomie, selbst in der frühen Implementierungsphase. Die nahtlose Integration in bestehende OP-Infrastrukturen und der effiziente Arbeitsablauf unterstützen das Potenzial für eine breitere Anwendung in der kolorektalen Chirurgie.

14:39 – 14:45

KV 363 Laparoscopic small bowel resections with intracorporal anastomosis in emergency settings – a retrospective single centre study

Jasmin Monika Martina Schmitt (Würzburg)

KV 363 Laparoscopic small bowel resections with intracorporal anastomosis in emergency settings – a retrospective single centre study

J.M.M. Schmitt1, C.-T. Germer1, S. Flemming1, J.F. Lock1, F. Seyfried1

1Universitätsklinikum Würzburg, Klinik und Poliklinik für Allgemein-, Viszeral-, Transplantations-, Gefäß- und Kinderchirurgie, Würzburg, Deutschland

Introduction: Minimally invasive surgery (MIS) has advantages over the open approach and has, therefore, become the standard for many abdominal procedures. Evidence on MIS small bowel resections with intracorporal anastomosis in emergency settings is scare.
Methods: All consecutive patients requiring small bowel resection with primary anastomosis during emergency hours treated between 2019 and 2024 were collected from the integrated hospital information system at a tertiary referral centre.
Objective: Outcomes of patients with MIS small bowel resection with intracorporal anastomosis were compared to those with open approach.
Results: A total of 427 patients were identified of whom 6 (1.41%) underwent MIS by an experienced MI surgeon. Of these (4 females, 2 males; mean age 62.2, range 29-77 years), two were diagnosed with haemorrhagic small bowel infarction, one with obstructive adhesion-related ileus and three with intestinal gangrene caused by incarcerated hernias. First flatus (median 2, range 1-3 days), postoperative complication rate measured by CCI (Comprehensive Complication Index; median 15.25, range 0-33.5) and length of stay (median 8, range 4-23 days) were lower after MIS compared to the open approach (each p < 0.01). There were no anastomotic leaks nor revisional surgeries after MIS. Notably, two patients (33%) developed a trocar site infection which was successfully treated with antibiotic treatment.
Conclusion: Our data suggest that laparoscopic small bowel resections with intracorporal anastomosis in an emergency setting are feasible and safe in highly selected cases if the necessary expertise is available. Attention needs to be paid to trocar site infections.

14:47 – 14:53

KV 364 Robotische Leberparenchymdurchtrennung mittels Scissor Hepatectomy Technik

Elisabeth Miller (Ulm)

KV 364 Robotische Leberparenchymdurchtrennung mittels Scissor Hepatectomy Technik

E. Miller1, M. Kornmann1, N.N. Rahbari1, E. Birgin1

1Universitätsklinikum Ulm, Klinik für Allgemein- und Viszeralchirurgie, Ulm, Deutschland

Einleitung: Die Parenchymdurchtrennung stellt eine wesentliche Herausforderung in der Leberchirurgie dar. Derzeit existiert keine standardisierte Technik für die robotergestützte Parenchymdurchtrennung.
Ziele: Ziel dieser Studie war es, die Scissor Hepatectomy mit anderen verfügbaren Techniken zu vergleichen.
Methodik: Wir analysierten unsere prospektiv geführte, institutionelle Datenbank mit 245 konsekutiv behandelten Patienten, die sich einer robotergestützten Leberresektion unterzogen hatten. Patienten, bei denen eine Konversion zur offenen Operation, eine zweizeitige Hepatektomie oder eine kombinierte Gefäßresektion mit Rekonstruktion durchgeführt wurde, wurden ausgeschlossen. Je nach angewandter Technik der robotergestützten Parenchymdurchtrennung wurde die Kohorte in eine Scissor-Hepatectomy-Gruppe und eine Gruppe mit alternativen Verfahren stratifiziert. Perioperative Charakteristika und Ergebnisse wurden zwischen den Gruppen verglichen. Mittels logistischer Regressionsanalysen wurden Risikofaktoren untersucht, die mit schwerwiegenden Komplikationen (Clavien-Dindo > III) assoziiert waren.
Ergebnis: Im Zeitraum von 2021 bis 2024 erfüllten 207 Patienten die Einschlusskriterien (medianes Alter 64 Jahre). Eine Scissor Hepatectomy wurde bei 117 Patienten (57 %) durchgeführt, während bei 90 Patienten (43 %) alternative Techniken angewandt wurden. Negative Resektionsränder wurden bei 181 Patienten (87%) erreicht. Die Patientencharakteristika waren vergleichbar, mit Ausnahme eines höheren Anteils komorbider Patienten in der Scissor Hepatectomy Gruppe (Charlson Comorbidity Index 6 (2-7) vs. 4 (2-6), P = 0,038). In beiden Gruppen unterzogen sich die meisten Patienten einer Minor-Leberresektion (n = 101, 86% vs. n = 75, 83%, P = 0,688). Der Blutverlust war in der Scissor-Hepatectomy-Gruppe signifikant geringer (300 mL vs. 375 mL, P < 0,005), während die Rate klinisch relevanter Morbidität vergleichbar war (15 % vs. 14 %, P < 0,99). Es konnten keine Risikofaktoren identifiziert werden, die mit klinisch relevanten postoperativen Komplikationen assoziiert waren.
Schlussfolgerung: Die Scissor Hepatectomy stellt eine sichere Technik zur robotergestützten Parenchymdurchtrennung dar. Prospektive randomisierte Studien sind erforderlich, um die Technik systematisch mit anderen Verfahren zu vergleichen.

14:55 – 15:01

KV 365 Dexter in der roboterassistierter Cholezystektomie: Erste prospektive multizentrische Studie zur Indikationserweiterung in den USA

Jonas Henn (Bonn)

KV 365 Dexter in der roboterassistierter Cholezystektomie: Erste prospektive multizentrische Studie zur Indikationserweiterung in den USA

J. Henn1, N. Seeger2, H. Mignot3, L. Gantner4, N. Kuchen4, H. Matthaei1, S. Breitenstein2

1Universitätsklinikum Bonn, Klinik und Poliklinik für Allgemein-, Viszeral-, Thorax- und Gefäßchirurgie, Bonn, Deutschland, 2Kantonsspital Winterthur, Klinik für Viszeral- und Thoraxchirurgie, Winterthur, Schweiz, 3Groupe Hospitalier Saintes – Saint-Jean-D’Angély, Klinik für Allgemeinchirurgie, Saintes, Frankreich, 4Klinik Hirslanden, Chirurgisches Zentrum Zürich, Zürich, Schweiz

Einleitung
Trotz der Fortschritte in der Roboterchirurgie ist die roboterassistierte Cholezystektomie nach wie vor nur eingeschränkt zugänglich, was hauptsächlich auf die hohen Kosten und die infrastrukturellen Anforderungen zurückzuführen ist. Das Robotersystem Dexter bietet eine kostengünstige, mobile Alternative im kleinen Format, die auf schnelle Erlernbarkeit, Effizienz und nahtlose Integration in laparoskopische Arbeitsabläufe ausgelegt ist.

Ziele
Ziel dieser Studie (ClinicalTrials.gov NCT06473688) war es, die frühe postoperative Sicherheit und klinische Leistung der Cholezystektomie mit Dexter zu bestätigen – als Grundlage für eine Indikationserweiterung zur Anwendung bei der Cholezystektomie in den USA.

Methodik
An dieser prospektiven multizentrischen Studie nahmen 51 Patienten zwischen Juni 2024 und November 2024 in 4 Krankenhäusern in 3 Ländern teil. Sechs Chirurgen mit unterschiedlicher Robotererfahrung führten die Eingriffe bei elektiver symptomatischer Cholelithiasis, Cholezystitis, Choledocholithiasis und Pankreatitis durch. Zu den primären Endpunkten gehörten Clavien-Dindo ≥3 unerwünschte Ereignisse und der Erfolg des Eingriffs ohne Konversion. Sekundäre Endpunkte bewerteten die chirurgische Leistung und die Patientenergebnisse bis zu 30 Tage nach der Operation.

Ergebnis
Das mediane Alter der Patienten betrug 59 Jahre (IQR 42-65) und der BMI 28,0 kg/m² (IQR 24,9-29,6). Alle Eingriffe wurden erfolgreich und ohne Gerätedefekte oder Konversionen durchgeführt. Die mediane Operationszeit betrug 58 Minuten (IQR 49-78), einschließlich einer medianen Andockzeit von 3 Minuten (IQR 2-5) und einer medianen Konsolzeit von 25 Minuten (IQR 21-36). Bei einem geschätzten medianen Blutverlust von 5 ml (IQR 0-10) waren keine Bluttransfusionen erforderlich. Die mediane Liegedauer betrug 1 Tag (IQR 1-2), wobei 12 (23.5%) Eingriffe im ambulanten Setting durchgeführt wurden. Ein Patient benötigte postoperativ eine ERCP wegen Choledocholithiasis (Clavien-Dindo 3), die ohne erneute Operation behandelt wurde.

Schlussfolgerung
Die roboterassistierte Cholezystektomie mit Dexter zeigte sich als sicher, effizient und in bestehende chirurgische Abläufe gut integrierbar. Die ambulante Durchführbarkeit sowie das Ausbleiben gerätebedingter Komplikationen unterstreichen das Potenzial von Dexter als praxistaugliche und flexible robotische Lösung für routinemäßige minimal-invasive Eingriffe auch im ambulanten Umfeld.

15:03 – 15:09

KV 366 Robotisch assistierte Magenresektionen mit dem hinotori™ System – Präklinische Ergebnisse

Christoph Wandhöfer

KV 366 Robotisch assistierte Magenresektionen mit dem hinotori™ System – Präklinische Ergebnisse

C. Wandhöfer1, F. Roviello2, V. Lozanovski1, E. Tagkalos1, P.P. Grimminger1, H. Lang1, S.S. Gisbertz3,4

1Universitätsmedizin Mainz, Klinik für Allgemein-, Viszeral- und Transplantationschirurgie, Mainz, Deutschland, 2University of Siena, Department of General Surgery and Surgical Oncology, Siena, Italien, 3Amsterdam UMC location University of Amsterdam, Department of Surgery, Amsterdam, Niederlande, 4Cancer Treatment and Quality of Life, Cancer Center Amsterdam, Amsterdamniedernie, Niederlande

Eine differenzierte Therapie des Magenkarzinoms unter Berücksichtigung des Tumorstadiums wurde bereits mehrfach beschrieben. Eine distale Magenresektion im UICC Stadium 1 zeigt vergleichbare Ergebnisse in der offenen wie laparoskopischen Therapie auf. Eine höher Lymphknotenausbeute sowie ein rascherer Kostaufbau ist bei robotischen Prozeduren beschrieben. Das robotische System hinotori™ (Medicaroid, Japan) ist ein Master-Slave system bei dem 4 Operationsarme von einer Konsole bedient werden.
Gezeigt werden soll die Machbarkeit der distalen (RADG) sowie totalen robotischen Gastrektomie (RATG) in humanen Körperspendern mit dem hinotori™ System in einer präklinischen Studie.
In drei männlichen Körperspendern (BMI 23.0, 24.0, 29.8) erfolgte die RADG mit D2 Lymphadendektomie sowie eine transhiatal erweitert RATG. Eine Delta-Anastomose mittels manuellen Staplers, welcher über einen Assistenztrokar bedient wurde, schloss die RADG ab. Bei der RATG erfolgte eine Transektion des Ösophagus. Genutzt wurde das hinotori™ System mit monopolarer Schere, Maryland Bipolar, Bipolarer Grasper, Versatile Grasper sowie Clip Applier. Das Kamerasystem von Karl Storz (4K3D Rubina, 2D/3D-Monitor) sowie die Stromeinheit (Autocon III 400®) erlaubten eine präzise Sicht sowie Präparation in allen Schritten. Die Softwaretechnologie stabilisierte die Rotationspunkte der Instrumente, welche initial kalibriert wurden ohne das eine Konnektion zum Trokar bestand.
Alle Prozeduren wurden ohne Organverletzungen oder Dysfunktion durchgeführt. Die Trokarplazierung erfolgte nach Empfehlungen des Herstellers ohne das Ändeurngen durchgeführt werden mussten. Die Transektion des distalen Drittels des Magens sowie die Durchführung der Delta-Anastomose mittels Stapler erfolgte ohne Interfenrenzen mit den robotischen Instrumenten und Armen. Die durchschnittliche Vorbereitungszeit des Systems sowie der Rotationspunktkalibrierung betrug 9 Minuten, die durchschnittliche Operationsdauer 118 Minuten. Die transhiatal erweiterte Gastrektomie als Komplettierung einer RADG wurde ohne Änderungen der Trokarpositionen oder Roboters durchgeführt. Möglich war die Mobilisation bis zu den Pulmonalvenen.
In dieser ersten europäischen Machbarkeitsstudie zeigte sich eine suffiziente Funktion des hinotori™ Systems bei Magenresektion. Die trokarkonnektionsfreie Technologie ermöglichte die Nutzung der gesamten Instrumentenlänge und gewährleistet eine transhiatale Erweitung der Resektion ohne Änderung der Einstellungen.

15:11 – 15:17

KV 367 Implementierung des DaVinci SP Systems: Erste Erfahrungen in einem multidisziplinären Roboterchirurgie-Zentrum

Richard Hummel (Greifswald)

KV 367 Implementierung des DaVinci SP Systems: Erste Erfahrungen in einem multidisziplinären Roboterchirurgie-Zentrum

R. Hummel1, J. Baecker1, E. Knochenhauer1, S. Kersting1

1Universitätsmedizin Greifswald, Klinik für Allgemeine Chirurgie, Viszeral-, Thorax- und Gefäßchirurgie, Greifswald, Deutschland

Einleitung: Das DaVinci SP System ist eine Weiterentwicklung der roboterassistierten Chirurgie und basiert auf einem Single-Port-Konzept zur Reduktion der Invasivität bei gleichzeitiger Erhaltung robotertechnischer Vorteile. Hierbei eignet es sich besonders für Eingriffe in engen anatomischen Räumen.
Ziele: Diese Arbeit beschreibt die Einführung des Systems in einem interdisziplinären Zentrum und bewertet erste klinische Erfahrungen hinsichtlich Anwendbarkeit, Sicherheit und Effizienz.
Methodik: Die Einführung des DaVinci SP Systems erfolgte anhand eines modularen Schulungskonzepts. Die Evaluation umfasste Aspekte des Step-Up Approaches der Implementierung, der klinischen Sicherheit der Implementierung und der Lernkurven bzw. Systemgewöhnung. Über 100 Eingriffe – von Routine- bis zu komplexen Operationen – wurden in 4 Abteilungen Viszeralchirurgie, Urologie, Gynäkologie, HNO) durchgeführt, um Sicherheit, Anwendbarkeit und Effizienz des Systems zu bewerten.
Ergebnis: Durch den Step-Up Approach konnten innerhalb eines halben Jahres zum Beispiel in der Viszeralchirurgie bereits komplexe Eingriffe wie Gastrektomien oder Anteriore Resektionen sicher durchgeführt werden. Hierbei zeigten sich vergleichbare Komplikationsraten, Eingriffszeiten und Krankenhausverweildauern wie bei Eingriffen mit dem XI Multiport System. Die Docking-Zeit sank von initial 12–15 auf 6–8 Minuten. Insgesamt konnte der DaVinci SP in vielen Bereichen sehr ähnlich wie das Multiport System XI eingesetzt werden. Neben einigen eindeutigen Vorteilen gegenüber dem XI System wie dem schnellen Docking oder der grossen Bewegungsfreiheit fielen Besonderheiten bei Assistenz und Portplacment auf.
Schlussfolgerung: Wir demonstrieren mit der vorliegenden Arbeit eine schnelle und sichere Einführung des DaVinci SP in einem interdisziplinären Setting in einem erfahrenen Robotik-Zentrum.

15:19 – 15:25

KV 368 Singleport Robotic Surgery in der Viszeralchirurgie: Besonderheiten des DaVinci SP aus Sicht des Multiport, der chiurgischen Taktik und Eignung für Eingriffe in der Viszeralchirurgie

Richard Hummel (Greifswald)

KV 368 Singleport Robotic Surgery in der Viszeralchirurgie: Besonderheiten des DaVinci SP aus Sicht des Multiport, der chiurgischen Taktik und Eignung für Eingriffe in der Viszeralchirurgie

R. Hummel1, J. Baecker1, E. Knochenhauer1, S. Kersting1

1Universitätsmedizin Greifswald, Klinik für Allgemeine Chirurgie, Viszeral-, Thorax- und Gefäßchirurgie, Greifswald, Deutschland

Einleitung: Das DaVinci SP System ist eine Weiterentwicklung der roboterassistierten Chirurgie und basiert auf einem Single-Port-Konzept zur Reduktion der Invasivität bei gleichzeitiger Erhaltung robotertechnischer Vorteile. Bisher wurde dieses System hauptsächlich in der Urologie und HNO verwendet.
Ziele: Ziel dieser Arbeit ist es, die Eignung des DaVinci SP für unterschiedliche Bereiche in der Viszeralchirurgie zu beleuchten
Methodik: Die Arbeit umfasst neben Details zum notwendigen Training Informationen über Gemeinsamkeiten und Unterscheide zwischen Multiport und Singleport Systemen. Weiter wird ein vergleichender Überblick über Eingriffe in der Viszeralchirurgie mit beiden robotischen Systemen gegeben.
Ergebnis: Aktuell ist für die Viszeralchirurgie noch kein Trainingspathway der Firma Intuitive verfügbar. Bei bisher nur sehr wenigen Proktoren ist ein wie vom XI bekanntes Proktoring/Observationsprogramm noch nicht etabliert. Eingesetzt wurde das System in unserer Klinik bereits in folgenden Bereichen: Allgemeinchirurgie, Oberer GI-Trakt, Bariatrie, HBP, Kolorektal, Thoraxchirurgie. Viele Eingriffe in der Viszeralchirurgie lassen sich hierbei chirurgisch-taktisch und von den Instrumenten her in sehr ähnlicher Weise mit dem SP wie mit dem XI durchführen. Besonderheiten und Unterschiede beinhalten unter anderem Docking, Assistenz oder Bewegungsumfang.
Schlussfolgerung: Der DaVinci SP ist für den Einsatz in der Viszeralchirurgie in höchstem Masse geeignet. Die Erschließung neuer Zugangswege und operativer Räume in der Viszeralchirurgie steht noch aus.

15:27 – 15:33

KV 369 Prädiktive Faktoren für die Notwendigkeit einer Revisionsoperation nach Fundoplikatio – Retrospektive Analyse von Patienten, die zwischen 2004 und 2022 an der Universitätsklinik Heidelberg eine Fundoplikatio oder eine Re-Fundoplikatio erhielten

Gergana Miluschewa (Heidelberg)

KV 369 Prädiktive Faktoren für die Notwendigkeit einer Revisionsoperation nach Fundoplikatio – Retrospektive Analyse von Patienten, die zwischen 2004 und 2022 an der Universitätsklinik Heidelberg eine Fundoplikatio oder eine Re-Fundoplikatio erhielten

A. Schuh1, G. Miluschewa1

1Universitätsklinik Heidelberg, Abteilung für Allgemein-, Viszeral- und Transplantationschirurgie, Heidelberg, Deutschland

Einleitung: Die gastroösophageale Refluxkrankheit (GERD) ist ein sehr verbreitetes Krankheitsbild. Aufgrund subjektiv wahrgenommener Symptome ist hier mit einer relevanten Dunkelziffer zu rechnen. Obwohl es einige validierte Scores zur Objektivierung der Symptomatik gibt, ist eine genaue globale Prävalenz nicht unbekannt, liegt aber schätzungsweise zwischen 10–20 %. Die beiden Therapieoptionen sind die konservative medikamentöse Behandlung oder ein operativer Eingriff. Dabei gibt es drei am häufigsten durchgeführte minimalinvasive Operationen. Es fehlen jedoch weiterhin valide Daten, welches operative Verfahren das beste Ergebnis liefert und welche Faktoren entscheidend sind für ein rezidivfreies postoperatives Ergebnis.
Ziele: Diese Studie hatte zum Ziel, den mittel- und langfristigen postoperativen Verlauf nach einer minimalinvasiven oder offenen Fundoplikatio an der Universitätsklinik Heidelberg zu untersuchen und prädiktive Faktoren für die Notwendigkeit einer Revisionsoperation nach Fundoplikatio zu untersuchen.
Methodik: Wir führten eine monozentrische retrospektive Analyse durch und untersuchten 669 Patienten, die zwischen 2004 und 2022 eine Fundoplikatio an der Universitätsklinik Heidelberg erhielten. 402 Patienten wurden analysiert. Der primäre Endpunkt war ein komplikationsfreier Langzeitverlauf. Als sekundäre Endpunkte wurden der Einfluss der intraoperativ verwendeten Bougiegröße, der Einsatz von Netzmaterial sowie präoperative Ösophagitis oder Barrett-Metaplasie auf die postoperative Komplikationsrate gewählt. Ebenso wurde der Zusammenhang zwischen auffälligem postoperativem Breischluck und der postoperativen Komplikationsrate untersucht.
Ergebnis: Es zeigte sich kein signifikanter Einfluss der intraoperativen Bougiegröße auf die postoperative Komplikationsrate. Ein früh durchgeführter postoperativer Breischluck stellte sich als guter Prädiktor für postoperative Komplikationen heraus. Direkt postoperativ durchgeführter Breischluck zeigte die beste Sensitivität für den Nachweis eines Hernienrezidivs.
Schlussfolgerung: Ein frühzeitig auffälliger Breischluck ist ein guter Prädiktor für die Notwendigkeit einer Revisionsoperation. Daher sollte dieser regelmäßig innerhalb der ersten fünf postoperativen Tage durchgeführt werden.

15:35 – 15:41

KV 370 Einsatz von ChatGPT als Teil der studentischen Ausbildung in der minimal-invasiven Chirurgie – eine randomisiert kontrollierte Studie

Marielle Schobbert (Heidelberg)

KV 370 Einsatz von ChatGPT als Teil der studentischen Ausbildung in der minimal-invasiven Chirurgie – eine randomisiert kontrollierte Studie

M. Schobbert1, E.A. Felinska1, D. Killat1, W. Werner1, T. Pausch1, F. Nickel2, F. Billmann3, F. Pianka1

1Universitätsklinikum Heidelberg, Klinik für Allgemein-, Viszeral- und Transplantationschirurgie, Heidelberg, Deutschland, 2Universitätsklinikum Hamburg-Eppendorf, Klinik und Poliklinik für Allgemein-, Viszeral- und Thoraxchirurgie, Hamburg, Deutschland, 3Klinikum Heidenheim, Heidenheim, Deutschland

Einleitung: Die Anwendung von Künstlicher Intelligenz (KI) in der Medizin nimmt immer mehr an Bedeutung zu. Der tatsächliche Nutzen von gängigen Tools wie ChatGPT im chirurgischen Training ist bisher jedoch noch nicht ausreichend untersucht.
Ziele: Diese Studie prüft, inwiefern der Einsatz von ChatGPT als Hilfstool das theoretische Verständnis operativer Verfahren, die Performance bei laparoskopischen Cholezystektomien (LC), sowie das Management intraoperativer Komplikationen im chirurgischen Training von Medizinstudierenden verbessert.
Methodik: Insgesamt wurden 40 Medizinstudierende ohne laparoskopische Vorkenntnisse im chirurgischen Trainingszentrum der Uniklinik Heidelberg in zwei Gruppen randomisiert: Durchführung der LC mit und ohne der Hilfe von ChatGPT. Die Performance wurde anhand von den Scores Objective Structured Assessments of Technical Skills (OSATS), Global Operative Assessment of Laparoscopic Skills (GOALS), Coping Mechanisms for Intraoperative Complication Management in Laparoscopic Cholecystectomy (COMIC-LC), Gesamtzeit und Anzahl der Komplikationen, sowie einem Wissenstest gemessen. Die subjektive Arbeitsbelastung, Motivation und Selbstsicherheit mithilfe vom NASA-Task-Load Index (TLX), Questionnaire on Current Motivation (QCM) und General-Self-Efficiency Score (GSE-3).
Ergebnisse: Bei der Prüfung des praktischen COMIC-LC Scores erzielten beide Gruppen ähnliche Ergebnisse, beim theoretischen COMIC-LC Score schnitt die ChatGPT Gruppe besser ab (22.2 ±4.8 vs. 25.9 ±4.7, p=0.023). Bei der Durchführung der 1. LC wurde die subjektive Arbeitsbelastung von der Interventionsgruppe höher empfunden, als von der Kontrollgruppe (60.8 ±14.6 vs. 73.7 ±13.3, p=0.006). Während der 2. LC gab es keine Unterschiede (63.2 ±14.3 vs. 65.4 ±17.7p=0.664). Weder die Theorieprüfung noch die Messung der Performance durch den OSATS oder GOALS zeigten relevante Unterschiede.
Schlussfolgerung: Schlussendlich, bleibt der Einsatz von ChatGPT für die Ausbildung praktisch-chirurgischer Fertigkeiten und der Nutzen bei einer Verbesserung der Performance während einer LC bisher noch begrenzt. In der subjektiven Arbeitsbelastung spiegelt sich wider, dass die Interventionsgruppe den Einsatz der KI während der OP teilweise als noch herausfordernder empfand als ohne Tool. Lediglich bei der Vorbereitung theoretischer Inhalte zeigte sich der Einsatz als hilfreich für das Verständnis insbesondere des intraoperativen Komplikationsmanagements.

15:43 – 15:49

KV 371 SmartOT: From Virtual Reality to Physical Reality – Neurokognitive Untersuchungen zur Verwendbarkeit einer neuartigen OP-Lampe

Timur Cetin (Oldenburg)

KV 371 SmartOT: From Virtual Reality to Physical Reality – Neurokognitive Untersuchungen zur Verwendbarkeit einer neuartigen OP-Lampe

T. Cetin1, V. Uslar1, E. Gashi2, V. Hartmann1, S. Ocklenburg2, D. Weyhe1

1Carl von Ossietzky Universität Oldenburg, Universitätsklinik für Viszeralchirurgie, Oldenburg, Deutschland, 2Medical School Hamburg, Hamburg, Deutschland

Einleitung: Um den OP-Situs auszuleuchten ist eine Interaktion mit der OP-Leuchte notwendig. Chirurgisches Personal justiert etwa alle 8 min die Lampe nach (1) – zum einen ein hygienisches Problem (2), zum anderen lenkt es potenziell von der Primäraufgabe ab. Im SmartOT-Projekt wurde ein neues Lampendesign erarbeitet, dass die Notwendigkeit zur Nachjustierung der Lampe aufhebt. Dieses Design wurde bereits in einer VR-Umgebung simuliert (Abb. 1) und als praktikabel eingeschätzt (3).
Ein Screenshot aus einer Virtual Reality-Simulation zeigt das neue Lampenkonzept, bei dem kleine Strahler in die OP-Decke eingelassen sindAbb. 1: Konzept einer berührungsfrei funktionierenden OP-Leuchte (VR-Simulation)

Ein realer Demonstrator dieses neuartigen Lampendesigns wurde nun auf seine Vorteile für die Arbeitsleistung von Chirurgen hin untersucht (Abb. 2).

Das im Labor umgesetzte Konzept der neuen OP-Lampe. An einer Bühnentraverse über einem OP-Tisch ist ein Array aus 7x8 Strahlern aufgehängtAbb. 2: Reale Umsetzung des in der VR-Simulation erarbeiteten Konzeptes für eine neuartige OP-Leuchte

Ziele: Es soll überprüft werden, ob die neuartige OP-Lampe zu einer Verbesserung der Arbeitsleistung führt.
Methodik: 11 Probanden bearbeiteten in einem Simulations-OP einen Aufmerksamkeitstest (D2 Test). Die Arbeitsfläche wurde in regelmäßig durch einen Schattenwurf verdunkelt. Bei der klassischen OP-Lampe musste diese dann manuell nachgestellt werden, bei der neuartigen OP-Lampe bestand diese Notwendigkeit nicht. Anschliessend wurde für ein Fragebogen zur subjektiv empfundenen Arbeitsbelastung ausgefüllt. Ein EEG wurde aufgezeichnet. Die Ergebnisse des Aufmerksamkeitstests, des Fragebogens und der EEG-Aufzeichnungen wurden zwischen den Bedingungen verglichen.
Ergebnisse: Bei der neuartigen Leuchte ist ein Arbeiten ohne manuelle Interaktion mit der Lampe möglich. Die Leistungen der Probanden unterscheiden sich nicht zwischen den OP-Lampen, die EEG-Daten deuten jedoch auf geringfügig weniger Cognitive Load und eine subjektiv empfundene geringere Arbeitsanstrengung als bei der klassischen OP Lampe hin.
Schlussfolgerung:
Die neuartige OP-Lampe ist gut einsetzbar, führt aber nicht per se zu einer besseren Leistung. Bei langen Operationen wird sie zu einer Verminderung der Arbeitsbelastung beitragen, dadurch auch der vorzeitigen Ermüdung des Personals vorbeugen und dadurch zu einer besseren Arbeitsleistung beitragen.

(1) Knulst 2011, Indicting shortcomings in surgical lighting systems
(2) Schweitzer 2015, Surgical light handles: a source of contamination in the surgical field
(3) Cetin 2023, A VR simulation of a novel way to illuminate the surgical field – A feasibility study on the use of automated lighting systems in the operating theatre

Kurzvortragssitzung

TIPS: Klinischer Verlauf, Outcome und therapeutische Strategien

12:10 – 12:59

Do 18.09.

Vortragsraum 11

Open Accordion - Icon Close Accordion - Icon

Vorsitz: Dominik Bettinger (Freiburg)

12:10 – 12:15

KV 142 TIPS for portal hypertensive gastropathy bleeding reduces further decompensation and mortality

Zeyu Wang (Münster)

KV 142 TIPS for portal hypertensive gastropathy bleeding reduces further decompensation and mortality

Z. Wang1, M. Kimmann1, J. Chang2, J. Gödiker1, S. Letmathe1, J.A. Meier1, F. Sanoubara1, S.N. Reinartz Groba1, F. Weppelmann1, C. Jansen2, C. Meyer3, M. Köhler4, W. Laleman5, J. Trebicka1, J.C. Garcia-Pagan6, M. Praktiknjo1

1Department of Medicine B, University Hospital Münster, Münster, Deutschland, 2Department of Medicine I, University Hospital Bonn, Bonn, Deutschland, 3Department of Diagnostic and Interventional Radiology, University Hospital Bonn, Bonn, Deutschland, 4Department of Radiology, University Hospital Münster, Münster, Deutschland, 5Department of Liver and Biliary Sciences, University Hospitals Leuven, Leuven, Belgien, 6Liver Unit, Hospital Clínic, IDIBAPS, University of Barcelona, Barcelona, Spanien

Background: Portal hypertensive gastropathy (PHG) affects 50-75% of patients with portal hypertension and represents a significant clinical challenge, due to acute and chronic bleeding leading to persistent anemia in up to 26% of patients. PHG-related hemorrhage is typically diffuse and difficult to manage with conventional endoscopic techniques. While transjugular intrahepatic portosystemic shunt (TIPS) has shown benefits in managing variceal bleeding and refractory/recurrent ascites, its role in PHG-related bleeding and subsequent clinical outcomes remains unclear, particularly regarding further decompensation risk.
Aims: This study aims to investigate the effect of TIPS on further decompensation and survival in patients with PHG-related bleeding.
Methods: In this retrospective multicenter study, we identified 81 cirrhotic patients with endoscopically confirmed PHG-related bleeding. Twenty-five patients received TIPS and 56 patients received standard of care (SOC). Using 1:1 propensity score matching, we evaluated the effect of TIPS on further decompensation, specific decompensation events, and survival over 12 months through Kaplan-Meier analysis, Competing risk and Cox proportional hazards regression. Inverse probability of treatment weighting as sensitivity analyses.
Results: TIPS group showed significantly lower rate of further decompensation within 1 year compared to SOC (64% vs. 92%, p=0.017), particularly for (re-)occurrence ascites (24% vs. 64%, p=0.004) and hepatic encephalopathy (HE) (16% vs. 40%, p=0.059). Multivariable Cox regression analysis confirmed as independently associated with lower rates of TIPS ascites (HR: 0.237, 95% CI: 0.087-0.649, p=0.005) and HE (HR: 0.132, 95% CI: 0.025-0.686, p=0.016). TIPS group showed numerically lower rebleeding rates (28% vs. 44%, p=0.239, HR: 0.523, 95% CI: 0.197-1.385, p=0.192). One year mortality showed a trend with TIPS (28% vs. 52%, p=0.083) and significant in overall cohort (28% vs. 57%, p=0.014). IPTW sensitivity analysis confirmed these benefits with even stronger associations, and showed significant reduction in rebleeding risk (HR: 0.573, 95% CI: 0.360-0.913, p=0.019).
Conclusions: TIPS placement in patients with PHG-related bleeding significantly reduces the risk of further decompensation, particularly ascites and HE. These findings suggest that TIPS may serve as a disease-modifying therapy in PHG patients. Larger prospective studies are needed to confirm survival benefits.

12:17 – 12:22

KV 143 Zwei Fälle von schwerer portaler Hypertension durch nodulär regenerative Hyperplasie der Leber

Alexander Killer

KV 143 Zwei Fälle von schwerer portaler Hypertension durch nodulär regenerative Hyperplasie der Leber

A. Killer1, A. Kunstein1, C. Angendohr1, B.-E.O. Jensen1, P. Minko2, J. Bode1, H.H. Bock1, T. Lüdde1

1Universitätsklinik Düsseldorf, Klinik für Gastroenterologie, Hepatologie und Infektiologie, Düsseldorf, Deutschland, 2Universitätsklinik Düsseldorf, Institut für diagnostische und interventionelle Radiologie, Düsseldorf, Deutschland

Einleitung: Nodulär regenerative Hyperplasie (NRH) ist ein meist durch inflammatorische Erkrankungen bedingtes Schädigungsmuster der Leber mit Regeneratknoten und portaler Hypertension, aber in Abgrenzung zur Leberzirrhose besteht keine Fibrosierung und eine normale Leberarchitektur. Auf Grund der Seltenheit sowie der normalen Lebermorphologie ist die Diagnose erschwert und es fehlen große systematische Analysen. Wir stellen zwei komplexe NRH-Fälle vor.
Ziele: Wir möchten Fälle dieser seltenen Erkrankung vorstellen, um Erfahrung zu teilen und auf diese Differentialdiagnose und ihr individuelles Management hinzuweisen.
Ergebnis: Patient 1: 32-jähriger Mann, der sich zur Abklärung einer unklaren Splenomegalie vorstellte. Eine externe Leberbiopsie ergab einen Normalbefund, Stoffwechselerkrankungen, hämatologische Erkrankungen, Kollagenosen und Thrombophilie wurden ausgeschlossen. Als Grunderkrankung bestand eine niedrig replikative Hepatitis B. Es erfolgten mehrere Ligaturen von Varizen innerhalb mehrerer Jahre. 2024 zeigte sich die Splenomegalie weiter progredient mit nun 27cm, außerdem war ein ätiologisch unklares Aneurysma des Truncus coeliacus progredient (3,2cm). Eine transjuguläre Biopsie ergab den Befund einer NRH der Leber. Wir haben eine Embolisation der Milz, einen radiologisch interventionellen Verschluss (BRTO) der Kollateralen und anschließend ein Stenting des Aneurysmas durchgeführt. Unter Therapie mit Tenofovir war die HBV zwischenzeitlich serokonvertiert. Durch die Interventionen zeigen sich das Aneurysma kontrolliert und die Thrombozyten auf 70.000/µl angestiegen (vorher um 20.000/µl).
Patient 2: 38-jähriger Mann mit Lupus, sekundären Immundefekt (CVID), sowie therapierefraktären Aszites. Eine Leberbiopsie ergab den Nachweis einer NRH. Trotz TIPS-Anlage mit zweimaliger Revision bei Koaguloapthie folgten mehrere Episoden von SBP. Auf Grund einer zunehmenden Leberfunktionsverschlechterung trotz fehlenden Hinweisen auf Lupus-Aktivität erfolgte eine Listung zur Lebertransplantation. Bei disseminierten Angiodysplasien kam es innerhalb eines 4-monatigen stationären Aufenthaltes zu einem letztlich letal verlaufenden Circulus vitiosus aus Blutung, Infektion und progredienter Leberinsuffizienz, der eine Transplantation verhinderte.
Schlussfolgerung: NRH kann zu einem schweren, komplexen Krankheitsbild führen. Die Diagnose erfolgt oft erst bei fortgeschrittenem Krankheitsbild und erfordert ein individuelles Vorgehen.

Zwei CT Bilder von Patient 1, 1. transversaler Schnitt, 3,2cm großes Aneurysma des Truncus ersichtlich. Bild2: Coronarer Schnitt CT mit massiver Splenomegalie und deutlich ersichtlichen Kollateralen.

12:24 – 12:29

KV 144 Resolution von hepatopulmonalem Syndrom und Verbesserung der Oxygenierung nach TIPS Implantation bei Patient*Innen mit Leberzirrhose

Tammo L. Tergast (Hannover)

KV 144 Resolution von hepatopulmonalem Syndrom und Verbesserung der Oxygenierung nach TIPS Implantation bei Patient*Innen mit Leberzirrhose

J. Mauz1, S.L. Schütte1, A. Tiede1, H. Rieland1, M. Kabelitz1, L.S. Wagner1, J.F.M. Egge1, H. Wedemeyer1, K.M. Olsson2, D. Berliner3, B. Maasoumy1, T.L. Tergast1

1Medizinische Hochschule Hannover, Klinik für Gastroenterologie, Hepatologie, Infektiologie und Endokrinologie, Hannover, Deutschland, 2Medizinische Hochschule Hannover, Klinik für Pneumologie und Infektiologie, Hannover, Deutschland, 3Medizinische Hochschule Hannover, Klinik für Kardiologie und Angiologie, Hannover, Deutschland

Einleitung: Das hepatopulmonale Syndrom (HPS) ist eine schwere Komplikation der portalen Hypertension, die durch intrapulmonale Gefäßerweiterungen (IPVD), sowie einen erhöhten alveolär-arteriellen Sauerstoffgradienten (P(A-a)O2) gekennzeichnet ist und zu einer erhöhten Mortalität führt. Bislang ist die Lebertransplantation (LTx) die einzige kurative Behandlung. Während die Implantation eines transjugulären intrahepatischen portosystemischen Shunts (TIPS) eine wirksame Therapie für Komplikationen der portalen Hypertension darstellt, ist ihre Auswirkung auf das HPS noch unklar.
Ziele: In dieser Studie wurden die Auswirkungen einer TIPS Implantation auf das HPS untersucht.
Methodik: Es wurde eine prospektive Kohortenstudie durchgeführt, in die Patient*Innen eingeschlossen wurden, bei denen zwischen 01/2021 und 01/2024 an der MHH ein TIPS implantiert wurde. Vor der TIPS-Anlage (Baseline; BL) und mindestens 6 Monaten nach der Intervention (Follow-up; FU) wurden jeweils eine Bubble-Echokardiographie (cTTE) und eine Blutgasanalyse (BGA) durchgeführt. Die Unterschiede wurden mittels linearen gemischten Modellen (LMM) analysiert.
Ergebnis: 43 Patient*Innen (72 % männlich, 74 % TIPS-Indikation Aszites) wurden eingeschlossen. Bei BL hatten 30 (70 %) eine IPVD und 28 (68 %) erfüllten die HPS-Kriterien. Der mediane P(A-a)O₂-Wert betrug 30 mmHg.
Im Verlauf kam es bei 19/28 Patient*Innen (67,9 %) zu einer HPS Resolution: Bei 11 durch Verbesserung des P(A-a)O₂, bei 5 durch Linderung der IPVD und bei 3 durch Verbesserungen in beiden Bereichen. Die Auflösung des HPS war nicht mit der Symptomkontrolle (z.B. Rückbildung von Aszites) verbunden (74% vs. 77%, p=1,00).
Bei Individuen ohne BL IPVD oder HPS (n=13) entwickelten 6/13 (46 %) eine IPVD, und 5/13 (38 %) erfüllten anschließend die HPS-Kriterien. Auch hier zeigte sich im Verlauf die Oxygenierung und 5/13 Individuen erreichten (38 %) eine Senkung des P(A-a)O₂ um ≥10 mmHg.
In der LMM-Analyse war die HPS-Prävalenz 6 Monate nach dem TIPS signifikant reduziert (p=0,017), zusammen mit einem signifikanten Rückgang des P(A-a)O₂ (p=0,013). Das Vorhandensein von pathologischem P(A-a)O₂ war nach 6 Monaten (p<0,001) und 12 Monaten (p=0,017) im Vergleich zu BL signifikant niedriger.
Schlussfolgerung: Die TIPS-Implantation ist mit einer Verbesserung des P(A-a)O₂ verbunden und kann bei der Mehrheit zu einer Verbesserung oder sogar zu einer Resolution von HPS führen.

12:31 – 12:36

KV 145 Preemptive TIPS reduces further decompensation and mortality in gastric variceal hemorrhage

Zeyu Wang (Münster)

KV 145 Preemptive TIPS reduces further decompensation and mortality in gastric variceal hemorrhage

M. Kimmann1, J.A. Meier1, Z. Wang1, J. Gödiker1, S. Letmathe1, J. Chang2, C. Jansen2, C. Meyer3, M. Köhler4, K.H. Peiffer1, F.E. Uschner1, B. Braden1, W. Laleman5, J. Trebicka1, J.C. Garcia Pagan6, M. Praktiknjo1

1Department of Medicine B, University Hospital Münster, Münster, Deutschland, 2Department of Medicine I, University Hospital Bonn, Bonn, Deutschland, 3Department of Diagnostic and Interventional Radiology, University Hospital Bonn, Bonn, Deutschland, 4Department of Radiology, University Hospital Münster, Münster, Deutschland, 5Department of Liver and Biliary Sciences, University Hospitals Leuven, Leuven, Belgien, 6Liver Unit, Hospital Clínic, IDIBAPS, University of Barcelona, Barcelona, Spanien

Background: Gastric variceal hemorrhage (GVH) carries a 45% one-year mortality rate and even higher rebleeding risk than esophageal variceal bleeding (30-50% vs. 20-30%). Current guidelines recommend cyanoacrylate injection as first-line treatment, while TIPS is reserved for rescue therapy. However, unlike esophageal variceal bleeding, evidence supporting preemptive TIPS (pTIPS, within 72 hours) for preventing further decompensation and improving survival in GVH remains limited.
Aims: We investigated whether pTIPS could prevent further decompensation and improve survival compared to standard of care (SOC) in patients with GVH.
Method: This multicenter European study retrospectively evaluated cirrhotic patients with acute GVH. From a total cohort of 372 patients, 106 patients were analyzed after 1:1 propensity score matching (53 pTIPS, 53 SOC) based on key clinical parameters. Primary outcome was further decompensation (new or worsening ascites, rebleeding, hepatic encephalopathy (HE), jaundice, spontaneous bacterial peritonitis, or hepatorenal syndrome-acute kidney injury). Secondary outcomes included mortality, rebleeding, and individual decompensation events over 12 months of follow-up.
Results: After matching, baseline characteristics were well-balanced with Child-Pugh and MELD score of 10 (8, 11) and 14(10, 19), respectively. Preemptive TIPS significantly reduced further decompensation compared to SOC (7.5% vs. 26.4%, p=0.01). In particular, rebleeding (1.9% vs. 22.6%, log-rank p=0.009) and ascites (1.9% vs. 9.4%, log-rank p=0.04) were significantly reduced in the pTIPS group. Moreover, pTIPS significantly reduced 12-month mortality (11.3% vs. 35.8%, log-rank p=0.004). In multivariate logistic regression, TIPS independently prevented further decompensation (OR 0.18, 95% CI 0.047-0.683, p=0.012). Cox regression confirmed TIPS as protective against mortality (HR 0.257, 95% CI 0.099-0.663, p=0.005), rebleeding (HR 0.06, 95% CI 0.008-0.473, p=0.008) and new or worsening of ascites (HR 0.077, 95% CI 0.008-0.709, p=0.024). Multivariate analysis showed no significant difference in HE risk between both groups (HR 1.023, 95% CI 0.474-2.209, p=0.954).
Conclusion: Preemptive TIPS for GVH significantly reduces the rate of further decompensation, in particular rebleeding and new or worsening ascites, which translates into significantly improved survival. The risk of HE was not increased by pTIPS. Our data support the use of pTIPS as first-line therapy for GVH.

12:38 – 12:43

KV 146 Geschlechtsspezifische Unterschiede im klinischen Verlauf nach TIPS Anlage bei Patienten mit Leberzirrhose: eine multizentrische Analyse

Marlene Reincke (Freiburg)

KV 146 Geschlechtsspezifische Unterschiede im klinischen Verlauf nach TIPS Anlage bei Patienten mit Leberzirrhose: eine multizentrische Analyse

M. Reincke1, L. Sturm1, M. Schultheiß1, F. Stöhr2, C. Labenz2, B. Maasoumy3, A. Tiede3, M. Praktiknjo4, L.L. Seifert4, T.A. Auer5, U. Fehrenbach5, F. Piecha6, A. Harberts6, J. Kluwe6, T. Bruns7, M.R. Pollmanns7, J. Chang8, J. Grobelski8, C. Jansen8, C. Meyer8, C. Rohrer1, S.R.P. Arbabi1, M. Kimmann4, C. Ripoll9, A. Zipprich9, J. Hinrichs10, M. Koehler4, J. Trebicka4, C. Engelmann5, R. Kloeckner11, R. Thimme1, D. Bettinger1, German Cirrhosis Study Group

1Universitätsklinikum Freiburg, Freiburg, Deutschland, 2Universitätsmedizin Mainz, Mainz, Deutschland, 3Medizinische Hochschule Hannover, Hannover, Deutschland, 4Universitätsklinikum Münster, Münster, Deutschland, 5Charité – Universitätsmedizin Berlin, Berlin, Deutschland, 6Universitätsklinikum Hamburg-Eppendorf, Hamburg, Deutschland, 7Universitätsklinikum Aachen, Aachen, Deutschland, 8Universitätsklinikum Bonn, Bonn, Deutschland, 9Universitätsklinikum Jena, Jena, Deutschland, 10St. Bernward Krankenhaus, Klinik für diagnostische und interventionelle Radiologie und Neuroradiologie, Hildesheim, Deutschland, 11Universitätsklinikum Schleswig-Holstein, Campus Lübeck, Lübeck, Deutschland

Einleitung: Die Anlage eines TIPS ist ein etabliertes Therapieverfahren in der Behandlung von Patienten mit Leberzirrhose und portaler Hypertension. Neben technischen Aspekten beeinflussen insbesondere patientenindividuelle Faktoren den Verlauf nach TIPS-Anlage. Ob auch das Geschlecht einen Einfluss auf den klinischen Verlauf nach TIPS Anlage hat, wurde bislang noch nicht untersucht.
Methodik: In diese multizentrische, retrospektive Studie wurden 1359 Patienten mit Leberzirrhose und elektiver TIPS-Anlage zur Sekundärprophylaxe der Varizenblutung und bei rezidivierendem Aszites aus acht deutschen Zentren eingeschlossen. Der primäre Endpunkt war das Auftreten einer weiteren Dekompensation innerhalb von 90 Tagen nach TIPS. Sekundäre Endpunkte waren das Auftreten eines ACLF nach TIPS sowie das 90-Tage Überleben.
Ergebnisse: 489 (36%) Frauen und 870 (64%) Männer wurden eingeschlossen. Das mediane Alter lag bei 56 Jahren (IQR 51-66). Männer hatten häufiger eine alkoholbedingte Leberzirrhose als Frauen (68.9 % vs. 59.9 %, p<0.001). Frauen hatten einen besseren FIPS-Score vor TIPS Anlage als Männer (-0.06 [-0.84 – 0.50] vs. 0.12 [-0.46 – 0.63], p<0.001, Tab.1). Eine weitere Dekompensation nach 90 Tagen konnte bei 39.3 % (n=192) der Frauen und 35.9 % (n=312) der Männer beobachtet werden (p = 0.213). Bei Frauen traten signifikant mehr Infektionen innerhalb von 90 Tagen nach TIPS auf (18.0% vs. 12.5%, p=0.006), insbesondere bedingt durch urogenitale Infektionen. Kein geschlechtsspezifischer Unterschied konnte im Auftreten eines ACLF innerhalb 90 Tage nach TIPS (12.6% vs. 14.1%; p=0.443, Tab.2) und im Überleben der Patienten beobachtet werden (log-rank p=0.698). In der multivariablen Fine und Gray-Regression erwies sich das weibliche Geschlecht – nach Adjustierung für Alter, FIPS-Score, Leukozytenzahl, INR, TIPS-Indikation und alkoholische Lebererkrankung – als unabhängiger Risikofaktor für das Auftreten einer Infektion (sHR 1.47 (95%KI 1.11 – 1.94, p=0.007).
Schlussfolgerung: Das Geschlecht hat keinen Einfluss auf das Gesamtrisiko einer akuten Dekompensation, das Auftreten eines ACLF oder das kurzfristige Überleben nach TIPS-Anlage . Allerdings war das weibliche Geschlecht mit einem signifikant höheren Risiko für das Auftreten bakterieller Infektionen innerhalb von 90 Tagen nach TIPS assoziiert. Diese Beobachtung unterstreicht die Bedeutung geschlechtsspezifischer Aspekte in der Nachsorge von TIPS-Patienten.

Alle
(n = 1359)
Männer
(n = 870)
Frauen
(n = 489)
p-Wert
Gesamt 504 (37.1) 312 (35.9) 192 (39.3) 0.213
HE
Grad II
Grad III
Grad IV
310 (22.8)
232 (74.8)
70 (22.6)
8 (2.6)
192 (22.1)
150 (78.1)
39 (20.3)
3 (1.6)
118 (24.1)
82 (69.5)
31 (26.3)
5 (4.2)
0.385
Aszitespersistenz 147 (10.8) 95 (10.9) 52 (10.6) 0.871
Bakterielle Infektion
SBP
Pneumonie
Urogenital
Cholangitis/Cholezystitis
Knochen/Gewebe
Katheter-assoziiert
197 (14.5)
60 (30.5)
68 (34.5)
47 (23.9)
4 (2.0)
9 (4.6)
9 (4.6)
109 (12.5)
36 (33.0)
44 (40.4)
18 (16.5)
1 (0.9)
6 (5.5)
4 (3.7)
88 (18.0)
24 (27.3)
24 (27.3)
29 (33.0)
3 (3.4)
3 (3.4)
5 (5.7)
0.006
Varizenblutung 21 (1.5) 9 (1.0) 12 (2.5) 0.042

Tabelle 1: Dekompensation 90 Tage nach TIPS

12:45 – 12:50

KV 147 Prognostische Relevanz des Zeitpunkts bei der präemptiven Anlage eines transjugulären intrahepatischen portosystemischen Shunts (TIPS)

Sina R. P. Arbabi

KV 147 Prognostische Relevanz des Zeitpunkts bei der präemptiven Anlage eines transjugulären intrahepatischen portosystemischen Shunts (TIPS)

S.R.P. Arbabi1, M. Schultheiss1,2, M. Reincke1, C. Rohrer1, R. Thimme1, D. Bettinger1, L. Sturm1,2

1Universitätsklinikum Freiburg, Klinik für Innere Medizin II, Medizinische Fakultät, Universität Freiburg, Freiburg, Deutschland, 2Berta-Ottenstein-Programm, Medizinische Fakultät, Universität Freiburg, Freiburg, Deutschland

Einleitung & Ziele: Die präemptive TIPS-Implantation (pTIPS) ist gemäß internationaler Leitlinien die empfohlene Behandlung für Hochrisikopatienten mit akuter Varizenblutung (AVB). Aufgrund fehlender Ressourcen für den Eingriff oder einer verzögerten Verlegung in spezialisierte Zentren ist der empfohlene Zeitrahmen von 72 Stunden ein kritischer Aspekt in der klinischen Praxis. Daher sollte in dieser Studie der prognostische Effekt einer pTIPS-Implantation außerhalb des 72 Stunden-Zeitfensters untersucht werden.
Methoden: Insgesamt wurden 80 Patienten mit pTIPS-Implantation aus dem prospektiven TIPS-Register des Universitätsklinikums Freiburg (FRETIR) eingeschlossen. Diese wurden in eine regulärer-pTIPS Gruppe (innerhalb von 72 Stunden nach AVB, n=38) und eine später-pTIPS Gruppe (>72 Stunden bis 28 Tage nach AVB, n=42) stratifiziert. Primärer Endpunkt war das 1-Jahres transplantationsfreie Überleben (TFS). Sekundäre Endpunkte waren weitere Dekompensationsereignisse und die Entwicklung eines akut-auf-chronischen Leberversagens (ACLF) innerhalb eines Jahres nach AVB. Darüber hinaus wurde die später-pTIPS Gruppe mit einer 1:1-Propensity-Score-gematchten Patientengruppe verglichen, die nicht-selektive Betablocker (NSBB) und endoskopische Therapie zur Sekundärprophylaxe der AVB erhielten.
Ergebnisse: Das 1-Jahres-TFS war in der regulärer-pTIPS und der später-pTIPS Gruppe vergleichbar (81,6% vs. 81,0%, p=0,905). Bei 52,4% der Patienten in der später-pTIPS Gruppe traten vor TIPS-Implantation weitere Dekompensationsereignisse auf, gegenüber nur 15,8% in der regulärer-pTIPS Gruppe. Die Gesamtinzidenz weiterer Dekompensationsereignisse und des Auftretens eines ACLF innerhalb eines Jahres nach Indexblutung war in der später-pTIPS Gruppe im Vergleich zur regulärer-pTIPS Gruppe jedoch nicht signifikant erhöht. Das 1-Jahres-TFS war in der später-pTIPS Gruppe signifikant besser als in der Propensity-Score-gematchten Patientengruppe mit NSBB und endoskopischer Therapie (81,0 % vs. 64,3 %, p=0,024).
Schlussfolgerung: Die aktuellen Ergebnisse deuten darauf hin, dass eine verzögerte pTIPS-Anlage im Vergleich zur pTIPS-Anlage innerhalb des regulären Zeitfensters nicht zu einem reduzierten TFS führt. Weiterhin verbessert ein später-pTIPS das TFS im Vergleich zur Sekundärprophylaxe durch NSBB und endoskopischer Therapie. Daher sollte die Implantation eines pTIPS bei vorliegender Indikation auch nach dem Zeitfenster von 72 Stunden nach AVB durchgeführt werden.

12:52 – 12:57

KV 148 Prognostischer Wert von Refitted-MELD-Na und MELD 3.0 zur Vorhersage der Mortalität nach Anlage eines transjugulären intrahepatischen portosystemischen Shunts für refraktären Aszites: Eine multizentrische retrospektive Studie

Markus Kimmann (Münster)

KV 148 Prognostischer Wert von Refitted-MELD-Na und MELD 3.0 zur Vorhersage der Mortalität nach Anlage eines transjugulären intrahepatischen portosystemischen Shunts für refraktären Aszites: Eine multizentrische retrospektive Studie

M. Kimmann1, N. Farouk1, D. Bettinger2, J. Chang3, C. Ripoll4, F. Piecha5, J. Kluwe5, R. Kloeckner6, C. Labenz7, J. Gödiker1, Z. Wang1, J.A. Meier1, A.S. Mousa1, F.E. Uschner1, L.L. Seifert1, H. Heinzow8, M. Köhler9, M. Masthoff9, A. Wannhoff10, U. Merle11, A. Zipprich4, C. Jansen3, C. Meyer12, M. Schultheiss2, J. Trebicka1,13, M. Praktiknjo1, German Cirrhosis Study Group

1Universitätsklinikum Münster, Medizinische Klinik B, Münster, Deutschland, 2Universitätsklinikum Freiburg, Klinik für Innere Medizin II, Freiburg, Deutschland, 3Universitätsklinikum Bonn, Medizinische Klinik und Poliklinik I, Bonn, Deutschland, 4Universitätsklinikum Jena, Klinik für Innere Medizin IV, Jena, Deutschland, 5Universitätsklinikum Hamburg-Eppendorf, I. Medizinische Klinik und Poliklinik, Hamburg, Deutschland, 6Universitätsklinikum Schleswig-Holstein – Lübeck, Institut für Interventionelle Radiologie, Lübeck, Deutschland, 7Universitätsmedizin Mainz, I. Medizinische Klinik und Poliklinik, Mainz, Deutschland, 8Krankenhaus der Barmherzigen Brüder Trier, Innere Medizin I, Trier, Deutschland, 9Universitätsklinikum Münster, Klinik für Radiologie, Münster, Deutschland, 10RKH Klinikum Ludwigsburg, Klinik für Innere Medizin, Gastroenterologie, Hämato-Onkologie, Diabetologie und Infektiologie, Ludgwigsburg, Deutschland, 11Universitätsklinikum Heidelberg, Innere Medizin IV: Gastroenterologie, Hepatologie, Infektionskrankheiten, Vergiftungen, Heidelburg, Deutschland, 12Universitätsklinikum Bonn, Klinik für Diagnostische und Interventionelle Radiologie, Bonn, Deutschland, 13European Foundation for the Study of Chronic Liver Failure, Barcelona, Spanien

Einleitung: Neue prognostische Scores wie ReMELD-Na (Eurotransplant) und MELD 3.0 (UNOS) werden für die Allokation von Lebertransplantaten verwendet. Während MELD und FIPS zur Vorhersage der Mortalität nach Anlage eines transjugulären intrahepatischen portosystemischen Shunts (TIPS) entwickelt wurden, sind ReMELD-Na und MELD 3.0 in westlichen TIPS-Patienten kaum untersucht.
Ziele: Ziel dieser Studie war, die prognostische Genauigkeit von ReMELD-Na und MELD 3.0 im Vergleich zu etablierten Scores (FIPS, MELD-Na, MELD) bezüglich des transplantationsfreien 90-Tage- und Ein-Jahres-Überlebens nach elektiver TIPS-Anlage für refraktären oder rekurrenten Aszites zu untersuchen.
Methodik: In dieser retrospektiven multizentrischen Studie wurden 1621 Patienten mit Leberzirrhose eingeschlossen, die zwischen 2004 und 2024 aufgrund von Aszites elektiv einen TIPS erhielten. Die Kohorte wurde in eine Trainings- (70 %) und Validierungskohorte (30 %) randomisiert. Primärer Endpunkt war die 90-Tage-, sekundärer Endpunkt die Ein-Jahres-Mortalität. Die Scores (ReMELD-Na, MELD 3.0, FIPS, MELD, MELD-Na) wurden mit ROC-Analysen (C-Index), geschlechtsspezifischen ROC-Analysen und DeLong-Test analysiert. Hochrisikopatienten (oberhalb 85. Perzentil des jeweiligen Scores) wurden mittels Kaplan-Meier-Analyse (log-rank Test) mit den Niedrigrisikopatienten verglichen.
Ergebnisse: Beide Kohorten waren vergleichbar. Die 90-Tage-Mortalität betrug 16,4 bzw. 16,3 % und die Ein-Jahres-Mortalität 25,6 bzw. 23,7 %. Die Lebertransplantationsraten waren 0,9 bzw. 0,6 % (90 Tage) und 4,3 bzw. 3,3 % (Ein Jahr). Mediane Werte von ReMELD-Na, MELD 3.0, MELD, MELD-Na und FIPS waren 14, 17, 13 und 16 und 0,14. Die C-Indizes variierten zwischen 0,612 und 0,680. Frauen zeigten höhere C-Indizes (0.649 – 0.683 bzw. 0.732 – 0.769) bezüglich der 90-Tage-Mortalität als Männer (0.595 – 0.642 bzw. 0.566 – 0.634). ReMELD-Na war im DeLong-Test in den meisten Analysen MELD 3.0 und FIPS signifikant unterlegen. MELD 3.0 war mit den anderen Scores (außer ReMELD-Na) vergleichbar. Alle Scores identifizierten zuverlässig Hochrisikopatienten mit signifikant erhöhter Mortalität (p < 0,001).
Schlussfolgerung: Der ReMELD-Na Score war FIPS und MELD 3.0 in der Überlebensvorhersage unterlegen. MELD 3.0 hatte eine mit etablierten Scores vergleichbare prognostische Leistung. Alle Scores ermöglichen eine zuverlässige Identifikation von Risikopatienten nach elektiver TIPS-Anlage für refraktären oder rekurrenten Aszites.

Kurzvortragssitzung

Gallenwegsmanagement: Kühler Kopf in engen Röhren

16:10 – 17:22

Fr 19.09.

Seminarraum 6 + 7

Open Accordion - Icon Close Accordion - Icon

Vorsitz: Lisa Birzle (Augsburg) und Martin Götz (Böblingen)

16:10 – 16:16

KV 429 Endoscopic papillectomy for laterally spreading lesions of the papilla – a propensitiy score matched analysis

Marcus Hollenbach (Marburg)

KV 429 Endoscopic papillectomy for laterally spreading lesions of the papilla – a propensitiy score matched analysis

K. Vu Trung1, C. Heise2, E. Abou Ali3, A. Gulla4, F. Auriemma5, S. Regner6, S. Gaujoux7, M. Hollenbach8, ESAP study group

1Universitätsklinikum Leipzig, Klinik für Onkologie, Gastroenterologie, Pneumologie, Leipzig, Deutschland, 2Heidelberg Universität, Klinik für Innere Medizin IV, Gastroenterologie, Infektiologie, Gastrointestinale Onkologie, Heidelberg, Deutschland, 3Cochin Hospital, Paris Descartes University Paris, Department of gastroenterology, digestive oncology and endoscopy, Paris, Frankreich, 4Lithuanian University of Health Sciences, Santaros Klinikos, Department of Surgery, Kaunas, Litauen, 5Humanitas Clinical and Research Hospital, Rozzano, Digestive Endoscopy Unit, Mailand, Italien, 6Lund University, Department of Clinical Sciences Malmö, Section for Surgery, Lund, Schweden, 7Groupe Hospitalier Pitié-Salpêtrière APHP, Médecine Sorbonne Université, Department of Digestive and HBP Surgery, Paris, Frankreich, 8Universitätsklinikum Gießen und Marburg UKGM, Standort Marburg, Klinik für Gastroenterologie, Endokrinologie, Stoffwechselerkrankungen, Infektiologie, Marburg, Deutschland

Background and aims: Endoscopic papillectomy (EP) is a standard treatment for ampullary lesions (AL), most of which are small and limited to the papillary mound. Laterally spreading lesions (LSL) of the papilla Vateri represent a rare subtype of AL, characterized by an extensive involvement of the surrounding duodenal mucosa. Data analyzing efficacy and complications of EP for LSL are scarce. In this study, EP for LSL were compared with non-LSL AL in thoroughly matched cohorts.
Methods: The ESAP study encompassed 1422 endoscopic papillectomies (EPs). Propensity-score matching used the nearest-neighbor method for age, gender, comorbidity, and histologic subtype as cofactors. The main outcomes were complete resection (R0), technical success, complications, and recurrences.
Results: Propensity-score-based matching identified 232 patients (116 non-LSL and 116 LSL AL) with comparable baseline characteristics. LSL sizes were significantly larger compared to non-LSL (median 27.0mm vs. 16.5mm, p<0.001). After first intervention, the R0-rate was significantly lower in the LSL group (54.3% vs. 69.0%, p=0.002). Following repeated endoscopic interventions (such as EP, radiofrequency ablation (RFA) or argon plasma coagulation (APC)), the technical success was comparable in both groups (82.8% vs 82.8%; p=1.00). After a median FU of 22 months, there were significantly more recurrences in the LSL group (41.3% vs. 15.0%, p<0.001). Complication rates did not differ significantly between the two groups (p=0.756).
Conclusion: LSL can be safely resected by EP, though repeated interventions are necessary to achieve complete resection. The higher risk of recurrence in LSL necessitates a vigilant surveillance strategy.

16:18 – 16:24

KV 430 Papillenadenome bei Familiärer Adenomatöser Polyposis: Ergebnisse einer unizentrischen Kohortenstudie

Sonja Haas (Bonn)

KV 430 Papillenadenome bei Familiärer Adenomatöser Polyposis: Ergebnisse einer unizentrischen Kohortenstudie

S. Haas1, T. Marwitz1, K. van Beekum1, D.J. Kaczmarek1, D. Heling1, C.P. Strassburg1, J. Nattermann1, R. Hüneburg1

1Universitätsklinikum Bonn, Medizinische Klinik und Poliklinik I, Bonn, Deutschland, Bonn, Deutschland

Einleitung: Papillenadenome stellen bei Patienten mit Familiärer Adenomatöser Polyposis (FAP) eine bedeutende extrakolorektale Manifestation von besonderer klinischer Relevanz dar, da sie ein erhöhtes Risiko für die Entwicklung invasiver Karzinome aufweisen. Zielgerichtete endoskopische Resektionen sowie engmaschige Überwachungsstrategien sind essenziell, um Komplikationen zu vermeiden und die Progression zu malignen Veränderungen frühzeitig zu erkennen.
Ziele: Diese Studie untersuchte Häufigkeit, endoskopische Therapieergebnisse und Verläufe von Papillenadenomen bei Patienten mit FAP und duodenaler Polyposis. Insbesondere wurde der Fokus auf Papillektomien, damit verbundene Komplikationen, Rezidive und die Entwicklung von Duodenalkarzinomen im longitudinalen Verlauf gelegt.
Methodik: Retrospektive Auswertung einer Kohorte von 293 FAP-Patienten mit duodenaler Polyposis, die am Nationalen Zentrum für erbliche Tumorerkrankungen des Universitätsklinikums Bonn zwischen 2007 und Februar 2024 betreut wurden. Analysiert wurden 1147 Ösophagogastroduodenoskopien und 75 ERCPs hinsichtlich Nachweis, Resektion und histologischer Charakterisierung von Papillenadenomen sowie auftretender Komplikationen, eingeteilt nach ESGE-Kriterien.
Ergebnis: Bei 64 % der Patienten wurde ein Papillenadenom nachgewiesen. 59 Patienten erhielten eine endoskopische Papillektomie. Histologisch zeigten 93 % der Resektate eine low-grade-Neoplasie, 7 % eine high-grade-Neoplasie. Die Größe der abgetragenen Papillenadenome lag zwischen 8 und 50 mm (Median 13,5 mm). Komplikationen traten bei 54 % auf, überwiegend mild (69 %), wobei die häufigste Komplikation eine postinterventionelle Pankreatitis (39 %) war. Die Rezidivrate nach Papillektomie lag bei 34 %, meist nach en-bloc-Resektion (55 %) und innerhalb von sechs Monaten detektiert. Eine Duodenektomie wurde bei 5,5 % der Patienten notwendig, überwiegend aufgrund nicht kontrollierbarer Polyposis oder hochgradiger Dysplasie. Im Beobachtungszeitraum traten Duodenalkarzinome in 0,7 % der Fälle auf. Die mediane Nachbeobachtungszeit betrug 16 Monate.
Schlussfolgerung: Papillektomien bei FAP-Patienten mit duodenaler Polyposis sind mit einer moderaten Komplikationsrate durchführbar und ermöglichen bei adäquater Nachsorge eine effektive Risikoreduktion für Karzinome. Die hohe Rezidivrate unterstreicht die Notwendigkeit einer strukturierten, langfristigen endoskopischen Überwachung in spezialisierten Zentren.

16:26 – 16:32

KV 433 Percutaneous transhepatic biliary drainage (PTBD) versus endoscopic ultrasound-guided biliary drainage (EUS-BD) with primary metal stent for unresectable malignant distal biliary obstruction (MDBO) after failed ERCP: a European prospective controlled multicenter trial (PUMa trial)

Daniel Schmitz (Schwerin)

KV 433 Percutaneous transhepatic biliary drainage (PTBD) versus endoscopic ultrasound-guided biliary drainage (EUS-BD) with primary metal stent for unresectable malignant distal biliary obstruction (MDBO) after failed ERCP: a European prospective controlled multicenter trial (PUMa trial)

D. Schmitz1,2, J. Gornals3, J. Vila4, A. Schmidt5,6, T. Kleemann7, J.R.A. Tomo8, A. Amanzada9, M. Dollhopf10, E. Redondo-Cerezo11, J. Weigt12, T. Voigtländer13, T. von Hahn14, F. Franck10, F.J. García-Alonso15, M. Schich5, A. Garcia-Sumalla16, S. Prax17, A. Arrubla4, A. Küllmer5, F. Grassmann18, J. Rudi2, C.T. Valiente2,17, M. Perez-Miranda15

1Helios Kliniken Schwerin, University Campus of Medical School Hamburg, Department of Gastroenterology and Infectiology,, Schwerin, Deutschland, 2Theresienkrankenhaus and St. Hedwig-Klinik, Teaching Hospital of Heidelberg University, Department of Gastroenterology, Oncology and Diabetology, Mannheim, Deutschland, 3Hospital Universitari de Bellvitge, Department of Digestive Disease, Barcelona, Spanien, 4Complejo Hospitalario de Navarra, Endoscopy Unit, Pamplona, Spanien, 5University Hospital Freiburg, Department of Medicine II: Gastroenterology, Hepatology, Endocrinology, and Infectious Diseases, Freiburg, Deutschland, 6Robert-Bosch-Krankenhaus, Department of Gastroenterology, Hepatology and Endocrinology, Stuttgart, Deutschland, 7Carl-Thiem-Klinikum Cottbus, Department of Gastroenterology and Rheumatology, Cottbus, Deutschland, 8Hospital General Universitario de Alicante, Department of Digestive Diseases, Alicante, Spanien, 9Universitätsmedizin Göttingen, Department of Gastroenterology, Gastrointestinal Oncology and Endocrinology, Göttingen, Deutschland, 10München Klinik Neuperlach, Department of Gastroenterology and Hepatology, München, Deutschland, 11Hospital universitario Virgen de las Nieves, Department of Gastrointestinal Endoscopy, Granada, Spanien, 12Universitätsklinikum Magdeburg, Department of Gastroenterology, Hepatology and Infectiology, Magdeburg, Deutschland, 13Medizinische Hochschule Hannover, Department of Gastroenterology, Hepatology and Endocrinology, Hannoveer, Deutschland, 14Asklepios Klinik Barmbek, Department of Gastroenterology, Hepatology, and Interventional Endoscopy, Hamburg, Deutschland, 15Hospital Universitario Río Hortega, Department of Gastrointestinal Endoscopy, Valladolid, Spanien, 16Hospital Universitari de Bellvitge, Department of Digestive Diseases, Barcelona, Spanien, 17Helios Kliniken Schwerin, University Campus of Medical School Hamburg, Department of Gastroenterology and Infectiology, Schwerin, Deutschland, 18Medical School Hamburg, Institute for Medical Statistics and Epidemiology, Hamburg, Deutschland

Background: Despite the increasing use of EUS-BD, the inferiority of PTBD versus EUS-BD in patients with unresectable MDBO after failed ERCP has not been demonstrated in a prospective, multicenter, international study.
Methods: In 14 centers in Spain and Germany, patients were assigned to the center with the highest competence for PTBD or EUS-BD. Primary metal stenting was planned in both groups. The primary endpoint was technical success. The study was designed as a non-inferiority trial with a 6-month follow-up period and propensity score matching.
Results: A total of 209 patients (mean age 73 years) were included in the study between 12/2018 and 8/2024. PTBD was technically successful in 62/68 (91.2%) and EUS-BD in 138/141 (97.9%) of patients (p=0.06), including 58 hepatogastrostomies, 58 choledochoduodenostomies, 17 anterograde stents and 5 rendezvous procedures with ERCP. Pancreatic and gastric cancer were the leading causes of MDBO (77%) and gastric outlet obstruction was the leading cause of failed ERCP (49%). Clinical success (≥50% bilirubin reduction/7d), pain score, rate of adverse events (grade 1-4), length of hospital stay and overall survival were not significantly different, except for procedure time (43.7 vs. 58.1 minutes) and rate of biliary re-interventions per patient within 30 days (0.04 vs. 0.31/patient) in favor of EUS-BD.
Conclusions: Despite a trend in favor of EUS-BD, PTBD with primary metal stenting was not inferior for unresectable MDBO except for procedure time and rate of biliary re-interventions. Depending on the expertise of the center, both procedures may still be a possible treatment option after failed ERCP. (ClinicalTrials.gov number NCT03546049).

16:34 – 16:40

KV 431 Direkte Cholangioskopie mit intraduktalen Kryobiopsien bei unklaren Gallenwegsstenosen: Eine multizentrische, kontrollierte, randomisierte Machbarkeitsstudie

Jörg Albert (Stuttgart)

KV 431 Direkte Cholangioskopie mit intraduktalen Kryobiopsien bei unklaren Gallenwegsstenosen: Eine multizentrische, kontrollierte, randomisierte Machbarkeitsstudie

J. Peveling-Oberhag1, C. Gerges2, J. Albert1, L. Welsch3, P. Grunert4, A. Dechene5, A. Eickhoff3, T. Rösch6, K. Zimmermann-Fraedrich6

1Klinikum Stuttgart, Klinik für Gastroenterologie, gastrointestinale Onkologie, Hepatologie, Infektiologie, Stuttgart, Deutschland, 2Helios Klinikum Krefeld, Medizinischen Klinik II, Klinik für Gastroenterologie, Krefeld, Deutschland, 3Klinikum Hanau, Medizinische Klinik 2 – Gastroenterologie und Infektiologie, Hanau, Deutschland, 4Universitätsklinikum Essen, Klinik für Gastroenterologie, Hepatologie und Transplantationsmedizin, Essen, Deutschland, 5Klinikum Nürnberg, Klinik für Innere Medizin 6, Schwerpunkt Gastroenterologie, Endokrinologie, Nürnberg, Deutschland, 6Universitätsklinikum Hamburg-Eppendorf, Klinik und Poliklinik für Interdisziplinäre Endoskopie, Hamburg, Deutschland

Einleitung: Patienten mit unklarer Gallengangsstenose stellen regelhaft eine große Herausforderung in der bildgebenden und endoskopischen Diagnostik dar, insbesondere aufgrund der unzureichenden Sensitivität von Zangenbiospien in den Gallenwegen. In der bronchoskopischen Diagnostik ist die Kyobiopsie aufgrund der exzellenten Gewebeausbeute auch bei Applikation durch einen dünnen Arbeitskanal fest etabliert.
Ziel: Demonstration der Durchführbarkeit der perkutanen Kryobiopsie der Gallenwege im Rahmen einer multizentrischen, randomisierten proof-of-principle Studie.
Methodik: In die Studie wurden Patienten mit unklarer Gallenwegsstenose eingeschlossen, bei denen die Indikation zur perkutane Cholangioskopie mit Gewebegewinnung vorlag. Es wurden jeweils drei Proben mittels Kryobiopsie und sechs Proben mittels Cholangioskopiezange gewonnen. Es erfolgte eine Randomisierung bezüglich der Anwendungsreihenfolge des Biopsieinstruments. Der primäre Endpunkt war die erfolgreiche Probegewinnung, definiert als mindestens einer histopathologisch gut beurteilbaren Probe pro Biopsiemodalität. Sekundäre Endpunkte waren u.a. der Anteil an erfolgreichen Probegewinnungen, die Repräsentativität der Proben sowie unerwünschte Ereignisse.
Ergebnis: Bei allen 15 Patienten (53% männlich, mittleres Alter 60,2 Jahre) konnte mindestens eine adäquat beurteilbare Probe in jeder Biopsiemodalität gewonnen werden. Die Kryobiopsie lieferte signifikant größere Proben (mittlere Fläche: 8.45mm2 vs. 1.87mm2, p<0.0001) mit einer höheren Bewertung der Repräsentativität (97.6% vs. 74.7%; p=0.001). Auch bei der histologischen Qualitätsbeurteilung (Likert Skala 0-6; 4.71 vs. 3.63; p=0.0005) sowie beim Anteil artefaktfreier Areale (93.5% vs. 85.5%; p=0.011) war die Kryobiopsie überlegen. Es gab keine Fälle von Blutungen oder Perforationen. Es wurden wenige Minor-Komplikationen dokumentiert, die sich allesamt nach Behandlung mit Analgetika und/oder Antibiotika wieder zurückbildeten.
Schlussfolgerung: Mit der intraduktalen Kryobiopsie des Gallengangs im Rahmen der direkten Cholangioskopie konnten im Vergleich zur Zangenbiopsie größere und qualitativ überlegene Gewebeproben gewonnen werden. Zukünftige klinische Studien werden tiefere Einblicke in das Sicherheitsprofil der Methode sowie in die Spezifität und Sensitivität bei der Tumordetektion geben. Insbesondere die Anwendung der Kryobiopsie über den peroralen endoskopischen Weg mittels ERCP wird von großem Interesse sein.

16:42 – 16:48

KV 432 Cholangioskopische Charakterisierung und Risikostratifizierung bei PSC-Patienten

Taotao Zhou (Bonn)

KV 432 Cholangioskopische Charakterisierung und Risikostratifizierung bei PSC-Patienten

T. Zhou1, B. Boos1, D.J. Kaczmarek1, J. Chang1, P. Lutz1, C.P. Strassburg1, T.J. Weismüller1,2

1Universitätsklinikum Bonn, Medizinische Klinik und Poliklinik I, Bonn, Deutschland, 2Vivantes Humboldt-Klinikum Berlin, Klinik für Innere Medizin Gastroenterologie und Hepatologie, Berlin, Deutschland

Einleitung: Bei der primär sklerosierenden Cholangitis (PSC) führt eine fibroinflammatorische Destruktion des biliären Epithels zu Gallengangsstrikturen. Die Gallenwegsdarstellung durch endoskopisch retrograde Cholangiographien (ERC) beschreibt die Strikturen nur indirekt als Kontrastmittelaussparung. Die direkte Visualisierung des biliären mukosalen Phänotyps mittels single-operator Cholangioskopie (SOC) kann die heterogene Krankheitsaktivität möglicherweise besser stratifizieren.
Ziele: Charakterisierung cholangioskopischer Befunde von PSC-Patienten und Korrelation mit Surrogatparametern der Krankheitsaktivität, biliären Neoplasien und klinischen Endpunkten sowie Vergleich zur ERC ohne SOC.
Methodik: Retrospektive Analyse von 111 ERCs, davon 56 mit SOC, von PSC-Patienten an der Universitätsklinik Bonn. Angelehnt an die Edmonton-Klassifikation wurden die mukosalen Veränderungen in Typ 1a) akut inflammatorisch, 1b) chronisch inflammatorisch, 2) fibrostenotisch und 3) nodulär eingeteilt.
Ergebnis: Am häufigsten kam Typ 2 vor (69,9%), gefolgt vom Typ 1b (39,3%). Die fluoroskopisch entnommenen Biopsien zeigten meist fibroinflammatorische (37,8%) oder rein fibrotische Befunde (26,7%). Cholangioskopische Proben wiesen hingegen überwiegend (60%) rein inflammatorische Befunde auf. Die Rate biliärer Neoplasien unterschied sich nicht zwischen Patienten mit oder ohne SOC. Patienten mit Typ 1b hatten niedriggradigere intrahepatische Gallengangsstrikturen (p=0,05), niedrigeres Bilirubin (p<0,01) und Transaminasen (p<0,01). Im Gegensatz hierzu war der Typ 1a durch höhergradigere Strikturen (p<0,01) charakterisiert und ging mit höherem Bilirubin (p=0,01) sowie Pruritus einher (p=0,03). Das transplant-freie Überleben war beim Typ 1a signifikant kürzer mit 13,5 Monaten verglichen zu 21,2 Monaten bei Patienten ohne akut inflammatorische Veränderungen (p=0,02) (Abb.1). In der multivariablen Cox Regressionsanalyse war der Typ 1a (p<0,01) neben hepatobiliärer Malignität, Alter bei Diagnose, Bilirubin und Grad der Strikturen signifikant mit dem Überleben assoziiert. Die zur ERC zusätzliche SOC war nicht mit einer höheren Komplikationsrate assoziiert (Tab.1).
Schlussfolgerung: Die cholangioskopische Stratifikation des mukosalen Phänotyps, der sich einer rein fluoroskopischen Beurteilung entzieht, ist klinisch und prognostisch relevant und sollte zur Identifizierung von Risikopatienten mit schweren Krankheitsverläufen und beim endoskopischen Management der PSC einbezogen werden.

ERC ERC + SOC p-Wert
Dauer ERC (min) 40 65 <0.001
Fieber 5/50 2/53 0.21
Abdominelle Schmerzen 9/52 12/54 0.53
Pankreatitis 7/52 9/54 0.56
Blutung 0/54 0/52
Propofol (mg) 580 820 <0.001
Hospitalisierung (Tage) 2 1 0.11

Abbildung 1 Kaplan-Meier Überlebenskurve für das transplant-freie Überleben von PSC-Patienten mit akut inflammatorischen Mukosaveränderungen im Vergleich zu Patienten ohne Kriterien einer akuten Inflammation.

16:50 – 16:56

KV 434 EUS gesteuerte Choledochostomie (CDS) bei benigner distaler DHC Stenose: Effektivität, Sicherheit und Langzeitverlauf. Retrospektive, multizentrische Analyse (on behalf of the DACH EUS working group)

Simone Freund

KV 434 EUS gesteuerte Choledochostomie (CDS) bei benigner distaler DHC Stenose: Effektivität, Sicherheit und Langzeitverlauf. Retrospektive, multizentrische Analyse (on behalf of the DACH EUS working group)

S. Freund1, C.C. Conrad2, V. Masaryk3, N. Grüner4, K. Braun5, A. Meining4, U. Will3, M. Ellrichmann6, U. Denzer1

1Universitätsklinikum Marburg, Interdisziplinäre Endoskopie Klinik für Gastroenterologie, Endokrinologie, Stoffwechsel und klinische Infektiologie, Marburg, Deutschland, 2Universitätsklinikum Schleswig-Holstein, Campus Kiel, Interdisziplinäre Endoskopie, Klinik für Innere Medizin I, Kiel, Deutschland, 3Waldklinikum Gera, Klinik für Gastroenterologie, Hepatologie, Diabetologie und Allgemeine Innere Medizin, Gera, Deutschland, 4Universitätsklinikum Würzburg, Klinik für Gastroenterologie, Würzburg, Deutschland, 5Klinikum Ludwigshafen, Medizinische Klinik C, Klinik für Gastroenterologie, Ludwigshafen a. Rhein, Deutschland, 6Universitätsklinikum Oldenburg, Carl-von-Ossietzky-Universität, Abteilung für Gastroenterologie, Hepatologie, Endokrinologie and Nephrologie, Oldenburg, Deutschland

Einleitung: Die EUS-gesteuerte Choledochoduodenostomie (CDS) hat sich als Alternative zur perkutanen Drainage bei malignen distalen DHC-Obstruktionen etabliert. Für die Anwendung bei benignen distalen DHC-Stenosen fehlt bislang strukturierte Evidenz. Insbesondere sind Langzeitverläufe hinsichtlich Stentokklusion und Anastomosenverschluss von klinischer Relevanz.
Ziele: Ziel dieser multizentrischen retrospektiven Analyse ist die Evaluation von Indikation, klinischer Erfolgs- und Komplikationsrate sowie die Analyse von Stentliegedauer und Entfernbarkeit im Langzeitverlauf.
Methodik: Die Datenerhebung erfolgt multizentrisch retrospektiv anhand einer standardisierten Tabelle. Eingeschlossen werden alle Fälle von EUS-CDS bei benignen distalen DHC-Stenosen seit Einführung der Methode in den teilnehmenden Zentren. Primäre Endpunkte: klinische Erfolgsrate (Abfall Bilirubin/Leukos/CRP) und Stentliegedauer. Sekundäre Endpunkte: technische Erfolgsrate (erfolgreiche Stentplatzierung), Stenttyp, Komplikationen, Re-Interventionen.
Ergebnisse: Fünf Zentren mit 42 eingeschlossenen Patienten (55 % weiblich; Alter 21–97 Jahre). Indikationen: Extrahepatische Cholestase ohne Cholangitis (19 %), mit Cholangitis (71 %), Steinextraktion (10 %). Ursächliche Erkrankungen: Choledocholithiasis (29 %), postinflammatorische DHC-Stenose (14 %), Papillensklerose (2 %), chronische Pankreatitis (36 %), akute Pankreatitis (2 %), iatrogen(2 %); andere 14 % (Anastomosen-Stenose nach Lebertransplantation, stenosierende Duodenitis, Duodenaldivertikel). 39 Choledochoduodenostomien, 2 Choledochogastrostomien. Verwendete Stents: (Hot) AXIOS (95 %), biliärer fcSEMS und (Hot) Plumber/BCF je 2 %. Technischer Erfolg: 95 %. Fehlplatzierung in 5 %. Klinischer Erfolg bei 33/40 (83 %). Komplikationsrate: 14,3 % (2 Blutungen, 1 Perforation, 1Cholangitis, 2 Duodenalobstruktionen).
Follow-up: Median 95 Tage (4–2.065 Tage), Mittelwert bei 325 ± 503 Tage. Stentliegedauer: Median 46 Tage (21–319 Tage), Mittelwert 85 ± 79 Tage. 5 Stentokklusionen bei 4 Patienten. 18/40 Stents in situ, 21 im F-up entfernt, 1 spontan abgegangen.
Schlussfolgerung: Diese erste große Datenanalyse zur EUS CDS bei benigner distaler DHC Stenose zeigt eine hohe technische und klinische Erfolgsrate vergleichbar zu den Literaturdaten bei maligner Indikation. Im Langzeitverlauf ist die postinterventionelle Komplikations- und Stentokklusionsrate moderat. Eine Stententfernung erscheint nach etwa 4 Wochen komplikationslos möglich.

16:58 – 17:04

KV 435 OPTIMIST-Experten-Survey: Expertenmeinungen zur Stent-Therapie bei malignen distalen Gallenwegsstenosen – eine Bestandsaufnahme des endoskopischen Managements

Lukas Hiebel (Göttingen)

KV 435 OPTIMIST-Experten-Survey: Expertenmeinungen zur Stent-Therapie bei malignen distalen Gallenwegsstenosen – eine Bestandsaufnahme des endoskopischen Managements

L. Hiebel1, T. Heiduk1, A. Sasse1, R.F. Knoop1, V. Ellenrieder1, E. Wedi2, T. Blasberg2, G. Petzold1, A. Amanzada1

1Universitätsmedizin Göttingen, Gastroenterologie, Gastrointestinale Onkologie und Endokrinologie, Göttingen, Deutschland, 2Sana Klinikum Offenbach, Gastroenterologie, Gastrointestinale Onkologie und Interventionelle Endoskopie, Offenbach, Deutschland

Einleitung: Maligne distale Gallengangsstenosen treten häufig im Rahmen pankreatobiliärer Malignome auf. Die endoskopische Einlage selbstexpandierender Metallstents (SEMS) stellt eine etablierte palliative Maßnahme dar. Trotz ihrer weiten Anwendung fehlen klare Leitlinien zur optimalen Auswahl und Wechselintervall der Stents.
Ziele/Methodik: Zur Erhebung der aktuellen klinischen Praxis führten wir eine europaweite Online-Umfrage unter Endoskopiezentren durch. Über E-Mail-Verteiler und Chatgruppen wurden 107 Einladungen zur Teilnahme versendet. Ziel war es, ein Meinungsbild zur Stentauswahl, zu Verlaufskontrollen sowie zum Management von SEMS zu erfassen.
Ergebnis: Es wurden 51 vollständig ausgefüllte Fragebögen ausgewertet (Deutschland: n=44; Schweiz: n=2; weitere Länder: je n=1) (Tabelle 1).
Die Angaben zeigten eine hohe Variabilität. Bei irresektablen Stenosen bevorzugten 58,8 % fcSEMS, 29,4 % ucSEMS und 11,8 % scSEMS (Tabelle 2).
Bezüglich des Austauschintervalls bestand keine einheitliche Strategie: 17 Zentren (33,3%) gaben an, keinen elektiven Wechsel durchzuführen. Andere empfahlen elektive Wechsel nach 3 (n=3, 5.9%), 6 (n=11, 21.6%), 9 (n=1, 2%) oder 12 Monaten (n=1, 2%); 12 Zentren wechselten nur bei klinischer Symptomatik (23.5%).
Trotz ESGE-Empfehlung, auf eine routinemäßige endoskopischen Sphinkterotomie vor SEMS-Einlage zu verzichten, führten 52,9 % diese stets und 43,1 % in der Mehrzahl der Fälle durch.
Schlussfolgerung: Die OPTIMIST-Studie zeigt erhebliche Unterschiede im Management distaler malignitätsbedingter Gallengangsstenosen in Europa. Die Diskrepanz zwischen Leitlinien und klinischer Praxis unterstreicht die Notwendigkeit prospektiver Daten. Aufbauend auf diesen Ergebnissen planen wir eine multizentrische, retrospektive Studie zur Ableitung praxisrelevanter Empfehlungen zur SEMS-Therapie.

Kategorie Antwortoption Anzahl (n) Prozent (%)
Klinische Erfahrung < 5 Jahre 1 2.0 
5–10 Jahre 10 19.6 
11–20 Jahre 23 45.1 
21–30 Jahre 10 19.6 
> 30 Jahre 7 13.7 
Endoskopie-Erfahrung < 5 Jahre 11 21.6 
6–10 Jahre 14 27.5 
11–20 Jahre 17 33.3 
21–30 Jahre 5 9.8 
> 30 Jahre 4 7.8 
Zentrumstyp Ambulantes medizinisches Versorgungszentrum 1 2.0 
Universitätsklinikum – öffentlich 33 64.7 
Universitätsklinikum – privat 8 15.7 
Nicht-universitäres Krankenhaus – öffentlich 6 11.8 
Nicht-universitäres Krankenhaus – privat 3 5.9 
Fachrichtung Chirurgie 1 2.0 
Innere Medizin 3 5.9 
Gastroenterologie 47 92.2 

Tabelle 1: Erfahrung und Herkunft der Experten


Stentauswahl
Klinisches Szenario ucSEMS,
n (%)
scSEMS,
n (%)
fcSEMS,
n (%)
mhSEMS, n (%) Plastik-stent,
n (%)
Welchen Stent verwenden Sie am liebsten bei malignen inoperablen Gallenwegsstenosen? 15
(29.4)
6
(11.8)
30
(58.8)
0 /
Lebenserwartung < 6 Monate 17
(33.3)
6
(11.8)
19
(37.3)
0 9
(17.6)
Lebenserwartung > 6 Monate 10
(19.6)
9
(17.6)
32
(62.7)
0 /
Der Patient erhält eine Chemotherapie 9
(17.6)
7
(13.7)
35
(68.6)
0 /
Blutungsrisiko 6
(11.8)
8
(15.7)
37
(72.5)
0 /
Gefahr der Dislokation/Migration 22
(43.1)
13
(25.5)
15
(29.4)
1
(2)
/
Intraluminale maligne Stenose 13
(25.5)
8
(15.7)
30
(58.8)
0 /
Extraluminale maligne Kompression 11
(21.6)
11
(21.6)
29
(56.9)
0 /
SEMS: selbstexpandierender Metallstents; ucSEMS: uncovered SEMS; scSEMS: semi-covered SEMS; fc: fully covered SEMS; mhSEMS: multi-hole SEMS

Tabelle 2: Stentauswahl nach klinischem Szenario

17:06 – 17:12

KV 436 ​​​​Endoskopische Surveillance des oberen Gastrointestinaltrakts beim Lynch-Syndrom: Stellenwert der Push Enteroskopie

Sonja Haas (Bonn)

KV 436 ​​​​Endoskopische Surveillance des oberen Gastrointestinaltrakts beim Lynch-Syndrom: Stellenwert der Push Enteroskopie

K. van Beekum1,2, S. Haas1,2, J. Nattermann1,2, R. Hüneburg1,2, Deutsches Konsortium familiärer Darmkrebs

1Universitätsklinik Bonn, Medizinische Klinik und Poliklinik I, Bonn, Deutschland, 2Universitätsklinik Bonn, Nationales Zentrum für erbliche Tumorsyndrome, Bonn, Deutschland

Einleitung: Das Lynch-Syndrom (LS) ist die häufigste hereditäre Tumorprädisposition und mit einem deutlich erhöhten Risiko für Malignome des oberen Gastrointestinaltrakts (GIT) assoziiert. Die geschätzten Lebenszeitrisiken liegen bei etwa 13 % für Magenkarzinome und 8 % für Dünndarmkarzinome.
Ziele: Ziel dieser Studie war es, die kumulative Inzidenz von Magen-, Duodenal- und Jejunalkarzinomen bei LS anhand von Daten des Deutschen Konsortiums für familiären Darmkrebs (DKFD) zu bestimmen sowie den diagnostischen Nutzen der Ösophagogastroduodenoskopie (ÖGD) und Push-Enteroskopie (PE) im Rahmen der Surveillance zu bewerten.
Methodik: Retrospektiv wurden 960 endoskopische Prozeduren (494 ÖGD, 466 PE), die zwischen April 2013 und Januar 2025 bei 349 LS-Betroffenen an einem tertiären Zentrum durchgeführt wurden, analysiert. Klinisch relevante Befunde (intestinale Metaplasie, Barrett-Ösophagus, Adenome, Karzinome) wurden systematisch zwischen ÖGD und PE verglichen. Parallel wurde die kumulative Inzidenz von Krebserkrankungen des oberen GIT anhand der DKFD-Daten bestimmt.
Ergebnis: In der DKFD-Datenbank waren 2859 LS-Betroffene dokumentiert, davon 82,1% Träger:innen pathogener Hochrisiko-Genvarianten (PGV) (MLH1, MSH2, EPCAM) und 17,9 % Träger:innen von Niedrigrisiko- PGV (MSH6, PMS2). Magenkarzinome traten bei 64 (2,2%), Duodenalkarzinome bei 60 (2,1%), Ampullenkarzinome bei 6 (0,2%) und Jejunalkarzinome bei 55 Betroffenen (1,9%) auf. Die Mehrheit der Fälle betraf Personen mit Hochrisiko- PGVs, jedoch wurden auch 14 Karzinome bei Betroffenen mit niedrigerem genetischen Risiko beobachtet. Die Auswertung der Untersuchungen am tertiären Zentrum ergab in 22 % (209/960) der Eingriffe und 50,1 % (175/349) der Patient:innen klinisch relevante Befunde. Neoplasien (dysplastische Fundusdrüsenpolypen, Adenome, Karzinome) wurden bei 12 % (41/349) festgestellt.
Intestinale Metaplasie fand sich bei 13,8 % der Eingriffe und 28 % der Patient:innen. Jejunale Neoplasien (7 Adenome (0,7%) und 2 Karzinome (0,2%)) wurden ausschließlich mittels PE entdeckt. Die Nachweisraten für klinisch relevante Befunde (p = 0,012) und intestinale Metaplasie (p = 0,009) waren bei PE signifikant höher als bei ÖGD.

Vergleich zwischen Ösophagogastroduodenoskopie (ÖGD) und Push- Enteroskopie (PE) in einem tertiären Zentrum zwischen April 2013 und Januar 2025
ÖGD
(n=494)
PE
(n=466)
Alle Untersuchungen
(n= 960)
Pro Patient (b=349) p-value Signifikant (p< 0,05)
Magen
Intestinale Metaplasie 54 10,9% 78 16,7% 132 13,8% 98 28,1% 0,009 ja
Magenadenome 7 1,4 4 0,9% 11 1,1% 9 2,6% 0,416 nein
Dysplastische Drüsenkörperzystenpolypen 1 0,2% 3 0,6% 4 0,4% 4 1,1%
Magenkarzinom 4 0,8% 0 0% 4 0,4% 4 1,1%
Duodenum
Duodenaladenom 8 1,6% 7 1,5% 15 1,6% 13 3,7% 0,884 nein
Duodenalkarzinom 2 0,4% 1 0,2% 3 0,3% 3 0,9%
Jejunum
Jejunumadenom 0 0% 7 1,7% 7 0,7% 7 2%
Jejunumkarzinom 0 0% 2 0,4% 2 0,2% 2 0,6%
Klinisch relevante Befunde
(Barett, intestinale Metaplasie, Neoplasien)
92 19% 118 25% 209 22% 175 50,1% 0,012 ja
Neoplasien (Dysplasien, Adenome, Karzinome) 22 4% 24 5% 46 5% 41 11,7% 0,613 nein

Schlussfolgerung: Die Überwachung des oberen Gastrointestinaltrakts ist beim LS essenziell. Die PE ermöglicht die Erkennung jejunaler Neoplasien, die durch die ÖGD nicht erfasst werden und sollte in die Vorsorgestrategien für Patient:innen mit Hochrisiko-PGV aufgenommen werden.

Kurzvortragssitzung

Lebertransplantation

14:15 – 15:43

Do 18.09.

Seminarraum 14 + 15

Open Accordion - Icon Close Accordion - Icon

Vorsitz: Karsten Große (Aachen) und Uta Herden (Hamburg)

14:15 – 14:21

KV 076 Maschinenperfusion in Deutschland 2025: Status quo und zukünftige Herausforderungen

Mohammed Ibrahim (Tübingen)

KV 076 Maschinenperfusion in Deutschland 2025: Status quo und zukünftige Herausforderungen

M. Ibrahim1, M. Finotti1, S. Nadalin1, A.L. Mihaljevic1, P. Kron1

1Universitätsklinikum Tübingen, Klinik für Allgemeine-, Viszeral- und Transplantationschirurgie, Tübingen, Deutschland

Einleitung: Maschinenperfusion (MP) ersetzt zunehmend die statische Kaltlagerung und eröffnet neue Möglichkeiten für Organassessment, Organreparatur und daraus resultierend höhere Transplantationsraten, insbesondere bei marginalen Organen. In Deutschland befinden sich Perfusionsprogramme in unterschiedlichen Stadien des Aufbaus.
Ziele: Eine nationale Erhebung zum klinischen Einsatz, Nutzen und den Herausforderungen von MP in Leber- und Nierenzentren.
Methodik: Mittels einer bundesweiten Online-Umfrage wurden alle 39 deutschen Leber- und Nierentransplantationszentren kontaktiert. Abgefragt wurden Zentrumsstruktur, MP-Finanzierung und Forschung (Tab. 1), Indikationen und Organutilisation (Tab. 2), sowie klinische Nutzung der Maschinenperfusion bei Leber- und Nierentransplantation (Tab. 3).
Ergebnisse: 20 von 39 (51,3 %) der angeschriebenen Zentren nahmen teil. 65 % verfügen über ein MP-Programm (13 Leberzentren und 3 Nierenzentren), das meist intern finanziert wird und häufig ohne spezialisiertes Perfusionsteam auskommt. Lediglich 29 % der Zentren gaben an, ein Perfusionsteam mit ≥3 Mitarbeitenden zu haben. In Leberzentren werden sowohl normotherme Maschinenperfusion (NMP) als auch hypotherme Perfusion (HOPE) genutzt; bei Nierentransplantationen wird unter den Befragten nur HOPE genutzt. Bei der Frage nach der Indikation der Leber-MP gaben 46% der Leberzentren an, dass Sie alle akzeptierten Organe perfundieren, während 54% primär marginale Organe perfundieren. Die durchschnittliche Steigerung der Organutilisation seit Einführung eines MP Programmes wurde mit 10% angegeben. Alle Befragten sehen in der MP einen klaren Vorteil für deutsche Transplantationsprogramme. Knapp über die Hälfte aller Befragten (56%) forschen auf dem Gebiet der MP mit Schwerpunkten im Bereich Ex-Vivo Organrepair (93%), Organverbesserung (93%) und Erweiterung des Spenderpools (87%).
Schlussfolgerung: Maschinenperfusion steigert die Organverfügbarkeit nachweislich und ist angesichts des Organmangels essenziell. Der fehlende nationale Finanzierungsrahmen sowie begrenzte Forschungsaktivitäten behindern jedoch eine flächendeckende Etablierung. Eine strukturierte Förderung auf Systemebene ist dringend erforderlich. Über die Indikation der Perfusion liegt in Leberzentren ein Dissens vor mit einerseits Befürwortern von genereller Perfusion und andererseits Befürwortern einer speziellen Indikation nur für ECD-Organe.

Tabelle 1: Zentrumsstruktur, Finanzierung und Forschung
Haben Sie ein MP Programm?
Ja 13/20 (65%)
Nein 6/20 (30%)
Nein, aber in Planung 1/20 (5%)
Wie perfundieren Sie?
NMP 3/14 (21%)
HOPE 7/14 (50%)
Beides, je nach Indikation 4/14 (29%)
Haben Sie ein Perfusionsteam?
Ja (≥3 Mitarbeiter) 4/14 (29%)
Nein 10/14 (71%)
Wie wird das MP Programm finanziert? (Mehrfachauswahl)
Krankenhausmittel 13/13 (100%)
Forschungsmittel 5/13 (38%)
Sonstiges 1/13 (8%)
Was sind die größten Barrieren für ein MP Programm? (Mehrfachauswahl)
Kosten 7/19 (37%)
Personalaufwand 7/19 (37%)
Fehlende Evidenz 2/19 (11%)
Sonstiges 3/19 (16%)
Besteht eine MP Forschungsgruppe?
Ja 10/18 (56%)
Nein 8/18 (44%)
Welche Forschungszeile hat Ihre Gruppe? (Mehrfachauswahl)
Erweiterung Spenderpool 13/15 (87%)
Ex-Vivo Organrepair 14/15 (93%)
Organverbesserung 14/15 (93%)
Tabelle 2: Indikation und Organutilisation bei MP
Bringt MP einen Vorteil bei Transplantation?
Ja, immer 10/13 (77%)
Ja, aber nur für ECD-Organe 3/13 (23%)
Nein 0/13 (0%)
Konnten Sie durch MP die Organutilisation steigern?
Ja 8/13 /62%)
Nein 5/13 (38%)
Wenn ja, um wie viel Prozent?
0-10% 8/13 (62%)
11-20% 3/13 (23%)
>20% 2/13 (15%)
LTX NTX
Wie hoch ist die Ablehnungsquote nach Allokation des Organs?
0-15% 4/11 (36%) 8/9 (89%)
16-30% 4/11 (36%) 0/9 (0%)
>30% 3/11 (27%) 1/9 (11%)
Durchschnitt 26% 11%
Was ist der häufigste Grund für die Nichttransplantation eines Organs?
Lebermakroskopie 7/13 (54%)
Steatose >30% in der Biopsie 5/13 (38%)
Nierenmakroskopie 5/8 (63%)
Suboptimale Graftperfusion 2/8 (25%)
Sonstiges 1/13 (8%) 1/8 (12,5%)
Welche Indikation zur Verwendung der MP? (Mehrfachauswahl)
ECD-Organe 7/13 (54%) 5/6 (83%)
Lange Ischämiezeit erwartet 6/13 (46%) 3/6 (50%)
Spender über 65 Jahre 5/13 (38%) 1/6 (17%)
Alle Organe werden perfundiert 6/13 (46%) 0/6 (0%)
Welche Vorteile bei der MP? (Mehrfachauswahl)
Organprotektion 12/13 (92%) 5/7 (71%)
Verringerter Reperfusionsschaden 13/13 (100%) 6/7 (86%)
Erweitertes Monitoring 6/13 (46%) 2/7 (29%)
Logistik 6/13 (46%)
Tabelle 3: Klinische Nutzung von MP bei Leber- und Nierentransplantation
LTX NTX
Wie perfundieren Sie?
NMP 3/13 (23%) 0/6 (0%)
HOPE 9/13 (69%) 6/6 (100%)
HOPE und NMP gleich 1/13 (8%) 0/6 (0%)
Welche Art der Leberperfusion wird genutzt?
Dual 5/13 (38%)
Nur Portal 7/13 (54%)
Dual und Portal gleich ermaßen 1/13 (8%)
Wie lange wird perfundiert?
1-2h 0/13 (0%) 1/4 (25%)
2-4h 10/13 (77%) 1/4 (25%)
>4h 3/13 (23%) 2/4 (50%)
Machen Sie ein Viabilitytest bei HOPE?
Ja 2/13 (15%) 1/4 (25%)
Nein 11/13 (85%) 3/4 (75%)
Welche Viabilitytests machen Sie bei NMP? (Mehrfachauswahl)
Lactat clearance 8/9 (89%)
pH >7,3 5/9 (56%)
Glukosemetabolismus 4/9 (44%)
Galleproduktion 5/9 (56%)
Galle pH >7,45 2/9 (22%)
Urinproduktion 1/3 (33%)
Nierenresistance 2/3 (66%)
Base Excess in der BGA 1/3 (33%)
Wie viele Organe wurden in den letzten 5 Jahren perfundiert?
0-50 8/13 (62%) 8/8 (100%)
51-100 4/13 (31%)
>100 1/13 (8%)
Gesamt 719 27

14:23 – 14:29

KV 077 Normotherme Maschinenperfusion genetisch modifizierter Schweinelebern mit humanem Blut: Etablierung eines xenogenen Modells zur Entwicklung eines Bridgingverfahrens

Simon Störzer (Hannover)

KV 077 Normotherme Maschinenperfusion genetisch modifizierter Schweinelebern mit humanem Blut: Etablierung eines xenogenen Modells zur Entwicklung eines Bridgingverfahrens

S. Störzer1, H. Linge1,2, J. Mengwasser1, V. Muth1, J. Singh1, C. van Beekum1, M. Quante1, K. Splith1, R. Schwinzer1, M. Schmelzle1, P. Felgendreff1

1Medizinische Hochschule Hannover, Allgemein-, Viszeral- und Transplantationschirurgie, Hannover, Deutschland, 2Medizinische Hochschule Hannover, PRACTIS Clinician Scientist Program, Dean’s Office for Academic Career Development, Hannover, Deutschland

Einleitung: Die Transplantationsmedizin steht vor der Herausforderung eines chronischen Organmangels. Insbesondere die Lebertransplantation ist durch lange Wartelisten und eine hohe Mortalität auf der Warteliste gekennzeichnet. Im Zuge der Forschung an alternativen Organquellen gewinnt die Xenotransplantation wieder zunehmend an Bedeutung.

Ziele: Funktionelle und immunologische Charakterisierung genetisch modifizierter porzinen Leber im Rahmen einer xenogenen normothermen Maschinenperfusion (xNMP).
Methodik: Neun genetisch modifizierte Schweinelebern wurden nach Organentnahmen im Rahmen von DCD- und DBD-Spenden in drei Versuchsgruppen untersucht, die sich in genetischer Modifikation, Ischämiezeit, Spendermodalität und Perfusionsdauer unterschieden. Gruppe 1 umfasste αGal-Knockout-Tiere mit 2 Stunden kalter Ischämie und 6 Stunden Perfusion, Gruppe 2 αGal-KO-Tiere mit fünf humanisierten Transgenen, längerer Ischämiezeit (12–18 Stunden) und ebenfalls 6 Stunden Perfusion, während Gruppe 3 aus Triple-KO-Tieren mit identischen Transgenen, kurzer Ischämiezeit (1–2 Stunden) und 24 Stunden Perfusion bestand. Als Perfusat kamen in Gruppe 1 Erythrozytenkonzentrate der Blutgruppe 0 (Rh) und in den Gruppen 2 und 3 zusätzlich Fresh Frozen Plasma (Blutgruppe AB) zum Einsatz. Die funktionelle und immunologische Charakterisierung erfolgte anhand laborchemischer Analysen und Durchflusszytometrie, mit Probenentnahmen zu definierten Zeiträumen.
Ergebnis: In allen Gruppen konnte die xenogene Perfusion erfolgreich über die angestrebte Dauer durchgeführt werden. In den Gruppen 1 und 2 zeigte sich im Verlauf ein deutlicher Anstieg der Laktatkonzentration sowie ein Abfall des Hämoglobinwerts, als Ausdruck der metabolischen Dysregulation und möglichen Hämolyse. Dieses Muster war in Gruppe 3 nicht zu beobachten. Die immunologischen Analysen zeigten zu Beginn der Perfusion ein rasches Ansteigen porziner Immunzellen (CD45, CD3, CD21, CD4, CD14, CD56; NK-Zellen, Monozyten, T- und B-Lymphozyten) im Perfusat. Die Konzentrationen blieb über die Dauer der Perfusion weitgehend stabil.
Schlussfolgerung: Die xenogene Perfusion genetisch modifizierter Schweinelebern ist technisch machbar und stellt ein vielversprechendes Modell zur Simulation der humanen Lebertransplantation dar. Sie könnte künftig als Grundlage für Bridgingverfahren dienen, erfordert jedoch weitere Studien zur Bewertung von Sicherheit und Potenzial.

14:31 – 14:37

KV 078 Early experience of routine end-ischemic hypothermic oxygenated machine perfusion (HOPE) In liver transplantation

Clara Antonia Weigle (Aachen)

KV 078 Early experience of routine end-ischemic hypothermic oxygenated machine perfusion (HOPE) In liver transplantation

C.A. Weigle1, A. Garbe1, B.A. Wiemann1, P. Tessmer1, F. Meister1, I. Amygdalos1, A. Kroh1, T. Vogel1, F.W.R. Vondran1, O. Beetz1, F. Oldhafer1

1University Hospital RWTH Aachen, Department of General-, Visceral- Pediatric and Transplant Surgery, Aachen, Deutschland

Background: Hypothermic oxygenated liver perfusion (HOPE) has proven to be a promising approach to reduce ischemia-reperfusion injury (IRI) following liver transplantation (LTx), especially due to the increasing use of extended criteria donor (ECD) organs. In our monocentric study we report the early results after routine use of end-ischemic HOPE in comparison with a historical cohort preserved by static cold storage (SCS).
Methods:
Between November 2023 and March 2025 46 consecutive LTx underwent routine HOPE at our institution. Outcomes were compared to a retrospective cohort from May 2010 to September 2020 of 438 livers preserved by SCS alone.
Results: The SCS group has significantly lower labMELD Scores (20.47 (6-40) in SCS vs. 24.28 (7-40) in HOPE, p=0.024) and shorter cold ischemia times (513.3 (20-1062) min in SCS vs. 643.22 (304-915) min in HOPE, p<0.001). Therefore, the rate of ECD graft was significantly higher in the group with routine end-ischemic HOPE (67.0% in SCS vs. 84.8% in HOPE, p=0.017). Despite the higher risk profile in the HOPE group, there is a tendency towards fewer early allograft dysfunction (EAD) according to the definition of Olthoff et al. (29.4% after SCS vs. 26.7% after HOPE, p>0.05). Moreover, patients after transplantation of a previously perfused liver showed significantly decreased levels of and ALT (381.8 U/l vs. 305.9 U/l, p=0.022) and AST (p>0.05) in the first postoperative days. No adverse events related to the use of HOPE were observed.
Conclusion: The early results of our institution demonstrate that the routine use of end-ischemic HOPE in LTx is feasible, safe and associated with a tendence to an improved short-term outcome even in a cohort of more critically ill patients. These results justify the broader implementation of HOPE as a standard in liver graft preservation.

14:39 – 14:45

KV 079 Optimierung des chirurgischen Algorithmus zur Evaluation einer Leberlebendspende

Paul Kupke

KV 079 Optimierung des chirurgischen Algorithmus zur Evaluation einer Leberlebendspende

P. Kupke1, V. Schropp1, L. Schurr1, I. Dropco1, L. Kupke1, M. Götz1, E. Geissler1, H. Schlitt1, J. Werner1

1Universitätsklinikum Regensburg, Regensburg, Deutschland

Einleitung: Die Leberlebendspende (LLS) stellt eine wichtige etablierte Alternative zur postmortalen Lebertransplantation dar. Bei der Auswahl geeigneter Spender ist dabei eine umfassende Evaluation unerlässlich, wobei die angewandten Algorithmen abhängig vom Transplantationszentrum und den jeweiligen lokalen Richtlinien variieren.
Ziele: Das Ziel dieser Studie war die Optimierung des Evaluationsprozesses und die Aufarbeitung der Risikofaktoren bei der LLS.
Methodik: Für diese retrospektive Studie wurden insgesamt 317 potentielle Spender eingeschlossen, die von Juli 2007 bis Juli 2022 hinsichtlich einer LLS evaluiert wurden. Der komplette Evaluationsprozess wurde aufgearbeitet, um die primären Gründe für die Ablehnung von 77 potenziellen Spendern zu identifizieren. Zudem wurden die 146 Spender, die letztlich ein einen Teil der Leber spenden konnten, hinsichtlich Risikofaktoren für LLS-bedingte Komplikationen analysiert.
Ergebnis: Die Hauptursachen für die Ablehnung potenzieller Spender waren die Volumetrie der Leber, die bei 40,3 % der Fälle zu einer Ablehnung führte, sowie metabolische Faktoren wie Adipositas oder Steatose, die bei 20,8 % der Ablehnungen führend waren. Durch den Einsatz einer kontrastmittelgestützten Computertomographie (KM-CT) konnten 63,6 % aller abgelehnten Spender identifiziert werden. Mit der Entwicklung eines progressiven, vierstufigen Evaluationsalgorithmus, der eine frühzeitige KM-CT in Kombination mit Anamnese, körperlicher Untersuchung, grundlegender laborchemischer Diagnostik sowie einer abdominellen Ultraschalluntersuchung umfasst, wurden insgesamt 87,0 % der abgelehnten Spender frühzeitig identifiziert. Aufgrund der strengen Auswahlkriterien waren die Komplikationsraten nach LLS bei den Spendern gering; Komplikationen ≥II traten lediglich bei 17,1 % auf, ohne Komplikationen ≥IVb. Besonders ein höheres Alter des Spenders wurde nach Hemihepatektomie als Risikofaktor für die Entwicklung einer Komplikation ≥II identifiziert (p=0,0373).
Schlussfolgerung: Unsere Studie präsentiert einen progressiven, vierstufigen Evaluationsalgorithmus, der neben der grundlegenden klinischen Beurteilung den Fokus auf eine frühzeitige KM-CT legt. Durch diese Vorgehensweise können knapp 90 % der abschließend abgelehnten Spender bereits frühzeitig identifiziert werden. Dies führt zu einer erheblichen Einsparung von Ressourcen, Zeit und Kosten sowie zu einer Minimierung der Belastung für die potenziellen Spender.
(A) Primäre Gründe für die Ablehnung potenzieller Spender und (B) dabei führende Diagnostik. Abkürzungen: CECT = Konstrastmittel-verstärkte Computertomographie, MRI mit MRCP = Magnetresonanztomographie mit Cholangiopankreatikographie.

14:47 – 14:53

KV 080 Gallengangsrekonstruktion bei Lebertransplantation aufgrund einer primär sklerosierender Cholangitis: End-zu-End Anastomose oder Roux-Y Hepaticojejunostomie?

Mira Charlotta Pohlmann

KV 080 Gallengangsrekonstruktion bei Lebertransplantation aufgrund einer primär sklerosierender Cholangitis: End-zu-End Anastomose oder Roux-Y Hepaticojejunostomie?

M.C. Pohlmann1, P.T. Dancs1, D.P. Hoyer1,2, U. Neumann1,2, D. Heise1,2

1Universitätsklinikum Essen, Allgemein-, Viszeral-, Gefäß- und Transplantationschirurgie, Essen, Deutschland, 2Universitätsklinikum RWTH-Aachen, Allgemein-, Viszeral-, Kinder- und Transplantationschirurgie, Aachen, Deutschland

Einleitung: Die primär sklerosierende Cholangitis (PSC) ist eine chronisch-progressive Lebererkrankung unklarer Genese, die zur Leberzirrhose führen kann. Die Lebertransplantation (LTx) bleibt die einzige kurative Therapie, wobei die Gallengangrekonstruktion der Wahl weiterhin umstritten ist. Historisch wird eine biliodigestive Anastomose (BDA) mittels Roux-Y Hepaticojejunostomie bevorzugt, um postoperative Strikturen zu vermeiden. Demgegenüber erwies sich eine End-zu-End-Rekonstruktion (EzE) in mehreren Analysen als mindestens gleichwertig, bei teils geringerer Inzidenz aszendierender Cholangitiden.
Ziele: Ziel dieser Studie ist die retrospektive, bizentrische Analyse von PSC-Patienten nach primärer LTx, insbesondere der Gallengangsrekonstruktion und deren Auswirkung auf Überleben sowie postoperative Komplikationen.
Methodik: Wir analysierten 94 Patienten, die zwischen 2010 und 2024 am Universitätsklinikum Essen und der RWTH-Aachen einer primären LTx aufgrund einer PSC unterzogen wurden. Korrelation zwischen Gallengangsrekonstruktion und 90-Tage- sowie 1-Jahresmortalität wurde mittels Kaplan-Meier-Analyse untersucht. Prädiktoren für gallengangsspezifische sowie postoperative Komplikationen wurden mittels logistischer Regression identifiziert. Korrelation zwischen Spender- und Empfängerdaten und Überleben wurde mittels Cox Regression analysiert.
Ergebnis: Bei 42 Patienten wurde eine BDA und bei 52 Patienten eine EzE Rekonstruktion angelegt. Das 90-Tage und 1-Jahresüberleben (92,7% vs. 92,3% und 90,1% vs. 88,3%, p=0,573) sowie der Comprehensive Complication Index (CCI, p=0,412) zeigten keinen signifikanten Unterschied zwischen beiden Gruppen. Die EzE Gruppe zeigte signifikant höhere Anzahlen an interventionsbedürftigen Anastomosenstenosen (9,5% vs. 30,8%, p=0,012), während die Rate an Anastomoseninsuffizienzen, ischämischen Komplikationen, Cholangitiden und operativen Revisionen (4,8% vs. 9,6% (p=0,373); 2,4% vs. 3,9% (p=0,688); 4,8% vs. 7,7% (p=0,563); 7,1% vs. 9,6% (p=0,669)) vergleichbar waren. Bei der Cox-Regressionsanalyse war die Gallengangsrekonstruktionsmethode kein Prädiktor für Mortalität oder Majorkomplikation.
Schlussfolgerung: In unserer Studie zeigen sich beide Rekonstruktionstechniken gleichwertig hinsichtlich des Überlebens sowie postoperativer Majorkomplikationen. Das vermehrte Vorkommen der Anastomosenstenosen bei der EzE Rekonstruktion deutet jedoch auf die Relevanz einer patientenindividuellen Entscheidung der Rekonstruktionsmethode hin.

14:55 – 15:01

KV 081 Soluble CD46: Ein wertvolles Werkzeug im Evaluationsprozess der Leberlebendspende

Moritz H.J. Wohlfahrt (Regensburg)

KV 081 Soluble CD46: Ein wertvolles Werkzeug im Evaluationsprozess der Leberlebendspende

M.H. Wohlfahrt1, P. Kupke1, H.J. Schlitt1, E. Geissler1, J.A. Hutchinson1, J.M. Werner1

1Universitätsklinikum Regensburg, Klinik und Poliklinik für Chirurgie, Regensburg, Deutschland

Einleitung/Ziel: Die Leberlebendspende ist eine etablierte Methode zur Lebertransplantation, erfordert jedoch eine langwierige und aufwändige Evaluation des möglichen Spenders. In dieser Studie analysierten wir verschiedene Blutmarker um neue Möglichkeiten zur frühzeitigen Unterstützung der Entscheidungsfindung im Evaluationsprozess aufzudecken.
Methoden: Es wurden Serumproben von 146 Patienten die sich zwischen 2007 und 2022 am Universitätsklinikum Regensburg einer Lebendspende der Leber unterzogen haben und Serumproben von 49 Patienten, die an unserer Klinik für eine Lebendspende ausgeschlossen wurden mittels ELISA und Luminex-Assays auf verschiedene für Lebergewebsschäden etablierte Analyten untersucht.
Ergebnis: Innerhalb der zur Spende angenommenen Patienten sagte soluble CD46 sagte als einziges der Analyten statistisch signifikant den Steatosegrad der Patienten, der im Laufe der Evaluation sonographisch bestätigt wurde, voraus. Angiopoetin-like Protein 4- und CD163-levels stiegen mit dem Steatosegrad an, während CD40/TNFRSF5, IL-1 beta/IL-1F2, IL-6, IL-8/CXCL8, Lipocalin-2 und CD14 diesen nicht wiedergeben konnten. Im Vergleich der transplantierten Patienten mit den im Laufe der Evaluation abgelehnten Patienten zeigten sich sowohl für soluble CD46, als auch für CD163 höhere Werte innerhalb der abgelehnten Seren. Für die restlichen Analyten ergab sich kein erkennbarer Unterschied zwischen den beiden Kohorten.
Schlussfolgerung: Soluble CD46 trägt im Rahmen der Evaluation bei geplanter Leberlebendspende frühzeitig zur Erkennung einer Steatose bei und unterstützt damit den Evaluationsprozess dahingehend, ungeeignete Patienten vor überflüssiger Diagnostik zu bewahren.

sCD46 levels in verschiedenen Steatose-graden bei Leberlebendspendern gegen Lipocalin-2 levels in verschiedenen steatosegraden in den selben Patienten. sCD46 stellt die verschiedenen Steatosegrade korrekt dar, Lipocalin-2 nicht.

15:03 – 15:09

KV 082 Application of machine learning algorithms to recipient-related data for the prediction of short-term survival following liver transplantation

Georgios Konstantis (Essen)

KV 082 Application of machine learning algorithms to recipient-related data for the prediction of short-term survival following liver transplantation

G. Konstantis1, A.-K. Dörr2, I. Kraiselburd2, M. Passenberg1, C. Guntlisbergen1, N. Nuruzade1, J. Best1, K. Willuweit1, D.P. Hoyer3, U. Neumann3, H.H. Schmidt1, F. Meyer2, J. Rashidi-Alavijeh1, AG Willuweit/ Rashidi

1Universitätsklinikum Essen, Klinik für Gastroenterologie, Hepatologie und Transplantationsmedizin, Essen, Deutschland, 2Universitätsklinikum Essen, IKIM – the Institute for Artificial Intelligence in Medicine, Essen, Deutschland, 3Universitätsklinikum Essen, General, Visceral, Vascular and Transplantation Surgery, University Hospital Essen, Essen, Deutschland

Background and Objective: Current prediction of short-term survival after liver transplantation (LT) primarily relies on linear clinical scores such as the MELD, Donor-MELD, or Balance-of-Risk score. However, these model scores often provide limited predictive accuracy and depend on donor-related parameters that are only available shortly before transplantation, limiting their use for early risk stratification on the waiting list. The aim of this study was to develop and evaluate a recipient-based machine learning (ML) model to predict short-term post-transplant survival, using only variables available before organ allocation.
Materials and Methods: Clinical data from 1260 LT recipients were used to train and validate models. Various algorithms were evaluated, including Random Forest, XGBoost, SVMs, and a Neural Network. Model discrimination was assessed using receiver operating characteristic (ROC) curves and various evaluation metrics. SHAP (Shapley Additive Explanations) was used to evaluate the relative importance of each variable based on its respective Shapley value.
Results: The final Random Forest model, developed using a subset of clinically relevant parameters selected from the metadata and SHAP analysis, demonstrated excellent predictive performance for 1-year post-transplant survival, achieving an AUC of 0.88. Among the top predictors, hemoglobin emerged as a strong positive factor for survival, while elevated C-reactive protein was associated with a significantly reduced likelihood of predicted survival. Additional key variables included leukocyte count, international normalized ratio, and serum creatinine—each negatively associated with survival. Bilirubin (both direct and total) and serum sodium contributed moderately to the model’s prediction, while iron and albumin had minor yet still relevant impacts. In contrast, demographic and static recipient characteristics such as age, sex, and body size showed minimal individual predictive value.
Conclusion: This study demonstrates that advanced machine learning approaches based solely on recipient data can improve the prediction of postoperative survival in LT recipients. These findings highlight the potential of data-driven models to support early risk stratification, patient prioritization, and clinical decision-making in LT programs.

15:11 – 15:17

KV 083 Clinical and Microbiological Risk Factors Associated with Histopathological Fungal Infection in Liver Transplant Explants: A Retrospective Cohort Analysis

Charlotte Wolff (Heidelberg)

KV 083 Clinical and microbiological risk factors associated with histopathological fungal infection in liver transplant explants: a retrospective cohort analysis

C. Wolff1, M. Herz2, K. Hofmann3, S. Klein2, S. Picardi4, A. Mehrabi5, C. Flechtenmacher3, C.W. Michalski5, C. Rauber1, M.A. Weigand4, P. Schirmacher3, U. Merle1

1Universitätsklinikum Heidelberg, Innere Medizin IV, Heidelberg, Deutschland, 2Universitätsklinikum Heidelberg, Department of Infectious Diseases, Medical Microbiology and Hygiene, Heidelberg, Deutschland, 3Universitätsklinikum Heidelberg, Institute of Pathology, Heidelberg, Deutschland, 4Universitätsklinikum Heidelberg, Department of Anesthesiology, Heidelberg, Deutschland, 5Universitätsklinikum Heidelberg, Department of General, Visceral and Transplantation Surgery, Heidelberg, Deutschland

Background: Liver transplantation is the definitive treatment for end-stage liver disease; however, chronic graft failure remains a significant clinical challenge. Invasive fungal infections (IFIs) are increasingly being recognized as contributors to reduced patient survival.
Aims: This study aimed to evaluate the clinical and microbiological risk factors associated with histopathologically confirmed biliary IFIs in explanted liver grafts.
Methods: In this retrospective cohort study, 144 transplantations performed between 1990 and 2019 in 132 patients were analyzed. Patients were stratified into two groups based on the presence (n = 41) or absence (n = 103) of histopathologically confirmed biliary IFI. Clinical data, operative parameters, and postoperative complications were extracted, and microbiological cultures of bile and abscess fluid were reviewed. Survival outcomes were assessed using Kaplan–Meier analysis, and independent risk factors were identified using multivariate logistic regression.
Results: IFI was detected in 28.5% of explanted livers. Patients with IFI exhibited significantly higher rates of ischemia-type biliary lesions (90.2% vs. 41.8%, p<0.001) and hepatic artery thrombosis (51.2% vs. 16.5%, p<0.001) than those in the non-IFI group. Longitudinal fungal cultures from the bile and abscess fluid were more frequently positive in the IFI group (84.9% and 77.8%, respectively) than in the non-IFI group (63.8% (p=0.033) and 37.5% (p=0.017), respectively). Survival analysis demonstrated markedly reduced outcomes in the IFI group, with median patient survival of 2.9 years versus 11.8 years (Gehan-Breslow-Wilcoxon test p=0.0087) and median organ survival of 1.4 years versus 3.5 years (Gehan-Breslow-Wilcoxon test p=0.0062). Multivariate analysis identified non-anastomotic biliary lesions (odds ratio [OR]  = 9.9) and hepatic artery thrombosis (OR = 3.4) as independent predictors of IFI.
Conclusion: Histopathologically confirmed biliary IFI in liver transplant recipients is associated with ischemia-type biliary lesions, arterial thrombosis, and markedly reduced survival. The fungal positivity rate of bile and abscess fluid cultures is significantly associated with biliary IFI. Further microbiological studies are warranted to improve early diagnosis.

15:19 – 15:25

KV 084 Woran versterben Patienten nach Lebertransplantation und welchen Einfluss hat eine CMV-Prophylaxe bei Patienten mit CMV-Risikokonstellation auf das Überleben – Eine Single-Center Analyse

Nadja Fischer

KV 084 Woran versterben Patienten nach Lebertransplantation und welchen Einfluss hat eine CMV-Prophylaxe bei Patienten mit CMV-Risikokonstellation auf das Überleben – Eine Single-Center Analyse

N. Fischer1, T. Becker2, F. Braun2, J.-P. Gundlach2

1UKSH, Campus Kiel, Klinik für Innere Medizin I und Klinik für Allgemeine, Viszeral-, Thorax-, Transplantations- und Kinderchirurgie, Kiel, Deutschland, 2UKSH, Campus Kiel, Klinik für Allgemeine, Viszeral-, Thorax-, Transplantations- und Kinderchirurgie, Kiel, Deutschland

Eine Lebertransplantation (LT) stellt für Patienten mit unterschiedlichsten Leber-Erkrankungen eine effiziente Therapieoption dar. Aufgrund des Organspendemangels ist das langfristige Überleben vordringlich. Relevante Infektionen nach LT betreffen multiresistente Erreger, Pilze und Herpesviren wie das Zytomegalievirus (CMV). Es werden unterschieden zwischen primärer CMV-Infektion und Reaktivierung sowie zwischen CMV-Infektion (Nachweis von CMV-DNA) und CMV-Erkrankung (invasive Verlaufsform mit Organschädigung). Das Risiko hängt vom CMV-Status des Spenders sowie des Empfängers ab, mit besonderem Risiko bei seropositivem Spender und seronegativem Empfänger (D+/R–). Eine CMV-Prophylaxe ist ein etabliertes Vorgehen für den früh-postoperativen Verlauf nach LT. Ziel unserer Studie war es, perioperative Komplikationen und Todesursachen nach LT zu identifizieren unter besonderer Berücksichtigung des CMV-Status.
Komplikationen nach LT wurden in einer retrospektiven monozentrischen Studie analysiert. Die statistische Auswertung erfolgte mittels Chi²-Tests und Kaplan-Meier-Schätzer mit Log-Rank-Test (p ≤ 0,05 signifikant). Die Studie wurde von der Ethikkommission genehmigt.
Zwischen 2008 und 2021 wurden 621 LT durchgeführt. Nur primäre LT mit vollständigen Daten (n=426) wurden eingeschlossen; Kinder <16 Jahre wurden ausgeschlossen. Das mediane Alter lag bei 58 Jahren (17-78 Jahre). Im Follow-Up verstarben 154 Patienten (36,2%). Die häufigste Todesursache stellten Infektionen (n=38; 24,7%), meist pulmonalen Ursprungs (n=15; 9,7%) dar. Es erhielten 180 Patienten (42,3%) eine CMV-Prophylaxe, davon entwickelten 23 (5,4%) eine CMV-Infektion. Fünf Patienten (21,7%) erhielten eine Prophylaxe. Zehn Patienten (2,3%) erkrankten an CMV – 3 Patienten (30%) hatten zuvor eine Prophylaxe erhalten. Ein signifikanter Überlebensvorteil durch Prophylaxe zeigte sich nicht (p=0,78). Der CMV-Status war bei 304 Patienten (71,4%) bekannt: 91 (21,4%) hatten eine Hochrisiko-Konstellation (D+/R–). Auch in dieser Sub-Kohorte ergab sich kein signifikanter Überlebensvorteil durch Prophylaxe (p=0,54, siehe Abbildung).nfektionen nach LT stellen die häufigste Todesursache dar. Obwohl es sich um eine gängige Praxis handelt, verbesserte die CMV-Prophylaxe das Überleben weder in der Gesamt- noch in der Hochrisiko-Kohorte signifikant. Diese Ergebnisse deuten darauf hin, dass die CMV-Prophylaxe zwar die Inzidenz von Infektionen verringert, ihre Wirkung auf das Langzeitüberleben jedoch begrenzt bleibt.Kaplan-Meier Überlebensfunktion (in Monaten) von Patienten mit CMV-Hochrisikokonstellation in Abhängigkeit einer postoperativen CMV-Prophylaxe (P=0,54)

15:27 – 15:33

KV 085 Integrative muscle-adipose score (IMAS) predicts sex-specific long-term survival after orthotropic liver transplantation

15:35 – 15:41

KV 086 Kombination von aus Gewebe gewonnenen MicroRNAs mit aktuellen klinischen Risikomodellen zur Vorhersage des Wiederauftretens von HCC nach Lebertransplantation

Theresa Lederer (Magdeburg)

KV 086 Kombination von aus Gewebe gewonnenen MicroRNAs mit aktuellen klinischen Risikomodellen zur Vorhersage des Wiederauftretens von HCC nach Lebertransplantation

T. Lederer1, K. Lehr1, S. Bobe2,3, C. Thon1, E. Hoffmann4, P. Schindler4, W. Roll5, F. Rennebaum6, H. Morgül7, M. Masthoff4, O. Öcal8, J. Trebicka6, M. Wildgruber9, A. Link1

1Otto-von-Guericke Universität Magdeburg, Klinik für Gastroenterologie, Hepatologie und Infektionskrankheiten, Magdeburg, Deutschland, 2Universität Münster, Gerhard-Domagk-Institut für Pathologie, Münster, Deutschland, 3Universität Münster, Europäisches Institut für Molekulare Bildgebung, Münster, Deutschland, 4Universität Münster, Klinik für Radiologie, Münster, Deutschland, 5Universität Münster, Klinik für Nuklearmedizin, Münster, Deutschland, 6Universität Münster, Medizinische Klinik B, Münster, Deutschland, 7Universität Münster, Klinik für Allgemein-, Viszeral- und Transplantationschirurgie, Münster, Deutschland, 8Universität Heidelberg, Klinik für Diagnostische und Interventionelle Radiologie, Heidelberg, Deutschland, 9LMU München, Klinik für Radiologie, München, Deutschland

Einleitung: Die Lebertransplantation (LT) stellt eine etablierte Therapieoption des hepatozellulären Karzinoms (HCC) dar, ist jedoch mit zahlreichen Herausforderungen wie dem Mangel an Spenderorganen und dem Risiko eines HCC-Rezidivs verbunden. Zur Vorhersage eines HCC-Rezidivs existieren verschiedene klinische Modelle, die jedoch, bis auf Alpha-Fetoprotein, bislang keine molekularen Biomarker berücksichtigen. MicroRNA (miRNA) tragen zur Entstehung und Progression von HCC bei und gelten als potenzielle Biomarker für HCC.
Ziele: Ziel dieser Studie war es, miRNA aus HCC-Gewebe vor der LTX als prädiktive Biomarker für ein HCC-Rezidiv zu identifizieren und ihren Nutzen in Kombination mit anderen Risikomodellen zu evaluieren.
Methoden: In dieser Proof-of-Concept-Studie wurden 20 Patienten mit und ohne HCC-Rezidiv untersucht. Die miRNA Profiling (Agilent miRNA Microarray) erfolgte an formalinfixiertem, paraffineingebettetem (FFPE) HCC-Gewebe welche zum Zeitpunkt der Transplantation gewonnen wurde. Der prädiktive Wert der miRNAs wurde mit klinischen Modellen (Milan, UCSF, Metroticket 2.0, AFP) kombiniert. Das rezidivfreie Überleben (RFS) wurde mittels Kaplan-Meier-Analyse ausgewertet.
Ergebnisse: Von ca. 4.000 analysierten miRNA zeigten miR-3692-5p, miR-424 und miR-718 die stärkste Unterscheidungskraft hinsichtlich eines HCC-Rezidivs. MiR-3692-5p erreichte allein eine exzellente Vorhersagegenauigkeit (AUC = 0,995; p < 0,0001) und übertraf damit klassische Modelle wie die Milan-Kriterien (AUC = 0,550; p = 0,706). MiR-424 und miR-718 zeigten ebenfalls signifikante, jedoch geringere prädiktive Werte. In Kombination als 3-miRNA-Signatur verbesserten sie die Vorhersageleistung weiter (AUC = 0,9; p < 0,05). Durch die Integration der Signatur in bestehende klinische Modelle stiegen die AUC-Werte von 0,5–0,7 auf 0,9–0,96. Die Expression von miR-3692-5p ermöglichte zudem eine Einteilung der Patienten in Hoch- und Niedrigrisikogruppen, wobei die Hochrisikogruppe ein signifikant kürzeres medianes rezidivfreies Überleben (17,0 vs. 38,5 Monate; p < 0,005) aufwies.
Schlussfolgerung: In dieser Studie wurden miRNAs identifiziert, die sowohl einzeln als auch in Form einer kombinierten miRNA-Signatur mit einem posttransplantationsbedingten HCC-Rezidiv assoziiert sind. Die Integration molekularer Marker könnte neue Ansätze für eine personalisierte Entscheidungsfindung im HCC-Management eröffnen.

Kurzvortragssitzung

Virushepatitis B-E im Blick: Zwischen Kontrolle und Herausforderung

11:00 – 12:17

Do 18.09.

Vortragsraum 10

Open Accordion - Icon Close Accordion - Icon

Vorsitz: Katharina L. Hupa-Breier (Hannover) und Lukas Knedla (Gießen)

11:00 – 11:05

KV 156 Gender-Effekt auf den Verlauf der chronischen Hepatitis B-Virusinfektion: männliches Geschlecht als ungünstiger prognostischer Faktor

Julia Lang-Meli (Köln)

KV 156 Gender-Effekt auf den Verlauf der chronischen Hepatitis B-Virusinfektion: männliches Geschlecht als ungünstiger prognostischer Faktor

C. Rogaczewski1, M. Hofmann1, R. Thimme1, C. Neumann-Haefelin2,1, D. Bettinger1, J. Lang-Meli2,1

1Universitätsklinikum Freiburg, Klinik für Innere Medizin II, Freiburg, Deutschland, 2Universitätsklinikum Köln, Klinik für Gastroenterologie und Hepatologie, Köln, Deutschland

Einleitung: Weltweit fordern Komplikationen der chronischen Hepatitis B Virus (HBV-) Infektion >1 Mio Todesopfer pro Jahr. Eine kurative Therapie fehlt bislang. Nucleos(t)id-Analoga supprimieren effektiv die Viruslast und sind als Langzeit-Therapie nur bei Patienten mit erhöhtem Progressionsrisiko der Lebererkrankung (HBV-DNA >2000 IU/ml, erhöhte Transaminasen) indiziert. Daten aus einer asiatischen Beobachtungsstudie wiesen darauf hin, dass bei Männern ein erhöhtes Risiko für den Progress einer Lebererkrankung besteht.
Ziele: Ob dieser Befund auf europäische Kohorten mit differentem Genotyp-Spektrum übertragbar ist, und ob sich hieraus auch geschlechtsspezifische Unterschiede in der Therapieindikation ergeben, ist bislang nicht untersucht. Diese Frage soll adressiert werden.
Methodik: 450 Patienten mit einer chronischen, therapienaiven HBV-Infektion wurden retrospektiv über minimal 5 und maximal 10 Jahre beobachtet (282 Patienten davon über 10 Jahre). Primärer Endpunkt war der Beginn einer antiviralen Therapie. Sekundäre Endpunkte waren das Auftreten eines HCC und die Erstdiagnose einer Leberzirrhose.
Ergebnis: Der primäre Endpunkt wurde bei insgesamt 220 (48,9%) Patienten erreicht, davon waren 85 Frauen (Therapiebeginn nach 3,6 Monaten [Median]) und 135 Männer (Therapiebeginn nach 4,1 Monaten [Median], p=0,797). Das männliche Geschlecht war signifikant mit dem Beginn einer antiviralen Therapie assoziiert (Männer n=135 [56,7%]; Frauen n=85 [40,6%]; p=0,0004). Männer wiesen ein erhöhtes Risikoprofil auf, mit signifikant höherer Viruslast zur Baseline (Viruslast Männer: Median 6622 [IQR 4 724 277] vs Frauen: 3723 [54 800] IU/ml; p=0,0030), während eine erhöhte ALT nicht signifikant mit einem Geschlecht assoziiert war (Männer: n=107, Frauen: n=87; p=0,1389). Hinsichtlich der sekundären Endpunkte bestand ebenfalls eine signifikante Assoziation mit dem männlichen Geschlecht (Leberzirrhose Männer: n=14, Frauen: n=3, p=0,0131; HCC Männer: n= 17, Frauen: n=2; p=0,0010).
Schlussfolgerung: Das männliche Geschlecht ist mit einem ungünstigen klinischen Verlauf der chronischen HBV-Infektion assoziiert. Dies ist mit einer höheren Viruslast bei Männern assoziiert und führt dazu, dass Männer häufiger eine antivirale Therapie benötigen. Dieser Gender-Effekt sollte bei der Betreuung von Patienten mit chronischer HBV-Infektion, z.B. bei der Festlegung von Kontroll-Intervallen, berücksichtigt werden.

11:07 – 11:12

KV 157 Association of hepatitis B surface antigen loss with clinical outcomes among patients with chronic hepatitis B infection: a retrospective cohort study in the United States

Maurice Michel (Homburg)

KV 157 Association of hepatitis B surface antigen loss with clinical outcomes among patients with chronic hepatitis B infection: a retrospective cohort study in the United States

M. Drysdale1, R. Chang2, R. Song2, S. Wang2, T. Man2, A. Coutinho1, M.S. Duh2, D. Theodore1, M. Michel3

1GlaxoSmithKline, London, Vereinigtes Königreich, 2Analysis Group Inc, Boston, Vereinigte Staaten, 3Universitätsklinikum des Saarlandes, , Klinik für Innere Medizin II (Gastroenterologie, Hepatologie, Endokrinologie, Diabetologie und Ernährungsmedizin), Homburg, Deutschland

Introduction: Chronic hepatitis B virus infection (CHB) is a major public health concern and liver-related complications are a leading cause of mortality in this population. The impact of loss of hepatitis B surface antigen (HBsAg), a marker of functional cure for CHB, on clinical outcomes remains unclear in a US population.
Objectives: Assess the association between HBsAg loss and clinical outcomes (compensated cirrhosis [CC], decompensated liver disease [DLD], hepatocellular carcinoma [HCC], all-cause mortality [ACM]) in a diverse cohort of US adults with prevalent CHB.
Methods: Retrospective cohort study was conducted using data from the Optum electronic health records database for CHB patients between 1 Jan 2012 and 31 Dec 2019 who had ≥1 positive HBsAg test. Exposure was HBsAg loss (≥1 negative HBsAg test). The first negative test was defined as the loss index date among the exposed; a comparator index date was imputed for the unexposed. Outcomes including CC, DLD, HCC and ACM were assessed from loss/comparator index date to end of follow-up. Inverse probability of treatment weighting (IPTW) was used to balance the distribution of baseline characteristics between exposed and unexposed patients. Doubly robust IPTW-weighted Cox proportional hazard models were applied to estimate the hazard ratios (HRs) and according 95% confidence intervals (CIs) between HBsAg loss and clinical outcomes.
Results: A total of 15,760 patients with CHB were included, among which 667 (4%) experienced HBsAg loss. Exposed patients were numerically older (median 49 vs 43 years of age) than unexposed patients and had numerically higher proportions of patients who were Caucasian (44% vs 20%), obese (32% vs 21%), and hypertensive (32% vs 18%). Over a median follow-up of 25 months in both cohorts, HBsAg loss was significantly associated with an 89% reduced risk of HCC (adjusted HR [aHR]: 0.11, 95% CI: 0.01–0.76) and a 62% reduced risk of ACM (aHR: 0.38, 95% CI: 0.20–0.74). Those with HBsAg loss also had a lower (but non-significant) risk of CC (aHR: 0.84, 95% CI: 0.52–1.35) and DLD (aHR: 0.74, 95% CI: 0.37–1.48).
Conclusion: HBsAg loss was associated with a lower risk of HCC and ACM in a diverse population of patients with CHB in the US. The risk of CC and DLD also appeared lower after HBsAg loss, but did not reach significance. Further investigation into sub-groups of interest is needed to better understand the potential impact of HBsAg loss on these outcomes.
Funding GSK, Study 223767

11:14 – 11:19

KV 158 Long-term kinetic of HBsAg proteins in patients with HBeAg-negative infection or hepatitis over up to 9 years

Maria Pfefferkorn

KV 158 Long-term kinetic of HBsAg proteins in patients with HBeAg-negative infection or hepatitis over up to 9 years

M. Pfefferkorn1, F.-L. Rößiger1, J. Seltmann1, M. Matz-Soja1,2, P. Colombatto3,4, A. Pinna3,4, T. Berg1, D. Glebe5, E. Degasperi6, M. Brunetto3,4, P. Lampertico6, F. van Bömmel1

1Division of Hepatology, Department of Medicine II, Leipzig University Medical Center, Leipzig, Deutschland, 2Rudolf-Schönheimer-Institute for Biochemistry, Leipzig University, Leipzig, Deutschland, 3University of Pisa, Dept of Clinical and Experimental Medicine, Pisa, Italien, 4Pisa University Hospital, Hepatology Unit and Laboratory of Molecular Genetics and Pathology of Hepatitis Viruses, Pisaits, Italien, 5Institute for Medical Virology, National Reference Centre for Hepatitis B viruses and Hepatitis D viruses, Justus Liebig University Giessen, Giessen, Deutschland, 6CRC „A. M. and A. Migliavacca“ Center for Liver Disease, Division of Gastroenterology and Hepatology, Fondazione IRCCS Cà Granda Ospedale Maggiore Policlinico, Università degli Studi di Milano, Milan, Italien

Background: Intrahepatic viral activity in patients with HBeAg-negative HBV infection (ENI) or chronic hepatitis B (CHB) has recently been linked to silened cccDNA activity after prolonged infection. While intrahepatic studies are of upmost importance, surrogate markers are in high demand. Lower ratios of large (LHBs) and middle (MHBs) HBsAg proteins have been associated with inactive HBV infection or treatment response.
Aim: We investigated the dynamics of HBsAg proteins during long-term treatment with Tenofovir Disoproxil Fumarate (TDF) or during spontaneous HBsAg loss in patients with chronic HBV infection.
Methods: Serum samples from two patient cohorts with either HBeAg-negative ENI (n=38) or CHB (n=96) were analyzed. The CHB cohort included patients prospectively enrolled during first-line (n=24, group A) or second-line (n=72, group B) TDF treatment. The untreated ENI cohort was retrospectively analyzed, including patients who either lost HBsAg spontaneously (n=19) or remained positive (n=19). HBsAg protein levels and viral markers were quantified at baseline and repeatedly every 1-3 years over up to 9 years.
Results: In CHB patients, median HBsAg (log ng/mL) slightly declined over time from 3.8 (group A) and 3.3 (group B) at baseline to 3.4 and 2.8 after 8 years, respectively (p=n.s.). Importantly, LHBs (%) decreased markedly from baseline values of 9.3% and 9.5% to 4.2% and 4.3% at 3 years, without further decline thereafter. MHBs (%) strongly declined from baseline (13.3% and 10.9%) to 3.7% and 3.0% at 8 years of TDF therapy.
Untreated ENI patients had significantly lower baseline HBsAg levels (log ng/mL: 3.0 with and 2.9 without HBsAg loss), LHBs (3.1% and 4.1%), and MHBs (1.2% and 1.3%) compared to CHB patients (p<0.001). During follow-up, total HBsAg, LHBs, and MHBs levels consistently declined in patients achieving HBsAg loss. Notably, MHBs dropped from 1.2% at baseline to 0.5% after 4-6 years, becoming undetectable early. Conversely, patients without HBsAg loss showed stable or slightly increased MHBs (1.3% to 3.3%) during follow-up.
Conclusion: Long-term TDF treatment in CHB patients led to significant declines in LHBs and MHBs percentages, reflecting reduced viral replication activity. Untreated ENI patients exhibited markedly lower baseline LHBs and MHBs levels, with spontaneous HBsAg loss accompanied by a pronounced decline of HBsAg proteins, particularly early disappearance of MHBs.

11:21 – 11:26

KV 159 Dose-dependent effects of neutralizing anti-HBs monoclonal antibody VIR-3434 on hepatitis B surface antigen composition

Maria Pfefferkorn

KV 159 Dose-dependent effects of neutralizing anti-HBs monoclonal antibody VIR-3434 on hepatitis B surface antigen composition

M. Pfefferkorn1, G. Camus2, A.L. Cathcart2, J. Seltmann1, T. Berg1, H. Imam2, A. Arizpe2, M. Matz-Soja1,3, F. van Bömmel1

1Division of Hepatology, Department of Medicine II, Leipzig University Medical Center, Leipzig, Deutschland, 2Vir Biotechnology, Inc., San Francisco, Vereinigte Staaten, 3Rudolf-Schönheimer-Institute for Biochemistry, Leipzig University, Leipzig, Deutschland

Introduction: Tobevibart (VIR-3434) is an investigational Fc-engineered human monoclonal antibody (mAb) targeting the conserved antigenic loop of HBsAg in development for the treatment of chronic hepatitis B (CHB). Recently, a decrease in large (L) and medium (M) HBsAg components during treatment with nucleos(t)ide analogues (NA) was found to be associated with subsequent HBsAg loss, indicating a likely association of MHBs and LHBs with cccDNA transcriptional activity.
Aim: We analyzed the effect of tobevibart, alone or in combination with NA, on the composition of HBsAg in the serum of patients with chronic hepatitis B.
Methods: Sera of 69 mostly HBeAg-negative patients from the prospective randomized VIR-3434-1002 phase I trial were retrospectively analyzed. Patients were divided in 3 cohorts: Part B (n=30; NA treatment ≥ 2 months prior to study + BL HBsAg levels <3000 IU/mL), Part C (n=23; NA treatment ≥ 2 months prior to study + BL HBsAg levels ≥3000 IU/mL) and Part D (n=16; not on NA, BL HBV DNA ≥ 1000 IU/mL, any HBsAg level) and received a single dose subcutaneous injection of either 6, 18, 75, or 300 mg of tobevibart at day 1 (BL). Serum HBsAg components were quantified on an automated platform (DiaSorin) with well-defined mAbs (LHBs [Ma18/7]; MHBs [Q19/10]; total HBsAg: [DiaSorin, Enzygnost HBsAg 6.0]) in sera of days 1, 8 and 57.
Results: At BL, levels of total HBsAg, MHBs, and LHBs were significantly lower in Part B compared to Part C or D, respectively (p<0.001). At day 8, levels of LHBs and MHBs decreased in all groups independent of the tobevibart dose, with Part B showing the strongest decline. However, the ratio of MHBs only decreased significantly in Part B from 3.8% at BL to 0% at day 8 (p<0.001) and slightly re-increased to 0.7% at day 57. In Part C and D, MHBs also decreased from 3.9 and 3.4% at BL to 1.4 and 2.1% after 8 days but re-increased to 4.3 and 6.1% at day 57 (p=n.s.). Moreover, treatment in Part B showed a dose-dependent effect on the decrease of LHBs and MHBs levels, with a single dose of 300 mg causing the strongest decrease in ratios of LHBs and MHBs.
Conclusion: A single dose of tobevibart added to NA treatment significantly suppressed LHBs and MHBs components in patients with baseline HBsAg levels below 3.000 IU/mL. Further investigation is needed to determine if this suppression indicates reduced cccDNA transcriptional activity, potentially predicting a functional cure with long-term tobevibart treatment.

11:28 – 11:33

KV 160 Exacerbation of hepatic damage and dysregulation of autophagy by S. mansoni in HBsAg-transgenic mice

Michelle Kuisat (Gießen)

KV 160 Exacerbation of hepatic damage and dysregulation of autophagy by S. mansoni in HBsAg-transgenic mice

M. Kuisat1, F. Stettler1, S. Kaur2, D. Glebe2, V. von Bülow1, C.G. Grevelding3, E. Roeb1, M. Roderfeld1

1Department of Gastroenterology, Justus Liebig University, Gießen, Deutschland, 2Institute of Medical Virology, National Reference Center for Hepatitis B Viruses and Hepatitis D Viruses, German Center for Infection Research (DZIF; Partner Site Giessen-Marburg-Langen), Justus Liebig University, Gießen, Deutschland, 3Institute of Parasitology, BFS, Justus Liebig University, Gießen, Deutschland

Background: Schistosomiasis, a parasitic helminth infection, affects over 250 million people worldwide. Blood-borne S. mansoni eggs either penetrate the gut wall to migrate into the lumen, or become trapped in blood capillaries such as liver sinusoids.
Chronic Hepatitis B infection causes hepatic inflammation and necrosis, ultimately leading to hepatocellular carcinoma (HCC) formation.
Coinfections with S. mansoni and hepatitis B virus (HBV) occur disproportionally often in endemic areas. This project aimed to investigate their combined effects on autophagy.
Methods: Transgenic (tg) mice expressing all three forms of the HBV surface proteins (collectively called HBsAg) were infected with S. mansoni at the age of 17 weeks. After 9 weeks of infection, the animals were sacrificed. Liver-to-body weight ratios and serum ALT levels were determined. The liver transcriptome was analyzed (NGS) and specific protein levels were quantified using western blotting. Results were compared to those of infected wt-mice, as well as non-infected wt- and tg-control animals.
Results: Male, but not female S. mansoni-infected, HBsAg-transgenic mice showed higher serum ALT levels than non-infected, transgenic animals. Transcriptomics depicted no regulation of the autophagy-related gene SQSTM1 between all groups. LC3 was upregulated in infected, tg-animals compared to wt-mice, with no differences in regulation between all other groups. On protein level, tg-animals exhibited elevated levels of p62, an autophagosome cargo protein, compared to all other groups. Additionally, S. mansoni infection of both wt- as well as tg-mice caused elevated LC3B2 levels compared to non-infected animals. Non-infected animals, on the other hand, showed higher levels of LC3B1 in wt- and tg-animals.
Conclusion: Higher liver-to-bodyweight ratios of infected tg-animals show an additive effect of both pathogens on hepatocellular damage. The male-specific increase in ALT levels indicates an even stronger exacerbation in male mice.
Furthermore, the downregulation of p62 in tg-animals as well as the shift from high LC3B1 to LC3B2 levels in both wt- and tg-animals caused by the infection with S. mansoni suggest a contrary effect of both pathogens on autophagy in a co-infection model.

11:35 – 11:40

KV 161 Overweight, but not alcohol is associated with increased risk for advanced liver disease in patients with chronic hepatitis C infection – results from the German hepatitis C-registry (Dhc-

Katharina L. Hupa-Breier (Hannover)

KV 161 Overweight, but not alcohol is associated with increased risk for advanced liver disease in patients with chronic hepatitis C infection – results from the German hepatitis C-registry (Dhc-

K.L. Hupa-Breier12, P. Buggisch9, H. Klinker14, S. Mauss1, R. Heyne2, K.-G. Simon3, T. Berg4, A. Geier14, H. Wedemeyer12,11, M. Rau14

1Hannover Medical School, Department of Gastroenterology, Hepatology, Infectious Diseases and Endocrinology, Hannover, Deutschland, 2ifi-Institute for Interdisciplinary Medicine, Hamburg, Deutschland, 3University of Würzburg Medical Center, Division of Infectious Diseases, Department of Internal Medicine II, Würzburg, Deutschland, 4Center for HIV and Hepatogastroenterology, Düsseldorf, Deutschland, 5Leberzentrum Checkpoint, Berlin, Deutschland, 6MVZ Gastroenterologie Leverkusen GbR, Leverkusen, Deutschland, 7Leipzig University Medical Center, Division of Hepatology, Department of Medicine II, Leipzig, Deutschland, 8Leberstiftungs-GmbH Deutschland, Hannover, Deutschland

Background and Aims: Obesity and alcohol are important risk factors for the development of liver cirrhosis. However, their impact in patients after chronic HCV infection (cHCV) remains unknown. Data are lacking weather the co-existence of both risk factors has a supra-additive effect on disease progression. We aimed to analyze the impact of obesity and alcohol consumption in cHCV patients.
Method: Patients from the German Hepatitis C-Registry were classified into four groups according to the presence of overweight (BMI≥25 vs. BMI<25) and the presence of alcohol consumption (none, vs. any alcohol). Primary endpoint was progression to liver cirrhosis. Secondary endpoint was mortality in combination with disease progression.
Results: In total, n=5967 patients were included after antiviral treatment. Patients with BMI≥25/no alcohol (O/nA) had an increased risk for progress of liver cirrhosis compared to BMI<25/ alcohol (L/A). In a multivariate analysis, obesity and diabetes were independent risk factors for disease progression (OR for BMI >35 2.833 (1.682-4.771), OR for diabetes 1.489 (1.004-2.208). O/nA patients also had an increased risk for overall mortality and disease progression compared to L/A. Multivariate analysis of the secondary endpoint identified again diabetes and obesity as the only independent cardiometabolic risk factors for disease progression and mortality. Interestingly, neither alcohol consumption alone nor in combination with obesity influences disease progression.
Conclusion: In conclusion, obesity increased the risk for disease progression after cHCV infection, while neither alcohol consumption alone nor in addition to obesity impacts disease progression. Therefore, weight management in patients after cHCV is important to prevent disease progression.

11:42 – 11:47

KV 162 Real-World Analyse von Patienten mit Voxilaprevir (VOX)/Velpatasvir (VEL)/Sofosbuvir (SOF) Therapieversagen: Ergebnisse des klinischen Follow-Ups

Julia Dietz (Frankfurt am Main)

KV 162 Real-World Analyse von Patienten mit Voxilaprevir (VOX)/Velpatasvir (VEL)/Sofosbuvir (SOF) Therapieversagen: Ergebnisse des klinischen Follow-Ups

J. Dietz1, C. Graf2,1, K. Deterding3, T. Böttler4, C.P. Berg5, K. Port3, G. Dultz1, J. Vermehren1, K.-H. Peiffer6, M. Düll7, L. Magenta8, C. Labenz9, J. Schulze zur Wiesch10, J. Schreiber11, R. Stauber12, B. Müllhaupt13, S. Hametner-Schreil14, H. Zoller15, A. Kremer13, S. Zeuzem1, C. Sarrazin1,16

1Universitätsklinikum Frankfurt, Medizinische Klinik 1, Frankfurt am Main, Deutschland, 2LMU München, Medizinische Klinik II, München, Deutschland, 3Medizinische Hochschule Hannover, Klinik für Gastroenterologie, Hepatologie, Infektiologie und Endokrinologie, Hannover, Deutschland, 4Universitätsklinikum Freiburg, Klinik für Innere Medizin II, Freiburg, Deutschland, 5Universitätsklinikum Tübingen, Innere Medizin I, Tübingen, Deutschland, 6Universitätsklinikum Münster, Medizinische Klinik B, Münster, Deutschland, 7Universitätsklinikum Erlangen, Medizinische Klinik 1, Erlangen, Deutschland, 8Fondazione Epatocentro Ticino, Lugano, Schweiz, 9Universitätsmedizin Mainz, I. Medizinische Klinik und Poliklinik, Mainz, Deutschland, 10Universitätsklinikum Hamburg-Eppendorf, I. Medizinische Klinik und Poliklinik, Hamburg, Deutschland, 11CHIREC Delta Hospital, Gastroenterology & Hepatology, Brüssel, Belgien, 12Medizinische Universität Graz, Abteilung für Gastroenterologie und Hepatologie, Graz, Österreich, 13Universitäts Spital Zürich, Klinik für Gastroenterologie und Hepatologie, Zürich, Schweiz, 14Ordensklinikum Linz Barmherzige Schwestern, Abteilung für Innere Medizin IV, Linz, Österreich, 15Medizinische Universität Innsbruck, Abteilung für Innere Medizin I, Innsbruck, Österreich, 16St. Josefs-Hospital, Medizinische Klinik 2, Wiesbaden, Deutschland

Einleitung und Ziele: Mit der Verfügbarkeit direkt antiviral wirksamer Substanzen (DAAs) ist die Elimination des Hepatitis C-Virus (HCV) zu einem realistischen Ziel geworden. Besondere Aufmerksamkeit gilt schwer zu behandelnden Patientengruppen, insbesondere solche mit mehrfachen Therapieversagen. Die Datenlage zu Effektivität einer Retherapie nach VOX/VEL/SOF-Versagen ist begrenzt. Ziel war es, den klinischen Verlauf dieser Patienten nachzuverfolgen und die Effektivität einer erneuten Retherapie zu evaluieren.
Methodik: Es wurden 1.456 Patienten mit DAA-Versagen analysiert, die zwischen 2014 und 2025 in die Europäische Resistenzdatenbank aufgenommen wurden. NS3, NS5A und NS5B wurden populationsbasiert sequenziert. Es wurden Resistenz-assoziierte Substitutionen (RASs) mit einer >2-fach erhöhten EC50 gegenüber DAAs analysiert. Klinische und virologische Parameter wurden retrospektiv erfasst.
Ergebnis: 32 Patienten hatten ein virologisches Versagen nach einer VOX/VEL/SOF-Retherapie. Davon waren 75% (24/32) männlich, das mediane Alter lag bei 57,6 Jahren. Eine Zirrhose lag bei 65% (21/32), ein hepatozelluläres Karzinom (HCC) bei 19 % (6/32) vor. 46 % (15/32) waren mit HCV Genotyp (GT3) infiziert, 28 % (9/32) mit GT1a, 22% (7/32) mit GT1b und ein Patient mit GT2a. Die meisten Patienten hatten eine Velpatasvir/Sofosbuvir (VEL/SOF)-Vortherapie erhalten (56%, 18/32), gefolgt von jeweils 13 % (4/32) mit Glecaprevir/Pibrentasvir (G/P) oder Grazoprevir/Elbasvir (GZR/EBR). Nach VOX/VEL/SOF-Versagen wurden bei 80% der Patienten RASs in NS5A nachgewiesen, am häufigsten L31M und Y93H; NS3 und NS5B RASs waren selten. 38% (12/32) der Patienten wurden aufgrund einer HCC-Progression, lost to follow-up oder Rückkehr ins Heimatland nicht erneut behandelt. Bei 62% (20/32) wurde eine Rescue-Therapie durchgeführt, am häufigsten mit G/P+SOF±RBV (75%, 15/20), gefolgt von G/P, VEL/SOF oder LDV/SOF. Bei drei Patienten konnten aufgrund von Tod oder lost keine SVR12 Daten erhoben werden. In der Per-Protokoll (PP)-Analyse erreichten 88% (15/17) eine SVR12. Zwei Patienten hatten ein virologisches Versagen nach einer suboptimalen VEL/SOF- oder LDV/SOF-Retherapie. Der Patient mit VEL/SOF-Therapieversagen erzielte schließlich eine SVR nach einer vierten Therapie mit G/P+SOF+RBV.
Schlussfolgerung: G/P+SOF stellt eine effektive Drittlinientherapie für schwer zu behandelnde Patienten dar, einschließlich solcher mit Zirrhose, HCV GT3 oder HCC mit einer SVR-Rate von 100% (PP) und 80% (ITT).

11:49 – 11:54

KV 163 The SVR10K Hepatitis C study: final results show 98.9% SVR in 7,000 patients treated with SOF/VEL in Asia, Latin America, Middle East, Nordics, and Southern Europe

Frank Tacke (Berlin)

KV 163 The SVR10K Hepatitis C study: final results show 98.9% SVR in 7,000 patients treated with SOF/VEL in Asia, Latin America, Middle East, Nordics, and Southern Europe

F. Tacke1, S. Aleman2, M.-L. Yu3, F. Higuera-de-la-Tijera4, J. Garcia-Samaniego5, M. Casado Martin6, G.L.-H. Wong7, M.R. Alvares-da-Silva8, J. Cabezas Gonzalez9, M. Castruita Garcia10, O. Beltran Galvis11, M. Alzaabi12, A. Chandak13, M. Martinez14, A. Khachatryan13, L. Chen15, C. Hernández16, K. Vanstraelen17, Y.J. Wong18

1Charité – Universitätsmedizin Berlin, Medizinische Klinik m. S. Hepatologie und Gastroenterologie, Berlin, Deutschland, 2Karolinska University Hospital, Stockholm, Schweden, 3National Sun Yat-sen University, Kaohsiung, Taiwan, 4Hospital General de México „Dr. Eduardo Liceaga“, Mexiko-Stadt, Mexiko, 5Hospital Universitario La Paz, Madrid, Spanien, 6Hospital de Torrecárdenas, Almeria, Spanien, 7Prince of Wales Hospital, Hong Kong, Hongkong, China, 8Hospital de Clinicas de Porto Alegre, Porto Alegre, Brasilien, 9Hospital Marques de Valdecilla, Santander, Spanien, 10Hospital General Regional, Tijuana, Mexiko, 11Fundación Cardioinfantil, Instituto Cardiología, Bogota, Kolumbien, 12Zayed Military Hospital, Abu Dhabi, Vereinigte Arabische Emirate, 13Certara Inc, Princeton, Vereinigte Staaten, 14Certara Inc, Madrid, Spanien, 15Gilead Sciences, Foster City, Vereinigte Staaten, 16Gilead Sciences, Madrid, Spanien, 17Gilead Sciences, Brüssel, Belgien, 18Singapore General Hospital, Singapur, Singapur

Background and Aims: A previously published real-world data analysis demonstrated high effectiveness of sofosbuvir/velpatasvir (SOF/VEL) in > 6,000 HCV patients from 12 clinical cohorts across Australia, Canada, Europe & USA. Irrespective of age, male patients were more likely to have advanced fibrosis and infection with HCV GT 3, and median time to treatment initiation was numerically shorter in male patients across the age spectrum. The aim of this large real-world analysis was to evaluate characteristics and outcomes in an expanded pool of HCV patients treated with SOF/VEL across regions globally.
Method: This analysis includes patients ≥ 18 years treated with SOF/VEL without ribavirin (RBV) for 12 weeks, as decided by the treating HCP, from 13 sites across Brazil, Colombia, Hong Kong, Mexico, Singapore, Spain, Sweden, Taiwan, and the United Arab Emirates. Baseline characteristics included age (in categories </≥50 yo), sex, being treatment experienced, presence of cirrhosis (F4, not decompensated), genotype, coinfections (HBV, HDV, HIV), time to treatment initiation (TTI) from HCV diagnosis, along with sustained virologic response rates (SVR). Final results of this study are presented.
Results: Overall, 7,027 patients were included, with a median age of 55 years [IQR 46-64], with patients over 50 y.o. representing two thirds (66%) of the overall population. Patients were mainly male (65%), with 72% females vs 62% males being ≥50 yo (p<0.001). HIV/HCV coinfection was more prevalent in males (5.8% vs 2.1%, p<0.001), as well as GT3 (35% vs 20%, p<0.001), these differences were seen mostly in males ≥50 yo. TTI with the HCV therapy was shorter in females, with 40% treated in the first month, as compared to 25% of males, for both above and under 50 yo (p<0.001). SVR was achieved in 98.9% of the treated population, with SVR rates ranging from 97.1% to 100% in all sites. SVR remained higher than 98% for males and females of all ages, and for patients with mental disorders or intravenous drug use. SVR remained higher than 97% in the concomitant presence of GT3 and a cirrhotic status.
Conclusion: Results on treatment effectiveness in diverse geographical regions did not differ from real world studies of patients in Western countries, reinforcing the effectiveness of pangenotypic/panfibrotic/pangeographic DAA therapy such as SOF/VEL and supporting the global applicability of HCV treatment guidelines.

11:56 – 12:01

KV 164 Differenzierung von Patienten mit chronischer HBV- und HDV-Infektion anhand massenspektrometrischer Bestimmung der Serumgallensäuren

Christopher Dietz-Fricke (Frankfurt am Main)

KV 164 Differenzierung von Patienten mit chronischer HBV- und HDV-Infektion anhand massenspektrometrischer Bestimmung der Serumgallensäuren

C. Dietz-Fricke1, T. More2, A.R.M. Kraft1,3,4, H. Lickei3, K. Deterding1, M. Cornberg1, K. Hiller2, H. Wedemeyer1,3,5

1Medizinische Hochschule Hannover, Klinik für Gastroenterologie, Hepatologie, Infektiologie und Endokrinologie, Hannover, Deutschland, 2TU Braunschweig, Braunschweig Integrated Center of Systems Biology, Braunschweig, Deutschland, 3Deutsches Zentrum für Infektionsforschung (DZIF), Campus Hannover-Braunschweig, Braunschweig, Deutschland, 4Mediznische Hochschule Hannover, Exzellenzcluster RESIST (EXC 2155), Hannover, Deutschland, 5D-SOLVE Consortium, ein EU Horizon Europe finanziertes Projekt, Hannover, Deutschland

Einleitung: Gallensäuren sind wesentliche Regulatoren hepatischer Inflammation. Sie spielen auch in der Genese viraler Hepatitiden eine Rolle, da Hepatitis B und D-Viren (HBV/HDV) zur Aufnahme in den Hepatozyten auf den Gallesalztransporter NTCP angewiesen sind. Neben entzündlichen Prozessen könnte die Interaktion der Viren mit NTCP zu einer Veränderung der Serumgallensäuren führen.
Ziele: Durch Analyse der Serumgallensäuren, inflammatorischer Zytokine und klinischer Parameter soll eine detaillierte Phänotypisierung von Patienten mit chronischer HBV- und HDV-Infektion erfolgen. Gallensäuren sollen als potenzielle Biomarker für Krankheitsaktivität und -schwere evaluiert werden.
Methodik: Routinelabortests einschließlich der HDV-RNA-PCR erfolgten im lokalen Labor. Die Analyse der Gallensäuren erfolgte anhand einer Flüssigchromatographie- und Massenspektrometrie (LC-MS). Deuterium-markierte Standards ermöglichten die genaue Identifizierung der einzelnen Verbindungen. Plasma-Zytokine und -Chemokine wurden mit dem Bio-Plex Pro Human Cytokine Screening Panel gemessen. Die statistische Analyse wurde mit R Studio durchgeführt. Statistische Signifikanz wurde angenommen, wenn p <0,05.
Ergebnis: In die Untersuchung wurden 33 HBV- und 40 HDV-Patienten eingeschlossen (Tab. 1). Bei HDV-Patienten war das Verhältnis primärer und sekundärer Gallensäuren zugunsten der primären verschoben (Abb. 1). Außerdem zeigten sich IL18, CXCL9, CXCL10 und heaptocyte growth factor (HGF) bei HDV gegenüber HBV erhöht. Ferner zeigte sich, dass insbesondere die konjugierten primären Gallensäuren TCA und TCDCA bei HDV erhöht sind. TCA zeigte sich zudem positiv mit AST (r=0.42, p=0.02) und deutlich mit HGF (r=0.67, p <0.001) korreliert. Ein Zusammenhang mit HDV-RNA oder HBsAg zeigte sich nicht.
Schlussfolgerung: Das Profil der Serumgallensäuren unterscheidet sich zwischen HDV- und HBV-Patienten. Insbesondere TCA zeigt sich bei HDV gegenüber HBV erhöht. Die Korrelation mit AST deutet einen Zusammenhang mit vermehrter Inflammation an. Das Zytokin HGF beeinflusst unter anderem die Geweberegeneration. Möglicherweise zeigt die Korrelation von HGF und TCA das Ausmaß hepatischer Schädigung und den entsprechenden hepatischen Regenerationsbedarf bei HDV an. Entsprechende funktionelle Untersuchungen sind hier angezeigt. Neben einem potenziellen Mehrwert als Biomarker können Serumgallensäuren auch zu einem verbesserten Krankheitsverständnis und der Generierung neuer Hypothesen beitragen.

Tabelle 1. Patientencharakteristika
Charakteristika aller eingeschlossener Patienten (n=73). ALT und AST sowie Thrombozytenzahlen deuten auf eine vermehrte hepatische Erkrankungsaktivität bei HDV-Patienten hin. Gruppenvergleiche erfolgten mittels Wilcoxon-signed-rank Test bei numerischen Daten und Chi-Square-Test bei kategorischen Variablen. Statistische Signifikanz wurde bei p<0,05 angenommen.
Abbildung 1. Übersicht über Veränderungen des Gallensäureprofils bei Patienten mit HDV-Koinfektion im Vergleich zu HBV-Monoinfektion Schematische Darstellung der Veränderungen in der Zusammensetzung primärer und sekundärer Gallensäuren. Statistisch signifikante Unterschiede zwischen HBV- und HDV-Patienten sind in fett hervorgehobenen. Pfeile kennzeichnen die Richtung einer Veränderung. Statistische Signifikanz wurde angenommen, wenn p < 0.05.

12:03 – 12:08

KV 165 Zufriedenheit und Handhabung der täglichen subkutanen Bulevirtid-Injektion bei 115 Patienten mit chronischer Hepatitis D

Toni Herta (Berlin)

KV 165 Zufriedenheit und Handhabung der täglichen subkutanen Bulevirtid-Injektion bei 115 Patienten mit chronischer Hepatitis D

T. Herta1,2,3, C. Dietz-Fricke4, M. Demir5, K. Sprinzl6, K.-H. Pfeiffer7, J.M. Grottenthaler8, P. Buggisch9, W.M. Kremer10, F.P. Reiter11, A. Geier11, C. Schramm12, U. Merle13, C. Neumann-Haefelin14, F. Tacke5, T. Berg3, H. Wedemeyer4, K. Deterding4, J. Wiegand15

1Charité – Universitätsmedizin Berlin, Medizinische Klinik mit Schwerpunk Hepatologie und Gastroenterologie, Berlin, Deutschland, 2Berlin Institute of Health an der Charité – Universitätsmedizin Berlin, BIH Biomedical Innovation Academy, BIH Charité Clinician Scientist Programm, Berlin, Deutschland, 3Universitätsklinikum Leipzig, Medizinische Klinik II, Sektion für Hepatologie, Leipzig, Deutschland, 4Medizinische Hochschule Hannover, Klinik für Gastroenterologie, Hepatologie, Infektiologie und Endokrinologie, Hannover, Deutschland, 5Charité – Universitätsmedizin Berlin, Medizinische Klinik mit Schwerpunkt Hepatologie und Gastroenterologie, Berlin, Deutschland, 6Universitätsklinikum der Goethe-Universität, Medizinische Klinik 1, Frankfurt, Deutschland, 7Universitätsklinikum Münster, Klinik für Innere Medizin B, Münster, Deutschland, 8Universitätsklinikum Tübingen, Klinik für Gastroenterologie, Gastrointestinale Onkologie, Hepatologie, Infektiologie und Geriatrie, Tübingen, Deutschland, 9Ifi-Institut für interdisziplinäre Medizin, Hamburg, Deutschland, 10Universitätsmedizin der Johannes Gutenberg-Universität, I. Medizinische Klinik, Mainz, Deutschland, 11Universitätsklinikum Würzburg, Medizinische Klinik II, Sektion Hepatologie, Würzburg, Deutschland, 12Universität Duisburg-Essen Medizinische Fakultät, Klinik für Gastroenterologie, Hepatologie und Transplantationsmedizin, Essen, Deutschland, 13Universitätsklinikum Heidelberg, Klinik für Innere Medizin IV, Heidelberg, Deutschland, 14Universitätsklinikum Freiburg, Medizinische Klinik II, Freiburg, Deutschland, 15Universitätsklinikum Leipzig, Medizinische Klinik II, Sektion für Hepatologie, Leipzig, Leipzig, Deutschland

Einleitung: Bulevirtid (BLV) ist derzeit die einzige zugelassene Therapie für Erwachsene mit chronischer Hepatitis D (CHD) und kompensierter Lebererkrankung. Die tägliche subkutane Injektion und notwendige Kühlung stellen potenzielle Hürden im Alltag dar. Zusätzlich liegen häufig sprachliche Barrieren vor.
Ziele: Ziel dieser multizentrischen Studie war die Erfassung von Problemen bei der Handhabung der täglichen BLV-Injektion, der Patientenzufriedenheit sowie deren Zusammenhang mit dem virologischen Therapieansprechen.
Methodik: Zwischen 01/2024 und 02/2025 wurden Patienten mit CHD an 12 hepatologischen Zentren in Deutschland rekrutiert. Basierend auf einem Patientenfragebogen sowie klinischen Daten wurde Injektionsvorbereitung, Injektionsdurchführung, Kühlung, Nebenwirkungen und Sprachkompetenz erfasst. Die virologische Therapieantwort wurde anhand der HDV-RNA-Kinetik klassifiziert: komplett (HDV RNA unterhalb der Nachweisgrenze), partiell (Reduktion > 2 Log-Stufen), keine Antwort (Reduktion < 2 Log-Stufen) oder virologischer Durchbruch (Wiederanstieg nach initialer Reduktion um > 2 Log-Stufen).
Ergebnisse: 115 Patienten (64 % männlich, medianes Alter 48 Jahre; 56 % mit Zirrhose; 87% mit BLV Therapiedauer >6 Monate; 46,7 % mit vorheriger Interferon-Behandlung) wurden eingeschlossen. 99 % der Patienten stammten aus Ländern außerhalb Deutschlands; 57,9 % verfügten über gute, 24,5 % über ausreichende, 13 % über schlechte und 4,3 % über keine Deutschkenntnisse. Schwierigkeiten bei der Injektionsvorbereitung, Injektionsdurchführung oder Kühlung wurden von 17,3 %, 25,2 % bzw. 27,8 % berichtet. Patienten mit virologischem Nichtansprechen oder virologischem Durchbruch berichteten signifikant häufiger über Schwierigkeiten bei der Injektionsdurchführung (56 % vs. 16,8 %, p = 0,0002), während kein Unterschied in Bezug auf die Injektionsvorbereitung oder Kühlung bestand. 81,7 % waren mit der praktischen Anwendung, 93,9 % mit der Verträglichkeit der Therapie zufrieden. Gute Deutschkenntnisse waren mit höherer Zufriedenheit bei der Anwendung assoziiert (p = 0,0067). Zufriedene Patienten mit der praktischen Anwendung der täglichen Injektion zeigten häufiger eine komplette oder partielle virologische Antwort (86 % vs. 42,8 %, p = 0,0001).
Schlussfolgerung: Die tägliche Anwendung von BLV ist in der klinischen Praxis meist gut handhabbar. Schwierigkeiten bei der Injektion und unzureichende Sprachkompetenz beeinflussen jedoch die subjektive Zufriedenheit und möglicherweise auch den Therapieerfolg.

12:10 – 12:15

KV 166 Acute hepatitis E virus infection is a relevant cause of decompensation and acute-on-chronic liver failure in patients with liver cirrhosis

Christian Niehaus (Hannover)

KV 166 Acute hepatitis E virus infection is a relevant cause of decompensation and acute-on-chronic liver failure in patients with liver cirrhosis

C. Niehaus1,2,3, K. Dinkelborg1,2,4, B. Bremer1, C. Wundes2, A. Tiede1, N. Petruch1, K. Deterding1, A.R. Kraft1,2,3, M. Cornberg1,2,3, H. Wedemeyer1,2,4, P. Behrendt1,2,4, B. Maasoumy1,4

1Medizinische Hochschule Hannover, Klinik für Gastroenterologie, Hepatologie, Infektiologie und Endokrinologie, Hannover, Deutschland, 2Twincore, Zentrum für Experimentelle und Klinische Infektionsforschung, Hannover, Deutschland, 3Zentrum für Individualisierte Infektionsmedizin (CiiM), Hannover, Deutschland, 4Deutsches Zentrum für Infektionsforschung (DZIF), Hannover-Braunschweig, Deutschland

Background: Hepatitis E virus (HEV) infections typically remain asymptomatic in most immunocompetent individuals. However, patients with pre-existing liver disease face an increased risk of suffering from acute-on-chronic liver failure.
Aims: This study seeks to explore the prevalence and consequences of HEV infection in individuals with liver cirrhosis. By examining this relationship, the research aims to clarify how acute HEV infection may influence disease progression and severity in this vulnerable population.
Methods: We established a large cohort of patients with advanced liver cirrhosis, and measured anti-HEV-IgG (n=332) to explore the prevalence of past HEV infection and the susceptibility for future infections in this patient group. Next, we examined 249 sera from 184 cirrhotic patients obtained during individual episodes of acute hepatic decompensation for anti-HEV-IgM and HEV-RNA in order to analyze the relevance of acute HEV infection as triggering event. Finally, we retrospectively analyzed all consecutive patients who were hospitalized in Hannover Medical School, northern Germany, due to acute HEV infection between 2014 and 2024 to analyze the course of the infection in this vulnerable group.
Results: The prevalence of anti-HEV-IgG in patients with advanced liver cirrhosis was found to be 32.8% (109 out of 332). Among the 249 sera obtained during acute hepatic decompensation, two samples were positive for HEV-RNA, with one case remaining unrecognized during hospitalization. Furthermore, ten patients, including both HEV-RNA positive patients, tested positive for anti-HEV-IgM, suggesting recent HEV infection. This amounts to 4% (10/249) of hospitalizations due to acute hepatic decompensation being linked to recent HEV infection in our cohort. Over the past decade, 32 patients with liver cirrhosis who were hospitalized due to acute HEV infection were identified. Among these patients, 16 (50%) experienced acute-on-chronic liver failure (ACLF), resulting in five fatalities (31.3%) and three individuals (18.8%) requiring liver transplantation for survival.
Conclusions: These results delineate, that patients with advanced liver cirrhosis are at risk of acute HEV infection and acute HEV infection is a relevant cause leading to ACLF with high mortality in these patients.

Kurzvortragssitzung

Hernien

11:52 – 13:09

Do 18.09.

Seminarraum 14 + 15

Open Accordion - Icon Close Accordion - Icon

Vorsitz: Rudolf Goller (Falkensee) und Kirsten Meurer (Bochum)

11:52 – 11:57

KV 332 Robotische Hiatushernienchirurgie mittels CMR-Versius-System: Erste Erfahrungen und Ergebnisse

Yusef Moulla

KV 332 Robotische Hiatushernienchirurgie mittels CMR-Versius-System: Erste Erfahrungen und Ergebnisse

Y. Moulla1, C. Deutschmann1, T. Mehlhorn1, L. Mirow1

1Klinikum Chemnitz, Allgemein- und Viszeralchirurgie, Chemnitz, Deutschland

Hintergrund: Die minimalinvasive Hiatushernienreparatur hat sich als bevorzugte Therapieoption bei Patienten mit gastroösophagealer Refluxkrankheit und gutem Ansprechen auf Protonenpumpeninhibitoren (PPI) etabliert. Die robotische Hiatushernienchirurgie stellt ein neues Verfahren im Bereich der Antirefluxchirurgie dar und bietet potenzielle Vorteile hinsichtlich Präzision und Ergonomie.
Methoden: In dieser Videopräsentation berichten wir über unsere ersten Erfahrungen mit der robotischen Hiatushernienreparatur mittels des CMR-Versius-Systems. Schwerpunkt ist die operative Technik bei der Behandlung großer paraösophagealer Hiatushernien. Zusätzlich präsentieren wir erste Ergebnisse hinsichtlich Operationszeit, Andockzeit sowie postoperativer Komplikationen.
Ergebnisse: Bei insgesamt 20 operierten Patienten betrug die mittlere Operationszeit 157,4 Minuten. Die durchschnittliche Andockzeit lag bei 16,1 Minuten, die reine Robotikzeit bei 111,2 Minuten. In zwei Fällen traten postoperative Komplikationen auf, jeweils Grad I nach der Clavien-Dindo-Klassifikation (Hautemphysem und Pneumomediastinum), in allen anderen Fällen verlief der postoperative Verlauf komplikationslos.
Schlussfolgerung: Die roboterassistierte Hiatushernienreparatur mit dem CMR-Versius-System erscheint als sichere und technisch durchführbare Methode zur Versorgung großer paraösophagealer Hernien. Die initialen Ergebnisse zeigen akzeptable Operationszeiten, kurze Andockzeiten und eine niedrige Komplikationsrate. Zur Beurteilung der Effektivität und potenzieller Vorteile gegenüber konventionellen Verfahren sind jedoch prospektive Studien mit größeren Fallzahlen und standardisierten Evaluationskriterien erforderlich.

11:59 – 12:04

KV 333 Robotische Antirefluxchirurgie – Hype oder Überlegenheit? Analyse der OP-Zeiten bei Rezidiv-Eingriffe und Netzaugmentation im Vergleich zur laparoskopischen Antirefluxchirurgie

Salome Breidenbach (Leipzig)

KV 333 Robotische Antirefluxchirurgie – Hype oder Überlegenheit? Analyse der OP-Zeiten bei Rezidiv-Eingriffe und Netzaugmentation im Vergleich zur laparoskopischen Antirefluxchirurgie

S. Breidenbach1, P. Rhode1, R. Nowotny1, P. Plum1, S. Stelzner1, M. Mehdorn1, S. Niebisch1

1Universitätsklinikum Leipzig, Klinik und Poliklinik für Viszeral-, Transplantations-, Thorax- und Gefäßchirurgie, Leipzig, Deutschland

Einleitung: In Deutschland leiden ca. 15–20 % der Bevölkerung an Symptomen der gastroösophagealen Refluxkrankheit (GERD). Etwa 15.000 Refluxoperationen werden allein in Deutschland jährlich durchgeführt. Der minimalinvasive Zugang gilt als Goldstandard, unterscheidet sich jedoch hinsichtlich des laparoskopischen (LARS) versus robotischen (RARS) Vorgehens. RARS wird häufig mit längeren OP-Zeiten und höheren Kosten bei vergleichbaren Ergebnissen assoziiert.
Ziel: Ziel war die Analyse des Einflusses von Rezidiv-OPs, Netzaugmentation und Operateur auf die OP-Zeiten bei LARS und RARS.
Methodik: Insgesamt wurden 280 konsekutive Fälle eingeschlossen (LARS: 56 J, SD 15, w 46 %; RARS: 61 J, SD 13, w 49 %), die zwischen 01/2018 und 12/2024 eine minimalinvasive Antirefluxoperation erhielten. Verglichen wurden OP-Zeiten zwischen LARS und RARS, sowie Subgruppen (Netzaugmentation, Rezidiv, Fundoplikatio). Nach ln-Transformation der OP-Zeit (Normalverteilung gegeben) erfolgten Gruppenvergleiche mittels t-Test. Zusätzlich wurde eine lineare Regressionsanalyse durchgeführt (Signifikanzniveau p<0,05).
Balkendiagramme der Subgruppen

Ergebnisse

Boxplots der Operationszeit in Minuten, dargestellt nach verschiedenen Subgruppen
Ergebnis: Die mediane OP-Zeit betrug 107 Minuten (IQR: 78–128).
Es zeigte sich kein signifikanter Unterschied der OP-Zeit zwischen LARS und RARS – auch nicht in bereinigten Subgruppen. Die Fundoplikatio selbst hatte keinen Einfluss.
Netzaugmentation und Rezidive waren univariat signifikant mit längerer OP-Zeit assoziiert (je p<0,001).
Die multivariate Regression war signifikant (p<0,001; R²=0,121). Netzimplantation (B=0,188; 95 %-KI: 0,050–0,326; p=0,008) und der Operateur (B=0,064; 95 %-KI: 0,024–0,104; p=0,002) blieben signifikante Prädiktoren. Der Rezidivstatus verlor in der Regression seine Signifikanz (p=0,185), vermutlich infolge starker Korrelation mit der Netzaugmentation.

Forest Plot der linearen Regression zur ln-transformierten OP-Zeit
Schlussfolgerung: Entgegen publizierter Daten zeigen sich vergleichbare OP-Zeiten für LARS und RARS. Wesentliche Einflussfaktoren auf die OP-Dauer sind die Netzaugmentation sowie der ausführende Operateur.

12:06 – 12:11

KV 334 UPDATE-24: Ergebnisse eines Fragebogens zu Erfahrungen in der Antirefluxchirurgie in Deutschland

Jessica Leers

KV 334 UPDATE-24: Ergebnisse eines Fragebogens zu Erfahrungen in der Antirefluxchirurgie in Deutschland

K. Burmeister1, K. Schwarz1, J. Faber-Mertens1, M. Petersen1, C. Fuchs1, E. Eypasch1, M. Maus1, C. Bruns2, J. Leers1

1Evangelisches Krankenhaus Köln Kalk, Klinik für Funktionelle OGI Chirurgie, Köln, Deutschland, 2Uniklinik Köln, Köln, Deutschland

Einleitung: Die gastroösophageale Refluxkrankheit (GERD) stellt eine weit verbreitete und erhebliche gesundheitliche Belastung dar. Patient*innen mit persistierenden Beschwerden trotz Medikation, Komplikationen einer GERD oder dem Wunsch keine Medikamente mehr einzunehmen, kommt eine operative Antirefluxmaßnahme in Frage. Obwohl es laut der deutschen S2k Leitlinie Empfehlungen zu den präoperativen Untersuchungen gibt, besteht nach wie vor Unklarheit in vielen Aspekten des perioperativen Managements. Weiterhin besteht kein Konsens über die optimale Technik der Antirefluxchirurgie.
Ziele: Ziel dieser Studie war es, den aktuellen Stand des perioperativen Managements bei Antirefluxchirurgie zu erfassen.
Methodik: Bei dieser Studie handelt es sich um eine prospektive, monozentrische Studie (UPDATE-24), die anhand einer Umfrage durchgeführt wurde. Die Entwicklung der Umfrage basierte auf der englischen ARROW-Studie unter Berücksichtigung der Empfehlungen der deutschen S2k-Leitlinie.
Ergebnisse: Insgesamt nahmen 57 Kliniken aus ganz Deutschland an der Umfrage teil. Mehr als die Hälfte der Teilnehmenden (56%) arbeitete in Zentren, Krankenhäusern der Maximalversorgung oder Universitätskliniken. Im Median führten 3 (Bereich: 1–12) Viszeralchirurg*innen pro Abteilung Antirefluxchirurgie durch. Von den 57 Kliniken gaben 13 (22%) an, dass in ihrer eigenen Abteilung präoperative Untersuchungen durchgeführt würden. In den meisten Fällen (73%) wurde die Funktionsdiagnostik des Ösophagus (pH-Metrie, hochauflösende Manometrie) von einer anderen Abteilung derselben Einrichtung durchgeführt. Fast alle Kliniken betrachteten eine Form der Fundoplicatio als Goldstandard bei bestätigter GERD. Insgesamt gaben 23 Befragte (40%) an, eine Gastropexie mit Hiatoplastik durchgeführt zu haben. Die am häufigsten angewandte Fundoplicatio war die posteriore 270°-Toupet-Manschette (54%), gefolgt von der 360°-Nissen-Manschette (31%). Die meisten Kliniken (81 %) gaben an, die Aa. gastricae breves routinemäßig (49%) oder selektiv (32 %) zu durchtrennen. Immerhin 12% der Chirurg*innen führten keine Dissektion der Aa. Gastricae breves durch.
Schlussfolgerung: Obwohl hinsichtlich des postoperativen Managements der GERD weitgehend Einigkeit besteht, lassen sich in der Versorgungspraxis Unterschiede im Ausmaß der angewendeten evidenzbasierten Maßnahmen bei Patientinnen nach Antirefluxchirurgie beobachten.

12:13 – 12:18

KV 335 Die robotische eTEP-Rekonstruktion von ventralen Bauchdeckenhernien mit dem Hugo RAS – OP-Technik und erste Ergebnisse

Kirsten Meurer (Bochum)

KV 335 Die robotische eTEP-Rekonstruktion von ventralen Bauchdeckenhernien mit dem Hugo RAS – OP-Technik und erste Ergebnisse

K. Meurer1, W. Uhl1, O. Belyaev1

1St. Josef Hospital, Katholisches Klinikum Bochum, Universitätsklinik für Allgemein- und Viszeralchirurgie, Bochum, Deutschland

Einleitung: Die weltweite Erfahrung mit dem neuartigen Hugo RAS bei dem robotisch-assistierten Bruchlückenverchluss von epigastrischen, inzisionalen und Nabelhernien mit oder ohne begleitende Rektusdiastase ist sehr begrenzt. Standardisierte OP-Technik und Konfigurationssetup fehlen.
Ziele: Beschreibung unserer initialen Erfahrung mit dem Hugo RAS bei der Versorgung ventraler Bauchwandhernien.
Methodik: Die ersten 20 Patienten mit ventralen Bauchwandhernien, operiert mit dem Hugo RAS wurden retrospektiv analysiert. Alle Patienten gaben ihr schriftliches Einverständnis mit dem Hugo operiert zu werden.
Ergebnis: Unser Standard-Setup ist in Abb. 1 und 2 gezeigt. Bipolargrasper und Monopolarschere, sowie Nadeltreiber werden als robotische Instrumente benutzt. Nahtmaterial und Netz werden vom Tisch-Assistenten eingebracht. Die Operation wird ohne Redocking durchgeführt.
Es wurden bei 14 Männern und 6 Frauen im Alter von 54±14 insgesamt 12 epigastrischen und 8 Narbenhernien operiert mit einem mittleren Durchmesser von 5±3 cm. Nebenbefundlich bestand bei 7 Patienten noch eine Nabelhernie und bei 11 Patienten eine unterschiedlich ausgeprägte Rektusdiastase. BMI lag bei 28±5 kg/m².
Es gab keine technischen Ausfälle und keine Konversionen. Die ersten 5 Patienten wurden mit lateralem Zugang in rvTAPP Technik, alle weitere Eingriffe wurden in dem medialen bottom-up eTEP Approach als Standard durchgeführt. Die mediane Dockingzeit, Konsolenzeit und gesamte OP-Zeit lagen bei 6±4, 122±36 und 180±42 Minuten. Alle Zeiten haben sich im Verlauf reduziert. Es gab keine intra- oder postoperativen Komplikationen. Drainagen wurden am 2. Postoperativen Tag entfernt. Die mediane Verweildauer lag bei 3 (2-5) Tagen. Alle Patienten waren mit dem kosmetischen Ergebnis zufrieden. Die kurzfristige Nachverfolgung ergab keine Rezidive in den ersten 6 Monate postoperativ.
Schlussfolgerung: Die retromuskuläre robotisch-assistierte Netz-Rekonstruktion mit der neuartigen Hugo RAS Plattform ist sicher, effizient und gut geeignet für kombinierte ventrale Bauchwandhernien. Die langfristigen Ergebnisse und die Kostenanalyse sollen in größeren Kollektiven zukünftig analysiert werden.

Abbildung 1

Abbildung 2

Op-Setup für Hugo-eTEP

12:20 – 12:25

KV 336 Aktuelle Expertenmeinungen in Deutschland zum operativen Vorgehen, zur postoperativen Belastung und zur postoperativen Krankschreibung bei Leistenhernien

Andrei Kuchynski (Chemnitz)

KV 336 Aktuelle Expertenmeinungen in Deutschland zum operativen Vorgehen, zur postoperativen Belastung und zur postoperativen Krankschreibung bei Leistenhernien

A. Kuchynski1, C. Oedingen2, L. Mirow3, H. Rudolph1, H. Schrem3

1Zeisigwaldkliniken Bethanien, Allgemein- und Viszeralchirurgie, Chemnitz, Deutschland, 2University of Calgary, Cumming School of Medicine, Department of Community Health Sciences, Calgary, Kanada, 3Klinikum Chemnitz, Allgemein- und Viszeralchirurgie, Chemnitz, Deutschland

Einleitung: In Deutschland werden ca. 275.000 Leistenbrüche pro Jahr operiert. Hierbei kommt eine Vielzahl verschiedener Verfahren zum Einsatz. Empfehlungen zur besten operativen Methode, zur postoperativen Belastbarkeit und zur Dauer der postoperativen Krankschreibung variieren erfahrungsgemäß sehr stark.
Ziele: Erfassung der aktuellen Expertenmeinungen in Deutschland zum operativen Vorgehen, zur postoperativen Belastung und zur postoperativen Krankschreibung.
Methodik: Deskriptive paper-pencil-Umfrage unter den teilnehmenden Chirurgen der Jahrestagung der Deutschen Herniengesellschaft im Oktober 2024.
Ergebnisse: Die befragen Chirurgen (n=204) verfügten in der Mehrzahl über mehr als 20 Jahre Erfahrung in der Chirurgie (59,3%). 78,9% gaben an, mehr als 300 Leistenhernienoperationen durchgeführt zu haben. 57,6% der Chirurgen gaben an, in den letzten 12 Monaten überwiegend laparoskopische Verfahren (TAPP-Methode: 65,6%; TEP-Methode: 32,2%) angewendet zu haben, während 9,9% der Chirurgen überwiegend offene chirurgische Methoden (Lichtenstein-Methode: 87,4%) durchgeführt haben. Lediglich 7 von 204 der befragten Chirurgen haben robotisch-assistierte Verfahren angewendet (TAPP: 85,7%, TEP: 14,3%).
47,3% der Chirurgen gaben an, dass das Operationsverfahren keinen Einfluss auf ihre Empfehlungen zur postoperativen Belastung habe. Bei 70,4% der Chirurgen hat die Art der Berufstätigkeit der Patienten und bei 51,7% das Auftreten von postoperativen Komplikationen einen Einfluss auf die postoperativen Empfehlungen. Die Mehrheit (75,0%) empfiehlt Begrenzungen des anzuhebenden Gewichtes und lediglich 22,0% eine sofortige Belastung bis zur Schmerzgrenze.
49,5% empfehlen eine postoperative Krankschreibung von 10-14 Tagen, 9,2% eine Krankschreibung von 3-5 Tagen und 11.2% eine Krankschreibung von 2-3 Wochen.
Schlussfolgerungen: Die Ergebnisse der Umfrage verdeutlichen eine große Heterogenität in den Empfehlungen zur postoperativen Belastbarkeit und Krankschreibung nach Leistenhernienoperationen. Diese Heterogenität erschwert eine klare und verlässliche Patientenberatung. Daraus ergibt sich ein dringender Bedarf an konsensbasierten, evidenzgestützten Leitlinien, um die postoperative Versorgung zu vereinheitlichen und die Versorgungsqualität zu verbessern.

12:27 – 12:32

KV 337 Einfluss einer vorangegangenen Prostatektomie auf die total extraperitoneale Patch-Plastik (TEPP): Eine retrospektive Vergleichsstudie

Aristodemos Kounnamas

KV 337 Einfluss einer vorangegangenen Prostatektomie auf die total extraperitoneale Patch-Plastik (TEPP): Eine retrospektive Vergleichsstudie

M. Jasem1, A. Kounnamas1, M.K. Walz1

1KEM | Evang. Kliniken Essen-Mitte, Klinik für Chirurgie & Minimal Invasive Chirurgie, Essen, Deutschland

Hintergrund: Voroperationen im Unterbauch stellen eine technische Herausforderung für die minimalinvasive Leistenhernienversorgung dar, insbesondere nach Prostatektomie. Ziel dieser Studie ist Machbarkeit und Sicherheit prostatektomierten Patienten im Vergleich zu einer Kontrollgruppe ohne Voroperationen zu untersuchen.
Methodik: Im Zeitraum von 2009 bis 2025 wurden zwei Gruppen mit jeweils 100 männlichen Patienten retrospektiv nach TEPP untersucht. In die erste Kohorte wurden alle 100 Patienten (Alter: 72,1 ± 8,14 Jahre) mit Zustand nach Prostatektomie aus dem Beobachtungszeitraum eingebracht. Als Vergleichsgruppe wurden 100 Patienten (Alter: 71,1 ± 13,5 Jahre) aus demselben Zeitraum ohne Prostatektomie im Sinne einer matched-pairs-Analyse ausgewählt. Erfasst und ausgewertet wurden Operationsdauer, Komplikationsrate, Konversionsrate, Rezidivrate, postoperative Sekretmenge, stationäre Verweildauer, Lokalisation und Typ der Hernie.
Ergebnisse: Die Operationsdauer war in der Prostatektomie-Gruppe signifikant länger (53,7 ± 20,5 min vs. 32,9 ± 12,6 min; p < 0,001), ebenso die postoperative Sekretmenge (58,9 ± 60,3 ml vs. 24,1 ± 23,1 ml; p < 0,001) und die stationäre Verweildauer (2,1 ± 0,4 Tage vs. 1,93 ± 0,29 Tage). Die Komplikationsrate lag in beiden Gruppen bei 3 %, jedoch erforderte ein Patient der Prostatektomie-Gruppe eine Bluttransfusion (Clavien-Dindo IIIb). Chronische Leistenschmerzen wurden in 3 % der Prostatektomie- und 1 % der Kontrollgruppe berichtet. Konversionen traten ausschließlich in der Prostatektomie-Gruppe auf (2 %), die Rezidivrate betrug in beiden Gruppen 1 %. Indirekte Hernien dominierten in der Prostatektomie-Gruppe (98 % vs. 60 %). Eine zusätzliche Nabelhernie wurde bei 14 % bzw. 13 % diagnostiziert. Eine Antikoagulation bestand bei 17 % der prostatektomierten Patienten und 13 % der Kontrollgruppe.
Schlussfolgerung: Die TEPP ist auch bei Patienten mit vorausgegangener Prostatektomie ein sicheres und effektives Verfahren zur Versorgung der Leistenhernie. Trotz technischer Herausforderungen durch Voroperationen sind die Komplikations- und Rezidivraten vergleichbar. Allerdings erfordert die Operation bei diesen Patienten eine längere Operationszeit und spezielle chirurgische Erfahrung.

12:34 – 12:39

KV 338 Evaluating the learning curve of Dexter-assisted rTAPP: feasibility, safety, and early outcomes at a high-volume hernia center

Marc Salm

KV 338 Evaluating the learning curve of Dexter-assisted rTAPP: feasibility, safety, and early outcomes at a high-volume hernia center

M. Salm1, A. Wirsching1, A. Nocito1

1Kantonsspital Baden AG, Allgemein- und Viszeralchirurgie, Baden, Schweiz

Introduction: Robotic-assisted surgery has been associated with enhanced precision and the potential to reduce postoperative complications in preperitoneal inguinal hernia repair. The novel Swiss robotic platform Dexter, designed as an open and adaptable system, integrates into conventional laparoscopic setups. It was introduced at our high-volume hernia center, where total extraperitoneal hernia repair (TEP) previously served as the standard of care.
Aim: This study aims to evaluate the clinical outcomes and feasibility of robotic transabdominal preperitoneal hernia repair (rTAPP) using the Dexter platform during the initial learning curve at a Cantonal Hospital in Switzerland.
Methods: From February to December 2024, consecutive patients undergoing Dexter-assisted rTAPP were prospectively enrolled in a database. Postoperative outcomes, including prolonged pain, were assessed during follow-up visits 6–8 weeks after surgery. Importantly, none of the participating surgeons had prior routine experience with robotic surgical platforms before Dexter’s implementation.
Results: A total of 66 patients (82% male, median age 61 years, IQR 54–71) underwent rTAPP, with 91% presenting bilateral hernias and 6 cases involving recurrences. The median operative times for bilateral and unilateral hernias were 108 minutes (IQR 93–140) and 90 minutes (IQR 79–109), respectively. Major postoperative complications (Clavien-Dindo grade ≥3) occurred in two patients (3%), both requiring relaparoscopy—one for pain out of proportion on postoperative day 1 and one for foreign body retrieval.
Follow-up data were available for 39 patients (70%). Among these, 83% reported no pain, 14% reported mild pain, and 3% reported moderate pain. There were no hernia recurrences observed during the follow-up period.
Conclusions: Dexter-assisted rTAPP can be safely implemented during the learning curve, demonstrating acceptable safety and feasibility. However, the learning curve is associated with prolonged operative times. Further studies with expanded robotic experience and longer follow-up are required to assess potential benefits, particularly in reducing chronic pain.

12:41 – 12:46

KV 339 Der Einsatz des DaVinci-transversus-abdominis-Release (rTAR) zur Versorgung von Narbenhernien – eine monozentrische retrospektive Analyse

Nicola Cerasani (Bonn)

KV 339 Der Einsatz des DaVinci-transversus-abdominis-Release (rTAR) zur Versorgung von Narbenhernien – eine monozentrische retrospektive Analyse

N. Cerasani1, A. Türler1

1Johanniter Klinikum Bonn, Viszeralchirurgie, Bonn, Deutschland

Einleitung: Das Prinzip der posterioren Komponentenseparation (pKS) zur Versorgung von Narbenhernien ist ein etabliertes Verfahren. Der transversus abdominis release (TAR) stellt eine schonendere Modifikation der pKS dar. Durch den Einsatz der roboterassistierten Chirurgie kann dieses komplexe Verfahren minimalinvasiv, präzise und sicher durchgeführt werden.
Ziel der Studie: Diese retrospektive Analyse untersucht die Durchführbarkeit der roboterassistierten transversus abdominis release (rTAR) mit dem DaVinci-System zur Versorgung von Narbenhernien und primären Bauchwandhernien. Im Fokus stehen die technischen Möglichkeiten der robotischen Chirurgie, insbesondere ihre Präzision, minimalinvasive Zugangswege und intraoperative Machbarkeit
Methodik: Innerhalb eines Zeitraums von zehn Monaten wurden in unserer Klinik acht Patienten mittels DaVinci-TAR operiert. Bei sieben Patienten bestand die Indikation aufgrund einer Narbenhernie, bei einem Patienten erfolgte die Versorgung aufgrund einer primären Bauchwandhernie. In einer retrospektiven Analyse wurden die Patienten hinsichtlich Durchführbarkeit, Morbidität und Funktionalität untersucht.
Ergebnisse: Bei acht Patienten (vier Männer, vier Frauen) mit einem Durchschnittsalter von 64 Jahren und einem mittleren BMI von 33,7 wurde ein DaVinci-assistierter TAR durchgeführt. Bei sieben Patienten konnte der Eingriff vollständig minimalinvasiv erfolgen. Bei einer Patientin war zusätzlich eine offene Faszienrekonstruktion aufgrund einer deutlichen Spannung erforderlich. Zwei Patienten entwickelten ein Serom, der konservativ behandelt werden konnte. Eine Patientin benötigte aufgrund eines subkutanen Infekts eine VAC-Behandlung. Ein Frührezidiv wurde bei keinem der Patienten festgestellt.
Schlussfolgerung: Der transversus abdominis release ist ein anatomisch anspruchsvolles Verfahren zur Versorgung von Narbenhernien. Der Einsatz der roboterassistierten Chirurgie ermöglicht die sichere und minimalinvasive Durchführung dieses komplexen Verfahrens.

12:48 – 12:53

KV 340 Risikofaktoren für die Entstehung von Narbenhernien nach operativer Versorgung eines Platzbauchs – Eine retrospektive Analyse

Mohammed Ibrahim (Tübingen)

KV 340 Risikofaktoren für die Entstehung von Narbenhernien nach operativer Versorgung eines Platzbauchs – Eine retrospektive Analyse

M. Ibrahim1, P. Rath1, P. Kron1, A. Mihaljevic1, C. Yurttas1

1Universitätsklinikum Tübingen, Klinik für Allgemeine-, Viszeral- und Transplantationschirurgie, Tübingen, Deutschland

Einleitung: Postoperative Fasziendehiszenzen zählen zu den häufigen Komplikationen nach Laparotomien. Für den primären Bauchdeckenverschluss existieren etablierte Empfehlungen, etwa zur Small-Stitch-Technik und zum Einsatz langsam-resorbierbarer Materialien. Für die operative Versorgung nach Fasziendehiszenz fehlt hingegen ein evidenzbasiertes Vorgehen.
Ziel: Ziel dieser retrospektiven Studie war es, die Ein-Jahres-Inzidenz von Inzisionalhernien nach operativer Versorgung postoperativer Fasziendehiszenzen zu erfassen sowie den Zusammenhang zwischen der gewählten Verschlusstechnik und dem Auftreten von Narbenhernien zu analysieren.
Methodik: Eingeschlossen wurden 70 Patientinnen und Patienten, die aufgrund einer Fasziendehiszenz in einem Klinikum der Maximalversorgung operiert worden sind. Die Erhebung erfolgte retrospektiv anhand elektronischer Patientenakten. Erfasst wurden demografische und operationsbezogene Parameter, sowie postoperative Komplikationen wie Anastomoseninsuffizienzen. Das primäre Kriterium war das Auftreten einer Narbenhernie innerhalb eines Jahres nach Platzbauchversorgung. Es wurde ein Χ²-Test für potenzielle Risikofaktoren durchgeführt.
Ergebnisse: Von den 70 eingeschlossenen Patientinnen und Patienten konnten 49 aufgrund eines ausreichenden Datensatzes in die Analyse eingeschlossen werden. Bei 19 dieser Patienten (39%) kam es im Verlauf zur Entwicklung einer Narbenhernie. Das verwendete Nahtmaterial beim Platzbauchverschluss hatte keinen signifikanten Einfluss auf die Hernienrate. Allerdings betrug die Hernieninzidenz bei ausschließlicher Verwendung von 1er Vicryl Einzelknopfnähten 39 % und bei PDS 1-0 fortlaufende Naht 20 %. Auch weitere potenzielle Risikofaktoren wie Alter über 60 Jahre, ein BMI über 30 kg/m², ein präoperativer ASA-Score ≥ 3 sowie das Vorliegen einer Anämie oder Hypalbuminämie waren statistisch nicht mit dem Auftreten einer Narbenhernie assoziiert. Die Analyse postoperativer Wundinfektionen ergab eine Häufung von S. epidermidis und E. faecalis bei Patienten mit Hernie, allerdings ohne statistische Signifikanz.
Schlussfolgerung: Es konnte kein einzelner signifikanter Prädiktor für die Entwicklung einer Narbenhernie nach Platzbauchversorgung identifiziert werden. Allerdings zeigt sich in dieser Kohorte eine überdurchschnittlich hohe Inzidenz von Narbenhernien bei der Verwendung von 1er Vicryl. Die hohe Inzidenz unterstreicht die Notwendigkeit prospektiver Studien zur Optimierung chirurgischer Strategien.

12:55 – 13:00

KV 341 Einfluss des Applikationszeitpunktes einer Single-Shot-Antibiose vor viszeral- und gefäßchirurgischen Eingriffen mit Laparotomie auf das Auftreten von Narbenhernien

Franziska Pommer

KV 341 Einfluss des Applikationszeitpunktes einer Single-Shot-Antibiose vor viszeral- und gefäßchirurgischen Eingriffen mit Laparotomie auf das Auftreten von Narbenhernien

F. Pommer1, J. Kleeff1, A. Wienke2, U. Ronellenfitsch1

1Universitätsklinikum Halle (Saale), Klinik für Viszerale, Gefäß- und Endokrine Chirurgie, Halle, Deutschland, 2Martin-Luther-Universität Halle-Wittenberg, Institut für Medizinische Epidemiologie, Biometrie und Informatik, Halle, Deutschland

Einleitung: Die perioperative Antibiotikaprophylaxe stellt einen Grundpfeiler zur Vermeidung von chirurgischen Infektionen (SSI) dar, welche in der Folge zu weiteren Komplikationen wie der Entstehung von Narbenhernien führen können.
Ziele: Die vorliegende Studie untersucht den Einfluss des Applikationszeitpunktes einer Single-Shot-Antibiose vor elektiven viszeral- und gefäßchirurgischen Eingriffen mit Laparotomie auf das Auftreten einer Narbenhernie. Das Ziel der Studie ist, ein besseres Verständnis über die Verbindung zwischen den Abläufen vor und während einer chirurgischen Maßnahme und der Entstehung von Narbenhernien zu erlangen.
Methodik: In die retrospektive Studie wurden 414 Patient*innen ≥18 Jahre eingeschlossen, die zwischen 2018 und 2020 am Universitätsklinikum Halle (Saale) operiert wurden. Aus der elektronischen Krankenakte wurden Patienten- und Operationscharakteristika, der Zeitpunkt der Single-Shot-Antibiose (Zeitintervalle 120-60 min, 60-30 min und 30-0 min vor Hautschnitt) sowie der Zeitpunkt des Auftretens einer Narbenhernie erfasst. Im Follow-Up erfolgte die Kontaktaufnahme mit den Patient*innen hinsichtlich des Auftretens einer Narbenhernie. Die primäre Zielgröße stellt sich als Ereigniszeit dar und wurde mittels Kaplan-Meier-Kurve sowie Cox-Regression [Tab. 1] ausgewertet.
Ergebnis: In einem medianen Nachbeobachtungszeitraum von 13,8 Monaten konnte eine Narbenhernieninzidenz von 16,2% (n=67) erhoben werden. Im Mittel wurde die Diagnose nach 13,8 Monaten gestellt. Bei Personen, die das Antibiotikum innerhalb 30 Minuten vor Schnitt erhalten haben (n=167; 40,3%), entwickelten 18,0% eine Narbenhernie gegenüber 13,7% im Zeitraum 30-60 Minuten (n=182; 44%). Bei Gabe >60 Minuten vor Schnitt (n=52; 12,6%) stieg der Anteil erneut an (17,3%). Die Ereigniszeitanalyse zeigt keinen signifikanten Unterschied im Zeitintervall 60-30 Minuten gegenüber 30-0 Minuten (HR=0,8; p=0,43; 95%-KI: 0,47-1,38) sowie dem Intervall >60 Minuten gegenüber 30-0 Minuten (HR=0,7; p=0,38; 95%-KI: 0,31-1,57) [Abb. 1, 2].
Schlussfolgerung: Ein signifikanter Unterschied in der Zeit bis zum Auftreten einer Narbenhernie konnte für den Vergleich verschiedener Zeitintervalle nicht festgestellt werden. Es konnten somit keine Ergebnisse ermittelt werden, die mit der Leitlinienempfehlung, die Single-Shot-Antibiose zwischen 60 und 30 Minuten vor Hautschnitt zu applizieren, im Widerspruch stehen.

Narbenhernienfreie Zeit (in Monaten) zum Zensuszeitpunkt

Vergleich von Patient*innen mit und ohne Narbenhernie hinsichtlich des zeitlichen Abstandes der Single-Shot-Antibiose zum Hautschnitt

Ergebnisse des multivariaten COX-Regressions-Modells

13:02 – 13:07

KV 342 Fascial closure rate of open abdomen therapy with vertical mesh mediated fascial traction device – a propensity-score matched analysis from the EHS open abdomen registry

Sebastian Schaaf (Koblenz)

KV 342 Fascial closure rate of open abdomen therapy with vertical mesh mediated fascial traction device – a propensity-score matched analysis from the EHS open abdomen registry

S. Schaaf1, A. Willms1, E. Open Abdomen Study Group2

1Bundeswehrzentralkrankenhaus Koblenz, Klinik für Allgemein-, Viszeral- und Thoraxchirurgie, Koblenz, Deutschland, 2European Hernia Society, Frederiksberg, Dänemark

Hintergrund: Das offene Abdomen (Open Abdomen Treatment, OAT) ist eine entscheidende Damage-Control-Strategie zur Bewältigung schwerer intraabdomineller Erkrankungen. Ein frühzeitiger definitiver Faszienverschluss (DFC) ist entscheidend, um Komplikationen und die Mortalität zu reduzieren. Während die vakuumunterstützte Wundtherapie mit netzvermittelter Faszientraktion (VAWCM) als aktueller Standard gilt, stellen neuartige Verfahren wie die vertikale netzvermittelte Faszienzugtechnik (VMMFT) eine vielversprechende Alternative dar.
Methoden: In dieser registerbasierten, mit Propensity-Score gematchten Fall-Kontroll-Studie wurden die Ergebnisse des Faszienverschlusses zwischen VAWCM und VMMFT bei Patienten mit OAT verglichen. Es wurden Daten aus dem Register der European Hernia Society für offenes Abdomen (2015–2024) verwendet. Die Patienten wurden nach Sepsis zu Beginn der OAT sowie der initialen Fasziendefektbreite gematcht. Statistische Analysen umfassten deskriptive Statistiken, Chi-Quadrat- und Mann-Whitney-U-Tests sowie logistische Regressionen.
Ergebnisse: Von insgesamt 1119 OAT-Fällen erhielten 39 (3,5 %) VMMFT und 675 (60,3 %) VAWCM. Nach dem Matching umfassten beide Gruppen jeweils 28 Patienten. Die VMMFT-Gruppe zeigte eine signifikant höhere Rate an definitiven Faszienverschlüssen (89,3 % vs. 60,7 %; p = 0,01). Die logistische Regression bestätigte VMMFT als positiven Prädiktor für den Verschluss (OR 5,392, 95 %-KI: 1,307–22,523; p = 0,02). Obwohl die Aufenthaltsdauer auf der Intensivstation und die Beatmungsdauer in der VMMFT-Gruppe länger waren, zeigte die Inzidenz von enteroatmosphärischen Fisteln einen niedrigeren Trend in der VMMFT-Gruppe (0 % vs. 10,7 %, p = 0,08).
Schlussfolgerung: VMMFT war mit signifikant verbesserten Faszienverschlussraten im Vergleich zu VAWCM bei OAT-Patienten assoziiert. Obwohl die Stichprobengröße begrenzt ist, stützen diese Ergebnisse das Potenzial der vertikalen Faszienzugtechnik zur Verbesserung der OAT-Ergebnisse. Weitere prospektive Studien sind erforderlich, um diese Resultate zu validieren und die Patientenauswahl sowie Behandlungsprotokolle zu optimieren.

Kurzvortragssitzung

ACLF: Klinische Realiät und experimentelle Horizonte

09:30 – 10:58

Do 18.09.

Vortragsraum 10

Open Accordion - Icon Close Accordion - Icon

Vorsitz: Frank E. Uschner (Münster) und Patricia l. Mester-Pavel (Regensburg)

09:30 – 09:36

KV 087 Progression of cirrhosis and the IL-23/IL-17 axis: cytokine profiling from stable disease to ACLF

Georgios Konstantis (Essen)

KV 087 Progression of cirrhosis and the IL-23/IL-17 axis: cytokine profiling from stable disease to ACLF

G. Konstantis1, A. Schütte1, B. Jung1, M. Passenberg1, L. Jacquet2, C. Guntlisbergen1, N. Nuruzade1, D.P. Hoyer3, F. Seltsam1, J. Best1, K. Willuweit1, H.H. Schmidt1, S. Guckenbiehl1, J. Rashidi-Alavijeh1

1Universitätsklinikum Essen, Klinik für Gastroenterologie, Hepatologie und Transplantationsmedizin, Essen, Deutschland, 2Universitätsklinikum Essen, Department of Infectious Diseases, West German Centre of Infectious Diseases, Essen, Deutschland, 3Universitätsklinikum Essen, General, Visceral, Vascular and Transplantation Surgery, University Hospital Essen, Essen, Deutschland

Background and Objective: Acute decompensation (AD) and acute-on-chronic liver failure (ACLF) are major complications of cirrhosis, often leading to multi-organ dysfunction. The IL-23/IL-17 cytokine axis plays a critical role in driving systemic inflammation and immune dysregulation in various chronic diseases. However, its precise role in cirrhosis and its progression to ACLF remains poorly understood. This study aimed to investigate the significance of circulating cytokines involved in the IL-23/IL-17 axis and their association with clinical phenotypes of cirrhosis, including AD and ACLF.
Methods: We analyzed circulating levels of hallmark cytokines of the axis IL-23, IL-1β, IL-1RA, IL-17F, IL-17E, and IL-17A in a cohort of 127 patients with cirrhosis, categorized by disease severity (compensated cirrhosis, acute decompensation, and ACLF). Cytokine levels were correlated with clinical outcomes such as hepatic encephalopathy, ascites, and renal failure. Multivariable multinomial regression models were used to identify independent associations between cytokines and disease progression.
Results: Among all cytokines analyzed, IL-17F displayed a significant inverse relationship with disease severity. Multinomial regression identified IL-17F as inversely associated with transitions to both AD (OR = 0.726; p = 0.026) and ACLF (OR = 0.689; p = 0.047). Similar associations were observed for IL-1β and IL-23, though these did not persist in multivariable models. Ordinal regression further supported IL-17F’s inverse correlation with disease severity (OR = 0.69; p = 0.018) and MELD score (OR = 1.13; p < 0.001) as an independent predictor. Other cytokines, including IL-17A, IL-17E, and IL-1RA, did not show significant independent associations in adjusted models.
Conclusion: These findings consistently demonstrate that IL-17F is inversely associated with disease progression in cirrhosis, suggesting a potential immunomodulatory or protective function. While IL-17A was elevated in advanced stages and associated with mortality in unadjusted comparisons, it did not remain an independent predictor in multivariable models. IL-17F may serve as a novel stage-specific biomarker and represents a promising candidate for further investigation.

09:38 – 09:44

KV 088 Unterschiedliche Inflammationsphänotypen sind mit der Krankheitsprogression des infektions- und alkoholbedingten Akut-auf-chronischen-Leberversagen (ACLF) assoziiert

Julian Pohl

KV 088 Unterschiedliche Inflammationsphänotypen sind mit der Krankheitsprogression des infektions- und alkoholbedingten Akut-auf-chronischen-Leberversagen (ACLF) assoziiert

J. Pohl1, A. Kerbert2, C. de la Pena Ramirez3, C. Sanchez-Garrido4, P. Caraceni5, W. Laleman6, A. Albillos7, M. Janicko8, V. Vargas Blasco9, R. Moorkerjee10, A.Q. Farias11, G Pereira12, A Torre13, S Marciano14, A.Z. Mattos15, F.J Carrilho16, V Arroyo3, J. Trebicka17, R. Moreau18, J. Clária3, P. Angeli19, S. Piano19, T. Gustot20, F. Andreola10, R. Jalan10, C. Engelmann1

1Charité – Universitätsmedizin Berlin, Medizinische Klinik m.S. Gastroenterologie und Hepatologie, CVK/CCM, Berlin, Deutschland, 2Leiden University Medical Center, Leiden, Niederlande, 3EF-CLIF, Barcelona, Spanien, 4University of Debrecen, Debrecen, Ungarn, 5A.O.U. Città della Salute e della Scienza di Torino, Turin, Italien, 6University Hospitals Leuven, KU LEUVEN, Leuven, Belgien, 7Hospital Universitario Ramon y Cajal, Madrid, Spanien, 8Pavol Jozef Safarik University in Kosice, Kosice, Slowakei, 9Hospital Vall d’Hebron, Universitat Autònoma Barcelona, CIBEREHD, Barcelona, Spanien, 10University College London, London, Vereinigtes Königreich, 11University of São Paulo, São Paulo, Brasilien, 12Bonsucesso Federal Hospital, Rio de Janeiro, Brasilien, 13Medical Center ABC, Mexico City, Mexiko, 14Hospital Italiano de Buenos Aires, Buenos Aires, Argentinien, 15Federal University of Health Sciences of Porto Alegre, Porto Alegre, Brasilien, 16Hospital das Clínicas da Faculdade de Medicina da Universidade de São Paulo, São Paulo, Brasilien, 17University Hospital Münster, Münster, Deutschland, 18Inserm and Université de Paris, Paris, Frankreich, 19University of Padova, Padova, Italien, 20HUB Erasme, Brussels, Belgien

Einleitung: ACLF tritt bei Patienten mit Leberzirrhose auf und ist durch Multiorganversagen und eine hohe Sterblichkeit gekennzeichnet. Die beiden häufigsten Auslöser des ACLF sind Infektionen (inf) und die schwere alkoholbedingte Hepatitis (sAH). Abhängig vom jeweiligen Trigger zeigen sich unterschiedliche klinische Phänotypen, die sich anhand der Verteilung der Organversagen unterscheiden. Trotz dieser Unterschiede ist die Letalität in beiden Gruppen vergleichbar hoch. Da die systemische Inflammation eine zentrale Rolle in der Pathophysiologie des ACLF spielt, liegt die Vermutung nahe, dass den klinischen Phänotypen auch unterschiedliche Inflammationsphänotypen zugrunde liegen.
Ziele: Die Zytokin- und Biomarkerprofile von Patient:innen mit akuter Dekompensation (AD) und (sAH- bzw. inf-) ACLF bzgl. dem Krankheitsverlauf und Prognose zu beschreiben und vergleichen.
Methodik: Eingeschlossen wurden 1019 Patienten aus drei Observationsstudien (CANONIC, PREDICT, ACLARA) mit entweder sAH-AD oder ACLF und inf-ACLF (sAH-AD, n=546; sAH-ACLF, n= 239; inf-ACLF, n=234). Analysiert wurden Laborparameter und Biomarker, die mit Inflammation, Organ- oder Albuminfunktion assoziiert sind. Es wurden uni-/multivariable Regressionsanalysen durchgeführt, um die Biomarker in Bezug auf den Krankheitsverlauf zu untersuchen.
Ergebnis: IL-6, IL-17A, TNF-α, IL-10, IFN-γ, G-CSF und Copeptin waren signifikant erhöht bei inf-ACLF im Vgl. zu sAH-ACLF, während IL-8 und Eotaxin bei sAH-ACLF im Vgl. zu inf-ACLF erhöht waren. IL-6 und Eotaxin unterschieden sAH-ACLF und inf-ACLF unabhängig voneinander. In multivariaten Analysen war IL-10 (HR: 1,28; p < 0,001) der einzige Prädiktor für die Letalität bei sAH-ACLF und IL-8 (HR: 1,13; p <0,001) im inf-ACLF. In der Gruppe der Patienten mit sAH-AD, die innerhalb von 28 Tagen ein ACLF entwickelten, waren IL-6, TNF-α, NGAL, Copeptin und HNA2 signifikant erhöht im Vergleich zu den sAH-AD Patienten ohne ACLF Entwicklung. IL-8 und HNA2 unterschieden sAH-AD und sAH-ACLF unabhängig voneinander.
Schlussfolgerung: Die Resultate unserer Studie deuten darauf hin, dass die immunologischen Profile der einzelnen ACLF-Subtypen unterschiedlich sind. Daraus schließen wir, dass möglicherweise je nach ACLF Auslöser, unterschiedliche pathophysiologische Mechanismen eine Rolle spielen. Zukünftig sollte evaluiert werden, ob die Integration dieser Marker in prognostische Algorithmen helfen kann das Management dieser Patienten zu optimieren.

09:46 – 09:52

KV 089 Sarkopenie ist bei Patienten mit Leberzirrhose – unabhängig vom Child Pugh Stadium – mit einer erhöhten postoperativen Entwicklung von ACLF und Mortalität assoziiert

Johannes Chang (Bonn)

KV 089 Sarkopenie ist bei Patienten mit Leberzirrhose – unabhängig vom Child Pugh Stadium – mit einer erhöhten postoperativen Entwicklung von ACLF und Mortalität assoziiert

M. Praktiknjo1, M. Kreutzer2, A. Linke3, N. Böhling2, A. Isaak4, C. Riedel5, J.C. Kalff6, T. Jacob1, J. Gödiker1, J. Trebicka1, J. Kluwe3, P. Hübener3, J.K. Rockstroh2, S. Huber3, A.W. Lohse3, P. Bannas5, C.P. Strassburg2, A.M. Sprinkart4, J. Luetkens4, F. Piecha3, J. Chang2

1Universitätsklinikum Münster, Medizinische Klinik B (Gastroenterologie, Hepatologie, Endokrinologie, Klinische Infektiologie), Münster, Deutschland, 2Universitätsklinikum Bonn, Medizinische Klinik und Poliklinik I, Bonn, Deutschland, 3Universitätsklinikum Hamburg-Eppendorf, I. Medizinische Klinik und Poliklinik, Hamburg, Deutschland, 4Universitätsklinikum Bonn, Klinik für Diagnostische und Interventionelle Radiologie, Bonn, Deutschland, 5Universitätsklinikum Hamburg-Eppendorf, Klinik und Poliklinik für Diagnostische und Interventionelle Radiologie und Nuklearmedizin, Hamburg, Deutschland, 6Universitätsklinikum Bonn, Klinik und Poliklinik für Allgemein-, Viszeral-, Thorax- und Gefäßchirurgie, Bonn, Deutschland

Einleitung: Patienten mit Leberzirrhose weisen eine erhöhte postoperative Morbidität und Mortalität auf. Das postoperative Outcome ist dabei maßgeblich vom Ausmaß der Leberfunktionsstörung sowie des durchgeführten Eingriffs abhängig. Sarkopenie beschreibt den Verlust von Muskelmasse und -funktion und ist im natürlichen Krankheitsverlauf von Patienten mit Leberzirrhose mit einer erhöhten Morbidität und Mortalität assoziiert.
Ziele: Analyse des Einflusses der Sarkopenie auf das postoperative Outcome bei Patienten mit Leberzirrhose.
Methodik: Retrospektive Datenbankanalyse. Sarkopenie wurde anhand von CT-Aufnahmen klassifiziert (Skelettmuskelfläche [mm2] und Muskeldichte in hounsfield-units [HU]). Myosteatose und der Skelettmuskelindex (SMI) als Surrogatparameter der Sarkopenie wurden anhand aktueller Leitlinien definiert (Myosteatose: bei BMI <25 kg/m²: < 41 HU; bei BMI ≥ 25 kg/m²: <33 HU; SMI: <50 (Männer) bzw. <39 (Frauen) cm2/m2). Nur Patienten mit elektiven Eingriffen und ohne das Vorliegen eines akut-auf chronischen Leberversagen (ACLF) zum Zeitpunkt der OP wurden eingeschlossen.
Ergebnis: Insgesamt wurden 223 Patienten in die Studie eingeschlossen. Die Großteil der Patienten war männlich (157/223, 70%) und wies zum Zeitpunkt der OP eine Leberzirrhose im Stadium Child-Pugh B (106/223, 48%) und einem medianen MELD-Score von 10 (8, 13) Punkten auf. Viszeralchirurgische Eingriffe (88/223, 39%) wurden am häufigsten durchgeführt, gefolgt von partiellen Hepatektomien (46/223, 21%) und Hernienoperation (37/223, 17%). Eine Myosteatose lag bei 162/223 Patienten (71%) vor.
Im postoperativen Verlauf entwickelten 60/223 Patienten (27%) ein akut-auf chronisches Leberversagen innerhalb von 28 Tagen. 67/223 Patienten (30%) verstarben innerhalb eines Jahres nach der Operation. Gegenüber nicht-sarkopenen Patienten zeigten sarkopene Patienten sowohl eine erhöhte Inzidenz eines postoperativen ACLFs (31 vs. 16%, p=0.02) als auch eine erhöhte Einjahresmortalität (35 vs 16%, p=0.003). Dieser Zusammenhang blieb auch bei Substratifizierung nach dem Child-Pugh Stadium und den einzelnen durchgeführten Operationen bestehen.
Schlussfolgerung: Sarkopenie ist bei Patienten mit Leberzirrhose mit einer erhöhten postoperativen Mortalität und einem erhöhten Auftreten eines postoperativen ACLFs assoziiert und sollte – unabhängig vom Child Pugh Stadium und der Art der durchgeführten Operation – in das präoperative Risikoassessment einbezogen werden.

09:54 – 10:00

KV 090 Prognostischer Wert von Hepcidin in Patienten mit akutem Leberversagen

Julia Alexandra Borchert (Aachen)

KV 090 Prognostischer Wert von Hepcidin in Patienten mit akutem Leberversagen

J.A. Borchert1, K. Remih1, W. Martens Lee2, R.J. Fontana3, P. Strnad1

1Uniklinik RWTH, Aachen, Deutschland, 2UT Southwestern Medical Center, Dallas, Texas, Vereinigte Staaten, 3University of Michigan, Ann Arbor, MI, Vereinigte Staaten

Einleitung: Akutes Leberversagen (ALF) zeichnet sich durch schnellen, potenziell tödlichen Verlauf aus: Daher werden prognostische Marker benötigt, um die Notwendigkeit einer Lebertransplantation zu vorhersagen. Eine frühere Studie hat die Nützlichkeit von Hepcidin, des Zentralhormons des Eisenstoffwechsels, zur Prädiktion des 21-Tage-Überlebens nahegelegt.
Ziele: Ziele dieser Studie sind es, die prognostische Bedeutung von Hepcidin-Serumspiegeln in einer unabhängigen Kohorte zu analysieren, sowie den zugrunde liegenden biologischen Kontext aufzuschlüsseln.
Methodik: In einer Kohorte von 200 Patienten der amerikanischen Acute Liver Failure Study Group (US ALFSG) wurden Serum-Hepcidin sowie Parameter des Eisenstoffwechsels vermessen. Es wurden verschiedene ALF-Ätiologien (Paracetamol-induziert [APAP]/ anderweitig [Non-APAP]), sowie Patienten, die 21 Tage nach Studienbeginn spontan überlebten und solche, die innerhalb dieser Zeit verstarben oder eine Lebertransplantation benötigten (Non-SpS), verglichen. Die Seren wurden zudem proteomisch untersucht und die Korrelation mit Parametern des Eisenstoffwechsels wurde nach Spearman bestimmt. Der prognostische Wert der Parameter wurde mittels logistischer Regression berechnet und in einer zweiten Kohorte von 119 US ALFSG Patienten validiert.
Ergebnisse: Sowohl in APAP- als auch Non-APAP-ALF fanden sich signifikant höhere Hepcidinspiegel in der SpS-Gruppe (p<0.01, bzw. p<0.0001, Abb. 1). Hepcidin zeigte schwache bis moderate Korrelation mit Akut-Phase-Proteinen (z.B. LRG1 (r=0.37), ITIH4 (r=0.49)) und Markern der hepatozellulären Reserve (z.B. RBP4 (r=0.36)). Der prognostische Wert von Hepcidin (AUROC 0.70, Abb. 2) im Hinblick auf das 21-Tage-Überleben war vergleichbar mit den besten serumproteomischen Marker wie SERPINA1/LRG1 (AUROCs jeweils 0.71) oder dem MELD-Score (AUROC: 0.71) (Abb. 2). Verschiedene 4-Parameter-Kombinationen aus Hepcidin und proteomischen Markern (AUROCS: 0.80) übertrafen die prognostische Relevanz anderer multivariabler Modelle (bspw. ALFSG-Prognostic Index (AUROC: 0.75) und waren reproduzierbar in der Validierungskohorte (AUROC: 0.77) (Abb. 2).
Schlussfolgerung: Unsere Daten bestätigen die prognostische Relevanz von Serum-Hepcidinspiegeln und weisen auf seine Nützlichkeit in prognostischen Modellen hin.

Abb. 1.:
Abb. 1: Hepcidinspiegel in 200 ALFSG Patienten (stratifiziert nach Ätiologie und 21-Tage-Überleben). Serumspiegel für log10(Hepcidin [ng/ml] +1). Der Boxplot zeigt den Median mit erstem und drittem Quartil. Punkte kennzeichnen die Ausreißer. APAP/Non-APAP beschreibt die ALF-Ätiologie (Acetaminophen-induziert oder nicht). Non-SpS sind Patienten, die, im Gegensatz zu spontan Überlebenden, innerhalb von 21 Tagen nach Studienbeginn entweder gestorben sind oder eine Lebertransplantation benötigten. Die Signifikanzlevel sind: ** p < 0.01, **** p < 0.0001 (Wilcoxon rank sum test).

Abb. 2.:
Abb. 2: Prädiktive Leistung verschiedener Scores und Hepcidin in einer Kohorte von 200 Patienten mit akutem Leberversagen (ALF) und einer unabhängigen Validierungskohorte mit 119 Patienten. Vergleich der prognostischen Genauigkeit (logistische Regression) zwischen Hepcidin-, SERPINA1- und LRG1-Serumspiegeln, zwei etablierten klinischen Scores (MELD, ALFSG-PI), sowie einem Proteomics-basierten Score (zusammengesetzt aus Serumlevels für Hepcidin, LRG1, ATRN und IL6) für das 21-Tage-transplantationsfreie Überleben bei ALF-Patienten. Dargestellt sind die Receiver Operating Characteristic (ROC)-Kurven mit den entsprechenden Flächen unterhalb der Kurven (AUROC). Abkürzungen: SERPINA1: alpha1-antitrypsin; LRG1: leucine rich alpha-2-glycoprotein 1; MELD: model for end-stage liver disease; ALFSG-PI: ALFSG prognostic index; ATRN: attractin; IL6: interleukin 6.

10:02 – 10:08

KV 091 Outcome und Risikofaktoren chirurgischer Eingriffe bei PatientInnen mit Leberzirrhose – Pilotergebnisse aus dem deutschlandweiten Register

Johannes Chang (Bonn)

KV 091 Outcome und Risikofaktoren chirurgischer Eingriffe bei PatientInnen mit Leberzirrhose – Pilotergebnisse aus dem deutschlandweiten Register

F. Piecha1, N. Böhling2,3, P. Hübener1, M. Kimmann4, L. Hoffmann4, C. Rohrer5, K. Große6, F.C.C. Haedge6, J. Pohl7, S. Schütte8, J. Rashidi-Alavijeh9, G. Konstantis9, P. Lingohr10, J.C. Kalff10, A. Heumann11, A. Pascher12, P. Lutz2,3, C. Jansen2,3, F. Schneider2,3, C.P. Strassburg2,3, S. Huber1, A.W. Lohse1, J. Trebicka4, B. Maasoumy8, C. Engelmann7, T. Bruns6, D. Bettinger5, M. Praktiknjo4, J. Chang2,3, German Cirrhosis Study Group

1I. Medizinische Klinik, Universitätsklinikum Hamburg-Eppendorf, Hamburg, Deutschland, 2Medizinische Klinik und Poliklinik I, Universitätsklinikum Bonn, Bonn, Deutschland, 3Cirrhose Centrum Bonn (CCB), Universitätsklinikum Bonn, Bonn, Deutschland, 4Medizinische Klinik B, Universitätsklinikum Münster, Münster, Deutschland, 5Klinik für Innere Medizin II, Universitätsklinikum Freiburg, Freiburg, Deutschland, 6Medizinische Klinik III, Universitätsklinik RWTH Aachen, Aachen, Deutschland, 7Medizinische Klinik für Hepatologie und Gastroenterologie, Campus Virchow Klinikum, Charité Universitätsmedizin Berlin, Berlin, Deutschland, 8Klinik für Gastroenterologie, Hepatologie, Infektiologie und Endokrinologie, Medizinische Hochschule Hannover, Hannover, Deutschland, 9Klinik für Gastroenterologie, Hepatologie und Transplantationsmedizin, Universitätsklinikum Essen, Essen, Deutschland, 10Klinik und Poliklinik für Allgemein-, Viszeral-, Thorax- und Gefäßchirurgie, Universitätsklinikum Bonn, Bonn, Deutschland, 11Klinik und Poliklinik für Allgemein-, Viszeral- und Thoraxchirurgie, Universitätsklinikum Hamburg-Eppendorf, Hamburg, Deutschland, 12Klinik für Allgemein-, Viszeral- und Transplantationschirurgie, Universitätsklinikum Münster, Münster, Deutschland

Einleitung: Chirurgische Eingriffe bei PatientInnen mit Leberzirrhose sind mit einer im Vergleich zur Allgemeinbevölkerung erhöhten Mortalität assoziiert. Die Identifikation von Risikofaktoren zur Einschätzung des Operationsrisikos ist daher in dieser Kohorte von großer Bedeutung. Deutschlandweite Daten zum postchirurgischen Outcome liegen bislang nur unzureichend vor, insbesondere in Bezug auf das akut-auf-chronische Leberversagen (ACLF).
Ziele: Die Rolle von akuter Dekompensation (AD) und ACLF auf das Outcome im Kontext von chirurgischen Eingriffen bei PatientInnen mit Leberzirrhose an deutschen Universitätszentren zu untersuchen.
Methoden: In dieser multizentrischen, retrospektiven Kohorte wurden 1001 PatientInnen mit Leberzirrhose und chirurgischen Eingriffen im Zeitraum zwischen 2016-2023 aus 10 tertiären Zentren eingeschlossen. AD/ACLF zum Zeitpunkt des Eingriffs und im postoperativen Verlauf, die Dringlichkeit des Eingriffs und Operationstypen wurden detailliert charakterisiert. Der primäre Endpunkt war Entwicklung eines ACLF oder ACLF-assoziierter Mortalität innerhalb von 90 Tagen.
Ergebnis: In der Gesamtkohorte waren 59% (n=587) der Eingriffe abdominell, 73% (n=722) wurden elektiv durchgeführt. Bei 56% (n=565) lag ein Stadium Child A der Leberzirrhose vor. Der mediane MELD-Score lag bei 10 (6-36) Punkten. Bei Notfalleingriffen lag signifikant häufiger ein AD/ACLF zum Zeitpunkt der Indexoperation vor (23 vs. 70%, p<0,001), das 90-Tage Überleben war signifikant schlechter (14 vs. 39%, p<0,001) im Vergleich zu elektiven Eingriffen. Eine postoperative de-novo ACLF-Episode innerhalb von 90 Tagen trat in 24% (n=243) der Gesamtkohorte auf und war mit erheblicher Kurzzeitmortalität vergesellschaftet (19 vs. 77%, p<0,001), auch bei der Betrachtung nur elektiver Eingriffe (15 vs. 74%, p<0.001). Dabei hatte ein ACLF Grad III die schlechteste Prognose, jedoch verstarben auch ca. 20% der PatientInnen, die postoperativ ein ACLF Grad I entwickelten. Eine Dekompensation war bei PatientInnen ohne ACLF und elektiven Eingriffen zur Baseline ein Risikofaktor, innerhalb von 90 Tagen ein de-novo ACLF zu entwickeln oder zu versterben (Child A vs. B/C: HR 3.6, p<0,001; MELD ≤ oder > 10: HR 3,2, p<0,001).
Schlussfolgerung: Ein postoperatives ACLF ist mit 24% ein häufiges Phänomen. Das Auftreten eines ACLF jedweden Grades ist mit einer erhöhten postoperativen Mortalität assoziiert. Dekompensationen zum Zeitpunkt der Operation sind prognostisch ungünstig, ihre optimale Behandlung sollte interdisziplinär diskutiert werden.

10:10 – 10:16

KV 092 Interprofessionelles Therapeutic Drug Monitoring zur individualisierten Linezolid-Therapie bei kritisch kranken Patient:innen mit ACLF auf der Intensivstation

Stephan Schmid (Regensburg)

KV 092 Interprofessionelles Therapeutic Drug Monitoring zur individualisierten Linezolid-Therapie bei kritisch kranken Patient:innen mit ACLF auf der Intensivstation

S. Schmid1, G. Athanasoulas1, A. Kratzer2, S. Rusch1, P. Mester1, S. Schlosser-Hupf1, K. Zimmermann1, V. Pavel1, M. Müller-Schilling1

1Universitätsklinikum Regensburg, Klinik und Poliklinik für Innere Medizin I, Regensburg, Deutschland, 2Universitätsklinikum Regensburg, Apotheke, Regensburg, Deutschland

Einleitung: Das akut-auf-chronische Leberversagen (ACLF) stellt ein lebensbedrohliches Syndrom bei Patient:innen mit vorbestehender Lebererkrankung dar und erfordert häufig eine intensivmedizinische Behandlung. Bakterielle Infektionen sind häufige Auslöser für ein ACLF, wobei Linezolid als Reserveantibiotikum bei multiresistenten grampositiven Erregern (z. B. VRE, MRSA) eine entscheidende Rolle spielt. Aufgrund der veränderten Pharmakokinetik beim ACLF besteht jedoch ein hohes Risiko für Unter- oder Überdosierung mit potenziell schwerwiegenden Folgen.
Ziele: Ziel dieser Studie war die Evaluation einer interprofessionellen Strategie des Therapeutic Drug Monitoring (TDM) zur Optimierung der Linezolid-Therapie bei kritisch kranken Patient:innen mit ACLF auf einer universitären Intensivstation mit hepatologischem Schwerpunkt.
Methodik: Im Rahmen einer prospektiven Beobachtungsstudie wurden 27 intensivpflichtige Patient:innen mit ACLF und Linezolid-Therapie eingeschlossen. Die Serumkonzentrationen wurden im Rahmen des routinemäßigen TDM mittels Hochleistungsflüssigkeitschromatographie (HPLC) bestimmt. Ein interprofessionelles Team aus Gastroenterolog:innen, klinischen Pharmazeut:innen, Infektiolog:innen sowie Medizin- und Pharmaziestudierenden bewertete die Ergebnisse unter Berücksichtigung der Leber- und Nierenfunktion sowie des klinischen Verlaufs. Auf dieser Grundlage wurden individuelle Therapieanpassungen empfohlen.
Ergebnis: Die initiale TDM-Messung zeigte eine erhebliche Variabilität der Linezolid-Exposition: 33 % der Patient:innen lagen im therapeutischen Zielbereich (2–10 mg/L), 26 % unterschritten diesen (<2 mg/L), und 41 % lagen deutlich darüber (>10 mg/L), einschließlich Extremwerten >20 mg/L. In 20 Fällen erfolgten Therapieanpassungen. Sämtliche Empfehlungen wurden durch das Behandlungsteam umgesetzt. Folgeanalysen bestätigten ein besseres Erreichen des Zielwertes. Unter der TDM-gesteuerten Therapie traten keine hämatologischen oder anderweitigen Nebenwirkungen auf. Die strukturierte Beteiligung von Studierenden förderte interprofessionelles Lernen sowie die Umsetzung von Antibiotic Stewardship in der Intensivmedizin.
Schlussfolgerung: Die Implementierung einer interprofessionellen TDM-Strategie auf Intensivstation ermöglichte eine individualisierte und sichere Linezolid-Therapie bei Patient:innen mit ACLF. Durch die enge Zusammenarbeit verschiedener Fachdisziplinen konnte die Patientensicherheit erhöht und der rationale Einsatz eines kritischen Reserveantibiotikums gefördert werden.

10:18 – 10:24

KV 093 Milzsteifigkeit als neuer dynamischer Marker bei Patient:innen mit Leberzirrhose und ACLF auf der Intensivstation

Stephan Schmid (Regensburg)

KV 093 Milzsteifigkeit als neuer dynamischer Marker bei Patient:innen mit Leberzirrhose und ACLF auf der Intensivstation

S. Schmid1, P. Kalus1, S. Rusch1, K. Zimmermann1, P. Mester1, V. Pavel1, M. Müller-Schilling1

1Universitätsklinikum Regensburg, Klinik und Poliklinik für Innere Medizin I, Regensburg, Deutschland

Einleitung: Nicht-invasive Elastographieverfahren haben sich als zentrale Tools zur Beurteilung von Leberfibrose und portaler Hypertension etabliert. Während die Messung der Lebersteifigkeit bereits routinemäßig erfolgt, gewinnt die Milzsteifigkeit als Marker der portalen Hypertension zunehmend an Bedeutung. Die Messung der Milzsteifigkeit auf der Intensivstation, insbesondere bei Patient:innen mit chronischer Lebererkrankung und akut-auf-chronischem Leberversagen (ACLF), ist bislang jedoch wenig untersucht.
Ziele: Ziel dieser Studie war es, die Anwendbarkeit und prognostische Aussagekraft der Acoustic Radiation Force Impulse (ARFI)-Elastographie zur Bestimmung der Milzsteifigkeit bei kritisch kranken Patient:innen mit Leberzirrhose zu untersuchen.
Methodik: In einer prospektiven, Beobachtungsstudie wurden 44 Intensivpatient:innen mit bekannter chronischer Lebererkrankung mit und ohne ACLF eingeschlossen. Die Milzsteifigkeit wurde während des Intensivaufenthalts alle 2–4 Tage seriell mittels ARFI-Elastographie gemessen. Parallel erfolgte die Erhebung klinischer Parameter, einschließlich Leber- und Nierenfunktion, Beatmungseinstellungen sowie Outcome-Daten.
Ergebnis: Die ARFI-basierte Milzsteifigkeitsmessung war bei allen eingeschlossenen Intensivpatient:innen erfolgreich durchführbar. Höhere Milzsteifigkeitswerte zeigten eine signifikante Assoziation mit dem Einsatz einer Nierenersatztherapie (p < 0,001) sowie der Notwendigkeit invasiver Beatmung (p < 0,001). Es fand sich eine inverse Beziehung zwischen Beatmungsdrücken und Milzsteifigkeit (p = 0,017). Die Milzsteifigkeit zeigte im Verlauf dynamische Veränderungen entsprechend der klinischen Entwicklung, was ihren potenziellen Wert als nicht-invasiver Surrogatmarker für die Krankheitsdynamik unterstreicht.
Schlussfolgerung: Diese Ergebnisse zeigen, dass die Milzsteifigkeitsmessung bei kritisch kranken Patient:innen mit Leberzirrhose auf der Intensivstation durchführbar und klinisch relevant ist. Über die Abbildung der portalen Hypertension hinaus scheint die Milzsteifigkeit Aspekte der hepatischen und extrahepatischen Organdysfunktion widerzuspiegeln und mit Organversagen sowie klinischer Verschlechterung zu korrelieren. Damit bietet sie sich als nicht-invasiver, bedside-tauglicher Biomarker zur dynamischen Risikostratifizierung und individualisierten Entscheidungsfindung in der Intensivmedizin bei Lebererkrankungen an.

10:26 – 10:32

KV 094 TGF-β serves as a critical signaling determinant of liver progenitor cell fate and function

Chenhao Tong (Mannheim)

KV 094 TGF-β serves as a critical signaling determinant of liver progenitor cell fate and function

C. Tong1, S. Hammad1, M.P. Ebert2,3,4, S. Dooley1, H.-L. Weng1

1Department of Medicine II, Section Molecular Hepatology, University Medical Center Mannheim, Medical Faculty Mannheim, Heidelberg University, Mannheim, Deutschland, 2Department of Medicine II, University Medical Center Mannheim, Medical Faculty Mannheim, Heidelberg University, Mannheim, Deutschland, 3DKFZ-Hector Cancer Institute at the University Medical Center, Mannheim, Deutschland, 4Molecular Medicine Partnership Unit, European Molecular Biology Laboratory, Heidelberg, Deutschland

Background and Aims: Liver progenitor cells (LPCs) performing vital liver function can rescue patients with acute liver failure (ALF) from death. To date, key signaling controlling LPC proliferation and initiating liver functional gene expression remains largely unknown. This study investigates the crosstalk between TGF-β and HGF/EGF signaling in LPC proliferation and performing liver functional gene transcription.
Methods: LPC proliferation was examined in DDC-fed mice. Cell type specific spatial transcriptomics was performed on 115 regions of interest selected based on CK7+ LPCs, CK8+/18+ hepatocytes and CD68+ macrophages from 4 ALF patients. Crosstalk between HGF/EGF and TGF-β signaling was investigated in LPC line HepaRG cells.
Results: TGF-β inhibits LPC proliferation through impeding G1-S phase transition. Accordingly, LPC proliferation is remarkably increased in DDC-fed SMAD7 transgenic mice, in which TGF-β-induced p-SMAD3 is inhibited, compared to those from wild-type mice. In ALF patients, immunohistochemistry revealed the existence of p-SMAD2 in robustly proliferative LPCs. Spatial transcriptomics demonstrate remarkable activation of both HGF/EGF receptor- and TGF-β-dependent genes, which might be driven by HGF/EGF and TGF-β from surrounding hepatic stellate cells and macrophages. In vitro, either EGF or HGF promotes LPC proliferation at the presence of TGF-β. Although the anti-proliferative effect of TGF-β was compromised in LPCs, the robust TGF-β-SMAD signaling played additional essential effects in ALF, including upregulating HNF4α expression in LPCs.
Conclusions: TGF-β-SMAD signaling physiologically controls LPC proliferation. In ALF, TGF-β-dependent anti-proliferative effect is overtaken by HGF/EGF signaling in activated LPCs. TGF-β-SMAD synergies HGF/EGF-c-MYC axis to regulate LPCs to perform hepatocyte function, which is essential for ALF patients‘ survival.

10:34 – 10:40

KV 095 Hepatocyte Mboat7 is a driver of inflammation and fibrosis in alcohol-associated liver disease

Veera Raghavan Thangapandi (Dresden)

KV 095 Hepatocyte Mboat7 is a driver of inflammation and fibrosis in alcohol-associated liver disease

V.R. Thangapandi1,2, P. Subramanian3, M. Brosch1,2, L. Rupp4, E. Patsenker5, R. Pérez Mateo1, J. Mueller6, A. Herrmann1,2, D. Giannakou3, R. Machangada Ganesh2, S. Buch2, A. Dahl7, V. Ismini Alexaki3, M. Fedorova8, T. Chavakis3, C. Schafmayer9, F. Stickel5, E. Trépo10, S. Mueller6, M. Schmitz4, J. Hampe1,2

1Center for Regenerative Therapies Dresden, Dresden, Deutschland, 2Faculty of Medicine Carl Gustav Carus, Technische Universität Dresden, Department of Gastroenterology and Hepatology, Dresden, Deutschland, 3Faculty of Medicine Carl Gustav Carus, Technische Universität Dresden, Institute for Clinical Chemistry and Laboratory Medicine, Dresden, Deutschland, 4Faculty of Medicine Carl Gustav Carus, Technische Universität Dresden, Institute of Immunology, Dresdende, Deutschland, 5University Hospital of Zurich, Switzerland, Zurich, Schweiz, 6University of Heidelberg, Center for Alcohol Research, Heidelberg, Deutschland, 7DRESDEN-concept Genome Center, TU Dresden, Dresden, Deutschland, 8Paul Langerhans Institute Dresden, Helmholtz Zentrum München, University Hospital and Faculty of Medicine, Technische Universität Dresden, Dresden, Deutschland, 9Department of General, Visceral, Vascular and Transplantation Surgery, University of Rostock, Rostock, Deutschland, 10Department of Gastroenterology, Hepatopancreatology and Digestive Oncology, Hôpital Universitaire de Bruxelles, Université Libre de Bruxelles, Brussels, Belgium, Brussels, Belgien

Background: Alcohol related liver disease (ALD) remains the dominant driver of liver mortality in world. Treatment options for ALD remains limited and MBOAT7 locus, associated with alcohol related liver cirrhosis (AC), could be a starting point for uncovering novel disease mechanisms.
Objective: Membrane-bound-O-acyltransferase domain 7 (MBOAT7) is a transmembrane protein involved in acyl chain remodeling of phosphatidylinositol (PI) within Land’s cycle. In addition to liver disease such as metabolic dysfunction-associated steatotic liver disease (MASLD), the MBOAT7 risk variant rs641738C>T is associated with AC. This study investigates the role of hepatocyte-specific MBOAT7 in the progression of ALD.
Design: Hepatocyte-specific MBOAT7 deficient (Mboat7Δhep) and sufficient (Mboat7WT) mice were fed an ethanol diet (modified NIAAA model) or control diet. Livers were studied by immunofluorescence, flow cytometry, histology, qPCR, RNA sequencing, lipidomic and metabolomic analyses. Metabolomic profiling was also conducted on liver biopsies from ALD patients, stratified by rs641738C>T genotype.
Results: Ethanol diet fed, Mboat7Δhep mice developed enhanced steatosis with increased levels of cholesterol esters and triglycerides, compared to the Mboat7WT mice. Mboat7 deficiency resulted in severe inflammation, and fibrosis confirmed by histological, transcriptomic, and flow cytometry analyses. Notably, arachidonic acid-derived eicosanoids, including 5-HETE and 20-HETE, were significantly elevated in livers of ethanol-fed Mboat7Δhep mice and ALD patients with the rs641738 C>T risk variant. Treatment of ethanol-fed Mboat7Δhep mice with a 20-HETE inhibitor reduced hepatic accumulation of monocytes and macrophages, and reduced inflammatory markers such as Vcam1, Ccr2, IL1rn, and Cxcl10 (P<0.05) mitigating inflammation. This decreased inflammation corroborated with decreased fibrosis markers, particularly Col1a1, Col3a1 and Col4a2 (P<0.05).
Conclusion: Hepatocyte-specific MBOAT7 deficiency promotes inflammation and fibrosis in ALD via arachidonic acid-derived eicosanoids, highlighting potential therapeutic targets for managing this disease.

10:42 – 10:48

KV 096 Preclinical Evaluation of Human ABCB5⁺ Skin-Derived Stem Cells Reveals Regenerative Mechanisms and Prognostic Markers in a Novel ACLF Mouse Model

Lukas Neckermann (Mannheim)

KV 096 Preclinical evaluation of human ABCB5⁺ skin-derived stem cells reveals regenerative mechanisms and prognostic markers in a novel ACLF mouse model

L. Neckermann1, P. Erdösi1, L. Zhang2, I. Assum3, A. Dropmann1, S. Alaoua4, M. Buettner3, T. Lin1, M. Gerstner5, M. Ebert6, H. Bantel4, S. Dooley1, A. Kluth5, M. Menden3, C. Martinez-Jimenez2, S. Hammad1

1II Med, Medical Faculty Mannheim, University Heidelberg, Molecular Hepatology, Mannheim, Deutschland, 2Helmholtz Munich, Neuherberg, Deutschland, 3Helmholtz Munich, Munich, Deutschland, 4Department of Gastroenterology, Hepatology and Endocrinology, Hannover Medical School, Hannover, Deutschland, 5RHEACELL GmbH and Co KG, Heidelberg, Deutschland, 6University Medical Center Mannheim, Medical Faculty Mannheim, Heidelberg University, Mannheim, Deutschland

Acute-on-chronic liver failure (ACLF) is a life-threatening condition in chronic liver disease (CLD) patients, often triggered by a precipitating event such as drug or viral infection. High short-term mortality (>30% within 28 days) and the lack of predictive biomarkers or effective therapies demand new preclinical approaches. We established a novel in vivo model using aged Abcb4/Mdr2-/- mice (60–65 weeks), which develop cholestatic CLD1, in combination with a sublethal dose of hepatotoxic compound (CCl₄) to mimic ACLF. This model reproduces key ACLF features including acute decompensation on CLD background, multi-organ failure, and a critical 24-hour “golden window” predicting divergent outcomes: survival with massive hepatic necrosis and recovery, versus rapid death with minimal necrosis. Using a time-resolved transcriptomic and proteomic profiling, we identified two distinct disease trajectories: a recovery-associated metabolic signature (e.g. Acot1, Hmgcs1, G6pc), and an injury-driven inflammatory signature (e.g. Fgg, Itgam, Cd63). These molecular patterns were conserved in human ACLF datasets and associated with disease severity. ROC analysis revealed nine candidate biomarkers (e.g. Abhd4, Cd14, Slc38a2) for early prognosis. Single-nucleus RNA sequencing uncovered distinct cell populations, including hepatocytes and immune cells with enriched pro-apoptotic and ROS pathways in poor-outcome mice. To address the therapeutic impact, we tested human ABCB5+ skin-derived mesenchymal stem cells and their macrophage-stimulated secretome. These stem cells enhanced hepatocyte function in vitro (e.g. albumin production), and, applied intravenously, are being evaluated in vivo for their impact on tissue injury, inflammation, regeneration, and survival. Preliminary results indicate a shift in clinical outcome in mice, with an increased survival in the ABCB5 stem cell-treated group, suggesting a potential reduction in the proportion of poor-prognosis cases.
1 Hammad, S., Cavalcanti, E., Werle, J., Caruso, M. L., Dropmann, A., Ignazzi, A., Ebert, M. P., Dooley, S., & Giannelli, G. (2018). Galunisertib modifies the liver fibrotic composition in the Abcb4Ko mouse model. Archives of toxicology, 92(7), 2297–2309. https://doi.org/10.1007/s00204-018-2231-y

10:50 – 10:56

KV 097 Rolle von Leptin in der Pathophysiologie der ACLF-Entstehung bei Leberzirrhose

Kurzvortragssitzung

Hepatobiliäre Chirurgie: Technische Innovation und Komplikationsmanagement

11:05 – 12:22

Fr 19.09.

Vortragsraum 10

Open Accordion - Icon Close Accordion - Icon

Vorsitz: Linda Feldbrügge (Hannover) und Daniel Seehofer (Leipzig)

11:05 – 11:10

KV 167 Intraoperative ICG-Fluoreszenz als Methode zur Darstellung der Gallenwege bei doppelt angelegter Gallenblase im Rahmen der elektiven Cholezystektomie

Jiri Nikl (Neumarkt in der Oberpfalz)

KV 167 Intraoperative ICG-Fluoreszenz als Methode zur Darstellung der Gallenwege bei doppelt angelegter Gallenblase im Rahmen der elektiven Cholezystektomie

J. Nikl1, M. Boris1, R. Winkels1, B. Rau1

1Klinikum Neumarkt, Klinik für Allgemein-, Viszeral- und Thoraxchirurgie, Neumarkt in der Oberpfalz, Deutschland

Einleitung: Die doppelte Gallenblase ist eine seltene anatomische Anomalie der Gallenblase, die bei etwa 1:5000 Patienten auftritt [1]. In der Literatur werden verschiedene Anomalien der Gallenblase beschrieben, wie z.B. getrennt angelegte doppelte Gallenblase oder Varianten des Ductus zysticus (einfach, doppelt). Wenn eine Cholezystektomie erforderlich ist, stellen diese Anomalien oft eine intraoperative chirurgische Herausforderung dar.
Ziele: Verbesserung der Sicherheit der laparoskopischen Cholezystektomie bei absehbaren anatomischen Gallengangsvariationen durch die Nutzung von ICG-Fluoreszens.
Methodik: 60 Minuten vor Operationsbeginn erfolgte die intravenöse Applikation von 15 mg Indocyaningrün (Verdye, Fa. Diagnostic Green). Während der Resektion wurde zur Verifizierung der anatomischen Strukturen intermittierend eine Fluoreszenzcholangiographie durchgeführt.
Ergebnis: In unserem Fall handelte es sich um einen 58-jährigen Patienten, der sich zunächst wegen rechtsseitiger Oberbauchschmerzen vorstellte. Im Rahmen der CT-Diagnostik ergab sich der Verdacht auf eine doppelte Gallenblase mit Sludge. Bei chronischer Cholezystitis mit rezidivierenden Beschwerden wurde die Indikation zur operativen Versorgung gestellt. Intraoperativ bestätigte sich das Bild einer doppelten Gallenblase mit doppeltem Ductus zysticus. Intraoperativ erfolgte Darstellung der Gallengänge mittels ICG-Fluoreszenz, so dass nach sicherer Identifizierung des DHC und beider Ductus zysticus eine sichere Cholezystektomie durchgeführt werden konnte. Der Patient konnte regelrecht am 3. postoperativen Tag entlassen werden.
Schlussfolgerung: Die intraoperative Anwendung von ICG-Fluoreszenz kann eine gute und sichere nicht-invasive Option zur Darstellung der Gallenwege darstellen.
Literatur: [1] Boyden EA. The accessory gallbladder: an embryological and comparative study of aberrant biliary vesicles occurring in man and the domestic mammals. Am J Anat 1926

11:12 – 11:17

KV 168 Technical aspects, safety, and learning curve of laparoscopic cholecystectomy using a reusable bipolar clamp: a risk-adjusted cusum analysis of 780 cases operated by surgical trainees

Rizky Widyaningsih

KV 168 Technical aspects, safety, and learning curve of laparoscopic cholecystectomy using a reusable bipolar clamp: a risk-adjusted cusum analysis of 780 cases operated by surgical trainees

R. Widyaningsih1, O. Ghamarnejad1, D. Kardassis1, H. Javaheri2, A. Gharbi1, G.A. Stavrou1

1Klinikum Saarbrücken, Klinik für Allgemein- und Viszeralchirurgie, Chirurgische Onkologie, Saarbrücken, Deutschland, 2Deutsches Forschungszentrum für Künstliche Intelligenz (DFKI), Kaiserslautern, Deutschland

Introduction: Laparoscopic cholecystectomy (LC) is a common procedure and a key component of surgical training. However, balancing resident education with patient safety remains a challenge. While monopolar electrocautery is traditionally used, the reusable bipolar clamp (BiClamp) may offer advantages, though its role in LC has not been fully evaluated.
Aim: This study aimed to assess the technical aspects, safety, and learning curve associated with a standardized LC technique using the BiClamp, performed by surgical residents.
Methods: A total of 780 consecutive LCs performed by seven surgical residents from 2018 to 2024 were retrospectively analyzed. Only residents without prior LC experience were included. All relevant perioperative outcomes were evaluated. Learning curves were assessed using CUSUM and risk-adjusted CUSUM (RA-CUSUM) analyses based on operation time (OT) and surgical failures, defined as extended OT, intraoperative complications, or conversion to open surgery.
Results: No intraoperative biliary or vascular injuries occurred. Conversion to open surgery was necessary in only 0.3% of cases. The overall mean OT was 57.2 ± 16.5 minutes and surgical failure occurred in 10.6% of cases. The learning phase lasted 8–18 procedures, with proficiency reached after 21–97 cases. RA-CUSUM analyses confirmed performance improvements despite increasing case complexity.
Conclusion: LC using the BiClamp is a safe and effective technique for surgical training, with a relatively short learning curve. These findings support its integration into standardized LC protocols for residents, though further multicenter validation is warranted.

CUSUM analaysis of each surgical resident for operation time.

Risk-adjusted CUSUM analaysis of each surgical resident for surgical failure.

Perioperative data of patients.

11:19 – 11:24

KV 169 Einfluss des Body-Mass-Index auf das Outcome nach robotischer Leberresektion

Haluk Morgül (Münster)

KV 169 Einfluss des Body-Mass-Index auf das Outcome nach robotischer Leberresektion

S. Katou1, S. Oecal1, A. Geiseler1, A. Andreou1, F. Becker1, A. Pascher1, B. Strücker1, H. Morgül1

1Universitätsklinikum Münster, Klinik für Allgemein-, Viszeral-, und Transplantationschirurgie, Münster, Deutschland

Einleitung: Die robotische-assitierte Operation gewinnt zunehmend an Bedeutung im Bereich der Leberchirurgie und zeigt vergleichbare operative und onkologische Ergebnisse. Der Body-Mass-Index (BMI) wurde mit einer erhöhten postoperativen Komplikationsrate nach offener und laparoskopischer Leberresektion in Verbindung gebracht. In diesem Kontext wurde die robotisch-assitierte Leberchirurgie nicht ausreichend untersucht.
Ziele: Unser Ziel war es, den Einfluss des BMI auf die robotische Leberchirurgie zu untersuchen.
Methodik: Die Patient*innen, die sich von 2018 bis 2024 in unserem Zentrum einer robotischen Leberresektion unterzogen, wurden retrospektiv erfasst. Die Patient*innen wurden nach präoperativem BMI in zwei Gruppen eingeteilt: normalgewichtig (A: <25 kg/m2), übergewichtig (B ≥25 kg/m2). Die Korrelation zwischen dem BMI und ausgewählten perioperativen Outcome-Parametern wurden analysiert.
Ergebnisse: Insgesamt konnten Daten von 125 Patient*innen im Alter zwischen 21 und 86 Jahren in die Analyse einbezogen werden. In der Gruppe A (normalgewichtig) waren 53 Patient*innen, hingegen waren in der Gruppe B (übergewichtig) 72 Patient*innen. Der mediane BMI war zwischen den Gruppen signifikant unterschiedlich (A: 23,5 [15,4-24,9] vs. B: 27,9 [25-46,2]. Hinsichtlich der demographischen Daten und des Ausmaßes der Resektion (major/minor Hepatektomie) gab es keine Unterschiede zwischen den beiden Gruppen. Die mediane Operationszeit betrug 220 Minuten [26-725] für Gruppe A und 272 Minuten [37-671] für Gruppe B ohne signifikanten Unterschied. Die Aufenthaltsdauer, die Dauer auf der Intensivstation, sowie die Komplikationsrate zeigten keine Unterschiede zwischen den Gruppen.
Schlussforderung: Die robotische Leberresektion könnte für adipöse Patient*innen gut geeignet sein, da ein höherer BMI die Operationsdauer und das Kurzzeit-outcome nicht zu beeinträchtigen scheint.

11:26 – 11:31

KV 170 Gegensätzliche prognostische Effekte der TTCT- und BCP-Mutationen bei chronischer HBV: Modulation von oxidativem Stress, mitochondrialer Funktion und fibroseassoziierten Signalwegen

Esra Görgülü (Frankfurt am Main)

KV 170 Gegensätzliche prognostische Effekte der TTCT- und BCP-Mutationen bei chronischer HBV: Modulation von oxidativem Stress, mitochondrialer Funktion und fibroseassoziierten Signalwegen

E. Görgülü1, M. Basic2, M. Glitscher2, A. Schollmeier2, K. Thiyagarajah2, A. Kubesch-Grün1, F. Finkelmeier1, S. Zeuzem1, K.-H. Peiffer3, E. Hildt2

1Universitätsmedizin Frankfurt, Medizinische Klinik I, Frankfurt am Main, Deutschland, 2Paul-Ehrlich-Institut, Langen, Deutschland, 3Universitätsklinikum Münster, Münster, Deutschland

Einleitung: Bei inaktiven Trägern des Hepatitis-B-Virus (HBV) ist die vierfache Mutation GCAC1809-1812TTCT (TTCT) im Basal Core Promoter (BCP) und im HBx-Gen lokalisiert. Sie tritt häufig gemeinsam mit der BCP-Doppelmutation A1762T-G1764A auf. Diese Kombination ist mit einem niedrigeren HBV-DNA-Spiegel und damit mit einer günstigeren Prognose assoziiert. Frühere in-vitro-Daten deuten auf eine verminderte Replikation und reduzierte HBeAg-Spiegel hin.
Ziele: Ziel dieser Studie war es, die funktionelle Rolle der TTCT-Mutation im genomischen Kontext von HBV zu untersuchen. Besonderes Augenmerk lag auf der Analyse positionsabhängiger Effekte in supragenomischen Konstrukten sowie auf potenziellen Auswirkungen auf Signaltransduktion, oxidativen Stress und mitochondriale Funktion, mit Blick auf eine mögliche Bedeutung als prognostischer Marker.
Methodik: Supragenomische Konstrukte, die entweder nur die BCP-Doppelmutation oder zusätzlich die TTCT-Mutation in der Core-Region, im HBx oder in beiden Regionen enthielten, wurden in Huh7-Zellen transfiziert. Anschließend wurden Kinome-Profiling, Luciferase-Reporter-Assays, Durchflusszytometrie zur Quantifizierung reaktiver Sauerstoffspezies (ROS) sowie Immunfluoreszenz zur Bestimmung der subzellulären Verteilung von HBx durchgeführt.
Ergebnis: Kinome-Analysen zeigten, dass TTCT-Mutanten eine signifikante Dysregulation fibroseassoziierter Kinasen und inflammatorischer Signalwege verursachten, darunter eine 1,5-fache Aktivierung von MAPK- und Zellzykluskinasen im Vergleich zu BCP-Mutanten (p < 0,05). Zudem wurde eine gesteigerte Nrf2/ARE-abhängige Promotoraktivität (2-fache Erhöhung der NQO1-Expression; p < 0,05) sowie eine Reduktion ROS-positiver Zellen beobachtet. Immunfluoreszenzanalysen belegten eine veränderte HBx-Subzellverteilung, reduzierte Mitochondrien-Kolokalisation und geringere mitochondriale Fragmentierung.
Schlussfolgerung: Die TTCT-Mutation, insbesondere in der HBx-Region, zeigt Mechanismen, die zu einer Abschwächung oxidativen Stresses, zu veränderter mitochondrialer Dynamik und zu einer Modulation fibroseassoziierter Signalwege führen. Diese Ergebnisse liefern einen Erklärungsansatz für die prognostisch günstige Wirkung von TTCT bei chronischer HBV-Infektion und unterstreichen ihr Potenzial als funktioneller Biomarker.

Abb. 1: (A) puc18 (B) Wildtyp (C) BCP (D) BCP+TTCT Repräsentative konfokale Mikroskopieaufnahmen von Zellen, die mit verschiedenen supragenomischen Konstrukten transfiziert und 48 Stunden nach Transfektion geerntet wurden. Die Zellen wurden mit einem Antikörper gegen HBx (grün) und einem TOM20-Antikörper (rot) zur Darstellung der äußeren Mitochondrienmembran immungefärbt. Zellkerne wurden mit 4′,6-Diamidin-2-phenylindol (DAPI) (blau) gegengefärbt.

11:33 – 11:38

KV 171 Robotische Leberchirurgie bei Senioren: Single-Center Erfahrung

Lea Große-Schute (Münster)

KV 171 Robotische Leberchirurgie bei Senioren: Single-Center Erfahrung

L. Große-Schute1, S. Katou1, F. Kneifel1, A. Andreou1, F. Becker1, B. Strücker1, A. Pascher1, H. Morgül1

1Universitätsklinikum Münster, Klinik für Allgemein-, Viszeral- und Transplantationschirurgie, Münster, Deutschland

Einleitung: Mit dem demografischen Wandel nimmt die Anzahl der Leberresektionen bei älteren Patienten kontinuierlich zu. Diese Patientengruppe weist häufig eine Vielzahl relevanter Komorbiditäten auf, die das perioperative Risiko erhöhen. In diesem Kontext wurde der Stellenwert der robotischen Leberchirurgie nicht ausreichend untersucht.
Ziele: Ziel dieser retrospektiven Studie war der Vergleich der Sicherheit und Effektivität robotischer gegenüber offener Leberchirurgie bei Patienten im Alter von ≥70 Jahren an einem universitären HPB-Zentrum.
Methodik: In die Analyse wurden alle Patient*innen ≥ 70 Jahre eingeschlossen, die in der Zeit zwischen 2011 und 2024 eine offene oder robotische Leberteilresektion bekamen. Basierend auf der ASA-Klassifikation erfolgte eine Charakterisierung des präoperativen Risikoprofils. Postoperative Ergebnisse wurden anhand der Länge des stationären Aufenthalts, der Aufenthaltsdauer auf der Intensivstation sowie der Komplikationsraten gemäß Clavien-Dindo-Klassifikation und Comprehensive Complication Index (CCI) beurteilt. Eine Subgruppenanalyse wurde für Patienten mit ASA 2 oder 3 durchgeführt. Des Weiteren erfolgte ein Matching zwischen den Gruppen anhand Kovariablen wie Alter, Geschlecht, Tumorentität und -größe.
Ergebnisse: In dem Beobachtungszeitraum wurde bei 170 Patient*innen im Alter von ≥70 Jahren eine Leberresektion durchgeführt. Von diesen Patient*innen wurden 138 offen und 32 robotisch operiert. Beide Gruppen waren hinsichtlich Alter, BMI, Tumorgröße und Geschlecht vergleichbar. Die robotisch operierten Patient*innen zeigten eine signifikant kürzere Verweildauer im Krankenhaus (Median für offene Resektionen 21 Tage, für robotische Resektionen 10 Tage) und auf der Intensivstation (Median für offene Resektionen 6 Tage, für robotische Resektionen 1 Tag) sowie eine geringere Rate an postoperativen Komplikationen (CCI, p=0,0351). Diese Vorteile blieben auch in der Subgruppenanalyse der ASA-2- und ASA-3-Patienten bestehen. Insbesondere bei ASA-3-Patienten war die Komplikationsrate nach robotischer Resektion signifikant niedriger.
Schlussfolgerung: Die robotische Leberchirurgie ist bei Patienten ≥70 Jahren mit einer signifikanten Reduktion postoperativer Morbidität sowie kürzeren stationären Verläufen assoziiert. Auch bei vorbestehender Komorbidität (ASA 2/3) erweist sich der robotische Ansatz als überlegen. Die Ergebnisse unterstreichen die Rolle der robotischen Leberchirurgie als sichere Therapie bei älteren Patient*innen.

11:40 – 11:45

KV 172 Die robotisch assistierte Minor- und Major-Leberchirurgie reduziert das Komplikationsrisiko bei sonst gleichartiger Ergebnisqualität

Alexander Wilk (Bochum)

KV 172 Die robotisch assistierte Minor- und Major-Leberchirurgie reduziert das Komplikationsrisiko bei sonst gleichartiger Ergebnisqualität

A. Wilk1, M. Mazgaldzhi1, T. Brechmann2, C. Braumann3, B. Mann1

1Augsta-Kranken-Anstalt, Chirurgie, Bochum, Deutschland, 2Knappschaftskrankenhaus, Gastroenterologie, Bottrop, Deutschland, 3Evangelisches Klinikum, Chirurgie, Gelsenkirchen, Deutschland

Einleitung: Die Leberchirurgie stellt traditionell eine Domäne der offenen Chirurgie dar. Es gibt Hinweise dafür, dass durch den Einsatz des Da Vinci OP-Assistenzsystems auch komplexe Leberresektionen erfolgreich minimal-invasiv durchgeführt werden können.
Ziele: Historischer Vergleich der offenen vs. robotisch assistierten Leberchirurgie mit dem primärem Endpunkt der Komplikationsrate nach Clavien-Dindo I bis V. Sekundäre Endpunkte waren der intraoperative Blutverlust, die OP-Dauer, die postoperative Liegezeit und die Resektionsergebnisse (R-Status).
Methodik: Monozentrische, retrospektive Analyse eines Patientenkollektives, welches zwischen 2010 und 2024 einem leberresezierenden Verfahren bei benigner oder maligner Lebererkrankung unterzogen wurde. Die Statistik umfasste deskriptive Statistik mit Median und Interquartilweite (IQR) sowie Interferenzstatistik mit Varianzanalyse (ANOVA), Chi2-Test oder exakter Test nach Fisher sowie Wilcoxon-Test und Bestimmung der Effektstärken. Zusätzlich erfolgten eine Regressionsanalyse als auch eine Subgruppenanalyse der Major-Resektionsgruppe.
Ergebnis: Es wurden 185 Patienten eingeschlossen (offen-chirurgisch (OLR) n = 86, robotisch (RLR) n = 99). Die robotisch assistierte Leberchirurgie ging mit einem signifikant reduzierten Blutverlust, einem kürzeren Intensivaufenthalt und Gesamtaufenthalt einher (Tabelle 1).
Hinsichtlich des primären Endpunktes zeigte sich, dass die Minor/Major-Komplikationsrate nach Clavien-Dindo mit mittlerer bis hoher Effektstärke signifikant seltener auftrat (OLR vs. RLR p = 0.011, Minor dCohen= 1,324, Major dCohen= 0,4203 ).
Die Regressionsanalyse ergab, dass das operative Verfahren das Auftreten von Komplikationen am besten vorhersagen konnte (OLR vs. RLR p = 0.004). Vergleiche in der Subgruppenanalyse der Major-Resektionen zeigten signifikant kürzere Intensivaufenthalte (OLR 2 Tage vs. RLR 1 Tag, p = 0.002), Gesamtaufenthalte (OLR 14 Tage vs. RLR 10.5 Tage, p=0.027) und geringeren Blutverlust (EBL OLR 650 ml vs RLR 300 ml, p = 0.008).
Schlussfolgerung: Die robotisch assistierte geht gegenüber der konventionellen Leberchirurgie bei gleichartiger Resektionsqualität mit einem reduzierten Komplikationsrisiko, geringeren intraoperativen Blutverlust und kürzerem Intensiv- und Krankenhausaufenthalt einher. Eine prospektiv-randomisierte Studie sollte die Ergebnisse der retrospektiven Studien bestätigen.

Tabelle 1

OLR RLR P-WertA
nB 86 99 0.917
Minor/Major-Resektion 52/34 60/38 0.917
EBL (ml) 400 200 0.013
ICU (Tage) 1.0 [2.3]C 1.0 [1.0]C < 0.001
Gesamtaufenthalt (Tage) 13.0 [14.0]C 9.0 [8.0]C < 0.001
R-Status (R0) 79 (91.9%) 85 (89.5%) 0.990

AP < 0.05: statistische Signifikanz
B n= Stichprobe
C Median [Interquartilbereich]

Abkürzungen:
OLR: Offene Leberresektion; RLR: Robotische Leberresektion; EBL: geschätzter Blutverlust; ICU: Intensivaufenthalt;

11:47 – 11:52

KV 173 Implementierung eines robotischen Leberchirurgieprogramms – Vergleich von klinischen Outcomes und ökonomischen Parametern nach robotischer vs. offener Leberresektion anhand einer prospektiven Datenbank

Daniel Eckhardt (Nürnberg)

KV 173 Implementierung eines robotischen Leberchirurgieprogramms – Vergleich von klinischen Outcomes und ökonomischen Parametern nach robotischer vs. offener Leberresektion anhand einer prospektiven Datenbank

D. Eckhardt1, V. Vaas1, L.-M. Evers1, P. Heger1, M. Wittmann1, M.K. Diener1, F.J. Hüttner1

1Klinikum Nürnberg, Klinik für Allgemein-, Viszeral- und Thoraxchirurgie, Nürnberg, Deutschland

Einleitung: Die minimalinvasive Leberchirurgie gewinnt zunehmend an Bedeutung. Bisher existieren jedoch nur begrenzte Daten zur robotischen Leberchirurgie im Vergleich zur offenen Leberchirurgie im deutschen Gesundheitswesen.
Ziele: Ziel dieser Arbeit ist es, die Implementierung der robotischen Leberchirurgie an einem Maximalversorger abzubilden und die Ergebnisse mit offenen Resektionen hinsichtlich klinischer Outcomes und Ökonomie zu vergleichen.
Methodik: In die Analyse wurden erwachsene Patienten mit lebereigenen Tumoren oder Metastasen, die von 11/2023 bis 03/2025 in kurativer Intention am Klinikum Nürnberg operiert wurden, eingeschlossen. Die Patientenauswahl erfolgte durch eine prospektiv geführte REDCap-Datenbank. Patienten mit Klatskin-Tumoren, Leberzysten oder Echinokokkose wurden ausgeschlossen. Erfasst wurden klinische Charakteristika, Details operativer Verfahren, perioperative Parameter, Komplikationen, 90-Tage-Mortalität und Lebensqualität mittels EQ-5D-Fragebogens 90 Tage postoperativ. Neben deskriptiver Methoden wurden kategoriale Variablen mit Chi²-Test und kontinuierlicher Variablen mittels Mann-Whitney-U-Test (Signifikanzniveau α = 0,05) verglichen.
Ergebnis: Insgesamt wurden 97 Patienten operiert, davon 47 (48,5 %) robotisch und 50 (51,5 %) offen. Die häufigsten Indikationen waren kolorektale Lebermetastasen (n = 34; 35,1 %) und hepatozelluläre Karzinome (n = 32; 33,0 %). Major-Resektionen erfolgten bei 25,5 % der Patienten der robotischen Gruppe und bei 34,0 % der offenen Gruppe (p = 0,491).
Zwischen den beiden Gruppen bestanden keine signifikanten Unterschiede hinsichtlich der R0-Resektionsraten, der postoperativen Komplikationen oder der postoperativen Lebensqualität. In der robotischen Gruppe waren intraoperativer Blutverlust, die Operationsdauer und postoperative Krankenhausverweildauer signifikant geringer. Der mediane IWATE-Score war in der robotischen Gruppe signifikant niedriger.
Detaillierte Kostenanalysen für Major- und Minor-Resektionen werden im Rahmen des Kongresses präsentiert.
Schlussfolgerung: Ein robotisches Leberchirurgieprogramm kann in kurzer Zeit mit vielversprechenden Ergebnissen implementiert werden. Als wichtige Stellglieder für eine erfolgreiche Implementierung von minor und major Resektionen haben sich ein standardisiertes Vorgehen im Team, eine geeignete initiale Patientenauswahl durch einen erfahrenen Leberchirurgen (IWATE-Score) und eine strukturierte Fehleranalyse am Zentrum erwiesen.

11:54 – 11:59

KV 174 Interventionspflichtige benigne Gallengangsstenosen nach SIRT bei Patienten mit hepatozellulärem Karzinom: eine unizentrische retrospektive Auswertung

Leonie Sarah Jocheim (Essen)

KV 174 Interventionspflichtige benigne Gallengangsstenosen nach SIRT bei Patienten mit hepatozellulärem Karzinom: eine unizentrische retrospektive Auswertung

L.S. Jocheim1,2, H. Steinberg-Vorhoff3, S. Himmen2, K. Herrmann2, J.M. Schütte1, J. Best1, H.H.-J. Schmidt1, C. Schramm1, P. Grunert1, G. Rahe1

1Universitätsklinikum Essen, Klinik für Gastroenterologie, Hepatologie und Transplantationsmedizin, Essen, Deutschland, 2Universitätsklinikum Essen, Klinik für Nuklearmedizin, Essen, Deutschland, 3Universitätsklinikum Essen, Institut für Diagnostische und Interventionelle Radiologie und Neuroradiologie, Essen, Deutschland

Hintergrund: Die selektive interne Radiotherapie (SIRT) mit Yttrium-90-Mikrosphären ist ein etablierter Bestandteil der HCC-Therapie und findet sowohl in frühen Stadien (BCLC 0/A) als segmentale SIRT in kurativer Intention als auch im intermediären (BCLC B) und fortgeschrittenen Stadium (BCLC C) Anwendung. Trotz selektiver intraarterieller Applikation stellen radiogen induzierte Gallengangsstenosen eine relevante Komplikation dar. Ziel dieser Arbeit war die strukturierte Erfassung und Charakterisierung posttherapeutischer, interventionsbedürftiger Gallengangsstenosen nach SIRT.
Methoden: Es wurde eine retrospektive Analyse aller HCC-Patienten durchgeführt, die zwischen Januar 2020 und Februar 2025 am Universitätsklinikum Essen eine SIRT sowie eine postinterventionelle ERCP erhielten. Erfasst wurden demografische Daten, Tumorstadium vor SIRT (BCLC), Applikationsart (segmental, lobär, bilobär), applizierte Strahlendosis, Tumorstadium zum Zeitpunkt der Stenose sowie endoskopische Befunde und durchgeführte Interventionen wie Dilatationen oder Stenteinlage.
Ergebnisse: Von den insgesamt 372 Patienten, die eine SIRT erhalten haben, wurden 19 Patienten mit HCC identifiziert, bei denen post-SIRT eine ERCP durchgeführt wurde. In 7 Fällen konnte ein Kausalzusammenhang zwischen der SIRT und der Cholestase sicher ausgeschlossen werden; bei einem Patienten lag bei unauffälligem Cholangiogramm a.e. ein parenchymatöser Leberschaden vor. Bei 11 Patienten wurde im Intervall von 22,9 ± 17,04 Monaten nach SIRT eine Gallengangsstenose diagnostiziert, jeweils im bestrahlten Lebersegment. In 11 Fällen erfolgte eine Stentimplantation, in 6 Fällen zusätzlich eine Ballondilatation. Zum Zeitpunkt der ERCP zeigten 2 der 11 Patienten eine lokale Tumorprogression; bei den übrigen war die Erkrankung stabil oder zeigte eine partielle bzw. komplette Remission.
Schlussfolgerung: Interventionsbedürftige Gallengangsstenosen können auch bei selektiver Applikation eine relevante Spätkomplikation nach SIRT beim HCC darstellen, insbesondere wenn die Läsion topografisch dem bestrahlten Segment zuzuordnen ist. Die beobachteten Befunde traten unabhängig von einer aktiven Tumorprogression auf und erforderten überwiegend eine endoskopische Intervention. Zur weiteren Charakterisierung ist eine Cholangioskopie mit gezielter Biopsie zur histologischen Charakterisierung potenziell strahlenassoziierter Fibrosierungen vorgesehen. Zudem ist die Analyse einer größeren Kohorte essentiell.

12:01 – 12:06

KV 175 A novel algorithm for the diagnosis and treatment of different types of bile leakage following hepatectomy with bilioenteric anastomosis

12:08 – 12:13

KV 176 Nonselective beta-blocker therapy: a potential risk factor for posthepatectomy portal vein thrombosis in cirrhotic patients

Schaima Abdelhadi (Mannheim)

KV 176 Nonselective beta-blocker therapy: a potential risk factor for posthepatectomy portal vein thrombosis in cirrhotic patients

S. Abdelhadi1, M. El-Ahmar1, C. Reissfelder1, F. Sandra-Petrescu1

1Universitätsmedizin Mannheim, Medical Faculty Mannheim, Heidelberg University, Mannheim, Germany, Mannheim, Deutschland

Background: Posthepatectomy portal vein thrombosis (PH-PVT) is a rare but serious complication after liver resection, especially in cirrhotic patients. Nonselective beta-blockers (NSBBs), commonly used to manage portal hypertension, may increase PH-PVT risk due to their hemodynamic effects.
Methods: A retrospective cohort study was conducted in cirrhotic patients undergoing elective liver resection between April 2018 and October 2024. Patients were grouped based on preoperative NSBB use. Clinical and operative data were analyzed to identify risk factors for PH-PVT, with the primary outcome being the incidence of PH-PVT within 90 days postoperatively.
Results: Among 84 patients included, 14 (17%) received NSBB therapy. PH-PVT occurred in 9% of the total cohort, with a remarkably higher incidence in the NSBB group (50%) compared to the non-NSBB group (1%, p < 0.01). Multivariate analysis identified NSBB use (odds ratio [OR]: 45.23; 95% CI: 5.74–1005.62; p = 0.002), prolonged operative time (OR: 1.01; 95% CI: 1.00–1.01; p = 0.041), and extended Pringle maneuver duration (OR: 1.07; 95% CI: 1.02–1.21; p = 0.007) as independent risk factors for PH-PVT. While postoperative complications were significantly higher in the NSBB group compared to the non-NSBB group (78% vs. 41%, p = 0.02), the risk of Esophageal variceal bleeding was rare and occurred at comparable rates in both groups (NSBB: 0%, non-NSBB: 1%, p = 0.65).
Conclusion: NSBBs significantly increase the risk of PH-PVT in cirrhotic patients undergoing liver resection. Although NSBBs are effective in preventing variceal bleeding, their perioperative use requires caution due to the heightened thrombotic risk. Tailored risk stratification and individualized therapeutic strategies are essential to mitigate this risk while maintaining the benefits of NSBB therapy.

12:15 – 12:20

KV 177 Enhancing patient comprehension in liver resection informed consent: A randomized controlled trial using augmented reality and 3D visualization technologies (EPIC-AR trial)

Schaima Abdelhadi (Mannheim)

KV 177 Enhancing patient comprehension in liver resection informed consent: A randomized controlled trial using augmented reality and 3D visualization technologies (EPIC-AR trial)

S. Abdelhadi1, F. Sandra-Petrescu1, C. Reissfelder1, C. Yang1

1Universitätsmedizin Mannheim, Medical Faculty Mannheim, Heidelberg University, Mannheim, Germany, Mannheim, Deutschland

Background: Informed consent is a fundamental ethical requirement and a legal obligation in all surgical procedures. It involves a clear, mutual understanding between the patient and the surgeon about the nature of the surgery, potential risks, benefits, and alternatives. However, the complexity of surgical procedures, especially liver resection, poses significant challenges to the informed consent process. Traditional methods, predominantly verbal explanations supplemented by static images, often fall short in adequately conveying the intricate details of the surgery. This gap in understanding can lead to anxiety, dissatisfaction, and a lack of informed decision-making among patients. Previous research has demonstrated that three-dimensional (3D) presentations improve the identification of liver anatomy and 3D liver model-based surgical education improves preoperative decision-making and patient satisfaction. Recent advancements in augmented reality (AR) and 3D visualization technologies offer a more dynamic and interactive way of presenting complex surgical information, potentially enhancing patient understanding and satisfaction. However, the effectiveness of these technologies in the context of informed consent for liver resection remains underexplored. The primary objective of this trial, is to assess whether the use of AR and 3D visualization technologies can improve the clarity and effectiveness of informed consent dialogues compared to traditional methods.
Methods: This is a prospective randomized, controlled trial with two parallel study groups. The primary objective of this trial is to evaluate the impact of augmented reality (AR) and 3D visualization technologies on patient satisfaction during the informed consent process for liver resection.
Results:
Trial Duration and Dates:
Start to end dates: February 2025 to June 2025
Statistical analysis and report: June 2025
Trial objectives and endpoints:
Primary objective
The primary objective of the EPIC-AR Trial is to evaluate the impact of augmented reality (AR) and 3D visualization technologies on patient satisfaction during the informed consent process for liver resection. This will be assessed using detailed patient satisfaction surveys immediately following the consent dialogue.

Kurzvortragssitzung

Autoimmune und cholestatische Lebererkrankungen: neue Wege in der Behandlung

14:45 – 16:21

Fr 19.09.

Seminarraum 14 + 15

Open Accordion - Icon Close Accordion - Icon

Vorsitz: Frederic Haedge (Aachen) und Britta Zecher (Hamburg)

14:45 – 14:51

KV 098 Multiomics-based risk prediction tool for early identification of AIH patients

Julius Jaeger

KV 098 Multiomics-based risk prediction tool for early identification of AIH patients

J. Jaeger1, P.-H. Koop2, J. Clusmann2,3, C.V. Schneider3, K.M. Schneider1,4

1Medizinische Klinik I, Universitätsklinikum Carl Gustav Carus Dresden, Dresden, Deutschland, 2Else Kroener Fresenius Center for Digital Health, Medical Faculty Carl Gustav Carus, TUD Dresden University of Technology, Dresden, Deutschland, 3Klinik für Gastroenterologie, Stoffwechselerkrankungen und Internistische Intensivmedizin (Med. Klinik III), Universitätsklinik RWTH Aachen, Aachen, Deutschland, 4Center for Regenerative Therapies Dresden (CRTD), Technische Universität Dresden, Dresden, Deutschland

Background and Aims: Autoimmune hepatitis (AIH) is a chronic liver disease characterised by an autoimmune response against hepatocytes. Early diagnosis is crucial in preventing disease progression. However, it remains challenging due to the limited availability of appropriate diagnostics, such as liver biopsy. In this study, we aim to develop a risk prediction tool based on widely available biomarkers to identify patients-at-risk populations, that could benefit from a more elaborated or AIH-focused diagnostic approach.
Methods: Using the 319 participants within the UKBiobank, that were diagnosed with an autoimmune hepatitis at least one year after the comprehensive baseline examination, we built a predictive risk estimation model based on the coded ICD-10 diagnoses within the National Health Service (NHS) hospital records. We split the dataset into a training (80%) and testing set (20%). The training was performed in 5 fold cross validation to allow hyperparameter tuning and the 5 trained models were further combined into one mean voting algorithm.
Results: The evaluation of the predictive performance on the test-set showed that, depending on the time of readout, we can archive areas under the receiver operating characteristics curve for the binary classification of up to 0.8, with AST, sex, GGT and CRP being upon the most important features. The predictive performance decreases over time after the peak at around 6 years hinting at the limited prognostic horizon.
Conclusion: In this study, we developed an AIH risk prediction tool based on widely available biomarkers, with potential for clinical application to identify at-risk patients who may benefit from referral to academic centers.

Performance over time with x-aches depicting the time of readout and y the area under the reciever operating characteristics curve. The in-plot annotations indicate the number of cases that occurred till that point.

14:53 – 14:59

KV 099 Sicherheit und Wirksamkeit des mTOR – Inhibitors Everolimus zur Therapie der Autoimmunhepatitis (AIH) – eine single center retrospektive Untersuchung

Florian Seltsam (Essen)

KV 099 Sicherheit und Wirksamkeit des mTOR – Inhibitors Everolimus zur Therapie der Autoimmunhepatitis (AIH) – eine single center retrospektive Untersuchung

F. Seltsam1, G. Konstantis1, M. Daniel1, S. Guckenbiehl1, S. Wiener1, M. Krawczyk1, H. Schmidt1, C. Veltkamp1

1Universitätsklinikum Essen, Universität Duisburg-Essen, Klinik für Gastroenterologie, Hepatologie und Transplantationsmedizin, Essen, Deutschland

Einleitung und Ziele: Autoimmunhepatitis (AIH) ist eine seltene Autoimmunerkrankung. Bei Therapieversagen einer vorangegangenen immunsuppressiven Therapie oder bei Auftreten von therapie-assoziierten oder de novo Malignomen der Haut wurde der Einsatz des mammalian Target of Rapamycin (mTOR) – Inhibitors Everolimus beschrieben. Bisherige Berichte beinhalteten jedoch nur wenige Patienten oder stammten aus pädiatrischen Kohorten. In dieser Studie wurde die Sicherheit und Wirksamkeit des mTOR – Inhibitors Everolimus untersucht.
Methodik: Patienten mit AIH wurden von Januar 2020 bis März 2025 retrospektiv eingeschlossen. AIH wurde nach aktuell gültiger DGVS S3-Leitlinie diagnostiziert. Patienten erhielten Everolimus entweder bei Auftreten von therapie-assoziierten oder de novo Malignomen der Haut oder bei Therapieversagen einer vorangegangenen immunsuppressiven Therapie. Dokumentiert wurden die Veränderungen in den Leberenzymen sowie die Verträglichkeit. Die statistische Analyse (RStudio, Version 2024.09.1+394, USA) erfolgte mittels Wilcoxon-Test. Ein P-Wert von <0.05 wurde als statistisch signifikant gewertet.
Ergebnis: Es wurden 21 Patienten eingeschlossen (16 Frauen, medianes Alter 64 (range 28–80) Jahre, 42.9% mit Zirrhose). Ein Malignom der Haut lag bei 7 Patienten, ein Therapieversagen bei 14 Patienten vor. Eine immunsuppressive Vortherapie mit Mycophenolat mofetil und Azathioprin wurde jeweils von 5 Patienten eingenommen. Tacrolimus wurde von 3 Patienten, CyclosporinA von einer Patientin eingenommen. Insgesamt betrug die klinische Verträglichkeit 71.4%, wobei die Verträglichkeit in der Gruppe der Malignome nur bei 42.9% lag. Bei Patienten in der Malignom – Gruppe blieben die Transaminasen unter Everolimus im Normbereich. Patienten mit Therapieversagen berichteten über eine hohe Verträglichkeit (78.6%, 11/14). Hier wurde Everolimus aufgrund von Nebenwirkungen bei 3 Patienten sowie aufgrund eines fehlenden Ansprechens bei 2 Patienten beendet. Bei den verbliebenen 9 Patienten zeigten sich nach 4 Wochen (P=0.015), 3 Monaten (P=0.015) und 6 Monaten (P=0.039) (vgl. Abb. 1) eine signifikante Reduktion der Alanin-Aminotransferase (ALT). Es traten keine schweren Nebenwirkungen auf.
Schlussfolgerung: Everolimus ist eine sichere und wirksame Drittlinientherapie der AIH bei Patienten mit Therapieversagen einer Erst- oder Zweitlinientherapie. Größere Studien mit prospektivem Charakter sind notwendig, um die Ergebnisse zu bestätigen.

Veränderung der ALT über die Zeit.

15:01 – 15:07

KV 100 6-Mercaptopurin und Mycophenolat-Mofetil bei autoimmuner Hepatitis und Azathioprin-Intoleranz: Eine vergleichende multizentrische, retrospektive Studie

Ludwig Jesse Horst

KV 100 6-Mercaptopurin und Mycophenolat-Mofetil bei autoimmuner Hepatitis und Azathioprin-Intoleranz: Eine vergleichende multizentrische, retrospektive Studie

L.J. Horst1, A. Fierenz1, B. Canhão2, C. Efe3, Á. Díaz-González4, J. Hartl1, S. Hübener5, P.J. Kovats6, R. Liberal7, A.W. Lohse1, M.-C. Londoño8, E. Lytvyak9, G. Macedo7, J. Madaleno10, B. Mateos Muñoz11, A.J. Montano-Loza9, S.M. Morris12, D.P. Pallotta13, M. Papp6, M. Sebode1, P. Trivedi12, Y.H. Oo12, C. Schramm1, European Reference Network on Hepatological Diseases (ERN RARE-LIVER)

1University Medical Center Hamburg-Eppendorf, Hamburg, Deutschland, 2Unidade Local de Saúde de Coimbra, Coimbra, Portugal, 3Harran University Hospital, Şanliurfa, Türkei, 4Marqués de Valdecilla University Hospital, Santander, Spanien, 5University Medical Center Hamburg-Eppendorf, Hamburg, Dominikanische Republik, 6University of Debrecen, Debrecen, Ungarn, 7Centro Hospitalar Sao Joao, Porto, Portugal, 8Hospital Clínic Barcelona, Barcelona, Spanien, 9University of Alberta, Edmonton, Kanada, 10Hospitais da Universidade de Coimbra, Coimbra, Portugal, 11Universidad de Alcalá, Madrid, Spanien, 12University Hospitals Birmingham, Birmingham, Vereinigtes Königreich, 13University of Bologna, Bologna, Italien

Einleitung: Die Autoimmune Hepatitis (AIH) ist eine chronische Lebererkrankung, die vorzugsweise mit Azathioprin (AZA) und Kortikosteroiden behandelt wird. Etwa ein Viertel der Patientinnen und Patienten muss die Behandlung mit AZA jedoch aufgrund von Intoleranz abbrechen und ist auf eine Zweitlinientherapie angewiesen. Während 6-Mercaptopurin (6-MP) und Mycophenolat-Mofetil (MMF) gemäß den aktuellen Leitlinien als Zweitlinientherapie bei AZA-Intoleranz empfohlen werden, fehlen qualitativ hochwertige Daten zur Therapie mit 6-MP bei der AIH, und es existieren keine vergleichenden Studien.
Ziele: Die vorliegende Studie untersucht die Wirksamkeit und Verträglichkeit von 6-MP und MMF als Zweitlinientherapien bei Patientinnen und Patienten mit AIH und AZA-Unverträglichkeit.
Methodik: Im Rahmen dieser vergleichenden multizentrischen, retrospektiven Kohortenstudie wurden Patientinnen und Patienten mit AZA-Intoleranz bei AIH und konsekutiver Zweitlinientherapie mit 6-MP oder MMF aus elf tertiären Versorgungszentren in Europa und Kanada eingeschlossen. Es erfolgte die Analyse des laborchemischen Ansprechens, der Verträglichkeit und der Behandlungsdauer der Zweitlinientherapien. Zur Verbesserung der Reliabilität wurde das laborchemische Ansprechen durch ein Propensity-Score-Matching validiert.
Ergebnis: Insgesamt konnten im Rahmen der vorliegenden Studie 211 Patientinnen und Patienten mit AIH (81% Frauen) mit einem medianen Alter von 54 Jahren (IQR: 39–63 Jahre) eingeschlossen werden. Die durchschnittliche Nachbeobachtungszeit betrug 60 Monate (IQR: 31–105 Monate). Es zeigte sich eine bessere Verträglichkeit von MMF gegenüber 6-MP bei Patientinnen und Patienten mit vorheriger AZA-Intoleranz (89% vs. 67%; p < 0,001). Bei denjenigen, die die Zweitlinientherapie tolerierten, zeigten sowohl 6-MP als auch MMF eine vergleichbare Wirksamkeit, wobei 61% bzw. 66% zuletzt eine vollständige biochemische Remission erzielten (Abbildung 1).
Schlussfolgerung: Sowohl 6-MP als auch MMF erweisen sich als gleichermaßen wirksam im Erreichen einer biochemischen Remission bei AZA-intoleranten AIH-Patientinnen und -Patienten. Während MMF im Allgemeinen eine bessere Verträglichkeit aufweist, könnte 6-MP insbesondere für Frauen im gebärfähigen Alter eine sichere und wirksame Therapieoption darstellen. Darüber hin
aus ermöglicht die Therapie mit 6-MP die Überwachung der Metabolitenspiegel, die Dosistitration und die Überprüfung der Therapieadhärenz.Abbildung 1: Zeitabhängiger Anteil der Patientinnen und Patienten mit vollständiger biochemischer Remission.

15:09 – 15:15

KV 101 Efficacy and Safety of Seladelpar in Patients With Primary Biliary Cholangitis Previously Treated With Fibrates or Obeticholic Acid

Andreas Kremer (Zürich)

KV 101 Efficacy and safety of seladelpar in patients with primary biliary cholangitis previously treated with fibrates or obeticholic acid

A. Villamil1, D. Pratt2, A.E. Kremer3, V. Calvaruso4, E. Gómez Dominguez5, X. Qi6, S. Proehl6, W.T. Barchuk6, T.R. Watkins6, S.C. Gordon7,8

1The Liver Autoimmunity Unit, Hospital Italiano de Buenos Aires, Buenos Aires, Argentinien, 2Autoimmune and Cholestatic Liver Center, Massachusetts General Hospital, Boston, Vereinigte Staaten, 3Department of Gastroenterology and Hepatology, University Hospital Zürich, University of Zürich, Zürich, Schweiz, 4Gastroenterology and Hepatology Unit, University of Palermo, Palermo, Italien, 5Hepatology Unit, University Hospital 12 de Octubre, Madrid, Spanien, 6Gilead Sciences, Inc., Foster City, Vereinigte Staaten, 7Division of Hepatology, Henry Ford Hospital, Wayne State University School of Medicine, Detroit, Vereinigte Staaten, 8Michigan State University College of Medicine, East Lansing, Vereinigte Staaten

Introduction: Seladelpar (SEL) is a first-in-class delpar (selective PPAR-delta agonist) indicated for the treatment of primary biliary cholangitis in combination with ursodeoxycholic acid (UDCA) in patients (pts) with an inadequate response to UDCA or as monotherapy in pts unable to tolerate UDCA. RESPONSE was a Phase 3, randomised, placebo-controlled clinical trial of SEL in pts with inadequate response/intolerance to UDCA. Pts completing RESPONSE were eligible to roll over into ASSURE (NCT03301506), an ongoing, open-label, long-term, Phase 3 safety trial.
Objectives: Here, we describe data from month 18 (month 6 of ASSURE) in pts with or without prior use of fibrates or obeticholic acid (OCA) who rolled over from RESPONSE into ASSURE.
Methodology: Pts received 10 mg SEL orally daily or placebo in RESPONSE; pts received open-label 10 mg SEL in ASSURE. Fibrates and OCA were prohibited during the study period and a 6-week washout was required prior to entry in RESPONSE. Data were described for pts in ASSURE with or without prior use of fibrates/OCA and based on whether they received SEL (continuous SEL pts) or placebo (crossover pts) in RESPONSE. Efficacy included the percentage of pts achieving a composite biochemical response (CBR; alkaline phosphatase [ALP] < 1.67 × upper limit of normal [ULN], ALP decrease ≥ 15%, and total bilirubin ≤ ULN). Safety assessments included adverse events (AEs) and laboratory parameters.
Results: Among pts who continued into ASSURE from RESPONSE (n = 158), 16 continuous SEL and 11 crossover pts reported prior use of fibrates/OCA (total, n = 27; 17%); 88 continuous SEL and 43 crossover pts reported no prior use of fibrates/OCA (total, n = 131; 83%). At month 18, among continuous SEL pts, 9/15 (60%) pts with prior fibrate/OCA use achieved a CBR vs 54/87 (62%) pts without prior fibrate/OCA use. Among crossover pts, 7/11 (64%) pts with prior fibrate/OCA use vs 32/41 (78%) pts without prior fibrate/OCA use achieved a CBR at month 6 of ASSURE. From ASSURE initiation to month 6, incidence of AEs was similar across continuous SEL and crossover pts, regardless of prior OCA/fibrate use; no treatment-related serious AEs were reported.
Conclusion: In this interim analysis of continuous SEL and crossover pts from ASSURE, pts who reported prior use of fibrates/OCA achieved a similar sustained biochemical response with SEL compared with pts who reported no prior use. SEL appeared safe and well tolerated in this subgroup.

15:17 – 15:23

KV 102 Seladelpar treatment of patients with primary biliary cholangitis improves the GLOBE score and predicts improved transplant-free survival

Andreas Teufel (Mannheim)

KV 102 Seladelpar treatment of patients with primary biliary cholangitis improves the GLOBE score and predicts improved transplant-free survival

B.E. Hansen1,2,3, A. Teufel4, S. Carroll5, Y. Zhou5, C.F. Murillo Perez5, G.M. Hirschfield1

1Division of Gastroenterology and Hepatology, Toronto Centre for Liver Disease, University of Toronto, Toronto, Kanada, 2Department of Epidemiology, Erasmus MC, Rotterdam, Niederlande, 3Institute of Health Policy, Management and Evaluation, University of Toronto, Toronto, Kanada, 4Section Hepatology, Section Clinical Bioinformatics, University Medical Centre Mannheim, Mannheim, Deutschland, 5Gilead Sciences, Inc., Foster City, Vereinigte Staaten

Introduction: The GLOBE score is a validated risk assessment tool used to estimate transplant-free survival (TFS) in patients (pts) with primary biliary cholangitis (PBC). Seladelpar (SEL) is a first-in-class delpar (selective PPAR-delta agonist) indicated for the treatment of PBC in combination with ursodeoxycholic acid (UDCA) in pts who have an inadequate response to UDCA, or as a monotherapy in pts unable to tolerate UDCA.
Objectives: This study evaluated the change in GLOBE score in pts with PBC on SEL from the placebo (PBO)-controlled Phase 3 RESPONSE (NCT04620733) trial and the subsequent open-label extension (ASSURE; NCT03301506).
Methodology: Pts with PBC who received UDCA for ≥12 months (M) or were intolerant to UDCA and had alkaline phosphatase (ALP) ≥1.67 × the upper limit of normal (ULN) and total bilirubin (TB) ≤2 × ULN were enrolled in RESPONSE and randomised 2:1 to receive daily SEL 10 mg or PBO. After 1 year (Y), pts were eligible for ASSURE, in which pts on PBO could switch to SEL (crossover) and pts on SEL continued treatment (continuous). Change in GLOBE score, predicted TFS, and the contributions of ALP, TB, albumin, and platelets to changes in GLOBE score were evaluated.
Results: 193 pts were enrolled; 95% were female. At baseline (BL), mean (SD) age and duration of PBC were 57 (9.7) and 8 (6.6) years, with mean (SD) ALP: 314 (120.9) U/L; TB: 0.76 (0.31) mg/dL; albumin: 4.1 (0.26) g/dL; platelets: 242 (80.6) × 103/uL; and GLOBE score: 0.32 (0.68). Mean (SD) changes in GLOBE score from BL at 3M and 1Y for pts on SEL were −0.38 (0.21) and −0.34 (0.39), respectively, vs −0.07 (0.28) and −0.01 (0.32) for pts on PBO. At 2Y, GLOBE score changes were −0.39 (0.33) and −0.42 (0.50) for pts on continuous or crossover SEL, respectively. For pts on SEL, the greatest changes in GLOBE score were attributable to the ALP component (3M, −0.20; 1Y, −0.21; 2Y, −0.19), followed by the TB component (3M, −0.11; 1Y, −0.09; 2Y, −0.13). SEL treatment for 3M, 1Y, and 2Y led to predicted changes in TFS with hazard ratios (HRs [95% CIs]) of 0.7 (0.7–0.7), 0.8 (0.7–0.9), and 0.7 (0.6–0.8) compared with BL, respectively; HRs (95% CIs) for pts on PBO at 3M and 1Y were 1.0 (0.9–1.0) and 1.0 (1.0–1.1). At 2Y, pts on crossover SEL had similar results to those on continuous SEL.
Conclusion: SEL treatment resulted in an early decrease in GLOBE score for pts with PBC, which was maintained over 2Y and was associated with improved predicted TFS.

15:25 – 15:31

KV 103 Change in pruritus in patients with primary biliary cholangitis and moderate to severe pruritus: a pooled analysis from the RESPONSE and ENHANCE studies

Andreas Kremer (Zürich)

KV 103 Change in pruritus in patients with primary biliary cholangitis and moderate to severe pruritus: a pooled analysis from the RESPONSE and ENHANCE studies

D.E. Jones1, C. Levy2, A.E. Kremer3, A. Ladron de Guevara Cetina4, A. Villamil5, E. Janczewska6, M. Rabinovitz7, P. Andreone8, X. Qi9, S. Carroll9, T.R. Watkins9, M.J. Mayo10

1Translational and Clinical Research Institute and Centre for Rare Disease, Newcastle University, Newcastle upon Tyne, Vereinigtes Königreich, 2Division of Digestive Health and Liver Diseases, University of Miami School of Medicine, Miami, Vereinigte Staaten, 3Department of Gastroenterology and Hepatology, University Hospital Zürich, Zürich, Schweiz, 4Centro de Investigación y Gastroenterología, Hospital Angeles Clinica Londres, Mexico City, Mexiko, 5The Liver Autoimmunity Unit, Hospital Italiano de Buenos Aires, Buenos Aires, Argentinien, 6Department of Basic Medical Sciences, Faculty of Public Health in Bytom, Medical University of Silesia, Bytom, Polen, 7Division of Gastroenterology, Hepatology, and Nutrition, Department of Medicine, University of Pittsburgh, Pittsburgh, Vereinigte Staaten, 8Division of Internal Medicine, Università di Modena e Reggio Emilia, Modena, Italien, 9Gilead Sciences, Inc., Foster City, Vereinigte Staaten, 10Division of Digestive and Liver Diseases, University of Texas Southwestern, Dallas, Vereinigte Staaten

Introduction: Seladelpar (SEL) is a first-in-class delpar (selective PPAR-delta agonist) indicated for the treatment of PBC in combination with ursodeoxycholic acid (UDCA) in adults who have an inadequate response to UDCA, or as a monotherapy in pts unable to tolerate UDCA. In two Phase 3, placebo (PBO)-controlled trials (ENHANCE [NCT03602560] and RESPONSE [NCT04620733]), SEL significantly reduced pruritus among pts who had moderate to severe pruritus (numerical rating scale [NRS] ≥4) at baseline (BL).
Objectives: Here, we present pooled pruritus outcomes across different measures of itch in pts with PBC from RESPONSE and ENHANCE with NRS ≥4 at BL.
Methodology: Pts with PBC were randomised 1:1:1 to daily SEL 5 mg, SEL 10 mg, or PBO for 52 weeks in ENHANCE and 2:1 to daily SEL 10 mg or PBO for 52 weeks in RESPONSE (ENHANCE terminated early with key endpoints amended to month [M] 3). Pooled data from pts with NRS ≥4 at BL who received SEL 10 mg or PBO in RESPONSE and at least 6 M in ENHANCE were analysed. In a post hoc analysis, changes across several measures of itch up to M6 (NRS, PBC-40 itch domain, and the 5-D itch scale) were assessed.
Results: Of the 126 pts with moderate to severe pruritus, 76 and 50 received SEL 10 mg and PBO, respectively, in RESPONSE or ENHANCE. Most pts at BL were <50 years old at age of PBC diagnosis (73/126) and had a history of pruritus (122/126) and fatigue (77/126). NRS, PBC-40 itch domain, and 5-D itch scale scores were similar between the SEL and PBO groups at BL. At M6, pts who received SEL experienced greater improvements in NRS scores (mean change from BL of −3.12 vs −2.09 for SEL and PBO, respectively, p =.0004), PBC-40 itch domain scores (mean change from BL of −2.26 vs −1.37 for SEL and PBO, respectively, p =.0227), 5-D itch total scores (mean change from BL of −4.85 vs −2.30 for SEL and PBO, respectively, p <.0001), and 5-D itch degree domain scores (mean change from BL of −0.96 vs −0.54 for SEL and PBO, respectively, p =.0005). The overall safety profiles in pts with pruritus in the SEL and PBO groups were similar in this pooled analysis. Adverse events occurred in 58/76 (76%) SEL and PBO 40/50 (80%) PBO pts.
Conclusion: In agreement with previous studies, this pooled analysis indicates that up to 6 M of SEL treatment reduced pruritus to a greater extent vs PBO in pts with PBC who had moderate to severe pruritus when assessed across 3 different measures of itch. SEL was well tolerated in this pt population.

15:33 – 15:39

KV 104 Alkaline phosphatase changes with seladelpar across subgroups of primary biliary cholangitis patients in the response trial

Maurice Michel (Homburg)

KV 104 Alkaline phosphatase changes with seladelpar across subgroups of primary biliary cholangitis patients in the response trial

K.V. Kowdley1, K.K. Yimam2, S. Kumar3, E. Mena4, A. Bonder5, K.G. Reddy6, C. Corpechot7, M. Michel8, S. Carroll9, K. Yang9, D.B. Crittenden9, C.A. McWherter10

1Liver Institute Northwest, Seattle, Vereinigte Staaten, 2Sutter Pacific Medical Foundation, California Pacific Medical Center, San Francisco, Vereinigte Staaten, 3Clinical Hepatology, Weill Cornell Medical College, New York, Vereinigte Staaten, 4California Liver Research Institute, Pasadena, Vereinigte Staaten, 5Beth Israel Deaconess Medical Center, Boston, Vereinigte Staaten, 6University of Chicago Hospitals, Chicago, Vereinigte Staaten, 7Saint-Antoine Hospital and Research Center, Assistance Publique-Hôpitaux de Paris, Sorbonne University, Reference Center for Inflammatory Biliary Diseases and Autoimmune Hepatitis, French Network for Rare Liver Disease in Children and Adults (FILFOIE), European Reference Network RARE-LIVER, Paris, Frankreich, 8Saarland University Medical Center, Department of Internal Medicine 2, Homburg, Deutschland, 9Gilead Sciences, Inc., Foster City, Vereinigte Staaten, 10CymaBay Therapeutics, Inc., Fremont, Vereinigte Staaten

Introduction: Alkaline phosphatase (ALP) is an important marker in primary biliary cholangitis (PBC) associated with risk for disease progression. In the pivotal, Phase 3, placebo-controlled RESPONSE trial (NCT04620733), seladelpar, a first-in-class delpar (selective PPAR-delta agonist), led to a significantly higher percentage of PBC patients (pts) achieving the composite biochemical endpoint (ALP <1.67x upper limit of normal [ULN], ALP decrease ≥15%, and total bilirubin [TB] ≤ULN) compared to placebo (61.7% vs 20%) and decreased mean ALP levels after one year (-42.4% vs -4.3%, respectively).
Objectives: Here, we report additional data on ALP changes in the RESPONSE trial.
Methodology: PBC pts who received ursodeoxycholic acid (UDCA) for ≥12 months or were UDCA intolerant and had ALP ≥1.67x ULN and TB ≤2x ULN were randomized 2:1 to daily seladelpar 10 mg or placebo. We assessed ALP changes across demographic subgroups, baseline ALP quartiles, and in pts who did not meet the composite biochemical endpoint. Worsening of ALP (increase >0 U/L from baseline) and safety by baseline ALP subgroup were also evaluated.
Results: 128 pts were randomized to seladelpar and 65 to placebo with mean baseline ALP 314.6 U/L and 313.8 U/L, respectively; 53 (27.5%) pts had baseline ALP ≥350 U/L. Seladelpar reduced ALP at month 12 similarly across all subgroups, including in pts with cirrhosis, aged <50 years at PBC diagnosis, and of Hispanic/Latino ethnicity, vs placebo. For pts with baseline ALP ≥350 U/L, seladelpar led to a greater decrease (-44.8%; -216.1 U/L) in ALP vs placebo (-11.6%; -56.4 U/L); similar percent decreases were seen in pts with baseline ALP <350 U/L. Seladelpar reduced ALP similarly across baseline ALP quartiles. Among pts who did not meet the composite biochemical endpoint at month 12, ALP was decreased by -129.9 U/L for seladelpar vs -6.4 U/L for placebo. Seladelpar prevented worsening of ALP, with 7 (5.5%) seladelpar pts vs 19 (29.2%) placebo with increases in ALP from baseline at month 12. Adverse events were reported in 86.4% of pts with baseline ALP <350 U/L and 84.9% of pts with ALP ≥350 U/L, with similar proportions in seladelpar vs placebo pts.
Conclusion: Seladelpar led to robust and consistent ALP decreases across all subgroups studied. Substantial ALP decreases were also observed in pts who did not meet the composite endpoint criteria at month 12. Seladelpar was overall safe and well tolerated, regardless of baseline ALP level.
ALP Changes With Seladelpar vs Placebo by Baseline ALP Quartile

15:41 – 15:47

KV 105 Long-term efficacy and safety of elafibranor in primary biliary cholangitis: Interim results from the open-label extension of the ELATIVE® trial up to 3 years

Jörn Schattenberg (Homburg)

KV 105 Long-term efficacy and safety of elafibranor in primary biliary cholangitis: Interim results from the open-label extension of the ELATIVE® trial up to 3 years

K.V. Kowdley1, C.L. Bowlus2, C. Levy3, U. Akarca4, M.R. Alvares-da-Silva5, P. Andreone6, M. Arrese7, C. Corpechot8, H. Elbeshbeshy9, S. Francque10,11, M.A. Heneghan12, P. Invernizzi13,14, I.M. Jacobson15, D. Jones16, F.C. Kruger17,18, E. Lawitz19, M.J. Mayo20, M.L. Shiffman21, M. Sonderup22, M.G. Swain23, J.M. Valera24, V. Vargas25, J.M. Vierling26, A. Villamil27, C. Raskino28, N. Antunes28, M. Sleiman29, V. Cranham29, B. Miller28, J.M. Schattenberg30

1Liver Institute Northwest, Seattle, Vereinigte Staaten, 2UC Davis School of Medicine, Sacramento, Vereinigte Staaten, 3University of Miami, Miami, Vereinigte Staaten, 4Ege University Faculty of Medicine, Izmir, Türkei, 5Hospital de Clinicas de Porto Alegre, Porto Alegre, Brasilien, 6Baggiovara Hospital, Modena, Italien, 7Pontificia Universidad Catolica de Chile, Santiago, Chile, 8Sorbonne University, Paris, Frankreich, 9Saint Louis University School of Medicine, St. Louis, Vereinigte Staaten, 10Antwerp University Hospital, Antwerpen, Belgien, 11Faculty of Medicine and Health Sciences Antwerp University, Antwerpen, Belgien, 12King’s College Hospital NHS Foundation Trust, London, Vereinigtes Königreich, 13University of Milano-Bicocca, Monza, Italien, 14Fondazione IRCCS, Monza, Italien, 15NYU Langone Health, New York, Vereinigte Staaten, 16Newcastle University, Newcastle Upon Tyne, Vereinigtes Königreich, 17Mediclinic Durbanville, Cape Town, Südafrika, 18Tiervlei Trial Centre, Cape Townsü, Südafrika, 19University of Texas Health, San Antonio, Vereinigte Staaten, 20University of Texas Southwestern Medical Center, Dallas, Vereinigte Staaten, 21Bon Secours Mercy Health, Richmond, Vereinigte Staaten, 22University of Cape Town and Groote Schuur Hospital, Cape Town, Südafrika, 23University of Calgary, Calgary, Kanada, 24Hospital San Juan de la Serena, Coquimbo, Chile, 25Universitat Autònoma de Barcelona, Barcelona, Spanien, 26Baylor College of Medicine, Houston, Vereinigtes Königreich, 27Hospital Italiano de Buenos Aires, Buenos Aires, Argentinien, 28Ipsen, Cambridge, Vereinigte Staaten, 29Ipsen, Boulogne-Billancourt, Frankreich, 30Universitätsklinikum des Saarlandes, Klinik für Innere Medizin II, Homburg, Deutschland

Background: Elafibranor (ELA) significantly improved biomarkers of cholestasis at Week (W)52 in patients (pts) with primary biliary cholangitis (PBC) in the phase III ELATIVE® trial (NCT04526665).
Aim: To report up to 3-year interim results from the ongoing ELATIVE® open-label extension (OLE).
Method: Pts completing the ELATIVE® double-blind period (DBP) were eligible to enter the OLE receiving ELA 80 mg daily. For pts who received placebo (PBO) in the DBP, baseline (BL) was set as the last non-missing value before the first OLE ELA dose; for pts who received ELA in the DBP, BL was the DBP start. Endpoints reported include biochemical response (alkaline phosphatase [ALP]<1.67xULN, with ≥15% reduction from BL and total bilirubin [TB]≤ULN), ALP normalization, change in liver stiffness measurement (LSM) and enhanced liver fibrosis (ELF) score, and change in pruritus (PBC Worst Itch Numeric Rating Scale [WI-NRS], PBC-40 Itch, and 5-D Itch) in those with moderate-to-severe pruritus at BL (PBC WI-NRS ≥4). Results presented descriptively;safety analyses evaluated events in the OLE.
Result: At data cutoff (June 2024), 153 pts had received ELA; 108 received ELA and 45 received PBO in the DBP. 138 pts entered the OLE. Pts receiving continuous ELA had data up to W156. At BL for each group, pts crossing over from PBO had increased mean ALP and TB vs pts receiving continuous ELA (335.8U/L vs 321.3U/L; 0.64mg/dL vs 0.57mg/dL).In pts receiving continuous ELA, 34/61(56%) at W104 and 11/13(85%) at W156 had biochemical response; ALP normalization occurred in 8/61(13%) at W104 and 5/13(39%) at W156. In pts crossing over from PBO, 21/41(51%) had biochemical response and 9/41(22%) had ALP normalization at W52. LSM and ELF scores showed a trend for stability in pts receiving continuous ELA for ≥104 weeks (median change from BL in LSM: W104:−0.2 kPa[n=48],W156:−0.5 kPa[n=11];ELF:W104:0.0[n=41],W156:−0.6[n=9]).Improvement in pruritus was sustained in pts with moderate-to-severe pruritus at BL receiving continuous ELA (mean change from BL in PBC WI-NRS:W104:−3.1[n=21], W156:−4.4[n=5]; PBC-40 Itch: W104:−3.0[n=22],W156: −4.6[n=5]; 5-D Itch:W104: −5.0[n=22], W156:−7.0[n=5]). No new safety signals were identified.
Conclusion: In the ongoing ELATIVE® OLE, ELA led to sustained improvements in biomarkers of cholestasis and pruritus and stabilization of fibrosis up to W156 and remained well tolerated. Pts crossing over from PBO had similar results at W52 to those who received ELA in the DBP.

15:49 – 15:55

KV 106 Linerixibat significantly improves cholestatic pruritus in primary biliary cholangitis: results of the pivotal Phase 3 GLISTEN trial

Andreas Kremer (Zürich)

KV 106 Linerixibat significantly improves cholestatic pruritus in primary biliary cholangitis: results of the pivotal Phase 3 GLISTEN trial

G.M. Hirschfield1, C.L. Bowlus2, D.E.J. Jones3, A.E. Kremer4, M.J. Mayo5, A. Tanaka6, P. Andreone7, J. Jia8, Q. Jin9, R.U. Macías-Rodríguez10, A.R. Cobitz11, B.M. Currie11, C. Gorey12, I. Lazic12, D. Podmore12, A. Ribeiro13, J.B. Shannon14, B. Swift14, M.M. McLaughlin11, C. Levy15, Global Linerixibat Itch STudy of Efficacy and Safety iN PBC (GLISTEN) Study group

1Toronto General Hospital, The Autoimmune and Rare Liver Disease Programme, Division of Gastroenterology and Hepatology, Toronto, Kanada, 2University of California Davis School of Medicine, Division of Gastroenterology and Hepatology, Sacramento, Vereinigte Staaten, 3Newcastle University, Institute of Cellular Medicine and NIHR Newcastle Biomedical Research Center, Newcastle Upon Tyne, Vereinigtes Königreich, 4University Hospital Zurich, Department of Gastroenterology and Hepatology, Zürich, Schweiz, 5University of Texas Southwestern Medical School, Dallas, Vereinigte Staaten, 6Teikyo University School of Medicine, Department of Medicine, Tokyo, Japan, 7Azienda Ospedaliero-Universitaria di Modena and Università di Modena e Reggio Emilia, Medicina Interna, Modena, Italien, 8Capital Medical University, Liver Research Centre, Beijing Friendship Hospital, Beijing, China, 9The First Hospital of Jilin University, Department of Hepatology, Changchun, China, 10Instituto Nacional de Ciencias Médicas y Nutrición Salvador Zubirán, Division of Hepatology, Mexico City, Mexiko, 11GSK, Collegeville, Vereinigte Staaten, 12GSK, London, Vereinigtes Königreich, 13GSK, Madrid, Spanien, 14GSK, Durham, Vereinigte Staaten, 15University of Miami, Division of Digestive Health and Liver Diseases and Schiff Center for Liver Diseases, Miami, Vereinigte Staaten

Background and Aims: Cholestatic pruritus is common, debilitating and undertreated in patients with primary biliary cholangitis (PBC). Here, we describe the results of GLISTEN (NCT04950127), a Phase 3 study investigating the efficacy and safety of the ileal bile acid transporter inhibitor linerixibat for pruritus in PBC.
Method: In this double-blind, randomised, placebo-controlled study, patients with PBC and moderate-to-severe pruritus received oral linerixibat 40 mg or placebo twice daily. Pruritus severity and pruritus-related sleep interference were assessed using a 0–10 numerical rating scale. The primary endpoint was change from baseline in worst itch over 24 weeks. Secondary endpoints included: at Week 2, change in worst itch; over 24 weeks, change in sleep interference; at Week 24, proportion of responders (≥2-, ≥3, ≥4-point reduction in worst itch). Safety endpoints included adverse event (AE) reporting.
Results: 238 patients were randomised (95% females), itch severity was 7.34±1.54 (mean±standard deviation (SD)), 52% had alkaline phosphatase <1.67x upper limit of normal, and 47% were receiving stable therapy for pruritus. Pruritus improvement over 24 weeks was significantly greater with linerixibat than placebo: least-squares (LS) mean change -2.86 vs -2.15, adjusted mean difference -0.72; p=0.001. The effect of linerixibat was rapid and superior to placebo at Week 2: LS mean change -1.78 vs -1.07, adjusted mean difference -0.71; p < 0.001. Linerixibat significantly improved pruritus-related sleep interference over 24 weeks vs placebo: LS mean change ‑2.77 vs -2.24, adjusted mean difference -0.53; p = 0.024. At Week 24, more patients on linerixibat than placebo achieved a ≥ 2-point (68% vs 64%), ≥ 3-point (56% vs 43%) or ≥ 4-point (41% vs 29%) reduction in pruritus. A higher proportion of linerixibat than placebo-treated patients reported their pruritus was very much improved (55% vs 37%) or absent (21% vs 9%). AEs reported more frequently with linerixibat than placebo were predominantly gastrointestinal (GI), including diarrhoea (61% vs 18%) and abdominal pain (18% vs 3%); 4% of patients in the linerixibat group discontinued treatment due to diarrhoea.
Conclusion: In patients with PBC and moderate-to-severe pruritus, linerixibat rapidly and significantly improved pruritus and pruritus-related sleep interference vs placebo. While GI AEs were more common with linerixibat than placebo, they rarely led to treatment discontinuation.
Funding: GSK

15:57 – 16:03

KV 107 Volixibat zur Behandlung des cholestatischen Pruritus bei primär biliärer Cholangitis: Zwischenergebnisse der adaptiven, randomisierten, placebokontrollierten Phase-IIb-Studie (VANTAGE)

Jonel Trebicka

KV 107 Volixibat zur Behandlung des cholestatischen Pruritus bei primär biliärer Cholangitis: Zwischenergebnisse der adaptiven, randomisierten, placebokontrollierten Phase-IIb-Studie (VANTAGE)

J. Trebicka1, K.V. Kowdley2, M.L. Shiffman3, D. Weinstein4, V. Ankoma-Sey5, N. Assy6, D.-J. Chiang7, M.R. Brunetto8, C. Freedland9, L. Forman10, A. Sanchez11, A. Bonder12, Q. Cai13, H. Samant14, N.M. Von Roenn15, J. Eaton16, N. Kemmer17, J. Kothadia18, C. Patel19, S.V. Venkatachalapathy20, E. Zigmond21, E. Zuckerman22, R. Firipi-Morell23, T. Wissniowski24, B.B. Borg25, H. Elgouhari26, M. Thapar27, N. Agrawal28, J. Boike29, F. Habersetzer30, A. Lleo31, A. Louvet32, R. McCorry33, G. Neff34, C. Smith35, A. Tran36, R. Vigano37, F.E. Uschner8, M.J. Brol8, Y. Chung38, I. Ergenc39, T. Nunes40, H. Gugelmann40, J. Krishnaswami40, W. Garner40, J. Quan40, P. Vig40, M.A. Heneghan41

1University Hospital Munster, Muenster, Deutschland, 2Liver Institute Northwest, Seattle, Vereinigte Staaten, 3Liver Institute of Virginia, Bon Secours Mercy Health, Richmond, Vereinigte Staaten, 4Science 37, Culver City, Vereinigte Staaten, 5Liver Associates of Texas, Houston, Vereinigte Staaten, 6Galilee Medical Center, Nahariya, Israel, 7Cleveland Clinic, Cleveland, Vereinigte Staaten, 8University of Pisa and Hepatology Unit, Pisa University Hospital, Department of Clinical and Experimental Medicine, Pisa, Italien, 9Advanced Research Institute Inc., New Port Richey, Vereinigte Staaten, 10University of Colorado Anschutz, Aurora, Vereinigte Staaten, 11University of Iowa Hospitals and Clinic, Iowa City, Vereinigte Staaten, 12Beth Israel Deaconess Medical Center, Boston, Vereinigte Staaten, 13LSU Health Sciences Center, Shreveport, Vereinigte Staaten, 14Ochsner Health-Ochsner Medical Center, Baton Rouge, Vereinigte Staaten, 15Loyola University Medical Center, Maywood, Vereinigte Staaten, 16Mayo Clinic, Rochester, Vereinigte Staaten, 17Tampa General Hospital, Tampa, Vereinigte Staaten, 18Methodist Healthcare, University Hospital, Memphis, Vereinigte Staaten, 19Galen Hepatology, Hixson, Vereinigte Staaten, 20Nottingham University Hospitals NHS Trust, Nottingham, Vereinigtes Königreich, 21Sheba Medical Center at Tel Hashomer, Ramat Gan, Israel, 22Carmel Medical Center, Haifa, Israel, 23UF Hepatology Research at CTRB, Gainesville, Vereinigte Staaten, 24Klinikum Chemnitz gGmbH, Chemnitz, Deutschland, 25Southern Therapy and Advanced Research, Jackson, Vereinigte Staaten, 26Soma Clinical Trials, Denison, Vereinigte Staaten, 27Albert Einstein Healthcare Network, Philadelphia, Vereinigte Staaten, 28UF Health Gastroenterology-JTB Kernan, Jacksonville, Vereinigte Staaten, 29Northwestern University, Chicago, Vereinigte Staaten, 30CHU de Strasbourg-Hopital Civil, Strasbourg, Frankreich, 31Department of Biomedical Sciences, Humanitas University and Division of Internal Medicine and Hepatology, Department of Gastroenterology, IRCCS Humanitas Research Hospital, Rozzano, Italien, 32CHRU de Lille, Lille, Frankreich, 33Belfast Health and Social Care Trust, Belfast, Irland, 34Covenant Research and Clinics, Ft. Myers, Vereinigte Staaten, 35Georgetown University Medical Center, Washington DC, Vereinigte Staaten, 36Centre Hospitalier Universitaire de Nice, Nice, Frankreich, 37ASST Grande Ospedale Metropolitano Niguarda, Milan, Italien, 38Kings College Hospital, London, Vereinigtes Königreich, 39Kings College Hospital, Londong, Vereinigtes Königreich, 40Mirum Pharmaceuticals, Inc., Foster City, Vereinigte Staaten, 41Kings College Hospital, Foster City, Vereinigte Staaten

Einleitung: Cholestatischer Pruritus (CP) ist ein belastendes Symptom der primären biliären Cholangitis (PBC), das die Lebensqualität stark beeinträchtigt. Erhöhte Serum-Gallensäuren (sBA) scheinen bei CP eine Rolle zu spielen. Volixibat (VLX) ist ein IBAT-Inhibitor, der die enterohepatische Rezirkulation von Gallensäuren unterbricht und zu einer Senkung der sBA führt.
Ziele: Hier stellen wir die Zwischenanalyse (ZA) der VANTAGE-Studie vor, in der 2 VLX-Dosen bezüglich ihrer Wirksamkeit und Sicherheit bei PBC untersucht wurden.
Methoden: Die VANTAGE-Studie ist eine 28-wöchige, randomisierte, multizentrische, doppelblinde, Placebo(PBO)-kontrollierte Phase-IIb-Studie mit adaptivem Design bei erwachsenen Patienten mit PBC und CP. Sie beinhaltet einen Zeitraum für die Dosisauswahl mit einer ZA (1 : 1 : 1 Randomisierung, VLX 20 mg, VLX 80 mg oder PBO zweimal täglich) und einem Pivotzeitraum (1 : 1 Randomisierung, ausgewählte Dosis oder PBO zweimal täglich), in dem die Wirksamkeit und Sicherheit der ausgewählten Dosis bestätigt wird. Der primäre Wirksamkeitsendpunkt ist die mittlere Veränderung des adulten ItchRO-Scores (0–10) von Baseline (BL) bis Woche 28 bei Teilnehmern mit mittelschwerem bis schwerem Pruritus. HRQoL -Parameter, einschließlich Fatigue und Schlaf, wurden bewertet.
Ergebnisse: 31 Teilnehmer mit mittelschwerem bis schwerem Pruritus wurden randomisiert (20 mg VLX = 10; 80 mg VLX = 10; PBO = 11). Die Behandlung mit VLX führte zu einer raschen Verringerung des ItchRO-Scores. Die VLX-Gruppe mit kombinierter Dosis erreichte eine statistisch signifikante Verringerung um -3,80 Punkte gegenüber der BL (p < 0,0001) und ein Placebo-bereinigtes Ansprechen von -2,51 (p = 0,0005). Jede VLX-Dosis erreichte statistisch signifikante und vergleichbare Ansprechraten. 70 % der Teilnehmer erreichten unter VLX eine ≥ 50 %-ige Reduktion des sBA-Werts. Bei Teilnehmern, die VLX erhielten, wurden Verbesserungen bei Fatigue und Schlaf beobachtet. Die Inzidenz unerwünschter Ereignisse war zwischen den VLX-Gruppen ähnlich. Das häufigste unerwünschte Ereignis in den VLX-Gruppen war Diarrhoe; alle Fälle waren von leichter Schwere; 1 Patient setzte die Therapie aufgrund von leichter Diarrhoe ab.
Schlussfolgerungen: VLX war sicher, und führte zu frühzeitiger und signifikanter Reduktion des PBC-assoziierten CP und der Fatigue. Angesichts ähnlicher Ergebnisse für die VLX-Dosen wurde die 20-mg-Dosis zweimal täglich für den Teil 2 der VANTAGE-Studie ausgewählt.

16:05 – 16:11

KV 108 Application of a next-generation sequencing (Ngs) Panel in 128 patients with idiopathic cholestasis: preliminary results

Marcin Krawczyk (Essen)

KV 108 Application of a next-generation sequencing (Ngs) Panel in 128 patients with idiopathic cholestasis: preliminary results

R. Liebe1, F. Lammert2, M. Krawczyk1

1Klinik für Gastroenterologie, Hepatologie und Transplantationsmedizin, Essen, Deutschland, 2Medizinische Hochschule Hannover, Health Sciences, Hannover, Deutschland

Introduction: The use of next generation sequencing (NGS) to find genetic variants underlying acute, chronic or episodic cholestatic liver disease (CLD) is increasingly common (Zheng et al., Hepatology, 2022). While monogenic genotype – phenotype correlations have been described in paediatric intrahepatic cholestasis (van Wessel et al., J Hepatol, 2020), disease aetiology is less clear in later-onset cases of CLD. Here we present data from eight years of NGS analysis of patients with idiopathic CLD using a „cholestasis NGS panel“ covering 24, later 32 transcripts.
Patients & methods: Between 2013 and 2021, 128 patients with cholestatic liver disease of unknown aetiology were analysed using 24 (2013 – 2016) and 32 (2016 – 2021) gene panel NGS. The generated variant call files were analysed for GnomAD frequency, amino acid alterations, pathogenicity score and biochemical consequences using the GeneTalk online DNA analysis tool. Variants were analysed using SIFT, Polyphen and the ABCB4-specific modelling tool VASOR (Behrendt et al., Hepatol Commun, 2022).
Results: NGS using 24/32 gene panels revealed potentially disease-associated variants in around a third (n = 41) of altogether 128 patients with idiopathic cholestatic liver disease. Less than 10 % (4/41) of variants in PFIC-associated genes were private, i.e. not present in GnomAD. On the other hand, the „common European PFIC2“ variants p.E297G and p.D482G (Strautnieks et al., Gastroenterology, 2008), could be detected in only 3 individuals in our cohort. Functional rare NOTCH2 variants were found in 12 patients, albeit 50% were found in combination with a functional ABCB4 variant. Finally, 31 patients did not reveal any genetic variants that could be associated with the cholestatic phenotype.
Conclusions: NGS in patients with unclear cholestatic phenotypes reveals a wide variety of potentially disease-associated and -modifying variants, including two rare NOTCH2 variants that might be associated with late onset Alagille-like symptoms. Compilation of these data and follow-up in larger registries is required to estimate their impact on liver health. Analysis of genome data from large populations will help to understand the long-term effects of these variants on health outcomes.
Gene variants:
ABCB4 (PFIC3) n=16 variants/21 patients/3 not in GnomAD
ABCB11 (PFIC2) n=13/18/1
ATP8B1 (PFIC1) n=6/7/0
NR1I4 (PFIC5) n= 4/5/1
TJP2 (PFIC4) n= 2/2/0

NOTCH2: 12/13/0

16:13 – 16:19

KV 109 KAIGI – transsektorale Plattform zur Versorgung von Patienten mit chronischen Lebererkrankungen unter den neuen Anforderungen des KHVVG

Rainer Günther (Kiel)

KV 109 KAIGI – transsektorale Plattform zur Versorgung von Patienten mit chronischen Lebererkrankungen unter den neuen Anforderungen des KHVVG

R. Günther1, K. Sämrau1, M. Pangerl1

1UKSH, Campus Kiel, Klinik für Innere Medizin I,Bereich Hepatologie/Transplantationshepatologie, Kiel, Deutschland

Einleitung: Chronische Lebererkrankungen und Leberkrebs (HCC) sind eine zunehmend relevante Krankeitsgruppe im deutschen Gesundheitssystem. Die Zahl der Neuerkrankungen wird nach den aktuellen Prognosen in den nächsten Jahren signifikant ansteigen. Die Versorgung findet dabei im ambulanten und stationären Sektor statt. Die Diagnose und Behandlung des ist jedoch komplex. Neben der gleichzeitigen Behandlung von mindestens drei Erkrankungen (zugrundeliegende Lebererkrankung, Leberzirrhose/post-LTx und HCC) stellen die aktuellen Therapieinnovationen große Herausforderungen dar. Daraus ergibt sich die Notwendigkeit einer Behandlung in einem interdisziplinären/transsektoralen Team, einer der wesentlichen Bausteine des Krankenhausversorgungsverbesserungsgesetz (KHVVG). Dies resultiert in der Notwendigkeit nach einer behandlerfreundlichen Plattform für die praktische Umsetzung der Krankenversorgung im klinischen Alltag unter den neuen Anforderungen des KHVVG
Methoden: KAIGI ist eine multidisziplinäre, transsektorale, regionale Austauschplattform. Sie wurde von ÄrztInnen im Rahmen eines Hackathons entwickelt und für die alltägliche Anwendung optimiert. Die Plattform ist Login-gesichert, DSGVO-konform und bietet die Möglichkeit, Themen rund um die chronischen Leberkrankungen und deren Folgen mit Fachärzten zu diskutieren. Dabei steht die leitliniengerechte Patientenversorgung im Vordergrund und umfasst das gesamte Spektrum von Prävention, Screening, Diagnostik, Therapie und Nachsorge. Durch eine verbesserte Kommunikation zwischen ÄrztInnen kann die sektorenübergreifende Behandlung unter den Bedingungen des KHVVG strukturiert umgesetzt werden.
Ergebnisse/Schlussfolgerungen: Der Austausch auf KAIGI ist durch Diskussionen entweder in einem öffentlichen Forum oder in privaten Gruppen möglich. Zusätzlich bietet die Plattform die Möglichkeit, klinische Fälle und Übersichtsmaterial zu teilen. Schließlich können DSGVO-konforme Videoanrufe mit Zentren geführt und Termine geplant werden. Dies ermöglicht eine schnellere und unkompliziertere intersektorale Abstimmung. Eine erste Nutzerbefragung ergab ein durchweg positives Feedback. KAIGI bietet zudem eine leitlinienbasierte Unterstützung bei der Patientenversorgung. KAIGI lässt sich individuell an regionale Versorgungskonzepte anpassen und unterstützt das Konzept der transsektoralen Versorgung im Rahmen der anstehenden Umsetzung des KHVVG.

Kurzvortragssitzung

Immunology meets IBD

14:45 – 16:05

Fr 19.09.

Vortragsraum 10

Open Accordion - Icon Close Accordion - Icon

Vorsitz: Robert Jänsch (Magdeburg) und Ahmed Nabil Hegazy (Berlin)

14:45 – 14:51

KV 042 Parodontitis(PO) – eine häufige Komplikation bei chronisch entzündlichen Darmerkrankungen: Ein symptomorienter Score zur Erfassung einer behandlungsbedürftigen PO

Wolfgang Kreisel (Freiburg)

KV 042 Parodontitis(PO) – eine häufige Komplikation bei chronisch entzündlichen Darmerkrankungen: Ein symptomorienter Score zur Erfassung einer behandlungsbedürftigen PO

M. Gund1, M. Hannig1, S. Rupf2, W. Kreisel3

1Saarland University Medical Centre, Clinic of Operative Dentistry, Periodontology and Preventive Dentistry, Homburg/Saar, Deutschland, 2Saarland University Medical Centre, Synoptic Dentistry, Homburg/Saar, Deutschland, 3Medical Center, Faculty of Medicine, Department Medicine II, Gastroenterology, Hepatology, Endocrinology and Infectious Diseases, Freiburg, Deutschland

Einleitung: Eine gestörte intestinale Schleimhautbarriere ist entscheidend bei der Pathogenese chronisch entzündlicher Darmerkrankungen (CED). Eine höhere Anfälligkeit von Patienten mit CED auf eine PO passt zu einer ähnlichen Pathogenese. Die PO wird aber bei CED-Patienten oft vernachlässigt, weil deren Therapie auf die intestinale Symptomatik fokussiert ist.
Ziele: Es sollte ein symptomorientierter Score entwickelt werden, der sich aus den Angaben eines Fragebogens ergibt, den die Patienten beantworten. Ein Schwellenwert soll eine behandlungsbedürftige PO anzeigen.
Methoden: Anhand des Fragebogens wird ein PO-Score berechnet und mit einer objektiven Graduierung der PO (ermittelt durch eine klinische Befunderhebung) verglichen. Grad 0 = keine PO, Grad 1 = leichte PO (nicht behandlungsbedürftig), Grad 2 = mittelschwere PO, Grad 3 oder 4 = schwere PO. Die Daten von 146 Kontroll-Personen ohne CED, 76 Patienten mit M. Crohn (MC) und 42 Patienten mit Colitis ulcerosa (CU) wurde erhoben.
Ergebnisse: Die Tabelle zeigt die Verteilung der klinischen PO-Grade in den 3 Gruppen (Keine CED, MC, CU) in absoluten Zahlen und Prozent sowie den jeweiligen mittleren PO-Score. Die Daten der Kontrollgruppe wurden für die Evaluierung des Fragebogens verwendet. Es zeigte sich eine gute Korrelation zwischen objektivem Grad der PO und dem PO-Score, ermittelt aus den Angaben der Patienten. Die ROC-Analyse ergab, dass sich bei einem PO-Score von 6,75 eine Sensitivität von 72,4% und eine Spezifität von 64% für eine Detektion einer PO Stadium ≥ 2 ergibt. Für eine Detektion einer PO Stadium ≥ 3 ergibt ein PO Score von 7,75 eine Sensitivität von 73,2% und eine Spezifität von 64%. Die AUROC lag bei 0,746 bzw. 0,742. In der MC-Gruppe bzw. CU-Gruppe fanden sich keine Fälle mit einer PO Grad 0 oder 1, d.h. alle hatte zumindest eine mittelschwere/moderate PO. Die hohe Prävalenz an schwerer PO auch bei Personen ohne CED ist dadurch zu erklären, dass diese Personen großenteils in einer Spezialklinik für Parodontologie rekrutiert worden sind. Dementsprechend ist der mittlere PO-Score hier relativ hoch.
Schlussfolgerungen: Unsere Daten bestätigen eine hohe Prävalenz einer höhergradigen und behandlungsbedürftigen PO bei Patienten mit CED. Ein höherer PO-Score (ab 6,75) kann eine behandlungsbedürftige PO, die bei CED-Patienten oft übersehen bzw. vernachlässigt wird, mit hoher Wahrscheinlichkeit vorhersagen. Diese Patienten können daher einer integrierten Therapie zugeführt werden.

Klinischer
PO Grad
Anzahl % Mittlerer
PO-Score
Personen ohne CED 0
1
2
3
4
Gesamt
23
2
36
64
31
146
15,8
1,4
24,7
43,8
14,4
100
9,1
Colitis ulcerosa 2
3
4
Gesamt
12
29
1
42
28,6
69,0
2,4
100
8,7
Morbus Crohn 2
3
4
Gesamt
23
46
7
76
30,3
60,5
9,2
100
9,7

14:53 – 14:59

KV 043 Comprehensive characterization of local cytokine signatures in ulcerative colitis in deep remission

Hans Gluschke

KV 043 Comprehensive characterization of local cytokine signatures in ulcerative colitis in deep remission

H. Gluschke1, E. Rogoll1, A. Seeger1, G. Zigra1, L.-M. Haag1, A. Kühl1, B. Siegmund1

1Charité Campus Benjamin Franklin, Klinik für Gastroenterologie, Rheumatologie und Infektiologie, Berlin, Deutschland

Background: Ulcerative colitis (UC) is a chronic relapsing-remitting disease characterized by distinct molecular patterns and proinflammatory pathways. Through advances in therapy and monitoring-strategies, long lasting remission can be achieved in an increasing number of patients. Our aim was to investigate cytokine signatures in the interstitial microenvironment at protein and RNA level in UC patients showing deep remission (DR) to better understand the response to existing therapies. We hypothesize that the DR forms a distinct group that differs in its local intestinal cytokine profile from mild activity and non-IBD controls.
Methods: Two cohorts of UC patients along with non-IBD controls were characterized. We isolated interstitial fluid (IF) from the rectum and colonic mucosa of 14 UC patients in DR (UCEIS 0 + Mayo 0), 11 in mild activity (UCEIS 1-4 and/or Mayo 1-4) and 25 non-IBD controls as part of the InFlame study (DRKS00031203). IF was used for multiplex immunoassays of 18 proinflammatory cytokines in the same way as plasma cytokines of this cohort. RNA isolates of colonic biopsies of the other cohort (IBDome) (DR n=22; mild activity n=14, non-IBD controls n=18) underwent bulk RNA sequencing.
Results: RNA expression of genes corresponding to IL-15, IL-17 and VEGF were significantly upregulated in DR versus non-IBD samples in colonic samples. 14 out of 18 (78 %) genes were differentially expressed between DR and mild activity. Cytokine levels of IL-8, IL-10, IL-15, IL-16, IL-17, IFN-gamma and TNF-a were simultaneously upregulated in IF and RNA analysis. VEGF and IL-12B were only significantly upregulated at the protein level. DR and non-IBD controls could not be distinguished in PCA clustering based on interstitial cytokines or the corresponding gene expression. However, PCA clustering could separate DR from mild activity in both datasets. Within the mild activity group, patients with a higher clinical score clustered further away from DR. Overall, the characterization of disease activity in the interstitial space was more robust in the rectum than in the descending colon. At the plasma level, DR could not be distinguished from mild activity, and non-IBD controls.
Conclusion: Cytokines in the IF can reliably differentiate between UC in different activity stages. Furthermore, RNA expression of corresponding cytokines is correlating. Nevertheless, DR with stringent criteria resembles non-IBD controls more than UC with mild activity.

15:01 – 15:07

KV 045 DoCTIS: a single cell RNA-seq atlas of drug response to targeted therapies in immune-mediated inflammatory diseases

Britta Siegmund (Non-author Presenter)

KV 045 DoCTIS: a single cell RNA-seq atlas of drug response to targeted therapies in immune-mediated inflammatory diseases

B. Siegmund1, A. Julia2, Y. Guillén3, E. Domenech Morral4, J. Gisbert5, P. Vela Casasempere6, A. Fernandez Nebro7, C. Marras8, S. Castaneda9, J. Calvo Alen10, J. Tornero Molino11, J. Canete Crespillo12, J.M. Carrascosa13, E. Fonseca14, L Bujunda Fernandez de Pierola15, V. García16, G. Girolomoni17, H. Heyn18, P. SantaMaria19, S.H. Martinez Mateu20, R. Myers21, J.A. Patino Galindo20, E. Choy22, S. Marsal2, DoCTIS Study Group

1Charité – Universitätsmedizin Berlin, Berlin, Deutschland, 2Vall d’Hebron Research Institute, Barcelona, Spanien, 3IMIDomics Inc., Barcelona, Spanien, 4Hospital Germans Trias i pijol, Bacelona, Spanien, 5Hospital Universitarion de Ka Princesa, Madrid, Spanien, 6Hospital General Universitario de Alicante, Alicante, Spanien, 7Hospital Regional Universitario Carlos Haya, Malaga, Spanien, 8Hospital Clinico Universitarion Virgen de la Arrixaca, Murcia, Spanien, 9Hospital Universitario La Princesa, Madrid, Spanien, 10Hospital Universitario Araba, Alava, Spanien, 11Hospital Universitario Guadalajara, Guadalajara, Spanien, 12Hospital Clinic de Barcelona, Barcelona, Spanien, 13Hospital Germans Trias i Pujol, Badalona, Spanien, 14Complejo Hospitalario Juan Canalejo, A Coruna, Spanien, 15Institutio Biodonostia, San Sebastian, Spanien, 16Hospital Reina Sofia, Cordoba, Spanien, 17Universita di Verona, Verona, Italien, 18Centre Nacional d’Analisi Genomica, Barcelona, Spanien, 19IDIBAPS, Barcelona, Spanien, 20IMIDomics Inc, Barcelona, Spanien, 21Hudson Alpha Institute of Biotechnology, Huntsville, Vereinigte Staaten, 22Cardiff University, Cardiff, Vereinigtes Königreich

Introduction: Targeted therapies have revolutionized the management of immune-mediated inflammatory diseases (IMIDs), however, there is a substantial number of patients who respond poorly to a given drug. There is a big need to understand the factors that are associated with this heterogeneity.
Aims & Methods: The DoCTIS project (1) aims to characterize molecular variation both at the disease and drug response levels across six different
IMIDs. We applied single cell RNA sequencing to 360 peripheral blood mononuclear cell (PBMC) samples from 176 patients from six prevalent IMIDs –psoriasis (PS), psoriatic arthritis (PsA), Crohn’s Disease (CD), ulcerative colitis (UC), rheumatoid arthritis (RA), and systemic lupus erythematosus (SLE)- treated with five different drugs targeting TNF, IL12p40, IL6R, BLySS, IL17 and JAK pathways. All patients were analyzed at two time points including baseline and at the week of clinical response creating an immune landscape of more than two million peripheral immune cells.
Results: We found large inter-disease differences both at the compositional and genetic regulatory programs. ScRNA-Seq analysis revealed large differences at the systemic level between the six IMIDs. Compositional analyses demonstrated that the circulating immune cell profiles of UC and CD were more similar to each other than to the rest of IMIDs, and also identified differences in pDC, MAIT, NK CD16- and T CD4+ Memory subsets between both diseases. At the transcriptional level, we found the expected upregulated interferon response signature affecting multiple cell types in SLE, but also novel findings like strong regulatory differences in B and CD14+ monocyte compartments between UC and CD, two diseases with a highly shared genetic risk. The impact of each drug was found to be largely disease-specific. Furthermore, we found multiple regulatory features associated with the effect of each drug as
well the association to response.
Conclusion: The scRNA-Seq atlas developed in DoCTIS provides a unique resource for the understanding of drug response and disease heterogeneity across immune-mediated inflammatory diseases.

15:09 – 15:15

KV 046 The local intestinal interstitial cytokine profile provides an insight into inflamed bionaive patients with Ulcerative Colitis​​​​​

Elisabeth Rogoll (Berlin)

KV 046 The local intestinal interstitial cytokine profile provides an insight into inflamed bionaive patients with Ulcerative Colitis​​​​​

E. Rogoll1, A. Seeger1, G. Zigra1, K. Blum1, A. Wilhelm2, K. Kraeker3, D.N. Mueller3, B. Siegmund1, L.-M. Haag1

1Charité – Universitätsmedizin Berlin, Medizinische Klinik für Gastroenterologie, Infektiologie und Rheumatologie, Campus Benjamin Franklin, Berlin, Deutschland, 2CheckImmune GmbH, Berlin, Deutschland, 3Max-Delbrück-Centrum für Molekulare Medizin in der Helmholtz-Gemeinschaft, Berlin, Deutschland

Background: Proinflammatory cytokines identified in the mucosal microenvironment at the site of inflammation are involved in the pathophysiology of inflammatory bowel diseases such as ulcerative colitis (UC). We hypothesize that the local cytokine production is significantly altered in inflamed regions of the intestine and cannot be predicted by plasma measurements.
Aims: Our goal is to identify personalized cytokine signatures in UC patients‘ interstitial space depending on their disease progression. This advances our understanding of UC and can support the development of more personalized treatment strategies as cytokine signaling is a target of current therapies.
Methods: We isolated interstitial fluid (IF) from the intestinal mucosa using the tissue elution method in bionaive UC patients (mild activity (UCEIS 1-4) n = 6; inflamed (UCEIS 5-8) n = 6) and healthy controls (n = 25) as part of the InFlame study (DRKS00031203). We took biopsies from rectum, descending colon, ascending colon and ileum in 400mg NaCl for 2h elution in 4°C. Obtained IF was used for multiplex immunoassays of 18 proinflammatory cytokines in the same way as plasma cytokines.
Results: VEGF, IL-16 and IL-12p40 are present in healthy controls and inflamed patients in the IF. Depending on the disease’s severity, more cytokines can be detected. Cytokine concentrations increase in the more aboral localizations of the colon with the rectum showing a unique cytokine pattern. Cytokines that can be detected in plasma show much lower concentrations compared to IF. Inflamed patients can be distinguished from mild activity in local interstitial profiles. In plasma and rectum different cytokines appear to drive inflammation – those can be identified by linear discriminant analysis. Moreover, rectal interstitial cytokine patterns correlate well with endoscopic and clinical UC scores.
Conclusion: Isolation of IF is a valuable approach to assessing inflammation in UC patients, improving our understanding of mild residual activity and more severe conditions. We can identify cytokines that drive inflammation in UC and characterize the inflammatory intestinal cytokine profile associated with a healthy gut. Future targeted therapies should also consider the unique cytokine profiles of individuals being expressed in the rectum. Comparing bionaive cytokine profiles with profiles from patients treated with biologicals, will allow us to demonstrate how the network changes in response to immunosuppression.

15:17 – 15:23

KV 047 Interferon-Regulator Faktor 5: Ein vielversprechender Entzündungsmarker und neues therapeutisches Ziel bei Colitis ulcerosa

Karima Farrag (Frankfurt)

KV 047 Interferon-Regulator Faktor 5: Ein vielversprechender Entzündungsmarker und neues therapeutisches Ziel bei Colitis ulcerosa

K. Farrag1, J. Stein2, P.-J. Jakobsson3, M. Vieth4, M. Korotkova3

1Universitätsklinikum Frankfurt, Medizinische Klinik 1, Gastroenterologie, Frankfurt, Deutschland, 2Krankenhaus Sachsenhausen, Gastroenterologie, Frankfurt, Deutschland, 3Karolinska institutet, Division of Rheumatology, Department of Medicine Solna & Karolinska University Hospital, Stockholm, Schweden, 4Klinikum Bayreuth, Pathologie, Bayreuth, Deutschland

Einleitung: Chronisch-entzündliche Darmerkrankungen (CED), zu denen Morbus Crohn (MC) und Colitis ulcerosa (CU) gehören, sind durch chronische Entzündungen des Gastrointestinaltrakts gekennzeichnet. Die Ätiologie von CED ist multifaktoriell und umfasst genetische, immunologische und Umweltfaktoren. Über 200 identifizierte, mit der Krankheit assoziierte Loci weisen auf eine signifikante genetische Prädisposition hin. Trotz Fortschritten im Verständnis der genetischen Grundlagen von CED bleibt die klinische Behandlung aufgrund der Heterogenität des Krankheitsbildes eine Herausforderung. Derzeitige Therapien sind nicht universell wirksam, was den dringenden Bedarf an zuverlässigen Biomarkern zur Vorhersage therapeutischer Reaktionen unterstreicht.
Ziele: Ziel dieser Studie ist es die potenzielle Rolle des Interferon-Regulator Faktors 5 (IRF5) in der Pathogenese von CED, insbesondere bei CU zu untersuchen.
Methoden: Wir führten eine systematische Analyse von Kolonbiopsien erwachsener Patienten mit CU und Kontrollpersonen ohne CED durch. Mittels Immunfärbung wurde die IRF5-Expression im Kolongewebe bestimmt. Statistische Analysen untersuchten den Zusammenhang zwischen IRF5-positiven Zellzahlen, Krankheitsaktivität und dem Entzündungsmarker Calprotectin.
Ergebnisse: Unsere Analyse ergab einen signifikanten Anstieg IRF5-positiver Makrophagen-ähnlicher Zellen in der entzündeten Schleimhaut von CED-Patienten im Vergleich zu gesunden Personen. Die Anzahl IRF5-positiver Zellen korrelierte positiv mit der Krankheitsaktivität und dem Calprotectinspiegel. Dies deutet darauf hin, dass eine höhere IRF5-Expression mit einer verstärkten Entzündung einhergeht.
Schlussfolgerung: Diese Studie stellt einen signifikanten Zusammenhang zwischen der IRF5-Expression und der Krankheitsaktivität bei CU fest und legt nahe, dass IRF5 eine entscheidende Rolle bei den mit der Krankheit verbundenen Entzündungsprozessen spielen könnte. Die Ergebnisse zeigen, dass IRF5 ein neuer Biomarker für therapeutische Interventionen bei CED sein könnte. Weitere Forschung ist erforderlich, um die genauen Mechanismen aufzuklären, durch die IRF5 zur CED-Pathogenese beiträgt, und um das therapeutische Potenzial der gezielten Behandlung dieses Signalwegs im klinischen Kontext zu bewerten.

Immunhistochemische Färbungen der Biopsien A: Colon asc. Remission; B: Colon asc. Mayo Score 1-2; C: Sigma Mayo Score 2; D: Colon transv. Mayo Score 3; E: Sigma Mayo Score 3; F: Colon desc. Kontrolle Pfeile: IRF5+ ZellenImmunhistochemische Färbungen der Biopsien
A: Colon asc. Remission; B: Colon asc. Mayo Score 1-2; C: Sigma Mayo Score 2; D: Colon transv. Mayo Score 3; E: Sigma Mayo Score 3; F: Colon desc. Kontrolle
Pfeile: IRF5+ Zellen

15:25 – 15:31

KV 048 STING reguliert die Integrated Stress Response im intestinalen Epithel

Johanna Bornhäuser

KV 048 STING reguliert die Integrated Stress Response im intestinalen Epithel

J. Bornhäuser1, M. Bakr1, S. Van den Bossche1, E. Springer1, G. Yang1, H. Xiang1, Q. Wu1, S. Schreiber2, L. Welz2, P. Rosenstiel1, K. Aden2

1Institut für Klinische Molekularbiologie, Kiel, Deutschland, 2Klinik für Innere Medizin I, Kiel, Deutschland

Hintergrund: Die Homöostase des intestinalen Epithels ist relevant für die Pathogenese chronisch-entzündlicher Darmerkrankungen (CED). Stimulator of Interferon Genes (STING) wirkt als Sensor freier zytosolischer DNA und steuert über Typ-I-Interferon-Signalkaskaden zentrale Funktionen intestinaler Immunität und Entzündung (Wottawa et al., 2021). Über diese klassische Rolle hinaus wurde kürzlich auch eine Verbindung zwischen dem STING-Signalweg und der PERK-eIF2α-ATF4-Achse der Integrated Stress Response (ISR) beschrieben, etwa im Rahmen kardialer Hypertrophie (Mi et al., 2024). Als Reaktion auf zelluläre Stressoren wird die ISR aktiviert, wobei die Phosphorylierung von eIF2α durch stressassoziierte Kinasen die Expression des activating transcription factor 4 (ATF4) induziert. Die ISR reguliert vorrangig Gene der mitochondrialen Stressantwort, kann jedoch auch Apoptose auslösen (Quirós et al., 2017).
Ziel: Verständnis der bislang weitgehend unverstandenen Wechselwirkungen zwischen STING-Signalweg und ATF4-vermittelter ISR im intestinalen Epithel.
Methoden: Murine intestinale Epithelzellen wurden mit dem STING-Agonist DMXAA sowie dem ISR-Inhibitor ISRIB behandelt und mittels Western Blot und qRT-PCR analysiert. In vivo kamen 12 Wochen alte Mäuse mit epithelzell-spezifischem Sting-Knockout (Tmem173ΔIEC) sowie Wildtyp-Kontrolltiere (WT) zum Einsatz. Eine Kolitis wurde durch 2,5% Dextran Natriumsulfat (DSS) über fünf Tage induziert; Kontrolltiere erhielten Trinkwasser.
Ergebnisse: Während akuter DSS-Kolitis zeigten WT-Mäuse eine deutliche Hochregulation von ATF4 im intestinalen Epithel (Abb. 1).
Abbildung 1 A) Quantifizierung ATF4-Immunhistofärbung Kolon in ImageJ (n=3 WT-Mäuse, 2,5 % DSS oder H₂O für 5 d). B) Repräsentative Bilder, Maßstab = 80 µm. Statistik: Student’s t-Test, *** = p < 0,001.
In vitro induzierte DMXAA eine vergleichbare ATF4-Expression. Sting-defiziente Zellen wiesen dagegen eine signifikant verminderte ATF4-Aktivität und reduzierte eIF2α-Phosphorylierung auf, hinweisend auf eine reduzierte ISR. Auch in Kolongewebe der Tmem173ΔIEC-Mäuse war die Atf4-Expression nach DSS-Kolitis signifikant vermindert (Abb. 2).
Abbildung 2 A) ATF4-Immunfluoreszenz je Mode-K-Zelle nach 1 h DMXAA (100 µg/ml) vs. DMSO, quantifiziert mit ImageJ; DAPI. B) Repräsentative Bilder, Maßstab = 50 µm. C) Western Blot: WT- und STING-KO-Zellen nach 3 h DMXAA (100µg/ml) oder DMSO. D) RT-qPCR: Kolon von n=3 WT- oder Tmem173ΔIEC-Mäusen nach DSS (2 %, 5 d) oder H₂O. Statistik: one way ANOVA, **** = p < 0,0001; ** = p < 0,01.
Pharmakologische Hemmung der ISR durch ISRIB sowie siRNA-vermittelter Knockdown von Atf4 führten zu einer Reduktion der STING-Aktivierung (Abb. 3), was auf eine bidirektionale Regulation zwischen STING und ISR hinweist.
Abbildung 3 A) Western Blot: WT-Zellen nach 1 h ISRIB (versch. Konz.) + 3 h DMXAA (100µg/ml). B) Western Blot: WT-Zellen mit siRNA gegen Atf4 + 3 h DMXAA (100µg/ml).
Schlussfolgerung: Diese Daten legen nahe, dass STING die Aktivierung der ISR über ATF4 moduliert und dadurch proinflammatorische Signalwege in intestinalen Epithelzellen reguliert. Dies unterstützt die Hypothese, dass eine gestörte STING-Signalübertragung wesentlich zur Pathogenese der CED beiträgt.

15:33 – 15:39

KV 049 Die Implementierung einer neuen Gemeinschaftsanalyse zeigt die dynamischen Interaktionen zwischen Bakterien und Pilzen im unteren Gastrointestinaltrakt

Konrad Lehr

KV 049 Die Implementierung einer neuen Gemeinschaftsanalyse zeigt die dynamischen Interaktionen zwischen Bakterien und Pilzen im unteren Gastrointestinaltrakt

K. Lehr1, R. Vilchez-Vargas1,2, J. Skieceviciene3, N.M. Hipler1, A. Gecioniene3,4, L. Kucinskas5, M. Urba4, C. Thon1, D. Schanze6, M. Zenker6, J. Kupcinskas3,4, A. Link1

1Otto-von-Guericke Universität, Klinik für Gastroenterologie, Hepatologie und Infektiologie, Magdeburg, Deutschland, 2Ludwig-Maximilians-Universität, Medizinische Abteilung II, Universitätsklinikum, München, Deutschland, 3Lithuanian University of Health Sciences, Institute for Digestive Research, Kaunas, Litauen, 4Lithuanian University of Health Sciences, Department of Gastroenterology, Kaunas, Litauen, 5Lithuanian University of Health Sciences, Institute of Biology Systems and Genetic Research, Kaunas, Litauen, 6Otto-von-Guericke Universität, Institut für Humangenetik, Magdeburg, Deutschland

Einleitung: Das menschliche Darmmikrobiom umfasst neben Bakterien auch Viren, Archaeen und Pilze. Trotz wachsender Hinweise auf die Rolle von Pilzen bei verschiedenen Erkrankungen sind deren Wechselwirkungen mit Bakterien bislang kaum erforscht.
Ziel: In dieser Studie wurde die Interaktion zwischen Pilz- und Bakteriengemeinschaften im Darm gesunder eineiiger und zweieiiger Zwillinge mithilfe einer neuartigen Gemeinschaftsanalysemethode eingehend untersucht.
Methodik: Die 106 Stuhlproben wurden mittels 16S rRNA-Gen-Sequenzierung für Bakterien und ITS-Sequenzierung für Pilze analysiert. Um eine umfassende Analyse der Wechselwirkungen zwischen diesen beiden mikrobiellen Gemeinschaften zu ermöglichen, haben wir eine neuartige zusammenführende Normalisierungsmethode entwickelt.
Ergebnisse: Die Anwendung der Gemeinschaftsanalyse ermöglichte einen eingehenden Vergleich der Pilz- und Bakteriengemeinschaften, unabhängig von den geringen Sequenzzahlen. Im direkten Vergleich waren Bakterien deutlich häufiger und vielfältiger als Pilze, wobei Bacteroides und Prevotella die dominierenden Bakteriengattungen waren. Innerhalb der Pilzgemeinschaft war Candida die häufigste Gattung in der Kohorte, gefolgt von Geotrichum, während Saccharomyces weniger häufig vorkam. Andere Pilzgattungen wurden nur sporadisch bei einzelnen Personen nachgewiesen. Die meisten Bakterientaxa wiesen ab einer bestimmten Abundanz eine negative Korrelation mit Candida und Geotrichum auf. Beispielsweise zeigte sich bei Bacteroides keine antagonistische Wirkung gegenüber Candida, solange dessen relative Häufigkeit unter 5 % lag. Im Gegensatz dazu konnten bereits bei sehr geringer relativer Häufigkeit von nur 0,1 % antagonistische Interaktionen mit Candida für die Gattungen Prevotella (rho = -0,16), Alistipes (rho = -0,16) und Faecalibacterium (rho = -0,17) festgestellt werden. Eine Analyse des Gemeinschaftsnetzwerks ergab außerdem eine komplexe Dynamik, an der die drei häufigsten Gattungen – Bacteroides, Prevotella und Candida – beteiligt waren, die gegenseitig antagonistischen Beziehungen aufwiesen.
Schlussfolgerungen: Die Implementierung der neuartigen, einfach zu handhabenden Gemeinschaftsanalyse ermöglichte einen detaillierten Einblick in die Interaktionen zwischen Bakterien- und Pilzgemeinschaften im menschlichen Darm, die überwiegend antagonistischer Natur sind. Die bakterielle Gemeinschaft scheint mehrere Mechanismen zu nutzen, um die Darmumgebung vor einer Pilzbesiedlung zu schützen.

15:41 – 15:47

KV 050 Das Kurzdarmsyndrom nach Ileozökalresektion im Crohn-Modell geht mit entzündlichen Veränderungen und einer Verringerung kurzkettiger Fettsäuren im Colon einher

Elena Jadzewski (Rostock)

KV 050 Das Kurzdarmsyndrom nach Ileozökalresektion im Crohn-Modell geht mit entzündlichen Veränderungen und einer Verringerung kurzkettiger Fettsäuren im Colon einher

E. Jadzewski1, S. Oswald2, J. Krafft2, A. Schubert2, J. Reiner1, G. Lamprecht1, M. Witte3, P. Berlin1

1Zentrum für Innere Medizin, Klinik II, Universitätsmedizin Rostock, Abteilung für Gastroenterologie, Rostock, Deutschland, 2Institut für Pharmakologie und Toxikologie, Universitätsmedizin Rostock, Rostock, Deutschland, 3Klinik und Poliklinik für Allgemein-, Viszeral-, Thorax-, Gefäß- und Transplantationschirurgie, Universitätsmedizin Rostock, Rostock, Deutschland

Einleitung: Das Kurzdarmsyndrom (KDS) bezeichnet ein seltenes und komplexes Krankheitsbild, welches häufig nach Ileozökalresektion (ICR) bei Morbus-Crohn-Patienten entsteht. Bisherige Studien konzentrierten sich auf Adaptationsmechanismen des Dünndarms. Vorarbeiten zeigen jedoch, dass im KDS ebenfalls dysbiotische Veränderungen im Colon auftreten, die den Krankheitsverlauf beeinflussen können [Berlin et al. 2023: doi:10.1152/ajpgi.00201.2022].
Ziele: Ziel dieser Studie war es, die funktionellen Veränderungen des Colons und den Einfluss der chronischen Ileitis auf die Adaptation beim KDS zu untersuchen.
Methodik: Mäuse mit einer spontanen, Crohn-ähnlichen Ileitis (SAMP1/YitFc, SAMP1, n=49) und parentale Kontrollen (AKR, n=45) beider Geschlechter wurden einer 40%igen ICR mit jejunokolischer End-zu-End-Anastomose oder Transsektion ohne Resektion (Sham) unterzogen. Adaptation und Entzündung wurden, histologisch im Dünndarm und Colon, durch Lipocalin-2 Messungen im Plasma und Stuhl sowie anhand der mRNA-Expression von Il4 und Infγ in den mesenterialen Lymphknoten bewertet. Kurzkettige Fettsäuren (SCFA) wurden im Zökum und Stuhl quantifiziert.
Ergebnis: In SAMP1 Mäusen waren Gewichtsverlust, Diarrhöe und morphologische Adaptation nicht signifikant schlechter als in den Kontrollen. Nach ICR normalisierten sich lokal erhöhte Il4– und Infγ mRNA Level (d0 vs. d14 p≤0,05) und es reduzierte sich der Entzündungs-Score des Dünndarms (d0 vs. d14, p≤0,01). SAMP1 Mäuse hatten im Vergleich zur Kontrolle präoperativ erhöhte Acetat-, Isobutyrat- (p≤0,05), Butyrat- (p≤0,01) und Propionat- (p≤0,0001) Konzentrationen im Zökum. Weiterhin führte die ICR in beiden Stämmen an d14 zu einer Verringerung von SCFAs im Stuhl (Acetat SAMP1 p<0,01; Butyrat SAMP1 p≤0,01; Iso-Butyrat SAMP1, p≤0,0001; AKR p≤0,05, Propionat SAMP1, p≤0,001; AKR, p≤0,01, Iso-Valerat AKR, p≤0,05) im Vergleich zur präoperativen Konzentration. Eine postoperative Erhöhung von Lipocalin-2 im Stuhl beider Stämme deutet auf Crohn-unabhängige entzündliche oder adaptive Veränderungen nach ICR hin.
Schlussfolgerung: Die kolonische Adaptation nach ICR wurde erstmalig in einem Crohn-Modell untersucht. Die Entzündung in SAMP1 Mäusen ist nach ICR verringert und beeinträchtigt die morphologische Adaptation des Dünndarms in diesem Crohn-Modell nicht. Die ICR geht mit einer Dysbiose und Reduktion bakterieller Metabolite einher, die entzündliche und funktionelle Veränderungen des Colons beim KDS bedingen könnten.

15:49 – 15:55

KV 051 Entwicklung eines ex-vivo Präzisionsschnittmodells zur Untersuchung pharmakologischer Wirkungen in der CED-Therapie

Cica Vissiennon (Leipzig)

KV 051 Entwicklung eines ex-vivo Präzisionsschnittmodells zur Untersuchung pharmakologischer Wirkungen in der CED-Therapie

J. Werner1,2, L. Schiller1, K. Hill3, A. Hoffmeister4, S. Kallendrusch5, C. Vissiennon1,2

1Universität Leipzig, Institut für Medizinische Physik und Biophysik, Leipzig, Deutschland, 2Repha GmbH Biologische Arzneimittel, Langenhagen, Deutschland, 3Universität Leipzig, Rudolf-Boehm-Institut für Pharmakologie und Toxikologie, Leipzig, Deutschland, 4Universitätsklinikum Leipzig, Gastroenterologie, Leipzig, Deutschland, 5HMU Health and Medical University, Medizinische Fakultät, Potsdam, Deutschland

Einleitung: Die langfristige Remissionserhaltung bei chronisch entzündlichen Darmerkrankungen (CED) bleibt trotz etablierter medikamentöser Therapien herausfordernd. Phytotherapeutische Ansätze – etwa die Kombination aus Myrrhe, Kamillenblüten und Kaffeekohle – zeigen in klinischen Studien gute Wirksamkeit zur Remissionserhaltung, während ihre zugrunde liegenden Wirkmechanismen nicht vollständig geklärt sind. In-vitro-Studien weisen auf entzündungshemmende, spasmolytische und barrierestabilisierende Effekte der Arzneipflanzen hin.
Ziele: Ziel dieser Studie war es, ein neuartiges ex‑vivo Präzisionsschnittmodell auf Basis endoskopisch gewonnener Darmbiopsien zu entwickeln und für die pharmakologische Charakterisierung arzneipflanzlicher Extrakte zu optimieren.
Methodik: Aus Kolonbiopsien von 12 CED-Patient:innen wurden mehrere Präzisionsschnittpräparate (4-8 je Biopsat) angefertigt und 24h ex‑vivo kultiviert. Schnitte desselben Biopsats wurden entweder mit Budesonid (1 µM) oder Arzneipflanzenextrakten behandelt. Die Gewebemorphologie wurde anhand HE-Färbung beurteilt. Ergänzend wurden Immunhistochemie/-fluoreszenz (cleaved-PARP, ELA2, CD68, CD163) sowie Multiplex-ELISA zur Quantifizierung von 24 pathophysiologisch relevanten Mediatoren verwendet.
Ergebnisse: Die histologische Analyse ergab, dass die charakteristische Darmmorphologie über den Kultivierungszeitraum ohne Hinweise auf Gewebeschäden erhalten blieb. Es wurde kein signifikanter Anstieg apoptotischer Prozesse beobachtet. CED-typische Charakteristika wie eine erhöhte Zahl ELA2+-Granulozyten konnten im Vergleich zu nicht-CED-Gewebe beobachtet werden. Nach Behandlung mit Budesonid konnte dessen pharmakologische Wirkweise anhand einer signifikant reduzierten Ausschüttung proinflammatorischer Mediatoren (IL8: -84%; IL6: -67%; GM-CSF: -61%; TNF: -51,8%; uPAR: -61%; CXCL5: -49,4%; MCP-1: -43,1%) nachvollzogen werden. Erste Untersuchungen mit den Arzneipflanzenextrakten ergaben keine Hinweise auf zytotoxische Effekte und zeigten Veränderungen im Mediatorprofil, die auf ein therapeutisches Potenzial hinweisen.
Schlussfolgerung: Das ex‑vivo Präzisionsschnittmodell ermöglicht eine detaillierte Untersuchung der komplexen Pathophysiologie von CED und bietet daher eine vielversprechende Plattform zur Evaluierung nicht nur konventioneller, sondern auch phytotherapeutischer Behandlungsansätze. Künftige Studien sollen deren zugrunde liegenden Wirkmechanismen weiter aufklären und die klinische Relevanz validieren.

15:57 – 16:03

KV 044 Abrogation of serine metabolism exacerbates intestinal epithelial inflammation via C/EBPβ-NF-κB pathway

Johanna Bornhäuser

KV 044 Abrogation of serine metabolism exacerbates intestinal epithelial inflammation via C/EBPβ-NF-κB pathway

G. Yang1, K. Sima2, H. Xiang1, L. Welz1, A. Bhardwaj1, C. Treitz3, E. Koncina4, E. Springer1, J. Bornhäuser1, T. Mekdoud1, S. Schreiber5, A. Tholey3, P. Rosenstiel1, K. Aden5

1Institute of Clinical Molecular Biology (IKMB), Kiel, Deutschland, 2University of Lübeck, Department of Infectious Diseases and Microbiology, Lübeck, Deutschland, 3Christian-Albrechts-Universität zu Kiel, Systematic Proteome Research & Bioanalytics, Institute for Experimental Medicine, Kiel, Deutschland, 4Université du Luxembourg, Faculty of Science, Technology and Medicine, Department of Life Sciences and Medicine, Luxembourg, Luxemburg, 5Department of Internal Medicine I., Christian-Albrechts-University and University Hospital Schleswig-Holstein, Campus Kiel, Kiel, Deutschland

Background: Inflammatory Bowel Disease (IBD) is characterized by chronic inflammation and metabolic dysregulation in the intestinal epithelium. Serine, a non-essential amino acid synthesized via the rate-limiting enzyme phosphoglycerate dehydrogenase (PHGDH), maintains cellular redox balance. Serine metabolism is upregulated in cancer and immune cells, supporting survival and growth. However, the mechanism of how PHGDH-related serine metabolism influences the IBD process remains unclear.
Aim: We hypothesized that serine metabolism provides a novel metabolic switch to maintain immunological homeostasis in the intestinal epithelium of IBD patients.
Methods: Clinical analysis of PHGDH was assessed in the public database of IBD cohorts, correlating PHGDH expression with endoscopic or clinical disease activity. To explore the molecular regulation of de novo serine synthesis via PHGDH, we used murine intestinal epithelial cells (Mode-K cells) and murine intestinal organoids. WB and IHC were performed to analyze in vitro ER stress and PHGDH expression in the DSS colitis model. Mode-K cells were subjected to serine starvation and co-treated with LPS. Proinflammatory cytokines were evaluated by qPCR and ELISA. Metabolic supplements formate and hypoxanthine were tested to mitigate the overactivation of inflammation. Total starvation was assessed by using serine deprivation medium and the PHGDH inhibitor BI-4916. RNA sequencing and proteomic analyses were performed to investigate molecular mechanisms.
Results: Clinically, we observed upregulated PHGDH expression in IBD patients, showing a strong association between serine metabolism and IBD severity. Using the DSS-induced colitis model, we showed elevated ER stress and serine synthesis under inflammation. When the serine pathway was completely blocked, we observed a dramatically enhanced inflammatory signature upon LPS treatment. Total starvation led to impaired mitochondrial function as assessed by the Seahorse assay. Combining RNAseq and proteomic analysis, we identified C/EBPβ as the critical regulator in mediating cellular inflammation under total serine starvation via the NF-κB pathway.
Conclusion: Our data provide a novel link on how disrupted serine metabolism directly fuels epithelial-derived proinflammatory mechanisms via disruption of mitochondrial function and suggest an underappreciated role of cellular serine metabolism in IBD pathophysiology.

Kurzvortragssitzung

KI in der Endoskopie-Bildverarbeitung & Diagnostik

10:55 – 11:51

Do 18.09.

Seminarraum 14 + 15

Open Accordion - Icon Close Accordion - Icon

Vorsitz: Sonja Haas (Bonn) und Lukas Welsch (Hanau)

10:55 – 11:01

KV 413 ​​​​​Edge-KI in der Kapselendoskopie: Lokalisierung und Anomalieerkennung auf dem Galar-Datensatz

Maxime Le Floch (Dresden)

KV 413 ​​​​​Edge-KI in der Kapselendoskopie: Lokalisierung und Anomalieerkennung auf dem Galar-Datensatz

M. Le Floch1,2, J. Werner3, J.L. Steinhäuser1,2, H. Tolle1,2, C. Stopp1, S. Sulk1, J. Hampe1,2, O. Bringmann3, F. Brinkmann1,2

1Universitätsklinikum Dresden, Medizinische Klinik 1, Dresden, Deutschland, 2Else Kröner Fresenius Zentrum für Digitale Gesundheit, Technische Universität, Dresden, Deutschland, 3Universität Tübingen, Fachbereich Informatik, Tübingen, Deutschland

Einleitung: Die Kapselendoskopie erlaubt eine minimalinvasive Bildgebung des Dünndarms. Aufgrund begrenzter Rechen- und Batterieleistung in der Kapsel sind klassische KI-Verfahren bislang nur retrospektiv nutzbar. Eine intelligente Vorverarbeitung direkt in der Kapsel („Edge-KI“) k önnte daher den klinischen Nutzen deutlich steigern.
Ziele: Ziel dieser Arbeit ist die Entwicklung und Bewertung eines energieeffizienten KI-Ansatzes zur gleichzeitigen Lokalisation der Kapsel im Gastrointestinaltrakt und Detektion pathologischer Befunde. Der Fokus liegt auf ressourcenschonender und effizienten Bildanalyse in Echtzeit zur Integration in zukünftige Kapselgenerationen. Dies wird erstmals am Dresdner Galar-Datensatz demonstriert, der im Vergleich zu bisherigen Kapselendoskopie-Datensätzen eine breitere und detailliertere Annotation bietet.
Methodik: Grundlage bildet der Galar-Datensatz mit über 3,5 Millionen Bildern aus 80 vollständigen Kapseluntersuchungen. Für die Anomalieerkennung wurden verschiedene KI-basierte Strategien entwickelt, darunter Autoencoder, semi-supervised Klassifikation und Ensemble-Modelle [3]. Zur Organdetektion wurde auf Basis von [2] ein leichtgewichtiges CNN mit einem Hidden-Markov-Modell (HMM) kombiniert. Zusätzlich wurde ein kompaktes Multi-Task-Modell (MTL) auf dem Galar-Datensatz trainiert, das beide Aufgaben simultan löst [4].
Ergebnis: Das CNN-HMM-Modell erreichte eine Lokalisationsgenauigkeit von 92 % [4] bei minimalem Rechenaufwand (< 1 Mio. Parameter). Die Anomaliedetektion erzielte AUC-Werte von bis zu 77 % [3]. Der Multi-Task-Ansatz ermöglichte eine weitere Reduktion der Modellgröße ohne Leistungseinbußen. Alle Methoden erlauben eine kontextbasierte Bewertung einzelner Bilder mit anatomischer Einordnung.
Schlussfolgerung: Die Kombination aus Galar-Daten, HMM-gestützter Lokalisation und robusten Detektionsmodellen ermöglicht einen praxisnahen Edge-KI-Ansatz für die Kapselendoskopie. Sie bildet die Grundlage für eine autonome, ressourcenschonende Bildanalyse direkt in der Kapsel. Freigewordene Batteriekapazität kann z. B. für höherauflösende Kameras oder längere Aufnahmezeiten genutzt werden. Der Ansatz stellt einen ersten Schritt hin zu einer intelligenten Kapsel dar, die in zukünftigen Generationen erweiterte diagnostische und therapeutische Funktionen ermöglichen könnte.

Abbildung 1: Verteilung der Annotationen im Galar-Datensatz über technische, anatomische und pathologische Kategorien. Die Grafik zeigt die Häufigkeit der vergebenen Labels. [1]Abbildung 2: Übersicht des entwickelten Workflows. Der Galar-Datensatz bildet die Grundlage für die Entwicklung energieeffizienter Modelle zur Lokalisation und Anomaliedetektion. Beide Pfade werden in einem kompakten Multi-Task-Modell vereint und für die Anwendung in Edge-KI-Systemen der Kapselendoskopie optimiert. Modelle zur Anomaliedetektion und Lokalisation entwickelt in Zusammenarbeit mit der Universität Tübingen, Lehrstuhl für Eingebettete Systeme. [2,3,4]

Legende
Abbildung 1: Verteilung der Annotationen im Galar-Datensatz über technische, anatomische und pathologische Kategorien. Die Grafik zeigt die Häufigkeit der vergebenen Labels. [1]
Abbildung 2: Übersicht des entwickelten Workflows. Der Galar-Datensatz bildet die Grundlage für die Entwicklung energieeffizienter Modelle zur Lokalisation und Anomaliedetektion. Beide Pfade werden in einem kompakten Multi-Task-Modell vereint und für die Anwendung in Edge-KI-Systemen der Kapselendoskopie optimiert. Modelle zur Anomaliedetektion und Lokalisation entwickelt in Zusammenarbeit mit der Universität Tübingen, Lehrstuhl für Eingebettete Systeme. [2,3,4]

Methode AUC [%] Parameteranzahl
Baseline (Einzelklassifikation) ca. 61 25 Mio.
Bildklassifikator 74,94 1 Mio.
Ensemble: SVM, Autoencoder, Klassifikator 76,98 4 Mio.
Tabelle 1: Überblick über getestete Methoden zur Anomaliedetektion im Dünndarm. Verglichen werden ein konventioneller Baseline-Ansatz mit Einzelklassifikation, ein kompakter Bildklassifikator sowie ein Ensemble-Modell, das auf der Kombination von Autoencoder, Bildklassifikation und SVM basiert. Das Ensemble erzielt die höchste AUC bei gleichzeitig moderater Modellgröße – ein vielversprechender Ansatz für robuste Edge-KI-Systeme unter Hardware-Limitierungen. [3]


Quellenverzeichnis
1. Galar – a large multi-label video capsule endoscopy dataset”. Le Floch, Maxime; Wolf, Fabian; McIntyre, Lucian; et al. Figshare+.
https://doi.org/10.25452/figshare.plus.25304616.v1 (2025)
2. „Precise Localization Within the GI Tract by Combining Classification of CNNs and Time-Series Analysis of HMMs.” Werner, J., Gerum, C., Reiber, M., Nick, J., Bringmann, O. (2024). In: Cao, X., Xu, X., Rekik, I., Cui, Z., Ouyang, X. (eds) Machine Learning in Medical Imaging. MLMI 2023. Lecture Notes in Computer Science, vol 14349. Springer, Cham.
https://doi.org/10.1007/978-3-031-45676-3_18
3. Werner, J., Gerum, C., Nick, J., Floch, M. L., Brinkmann, F., Hampe, J., & Bringmann, O. (2025). Enhanced Anomaly Detection for Capsule Endoscopy Using Ensemble Learning Strategies.
arXiv preprint arXiv:2504.06039, Accepted at EMBC.
4. „Advancing Video Capsule Endoscopy: A Multi-Task Learning Approach“, by Julia Werner, Oliver Bause, Maxime Le Floch, Franz Brinkmann, Jochen Hampe, Oliver Bringmann. Preprint 2025.

11:03 – 11:09

KV 414 Entwicklung einer auf monokularen Tiefenschätzung basierenden künstlichen Intelligenz zur Bestimmung der Polypengröße

Dominik Schulz (Augsburg)

KV 414 Entwicklung einer auf monokularen Tiefenschätzung basierenden künstlichen Intelligenz zur Bestimmung der Polypengröße

D. Schulz1, A. Ebigbo2, S. Nagl1, A. Probst1, E. Holley1, O. Nichiporyk1, S. Zellmer1, H. Messmann1

1Universitätsklinikum Augsburg, Augsburg, Deutschland, 2Universitätsklinikum der Ruhr-Universität Bochum, Bochum, Deutschland

Ziele: Die Bestimmung der Polypengröße in der Koloskopie ist wichtig um die Leitlinien gerechte Resektionsmethode und das Überwachungsintervall festzulegen. Die Schätzung erfolgt dabei meist durch die Endoskopiker selbst, die Abweichung zum wahren Wert können bis zu 65 % betragen. Ziel dieser Arbeit ist eine auf künstlicher Intelligenz (KI) basierende Methode zur Bestimmung der Polypengröße zu entwickeln.
Methodik: Es wurde ein maßstabsgetreues 3D Kolonmodell mit simulierten 3D-Polypen verwendet und eine virtuelle Koloskopie durchgeführt. Hiermit wurden 3060 Weißlichtbilder gerendert. Für jedes Bild wurde eine Tiefenkarte erstellt. Mit den virtuellen Weißlichtbilder und Tiefenkarten wurden dann ein monokulares Tiefenschätzungsmodell trainiert. Zum Testen des Modells wurden die Einzelbilder von 133 Läsionen verwendet, die in unserer Klinik durch endoskopische Mukosadissektion (ESD) entfernt wurden. Zum Vergleich wurde die Größe dieser durch drei ESD-Experten und drei Endoskopie-Trainees geschätzt.
Ergebnis: Der mittlere absolute prozentuale Fehler (MAPE) für die Größenschätzung beim KI Modell betrug 29 %. Die MAPE der drei ESD-Experten lag bei 28 %, und die der Endoskopie-Trainees bei 38%.
Schlussfolgerung: Die monokulare Tiefenschätzung ist eine vielversprechende KI-Methode für die automatische Schätzung der Polygröße mit einer vergleichbaren Genauigkeit zu der Schätzung von erfahrenen Endoskopikern.

11:11 – 11:17

KV 415 Eine Studie zur Evaluierung der Realitätsnähe KI-generierter Polypen

Valentin Wettstein (Würzburg)

KV 415 Eine Studie zur Evaluierung der Realitätsnähe KI-generierter Polypen

P. Sodmann1, R. Weber1, Y. Chiang1, I. Kafetzis1, V. Wettstein1, V. Parayitam1, K. Kouladouros2, A. Meining1, A. Hann1

1Universitätsklinikum Würzburg, Interventionelle und experimentelle Endoskopie (InExEn), Medizinische Klinik und Poliklinik II, Würzburg, Deutschland, 2Charite – Universitätsmedizin Berlin, Zentrale Interdisziplinäre Endoskopie, Medizinische Klinik mit Schwerpunkt Hepatologie und Gastroenterologie, Berlin, Deutschland

Einleitung: Das Erkennen und präzise Klassifizieren von Polypen bei der Koloskopie ist essenziell für die Darmkrebsvorsorge, hängt jedoch stark von der Erfahrung des Untersuchers ab. Da Trainingsmöglichkeiten auf patientenbezogene Daten angewiesen sind, stehen nur wenige frei verfügbare Quellen für die Weiterbildung zur Verfügung. KI-generierte Bilder ermöglichen das Training der Klassifizierung von Krebsvorstufen und bereichern die Variabilität der Trainingsdaten, ohne auf Patientendaten angewiesen zu sein.
Ziele: Diese Studie evaluiert die Realitätsnähe KI-generierter Bilder von Kolonpolypen.
Methodik: Basierend auf über 40 Millionen Endoskopiebildern aus mehr als 7000 Untersuchungen haben wir eine auf latenter Diffusion basierende KI entwickelt, die realistische Bilder von Kolonpolypen generiert. Zur Überprüfung der Realitätsnähe KI-generierter Polypenbilder führten wir eine multizentrische, internationale Studie durch. Insgesamt wurden 55 Ärztinnen und Ärzte aus 47 Zentren in 15 Ländern rekrutiert, darunter 48 Personen mit Erfahrung von über 1.000 Koloskopien. Den Teilnehmenden wurden jeweils 20 echte und 20 KI-generierte Polypenbilder präsentiert. Ihre Aufgabe bestand darin, jedes Bild als echt oder KI-generiert zu klassifizieren und ihre Entscheidungssicherheit anzugeben.
Ergebnis: Von den 55 Teilnehmenden wurden 53 in die Analyse eingeschlossen. Die Genauigkeit bei der korrekten Klassifizierung der Bilder lag bei 73% (95% Confidence Interval (CI), 70% – 76%). KI-generierte Polypen wurden mit einer Sensitivität von 66% (95% CI, 60% – 71%) und einer Spezifität von 80% (95% CI, 0,76% – 0,84%) richtig klassifiziert. Korrespondierend dazu, lag bei der Klassifizierung echter Polypen die Sensitivität bei 80% (95% CI, 0,76% – 0,84%) und die Spezifität bei 66% (95% CI, 60% – 71%). Die Beurteilung der KI-generierten Polypen ging mit einer signifikant erhöhten Unsicherheit einher (p < 0,001).
Schlussfolgerung: Die Ergebnisse unserer Studie zeigen, dass unsere KI realistische Bilder kolorektaler Polypen erzeugen kann, die selbst von erfahrenen Endoskopierenden kaum von echten Aufnahmen zu unterscheiden sind. In Folgestudien planen wir, diese KI-generierten Bilder für den Aufbau einer Trainingsplattform zur Klassifikation von Darmkrebsvorstufen einzusetzen.

11:19 – 11:25

KV 416 Künstliche Intelligenz-basierte Detektion von Angiodysplasien im Kolon zur Verbesserung der Dokumentation von Koloskopien

Ioannis Kafetzis (Würzburg)

KV 416 Künstliche Intelligenz-basierte Detektion von Angiodysplasien im Kolon zur Verbesserung der Dokumentation von Koloskopien

I. Kafetzis1, J. Theile1, J. Albert2, S. Dimitriadis3, W. Zoller2, A. Meining1, A. Hann1

1Universitätsklinikum Würzburg, Interventionelle und Experimentelle Endoskopie (InExEn), Medizinische Klinik und Poliklinik II, Würzburg, Deutschland, 2Katharinenhospital, Klinik für Allgemeine Innere Medizin, Gastroenterologie, Hepatologie, Infektiologie und Pneumologie, Stuttgart, Deutschland, 3Gastroenterologische Privatpraxis, Thessaloniki, Griechenland

Einleitung: Angiodysplasien im Kolon sind mit Blutungen in unserem Gastrointestinaltrakt assoziiert. Trotz ihrer klinischen Relevanz ist die Dokumentation in den Untersuchungsberichten uneinheitlich und die bildbasierte Identifizierung variiert erheblich. Künstliche Intelligenz (KI) ermöglicht die standardisierte Identifikation und Dokumentation solcher Befunde.
Ziele: Ziel dieser Studie ist die Entwicklung und Validierung einer KI, die Kolon-Angiodysplasien in endoskopischen Bildern identifizieren kann. Außerdem soll die konsequente Dokumentation von diesen Befunden im Endoskopiebericht verbessert werden.
Methodik: Insgesamt wurden 34.953 Endoskopieberichte retrospektiv auf das Vorhandensein von Angiodysplasien gescreent, 993 davon enthielten Begriffe passend zu identifizierten Angiodysplasien. Nach manueller Annotation wurden in 957 Bildern Angiodysplasien identifiziert und für das Training der KI verwendet. Die Leistung der KI wurde anhand von 3.936 manuell annotierten Bildern, die 240 Untersuchungen entsprechen und aus einer zweiten Klinik kamen, bewertet. Ferner wurde die KI auf Bilder von Untersuchungen aus der zweiten Klinik angewandt, bei denen keine Angiodysplasien im Bericht beschrieben worden war. Dies geschah um eine potenzielle mangelhafte Dokumentation festzustellen.
Ergebnis: Bei der externen Validierung zeigte die KI eine Präzision von 94,3% (95% CI: 93,5%-95,1%), mit einer Sensitivität von 80% (95% CI: 76,8%-84%) und einer Spezifität von 96,5% (95% CI: 95,9%-97,2%) beim Auffinden von Bildern mit Angiodysplasien. Die KI identifizierte 112 Untersuchungen mit vorhandenen Bildern von Angiodysplasien, welche trotz Bilderfassung nicht im Bericht erwähnt wurden.
Schlussfolgerung: KI kann zuverlässig Angiodysplasien des Kolons in endoskopischen Bildern identifizieren. Die Integration dieser Technologie in den Dokumentationsablauf hat das Potenzial die Vollständigkeit und Einheitlichkeit von Endoskopieberichten zu verbessern.

11:27 – 11:33

KV 417 EndoStyle: Stilübertragung endoskopischer Bilder zur Verbesserung der KI-gestützten Polypendetektion

Joel Troya (Würzburg)

KV 417 EndoStyle: Stilübertragung endoskopischer Bilder zur Verbesserung der KI-gestützten Polypendetektion

J. Troya1,2, I. Kafetzis1, R. Weber1, Y. Chiang1, V. Parayitam1, P. Sodmann1, D. Ziegler3, F. Puppe4, A. Nüchter3, A. Meining1,2, A. Hann1

1Universitätsklinikum Würzburg, Medizinische Klinik und Poliklinik II, Interventionelle und Experimentelle Endoskopie (InExEn), Würzburg, Deutschland, 2Bayerisches Zentrum für Krebsforschung (BZKF), Würzburg, Deutschland, 3Julius-Maximilians-Universität Würzburg, Informatik XVII: Robotik, Würzburg, Deutschland, 4Julius-Maximilians-Universität Würzburg, Institute for Computer Science, Lehrstuhl für Künstliche Intelligenz und Wissenssysteme, Würzburg, Deutschland

Einleitung: KI-gestützte Polypendetektionssysteme sind Teil der klinischen Routine, doch ihre Akzeptanz wird durch häufige falsch-positive Befunde beeinträchtigt. Wir haben ein KI-basiertes System namens EndoStyle entwickelt, das den Stil endoskopischer Bilder, einschließlich Bilddetails und Farbtemperatur, von einem Videoprozessor auf andere Videoprozessortypen übertragen kann.
Ziele: Ziel der Studie ist es, die Fähigkeit von EndoStyle zur real anmutenden Stilübertragung zwischen Videoprozessoren zu messen sowie die Leistungssteigerung einer damit trainierten Polypendetektions-KI zu bewerten.
Methodik: Ein auf StarGAN-v2 basierendes Bildtransfermodell wurde mit 239.875 Bildern von 5 verschiedenen Videoprozessoren trainiert und mit Fréchet Inception Distance (FID) validiert. Der Realitätsgrad wurde mit 20 Endoskopierenden aus 14 Zentren getestet, die je 28 Koloskopie-Videosequenzen betrachteten. Anschließend wurden ihnen drei Bilder gezeigt: eines aus derselben Sequenz (Positiv-Kontrollgruppe), eines aus einer anderen Sequenz mit anderem Stil (Negativ-Kontrollgruppe) und eines, das mit EndoStyle angepasst wurde. Sie sollten jenes aus der Originalsequenz identifizieren. Parallel wurden zwei YOLOv11-basierte Polypendetektionssysteme mit öffentlichen Datensätzen (Pentax, Olympus und Fujifilm) trainiert: ein „Baseline“-System ohne Vorverarbeitung und ein „Augmented“-System mit zusätzlich generierten, auf Olympus angepassten Bildern. Beide Modelle wurden bildweise auf 101 vollständigen mit Olympus erfassten Koloskopievideos getestet und hinsichtlich Sensitivität und Spezifität bei der Detektion von 93 Polypen verglichen.
Ergebnisse: EndoStyle erzielte einen FID von 38.5 (FID<50 gilt als ausgezeichnet). Die Endoskopiker wählten Bilder aus der Positiv-, der Negativ- und EndoStyle-Gruppe in 88.47%, 12.29% bzw. 86.12% der Fälle aus. Beide Modelle erkannten alle Polypen in mindestens einem Bild, mit Sensitivitäten von 57.46% (Baseline) bzw. 55.50% (Augmented, p=0.79). Das Augmented-Modell reduzierte jedoch die Rate falsch-positiver Detektionen signifikant um 6.64%.
Schlussfolgerungen: EndoStyle passt visuelle Eigenschaften wie Farbtemperatur und Bildausschnitt von verschiedenen Videoprozessoren erfolgreich an, wobei die Anpassung für Endoskopierende kaum wahrnehmbar ist. Zudem ermöglichen die generierten Bilder eine signifikante Reduktion falsch-positiver Raten in KI-gestützen Polypendetektionssystemen durch gezielte Ergänzung um zielprozessorspezifische Daten.

11:35 – 11:41

KV 418 Evaluierung eines KI-basierten Trainingstools für die Paris Klassifizierung von kolorektalen Läsionen

Irshath Ali Syed (Würzburg)

KV 418 Evaluierung eines KI-basierten Trainingstools für die Paris Klassifizierung von kolorektalen Läsionen

P. Sodmann1, R. Weber1, I. Kafetzis1, I.A. Syed1, Y. Chiang1, V. Parayitam1, A. Meining1, A. Hann1

1Universitäts klinikum Würzburg, Interventionelle und Experimentelle Endoskopie (InExEn), Medizinische Klinik und Poliklinik 2, Zentrum für Innere Medizin (ZIM), Würzburg, Deutschland

Einleitung: Die standardisierte Klassifikation kolorektaler Läsionen nach Paris ist für die präzise Befunderstellung essenziell. Die derzeitigen Trainingsmöglichkeiten für diese Klassifikation basieren auf patientenbezogenem Bildmaterial. Fortschritte in der generativen Künstlichen Intelligenz (KI) ermöglichen nun die Erstellung realistischer Bilder, welche nicht in einem Patienten aufgenommen wurden. KI ermöglicht damit die Erstellung eines frei verfügbaren Trainings ohne patientenbezogene Daten.
Ziele:
Anhand verschiedener Trainingsmodelle soll der Lernzuwachs in Bezug auf die korrekte Klassifikation nach Paris evaluiert werden. Dafür erfolgt die Verwendung von KI-generierten Bildern im Vergleich zu konventionellem Training mit echtem Bildmaterial.
Methoden: Es wurde eine generative KI trainiert, um synthetische Bilder von Kolonpolypen zu erzeugen mit der Möglichkeit zur Darstellung verschiedener Paris-Typen. Die Teilnehmenden aus 7 Zentren (Deutschland, USA, Israel) wurden nach dem Zufallsprinzip in Kontroll- und Interventionsgruppe eingeteilt. Alle Teilnehmenden absolvierten Tests vor und nach dem Training mit dem Ziel den Lernzuwachs zu messen. Während des Trainings klassifizierten die Teilnehmenden Polypenbilder und erhielten im Anschluss Feedback mit anschaulichen Beispielen. Bei den Beispielen der Kontrollgruppe handelte es sich um echte Polypenbilder, während die Beispiele der Interventionsgruppe KI-generierte Polypenbilder enthielten. Alle künstlich generierten Bilder wurden zuvor von mindestens vier erfahrenden Endoskopierenden validiert.
Ergebnisse: Beide Gruppen zeigten nach der aktuellen vorläufigen Analyse einen ähnlichen Lernzuwachs (Kontrollgruppe: +12 %, Interventionsgruppe: +11 %). Allerdings hatten alle Teilnehmenden der Kontrollgruppe bereits Erfahrung mit der Paris Klassifikation und der Endoskopie mit teilweise bis zu 400 durchgeführten Koloskopien . Im Gegensatz dazu waren die meisten Teilnehmenden der Interventionsgruppe Anfänger mit minimaler, oder keiner Endoskopie-Erfahrung.
Schlussfolgerung: Ein auf KI-generierten Bildern basierendes Training kann besonders für Anfänger von Vorteil sein, ohne einen signifikanten Nachteil im Vergleich zu einem Training mit echten endoskopischen Bildern darzustellen.

11:43 – 11:49

KV 419 Eine prospektive verblindete Studie zur Messung der Größe kolorektaler Polypen mittels Wasserstrahl und KI in der Routineendoskopie

Philipp Sodmann (Würzburg)

KV 419 Eine prospektive verblindete Studie zur Messung der Größe kolorektaler Polypen mittels Wasserstrahl und KI in der Routineendoskopie

P. Sodmann1, I. Kafetzis1, B. Herghelegiu1, J. Troya1, M. Brand1, A. Meining1, A. Hann1

1Universitätsklinikum Würzburg, Interventionelle und experimentelle Endoskopie (InExEn), Gastroenterologie, Medizinische Klinik und Poliklinik II, Würzburg, Deutschland

Einleitung: Die Bestimmung der Polypengröße ist entscheidend für das Nachsorgeintervall nach einer Polypektomie. Für die Größenbestimmung haben wir Poseidon entwickelt, ein KI-basiertes System, das den in Standardendoskopen integrierten Wasserstrahl als Referenz verwendet. Wir evaluierten erstmals den Einsatz von Poseidon in Echtzeit während Routinekoloskopien.
Methodik: Zwischen dem 14.02. und 26.03.2024 wurden konsekutiv Patientinnen und Patienten eingeschlossen, bei denen am Universitätsklinikum Würzburg eine Koloskopie durchgeführt wurde. Ausschlusskriterien waren chronisch entzündliche Darmerkrankungen und hereditäre Polyposissyndrome. Der Endoskopiker schätzte die Polypengröße visuell ein. Gleichzeitig bestimmte Poseidon die Größe in Echtzeit, wenn es einen Wasserstrahl und den Polypen im Bild erkannte. Die Messergebnisse erschienen zur Verblindung des Untersuchers auf einem zweiten Monitor. Als Goldstandard wurde ein Instrument mit definiertem Durchmesser neben dem Polypen platziert. Primärer Endpunkt war die mittlere absolute Differenz der prozentualen Fehler zwischen KI-Messung und visueller Schätzung (ClinicalTrials.gov NCT06040710).
Ergebnis: In 34 Koloskopien wurden 73 Polypen gemessen. Nach Ausschluss von 30 Polypen aufgrund von zu weit entfernten Wasserstrahlen (n = 17) oder zu großem Abstand bei der Referenzmessung (n = 13) gingen 44 Polypen in die Auswertung ein. Der mittlere absolute prozentuale Fehler betrug 30,9 % (95 % KI 22,7-39,0 %) für Poseidon gegenüber 40,9 % (95 % KI 30,5-51,3 %) für die visuelle Schätzung (p = 0,019).
Schlussfolgerung: Poseidon liefert eine signifikant genauere Bestimmung der Polypengröße in Echtzeit als die visuelle Schätzung durch den Untersucher. Multizentrische Studien sollten folgen, um den klinischen Nutzen und die Mensch-KI-Interaktion weiter zu validieren.

Kurzvortragssitzung

Ösophaguskarzinom

08:30 – 09:58

Fr 19.09.

Vortragsraum 11

Open Accordion - Icon Close Accordion - Icon

Vorsitz: Sören Torge Mees (Dresden) und Annegrit Decker (Freiburg)

08:30 – 08:36

KV 269 Prospective analysis of the relationship between four insulin resistance indicators and esophageal cancer risk using UK biobank data

René Thieme (Leipzig)

KV 269 Prospective analysis of the relationship between four insulin resistance indicators and esophageal cancer risk using UK biobank data

C. Yang1, W. Cheng2, P.S. Plum1, J. Köppe3, I. Gockel4, R. Thieme1

1University Hospital Leipzig, Department of Visceral, Transplant, Thoracic and Vascular Surgery, Leipzig, Deutschland, 2Universität leipzig, Leipzig, Deutschland, 3University of Muenster, Institute of Biostatistics and Clinical Research, Münster, Deutschland, 4Klinikum Magdeburg, Magdeburg, Deutschland

Introduction: This study aimed to examine the relationship between four insulin resistance (IR) markers—triglyceride-glucose (TyG) index, TyG combined with body mass index (TyG-BMI), the triglyceride to high-density lipoprotein cholesterol ratio (TG/HDL-C), and the metabolic score for insulin resistance (METS-IR)—and the risk of developing esophageal cancer.
Methods: Data were analyzed from 388,900 participants enrolled in the UK Biobank between 2006 and 2010. The associations between the IR surrogates and the incidence of esophageal cancer, specifically esophageal adenocarcinoma (EAC) and esophageal squamous cell carcinoma (ESCC), were evaluated using Fine-Gray competing risk models, restricted cubic spline (RCS) analysis, and receiver operating characteristic (ROC) curves.
Results: Over a median follow-up of ten years, esophageal cancer was diagnosed in 0.16% (95% CI: 0.11–0.26%) of participants, and the mortality rate reached 4.17% (95% CI: 3.86–4.46%). Each standard deviation increase in TyG, TyG-BMI, TG/HDL-C, and METS-IR was associated with elevated EAC risk, with hazard ratios (HRs) of 1.16, 1.37, 1.08, and 1.36, respectively (all P < 0.05). Conversely, the same increases were linked to reduced ESCC risk, with HRs of 0.80, 0.67, 0.77, and 0.65, respectively. The RCS analysis suggested that most of these associations were nonlinear (P < 0.05). Among the four markers, METS-IR demonstrated the strongest predictive capability based on ROC curve analysis.
Conclusion: The study found significant associations between TyG, TyG-BMI, TG/HDL-C, and METS-IR with the risks of both EAC and ESCC. METS-IR emerged as the most effective predictor among the four, indicating its potential as a useful tool for early detection and risk stratification of esophageal cancer.

08:38 – 08:44

KV 270 Vergleichbarkeit der Tumorquantifizierung zwischen 3D MRT und Endosonographie bei Patienten mit distalem Ösophaguskarzinom

Gesa Pöhler (Münster)

KV 270 Vergleichbarkeit der Tumorquantifizierung zwischen 3D MRT und Endosonographie bei Patienten mit distalem Ösophaguskarzinom

G. Pöhler1, M. Juratli2, M.-D. Künnemann1, J. Masthoff1, T. Krähling1, S. Kubasch1, A. Pascher2, A.-K. Eichelmann2, N. El-Souranie2, J.P. Hölzen2

1Universitätsklinikum Münster (UKM), Radiologie, Münster, Deutschland, 2Universitätsklinikum Münster (UKM), Klinik für Allgemein-, Viszeral- und Transplantationschirurgie, Münster, Deutschland

Einleitung: Das Ösophaguskarzinom wird in Deutschland häufig erst in fortgeschrittenen Stadien diagnostiziert. Der endoskopische Ultraschall (EUS) als aktueller Goldstandard für das lokale Staging weist erhebliche Limitationen auf: hohe Untersucherabhängigkeit, unzureichende Reproduzierbarkeit, standardisierte Kriterien zur Lymphknotenbeurteilung und eingeschränkte Durchführbarkeit bei stenosierenden Tumoren. Diese Studie evaluiert die intermodale Reproduzierbarkeit einer standardisierten hochaufgelösten multiparametrischen MRT des Ösophagus als ergänzende Bildgebung zur Endosonographie.
Ziele: In dieser Studie wird die intermodale Vergleichbarkeit der Messgenauigkeit der Tumorlokalisation (Ab VZR oben (cm), bis VZR unten (cm)), der Tumorausdehnung (ab VZR oben – bis VZR unten (cm)) und das voxel-basierte Tumorvolumen (mm³) untersucht mit endoskopischer/endosonographischer Messung als Referenzstandard.
Methodik: In dieser prospektiven monozentrischen Studie wurden 25 Patienten mit histologisch gesichertem distalem Ösophaguskarzinom eingeschlossen. Alle Patienten erhielten eine Endosonographie / Endoskopie und eine hochaufgelöste 3-Tesla-MRT mit Fast-Spin-Echo T2W-Sequenzen, diffusionsgewichteten Sequenzen und 3D-T1-gewichteten Sequenzen vor und nach Kontrastmittelgabe. Die endosonographisch/endoskopisch gemessene Tumorlokalisationsbestimmung und Tumorlängenquantifzierung dienten als Referenzstandard und wurden mittels Shapiro-Wilk, Wilcoxon signed rank, Spearman Korrelation und Bland-Altman plot untersucht.
Ergebnis: Der Median der Tumorlokalisation ab VZR oben der Endosonographie betrug 35 (unteres IQR, 75% oberes IQR;33, 39) cm, Tumorlokalisation bis VZR unten betrug 40 (36;42) cm, Tumorlänge betrug 5 cm (2;6). Der Median der Tumorlokalisation ab VZR oben der MRT betrug 34 (32;36) cm, Tumorlokalisation bis VZR unten betrug 39 (37;41) cm, Tumorlänge 5 (3;7) cm. Für die Abstände VZR oben (p = 0,001) und unten (p = 0,013) ergaben sich signifikante Unterschiede: Bland-Altman-Analyse zeigte systematische Differenzen der Abstände zur Zahnreihe. Die Tumorlänge streute symmetrisch um die Null-Linie ohne Hinweis auf einen systematischen Bias. Der Median des MRT basierten Tumorvolumens betrug 18.9 (1.8; 144.1) mm³).
Schlussfolgerung: Die aufgezeigte intermodale Messgenauigkeit bildet den Grundstein für die Etablierung einer hochaufgelösten 3D-MRT als nicht invasive, patientenfreundliche Diagnostik bezüglich T- und N- Staging beim distalen Ösophaguskarzinom.
Tumorquantifizierung Bland-Altmann plot VZR Tumor MRT / Endosonographie
t VZR Tumor MRT / Endosonographie

t VZR Tumor MRT / Endosonographie

08:46 – 08:52

KV 271 Einfluss der perioperativen Einnahme von Acetylsalicylsäure auf das krankheitsfreie Überleben und die Mortalität bei onkologischer Oesophagusresektion

Alida Finze (Mannheim)

KV 271 Einfluss der perioperativen Einnahme von Acetylsalicylsäure auf das krankheitsfreie Überleben und die Mortalität bei onkologischer Oesophagusresektion

A. Finze1, L. Pilerci1, S. Schölch1

1Universitätsmedizin Mannheim, Chirurgische Klinik, Mannheim, Deutschland

Einleitung: Bereits seit Jahrzehnten wird Acetylsalicylsäure (ASS) als chemopräventives Agent bei verschiedenen Tumorerkrankungen untersucht. In diesem Rahmen wurde in einer retrospektiven Arbeit ein deutlich verlängertes Überleben bei Patienten mit kurativer Resektion von Pankreaskarzinomen und gleichzeitiger perioperativer ASS-Einnahme beschrieben. Dies wird derzeit mit der Theorie einer fehlenden Anheftung von zirkulierenden Tumorzellen (CTCs) an kleine Gefäße durch Thrombozytenaggregation erklärt.
Ziele: In der hier vorgestellten retrospektiven gematchten propensity-score Analyse wird das Überleben sowie das Rezidiv freie Überleben an einer Patientenkohorte mit kurativer onkologischer Oesophagusresektion und perioperativer ASS-Einnahme untersucht.
Methodik: Insgesamt wurden zwischen 2018 und 2022 116 PatientInnen in die Analyse eingeschlossen. Das Matching erfolgte anhand klinischer Parameter mit möglichem Einfluss auf das Überleben. Insgesamt konnte eine ASS-Gruppe mit 20 PatientInnen und eine Kontrollgruppe mit 31 PatientInnen mit einem follow-up von 3 Jahren erstellt werden. Es wurden Überleben und krankheitsfreies Überleben untersucht.
Ergebnis: Es ergab sich für die ASS-Gruppe ein signifikant verringertes Überleben nach Operation mit einer Hazard Ratio von 2,784 (p=0,0261). Für das Rezidiv freie Überleben wurde für die ASS-Gruppe ein Mittelwert von 13,95 Monaten und für die Kontrollgruppe von 35,39 Monaten errechnet (p=0,0296). Die Hazard Ratio lag für die ASS-Gruppe hier bei 3,389.
Schlussfolgerung: In dieser retrospektiven Analyse konnte ein signifikanter Überlebensvorteil für die Kontrollgruppe dargestellt werden. Bisher liegen in der Literatur nur sehr spärliche Daten zur perioperativen Einnahme von niedrig-dosiertem ASS vor. Dier hier präsentierten Ergebnisse betonen den Bedarf nach differenzierten, prospektiven randomisierten kontrollierten Studien zur Möglichen chemopräventiven Eigenschaft von ASS mit besonderem Augenmerk auf die Tumorentität, Zeitpunkt der Einnahme und Regelmäßigkeit der Einnahme.

Es wird eine Kaplan-Meier Kurve gezeigt, welche ein reduziertes Rezidiv freies Überleben der ASS-Gruppe im Vergleich zur Kontrollgruppe zeigt. Der Beobachtungszeitraum sind 3 Jahre.
Abbildung 1: Kaplan Meier Kurve des Rezidiv freien Überlebens der ASS- Gruppe (rot) und der Kontrollgruppe (blau). Drop-Outs sind auf den Kurven markiert.

Es wird eine Kaplan-Meier Kurve gezeigt, welche ein reduziertes Gesamtüberleben der ASS-Gruppe im Vergleich zur Kontrollgruppe zeigt. Der Beobachtungszeitraum sind 3 Jahre. Das Überleben nach 3 Jahren ist für die ASS Gruppe ca. 50%, für die Kontrollgruppe ca. 55%
Abbildung 2: Kaplan Meier Kurve des Überlebens der ASS- Gruppe (rot) und der Kontrollgruppe (blau). Drop-Outs sind auf den Kurven markiert.

08:54 – 09:00

KV 273 RAMIE versus open esophagectomy for esophageal cancer: comparison of outcomes

Ihsan Ekin Demir (München)

KV 273 RAMIE versus open esophagectomy for esophageal cancer: comparison of outcomes

I.E. Demir1, M. Feith1, H. Friess1

1TUM Universitätsklinikum, Klinik und Poliklinik für Chirurgie, München, Deutschland

Background: Robotic surgery has been shown to improve the perioperative course and potentially also the tumor-associated overall survival in esophageal cancer, as compared to open conventional esophagectomy (OE)
Aims: Here, we compared the perioperative outcomes of robot-assisted (RAMIE, DaVinci Xi) vs. open conventional esophagectomy in a high-volume university hospital.
Methods: We prospectively collected numeric data on surgery-related technical details of all our upper GI robotic cases in the study period
Results: Between April 2022-November 2024, we compared the outcome of RAMIE (n=42) with open conventional Ivor-Lewis esophagectomy / OE (n=144) from our institution. The most common diagnosis was AEG Siewert type II (n=36 for RAMIE, n=111 for OE), followed by squamous cell cancer (n=6 for RAMIE vs. n=33 for OE). The median operating time was significantly shorter for OE when compared to RAMIE (152 min. vs. 290 min.), whereas the median hospital stay was comparable (16d for OE vs. 19.2 d for RAMIE). The anastomotic leak rate tended to be higher in the RAMIE group, yet with no statistical significance (13/42=30% vs. 25/144=17.3%). There was no difference in the rate of Clavien-Dindo grade 0-2 or 3-4 complications. Similarly, the in-hospital mortality (3/144 for OE=2.1% vs. 2/42=4.8% for RAMIE) and re-admission rate was similar (18% for OE vs. 11.9% for RAMIE).
Conclusions: RAMIE offers comparable perioperative results as OE in centers that have long-standing experience in OE. The longer median operative times of RAMIE were in this series not counterbalanced / compensated by any difference in the complication rates or morbidity.

09:02 – 09:08

KV 274 SP SC RAMIE: Einführung und erste Ergebnisse

Vladimir Lozanovski (Mainz)

KV 274 SP SC RAMIE: Einführung und erste Ergebnisse

V. Lozanovski1, L. Bellaio1, E. Hadzijusufovic1, E. Tagkalos1, F. Renger1, E. Uzun1, O. (Adamenko) Meier1, N. Llanos Muena1, H. Lang1, P. Grimminger1

1Universitätsmedizin der Johannes Gutenberg-Universität Mainz, Allgemein-, Viszeral- und Transplantationschirurgie, Mainz, Deutschland

Einleitung: Die single-port subkostale robotisch-assistierte minimalinvasive Ivor-Lewis-Ösophagektomie (SP SC RAMIE) ist noch wenig verbreitet und mit einer steilen Lernkurve verbunden.
Ziele: Diese Studie evaluiert die Machbarkeit, Sicherheit und kurzfristigen Resultate der SP SC RAMIE-Prozedur.
Methoden: Die ersten 25 konsekutiven SP SC RAMIE-Eingriffe wurden analysiert. Erfasst und ausgewertet wurden die demographischen Daten des Kollektivs, Therapiemodalitäten, Lymphknotenausbeute, intraoperative Parameter, Komplikationen und die Mortalität. Die Durchführbarkeit wurde definiert als das Erreichen einer R0-Resektion sowie einer Lymphknotenausbeute, die über den empfohlenen Benchmark-Werten lag.
Ergebnisse: Die Kohorte bestand überwiegend aus männlichen Patienten mit Adenokarzinom der ösophagogastralen Übergangszone, von denen die Mehrheit eine neoadjuvante Therapie erhielt. Die mittlere aktive Konsolenzeit betrug 79 (±17) Minuten. Es traten weder intraoperative Komplikationen noch Konversionen auf. Kein Patient benötigte eine epidurale oder interkostale Katheteranalgesie. Am fünften postoperativen Tag erhielten nahezu alle Patienten Analgetika nur bei Bedarf, und die Mobilisation erfolgte frühzeitig. Sämtliche Komplikationen, einschließlich Pneumonien und Anastomoseninsuffizienzen, wurden konservativ behandelt. In allen Fällen wurde eine R0-Resektion erreicht, bei einer durchschnittlichen Lymphknotenausbeute oberhalb der Benchmark-Werte. Die Krankenhaus-, 30-Tage- und 90-Tage-Mortalität betrug 0 %.
Schlussfolgerung: Die SP SC RAMIE stellt eine vielversprechende und sichere Operationstechnik dar, insbesondere bei der Resektion distaler Ösophaguskarzinome, mit exzellenten kurzfristigen Ergebnissen, niedrigen Komplikationsraten und hoher Lymphknotenausbeute. Die rasche Erholung, geringen Schmerzwerte sowie die kurze stationäre Verweildauer unterstreichen die potenziellen Vorteile dieses Verfahrens.

09:10 – 09:16

KV 275 Single-port robotic subcostal ivor-lewis esophagectomy: single-center data on feasibility and early outcomes

Jasmina Kuvendjiska

KV 275 Single-port robotic subcostal ivor-lewis esophagectomy: single-center data on feasibility and early outcomes

J. Kuvendjiska1, J. Hipp1, C. Hillebrecht1, S. Fichtner-Feigl1

1Universitätsklinikum Freiburg, Klinik für Allgemein- und Viszeralchirurgie, Freiburg, Deutschland

Background: Minimally invasive Ivor-Lewis esophagectomy (MIE) has evolved significantly, with robotic-assisted techniques offering potential advantages in precision and ergonomics. The single-port robotic approach represents an innovative step in esophageal surgery. This study evaluates the feasibility and early outcomes of single-port robotic subcostal Ivor-Lewis esophagectomy.
Method: This is a prospective single-center study analyzing the initial experience with single-port robotic subcostal Ivor-Lewis esophagectomy. Data collection is ongoing and includes approximately 15-18 patients. The primary endpoints include technical feasibility, learning curve, operative time, perioperative complications, postoperative pain, and hospital length of stay.
Results: Preliminary findings suggest that single-port robotic subcostal Ivor-Lewis esophagectomy is technically feasible and safe, even without prior robotic experience. Initial data indicate reduced postoperative pain compared to thoracoscopic approaches, along with potential benefits in surgical ergonomics.
Conclusion: As the first robotic single-port technique introduced in a setting without prior robotic experience, this approach demonstrates promising feasibility and early clinical outcomes. This single-center analysis aims to further define its role in minimally invasive esophageal surgery and its impact on the learning curve for surgeons new to robotic-assisted techniques.

09:18 – 09:24

KV 276 Optimierung der multimodalen Therapie bei Patienten ≥ 80 Jahren mit Plattenepithelkarzinom der Speiseröhre (SCC): Erkenntnisse aus einer populationsbasierten Analyse der deutschen klinischen Krebsregistergruppe

Murad Akhundzada (Lübeck)

KV 276 Optimierung der multimodalen Therapie bei Patienten ≥ 80 Jahren mit Plattenepithelkarzinom der Speiseröhre (SCC): Erkenntnisse aus einer populationsbasierten Analyse der deutschen klinischen Krebsregistergruppe

A. Abdelsamed1, M. Akhundzada2, T. Keck2, U.F. Wellner2, M. Thomaschewski2, M. Kist2, S. Benz3, S. Kersting4, M. Klinkhammer-Schalke5, S. Zeißig6, R. Hummel4, T.S.A. Abdalla2, Arbeitsgemeinschaft Deutscher Tumorzentren

1Knappschaftskrankenhaus Recklinghausen, Klinik für Allgemein- und Viszeralchirurgie, Recklinghausen, Deutschland, 2Universitätsklinikum Schleswig-Holstein Campus Lübeck, Klinik für Chirurgie, Lübeck, Deutschland, 3Klinikum Sindelfingen-Böblingen, Sindelfingen-Böblingen, Deutschland, 4Universitätsmedizin Greifswald, Klinik und Poliklinik für Allgemeine Chirurgie, Viszeral-, Thorax- und Gefäßchirurgie, Greifswald, Deutschland, 5Institut für Qualitätssicherung und Versorgungsforschung der Universität Regensburg, Regensburg, Deutschland, 6Institut für Klinische Epidemiologie und Biometrie, Universität Würzburg, Würzburg, Deutschland

Einleitung: Die Behandlungsergebnisse des Plattenepithelkarzinoms der Speiseröhre (SCC) bei über Achtzigjährigen wurden bislang kaum untersucht. Angesichts der wachsenden älteren Bevölkerung ist die Bewertung von Überlebenstrends und Behandlungseffizienz in dieser Gruppe entscheidend. Diese Studie analysiert Überlebensdaten sowie Therapiestrategien bei SCC-Patienten ≥ 80 Jahren.
Ziel: Optimierung der multimodalen Therapie von SCC bei den Patienten ≥ 80 Jahren.
Methoden: Eine retrospektive Analyse wurde mit Daten aus Krebsregistern durchgeführt, die an der bundesweiten Qualitätskonferenz der Arbeitsgemeinschaft Deutscher Tumorzentren (ADT e.V.) teilnehmen. Die Patienten wurden in drei Altersgruppen unterteilt: <65 Jahre, 65-79 Jahre und ≥80 Jahre. Die Daten wurden nach Behandlungsmodalität, Tumorstadium und Überlebensergebnissen kategorisiert und statistisch mittels Kaplan-Meier-Überlebensschätzungen sowie paarweisen Vergleichen unter Anwendung des Mantel-Cox-Log-Rank-Tests ausgewertet.
Ergebnisse: Unter 7442 Patienten waren 460 (6,2 %) ≥ 80 Jahre alt, davon erhielten 322 eine alleinige Chemotherapie oder Radiatio, 124 eine definitive Radiochemotherapie und 14 eine Resektion. Bei Diagnose war Stadium III am häufigsten (51,7 %), gefolgt von Stadium IV (17,8 %). Das mediane Gesamtüberleben nahm mit dem Alter ab, wobei Achtzigjährige das kürzeste Überleben (9,7 Monate, 95 % KI: 8,6–10,8) im Vergleich zu 13,7 Monaten bei Patienten < 65 Jahren aufwiesen (P < 0,001). Die definitive Radiochemotherapie führte zu einem überlegenen medianen Überleben (11,0 Monate, 95 % KI: 9,1–13,1) im Vergleich zur alleinigen Chemotherapie oder Bestrahlung (8,8 Monate, 95 % KI: 7,4-10,3) und Resektion (8,5 Monate, 95 % KI: 0-29,3). Zusätzlich erwies sich in der multivariablen Analyse das Alter von ≥ 80 Jahren im Vergleich zu jüngeren Altersgruppen als unabhängiger negativer prognostischer Faktor für das Überleben (im Vergleich zu Patienten < 65 Jahren (HR: 0,778, p < 0,001) und 65–79 Jahren (HR: 0,863, p=0,004)).
Schlussfolgerung: SCC-Patienten ≥ 80 Jahre haben ein kürzeres Überleben als jüngere Patienten, wobei das Alter selbst ein unabhängiger negativer Risikofaktor ist. Resektionen sind in dieser Altersgruppe selten. Die definitive Radiochemotherapie war mit besseren Überlebensergebnissen assoziiert als alleinige Systemtherapie oder Chirurgie, was eine kritische Indikationsstellung für operative Eingriffe nahelegt.

09:26 – 09:32

KV 277 Korrelation von Gesamtüberleben und RECIST-definiertem Ansprechen bei Patienten mit soliden Tumoren und Therapie mit Immuncheckpoint-Inhibitoren – Gepoolte Analyse der RAMONA, INTEGA, OPTIM, ELDORANDO, FORCE, TITAN-RCC und TITAN-TCC Studien der AiO Studiengruppe

Lena Dreikhausen (Mannheim)

KV 277 Korrelation von Gesamtüberleben und RECIST-definiertem Ansprechen bei Patienten mit soliden Tumoren und Therapie mit Immuncheckpoint-Inhibitoren – Gepoolte Analyse der RAMONA, INTEGA, OPTIM, ELDORANDO, FORCE, TITAN-RCC und TITAN-TCC Studien der AiO Studiengruppe

L. Dreikhausen1, I.C. Wiest2, T. Zhan1, R. Keller3, V. Grünwald4, M. Marin-Galiano5, M. Pogorzelski6, C. Darr4, F. Zengerling7, L. Albiges8, A. Stein9,10, M. Binder11, J. Tintelnot12, F. Bozorgmehr13, S. Rieken14, P. Christopoulos13, M.P. Ebert1

1Medizinische Fakultät Mannheim, Universität Heidelberg, II. Medizinische Klinik, Mannheim, Deutschland, 2Technische Universität Dresden, Else Kroener Fresenius Center für Digital Gesundheit, Dresden, Deutschland, 3AIO-Studien-gGmbH, Berlin, Deutschland, 4Universitätsklinikum Essen, Klinik für Medizinische Onkologie und Klinik für Urologie, Essen, Deutschland, 5Institute for Clinical Research and Statistics, M.A.R.C.O., Düsseldorf, Deutschland, 6Universitätsklinikum Essen, Klinik für Medizinische Onkologie, Essen, Deutschland, 7Universitätsklinikum Ulm, Klinik für Urologie, Ulm, Deutschland, 8University of Paris Saclay, Department of Cancer Medicine, Villejuif, Frankreich, 9Hämatologisch-Onkologische Praxis Eppendorf (HOPE), Hamburg, Deutschland, 10Universitäres Cancer Center Hamburg, Hamburg, Deutschland, 11Universitätsspital Basel, Labor für Translationale Immunoonkologie, Basel, Schweiz, 12Universitätsklinikum Hamburg-Eppendorf, II. Medizinische Klinik, Hamburg, Deutschland, 13Thoraxklinik Universitätsklinikum Heidelberg und Nationales Centrum für Tumorerkrankungen (NCT), Thoraxonkologie, Heidelberg, Deutschland, 14Universitätsmedizin Göttingen (UMG), Universitätsklinik & Poliklinik für Strahlentherapie & Radioonkologie, Göttingen, Deutschland

Einleitung: Die Evaluation des Ansprechens auf onkologische Therapien anhand der RECIST 1.1 Kriterien ist in der klinischen Praxis bei soliden Tumoren etabliert und diese korreliert auch mit dem Gesamtüberleben. Bei Patienten, die Checkpoint-Inhibitoren (ICI) erhalten ist dies bisher nicht ausreichend untersucht.
Ziele: Ziel dieser Studie war es, Veränderungen der Tumorgröße, gemessen mittels RECIST 1.1 mit dem Gesamtüberleben von Patienten mit soliden Tumoren unter Therapie mit ICI zu korrelieren.
Methodik: Daten aus sieben prospektiven Phase II Studien der AiO Studiengruppe, die ICI bei Patienten mit soliden Tumoren untersuchten (Kopf-Hals-Tumore, Nichtkleinzelliges Lungenkarzinom, Ösophagus-, Nierenzell- und Urothelkarzinome) wurden gepoolt (NCT03416244, NCT03409848, NCT03620123, NCT03193931, NCT03044626, NCT02917772 und NCT03219775). Landmark-Analysen 3 und 6 Monate nach Studienbeginn erfolgten mittels Cox-Regression.
Ergebnis: 542 Patienten konnten in die Landmark-Analysen nach 3 Monaten und 458 Patienten nach 6 Monaten eingeschlossen werden. Das mediane Alter lag bei 66 Jahren (20 – 90), 69,7 % der Patienten waren männlich. 70,7 % (3-Monats-Analyse) bzw 67,2 % (6-Monats-Analyse) der Patienten erhielten zuvor eine (Radio-)Chemotherapie. Für beide Zeitpunkte zeigte sich eine Assoziation des RECISTdefinierten Ansprechen auf ICI mit dem Gesamtüberleben (p < 0,001). Mit Ausnahme der Kopf-Hals-Tumore zeigte sich die Assoziation mit dem Gesamtüberleben auch in der Subgruppenanalyse für die einzelnen Tumorentitäten (3-Monats-Analyse: Urothelkarzinom (p < 0,0001), Ösophaguskarzinom (p = 0,0013), Kopf-Hals-Tumore (p = 0,0796), Nichtkleinzelliges Lungenkarzinom (p < 0,0001), Nierenzellkarzinom (p = 0,0009); 6-Monats-Analyse: Urothelkarzinom (p < 0,0001), Ösophaguskarzinom (p = 0,0167), Kopf-Hals-Tumore (p = 0,1952), Nichtkleinzelliges Lungenkarzinom (p < 0,0001), Nierenzellkarzinom (p < 0,0001).
Schlussfolgerung: Das RECISTdefinierte Ansprechen auf ICI ist mit dem Gesamtüberleben bei Patienten mit soliden Tumoren assoziiert. Die Evaluation von Veränderungen der Tumorgröße kann Hinweise auf die Prognose der Patienten geben.

09:34 – 09:40

KV 278 Serum and tumor immune cell distribution predicts response to immune checkpoint blockade in solid tumors – a pooled analysis of the RAMONA, INTEGA, OPTIM, ELDORANDO, FORCE, TITAN-RCC and TITAN-TCC trials of the German AIO study group

Lena Dreikhausen (Mannheim)

KV 278 Serum and tumor immune cell distribution predicts response to immune checkpoint blockade in solid tumors – a pooled analysis of the RAMONA, INTEGA, OPTIM, ELDORANDO, FORCE, TITAN-RCC and TITAN-TCC trials of the German AIO study group

L. Dreikhausen1, L. Wang2, N.M. Meindl-Beinker1, T. Zhan1, A. Franken2, I.C. Wiest1,3, R. Keller4, V. Grünwald5, L. Andrae1, R. Schepers2, T. Van Brussel2, X. Sagaert6, D. Lambrechts2, M.P. Ebert1,7

1Medizinische Fakultät Mannheim, Universität Heidelberg, II. Medizinische Klinik, Mannheim, Deutschland, 2VIB-KU Leuven Center for Cancer Biology, Leuven, Belgien, 3Technische Universität Dresden, Else Kroener Fresenius Center für Digital Gesundheit, Dresden, Deutschland, 4AIO-Studien-gGmbH, Berlin, Deutschland, 5Universitätsklinikum Essen, Klinik für Medizinische Onkologie und Klinik für Urologie, Essen, Deutschland, 6University Hospitals Leuven, Department of Pathology, Leuven, Belgien, 7DKFZ Hector Cancer Institute at the University Medical Center, Mannheim, Deutschland

Introduction: Immune Checkpoint Blockade (ICB) is established in many solid cancers often lacking robust biomarkers for response stratification.
Aims: We aimed to explore the predictive role of neutrophil and lymphocyte counts as well as the immune cell composition of the tumor neighborhood in patients with solid tumors.
Methods: Clinical data, including neutrophil-to-lymphocyte ratio (NLR), from seven prospective trials investigating ICB in solid tumors were pooled (NCT03416244, NCT03409848, NCT03620123, NCT03193931, NCT03044626, NCT02917772 and NCT03219775). Tumor biopsies and peripheral blood samples were collected from 26 patients with esophageal squamous cell carcinoma (ESCC) (NCT03416244) before ICB (Nivolumab +/- Ipilimumab). Tumor sections were stained by a 40-plex immunofluorescence panel (Akoya PhenoCycler) to examine spatial tumor-immune interactions associated with clinical outcomes as overall (OS) or progression-free survival (PFS) and best overall response (RECIST version 1.1). Peripheral blood mononuclear cells (PBMCs) were isolated and profiled by 10x single-cell RNA-sequencing to compare cellular (sub)types between ICB responders and non-responders.
Results: Lower pretreatment NLR, defined as NLR ≤ 3, predicted improved OS (HR 0.4; 95% CI 0.30-0.53; p < 0.0001) and PFS (HR 0.55; 95% CI 0.43-0.71; p < 0.0001) in multivariate analysis of 693 patients. NLR > 3 was associated with low overall response rate (OR 2.01; 95% CI 1.32-3.05; p = 0.0012) and disease control rate (OR 2.31; 95% CI 1.34-3.99; p = 0.0026). Spatial analysis of ESCC patients´ tissue discovered the enrichment of a neutrophil-CD4+ regulatory T cell neighborhood in the tumor-adjacent tissue of ICB non-responders (p < 0.05, n = 6), while intratumoral macrophages, CD4+/CD8+ T cells and dendritic cells were more abundant in responders (p = 0.0245, n = 9). scRNA sequencing of PBMCs validated correlation of T cell abundance with better survival (p < 0.05, PR vs PD), while myeloid cell abundance was reversely correlated (p < 0.05, PR vs PD). The myeloid cells showed significant differential expression of G0S2, BASP1, CXCL8, LYN, confirming prominent neutrophil presence in non-responders.
Conclusion: Pro-tumoral inflammation and a lack of anti-tumoral immune response, reflected by a higher NLR in peripheral blood, and a neutrophil-CD4+ regulatory T cell neighborhood in the tumor-adjacent tissue can be used to predict ICB response in solid cancers, such as ESCC. A deeper understanding of underlying mechanisms of neutrophil activation in ICB might help to stratify patients in the future.

09:42 – 09:48

KV 279 Malnutrition and patient-reported quality of life determine short-term prehabilitation outcomes and patients’ body composition – early results of the prospective EPPIC prehabilitation trial in oesophageal and pancreatic cancer

Lisanne Schöpping

KV 279 Malnutrition and patient-reported quality of life determine short-term prehabilitation outcomes and patients’ body composition – early results of the prospective EPPIC prehabilitation trial in oesophageal and pancreatic cancer

L. Schöpping1, M. ten Winkel1, M.A. Lang2, B. Gubitz2, H. Mburu3, L. Berkel4, C. Greitens2, T. Beyer2, A. Letsch5, T. Schmidt5, S. Daniel1, K. Bichmann1, S. Deichmann1, K.C. Honselmann1, R. Hosch6, F. Nensa6, M. Sieren3, B. Reichert2, T. Becker2, T. Keck1, J. Pochammer2, R. Klöckner7, O. Kopeleva2, L. Bolm1

1(1) Department of Surgery, University Medical Center Schleswig-Holstein, Campus Lübeck, Lübeck, Deutschland, 2(2) Department of Surgery, University Medical Center Schleswig-Holstein, Campus Kiel, Kiel, Deutschland, 3(3) Department of Interventional Radiology, University Medical Center Schleswig-Holstein, Campus Lübeck, Lübeck, Deutschland, 4(4) Institute of Radiology and Nuclear Medicine, University Medical Center Schleswig-Holstein, Campus Lübeck, Lübeck, Deutschland, 5Comprehensive Cancer Center North, University of Kiel, Kiel, Deutschland, 6(4) Institute for Artificial Intelligence in Medicine, University Hospital Essen, Lübeck, Deutschland, 7(2) Department of Interventional Radiology, University Medical Center Schleswig-Holstein, Campus Lübeck, Lübeck, Deutschland

Introduction: Prehabilitation improves outcomes in several malignancies, its role in oesophageal and pancreatic cancer is unclear. The EPPIC trial evaluates an out-patient prehabilitation program in oesophageal (EC) and pancreatic (PDAC) cancer prior to resection.
Patients and Methods: The EPPIC trial is a prospective feasibility trial. Baseline parameters, frailty, nutrition status, physical fitness, and quality of life are evaluated. Prior to surgery, patients receive individualized out-patient nutrition therapy, and complete APP-based physical therapy and breathing exercises over a two-week period. Patients’ routine CT scans are automatically segmented with a validated AI-based body composition algorithm. Baseline parameters, nutrition and functional status as well as quality of life and CT-derived body composition measures were available for time of study enrolment and 3 months follow-up.
Results: 53 patients were enrolled, mean age was 65 y (STD 9.92). Preoperatvely, mean BMI was 26.9 kg/m2 (STD 5.4), mean weight loss during the past 6 months was 7.4kg (STD 7.5). 20.7% of patients were diagnosed as frail (CRF > 3), malnutrition (NRS > 2) was present in 26.4% of patients, and 15.1% had sarcopenia (SARC-F > 3) preoperatively. Sarcopenia in functional testing (p ≤ 0.001) and frailty (p ≤ 0.001) were associated with impaired quality of life (EORTC-QLQ-C30). In patients with malnutrition, there was a trend for higher rates of visceral (VAT) (0.76 vs. 0.55, p=0.089) and a decrease in subcutaneous fat tissue (SAT) (0.51 vs. 0.59, p=0.048). Patients with impaired quality of life had lower overall muscle to adipose tissue ratios (0.52 vs. 0.82, p=0.050), higher levels of intramuscular fat deposits (0.24 vs. 0.16, p=0.008) and a trend for visceral fat deposits (0.037 vs. 0.032, p=0.088). At three months follow-up, patients with malnutrition were more likely to lose total muscle volume (-1.22 vs. -0.19, p=0.026). Patients with impaired quality of life at diagnosis experienced a more pronounced reduction of total (-4.64 vs. -1.11, p=0.004) and SAT (-7.63 vs. -2.59, p=0.004).
Conclusion: First results showed a close association of patients’ frailty, nutrition and functional status with patient-reported quality of life. Body composition analysis confirms unique detrimental body composition profiles for patients with malnutrition and impaired quality of life that were identified as major determinants of short-term outcomes after prehabilitation.

Kurzvortragssitzung

TIPS: Diagnostik, Prädiktion und pathophysiologische Mechanismen

11:15 – 12:11

Fr 19.09.

MZF 4

Open Accordion - Icon Close Accordion - Icon

Vorsitz: Johannes Chang (Bonn) und Eva M. Schleicher (Mainz)

11:15 – 11:21

KV 149 Expression von Thrombozytenaktivierungsmarkern bei Patienten mit Leberzirrhose vor und nach TIPSS-Anlage

Viktoria Möller

KV 149 Expression von Thrombozytenaktivierungsmarkern bei Patienten mit Leberzirrhose vor und nach TIPSS-Anlage

V. Möller1, C. Angendohr1, A. Kunstein1, C. Weigel1, S.D. Wolf1, E. Tietz2, P. Minko2, T. Lüdde1, J.G. Bode1

1Klinik für Gastroenterologie, Hepatologie und Infektiologie, Düsseldorf, Deutschland, 2Institut für Diagnostische und Interventionelle Radiologie, Düsseldorf, Deutschland

Die Leberzirrhose führt zu einer Dysfunktion des Gerinnungssystems und damit zu einer Dysbalance mit erhöhter Blutungs-, aber auch Thromboseneigung. Insbesondere in der Portalvene wird aufgrund der gehäuften Inzidenz von Portalvenenthrombosen bei Patienten mit Leberzirrhose eine Koagulopathie diskutiert. Unklar ist hierbei, ob dies neben veränderten Flussgeschwindigkeiten auch durch eine Dysbalance pro- und antikoagulatorischer Faktoren im portalvenösen Gefäßbett oder durch eine erhöhte Thrombozytenaktivierung bedingt ist.

Im Rahmen dieser Arbeit sollte geklärt werden, ob bei Patienten mit Leberzirrhose in der Portalvene (PV) eine veränderte Gerinnungssituation im Vergleich zu anderen Gefäßbetten vorliegt. Bei 34 Patienten mit Leberzirrhose wurden hierzu vor der TIPSS-Implantation venöse Blutproben entnommen und während des Eingriffs eine Blutabnahme aus der Lebervene (LV), der Vena mesenterica superior (VMS) und der Portalvene zur Analyse hämostatischer Parameter durchgeführt. Zur Untersuchung der Thrombozytenaktivierung wurden die Expression von PAC-1 und CD62P basal und nach Aktivierung durchflusszytometrisch gemessen.
Während die Thrombozytenzahl mit zunehmendem Grad der Leberfunktionsstörung abnahm, korrelierten die basale Aktivierung bzw. Aktivierbarkeit der Thrombozyten nicht mit dem Grad der Leberfunktionsstörung.
Im Vergleich zur LV, zur VMS und zum peripheren Blut konnten in der PV keine signifikanten Veränderungen der Thrombozytenzahlen nachgewiesen werden. Auch die basale Thrombozytenaktivierung und die Aktivierbarkeit der Thrombozyten im Vergleich zu den anderen Gefäßen waren in der PV nicht signifikant verändert. Ebenso waren die Parameter der sekundären Hämostase (aPTT, INR, Fibrinogen, Quick, TZ, ATIII u. Faktor X) im Vergleich zu den anderen Entnahmestellen nicht signifikant verändert.
Interessanterweise kam es auch nach Implantation eines TIPSS zu keiner signifikanten Veränderung der basalen und induzierbaren Thrombozytenaktivierung. Die Expression der Oberflächenmarker PAC-1 und CD62P nach Aktivierung mit ADP sowie dem PAR4-Agonisten nahm nach Gabe von Clopidogrel erwartungsgemäß signifikant ab. Dieser Effekt war sowohl an Tag 3 als auch an Tag 30 nachweisbar.

Die Ergebnisse deuten darauf hin, dass in der PV keine von den anderen untersuchten Gefäßbetten abweichende basale und induzierbare Aktivierbarkeit der Thrombozyten vorliegt und auch keine Veränderung der Parameter, die für die Funktion der sekundären Hämostase suggestiv sind.

11:23 – 11:29

KV 150 Begrenzter Nutzen des Liver Frailty Index zur Prädiktion der Symptomkontrolle nach Anlage eines transjugulären intrahepatischen portosystemischen Shunts

Jonna F. Zimmermann

KV 150 Begrenzter Nutzen des Liver Frailty Index zur Prädiktion der Symptomkontrolle nach Anlage eines transjugulären intrahepatischen portosystemischen Shunts

J.F. Zimmermann1, M.A. Kabelitz1, S. Geißelbrecht1, A. Tiede1,2, J.B. Mauz1, S.J. Gairing3,4, C. Labenz3,4, H. Wedemeyer1,2,5, M.J. Peperhove6, B. Maasoumy1,2,5, L. Sandmann1,2,5

1Klinik für Gastroenterologie, Hepatologie, Infektiologie und Endokrinologie; Medizinische Hochschule Hannover, Hannover, Deutschland, 2Deutsches Zentrum für Infektionsforschung (DZIF), Hannover/Braunschweig, Deutschland, 3I. Medizinische Klinik und Poliklinik, Universitätsmedizin der Johannes Gutenberg-Universität Mainz, Mainz, Deutschland, 4Cirrhose Centrum Mainz (CCM), Universitätsmedizin der Johannes Gutenberg-Universität Mainz, Mainz, Deutschland, 5Excellence Cluster RESIST, Excellence Initiative Medizinische Hochschule Hannover, Hannover, Deutschland, 6Institut für Diagnostische und Interventionelle Radiologie, Medizinische Hochschule Hannover, Hannover, Deutschland

Einleitung und Ziele: Sarkopenie und Frailty sind mit einer eingeschränkten Lebensqualität und einem erhöhten Risiko für hepatische Dekompensationen bei Patient*innen mit Leberzirrhose (LZ) assoziiert. Patient*innen mit LZ und Indikation zur Anlage eines transjugulären intrahepatischen portosystemischen Shunts (TIPS) zeigen eine hohe Frailty-Prävalenz. Der Einfluss von Frailty vor TIPS auf die Symptomkontrolle nach TIPS ist unklar.
Methoden: 220 Patient*innen mit TIPS-Anlage und Follow-up (FU) Untersuchungen nach 1, 3, 6 und 12 Monaten wurden zwischen 2019 und 2024 prospektiv eingeschlossen. Frailty wurde anhand des Liver Frailty Index (LFI) bewertet (Kategorien: robust, pre-frail, frail). Die Symptomlast nach TIPS-Anlage wurde anhand etablierter sowie modifizierter Baveno VII Kriterien zu den beschriebenen FU-Zeitpunkten erhoben. „Modified Early Recompensation“ (mER) und „modified Sustained Recompensation“ (mSR) wurden als das Ausbleiben von Dekompensationsereignissen 3 und 12 Monate nach TIPS-Anlage unter Fortführung von Diuretika und HE-Prophylaxe definiert.
Ergebnis: 87 Patient*innen mit LFI wurden in die Analyse einbezogen. Ausgeschlossen wurden Patient*innen ohne Leberzirrhose oder ausreichende LFI-Daten, sowie Patient*innen mit hepatozellulärem Karzinom außerhalb Milan oder Budd-Chiari-Syndrom. Vor TIPS-Anlage wurden 39% der Patient*innen als „frail“, 55% als „pre-frail“ und 6% als „robust“ beurteilt. Der mediane MELD lag bei den als frail beurteilten Patient*innen bei 12.99 (IQR 8.95-15.38) und bei den als robust/pre-frail beurteilten Patient*innen bei 9.95 (IQR 8.19-14.31), p=0.144). Der Anteil von mER und mSR nach TIPS-Anlage war zwischen als frail und robust/pre-frail beurteilten Patient*innen vergleichbar (mER: (33/63); p=0.824; mSR: (20/39); p=0.882).
In univariablen Competing-Risk-Analysen zeigte sich keine Assoziation zwischen dem Frailty-Status vor TIPS-Anlage und „First Decompensation“ (FiD) (sHR 0.96, 95%CI 0.55-1.69, p=0.9) oder „Further Decompensation“ (FuD) (sHR 0.97, 95% CI 0.46-2.03, p=0.93) nach TIPS. Zudem zeigte sich keine signifikante Assoziation zwischen dem Frailty-Status und dem kombinierten Endpunkt „any Decompensation“ nach TIPS (sHR 1.5, 95% CI 0.59-23.39, p=0.77).
Schlussfolgerung: Der mittels LFI diagnostizierte Frailty-Status vor TIPS-Anlage ist nicht mit einer Symptomkontrolle nach TIPS-Anlage assoziiert.

11:31 – 11:37

KV 151 QuickStroop zur Prädiktion der hepatischen Enzephalopathie nach TIPS

Eva M. Schleicher (Mainz)

KV 151 QuickStroop zur Prädiktion der hepatischen Enzephalopathie nach TIPS

E.M. Schleicher1, S.J. Gairing1, A.F. Ehrenbauer2, S. Liedtke1, A. Tiede2, J.F.M. Egge2, H. Wedemeyer2, J. Weinmann-Menke3, M.B. Pitton4, P.R. Galle1, B. Maasoumy2, C. Labenz1

1Universitätsmedizin der Johannes Gutenberg Universität Mainz, I. Medizinische Klinik und Poliklinik, Cirrhose Zentrum Mainz (CCM), Mainz, Deutschland, 2Medizinische Hochschule Hannover, Klinik für Gastroenterologie, Hepatologie, Infektiologie und Endokrinologie, Hannover, Deutschland, 3Universitätsmedizin der Johannes Gutenberg Universität Mainz, I. Medizinische Klinik und Poliklinik, Mainz, Deutschland, 4Universitätsmedizin der Johannes Gutenberg Universität Mainz, Klinik und Poliklinik für Diagnostische und Interventionelle Radiologie, Mainz, Deutschland

Einleitung: QuickStroop hat sich kürzlich als ein schnelles Screening-Verfahren zur Erkennung kognitiver Beeinträchtigungen bei Patient*innen mit Leberzirrhose etabliert. Der Nutzen dieses Tests zur Vorhersage einer hepatischen Enzephalopathie (HE) nach Anlage eines transjugulären intrahepatischen portosystemischen Shunts (TIPS) ist jedoch bisher unklar. Diese Studie untersuchte den prädiktiven Wert von QuickStroop und der Stroop EncephalApp im Vergleich zum psychometrischen hepatischen Enzephalopathie-Score (PHES) und dem „Animal Naming Test“ (S-ANT1) hinsichtlich des Auftretens einer HE nach TIPS.
Ziele: Ziel der Studie war es, die Eignung von QuickStroop und der Stroop EncephalApp zur Vorhersage einer manifesten post-TIPS HE zu evaluieren und diese mit etablierten Testverfahren wie dem PHES und S-ANT1 zu vergleichen.
Methodik: In dieser bizentrischen Studie wurden 95 Patient*innen vor TIPS-Anlage mittels Stroop EncephalApp, PHES und S-ANT1 getestet. Die Patient*innen wurden prospektiv hinsichtlich des Auftretens einer overten HE (OHE), Lebertransplantation und Tod nachverfolgt. In einem Zentrum (Mainz) erfolgte zusätzlich eine erneute Testung mit der Stroop EncephalApp ein sowie drei Monate nach TIPS-Anlage.
Ergebnisse: Die Mehrheit der Patient*innen erhielt den TIPS aufgrund von therapierefraktären Aszites (81 %). Im Verlauf entwickelten 38 % der Patient*innen eine OHE. Pathologische Ergebnisse bei der präinterventionellen Testung wurden bei 52 % (Stroop EncephalApp), 41 % (QuickStroop), 40 % (PHES) und 60 % (S-ANT1) festgestellt. In uni- und multivariablen Analysen war die zur Durchführung des QuickStroop benötigte Zeit signifikant mit einem erhöhten Risiko für post-TIPS HE assoziiert, unabhängig von MELD-Score, Abnahme des portosystemischen Gradienten und OHE in der Anamnese. Für die übrigen Tests ergab sich nach Adjustierung kein signifikanter Zusammenhang. Bei sequenzieller Testung mit der Stroop EncephalApp zeigte sich ein temporärer Leistungsabfall einen Monat nach TIPS, mit Rückkehr zum Ausgangsniveau nach drei Monaten.
Schlussfolgerung: QuickStroop stellt ein vielversprechendes und praktikables Testungsverfahren dar, das eine frühzeitige Identifikation von Patient*innen mit erhöhtem Risiko für eine post-TIPS HE ermöglichen könnte. Eine Implementierung in die klinische Routine sollte weiter evaluiert werden.

Abb. 1: Lebertransplantationsfreies Überleben, stratifiziert nach den Ergebnissen der MHE-Screeningtests. Lebertransplantationsfreies Überleben bei Patient*innen, stratifiziert nach (A) Stroop-MHE, (B) QuickStroop-MHE, (C) PHES-MHE und (D) S-ANT1-MHE.

11:39 – 11:45

KV 152 Neurofilament light chains und glial fibrillary acidic protein zur Prädiktion einer hepatischen Enzephalopathie nach TIPS-Anlage

Simon J. Gairing (Mainz)

KV 152 Neurofilament light chains und glial fibrillary acidic protein zur Prädiktion einer hepatischen Enzephalopathie nach TIPS-Anlage

S.J. Gairing1, E.M. Schleicher1, M. Meineck1, M. Kabelitz2, A. Ehrenbauer2, A. Tiede2, J. Mauz2, S. Danneberg3, M.B. Pitton4, F. Steffen5, J. Weinmann-Menke1, P.R. Galle1, S. Bittner5, F. Lüssi5, J.U. Marquardt3, B. Maasoumy2, C. Labenz1

1Universitätsmedizin Mainz, 1. Medizinische Klinik und Poliklinik, Mainz, Deutschland, 2Medizinische Hochschule Hannover, Klinik für Gastroenterologie, Hepatologie, Infektiologie und Endokrinologie, Hannover, Deutschland, 3Universitätsklinikum Schleswig-Holstein, Campus Lübeck, Medizinische Klinik I, Lübeck, Deutschland, 4Universitätsmedizin Mainz, Klinik und Poliklinik für Diagnostische und Interventionelle Radiologie, Mainz, Deutschland, 5Universitätsmedizin Mainz, Klinik und Poliklinik für Neurologie, Mainz, Deutschland

Einleitung: Die Prädiktion einer hepatischen Enzephalopathie (HE) nach Anlage eines transjugulären intrahepatischen portosystemischen Shunts (TIPS) ist herausfordernd in der klinischen Routine. Biomarker zur Risikostratifizierung fehlen.
Ziele: Evaluation des Nutzens der neurofilament light chains (NfL) und des glial fibrillary acidic proteins (GFAP), gemessen im Serum vor TIPS-Anlage, zur Prädiktion einer post-TIPS HE.
Methodik: 144 konsekutive Patienten mit Leberzirrhose wurden prospektiv in drei tertiären Zentren in Deutschland (Mainz, Hannover, Lübeck) rekrutiert. Die Patienten wurden hinsichtlich einer post-TIPS HE, Tod und Lebertransplantation nachbeobachtet. NfL und GFAP wurden mittels der single molecule array technology analysiert.
Ergebnis: Das mediane Alter lag bei 61 Jahren (Interquartilsbereich (IQR) 53, 67), der mediane MELD bei 12 (IQR 9, 14) und die Child-Pugh-Stadien waren A: 21 (15%), B: 108 (75%), C: 15 (10%). Die Hauptindikationen für die TIPS-Anlage waren Aszites (72 %) und die Sekundärprophylaxe nach Blutung (24 %). Insgesamt entwickelten 55 (38 %) Patienten eine post-TIPS HE. 43 (30 %) Patienten starben oder wurden transplantiert. Die kumulative post-TIPS HE Inzidenz 3 Monate nach TIPS-Anlage war 42 % bei Patienten mit NfL-Werten oberhalb des Medians gegenüber 23 % bei Patienten mit NfL-Werten unterhalb des Medians (p = 0,018). Konträr hierzu unterschied sich die kumulative Inzidenz bei Patienten, die nach dem GFAP-Median dichotomisiert wurden, nicht signifikant (30% vs. 35%, p = 0,7). In der Fine und Gray-Regressionsanalyse blieben höhere NfL-Werte (sHR 1,01, 95 % CI 1,00 – 1,01, p = 0,028) auch nach Adjustierung für die relative Reduktion des portosystemischen Gradienten, MELD, HE-Anamnese, Thrombozyten und Alter signifikant mit einer post-TIPS HE assoziiert. Im Gegensatz dazu zeigte GFAP keine signifikante Assoziation (sHR 1,00, 95% CI 1,00 – 1,00, p = 0,2). Darüber hinaus waren höhere NfL-Werte in der multivariablen Cox-Regressionsanalyse nach Adjustierung für MELD und Alter mit einem höheren Mortalitäts- bzw. Transplantationsrisiko assoziiert (HR 1,01, 95% CI 1,00 – 1,01, p = 0,027). Auch dies zeigte sich für GFAP nicht.
Schlussfolgerung: NfL-Serumspiegel, gemessen vor TIPS-Anlage, sind mit der Entwicklung einer post-TIPS HE und dem Outcome nach TIPS-Anlage assoziiert. NfL ist damit ein potentieller Biomarker zur Risikostratifizierung von Patienten vor TIPS-Anlage.

11:47 – 11:53

KV 153 Häufigkeit und Auswirkungen einer frühen und anhaltenden hepatischen Rekompensation nach TIPS

Sophia Geißelbrecht

KV 153 Häufigkeit und Auswirkungen einer frühen und anhaltenden hepatischen Rekompensation nach TIPS

S. Geißelbrecht1, M.A. Kabelitz1, J.F. Zimmermann1, A. Tiede1,2, H. Rieland1, J.B. Mauz1, L. Buttler1, M.J. Peperhove3, C.S. Falk2,4, H. Wedemeyer1,2,5, L. Sandmann1,2,5, B. Maasoumy1,2,5

1Klinik für Gastroenterologie, Hepatologie, Infektiologie und Endokrinologie, Medizinische Hochschule Hannover (MHH), Hannover, Deutschland, 2Deutsches Zentrum für Infektionsforschung (DZIF), Hannover/Braunschweig, Deutschland, 3Institut für Diagnostische und Interventionelle Radiologie, Medizinische Hochschule Hannover (MHH), Hannover, Deutschland, 4Institut für Transplantationsimmunologie, Medizinische Hochschule Hannover (MHH), Hannover, Deutschland, 5Exzellenzcluster RESIST, Exzellenzinitiative, Medizinische Hochschule Hannover (MHH), Hannover, Deutschland

Einleitung: Der transjuguläre intrahepatische portosystemische Shunt (TIPS) ist eine etablierte Intervention für portal-hypertensive Komplikationen. Auch eine hepatische Rekompensation ist möglich. Prädiktoren und klinische Bedeutung einer Rekompensation nach TIPS sind bislang nicht systematisch untersucht.
Ziele: Untersuchung des Rekompensationsstatus nach TIPS und seinen Einfluss auf den klinischen Verlauf in einer prospektiven Kohorte.
Methodik: Eingeschlossen wurden 220 konsekutive Patienten mit Leberzirrhose und TIPS zwischen 2019 und 2024. First und further Dekompensationen wurde nach Baveno VII Kriterien definiert. Für hepatische Rekompensation wurden modifizierte Kriterien verwendet: Das Ausbleiben einer Dekompensation innerhalb der ersten 3 bzw.12 Monate post-TIPS definierte eine modified Early Recompensation (mER) bzw. modified Sustained Recompensation (mSR) unabhängig vom Fortführen medikamentöser Prophylaxe einer hepatischen Enzephalopathie oder von Diuretika-Einsatz. Competing Risk-Analysen untersuchten Überleben (Lebertransplantation (LTx) als konkurrierendes Ereignis) und hepatische Dekompensation (Tod/LTx als konkurrierende Ereignisse). Zur Reduktion des immortal time bias erfolgten Landmark-Analysen nach 3 und 12 Monaten mit TIPS als neuer Baseline. Alle Analysen wurden MELD-adjustiert. Zur Identifikation prädiktiver Faktoren für mER und mSR erfolgten multivariable logistische Regressionsanalysen.
Ergebnis: 38% der Patienten erreichten eine mER, 23% eine mSR, 1% erfüllten die Rekompensations-Kriterien nach Baveno VII. Baseline-IL-6 war in der multivariablen Analyse signifikant mit mER (asHR: 0,93; p=0,04) und mSR (asHR: 0,89; p=0,03) assoziiert. Das Erreichen einer mER war mit geringerer Mortalität assoziiert (asHR: 0,35; p=0,01), jedoch nicht signifikant mit dem Risiko erneuter Dekompensation (asHR: 0,75; p=0,32). Das Risiko für further Dekompensation war signifikant reduziert (asHR: 0,49; p=0,05). Das Erreichen von mSR führte nicht zu verbessertem Überleben (asHR: 0,97; p=0,96), war jedoch mit einem deutlich geringeren Risiko einer Dekompensation verbunden (asHR: 0,26; p=0,04). Kein mSR-Patient erlitt eine further Dekompensation (asHR: <0,001; p<0,001).
Schlussfolgerung: Eine signifikante Anzahl von Patienten erreicht nach TIPS eine hepatische Rekompensation. Während eine frühe Rekompensation (mER) auf ein verbessertes Überleben hinweist, kann eine anhaltende Rekompensation (mSR) Patienten mit dauerhafter Symptomkontrolle identifizieren.

11:55 – 12:01

KV 154 Hohe Inzidenz von Diuretika-assoziierten Komplikationen bei Patient*innen mit refraktärem Aszites mit TIPS Implantation oder Anlage eines getunnelten Peritonealkatheters

Sarah L. Schütte (Hannover)

KV 154 Hohe Inzidenz von Diuretika-assoziierten Komplikationen bei Patient*innen mit refraktärem Aszites mit TIPS Implantation oder Anlage eines getunnelten Peritonealkatheters

S.L. Schütte1, A. Tiede1,2, J.B. Mauz1, H. Rieland1, B. Meyer3, B. Heidrich1,2,4, H. Wedemeyer1,2,4, B. Maasoumy1,2, T.L. Tergast1

1Medizinische Hochschule Hannover, Klinik für Gastroenterologie, Hepatologie, Infektiologie und Endokrinologie, Hannover, Deutschland, 2Deutsches Zentrum für Infektionsforschung e. V., Braunschweig, Deutschland, 3Medizinische Hochschule Hannover, Institut für Diagnostische und Interventionelle Radiologie, Hannover, Deutschland, 4Medizinische Hochschule Hannover, Cluster of Excellence RESIST (EXC 2155), Hannover, Deutschland

Einleitung: Refraktärer Aszites (RA) ist eine schwere Komplikation der Leberzirrhose. Der International Ascites Club unterteilt RA in zwei Kategorien: Diuretika-resistenten Aszites (DR), der sich durch ein fehlendes Ansprechen auf Diuretika auszeichnet und Diuretika-intraktablen Aszites (DI), bei dem Komplikationen durch die Diuretikatherapie, wie Nierenfunktionseinschränkungen, auftreten. Zur Behandlung kann ein transjugulärer intrahepatischer portosystemischer Shunt (TIPS) oder, bei Kontraindikationen, ein getunnelter Peritonealkatheter (PeKa) implantiert werden. Die Prävalenz und Relevanz der Einteilung von Patient*innen in DR oder DI sind bisher unerforscht.
Ziele: Das Outcome von Patient*innen mit DR und DI nach TIPS- oder PeKa-Anlage zu vergleichen.
Methodik: Evaluiert wurden alle Patient*innen, die 2009-2023 an der Medizinischen Hochschule Hannover mit TIPS oder PeKa behandelt wurden. In uni- und multivariablen Competing Risk Analysen wurden die Endpunkte Mortalität, akutes Nierenversagen (AKI) und Hyponatriämie <130 mmol/l im ersten Jahr nach Anlage verglichen. Multivariable Modelle beinhalteten Parameter, die univariabel einen signifikanten Einfluss auf den jeweiligen Endpunkt zeigten.
Ergebnis: Zuerst wurden 256 Patient*innen mit TIPS untersucht. Hiervon litten 20% (n=51) an DR, 205 (80%) an DI. Mortalität (HR 0.87, p=0.73), AKI (HR 1.18, p=0.61) und Hyponatriämie (HR 1.18, p=0.66) waren vergleichbar zwischen beiden Gruppen. Alter (HR pro Jahr: 1.06, p<0.001) und MELD Score (HR pro Punkt: 1.10, p=0.006) waren mit Mortalität assoziiert, wohingegen höhere Cholinesterase-Werte (CHE; HR 0.71, p=0.04) ein protektiver Faktor war.
Weiterhin wurden 177 Patient*innen mit PeKa analysiert. Hiervon wurden 18% (n=31) als DR und 82% (n=146) als DI identifiziert. Die Einteilung in DR und DI war nicht mit Mortalität (HR 0.97, p=0.95) oder AKI (HR 0.98, p=0.93) assoziiert, allerdings war die Diagnose eines DI signifikant mit einem niedrigeren Risiko einer Hyponatriämie (HR 0.51, p=0.04) assoziiert. In dieser Kohorte war die Mortalität nur mit dem MELD-Score (HR 1.07, p=0.03) assoziiert. Hyponatriämie war zudem mit CHE (HR 0.65, p=0.02) und Natrium (HR 0.94, p=0.003) assoziiert.
Schlussfolgerung: Bei nur ca. 20% aller Patient*Innen mit refraktärem Aszites konnte die diuretische Therapie ausgereizt werden. Patient*Innen mit DI und einem PeKa hatten im Verlauf seltener Hyponatriämien, ansonsten waren die klinischen Verläufe vergleichbar im Vergleich zu DR.

12:03 – 12:09

KV 155 Die Anlage eines transjugulären intrahepatischen portosystemischen Shunts (TIPS) bei Leberzirrhose verbessert den Muskelstatus – Fibroblast Growth Factor 21 als möglicher Regulator der Muskel-Leber-Achse

Karen Rischmüller (Rostock)

KV 155 Die Anlage eines transjugulären intrahepatischen portosystemischen Shunts (TIPS) bei Leberzirrhose verbessert den Muskelstatus – Fibroblast Growth Factor 21 als möglicher Regulator der Muskel-Leber-Achse

K. Rischmüller1, M. Philipp1, V. Kakouz1, T. Blattmann1, A.-C. Klemenz2, S. Iseke2, F. Meinel2, G. Lamprecht1

1Universitätsmedizin Rostock, Zentrum für Innere Medizin, Klinik II, Abteilung für Gastroenterologie und Endokrinologie, Rostock, Deutschland, 2Universitätsmedizin Rostock, Institut für Diagnostische und Interventionelle Radiologie, Kinder- und Neuroradiologie, Rostock, Deutschland

Einleitung: Die Anlage eines transjugulären intrahepatischen portosystemischen Shunts (TIPS) bei portaler Hypertension verbessert das Überleben vieler Patient:innen (Pat.) mit Leberzirrhose (LZ) und beeinflusst die Körperzusammensetzung. Die Auswirkungen auf die Muskulatur sowie die zugrunde liegende Mechanismen entlang der Muskel-Leber-Achse sind bislang unzureichend verstanden. Myokine als endokrin wirksame Botenstoffe der Skelettmuskulatur könnten dabei eine zentrale Rolle spielen.
Ziel: Untersuchung der Auswirkungen einer TIPS-Anlage auf den Ernährungs- und Muskelstatus sowie die Myokinspiegel bei Pat. mit LZ.
Methodik: Eingeschlossen wurden 13 Pat. mit LZ (69 % männlich, Ø 62,7 Jahre, 69 % alkoholbedingt), die zwischen 04/2023 und 04/2024 an der Universitätsmedizin Rostock einen TIPS erhielten. Vor und sechs Monate nach TIPS-Anlage wurden Anthropometrie, Körperzusammensetzung (Bioelektrische Impedanzanalyse, MRT: Psoas-Index), Muskelfunktion (Handkraft, Gehgeschwindigkeit), Mangelernährung (Screening, GLIM-Kriterien), Nahrungsaufnahme (24-h-Recall), körperliche Aktivität, Laborparameter und Serum-Myokine (MILLIPLEX Magnetic Bead Panel, ELISA) verglichen.
Ergebnisse: Sechs Monate nach TIPS hatten weniger Patienten Aszites (77 % vs. 46 %) und Mangelernährung (Risiko: 3,4 vs. 1,1 Punkte, p < 0,05; Diagnose: 62 vs. 31 %). Die Skelettmuskelmasse nahm signifikant zu (Skelettmuskelmasse-Index: 7,9 vs. 9,0 kg/m2, Psoas-Index: 2,7 vs. 3,8 cm2/m2, Wadenumfang: 366 vs. 383 mm, Armmuskelumfang: 266 vs. 282 mm, p < 0,05). Es gab jedoch keine signifikanten Unterschiede des Fettmasse-Index (9,0 vs. 9,1 kg/m2), der aufgenommenen Energie- (1853 vs. 2083 kcal/24 h) oder Proteinmenge (97 vs. 103 g/24 h). Muskelfunktion (Handkraft: 33,6 vs. 35,5 kg; Gehgeschwindigkeit: 1,0 vs. 1,1 m/s) und körperliche Aktivität (1551 vs. 2779 metabolische Äquivalente (MET) min/Woche) waren nicht signifikant verändert. Unter den Myokinen war der Fibroblasten-Wachstumsfaktor (fibroblast growth factor, FGF) 21 signifikant reduziert (178 vs. 88 pg/ml, p < 0,01).
Schlussfolgerung: Die TIPS-Anlage führte zu einer signifikanten Verbesserung des Ernährungsstatus und einer Zunahme der Muskelmasse, und zwar unabhängig von Veränderungen der Nahrungsaufnahme oder der körperlichen Aktivität. Die signifikante Reduktion von FGF21 legt nahe, dass dieses Myokin ein bedeutsamer Mediator der Muskel-Leber-Achse und ein potenzielles therapeutisches Target zur Verbesserung der Muskelmasse bei LZ-Pat. ist.

Kurzvortragssitzung

Hepatobiliäre Primärtumore

14:45 – 16:05

Fr 19.09.

Vortragsraum 11

Open Accordion - Icon Close Accordion - Icon

Vorsitz: Eriselda Keshi (Berlin) und Ulrich Adam (Berlin)

14:45 – 14:51

KV 220 Inzidentelles Gallenblasenkarzinom – Nachresektion immer sinnvoll?

Felix Gronau (Hannover)

KV 220 Inzidentelles Gallenblasenkarzinom – Nachresektion immer sinnvoll?

F. Gronau1, S. Störzer1, L. Feldbrügge1, M. Quante1, M. Schmelzle1, C. Van Beekum1

1Medizinische Hochschule Hannover, Klinik für Allgemein-, Viszeral- und Transplantationschirurgie, Hannover, Deutschland

Einleitung: Das Gallenblasenkarzinom (GBC) ist eine seltene aber aggressive Tumorentität, die in etwa 0,59% aller Cholezystektomie (CHE)-Präparate inzidentell diagnostiziert wird (iGBC). In diesem Fall ist das Vorliegen einer residuellen hepatischen oder lymphonodalen Tumorausbreitung und sekundären Resektabilität häufig unklar und mit einer schlechten Prognose assoziiert. Ab einem T1b-Stadium empfiehlt daher die deutsche S3-Leitlinie die Gallenblasenbett (GBB) -resektion und eine hiläre Lymphadenektomie (LAD). Das T-Stadium allein scheint jedoch keine genügende Aussagekraft für das Vorliegen einer residuellen Tumorlast zu haben, sodass möglicherweise eine Über- oder Untertherapie besteht.
Methodik/Ziele: Im Rahmen einer retrospektiven monozentrischen Kohortenstudie haben wir alle an unserem Zentrum von 2011 bis 2024 chirurgisch behandelten Patienten mit iGBC ausgewertet im Hinblick auf Nachresektionsrate und Nachweis von Tumorausdehnung im GBB sowie in den entnommenen Lymphknoten (LK).
Ergebnis: 125 Patienten mit GBC sind chirurgisch von 2011 bis 2024 an unserer Klinik behandelt worden. Hiervon lag bei 31 Patienten (24,8%) ein iGBC vor. Von diesen Fällen mit iGBC hatten 7 Patienten (22,6%) einen intraoperativ als irresektabel eingestuften Befund. Ein initialer R1/R2-Status im Rahmen der CHE war hierbei ein signifikanter Prädiktor für die Irresektabilität (p=0.011) im Rahmen der Nachresektion, wobei hier in 41,7% der Fälle ein irresektabler Befund vorlag. Eine schlechte Tumordifferenzierung war ebenfalls signifikant mit Irresektabilität assoziiert (p=0.025), sowie mit einer Tendenz zu einem positiven Nodalstatus im Rahmen der Nachresektion (p=0.66). Der initiale Resektionsstatus und das T-Stadium waren zudem signifikant mit einer einer intrahepatischen Ausbreitung (R-Status: p=0.005, T-Stadium: p=0.008) assoziiert. Von 4 Patienten mit T1b iGBC fand sich im Rahmen der Nachresektion in keinem Fall eine hepatische Ausdehnung im Präparat der GBB-Resektion, jedoch bei einer Patientin mit T1b-Tumor eine Lymphknotenmetastase.
Schlussfolgerung: Der initiale histopathologische Befund in Bezug auf Tumorgrading und Resektionsstatus ist zusätzlich zum T-Stadium hilfreich zur Abschätzung der Resektabilität. Größere multizentrische Studien sind notwendig zur weiteren Festlegung von Risikofaktoren für hilären LK-Befall und intrahepatische Ausdehnung im GBB, um besser abschätzen zu können, wer von einer Re-Operation im Sinne einer Leberresektion mit LAD profitiert.

14:53 – 14:59

KV 221 Evaluating the benefit of re-resection in incidental gallbladder carcinoma: a critical analysis

Pia-Franziska Koch (Berlin)

KV 221 Evaluating the benefit of re-resection in incidental gallbladder carcinoma: a critical analysis

P.-F. Koch1, S. Stock1, F. Krenzien1, N. Raschzok1, I.M. Sauer1, S. Knitter1, P. Haber1, J. Pratschke1, W. Schöning1

1Charite – Universitätsmedizin Berlin, Chirurgische Klinik, Berlin, Deutschland

Introduction: Incidental gallbladder carcinoma (IGBC) is rare, with an incidence of approximately 0.6% following cholecystectomy. Despite its rarity, prognosis remains poor, with a reported 5-year survival rate of only 40.8%. Current German guidelines recommend reoperation with resection of the gallbladder bed and regional lymph nodes for IGBC staged higher than T1a.
Aims: The aim of this study is to develop a risk-benefit stratification for the surgical indication of re-resection in patients with IGBC based on postoperative histologic findings.
Methods: In this retrospective analysis, all adult patients who were treated for IGBC by resection of the gallbladder bed and regional lymphadenectomy at Charité – Universitätsmedizin Berlin in the last 17 years were included. Postoperative histologic findings were reviewed for the presence of malignancy. Statistical analysis was performed using T-test or Fisher’s exact test, with a p-value < 0.05 considered statistically significant.
Results: A total of 207 patients were screened, and 77 met the inclusion criteria. Of these, histological analysis of the re-resection was available for 67 patients. Patients were categorized into two groups based on the presence or absence of residual tumor in the re-resection specimen. In terms of demographics, there were no significant differences in age or gender between the groups. Histologically, 32 (47.8%) patients had no residual malignancy, while 35 (52.2%) showed evidence of adenocarcionma. Among the latter group, 20 (58.8%) exhibited direct liver infiltration, and 15 (42.8%) had tumor detection within the lymph nodes or perihilar soft tissue. Notably, significant differences were observed in the preoperative tumor stage between the groups (Table 1).
Conclusion: Our preliminary findings suggest that re-resection may be particularly important for patients with IGBC staged pT2 or higher, whereas its value in earlier-stage disease appears limited. Ongoing analyses—encompassing TNM staging, postoperative complications, laboratory markers, and survival outcomes—are expected to shed further light on which patient subgroups stand to benefit most. These insights will help refine clinical strategies and support more tailored patient care.
Table 1: Patient characteristics. Data shown as mean ± standard deviation or absolute (relative frequencies)

All patients Residual Malignancy p-value
(n=67) yes (n=35) no (n=32)
Age (years) 64.71 ± 11.3 64.1 ± 11.5 64.9 ± 11.2 0.735
Sex, female 39 (43.3) 16 (45.7) 13 (40.6) 0.806
Tumor stage (n=45) pT1b 6 (13.3) 0 6 (30) 0.006
pT2 25 (55.6) 14 (56) 11 (55)
pT3 13 (28.9) 10 (40) 3 (15)
pT4 1 (2.2) 1 (4) 0

15:01 – 15:07

KV 222 Einfluss der Inhibition der Glutathionperoxidase 4 auf die Progression von Cholangiokarzinomen im murinen Modell

Carolin Jeck (Düsseldorf)

KV 222 Einfluss der Inhibition der Glutathionperoxidase 4 auf die Progression von Cholangiokarzinomen im murinen Modell

C. Jeck1, C. Angendohr1, M. Vucur1, T. Lüdde1

1Universitätsklinikum Düsseldorf, Klinik für Gastroenterologie, Hepatologie und Infektiologie, Düsseldorf, Deutschland

Cholangiokarzinome stellen eine schwer kurativ therapierbare Tumorentität dar. Neue Therapiestrategien zielen auf die Zelltodinduktion in den Tumorzellen ab. Aufgrund erhöhter intrazellulärer Eisenkonzentrationen sind Tumorzellen besonders vulnerabel für den Zelltodmechanismus der Ferroptose. Dabei führt die vermehrte Bildung reaktiver Sauerstoffspezies (ROS) zur Oxidation von Membranlipiden und zur Auslösung des Zelltodes. Ferroptose kann durch Hemmung antioxidativer Enzyme, wie beispielsweise der Glutathionperoxidase 4 (GPX4), induziert werden. Ziel dieser Arbeit war es, den Einfluss der GPX4 auf das Tumorwachstum bei Cholangiokarzinomen zu untersuchen.
Im Rahmen dieser Arbeit wurden Mäuse mit reduzierter Funktion der GPX4 in einem induzierbaren Cholangiokarzinom-Modell untersucht. Hierfür kam ein genetisches Mausmodell zum Einsatz, bei dem die für die enzymatische Aktivität essenzielle Aminosäure Selenocystein in einem Allel gezielt durch Cystein ersetzt wurde (GPX4Cys). Die Induktion der Cholangiokarzinome erfolgte mittels hydrodynamischer Schwanzveneninjektion über das Einbringen des NOTCH-1-Rezeptors und des AKT-Gens sowie einer Transposase. Die heterozygoten GPX4Cys-Tiere wurden mit einer Wildtyp-Gruppe (WT) verglichen.
Die Tiere entwickelten zystische Lebertumore, deren Ausprägung zwischen den WT- und den GPX4Cys-Tieren keine signifikanten Unterschiede in der Tumorausprägung aufwies. Unsere Ergebnisse zeigten, dass trotz der durch GPX4-Hemmung induzierten Steigerung der ROS-Bildung in den Tumoren kein erhöhter hepatischer Zelltod beobachtet werden konnte. Zur weiteren Untersuchung des ausbleibenden verstärkten Zelltodes analysierten wir assoziierte antioxidative Signalwege. Diese zeigten eine leichte, jedoch nicht signifikante Hochregulation. Die GPX4-mRNA-Expression blieb in beiden Gruppen unverändert, hingegen war auf Proteinebene in den heterozygoten Tieren eine signifikante Hochregulation der GPX4-Proteinmenge nachweisbar. Diese Kompensationsreaktion ermöglichte eine funktionelle Aufrechterhaltung der antioxidativen Kapazität trotz reduzierter enzymatischer Aktivität der GPX4. Infolgedessen traten weder signifikante Unterschiede in der Immunantwort noch makroskopische Veränderungen im Phänotyp auf.
Zusammenfassend zeigen die Untersuchungen eine Hochregulation der GPX4-Expression auf Proteinebene in den GPX4Cys-Tieren. Diese Hochregulation könnte einen Kompensationsmechanismus der Tumorzellen als Reaktion auf oxidativen Stress darstellen.

15:09 – 15:15

KV 223 Stentbasierte magnetische Hyperthermie – eine potenzielle Behandlungsoption für das cholangiozelluläre Karzinom

Julian Palzer

KV 223 Stentbasierte magnetische Hyperthermie – eine potenzielle Behandlungsoption für das cholangiozelluläre Karzinom

J. Palzer1, M. Schoenen2,3, N. Kodra1, L. Göpfert2,3, R. Pohlberger1, B. Bauer4, C. Emonts4, T. Schmitz-Rode2, T. Gries4, F. Vondran1, I. Slabu2,3, A.A. Roeth1

1Uniklinik RWTH Aachen, Klinik für Allgemein-, Viszeral-, Kinder- und Transplantationschirurgie, Aachen, Deutschland, 2Helmholtz Institut, Institut für Angewandte Medizintechnik, Aachen, Deutschland, 3Helmut-Schmidt-Universität – Universität der Bundeswehr Hamburg, Institute of Medical Engineering, Hamburg, Deutschland, 4Institut für Textiltechnik, RWTH Aachen University, Department of Medical Textiles, Aachen, Deutschland

Einleitung: Das cholangiozelluläre Adenokarzinom (CCA) ist ein hochaggressiver primärer Lebertumor mit schlechter Prognose. Die Hälfte der betroffenen Patienten zeigt bei Diagnosestellung ein fortgeschrittenes Tumorstadium, das die Betroffenen von der einzigen potenziell kurativen Therapie – der chirurgischen Resektion – ausschließt. Begleitend zur onkologischen Therapie wird eine biliäre Ableitung über intraluminale Stents benötigt. Herkömmliche Stents bergen jedoch ein relevantes Risiko für eine Tumorobstruktion durch infiltratives Tumorwachstum. Der Einsatz neuartiger, nanopartikel-modifizierter Hybrid-Stents (NMHS) in Kombination mit einem alternierenden Magnetfeld (AMF) zur Induktion Stent-basierter magnetischer Hyperthermie (SBMHT) könnte sich für diese Patienten durch die lokale Tumordestruktion neben der biliären Ableitung als vorteilhaft erweisen.
Zielsetzung: Ziel dieser Studie war die Untersuchung des Potentials von SBMHT an CCA-Organoiden sowie die Exploration der zugrundeliegenden molekularen Mechanismen.
Methoden: CCA-Organoide wurden aus reseziertem Tumorgewebe generiert und entweder mit singulärer (sSBMHT) oder repetitiver SBMHT (rSBMHT) magnetischer Hyperthermie bei unterschiedlichen hyperthermischen Zieltemperaturen (43 °C vs. ≥45 °C) behandelt. Die zytotoxischen Effekte wurden mittels Zellviabilitätsanalysen sowie Multiplex-Immunhistochemie (MIHC) Färbungen mit Fokus auf Apoptose- und Nekroptose-Signalwege analysiert.
Ergebnisse: Bei einer Behandlung bei 43°C zeigte sich ein Vorteil von rSBMHT gegenüber sSBMHT (Reduktion der Zellviabilität auf 80% vs. kein relevanter Einfluss). Bei höheren Temperaturen (≥45°C) zeigte sich des Weiteren ein deutlicher Effektivitätsgewinn (Reduktion der Zellviabilität auf 50% bei sSBMHT vs. 40% bei rSBMHT). MIHC-Analysen erbrachten den Nachweis einer Kombination aus apoptotischen und nekroptotischen Signalwegen als Ursache der SBMHT-basierten Zytotoxizität.
Schlussfolgerung: Diese Studie liefert erstmals einen erfolgreichen Proof-of-Principle für die Behandlung von CCA Organoiden mit SBMHT. Unsere Beobachtungen belegen relevante temperaturabhängige antitumorale Effekte der SBMHT in CCA-Organoiden. Diese Ergebnisse dienen als vielversprechende Basis für zukünftige weiterführende translationale Studien.

15:17 – 15:23

KV 224 Zweizeitige Leberresektion bei Cholangiokarzinom unter totaler vaskulärer Exklusion mit veno-venösem ECMO-Bypass und kontrollierter geschlossener in-situ hypothermer oxygenierter Leberperfusion – das Hannover-CLIP-Konzept

Cornelius J. van Beekum (Hannover)

KV 224 Zweizeitige Leberresektion bei Cholangiokarzinom unter totaler vaskulärer Exklusion mit veno-venösem ECMO-Bypass und kontrollierter geschlossener in-situ hypothermer oxygenierter Leberperfusion – das Hannover-CLIP-Konzept

C.J. van Beekum1, P. Felgendreff1, N. Nevermann1, H. Eismann2, C. Kühn3, T. Wirth4, A. Saborowski4, M. Quante1, T.Y. Tsui1, M. Schmelzle1

1Medizinische Hochschule Hannover, Klinik für Allgemein-, Viszeral- und Transplantationschirurgie, Hannover, Deutschland, 2Medizinische Hochschule Hannover, Klinik für Anästhesiologie und Intensivmedizin, Hannover, Deutschland, 3Medizinische Hochschule Hannover, Klinik für Herz-, Thorax-, Transplantations- und Gefäßchirurgie, Hannover, Deutschland, 4Medizinische Hochschule Hannover, Klinik für Gastroenterologie, Hepatologie, Infektiologie und Endokrinologie, Hannover, Deutschland

Einleitung: Die totale Gefäßexklusion (TVE) der Leber ermöglicht komplexe Resektionen zentraler Tumoren, ist jedoch mit hoher intra- und perioperativer Morbidität assoziiert. Wir stellen die „Hannover-Modifikation“ der TVE vor, bei der der kontinuierliche Fluss der Pfortader (temporärer portosystemischer Shunt) und der Nierenvenen über die Vena cava inferior (VCI) durch einen veno-venösen (vv)-ECMO-Bypass gesichert und die Leberprotektion während der Resektions- und Rekonstruktionsphase durch kontrollierte, geschlossene in-situ hypotherme oxygenierte Perfusion der Leber (CLIP – Closed-loop Liver In situ Perfusion) mittels Maschinenperfusion (Bridge-to-Life®) erreicht wird.
Patientin und Methodik: Eine 62-jährige Patientin mit extern als inoperabel eingestuftem intrahepatischem Cholangiokarzinom (iCCA) wurde eine Woche nach Hypertrophieinduktion durch partiellen ALPPS einer erweiterten Resektion zugeführt. Nach transfemoraler Kanülierung der VCI und Anlage einer portokavalen Anastomose wurden zwei geschlossene Perfusionsschleifen unter TVE etabliert: (I) Der systemische venöse und portalvenöse Rückstrom wurde über die vv-ECMO gesichert; (II) kalte (4°C), oxygenierte Perfusionslösung (Custodiol-HTK) wurde über einen Katheter in der linken Pfortader in die Leber eingebracht, durch die Lebervenen in die VCI drainiert und über eine cavale Ablaufkanüle rezirkuliert. Es erfolgte eine Segment IVb-erhaltende Trisektorektomie rechts unter TVE mit Teilresektion und Rekonstruktion der Pfortader sowie linker Lebervene.
Ergebnis: Das CLIP-Konzept gewährleistete konstante Hypothermie und Oxygenierung des Leberparenchyms ohne systemisches Auskühlen durch Pravasat. Die OP Zeit betrug 4h 3min, mit 72min CLIP. Unter vv-ECMO (130min) zeigte sich ein stabiler Kreislauf mit erhaltener Nierenfunktion und guter Drainage des Darms. Die histopathologische Untersuchung ergab die R0-Resektion eines 6,5 cm großen iCCA (ypT1a, G2). Der postoperative Verlauf war komplikationslos, die Patientin konnte am 7. postoperativen Tag mit exzellenter Leberfunktion entlassen werden.
Schlussfolgerung: Das Hannover-CLIP-Konzept verhindert intraoperatives Auskühlen und kombiniert erstmals eine kontrollierte geschlossene in-situ hypotherme oxygenierte Leberperfusion mit vv-ECMO-Bypass. Dieses innovative Konzept reduziert Ischämie-assoziierte Schäden an Leber, Nieren und Intestinum während Leberresektionen unter TVE und ermöglicht eine sichere Resektion hochkomplexer zentraler Lebertumoren.

15:25 – 15:31

KV 225 Evaluation der präoperativen Bildqualität bei perihilären Cholangiokarzinomen: Head-to-head Vergleich von Photon-Counting Detector CT und konventionellem CT

Viola Allegra Ehses (Mainz)

KV 225 Evaluation der präoperativen Bildqualität bei perihilären Cholangiokarzinomen: Head-to-head Vergleich von Photon-Counting Detector CT und konventionellem CT

V.A. Ehses1, M. Halfmann2, L. Müller2, F. Huettl1, R. Margies1, L. Vradelis1, V. Tripke1, L.I. Hanke1, T. Bäuerle2, H. Lang1, T. Huber1

1Universitätsmedizin der Johannes Gutenberg-Universität, Mainz, Klinik für Allgemein-, Viszeral- und Transplantationschirurgie, Mainz, Deutschland, 2Universitätsmedizin der Johannes Gutenberg-Universität, Mainz, Klinik und Poliklinik für Diagnostische und Interventionelle Radiologie, Mainz, Deutschland

Einleitung: Perihiläre Cholangiokarzinome (pCCA) stellen Diagnostik und operative Therapie vor große Herausforderungen. ERCP, CT und MRT/MRCP bieten jeweils Vor- und Nachteile für die präoperative Planung. Die hochauflösende Photon-Counting Detector CT (PCD-CT) zeigte in ersten Studien eine verbesserte Darstellung von hepatozellulären Karzinomen im Vergleich zur Energy-Integrating Detector CT (EID-CT). Diese neue Technologie könnte durch eine höhere Bildqualität die Beurteilung des Leberhilus und der Tumorausdehnung verbessern.
Ziele: Ziel dieser Studie ist der Vergleich der objektiven und subjektiven Bildqualität zwischen PCD-CT und EID-CT bei Patienten mit pCCA.
Methodik: Aus insgesamt 302 Patienten mit pCCA (2008-2025) konnten bislang acht Patienten mit präoperativ verfügbarer PCD- und EID-CT identifiziert werden. Die objektive Bildbeurteilung erfolgte durch die Bestimmung vom Bildrauschen und dem Kontrast-zu-Rausch-Verhältnis (CNR) in definierten anatomischen Bereichen. Mittels 5-Punkte Likert Skala führten drei unabhängige Prüfer eine subjektive Bewertung der generellen Bildqualität, Bildrauschen, Bildschärfe, Beurteilbarkeit des Leberhilus und des Tumors durch. Die Ergebnisse wurden mit T-Tests und WSR-Tests ausgewertet.
Ergebnis: Das Kollektiv (50% weiblich) hatte ein Durchschnittsalter von 64 ± 16 Jahren. Der mittlere Abstand zwischen den CT Modalitäten lag bei 37.5 Tagen (Range 3-280 Tage). Im intraindividuellen Vergleich zeigte sich ein vergleichbares Dosislängenprodukt (479.97 mGy*cm vs. 495.52 mGy*cm, p=0.44). Gegenüber der EID-CT zeigte die PCD-CT ein signifikant höheres Signal-zu-Rausch Verhältnis (SNR) und CNR in der arteriellen Phase (6.88 vs. 3.49, p=0.02). In der Beurteilung der generellen Bildqualität (4.33 [4-5] vs. 3 [3-3], p=0.009), des Rauschens (4.5 [4-5] vs. 2.5 [2-3], p=0.008) und der Bildschärfe (4 [4-5] vs. 3 [3-3], p=0.009) erhielt die PCD-CT eine bessere Wertung. Die tendenziell bessere Beurteilbarkeit des Leberhilus (4 [4-4.75] vs. 3 [3-3], p=0.15) und des Tumors (4 [3.25-4.75] vs. 3 [2-3.75], p=0.123) in der PCD CT erreichte keine statistische Signifikanz.
Schlussfolgerung: Diese vorläufigen Ergebnisse der Datensätze deuten darauf hin, dass eine bessere Bildqualität bei einem PCD-CT für pCCA vorliegen könnte. Die Auswertung zeigt ein geringeres Rauschen im PDC-CT bei vergleichbaren Strahlendosen. Den klinischen Einfluss der besseren objektiven Bildqualität gilt es in größeren Kollektiven und prospektiv zu untersuchen.

15:33 – 15:39

KV 226 Extrahepatische Gallengangsresektion vs. Major-Hepatektomie bei hilärem Cholangiokarzinom (Bismuth-Corlette I–II): Eine retrospektive Analyse von Komplikationen und Überleben

Eriselda Keshi (Berlin)

KV 226 Extrahepatische Gallengangsresektion vs. Major-Hepatektomie bei hilärem Cholangiokarzinom (Bismuth-Corlette I–II): Eine retrospektive Analyse von Komplikationen und Überleben

E. Keshi1, S. Knitter1, P. Haber1, M. Felsenstein1, N. Haep1, T. Malinka1, N. Raschzok1, W. Schöning1, J. Pratschke1, F. Krenzien1

1Charité Campus Virchow Klinikum, Chirurgische Klinik, Berlin, Deutschland

Hintergrund: Das perihiläre Cholangiokarzinom (pCCA) stellt die häufigste Form der Gallenwegstumoren dar und ist durch eine aggressive Tumorbiologie gekennzeichnet. Der kurative Standardansatz besteht in einer großen Leberresektion (Major Hepatektomie, MR), welche jedoch mit hoher Morbidität und Mortalität einhergeht. Die Rolle der isolierten extrahepatischen Gallenwegsresektion (ER) bei Bismuth-Corlette Typ I und II ist bislang nicht eindeutig geklärt.
Methoden: In einer retrospektiven Analyse wurden Daten von 50 Patienten mit pCCA Typ I/II (Behandlungszeitraum 2010–2024, Charité Berlin) untersucht. 27 Patienten erhielten eine MR, 23 eine ER. Es wurden klinische, perioperative und histopathologische Daten erfasst und statistisch ausgewertet.
Ergebnisse: Patienten der ER-Gruppe waren signifikant älter als die Patienten der MR-Gruppe (72,6 vs. 65,7 Jahre, p=0,01). In der MR-Gruppe wurden signifikant höhere postoperative Leberfunktionswerte (AST, ALT, Bilirubin, INR) sowie eine erhöhte Rate schwerer Komplikationen (Clavien-Dindo ≥ IIIa, p=0,0044), einschließlich vermehrter Blutungen und Leberversagen, beobachtet. Die Resektionsränder (R0/R1) unterschieden sich nicht signifikant zwischen den Gruppen. Die Krankenhausmortalität war in der MR-Gruppe höher (n = 7 vs. n = 1, p = 0,055). Die mediane Gesamtüberlebenszeit betrug in der vorliegenden Studie 1.357,5 Tage in der ER-Gruppe und 1.216,1 Tage in der MR-Gruppe. Die 1-, 3- und 5-Jahres-Gesamtüberlebensraten lagen in der ER-Gruppe bei 82 %, 47 % und 24 %, während sie in der MR-Gruppe 72 %, 47 % und 27 % betrugen. Obwohl das Überleben in der ER-Gruppe im ersten Jahr nach der Operation höher war, zeigten beide Gruppen im dritten und fünften Jahr vergleichbare Überlebensraten (p = 0,187).
Schlussfolgerung: Beim multimorbiden Patienten mit pCCA Bismuth-Corlette I–II könnte die isolierte extrahepatische Gallengangsresektion eine potenziell onkologisch vertretbare und sicherere Alternative zur Leberresektion darstellen. Erste Ergebnisse deuten auf eine geringere Komplikationsrate und ein vergleichbares Überleben hin, sollten jedoch aufgrund der retrospektiven Analyse mit Zurückhaltung interpretiert werden. Weitere prospektive, multizentrische Studien sind erforderlich, um diese Beobachtungen zu bestätigen und die Kriterien für eine optimale Patientenselektion zu klären.

15:41 – 15:47

KV 227 Neoadjuvant downstaging in primary liver cancer

Laura Stöffler (Berlin)

KV 227 Neoadjuvant downstaging in primary liver cancer

L. Stöffler1, F. Roßner2, R. Mohr3, U. Fehrenbach4, S. Knitter1, F. Krenzien1, J. Pratschke1, W. Schöning1, P. Haber1

1Charité – Universitätsmedizin Berlin, Chirurgische Klinik CCM/CVK, Berlin, Deutschland, 2Charité – Universitätsmedizin Berlin, Institut für Pathologie, Berlin, Deutschland, 3Charité – Universitätsmedizin Berlin, Medizinische Klinik für Hepatologie und Gastroenterologie, Berlin, Deutschland, 4Charité – Universitätsmedizin Berlin, Klinik für Radiologie, Berlin, Deutschland

Introduction: Primary liver cancer remains the third leading cause of cancer related death with incidence and mortality rates on the rise. Improving overall survival, immune-checkpoint inhibitors (ICI) have become a cornerstone of systemic treatment combinations for advanced stage disease. In some cases, these treatments can elicit significant tumor size reduction thereby enabling subsequent resection with curative intent. From a prognostic perspective it remains unclear whether outcomes after secondary resection are comparable to those achieved through primary resection.
Methods and Aims: We conducted a retrospective analysis of all patients undergoing systemic therapy for either hepatocellular carcinoma (HCC) or intrahepatic/perihilar cholangiocarcinoma (iCC/pCC) since 2021 and analyzed clinicopathological data as well as oncological outcomes with the aim of defining the potential benefit of secondary resectability.
Results: Of all patients undergoing systemic therapy for HCC or iCC/pCC downstaging to resectable disease was achieved in 18 patients with primary liver cancer (7 HCC; 11 CCC) who received ICI-based treatment combinations due to either advanced stage disease or technical inoperability and were rendered suitable for curative-intent resection subsequently. In all 18 patients, R0 resection was achieved. 17 patients showed a reduction in tumor size and five met the criteria for objective response according to RECIST 1.1. Pathological assessment revealed a major pathological response, defined as ≥70% tumor necrosis, in six patients. Mean follow up was 8 months. Recurrence occurred in three patients after a median recurrence-free survival (RFS) of 11 months. Two patients died during follow up, one in the post-operative interval due to complications and one due to tumor progression 8 months after surgery. None of the patients with recurrence had objective response after neoadjuvant treatment.
Interpretation: ICI treatment of primary liver cancer can enhance access to curative treatment, enabling R0 resection in patients initially assessed as unsuitable for resection. Importantly, objective response was not a prerequisite for secondary resectability indicating radiologic response criteria alone may be too strict. Short term oncological outcomes showed promising RFS and overall survival data highlighting the potentially conducive effects of neoadjuvant downstaging treatment.

15:49 – 15:55

KV 228 Einfluss von Diabetes mellitus auf das Patientenoutcome beim perihilären Cholangiokarzinom – Eine retrospektive monozentrische Kohortenstudie

Ivan Capobianco

KV 228 Einfluss von Diabetes mellitus auf das Patientenoutcome beim perihilären Cholangiokarzinom – Eine retrospektive monozentrische Kohortenstudie

J. Rolinger1, I. Capobianco1, A. Königsrainer1, A.L. Mihaljevic1, S. Nadalin1

1Universitätsklinikum Tübingen, Universitätsklinik für Allgemeine, Viszeral- und Transplantationschirurgie, Tübingen, Deutschland

Einleitung: Major-Leberresektionen stellen nach wie vor den Eckpfeiler der multimodalen Therapie des perihilären Cholangiokarzinoms (PHC) dar. Trotz medizinischen Fortschritten auf den Gebieten der chirurgischen Technik sowie des interdisziplinären, perioperativen Managements sind solche Eingriffe auch weiterhin mit einer erheblichen Morbidität und Mortalität assoziiert. Bei verschiedenen Tumorentitäten besteht im Kontext eines Diabetes mellitus ein höheres Risiko für postoperative Komplikationen als auch eine schlechtere onkologische Prognose. Diesbezüglich ist die Datenlage für das PHC begrenzt. [ADSN1]
Ziele: Die Studie zielt darauf ab, den Einfluss von Diabetes mellitus auf die perioperative Morbidität und Mortalität sowie die onkologischen Langzeitergebnisse bei Patienten zu untersuchen, welche aufgrund eines PHC chirurgisch therapiert werden.
Methodik: Diese retrospektive, monozentrische Kohortenstudie umfasst alle konsekutiv zwischen 2006 und 2024 in kurativer Intention resezierten Patienten mit PHC an unserem universitären Zentrum. Die Analyse konzentriert sich dabei insbesondere auf die kurz- (Morbidität und Mortalität) und langfristigen (Gesamtüberleben) Outcomeparameter im Zusammenhang mit Major-Leberresektionen.
Ergebnis: Die Kohorte umfasste 288 Patienten, von denen 184 (63,9 %) einer chirurgischen Major-Leberresektion unterzogen wurden. Die mediane Nachbeobachtung betrug 50,0 Monate. Insgesamt bestand bei 25 Patienten (13,6 %) bereits präoperativ ein Diabetes mellitus, davon bei 9 Patienten (4,9 %) eine Erkrankung mit entsprechenden Endorganschäden. Das mediane Gesamtüberleben betrug 27,6 Monate (95 % KI [19,0; 36,3]). Im kurzfristigen postoperativen Verlauf zeigten sich sowohl für Diabetes mellitus ohne als auch mit Endorganschäden signifikante Unterschiede im Hinblick auf die Dauer der intensivmedizinischen Behandlung (p = 0,017 bzw. p = 0,014) sowie die 90-Tage Mortalität (p < 0,001 bzw. p = 0,021), jedoch nicht auf die Rate an Major-Komplikationen (p = 0,707 bzw. p = 0,530). Das Gesamtüberleben wurde hingegen nicht signifikant beeinflusst (p = 0,272 bzw. p = 0,440).
Schlussfolgerung: Trotz der Limitationen der Studie (u.a. geringe Stichprobengröße, retrospektives Design, monozentrische Studie) bleibt festzuhalten, dass die Diagnose Diabetes mellitus sowohl Morbidität als auch Mortalität negativ beeinflussen. Weitere Studien sind erforderlich, um insbesondere die Frage nach der Bedeutung einer optimalen medikamentösen Therapie zu klären.

15:57 – 16:03

KV 229 Outcome analysis for patients with early- and late-onset primary liver carcinomas. A StuDoQ data analysis

Christina Violetta Frost

KV 229 Outcome analysis for patients with early- and late-onset primary liver carcinomas. A StuDoQ data analysis

C.V. Frost1, D. Koliogiannis1, J. Werner1, M. Guba1, N. Börner1

1LMU Klinikum, Allgemein-/Viszeral-/Transplantationschirurgie, München, Deutschland

Background and aim: Liver resection is a common treatment for both early- and late-onset primary liver carcinomas. Postoperative outcomes, however, depend on factors like comorbidities, perioperative complications, histology, and resection extent. The present study investigates the impact of these factors, focusing on the comparison of early- versus late-onset carcinomas.
Methods: Retrospective analysis of the StuDoQ Database focused on 1,418 patients, including 721 (50.8%) cases with HCC and 697 (49.2%) with CCC histology. Patients were divided into three age groups: Young (≤ 55 years, n = 442 (31.2%)), middle-aged (55-70 years, n = 601 (42.4%)), and elder patients (> 70 years, n = 375 (26.4%)). Missing data were imputed using a deep learning algorithm. The comparison focused on preoperative lab values, ECOG, comorbidities, and perioperative factors such as surgery technique and time. Outcome variables included postoperative ECOG, Clavien-Dindo, hospitalization, complications, and mortality. Group differences were tested using Chi-squared for categorial and Kruskal-Wallis, Mann-Whitney U, or t-test for continuous variables, depending on data normality.
Results: Most preoperative parameters showed no significant age-related differences. However, older patients had significantly (p ≤ 0.05) higher ASA scores (≥3: 67.8% old vs. 44.6% young), alcohol consumption (7.7% vs. 3.4%), and cirrhosis (8.8% vs. 2.5%). Overall, surgical approaches were chosen age-independent, whereas CCC more often required two-stage, open surgery, and longer surgery times. Perioperative parameters and histology had the strongest influence on outcomes, while significant age effects were limited to postoperative ECOG and weight loss. CCC patients showed significantly higher rates of major complications (Clavien≥3a: 34.6% vs. 21.4% for HCC), longer hospitalization (median: 14 vs. 9 days), higher readmission (11.6% vs. 8.0%), and reoperation rates (15.4% vs. 7.6%). Interestingly, the age group most affected by complications varied by histology: Early postoperative Clavien complication peaks were seen in younger HCC but middle-aged CCC patients, with a reversed pattern at 90-day follow-up.
Conclusion: In summary, perioperative parameters and histology emerged as the strongest predictors of postoperative outcomes after liver resection, whereas age-related effects were less pronounced. These insights may enhance individualized and age-dependent surgical planning and risk management.

Title figure.

Kurzvortragssitzung

Innovative diagnostische & therapeutische Optionen bei pankreatikobiliären Karzinomen

14:15 – 15:43

Do 18.09.

Seminarraum 6 + 7

Open Accordion - Icon Close Accordion - Icon

Vorsitz: Tania Amin (Hamburg) und Benjamin Ruf (Tübingen)

14:15 – 14:21

KV 291 Nuclear GSK3β/NFATc1 axis controls DNA repair mechanisms and drives therapy resistance in PDAC

Muhammad Umair Latif (Goettingen)

KV 291 Nuclear GSK3β/NFATc1 axis controls DNA repair mechanisms and drives therapy resistance in PDAC

M.U. Latif1, G. Schmidt1, A. Bockelmann1, L. Klein1, S. Mercan1, K. Reutlinger1, L. Huhnold1, J. Todorovic2, P. Ströbel2, H. Bastians3, R. Ashry4, O.H. Krämer4, S.K. Singh1, V. Ellenrieder1

1University Medical Center Goettingen, Department of Gastroenterology, Gastrointestinal Oncology and Endocrinology, Goettingen, Deutschland, 2University Medical Center Goettingen, Institute for Pathology, Goettingen, Deutschland, 3University Medical Center Goettingen, Department for Molecular Oncology, Goettingen, Deutschland, 4University Medical Center, Department of Toxicology, Mainz, Deutschland

Introduction: Pancreatic ductal adenocarcinoma (PDAC) is among the most lethal cancers. The pronounced heterogeneity of the PDAC tumors limits the efficacy of current treatment regimens underscoring the identification of new molecular subtypes and stratified therapeutic strategies. The efficacy and tolerability of pharmacological GSK3β inhibition is currently being investigated in unselected cohorts of metastatic PDAC.
Objectives: Here, we investigate the clinical relevance of concurrent nuclear accumulation of GSK3β and NFATc1 in resectable PDAC and explore the therapeutic potential and underlying mechanisms of GSK3β/NFATc1 pathway disruption.
Methodology: To explore the therapeutic potential of nuclear GSK3β/NFATc1 cooperation in tumor growth and therapy resistance, we employed a range of in vivo and in vitro experimental models including human PDAC tissues, ex-vivo tumor slices, organoids, PDX-derived primary tumor cells and murine PDAC subjected to GSK3β/NFATc1 signaling disruption using genetic and pharmacological approaches. Live-cell imaging, colony formation, FACS and proliferation assays were carried out to investigate the tumor growth and resistance, Additionally, mRNA sequencing, chromatin immunoprecipitation and homologous recombination repair (HRR) studies were performed to explore target genes regulation in DNA repair, growth and resistance.
Results: Nuclear GSK3β and NFATc1 concurrently accumulate in a subset of resected PDAC patients, named as GSK3βhigh/NFATc1high subtype and accounts for approximately 14% of resected PDAC. This subtype is associated with rapid recurrence and poor survival. GSK3β-NFATc1 signaling promotes cisplatin resistance through transcriptional induction of BRCA and FANC genes and increased HRR-mediated DNA repair. Pharmacological and/or genetic disruption of the GSK3β-NFATc1 axis impairs HRR machinery and causes an “inducible BRCAness” phenotype and increases PDAC sensitivity to cisplatin treatment in in vitro as well as in vivo.
Conclusions: We define a distinct and clinically relevant highly aggressive GSK3βhigh/NFATc1high subtype that predicts poor prognosis and cisplatin resistance in resectable PDAC. This subtype also uncovers novel vulnerabilities offering new strategies for personalized treatment.

14:23 – 14:29

KV 292 Identification and characterization of KRAS mutant specific drug combinations

Xueyuan Zhao (Göttingen)

KV 292 Identification and characterization of KRAS mutant specific drug combinations

X. Zhao1, A. Lomberg1, M.U. Latif1, V. Ellenrieder1

1University Medical Center Göttingen, Göttingen, Deutschland

Introduction: Oncogenic activation of KRAS is a key event in pancreatic carcinogenesis and a central driver of tumor progression and resistance. Remarkably, mutation-specific KRAS inhibitors are now in (pre)clinical testing and recent studies demonstrate a high specificity and efficacy of specific KRAS inhibitors. However, these studies also demonstrated a rapid development of resistance, often associated with transcriptional and metabolic reprogramming.
Objectives: This study investigates the alterations in chromatin landscape and molecular signaling pathways that drive cell adaptation and resistance against mutation-specific KRAS inhibitors. It also aims to identify and evaluate novel drug combinations through pre-clinical testing, with particular focus on compounds that target the activity of mitochondrial metabolic processes and cell defense strategies via control of oncogenes and metabolic signaling and transcription pathways (e.g. DNA binding complexes etc).
Methodology: To explore the drug-induced modifications in chromatin landscape and gene expression, we perform
whole transcriptome analysis (RNA-seq), chromatin accessibility profiling (ATAC-seq) and genome-wide DNA binding studies (e.g. ChIP-seq) coupled with transcription factor complex formation studies and mitochondrial rewiring analysis. We further employ various molecular and physiological assays (e.g. BrdU, CellTiter-Glo, colony formation etc.) to assess tumor cell growth and cytotoxicity against the new drug combinations.
Results: Preliminary investigations revealed significant alterations in chromatin architecture in line with distinct set of transcription factors, gene signatures and signaling pathways that might enable tumor cells to adapt. These outcomes further suggest that tailored interference with mutant KRAS-specific transcription complexes not only affects transcriptional and metabolic rewiring processes but also counteracts survival strategies and resistance development.
Conclusion: Targeted inhibition of KRAS mutation-specific transcription complex formation and dependent molecular reprogramming might provide new and more effective strategies to enhance the efficacy of mutation-specific KRAS inhibitors. This study will help to identify central mechanisms of resistance against KRAS inhibitors and provide the basis for the development of novel therapeutic strategies

14:31 – 14:37

KV 293 CRP und Fibrinogen als prognostische Marker nach kurativer Resektion von pankreatischen neuroendokrinen Tumoren

Tania Amin (Hamburg)

KV 293 CRP und Fibrinogen als prognostische Marker nach kurativer Resektion von pankreatischen neuroendokrinen Tumoren

T. Amin1, S. Kailani1, T. Fründt1, F. Awwad1, F. Viol1, C. Schlüter2, J. Stripling2, G. Sauter3, J.R. Izbicki4, T. Hackert4, A. Nießen4, A.W. Lohse1, S. Huber1, J. Schrader5

1Universitätsklinikum Hamburg-Eppendorf, I. medizinische Klinik und Poliklinik, Hamburg, Deutschland, 2Universitätsklinikum Hamburg-Eppendorf, Universitäres Cancer Center Hamburg, Hamburg, Deutschland, 3Universitätsklinikum Hamburg-Eppendorf, Institut für Pathologie, Hamburg, Deutschland, 4Universitätsklinikum Hamburg-Eppendorf, Klinik für Allgemein-, Viszeral- und Thoraxchirurgie, Hamburg, Deutschland, 5Klinikum Nordfriesland, Klinik Husum, Innere Medizin, Husum, Deutschland

Hintergrund: Pankreatische neuroendokrine Tumoren (pNET) stellen eine seltene und heterogene Tumorentität dar, die vom endokrinen Gewebe des Pankreas ausgeht. Die einzige potenziell kurative Therapieoption besteht in der chirurgischen Resektion bei lokalisiertem oder oligometastasiertem Tumorstadium. Allerdings ist die Pankreaschirurgie mit einer signifikanten Morbidität und Mortalität verbunden, zudem besteht ein relevantes Rezidivrisiko. Die prognostischen Faktoren für das Langzeitüberleben sind bislang nur unzureichend verstanden.
Ziele: Ziel dieser Studie war es, den Einfluss der präoperativen Entzündungsmarker C-reaktives Protein (CRP) und Fibrinogen auf das Gesamtüberleben nach kurativ intendierter Resektion von pNET zu untersuchen.
Methodik: Im Rahmen einer retrospektiven monozentrischen Kohortenstudie wurden 119 Patienten analysiert, die zwischen Oktober 1996 und Dezember 2023 aufgrund eines pNET einer kurativ intendierten Operation unterzogen wurden. Die Assoziation von CRP- und Fibrinogenspiegel mit dem Gesamtüberleben wurde mittels Kaplan-Meier-Analyse und multivariater Cox-Regression untersucht.
Ergebnisse: Die mediane Nachbeobachtungszeit betrug 39,2 Monate. Ein präoperativer CRP-Wert > 20 mg/L sowie ein Fibrinogen-Wert > 4 g/L waren jeweils signifikant mit einem schlechteren Gesamtüberleben assoziiert (HR 3,30; p = 0,031 bzw. HR 2,35; p = 0,037). Die ungünstigste Prognose zeigte sich bei Patienten mit einer gleichzeitigen Erhöhung beider Parameter (HR 4,75; medianes Gesamtüberleben 12,5 Monate vs. 223,97 Monate; p = 0,005).
Schlussfolgerung: Erhöhte präoperative CRP- und Fibrinogenspiegel sind signifikant mit einer schlechteren Prognose nach kurativ intendierter Resektion von pNET assoziiert. Insbesondere das präoperative Fibrinogen könnte einen vielversprechenden neuen prognostischen Biomarker bei dieser Erkrankung darstellen. Prospektive Studien sollten die Validierung dieser Entzündungsmarker in größeren Kohorten sowie deren Integration in Prognosemodelle prüfen. Zudem sind präklinische Modelle zu etablieren, um die biologischen Mechanismen hinter dem Zusammenhang zwischen Entzündungsparametern und Tumorprogression besser zu verstehen und neue Therapieansätze zu entwickeln.

14:39 – 14:45

KV 294 ​Exokrine Pankreasinsuffizienz bei nicht-resektablem Pankreaskarzinom – retrospektive Analyse zur klinischen Relevanz an einem universitären Zentrum

Anna Melzer (Ulm)

KV 294 ​Exokrine Pankreasinsuffizienz bei nicht-resektablem Pankreaskarzinom – retrospektive Analyse zur klinischen Relevanz an einem universitären Zentrum

A. Melzer1, T. Ettrich1, A. Kleger2, T. Seufferlein1, L. Perkhofer1

1Universitätsklinikum Ulm, Klinik für Innere Medizin 1, Ulm, Deutschland, 2Universitätsklinikum Ulm, Institut für molekulare Onkologie und Stammzellbiologie (IMOS), Ulm, Deutschland

Einleitung: Nach onkologischer Resektion eines Pankreaskarzinoms (PDAC) stellt die Enzymsubstitution (Pancreatic Enzyme Replacement Therapy, PERT) einen etablierten Therapiestandard dar. Bei nicht-resektablem PDAC ist dies bislang, u.a. wegen widersprüchlicher Evidenz des Nutzens einer PERT, nicht abschließend definiert. Eine unbehandelte exokrine Pankreasinsuffizienz (EPI) bei PDAC kann Sarkopenie fördern und damit relevanten Einfluss auf Lebensqualität und Behandlung nehmen. Daraus ergibt sich die Annahme, dass eine PERT positiven Einfluss auf Endpunkte wie Symptomlast, Ernährungsstatus und Gesamtüberleben haben könnte.
Ziele: Ziel ist die retrospektive Erfassung der Verordnungsraten von PERT und PPI, der Häufigkeit der fäkalen Elastase-Messung sowie weiterer klinischer Merkmale bei Patient:innen mit nicht-resektablem Pankreaskarzinom im UICC-Stadium IV an einem universitären Zentrum. Zudem sollen mögliche Zusammenhänge dieser Merkmale mit dem Überleben untersucht werden.
Methodik: Folgende klinische Merkmale von Patient:innen mit PDAC im UICC-Stadium IV wurden retrospektiv an einem universitären Zentrum erfasst: Geschlecht, Alter, BMI, mögliche EPI-Symptome bei Diagnosestellung des PDAC, fäkale Elastase, Verordnung von PERT und PPI, Vorliegen eines Diabetes mellitus, Systemtherapie (Erst- und Zweitlinientherapie), Überleben. In einer univariaten Analyse (Cox-Regression) wurden mögliche Assoziationen der erfassten Merkmale mit dem Überleben untersucht.
Ergebnis: 220 Patient:innen mit PDAC im UICC-Stadium IV wurden in die retrospektive Analyse eingeschlossen, davon 45% Frauen. Das mediane Alter bei PDAC-Diagnosestellung lag bei 67 Jahren, das mediane Überleben betrug 7 Monate (weitere Patientencharakteristika: siehe Tabelle 1).
Tabelle 1

Charakteristikum Kategorie N %
Lokalisation des Primärtumors Caput 87 39,5
Caput/Corpus 2 0,9
Corpus 49 22,3
Corpus/Cauda 31 14,1
Cauda 50 22,7
Keine Angabe 1 0,5
Chemotherapie Ja 198 90,0
Nein 22 10
Dokumentierte Symptome einer möglichen EPI bei Diagnosestellung des PDAC Ja 194 88,2
Nein 26 11,8
Messung der fäkalen Elastase-1 Erfolgt 30 13,6
Nicht erfolgt 190 86,4
Professionelle Ernährungsberatung Erfolgt 194 65,5
Nicht erfolgt 76 34,5
PERT Ja 75 34,1
Nein 145 65,9
Diabetes mellitus Ja 71 32,3
Nein 149 67,7
PPI Ja 171 77,7
Nein 49 22,3

88% zeigten mögliche EPI-Symptome, jedoch wurden nur 34% eine PERT verschrieben. Eine Elastase-Messung wurde bei 13% der Patient:innen durchgeführt. Das Überleben von Patient:innen mit PERT vs. ohne PERT (Abbildung 1A) unterschied sich nicht signifikant, auch nicht unter Berücksichtigung weiterer Merkmale wie BMI (Abbildung 1B), Diabetes mellitus (Abbildung 1C) oder Einnahme von PPI (Abbildung 1D).

Abbildung 1
Abbildung 1: Überlebenswahrscheinlichkeit von Patient:innen mit PDAC im UICC-Stadium IV unter Berücksichtigung von PERT (A), BMI (B), Diabetes mellitus (C) und PPI (D).
Schlussfolgerung: Die Diskrepanz zwischen den erfassten EPI-Symptomen und der niedrigen Verordnungsrate von PERT lässt auf eine mögliche Unterversorgung der untersuchten Patientengruppe (nicht-resektables PDAC, UICC-Stadium IV) schließen.

14:47 – 14:53

KV 295 Diabetes mellitus bei Patienten mit Pankreaskarzinom: Frühzeitige Diagnostik und Auswirkungen auf Körperzusammensetzung sowie exokrine Pankreasinsuffizienz

Johanna Becker

KV 295 Diabetes mellitus bei Patienten mit Pankreaskarzinom: Frühzeitige Diagnostik und Auswirkungen auf Körperzusammensetzung sowie exokrine Pankreasinsuffizienz

J. Becker1, K. Gollisch1, U. König1, V. Ellenrieder1, A. König1, C. Ammer-Herrmenau1, D. Raddatz1, S. Sulzer1

1Universitätsmedizin Göttingen, Klinik für Gastroenterologie, gastrointestinale Onkologie und Endokrinologie, Göttingen, Deutschland

Einleitung: Patienten mit duktalem Pankreaskarzinom (PDAC) entwickeln häufig Veränderungen der Körperzusammensetzung. Eine begleitende exokrine Pankreasinsuffizienz (EPI) kann diese Effekte weiter verstärken. Diabetes mellitus (DM) tritt bei 45–65 % der Patienten auf und ist mit metabolischen Veränderungen assoziiert, die je nach Diabetes-Einstellung variieren können.
Ziele: Ziel dieser Studie ist es, den Einfluss eines DM auf die Körperzusammensetzung sowie das Risiko einer EPI mit Berücksichtigung des DM-Verlauf bei Patienten mit PDAC zu untersuchen.
Methodik: In diese laufende prospektive unizentrische Studie wurden seit 05/2024 Patienten mit PDAC mit und ohne DM-Typ 2/3 vor oder in mindestens 3-monatigen Abstand zur letzten CTX eingeschlossen. Zu Studienbeginn und in dreimonatigen Abständen erfolgte eine bioelektrische Impedanzmessung (BIA) einschließlich Skelettmuskelanteil (SMA), Körperfettanteil (KFA) und Phasenwinkel (PW) sowie die Erfassung Diabetes-relevanter Parameter. Einmalig wurde die P-Elastase bestimmt.
Ergebnis: Bislang wurden 44 Patienten in die Studie eingeschlossen, davon 24 mit und 20 ohne DM. 39 Patienten befanden sich im palliativen (3 Rezidive) und fünf im adjuvanten Setting. 10 der Diabetiker erhielten eine Insulintherapie. Bei insgesamt 28 Patienten (14/14) konnten Verlaufsmessungen nach drei Monaten durchgeführt werden. Der mittlere HbA1c-Wert der Diabetiker lag zu Studienbeginn bei 7,9 %. Bei sechs Patienten wurde im Rahmen der Tumordiagnostik oder des Studieneinschlusses erstmals ein DM diagnostiziert, während zwei Nicht-Diabetiker im weiteren Verlauf einen DM entwickelten. Der durchschnittliche Body-Mass-Index lag initial bei 26,2 kg/m² (Diabetiker) vs. 23,28 kg/m² (Nicht-Diabetiker) und nach drei Monaten bei 24,34 kg/m² vs. 23,0 kg/m². Die BIA ergab zu Studienbeginn bzw. nach drei Monaten folgende Mittelwerte für Diabetiker vs. Nicht-Diabetiker: SMA 39,7% vs. 40,6% → 41,3% vs. 42,3%, KFA 26,2% vs. 24,7% → 21,9% vs. 21,1%, PW 4,03° vs. 4,18° → 3,82° vs. 3,67°. Die P-Elastase war bei 25% der Diabetiker vs. 35,7% der Nicht-Diabetiker erniedrigt und bei 58,3% vs. 28,6% nicht mehr messbar.
Schlussfolgerung: DM stellt eine relevante Komorbidität bei Patienten mit PDAC dar, weshalb ein strukturiertes Screening und eine regelmäßige Diabetes-Kontrolle im klinischen Verlauf inklusive der Körperzusammensetzung berücksichtigt werden sollte. Weiterführende Daten der Studie aus einer größeren Patientenkohorte bleiben abzuwarten.

14:55 – 15:01

KV 296 Einfluss von Diabetes mellitus auf den Verlauf von Neuropathien beim Pankreaskarzinom unter FOLFIRINOX-Therapie

Johanna Becker

KV 296 Einfluss von Diabetes mellitus auf den Verlauf von Neuropathien beim Pankreaskarzinom unter FOLFIRINOX-Therapie

J. Becker1, S. Glaubitz2, R. Zeng2, K. Gollisch1, I. Mäurer3, U. König1, V. Ellenrieder1, A. König1, C. Ammer-Herrmenau1, D. Raddatz1, S. Sulzer1

1Universitätsmedizin Göttingen, Klinik für Gastroenterologie, gastrointestinale Onkologie und Endokrinologie, Göttingen, Deutschland, 2Universitätsmedizin Göttingen, Klinik für Neurologie, Göttingen, Deutschland, 3Universitätsklinikum Jena, Klinik für Neurologie, Jena, Deutschland

Einleitung: Die Oxaliplatin-basierte Chemotherapie (O-CTX) ist eine etablierte Therapieoption beim duktalem Pankreaskarzinom (PDAC), welche im Verlauf häufig durch eine Chemotherapie-induzierte Neuropathie limitiert wird. Bei 45–65 % der PDAC-Patienten liegt bereits bei Erstdiagnose ein Diabetes mellitus (DM) als Risikofaktor einer Neuropathie vor.
Ziele: Ziel dieser prospektiven Studie ist es, den Einfluss von DM auf Entstehung und Verlauf einer Neuropathie unter O-CTX bei Patienten mit PDAC zu untersuchen.
Methodik: In dieser laufenden Studie wurden seit 05/2024 Patienten mit und ohne DM-Typ 2/3 vor oder mindestens 3-monatigen Abstand zur letzten O-CTX mit FOLFIRINOX eingeschlossen. Die Beurteilung der Neuropathie erfolgte zu Studienbeginn sowie in 3-monatigen Abständen mit dem Neuropathie Symptom Score (NSS), dem Neuropathie Defizit Score (NDS) und dem Total Neuropathy Score – short version (TNSs). Ergänzend wurden die CTCAE Kriterien für Neuropathien alle 2 Wochen erhoben.
Ergebnis: Bislang wurden 44 Patienten in die Studie eingeschlossen, davon 24 mit und 20 ohne DM. 39 befanden sich im palliativen Setting (darunter 3 Rezidive), 5 im adjuvanten Setting. Bei 16 Patienten mit und 11 ohne DM lagen Verlaufsdaten nach drei Monaten vor. Zu Studienbeginn ergaben sich folgende Median-Gesamt Scores: subjektiver NSS 0 vs. 0 (p = 0,261; jeweils Diabetiker vs. Nicht-Diabetiker), objektiver NDS 4 vs. 1 (p = 0,001) und objektiver TNSs 4 vs. 1 (p = 0,013). Nach drei Monaten lagen die Werte bei dem NSS 4 vs. 2 (p = 0,504), NDS 4,5 vs. 2 (p = 0,292) und TNSs 5 vs. 3 (p = 0,344). Innerhalb der Gruppen zeigte sich bei Diabetikern (NSS 0 → 4, p = 0,570; NDS 4 → 4,5, p = 0,119; TNSs 4 → 5, p = 0,088) und Nicht-Diabetikern ein Anstieg der Scores (NSS 0 → 2, p = 0,798; NDS 1 → 2, (p = 0,027; TNSs 1 → 3, p = 0,053). Nach CTCAE-Kriterien ergab sich in beiden Gruppen eine signifikante Erhöhung des medianen Schweregrads der therapieassoziierten Nebenwirkungen von 0 auf 2 (p = 0,002, p=0,002).
Schlussfolgerung: Diabetiker zeigen unter O-CTX keine schnellere Verschlechterung der Neuropathie, weisen jedoch bereits zu Therapiebeginn eine signifikant höhere Neuropathie-Belastung auf. Eine frühzeitige Diagnostik und Verlaufskontrolle sollte daher bei Patienten mit PDAC und Diabetes integriert werden. Langzeitergebnisse aus größeren Patientenkollektiven bleiben abzuwarten, um den Einfluss auf den weiteren Verlauf abschließend beurteilen zu können.

15:03 – 15:09

KV 297 Claudin-18.2 im Cholangiokarzinom: erste immunhistochemische Expressionsanalysen

Maximilian N. Kinzler

KV 297 Claudin-18.2 im Cholangiokarzinom: erste immunhistochemische Expressionsanalysen

M.N. Kinzler1, S. Gretser2, F. Schulze2, K. Bankov3, N. Abedin1, W.O. Bechstein4, F. Finkelmeier1, S. Zeuzem1, H. Reis2, P.J. Wild2, D. Walter1

1Goethe University Frankfurt, University Hospital, Medical Clinic 1, Germany, Frankfurt, Deutschland, 2Goethe University Frankfurt, Dr. Senckenberg Institute of Pathology, University Hospital, Frankfurt am Main, Frankfurt, Deutschland, 3Charité–Universitätsmedizin Berlin, Corporate Member of Freie Universität Berlin and Humboldt-Universität zu Berlin, Department of Pediatric Oncology and Hematology, Berlin, Deutschland, 4Department of General, Visceral, Transplant and Thoracic Surgery, University Hospital, Goethe University Frankfurt, Frankfurt, Deutschland

Einleitung: Die Anti-Claudin-18.2-Therapie (CLDN18.2) wurde kürzlich für die Behandlung von Adenokarzinomen des Magens oder des gastroösophagealen Übergangs zugelassen.
Ziele: Ziel der vorliegenden Studie war es, erstmalig die Expression von CLDN18.2 im Cholangiokarzinom (CCA) zu untersuchen, um festzustellen, ob es Subgruppen von Patienten gibt, die ebenfalls von einer Anti-CLDN18.2-Therapie profitieren könnten.
Methodik: Eine ‚tissue microarray‘ (TMA)-Kohorte aller CCA-Patienten, die zwischen 08/2005 und 12/2021 in kurativer Intention am Universitätsklinikum Frankfurt chirurgisch reseziert wurden, wurde immunhistochemisch mit dem VENTANA® CLDN18 [43-14A] Antikörper analysiert. Die Tumorpositivität für CLDN18.2 wurde wie folgt bestimmt: ≥75% der Tumorzellen mit mäßiger bis starker membranöser CLDN18-Färbung.
Ergebnis: Insgesamt wurden 160 CCA-Patienten immunhistochemisch untersucht. Von den Patienten wiesen 13.1 % (n=21) eine mäßige bis starke membranöse Färbung des Antikörpers VENTANA® CLDN18 auf, während 86.9 % (n=139) negativ waren. Die Analyse der Subtypen ergab starke Unterschiede in der CLDN18-Expression. Eine positive CLDN18-Färbung wurde bei 26.5 % (n=9/34) der perihilären (pCCA) und 7.4 % (n=7/95) der intrahepatischen (iCCA) Cholangiokarzinome beobachtet. Bei CCA-Patienten mit CLDN18-Expression wurden häufiger intraoperative Fernmetastasen (p=0.002), Lymphknotenmetastasen (p=0.008) und eine positive perineurale Invasion (Pn1) festgestellt (p=0.022).
Schlussfolgerung: Die vorliegende Studie zeigt, dass eine relevante Anzahl von Patienten mit CCA eine CLDN18.2-Positivität aufweist. Diese Ergebnisse unterstreichen die Notwendigkeit einer klinischen Studie, um die Wirksamkeit der Anti-CLDN18.2-Therapie bei CCA-Patienten zu testen.

15:11 – 15:17

KV 298 Molecular tumor board-guided personalized therapies in biliary tract cancer: a real-world analysis

15:19 – 15:25

KV 299 Therapie- und Krankheitsverlauf bei Patienten mit Cholangiokarzinom in der klinischen Praxis

Ann-Kristin Zöller (Hannover)

KV 299 Therapie- und Krankheitsverlauf bei Patienten mit Cholangiokarzinom in der klinischen Praxis

A.-K. Zöller1, S. Welland1, A. Saborowski1, A. Vogel1, C. Gerdes1, M. Bathon1, T. Wirth1, H. Wedemeyer1

1Medizinische Hochschule Hannover, Klinik für Gastroenterologie, Hepatologie, Infektiologie und Endokrinologie, Hannover, Deutschland

Einleitung: Cholangiokarzinome (CCA) weisen eine der schlechtesten Prognosen unter den gastrointestinalen Tumoren auf. Eine kurative Resektion ist oft nicht möglich und wenn doch, ist die Rezidivrate trotz etablierter adjuvanter Chemotherapie hoch. Die Behandlungsmöglichkeiten im fortgeschrittenen Stadium konnten zuletzt durch Immun- und zielgerichtete Therapie erweitert werden.
Ziele: Erfassung von Therapieverlauf und -Erfolg von CCAs in der klinischen Praxis

Methodik: Retrospektive Analyse klinischer Routinedaten von 794 Patienten mit CCA, diagnostiziert zwischen 2013 und 2022 und mitbehandelt an der Medizinischen Hochschule Hannover. Follow-Up bis 30.06.2023. Überlebenszeitanalysen mit Kaplan-Meier-Schätzer und Log-Rang-Test. Ergebnis: Bei einer medianen Follow-Up Zeit von 14 Monaten lag die 5-Jahres-Überlebensrate bei 14%. Bei 55,5% der Patienten fand eine Tumorresektion statt. Diese Patienten hatten ein deutlich besseres medianes Gesamtüberleben von 25,6 Monaten als Patienten mit primärer palliativer Systemtherapie (11,1 Monate) und ohne tumorspezifische Therapie (1,4 Monate). Ein Überlebensvorteil durch adjuvante Therapie zeigte sich nur bei R1- (HR=0,4 [0,22-0,73]; p = 0,002) oder N1-Status (HR=0,56 [0,36-0,85]; p = 0,006), nicht jedoch in der Gesamtkohorte (HR=0,80 [0,60-1,07]). Von 302 Patienten lagen Verlaufsdaten über eine palliative Systemtherapie vor. Durchschnittlich wurden 1,8 Therapielinien pro Patient durchgeführt. In der Erstlinie kamen zu 66% Gemcitabin/Cisplatin und in der Zweitlinie zu 55% FOLFIRI oder FOLFOX zum Einsatz. Im Beobachtungszeitraum 2018-2022 zeigte sich im Vergleich zu 2013-2017 keine Veränderung des medianen Gesamtüberlebens (HR=1 [0,85-1,17]). Immun- und zielgerichtete Therapien wurden nur bei jeweils 12% der Patienten mit palliativer Therapie eingesetzt, wobei berücksichtigt werden muss, dass die Kombination mit Durvalumab erst Ende 2022 eine EU-Zulassung erhielt. Insgesamt wurden bei 139 Patienten molekulargenetische Analysen des Tumors durchgeführt, wovon die Hälfte potenziell angreifbare molekulare Veränderungen hatte.
Schlussfolgerung: Die Therapieverläufe von Patienten mit CCA sind heterogen, die Gesamtprognose ist jedoch weiterhin eingeschränkt mit einem 5-Jahres-Überleben von 14%. Eine signifikante Verbesserung der Prognose ließ sich im jüngeren Beobachtungszeitraum nicht abgrenzen. Der Einfluss der Zulassungen der Immuntherapie-Kombinationen sowie im Bereich der zielgerichteten Therapie muss abgewartet werden.
Sankey-Diagramm der Therapiepfade von 302 Patienten mit Cholangiokarzinom über bis zu vier Therapielinien. Die Mehrheit erhält in der Erstlinie GemCis und in der Zweitlinie FOLFIRI oder FOLFOX.

15:27 – 15:33

KV 300 Safety of 30 min infusion of durvalumab (D) in combination with gemcitabine (G)-based chemotherapy in first-line treatment (tx) of advanced biliary tract cancer (aBTC): TOURMALINE early results

Jack Chater

KV 300 Safety of 30 min infusion of durvalumab (D) in combination with gemcitabine (G)-based chemotherapy in first-line treatment (tx) of advanced biliary tract cancer (aBTC): TOURMALINE early results

J. Chater1, D.-Y. Oh2, M. Ikeda3, A.R. He4, T. Macarulla5,6, A. Dane7, J.O. Park8, F. Dayyani9, G. Wetherill10, A. Stell11, B. Baur12, P. Sun12, A. Vogel13

1Klinikum Chemnitz, Chemnitz, Deutschland, 2Seoul National University College of Medicine, Division of Medical Oncology, Seoul, Korea, Republik, 3National Cancer Center Hospital East, Department of Hepatobiliary and Pancreatic Oncology, Kashiwa, Japan, 4Georgetown University, Division of Hematology and Oncology, Lombardi Comprehensive Cancer Center, Washington, DC, Vereinigte Staaten, 5Vall d’Hebron Institute of Oncology (VHIO), Barcelona, Spanien, 6Vall d’Hebron University Hospital, Barcelona, Spanien, 7Danestat Consulting Limited, Statistics, Macclesfield, Vereinigtes Königreich, 8Sungkyunkwan University School of Medicine, Department of Medicine, Seoul, Korea, Republik, 9University of California Irvine, Division of Hematology/Oncology, Orange, Vereinigte Staaten, 10AstraZeneca, Oncology Biostatistics Unit, Cambridge, Vereinigtes Königreich, 11AstraZeneca, Global Medical Affairs, Cambridge, Vereinigtes Königreich, 12AstraZeneca, Global Medical Affairs, Gaithersburg, Vereinigte Staaten, 13Princess Margaret Cancer Centre, Toronto General Hospital, Toronto, Kanada

Background: The global, single-arm, Phase 3b TOURMALINE study (NCT05771480) assesses the safety and efficacy of D + G-based chemotherapy as first-line tx in aBTC. Optimising care by reducing infusion time may benefit patients and physicians. Preliminary safety data, including 30 min infusion time with D are reported.
Methods: Participants (pts) received D 1500 mg (first infusion: 60 min; subsequent infusions: 30 min) with an investigator-selected G-based chemotherapy (D + G alone or in combination with oxaliplatin, carboplatin, cisplatin (cis), tegafur-gimeracil-oteracil (S-1), cis + S-1, or cis + nab-paclitaxel). D was administered every 3 weeks (Q3W) with a G-based chemotherapy Q3W (8 cycles of D) or Q4W with G + cis + S-1 Q2W (4 cycles of D). Data cut-off (DCO) for the predefined safety review was 27 March 2024.
Results: Overall, 62 pts could have received ≥2 cycles of D by DCO. Over 90% of pts were Asian with a median age of 66 years; 23% had locally advanced disease, 61% had metastatic disease and 16% had both. At screening, 24% of pts had ECOG PS 2, reflecting pts with more severe disease versus the TOPAZ-1 study (NCT03875235). Safety was comparable between 60 and 30 min D infusion time. One pt had an infusion reaction adverse event (AE) at Cycle 4 following D + G + oxaliplatin (possibly related to oxaliplatin). AEs and serious AEs (SAEs) were reported in 98% and 29% of pts, respectively, and 87% and 6% of pts had an AE or SAE possibly related to any study tx, respectively (Table). Grade 3 or 4 AEs and SAEs were reported in 68% and 24% of pts, respectively. AEs led to a D dose delay in 26% of pts and discontinuation in 2% of pts. Immune-related AEs (imAEs) occurred in 29% of pts (Table). There were no AEs with an outcome of death.
Conclusions: No difference in infusion-related safety between 30 and 60 min infusion time was observed. No new safety signals were seen with the addition of D to other chemotherapy regimens beyond TOPAZ-1 regimens.

Previously presented at ESMO ASIA 2024, Abstract 133O, Do-Youn Oh et. al. – Reused with permission

15:35 – 15:41

KV 301 Analysis of clinically actionable alterations in baseline tumor versus plasma samples in participants of the TOPAZ-1 study of durvalumab plus gemcitabine and cisplatin in advanced biliary tract cancer

Uwe Pelzer

KV 301 Analysis of clinically actionable alterations in baseline tumor versus plasma samples in participants of the TOPAZ-1 study of durvalumab plus gemcitabine and cisplatin in advanced biliary tract cancer

U. Pelzer1, D.-Y. Oh2, S. Qin3, L. Antonuzzo4, D. Tougeron5, C.-K. Lee6, B. Tan7, M. Ikeda8, J. Wang9, H.-Y. Lin10, Y. Lee11, P. McCoon12, J.W. Valle13

1Sana Klinikum Lichtenberg, Division for Internal Medicine IV: Hematology, Oncology, Palliative Care, Berlin, Deutschland, 2Seoul National University Hospital, Division of Medical Oncology, Department of Internal Medicine; Seoul National University College of Medicine, Cancer Research Institute, Seoul, Korea, Republik, 3Jinling Hospital, Cancer Center of Nanjing, Nanjing, China, 4Careggi University Hospital, Clinical Oncology Unit; University of Florence, Department of Experimental and Clinical Medicine, Florence, Italien, 5Poitiers University Hospital, Department of Gastroenterology and Hepatology, Poitiers, Frankreich, 6Yonsei University College of Medicine, Division of Medical Oncology, Department of Internal Medicine, Yonsei Cancer Center, Seoul, Korea, Republik, 7Washington University School of Medicine, Department of Medicine, St. Louis, MO, Vereinigte Staaten, 8National Cancer Center Hospital East, Department of Hepatobiliary and Pancreatic Oncology, Kashiwa, Japan, 9AstraZeneca, Oncology R&D, Late-stage Development, New York, NY, Vereinigte Staaten, 10AstraZeneca, Oncology Data Science, Waltham, MA, Vereinigte Staaten, 11AstraZeneca, Translational Medicine, Oncology R&D, Gaithersburg, MD, Vereinigte Staaten, 12AstraZeneca, Translational Medicine, Oncology R&D, Waltham, MA, Vereinigte Staaten, 13University of Manchester, Cholangiocarcinoma Foundation, Herriman, UT, USA and Division of Cancer Sciences, Manchester, Vereinigtes Königreich

Background: In the TOPAZ-1 study (NCT03875235), durvalumab combined with gemcitabine and cisplatin (D+GC) significantly improved overall survival (OS) in advanced biliary tract cancer patients compared to placebo with GC (P+GC). Updated results show a meaningful 3-year OS benefit for D+GC.
Objective: This exploratory analysis tested circulating tumor DNA (ctDNA) in plasma samples for blood-based detection of clinically actionable alterations (CAAs) and investigated the potential of this method to guide treatment decisions.
Methods: Baseline genomic alterations were retrospectively evaluated in tumor samples (FMI biomarker evaluable population [BEP], n=441) and plasma samples (GH BEP, n=643) using FoundationOne® (Foundation Medicine Inc., Cambridge, MA) and Guardant INFINITY™ (Guardant Health, Redwood City, CA) assays, respectively. Mutation prevalence and outcome associations were compared in the FMI BEP and GH BEP. The agreement of CAAs detected in tumor versus ctDNA were assessed in 419 pts with both sample types (FMI-GH BEP).
Results: The FMI BEP and GH BEP represented 64% and 94% of the TOPAZ-1 final analysis set (685 pts), respectively. The relative prevalence and overall mutational landscape detected in plasma ctDNA was consistent with that observed by tumor profiling, with the notable exception that genes harboring complex alterations were less frequently detected in ctDNA (e.g. ERBB2, FGFR2, CKDN2A/2B/MTAP). The most common alterations (>15% prevalence in both BEPs) observed were in TP53 (49%/52%), KRAS (24%/17%), and ARID1A (21%/16%) (in the FMI/GH BEPs, respectively). The relative prevalence of alterations within geographic and anatomic subgroups was similar in tumor versus plasma for most CAAs. The overall percent agreement in CAAs was ≥93%, and negative percent agreement was ≥97%. However, positive percent agreement was notably low for ERBB2 amplification (52%) and FGFR2 fusions (47%). OS hazard ratios for D+GC versus P+GC in the GH BEP were <1 for both CAAs and wild-type, except for ERBB2 amplification.
Conclusions: The FoundationOne® tumor assay and Guardant INFINITY™ ctDNA assay showed similar concordance and prevalence for simple mutations, suggesting that plasma ctDNA testing has potential utility in clinical practice. However, negative status by ctDNA for the complex alterations found in FGFR2 and ERBB2 would require further testing of tumors.

Previously presented at ASCO GI 2025, Abstract 625, Do-Youn Oh et al. – Reused with permission.

Kurzvortragssitzung

Infektionen abseits des Üblichen

16:10 – 17:30

Fr 19.09.

MZF 4

Open Accordion - Icon Close Accordion - Icon

Vorsitz: Stephan Schmid (Regensburg)

16:10 – 16:16

KV 312 The kinetics of HBsAg isoforms predicts response to Peg-IFN and BLV in patients with CHD

Heinrich Rodemerk (Leipzig)

KV 312 The kinetics of HBsAg isoforms predicts response to Peg-IFN and BLV in patients with CHD

H. Rodemerk1, M. Pfefferkorn1, E. Degasperi2, J. Seltmann1, L. Drechsel1, S. Sopena Santisteve3, M. Matz-Soja1,4, D. Glebe5, M. Buti3, R. Heyne6, P. Ingiliz7, M. Brunetto8,9, T. Berg1, P. Lampertico2,10, F. van Bömmel1

1Leipzig University Medical Center, Division of Hepatology, Department of Medicine II, Leipzig, Deutschland, 2Foundation IRCCS Ca’ Granda Ospedale Maggiore Policlinico, Division of Gastroenterology and Hepatology, Milan, Italien, 3Hospital Vall Hebron, CIBERehd, Universitat Autónoma de Barcelona, Internal Medicine, Hepatology Section, Barcelona, Spanien, 4Leipzig University, Rudolf-Schönheimer-Institute for Biochemistry, Leipzig, Deutschland, 5Justus Liebig University Giessen, Institute for Medical Virology, National Reference Centre for Hepatitis B viruses and Hepatitis D viruses, Giessen, Deutschland, 6Liver and Study Center Checkpoint, Berlin, Deutschland, 7Henri-Mondor University Hospital, Paris, Frankreich, 8University of Pisa, Dept of Clinical and Experimental Medicine, Pisa, Italien, 9Pisa University Hospital, Hepatology Unit and Laboratory of Molecular Genetics and Pathology of Hepatitis Viruses, Pisa, Italien, 10University of Milan, CRC “A. M. and A. Migliavacca” Center for Liver Disease, Department of Pathophysiology and Transplantation, Milan, Italien

Introduction: CHD can be treated with either the entry inhibitor bulevirtide (BLV) or the immune modulator pegylated interferon alpha-2a (PEG-IFN). However, predicting treatment response remains uncertain. The composition of hepatitis B surface antigen (HBsAg), including large (L), middle (M), and small (S) forms, has been associated with HBsAg loss in hepatitis B virus (HBV) mono-infection and clinical outcomes were associated with higher MHBs % at baseline (BL) in HBV/HDV-coinfected patients.
Aim: This study aims to evaluate the HBsAg isoform composition before and during antiviral treatment in CHD
Methods: We analysed a retrospective European multicentre real-world cohort receiving either 180µg/week PEG-IFN (n=56) or 2mg/day BLV (n=50). Patients were divided into groups according to their treatment response after 12 months: I) Non-response (NR) II) Partial response (PR), III) Complete response (CR), VI) Functional cure of HBV with HBsAg loss. HBsAg composition, HDV RNA and HBV DNA were quantified in serum samples (if available) at time points BL, 6, 12, 18, and 24 months.
Results: At BL, all groups exhibited similar levels of HDV RNA, HBsAg, LHBs, and MHBs. The proportions of MHBs were lower in patients responding to treatment compared to NR (7.1%), those with >2 log IU/mL HDV RNA decrease (4.7%), undetectable HDV RNA (6.5%), or HBsAg loss (3.9%), regardless of treatment. HBV/HDV-coinfected patients showed higher proportions of HBsAg isoforms in comparison to HBV-monoinfections. During both BLV and PEG-IFN treatment, levels of LHBs and MHBs significantly decrease. In contrast, no decrease was detected in NR during BLV or PEG-IFN treatment. In addition, a BL-cutoff for LHBs or MHBs can predict response to treatment; individuals with BL-levels of <380ng /mL LHBs and <130ng/mL MHBs showed a higher likelihood of achieving CR. In both treatment groups, ∆LHBs and ∆MHBs initially increase during the first 6 months of treatment but significantly decrease afterwards (Figure 1). In contrast, no significant decrease was found in patients with PR and NR.
Graph showing Difference of LHBs and MHBs between baseline and certain timepoints for Peg-IFN and Bulvirtide, using Boxplots
Conclusion: HBsAg isoforms may serve as biomarkers for evaluating treatment response in CHD. Patients with a complete response to either BLV or PEG-IFN treatment exhibit significant changes in their HBsAg isoforms and composition. Baseline levels of LHBs and MHBs may help predict treatment response. The potential role of HBsAg isoforms in monitoring CHD treatment warrants further investigation.

16:18 – 16:24

KV 313 Improvement in 3 noninvasive tests through 144 weeks of bulevirtide monotherapy in patients with chronic hepatitis Delta with and without virologic response

Katja Deterding (Hannover)

KV 313 Improvement in 3 noninvasive tests through 144 weeks of bulevirtide monotherapy in patients with chronic hepatitis Delta with and without virologic response

M. Brunetto1,2, S. Aleman3, P. Andreone4, P. Bogomolov5, V. Chulanov6, N. Geyvandova7, V. Morozov8, O. Sagalova9, T. Stepanova10, K. Deterding11, A. Lichtman12, R.-C. Mercier12, D. Manuilov12, M. Li12, J. Schulze zur Wiesch13, S. Zeuzem14, H. Wedemeyer15, P. Lampertico16,17

1University Hospital of Pisa, Hepatology Unit, Reference Center of the Tuscany Region for Chronic Liver Disease and Cancer, Pisa, Italien, 2University of Pisa, Clinical and Experimental Medicine, Pisa, Italien, 3Karolinska University Hospital/Karolinska Institutet, Infectious Diseases, Stockholm, Schweden, 4University of Modena and Reggio Emilia, Baggiovara Hospital, Internal Medicine, Modena, Italien, 5M.F. Vladimirsky Moscow Regional Research and Clinical Institute, Moscow, Russische Föderation, 6Sechenov University, Moscow, Russische Föderation, 7Stavropol Regional Hospital, Stavropol, Russische Föderation, 8LLC Medical Company Hepatolog, Samara, Russische Föderation, 9South Ural State Medical University, Chelyabinsk, Russische Föderation, 10LLC Clinic of Modern Medicine, Moscow, Russische Föderation, 11Hannover Medical School, Gastroenterology, Hepatology, Infectious Diseases and Endocrinology, Hannover, Deutschland, 12Gilead Sciences, Inc., Foster City, Vereinigte Staaten, 13Hepatology Outpatient Medical Clinic, University Hospital Hamburg-Eppendorf, Hamburg, Deutschland, 14University Hospital Frankfurt, Medicine, Frankfurt, Deutschland, 15Clinic for Gastroenterology, Hepatology, Infectious Diseases, and Endocrinology, Hannover Medical School, Hannover, Deutschland, 16Foundation IRCCS Ca’ Granda Ospedale Maggiore Policlinico, Division of Gastroenterology and Hepatology, Milan, Italien, 17CRC “A. M. and A. Migliavacca” Center for Liver Disease, University of Milan, Pathophysiology and Transplantation, MilanItal, Italien

Introduction: Bulevirtide (BLV) is a therapy for patients (pts) with chronic hepatitis delta (CHD); noninvasive tests (NITs) have shown improvements in hepatic function and liver disease burden with BLV treatment.
Objective: To assess changes in NITs through 3 years of BLV treatment.
Methodology: A longitudinal analysis was conducted using the Phase 3 MYR301 study data to determine the effect of BLV on results of alanine aminotransferase (ALT) level measurements and 3 NITs: fibrosis index based on 4 factors (FIB-4), aspartate aminotransferase to platelet ratio index (APRI), and liver stiffness measurement (LSM). Pts with CHD (n=150) were randomised to either no treatment for 48W followed by BLV 10 mg/d for 96W, or to BLV 2 or 10 mg/d for 144W. Change from baseline (BL) in NITs was assessed through 96W and 144W of treatment. This analysis was repeated for the pooled immediate treatment groups stratified by hepatitis delta virus (HDV) RNA response at W144: virologic responders (VR; undetectable HDV RNA or ≥2 log10 IU/mL decline in HDV RNA from BL), partial responders (PR; ≥1 log10 IU/mL but <2 log10 IU/mL decline in HDV RNA from BL), and nonresponders (NR; <1 log10 IU/mL decline in HDV RNA from BL). Pts with HDV RNA values missing at W144 were excluded. Results are reported as median (quartile [Q]1, Q3).
Results: Overall, 149 pts with CHD were treated with BLV monotherapy (BLV 2 mg [n=49]; BLV 10 mg [n=100]); 99 were randomised to immediate BLV treatment for 144W, and 50 in the BLV 10 mg group received treatment for 96W. NITs showed improvements in all cohorts after 48W of therapy, which were maintained through 144W of therapy. Changes from BL at W144 were: BLV 2 mg group, FIB-4, −0.52 (−1.19, −0.03); LSM, −4.00 (−6.00, −1.00) kPa; immediate BLV 10 mg treatment group, FIB-4, −0.43 (−0.94, −0.14); LSM, −3.80 (−6.70, −1.20) kPa; and BLV delayed treatment group at W144 after 96W of treatment, FIB-4, −0.27 (−0.62, 0.02); LSM, −3.15 (−7.00, −0.40) kPa (Table 1). Improvements at W144 in NITs were also seen across all viral response groups in the pooled immediate treatment cohort, including VR (n=74), PR (n=7), and NR (n=8) at W144 (Table 2). Similar patterns of improvement were seen in ALT levels and APRI scores.
Conclusion: Treatment with BLV monotherapy for up to 3 years improved NIT markers in pts with CHD and were greater with longer treatment duration. These improvements were seen even among the pts without viral response.
Table that shows median change from BL in ALT and NIT markers over 144 weeks by BLV treatment group

Table that shows median change from BL in ALT and NIT markers over 144 weeks by virologic response at week 144

16:26 – 16:32

KV 314 Patient-reported outcomes measuring an individual’s overall self-rated health after long-term treatment with bulevirtide 2 mg for chronic hepatitis delta in the phase 3 MYR301 trial

Katja Deterding (Hannover)

KV 314 Patient-reported outcomes measuring an individual’s overall self-rated health after long-term treatment with bulevirtide 2 mg for chronic hepatitis delta in the phase 3 MYR301 trial

M. Buti1,2, H. Wedemeyer3, S. Aleman4, V. Chulanov5, V. Morozov6, O. Sagalova7, T. Stepanova8, R.G. Gish9,10, A. Lloyd11, K. Deterding12, D. Manuilov13, A.H. Lau13, A.O. Osinusi13, M. Rock13, C. Kim13, S. Pandey14, B. Singh14, P. Lampertico15,16

1Liver Unit, Hospital Universitario Vall d’Hebron, Barcelona, Spanien, 2Centro de Investigación Biomédica en Red de Enfermedades Hepáticas y Digestivas (CIBER-EHD) del Instituto Carlos III, Madrid, Spanien, 3Hannover Medical School, Clinic for Gastroenterology, Hepatology, Infectious Diseases, and Endocrinology, Hannover, Deutschland, 4Karolinska University Hospital/Karolinska lnstitutet, Department of Infectious Diseases, Stockholm, Schweden, 5Sechenov University, Department of Infectious Diseases, Moscow, Russische Föderation, 6Hepatolog, LLC, Samara, Russische Föderation, 7South Ural State Medical University, Chelyabinsk, Russische Föderation, 8Clinic of Modern Medicine, Moscow, Russische Föderation, 9Robert G. Gish Consultants, LLC, California, Vereinigte Staaten, 10Hepatitis B Foundation, Pennsylvania, Vereinigte Staaten, 11Acaster Lloyd Consulting Ltd., London, Vereinigtes Königreich, 12Hannover Medical School, Department of Gastroenterology, Hepatology, Infectious Diseases and Endocrinology, Hannover, Deutschland, 13Gilead Sciences, Inc., California, Vereinigte Staaten, 14Pharmacoevidence Private Limited, Punjab, Indien, 15Foundation IRCCS Ca’ Granda Ospedale Maggiore Policlinico, Division of Gastroenterology and Hepatology, Milan, Italien, 16CRC “A. M. and A. Migliavacca” Center for Liver Disease, University of Milan, Department of Pathophysiology and Transplantation, Milan, Italien

Introduction: Patients with chronic hepatitis delta (CHD) who received 48 weeks (W) of bulevirtide (BLV) 2 mg monotherapy previously reported greater improvements in their perceived health status compared with patients who received no treatment.
Objectives: To analyse EQ-5D visual analogue scale (VAS) outcomes at 144W of BLV 2 mg treatment among patients with CHD in an ongoing clinical investigation.
Methodology: Patients were enrolled in the Phase 3, randomised (1:1:1), multicentre, open-label, parallel-group MYR301 trial (n = 150) and received either BLV 2 mg once daily (QD; n = 49) or BLV 10 mg QD (n = 50) for 144W, or delayed treatment for 48W followed by BLV 10 mg QD for 96W. Patients completed the EQ-5D VAS on their own at key time points, including baseline (BL), 24W, 48W, 96W, and 144W. High scores on the EQ-5D VAS (range, 0–100) reflect the patients’ best perceived imaginable health state. Mean (95% CI) scores and least squares mean (LSM) changes from BL are reported; changes from BL where the 95% CI included 0 were considered not statistically significant. Subgroup analyses of patients by cirrhosis status at BL are also reported.
Results: Patient characteristics and mean EQ-5D VAS scores (range, 72.0–73.9) were similar between treatment groups at BL. By 144W, 12 patients dropped out of the study, with no discontinuations due to study treatment. For patients who received BLV 2 mg (n = 44 at W144), the mean (95% CI) EQ-5D VAS score at W144 was 85.5 (81.14–89.91); LSM (95% CI) score improvement from BL to W144 was 12.1 (7.32–16.87) and was considered statistically significant. LSM (95% CI) EQ-5D VAS score improvement from BL reported at W144 of BLV 2 mg treatment was greater than the LSM improvements from BL to W48 and W96. Among patients with cirrhosis, LSM (95% CI) EQ-5D VAS score improvement from BL to W144 (12.5 [5.32–19.61]; n = 21) was considered significant and was greater than the LSM improvements from BL to W48 and W96. Likewise, for patients without cirrhosis, LSM (95% CI) EQ-5D VAS score improvement from BL to W144 (11.8 [5.20–18.39]; n = 23) was considered significant and was greater than those at W48 and W96.
Conclusion: Patients with CHD with and without cirrhosis who were treated with BLV 2 mg for up to 144W reported improvements in their perceived health state compared with BL, and 48W and 96W of treatment, demonstrating the long-term benefits of BLV monotherapy.

16:34 – 16:40

KV 315 Predictors of undetectable hepatitis delta virus RNA at 48 weeks after end of treatment with bulevirtide monotherapy in the MYR301 study

Katja Deterding (Hannover)

KV 315 Predictors of undetectable hepatitis delta virus RNA at 48 weeks after end of treatment with bulevirtide monotherapy in the MYR301 study

S. Aleman1, M. Brunetto2,3, A. Blank4, P. Andreone5, P. Bogomolov6, V. Chulanov7, N. Mamonova8, N. Geyvandova9, V. Morozov10, O. Sagalova11, T. Stepanova12, K. Deterding13, A. Lichtman14, R.-C. Mercier14, D. Manuilov14, S. Arterburn14, J. Schulze zur Wiesch15, M. Cornberg13, S. Zeuzem16, P. Lampertico17,18, H. Wedemeyer13

1Karolinska University Hospital/Karolinska Institutet, Department of Infectious Diseases, Stockholm, Schweden, 2University Hospital of Pisa, Hepatology Unit, Reference Center of the Tuscany Region for Chronic Liver Disease and Cancer, Pisa, Italien, 3University of Pisa, Department of Clinical and Experimental Medicine, Pisa, Italien, 4Heidelberg University Hospital, Department of Clinical Pharmacology and Pharmacoepidemiology, Heidelberg University Medical Faculty, Heidelberg, Deutschland, 5Baggiovara Hospital, Division of Internal Medicine, University of Modena and Reggio Emilia, Modena, Italien, 6M.F. Vladimirsky Moscow Regional Research and Clinical Institute, Moscow, Russische Föderation, 7Sechenov University, Moscow, Russische Föderation, 8FSBI National Research Medical Center for Phthisiopulmonology and Infectious Diseases of the Ministry of Health of the Russian Federation, Moscow, Russische Föderation, 9Stavropol Regional Hospital, Stavropol, Russische Föderation, 10LLC Medical Company Hepatolog, Samara, Russische Föderation, 11South Ural State Medical University, Chelyabinsk, Russische Föderation, 12LLC Clinic of Modern Medicine, Moscow, Russische Föderation, 13Hannover Medical School, Clinic for Gastroenterology, Hepatology, Infectious Diseases, and Endocrinology, Hannover, Deutschland, 14Gilead Sciences, Inc., Foster City, Vereinigte Staaten, 15University Hospital Hamburg-Eppendorf, Hepatology Outpatient Medical Clinic, Hamburg, Deutschland, 16Goethe University Hospital, Frankfurt, Deutschland, 17Foundation IRCCS Ca’ Granda Ospedale Maggiore Policlinico, Division of Gastroenterology and Hepatology, Milan, Italien, 18University of Milan, CRC “A. M. and A. Migliavacca” Center for Liver Disease, Department of Pathophysiology and Transplantation, Milan, Italien

Introduction: In MYR301, a Phase 3 study evaluating bulevirtide (BLV) monotherapy for treatment of chronic hepatitis delta (CHD) for 2–3 years, a subset of patients who achieved undetectable hepatitis delta virus (HDV) RNA by end of treatment (EOT) maintained undetectable viraemia at 48 weeks (W) of follow-up after EOT (FU48).
Objectives: To evaluate predictors of sustained HDV RNA undetectability through FU48 after 96W or 144W of BLV treatment.
Methodology: Data were analysed from 149 patients in MYR301 who were randomised to immediate treatment with BLV 2 or 10 mg/d for 144W, or to 48W of no treatment followed by BLV 10 mg/d for 96W. All patients were to be followed through FU48. Logistic regression modelling (adjusted for treatment group) was performed to examine potential predictors of sustained HDV RNA undetectability (defined as less than the lower limit of quantitation [target not detected at FU in patients with available data]) through FU48 in those with undetectable viraemia at EOT.
Results: Baseline (BL) characteristics were similar across arms. Overall, 65/149 (44%) patients achieved undetectable HDV RNA at EOT, of whom 23/64 (36%) with available FU HDV RNA data had sustained undetectability through FU48. Sustained undetectability rates were higher in the immediate treatment arms vs the delayed treatment arm. BL predictors of sustained undetectability posttreatment (PT) included BL HDV RNA less than a median of 4.5 log10 IU/mL (odds ratio [OR]: 6.2; 95% CI [1.9, 20.8]; P = .003) and lower BL hepatitis B surface antigen (HBsAg) level (OR: 0.3 per log10 IU/mL; 95% CI [0.1, 0.8]; P = .019). On-treatment predictors included greater duration of continuous undetectability at EOT (OR per additional week: 1.0; 95% CI [1.0, 1.1]; P < .0001), HBsAg loss or decrease by ≥1 log10 IU/mL (OR: 7.2; 95% CI [1.2, 42.3]; P = .030), and W144 antidrug antibody incidence (OR: 10.2; 95% CI [1.9, 55.7]; P = .008). Proportions of patients with sustained PT undetectability were 9/10 (90%) in those with ≥96W of undetectability at EOT, 11/22 (50%) in those with ≥48 to <96W, and 3/32 (9%) in those with <48W. BL cirrhosis was not a predictor of sustained PT undetectability; 13/32 (41%) with cirrhosis had sustained undetectability vs 10/32 (31%) without cirrhosis.
Conclusion: In patients with CHD treated with BLV monotherapy for 96W or 144W, early and sustained HDV RNA undetectability predicted sustained undetectability during FU. Note: PL and HW contributed equally.

16:42 – 16:48

KV 316 Final results of MYR301: a randomised phase 3 study evaluating the efficacy and safety of up to 144 weeks of bulevirtide monotherapy for chronic hepatitis Delta and 96 weeks of posttreatment follow-up

Katja Deterding (Hannover)

KV 316 Final results of MYR301: a randomised phase 3 study evaluating the efficacy and safety of up to 144 weeks of bulevirtide monotherapy for chronic hepatitis Delta and 96 weeks of posttreatment follow-up

H. Wedemeyer1, S. Aleman2, A. Blank3, P. Andreone4, P. Bogomolov5, V. Chulanov6, N. Mamonova7, N. Geyvandova8, V. Morozov9, O. Sagalova10, T. Stepanova11, A. Berger12, S. Ciesek12, K. Deterding13, A. Lichtman14, D. Manuilov14, R.-C. Mercier14, S. Arterburn14, F. Christian-Cox14, S. Tseng14, A. Osinusi14, J. Sculze zur Wiesch15, M. Cornberg16, S. Zeuzem17, M. Brunetto18,19, P. Lampertico20,21

1Clinic for Gastroenterology, Hepatology, Infectious Diseases, and Endocrinology, Hannover, Deutschland, 2Karolinska University Hospital/Karolinska Institutet, Infectious Diseases, Stockholm, Schweden, 3Medical Faculty Heidelberg/Heidelberg University Hospital, Clinical Pharmacology and Pharmacoepidemiology, Heidelberg, Deutschland, 4Baggiovara Hospital, University of Modena and Reggio Emilia, Internal Medicine, Modena, Italien, 5M.F. Vladimirsky Moscow Regional Research and Clinical Institute, Moscow, Russische Föderation, 6Sechenov University, Moscow, Russische Föderation, 7FSBI National Research Medical Center for Phthisiopulmonology and Infectious Diseases of the Ministry of Health of the Russian Federation, Moscow, Russische Föderation, 8Stavropol Regional Hospital, Stavropol, Russische Föderation, 9LLC Medical Company Hepatolog, Samara, Russische Föderation, 10South Ural State Medical University, Chelyabinsk, Russische Föderation, 11LLC Clinic of Modern Medicine, Moscow, Russische Föderation, 12External partner site Frankfurt, German Center for Infection Research (DZIF), Institute for Medical Virology, University Hospital Frankfurt, Goethe University Frankfurt, Frankfurt, Deutschland, 13Hannover Medical School, Gastroenterology, Hepatology, Infectious Diseases and Endocrinology, Hannover, Deutschland, 14Gilead Sciences, Inc., Foster City, Vereinigte Staaten, 15Hepatology Outpatient Medical Clinic, University Hospital Hamburg-Eppendorf, Hamburg, Deutschland, 16Clinic for Gastroenterology, Hepatology, Infectious Diseases, and Endocrinology, Hannover Medical School, Hannover, Deutschland, 17University Hospital, Goethe University Frankfurt, Medicine, Frankfurt, Deutschland, 18Hepatology Unit, Reference Center of the Tuscany Region for Chronic Liver Disease and Cancer, University Hospital of Pisa, Pisa, Italien, 19University of Pisa, Clinical and Experimental Medicine, PisaItal, Italien, 20Foundation IRCCS Ca’ Granda Ospedale Maggiore Policlinico, Division of Gastroenterology and Hepatology, Milan, Italien, 21CRC “A. M. and A. Migliavacca” Center for Liver Disease, University of Milan, Pathophysiology and Transplantation, MilanItal, Italien

Introduction: Bulevirtide (BLV) 2 mg/day (d) is approved in Europe, Australia, and Russia for the treatment of compensated chronic hepatitis delta (CHD). In MYR301, a Phase 3 study evaluating BLV monotherapy for 2 to 3 years, BLV treatment was safe and effective through 144 weeks (W).
Objective: To present the final MYR301 results through follow-up at 96W after end of treatment (EOT; FU96).
Methodology: Patients (pts) with CHD and compensated liver disease (N = 150) were randomised to immediate treatment with BLV 2 or 10 mg/d for 144W or to 48W of delayed treatment (DT) followed by BLV 10 mg/d for 96W (DT/10 mg) and 96W posttreatment FU. Efficacy endpoints included virologic response (VR; undetectable hepatitis delta virus [HDV] RNA or ≥2 log10 IU/mL decline from baseline), combined response (CR; VR and alanine aminotransferase [ALT] normalisation), ALT normalisation, undetectable HDV RNA, and hepatitis B surface antigen (HBsAg) loss. The primary analysis was intention to treat with missing data considered failures.
Results: CR and HDV RNA undetectability rates in the 2, 10, and DT/10 mg groups decreased from EOT to FU96 (Figure 1). Of the 64 pts across all groups with undetectable HDV RNA at EOT and available FU data, 23 (36%) had sustained undetectable HDV RNA through FU96, and 41 pts had viral relapse, which occurred in 38 (93%) by FU24 and none after FU48. Sustained posttreatment undetectable HDV RNA was more frequent in pts with longer on-treatment continuous HDV RNA undetectability at EOT (Figure 2). Posttreatment HBsAg loss occurred in 3 pts. In the posttreatment period, 14/142 (10%) pts had ALT >10 × the upper limit of normal (ULN), which occurred by FU24 in most (10/14, 71%). Posttreatment hepatic serious adverse events (SAEs) were reported in 20/142 (14%) pts; 7 had ALT >10 × ULN, 15 had HDV rebound (HDV RNA increased ≥2 log10 IU/mL from EOT), and 4 had liver-related hospitalisation; 1 additional pt experienced nonserious ascites. The hepatic SAEs resolved in 17/20 (85%) pts, ≥16 of whom restarted BLV.
Conclusion: In pts with CHD treated with BLV monotherapy for 96W or 144W, response rates decreased after treatment discontinuation. However, a subset of pts maintained undetectable HDV RNA for 2 years posttreatment, which was associated with longer duration of continuous on-treatment undetectability. Posttreatment viral relapse occurred only in the first year after EOT and may be associated with hepatitis flares.
Figure 1 - line graph that shows the number of patients on the y-axis and treatment week on the x-axis; efficacy at EOT and during posttreatment follow-up

Figure 2 - bar graph that shows HDV RNA relapse with duration of continuous on-treatment undetectable HDV RNA at EOT on the x-axis and proportion of patients with HDV RNA TND at EOT and week 48 (%) on the y-axis

16:50 – 16:56

KV 317 Impfakzeptanz und Impfbarrieren bei Patient:innen mit chronisch-entzündlich Darmerkrankungen in Deutschland: Ein Mixed-Methods-Ansatz unter Einbeziehung von GKV-Routinedaten und qualitativen Interviews mit Patient:innen und Ärzt:innen

Anika Franz

KV 317 Impfakzeptanz und Impfbarrieren bei Patient:innen mit chronisch-entzündlich Darmerkrankungen in Deutschland: Ein Mixed-Methods-Ansatz unter Einbeziehung von GKV-Routinedaten und qualitativen Interviews mit Patient:innen und Ärzt:innen

A. Franz1, K. Hellwig2, T. Grüter2, T. Oganowski2, S. Stock3, D. Simic3, A. Shukri3, U. Kiltz2, M. Zacharopoulou2, H.C. Vollmar2, I. Otte2, A. Suslow2, R. Lauer2, N. Timmesfeld2, K. Meiszl2, R. Denz2, M.C. Tokic2, J. Basten2, U. Marschall4, J. Saam4, C. Schumacher4, H. van de Sand3, I. Meyer3, A. Stallmach1

1Universitätsklinik Jena, Klinik für Innere Medizin IV, Jena, Deutschland, 2Ruhr-Universität Bochum, Bochum, Deutschland, 3Universität zu Köln, Köln, Deutschland, 4BARMER, Wuppertal, Deutschland

Einleitung: Patient:innen mit chronisch-entzündlichen Darmerkrankungen (CED) und immunsuppressiver Therapie haben ein deutlich erhöhtes Infektionsrisiko. Trotz der Wichtigkeit eines ausreichenden Impfschutzes bei dieser vulnerablen Patient:innengruppe, zeigen Daten eine unzureichende Vakzinierungsrate. Ziel der Studie war die Analyse von Impfquoten und potentiellen Hindernissen.
Methoden: Das Innovationsfonds-Projekt „VAC-MAC – Impf- und Infektraten bei Multipler Sklerose, chronisch-entzündlicher rheumatischer oder Darmerkrankungen“ (https://vac-mac.de) untersucht Abrechnungsdaten der BARMER und analysiert die Influenza-Impfquote (2019) und deren Einflussfaktoren bei Patienten mit M. Cohn (MC) und C. ulcerosa (CU). Zusätzlich wurden insgesamt 30 halbstrukturierte Interviews mit Patient:innen, Gastroenterolog:innen und Hausärzt:innen durchgeführt.
Ergebnisse: Es wurden insgesamt 63.186 CED-Patient:innen (MC 27.236 / CU 35.950) identifiziert. Im Jahr 2019 erhielten nur 26 % der Patient:innen mit CED eine jährliche Influenza-Vakzinierung. Eine höhere Impfquote zeigte sich bei Frauen (27,2 %) und älteren Patient:innen (> 60 Jahre, 44 %). Die Vakzinierungsraten in westdeutschen Bundesländern betrugen nur 22,5 %, in den Stadtstaaten Berlin, Hamburg und Bremen war die Rate mit 29,2% höher. Die höchsten Vakzinierungsraten zeigten sich in ostdeutschen Bundesländern mit 41,4 %. Überraschenderweise waren nur 24,1 % der Patient:innen mit Biologika-Therapie geimpft. Die qualitative Befragung zeigte folgende Impfhindernisse auf: 1) Mangel an verlässlichen Informationen / unseriöse Informationsquellen, 2) unklare Rollen sowie zu wenig Kommunikation zwischen behandelnden Gastroenterolog:innen und Hausärzt:innen, 3) unzureichendes / schwer verständliches Informationsmaterial 5) Unsicherheit bezüglich spezifischer Impfempfehlungen für Patient:innen mit Autoimmunerkrankungen und Immunmodulation.
Schlussfolgerung: Die Influenza-Impfquote bei Patient:innen mit CED war im Jahr 2019 gering. Impfhindernisse können sowohl auf ärztlicher (Impfaffinität, Zusammenarbeit Haus- und Fachärzt:innen) als auch auf Patient:innenseite (Wissensdefizit, Ängste) gefunden werden. Strukturelle und gesundheitspolitische Faktoren können ebenfalls eine Rolle bei der unzureichenden Umsetzung von Impfempfehlungen spielen.Abbildung 1: Einflussfaktoren auf die Influenza-Impfquote bei Patient:innen mit CED
Abbildung 1: Einflussfaktoren auf die Influenza-Impfquote bei Patient:innen mit CED

16:58 – 17:04

KV 318 Komorbiditäten als wesentlicher Risikofaktor für einen rekurrierenden Verlauf einer Clostridioides difficile Infektion

Robert Jänsch (Magdeburg)

KV 318 Komorbiditäten als wesentlicher Risikofaktor für einen rekurrierenden Verlauf einer Clostridioides difficile Infektion

R. Jänsch1, N. Hipler1, J. Prestel1, P. Malfertheiner2, A. Link1

1Otto-von-Guericke Universität Magdeburg, Klinik für Gastroenterologie, Hepatologie und Infektiologie, Magdeburg, Deutschland, 2Ludwig-Maximilians-Universität München, Klinikum der Universität München, München, Deutschland

Einleitung: Clostridioides difficile Infektion (CDI) ist eine der häufigsten Ursachen nosokomialer Diarrhoe mit hoher Morbidität und Mortalität. Insbesondere rekurrierende und therapierefraktäre Krankheitsverläufe stellen eine besondere Herausforderung im Management dieser Patienten dar. Die Identifizierung von Risikopatienten, die solchen Verläufen entwickeln, könnte das Management, z.B. durch den Einsatz neuer und wirksamer Therapien bei Patienten mit CDI verbessern.
Ziele: Ziel dieser Arbeit war es, den Zusammenhang zwischen dem Vorliegen von Komorbiditäten und dem Verlauf einer CDI zu untersuchen.
Methodik: In einer retrospektiven, monozentrischen Kohortenstudie eines tertiären Zentrums im Zeitraum von 10 Jahren wurden Patienten mit CDI-bedingten Krankenhausaufenthalten untersucht. In die Studie wurden 336 Patienten mit verfügbaren Informationen zu Komorbiditäten (Divertikulose, biliäre Erkrankungen (Cholezysto-, Choledocholithiasis, Cholezystitis, Cholangitis sowie Gallengangsektasie), chronisch entzündliche Darmerkrankungen (CED), Leberzirrhose, Maligne Erkrankungen) und der Verlauf einer rekurrierenden CDI (rCDI) vs. einer nicht rekurrierenden CDI (nrCDI) eingeschlossen. Auch dialysepflichtige oder immunsupprimierte Patienten galten als komorbide.
Ergebnis: Von den 336 in die Studie eingeschlossenen Patienten hatten 227 (67,6%) mindestens eine Komorbidität. Die häufigsten waren CED (8,9%), eine maligne Neoplasie (30,4%), eine Divertikulose (15,8%), eine biliäre Erkrankung (19,4%) und eine Leberzirrhose (14,3%). Eine rCDI war bei Patienten mit Divertikulose und biliären Erkrankungen häufiger. Eine Divertikulose hatten 24,4% der Patienten mit rCDI vs. 12,6% der nrCDI Fälle (OR 2,24, 95% CI 1,22-4,17). Biliäre Erkrankungen hatten 26,7% der rCDI Patienten und 16,7% der nrCDI Patienten (OR 1,82, 95% CI 1,01-3,26). Keine signifikanten Unterschiede im Vorliegen einer rCDI wurden bei CED (OR 0.66, 95% CI 0.27–1.65), malignen Neoplasien (OR 1.13, 95% CI 0.67–1.88) und Leberzirrhose (OR 0.79, 95% CI 0.38–1.61) gefunden.
Schlussfolgerung: Divertikulose und biliäre Erkrankungen stellen unabhängige Risikofaktoren für eine rCDI dar, während andere häufige Komorbiditäten nicht signifikant mit einem Rezidiv assoziiert sind. Eine strukturierte Identifikation relevanter Risikokonstellationen könnte dazu beitragen, geeignete Patienten für ein optimiertes Management der CDI zu identifizieren und so das Risiko für rCDI zu verringern.

17:06 – 17:12

KV 319 Schnelle und präzise Diagnostik von Infektionen mittels Oxford Nanopore Sequenzierung von mikrobieller zellfreier DNA

Micha Banz (Jena)

KV 319 Schnelle und präzise Diagnostik von Infektionen mittels Oxford Nanopore Sequenzierung von mikrobieller zellfreier DNA

M. Banz1,2, C. Brandt2, M.W. Pletz2

1Universitätsklinikum Jena, Klinik für Innere Medizin IV – Gastroenterologie, Hepatologie, Infektiologie, Jena, Deutschland, 2Universitätsklinikum Jena, Institut für Infektionsmedizin und Krankenhaushygiene, Jena, Deutschland

Einleitung: Die mikrobiologische Diagnostik von Infektionen stößt mit konventionellen Verfahren häufig an ihre Grenzen: Blutkulturen benötigen Zeit, bleiben häufig negativ und insbesondere gelingt unter laufender antibiotischer Therapie meist kein Erregernachweis mehr. Die Analyse mikrobieller zellfreier DNA (mcfDNA) erlaubt den direkten Nachweis pathogener Erreger – auch dann, wenn keine vitalen Erreger mehr zirkulieren und der Infektfokus unbekannt ist. Aktuelle Studien zeigen Vorteile in höherer Geschwindigkeit und Präzision bis zur Diagnosestellung im Vergleich zur konventionellen, kultubasierten Diagnostik.
Ziele: Ziel dieses laufenden Projekts ist die Etablierung und klinische Erprobung einer Nanopore-basierten Diagnostikplattform zur Detektion mcfDNA aus Patientenblut. Die Methode soll als komplementäres Verfahren zu konventionellen mikrobiologischen Techniken evaluiert und hinsichtlich diagnostischer Aussagekraft und klinischer Anwendbarkeit bewertet werden.
Methodik: Es wurden bislang 18 Patient:innen mit klinischem Infektionsverdacht eingeschlossen (Fieber und/oder erhöhte Infektparameter). Die Blutentnahme erfolgt parallel zur Abnahme von Blutkulturen in Monovetten zur cfDNA-Konservierung. Nach Zentrifugation wird das Plasma zur Isolierung von mcfDNA verwendet. Die Sequenzierung erfolgt auf der GridION-Plattform (Oxford Nanopore Technologies). Für die bioinformatische Analyse werden die bioinformatischen Tools Kraken2 zur taxonomischen Zuordnung und später Bracken zur Abundanzabschätzung eingesetzt.
Ergebnis: In 8 von 18 Fällen blieb der Erregernachweis sowohl durch mcfDNA-Sequenzierung als auch durch konventionelle mikrobiologische Verfahren aus. In 9 Fällen bestand Übereinstimmung zwischen beiden Methoden. In einem Fall gelang der alleinige Nachweis von Staphylococcus aureus durch mcfDNA-Sequenzierung, der per PCR aus post-operativem Material bestätigt wurde. In den positiven Fällen zeigte sich eine klare Erregerdominanz gegenüber anderer bakterieller mcfDNA aus Hautkontaminationen oder zurückliegenden Infekten.
Schlussfolgerung:Die Sequenzierung von mcfDNA mittels Nanopore-Technologie stellt eine schnelle, empfindliche und kulturunabhängige Ergänzung zur konventionellen mikrobiologischen Diagnostik dar. Sie bietet diagnostischen Mehrwert insbesondere bei antibiotisch vorbehandelten Patient:innen und besitzt hohes Potenzial für den Einsatz in der klinischen Routine.

Weitere Patient:innen werden eingeschlossen, Ergebnisse folgen zeitnah.

Abbildung 1: Schematische Darstellung des Workflows: Eigenschaften von mcfDNA, Sequenzierung mit Nanopore-Technologie, bioinformatische Auswertung.

Abbildung 2: Grafische Übersicht der bisher untersuchten 18 Patient:innenfälle mit systemischem Infektionsverdacht. Acht Fälle zeigen keinen Erregernachweis in konventioneller Mikrobiologie und mcfDNA-Sequenzierung, neun Fälle weisen eine Übereinstimmung beider Methoden auf. In einem Fall gelingt der Erregernachweis ausschließlich durch mcfDNA-Sequenzierung.

Abbildung 3: Alignment von mcfDNA-Reads gegen das Genom von Enterobacter hormaechei mit deutlicher Dominanz gegenüber vereinzelten Reads anderer Spezies.

17:14 – 17:20

KV 320 Characterization of SP600126 for pharmacological inhibition of c-Jun N-terminal kinase activity in Schistosoma mansoni infected mice

Lukas Knedla (Gießen)

KV 320 Characterization of SP600126 for pharmacological inhibition of c-Jun N-terminal kinase activity in Schistosoma mansoni infected mice

L. Knedla1, F. Stettler1, M. Roderfeld1, F.H. Falcone2, B.P. Moreira2, V. von Bülow1, C.G. Grevelding2, E. Roeb1

1Justus-Liebig-Universität, Zentrum für Innere Medizin – Schwerpunkt Gastroenterologie, Gießen, Deutschland, 2Justus-Liebig-Universität, BFS – Institut für Parasitologie, Gießen, Deutschland

Introduction: Schistosomiasis is a neglected tropical disease, affecting over 250 mio. people worldwide. Paired adult S. mansoni living in the mesenteric vein system produce about 300 eggs daily, eventually causing granulomatous liver-fibrosis. S. mansoni-infection permanently induces c-Jun, responsible for hepatocellular regeneration, proliferation and apoptosis. c-Jun is activated via phosphorylation by its specific kinase JNK. Prior to animal experiments, the inhibitory effect of the JNK-inhibitor SP600125 on S. mansoni SmJNK had to be characterized and compared to human hJNK.
Aims: The study intended to specify comparability and differences in the inhibitory potential of SP600125 on hJNK1 and SmJNK and whether this affects the vitality of adult S. mansoni.
Methods: The inhibitors binding to both organisms JNK was analysed in silico by molecular docking. Subsequently, a cellular thermal shift assay (CETSA) was performed to determine whether SP600125 binds to SmJNK. The binding affinity was further ascertained via an isothermal dose-response fingerprint (ITDRF) for intracellular SmJNK. A total of 30 mio. SmJNK-expressing Sf21 cells per treatment were used to establish the melting curve. Cells were cultured in presence of 10 mM SP600125 or DMSO (control) for 1 hour prior to the CESTA. To establish an ITDRF increasing concentrations of SP600125 were used and cells were heated at the TM of SmJNK.
Results: The reconstruction of the molecular structures and docking analysis suggest a slightly lower binding affinity between SmJNK and SP600125 compared to hJNK1. This can be explained by amino acid variations around the ATP-binding sites of the different JNK orthologues, where also SP600125 binds. In vitro treatment of adult S. mansoni with SP600125 caused no effects on motility, attachment and pairing ability.
Conclusion: The results suggest an inter-species variability in the binding of SP600125 regarding hJNK and SmJNK. Although we obtained evidence for binding of SP600125 to SmJNK, in vitro treatment of adult worms failed to affect worm fitness and viability. This may indicate a minor physiological role of JNK for adult S. mansoni or functional redundancy by other kinases compensating the inhibitory effect. Furthermore, we cannot exclude that the inhibitor may not have entered all relevant worm tissues under the in vitro conditions. As mouse cells show an almost identical JNK structure to human cells, the results listed are applicable to mouse models.

17:22 – 17:28

KV 321 Helicobacter pylori: ein innovativer Schritt zur resistenzgerechten Eradikationstherapie

Farina Wewers (Datteln)

KV 321 Helicobacter pylori: ein innovativer Schritt zur resistenzgerechten Eradikationstherapie

F. Wewers1,2, R. Bornemann3, M. Brückner4, L. Uflacker1, A. Hildebrandt1,2

1St. Vincenz Krankenhaus, Medizinische Klinik 1, Datteln, Deutschland, 2Universitätsklinikum Münster, Institut für medizinische Mikrobiologie, Münster, Deutschland, 3Universität Bielefeld, Fakultät für Gesundheitswissenschaften, Bielefeld, Deutschland, 4Universitätsklinikum OWL, Campus Klinikum Bielefeld, Klinik für Gastroenterologie, Bielefeld, Deutschland

Einleitung: Im Jahr 2022 erschien die aktualisierte S2k-Leitlinie „Helicobacter pylori und gastroduodenale Ulkuskrankheit“[1], in der die Erstlinientherapie – basierend auf einer europaweiten Studie[2] – eine Bismuth-basierte Quadrupeltherapie ist. Lokale Resistenzdaten aus Deutschland zur fokussierteren empirischen Therapie bzw. ein Leitfaden für eine patientenindividuelle resistenzgerechte Therapie fehlen bislang.
Ziele: In einer multizentrischen Studie in Datteln und Bielefeld wollen wir ggf. vorhandene Varianzen der HP-Resistenzmuster aufzeigen sowie die Praktikabilität einer resistenzgerechten Therapie untersuchen.
Methodik: Patient*innen mit einem auffälligen Magenschleimhautbefund erhielten wie bislang Proben für einen Urease-Schnelltest (HUT) und für die Histologie. HUT-positive Proben konnten wir nach Etablierung einer neuen krankenhausinternen Logistik[3] in ein spezielles Transportmedium überführen und zur Resistenztestung verschicken. Eine vorliegende Resistenz ermöglichte eine resistenzgeleitete Therapieempfehlung. Dieses innovative Vorgehen sparte eine zusätzliche Probenentnahme und zusätzlichen endoskopischen Zeitaufwand.
Ergebnis: Eine sowohl kulturelle als auch genotypische Resistenztestung aus den für den HUT gewonnenen Proben gelang ohne weiteres. Die Probengewinnung lief vom 01.01.2024 bis 31.03.2025. Vorläufige Auswertung: An beiden Standorten führten wir insgesamt ca. 1500 Schnellteste durch, darunter bei ca. 300 positiven auch eine Kultur (sowie bei ca. 200 auch eine PCR). Dabei zeigte sich an den beiden Standorten ein deutlich divergierendes Resistenzmuster: In Datteln lagen die Resistenzen für Clarithromycin und Levofloxacin in etwa gleichauf an erster Stelle, die Metronidazol-Resistenz kam an dritter Stelle. Im Methodenvergleich zeigte sich eine höhere Sensitivität der PCR vs. der Kultur. In ca. 10% der Proben mit negativer Histologie war eine PCR und genotypische Resistenztestung mit nachfolgender Therapieempfehlung möglich.
Erwähnenswert ist eine gewisse Anzahl an falsch-positiven HUT-Ergebnissen in der klinischen Anwendung, welche wir im Verlauf diskutieren müssen.
Schlussfolgerung: Die Entwicklung einer neuen Testlogistik zur Helicobacter pylori-Resistenzbestimmung ermöglicht eine resistenzgesteuerte Therapie im Sinne des Antibiotic Stewardship und darüber hinaus die Ausweitung der Datenbasis lokaler Resistenzdaten, um einer weiteren Resistenzentwicklung entgegenzuwirken.
klinikinternes Ablaufschema von der Gastroskopie mit PE-Entnahme bis zur resistenzgerechten Therapie

[1] Fischbach et al.
[2] Nyssen et al.
[3] Siehe Abb.1

Kurzvortragssitzung

Neue Therapien allergischer und funktioneller Ösophagus-Erkrankungen

14:45 – 16:05

Fr 19.09.

Seminarraum 6 + 7

Open Accordion - Icon Close Accordion - Icon

Vorsitz: Martin K. Angele (Garmisch-Partenkirchen) und Jutta Keller (Hamburg)

14:45 – 14:51

KV 023 Dupilumab führt bei Patienten mit eosinophiler Ösophagitis zu klinisch bedeutsamen Verbesserungen mehrerer von Patienten angegebenen Symptomen und der Lebensqualität: Post-Hoc-Analyse von LIBERTY EoE TREET

Ulrike von Arnim (Magdeburg)

KV 023 Dupilumab führt bei Patienten mit eosinophiler Ösophagitis zu klinisch bedeutsamen Verbesserungen mehrerer von Patienten angegebenen Symptomen und der Lebensqualität: Post-Hoc-Analyse von LIBERTY EoE TREET

K. Peterson1, E.S. Dellon2, A. Schoepfer3, F. Racca4, U. von Arnim5, C. Xia6, S. Zaghloul7, B.P. Raphael6, S.T. Tilton8, R.B. Thomas6

1University of Utah, Salt Lake City, Vereinigte Staaten, 2University of North Carolina School of Medicine, Chapel Hill, Vereinigte Staaten, 3Centre Hospitalier Universitaire Vaudois und Universität Lausanne, Lausanne, Schweiz, 4IRCCS Humanitas Research Hospital, Rozzano, Italien, 5Universitätsklinikum Magdeburg, Magdeburg, Deutschland, 6Regeneron Pharmaceuticals Inc., Tarrytown, Vereinigte Staaten, 7Sanofi, Morristown, Vereinigte Staaten, 8Sanofi, Cambridge, Vereinigte Staaten

Einleitung: Die eosinophile Ösophagitis (EoE) ist eine chronische, fortschreitende Typ-2-Inflammation der Speiseröhre. Dysphagie ist bei Erwachsenen und Jugendlichen das häufigste Symptom der EoE. Zu anderen wichtigen Symptomen gehören Brust- und Magenschmerzen, Erbrechen, Sodbrennen und Regurgitation, die sich negativ auf die Lebensqualität der Patienten auswirken können. Dupilumab ist in den USA und der EU für die Behandlung von EoE bei Patienten im Alter von ≥ 1 Jahr und einem Körpergewicht von ≥ 15 kg zugelassen.
Ziel: Es soll der Anteil der Patienten aufgezeigt werden, die mit Dupilumab vs. Placebo in LIBERTY EoE TREET klinisch bedeutsame Verbesserungen der EoE-Symptome und der Lebensqualität erzielten.
Methode: Anhand des Dysphagie-Symptom-Fragebogens (DSQ), des EoE-Symptom-Fragebogens (EoE-SQ) und des Fragebogens zu den Auswirkungen von EoE (EoE-IQ) wurden in LIBERTY EoE TREET Dysphagie, Nicht-Dysphagie-Symptome und die Auswirkungen von EoE auf die Lebensqualität bewertet. Mittels „Patient Global Impression of Severity“ (der Dysphagie) als Ankerkriterium wurden Schwellenwerte für klinisch bedeutsame Verbesserungen gegenüber Baseline entwickelt. Der Anteil der Patienten mit einem Rückgang des DSQ-Scores um ≥ 13 Punkte (und einem strikteren Rückgang um ≥ 24), des EoE-SQ-Frequency-Scores um ≥ 3,7, des EoE-SQ-Severity-Scores um ≥ 5,3 und des EoE-IQ-Scores um ≥ 0,6 in Woche 24 wurde zwischen Dupilumab 300 mg einmal wöchentlich und Placebo verglichen; alle p-Werte sind nominal.
Ergebnisse: In die Analyse wurden 240 Patienten einbezogen (Placebo, n = 118; Dupilumab, n = 122). In Woche 24 hatte ein signifikant größerer Anteil der mit Dupilumab behandelten Patienten im Vergleich zu Placebo eine klinisch bedeutsame Verbesserung der DSQ-Score-Schwellenwerte (Abbildung), des EoE-SQ-Frequency-Scores und des EoE-IQ-Scores (Tabelle). Ein zahlenmäßig größerer Anteil hatte eine klinisch bedeutsame Verbesserung des EoE-SQ-Schweregrad-Scores bei Dupilumab im Vergleich zu Placebo.
Schlussfolgerung: Im Vergleich zu Placebo erhöhte Dupilumab signifikant den Anteil der Patienten, die eine klinisch bedeutsame Verbesserung der Dysphagie, der Nicht-Dysphagie-Symptome und der Lebensqualität erreichten.

Abbildung. Anteil der Patienten, die in Woche 24 klinisch bedeutsame Verbesserungen des DSQ-Scores erreichten

Tabelle. Anteil der Patienten, die klinisch bedeutsame Verbesserungen bei den von Patienten angegebenen Ergebnisparametern (EoE-SQ und EoE-IQ) erreichten.
Klinisch bedeutsame Verbesserung, Punkterückgang gegenüber Baseline Anteil Patienten, % (95% KI) Differenz (95% KI), nominaler p-Wert
Placebo (n = 118) Dupilumab (n = 122)
EoE-SQ Frequency
≥3,7 30,5 (22,4; 39,7) 50,0 (40,8; 59,2) 19,6 (7,4; 31,8), 0,002
EoE-SQ Severity
≥5,3 32,2 (23,9; 41,4) 43,4 (34,5; 52,7) 11,3 (–1,1, 23,6), 0,07
EoE-IQ
≥0,6 41,5 (32,5; 51,0) 64,8 (55,6; 73,2) 23,8 (11,9, 35,7), 0,0001
Werte nach der ersten Notfallbehandlung wurden als fehlend eingestuft, anschließend wurden fehlende Werte durch multiple Imputation imputiert. Die Differenz bezieht sich auf Dupilumab vs. Placebo. 95 % KI und p-Werte wurden nach Altersgruppe (≥ 12 bis < 18 vs. ≥ 18 Jahre), Anwendung von Protonenpumpeninhibitoren bei der Randomisierung (ja vs. nein) und Studienteil (Teil A vs. Teil B) stratifiziert. Die p-Werte wurden unter Verwendung des Cochran-Mantel-Haenszel-Tests berechnet. Der EoE-SQ Frequency Score umfasst einen Bereich von 5 bis 25; der EoE-SQ Severity Score umfasst einen Bereich von 0 bis 30; der EoE-IQ Score umfasst einen Bereich von 1 bis 5; höhere Werte bedeuten schwerere Symptome oder eine Beeinträchtigung der gesundheitsbezogenen Lebensqualität.
KI, Konfidenzintervall; EoE-IQ, Fragebogen zu den Auswirkungen der eosinophilen Ösophagitis; EoE-SQ, Fragebogen zu den Symptomen der eosinophilen Ösophagitis.

14:53 – 14:59

KV 024 Dupilumab normalisiert die wichtigsten histopathologischen Merkmale der eosinophilen Ösophagitis bei Erwachsenen und Jugendlichen: Post-Hoc-Analyse der Phase-III-Studie LIBERTY EoE TREET

Dieter Schilling (Mannheim)

KV 024 Dupilumab normalisiert die wichtigsten histopathologischen Merkmale der eosinophilen Ösophagitis bei Erwachsenen und Jugendlichen: Post-Hoc-Analyse der Phase-III-Studie LIBERTY EoE TREET

M.H. Collins1, N. Gonsalves2, D. Ashok3, K.O. Turner4, D. Schilling5, C. Xia6, S. Zaghloul7, B.P. Raphael6, J.T. Angello7, A. Radwan6

1Cincinnati Hospital Medical Center, Cincinnati, Vereinigte Staaten, 2Northwestern University Feinberg School of Medicine, Chicago, Vereinigte Staaten, 3Children’s Hospital, London Health Sciences Centre, Western University, London, Kanada, 4University of Minnesota Medical School, Minneapolis, Vereinigte Staaten, 5Theresienkrankenhaus, Mannheim, Deutschland, 6Regeneron Pharmaceuticals Inc., Tarrytown, Vereinigte Staaten, 7Sanofi, Morristown, Vereinigte Staaten

Einleitung: Die eosinophile Ösophagitis (EoE) ist eine chronische, fortschreitende, durch mehrere histopathologische Anomalien gekennzeichnete Typ-2-Inflammation der Speiseröhre. Dupilumab ist in den USA und der EU für die Behandlung von EoE bei Patienten ≥ 1 Jahr und einem Körpergewicht ≥ 15 kg zugelassen.
Ziele: Auswertung der Daten aus LIBERTY EoE TREET (NCT03633617) hinsichtlich der Auflösung der acht histopathologischen EoE-Merkmale gemäß EoE-Histologie-Scoring-System (EoEHSS) bei Erwachsenen und Jugendlichen, die mit Dupilumab vs. Placebo behandelt wurden.
Methode: In Teil B wurden EoE Patienten ≥ 12 Jahren 1:1 zu 24 Wochen 300 mg Dupilumab wöchentlich (QW) oder Placebo randomisiert. Patienten, die Teil B abgeschlossen hatten, traten in Teil C ein und erhielten 300 mg Dupilumab QW bis Woche (W) 52. Die Scores der EoEHSS-Komponenten wurden bei Baseline sowie in W24 und W52 beurteilt. Bewertet wurde der Anteil der Patienten, die für jede EoEHSS-Komponente einen Grade/Stage-Score von 0 (Auflösung) erreichten.
Ergebnis: Der Anteil der Patienten mit einem Grade/Stage-Score der EoEHSS-Komponenten von 0 bei Baseline war in der Dupilumab- und der Placebo-Gruppe ähnlich; insbesondere wurden in Bezug auf dyskeratotische Epithelzellen Grade/Stage-Scores von 0 bei 73 %/73 % vs. 84 %/84 % der Patienten beobachtet. Im Vergleich zu Placebo erhöhte sich unter Therapie mit Dupilumab der Anteil der Patienten, die eine Auflösung der meisten histologischen EoE-Merkmale in W24 erreichten; die größten Verbesserungen traten sowohl bei epithelbezogenen Merkmalen (Eosinophile in oberflächlichen Epithelschichten: 96 % vs. 30 %/96 % vs. 30 %) als auch bei strukturellen Merkmalen (Basalzonenhyperplasie: 78 % vs. 11 %/78 % vs. 11 %; Fibrose der Lamina propria: 90 % vs. 35 %/90 % vs. 35 %) auf, alle p < 0,0001. Hinsichtlich erweiterter Interzellularräume wurde keine Auflösung beobachtet (0 % vs. 2,8 %; p = 0,2415). In W52 blieben die Wirkungen erhalten oder verbesserten sich mit fortgesetztem Dupilumab weiter. Verbesserungen bei den meisten EoEHSS-Komponenten wurden bei Patienten beobachtet, die in W24 auf Dupilumab umgestellt wurden (Abbildung).
Schlussfolgerung: Im Vergleich zu Placebo führte Dupilumab bei den meisten histopathologischen Merkmalen gemäß EoEHSS in W24 zu einer Normalisierung der Grade- und Stage-Scores. In W52 hielten die Wirkungen an oder wurden bei Patienten erreicht, die kontinuierlich Dupilumab erhielten.

Abbildung Anteil der Patienten mit histologischen Merkmalen, die in Woche 24 (A) bzw. Woche 52 (B) aufgelöst waren.

15:01 – 15:07

KV 025 Langzeitbehandlung mit Dupilumab erhält histologische und endoskopische Verbesserungen bei Kindern mit eosinophiler Ösophagitis (EoE) aufrecht: Ergebnisse der offenen Verlängerungsstudie (OLE) der Studie EoE KIDS nach 100 Wochen

André Hörning (Erlangen)

KV 025 Langzeitbehandlung mit Dupilumab erhält histologische und endoskopische Verbesserungen bei Kindern mit eosinophiler Ösophagitis (EoE) aufrecht: Ergebnisse der offenen Verlängerungsstudie (OLE) der Studie EoE KIDS nach 100 Wochen

M. Chehade1, E.S. Dellon2, R.D. Pesek3, M.H. Collins4, D. Ashok5, A. Hörning6, R. Liu7, M. Louisias8, A. Radin7

1Mount Sinai Center for Eosinophilic Disorders, Icahn School of Medicine at Mount Sinai, New York, Vereinigte Staaten, 2University of North Carolina School of Medicine, Chapel Hill, Vereinigte Staaten, 3University of Arkansas for Medical Sciences and Arkansas Children’s Hospital, Little Rock, Vereinigte Staaten, 4Cincinnati Children’s Hospital Medical Center und University of Cincinnati College of Medicine, Cincinnati, Vereinigte Staaten, 5Children’s Hospital, London Health Sciences Centre, Western University, London, Kanada, 6Universitätsklinikum Erlangen, Erlangen, Deutschland, 7Regeneron Pharmaceuticals Inc., Tarrytown, Vereinigte Staaten, 8Sanofi, Cambridge, Vereinigte Staaten

Einleitung: EoE ist eine chronische, fortschreitende Typ-2-Inflammation der Speiseröhre. Dupilumab ist in den USA und der EU für die Behandlung von EoE bei Patienten ≥ 1 Jahr und ≥ 15 kg zugelassen. In Teil A von EoE KIDS (NCT04394351) verbesserte Dupilumab vs. Placebo die histologischen und endoskopischen Ergebnisse bei 1–11 Jahre alten Patienten mit EoE signifikant. In Teil B blieben diese Verbesserungen bei Dupilumab-Gabe bis Woche (W) 52 erhalten. Ähnliche Verbesserungen wurden bei einem Wechsel von Placebo zu Dupilumab beobachtet.
Ziel: Bewertung der Sicherheit und Wirksamkeit der Langzeitbehandlung mit Dupilumab in OLE Teil C.
Methode: Patienten, die in W52 Teil B abschlossen, kamen für Teil C infrage, in dem sie das später von der FDA zugelassene gewichtsadaptierte, offene Dupilumab-Behandlungsschema erhielten (vergl. mit HE in Teil A und B). Teil C endete vorzeitig mit der FDA-Zulassung von Dupilumab für päd. Patienten mit EoE; Wirksamkeitsdaten werden bis zur letzten präspezifizierten Beurteilung in W100 berichtet. Die Wirksamkeitsdaten beziehen sich auf Patienten, die in Teil A und B Placebo oder Dupilumab HE erhielten, die Sicherheitsdaten auf alle Patienten unabhängig vom Behandlungsverlauf.
Ergebnisse: 102 Patienten nahmen an Teil A, 98 an Teil B und 61 an Teil C teil. In W100 erreichten 68,2 % (15/22) einen PEC von ≤ 6 eos/hpf vs. 69,7 % (23/33) der Patienten, die Dupilumab HE bis W52 von Teil B erhielten. 90,9 % (20/22) erreichten in W100 einen PEC < 15 eos/hpf vs. 81,8 % (27/33) in W52. Darüber hinaus betrug die mittlere (Standardabw. [SD]) proz. Veränderung des PEC ggü. Baseline Teil A –89,5 % (15,9 %) in W100 vs. –89,5 % (14,9 %) in W52. Die mittleren (SD) Veränderungen ggü. Baseline Teil A in W100 vs. W52 waren ähnlich für die Grade- und Stage-Scores gemäß EoEHSS (–0,85 [0,44] vs. –0,87 [0,39] bzw. –0,87 [0,38] vs. –0,83 [0,36]) und den EoE-EREFS (–5,44 [2,61] vs. –4,60 [2,68]). In OLE Teil C wurden bei 86,9 % (53/61) leichte bis mittelschwere UE berichtet; das häufigste behandlungsbedingte UE war eine Reaktion an der Injektionsstelle. Schwerwiegende UE wurden bei 4,9 % (3/61) berichtet; keines davon stand mit Dupilumab im Zusammenhang.
Schlussfolgerung: Dupilumab erhielt seine histologische und endoskopische Wirksamkeit bei päd. Patienten mit EoE bis W100 aufrecht und wies ein konsistentes und akzeptables Sicherheitsprofil auf. Die Wirksamkeit von Dupilumab bei der Symptomverbesserung bis W100 wird in künftigen Analysen untersucht.

Abbildung. Der Anteil der Patienten, die eine histologische Remissiona erreichten, stieg mit Dupilumab im Vergleich zu Placebo, und die Verbesserungen blieben bis Woche 100 erhalten.

15:09 – 15:15

KV 026 Laparoskopische vs. robotische Fundoplikatio – eine Lernkurvenauswertung mittels CUSUM-Analyse

Salome Breidenbach (Leipzig)

KV 026 Laparoskopische vs. robotische Fundoplikatio – eine Lernkurvenauswertung mittels CUSUM-Analyse

S. Breidenbach1, R. Nowotny1, P. Rhode1, S. Stelzner1, D. Seehofer1, M. Mehdorn1, S. Niebisch1

1Universitätsklinikum Leipzig, Klinik und Poliklinik für Viszeral-, Transplantations-, Thorax- und Gefäßchirurgie, Leipzig, Deutschland

Einleitung: Die laparoskopische und robotische Toupet-Fundoplicatio gelten als gleichwertig hinsichtlich Langzeitergebnissen. Dennoch wird der robotische Ansatz häufig als ressourcenintensiv kritisiert – insbesondere im Hinblick auf OP-Zeit und Einarbeitungsaufwand. Bislang ist nicht untersucht, ob die Robotik in der Frühphase operative Vorteile bieten kann. Vergleichende Lernkurvendaten zur minimalinvasiven Toupet-Fundoplicatio liegen bisher nicht vor.
Ziele: Ziel dieser Untersuchung ist es, die Lernkurven eines Operateurs in der laparoskopischen (LTF) und der nachfolgend eingeführten robotischen Technik vergleichend zu analysieren und die Effekte auf die OP-Zeit in der Routinephase zu bewerten.
Methodik: Es wurden 86 konsekutive primäre Eingriffe von 2016–2024 eingeschlossen (LTF: 36, RTF: 50; LTF: 54 J, SD 13, w 47 %; RTF: 59 J, SD 16, w 51 %). Die Lernkurven wurden mittels CUSUM-Analysen dargestellt, mit dem Mittelwert der jeweils ersten zehn Fälle als Referenz. Eine lineare Regressionsanalyse erfasste die Steigung der Lernkurve. Für den Vergleich der letzten zehn Fälle als „Routinephase“ erfolgte eine ln-Transformation zur Normalisierung, anschließend ein t-Test (p<0,05).
Ergebnisse: Die CUSUM-Kurve der LTF (Abbildung 1 links) zeigt einen anfänglich flachen, später fallenden Verlauf mit hoher Streuung und mehrfacher Überschreitung des Referenzwerts. Die RTF-Kurve (Abbildung 1 rechts) fällt kontinuierlich mit frühem Leistungsplateau. In der linearen Regression zeigte sich bei LTF eine signifikante negative Steigung (B = -1,307; p = 0,013; R² = 0,167), bei RTF war die Lernkurve steil und hochsignifikant (B = -1,799; p < 0,001; R² = 0,569).

Abbildung 1: CUSUM-Kurve der LTF (links) und RTF (rechts) OP-Zeiten und polynomen Trendkurven
In der Vergleichsgruppe der letzten zehn Operationen war die OP-Zeit unter RTF signifikant kürzer (einseitiger t-Test, p = 0,019) (Abbildung 2). Die Rücktransformation ergibt eine durchschnittliche Zeit von 81,6 min (LTF) vs. 62,9 min (RTF), entsprechend einer Reduktion um ca. 23 % (19 min).
Abbildung 2: Vergleich der OP-Zeiten der letzten zehn LTF und RTF
Schlussfolgerung: Die robotische Technik ermöglicht eine schnellere, stabilere Lernkurve mit deutlich reduzierter Streuung. Nach Erreichen der Routinephase ist die RTF der LTF überlegen, mit einer durchschnittlichen Zeitersparnis von fast einem Viertel.
Die detaillierte Auswirkung auf OP-Kosten bei deutlich reduzierter OP-Zeit ist Gegenstand laufender Untersuchungen.

15:17 – 15:23

KV 027 Feasibility and surgical considerations for conversion to the refluxstop procedure following failure of prior antireflux surgery in GERD patients: an analysis of 24 cases

Thorsten G. Lehmann

KV 027 Feasibility and surgical considerations for conversion to the refluxstop procedure following failure of prior antireflux surgery in GERD patients: an analysis of 24 cases

T.G. Lehmann1, J. Zehetner2

1Klinikum Friedrichshafen, Department of Visceral Surgery, Friedrichshafen, Deutschland, 2Hirslanden Klinik Beau-Site, Department of Visceral Surgery, Bern, Schweiz

Introduction: Antireflux surgery (ARS) can result in postoperative complications such as recurrent reflux, dysphagia, explantation or migration/erosion of surgical devices, and reherniation, which may necessitate redo surgery. Current ARS approaches have conceivably high reoperation rates, with repeat surgeries typically showing less favorable outcomes than primary procedures. Physiological and technical considerations of ARS may restrict future treatment options when failure occurs.
Objectives: To report the feasibility and surgical considerations for conversion to RefluxStop surgery after failed ARS.
Methodology: Retrospective analysis evaluated the feasibility of RefluxStop surgery in GERD patients (N=24) after prior ARS, including Nissen or alternative fundoplication, magnetic sphincter augmentation (MSA), EndoStim, and BICORN.
Results: RefluxStop surgery was feasible and straightforward in all cases, regardless of the type of prior ARS failure (Table 1). All patients were well-treated and discontinued proton pump inhibitors postoperatively. Takedown of all fundoplication techniques was straightforward with minor variations, after which the RefluxStop procedure was performed as recommended. Meticulous handling of the vagal nerves is imperative, with varying extents of gastroesophageal adhesion dissection. Nissen requires dissection of all gastroesophageal attachments, whereas Toupet and Dor require less dissection, involving at least the right-dorsal gastroesophageal attachments and restricted adherence dissection, respectively. Although differing from fundoplication in key aspects, conversion from MSA was uncomplicated, requiring dissection of fibrotic encapsulation from the 8-4 o’clock, followed by laparoscopic MSA removal before RefluxStop surgery. When converting from EndoStim, the device and electrodes were easily removed due to minimally invasive device implantation. Conversion from BICORN, like that of Dor fundoplication, was technically less challenging and involved pre-dissection of the gastroesophageal attachment. One early device penetration into the gastric cavity occurred, likely due to a worn-out fundus, with segments of the device passing naturally through the digestive tract.
Conclusions: Conversion to RefluxStop was feasible and safe in all cases. Redo surgery with RefluxStop is straightforward regardless of prior ARS type and particularly facile for MSA and EndoStim.

Table 1: Surgical Considerations for RefluxStop Conversion After Previous ARS Failure

15:25 – 15:31

KV 028 Die robotische Kardiomyotomie nach Heller mit Dor Fundoplikatio bei Achalasie – der effizientere Weg im Vergleich zum „konventionell“-laparoskopischen Vorgehen?!

Salome Breidenbach (Leipzig)

KV 028 Die robotische Kardiomyotomie nach Heller mit Dor Fundoplikatio bei Achalasie – der effizientere Weg im Vergleich zum „konventionell“-laparoskopischen Vorgehen?!

S. Breidenbach1, R. Nowotny1, P. Rhode1, D. Seehofer1, S. Stelzner1, S. Niebisch1

1Universitätsklinikum Leipzig, Klinik und Poliklinik für Viszeral-, Transplantations-, Thorax- und Gefäßchirurgie, Leipzig, Deutschland

Einleitung: Die laparoskopische Heller-Myotomie (LHM) gilt als eine etablierte chirurgische Therapie der Achalasie. Metaanalysen zeigen bis auf vermehrte intraoperative Ösophagusperforationen in der LHM keinen relevanten Unterschied zur robotischen Myotomie (RHM). Daten zur Lernkurve der RHM sind bislang nicht publiziert.
Ziele: Vergleich der OP-Zeiten zwischen LHM und RHM, sowie Analyse der Lernkurve der RHM.
Methodik: Untersucht wurden 44 konsekutive LHM (im Mittel 46 J [SD 15,7]; w 59 %) und 76 RHM (im Mittel: 46 J. [SD 16,4]; w 45 %) mit manometrisch gesicherter Achalasie (2014–2024). Alle RHM erfolgten mit dem DaVinci Xi-System. Die OP-Zeiten wurden logarithmisch normalisiert und per t-Test zwischen LHM, RHM sowie zwischen den ersten (RHMAnfang) und letzten RHM (RHMEnde) verglichen. Die CUSUM-Analyse der RHM verwendete den LHM-Mittelwert als Referenz. Eine lineare Regression prüfte den OP-Zeit-Trend.
Ergebnisse: Die RHM zeigte signifikant kürzere OP-Zeiten als die LHM (p<0,001, Δ = 26 min, 95 %-KI: 15,4–36,8).
Auch innerhalb der RHM war der Unterschied zwischen RHMAnfang und RHMEnde signifikant (p<0,001, Δ = 67 min, 95 %-KI: 51,7–81,9) (Abbildung 1)
Abbildung 1: Box-Plots der LHM und RHM sowie der RHM(Anfang) und RHM(Ende)
Die CUSUM-Analyse (Abbildung 2) zeigt einen stetigen Rückgang der kumulierten OP-Zeit der RHM im Vergleich zum Referenzwert. Der optisch bestimmte Umschlagspunkt bei Fall 16 ließ sich durch die mathematische Bestimmung des Schnittpunktes mit der X-Achse (0 = 0,0007x² – 1,0417x + 15,503) bestätigen (Berechnung: x=15,5). Die nachfolgenden Eingriffe zeigen eine kontinuierliche Verkürzung der OP-Zeiten, mit deutlicher und signifikanter Unterschreitung der Referenzzeiten. Eine Annäherung an eine Asymptote konnte bislang nicht beobachtet werden.
Eine lineare Regressionsanalyse bestätigt zudem mathematisch einen signifikanten negativen Zusammenhang zwischen Fallnummer und OP-Zeit (β = –0,698, p < 0,001, R² = 0,487).Abbildung 2: CUSUM-Analyse der kumulativen Abweichung der RHM-OP-Zeiten gegenüber dem Referenzwert
Schlussfolgerung: Unsere Analyse zeigt die deutliche Überlegenheit der RHM gegenüber der LHM in Bezug auf die OP-Zeit bereits nach einer sehr kurzen Lernkurve, die in weiteren möglichst multizentrischen randomisierten Studien bestätigt werden sollen. Die detaillierte Auswirkung auf OP-Kosten bei deutlich reduzierter OP-Zeit und das symptomatische Outcome, sind Gegenstand laufender Untersuchungen.

15:33 – 15:39

KV 029 Diagnostische Genauigkeit einer PCR-basierten Helicobacter pylori-Analyse im Vergleich zu anderen Methoden

Friedrich Herder (Würzburg)

KV 029 Diagnostische Genauigkeit einer PCR-basierten Helicobacter pylori-Analyse im Vergleich zu anderen Methoden

F. Herder1,2, C. Thon2, C. Schulz3, M. Venerito2, P. Malfertheiner3,2, A. Link2

1Uniklinik Würzburg, Gastroenterologie, Würzburg, Deutschland, 2Otto-von-Guericke Universität Magdeburg, Klinik für Gastroenterologie, Hepatologie und Infektiologie, Magdeburg, Deutschland, 3LMU – Klinikum München, Medizinische Klinik und Poliklinik 2, München, Deutschland

Einleitung: Die Anwendung von PCR-basierten Methoden zum Nachweis einer Helicobacter pylori (H. pylori)-Infektion könnte im Vergleich zu herkömmlichen Tests ein „all-in-one“-Konzept mit hoher Genauigkeit und der Möglichkeit einer Resistenzdiagnostik bieten. Dennoch wird die PCR-Diagnostik derzeit nur selten in der Routinediagnostik eingesetzt.
Ziele: Ziel dieser Studie war es, die diagnostische Genauigkeit der PCR-basierten H. pylori-Testung aus Biopsien im Rahmen einer systematischen Analyse und im Vergleich zu etablierten Referenzmethoden zu evaluieren.
Material und Methoden: Insgesamt wurden 529 Patienten im Rahmen dieser prospektiven Studie eingeschlossen. Während der Endoskopie erfolgte die Entnahme von Biopsien sowohl zur Routinediagnostik (Histologie, mikrobiologische Kultur, Urease-Schnelltest) als auch zusätzlich für die spätere PCR-Analyse. Letztere wurden bei −80 °C eingelagert. Ergänzend wurde eine serologische Bestimmung von Anti-H. pylori-IgG-Antikörpern durchgeführt. Aus den eingefrorenen Biopsien wurde DNA extrahiert und mittels PCR auf H. pylori-Pathogenitätsfaktoren sowie auf Clarithromycin-resistenzassoziierte Mutationen in der 23S-rRNA (CLA2143G und CLA2142G) untersucht.
Ergebnisse: Der kombinierte histologische und/oder mikrobiologische Nachweis als Goldstandard ergab 167 (31,6 %) positive und 362 (68,4 %) negative Befunde. In 142 (86,6 %) bzw. 145 (88,9 %) der positiven Fällen war H. pylori in Histologie bzw. Kultur nachweisbar. Der PCR-basierte Test identifizierte 169 (31,9 %) Proben als positiv. Davon stimmten 146 (87,4 %) mit dem Goldstandard überein. Die PCR-basierte H. pylori-Analyse zeigte mit einer Sensitivität von 92 % und einer Spezifität von 94 % keine signifikante Unterlegenheit gegenüber dem histologischen Nachweis. Von 109 Proben wurden 44 (40,4 %) sowohl mittels Kultur als auch PCR positiv und 65 (59,6 %) negativ auf eine Clarithromycin-Resistenz getestet; lediglich bei 4 Proben (3,7 %) lagen diskordante Ergebnisse vor.
Schlussfolgerung: Die vorliegenden Daten belegen eine hohe diagnostische Genauigkeit der PCR für den Nachweis von H. pylori-Infektionen und Clarithromycin-Resistenzen. Aufgrund der zuverlässigen Detektion des Erregers und zusätzlichen Clarithromycin-Resistenztestung bietet die PCR-basierte Diagnostik ein vielversprechendes Potenzial für die Integration in die Routinediagnostik.

15:41 – 15:47

KV 030 Neurogene Aktivierungen der glatten Fundusmuskulatur:

Robert Patejdl

KV 030 Neurogene Aktivierungen der glatten Fundusmuskulatur:

R. Patejdl1, L. Grabe2

1Health and Medical University Erfurt, Institute for Biomedical Research, Erfurt, Deutschland, 2Universitätsmedizin Rostock, Institut für Physiologie, Rostock, Deutschland

Einleitung: Ein besseres Verständnis der neuronalen Steuerung der glatten Muskulatur des Magenfundus ist wesentlich für die Entwicklung von therapeutischen Ansätzen bei Dyspepsie, Gastroparese und weiteren Motilitätsstörungen. Insbesondere gilt dies für die Weiterentwicklung pharmakologischer, elektrischer oder optogenetischer Stimulationsverfahren.
Ziel: Die vorliegende Arbeit soll gezielt Unterschiede in den kontraktilen Antworten auf kurze und längere elektrische Stimulationsserien untersuchen und dabei die beteiligten Neruotransmittersysteme berücksichtigen.
Methodik: In der vorliegenden Arbeit wurden die isolierte Längsstreifen der glatten Fundusmuskulatur von CD1-Mäusen mittels Organbadtechnik untersucht. Die Präparate wurden hierfür wiederholt elektrischen Feldstimulationsserien unterzogen und mittels pharmakologischer Blockierung einzelne Transmittersysteme ausgeschaltet. Konkret erfolgte eine adrenerge Blockade mit Guanethidin, eine nitrerge Blockade durch den NO-Synthaseblocker L-NAME und eine muskarinische Blockade mittels Atropin.
Ergebnisse: Kurze (10 Sekunden) und lange (300 Sekunden) Stimulationsserien (jeweils 10 Hz, 150 V, Pulsauer 1 ms) führten zu reproduzierbaren Kontraktionsantworten. Im Einzelnen ergaben kurze Stimulationen unter Kontrollbedingungen mediane Antworten von 0,2 mN (IQR:1,1 mN). Unter Guanethidin stiegen diese auf auf 0,4 mN (IQR:1,0 mN, p=0,045). Unter L-NAME kam es zu einem Anstieg auf 0,7mN (IQR 1,5 mN. p<0,001). Nach Atropingabe nahm die mediane Kraftantwort auf 0,0 mN ab, (IQR: 0,0 mN, p<0,001, Wilcoxin-Test); N:6 n=18). Lange Stimulationen ergaben unter Kontrollbedingungen mediane Antworten von 1,4 mN (IQR:1,2 mN). Unter Guanethidin fielen diese auf auf 0,3 mN (IQR: 0,6 mN, p=0,0025). Unter L-NAME kam es zu einem Anstieg auf 0,8mN (IQR 0,2 mN. p<0,019). Nach Atropingabe nahm die mediane Kraftantwort auf 0,4 mN ab, (IQR: 0,6 mN, p<0,001, Wilcoxin-Test); N:4 n=11).
Schlussfolgerungen: Die adrenerge Blockade mittels Guanethidin reduzierte die Antwort auf lange Stimulationsserien, steigerte sie hingegen nach kurzzeitiger Stimulation. Die Effekte adrenerger Aktivierungen könnten eine besondere Rolle für die Vermittlung der kontraktionshemmenden Effekte länger andauernder sympathischer Aktivierungen spielen. Weitergehende Untersuchungen zur Rolle einzelner sympathisch-adrenerg vermittelter Rezeptoren sind notwendig, um zielgerichtet neue pharmakotherapeutische Behandlungsansätze für Magenmotilitätsstörungen zu entwickeln.

15:49 – 15:55

KV 031 Systematic review and meta-analysis: plant based therapy for functional dyspepsia

Niclas Schreiber (Halle (Saale))

KV 031 Systematic review and meta-analysis: plant based therapy for functional dyspepsia

N. Schreiber1, U. Ronellenfitsch1, L. Cascant Ortolano2, A. Meyer3, M. Fox4,5

1Martin-Luther-University Halle-Wittenberg, University Medical Center Halle (Saale), Department of Visceral, Vascular and Endocrine Surgery, Halle (Saale), Deutschland, 2Johannes Gutenberg University Mainz, Departmental Library for the University Medical Center, Mainz, Deutschland, 3Ludwig-Maximilians-University, Medical Department II, Munich, Deutschland, 4Clinic for Gastroenterology & Hepatology, University Hospital Zurich, Zurich, Schweiz, 5Gastrointestinal function: Basel, Laboratory and Clinic for Disorders of Gastrointestinal Motility and Function, Department of Integrative Gastroenterology, Klinik Arlesheim, Arlesheim, Schweiz

Introduction: Functional dyspepsia (FD) is characterized by symptoms such as bloating, early satiety, epigastric pain, and burning, with a global prevalence ranging from 11% to 29%. The causes are multifactorial, including motility disturbances, visceral hypersensitivity, immune activation and psychosocial factors. FD is classified according to the Rome IV criteria into postprandial distress syndrome and epigastric pain syndrome. It is associated with reduced quality of life and comorbid psychiatric disorders, highlighting the need for effective treatment. Many FD patients prefer herbal preparations to pharmaceutical medication. However, the efficacy of this form of therapy is uncertain.
Aim: The aim of this systematic review is to check the evidence supporting the efficacy and safety of use of phytotherapeutics in the treatment of FD.
Methods: A systematic review and meta-analysis were conducted to synthesize current evidence on phytotherapy for FD. Literature searches were performed in three electronic databases (Medline via PubMed, Web of Science, and Cochrane Library) until June 2023. Studies were excluded based on predefined criteria (homeopathic medicines, <10 participants, non-English or German publications). Efficacy was assessed using dichotomous ratings of symptom improvement, applying a 95% confidence interval and a random-effect model. The I2 statistic for heterogeneity was classified as follows: 0-24% = none, 25-49% = low, 50-75% = moderate and >75% = high heterogeneity.
Results: A total of 2490 studies were identified, of which 53 (46 RCTs) were eligible, comprising 6450 participants. Meta-analysis was performed for any form of phytotherapy (21/46 (45%) studies included absolute or relative key figures relating to symptom improvement). Sufficient data was available to assess the effect of STW-5/Iberogast (2 studies), Rikkunshito (2 studies), and peppermint and caraway oil (4 studies). Further meta-analyses could not be conducted due to insufficient data. The results are displayed in the following Forest-Plots (Fig. 1, 2, 3). A Funnel-Plot indicated that publication bias may be present.
Conclusion: This study demonstrates that certain phytotherapeutics are effective in treating FD. Peppermint and caraway oil, along with Rikkunshito, showed significant efficacy compared to placebo. The quality and reporting of many studies was limited. High-quality RCTs are needed to confirm the benefits of phytotherapy in this condition.

A total of 355 patients were considered in the two studies examined, which used the identical composition of the active substance. 139 of the 179 patients treated with STW-5 showed positive results. In the control group, only 120 of the 176 patients treated showed an improvement. This results in a relative risk of 1.16 (95% CI: 0.94 - 1.43; Figure 3). Low heterogeneity was observed (I2=41%, P=0.19).
Fig. 1: Forest-Plot of Meta-analysis of STW-5

Two of the five studies were selected for the meta-analysis of Rikkunshito. Symptom improvement was also stated as the endpoint in all studies. The number of subjects was 372, with 189 in the intervention group and 183 in the control group. The treatment of functional dyspepsia with Rikkunshito proved to be helpful for 92 people. Treatment with placebo was effective in 68 cases. This results in a relative risk of 1.27 (95% CI: 1.04 - 1.54; Figure 4). No heterogeneity was found (I2=0%, P=0.54).
Fig. 2: Forest-Plot of Meta-analysis of Rikkunshito

A meta-analysis was carried out with 4 of the 9 available studies on peppermint and caraway oil, in which a total of 375 patients were considered. In the intervention group, 127 of the 192 patients experienced an improvement in the symptoms of functional dyspepsia. In the control group, positive effects were recorded in 71 of the 183 patients. This results in a relative risk of 1.79 (95% CI: 1.18 - 2.70; Figure 5). Moderate heterogeneity was observed (I2=69%, P=0.02).
Fig. 3: Forest-Plot of Meta-analysis of Peppermint and Caraway oil

15:57 – 16:03

KV 032 Regulatorische Immunzellen modulieren die intestinale Immunantwort bei Glutenprovokation in der Zöliakie – Wirkung des TG2-Inhibitors Zed1227: Ergebnisse der klinischen CEC-3 Studie

Aline Pesi

KV 032 Regulatorische Immunzellen modulieren die intestinale Immunantwort bei Glutenprovokation in der Zöliakie – Wirkung des TG2-Inhibitors Zed1227: Ergebnisse der klinischen CEC-3 Studie

A. Pesi1, V. Dotsenko2, J. Isola3, R. Mohrbacher4, B. Tewes4, M. Hils5, R. Pasternack5, J. Taavela2,6, T. Zimmermann4, K.E.A. Lundin7,8, M. Mäki2, K. Viiri2, D. Schuppan1,9, CEC-3 Studiengruppe

1Universitätsmedizin Mainz, Institut für Translationale Immunologie, Mainz, Deutschland, 2Universitätsklinikum Tampere, Forschungszentrum für Zöliakie, Tampere, Finnland, 3Universität Tampere, Fakultät für Medizin, Tampere, Finnland, 4Dr. Falk Pharma GmbH, Freiburg, Deutschland, 5Zedira GmbH, Darmstadt, Deutschland, 6Universitätsklinikum Tampere, Abteilung für Gastroenterologie und Chirurgie der Verdauungstrakte, Tampere, Finnland, 7Universität Oslo, Norwegisches Forschungszentrum für Zöliakie, Institut für klinische Medizin, Medizinische Fakultät, Oslo, Norwegen, 8Universitätsklinikum Oslo, Rikshospitalet, Abteilung für Gastroenterologie, Oslonorw, Norwegen, 9Harvard Medical School, Abteilung für Gastroenterologie, Beth Israel Deaconess Medical Center, Boston, Vereinigte Staaten

Einleitung: Die Zöliakie (CeD) wird durch Glutenpeptide ausgelöst, die im Dünndarm über HLA-DQ2 oder -DQ8 präsentiert werden und zu einer Th1-T-Zell vermittelten Zottenatrophie führen. Der orale Transglutaminase-2-Hemmstoff Zed1227 blockiert die Deamidierung von Glutenpeptiden, eine Voraussetzung für ihre optimale Bindung an HLA-DQ2 oder -DQ8. Unsere klinische Studie CEC-3 zeigte, dass Zed1227 bei 160 CeD-Patienten in Remission, die 6 Wochen lang täglich 3 g Gluten einnahmen, den Schleimhautschaden verhinderte (Schuppan D et al., NEJM 2021).
Ziele: Wir konzentrierten uns insbesondere auf das Expressionsprofil regulatorischer T-Zellen (Treg), und auf Gene, die mit einem guten vs schlechten Verhältnis von Villus- zu Kryptentiefe (V/C) nach der Challenge verbunden waren.
Methodik: Wir analysierten die duodenale regulatorische Genexpression vor und nach der Glutenprovokation unter Therapie mit 100 mg/d Zed1227 vs Placebo anhand von RNAseq aus den Dünndarmbiopsien der Patienten (Dotsenko V et al., Nat Immunol 2024).
Ergebnis: 93% der 100 signifikantesten regulatorischen Gene waren in der Gruppe der mit Zed1227 vs. Placebo behandelten Patienten hochreguliert. Zu diesen gehörten Mitglieder der TGF-beta Signalgene, des Cholesterinmetabolismus wie ACAT1 und NPC1L1, der Autophagie/Apoptose wie VPS35, BMF und inhibitorische Gene wie SOCS2. In mit Zed1227 behandelten Patienten mit einem besseren V/C-Verhältnis nach der Provokation waren insbesondere iTreg-Gene hochreguliert.
Wir identifizierten auch Toleranz fördernde Gene, die vor der Challenge stärker exprimiert positiv mit einem besseren V/C Verhältnis assoziiert waren, u.a. die Ubiquitin-Ligase RNF167, BAD, FOXN3, BAG1 und CLAUDIN15, während IRF9-, CD96- und HLA-/TAP1-Hochregulierung eine stärkere Erniedrigung des V/C-Verhältnisses nach Glutenexposition vorhersagten.
Schlussfolgerung: Anhand bestens charakterisierter Duodenalbiopsien vor und nach Glutenprovokation zeigen wir eine individuell unterschiedliche antiinflammatorische Immunmodulation, die primär durch Treg vermittelt wird, und durch Behandlung mit Zed1227 aktiviert wird. Die unterschiedliche regulatorische Aktivität der Treg kann die variable Empfindlichkeit von CeD-Patienten gegenüber Glutenexposition erklären. Unsere Daten legen nahe, dass Treg-basierte Therapien bei CeD und anderen intestinalen Autoimmunerkrankungen viel versprechend sind.

Kurzvortragssitzung

Fatigue bei CED

08:30 – 09:42

Fr 19.09.

MZF 4

Open Accordion - Icon Close Accordion - Icon

Vorsitz: Peter Hasselblatt (Freiburg) und Nina Gliem (Göttingen)

08:30 – 08:36

KV 038 Körperliche Leistungsfähigkeit von PatientInnen mit Chronisch-Entzündlichen Darmerkrankungen unter Biologika-Therapie: Eine Pilotstudie

Kathleen Lange (Jena)

KV 038 Körperliche Leistungsfähigkeit von PatientInnen mit Chronisch-Entzündlichen Darmerkrankungen unter Biologika-Therapie: Eine Pilotstudie

K. Lange1, J. Koch1, J. Demel1, B. Dorschner2, P.A. Reuken1, A. Stallmach1, C. Puta2,1,3

1Unversitätsklinikum Jena, Klinik für Innere Medizin IV (Gastroenterologie, Hepatologie, Infektiologie), Jena, Deutschland, 2Lehrstuhl für Sportmedizin und Gesundheitsförderung, Friedrich-Schiller-Universität Jena, Jena, Deutschland, 3Zentrum für Sepsis und Infektionsforschung (CSCC), Universitätsklinikum Jena / Friedrich-Schiller-Universität Jena, Jena, Deutschland

Einleitung: Körperliche Aktivität wirkt sich positiv auf die Lebensqualität und den Krankheitsverlauf bei PatientInnen mit chronisch-entzündlichen Darmerkrankungen (CED) aus. Daten zum Effekt der chronischen Erkrankungsaktivität und der Biologikatherapie auf die körperliche Leistungsfähigkeit fehlen jedoch.
Ziele: Ziel war es, die akute körperliche Belastung von CED-PatientInnen in Abhängigkeit der Krankheitsaktivität und der Biologikatherapie zu charakterisieren.
Methodik: Es wurden prospektiv 10 PatientInnen (7 Männer, 3 Frauen; Durchschnittsalter ± SD: 45,7 ± 15 Jahre) mit CED (3 mit Colitis ulcerosa, 7 mit Morbus Crohn) eingeschlossen. 8 PatientInnen waren Biologika-erfahren, drei waren Biologika-naiv. Die Therapie wurde in 4 Fällen auf Risankizumab, in 3 Fällen auf Infliximab sowie jeweils einmal auf Mirikizumab, Vedolizumab oder Ustekinumab umgestellt. Die körperliche Leistungsfähigkeit wurde mittels eines 1-Minuten-Sitz-Steh-Tests (1STS) vor und mindestens 12 Wochen nach dem Therapiewechsel beurteilt. An beiden Zeitpunkten wurden akute Stressreaktionen anhand der Anzahl der STS-Zyklen, der Herzfrequenz, der Dyspnoe (Dyspnoeskala: 0–10) und der subjektiven Beanspruchung (Borg-Skala, 6–20) erfasst. Die Messungen erfolgten zu Beginn und zu sechs Messzeitpunkten bis zu 45 Minuten nach dem 1STS. Die Krankheitsaktivität wurde anhand routinemäßiger klinischer Parameter (pMayo- und Harvey-Bradshaw-Index (HBI)-Scores) bewertet.
Ergebnisse: Zum Zeitpunkt des Therapiewechsels zeigten die PatientInnen eine milde bis moderate Krankheitsaktivität (mittlerer ± SD HBI-Score: 4,7±4,2; mittlerer ± SD partieller Mayo-Score: 4±4,5). Nach Umstellung der Biologikatherapie befanden sich 8 PatientInnen in klinischer Remission und 2 in Teilremission. Im Studienverlauf kam es zu einer signifikanten Verbesserung der körperlichen Leistungsfähigkeit: die durchschnittliche STS-Anzahl stieg von 37,8±16,2 auf 44,6±18,8 (p=0,03). Nicht-signifikante Veränderungen zeigten sich bei der subjektiven Belastung (RPE: 13,6±2,1 auf 12,5±3,3), Dyspnoe (2,1±1,5 auf 2,9±1,7) und %-Veränderungen der maximalen Herzfrequenz (67,4% auf 65,5%).
Schlussfolgerung: Die Ergebnisse weisen darauf hin, dass die Biologikatherapie bei PaientInnen mit milder bis moderater Krankheitsaktivität mit einer Verbesserung der körperlichen Leistungsfähigkeit bei vergleichbarer subjektiver und objektiver Beanspruchung assoziiert ist.

08:38 – 08:44

KV 033 Geschlechtsunterschiede in der Diagnosestellung von Betroffenen mit chronisch entzündlichen Darmerkrankungen – Interimsanalyse einer deutschlandweiten multizentrischen Querschnittsstudie

Leonie Kuhn (Hannover)

KV 033 Geschlechtsunterschiede in der Diagnosestellung von Betroffenen mit chronisch entzündlichen Darmerkrankungen – Interimsanalyse einer deutschlandweiten multizentrischen Querschnittsstudie

L. Kuhn1, L. Püschel1, U. Helwig2, D. Bettenworth3, R. Hornig4, A. Sturm5, P. Hasselblatt6, P. Esters7, E. Sonnenberg8, C. Sander9, T. Vasilakis10, J. Walldorf11, N. Teich12, S. Weidlich13, E.C. Bästlein14, J. Zemke15, S. Birkner16, H. Wedemeyer1, M. Wiestler1

1Medizinische Hochschule Hannover, Klinik für Gastroenterologie, Hepatologie, Infektiologie und Endokrinologie, Hannover, Deutschland, 2Internistische Praxengemeinschaft Oldenburg, Oldenburg, Deutschland, 3Gemeinschaftspraxis, Praxis für Innere Medizin, Münster, Deutschland, 4End- und Dickdarmzentrum Hannover, Hannover, Deutschland, 5DRK Kliniken Berlin, Klinik für Innere Medizin – Gastroenterologie Westend, Berlin, Deutschland, 6Universitätsklinikum Freiburg, Klinik für Innere Medizin II, Gastroenterologie, Hepatologie, Endokrinologie und Infektiologie, Freiburg, Deutschland, 7Agaplesion Markus Krankenhaus, Medizinische Klinik I, Gastroenterologie, Hepatologie, Onkologie, Infektiologie, Pneumologie, Frankfurt am Main, Deutschland, 8Charité – Universitätsmedizin Berlin, Medizinische Klinik für Gastroenterologie, Infektiologie und Rheumatologie, Berlin, Deutschland, 9Deutsche Morbus Crohn/Colitis ulcerosa Vereinigung, Bundesverband für chronisch entzündliche Erkrankungen des Verdauungstraktes (DCCV) e.V, Berlin, Deutschland, 10Charité – Universitätsmedizin Berlin, Medizinische Klinik mit Schwerpunkt Hepatologie und Gastroenterologie, Berlin, Deutschland, 11Universitätsklinikum Halle, Innere Medizin I, Halle, Deutschland, 1212 Internistische Gemeinschaftspraxis für Verdauungs- und Stoffwechselkrankheiten, Leipzig, Deutschland, 13TUM Klinikum, Klinik und Poliklinik für Innere Medizin II, München, Deutschland, 14Magen Darm Zentrum Wiener Platz, Köln, Deutschland, 15Gastroenterologische Gemeinschaftspraxis, Herne, Deutschland, 16Gemeinschaftspraxis für Innere Medizin, Hannover, Deutschland

Einleitung: Obwohl chronisch-entzündliche Darmerkrankungen (CED) – Morbus Crohn (MC) und Colitis ulcerosa (CU) – alle Geschlechter betreffen, sind mögliche Unterschiede im diagnostischen Verlauf, etwa hinsichtlich Symptompräsentation, -bewertung und Diagnosezeit, bislang unzureichend untersucht.
Ziele: Ziel dieser Analyse ist es deshalb, geschlechtsspezifische Unterschiede in der prädiagnostischen Symptomatik und dem diagnostischen Weg bei CED systematisch zu erfassen und auszuwerten.
Methodik: In diese Interimsanalyse einer deutschlandweiten, multizentrischen Querschnittsstudie wurden 1180 Betroffene (770 Frauen, 410 Männer) aus 42 Zentren eingeschlossen. Mittels Online-Befragung wurden u. a. CED-Entität, Geschlecht, erste Symptome, Zeit bis zur ersten ärztlichen Konsultation, Facharzt-Überweisung und finalen CED Diagnose sowie Fehldiagnosen erhoben. Eingeschlossen wurden Personen ≥18 Jahre mit bestätigter MC- oder CU-Diagnose seit mindestens drei Monaten.
Ergebnisse: Es zeigten sich keine signifikanten Unterschiede zwischen den Geschlechtern in der medianen Zeit bis zur ersten ärztlichen Konsultation nach CED Symptombeginn (MC: Frauen 3 [IQR: 1–12], Männer 3 [0,5–10] Monate, p=0,567, g=0,1; CU: Frauen 2 [0,8–5], Männer 1,3 [0,5–4] Monate, p=0,091, g=0,1) oder bis zur Facharzt-Überweisung (MC: 1,5 vs. 1 Monat, p=0,154, g=0,1; CU: 0,8 vs. 0,5 Monate, p=0,113, g=0,2). Die Zeit von Symptombeginn bis zur Diagnosestellung war bei Frauen signifikant länger (MC: 12 vs. 6,5 Monate, p=0,002, g=0,3; CU: 5 vs. 3 Monate, p=0,006, g=0,2). Auch die Fehldiagnoserate war bei Frauen signifikant höher (40,4 % vs. 34,4 %, p=0,044). Darüber hinaus zeigten sich geschlechtsspezifische Unterschiede in der initialen Symptomatik: Frauen mit MC berichteten häufiger über Durchfall ((p=0,005, ϕ =0), Übelkeit (p=0,013, ϕ=0) oder Arthralgien (p=0. 012, ϕ =0) im Vergleich zu Männern mit MC. Bei CU traten bei Frauen vermehrt Fieber (p < 0,001, ϕ = 0) oder Bauchschmerzen (p = 0,004, ϕ = 0) auf im Vergleich zu Männern mit CU.
Schlussfolgerung: Trotz vergleichbarer Zeitspannen bis zur ersten Konsultation und Facharzt-Überweisung erhielten Frauen mit CED ihre Diagnose signifikant später und litten häufiger unter Fehldiagnosen. Die beobachteten geschlechtsspezifischen Unterschiede in der Symptompräsentation deuten darauf hin, dass diagnostische Ungleichheiten zumindest teilweise auf Unterschiede in der Symptomwahrnehmung und -bewertung zurückzuführen sein könnten.

08:46 – 08:52

KV 034 Vergleich von zwei Fatigue-Fragebögen für Patienten mit chronisch-entzündlichen Darmerkrankungen (CED)

Sophie Wurm (Magdeburg)

KV 034 Vergleich von zwei Fatigue-Fragebögen für Patienten mit chronisch-entzündlichen Darmerkrankungen (CED)

S. Wurm1, R. Rosania1, V. Keitel-Anselmino1, U. von Arnim1

1Universitätsklinikum Magdeburg, Gastroenterologie, Hepatologie und Infektiologie, Magdeburg, Deutschland

Einleitung: Fatigue ist ein häufiges, aber selten diagnostiziertes Symptom bei chronisch-entzündlichen Darmerkrankungen (CED). Der CED-spezifische Fatigue-Fragebogen Inflammatory Bowel Disease Fatigue (IBD-F) wurde 2022 in deutscher Sprache validiert. Er misst die Schwere und Häufigkeit (Teil 1) sowie den Einfluss von Fatigue auf den Alltag (Teil 2). Der Functional Assesment of Cronic Illness Therapy-Fatigue (FACIT-F) misst ebenfalls den Einfluss von Fatigue auf den Alltag. Der FACIT-F ist für CED in englischer, aber nicht in deutscher Sprache validiert und wird oft bei CED-Studien verwendet.
Ziel: Vergleich von IBD-F und FACIT-F bei deutschen Patienten mit CED.
Methodik: Den IBD-F und den FACIT-F füllten CED-Patienten und eine gesunde Kontrollgruppe (K) aus. Bei den CED-Patienten wurde die Krankheitsaktivität durch den partiellen Mayo-Score (pMS bei Colitis ulcerosa; CU) bzw. den Harvey Bradshaw Severity Index (HBSI bei M. Crohn; MC) erfasst. Die interne Konsistenz wurde mittels Cronbachs a berechnet. Zur Beurteilung der Akzeptanz wurde die Anzahl der vollständig ausgefüllten Fragebögen herangezogen. Der IBD-F und der FACIT-F wurden für die CED-Patienten und die K nach Spearman korreliert.
Ergebnis: 382 CED-Patienten (MC n = 240; 98 m, Alter 43,1 ± 13,9; CU n = 142; 72 m; Alter 43,2 ± 12,6) und 130 gesunde Kontrollen (K; 61m; 40,2 ± 16,5) nahmen teil. 75% (286/382) der Patienten gaben Fatigue im IBD-F Teil 1 an und wurden in die weitere Analyse eingeschlossen. Die interne Konsistenz ist mit Cronbachs a für den IBD-F Teil 1 (a = 0,930) Teil 2 (a = 0,979) und den FACIT-F (a = 0,936) als sehr gut zu bewerten. Die Akzeptanz sank mit steigender Item-Anzahl (IBD-F Teil 1 94,4%; Teil 2 80,1%; FACIT-F 90,9%). Es zeigte sich eine signifikant negative Korrelation für die CED- und Kontrollgruppe zwischen dem FACIT-F und dem IBD-F Teil 1 (CED rs = – 0,751 p < 0,01; K rs = – 0, 361p < 0,01) sowie IBD-F Teil 2 (CED rs = – 0,862 p < 0,01; K p = – 0, 463 p < 0,01). Patienten in Remission (59% (168/286)) zeigten im IBD-F Teil 1 und 2 sowie dem FACIT-F niedrigere Fatigue Werte als Patienten mit aktiver Erkrankung (36% (104/286)) und höhere Fatigue Werte als die K. Die K zeigt höhere Fatigue Werte im FACIT-F als im IBD-F (siehe Tab. 1).

Fragebogen CED/Kontrollen N Mdn (IQR)
IBD-F Teil 1 – Gesamtwert Kontrolle
CED – gesamt
– Remissiona
– aktive Erkrankunga
130
286
168
104
0.0 (2.0)
8.0 (5.0)
6.0 (5.0)
10.0 (6.8)
IBD-F Teil 2 – Gesamtwert Kontrolle
CED – gesamt
– Remissiona
– aktive Erkrankunga
130
286
168
104
0.0 (2.3)
21.0 (28.9)
18.0 (19.0)
30.0 (35.4)
FACIT-F – Gesamtwert Kontrolle
CED – gesamt
– Remissiona
– aktive Erkrankunga
130
286
168
104
48.0 (7.3)
35.0 (16.7)
37.5 (16.0)
29.6 (19.8)
Mdn: Median, IQR: Interquartilsabstand. a Aufgrund fehlender Daten konnten der pMS und der HBSI für 14 Patienten nicht berechnet werden.
Höhere Werte beim IBD-F Teil 1 und 2 und niedrigere Werte beim FACIT-F bedeuten stärkere Fatigue. IBD-F Teil 1 – Gesamtwert 0-20; IBD-F Teil 1 – Gesamtwert 0-120; FACIT-F – Gesamtwert 0-52.

Tabelle 1: Deskriptive Statistik des IBD-F und FACIT-F.

Schlussfolgerung: Der IBD-F und FACIT-F erfassen Fatigue bei CED-Patienten sehr gut, wobei der IBD-F gesunde Patienten ohne Fatigue besser erkennt.

08:54 – 09:00

KV 035 Unterschiede in der Erfassung der Fatigue-Prävalenz bei Patient*innen mit chronisch-entzündlichen Darmerkrankungen bei freier Erhebung, KI-gestützter Auswertung mit Large Language Model oder standardisierter Erfassung mittels Fragebogen

Eva Katrin Herrmann (Mannheim)

KV 035 Unterschiede in der Erfassung der Fatigue-Prävalenz bei Patient*innen mit chronisch-entzündlichen Darmerkrankungen bei freier Erhebung, KI-gestützter Auswertung mit Large Language Model oder standardisierter Erfassung mittels Fragebogen

E.K. Herrmann1, E.L. Wilke1, I.C. Wiest1,2, M.P. Ebert1, W. Reindl1, A.K. Thomann1

1II. Medizinische Klinik, Universitätsmedizin Mannheim, Medizinische Fakultät Mannheim, Universität Heidelberg, Mannheim, Mannheim, Deutschland, 2Else Kröner Fresenius Zentrum für Digitale Gesundheit, Medizinische Fakultät und Universitätsklinikum Carl Gustav Carus, Technische Universität Dresden, Dresden, Deutschland

Einleitung: Patient*innen mit einer chronisch-entzündlichen Darmerkrankung (CED) leiden häufig an Fatigue und psychischen Beschwerden wie Angst oder depressiven Symptomen, welche die Lebensqualität erheblich beeinträchtigen können. Im klinischen Alltag steht für das medizinische Personal häufig die Kontrolle der entzündlichen Aktivität im Vordergrund, während Patient*innen sich auch eine Adressierung ihrer extraintestinalen Beschwerden wünschen. Im Rahmen der klinischen Versorgung wurde in unserer Hochschulambulanz im März 2023 daher eine strukturierte Erfassung von extraintestinalen Symptomen mittels Fragebögen (u.a. HADS, FACIT, SHS) eingeführt. Unklar ist, in welchem Ausmaß die strukturierte Erhebung die Detektion extraintestinaler Symptome verbessert.
Ziele: Vergleich der Prävalenz von Fatigue-Symptomatik vor und nach Einführung einer strukturierten Abfrage mittels Fragebögen. Erfassung der Prävalenz von Fatigue-Symptomatik anhand der Auswertung der Ambulanznotizen durch ein Large Language Model.
Methoden: Wir führten eine semantische Datenbankabfrage aus unserem Klinikinformationssystem von den Patientenkontakten der CED-Hochschulambulanz aus dem Zeitraum 01.01.2022 bis 31.12.2022 mit den Items „Fatigue“, „Müdigkeit“, „müde“, „Erschöpfung“, „erschöpft“, „Abgeschlagenheit“, „abgeschlagen“ als Surrogat für die Erfassung von Fatigue-Symptomen durch. Für den gleichen Zeitraum wurden die Ambulanzbriefe durch ein Large Language Model im Hinblick auf das Vorliegen von Fatigue ausgewertet. Im nächsten Schritt wurde die Prävalenz von Fatigue aufgrund des FACIT-F Fragebogens für den Zeitraum 01.03.2023 bis 31.12.2024 ausgewertet.
Ergebnis: Für die Datenabfrage vom 01.01.2022 bis 31.12.2022 wurden n= 1510 Patientenkontakte eingeschlossen. Die Auswertung des Klinikinformationssystems ergab eine Fatigue-Prävalenz von etwa 8,2 %. Die Auswertung durch das Large Language Model ergab eine Fatigue-Prävalenz von etwa 8,9 %. Der FACIT-F Fragebogen mit n= 439 Patient*innen zeigte eine Prävalenz einer schweren Fatigue (FACIT-Score < 30) von etwa 33,9%.
Schlussfolgerung: Durch die strukturierte, fragebogenbasierte Erfassung konnte die Detektion von Fatigue-Symptomen in der Hochschulambulanz deutlich gesteigert werden. Die deutliche Diskrepanz in der Fatigue-Prävalenz zwischen freier vs. strukturierter Erhebung unterstreicht, dass die Fragebogenbasierte Erfassung die Sensitivität erheblich erhöhen und so die ganzheitliche Betreuung von Patient*innen mit CED verbessern kann.
Das Balkendiagramm zeigt die Fatigue-Prävalenz bei den drei untersuchten Erhebungsverfahren. Die Handsuche aus der Datenbankabfrage mit n= 1510 Patient*innen ergab eine Fatigue-Prävalenz von 8,2%. Die Auswertung mit n= 1510 Patient*innen durch das Large Language Model ergab eine Fatigue-Prävalenz von etwa 8,9 %. Der FACIT-F Fragebogen mit n= 439 Patient*innen zeigte eine Prävalenz einer schweren Fatigue (FACIT-Score < 30) von etwa 33,9%.

09:02 – 09:08

KV 036 Kann durch Handkraftmessungen Fatigue bei Patientinnen und Patienten mit chronisch entzündlicher Darmerkrankung (CED) objektiv erfasst werden – Eine nicht – interventionelle Kohortenstudie

Karla Arndt

KV 036 Kann durch Handkraftmessungen Fatigue bei Patientinnen und Patienten mit chronisch entzündlicher Darmerkrankung (CED) objektiv erfasst werden – Eine nicht – interventionelle Kohortenstudie

K. Arndt1, J. Rüddel1, P. Reuken1, A. Stallmach1

1Universitätsklinikum KIM IV, Jena, Deutschland

Einleitung: Fatigue ist ein häufiges Symptom bei Patienten mit CED. Eigene Voruntersuchungen zeigen, dass vor allem die psychische Komponente eine große Rolle spielt. Es besteht somit ein klinischer Bedarf, durch einfache und objektive Messverfahren das Ausmaß bei Fatigue zu erfassen. Fokus dieser Studie ist die Prüfung der Validität der Handkraftmessung als objektives Messverfahren für Fatigue bei Patienten mit CED.
Ziele: Ziel ist es, Fatigue bei CED-Patienten zu evaluieren, graduieren und objektivieren. Es soll erfasst werden, inwiefern Patienten ihren Zustand katastrophisieren oder bagatellisieren. Außerdem möchten wir Faktoren herausarbeiten, die Fatigue beeinflussen.
Methodik: Diese Querschnittsstudie fand im Zeitraum von 03/24-03/25 statt. Dabei wurden die Daten von ambulant und stationär betreuten Patienten mittels 6 verschiedener Fragebögen (FAS, BFI, IMET, PHQ-9, SF-36, IBD-Q) im Hinblick auf Fatigue, Einschränkungen der Teilhabe, depressiver Verstimmung, Lebensqualität und CED-spezifischer Lebensqualität analysiert. Die Krankheitsaktivität wurde mittels pMAYO und HBI erfasst. Eine Handkraftmessung mit dem digitalen Dynamometer (CAMRY-Modell EH101) wurde unter Supervision durchgeführt.
Ergebnis: Insgesamt wurden 101 Teilnehmer eingeschlossen (CU n=36 (35,7%), MC n=65 (64,3%)). 41,6% der Patienten zeigten eine moderate bis schwere Ausprägung der jeweiligen Erkrankung, 31,7% wiesen eine milde Krankheitsausprägung auf und 26,7% befanden sich in Remission. In der Dynamometrie zeigten sich insgesamt deutliche Einschränkungen. 79% der Pat. mit CU und 82 % der Pat. mit MC lagen unterhalb der 50.Perzentile im Vergleich zu alters- und geschlechtsbezogenen Referenzwerten. Diese objektiven Befunde korrelieren mit den subjektiven Ergebnissen des FAS, PHQ-9, sowie des SF-36. Hier zeigt sich eine signifikante Korrelation nach Pearson (jeweils p<0,05). Weiterhin fand sich eine statistisch signifikante Korrelation zwischen der gemessenen Handkraft und dem Hämoglobinwert (p<0,05). Keine Korrelation fand sich hingegen zwischen der Dynamometrie und dem pMAYO bzw. HBI.
Schlussfolgerung: Insgesamt zeigen Patienten mit CED eine ausgeprägte Fatigue, welche sich mittels Dynamometrie objektivieren lässt. Eine Anämie stellt einen zusätzlichen Parameter für Fatigue dar. Da die klinische Krankheitsaktivität nicht mit der Handkraftmessung als objektiven Parameter der Fatigue korrelierte, muss es entzündungsunabhängige Faktoren zur Einschätzung der Fatigue geben.

09:10 – 09:16

KV 037 Ausgeprägte tageszeitliche Variabilität des Auftretens von depressiven Symptomen und Fatigue bei Patienten mit chronisch entzündlichen Darmerkrankungen

Max Bredensteiner (Mannheim)

KV 037 Ausgeprägte tageszeitliche Variabilität des Auftretens von depressiven Symptomen und Fatigue bei Patienten mit chronisch entzündlichen Darmerkrankungen

K. Atanasova1, M. Bredensteiner2, A. Starrmann2, M. Ebert2, S. Lis1, W. Reindl2

1Medzinische Fakultät Mannheim, Universität Heidelberg, Zentralinstitut für Seelische Gesundheit, Abteilung für klinische Psychologie, Mannheim, Deutschland, 2Medzinische Fakultät Mannheim, Universität Heidelberg, II. Medizinische Klinik, Mannheim, Deutschland

Einleitung: Fatigue und Depression treten auch in Remission häufig auf und schränken die Lebensqualität ein. Die Symptome überlappen jedoch in großem Ausmaß, was es schwierig macht, die Krankheitsbilder sicher zu differenzieren um zielgerichtet zu behandeln. In dieser prospektiven Studie wurden psychologische und biologische Parameter im Alltag erfasst und deren Effekt auf Symptome von Depression und Fatigue bei Patienten mit CED untersucht.
Ziele: Identifikation spezifischer Symptomkombinationen, die eine bessere Unterscheidung zwischen Depression und Fatigue ermöglichen.
Methodik: Im Rahmen des ambulanten Assessments wurden 16 Patienten an sieben Tage in Folge sechsmal täglich zu depressiven Symptomen, Fatigue, Stressempfinden, Stimmung und Krankheitsaktivität sowie täglich zu Schlafdauer und -qualität befragt. Zusätzlich wurde die physische Aktivität durch einen EKG- und Bewegungssensor gemessen und Bioproben analysiert. Mit Hilfe multipler linearer Regressions- und Netzwerkanalysen wurden die Vorhersagemöglichkeit der o.g. Faktoren bezüglich Depression und Fatigue bei CED sowie unterschiedliche Muster statistischer Assoziationen analysiert.
Ergebnis: Selbst-berichtete Schlafqualität (p =.034) und Traurigkeitsgefühle (p =.045) konnten Symptome von Depression signifikant vorhersagen, während sich Fatigue allein durch schlechte Schlafqualität (p =.030) vorhersagen ließ. Netzwerkanalysen zeigten zwei verschiedene Muster auf: Symptome von Depression waren sowohl mit weniger positivem (p =.024) und mehr negativem (p =.012) Affekt als auch mit stärkeren Gefühlen von Müdigkeit (p =.014) im Alltag assoziiert. Fatigue war durch eine Unfähigkeit, sich entspannt zu fühlen (p =.002), schwerere Müdigkeit (p =.013) und Erschöpfung (p =.022) charakterisiert.
Schlussfolgerung: Unsere Ergebnisse legen nahe, dass depressive Symptome stärker mit dem Erleben negativer Emotionen im Alltag verbunden sind. Dies kann die Bereitschaft der Patienten an sozialen Interaktionen und Aktivitäten teilzunehmen verringern, was dann als Fatigue interpretiert wird. Im Gegensatz dazu steht bei Fatigue das Gefühl von Müdigkeit und Erschöpfung im Vordergrund, ohne dass dies mit negativen Emotionen verbunden ist. Daher könnte ein gezielter Ansatz für Patienten mit depressiven Symptomen darin bestehen, positive Emotionen auslösende Aktivitäten zu fördern, während für Patienten mit Fatigue entspannende Aktivitäten mit einer moderaten körperlichen Komponente, wie z. B. Yoga, in Frage kämen.

09:18 – 09:24

KV 039 Zusammenhang zwischen inflammatorischen Zytokinen und Fatigue und Depression bei aktivem Morbus Crohn

Konstantina Atanasova

KV 039 Zusammenhang zwischen inflammatorischen Zytokinen und Fatigue und Depression bei aktivem Morbus Crohn

K. Atanasova1, L.-L. Knödler1, F. Herweck1, M. Ebert1, A. Thomann1, W. Reindl1

1II. Med. Klinik, Universitätsklinikum Mannheim, Medizinische Fakultät Mannheim, Universität Heidelberg, Mannheim, Deutschland

Einleitung: Besonders in aktiven Phasen einer chronisch-entzündlichen Darmerkrankung (CED) leiden viele Betroffene auch unter Symptomen wie Fatigue und Depression. Die immunologischen und molekularen Mechanismen, die der hohen Komorbidität von CED und psychischen Symptomen zugrunde liegen, sind nicht ausreichend gut verstanden. Subklinische Entzündungsprozesse, die mit erhöhten Konzentrationen zirkulierender Zytokinen einhergehen, könnten bei der Entstehung der genannten Symptome beteiligt sein.
Ziele: Untersuchung des Zusammenhangs zwischen inflammatorischen Zytokinen im Blut und Symptomen von Fatigue und Depression bei Patient:innen mit CED
Methodik: Bei 26 CED-PatientInnen mit aktiver Erkrankung vor einer geplanten Therapieumstellung wurden Symptome von Fatigue (WEImUS) und Depression (HADS) mittels Fragebögen erfasst. Zusätzlich erfolgte die Bestimmung von inflammatorischen Zytokinen mittels eines ProcartaPlex™ Human Cytokine & Chemokine Convenience Panel 1A 34-Plex (IL-1b, IL-4, IL-5, IL-12, IL-13, IL-21, IFN-g, TNF-a) im Serum basierend auf der ELISA-Methode, sowie die Erfassung klinischer Entzündungsmarker im Blut (CRP) und im Stuhl (Calprotectin). Die Zusammenhänge zwischen den Variablen wurden mittels einer Netzwerkanalyse untersucht.
Ergebnis: Symptome von Depression und Fatigue waren untereinander stark korreliert (r=.59, p< .001) und zeigten einen Zusammenhang mit der Konzentration von IL-1b (Fatigue: r=.23, p=.05; Depression: r=.26, p=.02) und IL-13 im Serum (Fatigue: r=.19, p=.05; Depression: r=.20, p=.04). Fatigue zeigte einen direkten, aber keinen signifikanten Zusammenhang mit den erhobenen klinischen Entzündungsmarkern (CRP: r=.20, p=.35; Calprotectin: r=.15, p=.46), während der Zusammenhang zwischen Depression und systemischer Entzündung durch IL-13 vermittelt wurde (r=.36, p = .07).
Schlussfolgerung: Die wechselseitige Interaktion zwischen Darm und Gehirn über neuronale Verbindungen ist gut nachgewiesen. Die Rolle der zirkulierenden Zytokine ist jedoch weniger gut definiert. Unsere Ergebnisse bestätigen frühere Befunde, die einen Zusammenhang zwischen IL-13 und Depression sowie IL-1b und Müdigkeit postulieren. Während das allgemeine Entzündungsniveau, gemessen an CRP und Calprotectin, weniger relevant für die Ausprägung von Fatigue und Depression ist, scheint die erhöhte Konzentration spezifischer Zytokine einen Einfluss auf die komorbiden psychischen Symptome zu haben.

09:26 – 09:32

KV 040 Dynamische Assoziation von Fatigue-Linderung mit Tryptophan-Metaboliten unter Biologika-Therapie bei chronisch entzündlichen Darmerkrankungen

Kaya-Alisa L. Nemitz

KV 040 Dynamische Assoziation von Fatigue-Linderung mit Tryptophan-Metaboliten unter Biologika-Therapie bei chronisch entzündlichen Darmerkrankungen

K.-A.L. Nemitz1, D.M.M. Harris1,2,3, F. Schrinner2, S. Nikolaus1, S. Waschina3, A. Franke2, P. Rosenstiel2, S. Schreiber1,2, K. Aden1,2, F. Tran1,2

1Klinik für Innere Medizin I, Kiel, Deutschland, 2Institut für klinische Molekularbiologie, Kiel, Deutschland, 3Institut für Humanernährung und Lebensmittelkunde, Kiel, Deutschland

Hintergrund & Ziele: Ein gesteigerter Tryptophan-Katabolismus wurde nicht nur mit der Krankheitsaktivität bei chronisch-entzündlichen Darmerkrankungen (CED) in Verbindung gebracht, sondern auch mit Fatigue – einem wichtigen, von Patient*innen berichteten Symptom, welches die Lebensqualität erheblich beeinträchtigt. Frühere Studien zeigten, dass erfolgreiche Behandlung der intestinalen Krankheitsmanifestation den gesteigerten Tryptophan-Katabolismus reduzieren kann. Ziel der Studie ist es, zu untersuchen, ob langfristige Veränderungen im Tryptophan-Stofwechsel unter Biologika-Therapie unabhängig mit einer Verbesserung von Fatigue assoziiert sind.
Methoden: Insgesamt wurden 303 CED-Patient*innen in diese prospektive Studie eingeschlossen. Patientencharakteristika, Krankheitsaktivitätsindizes, Routinelabordaten, Fatigue (FACIT-Fatigue-Fragebogens), sowie die gesundheitsbezogene Lebensqualität (SF-36-Fragebogen) wurden zu Studienbeginn sowie 2, 6, 14, 26, und 52 Wochen nach Beginn der Therapie erfasst. Eine k-means-longitudinal-Analyse (kml) diente der Identifikation charakteristischer Verläufe der Fatigue-Reduktion. Bei 134 Patient*innen wurden Tryptophan-Metabolite im Serum zu Beginn, Woche 2 und Woche 14 analysiert, um dynamische Assoziationen mit Fatigue-Linderung zu identifizieren.
Ergebnisse: Fatigue wurde durch Faktoren wie Geschlecht, Krankheitsaktivität, Entzündungsmarkern, Anämie und Lipidprofilen beeinflusst. Eine longitudinale Clusteranalyse der FACIT-Fatigue-Verläufe mithilfe der kml-Methode ermöglichte die Identifikation von drei klar unterscheidbaren Verlaufsmustern bei Patient*innen: (i) keine Fatigue über den gesamten Verlauf, (ii) Fatigue Linderung nach erfolgreicher Therapie und (iii) persistierende Fatigue. Gruppen unterschieden sich deutlich in SF-36 Domänen wie genereller Gesundheit, körperliche Funktionsfähigkeit und soziale Funktionsfähigkeit. Trotz Zusammenhang zwischen Fatigue-Linderung und klinischem Therapieansprechen zeigten lineare mixed-effects-Modelle, dass Tryptophan und Chinaldinsäure unabhängig von Entzündung mit Fatigue-Linderung verknüpft waren.
Schlussfolgerung: Wir identifizierten Veränderungen im Tryptophan-Metabolismus, die unabhängig mit der Linderung von Fatigue assoziiert sind – unabhängig vom Therapieansprechen. Diese Metabolite zeigen Potential als Biomarker-Kandidaten zur Überwachung der Fatigue-Verbesserung.

09:34 – 09:40

KV 041 Mögliche Assoziation zwischen dem Konsum von rotem und verarbeitetem Fleisch mit Fatigue und Ängstlichkeit bei Patienten mit chronisch-entzündlichen Darmerkrankungen (CED)

Henrieke Hardt

KV 041 Mögliche Assoziation zwischen dem Konsum von rotem und verarbeitetem Fleisch mit Fatigue und Ängstlichkeit bei Patienten mit chronisch-entzündlichen Darmerkrankungen (CED)

H. Hardt1, E. Wilke1, E. Herrmann1, W. Reindl1, M. Ebert1, A. Thomann2

1Uniklinik Mannheim, Mannheim, Deutschland, 2Uniklinikum Mannheim, Mannheim, Deutschland

Hintergrund: Patient*innen mit chronisch-entzündlichen Darmerkrankungen (CED) leiden häufig unter Fatigue und psychischen Beschwerden. Eine mediterrane Ernährung (ME) wird empfohlen, da sie sich positiv auf CED und psychische Gesundheit auswirkt. Unklar ist, welche Aspekte der ME hierfür verantwortlich sind. Zudem erfolgt eine umfassende Ernährungsanalyse aus Zeitgründen selten. In dieser Studie wurden fünf Ernährungsaspekte, die als „gesund“ (frische/unverarbeitete Produkte, Gemüse, Oliven-/Rapsöl) oder „ungesund“ (rotes/verarbeitetes Fleisch, Fast Food) gelten, semi-quantitativ erfasst und auf ihren Zusammenhang mit Fatigue und psychischen Beschwerden untersucht.
Methoden: Ambulante Patient*innen mit CED (n=215) füllten Fragebögen zu Fatigue, Depression, Angst und zur Adhärenz an die ME aus. Für jedes der fünf Ernährungsitems wurde ein Punktwert vergeben (Score 0–14; höhere Werte = gesündere Ernährung). Es wurden Spearman-Korrelationen zwischen den Einzelwerten und den Symptomen berechnet.
Ergebnisse: Die Adhärenz zur ME in unserer Stichprobe war gering, der mediane 5-Item-Gesamtscore lag bei 9 Punkten und korrelierte mit der ME-Adhärenz (ρ = .428, p < .001). 77 % berichteten über überwiegenden Verzehr frischer Produkte, 60 % bevorzugten Oliven-/Rapsöl. Nur 29 % verzehrten mindestens eine Portion frisches Gemüse täglich, <1 % drei Portionen täglich. 47 % konsumierten mindestens wöchentlich rotes/verarbeitetes Fleisch, 15 % sogar täglich. Fast Food wurde von 15 % regelmäßig (1–7x/Woche) konsumiert. Der Konsum von rotem/verarbeitetem Fleisch korrelierte positiv mit Fast-Food-Konsum (ρ = .294, p < .001) sowie mit Angst (ρ = .169, p = .013) und Fatigue (ρ = .164, p = .014).
Fazit: In dieser unselektierten CED-Kohorte zeigten sich häufig „ungesunde“ Ernährungsgewohnheiten mit sehr geringem Gemüseverzehr. Der Zusammenhang zwischen Fleischkonsum und psychischen Symptomen bleibt nach Korrektur für multiples Testen nicht signifikant, ist aber beachtenswert und sollte weiter untersucht werden. Unser 5-Item-Score korrelierte mit der ME-Adhärenz und könnte als schnelles Screening-Instrument dienen, sollte jedoch um weitere ernährungsrelevante Aspekte ergänzt werden.

Kurzvortragssitzung

Perioperatives Management

09:30 – 10:58

Do 18.09.

Seminarraum 6 + 7

Open Accordion - Icon Close Accordion - Icon

Vorsitz: Svenja Sliwinski (Frankfurt am Main)

09:30 – 09:36

KV 372 Prädiktiver Stellenwert Ernährungsscores und Surrogatparametern der Leberfunktion

Georgios Polychronidis (Heidelberg)

KV 372 Prädiktiver Stellenwert Ernährungsscores und Surrogatparametern der Leberfunktion

G. Polychronidis1, J. Fuchs1, R. Klotz1, S. Shraim1, A. Mehrabi1, G. Lurje1, M. Loss1, M. Büchler2, P. Probst3, C. Michalski1, M. Al-Saeedi1

1Universitätsklinikum Heidelberg, Klinik für Allgemein-, Viszeral-, und Transplantationschirurgie, Heidelberg, Deutschland, 2Botton Champalimaud Foundation, Lisabon, Portugal, 3Kantonsspital Frauenfeld, Frauenfeld, Schweiz

Einleitung: Präoperative Ernährungsscreenings wie NRS-2002, MUST oder SGA sind etabliert zur Identifikation von Risikopatienten vor Leberresektionen. Ihre Aussagekraft in Bezug auf postoperative Komplikationen und Mortalität bleibt jedoch uneinheitlich. Im Gegensatz dazu gelten die laborbasierten Biomarker APRI (Aspartat-Aminotransferase/Thrombozyten-Verhältnis) und ALBI (Albumin-Bilirubin-Score) als validierte prädiktive Parameter.
Ziele: Ziel dieser Arbeit war es, die Beziehung zwischen diesen Biomarkern und Ernährungsscores zu untersuchen sowie deren jeweilige Fähigkeit zur Vorhersage klinischer Endpunkte zu vergleichen.Primäres Ziel war die Analyse der Assoziation von APRI, ALBI und APRI+ALBI mit etablierten Ernährungsscores.
Methodik: In einer retrospektiven Analyse wurden 166 Patient:innen aus der NURIMAS-Liver-Kohorte eingeschlossen. Es erfolgte die Berechnung von APRI, ALBI und einem kombinierten Score (APRI+ALBI). Die Assoziation mit Ernährungsscores (NRS-2002, MUST, SGA, NRC, INSYST2 RED) wurde mittels alters- und geschlechtsadjustierter logistischer Regressionsmodelle analysiert. Für die Endpunkte Krankenhausmortalität, Gesamtverweildauer und Intensivverweildauer wurden lineare und logistische Regressionsanalysen durchgeführt. Subgruppenanalysen berücksichtigten den Resektionsumfang (≤3 vs. >3 Segmente) sowie metastatische Erkrankung mit/ohne präoperativer Chemotherapie.
Ergebnis: APRI und ALBI zeigten signifikante Assoziationen mit mehreren Ernährungsscores, darunter NRC, MUST und SGA. Der kombinierte Score korrelierte am konsistentesten mit allen untersuchten Screeninginstrumenten. Dennoch waren diese Ernährungsscores selbst nicht mit Mortalität oder Verweildauer assoziiert. Im Gegensatz dazu sagte der kombinierte APRI/ALBI-Score die Krankenhausmortalität signifikant vorher (OR 3,6; 95 %-KI 1,3–10,2). Auch in Subgruppenanalysen zeigten sich unterschiedliche Assoziationsmuster zwischen den Biomarkern und klinischen Endpunkten.
Schlussfolgerung: Obwohl Ernährungsscores mit APRI und ALBI korrelieren, zeigten sie im untersuchten Kollektiv keine vergleichbare prognostische Aussagekraft. APRI und ALBI – insbesondere in Kombination – scheinen zuverlässigere Prädiktoren für postoperative Verläufe zu sein. Die Ergänzung etablierter Ernährungsscores durch objektive Biomarker könnte die präoperative Risikostratifizierung bei Leberresektionen verbessern.

09:38 – 09:44

KV 373 Prävalenz von Malnutrition, Sarkopenie, Frailty und deren Abhängigkeit von Ernährungs-/Wohnsituation bei älteren Patienten in der hausärztlichen Versorgung

Jan-Niklas Wellers

KV 373 Prävalenz von Malnutrition, Sarkopenie, Frailty und deren Abhängigkeit von Ernährungs-/Wohnsituation bei älteren Patienten in der hausärztlichen Versorgung

J.-N. Wellers1, K. Hupa-Breier2, K. Schütte3

1MVZ Ihre Hausärzte Osnabrück, Osnabrück, Deutschland, 2Medizinische Hochschule Hannover, Klinik für Gastroenterologie, Hepatologie, Infektiologie und Endokrinologie, Hannover, Deutschland, 3Niels-Stensen-Kliniken Marienhospital Osnabrück, Klinik für Innere Medizin, Gastroenterologie und Diabetologie, Osnabrück, Deutschland

Einleitung: Infolge des wachsenden Populationsanteils älterer Menschen haben Malnutrition, Sarkopenie und Frailty als Risikofaktoren für akute und chronische Erkrankungen eine zunehmende Bedeutung. Angaben zur Prävalenz in einem heterogenen, hausärztlich versorgten Patientengut und Risikofaktoren fehlen.
Ziele: Die Prävalenz von Malnutrition, Sarkopenie und Frailty wurde in einer Kohorte ambulant hausärztlich versorgter, älterer Patienten in Abhängigkeit von Wohn- und Ernährungssituation erhoben. Dabei soll auch die Anwendbarkeit verschiedener Screening-Tools für Malnutrition im hausärztlichen Kontext untersucht werden.
Methodik: In einer prospektiven Querschnittsstudie innerhalb einer Hausarztpraxis wurden Individuen im Alter von ≥70 Jahren eingeschlossen. Neben demographischen Daten (Ernährungs-/Wohnsituation, Medikation, Erkrankungen, Alltagskompetenz (ADL/IADL), kognitivem Status (SPMSQ)) wurden der Ernährungsstatus und das Risiko für Malnutrition auf verschiedene Arten erfasst (Gewicht, BMI, Oberarm-/Unterschenkelumfang, NRS 2002, MUST, MNA). Sarkopenie wurde anhand des Fragebogens SARC-F bestimmt. Frailty wurde anhand der Cardiovascular-Health-Study-Kriterien nach Fried ermittelt.
Ergebnis: Es wurden insgesamt 65 Frauen und 35 Männer im Alter von 70 bis 96 Jahren (Mittel 81,4 Jahre) eingeschlossen. Von diesen lebten 57 selbständig (zu Hause, betreutes Wohnen) und 43 in einer abhängigen Situation (Pflegende im Haushalt, Wohngemeinschaften, Pflegeheime). Die Ernährungsversorgung erfolgte bei 35 Patienten selbständig, bei 65 Patienten abhängig. Durch die Screeningtools für das ambulante Setting wurde bei 46% (MNA) bzw. 29% (MUST) der Patienten ein Risiko für Malnutrition detektiert. Hierbei fiel ein hohes Risiko für Malnutrition häufiger bei selbständig lebenden sowie bei abhängig versorgten Menschen im Vergleich zu selbständig Lebenden/Ernährungsversorgten auf. Ein hohes Risiko für Sarkopenie wurde bei 61% der Patienten erfasst. Die Prävalenz war bei abhängig lebenden und abhängig versorgten Menschen höher als bei selbständig lebenden und versorgten Menschen.
Schlussfolgerung: Durch Anwendung validierter Screeningtools für den ambulanten Sektor wird eine hohe Prävalenz von Malnutrition und Sarkopenie bzw. Frailty in der geriatrischen Bevölkerung ersichtlich, die mit der Ernährungs- und Wohnsituation assoziiert ist und bei alleiniger Betrachtung anthropometrischer Daten übersehen wird. Die diversen Screeningstools führen jedoch zu heterogenen Ergebnissen.

Testverfahren Screening-Ergebnis Häufigkeit
BMI BMI (<18,5) 9%
MNA Auffällig (<23,5) 46%
Risiko Mangelernährung (17-23,5) 38%
Mangelernährung (<17) 8%
MUST Auffällig (≥1) 29%
Mittleres Risiko (=1) 12%
Hohes Risiko (>1) 17%
NRS-2002 Hohes Risiko (≥ 3) 20%
SARC-F Hohes Risiko (≥4) 61%
Fried-Frailty-Index Prefrailty (1-2) 39%
Frailty (≥3) 46%
Tabelle 1: Gesamtprävalenz auffälliger Testergebnisse in der Studienkohorte
Testverfahren Screening-Ergebnis Selbstständig Abhängig
BMI BMI (<18,5) 8,8% 9,3%
MNA Auffällig (<23,5) 45,6% 46,5%
Risiko Mangelernährung (17-23,5) 35,1% 41,9%
Mangelernährung (<17) 10,5% 4,7%
MUST Auffällig (≥1) 33,3% 23,3%
Mittleres Risiko (=1) 12,3% 11,6%
Hohes Risiko (>1) 21,1% 11,6%
NRS-2002 Hohes Risiko (≥ 3) 21,1% 18,6%
SARC-F Hohes Risiko (≥4) 49,1% 70,2%
Fried-Frailty-Index Prefrailty (1-2) 36,8% 41,9%
Frailty (≥3) 38,6% 55,8%
Tabelle 2: Relative Häufigkeit auffälliger Testergebnisse nach Wohnsituation
Testverfahren Screening-Ergebnis Selbstständig Abhängig
BMI BMI (<18,5) 14,3% 6,2%
MNA Auffällig (<23,5) 40% 49,2%
Risiko Mangelernährung (17-23,5) 37,1% 38,5%
Mangelernährung (<17) 2,9% 20%
MUST Auffällig (≥1) 34,3% 26,1%
Mittleres Risiko (=1) 17,1% 9,2%
Hohes Risiko (>1) 17,1% 16,9%
NRS-2002 Hohes Risiko (≥ 3) 14,3% 23,1%
SARC-F Hohes Risiko (≥4) 25,7% 80%
Fried-Frailty-Index Prefrailty (1-2) 48,6% 33,8%
Frailty (≥3) 14,3% 63,1%
Tabelle 3: Relative Häufigkeit auffälliger Testergebnisse nach Ernährungsversorgung

09:46 – 09:52

KV 374 Einsatz einer Smartphone-Applikation im Rahmen des multimodalen Konzepts vor bariatrischen Operationen – Ergebnisse einer randomisierten Pilotstudie

Celine Kadesch (Mannheim)

KV 374 Einsatz einer Smartphone-Applikation im Rahmen des multimodalen Konzepts vor bariatrischen Operationen – Ergebnisse einer randomisierten Pilotstudie

C. Kadesch1, N. Taebi1, C. Reißfelder1, M. Otto1, C. Yang1

1Universitätsmedizin Mannheim, Chirurgie, Mannheim, Deutschland

Einleitung: Für das Public Health Problem Adipositas, stellt die bariatrische und metabolische Chirurgie, mit effektiver Gewichtsreduktion und Verbesserung der Komorbiditäten, eine nachhaltig wirksame Therapie dar. Der Abschluss des multimodalen Konzepts (MMK) vor der Operation ist laut deutscher Leitlinie empfohlen. Einige Patient*innen stehen diversen Barrieren im Abschluss des MMK gegenüber. Mobile Applikationen (App) könnten im präoperativen Bereich Chancen bieten.
Ziele: Die Effektivität der Verwendung einer App im Rahmen des MMK vor bariatrischen Operationen zu untersuchen.
Methoden: Am Adipositaszentrum Rhein-Neckar der Universitätsmedizin Mannheim wurden Patient*innen eingeschlossen und geschlechtsstratifiziert entweder der Standardbehandlung (Kontrollgruppe) oder einer App-unterstützten MMK-Betreuung (Interventionsgruppe) zugeteilt. Die App bietet Termin- und Aufgaben-Reminder, sowie edukative Inhalte. Der primäre Endpunkt besteht aus dem Anteil an operierten Patient*innen der jeweiligen Gruppe 12 Monate nach Studieneinschluss oder am Tag der OP-Planung. Sekundäre Endpunkte erfassen Lebensqualität, Gewichtsverlust, Body Impedance Analysis Parameter, Komorbiditäten, Compliance, Dauer des MMK.
Ergebnisse: 900 Patient*innen wurden gescreent, davon wurden 223 in der Studie eingeschlossen (Intervention: n=114; Kontrolle; n=109). Bisher sind 97 Patient*innen operiert, davon 51 Patient*innen aus der App-Gruppe und 46 aus der Kontrolle-Gruppe. Insgesamt haben 46 Patient*innen den Studienabschluss erreicht ohne eine Operation, aus diversen Gründen (kein MMK Abschluss, ausreichender Gewichtsverlust etc.) Die Follow-up-Phase endet voraussichtlich am 17.05.2025; vollständige Analysen zu allen Endpunkten werden zum Kongress vorliegen.
Schlussfolgerung: Diese Studie ist bisher die erste, die eine Nutzung einer mobilen Applikation im präoperativen Setting vor bariatrischen Operationen in dieser Weise untersucht. Diese Intervention könnte potentiell zu einer Verbesserung der Patientenversorgung in einem präoperativen Umfeld führen.

09:54 – 10:00

KV 375 RERAS – Robotisch-assistierte kolorektale Resektionen in Kombination mit ERAS® bei älteren Patienten: Optimierung der Genesung oder zusätzliche Komplexität?

Mohamad El-Ahmar (Mannheim)

KV 375 RERAS – Robotisch-assistierte kolorektale Resektionen in Kombination mit ERAS® bei älteren Patienten: Optimierung der Genesung oder zusätzliche Komplexität?

M. El-Ahmar1

1Universitätsmedizin Mannheim, Klinik für Chirurgie, Mannheim, Deutschland

Einleitung: In den letzten Jahren hat sich die robotisch-assistierte Chirurgie (RAS) als minimal-invasives Verfahren etabliert und wird zunehmend bei verschiedenen viszeralchirurgischen Eingriffen angewendet. Die Kombination von RAS mit dem Enhanced Recovery After Surgery (ERAS®)-Konzept bei kolorektalen Resektionen zeigt vielversprechende Ergebnisse.
Ziele: Ziel dieser Studie ist die Bewertung der Durchführbarkeit von RAS in Verbindung mit einem multimodalen perioperativen ERAS®-Protokoll bei älteren Patienten.
Methoden: Diese retrospektive Analyse basiert auf einer prospektiv geführten Datenbank und umfasst alle Patienten im Alter von ≥70 Jahren, bei denen zwischen Januar 2019 und April 2024 an zwei deutschen Darmkrebszentren eine robotisch-assistierte kolorektale Resektion durchgeführt und perioperativ gemäß ERAS®-Protokoll behandelt wurden. Primärer Endpunkt war das kurzfristige perioperative Outcome der Patienten, einschließlich Operationsdauer, Konversionsrate, Verweildauer auf der Intermediate Care Unit (IMC), postoperative Komplikationen nach Clavien-Dindo, Rate an Anastomoseninsuffizienzen und Reoperationen, Länge des Krankenhausaufenthalts sowie Adhärenz an ERAS®-Leitlinien.
Ergebnisse: Insgesamt wurden 161 Patienten eingeschlossen (99 Kolon- und 62 Rektumresektionen). Die mediane Operationsdauer betrug 153 Minuten (IQR: 130–197) bei Kolon- und 243 Minuten (IQR: 120–467) bei Rektumresektionen. Die Konversionsrate lag bei 1 % für Kolon- und 4,8 % für Rektumresektionen. Die postoperative IMC-Verweildauer betrug median 0 Tage für alle Patienten. Anastomoseninsuffizienzen traten in 7 Fällen (7 %) nach Kolonresektionen auf, mit einer Gesamt-Reoperationsrate von 10 %. Bei Rektumresektionen lag die Rate der Anastomoseninsuffizienz bei 9,7 % (6 Fälle), mit einer Gesamt-Reoperationsrate von 16,1 %. Die Adhärenz an das ERAS®-Protokoll lag bei 91,3 % für Kolon- und 85 % für Rektumresektionen. Die mediane Verweildauer im Krankenhaus betrug 5 Tage (IQR: 4–6) bei Kolon- und 6 Tage (IQR: 5–11) bei Rektumresektionen. Die 30-Tage-Wiedereinweisungsrate lag bei 4 % (4 Fälle) für Kolon- und 8 % (5 Fälle) für Rektumresektionen.
Schlussfolgerung: Die multimodale perioperative Betreuung gemäß des ERAS®-Konzepts in Kombination mit RAS wirkt sich positiv auf das kurzfristige Outcome bei älteren und komorbiden Patienten aus. Die Behandlung nach diesem kombinierten Ansatz ist somit sowohl sicher als auch praktikabel.

10:02 – 10:08

KV 376 Robotic versus Laparoskopie: Kopf-an-Kopf-Rennen kolorektaler Resektionen in Kombination mit dem ERAS-Konzept – Wer bestimmt die Zukunft der minimalinvasiven Chirurgie?

Mohamad El-Ahmar (Mannheim)

KV 376 Robotic versus Laparoskopie: Kopf-an-Kopf-Rennen kolorektaler Resektionen in Kombination mit dem ERAS-Konzept – Wer bestimmt die Zukunft der minimalinvasiven Chirurgie?

M. El-Ahmar1

1Universitätsmedizin Mannheim, Klinik für Chirurgie, Mannheim, Deutschland

Einleitung: In den letzten Jahren hat sich neben der laparoskopisch assistierten Chirurgie (LAS) auch die robotisch assistierte Chirurgie (RAS) als minimalinvasiver Zugangsweg etabliert und wird erfolgreich in vielen viszeralchirurgischen Eingriffen eingesetzt. Bisherige Studien zu ERAS® im Rahmen von kolorektalen Resektionen basieren jedoch hauptsächlich auf laparoskopische Verfahren.
Ziele: Ein Vergleich beider Operationsmethoden unter Einbeziehung des ERAS-Konzepts ist notwendig, um klare Empfehlungen für die Zukunft abgeben zu können. Zudem soll die Studie zur Überprüfung der Qualität der hausintern praktizierten Verfahren dienen.
Methodik: Diese prospektive, bizentrische Analyse umfasst alle laparoskopischen (Gruppe A) und robotischen (Gruppe B) kolorektale Resektionen der beiden Zentren, die im Zeitraum von 09/2020 bis 04/2024 perioperativ nach dem ERAS-Konzept behandelt wurden. Primärer Endpunkt war das postoperative Kurzzeitergebnis der Patienten. Verglichen wurden die Operationsdauer, Konversionsrate, Durchführung intracorporaler Anastomosen, IMC-Aufenthalt in Tagen, Komplikations- und Re-Operationsrate, Krankenhausverweildauer und ERAS-Leitlinienadhärenz.
Ergebnisse: Insgesamt wurden 866 Patienten eingeschlossen (660 Kolon-, 206 Rektumresektionen). RAS war mit signifikant geringerem Blutverlust bei Kolonresektionen (80 vs. 150 mL; p < 0.0001) und höherer ERAS®-Adhärenz (Kolon: 90% vs. 79%; p < 0.0001) assoziiert. Rechte Kolonresektionen zeigten zudem kürzere Operationszeiten (p < 0.0001). Bei den Rektumresektionen ergab die matched-paired Analyse eine höhere ERAS®-Compliance in der RAS-Gruppe (82% vs. 73%; p = 0.0006), jedoch ohne signifikante Unterschiede in Bezug auf Komplikationen, Anastomoseninsuffizienzen oder Revisionsraten
Schlussfolgerung:

  • RAS zeigt im Vergleich zu LAS klare Vorteile bei Kolonresektionen: geringerer Blutverlust und signifikant höhere ERAS®-Adhärenz.

  • Bei rechtsseitigen Kolonresektionen konnte zudem eine kürzere Operationsdauer nachgewiesen werden.

  • Bei Rektumresektionen war die ERAS®-Adhärenz unter RAS höher als unter LAS – ein vielversprechender Hinweis darauf, dass künftig auch im perioperativen Management signifikante Vorteile gegenüber der Laparoskopie erzielt werden können.

10:10 – 10:16

KV 377 Kurz – vs Langstichtechnik bei medianen Laparotomien (ESTOIH-Studie): 1-3-5 Jahresergebnisse einer prospektiv randomisierten, kontrollierten Studie

Markus Golling (Schwäbisch Hall)

KV 377 Kurz – vs Langstichtechnik bei medianen Laparotomien (ESTOIH-Studie): 1-3-5 Jahresergebnisse einer prospektiv randomisierten, kontrollierten Studie

M. Golling1, P. Baumann2, ESTOIH – Studiengruppe

1Das DIAK, Klinik für Allgemein – und Viszeralchirurgie, Schwäbisch Hall, Deutschland, 2BBraun – Aesculap, Tuttlingen, Deutschland

Einleitung: Inzisionale Hernien sind ein häufiges Problem nach medianer Laparotomie. Diese Studie verglich die Einzelfaden-Kurzstichtechnik mit einer Schlingennaht (jeweils > 4:1 Naht/Wundlänge [SL/WL-Verhältnis]) bei gleichem ultralang-resorbierbaren elastischen Nahtmaterial.
Ziele: Erstmalige Präsentation der 5 J.-Resultate der ESTOIH-Studie (Registration number: NCT01965249 (http://www.clinicaltrials.gov).
Methodik: Prospektive, multizentrische, doppelt verblindete, randomisierte, kontrollierte Überlegenheitsstudie bei elektiv operierten erwachsenen Patienten. Randomisierung in 2 Gruppen (computer-generated sequence): 1) Kurzstichtechnik (Einzelfaden, USP 2-0, HR 26) oder Langstichtechnik (Schlinge, USP 1, HR 48) Stichplatzierung 10mm lateral,10mm Intervall mit einem poly-4OH-butyrat-Fadenmaterial (Monomax®). Primärzielgröße war die Hernieninzidenz nach 1,3 und 5 Jahren (US-kontrolliert).
Ergebnisse: Die Studie randomisierte 425 Patienten in die Kurz- (n=215) oder Langstichtechnik (n=210). 414 (97.4 %) komplettierten das 1 Jahres follow-up. In der Kurzstich-Gruppe [KS] wurden mehr Faszienstiche (46±12) als in der Langstich-Gruppe [LS] gesetzt (25±7; p<0.001) & gleichzeitig zeigte sich eine höhere SL/WL-Ratio ([KS] 5.3±2.2 vs [LS] 4.0±1.3; p<0.001). Die Hernieninzidenz war zwar nach 1,3 & 5 Jahren kumulativ niedriger in der KS- als in der LS-Gruppe (3.3 vs 6,4%; 7,6 vs 6,4%; 9,1 vs 13,9%, n.s.), wies aber keinen signifikanten Unterscheid auf (Odds ratio: 1.97; 1.42; 1.60; n.s.).
Schlussfolgerung: The 1-5 Jahres Hernienrate liegt in der in KS-Gruppe etwas niedriger aber durchwegs unterhalb der Signifikanzschwelle, bei einem jährlichen Anstieg von 1-2 % in beiden Gruppen.

10:18 – 10:24

KV 378 Interpretierbares maschinelles Lernen in der Notfallchirurgie: Dynamische Prädiktion bei akutem Abdominalschmerz

Jonas Henn (Bonn)

KV 378 Interpretierbares maschinelles Lernen in der Notfallchirurgie: Dynamische Prädiktion bei akutem Abdominalschmerz

J. Henn1, S. Hatterscheidt1, P. Feodorovici1, J. Arensmeyer1, J.C. Kalff1, I. Gräff2, H. Matthaei1

1Universitätsklinikum Bonn, Klinik und Poliklinik für Allgemein-, Viszeral-, Thorax- und Gefäßchirurgie, Bonn, Deutschland, 2Universitätsklinikum Bonn, Abteilung für Klinische Akut- und Notfallmedizin, Bonn, Deutschland

Einleitung: Maschinelles Lernen (ML) bietet Potenzial zur Unterstützung chirurgischer Entscheidungen in Notfallsituationen. Die klinische Integration wird jedoch durch eingeschränkte Modellinterpretierbarkeit behindert und zusätzlich stehen nicht zu jedem Zeitpunkt alle relevanten Informationen zur Verfügung.
Ziele: Ziel war das Training eines ML-Modells zur Vorhersage notfallchirurgischer Eingriffe bei akutem Abdominalschmerz. Untersucht wurden die prädiktive Leistung zu definierten Zeitpunkten sowie die jeweils entscheidenden Prädiktoren.
Methodik: Ein Random-Forest-Modell wurde mit retrospektiven Daten von 1350 Patienten mit akutem Abdominalschmerz trainiert. Prädiktoren wurden in sieben Gruppen unterteilt: demografische Daten, Symptome, Schmerzverlauf und -lokalisation, Vitalzeichen, Laborparameter, körperliche Untersuchung und CT-Befunde. Die Modellleistung wurde über zehn Iterationen anhand von AUC ROC und AUC PR berechnet und die Relevant der Prädiktoren zeitpunktbezogen analysiert.
Ergebnis: Das mediane Alter betrug 44 Jahre (IQR 29–62) und 682 Patienten (51%) waren weiblich. Bei 276 Patienten (20%) erfolgte eine Operation innerhalb von 24 Stunden. Das vollständige Modell erreichte eine mediane AUC ROC von 0,80 (IQR 0,77–0,81) und AUC PR von 0,56 (IQR 0,53–0,57). Die Vorhersageleistung (AUC ROC; AUC PR) stieg mit jeder hinzugefügten Gruppe von Prädiktoren: Basisdaten (0,53; 0,28), Symptome (0,56; 0,24), Schmerzverlauf (0,64; 0,34), Vitalzeichen (0,66; 0,37), Labor (0,77; 0,46), körperliche Untersuchung (0,77; 0,53), CT-Befunde (0,80; 0,56). Die wichtigsten Prädiktoren variierten über die Zeit: während in frühen Phasen vor allem das Alter und Schmerzcharakteristika zur Vorhersage beitrugen, traten später Laborwerte (CRP, Bilirubin, Leukozyten) und Untersuchungs- sowie CT-Befunde in den Vordergrund.
Schlussfolgerung: Der stufenweise ML-Ansatz kann die Entscheidungsfindung bei akutem Abdominalschmerz unterstützen. Auch ohne den Einsatz radiologischer Untersuchungen kann eine ausreichend genaue Vorhersage getroffen werden, was einen frühzeitigen Einsatz der Vorhersage, z.B. in der Triage ermöglicht. Die dynamische Untersuchung der Prädiktoren entlang der diagnostischen Kette liefert transparente Einblicke und bildet eine Grundlage für klinisch erklärbare KI-Systeme.

10:26 – 10:32

KV 379 NUTROMY – ein neues postoperatives Ernährungskonzept bei Ileostoma

Rahel Strobel (Berlin)

KV 379 NUTROMY – ein neues postoperatives Ernährungskonzept bei Ileostoma

R. Strobel1, S. Töpfer1, K. Neumann2, K. Beyer1, J. Lauscher1

1Charité – Universitätsmedizin Berlin, Klinik für Allgemein- und Viszeralchirurgie, Berlin, Deutschland, 2Charité – Universitätsmedizin Berlin, Institut für Biometrie, Berlin, Deutschland

Einleitung: Bisherige Empfehlungen zur Ernährung nach Ileostomaanlage basieren auf Expert:innenmeinungen. In der Klinik für Allgemein- und Viszeralchirurgie am Campus Benjamin Franklin der Charité wurde interdisziplinär ein neues Ernährungskonzept für Patient:innen nach Ileostomaanlage entwickelt.
Ziele: Die Hypothese der Studie lautete, dass Patient:innen durch das neu eingeführte, postoperative Ernährungskonzept und eine individuelle Ernährungsberatung seltener an einem High-Output-Stoma zwei Monate postoperativ leiden als eine historische Vergleichsgruppe der selben Klinik (13,9%).
Methodik: Es handelte sich um eine prospektive, monozentrische Beobachtungsstudie im Zeitraum von 22.07.2022 bis 04.11.2024. Eingeschlossen wurden volljährige Patient:innen, die in einer elektiven Operation ein endständiges oder doppelläufiges Ileostoma erhielten und zuvor kein Ileostoma hatten.
Ergebnis: Insgesamt wurden 104 Patient:innen mit elektiver Anlage eines Ileostomas eingeschlossen. Die Rate eines HOS im stationären Aufenthalt betrug 22,1% (23/104 Patient:innen) und die Rate eines HOS im Follow-Up lag bei 12,6% (13/103 Patient:innen). Das mediane Alter betrug 47,5 Jahre (Minimum 18 – Maximum 90 Jahre). Es wurden 46 (44,2%) Frauen und 58 (55,8%) Männer eingeschlossen. Patient:innen mit HOS waren in der univariaten Analyse älter (55,5 vs. 45,0 Jahren im median; p = 0,027) und hatten häufiger eine arterielle Hypertonie (33,3% vs. 16,2%; p = 0,045). Ein HOS trat im median an Tag 37 nach der Operation auf. Patient:innen mit HOS hatten häufiger einen Gewichtsverlust im Follow-Up (76,9% vs. 35,6%; p = 0,005). Ein akutes Nierensagen mit der Notwendigkeit von intravenöser Flüssigkeit sowie einer stationären Wiederaufnahme war häufiger bei Auftreten eines HOS (p < 0,001).
Schlussfolgerung: Die Rate eines HOS von 22,1% im stationären Setting zeigt die hohe Relevanz des Krankheitsbildes. Ein akutes Nierenversagen, Gewichtsverlust und eine stationäre Wiederaufnahme der Patient:innen waren häufiger, wenn ein HOS aufgetreten ist. Eine gute Edukation der Patient:innen ermöglichte die effektive Behandlung des HOS. Kein:e Patient:in mit HOS im stationären Aufenthalt litt noch darunter im Follow-Up. Das neue postoperative Ernährungskonzept senkte die Rate an HOS nicht signifikant zur retrospektiven Kohorte.

10:34 – 10:40

KV 380 Automatisierte Komplikationserfassung in der elektronischen Patientenakte mit dem Comprehensive Complication Index (CCI) – Entwicklung einer neue Erhebungsmethode zur genaueren Bewertung der postoperativen Morbidität

Charlotte Detemble (Bochum)

KV 380 Automatisierte Komplikationserfassung in der elektronischen Patientenakte mit dem Comprehensive Complication Index (CCI) – Entwicklung einer neue Erhebungsmethode zur genaueren Bewertung der postoperativen Morbidität

C. Detemble1, A. Schnitzbauer1

1Universitätsklinikum Knappschaftskrankenhaus Bochum, Bochum, Deutschland

Einleitung: Der Comprehensive Complication Index (CCI) erstmals vorgestellt von Clavien 2014 ist der Goldstandard für die Bewertung der postoperativen Morbidität. Im Standard wird der CCI durch geschultes Personal manuell erhoben (mCCI), ist aber anfällig für menschliche Fehler. Die präsentierte Studie stellte die Hypothese auf, dass ein maschinell unterstützter, automatisierter CCI (aCCI) eine präzisere Bewertung der Gesamtkomplikationsrate vornimmt.
Studiendesign: Über 3 Monaten erfolgte die Auswertung der postoperativen Komplikationen aller elektiven chirurgischen Patienten an einem deutschen universitären Maximalversorger mit Integration des aCCI in die elektronische Patientenakte. Primärer Endpunkt war der Vergleich der Genauigkeit zwischen mCCI und aCCI. Sekundäre Endpunkte waren der Vergleich der Dindo-Clavien (DC)-Komplikationsraten bei mCCI und aCCI sowie Fehleranalyse in der Komplikationserfassung.
Ergebnis: Insgesamt wurden 383 Patienten über den o.g. Studienzeitraum eingeschlossen, 29 Patienten wurden bei mangelnder Datenqualität sekundär ausgeschlossen. Die Patienten waren im Durchschnitt 56,4 Jahre alt, 37,3% waren weiblich, die Patienten waren überwiegend ASA II/III kategorisiert worden. Die durchgeführten Operationen umfassten das gesamte Spektrum eines universitären Maximalversorgers, am häufigsten waren kolorektale (n=82) und hepatopankreatobiliäre (n=55) Eingriffe. 49,7% der Operationen handelte es sich um majorchirurgische Eingriffe.
Der durchschnittliche aCCI betrug 28,0, der durchschnittliche mCCI betrug 17,5 und war somit signifikant niedriger. Die mittlere Delta-CCI betrug 3,57 (95% CI: 1,39-5,75).

aCCI mCCI p-Wert
CCI Wert (+/- SD) 28,02 (+/-31,4)
17,51 (+/- 23,7)

0,001

Die aCCI zeigte eine höhere Komplikationsrate insbesondere bei Komplikationen der Gruppe DC 2, während Komplikationen der Gruppe 1 in der mCCI überrepräsentiert waren. Für die Komplikationen der Gruppen 3 und 4 konnten vergleichbare Erkennungsraten beobachtet werden. Sechs Patienten (1,6%) starben während der Erfassung und wurden mit beiden Methoden erkannt.
Anzahl der erfassten Komplikationen in manueller und automatisierter ErhebungSchlussfolgerungen: Das aCCI hat das Potenzial, die Bewertung von Komplikationen nach chirurgischen Eingriffen zu vereinfachen. In der Zukunft könnte er die Steuerung und Echtzeitüberwachung von Komplikationen in einer chirurgischen Abteilung ermöglichen und so für klinische Standards im perioperativen Setting verbessert werden. In einem nächsten Schritt könnten die Daten verwendet werden, um eine künstlicher Intelligenz lernen zu lassen, Komplikationen in Echtzeit vorauszusagen.

10:42 – 10:48

KV 381 „Standard Operating Procedure“ (SOP) – Schmerztherapie bei Tumorkonstellationen (was der Allgemein- und Viszeralchirurg wissen sollte)

Michael Brinkers (Magdeburg)

KV 381 „Standard Operating Procedure“ (SOP) – Schmerztherapie bei Tumorkonstellationen (was der Allgemein- und Viszeralchirurg wissen sollte)

M. Brinkers1, G. Pfau1, J. Bergner2, F. Meyer3

1Klinik für Anästhesiologie und Intensivtherapie; Otto-von-Guericke-Universität mit Universitätsklinikum, Arbeitsbereich Schmerztherapie, Magdeburg, Deutschland, 2Klinik für Anästhesiologie und Intensivtherapie; Otto-von-Guericke-Universität mit Universitätsklinikum, Magdeburg, Deutschland, 3Klinik für Allgemein-, Viszeral-, Gefäß- und Transplantationschirurgie; Otto-von-Guericke-Universität mit Universitätsklinikum, Magdeburg, Deutschland

Einleitung: Die Schmerztherapie hat mittlerweile eine immens hohe Bedeutung in der klinischen Praxis erlangt und ist nicht mehr wegzudenken, so vor allem im Hinblick auf ein suffizientes perioperatives/-interventionelles Fallmanagement als auch im Vorgehen bei bestimmten (Problem-)Diagnosen (Diagnosefeldern), Syndromen bzw. Symptomkonstellationen.
Ziel: Gewährleistung eines schnellen, standardisierten Zugriffs durch kompetente Entwicklung einer kompakten „Standard Operating Procedure“ (SOP) zur interdisziplinären und mit breitem Diagnoseprofil aufgestellten Schmerztherapie bei Tumorpatienten eines subspezialisierten Zentrums, basierend auf i) Erfahrungen aus langjähriger klinischer Praxis sowie ii) aktuellen Referenzen der medizinisch-wissenschaftlichen Literatur (ohne Vorab-Publikationen und Lehrbuchinhalte komplett ersetzen zu wollen).
Methodik: Narrative Kurzübersicht zur „SOP – Schmerztherapie bei Tumorerkrankungen/-patienten“ (als QR-Code im Anhang).
Ergebnis (Eckpunkte): – Bei Tumorschmerzen sind Opioide die primär zu erwägende Medikamentengruppe.
– Eingeschränkt wird die Opioid-Anwendung durch Leber bzw. Niereninsuffizienz, Art des Opioids (Tapentadol wirkt nicht ausreichend), weitere Kontraindikationen (MST bei „chronic obstructive pulmonary disease“ [COPD]) bzw. Art der möglichen Aufnahme (Patienten können nicht schlucken oder sind bewusstseinsgestört).
– Bei Patienten mit Tumorschmerz ist immer auch nach Angst zu fragen.
Diskussion: Bereits vor Jahren wurden von der interdisziplinar besetzten Arbeitsgruppe des Universitätsklinikums Magdeburg A. o. R. SOP‘s zur Diagnose-bezogenen und perioperativen/-interventionellen Schmerztherapie in der Allgemein- und Viszeralchirurgie sowie Gefäßmedizin etabliert.
Schlussfolgerung: Tumorschmerzen gehören neben den Geburtsschmerzen und den postoperativen Schmerzen zu den am besten beherrschbaren Schmerzformen.
Dies ist eine Aufforderung zum Handeln. Dabei geht es um die konsequente, adäquate, ausreichend dosierte Gabe von Medikamenten des WHO-Schemas (WHO I dabei nicht zwingend), von Psychopharmaka sowie nichtmedikamentösen Verfahren.

10:50 – 10:56

KV 382 Monströse beidseitige Scrotalhernien mit loss of domain – komplexe operative interdisziplinäre Hernienversorgung

Andrej Tsoglin (Radebeul)

KV 382 Monströse beidseitige Scrotalhernien mit loss of domain – komplexe operative interdisziplinäre Hernienversorgung

M. Hohaus1, A. Tsoglin1, S. Mirtschink2, S. Zastrow3

1ELBLANDKLINIKEN Stiftung & Co. KG, Klinik für Allgemein- und Viszeralchirurgie, Radebeul, Deutschland, 2ELBLANDKLINIKEN Stiftung & Co. KG, Klinik für Plastisch- Rekonstruktive Chirurgie, Riesa, Deutschland, 3ELBLANDKLINIKEN Stiftung & Co. KG, Klinik für Urologie, Riesa, Deutschland

Die Vorstellung des Patienten im Hernienzentrum erfolgte bei zunehmender Unmöglichkeit der Miktion mit seit vielen Jahren bestehenden und progredienten beidseitigen bis zum mittleren Oberschenkel reichenden Scrotalhernien mit „buried penis.Bildgebend zeigten sich die Scrotalhernien mit Kolon,- Omentum- und Dünndarminhalt, wobei das Darmpaket komplett nach caudal verlagert war. Da bei operativer Reposition ein Bauchdeckenverschluss nicht möglich schien, wurde zunächst eine Infiltration der schrägen Bauchmuskeln mit Botulinumtoxin A durchgeführt. 6 Wochen später erfolgte die mediane Laparotomie, Hernienreposition, partielle Resektion des Bruchsackes und Hernioplastik nach Stoppa mittels TiMesh Strong. Bei nun reponiertem Darmpaket war ein Fascienverschluss nicht mehr möglich. Es erfolgte eine posteriore Komponentensepraration bds. mit dann Fascienverschluss und Implantation eines zweiten TiMesh 30x30cm und Wundstabilisierung mit epikutanem VAC.Vier Monate nach erfolgreicher Leistenhernienversorgung stellte sich der Patient in der plastisch- chirurgischen Sprechstunde vor. Hier zeigte sich ein persistierender Hautüberschuss scrotal, der durch Serome unterhalten wurde. Klinisch und bildgebend ließen sich im cranialen Anteil des Mons pubis beidseits große abgekapselte Serome mit zusätzlicher Hydrozele nachweisen.
Im Rahmen der plastisch- urologischen OP erfolgte zuerst eine Resektion sämtlicher Seromkapseln in toto, die Resektion der Hydrozele rechts, eine Circumzision, eine Bergung des Penis und dessen Pexie an das Os pubis. Gefolgt wurde dies von der Hautresektion und -Straffung. Der Penisschaft wurde mit ungemeshter Spalthaut gedeckt. Diese wurde mittels VAC- Verband zusätzlich fixiert.
Essentiell zur Seromprophylaxe und Stabilisierung des gestrafften Gewebes ist das Tragen einer maßangertigten Kompressionsmiederhose für das erste postoperative Jahr.
Komplexe Krankheitsbilder erfordern eine interdisziplinäre Herangehensweise. Anhand dieses Fallbeispieles konnte eindrücklich demonstriert werden, wie die Fachdisziplinen Allgemeinchirurgie, Urologie und Plastische Chirurgie „Hand-in-Hand“ zusammen arbeiten und somit die Behandlungsqualität des Patienten steigern. Mit „nur“ zwei Operationen konnte das schon seit mehreren Jahrzehnten bestehende Krankheitsbild nachhaltig saniert und durch die rekonstruktiven Maßnahmen die Lebensqualität zurückerlangt werden.
Hernie CT postoperativ

Kurzvortragssitzung

Innovationen bei seltenen Tumoren

09:51 – 11:01

Fr 19.09.

Vortragsraum 10

Open Accordion - Icon Close Accordion - Icon

Vorsitz: Elke Burgermeister (Mannheim) und Olga Radulova-Mauersberger (Dresden)

09:51 – 09:56

KV 230 Einfluss von NEN-spezifischen Systemtherapien auf die CXCR4 Expression und Funktion von neuroendokrinen Tumorzellen

Christof Däubler (Würzburg)

KV 230 Einfluss von NEN-spezifischen Systemtherapien auf die CXCR4 Expression und Funktion von neuroendokrinen Tumorzellen

C. Däubler1,2, C. Böttcher1, P. Hartrampf3,2, R. Werner3, L. Retzbach1,2, A. Meining1, D. Rogoll1,2, A. Weich1,2

1Medizinische Klinik 2 Universitätsklinikum Würzburg, Gastroenterologie, Würzburg, Deutschland, 2Medizinische Klinik 2 Universitätsklinikum Würzburg, NET-Zentrum, Würzburg, Deutschland, 3Klinik und Poliklinik für Nuklearmedizin Uniklinikum Würzburg, Würzburg, Deutschland

Einleitung: Mit zunehmender Dedifferenzierung lässt die Expression des Somatostatinrezeptors Typ 2 in neuroendokrinen Neoplasien nach, während der C-X-C-Chemokinrezeptor Typ 4 (CXCR4) verstärkt auftritt. Eine erhöhte CXCR4-Expression korreliert mit invasivem Wachstum, Metastasenbildung und ungünstiger Prognose. CXCR4 gilt als potentieller diagnostischer Biomarker und vielversprechendes Target für zielgerichtete Therapien, z. B. endoradiotherapeutische Verfahren, monoklonale Antikörper oder kleine Molekülinhibitoren. In der Behandlung von metastasierten NEN werden eine Vielzahl an Systemtherapien eingesetzt. Diese könnten die CXCR4-Expression modulieren und damit die Effektivität künftiger CXCR4-basierter Ansätze beeinflussen.
Ziel: Untersuchung des Einflusses der spezifischen Systemtherapeutika auf die CXCR4 Expression in neuroendokrinen Tumorzellen.
Methodik: In den NEN-Zelllinien BON-1, QGP-1 und MS-18 wurde die jeweils die mittels EC₅₀ bestimmte Wirkstoffkonzentration der in hochproliferativen NEN eingesetzten Systemtherapeutika Cisplatin, Etoposid, Streptozotocin, 5-Fluorouracil, Temozolomid und Everolimus appliziert. Nach Inkubation erfolgte die Quantifizierung der CXCR4-messenger-RNA (mRNA) mittels qRT-PCR, die Analyse der Proteinexpression durch Western Blot und Immunhistochemie sowie die Bestimmung der funktionellen Rezeptoraktivität durch Messung des [⁶⁸Ga]Pentixafor-Uptake.
Ergebnis: Cisplatin führte zu einer signifikanten Reduktion der CXCR4-mRNA in BON-1 und QGP-1 (p < 0,05) und verringerte den Radioligand-Uptake in QGP-1 und MS-18. Etoposid und Streptozotocin zeigten keine nennenswerten Effekte auf mRNA, Protein oder Uptake-Funktion von CXCR4. 5-Fluorouracil senkte die CXCR4-mRNA moderat in QGP-1 und MS-18 bei stabilen Proteinleveln. Temozolomid verminderte in allen Zelllinien deutlich mRNA und Protein (p < 0,01) und zeigte einen Trend zu geringerem Uptake. Everolimus reduzierte die CXCR4-mRNA signifikant, während Effekte auf Protein und Uptake moderat ausfielen.
Schlussfolgerung: Cisplatin und Temozolomid mindern CXCR4-Expression und -Funktion in hochproliferativen NEN-Zelllinien deutlich, während andere untersuchte Wirkstoffe kaum Einfluss haben. Diese Erkenntnisse sollten in die Planung zukünftiger CXCR4-gerichteter Therapien einfließen. Weiterführende in vivo- und Begleitstudien sind notwendig, um optimale Therapie-Sequenzen und die Patientenselektion für CXCR4-basierte Zieltherapien zu definieren.

09:58 – 10:03

KV 231 Transkriptomanalyse von Dünndarm-NETs deckt eine verminderte REST-Expression und enteroendokrine Zellen als Ursprungszellen auf

Felix Bolduan

KV 231 Transkriptomanalyse von Dünndarm-NETs deckt eine verminderte REST-Expression und enteroendokrine Zellen als Ursprungszellen auf

F. Bolduan1, N. Müller-Bötticher2, O. Debnath2, I. Eichhorn1, Y. Giesecke1, A. Wetzel1, S. Sahay2, T. Zemojtel3, M. Jaeger3, U. Ungethuem3, C. Roderburg4, C.A. Kunze5, A. Lehmann5, D. Horst5, R. Eils2, F. Tacke1, B. Wiedenmann1, N. Ishaque2, M. Sigal1

1Charité Universitätsmedizin Berlin, Med. Klinik m.S. Hepatologie und Gastroenterologie Campus Virchow Klinikum, Berlin, Deutschland, 2Berlin Institute of Health at Charité Universitätsmedizin Berlin, Center of Digital Health, Berlin, Deutschland, 3Berlin Institute of Health at Charité Universitätsmedizin Berlin, Core Facility Genomics, Berlin, Deutschland, 4Universitätsklinikum Düsseldorf, Klinik für Gastroenterologie, Hepatologie und Infektiologie, Düsseldorf, Deutschland, 5Charité Universitätsmedizin Berlin, Institut für Pathologie, Berlin, Deutschland

Einleitung: Die häufigste maligne Neoplasie des Dünndarms sind neuroendokrine Tumore (dNETs). Systemische Therapieoptionen sind begrenzt, was vor allem auf unzureichendes Wissen über Tumorbiologie und -entstehung zurückzuführen ist. Auch genomische Analysen führten bislang zu keinem therapeutisch relevanten Durchbruch, da keine wiederkehrenden, therapierbaren Mutationen identifiziert wurden.
Ziel:
Mit dem Ziel, die Entstehung von dNETs besser zur verstehen haben wir das Transkriptom von 39 gut differenzierten dNETs G1/G2 (Primärtumore und Metastasen) von 32 Patient:innen sequenziert.
Methodik:
Nach RNA-Isolierung und -sequenzierung wurden öffentliche Workflows des DKFZ zur Transkriptomanalyse verwendet. Mit Hilfe von Independent Component Analysis (ICA) und NMF wurden Tumoranteile identifiziert und mittels Gene Set Enrichment Analysis (GSEA) differenziell exprimierte Gene ermittelt.
Ergebnis: Die ICA identifizierte die Komponente (IC3), die negativ mit dem Tumorzellgehalt korreliert (Abb. 1a) und zwischen Tumor- und Normalgewebe unterscheidet. Mittels GSEA ermittelten wir den Transkriptionsrepressor REST und konnten zeigen, dass dessen Expression in Tumoren vermindert ist (Abb. 1b). Western-Blot-Analysen bestätigten dies (Abb. 1c). REST ist ein Hauptrepressor neuronaler Gene und möglicher Tumorsuppressor in verschiedenen Krebsarten (z.B. triple-negativer Brustkrebs, kleinzelliges Lungenkarzinom).ICA3 korreliert mit dem Tumorzellgehalt und unterscheidet so Tumor von Normalgewebe (a). GSEA innerhalb dieser Komponente deckt REST als differenziell exprimiertes Gen auf und in der Tat korreliert REST negativ mit dem Tumorzellgehalt und ist daher im Tumor niedrig exprimiert (b). Western Blot Analysen konnten dies bestätigen (c).
Neben einer tumorigenen Funktion könnte die niedrige REST-Expression von der Ursprungszelle der dNETs vererbt sein. Obwohl vermutet wird, dass dNETs aus enteroendokrinen Zellen (EECs) stammen, fehlte bislang ein molekularer Nachweis. Daher verglichen wir die Expressionsprofile der Tumorkomponenten mit öffentlich verfügbaren scRNAseq Datensätzen des gesunden Darms und konnten zeigen, dass die mit dem Tumorzellgehalt korrelierende Komponente (NMF Faktor 1) mit dem Expressionsprofil von EECs korreliert und diese daher als Ursprungszellen von dNETs angesehen werden können (Abb. 2a). Interessanterweise ist die Expression von REST bereits in EECs vermindert (Abb. 2b). Anhand des Vergleichs der Expression von Markergenen der EEC Subtypen mit dem Tumor konnten wir enterochromaffine Zellen (ECCs) als Ursprungszelle von dNETS identifizieren (Abb. 2c).
Mittels NMF wurde der Faktor 1 identifiziert, der mit dem Tumorzellgehalt korreliert. Die Genexpression innerhalb dieses Faktors hat starke Ähnlichkeit mit der von enteroendokrinen Zellen (EECs), daher können diese als Ursprungszelle von dNETs angesehen werden (a). REST ist bereits in EECs wenig exprimiert (b). Die Expressionsanalyse von Markergenen der EEC Subtypen zeigt eine starke Expression der Markergene von enterochromaffinen Tellen (ECCs) im dNET Gewebe, sodass der EEC Subtyp der ECCs als Ursprungszelle von dNETs gewertet werden kann.
Schlussfolgerung:
Bulk RNA sequencing zeigt eine niedrige REST-Expression als neue transkriptomische Signatur von dNETs. Zudem konnten EECs –und deren Subtyp ECCs – erstmals molekular als Ursprungszellen identifiziert werden.

10:05 – 10:10

KV 232 EPPIC-Trial: Gender Gap der Prähabilitation – Tumorsarkopenie und -kachexie bei Ösophagus-, Magen- und Pankreaskarzinom sind geschlechtsabhängig

Malte Lang (Kiel)

KV 232 EPPIC-Trial: Gender Gap der Prähabilitation – Tumorsarkopenie und -kachexie bei Ösophagus-, Magen- und Pankreaskarzinom sind geschlechtsabhängig

M.A. Lang1, T. Beyer1, B. Gubitz2, C.V. Greitens1, B. Reichert1, M. ten Winkel3, L. Schöpping3, H. Mburu4, S. Daniel3, K. Bichmann3, S. Deichmann3, K. Honselmann3, T. Schmidt2, A. Letsch2, L. Berkel4, M. Sieren4, R. Klöckner4, R. Hosch5, F. Nensa5, T. Keck3, T. Becker1, J. Pochhammer1, L. Bolm*3, O. Kopeleva*1, *Shared Last Authorship

1Universitätsklinikum Schleswig-Holstein, Campus Kiel, Klinik für Allgemeine, Viszeral-, Thorax-, Transplantations- und Kinderchirurgie, Kiel, Deutschland, 2Universitätsklinikum Schleswig-Holstein, Campus Kiel, Comprehensive Cancer Center, Krebszentrum Nord, Kiel, Deutschland, 3Universitätsklinikum Schleswig-Holstein, Campus Lübeck, Klinik für Chirurgie, Lübeck, Deutschland, 4Universitätsklinikum Schleswig-Holstein, Campus Lübeck, Klinik für Interventionelle Radiologie, Lübeck, Deutschland, 5Universitätsklinikum Essen, Institut für diagnostische und interventionelle Radiologie und Neuroradiologie, Essen, Deutschland

Einleitung: Der Stellenwert einer strukturierten, viszeralonkologischen Prähabilitation rückt zunehmend in den Fokus. Empirisch belegte Zusammenhänge zwischen Kachexie/ Sarkopenie und schlechtem postoperativen Outcome bei Patient:innen mit Ösophagus-, Magen- und Pankreaskarzinomen legten den Grundstein für das „EPPIC-Trial“ mit 14-tägiger, multimodaler Prähabilitation am Universitätsklinikum Schleswig-Holstein. Die vorliegende Teilauswertung beschreibt perioperative geschlechtsspezifische Unterschiede im Hinblick auf Ernährungsstatus, Fitness und Body Composition.
Methodik: Bei Patient:innen mit Ösophagus-, Magen- und Pankreaskarzinomen im Stadium UICC I-III erfolgte 10-14 Tage vor kurativer Resektion ein Assessment des individuellen Fitnesslevels durch Scores (SARC-F, CFS) und funktionelle Prüfung (2min-Step-Test, One-Leg-Balance, 5x-Chair-Stand, Griffkraftmessung). Dem Ergebnis entsprechend wurde ein webbasiertes Sportprogramm incl. Atemtraining generiert und die Durchführung mittels Bewegungssensor aufgezeichnet. Mangelernährung wurde mittels NRS-2002-Score geprüft und ggf. mit hochkalorischer Trinknahrung supplementiert. Durch einen KI-basierten Body-Composition Algorithmus (BOA) wurde in Computertomographien das Volumen diverser Fettgewebe und Muskeln für eine objektive Beschreibung von Kachexie und Sarkopenie bei Studieneinschluss sowie 3 Monate postoperativ bestimmt.
Ergebnis: 53 Patient:innen (Alter Ø 65,2J; 77% männlich; 23% weiblich) wurden vollständig prähabilitiert. Es zeigte sich ein niedrigerer mittlerer BMI bei Frauen (25,3kg/m² vs. 27,4kg/m²; p=0,029). Auch der anamnestische mittlere Gewichtsverlust seit Erkrankungsbeginn war bei Frauen höher (10,9% vs. 7,2%; p=0,047). Die Assessments der körperlichen Fitness zeigen keine geschlechtsspezifischen Unterschiede. In der BOA-Analyse wird bei Frauen ein signifikant höherer Verlust des Muskelvolumens (♀:-36%; ♂: -11%) zwischen Studieneinschluss und 3 Monaten postoperativ beschrieben, während bei Männern der Verlust des Gesamtfettvolumens ausgeprägter ist (♀: -15%, ♂: -45%).
Schlussfolgerung: In unserer Pilotstudie lassen sich Unterschiede beim krankheitsassoziierten Gewichtsverlust vermuten, der bei Frauen insbesondere präoperativ ausgeprägt ist. Postoperativ sind Frauen eher von Sarkopenie betroffen, Männer eher von Kachexie. Bei der Entwicklung zukünftiger Prähabilitationsprogramme ist demnach das Geschlecht bei der Schwerpunktsetzung der Prähabilitation (Muskelaufbau vs. Nutrition) zu berücksichtigen.

10:12 – 10:17

KV 233 Einsatz von KI-gestützten Reasoning-Modellen zur Therapieentscheidung bei gastrointestinalen Stromatumoren: Vergleichende Bewertung von OpenAI o1 und DeepSeek-R1 durch Expert:innen und Sprachmodelle

Melissa Harbrücker (Mannheim)

KV 233 Einsatz von KI-gestützten Reasoning-Modellen zur Therapieentscheidung bei gastrointestinalen Stromatumoren: Vergleichende Bewertung von OpenAI o1 und DeepSeek-R1 durch Expert:innen und Sprachmodelle

M. Harbrücker1,2, F. Menge1, A. Taebi1, D. Nörenberg3, T. Speer4, C. Reißfelder1,2, P. Hohenberger5, J. Jakob1,2, C.-P. Li6, C. Yang1

1Universitätsmedizin Mannheim, medizinische Fakultät Mannheim der Universität Heidelberg, Chirurgische Klinik, Mannheim, Deutschland, 2Deutsches Krebsforschungszentrum, DKFZ-Hector Krebsinstitut an der Universitätsmedizin Mannheim, Heidelberg, Deutschland, 3Universitätsmedizin Mannheim, medizinische Fakultät der Universität Heidelberg, Klinik für Radiologie und Nuklearmedizin, Mannheim, Deutschland, 4Unabhängiger Forscher, Ludwigshafen, Deutschland, 5Universitätsmedizin Mannheim, medizinische Fakultät der Universität Heidelberg, Sektion Spezielle chirurgische Onkologie und Thoraxchirurgie, Mannheim, Deutschland, 6Sarkomzentrum, Krebszentrum und -institut der Peking-Universität, Labor für Karzinogenese und translationale Forschung (Bildungsministerium/Peking), Peking, China

Einleitung: Gastrointestinale Stromatumoren (GIST) stellen eine seltene Form von Weichgewebssarkomen dar, deren Behandlung komplex ist und eine interdisziplinäre Entscheidungsfindung in multidisziplinären Tumorboards (MDTs) erfordert. Große Sprachmodelle (Large Language Models, LLMs) werden zunehmend als potenzielle Unterstützung bei klinischen Entscheidungen diskutiert, jedoch ist ihr Nutzen in der onkologischen Praxis, insbesondere bei GIST, bisher wenig untersucht.
Ziele: Ziel der Studie war die Prüfung der Übereinstimmung von Therapieempfehlungen zweier fortgeschrittener LLMs (OpenAI o1 und DeepSeek-R1) mit den realen Entscheidungen eines MDTs bei GIST-Fällen. Zudem wurde die Anwendbarkeit eines LLM als unabhängiger Bewerter („LLM-as-a-Judge“) untersucht.
Methodik: In einer retrospektiven monozentrischen Studie wurden 65 reale GIST-Fälle ausgewertet, die zwischen Januar 2024 und Januar 2025 in einem zertifizierten Sarkomzentrum diskutiert wurden. Beide LLMs generierten auf Basis strukturierter Fallinformationen und der S3-Leitlinie Therapieempfehlungen. Fünf klinische Experten sowie ein weiteres LLM (Mistral AI) bewerteten unabhängig die Übereinstimmung der LLM-Empfehlungen mit den MDT-Entscheidungen auf einer 5-Punkte-Likert-Skala. Zusätzlich wurde die Verständnistiefe und Leitlinienkonformität fehlklassifizierter Fälle analysiert.
Ergebnisse: OpenAI o1 zeigte eine signifikant höhere Übereinstimmung mit den MDT-Entscheidungen als DeepSeek-R1 (76,9 % vs. 53,8 %, p < 0,001) und lieferte häufiger leitlinienkonforme Empfehlungen (80,0 % vs. 63,1 %, p = 0,005). Die Interrater-Reliabilität unter den Experten war exzellent (ICC = 0,929). Die Übereinstimmung zwischen Experten und dem LLM-Richter war moderat (κ = 0,647). OpenAI o1 erzeugte deutlich längere und detailliertere Texte, was Vorteile für die Dokumentation, aber potenzielle Nachteile für die Effizienz in zeitkritischen MDTs mit sich bringt.
Schlussfolgerung: LLMs – insbesondere OpenAI o1 – zeigen ein vielversprechendes Potenzial als Assistenzsysteme für onkologische Entscheidungsprozesse im Rahmen von MDTs. Auch als Bewertungsinstanz („LLM-as-a-Judge“) könnten sie zur Steigerung der Effizienz beitragen. Für den klinischen Einsatz ist jedoch eine enge fachliche Kontrolle unerlässlich, um die Patientensicherheit zu gewährleisten. Künftige Studien sollten multizentrisch angelegt sein und den Einsatz von Retrieval Augmented Generation (RAG)-Methoden zur weiteren Optimierung der LLMs untersuchen.

10:19 – 10:24

KV 234 Biosignale als prädikative Marker für Therapieerfolg: Digitales Patientenmonitoring in der personalisierten Onkologie

Pavlos Missios (Tübingen)

KV 234 Biosignale als prädikative Marker für Therapieerfolg: Digitales Patientenmonitoring in der personalisierten Onkologie

P. Missios1, P. Mennewisch1, H. Lindeboom2, P. Storz2, K. Schrüfer2, F. Schmitt3, M. Bitzer1, C. Thies2, N. Malek1,3

1Universitätsklinikum Tübingen, Innere Medizin I, Tübingen, Deutschland, 2Hochschule Reutlingen, Reutlingen, Deutschland, 3Universitätsklinikum Tübingen, Zentrum für Personalisierte Medizin, Tübingen, Deutschland

Einleitung: Die Bemühungen zur personalisierten Behandlung von Krebspatienten schreiten unaufhaltsam voran. Dabei ermöglich der Einsatz neuer Technologien die engmaschige Überwachung der Patienten auch außerhalb klinischer Einrichtungen. Dieses sog. Remote Patient Monitoring (RPM) erlaubt die Erfassung subjektiver Parameter in Form von standardisierten Patient Reported Outcomes (PROMs) sowie objektiver, von Fitness-Trackern erzeugter Biosignale. Der genaue Stellenwert von RPM in der Onkologie ist aktuell noch unklar.
Ziele: Ziele der Studie waren: (1) Der erfolgreiche Einsatz von Wearables in Kombination mit der bwHealthApp bei Tumorpatienten unter systemischer Therapie, (b) die Untersuchung von Korrelationen zwischen Biosignalen und PROMs und (c) die Entwicklung prädiktiver Modelle zur Früherkennung von klinisch relevanten Parametern wie z.B. dem Therapieansprechen.
Methodik: Unter der Leitung des Zentrums für Personalisierte Medizin (ZPM Tübingen) wurden Patienten mit fortgeschrittenen Tumorerkrankungen des Gastrointestinaltraktes über einen Zeitraum von bis zu 12 Wochen mittels Wearables (Beurer AS 99, Garmin vivosmart 5) und der eigens entwickelten bwHealthApp während ihrer Therapie überwacht. Dabei wurden Biosignale (Schritte, Herzfrequenz, Atemfrequenz und Herzfrequenzvariabilität) und PROMs zur Lebensqualität und zum Schlaf sowie zu spezifischen Symptomen (Schmerzen, Übelkeit, etc.) erhoben.
Ergebnis: 52 Patienten wurden in die Studie aufgenommen. Dabei konnten bei 47 Patienten (n=21 mit Beurer-Sensor, n=26 mit Garmin-Sensor) über die gesamte Studiendauer ausreichend Daten gesammelt werden. Unsere Analysen zeigten signifikante Korrelationen (p < 0,05) zwischen Vitalzeichen und Patientensymptomen. Insbesondere konnten spezifische Biosignale wie Schrittzahl, Herzfrequenz und Herzratenvariabilität mit Symptomen wie Schmerzen, Appetitlosigkeit oder Dyspnoe in Verbindung gebracht werden. Mit Hilfe von Machine-Learning Algorithmen konnten Modelle entwickelt werden, die anhand der gesammelten Daten das individuelle Therapieansprechen vorhersagen konnten.
Schlussfolgerung: Der Einsatz neuester Wearable-Technologien in Kombination mit einer patientenzentrierten App ermöglicht eine effektive Fernüberwachung von Tumorpatienten. Die Informationen können zur frühzeitigen Erkennung einer Zustandsverschlechterung oder eines Therapieversagens genutzt werden und tragen so zu einer Verbesserung von personalisierten Behandlungsstrategien bei.

10:26 – 10:31

KV 236 Posteriore Retroperitoneoskopische Adrenalektomie (PRA) bei Adrenokortikalem Karzinom (ACC)

Sarah Ann-Kathrin Busch (Essen)

KV 236 Posteriore Retroperitoneoskopische Adrenalektomie (PRA) bei Adrenokortikalem Karzinom (ACC)

S.A.-K. Busch1, P.F. Alesina1, P. Knyazeva1, M.K. Walz1

1Evangelische Kliniken Essen Mitte, Klinik für Chirurgie und Minimalinvasive Chirugie, Essen, Deutschland

Einleitung: Das adrenokortikale Karzinom (ACC) ist ein seltener maligner Tumor, der mit einer schlechten Prognose vergesellschaftet ist. Die chirurgische Resektion stellt die einzige kurative Therapieoption dar. Standardverfahren ist die offene Adrenalektomie, insbesondere für Tumore über 6cm. Die posteriore retroperitoneoskopische Adrenalektomie (PRA) ist für benigne Tumore der Nebenniere als sicheres und effektives Verfahren etabliert. Für die Behandlung des ACC wird ein minimalinvasives Vorgehen bislang jedoch kontrovers diskutiert. In dieser Studie untersuchen wir den Stellenwert der PRA in der Behandlung des ACC.
Methodik: Zwischen Januar 2010 und Dezember 2024, erfolgte bei 28 Patienten (9 Männer, 19 Frauen) mit einem medianen Alter von 51.5±19.5 Jahren (Spannweite: 1.6 – 82.3) bei ACC eine PRA. Die Tumorgröße lag zwischen 3 und 15cm (Mittelwert 7,3cm). Eine hormonelle Hypersekretion bestand bei 12 Patienten. Die Operationen wurden in einer standardisierten 3-Port Technik in modifizierter Bauchlage durchgeführt oder als Single Access (SARA, n=2).
Ergebnisse: Es erfolgten 12 rechtsseitige und 16 linksseitige Adrenalektomien. Die mittlere Operationszeit lag bei 159.2±100.9 Minuten (Spannweite: 35-340 min.). Sieben Operationen wurden konvertiert (25%): fünf auf ein offenes Vorgehen, zwei auf ein laparoskopisches. Postoperativen Komplikationen waren: 1) oberflächliche Wundinfektion an der medianen Laparotomie, 2) Nachblutung am 5. postoperativen Tag mit restroperitoneoskopischer Revision, 3) ein Todesfall am zweiten postoperativen Tag bei Multiorganversagen bei einem Patienten mit ausgeprägtem Cushing-Syndrom. Entsprechend der ENSAT-Tumorklassifikation bestand bei 3 (10,6%) Patienten ein Tumorstadium I, bei 14 (50%) ein Stadium II, bei 6 (21,5%) ein Stadium III und bei 5 (18%) ein Stadium IV. Der mediane Nachbeobachtungszeitraum betrug 36.2±35.7 Monate. 13 (46,5%) der 28 Patienten leben. Ein Patient ist der Nachbeobachtung verloren gegangen. Zwei Patienten verstarben 25 und 74 Monate postoperativ, es ist unklar, ob die Todesursache das ACC war. Während des Nachbeobachtungszeitraumes wurden 4 (14%) Patienten erneut operiert. Patienten im Stadium I zeigten eine 5-Jahres Überlebensrate von 100%, während Patienten im Stadium II und III eine geschätzte Überlebensrate von etwa 50% aufwiesen.
Schlussfolgerung: Die posteriore retroperitoneoskopische Adrenalektomie zeigt für das ACC vergleichbare perioperative und onkologische Ergebnisse wie das offene Vorgehen.

10:33 – 10:38

KV 237 Multiviszerale Resektionen und Rekonstruktionstechniken der ableitenden Harnwege in der Chirurgie retroperitonealer Sarkome – eine Fallübersicht

Madelaine Hettler (Mannheim)

KV 237 Multiviszerale Resektionen und Rekonstruktionstechniken der ableitenden Harnwege in der Chirurgie retroperitonealer Sarkome – eine Fallübersicht

M. Hettler1, C. Gündisch1, H. Weigl1, M. Harbrücker1, F. Menge1, K. Schwenke2, M.S. Michel3, C. Reißfelder4, T. Worst3, J. Jakob1

1Universitätsmedizin Mannheim, Chirurgische Klinik, Sektion Sarkomchirurgie, Mannheim, Deutschland, 2Universitätsmedizin Mannheim, Chirurgische Klinik, Sektion Gefäßchirurgie, Mannheim, Deutschland, 3Universitätsmedizin Mannheim, Klinik für Urologie und Urochirurgie, Mannheim, Deutschland, 4Universitätsmedizin Mannheim, Chirurgische Klinik, Mannheim, Deutschland

Einleitung: Ziel der chirurgischen Therapie retroperitonealer und pelviner Weichgewebesarkome ist die R0-Resektion, die häufig ausgedehnte multiviszerale Eingriffe erfordert. Während die Nephrektomie mit einem Anteil von >50 % zu den häufigsten Organresektionen bei retroperitonealen Sarkomoperationen zählt, ist die Mitresektion der ableitenden Harnwege – einschließlich Blase, Ureter und Prostata – mit einem Anteil von insgesamt <5 % deutlich seltener (Gronchi et al. 2016). Aufgrund dieser Seltenheit sowie der komplexen anatomischen Lage ist die chirurgische Strategie zur Rekonstruktion insbesondere der Harnableitung anspruchsvoll und nicht einheitlich definiert.
Ziele: Ziel dieser Fallauswertung ist die Darstellung verschiedener chirurgischer Rekonstruktionsverfahren nach Nephrektomie, partieller Zystektomie und Prostatektomie im Rahmen der Resektion von Weichgewebesarkomen. Darüber hinaus wird ein Beispiel der autologen Nierentransplantation zur Ermöglichung des Organerhalts gezeigt.
Methodik: Es erfolgt die gezielte Analyse von 5 komplexen Fällen mit unterschiedlichen chirurgischen Rekonstruktionstechniken der ableitenden Harnwege, der 46 Fälle retroperitonealer und pelviner Sarkome, die im Zeitraum von 12/2023 bis 01/2025 operativ am Sarkomzentrum Mannheim behandelt wurden.
Ergebnis: In die Analyse eingeschlossen wurden 3 retroperitoneale, dedifferenzierte Liposarkome sowie 2 pelvine Sarkome – ein Leiomyosarkom und ein epitheloides Sarkom der Prostata (Tab. 1). In allen Fällen erfolgte eine kontinenzerhaltende Rekonstruktion. Die Nieren konnten in allen Fällen erhalten werden. In einem Fall war zur Organerhaltung bei fehlendem Hinweis auf eine Infiltration der Niere selbst, aber semi-zirkumferenziellem Kontakt des Ureters zum Sarkom eine autologe Nierentransplantation in die Fossa iliaca erforderlich (Abb. 1). In den anderen Fällen kam bei Ureterbeteiligung eine Psoas-Hitch-Plastik bzw. bei partieller Harnblasenresektion eine Direktnaht zur Anwendung. Bei den Prostatasarkomen wurde eine primäre vesikourethrale Anastomose durchgeführt.

FallübersichtCT eines dedifferenzierten Liposarkoms, retroperitoneal rechts. Das Sarkom umauert den Ureter semi-zirkumferenziell bis zur Harnblase (blauer Pfeil), sodass ein Organerhalt onkologisch nicht möglich ist. Die rechte Niere (roter Pfeil) zeigt keinen Hinweis auf eine Tumorinfiltration, weshalb eine Autotransplantation erfolgte.
Schlussfolgerung: Die Resektion retroperitonealer und pelviner Weichgewebesarkome erfordert häufig eine Nephrektomie oder partielle Resektion der ableitenden Harnwege. Die Rekonstruktion stellt eine chirurgische Herausforderung dar und erfordert eine enge urologisch-viszeralchirurgische Kooperation unter Nutzung etablierter Verfahren von Direktnaht und Psoas-Hitch-Plastik bis hin zur autologen Nierentransplantation.

10:40 – 10:45

KV 238 COLOSARC-Q – Ein Studienprotokoll zur multizentrischen Evaluation kolorektaler Operationsstrategien und der postoperativen Lebensqualität bei Patient:innen mit retroperitonealem Sarkom

Madelaine Hettler (Mannheim)

KV 238 COLOSARC-Q – Ein Studienprotokoll zur multizentrischen Evaluation kolorektaler Operationsstrategien und der postoperativen Lebensqualität bei Patient:innen mit retroperitonealem Sarkom

M. Hettler1, K. Scharpf2, A. Eich1, M. Albertsmeier3, A. Duprée4, S. Hejtens5, M. Harbrücker1, F. Menge1, C. Reißfelder6, P. Hohenberger1, J. Jakob1

1Universitätsmedizin Mannheim, Chirurgische Klinik, Sektion Sarkomchirurgie, Mannheim, Deutschland, 2Universitätsmedizin Mannheim, Psychoonkologischer Dienst in Kooperation mit dem Zentralinstitut für Seelische Gesundheit, Mannheim, Deutschland, 3Universitätsklinikum Ludwig-Maximilians-Universität München, Klinik für Allgemein-, Viszeral- und Transplantationschirurgie, München, Deutschland, 4Universitätsklinikum Hamburg-Eppendorf, Klinik und Poliklinik für Allgemein-, Viszeral- und Thoraxchirurgie, Hmaburg, Deutschland, 5Medizinische Fakultät Mannheim, Universität Heidelberg, Abteilung für Medizinische Statistik und Biomathematik, Mannheim, Deutschland, 6Universitätsmedizin Mannheim, Chirurgische Klinik, Mannheim, Deutschland

Einleitung: Die Chirurgie retroperitonealer Sarkome (RPS) hat das primäre Ziel, eine vollständige Resektion zu erreichen. Dabei umfasst die Resektion regelhaft die Entfernung von Anteilen des Dickdarms. Die Komplikationsraten – insbesondere im Hinblick auf Anastomoseninsuffizienzen – sind hoch, während standardisierte chirurgische Strategien zur kolorektalen Rekonstruktion bislang unzureichend definiert sind.
Ziele: Die COLOSARC-Q-Studie verfolgt das Ziel, kolorektale Resektions- und Rekonstruktionstechniken im Rahmen multiviszeraler Eingriffe bei RPS systematisch zu evaluieren. Untersucht werden sollen Risikofaktoren für Darmchirurgie-assoziierte Komplikationen sowie deren Auswirkungen auf die gesundheitsbezogene Lebensqualität. Die Ergebnisse sollen zur Optimierung chirurgischer Strategien und zur Unterstützung der partizipativen Entscheidungsfindung beitragen.
Methodik: COLOSARC-Q ist eine multizentrische, nicht-interventionelle Beobachtungsstudie, unterstützt durch die Deutsche Sarkom-Stiftung sowie die Arbeitsgemeinschaft für Chirurgische Onkologie (ACO) der DGAV. In die Studie eingeschlossen werden 120 Patient:innen mit primärem RPS, die im Rahmen der Sarkomoperation eine kolorektale Resektion in einem zertifizierten Sarkomzentrum in Deutschland oder der Schweiz erhalten. Die Lebensqualität wird mit Hilfe standardisierter Fragebögen sowie semi-strukturierter Interviews in Kooperation mit dem psychoonkologischen Dienst und Patientenvertretungen erhoben.
Ergebnis: Die Datenerfassung umfasst demografische, chirurgische und Outcome-relevante Variablen. Der primäre Endpunkt ist die Bewertung der chirurgischen Techniken zur Darmresektion und -rekonstruktion. Sekundäre Endpunkte beinhalten postoperative Komplikationen sowie therapie- und patientenspezifische Einflussfaktoren.
In der kolorektalen Karzinomchirurgie sind Faktoren wie Alter, Mangelernährung, neoadjuvante Therapie und intraoperativer Blutverlust als Risikofaktoren für postoperative Komplikationen wie Anastomoseninsuffizienzen bekannt. Ob diese Risikofaktoren auch auf die Sarkomchirurgie übertragbar sind, soll im Rahmen der Studie analysiert werden.
Schlussfolgerung: COLOSARC-Q hat das Potenzial, die präoperative partizipative Entscheidungsfindung und die intraoperative Strategie bei kolorektalen Resektionen im Rahmen von multiviszeralen Resektionen zu verbessern, um Komplikationsraten zu reduzieren und an spezifische Patientenbedürfnisse angepasste chirurgische Strategien zu entwickeln.

10:47 – 10:52

KV 239 Ein Peptidmotif aus der Heterodimerisierungsdomäne der Lipidphosphatase MTMR7 bindet an und inhibiert mutiertes K-RAS(G12V)

Philip Weidner

KV 239 Ein Peptidmotif aus der Heterodimerisierungsdomäne der Lipidphosphatase MTMR7 bindet an und inhibiert mutiertes K-RAS(G12V)

P. Weidner1, D. Saar2, M.P. Ebert1,3,4, B.B. Kragelund2, E. Burgermeister1

1Medizinische Fakultät Mannheim, Universität Heidelberg, II. Medizinische Klinik, Mannheim, Deutschland, 2University of Copenhagen, Structural Biology and NMR Laboratory (SBiNLab) and the Linderstrøm-Lang Centre for Protein Science, Department of Biology, Kopenhagen, Dänemark, 3DKFZ Hector Cancer Institute at the University Medical Center, Mannheim, Deutschland, 4Molecular Medicine Partnership Unit, EMBL, Heidelberg, Deutschland

Einleitung: Dem Therapieversagen bei Patienten mit gastrointestinalen (GI) Tumoren unterliegen häufig Mutationen im KRAS Onkogen, was eine direkte Hemmung mutierter K-RAS Proteine klinisch notwendig macht. Myotubularin-Related-Protein-7 (MTMR7) ist eine Lipidphosphatase, die die RAS-Effektorwege PI3K und ERK1/2 gleichzeitig inhibiert. Wir erhoben daher die Hypothese, dass MTMR7 bzw. seine C-terminale Heterodimerisierungsdomäne (CC) direkt K-RAS bindet und hemmt.
Ziele: Charakterisierung der 3D Struktur von MTMR7-CC und seiner Rolle in der Inhibition von K-RAS.
Methodik: Humane cDNA für MTMR7-CC (514-554), K-RAS wildtyp (WT) und G12V ohne den hypervariablen C-Terminus (ΔHVR, 1-169) wurden mit 6xHistidin- und SUMO-Adaptern in pET24a Vektor kloniert, in E. coli BL21 exprimiert und aufgereinigt. Das MTMR7 Peptid (521-550) sowie das K-RAS HVR Peptid (K-RAS4B, 159-188) wurden chemisch synthetisiert. Die Aufklärung der Strukturen und der Interaktionen des Peptids und der CC Domäne mit RAS erfolgte durch Kernspinresonanz (NMR) und Zirkulardichroismus (CD) Spektroskopie.
Ergebnis: Das MTMR7 Peptid und die MTMR7-CC liegen basal in einer unstrukturierten Konformation vor und formieren helikale Oligomere erst bei höheren Konzentrationen. Die CC Domäne interagierte dabei direkt mit der globulären ΔHVR Domäne des K-RAS WT Proteins als auch der GI-tumorrelevanten K-RAS(G12V) Mutante. Die MTMR7-CC Domäne zeigte eine bevorzugte Affinität für GDP-gebundenes K-RAS, welches womöglich den inaktiven Status der GTPase stabilisiert und seine onkogene Signalaktivität hemmt.
Schlussfolgerung: Diese Studie zeigte, dass MTMR7 im Gegensatz zu synthetischen niedermolekularen RAS-Inhibitoren (e.g. Sotorasib), ein physiologischer Inhibitor des humanen K-RAS Proteins darstellt. Somit könnte das MTMR7-CC Peptid in Zukunft als Peptidomimetikum weiterentwickelt werden, mit dem Ziel das Therapieansprechen in Patienten mit K-RAS mutierten Tumoren zu verbessern.

Kurzvortragssitzung

Pankreaschirurgie

17:10 – 18:30

Do 18.09.

Vortragsraum 10

Open Accordion - Icon Close Accordion - Icon

Vorsitz: Ulrike Heger (Heidelberg) und Mohamad El-Ahmar (Mannheim)

17:10 – 17:16

KV 198 Versorgungsrealität des metastasierten Duktalen Adenokarzinoms des Pankreas – besseres Überleben bei Resektion und multimodaler Therapie im Vergleich zur alleinigen palliativen Chemotherapie

Linn Schütte (Lübeck)

KV 198 Versorgungsrealität des metastasierten Duktalen Adenokarzinoms des Pankreas – besseres Überleben bei Resektion und multimodaler Therapie im Vergleich zur alleinigen palliativen Chemotherapie

L. Schütte1, L. Llontop1, L. von Fritsch1, L. Bolm1, J. Duhn1, R. Braun1, S. Deichmann1, K. Kleihues-van Tol2, M. Klinkhammer-Schalke2, S.R. Zeissig2, T. Keck1, U.F. Wellner1, T. Abdalla1, K. Honselmann1

1Universitätsklinikum Schleswig-Holstein Campus Lübeck, Klinik für Chirurgie, Lübeck, Deutschland, 2Arbeitsgemeinschaft Deutscher Tumorzentren e.V. (ADT), Netzwerk für Versorgung, Qualität und Forschung in der Onkologie, Berlin, Deutschland

Einleitung: Unter den krebsbedingten Todesursachen stellt das Pankreaskarzinom die viert häufigste Ursache dar, mit deutlich steigender Tendenz. Viele Patienten zeigen bereits zum Zeitpunkt der Diagnose eine fortgeschrittene Erkrankung, bei der keine kurative Behandlungsoption besteht.
Ziel: Ziel dieser Studie war die Analyse prognostischer Faktoren und Überlebenszeiten von Patienten mit metastasiertem duktalen Adenokarzinom des Pankreas (PDAC) zum Zeitpunkt der Diagnose.
Methodik: Es handelt sich um eine retrospektive Studie mit Daten aus Krebsregistern, die an der bundesweiten Qualitätskonferenz der Arbeitsgemeinschaft deutscher Tumorzentren (ADT e.V.) teilnehmen. Eingeschlossen wurden PDAC-Patienten, die zwischen 2000 und 2021 eine Diagnose erhielten.
Vergleichende deskriptive Analysen mit Mann-Whitney-U von Patienten mit (M1) und ohne (M0) Metastasen zum Zeitpunkt der Diagnose wurden durchgeführt. Für die Überlebenszeitanalysen wurden Kaplan Meier, log-rank Test und Cox Regression genutzt. Ein Signifikanzniveau von p<0.05 und ein Konfidenzintervall von 95% wurden festgelegt.
Ergebnisse: Insgesamt wurden 42493 Patienten mit PDAC identifiziert, davon hatten 16979 (39.7%) zum Zeitpunkt der Diagnose bereits Metastasen.


Beschreibung

Metastasierung zum Zeitpunkt der Diagnose
M0 M1
N/ Median (% insgesamt/ Min-Max) N / Median (% insgesamt/ Min-Max) p-value (Mann-Whitney Test)
Total 25496 (60.3) 16797 (39.7)
Geschlecht männlich 13293 (52.1) 9301 (55.4) < 0.001
weiblich 12202 (47.9) 7496 (44.6)
insgesamt 25495 (100) 16797 (100)
Alter in Jahren 71.00 (24.00 – 98.00) 70.00 (16.00 – 102.00) < 0.001
OP keine Operation 9614 (37.7) 11183 (66.6) < 0.001
Operation 15882 (62.3) 5614 (33.4)
Therapie CX only 1919 (7.5) 6201 (36.9) < 0.001
R(C)X only 379 (1.5) 261 (1.6)
Neo Tx 728 (2.9) 217 (1.3)
Primäre OP 13476 (52.9) 1671 (9.9)
Best supportive care 8994 (35.3) 8447 (50.3)
insgesamt 25496 (100) 16797 (100)

Die meisten M1 Patienten hatten ausschließlich Leber-Metastasen (48.2%), darauf folgten mehrere Lokalisationen, ausschließlich peritoneale und ausschließlich pulmonale Metastasen (26.9%, 10.8% und 3.9% jeweils). Von den M1 Patienten erhielten 18.3% eine Pankreas-Resektion, einige (4.8%) zusätzlich zu Operationen an weiteren Lokalisationen.
Das Gesamtüberleben von M1-Patienten war im Vergleich zu M0-Patienten schlechter (5.00 (4.88-5.12) vs. 10.83 Monate (10.63-11.04), p<0.001).
Kaplan-Meier Überleben von M1 Patienten in Monaten, je nach MetastasenlokalisationKaplan-Meier Überleben von M1 Patienten in Monaten, je nach Therapieform
In der multivariablen Analyse war ein Alter über 70 Jahre (HR=1.25 (1.20-1.31), p<0.001) signifikant mit einem schlechteren Überleben assoziiert. Im Vergleich zu Patienten, die ausschließlich eine Chemotherapie erhielten, zeigte sich ein verbessertes Überleben bei den primär Operierten (HR=0.47 (0.43-0.50), p<0.001).
Schlussfolgerung: Metastasierte Patienten stellen einen großen Anteil der PDAC-Diagnosen in Deutschland dar. Isolierte Metastasen der Leber sind am häufigsten, gefolgt von Metastasen in Peritoneum und Lunge. Patienten mit Leber-Metastasen zeigten ein schlechteres Überleben im Vergleich zu denen mit Lungen-Metastasen. Ausgewählte Patientengruppen scheinen ein verbessertes Überleben durch multimodale Therapien, inklusive Resektion, zu zeigen.

17:18 – 17:24

KV 199 Early onset PDAC – an analysis of patients under 50 years of age within the German cancer registry

Katja Janke (Lübeck)

KV 199 Early onset PDAC – an analysis of patients under 50 years of age within the German cancer registry

K. Janke1, L. Von Fritsch-Seerhausen1, L. Bolm1, R. Braun1, S. Deichmann1, J. Duhn1, T. Abdalla1, U. Wellner1, T. Keck1, K.C. Honselmann1

1Universitätsklinikum Schleswig-Holstein, Campus Lübeck, Klinik für Chirurgie, Lübeck, Deutschland

Introduction: Pancreatic ductal adenocarcinoma (PDAC) is a devastating disease with a 5-year overall survival of less than 13% and is predicted to be the second leading cause of cancer death by 2030. PDAC is a disease of the average population group with median age about 70 years old. But there is an increasing incidence of younger patients. In this study, we aimed to characterize the pancreatic cancer population younger than 50 years.
Methods: Retrospective data was obtained from pooled data of 18 clinical cancer registries in Germany. Patients with ICD-10-code C25.0-3, and C25.7-9, and histo code: 8140 und 8500 (WHO classification) were included. Data was dichotomized into patients under and equal 50 years and older than 50 years. Overall and disease-free survival (OS/DFS) were analyzed using Kaplan-Meier analyses. Subgroups by histologic type, type of surgery and years of first diagnosis were analyzed. Cox regression for OS were performed.
Results: 4.5% (3.639/81.538) of PDAC patients were younger than 50 years at the time of diagnosis. When we analyzed PDAC diagnoses between this periods, the number of PDAC diagnoses rose from 14.110 to 42.055 patients, but percentage of young patients decreased over time. Young patients had higher tumor stage (for example cT4: 42,2% vs. 37,71%, p<0.001), and were subjected to any type of treatment more often (70% (n=2575) vs 60% (n=46606), p<0.001). Furthermore we showed that metastastic behavior in younger patients differ from elder patients (p<0,001). Median OS, but not DFS was significantly better in young patients (12 months vs. 8 months, p < 0.001 and 9.6 vs. 9.1 months, p=0.099). When treated with surgery with or without neoadjuvant chemotherapy, OS was also significantly longer in young patients (Median 19 (18-20) vs 16 (15-16) months, p<0.001). COX regression analysis for the younger patient revealed the R-status and the pN-status as only independently associated variables with overall survival (RR 2,04 and 1,8). For the elder patients, age, ECOG (RR 1,2), pN-status (RR 1,3), R-status (RR 1,26) and grading G (RR 1,29) were significantly associated with survival.
Discussion: For young patients fewer tumor characteristics seem to be associated with overall survival than in older patients. This might imply age as a very strong predictor of survival in this patient group and could suggest that an aggressive treatment approach in the young PDAC patients leads to better overall survival.

17:26 – 17:32

KV 201 Long-term functional outcomes and quality of life assessment after pancreatic resection for low grade IPMN

Katharina Marstaller

KV 201 Long-term functional outcomes and quality of life assessment after pancreatic resection for low grade IPMN

K. Marstaller1, I.F. Rompen1, M. Kryschi1, B. Kinny-Köster1, J. Kaiser1, H. Nienhüser1, S. Roth2, C. Tjaden3, U. Hinz1, T. Hank1, M.W. Büchler4, M. Loos1

1Universitätsklinikum Heidelberg, Klinik für Allgemein-, Viszeral- und Transplantationschirurgie, Heidelberg, Deutschland, 2Universitätsklinikum Tübingen, Klinik für Allgemeine-, Viszeral- und Transplantationschirurgie, Tübingen, Deutschland, 3TUM Klinikum rechts der Isar, Chirurgische Klinik, München, Deutschland, 4Botton-Champalimaud, Department of Oncologic Surgery, Lissabon, Portugal

Introduction: Intraductal papillary mucinous neoplasms (IPMN) of the pancreas are precursor lesions that range from low- to high-grade dysplasia with the potential of progressing to invasive carcinoma. Accurate preoperative risk stratification remains challenging, leading to some patients undergoing surgery for lesions initially considered worrisome and later proven to be benign by final pathology results. Impact on long-term functional outcomes and quality of life (QoL) remain under investigated and could influence indications.
Aim: The aim of this study was to assess the long-term (>10years) impact on functional outcomes and QoL in patients resected for low-grade IPMN.
Methods: In this retrospective single center cohort-study, all patients undergoing pancreatic resection for low-grade IPMN at Heidelberg University Hospital from 10/2001-01/2012 were considered. During follow up, functional outcomes (e.g. weight loss, endo-/exocrine pancreatic function) were recorded. Health related QoL was assessed using the EORTC QLQ-C-30 questionnaire at least 10 years after surgery.
Results: Within the study period 583 patients underwent pancreatic resections for IPMN at Heidelberg University Hospital. Low grade dysplasia was found in 260 patients (44.6%) postoperatively. Long term follow-up (Median=13.17 years, IQR [11.67; 15.17]) and QoL assessment was available in 117 patients (45%). Pancreatoduodenectomy (PD) was performed in 45%, distal pancreatectomy (DP) in 23%, total pancreatectomy (TP) in 14% and parenchyma sparing procedures in 18% of cases. Long-term follow up revealed insulin-dependent diabetes among 29% of the study cohort (15% excluding TP), with 6% being known diabetics preoperatively. Occurrence was significantly higher after DP compared to PD (DP 35% vs. PD 13%, p=0.03) and parenchyma sparing approaches (5%, p=0.02). Scores for overall QoL were high (Mean=71.15, SD=22.89) and comparable to the normative German population (Mean=67.0, SD=21.8). Persisting diarrhea or occasional loose stool were reported in 6% and 23% of patients respectively. Overall physical functioning was not impaired compared to the general German population. (Mean 84.3= SD 23.0 vs. 82.8= 21.2).
Conclusion: Long-term follow up after resection of premalignant IPMN showed sufficient preservation of pancreatic function resulting in excellent overall QoL. These results may help identifying patients benefitting from closer follow up, improving functional outcomes after resection for IPMN.

17:34 – 17:40

KV 202 Textbook outcome following surgery for pancreatic neuroendocrine neoplasms

Fabiola Anna Bechtiger (Heidelberg)

KV 202 Textbook outcome following surgery for pancreatic neuroendocrine neoplasms

F.A. Bechtiger1, Z. Czigany1, M. Lewosinska1, B. Kinny-Köster1, M. Heckler1, N. Siegel1, V. Pleines1, M. Kryschi1, J. Kaiser1, M. Al-Saeedi1, C.W. Michalski1, M.W. Büchler1, M. Loos1, T. Hank1

1Universitätsklinik Heidelberg, Klinik für Allgmein-, Viszeral- und Transplantationschirurgie, Heidelberg, Deutschland

Objective: Recent improvements in pancreatic surgery outcomes have highlighted the relevance of comprehensive quality measures, including textbook outcome (TO). This study aimed to evaluate TO in patients with pancreatic neuroendocrine neoplasms (pNEN) undergoing surgical resection.
Methods: All patients undergoing surgery for pNEN at our center between 2010 and 2023 were included. TO was defined as the absence of severe morbidity (Clavien-Dindo grade ≥3), the absence of pancreas-specific complications, no re-admission and no mortality. Logistic regression analysis was used to identify risk factors associated with non-TO and Kaplan-Meier survival analysis was performed to compare disease-free and overall survival rates between TO and non-TO groups.
Results: A total of 622 patients underwent surgery for pNEN. Of these 86.3% had non-functioning tumors and the majority (81%) underwent formal resection. Major morbidity occurred in 31.7% of patients with an in-hospital mortality of 2.6%. Rates of postoperative pancreatic fistula, post-pancreatectomy hemorrhage and re-admission were 21.5%, 6.4% and 10.3%, respectively. Overall TO was achieved in 63.8% of cases which was higher in organ-sparing resections compared to formal resections (74.8% vs 61.2%, p=0.007). Risk factors for not achieving TO were higher age (OR: 1.63; 95% CI, 1.18-2.27, p=0.003), higher BMI (OR: 1.6; 95% CI, 1.14-2.28, p=0.006), ASA Score ≥3 (OR 1.6, 95% CI 1.12-2.3, p=0.011) and longer duration of surgery (OR: 1.84; 95% CI, 1.32-2.57, p<0.001). Patients who achieved TO had significantly higher 5-year disease-free (73% vs 66%, p=0.022) and overall survival rates (87% vs 78%, p<0.001) compared to those without TO. This effect was confirmed in subgroup analyses of non-functioning pNEN (OS: 85% vs 77%, p=0.003) as well as in formal resections (OS: 82% vs 75%, p=0.014). On multivariable analysis, TO was confirmed as an independent predictor of post-resection survival.
Conclusions: TO is achieved in the majority of patients undergoing pancreatic surgery for pNEN and is associated with significantly improved long-term survival. Therefore, TO may serve as quality control and prognostic indicator in patients with pNEN.

17:42 – 17:48

KV 203 Perioperatives Outcome nach totaler Pankreatektomie versus Pankreaskopfresektion – Retrospektive Analyse aus dem DGAV StuDoQ|Pankreas Register

Eveline Schoenmaker (Frankfurt am Main)

KV 203 Perioperatives Outcome nach totaler Pankreatektomie versus Pankreaskopfresektion – Retrospektive Analyse aus dem DGAV StuDoQ|Pankreas Register

E. Schoenmaker1, K. Uttinger1, S. Sliwinski1, T. Benkö1, A. Wiegering1, E. Petrova1

1Goethe-Universität Frankfurt, Universitätsklinikum, Klinik für Allgemein-, Viszeral-, Transplantations-, und Thoraxchirurgie, Frankfurt am Main, Deutschland

Einleitung: Die perioperative Morbidität nach Pankreaskopfresektion ist wesentlich durch postoperative Pankreasfisteln bedingt. Eine totale Pankreatektomie könnte das Risiko einer Pankreasfistel eliminieren und dadurch das Gesamtrisiko des Eingriffs senken. Dies hat jedoch eine absolute exokrine und endokrine Pankreasinsuffizienz zur Folge.
Ziele: Ziel der Studie ist die Pankreaskopfresektion und die totale Pankreatektomie im Hinblick auf postoperative Komplikationen zu vergleichen.
Methodik: Retrospektive Analyse von Patienten mit Pankreaskopfresektion versus totaler Pankreatektomie aus dem DGAV StuDoQ|Pankreas Register von 2013 bis 2024. Ein Propensity Score mit potenziellen Confoundern (Alter, Geschlecht, Body Mass Index, ASA-Score, ECOG, präoperative biliäre Drainage, neoadjuvante Therapie, Pfortaderresektion, Komorbiditäten) wurde berechnet, die zwei Gruppen gematcht und hinsichtlich in-hospital Mortalität und Morbidität (Komplikationen ≥3 nach der Clavien-Dindo Klassifikation) verglichen. Subgruppen-Analysen bei Hochrisikopatienten für eine Pankreasfistel (Pankreasgang <3 mm, weiches Pankreasparenchym) und bei Patienten mit duktalem Adenokarzinom wurden durchgeführt.
Ergebnis: Von insgesamt 12 543 Patienten, hatten 10 459 (83.4%) eine Pankreaskopfresektion und 2 084 (16.6%) eine totale Pankreatektomie. Die Mortalitäts- und Morbiditätsraten nach Pankreatektomie waren mit 8.1% und 34.7% signifikant höher als nach Pankreaskopfresektion mit 4.4% und 30% (p<0.001). In Referenz zur Pankreaskopfresektion lag nach Propensity-Score-Matching im Fall von Pankreatektomien ein erhöhtes Mortalitäts- (OR 1.6, CI 1.2-2.1, p=0.001) und Morbiditätsrisiko (OR 1.2, CI 1.1-1.4, p=0.006) vor, was in einer Subgruppenanalyse von Pankreaskarzinom Patienten persistierte (OR 2.1, CI 1.5-2.8, p<0.001, OR 1.4, CI 1.1-1.6, p=0.004). Bei Hochrisikopatienten ergab sich nach Matching kein signifikanter Unterschied bezüglich Mortalitäts- (OR 1.2, CI 0.9-1.6, p=0.332) oder Morbiditätsrisiko (OR 0.95, CI 0.8-1.1, p=0.507).
Schlussfolgerung: Trotz theoretischer Vorteile einer totalen Pankreatektomie, geht diese in der retrospektiven Analyse des StudoQ|Pankreas Registers mit einer höheren Rate an Komplikationen und erhöhtem Mortalitätsrisiko einher als bei Pankreaskopfresektionen. Bei Hochrisikopatienten für eine Pankreasfistel, zeigt sich in den StudoQ|Pankreas Daten kein Unterschied zwischen beider Eingriffe bezüglich Mortalitäts- und Morbiditätsrisiken.

17:50 – 17:56

KV 205 Multiviszerale Pankreasresektionen: eine multizentrische Studie

Artur Rebelo für die multiviszerale Studiengruppe der European-African Hepato-Pancreato-Biliary Association (E-AHPBA) (Halle)

KV 205 Multiviszerale Pankreasresektionen: eine multizentrische Studie

A. Rebelo1, Multiviszerale Studiengruppe der European-African Hepato-Pancreato-Biliary Association (E-AHPBA)

1Universitätsmedizin Halle, Halle, Deutschland

Einleitung: Onkologische multiviszerale Pankreasresektionen erfolgen zur chirurgischen Therapie von lokal fortgeschrittenen malignen Tumoren. Aufgrund der bisher eingeschränkten Datenlage ist eine internationale, multizentrische Studie essenziell, um sowohl kurzzeitige Ergebnisse als auch relevante Faktoren, die die postoperative Morbidität und Mortalität beeinflussen, zu verstehen.
Ziele: Evaluation der kurzfristigen Ergebnisse multiviszeraler onkologischer Resektionen unter Einbeziehung des Pankreas in einer großen internationalen Kohorte hinsichtlich perioperativer Morbidität, Mortalität und potenzieller Prädiktoren für chirurgische Komplikationen.
Methodik: Es handelt sich um eine internationale, multizentrische, retrospektive Kohortenstudie, die die Daten von 1283 Patienten aus 31 chirurgischen Zentren analysiert. Es erfolgte eine Analyse der demographischen Eigenschaften, Tumorcharakteristika, perioperativen Variablen und kurzfristigen postoperativen Ergebnisse sowie eine Stratifizierung nach Tumorentität und Art der Pankreasresektion.
Ergebnisse: Die 90-Tage-Mortalitätsrate lag bei 6,9 % und war beim Magenadenokarzinom am höchsten (16,7 %). Schwere Komplikationen (Clavien-Dindo-Grad III–V) traten bei 34,4 % der Patienten auf. Eine höhere ASA-Klassifikation und ein offener Operationszugang wurden als unabhängige Prädiktoren für Morbidität und Mortalität identifiziert, eine verlängerte Operationszeit war nur mit einer erhöhten Morbidität assoziiert. Weibliches Geschlecht und die Behandlung in spezialisierten Zentren erwiesen sich als protektive Faktoren. Bei Patienten mit Pankreastumoren erhöhte eine multiviszerale Resektion des Kolons (OR 1,78, p < 0,001) oder des Magens (OR 1,33, p = 0,042) das Risiko postoperativer Komplikationen signifikant, während die Resektion von drei Organen (OR 1,75, p = 0,006) mit einer höheren Komplikationsrate verbunden war.
Schlussfolgerung: Multiviszerale Resektionen des Pankreas sind mit einem relevanten perioperativen Risiko verbunden, das maßgeblich vom physiologischen Zustand des Patienten und dem chirurgischen Vorgehen beeinflusst wird. Eine optimierte Patientenauswahl, die Bevorzugung minimalinvasiver Techniken und die Zentralisierung der Versorgung können zur Verbesserung der perioperativen Ergebnisse beitragen.

17:58 – 18:04

KV 206 Milzerhalt – Vorsicht vor postoperativen Blutungen: Eine retrospektive Analyse einer prospektiven distalen Pankreatektomie Datenbank

Alexander Werba (Heidelberg)

KV 206 Milzerhalt – Vorsicht vor postoperativen Blutungen: Eine retrospektive Analyse einer prospektiven distalen Pankreatektomie Datenbank

A. Werba1, R. Klotz1, J. Raba1, M. Holze1, M. Shahrbaf1, U. Hinz1, A. Schuh1, F. Schuh1, A. Ramouz1, M.W. Büchler2, M. Loos1, F. Pianka1

1Universitätsklinikum Heidelberg, Allgemein-, Viszeral- und Transplantationschirurgie, Heidelberg, Deutschland, 2Champalimaud-Stiftung, Bauchspeicheldrüsenkrebszentrum, Lissabon, Portugal

Einleitung: Die Splenektomie wird bei der distalen Pankreatektomie (DP) insbesondere bei malignen Erkrankungen weiterhin als Standardverfahren angesehen, um eine vollständige Lymphknotendissektion im Milzhilus sicherzustellen. Bei benignen oder niedrig-malignen Pankreastumoren ist der Milzerhalt jedoch auch aus onkologischer Sicht vertretbar und könnte postoperative Infektionen im Langzeitverlauf reduzieren.
Ziel: Ziel dieser Studie war es, den Einfluss des Milzerhalts auf die Inzidenz postoperativer Komplikationen und weitere perioperative Outcomes nach DP zu analysieren.
Methodik: Bei dieser Studie handelt es sich um eine retrospektive Analyse einer prospektiv geführten Datenbank. Endpunkte beinhalteten pankreasspezifische Komplikationen (postoperative Pankreasfistel (POPF) und postpancreatomy hemorrhage (PPH)) sowie perioperative Parameter (Blutverlust (BV), Intensivaufenthalt (ICU), Krankenhausverweildauer (KVD) und Komplikationen gemäß Clavien-Dindo ≥3).
Ergebnis: Es wurden alle Patienten eingeschlossen, die zwischen 2002 und 2022 eine DP bei benigner oder niedrig-maligner Indikation erhielten. Insgesamt wurden 302 Patienten nach milzerhaltender DP (spleen-preserving, SPDP) und 641 Patienten nach konventioneller DP eingeschlossen und Baselinecharakteristika erhoben. Das mediane Alter der Patienten betrug 59,9 Jahre. 69,3% der Eingriffe wurden offen, 15,3% laparoskopisch und 15,4% robotisch-assistiert durchgeführt. Die häufigste Indikation war eine intraduktale papillärmuzinose Neoplasie (IPMN, n=240). Eine PPH trat signifikant häufiger nach SPDP auf (8,6% vs. 5,1%, p=0,0406), jedoch gab es in der SPDP-Gruppe signifikant häufiger eine präoperative ASS-Einnahme (p=0,0273). Patienten nach SPDP wiesen eine kürzere OP-Zeit (170min vs. 176min, p=0,0404) sowie einen geringeren BV (300ml vs. 400ml, p=0,0109) auf. Der Anteil der Patienten mit ICU-Aufenthalt war in der SPDP-Gruppe höher (32,5 % vs. 17,9 %, p<0,0001). Die mediane KVD betrug in beiden Gruppen jeweils 10 Tage (p=0,1130). Die POPF-Häufigkeit (24,3 % vs. 21,9 %, p=0,4018) sowie Gesamtkomplikationen Clavien-Dindo ≥3 zeigten keinen signifikanten Unterschied.
Schlussfolgerung: Die SPDP ist bei benignen und niedrig-malignen Pankreastumoren grundsätzlich sicher durchführbar, geht jedoch im analysierten Kollektiv mit einem erhöhten Risiko für PPH einher. Andere postoperative Komplikationen, insbesondere das Auftreten einer POPF sowie die KVD zeigten keine Unterschiede zwischen SPDP und konventioneller DP.

18:06 – 18:12

KV 200 Impact of merging two high-volume centers on patient outcome: 1000 consecutive pancreatoduodenectomies

Ingmar F. Rompen (Heidelberg)

KV 200 Impact of merging two high-volume centers on patient outcome: 1000 consecutive pancreatoduodenectomies

I.F. Rompen1, J. Menso2, E. Ingwersen2, F. Daams2, J. Erdmann2, S. Feesten2, R.-J. Swijneburg2, B. Zonderhuis2, O. van Delden2, M. Meijerink2, R. Voermans2, R. van Wanrooij2, H. Wilmink2, G. Kazemier2, O. Busch2, M. Besselink2

1Universitätsklinikum Heidelberg, Departement für Allgemein, Viszeral und Transplantationschirurgie, Heidelberg, Deutschland, 2Amsterdam UMC, Amsterdam, Niederlande

Background: Pancreatoduodenectomy (PD) has one of the strongest volume-outcome relationships in all of surgery. It is unclear whether this relationship has a plateau for a certain volume. If so, merging two high-volume centers would not lead to further improve patient outcomes. However, data are inappropriate as current studies on volume-outcome relationships are based on a relatively low annual center volumes of 10-50 PDs.
Aim: To compare postoperative outcomes prior and after hospital merger to a very high-volume center.
Methods: Retrospective study assessing the merger of two high-volume university medical centers on outcome of PD (August 2017-March 2025). On May 31, 2021, all pancreatic surgery, multidisciplinary medical, and nursing staff were concentrated on one location and care was harmonized with structural changes in pre-, intra-, and postoperative patient management. Outcomes of 500 consecutive patients undergoing PD pre-merger were compared with 500 consecutive PD post-merger.
Results: During the 7.5-year study period, 1000 patients underwent pancreatoduodenectomy. Pre-merger, the average annual center volume was 42 and 87 PD per center, post-merger this was 133. The use of robot-assisted PD increased post-merger (16% to 36%, p<0.001). Post-merger, the complication-related in-hospital/30-day mortality decreased (2.0% to 0.4%, p=0.020). The failure-to-rescue rate improved (4.9% to 1.1%, p=0.040) post-merger and the rates of major morbidity (Clavien-Dindo ≥3) (41% to 35%, p=0.037), postoperative pancreatic fistula grade C (2.4% to 0.8% (p=0.044) and post-pancreatectomy hemorrhage grade B/C (8.0% to 4.6%, p=0.027), including PPH grade C (3.8% vs. 1.6%, p=0.032), decreased.
Conclusion: Surgical outcome after PD improved following the merger of two high-volume centers for pancreatic surgery. These findings may be explained by standardization and proactive multidisciplinary complication management and shed new light on the potential benefits of centralization for pancreatic surgery also for higher volumes of >100 annual caseload.

18:14 – 18:20

KV 207 Staging Laparoscopy to Prevent Non-Therapeutic Laparotomy After Neoadjuvant Treatment for Pancreatic Cancer in the PREOPANC-2 Trial

Ingmar F. Rompen (Heidelberg)

KV 207 Staging laparoscopy to prevent non-therapeutic laparotomy after neoadjuvant treatment for pancreatic cancer in the PREOPANC-2 trial

I.F. Rompen1, E.N. Dekker2, T.F. Stoop3, O.R. Busch3, C.H. van Eijck2, B. Groot Koerkamp2, J.L. van Dam2, M.G. Besselink3, for the Dutch Pancreatic Cancer Group

1Universitätsklinikum Heidelberg, Departement für Allgemein, Viszeral und Transplantationschirurgie, Heidelberg, Deutschland, 2Erasmus MC Cancer Institute, Rotterdam, Niederlande, 3Amsterdam UMC, Amsterdam, Niederlande

Objective: To assess the yield of staging laparoscopy (SL) in a multicenter randomized trial in patients with resectable and borderline resectable pancreatic ductal adenocarcinoma (PDAC) undergoing surgical exploration after neoadjuvant treatment.
Background: Occult metastases may be detected at surgical exploration, leading to a non-therapeutic laparotomy. Starting a surgical exploration with an SL may prevent this, but more prospective data justifying its routine use after neoadjuvant treatment for PDAC is needed.
Methods: This was a prespecified analysis within the multicenter PREOPANC-2 trial, which randomized patients with resectable and borderline resectable PDAC to receive neoadjuvant FOLFIRINOX or gemcitabine-based chemoradiotherapy and adjuvant gemcitabine. The SL was performed in the same surgical session as the intended resection. Primary outcome was the yield of SL to prevent a laparotomy without resection (non-therapeutic laparotomy).
Results: Among 369 randomized patients, 322 (87.2%) ultimately underwent surgical exploration. At surgery, 240 patients (74.5%) underwent SL, including 81 patients (25.2%) scheduled for a robot-assisted resection, and 82 (25.5%) underwent laparotomy without SL. Occult metastases were detected in 39/322 patients (12.1%); in 28/240 with (11.7%) and 11/82 (13.4%) without SL (p=0.675). Of the 28 patients with occult metastases in the SL cohort, 18 (64.3%) did not undergo subsequent laparotomy. Multivariable logistic regression identified tumor size >3 cm (OR: 2.85, 95%CI 1.31 to 6.61, p=0.011) and baseline CA19-9 >500 U/ml (OR: 2.92, 95%CI: 1.27 to 6.75, p=0.011) as independent predictors for occult metastatic disease. Without these factors, occult metastatic disease was present in 2.8% of patients (95%CI: 0.9 to 8.0). However, in patients with either tumor size >3 cm or CA19-9 levels >500 U/ml, the prevalence increased to 14.8% (95%CI: 5.9-32.5) and 28.9% (95%CI: 17.0-44.8) with both factors present. The presence of occult metastases was the main reason for abortion of surgery without resection (90.5%). Consequently, the rate of non-therapeutic laparotomy was lower in the SL group (4.5% vs. 17%, p=0.002; number needed-to-treat = 8).
Conclusions: The findings of this study highlight the importance of preoperative risk assessment including SL in minimizing non-therapeutic laparotomies.

18:22 – 18:28

KV 208 Exceptional survival after pancreatic metastasectomy in renal cell carcinoma across two decades

Friederike Sonntag (Heidelberg)

KV 208 Exceptional survival after pancreatic metastasectomy in renal cell carcinoma across two decades

F. Sonntag1, M.C. Kryschi1, T. Hank1, C.W. Michalski1, M. Loos1, M.W. Büchler2, S. Roth3

1Universitätsklinikum Heidelberg – Allgemein-, Viszeral- und Transplantationschirurgie, Heidelberg, Deutschland, 2Botton-Champalimaud Pancreatic Cancer Centre, Lisboa, Portugal, 3Universitätsklinik Tübingen – Allgemein-, Viszeral- und Transplantationschirurgie, Tübingen, Deutschland

Introduction: Metastases account for approximately 2-5% of all malignant pancreatic tumors, with renal cell carcinoma (RCC) comprising nearly two-thirds of these cases. The role of surgical resection for RCC metastases to the pancreas remains controversial.
Aims: This retrospective, single-center study assesses long-term outcomes following pancreatic surgery for RCC metastases to evaluate the potential benefit of an aggressive surgical approach.
Methods: We conducted a retrospective analysis from a prospective database. Patient demographics, primary tumor characteristics, surgical procedures, complications, and survival outcomes were collected.
Results: A total of 118 patients underwent pancreatic resection for metastatic RCC between October 2001 and June 2023. Surgical approaches included pancreatic enucleation (n=1), distal pancreatectomy (n=46), segmentectomy (n=5), total pancreatectomy (n=40), extended distal pancreatectomy (n=3), pylorus-preserving pancreaticoduodenectomy (n=16), and pylorus-resecting Whipple procedure (n=7). Resection of the remnant pancreas was subsequently performed in 9 patients due to recurrent disease. The median age at surgery was 65.5 (47.0-87.0) years, with 43 (36.4%) female patients. No postoperative complications were observed in 55 (46.6%) patients, 37 (31.4%) experienced minor complications (≤ Clavien-Dindo IIIA) and 26 (22.0%) patients had major complications (> Clavien-Dindo IIIB). The overall perioperative mortality was 7.6% (n=9). Median survival after initial nephrectomy was 292.9 months, while median survival following pancreatic surgery was 137.1 months. For the 9 patients who underwent repeat pancreatic surgery for recurrent disease, median survival reached 86.4 months after the second procedure.
Conclusion: Pancreatic resection for RCC metastases is associated with exceptional long-term survival in selected patients. Our results suggest that an aggressive surgical approach is warranted tailored to the location and extent of metastatic disease. The exceptional median survival exceeding 11 years following pancreatic metastasectomy supports the role of surgery in this context.

Kurzvortragssitzung

Prognoseparameter und Therapiekonzepte bei HCC

09:51 – 11:11

Fr 19.09.

Seminarraum 14 + 15

Open Accordion - Icon Close Accordion - Icon

Vorsitz: Anna Saborowski (Hannover) und Alexander Zipprich (Jena)

09:51 – 09:57

KV 310 Ausprägung gastrointestinaler Symptome bei Patienten mit gastrointestinalen Tumoren: Bedeutung von bakterieller Fehlbesiedlung des Dünndarms und exokriner Pankreasinsuffizienz im onkologischen Behandlungsalltag

Marie Elisa Kornab

KV 310 Ausprägung gastrointestinaler Symptome bei Patienten mit gastrointestinalen Tumoren: Bedeutung von bakterieller Fehlbesiedlung des Dünndarms und exokriner Pankreasinsuffizienz im onkologischen Behandlungsalltag

M.E. Kornab1, J. Becker1, C. Ammer-Herrmenau1, N. Gliem1, U. König1, V. Ellenrieder1, A.O. König1, G. Petzold1, S. Sulzer1

1Universitätsmedizin Göttingen, Klinik für Gastroenterologie, gastrointestinale Onkologie und Endokrinologie, Göttingen, Deutschland

Einleitung: Patienten mit gastrointestinalen Tumoren (GIT) sind häufig von belastenden gastrointestinalen Symptomen (GIS) betroffen. Als mögliche Begleiterkrankungen können eine exokrine Pankreasinsuffizienz (EPI) oder eine bakterielle Fehlbesiedelung des Dünndarms (small intestinal bacterial overgrowth, SIBO) auftreten.
Ziele: Ziel dieser Studie ist es, die Häufigkeit und Diagnostik von SIBO und EPI bei Patienten mit GIT zu untersuchen, die unter klinisch relevanten GIS leiden. Darüber hinaus soll das gezielte Screening mittels patient reported outcome measurements (PROMs) Prävalenz und Ausprägung GIS innerhalb der klinischen Versorgung abbilden.
Methodik: In dieser laufenden prospektiven unizentrischen Studie wurden seit 07/2024 Patienten mit GIT, die ambulant oder stationär vorstellig wurden, mittels ausgewählter Fragen des validierten PROM modified Gastrointestinal Symptom Rating Scale auf ausgewählte GIS gescreent. Bei positivem Screening (klinisch relevante GIS definiert als ≥ 2 in einer Skala von 0 bis 3) erfolgte bei Zustimmung ein Glucose-Atemtest sowie eine P-Elastase Bestimmung.
Ergebnis: Bisher wurden 230 Patienten mit GIT einmalig gescreent. 35% der Patienten zeigten eine klinisch relevante Symptomatik (30/65 Pankreas (PCA)-, 1/8 hepatozelluläres-, 13/29 Cholangio (CCA)-, 24/79 Kolorektal (KRK)- und 13/49 mit Ösophagus-, AEG- oder Magenkarzinom). 54 % der positiv gescreenten Patienten gaben eine, sowie 46 % mindestens zwei klinisch relevante Symptome an (19/81 häufiger Stuhlgang, 30/81 flüssiger Stuhlgang, 27/81 Blähbauch, 32/81 Blähungen, 22/81 Fettstühle), woraufhin die Anpassung der supportiven Therapie erfolgte. Bei bislang 20 (8 PCA, 8 KRK, 3 CCA, 1 AEG) Patienten wurde ein Atemtest durchgeführt. Bei 2/8 Patienten mit PCA wurde eine SIBO nachgewiesen. Bei 16/30 der positiv gescreenten Patienten mit PCA wurde die P-Elastase gemessen, bei 81% war diese erniedrigt. Von 70% der Patienten mit PCA, die bei vorbekannter EPI eine Pankreasenzymersatztherapie erhielten, gaben 21% an, häufig oder durchgehend Fettstühle in der letzten Woche gehabt zu haben. Bei 8 Patienten (5/8 PCA, 3/7 KRK) wurde bei Nachweis einer EPI die Therapie mit Pankreasenzymen neu angesetzt bzw. angepasst.
Schlussfolgerung: GIS sind bei Patienten mit GIT häufig und können durch SIBO und EPI mitverursacht sein. Ein strukturiertes Symptom-Screening mittels PROMs kann helfen, betroffene Patienten frühzeitig zu identifizieren und eine gezielte supportive Versorgung einzuleiten.

09:59 – 10:05

KV 302 Zunehmende Matrix-Heterogenität fördert Zell-Matrix-Interaktionen und die Aggressivität von Leberkrebszellen

Alexander Hayn (Leipzig)

KV 302 Zunehmende Matrix-Heterogenität fördert Zell-Matrix-Interaktionen und die Aggressivität von Leberkrebszellen

A. Hayn1, M. Matz-Soja1, T. Berg1, F. van Bömmel1

1Universitätsklinikum Leipzig, Medizinische Klinik II, Hepatologie, Leipzig, Deutschland

Einleitung: Die Remodellierung der extrazellulären Matrix (EZM) ist zentrales Merkmal der Tumorentwicklung in der Leber, insbesondere beim hepatozellulärem Karzinom (HCC) und beim intrahepatischen Cholangiokarzinom (iCC). Die versteifte und heterogene EZM begünstigt Proliferation, Migration und Invasion von Tumorzellen. Fibronektin (FN) ist ein wichtiges EZM-Glykoprotein, welches Zelladhäsion, -migration und -proliferation in der EZM fördert. In welcher Form HCC/iCC-Zellen mit unterschiedlich heterogener EZM interagieren ist nicht ausreichend bekannt.
Ziel: Die Analyse von Zell-Matrix-Interaktionen mit Kollagen und Kollagen-FN basierenden Netzwerken bei steigender EZM-Heterogenität und die Identifikation resultierender zellspezifischer Faktoren.
Methodik: Kollagenbasierte EZM-Modellsysteme mit und ohne FN wurden charakterisiert. EZM-Steifigkeit und Strukturparameter wurden zur Definition der EZM-Heterogenität vereint. Zelllinien für HCC und iCC, vertreten durch Huh7- und KKU-213-Zellen, wurden im Kontakt mit dem EZM-Modellsystem analysiert. Mittels Atomkraftmikroskopie wurde die Steifigkeit, durch Invasionsassays die Invasivität und durch 3D-Faserverschiebungsanalysen die mechanotransduktorische Interaktion der Zellen mit den Netzwerkstrukturen in Abhängigkeit steigender EZM-Heterogenität gemessen.
Ergebnis: EZM-Heterogenitätszunahme von gering zu hoch führte zur Abnahme der Zellsteifigkeiten von HCC-Zellen um Faktor 2,3 und für iCC-Zellen um Faktor 3,0. Die Analyse der Invasivität bei steigender EZM-Heterogenität zeigte zellspezifische Einflüsse. Die Invasivität der HCC-Zelllinie unter FN-Einfluss stieg von 26% ± 4% invasiver Zellen in gering-heterogener zu 38% ± 6% in erhöht-heterogener und 51% ± 3% in hoch-heterogener EZM gegenüber 32% ± 9% in erhöht-heterogener und 46% ± 9% in hoch-heterogener EZM ohne FN. Zudem wurde hoch invasives Verhalten aller untersuchten Zellen in hoch-heterogene EZM deutlich. Die Invasivität der iCC Zellen steigerte sich FN-unabhängig von 24% ± 2% in gering- zu 62% ± 8% in hoch-heterogener EZM (Abb. 1). 3D-Faserverschiebungsanalysen untersuchten die Interaktion von invasiven Zellen mit strukturellen EZM-Veränderungen.
Schlussfolgerung: Die untersuchten HCC- und iCC-Zellinien zeigten bei gesteigerter EZM-Heterogenität eine Abnahme ihrer Steifigkeit und eine Zunahme ihrer Invasionstiefe. Die Rolle der EZM-Heterogenität als Risikofaktor für intrahepatische Tumorausbreitung und Zelldedifferenzierung muss in vivo untersucht werden.

Abb. 1: Die Zellsteifigkeit nimmt für iCC und HCC Zellen unter Heterogenitätszunahme deutlich ab und befindet sich für hoch-heterogene EZM-Bedingungen auf einem vergleichbaren Niveau, sowohl für Kollagen (Col) als auch für Kollagen-Fibronektin (Col+FN) basierte EZM-Systeme. Die durch die Verringerung der Zellsteifigkeit erzielten Migrationsvorteile stehen im Einklang mit der deutlich höheren Invasivität beider Zelllinien mit zunehmender Heterogenität.

10:07 – 10:13

KV 303 High expression of the BMP-9 receptor ALK1 in hepatocellular carcinoma (HCC) tissue indicates a better prognosis

Katja Breitkopf-Heinlein (Mannheim)

KV 303 High expression of the BMP-9 receptor ALK1 in hepatocellular carcinoma (HCC) tissue indicates a better prognosis

K. Breitkopf-Heinlein1, J. Araos Henriquez2, Z. Ahmadova1, M.N. Sitar1, D. Rana-Seyfert1, H. Gaitantzi1, C. Reissfelder1

1Universitätsmedizin Mannheim, Universität Heidelberg, Chirurgische Klinik, Mannheim, Deutschland, 2Early Cancer Institute, University of Cambridge, Muñoz-Espín Group, Department of Oncology, Cambridge, Vereinigtes Königreich

BMP-9, a hepatic cytokine belonging to the TGF-β superfamily, has gathered attention in recent studies due to its controversial role in cancer, including hepatocellular carcinoma (HCC). Some investigations indicate BMP-9’s promotion of cell proliferation and epithelial-to-mesenchymal transition (EMT), while others suggest anti-proliferative effects and a reduction in mesenchymal markers in HCC cells. The aim of this study was therefore to better understand BMP-9/ALK1 signaling in HCC.
Starting with in silico data (TCGA) we conducted an extensive analysis of expression levels for BMP-9 signaling pathway components in HCC tumour samples. ALK1 was very heterogeneously expressed. We divided the HCC (LIHC) cohort into ALK1 high, intermediate and low expressors and found that in ALK1 high tissues, endoglin (ENG, a BMP-9 co-receptor) is also significantly enhanced. By further in silico analyses we found that high ALK1 in combination with high ENG is significantly associated with better survival times of the patients. GSEA analyses of the ALK1 high versus low tumour samples further revealed that low ALK1 expression is correlated with an enrichment of several hallmark gene sets for enhanced cell proliferation whereas high ALK1 in HCC is related to inflammation.
To further characterize the hepatic BMP-9 response we used diverse HCC cell lines and confirmed in vitro that in HLE cells BMP-9 promoted EMT and proliferation whereas in Hep3B cells, as well as normal hepatocytes (HC), BMP-9 antagonized proliferation. In Hep3B cells BMP-9 also inhibited the expression of several cancer stem cell markers. Furthermore, we previously found that BMP-9 can enhance pro-inflammatory LPS-responses in macrophages (MP) and now found that in wild-type bone marrow derived macrophages (BMDM) BMP-9 induced IL-6 expression in vitro but in BMDM derived from mice with MP-specific ALK1 deletion (LysM-Cre/ALK1-flox) this induction was lost. Implying that BMP-9/ALK1 responses in MP in addition to those in endothelial cells and/or HC seem to act in concert and might lead to the pro-inflammatory actions of ALK1 signalling in HCC patients in vivo.
We conclude that BMP-9 acts on the diverse liver cell types in parallel and that in patients with ALK1-high HCC tissues BMP-9 possibly antagonizes tumour progression.

10:15 – 10:21

KV 304 Targeting mucosal-associated invariant T cells using riboflavin metabolism derived TCR ligands for innate immunotherapy of liver cancer

Benjamin Ruf (Tübingen)

KV 304 Targeting mucosal-associated invariant T cells using riboflavin metabolism derived TCR ligands for innate immunotherapy of liver cancer

J.-P. Betz1, T.J. Krpicak1, P. Huang2, C. Ma2, R. Trehan2, M. Kurkunov3, M. Gehringer3, S. Beyer4, E. Garcia Rollmann4, Y.-P.(. Yang4, K. Wistuba-Hamprecht5, N.P. Malek1, T.F. Greten2, F. Korangy2, B. Ruf1,4,6

1University Hospital Tübingen, Department of Internal Medicine I, Gastroenterology, Hepatology, Gastrointestinal Malignancies, Inefctious Diseases, Geriatrics, Tübingen, Deutschland, 2National Institutes of Health, National Cancer Institute, Bethesda, Vereinigte Staaten, 3Eberhard Karls University Tübingen, Department of Pharmaceutical/Medicinal Chemistry, Tübingen, Deutschland, 4M3 Research Center for Malignome, Metabolome and Microbiome, Tübingend, Deutschland, 5DKFZ Hector Cancer Institute at the University Medical Center Mannheim, Heidelberg, Deutschland, 6University of Tübingen, Cluster of Excellence iFIT (EXC 2180) “Image-Guided and Functionally Instructed Tumor Therapies”, Tübingen, Deutschland

Introduction: Mucosal-associated invariant T (MAIT) cells are an abundant T cell subset in the human liver and they play a crucial role in the regulation of immunity and inflammation. MAIT cells can be activated and expanded using riboflavin metabolism-derived T cell receptor (TCR) agonists. The aim of this work was to resolve the underlying mechanisms of MAIT-mediated anti-tumor immunity in human and mouse.
Methods: Ex vivo co-culture systems and cytotoxicity assays were used to investigate the effect of riboflavin-derived TCR-ligands on human circulating and hepatic MAIT cells. Syngeneic mouse models of orthotopic primary liver cancer and liver metastases were used to study anti-tumor activity of MAIT cells. A series of pharmacological depletion experiments were used to identify additional effector immune cells and humoral factors that mediate this effect in vivo. Single-cell RNA sequencing and high-dimensional flow cytometry provided crucial clues to underlying mechanisms.
Results: We show that MAIT cells are potent mediators of this anti-tumor activity across various models of liver cancer in vivo and in vitro when activated by distinct MAIT TCR-ligands. Sequencing and flow cytometry identified co-stimulatory effector molecules as critical components required for MAIT-induced tumor suppression. Additional pharmacological depletion experiments and genomic conditional knockout mouse strains helped to identify additional effector cells.
Conclusion: MAIT cells play an important role in tumor immunology and represent an attractive new target for immunotherapy. Finely tuned, context-dependent mechanisms determine MAIT cell function in vivo and in vitro.

10:23 – 10:29

KV 305 Frühe CRP-Kinetik als prädiktiver Marker für das Ansprechen auf Immuncheckpoint-Inhibitoren beim hepatozellulären Karzinom: eine nationale, multizentrische Beobachtungsstudie

Joshua Leutiger (Köln)

KV 305 Frühe CRP-Kinetik als prädiktiver Marker für das Ansprechen auf Immuncheckpoint-Inhibitoren beim hepatozellulären Karzinom: eine nationale, multizentrische Beobachtungsstudie

J. Leutiger1, C. Sahin2, C. Leyh3, K. Mitzlaff4, L. Krämer1, D. Waldschmidt1, C. Neumann-Haefelin1, C. Zimpel4, J. Marquardt4, M.-L. Berres2, T. Lüdde3, C. Roderburg3, G. Allo1

1Universitätsklinikum Köln, Köln, Deutschland, 2Universitätsklinikum Aachen, Aachen, Deutschland, 3Universitätsklinikum Düsseldorf, Düsseldorf, Deutschland, 4Universitätsklinikum Schleswig-Holstein, Campus Lübeck, Lübeck, Deutschland

Einleitung: Immuncheckpoint-Inhibitoren (ICI) haben die Therapie des hepatozellulären Karzinoms (HCC) revolutioniert. Allerdings fehlen bislang valide prädiktive Marker zur Vorhersage des Therapieansprechens. Zuletzt konnte bei ausgewählten Tumorentitäten gezeigt werden, dass die Kinetik des C-reaktiven Proteins (CRP) ein Therapieansprechen auf ICI vorhersagen kann.
Ziele: Ziel dieser Studie war es, den Zusammenhang der CRP-Kinetik mit dem Therapieansprechen bei Patienten mit HCC unter ICI-Therapie zu analysieren.
Methodik: In dieser multizentrischen, retrospektiven Beobachtungsstudie wurden 93 Patienten mit fortgeschrittenem HCC eingeschlossen, die zwischen 2019 und 2023 ICI erhielten. Anhand der CRP-Kinetik innerhalb von 12 Wochen nach Therapiebeginn erfolgte die Einteilung in vier Gruppen: Flare-Responder (CRP-Verdoppelung innerhalb von vier Wochen mit anschließendem Abfall unter Ausgangswert), Responder (≥30% Abfall des CRP-Ausgangswerts ohne Flare innerhalb von drei Monaten), All-Normal (dauerhaft normwertiges CRP) und Non-Responder (restliche Patienten). Primärer Endpunkt war progressionsfreies Überleben (PFS); sekundäre Endpunkte umfassten Gesamtüberleben (OS) und objektive Ansprechrate (ORR).
Ergebnis: CRP-Kinetik war signifikant mit Therapieansprechen assoziiert. Insbesondere Flare-Responder und All-Normal-Gruppe zeigten ein verlängertes medianes PFS (19,1 bzw. 18,0 Monate) gegenüber Non-Respondern (4,0 Monate). Dies ergab eine Reduktion des Progressionsrisikos um 62 % (HR = 0,38; 95 %-KI: 0,18–0,78; p = 0,009) bzw. 65 % (HR = 0,35; 95 %-KI: 0,18–0,70; p = 0,003) gegenüber Non-Respondern. Ein ähnlicher Trend zeigte sich beim OS: Flare-Responder wiesen eine signifikante Mortalitätsreduktion um 73% (HR = 0,27; 95 %-KI: 0,09–0,79; p = 0,017) und All-Normal-Gruppe um 64 % (HR = 0,36; 95 %-KI: 0,15–0,85; p = 0,020) gegenüber Non-Respondern auf. Auch die ORR unterschied sich signifikant (p = 0,011): Während Non-Responder nach dem ersten Staging zu 19 % ein objektives Ansprechen zeigten, betrugen die Ansprechraten bei Respondern 37 %, bei Flare-Respondern 43 % und in der All-Normal-Gruppe 44 %.
Schlussfolgerung: Frühe CRP-Kinetik kann als kostengünstiger und schnell verfügbarer prognostischer Marker für das Therapieansprechen auf ICI beim HCC dienen und somit individualisierte Therapieentscheidungen unterstützen.
PFS/OS
ORR

10:31 – 10:37

KV 306 Outcomes by transarterial chemoembolization (TACE) modality from participants (pts) with embolization‑eligible hepatocellular carcinoma (HCC) treated with durvalumab (D) + bevacizumab (B) + TACE and placebos (PBO) + TACE: EMERALD-1 subgroup analysis

Anke Kröcher

KV 306 Outcomes by transarterial chemoembolization (TACE) modality from participants (pts) with embolization‑eligible hepatocellular carcinoma (HCC) treated with durvalumab (D) + bevacizumab (B) + TACE and placebos (PBO) + TACE: EMERALD-1 subgroup analysis

A. Kröcher1, J. Heo2, T. Okusaka3, J.-H. Yoon4, B. Sangro5, S.L. Chan6, J.P. Erinjeri7, M. Matos8, T. Decaens9, E.X. Chen10, M.S. Beg11, A.M. Matilla12, L.T.T. Phuong13, R. Griffin14, S.I. Udoye15, S. Indiviglio16, M. Kudo17

1Universitätsklinikum Carl Gustav Carus Dresden, Dresden, Deutschland, 2Pusan National University Hospital, Busan, Korea, Republik, 3National Cancer Center Hospital, Department of Hepatobiliary and Pancreatic Oncology, Tokyo, Japan, 4Seoul National University College of Medicine, Department of Internal Medicine and Liver Research Institute, Seoul, Korea, Republik, 5Clínica Universidad de Navarra and CIBEREHD, Liver Unit and HPB Oncology Area, Pamplona – Madrid, Spanien, 6Sir Yue-Kong Pao Center for Cancer, Department of Clinical Oncology, Hong Kong, Hongkong, China, 7Memorial Sloan Kettering Cancer Center, Interventional Radiology Service, New York, Vereinigte Staaten, 8Pindara Private Hospital, Oncology, Benowa, Australien, 9University Grenoble Alpes, Department of Hepato-Gastroenterology and Digestive Oncology, Grenoble, Frankreich, 10Princess Margaret Cancer Centre, Division of Medical Oncology and Hematology, Toronto, Kanada, 11UT Southwestern Medical Center, Department of Internal Medicine, Dallas, Vereinigte Staaten, 12Hospital General Universitario Gregorio Marañón, and CIBEREHD, Liver Unit, Madrid, Spanien, 13People’s Hospital 115, Ho Chi Minh City, Vietnam, 14AstraZeneca, Oncology Biometrics, Late Oncology Statistics, Cambridge, Vereinigtes Königreich, 15AstraZeneca, Global Medicines Development, Gaithersburg, Vereinigte Staaten, 16AstraZeneca, Global Medicines Development, Oncology, Gaithersburg, Vereinigte Staaten, 17Kindai University Faculty of Medicine, Department of Gastroenterology and Hepatology, Osaka, Japan

Background: EMERALD-1 (NCT03778957) met its primary endpoint, showing improved progression-free survival (PFS) in pts with locoregional HCC treated with D + B + TACE versus PBO + TACE (hazard ratio [HR], 0.77; 95% confidence interval [CI], 0.61–0.98). This analysis assessed the impact of TACE modality (conventional TACE [cTACE] or drug-eluting bead [DEB]-TACE) on efficacy and safety outcomes.
Methods: Pts in this analysis received D (1500 mg) or PBO for D (Q4W) plus cTACE or DEB‑TACE (investigator choice; TACE modality was a stratification factor). After completing the last TACE, pts received D (1120 mg) + B (15 mg/kg) or PBO for D + B (Q3W). PFS, time to progression (TTP), and overall response rate (ORR; BICR per RECIST v1.1) with D + B + TACE and PBO + TACE (intent-to-treat population) are reported by TACE modality. Safety was assessed in the safety analysis set (pts received ≥1 dose of study treatment [tx], regardless of randomization).
Results: Overall, 59.3% of pts received cTACE and 40.7% received DEB-TACE in the D + B + TACE arm; similarly, 58.5% of pts received cTACE and 41.5% received DEB-TACE in the PBO + TACE arm. Most pts received 1 or 2 TACE procedures in both cTACE (60% in D + B + TACE arm; 67.2% in PBO + TACE arm) and DEB-TACE groups (55.6% in D + B + TACE arm; 53.6% in PBO + TACE arm). Baseline characteristics in the cTACE and DEB-TACE groups were similar, with some differences in the relative distribution of BCLC, HAP, and tumor burden (BCLC Score A; 29.0% vs 17.9%: HAP Score A; 36.5% vs 25.0%: tumor burden within up-to-7 criteria; 56.4% vs 37.5%, respectively). Baseline characteristics were generally well balanced across tx arms within the cTACE and DEB-TACE groups. PFS, TTP, and ORR improved with D + B + TACE versus PBO + TACE, regardless of TACE modality (Table). In the D + B + TACE and PBO + TACE arms, max Grade 3–4 adverse events possibly related to study tx were reported by 25/100 (25.0%) and 3/116 (2.6%) pts in the cTACE group, and 16/54 (29.6%) and 9/84 (10.7%) pts in the DEB-TACE group, respectively.
Conclusions: Overall, pts receiving D + B + TACE had improved PFS, TTP, and ORR versus PBO + TACE regardless of TACE modality. Safety was manageable with both cTACE and DEB-TACE.

© 2025 American Society of Clinical Oncology, Inc. Reused with permission. This abstract was accepted and previously presented at the 2025 Gastrointestinal Cancers Symposium. All rights reserved.

10:39 – 10:45

KV 307 Subsequent anticancer therapy analysis of the Phase 3 HIMALAYA study of tremelimumab plus durvalumab in unresectable hepatocellular carcinoma

Florian van Bömmel

KV 307 Subsequent anticancer therapy analysis of the Phase 3 HIMALAYA study of tremelimumab plus durvalumab in unresectable hepatocellular carcinoma

F. van Bömmel1, G.K. Abou-Alfa2,3,4, S.L. Chan5, B. Sangro6, G. Lau7, M. Kudo8, V.V. Breder9, M. Varela10, O.V. Crysler11, M. Bouattour12, T.V. Dao13, A. Faccio14, J. Furuse15, Y.K. Kang16, L.-B. Jeng17, R.K. Kelley18, H. Nakamura19, J. Schmidt20, S. Ali21, L. Rimassa22,23

1Universitätsklinikum Leipzig, Leipzig, Deutschland, 2Memorial Sloan Kettering Cancer Center, Department of Medicine, New York, Vereinigte Staaten, 3Weill Medical College, Cornell University, New Yorkver, Vereinigte Staaten, 4Trinity College Dublin, Dublin, Irland, 5The Chinese University of Hong Kong, Hong Kong, China, 6Clínica Universidad de Navarra and CIBEREHD, Pamplona – Madrid, Spanien, 7Humanity and Health Clinical Trial Center, Hong Kong, China, 8Kindai University Faculty of Medicine, Osaka, Japan, 9N. N. Blokhin National Medical Research Center of Oncology, Moscow, Russische Föderation, 10Hospital Universitario Central de Asturias, Oviedo, Spanien, 11Rogel Cancer Center, Ann Arbor, Vereinigte Staaten, 12AP-HP Hôpital Beaujon, Paris, Frankreich, 13National Cancer Hospital, Cancer Research and Clinical Trials Center, Department of Optimal Therapy, Hanoi, Vietnam, 14CEON – Centro Especializado em Oncologia, Ribeirao Preto, Brasilien, 15Kanagawa Cancer Center, Yokohama, Japan, 16University of Ulsan College of Medicine, Department of Oncology, Seoul, Korea, Republik, 17China Medical University and Hospital, Taichung, Taiwan, 18Helen Diller Family Comprehensive Cancer Center, San Francisco, Vereinigte Staaten, 19AstraZeneca, Global Medical Affairs, Cambridge, Vereinigtes Königreich, 20AstraZeneca, Oncology Research & Development Unit, Cambridge, Vereinigtes Königreich, 21AstraZeneca, Global Medicines Development, Cambridge, Vereinigtes Königreich, 22Humanitas University, Department of Biomedical Sciences, Milan, Italien, 23IRCCS Humanitas Research Hospital, Humanitas Cancer Center, Milan, Italien

Background and Aims: In the Phase 3 HIMALAYA study (NCT03298451), STRIDE (Single Tremelimumab Regular Interval Durvalumab) significantly improved overall survival (OS) vs sorafenib in participants (pts) with unresectable hepatocellular carcinoma (uHCC; Abou-Alfa et al. NEJM Evid 2022). The OS benefit with STRIDE persisted after 5 years of follow-up (OS HR 95% confidence interval [CI] vs sorafenib, 0.76 [0.65–0.89]; Rimassa et al. oral presentation (974MO) at ESMO 2024). Assessment of subsequent anticancer therapy (SAT) use is key to understanding the long-term benefits and outcomes of STRIDE. Here, we report the assessment of SAT use at the 5-year follow-up.
Method: Pts with uHCC were randomised to STRIDE, durvalumab monotherapy or sorafenib. SAT use, time to first subsequent treatment or death (TFST) and OS in the STRIDE and sorafenib arms were assessed. Data cut-off was 1 Mar 2024.
Results: Median (95% CI) duration of follow-up was 62.49 (59.47–64.79) months (m) for STRIDE and 59.86 (58.32–61.54) m for sorafenib. Of 1171 pts randomised, 168/393 (42.7%) pts in the STRIDE arm and 179/389 (46.0%) pts in the sorafenib arm received SATs, and 20/393 (5.1%) pts in the STRIDE arm and 6/389 (1.5%) pts in the sorafenib arm remained on initial study treatment. Subsequent immunotherapy use was higher in the sorafenib arm (94/389 [24.2%] pts) than the STRIDE arm (25/393 [6.4%] pts) at 60 m, while targeted therapy use was higher in the STRIDE arm (155/393 [39.4%]) than the sorafenib arm (112/389 [28.8%]); subsequent chemotherapy use was similar between the STRIDE arm (24/393 [6.1%]) and sorafenib arm (27/389 [6.9%]). Median (95% CI) TFST was longer for STRIDE vs sorafenib (8.44 [7.23–10.22] m vs 7.13 [5.98–7.95] m; HR, 0.77; 95% CI, 0.66–0.89). Median (95% CI) OS was numerically longer for STRIDE vs sorafenib in pts with SAT use (26.7 [20.7–30.2] m vs 20.9 [16.9–24.4] m; HR, 0.80; 95% CI, 0.64–1.01) and without SAT use (10.7 [8.7–14.3] m vs 8.1 [6.3–10.3] m; HR, 0.71; 95% CI, 0.58–0.88). OS benefit with STRIDE was consistent after censoring pts at initiation of any SAT (OS HR [95% CI], 0.74 [0.60–0.92]).
Conclusion: STRIDE maintained longer OS vs sorafenib, regardless of SAT use, further supporting its independent and sustained effect on pt survival. Furthermore, delayed TFST with STRIDE provides an additional measure of effectiveness for STRIDE in addition to its effect on pt survival.

This abstract was originally presented at the EASL 2025.

10:47 – 10:53

KV 308 Five-year overall survival (OS) and OS by baseline liver function from the Phase 3 HIMALAYA study of tremelimumab (T) plus durvalumab (D) in unresectable hepatocellular carcinoma (uHCC)

Thomas Wirth (Hannover)

KV 308 Five-year overall survival (OS) and OS by baseline liver function from the Phase 3 HIMALAYA study of tremelimumab (T) plus durvalumab (D) in unresectable hepatocellular carcinoma (uHCC)

T. Wirth1, M. Kudo2, L. Rimassa3,4, S.L. Chan5, B. Sangro6, G. Lau7, V. Breder8, M. Varela9, O.V. Crysler10, M. Bouattour11, T.V. Dao12, A. Faccio13, J. Furuse14, L.-B. Jeng15, Y.-K. Kang16, R.K. Kelley17, M.J. Paskow18, M. Makowsky18, D. Ran18, A. Negro18, G.K. Abou-Alfa19,20,21

1Medizinische Hochschule Hannover (MHH), Klinik für Gastroenterologie, Hepatologie, Infektiologie und Endokrinologie, Hannover, Deutschland, 2Kindai University Faculty of Medicine, Osaka, Japan, 3Humanitas University, Mailand, Italien, 4IRCCS Humanitas Research Hospital, Mailand, Italien, 5The Chinese University of Hong Kong, Hong Kong, Hongkong, China, 6Clínica Universidad de Navarra and CIBEREHD, Pamplona – Madrid, Spanien, 7Humanity and Health Medical Group, Hong Kong, Hongkong, China, 8N. N. Blokhin National Medical Research Center of Oncology, Moskau, Russische Föderation, 9Hospital Universitario Central de Asturias, Oviedo, Spanien, 10University of Michigan, Ann Arbor, Vereinigte Staaten, 11AP-HP Hôpital Beaujon, Paris, Frankreich, 12National Cancer Hospital, Hanoi, Vietnam, 13Centro Especializado em Oncologia, Ribeirao, Brasilien, 14Kanagawa Cancer Center, Yokohama, Japan, 15China Medical University and Hospital, Taichung, Taiwan, 16Asan Medical Center, Seoul, Korea, Republik, 17University of California, San Francisco, Vereinigte Staaten, 18AstraZeneca, Gaithersburg, Vereinigte Staaten, 19Cornell University, Memorial Sloan Kettering Cancer Center, New York, Vereinigte Staaten, 20Cornell University, Weill Medical College, New York, Vereinigte Staaten, 21Trinity College Dublin, Dublin, Irland

Background: In the Phase 3 HIMALAYA study (NCT03298451) in uHCC, STRIDE (Single T Regular Interval D) significantly improved OS versus sorafenib (S) in the primary analysis (Abou-Alfa et al. NEJM Evid 2022) and demonstrated durable long-term survival with a 4-year OS rate of 25.2% (Sangro et al. Ann Oncol 2024). Albumin-bilirubin (ALBI) grade is an objective measure of liver function in HCC. Here, we report a 5-year OS analysis in uHCC and evaluate OS by baseline ALBI grade.
Methods: Participants (pts) were randomised to STRIDE, D or S. OS, the proportion of extended long-term survivors (eLTS; alive ≥48 months) and serious adverse events (SAEs) were assessed in all pts or in subgroups of pts stratified by baseline ALBI grade (1 [score ≤‑2.60] vs 2/3 [score >‑2.60 to ≤‑1.39/score >‑1.39]). The data cut-off was 1 March 2024.
Results: The OS hazard ratio (HR) for STRIDE versus S was 0.76 (95% CI, 0.65–0.89; Table). The 5‑year OS rate was 19.6% with STRIDE versus 9.4% with S (rate ratio, 2.09). In ALBI grade 1 pts, OS HR was 0.79 (95% CI, 0.63–0.99) for STRIDE versus S, and the 5-year OS rate was 24.3% with STRIDE versus 13.6% with S. In ALBI grade 2/3 pts, OS HR was 0.79 (95% CI, 0.63–1.00) for STRIDE versus S, and the 5-year OS rate was 13.7% with STRIDE versus 4.7% with S. Data for D are shown in the Table. In ALBI grade 1 versus 2/3 pts, 57/217 (26.3%) versus 26/175 (14.9%) were eLTS with STRIDE, and 36/203 (17.7%) versus 9/186 (4.8%) were eLTS with S. Rates of treatment-related SAEs with STRIDE did not change from the primary analysis for either ALBI subgroup (Table).
Conclusions: STRIDE demonstrated an unprecedented 5-year survival rate, with no additional serious safety events observed, and long-term OS benefit over S in a diverse population of pts with uHCC regardless of baseline liver function. These results set a new benchmark in uHCC, with one in five pts alive with STRIDE at 5 years.

Table

All pts ALBI grade 1 ALBI grade 2/3

STRIDE
(n=393)
D
(n=389)
S
(n=389)
STRIDE
(n=217)*
D
(n=198)
S
(n=203)
STRIDE
(n=175)*
D
(n=191)
S
(n=186)
OS HR (95% CI) 0.76
(0.65–0.89)
0.85
(0.73–1.00)
0.79
(0.63–0.99)
0.93
(0.74–1.16)
0.79
(0.63–1.00)
0.82
(0.65–1.02)
OS rates, %
48 months 25.2 19.0 15.1 31.9 20.7 22.1 17.1 17.3 7.1
60 months 19.6 14.4 9.4 24.3 15.5 13.6 13.7 13.2 4.7
Treatment-related SAEs, n/N (%) 68/388 (17.5) 33/388 (8.5) 37/374 (9.9) 44/216 (20.4) 14/198 (7.1) 16/197 (8.1) 24/171 (14.0) 19/190 (10.0) 21/177 (11.9)

*ALBI grade data not available for one pt.

Clinical Trial identification: NCT03298451
Funding: AstraZeneca
Acknowledgements:
Medical writing support, under the direction of the authors, was provided by Jennifer Stewart, PhD, MBA, on behalf of CMC Connect, a division of IPG Health Medical Communications, and was funded by AstraZeneca, in accordance with Good Publication Practice (GPP 2022) guidelines.

Previously presented at ESMO ASIA 2024, 127O, Masatoshi Kudo et al. – Reused with permission

10:55 – 11:01

KV 309 Patterns of radiological progression in participants (pts) with embolization‑eligible hepatocellular carcinoma (HCC) treated with durvalumab (D) + bevacizumab (B) + transarterial chemoembolization (TACE) and placebos + TACE: EMERALD-1 post hoc analysis

Christoph Roderburg (Düsseldorf)

KV 309 Patterns of radiological progression in participants (pts) with embolization‑eligible hepatocellular carcinoma (HCC) treated with durvalumab (D) + bevacizumab (B) + transarterial chemoembolization (TACE) and placebos + TACE: EMERALD-1 post hoc analysis

C. Roderburg1, B. Sangro2, M. Bouattour3, J.-W. Park4, M. del Consuelo Díaz Romero5, J.P. Erinjeri6, G. Alves7, S. Gu8, A. Manikhas9, H. Kuroda10, T. Suksombooncharoen11, T. Hoi Trung Vo12, V.S. Ostwal13, M. Eastgate14, G. Vaccaro15, R. Griffin16, S. Ali17, K. Balaji18, S.L. Chan19

1University Hospital of Düsseldorf, Department of Gastroenterology, Hepatology and Infectiology, Düsseldorf, Deutschland, 2Clínica Universidad de Navarra and CIBEREHD, Liver Unit and HPB Oncology Area, Pamplona – Madrid, Spanien, 3AP-HP Hôpital Beaujon, Liver Cancer and Innovative Therapy, Paris, Frankreich, 4National Cancer Center and Myongji Hospital, Department of Gastroenterology and Hepatology, Center for Liver and Pancreatobiliary Cancer, Goyang, Korea, Republik, 5Instituto Nacional de Cancerología, Mexico City, Mexiko, 6Memorial Sloan Kettering Cancer Center, Interventional Radiology Service, New York, Vereinigte Staaten, 7Hospital Nossa Senhora de Conceição, Centro Integrado de Pesquisa em Oncologia, Porto Alegre, Brasilien, 8Hunan Cancer Hospital, Department of Interventional Radiology, Changsha, China, 9City Clinical Oncological Dispensary, Oncology Department, St. Petersburg, Russische Föderation, 10Iwate Medical University, Division of Hepatology, Department of Internal Medicine, Morioka, Japan, 11Chiang Mai University, Department of Internal Medicine, Faculty of Medicine, Chiang Mai, Thailand, 12Cho Ray Hospital, Liver Tumor Department, Ho Chi Minh City, Vietnam, 13Tata Memorial Hospital, Tata Memorial Centre, Department of Medical Oncology, Mumbai, Indien, 14Royal Brisbane and Women’s Hospital, School of Medicine, University of Queensland and Department of Medical Oncology, Brisbane, Australien, 15Tennessee Oncology, Nashville, Vereinigte Staaten, 16AstraZeneca, Oncology Biometrics, Late Oncology Statistics, Cambridge, Vereinigtes Königreich, 17AstraZeneca, Global Medicines Development, Cambridge, Vereinigtes Königreich, 18AstraZeneca, Global Medical Affairs, Gaithersburg, Vereinigte Staaten, 19The Chinese University of Hong Kong, Department of Clinical Oncology, Prince of Wales Hospital, Sir Yue-Kong Pao Center for Cancer, Hong Kong, China

Background: EMERALD-1 (NCT03778957) met its primary endpoint, demonstrating improved PFS in pts with locoregional HCC treated with D+B+TACE vs. placebos (PBO)+TACE (stratified Cox proportional hazards hazard ratio [HR], 0.77; 95% confidence interval [CI], 0.61–0.98. This post hoc analysis assessed outcomes by radiological progression pattern (radPP) in pts treated with D+B+TACE or PBO+TACE.
Methods: Pts included in this analysis received D (1500 mg) or PBO for D (Q4W) combined with conventional (c)- or drug-eluting bead (DEB)-TACE (investigator choice, 1–4 TACE procedures within 16 weeks). Subsequently, pts received D (1120 mg)+B (15 mg/kg), or PBO for D+B (Q3W). This study analyzed radPP at the time of first progressive disease (PD) as assessed by the investigator per modified Response Evaluation Criteria in Solid Tumors. A new lesion was classified as a new intrahepatic lesion (NIH) or new extrahepatic lesion (NEH); tumor growth of existing intrahepatic lesions (increase of ≥20% of an existing target lesion with at least >5 mm absolute increase or unequivocal PD with a non-target lesion) was classified as intrahepatic growth (IHG; categories weren´t mutually exclusive). Efficacy was assessed by time to progression (TTP).
Results: In the D+B+TACE arm, 53.9% of pts had PD, & in the PBO+TACE arm 79.0% of pts had PD. The most common pattern of disease progression across both treatment arms was NIH (73 (35.8%) in the D+B+TACE & 107 (52.2%) pts in the PBO+TACE), with 31 (15.2%) & 34 (16.6%) pts exhibiting IHG, & 24 (11.8%) & 39 (19.0%) pts exhibiting NEH. Improved TTP was observed in pts treated with D+B+TACE vs. PBO+TACE, regardless of progression pattern.
Conclusions: The rate of progression was lower with D+B+TACE compared with PBO+TACE. The pattern of disease progression observed with D+B+TACE & PBO+TACE was similar, with NIH the most common pattern of progression in both treatment arms. Consistent benefit in TTP was observed with D+B+TACE vs. PBO+TACE, regardless of progression pattern.
Funding: AstraZeneca
Acknowledgments: Medical writing support, under the direction of the authors, was provided by Victoria Harle, PhD, CMC Connect, a division of IPG Health Medical Communications, & was funded by AstraZeneca, in accordance with Good Publication Practice guidelines.
© 2025 American Society of Clinical Oncology, Inc. Reused with permission. This abstract was accepted & previously presented at the 2025 Gastrointestinal Cancers Symposium. All rights reserved.

11:03 – 11:09

KV 311 Schistosoma mansoni egg-derived antigens stimulate IGF1-receptor signaling in the liver and colon

Simon Wald

KV 311 Schistosoma mansoni egg-derived antigens stimulate IGF1-receptor signaling in the liver and colon

S. Wald1, V. von Bülow1, F. Stettler1, G. Schramm2, C.G. Grevelding3, M. Roderfeld1, E. Roeb1

1Department of Gastroenterology, Justus Liebig University Giessen, 35392 Giessen, Germany, Gießen, Deutschland, 2Early Life Origin of Chronic Lung Diseases, Priority Research Area Chronic Lung Diseases, Research Center Borstel, Borstel, Deutschland, 3Institute of Parasitology, BFS, Justus Liebig University, Gießen, Deutschland

Background: Schistosomiasis is a parasitic disease that affects more than 250 million individuals worldwide. Compelling evidence suggests that schistosome eggs, rather than adult worms, are responsible for significant tissue damage. S. mansoni eggs induce metabolic exhaustion and redox imbalance, which are critical for the integrity of hepatocellular DNA. However, the precise mechanism by which egg antigens transmit signals into host cells remains unclear. In this study, we investigated whether S. mansoni egg antigens regulate the metabolic pathways of hepatocytes and enterocytes through the insulin/insulin-like-growth-factor-receptor-1(IGF-1) receptor.
Methods: We employed RT-PCR array, western blotting, and immunohistochemistry to analyze markers of insulin/IGF-1 receptor signaling in liver and colon tissue of mice infected with S. mansoni. Additionally, we conducted functional experiments using colon epithelial cell lines, which involved western blotting and assessment of AP-1 promoter activity.
Results: S. mansoni infection in mice led to an upregulation of the following gene expression: Igf2, Dok, Aebp1, Leptin, and Akt3, with Serpine1 being the most strongly induced. Conversely, infection caused a decrease in the expression of Sos1, Irs1, and Gck, with G6pc being the most strongly downregulated gene. Additionally, the activation of the insulin/IGF-1 receptor was pronounced in the perigranulomatous hepatocytes. Mechanistic experiments utilizing the insulin/IGF-1 receptor inhibitor BMS 536924 revealed that S. mansoni egg antigens induced the activation of the insulin/IGF-1 receptor signaling cascade, including the activation of the proto-oncogene c-Jun.
Conclusions: Our findings demonstrate that S. mansoni soluble egg antigens modulate the insulin/IGF-1 receptor signaling pathway in both, murine and human hepatocytes and enterocytes, leading to an inhibition of gluconeogenesis. This suggests that the parasite’s soluble egg antigens may enhance insulin sensitivity in the host. In a European cohort study serum IGF-1 correlates with the overall survival of patients with HCC. Thus IGF-1 might serve as a useful additional parameter for patient risk stratification. However, it remains unclear whether increased insulin signaling influences the prognosis during S. mansoni infection.

Kurzvortragssitzung

Komplikationsmanagement in der Chirurgie

16:10 – 17:38

Fr 19.09.

Vortragsraum 10

Open Accordion - Icon Close Accordion - Icon

Vorsitz: Lutz Mirow (Chemnitz) und Carolin Tonus (Hamburg)

16:10 – 16:16

KV 393 Evidence Map zur Behandlung der Kolon-Divertikulitis – ein living Systematic Review mit Meta-Analysen

Felix Hüttner (Nürnberg)

KV 393 Evidence Map zur Behandlung der Kolon-Divertikulitis – ein living Systematic Review mit Meta-Analysen

F. Hüttner1, N. Schaffner2, P. Probst2, M. Perrin2, H. Strothmann3, D. Kovacevic2, P. Antony2, E. Kalkum4, F. Hauswirth3, M.K. Müller2

1Klinikum Nürnberg, Klinik für Allgemein-, Viszeral- und Thoraxchirurgie, Nürnberg, Deutschland, 2Kantonsspital Thurgau, Chirurgische Klinik, Frauenfeld, Schweiz, 3Kantonsspital Thurgau, Chirurgische Klinik, Münsterlingen, Schweiz, 4Studienzentrum der Deutschen Gesellschaft für Chirurgie, Heidelberg, Deutschland

Einleitung: Die Divertikulitis des Kolons ist eine der häufigsten Erkrankungen des Magen-Darmtrakts. Aufgrund der Vielzahl an Möglichkeiten zum Management der Erkrankung, hat sich die Behandlung zu einem komplexen Bereich in der täglichen Praxis als auch in der klinischen Forschung entwickelt. Bislang fehlt jedoch ein stetig aktualisierter Überblick über die Evidenzlage sowie eine strukturierte Analyse noch bestehender Evidenzlücken.
Ziele: Ziel der vorliegenden Arbeit war es alle randomisiert-kontrollierten Studien (RCT) und Systematischen Übersichtsarbeiten (SR) zur Behandlung der Kolon-Divertikulitis zu erfassen und übersichtlich in einer Evidence Map darzustellen.
Methodik: Die elektronischen Datenbanken PubMed, Web of Science, Cochrane CENTRAL und EMBASE wurden systematisch nach RCT und SR durchsucht. RCT und SR zu identischen Fragestellungen wurden zu Forschungsthemen gruppiert und in einer Evidence Map dargestellt. Von allen RCT wurden Daten zur Morbidität, Mortalität, Nebenwirkungen, Reinterventionen, Reoperationen sowie zu Krankenhausaufenthaltsdauer, Kosten und dem Wiedererlangen der Arbeitsfähigkeit extrahiert und wenn immer möglich meta-analytisch zusammengefasst. Die Qualität der Studien wurde anhand des “Cochrane risk of bias tool 2.0” beurteilt und die Gewissheit der resultierenden Evidenz wurde anhand der GRADE Methodik beurteilt.
Ergebnis: Von den > 3800 Artikeln der systematischen Literatursuche wurden 60 RCT mit > 10.000 Patienten und 95 SR identifiziert. Diese wurden in 35 Forschungsfelder mit 7 ‘living’ Meta-Analysen gegliedert. Zudem wurden 13 Evidenzlücken identifiziert, für die bislang noch keinerlei Evidenz aus RCT vorliegt.
Schlussfolgerung: Die Evidence Map zur Kolon-Divertikulitis ermöglicht eine stetig aktualisierte Übersicht über die gegenwärtige Evidenz zur Behandlung der Divertikulitis. Die Ergebnisse sind übersichtlich und kostenfrei über das Internet und als Smartphone App verfügbar.

16:18 – 16:24

KV 383 KI-basierte Quantifizierung der Indocyaningrün-Perfusion zur Vorhersage von Anastomoseninsuffizienzen bei Roboter-assistierter Ösophagusresektion (RAMIE)

Jens Peter Hölzen (Münster)

KV 383 KI-basierte Quantifizierung der Indocyaningrün-Perfusion zur Vorhersage von Anastomoseninsuffizienzen bei Roboter-assistierter Ösophagusresektion (RAMIE)

J.P. Hölzen1, L. Pollmann1, S. Weberskirch1, E. Bornemann2, M. Petry3, N. Pollmann1, A. Pascher1, M.A. Juratli1

1Universitätsklinikum Münster (UKM), Klinik für Allgemein-, Viszeral- und Transplantationschirurgie, Münster, Deutschland, 2Universitätsklinikum Münster (UKM), Institut für Biometrie und Klinische Forschung, Münster, Deutschland, 3ITK Engineering GmbH, Rülzheim, Deutschland

Einleitung: Die intraoperative Indocyaningrün-Angiographie (ICG) hat sich als essentielles Instrument zur Evaluation der Magenschlauchperfusion im Rahmen der Ösophagusresektion mit Magenschlauchhochzug etabliert. Die qualitativen ICG-Beurteilungen weisen jedoch eine erhebliche Untersucher-abhängige Variabilität auf.
Ziele: Das Ziel dieser Studie ist die Entwicklung und Evaluation einer quantitativen ICG-Analyse mittels eines Self-Organizing Map (SOM) Netzwerks bei roboter-assistierter minimal-invasiver Ösophagusresektion (RAMIE).
Methodik: In dieser monozentrischen retrospektiven Studie wurden 70 Patienten eingeschlossen, die zwischen 01/2022 und 08/2023 mittels Ivor Lewis-RAMIE mit intraoperativer ICG-Fluoreszenzbildgebung und präemptiver endoluminaler Vakuumtherapie behandelt wurden. Erfasst wurden die Inzidenz von Anastomoseninsuffizienzen, die Dauer der präemptiven endoluminalen Vakuumtherapie, die patientenspezifischen Komorbiditäten sowie das Ausmaß der Arteriosklerose in präoperativen CT-Scans. Die intraoperativ akquirierten ICG-Videosequenzen wurden pixel-weise mittels eines unüberwachten SOM-Clustering-Algorithmus analysiert und ein quantitativer ICG-Perfusionsscore determiniert.
Ergebnisse: Anastomoseninsuffizienzen traten bei 12 Patienten (17%) auf. Der ICG-Perfusionsscore war in der univariaten Analyse signifikant höher bei Patienten mit Insuffizienz im Vergleich zu Patienten ohne Insuffizienz (8,8 ± 1,6 vs. 7,9 ± 1,4; p<0,001). Ebenso korrelierten das Patientenalter und der BMI signifikant mit einem erhöhten Risiko für eine Insuffizienz. Der ICG-Perfusionsscore wies eine Odds Ratio von 1,6 (95% CI: 0,97-2,7) auf. Andere Komorbiditäten und das Ausmaß der Arteriosklerose in den präoperativen CT-Scans unterschieden sich nicht signifikant zwischen Patienten mit und ohne Insuffizienz. In der multivariaten Analyse erreichte keiner der Faktoren statistische Signifikanz, wobei der ICG-Perfusionsscore mit p=0,063 nahe der Signifikanzschwelle lag.
Schlussfolgerung: Die KI-Anwendung eines unüberwachten Lern-Algorithmus zur Quantifizierung der ICG-Bildgebung könnte die Prädiktion von Anastomoseninsuffizienzen nach RAMIE optimieren. Erstmals ermöglicht KI eine objektive, quantitative Auswertung statt qualitativer Beurteilung. Bei identifiziertem erhöhtem Risiko könnten präventive Maßnahmen wie endoluminale Vakuumtherapie in Kombination mit PEJ getroffen werden. Die klinische Relevanz dieses Ansatzes muss in einer rand.-prospekt. Studie verifiziert werden.

16:26 – 16:32

KV 384 Risk factors for postoperative complications after Ivor-Lewis esophagectomy

Isabell Kreutzer (Köln)

KV 384 Risk factors for postoperative complications after Ivor-Lewis esophagectomy

I. Kreutzer1, A. Abu Hejleh1, J.-O. Jung1, N.M. Wirsik1, A. Damanakis1, H.A. Schlößer1, T. Schmidt1, H. Fuchs1, C. Bruns1, L.M. Schiffmann1

1Uniklinik Köln, Klinik und Poliklinik für Allgemein-, Viszeral-, Thorax- und Transplantationschirurgie, Köln, Deutschland

Background and Aims: Ivor-Lewis esophagectomy remains one of the most complex oncologic procedures with overall postoperative complications of around 60 %. Over one third of all patients suffer from complications that require at least endoscopic or other interventional therapy even in high volume centers.
Study Design: We retrospectively analysed 1000 consecutive patients that underwent Ivor-Lewis esophagectomy for adenocarcinoma of the esophagus or the esophagogastric junction or squamous cell carcinoma of the esophagus in our center between January 2016 and June 2023 from a prospectively maintained database. Preoperative parameters from a prospectively collected risk questionnaire were evaluated for their significance to predict complications. Statistical analysis was done with SPSS, data processing and figure plotting was done with Excel and Graph Pad Prism. Testing for statistical significance between binary variables was done with Pearson’s Chi-square.
Results: In an exploratory data analysis we identified several factors that significantly predict major complications defined as > Clavien-Dindo IIIA (COPD, FEV1< 80 %, Diabetes mellitus,), anastomotic leakage (elevated pre-operative serum creatinine, history of percutaneous coronary intervention (PCI)) and pulmonary complications (VC, FEV1 < 80 %, COPD, congestive heart disease, BMI > 30, active or former smoking). We found factors that are associated with a prolonged hospital stay (ASA Score, histology, elevated serum creatinine). We constructed a risk score including 7 of these parameters. Based on the 7-factor risk score we defined a low and a high-risk group. Distribution of complications over the low- and high-risk group was highly significantly different with respect to major complications, anastomotic leakage, pulmonary complications, prolonged hospital stay and in-hospital mortality, respectively. This withstands multivariable regression analysis where a high-risk score is an independent risk factor for all five outcome parameters.
Discussion: With our analysis we can identify complication-specific risk factors that might express patient individual vulnerabilities. Our proposed 7-factor risk score and specifically its simplification in a low- and high-risk group might be a genuine help in clinical practice to identify patients at risk.
Conclusion: Selective assessment of risc factors with the here discovered measures might help to tailor risk adjusted peri- and postoperative treatment and surveillance routines. To convert this knowledge into relevant outcome improvement should be further evaluated in prospective clinical trials.
Figure I: diagram depicting patient selection process resulting a highly standardized cohort.
Figure 1. CONSORT-like diagram depicting patient selection process resulting a highly standardized cohort. NEC: neuroendocrine carcinoma. IL-OE: Ivor-Lewis esophagectomy.
Table 1 depicting the distribution of complications in dependence of a global low- and high-risk constellation computed by the 7-factor risk score (0-2 points = low; 3-7 points = high).

16:34 – 16:40

KV 385 Anastomoseninsuffizienz nach Ösophagektomie: Ursachen, Behandlung und Prognose

Diana Voll (Göttingen)

KV 385 Anastomoseninsuffizienz nach Ösophagektomie: Ursachen, Behandlung und Prognose

D. Voll1, N. Friedrich1, M.A. Kölling1, M.S.J. Stritzel1, P. Rösel1, R. Riedke1, M.R. Molina Aguilera1,2, R. Yagdiran1,3, A. Amanzada4, V. Ellenrieder4, J. Keck1, M. von Heesen1,5, M. Ghadimi1, J. Reinecke4, L.-C. Conradi1

1Universitätsmedizin Göttingen, Klinik für Allgemein-, Viszeral- und Kinderchirurgie, Göttingen, Deutschland, 2Alexianer St. Hedwig-Krankenhaus, Klinik für Allgemein- und Viszeralchirurgie, Berlin, Deutschland, 3Agaplesion Krankenhaus Neu Bethlehem, Klinik für Allgemein-, Viszeral- und Gefäßchirurgie, Göttingen, Deutschland, 4Universitätsmedizin Göttingen, Klinik für Gastroenterologie, Gastrointestinale Onkologie und Endokrinologie, Göttingen, Deutschland, 5Centre Hospitalier Emile Mayrisch, Esch/Alzette, Luxemburg

In der Behandlung des Ösophaguskarzinoms ist die abdomino-thorakale Ösophagusresektion die einzig potenziell kurative Therapieoption. Der Eingriff ist mit hohen Komplikationsraten und signifikanter Mortalität assoziiert. Darunter stellt die Anastomoseninsuffizienz (Inzidenz von 0–49 %) eine zentrale postoperative Komplikation dar. Ziel der Arbeit war es, Risikofaktoren für das Auftreten von Insuffizienzen zu identifizieren und die verschiedenen Therapieverfahren hinsichtlich ihrer Wirksamkeit zu evaluieren.
Wir präsentieren Daten der Jahre 2022–2024 aus der Universitätsmedizin Göttingen, einem High-Volume-Zentrum für Ösophaguschirurgie. Eingeschlossen wurden 242 Patienten mit primärer oder nach neoadjuvanter Therapie erfolgter abdomino-thorakaler Ösophagusresektion. Die strukturierte Datenerfassung und -auswertung erfolgte mit Excel und GraphPad Prism.
In der Patientenkohorte waren 79,3 % der Patienten männlich (n=192) und 20,7 % weiblich (n=50). Es fanden sich zu 80,1 % (n=194) Adenokarzinome und zu 19,4 % (n=47) Plattenepithelkarzinome. Arterielle Hypertonie (56,6 %), COPD (7,9 %), Diabetes mellitus (21 %) sowie KHK und pAVK (je 8,2 %) zählten zu den häufigsten Vorerkrankungen. Der Großteil unserer Patienten erhielt eine neoadjuvante Therapie (88,8 %): 35,5 % Radiochemotherapie, 53 % Chemotherapie. Über den Zeitraum stieg der Anteil minimal-invasiver Eingriffe bis 2024 auf 83,3 %.
Bei 25 Patienten (10,3 %) trat eine Anastomoseninsuffizienz auf. Für Nikotinabusus (OR 1,35; 95 %-KI: 0,60–3,11), Alkoholkonsum (OR 1,69; 95 %-KI: 0,66–4,24), KHK und PAVK (jeweils OR 2,37; 95 %-KI: 0,80–7,81) zeigte sich eine Assoziation, jedoch ohne statistische Signifikanz im Fisher’s Exact Test (alle p > 0,05). Eine Komplettremission nach neoadjuvanter Therapie (24,4 %) war signifikant mit einem erhöhten Risiko für eine Insuffizienz assoziiert (OR 3,51; 95 %-KI: 1,53–7,86; p = 0,005). In 21 von 25 Fällen kam es unter EndoVac-Therapie erfolgreich zur Ausheilung; 4 Patienten benötigten eine Revisionsoperation. Die Krankenhausmortalität betrug 1,6 %.
Zusammenfassend zeigt sich die primäre endoskopische Versorgung mit EndoVac- und VacStent-Verfahren als sichere, effektive Therapieoption der Anastomoseninsuffizienz. Darüber hinaus unterstützen unsere Daten die Prüfung organerhaltender, nichtoperativer Behandlungsstrategien (“watch-and wait”) bei Patienten mit klinischer Komplettremission und unterstreichen die Relevanz laufender aktueller Studien wie ESORES und PRESTO.

16:42 – 16:48

KV 386 Impact of anastomotic leak vs pneumonia on Long-term overall and disease-free survival after transthoracic esophagectomy for cancer

Luca Giulini (Nürnberg)

KV 386 Impact of anastomotic leak vs pneumonia on Long-term overall and disease-free survival after transthoracic esophagectomy for cancer

L. Giulini1, M. Kemeter1, L. Thumfart1, F. Hüttner1, P. Heger1, O. Koch2, M. Grechenig2, M. Weitzendorfer2, K. Emmanuel2, G. Capovilla3, F. Riccio3, R. Salvador3, M. Valmasoni3, A.R. Latorre-Rodriguez4, S.K. Mittal4, P. Milito5, S. Siboni5, E. Asti5, K.E. Thiel6, M.K. Diener1, A. Dubecz7

1Klinikum Nürnberg – Paracelsus Medizinische Privatuniversität, Universitätsklinik für Allgemein-, Viszeral- und Thoraxchirurgie, Nürnberg, Deutschland, 2SALK – Paracelsus Medizinische Privatuniversität Salzburg, Universitätsklinik für Allgemein-, Viszeral- und Thoraxchirurgie, Salzburg, Österreich, 3University of Padova – Italy, Department of Surgical, Oncological and Gastroenterological Sciences, Padova, Italien, 4St. Joseph´s Hospital and Medical Center, Norton Thoracic Institute, Phoenix, Vereinigte Staaten, 5IRCCS Policlinico San Donato – University of Milan – Italy, Department of General and Emergency Surgery, San Donato Milanese – Milano, Italien, 6Paracelsus Medizinische Privatuniversität Salzburg, Research Management, Salzburg, Österreich, 7Helios Clinic Erfurt, Department of Surgery, Erfurt, Deutschland

Background: Pneumonia and anastomotic leak are the 2 most feared complications after transthoracic esophagectomy for cancer. We have recently demonstrated that both complications have the same impact on in-hospital mortality, but their influence on long-term overall and disease-free survival is merely unknown. Aim of the study was to explore this aspect with a large international, multicentric, retrospective population-based analysis.
Methods: After IRB-Approval, the prospectively maintained databases of 5 tertiary centers (4 in Europe and 1 in the USA) were quired for patients who underwent transthoracic esophagectomy for cancer between 2007 and 2024. Perioperative complications were assessed and the impact of pneumonia and anastomotic leak on long-term overall and disease-free survival was analyzed with the Kaplan-Meier method.
Results: 1452 patients were included [1197 men (82.4%) and 255 women (17.6%)]. Mean age was 64.5 years. Anastomotic leak was registered in 172 patients (11.8%), while pneumonia in 219 (15.1%). Of these, 52 subjects (3.6%) had both complications. Long-term follow-up was available for 1343 patients.
Kaplan-Meier analysis showed that patients who suffered only an anastomotic leak had better overall survival than patients who suffered only pneumonia (3y OS 66.5% vs. 51.9%; 5y OS 61.5% vs. 46.7%). The respective log-rank test comparing the two Kaplan-Meier curves was significant at the 5% level (p = 0.008). In contrast, patients who suffered only an anastomotic leak had worse disease-free survival than patients who suffered only pneumonia (3y DFS 55.2% vs. 68.7%; 5y DFS 39.2% vs. 61.8%). The respective log-rank test was highly significant (p < 0.001).
Conclusions: Anastomotic leak and pneumonia are both dangerous complications after esophagectomy for cancer. While pneumonia seems to be a more dangerous complication when compared to anastomotic leak with regard to long-term overall-survival, the picture is inverse with respect to disease-free survival.

16:50 – 16:56

KV 387 Die postoperative Azidose korreliert mit Leberdysfunktion und Anastomoseninsuffizienzen nach onkologischen Ösophagusresektionen

Daniar Amin (Gießen)

KV 387 Die postoperative Azidose korreliert mit Leberdysfunktion und Anastomoseninsuffizienzen nach onkologischen Ösophagusresektionen

D. Amin1, C. Tuffs1, A. Kosovic1, C. Schramm1, N. Stecher1, V. Grau1, A. Hecker1, M. Reichert1, R. Hörbelt1, M. Schneider1, M.J. Strowitzki1

1Klinik für Allgemein-, Viszeral-, Thorax- und Transplantationschirurgie, Universitätsklinikum Gießen, Gießen, Deutschland., Allgemeinchirurgie, Gießen, Deutschland

Einleitung und Ziele: Die Anastomoseninsuffizienz (AI) zählt zu den häufigsten und schwerwiegendsten postoperativen Komplikationen nach onkologischer Ösophagusresektion. Während technische Probleme bei der Durchführung der Anastomose oder Durchblutungsstörungen im Anastomosenbereich als Ursache einer AI vielfach beschrieben sind, bleibt der exakte Pathomechanismus der AI dennoch unklar. In diesem Zusammenhang untersuchten wir den Einfluss postoperativer Blutgas- und Säure-Basen-Veränderungen auf die Leberfunktion und deren Bedeutung für die Anastomosenheilung.
Patienten und Methoden: In 289 Patient:innen, die einer onkologischen Ösophagusresektion unterzogen wurden, haben wir perioperative Blutgaswerte, Leberfunktionsparameter (Leberzellschaden und -synthese) und Komorbiditäten mit dem klinischen Outcome (postoperative Morbidität und Mortalität) korreliert, um Risikofaktoren für die Entstehung von AIs zu identifizieren. In weiterführenden, mechanistischen Zellkulturversuchen wurden Hepatozyten (HepG2) mit einer metabolischen (pH geclippt mittels reduzierten Bicarbonatleveln) oder respiratorischen (pH geclippt mittels 10% CO2) Azidose (pH 6.8) behandelt und die Zellviabilität und -funktion bestimmt.
Ergebnisse: Bereits ab dem 1. postoperativen Tag zeigten Patient:innen, die im Verlauf eine AI entwickelten, signifikant niedrigere pH-Werte in arteriellen Blutgasanalysen als Patient:innen mit einem unauffälligen postoperativen Verlauf. Patient:innen mit einem postoperativ erniedrigten pH-Wert entwickelten häufiger eine Leberfunktionsstörung. Die Kombination aus niedrigem pH-Wert und nachfolgender Leberfunktionsstörung war statistisch ein hochsignifikanter Indikator für AI und eine erhöhte 30d-Mortalität. In vitro führten sowohl eine metabolische als auch eine respiratorische Azidose zu einer Suppression der Albumin- und Gesamtproteinproduktion bei erhaltener Zellviabilität (Leberzelldysfunktion).
Schlussfolgerung: Die postoperative Azidose in Kombination mit einer hepatozellulären Dysfunktion ist ein unterschätzter Risikofaktor für die Entstehung einer AI nach onkologischer Ösophagusresektion. Unsere mechanistischen Daten deuten darauf hin, dass eine postoperative Azidose (noch vor Entstehung der AI) eine Leberzelldysfunktion und somit eine Leberfunktionsstörung begünstigt, welche schlussendlich die Anastomosenheilung negativ beeinflusst.

16:58 – 17:04

KV 388 Bauschaum – Der besondere intrakorporale Fremdkörper

Katharina Haidacher (Leipzig)

KV 388 Bauschaum – Der besondere intrakorporale Fremdkörper

K. Haidacher1, M. Braunert1, B. Jansen-Winkeln1

1Klinikum St.Georg Leipzig, Klinik für Allgemein-, Viszeral-, Thorax- und Gefäßchirurgie, Leipzig, Deutschland

Der vorliegende Fall dokumentiert die komplexe Versorgung eines 77-jährigen Patienten, der in suizidaler Absicht Bauschaum in Mund und Nase eingeführt hatte. Die Einnahme des Bauschaums erfolgte gegen 11 Uhr am Vormittag, die Vorstellung in unserer zentralen Notfallambulanz gegen 19 Uhr. In Rücksprache mit der Giftzentrale sei die Intoxikation zweitrangig, in erster Linie ergäbe sich die Problematik aus dem mechanischen Ileus.
Bei Aufnahme zeigte sich der Patient wach und ansprechbar, es bestand zunehmender Druck im linken Oberbauch sowie Nausea ohne Emesis. Im Verlauf erfolgte eine Schutzintubation sowie eine Notfallendoskopie, durch welche eine Passage in den Magen jedoch nicht möglich war, es gelang aber eine Mobilisation der ösophagealen Anteile des Bauschaums. Wir stellten die Indikation zur notfallmäßigen Laparotomie sowie zur funktionellen endoskopischen Nasennebenhöhlenoperation (FESS).
Intraoperativ zeigte sich ein vom inzwischen ausgehärteten Bauschaum in Gänze ausgemauerter Magen ohne Hinweis auf eine Perforation. Nach Gastrotomie konnten wir die gastralen Anteile extrahieren. Eine Entfernung der ösophagealen Anteile gelang ebenso mittels transhiataler Mobilisation von unten sowie endoskopischer Mobilisation von oben. Nach erfolgreicher Ausräumung des Magens konnte dieser verschlossen werden. Zur Sicherung der enteralen Ernährung erfolgte die Anlage einer Feinnadelkatheterjejunostomie. Simultan erfolgte die Ausräumung aus Nasenhaupt- und nebenhöhlen sowie aus der Epipharynx.
Postoperativ wurde der Patient auf die Intensivstation verlegt. Nach Extubation am Folgetag zeigte sich der Patient kardiopulmonal stabil und es bestanden keine Elektrolytverschiebungen. Der weitere postoperative Verlauf gestaltete sich komplikationslos.
Während des stationären Aufenthalts erfolgte eine psychologische Mitbetreuung, in der eine akute Suizidalität ausgeschlossen werden konnte. Trotzdem erfolgte eine Verlegung auf die Psychiatrie.
Fremdkörperentfernungen stellen immer wieder eine interdisziplinäre Herausforderung dar.

17:06 – 17:12

KV 389 Therapierefraktäre Lymphfisteln nach onkologischer Lymphadenektomie: Die lokale Strahlentherapie als effektiver Therapiebaustein

Maximilian Coerper (Bonn)

KV 389 Therapierefraktäre Lymphfisteln nach onkologischer Lymphadenektomie: Die lokale Strahlentherapie als effektiver Therapiebaustein

M. Coerper1, J. Röttgen1, J. Dohmen1, D. Weissinger1, F. Sor1, P. Leyendecker1, J. Sirokay2, A. Jafari1, J. Landsberg2, J.C. Kalff1, P. Lingohr1, A. Semaan1

1Universitätsklinikum Bonn, Klinik und Poliklinik für Allgemein-, Viszeral-, Thorax- und Gefäßchirurgie, Bonn, Deutschland, 2Universitätsklinikum Bonn, Klinik für Dermatologie & Phlebologie, Bonn, Deutschland

Einleitung: Therapierefraktäre Lymphfisteln zählen zu den schweren Komplikationen nach onkologischen Lymphadenektomien und können die weitere onkologische Therapie verzögern. Die konservative Therapie einer Lymphfistel zeigt ein hohes Therapieversagen.
Ziele: Die vorliegende Studie zielte auf eine Analyse der Erfolgsrate der lokalen Radiatio zur Behandlung therapierefraktärer Lymphfisteln nach onkologischer Lymphadenektomie ab.
Methodik: Es erfolgte eine retrospektive, unizentrische Auswertung am Universitätsklinikum Bonn von Patienten mit systematischer inguinale und axilläre Lymphadenektomien (2005 – 2021). Eine Lymphfistel wurde mit dem Einliegen einer Drainage länger als 10 Tage postoperativ oder dem sonographischem Nachweis einer Flüssigkeitsformation nach dem Drainagezug definiert. Eine erfolgreiche Bestrahlung einer therapierefraktären Lymphfistel wurde als Drainagezug oder Sistieren der Lymphfistel bis 30 Tage nach Beendigung der Radiatio definiert. Kontinuierliche Variablen wurden mittels univariate binär logistische Regressionen berechnet und Werte p<0,05 als signifikant angesehen.
Ergebnis: Bei 58,8 % (n=207) der 352 Patienten zeigte sich eine postoperative Lymphfistel. In 15,4 % (n=32) war diese therapierefraktär und wurde mittels Radiatio behandelt. Die lokale Bestrahlung wurde bei 40,6 % (n=13) in adjuvanter Intention mit 50/60 Gy (n=13) durchgeführt und bei 59,4 % (n=19) mit 5-20 Gy. Bei zwei Patienten wurde die Bestrahlungsdosis nicht dokumentiert. In einem Großteil der Fälle (84,4 %, n=27) konnten die therapierefraktären Lymphfisteln mit einer Bestrahlung erfolgreich behandelt werden. Acht Patienten (25%) zeigten eine akute und sechs (18,8 %) eine langzeit Toxizitätsreaktion. Die Intention der Bestrahlung hatte kein Einfluss auf den Therapieerfolg (p=0,245) jedoch zeigten sich signifikant mehr Nebenwirkungen bei der adjuvanten Bestrahlung (p<0,05).
Schlussfolgerung: Postoperative therapierefraktäre Lymphfisteln sind häufige, und in der weiteren onkologischen Therapie, folgeschwere Komplikationen nach onkologischer Lymphadenektomie. Die lokale Strahlentherapie stellt eine effektive und sichere Methode zur Behandlung dieser Lymphfisteln dar.

17:14 – 17:20

KV 390 Incidence and risk factors for lymphatic fistula after radical lymphadenectomy: a retrospective single-center study

Florian Schepp (Dresden)

KV 390 Incidence and risk factors for lymphatic fistula after radical lymphadenectomy: a retrospective single-center study

F. Schepp1, F. Oehme1, M. Mansfeld1, F. Bechtolsheim1, C. Teske1, J. Fritzmann1, J. Weitz1, O. Radulova-M.1

1Carl Gustav Carus Uniklinikum Dresden, Klinik- und Poliklinik für Viszeral-,Thorax- und Gefäßchirurgie, Dresden, Deutschland

Background: Radical axillary or inguinal lymphadenectomy (rALAD/rILAD) is a standard surgical procedure for managing metastatic malignancies, including melanoma, CUP syndrome, and gastrointestinal cancers. One of the most relevant postoperative complications is the formation of lymphatic fistulas (LF), which can prolong hospitalization, delay recovery and oncological treatment, and require additional interventions. This study aimed to analyze perioperative risk factors for LF and evaluate its clinical impact.
Methods: We retrospectively analyzed 177 patients who underwent rALAD or rILAD at the University Hospital Carl Gustav Carus Dresden between January 2013 and December 2022. Clinical, surgical, and postoperative data were assessed, including tumor type, surgical technique, drainage management, complications, and survival. Lymphatic fistula was defined as persistent secretion of ≥50 ml / d in 48 h after postoperative day 3 and reoperation during the hospital stay due to persistent fluid wound leakage.
Results: LF occurred in 50 patients (28.2%). Patients with LF were significantly older (median 71 vs. 65 years, p = 0.04) and had a higher Charlson Comorbidity Index (median 8.5 vs. 7, p = 0.05). LF was associated with longer hospital stays (13 vs. 7 days, p = 0.001), higher complication rates (32% vs. 8%, p = 0.001), and increased need for surgical revision (28% vs. 3.1%, p = 0.001). However, no significant difference in overall survival (38.5 vs. 37 month, p = 0.83) or 30-day readmission rates (9 vs. 11 patients, p = 0.4) was observed between groups.
Conclusion: LF remain a serious complication after rALAD or rILAD, with a continuously high incidence and an increased requirement for revision operation. Additionally, short-term morbidity and healthcare costs are notably higher in patients with postoperative LF. However, the occurrence of LF does not appear to negatively impact long-term patient survival. Patient-related factors such as age and comorbidities appear to play an important role for the appearance of LF. Despite improvements in intraoperative surgical techniques, a standardized protocol for the prevention and management of lymphatic fistulas after these radical procedures remains lacking. Thus, prospective studies are essential to further identify risk factors and effectively reduce the incidence of this complication.

17:22 – 17:28

KV 391 Die potenzielle Rolle von Calprotectin im Serum in der kolorektalen Chirurgie – eine Pilotstudie für einen neuen Biomarker

Thomas von Ahnen (Hausham)

KV 391 Die potenzielle Rolle von Calprotectin im Serum in der kolorektalen Chirurgie – eine Pilotstudie für einen neuen Biomarker

T. von Ahnen1, M. von Ahnen1, M. Eck1, J. D`Haese1, F. Kühn2, H.M. Schardey1, S. Schopf3, J. Schardey2, U. Wirth2

1Krankenhaus Agatharied, Hausham, Deutschland, 2Klinikum Großhadern, München, Deutschland, 3InnKlinikum Mühldorf, Mühldorf, Deutschland

Einleitung: Mit einer Häufigkeit von 1,5% bis 23% ist die Anastomoseninsuffizienz (AI) eine schwerwiegende Komplikation nach kolorektalen Eingriffen, die mit einer Inflammation einhergeht und die Morbidität und Mortalität erhöht. Eine frühzeitige Diagnose und Therapie ist entscheidend für die Prognose. Hier könnten sensitive Marker hilfreich sein. Bisher existieren wenige Arbeiten, die Calprotectin im Serum (CIS) als Marker für postoperative Infektion untersuchen.
Ziele: Ziel dieser Studie ist es, den normalen postoperativen Verlauf von CIS mit dem von Leukozyten, CRP, Laktat und PCT zu vergleichen.
Methodik: In dieser prospektiven, monozentrischen Studie wurden alle Biomarker präoperativ sowie am ersten, dritten und fünften postoperativen Tag (POD) gemessen. Ziel war der postoperative Verlauf des CIS im Vergleich zu Leukozyten, CRP, PCT und Laktat zu bestimmen. Der CIS wurde zwischen gutartigen und bösartigen Erkrankungen sowie zwischen Patienten mit und ohne Komplikationen verglichen.
Ergebnis: Es wurden 145 Patienten (68 Männer, 77 Frauen/ 69±12 [Min 31 – Max 91] Jahre Durchschnittsalter / 49 benigne, 96 maligne) eingeschlossen. Die postoperativen CIS Werte waren signifikant höher als die perioperativen P < 0,05. Zusätzlich zeigte sich die CIS Werte bei malignen Erkrankungen präoperativ signifikant höher als bei benignen Erkrankungen P < 0,05. An allen 3 postoperativen Messpunkten (POD1, POD3, POD5) zeigte sich ein signifikant höherer CIS Wert in der Gruppe mit Komplikationen als in der Gruppe ohne Komplikation P < 0,05.
Schlussfolgerung: Aufgrund der Spezifität von Calprotectin im Darm könnte möglicherweise das postoperativ gemessene CIS ein zukünftiger Marker für postoperative Komplikationen seien.

17:30 – 17:36

KV 392 Fallvorstellung: Bewegliche Masse mit Geschichte – intraabdomineller ‚Loose Body‘ als überraschender OP-Befund

Jacqueline Jackowski

KV 392 Fallvorstellung: Bewegliche Masse mit Geschichte – intraabdomineller ‚Loose Body‘ als überraschender OP-Befund

S. Mertmann1, J. Jackowski1, V. Kravtsunov1

1Klinikum Tuttlingen, Allgemein- und Viszeralchirurgie, Tuttlingen, Deutschland

Hintergrund: Intraabdominelle freie Körper („loose bodies“) sind seltene, meist asymptomatische Phänomene, die in Analogie zur Gelenkmaus auch im Bauchraum auftreten können. Ihre klinische Relevanz ergibt sich insbesondere bei zunehmender Größe oder mechanischer Beeinträchtigung umliegender Strukturen.
Fallbeschreibung: Ein 72-jähriger Patient stellte sich zur geplanten Anlage eines doppelläufigen Colostomas bei tiefsitzendem Rektumkarzinom vor. Intraoperativ fiel ein ovaler, frei beweglicher Fremdkörper von etwa 6,5x 5,3 cm auf, der komplikationslos geborgen werden konnte. Eine retrospektive Analyse der radiologischen Bildgebung seit 2013 zeigte die persistente Präsenz dieses Gebildes im kleinen Becken, jeweils in wechselnder Position, ohne bisherige klinische Auffälligkeiten.
Befund: Histologisch wurde eine fast zellfreie, breit narbig abgegrenzte Struktur mit zentraler, nekrotischer Fettgewebsnekrose festgestellt – vereinbar mit einer verkapselten, infarzierten Appendix epiploica. Klinisch und morphologisch handelte es sich somit um ein intraabdominelles Pendant zur Gelenkmaus.
Diskussion: Solche abgelösten, nekrotischen Fettkörper stellen eine seltene, meist klinisch stumme Entität dar, können jedoch – abhängig von ihrer Größe – zu relevanten Symptomen wie Harnverhalt, Harndrang oder Darmverschluss führen. Die Differenzierung von malignen oder infektiösen Prozessen ist insbesondere bei inzidentellen Befunden entscheidend.
Schlussfolgerung: Intraabdominelle „loose bodies“ sollten als differenzialdiagnostische Möglichkeit bei beweglichen Fremdkörpern im Beckenraum berücksichtigt werden, insbesondere bei geplanten operativen Eingriffen. Der vorliegende Fall unterstreicht die Bedeutung der genauen präoperativen Bildgebung und interdisziplinären Befundinterpretation.

intraoperatives laparokospische Bild des Fremdkörpers
CT-morpholigische Darstellung der Raumforderung pararectal im Rahmen des StagingsSchnittbild des Fremdkörpers

Kurzvortragssitzung

Molekulare Therapie des kolorektalen Karzinoms

10:50 – 12:07

Do 18.09.

Vortragsraum 11

Open Accordion - Icon Close Accordion - Icon

Vorsitz: Nicolai Härtel (Mannheim) und Rosa Schmuck (Berlin)

10:50 – 10:55

KV 240 Der Einfluss des Darm-Mikrobioms auf die Verfügbarkeit und das Nebenwirkungsprofil von 5-Fluorouracil​​​​

Rabea Kindermann

KV 240 Der Einfluss des Darm-Mikrobioms auf die Verfügbarkeit und das Nebenwirkungsprofil von 5-Fluorouracil​​​​

R. Kindermann1,2,3, L. Dreikhausen1,2,3, M.W. Gross2,4, F. Springer2,4, M. Zimmermann-Kogadeeva5, R.-D. Hofheinz3,6, N. Schulte1,3, M.P. Ebert1,2,7, M. Zimmermann2,4, T. Zhan1,2,7

1II. Medizinische Klinik, Medizinische Fakultät Mannheim, Universität Heidelberg, Mannheim, Deutschland, 2Molecular Medicine Partnership Unit (MMPU), European Molecular Biology Laboratory (EMBL), Heidelberg, Deutschland, 3Mannheim Cancer Center, Medizinische Fakultät Mannheim, Mannheim, Deutschland, 4Molecular Systems Biology Unit, European Molecular Biology Laboratory (EMBL), Heidelberg, Deutschland, 5Genome Biology Unit, European Molecular Biology Laboratory (EMBL), Heidelberg, Deutschland, 6III. Medizinische Klinik, Medizinische Fakultät Mannheim, Universität Heidelberg, Mannheim, Deutschland, 7DKFZ-Hector Krebsinstitut, Medizinische Fakultät Mannheim, Mannheim, Deutschland

Einleitung: Trotz größen- und gewichtsadaptierter Dosierung des Zytostatikums 5-Fluorouracil (5-FU) bestehen weiterhin interindividuelle Schwankungen des 5-FU- Plasmaspiegels und therapie-assoziierter Nebenwirkungen. Der Einfluss des Darm-Mikrobioms auf den Arzneimittelstoffwechsel von 5-FU ist bisher wenig untersucht.
Ziele: In dieser prospektiven Studie wird die Zusammensetzung des Darm-Mikrobioms bei Patient:innen mit gastrointestinalen Tumorerkrankungen unter Fluoropyrimidin-basierter Therapie anhand von sequenziellen Stuhlproben untersucht und mit gemessenen 5-FU-Plasmaspiegeln sowie Nebenwirkungen korreliert.
Methodik: Eingeschlossen wurden 87 Patient:innen mit einer Tumorerkrankung des Gastrointestinaltrakts, die neoadjuvant, adjuvant oder palliativ eine 5-FU- oder Capecitabin-haltige Chemotherapie erhalten. Die Zusammensetzung des Stuhl-Mikrobioms wird mittels 16S rRNA-Sequenzierung analysiert. Neben der Messung von 5-FU-Plasmaspiegeln erfolgt die prospektive Dokumentation der in CTCAE-Grade unterteilten Nebenwirkungen.
Ergebnis: Von 87 eingeschlossenen Patient:innen haben die meisten ein kolorektales Karzinom (n=36) oder ein Magenkarzinom/Adenokarzinome des gastroösophagealen Übergangs (n=31). Anhand der ersten 50 sequenzierten Stuhlproben konnte gezeigt werden, dass unter oraler Therapie mit Capecitabin eine stärkere Reduktion der bakteriellen Alpha-Diversität auftritt als bei intravenöser 5-FU Therapie. Von 75 ausgewerteten 5-FU-Plasmaspiegeln lagen 28% (n=21) innerhalb des therapeutischen Zielbereichs (AUC 20-30mg x h/l), 19% (n=14) waren überdosiert und 53% (n=40) unterdosiert. Die Ergebnisse der 16S rRNA-Sequenzierungen zeigen, dass die Abundanz von Eubacterium sulci, Alistipes, Butyrivibrio und Akkermansia mit niedrigen 5-FU-Plasmaspiegeln korreliert. In der Korrelation der bakteriellen Zusammensetzung mit dokumentierten Nebenwirkungen zeigt sich, dass Patient:innen mit therapie-assoziierter Diarrhoe eine geringe Abundanz von Peptococcus und Barnesiella aufweisen als Patient:innen ohne Diarrhoe.
Schlussfolgerung: Die Abundanz spezifischer bakterieller Stämme im Stuhl-Mikrobiom ist mit der Höhe des 5-FU Spiegels und dem Auftreten spezifischer Nebenwirkungen assoziiert. Diese Zusammenhänge sollen in größeren prospektiven Kohorten validiert werden.

10:57 – 11:02

KV 241 Single cell characterization of resistance mechanisms to EGFR-targeted therapy in colorectal cancer patient derived organoids

Zhenchong Li (Mannheim)

KV 241 Single cell characterization of resistance mechanisms to EGFR-targeted therapy in colorectal cancer patient derived organoids

Z. Li1,2, J.G. Gleixner3, R. Riedke1,2,3, H. Susak4, E. Valentini3, T. Mulholland1,2, P. Albrecht1,2, J. Yu5, L. Tondo1,2, E. Karabati1,2, K. Trikhirhisthit1,2, P. Sui1,2, Y. Petersen1,2, T. Miersch3, K. Nowicki-Osuch6,7, O. Stegle4, M. P. Ebert1,7, M. Boutros3, J. Betge1,2,7

1Heidelberg University, Department of Medicine II, University Medical Center Mannheim, Medical Faculty Mannheim, Mannheim, Deutschland, 2German Cancer Research Center (DKFZ), Junior Clinical Cooperation Unit Translational Gastrointestinal Oncology and Preclinical Models, Heidelberg, Deutschland, 3German Cancer Research Center (DKFZ), Division of Signaling and Functional Genomics, Heidelberg, Deutschland, 4German Cancer Research Center (DKFZ), Computational Genomics and Systems Genetics, Heidelberg, Deutschland, 5The First Affiliated Hospital of Sun Yat-sen University, Department of Andrology, Guangzhou, China, 6German Cancer Research Center (DKFZ), Junior Research Group Tumorigenesis and Molecular Cancer Prevention, Heidelberg, Deutschland, 7DKFZ Hector Cancer Institute, University Medical Center Mannheim, Mannheim, Deutschland

Introduction: EGFR-targeted therapy is a key component of RAS-wildtype colorectal cancer (CRC) treatment, yet efficacy varies significantly between patients. Understanding the differential molecular responses to EGFR blockade may lead to improved understanding of resistance and improving therapeutic outcomes.
Objectives: To investigate the molecular response mechanisms of CRC patient-derived organoids (PDOs) on single-cell level, and to explore potential combination strategies to enhance treatment efficacy.
Methodology: Whole-exome sequencing (WES) was performed to profile the mutational landscape of nine CRC-derived PDOs. Drug profiling assays assessed the sensitivity of these PDOs to multiple EGFR inhibitors. Single-cell RNA sequencing (scRNA-seq) was conducted on PDOs treated with an EGFR inhibitor or a vehicle control. Data were analyzed within individual patients to assess intra-tumoral heterogeneity, followed by integrated analysis across samples to investigate inter-tumoral differences, including those related to RAS status.
Results: Drug screening confirmed that RAS wild-type PDOs exhibited greater sensitivity to EGFR inhibitors compared to RAS mutant PDOs. Single-cell RNA sequencing of nine integrated PDOs, with subset analysis of RAS wild-type samples, revealed that EGFR blockade led to widespread suppression of MAPK, EGFR, and PI3K pathway activities across tumor subpopulations, as inferred by PROGENy analysis. Further clustering identified a stem-like (undifferentiated) resistant subpopulation characterized by enhanced specific metabolic activity, and a proliferative progenitor-like resistant subpopulation associated with altered p53 pathway signaling. Trajectory and metabolic analyses indicated that EGFR inhibition promoted dedifferentiation of proliferative cells toward a stem-like state, accompanied by activation of metabolic pathways. Integrative transcriptional network analysis further nominated metabolism regulators and cell-cycle programs as potential therapeutic vulnerabilities to target distinct resistant subpopulations simultaneously.
Conclusion: Our findings reveal potential adaptive resistance mechanisms in RAS wild-type CRC PDOs following EGFR inhibition, involving metabolic reprogramming and proliferative persistence.

11:04 – 11:09

KV 242 Therapeutische Relevanz von KRAS-Allelen beim Rektum-Karzinom und das Potenzial von gezielter RAS-EGFR Kombinations-Therapie

Jonas Buchloh (Göttingen)

KV 242 Therapeutische Relevanz von KRAS-Allelen beim Rektum-Karzinom und das Potenzial von gezielter RAS-EGFR Kombinations-Therapie

J. Buchloh1, M. Spitzner1, H. Zimmermann1, X. Fang1, C. Tapia-Contreras1, C. Schneider1, T. de Oliveira1, M. Linnebacher2, L. Conradi1, M. Wirth1, M. Ghadimi1, M. Grade1, J. Gaedcke3, G. Schneider1

1Universitätsmedizin Göttingen, Göttingen, Deutschland, 2Universitätsmedizin Rostock, Molecular Oncology and Immunotherapy, Rostock, Deutschland, 3Städtisches Klinikum Karlsruhe, Karlsruhe, Deutschland

Einleitung: Die herkömmliche Radiochemotherapie ist bei Rektumkarzinomen nur begrenzt erfolgreich. Neuartige KRAS-Inhibitoren bieten ein vielversprechendes Potenzial zur Verbesserung der Überlebensrate der Patienten. Jedoch schränken Resistenz-Mechanismen die langfristige Wirksamkeit von KRAS-Inhibitoren ein.
Ziele: Unser Ziel war es, zu untersuchen ob KRAS Mutationen einen Einfluss auf das Ansprechen zu Radiochemotherapie haben. Es wurde nach synergistischen Kombinations-Therapien für KRAS Inhibitoren gesucht.
Methodik: Wir haben die Überlebensrate von Rektumkarzinom Patienten einer Göttinger Kohorte (n=390) mit unterschiedlichen KRAS Mutationen verglichen. In zellulären Modellen wurde die kurz- und die langfristige Adaptation modelliert und mit RNA-Sequenzierung über mehrere Zeitpunkte mechanistisch untersucht. Mit einem Medikamenten-Screening wurde nach Kombinationspartnern für KRAS Inhibitoren gesucht und an Patienten-abgeleiteten Zell-Modellen getestet.
Ergebnisse: In der Göttinger Rektumkarzinom-Kohorte haben 40% der Patienten KRAS-Mutationen. Insbesondere KRAS(G12C) und KRAS(G12V) Mutationen sind mit signifikant schlechteren Überlebenschancen verbunden als andere KRAS-Varianten oder Wildtyp. Wir konnten die schnelle Anpassung von Rektum-Karzinom Zellen zeigen. Eine massive Deregulierung der Transkription innerhalb von 24 Stunden hat zu einer effizienten Unterdrückung der Proliferation führt. Nach einigen Tagen kontinuierlicher Behandlung nahm das Zellwachstum wieder zu. Die meisten ursprünglich herunterregulierten Gene, einschließlich vieler Ziel-Gene von E2F und MYC kehrten auf ihr Ausgangsniveau zurück. Ebenso wurde die anfänglich reduzierte Aktivierung des MAPK-Signalwegs auf Protein-Ebene kompensiert. Die frühe Anpassung war durch die Hochregulierung der Rezeptor Tyrosinkinasen (RTKs) ERBB2 und ERBB3 gekennzeichnet, während die EGFR-Expression zurückging. Dementsprechend identifizierten wir pan-RTK-Inhibitoren als die synergistischsten Partner für die KRAS-Hemmung. Die Synergie wurde in vielen von Patienten stammenden Zelllinien und Organoiden validiert.
Schlussfolgerung: Insbesondere Patienten mit KRAS(G12C) und KRAS(G12V) könnten von einer KRAS-Inhibitor Behandlung profitieren. Um die Resistenzen der gezielten KRAS-Therapie zu lindern, könnten pan-Rezeptor-Tyrosinkinase Inhibitoren wirksame Kombinationspartner für RAS-Inhibitoren sein, neben der derzeit untersuchten Kombination mit monoklonalen Anti-EGFR-Antikörpern.
Schema:

11:11 – 11:16

KV 243 The transcription factor AP-1 as a treatment option for patients with colorectal adenocarcinoma

Nikolai Schleußner

KV 243 The transcription factor AP-1 as a treatment option for patients with colorectal adenocarcinoma

N. Schleußner1, C. Goddemeier1, D. Puhleva1, E. Leugner2, U. Yasar2, N.M. Wirsik1, L. Schiffmann1, A. Damanakis1, C. Bruns1, T. Schmidt1

1Universitätsklinikum Köln, Klinik für Allgemein-, Viszeral-, Thorax- und Transplantationschirurgie, Köln, Deutschland, 2Universitätsklinikum Heidelberg, Klinik für Allgemein-, Viszeral- und Transplantationschirurgie, Heidelberg, Deutschland

Background: The Activator Protein-1 (AP-1) transcription factors are expressed in many cancer entities and are correlated to deregulated transcription factor networks including dedifferentiation and therapy resistance. They are involved in key functions of the cellular biology and maintain and adjust the transcriptional networks leading to transformation and malignancy. Colorectal cancer is despite novel therapy approaches still one of the deadliest malignancies with a huge number of yearly cancers deaths. Especially once the primary tumor has spread, the overall survival of the patients is poor. There is an urgent need for better patient stratification to increase the outcome of the multimodally treated patients.
Material and Methods: A retrospective cohort of patients receiving colon, rectal or hepatic resection for colorectal cancer with and without multimodal approach was collected. The samples analyzed included primary and metastatic lesions and were used to analyze the expression of different AP-1 fators on mRNA and protein level. Furthermore, colorectal cancer cell lines as well as patient-derived organoids were used to knock-out single or combined AP-1 genes for downstream analysis like proliferation, survival and migration. Furthermore, pharmacological inhibition was performed and the survival over time was tested.
Results: Patients with a high AP-1 expression correlate to a reduced overall survival (OS) compared to patients with a low expression on mRNA level. This could be verified on protein level in a second cohort. Furthermore, we established cell lines and PDOs with single or combined double knock-out of AP-1 genes, which lead to decreased proliferation and survival of cell lines and PDOs. In addition, pharmacological inhibition could lead to growth arrest in a dose dependent matter in both cell lines and organoids.
Conclusion: This study suggests AP-1 as a biomarker to stratify patients with colorectal adenocarcinoma according to its expression level. The genetic or pharmacological inhibition might be a future treatment option for patients with strong AP-1 activity. Identifying those patients and adjusting the treatment might lead to better outcome.

11:18 – 11:23

KV 244 Neoadjuvante Checkpointinhibition bei Kolonkarzinomen mit Mismatch-Repair-Defizienz/Mikrosatelliteninstabilität im Real-World-Setting

Annegrit Decker (Freiburg)

KV 244 Neoadjuvante Checkpointinhibition bei Kolonkarzinomen mit Mismatch-Repair-Defizienz/Mikrosatelliteninstabilität im Real-World-Setting

A. Decker1, H. Neeff2, G. Seifert2, S. Fichtner-Feigl2, M. Barsch1, L. Klaas1, T. Hof1, R. Thimme1, F. Scherer3, H. Becker3, M. Quante1

1Universitätsklinikum Freiburg, Klinik für Innere Medizin II – Gastroenterologie, Hepatologie, Endokrinologie und Infektiologie, Freiburg, Deutschland, 2Universitätsklinikum Freiburg, Klinik für Allgemein- und Viszeralchirurgie, Freiburg, Deutschland, 3Universitätsklinikum Freiburg, Klinik für Innere Medizin I – Hämatologie, Onkologie und Stammzelltransplantation, Freiburg, Deutschland

Einleitung: Während sich eine Checkpointinhibitor-Therapie für kolorektale Karzinome mit Mismatch-Repair-Defizienz (MMRd) bzw. hoher Mikrosatteliteninstabilität (MSI-H) im palliativen Setting als Standard etabliert hat, ist ein Einsatz in kurativen Stadien Gegenstand laufender Studien. In der NICHE 2-Studie (Chalabi et al., NEJM 2024;390(21):1949-1958) führte eine kurze neoadjuvante Therapie mit Nivolumab/Ipilimumab in 95% der Fälle zu einer Tumorregression von mindestens 90% und in 68% zu einer pathologischen Komplettremission. Aufgrund dieser Ergebnisse stellt sich die Frage nach der Übertragbarkeit des Ansatzes in die klinische Praxis.
Ziele und Methodik: Um die Reproduzierbarkeit in einem Real-World-Setting zu evaluieren, sammelten wir die von 09/2023 bis 04/2025 an unserem Zentrum behandelten Fälle neu diagnostizierter MMRd/MSI-H-Kolonkarzinome außerhalb des Rektum und ohne Organmetastasierung, die eine neoadjuvante Therapie analog der NICHE 2-Studie mit anschließender onkologischer Resektion erhielten.
Ergebnis: Es wurden 7 Patient*innen (57-76 Jahre) mit MMRd-Kolonkarzinom analog des NICHE 2-Protokolls therapiert. In 5 Fällen wurde zusätzlich ein MSI-H-Status dokumentiert; in einem Fall bestand ein gesichertes Lynch-Syndrom. 5 Karzinome lagen im rechtsseitigen, 2 im linksseitigen Kolon. Das prätherapeutische Staging zeigte in 2 Fällen einen cT4-Befund, in 4 Fällen den Verdacht auf eine lymphogene und in 2 Fällen zusätzlich den Verdacht auf eine lokale peritoneale Metastasierung. 6 Patient*innen erhielten protokollgerecht eine Gabe Nivolumab/Ipilimumab, gefolgt von Nivolumab mono nach 14 Tagen; ein Patient erhielt präoperativ eine weitere Gabe Nivolumab mono. Die Operation erfolgte in 5 Fällen nach 6 Wochen (-6 bis +3 Tage), in 2 Fällen nach 10 bzw. 13 Wochen. Histopathologisch zeigten alle 7 Tumorresektate eine Komplettremission (ypT0 ypN0). In der bisherigen Nachsorge (1-16 Monate) wurde kein Tumorrezidiv diagnostiziert. Für einen Patienten mit prätherapeutisch positiver Liquid Biopsy wurde deren Negativität postoperativ sowie in der Nachsorge dokumentiert.
Schlussfolgerung: Eine kurze neoadjuvante doppelte Checkpointinhibition analog des NICHE 2-Protokolls führt auch im Real-World-Setting bei lokal fortgeschrittenen MMRd/MSI-H-Kolonkarzinomen zu exzellenten Remissionsergebnissen. Um für entsprechende Patient*innen dieses Therapiekonzept (off-label) evaluieren zu können, sollte eine standardmäßige prätherapeutische Testung des MSI-Status erfolgen.

11:25 – 11:30

KV 245 RAS inhibitors modulate Wnt signaling in CRC

Li Wang (Mannheim)

KV 245 RAS inhibitors modulate Wnt signaling in CRC

L. Wang1, X. Yang1, N. Muthukumarana2, O. Skabkina1, N. Venkatachalam1, Z. Li3, M. Schewe1, J. Betge1,3,4, J. Schott2,5, R. Jackstadt6,7, M. Ebert1,4,8, T. Zhan1,4

1Heidelberg University, Department of Medicine II, Mannheim University Hospital, Medical Faculty Mannheim, Theodor-Kutzer-Ufer 1-3, D-68167 Mannheim, Germany, Mannheim, Deutschland, 2Mannheim Institute for Innate Immunoscience (MI3), Medical Faculty Mannheim, Heidelberg University, Mannheim, Germany, Mannheim, Deutschland, 3German Cancer Research Center (DKFZ), Junior Clinical Cooperation Unit Translational Gastrointestinal Oncology and Preclinical Models, Heidelberg, Germany, Heidelberg, Deutschland, 4Mannheim Cancer Center, Medical Faculty Mannheim, Heidelberg University, Theodor-Kutzer-Ufer 1-3, D-68167 Mannheim, Germany, Mannheim, Deutschland, 5Center for Molecular Biology of Heidelberg University (ZMBH), German Cancer Research Center (DKFZ)-ZMBH Alliance, Heidelberg, Germany., Heidelberg, Deutschland, 6Heidelberg Institute for Stem Cell Technology and Experimental Medicine (HI-STEM gGmbH), Heidelberg, Germany, Heidelberg, Deutschland, 7Cancer Progression and Metastasis Group, German Cancer Research Center (DKFZ) and DKFZ-ZMBH Alliance, Heidelberg, Germany, Heidelberg, Deutschland, 8DKFZ-Hector Cancer Institute at University Medical Center Mannheim, Mannheim, Germany, Mannheim, Deutschland

Introduction: RAS mutations are a common feature of colorectal cancer (CRC) and are associated with intrinsic drug resistance to anti-EGFR therapy, posing a significant clinical challenge that limits therapeutic efficacy.
Aims: This study aims to elucidate potential Wnt-dependent resistance mechanisms to pan-KRAS/RAS inhibitors (KRASi) and to evaluate the therapeutic potential of combined Wnt/KRAS inhibition in CRC.
Methods: We employed of novel pan-KRAS inhibitors to assess Wnt signaling activation across various CRC models, including CRC cell lines, patient-derived organoids (PDOs), and mouse-derived intestinal tumor organoids (MDOs). Expression of candidate Wnt-related genes was measured by quantitative PCR and western blot analysis. To further confirm Wnt pathway induction following KRASi, we performed RNA interference (RNAi) assays and Wnt reporter assays. Viability effects of KRASi in cell lines and organoids were confirmed by CellTitre Glo assay or by immunofluorescence microscopy.
Results: Cell viability assays conducted in CRC cell lines demonstrated a dose-dependent and time-dependent reduction in cell proliferation following treatment with pan-KRAS/RAS inhibitors, indicative of their antineoplastic potential. Consistently, patient-derived organoids (PDOs) exhibited a decrease in proliferative capacity, as evidenced by diminished Ki67 immunofluorescence staining, further supporting the efficacy of KRASi in suppressing tumor growth. To elucidate the molecular response to KRASi, we determined expression of Wnt and intestinal stemness related genes in CRC cell lines, PDOs and MDOs with genetically defined mutational backgrounds. These analyses consistently revealed upregulation of the Wnt related targets following KRASi. We confirmed these results by Wnt reporter assays in multiple cell lines, showing an induction of the reporter activity upon KRASi. RNA interference-based depletion of KRAS expression independently confirmed activation of Wnt signaling. These findings collectively suggest that Wnt pathway activation is an adaptive response to KRAS inhibition, potentially serving as a resistance mechanism to KRASi in CRC.
Conclusion: Our findings highlight the extensive crosstalk between Ras-MAPK and Wnt signaling pathways in CRC. This study provides novel insights into overcoming intrinsic drug resistance in KRAS-mutant CRC and suggests a therapeutic potential for dual Wnt/KRAS inhibition.

11:32 – 11:37

KV 246 Novel harnessing of innate and adaptive anti-cancer immunity: NLRP3-inflammasome activation facilitates immune checkpoint blockade in the treatment of mesenchymal stage IV colorectal cancer

Christopher Berlin (Freiburg)

KV 246 Novel harnessing of innate and adaptive anti-cancer immunity: NLRP3-inflammasome activation facilitates immune checkpoint blockade in the treatment of mesenchymal stage IV colorectal cancer

L. Klimpe1, E. Neuwirt2, C. Enderle1, L. Schäfer1, L. Marx1, S. Fichtner-Feigl1, O. Groß2, R. Kesselring1, C. Berlin1

1Universität Freiburg, Allgemein- und Viszeralchirurgie, Freiburg, Deutschland, 2Universität Freiburg, Neuropathologie, Freiburg, Deutschland

Background: The role of the NLRP3 inflammasome in colorectal cancer (CRC) progression remains unclear (1). While some studies link high NLRP3 activity to cancer progression, others suggest protective roles, depending on the clinical context (2–4). Clinical trials mainly focus on inhibition of NLRP3 activity (5). Hence, we evaluated the effect of NLRP3 activation on metastatic CRC in vivo and in vitro.
Aims: Investigation of the effect of immune checkpoint blockade in combination with NLRP3 activation on CRC metastases in an advanced mouse model.
Methods: In vitro experiments involved coculturing of peritoneal mouse immune cells with murine CRC organoids. Within, NLRP3 inflammasome activation was induced using EMT-244, a novel and potent NLRP3 activator. Therapeutic effects on the coculture were quantified using viability assays. In vivo, we employed an orthotopic, organoid-driven mesenchymal stage IV CRC mouse model, which mimics an aggressive and treatment-resistant human CRC subtype (6). To evaluate the impact of EMT-244 in combination with immune checkpoint blockade (ICB: anti-PD-1 antibody), tumor samples were analyzed with Ki67 staining and TUNEL staining
Results: In vitro, we demonstrated an EMT-244-dependent reduction of CRC organoid viability during coculture with peritoneal murine immune cells (p = 0.0498). Importantly, this effect was not abundant when treating CRC organoids alone, highlighting the necessity of an immunological tumor microenvironment. We identified a concomitant upregulation of pro-apoptosis-related proteins in respective coculture. In vivo experiments revealed that EMT-244, in combination with ICB, significantly reduced liver and peritoneal metastatic burden compared to ICB monotherapy (p = 0.0114 and p = 0.0026). Furthermore, liver metastases exhibited a significant decrease in Ki67 positivity (p = 0.0157) and an increase in TUNEL positivity (p = 0.0388) in the EMT-244 + ICB group.
Conclusion: NLRP3 inflammasome activation by EMT-244 facilitates ICB in mesenchymal stage IV CRC, presenting a promising new treatment approach, particularly as a first-line immunotherapy for metastases. This study highlights the critical need for a paradigm shift towards investigating NLRP3 inflammasome-activating therapies in the context of CRC disease progression.

11:39 – 11:44

KV 247 Charakterisierung von MEK5 als Zielstruktur zur Radiosensitisierung von kolorektalen Karzinomzellen

Ella Eichhorn (Mannheim)

KV 247 Charakterisierung von MEK5 als Zielstruktur zur Radiosensitisierung von kolorektalen Karzinomzellen

E. Eichhorn1, C. Taylor1, A. Klupsch1, Q. Xiao1, S. Ng2, J. Riedesser3, C. Herskind4, M. Veldwijk4, O. Skabkina1, J. Betge1,3,5, M. Boutros2, M. Ebert1,5,6, T. Zhan1,6

1Medizinische Fakultät Mannheim der Universität Heidelberg, II. Medizinische Klinik, Mannheim, Deutschland, 2Deutsches Krebsforschungszentrum (DKFZ), Signalwege und Funktionelle Genomik, Heidelberg, Deutschland, 3Deutsches Krebsforschungszentrum (DKFZ), Klinische Kooperationseinheit Translationale Gastrointestinale Onkologie und Präklinische Modelle, Heidelberg, Deutschland, 4Medizinische Fakultät Mannheim der Universität Heidelberg, Klinik für Strahlentherapie und Radioonkologie, Mannheim, Deutschland, 5DKFZ-Hector Krebsinstitut an der Universitätsmedizin Mannheim, Heidelberg, Deutschland, 6Medizinische Fakultät Mannheim der Universität Heidelberg, Mannheim Cancer Center (MCC), Mannheim, Deutschland

Einleitung: Das kolorektale Karzinom gehört zu den weltweit häufigsten Ursachen für krebsbedingte Mortalität. Insbesondere bei der Therapie des lokal fortgeschrittenen Rektumkarzinoms ist die kombinierte Radiochemotherapie von entscheidender Bedeutung und ermöglicht bei günstigem Therapieansprechen eine organerhaltende Behandlung. Die dabei auftretende Radioresistenz, ob intrinsisch oder erworben, stellt eine große therapeutische Herausforderung dar. Die Identifizierung von Zielstrukturen für eine Radiosensitisierung und Entwicklung neuer Therapeutika hierfür ist essenziell zur Optimierung der Behandlung des Rektumkarzinoms.
Ziele: Die mittels CRISPR/Cas9 Screen als Zielstruktur für eine Radiosensitisierung identifizierte Kinase MEK5 soll in kolorektalen Karzinomzelllinien validiert und die ursächlichen Mechanismen charakterisiert werden.
Methodik: Der im Rahmen eines genomweiten CRISPR/Cas9-Screens identifizierte Kandidat MEK5 wurde pharmakologisch oder durch RNAi funktionell depletiert. Die Auswirkungen dieser Inhibition auf Strahlenempfindlichkeit, Regulation assoziierter onkogener Signalwege und DNA-Reparaturwege wurden mithilfe von qPCR und Western Blot analysiert.
Ergebnis: Der Screen identifizierte 37 Gene, deren Knockout zu einer Radiosensitisierung führt (FDR <0,20). Darunter waren neben bekannten Zielstrukturen wie ATM auch die Kinase MEK5 des RAS-MAPK Signalwegs. Eine Behandlung der kolorektalen Karzinomzelllinien DLD1 und SW480 mit einem selektiven Inhibitor von MEK5 bewirkte eine konzentrationsabhängige Erhöhung der Radiosensitivität unter klinisch relevanten Strahlendosen von 2-4 Gy bei geringer zelltoxischer Wirkung des Inhibitors ohne Bestrahlung. Eine siRNA-vermittelte Depletion der Kinase bei gleichen Strahlendosen zeigte paradoxerweise keine radiosensitivierenden Effekte. Zudem bewirkte die pharmakologische Inhibition von MEK5 eine Inhibition assoziierter onkogener Kinasen sowie eine verringerte Aktivierung von DNA-PKcs, einer zentralen Kinase zellulärer DNA-Reparaturwege.
Schlussfolgerung: MEK5 wurde als therapeutische Zielstruktur für eine Kombinationsradiotherapie identifiziert und validiert. Die Radiosensitisierung korreliert dabei mit einer eingeschränkten DNA-Reparaturkapazität, die mechanistisch weiter untersucht wird.

11:46 – 11:51

KV 248 The impact of neoadjuvant therapy on the tumor microenvironment in rectal, esophageal, and pancreatic cancer – a cross-cancer analysis

Leonard Richter (München)

KV 248 The impact of neoadjuvant therapy on the tumor microenvironment in rectal, esophageal, and pancreatic cancer – a cross-cancer analysis

L. Richter1, C. Mota Reyes1, M. Kiessler1, H. Friess1, K. Steiger2, C. Mogler2, I.E. Demir1

1Klinikum rechts der Isar der TU München, Klinik und Poliklinik für Chirurgie, München, Deutschland, 2Institut für allgemeine Pathologie und Pathologische Anatomie der TU München, München, Deutschland

Introduction: Neoadjuvant therapy (NeoTx) is a key approach in managing gastrointestinal cancers, aiming to reduce tumor size and enhance surgical outcomes. In addition to its direct impact on tumors, NeoTx plays a significant role in shaping the tumor microenvironment (TME), which is crucial for determining treatment outcomes. Alterations in lymphocytic, myeloid, as well as stromal cell profiles within the TME, can change immune responses, having impact on patients’ prognosis. This leads us to the hypothesis that NeoTx does not only have a direct impact through cytotoxicity but also operates indirectly through an immune cell-based manner. To address this, we employed a translational approach, bridging preclinical findings and clinical patient outcomes to gain a more holistic understanding of how NeoTx modulates the TME.
Methods: In our study, we investigated immune cell modulation in the TME using multiplex immunofluorescence that enabled simultaneous detection of six markers in formalin-fixed, paraffin-embedded (FFPE) tissue. For our investigation, we defined three panels: lymphocytic (CD3, CD4, CD8, CD20, FOXP3, PanCK), myeloid (CD11b, CD33, CD68, CD206, HLA-DR, PanCK), and stromal (CD11c, CD34, aSMA, NCAM, PRPH, PanCK). The cohort consisted of two groups: primary resected with a TNM-, sex-, and age-matched cohort of NeoTx-treated patients (N=234). For a more comprehensive understanding, we assessed pre-treatment biopsies of RCa- and EAC-patients (N=50) within the same cohort. Quantitative and spatial analysis was performed to assess shifts in immune cell populations and cell-cell interaction after NeoTx.
Results: NeoTx led to a significant increase in CD8+ T cells and tumor-infiltrating lymphocytes, both associated with improved anti-tumor responses. A decrease in Tregs, known for their immunosuppressive functions, was also observed, reducing local immune suppression. In the myeloid compartment, NeoTx reduced the number of immunosuppressive M2-macrophages and myeloid-derived suppressor cells (MDSCs), while promoting a shift toward pro-inflammatory M1-macrophages.
Conclusion: NeoTx not only reduces tumor burden but also reshapes the immune cell profile, thereby enhancing anti-tumor activity. These findings underscore the value of a translational approach, to better predict treatment efficacy. This also supports the rationale for combining NeoTx with immunotherapies to improve outcomes in rectal and esophageal cancer.

Spatial Analysis in RCa – Distance measurement

11:53 – 11:58

KV 249 Patterns of immune evasion in primary and metastatic colorectal cancer

Elena Hagen (Cologne)

KV 249 Patterns of immune evasion in primary and metastatic colorectal cancer

E. Hagen1,2, M. Thelen1, K. Wennhold1, M. Garcia-Marquez1, J. Lehmann1, M. Werner1, P. Volkmar1, S.I. Lyu3, M. von Bergwelt4, G. Dieplinger2, C. Bruns2, A. Quaas3, H. Schlößer2,2

1Center for Molecular Medicine Cologne (CMMC), Faculty of Medicine and University Hospital Cologne, Cologne, Deutschland, 2Department of General, Visceral, Cancer and Transplantation Surgery, Faculty of Medicine and University Hospital Cologne, Köln, Deutschland, 3Institute of Pathology, Faculty of Medicine and University Hospital Cologne, Cologne, Deutschland, 4Department of Internal Medicine III, University Hospital of Ludwig Maximilians University, Munich, Deutschland

Background: Colorectal cancer (CRC) is one of the most common cancer entities and contributes significantly to the cancer-related mortality. Stage-dependent therapeutic algorithms of CRC are mainly based on surgery, chemotherapy, and radiation. As the liver is the most important metastatic site of CRC, we aim to elucidate mechanisms of resistance in the microenvironment of hepatic metastasis of CRC patients.
Methodology: We included samples from 68 patients in our study, 28 paired primary tumor and hepatic metastases of CRC patients, 15 colorectal carcinomas and 15 hepatocellular carcinomas. Tumor-infiltrating lymphocytes (TILs), PBMCs, healthy tissue and metastases infiltrating lymphocytes (MILs) were generated from patient samples. We perform flow cytometry to compare immune cell subsets in different samples. Furthermore, immunohistochemical stainings were performed to calculate the immune score and to quantify TLS in the TME. Expression of genes related to antigen presentation were analyzed by 3′-RNA-sequencing (out of FFPE-Material). Additionally, we will compare expression of 11 important proteins of the antigen-presenting machinery by immunohistochemistry.
Results: We found several differences of the immunological infiltrate in the metastases compared with the corresponding primary tumor. Analysis of T-cell abundance in primary tumors and metastasis revealed a lower T-cell infiltrate in metastasis. FACS analyses show a significant decrease of CD4+ T- fractions in MILs compared to TILs. Furthermore, we found no differences in PD1 or PDL1 expression on T cells between TILs and MILs. We will present detailed analyses of co-inhibitory molecules on lymphocyte subsets in the different compartments. RNA expression further reveals heterogeneous expression patterns of proteins relevant to antigen presentation. Additionally, several proteins were identified that are significantly more downregulated in metastases compared to matched primary colorectal carcinoma such as FBXW7 or ERAP2. Furthermore, we will present the expression data of relevant tumor-associated antigens and the corresponding protein-level expression through immunohistochemical staining.
Conclusion: Results of our study demonstrate decreased immune cell abundance in the metastatic environment, and we aim to elucidate the underlying mechanisms of immune escape. Especially combination therapies aiming to upregulate antigen presentation within metastases appear promising for combined therapy.

12:00 – 12:05

KV 250 Kombinierte MEK- und PARP-Inhibition zur Verbesserung der Strahlentherapie beim Rektumkarzinom

Julian E. Riedesser

KV 250 Kombinierte MEK- und PARP-Inhibition zur Verbesserung der Strahlentherapie beim Rektumkarzinom

Q. Xiao1, J.E. Riedesser1,2, T. Mulholland1,2, Z. Li1,2, J. Buchloh1,2, P. Albrecht1,2, X. Yang1, M. Li1, N. Venkatachalam1, O. Skabkina1, A. Klupsch1, E. Eichhorn1, L. Wang1, S. Belle1, N. Schulte1, D. Schmitz3, M.F. Froelich4, K. Trikhirhisthit2, E. Valentini5, K.E. Boonekamp5, Y. Petersen1,2, T. Miersch5, E. Burgermeister1, C. Herskind6,7, M.R. Veldwijk6,7, C. Brochhausen8, R. Ihnatko9, J. Krijgsveld9, I. Kurth10,11, Y. Zhu12, Y. Ma12, K. Cao12, M. Boutros5,11,13, M.P. Ebert1,7,14, T. Zhan1,7,15, J. Betge1,2,7

1Universitätsklinikum Mannheim, Medizinische Fakultät Mannheim der Universität Heidelberg, II. Medizinische Klinik, Mannheim, Deutschland, 2Deutsches Krebsforschungszentrum, Nachwuchs Klinische-Kooperationseinheit Translationale Gastrointestinale Onkologie und Präklinische Modelle, Heidelberg, Deutschland, 3Helios Kliniken Schwerin, Universitärer Campus der Medical School Hamburg, Abteilung für Gastroenterologie und Infektiologie, Schwerin, Deutschland, 4Universitätsklinikum Mannheim, Medizinische Fakultät Mannheim der Universität Heidelberg, Klinik für Radiologie und Nuklearmedizin, Mannheim, Deutschland, 5Deutsches Krebsforschungszentrum, Abteilung für Signalwege und Funktionelle Genomik, Heidelberg, Deutschland, 6Universitätsklinikum Mannheim, Medizinische Fakultät Mannheim der Universität Heidelberg, Klinik für Strahlentherapie und Radioonkologie, Mannheim, Deutschland, 7DKFZ-Hector Krebsinstitut an der Universitätsmedizin Mannheim, Mannheim, Deutschland, 8Universitätsklinikum Mannheim, Medizinische Fakultät Mannheim der Universität Heidelberg, Pathologisches Institut, Mannheim, Deutschland, 9Deutsches Krebsforschungszentrum, Abteilung für Proteomik von Stammzellen und Krebs, Heidelberg, Deutschland, 10Deutsches Krebsforschungszentrum, Abteilung für Radioonkologie/Radiobiologie, Heidelberg, Deutschland, 11Deutsches Konsortium für Translationale Krebsforschung, Heidelberg, Deutschland, 12Drittes Xiangya Krankenhaus, Central South University, Abteilung für Onkologie, Changsha, China, 13Institut für Humangenetik, Medizinische Fakultät Heidelberg, Universität Heidelberg, Heidelberg, Deutschland, 14Universitätsklinikum Mannheim, Medizinische Fakultät Mannheim der Universität Heidelberg, Mannheim Cancer Center, Mannheim, Deutschland, 15European Molecular Biology Laboratory, Molecular Medicine Partnership Unit, Heidelberg, Deutschland

Einleitung: Rektumkarzinome werden häufig in einem lokal fortgeschrittenen Stadium diagnostiziert und standardmäßig mit einer neoadjuvanten Radiochemotherapie behandelt. Bisher gibt es jedoch kein Therapiekonzept, das gezielt Mechanismen der Strahlenresistenz angreift, auch weil bisherige Zellkulturmodelle diese Strahlentherapie nur ungenügend abbilden konnten.
Ziele: Ziel des Projektes war die Identifikation neuer Kombinationstherapien, die das Ansprechen von Rektumkarzinomen auf Bestrahlung verbessern und somit eine potenzielle Alternative zur etablierten Radiochemotherapie darstellen.
Methodik: Wir etablierten Tumor Organoide von Patienten mit Rektumkarzinomen sowie Protokolle zur Roboter-gestützten Testung von Strahlentherapie und Bestrahlung-Wirkstoff-Kombinationen. Wir führten mehrere Hochdurchsatz-Screenings mit insgesamt 1596 Kombinationen aus Wirkstoffen und Bestrahlung durch. Anschließend wurden die vielversprechendsten Kombinationen funktionell sowie auf Expressions- und Proteom-Ebene in Organoiden, Zelllinien und Mausmodellen mechanistisch charakterisiert.
Ergebnisse: Die Rektumkarzinom-Organoide bildeten molekulare Charakteristika sowie das klinische Ansprechen der korrespondierenden Tumore ab. Die Screenings für Kombinationstherapien identifizierten Inhibitoren des RAS-MAPK-Signalwegs, insbesondere MEK-Inhibitoren, als potente Verstärker der Strahlenwirkung. Mechanistisch unterdrückten die MEK-Inhibitoren die strahlungsinduzierte Aktivierung des RAS-MAPK-Signalwegs und führten zur selektiven Herunterregulation von RAD51, einem Schlüsselprotein der homologen Rekombination bei der Reparatur von DNS-Doppelstrangbrüchen. Eine kombinierte Inhibition von MEK und PARP (einem weiteren Protein des DNS-Reparatursystems) führte zu einer weiteren synergistischen Verstärkung der Radiosensitivität in Organoiden, Zelllinien und in vivo in Xenograft-Mausmodellen ohne den Nachweis größerer Toxizität in den Tierstudien.
Schlussfolgerung: Unsere Ergebnisse liefern einen präklinischen Nachweis, dass die Kombination von MEK- und PARP-Inhibition in Verbindung mit Bestrahlung eine vielversprechende Behandlungsstrategie für Patienten mit lokal fortgeschrittenen Rektumkarzinomen darstellt und eine klinische Prüfung der Kombination gerechtfertigt ist.

Kurzvortragssitzung

CED und besondere Herausforderungen

14:15 – 15:43

Do 18.09.

Vortragsraum 11

Open Accordion - Icon Close Accordion - Icon

Vorsitz: Jochen Klaus (Ulm), Katharina Riegler (Lüneburg) und Axel Kleespies (Dachau)

14:15 – 14:21

KV 001 Digitale, KI-moderierte Prozessoptimierung hilft bei der Ambulantisierung von Versorgungsleistungen in der Gastroenterologie

Johannes J. Tebbe (Detmold)

KV 001 Digitale, KI-moderierte Prozessoptimierung hilft bei der Ambulantisierung von Versorgungsleistungen in der Gastroenterologie

J. Tebbe1, N.S.A. Kulamadayil-Heidenreich2, H. Holger1, C. Lutsch3, A. Lehrndorfer4

1Universität Bielefeld; Universitätsklinik OWL – Campus Lippe, Universitätsklinik für GAstroenterologie und Infektiologie, Detmold, Deutschland, 2Universität Bielefeld; Universitätsklinikum OWL – Campus Lippe, Universitätsklinik für Gastroenterologie und Infektiologie, Detmold, Deutschland, 3SDI München, Information Architecture and Content Creation (B.A.) und Intercultural Interaction Design (B.A.), München, Deutschland, 4SDI München, Technische Kommunikation, München, Deutschland

Einleitung: Kliniken müssen sich, verstärkt sektorenübergreifend organisieren und integrierte Versorgungsangebote entwickeln. Dabei steigen, an der Schnittstelle zwischen ambulanter und stationärer Versorgung, die Anforderungen an eine qualitativ hochwertige und wirtschaftliche Versorgung. In einem Modellprojekt (SePaSdigital) am Klinikum Lippe wurden innovative, KI-moderierte Ansätze zur Patientensteuerung erforscht, die helfen diesen neuen Anforderungen gerecht zu werden.
Ziel: In der sektorenübergreifenden Patientenversorgung (SPV) können Kliniken auch ambulant Versorgungsangebote vorhalten. Dies kann, insbesondere in ländlichen Regionen, helfen Defizite in der Versorgung zu minimieren. Hinzu kommt, gerade im Fach „Gastroenterologie“, der Drang zur „Ambulantisierung“ von stationären Versorgungsleistungen. Versorgungsleistungen können nach §115b SGB V (AOP), §116B SGB V (ASV), §117 SGB V (Hochschulambulanz) oder als vor- oder nachstationäre Leistungen (§115a SGB V) von Kliniken ambulant angeboten werden. Die Möglichkeiten der SPV werden oft nicht genutzt, auch weil diese Optionen nicht allen Akteuren bekannt sind und die sektorenübergreifende Kommunikation der Akteure schlecht ist. Ziel des Projektes war es die SPV-Möglichkeiten KI-moderiert besser in die gegebenen Versorgungsstrukturen einzubinden. Hierbei sollte die Health Literacy der Patienten, die Position der Hausärzte gestärkt werden. Zeitgleich sollte die KI-Moderation bewirken, dass Indikationen für eine stationäre Klinikbehandlung eindeutiger werden und die stationäre Fehlbelegung reduziert wird.
Ergebnisse: Wir implementierten ein digitales Case Consulting (vgl.: Bild) an der Schnittmenge der Behandlungssektoren. Mithilfe einer KI-moderierten Patientendistribution konnten Behandlungsfälle in der SPV um 25% gesteigert werden. Zeitgleich konnte die stationäre Fehlbelegungsquote von 27 auf unter 10% gesenkt werden. Diese Effekte waren zeitgleich verbunden mit einer Verbesserung der Patienten- und Zuweiserzufriedenheit bei verkürzten Wartezeiten auf einen ambulanten Facharzt-Behandlungstermin.
Schlussfolgerung: Ein digitales Case Consulting das KI-moderiert Patienten einem Versorgungsprozess zuordnet ist fähig die Zufriedenheit von Patienten und Zuweisern zu steigern. Zeitgleich ist eine strukturierte, digitale Prozessoptimierung geeignet die Akzeptanz der SPV zu stärken, und die stationäre Fehlbelegung zu reduzieren. (Gefördert durch das Bundesministerium für Gesundheit, BMG)

Das Bild beschreibt den analogen Prozess der der KI-Moderation bei der im Projekt beschriebenen "intelligenten" Patientendistribution der Schnittstelle von ambulantem und stationärerem Versorgungssektor zugrundeliegt.

14:23 – 14:29

KV 002 Hybride Versorgungsmodelle in der gastroenterologischen ambulanten Versorgung: Ergebnisse aus einem deutschen Universitätsklinikum

Nada Abedin (Frankfurt am Main)

KV 002 Hybride Versorgungsmodelle in der gastroenterologischen ambulanten Versorgung: Ergebnisse aus einem deutschen Universitätsklinikum

N. Abedin1, C. Kilbinger1, A. Queck1, N. Weiler1, A. Pathil1, U. Mihm1, C. Welsch1, I. Blumenstein1, A. Kubesch-Grün1, S. Zeuzem1, G. Dultz1

1Universitätsklinikum Frankfurt, Goethe Universität, Medizinische Klinik 1, Klinik für Gastroenterologie und Hepatologie, Frankfurt am Main, Deutschland

Einleitung: Mit der zunehmenden Spezialisierung und Zentralisierung in der Gastroenterologie kommt es zu wachsenden Herausforderungen, insbesondere in der ambulanten Versorgung. Trotz großer Fortschritte in der Digitalisierung bleibt die Nutzung telemedizinischer Versorgungsmöglichkeiten in der Klinik eingeschränkt. Während der Covid-19 Pandemie waren jedoch rasche Anpassungen notwendig, um eine kontinuierliche, sichere Versorgung, insbesondere für chronisch kranke Patienten, zu gewährleisten. Diese Studie untersucht anhand der Daten aus der Covid-19 Pandemie inwiefern Patientenkollektive definiert werden können, die zukünftig in hybriden Modellen versorgt werden können.
Methodik: Retrospektiv wurden 3.147 Patientenkontakte der gastroenterologischen und hepatologischen Ambulanzen des Universitätsklinikums Frankfurt von März-Juni 2020 analysiert. Es wurden Patientendaten, Terminadhärenz und Behandlungsergebnisse in den drei spezialisierten Ambulanzen Hepatologie (n=1.963), Lebertransplantation (LTX) (n=594) und CED (n=590) erfasst. Mittels multivariater Regressionsanalysen wurden Prädiktoren für erfolgreiche Telemedizinnutzung identifiziert.
Ergebnisse: Insgesamt konnten 1.112 (35,3%) Präsenztermine durch eine telemedizinische Vorstellung eingespart werden. Es zeigten sich signifikant unterschiedliche Nutzungsraten zwischen den Ambulanzen (Hepatologie 40,4%, LTX 32,8%, CED 21,0%, p<0,01). Die Adhärenzraten zwischen Telemedizin (91,3%) und Präsenzterminen (90,5%) waren vergleichbar. In der multivariaten Analyse zeigten sich die metabolisch-assoziierte Fettlebererkrankung (OR 1,737, 95%CI 1,400-2,155, p<0,001) und Zustand nach LTX (OR 1,281, 95%CI 1,001-1,641, p=0,049) als unabhängige Prädiktoren für erfolgreiche Telemedizinnutzung. Eine HBV/HDV-Koinfektion (OR 0,370, 95%CI 0,192-0,711, p=0,003) war mit Präsenzversorgung assoziiert. Es zeigte sich keine höhere Hospitalisierungsrate bei telemedizinisch versorgten Patienten.
Schlussfolgerung: Telemedizin in der spezialisierten gastroenterologischen und hepatologischen Versorgung kann erfolgreich implementiert werden. Patientencharakteristika und krankheitsspezifische Faktoren beeinflussen die Eignung für Telemedizin, was einen stratifizierten Ansatz für Hybrid-Care-Modelle unterstützt. Insbesondere stabile MASLD-Patienten, gut kontrollierte Transplantationsempfänger nach einem Jahr und CED-Patienten in anhaltender Remission können durch Telemedizin mit jährlichen Präsenzuntersuchungen adäquat versorgt werden.

14:31 – 14:37

KV 003 Epidemiologie und Outcome von Morbus Crohn an einem tertiären Zentrum: eine retrospektive monozentrische Real-World-Daten-Kohortenstudie

Maximilian Nord (Magdeburg)

KV 003 Epidemiologie und Outcome von Morbus Crohn an einem tertiären Zentrum: eine retrospektive monozentrische Real-World-Daten-Kohortenstudie

M. Nord1, U. von Arnim1, V. Keitel1, R. Rosania1

1Klinik für Gastroenterologie, Hepatologie und Infektiologie, Universitätsklinikum Magdeburg, Deutschland, Magdeburg, Deutschland

Einleitung: Das therapeutische Spektrum bei Morbus Crohn (MC) entwickelt sich durch neue Biologika und Small Molecules kontinuierlich weiter, dennoch besteht ein erheblicher Bedarf an Real-World-Daten.
Ziele: Retrospektive Kohortenstudie zur Analyse der Epidemiologie, des klinischen Verlaufs sowie das Ansprechen auf die zugelassen Therapieoptionen bei MC-Patienten, die in den letzten 22 Jahren in der Ambulanz des Universitätsklinikums Magdeburg behandelt wurden.
Methodik: Epidemiologische Daten, Krankheitsmerkmale, Remissionsraten und Behandlungspfade wurden im Zeitraum von Januar 2021 bis Juli 2024 retrospektiv erhoben. Zur Analyse der Behandlungsoptionen wurden die Patienten basierend auf dem Jahr ihrer Erstvorstellung in vier Kohorten eingeteilt (1999–2006, 2007–2011, 2012–2016, 2017–2021). Therapien vor der Erstvorstellung wurden hierbei nicht berücksichtigt. Zur Erfassung der klinischen Remission wurde der Harvey-Bradshaw-Index (HBI) verwendet.
Ergebnis: 307 MC-Patienten (42% männlich, Alter bei ED im Median 30 (6-70 Jahre) wurden über 8,3 Jahre (1-22 Jahre) mediane Beobachtungszeit ausgewertet. Zwischen erster (n=34) und letzter Kohorte (n=92) nahm der Anteil der Patienten ab, bei denen die Indikation zur Glukokortikoidtherapie (41% (n=14/34) auf 25% (n=23/92)) oder Azathioprintherapie gestellt wurde (74% (n=25/34) auf 21% (n=19/92)). Ebenfalls verringerte sich der Anteil der Patienten, bei denen die Indikation zur Ileozäkalresektion gestellt wurde (18% (n=6/34) auf 11%(n=10/92)). Andererseits nahm der Anteil der Patienten zu, bei denen die Indikation für eine Biologikatherapie gestellt wurde (15% (5/34) auf 76% (70/92)). Infliximab war das am häufigsten eingesetzte Biologikum in der Erstlinientherapie (60 % (n=113/188)). In der Zweitlinientherapie wurde Ustekinumab am häufigsten verordnet (41 % (n=49/120)). Unabhängig von Indikation und Therapielinie wurde unter Ustekinumab bei 57 % (n=49/86) der Patienten und unter Infliximab bei 44 % (n=65/147) eine klinische Remission (HBI <5) erreicht.
Schlussfolgerung: In den letzten 22 Jahren wurden Biologika zunehmend eingesetzt, was mit einer Reduktion chirurgischer Eingriffe einherging. Infliximab und Ustekinumab etablierten sich dabei als führende Wirkstoffe in der Erst- bzw. Zweitlinientherapie und erzielten die höchsten Raten klinischer Remission.

14:39 – 14:45

KV 004 Depression bei Patienten mit anorektalen Fisteln und Analfissuren: Ergebnisse einer mittels Propensity-Score gematchten retrospektiven Kohortenstudie

Michael Kaspari (Herford)

KV 004 Depression bei Patienten mit anorektalen Fisteln und Analfissuren: Ergebnisse einer mittels Propensity-Score gematchten retrospektiven Kohortenstudie

M. Kaspari1, E.W. Kolbe1, S. Krieg2, S.H. Loosen3, C. Roderburg3, K. Kostev4, A. Krieg1

1Universitätsklinik für Allgemein- und Viszeralchirurgie, Thoraxchirurgie und Proktologie, Klinikum Herford, Medizinischer Campus OWL, Ruhr-Universität Bochum, Herford, Deutschland, 2Universitätsklinik für Inklusive Medizin, Universitätsklinikum Ostwestfalen-Lippe, Universität Bielefeld, Bielefeld, Deutschland, 3Klinik für Gastroenterologie, Hepatologie und Infektiologie, Universitätsklinikum Düsseldorf, Medizinische Fakultät der Heinrich-Heine-Universität Düsseldorf, Düsseldorf, Deutschland, 4Epidemiologie, IQVIA, Frankfurt, Deutschland

Hintergrund: Analfissuren und anorektale Fisteln sind Erkrankungen, die häufig mit erheblichen Schmerzen und anhaltendem Unbehagen verbunden sind, was zu einer deutlichen Einschränkung der Lebensqualität (QoL) führt. Sie sind nicht nur ein chirurgisches Problem, sondern haben auch tiefgreifende psychosoziale Auswirkungen und beeinflussen die QoL. Ziel dieser Studie war es, die Assoziation von Depressionen bei Patienten mit diesen Erkrankungen zu untersuchen und die Notwendigkeit zu unterstreichen, die psychosozialen Aspekte dieser Erkrankungen zu berücksichtigen.
Methoden: Es wurden retrospektiv Daten aus der Disease Analyzer Datenbank (IQVIA) von ca. 3.000 Hausärzten in Deutschland analysiert. Die retrospektive Kohortenstudie umfasste Patienten im Alter von ≥18 Jahren, bei denen zwischen Januar 2005 und Dezember 2022 eine Analfissur (n=15.467) oder eine anorektale Fistel (n=3.520) diagnostiziert wurde, sowie Personen ohne diese Erkrankungen (n=94.935), die anhand des Propensity Score gematcht wurden. Der primäre Endpunkt war die Diagnose einer Depression innerhalb von fünf Jahren nach dem Indexdatum. Kaplan-Meier-Kurven und Cox-Regressionsanalysen wurden verwendet, um den Zusammenhang zwischen den beiden anorektalen Erkrankungen und Depression zu analysieren.
Ergebnisse: Nach 5 Jahren Nachbeobachtung wurde bei 13,0% der Patienten mit Analfissur und 12,3% der Patienten mit anorektaler Fistel eine Depression diagnostiziert, verglichen mit 9,7-10,3% in der Kontrollgruppe (p<0,001). Die Cox-Regressionsanalyse zeigte eine signifikante Assoziation zwischen beiden Erkrankungen und Depression (Analfissur: HR: 1,31; 95 % KI: 1,25-1,38; anorektale Fistel: HR: 1,30; 95 % KI: 1,17-1,44).
Schlussfolgerung: Die Ergebnisse deuten darauf hin, dass Analfissuren oder anorektale Fisteln signifikant mit einer nachfolgenden Depression assoziiert sind. Dies unterstreicht die Bedeutung eines multidisziplinären Managements, das sowohl körperliche als auch psychosoziale Aspekte berücksichtigt, um das Outcome der Patienten zu verbessern.

14:47 – 14:53

KV 005 Behandlungsstrategien für Pyoderma gangraenosum als extraintestinale Manifestation bei chronisch-entzündlichen Darmerkrankungen

Jan Guse (Jena)

KV 005 Behandlungsstrategien für Pyoderma gangraenosum als extraintestinale Manifestation bei chronisch-entzündlichen Darmerkrankungen

J. Guse1, J. Rüddel1, A. Blesl2, P. Esters3, K. Matthes4, R. Schmelz4, C. Schmidt5, J. Wanzl6, E. Schnoy6, N. Teich7, A. Stallmach1, K. Lange1

1Universitätsklinikum Jena, Klinik für Innere Medizin IV, Jena, Deutschland, 2Medizinische Universität Graz, Abteilung für Gastroenterologie und Hepatologie, Graz, Österreich, 3Agaplesion Markus Krankenhaus, Medizinische Klinik 1, Frankfurt/Main, Deutschland, 4Universitätsklinikum Carl Gustav Carus, Medizinische Klinik 1, Dresden, Deutschland, 5Klinikum Fulda, Medizinische Klinik 1, Fulda, Deutschland, 6Universitätsklinikum Augsburg, Dritte Medizinische Klinik, Augsburg, Deutschland, 7Internistische Gemeinschaftspraxis für Verdauungs- und Stoffwechselerkrankungen, Leipzig und Medizinische Fakultät der Friedrich-Schiller-Universität Jena, Leipzig, Deutschland

Einleitung: Das Pyoderma gangränosum (PG) ist eine seltene Komplikation von chronisch-entzündlichen Darmerkrankungen (CED) und stellt eine therapeutische Herausforderung dar. Geltende Leitlinien nennen mehrere Therapieoptionen, aber die optimale Behandlungsstrategie bleibt unklar.
Ziele: Ziele dieser retrospektiven Analyse sind die Charakterisierung von PG bei CED PatientInnen und der Vergleich der Effektivität verschiedener Therapieansätze hinsichtlich der Remission des PG.
Methodik: Wir führten eine retrospektive multizentrische Studie in 7 CED-Zentren in Deutschland und Österreich an PatientInnen mit CED und PG durch. Demografische Daten, Vormedikation, Operationen, sowie krankheitsspezifische Faktoren zur Erhebung klinischer Scores (partieller Mayo-Score und Harvey-Bradshaw-Index) wurden erfasst.
Ergebnisse: Die Kohorte umfasst 49 PatientInnen (medianes Alter: 49 Jahre; 67% Frauen), hiervon litten 59% an Morbus Crohn und 41% an Colitis ulcerosa. 51% der PatientInnen waren aufgrund der CED voroperiert; 47% bzw. 57% waren mit einem bzw. >1 Biologikum vortherapiert, meist mit einer Anti-TNF-Therapie. Das PG war am häufigsten an den unteren Extremitäten lokalisiert (51%), 25% zeigten ein peristomales PG. Zur Behandlung des PG erhielten 37 PatientInnen (75%) eine Anti-TNF-Therapie, am häufigsten mit Infliximab als Erst- oder Zweitlinie, welche in 76% der Fälle zu einer vollständigen Abheilung des PG führt. Etwa die Hälfte der PatientInnen (49%) erhielten einen Therapieversuch mit systemischen Prednisolon (mediane Dosis : 60 mg / d), wobei es bei 8% zu einer vollständigen Abheilung des PG kam. 13 PatientInnen (27%) erhielten eine Calcineurin-Inhibitor-Therapie (11 Tacrolimus, 2 CSA), was bei 38% der Fälle zu einer vollständigen Abheilung führte. Insgesamt erreichten 40 PatientInnen (82%) eine vollständige Abheilung des PG nach im Median 4 Monaten. 31 PatientInnen (78%) waren zum Zeitpunkt der Abheilung in klinischer Remission der CED.
Schlussfolgerung: Die Anti-TNF-Therapie war eine hoch effektive Therapie für PatientInnen mit CED und PG und konnte als Erst- oder Zweitlinientherapie erfolgreich eingesetzt werden. Ein Wechsel innerhalb der Wirkstoffklasse war in Fällen von Therapieversagen wirksam. Systemische Steroide zeigten wenig Erfolg, während Calcineurininhibition, die überwiegend mit Tacrolimus erfolgte, eine gewisse Wirksamkeit aufwies. Die vollständige Heilung des PG war mit der klinischen Remission der CED assoziiert und dauerte mehrere Monate.

14:55 – 15:01

KV 006 Real-world data on therapy response to inflammatory bowel disease biological treatments in patients with concurrent primary sclerosing cholangitis: a case-control study

Robert S. Tosse

KV 006 Real-world data on therapy response to inflammatory bowel disease biological treatments in patients with concurrent primary sclerosing cholangitis: a case-control study

R. Tosse1, M. Maibier1, A. Fischer1, M. Razpotnik1, K. Kouladouros1, F. Tacke1, J. Wizenty1,2, M. Sigal1,3

1Charité – Universitätsmedizin Berlin, Medizinische Klinik mit Schwerpunkt Hepatologie und Gastroenterologie, Berlin, Deutschland, 2Berlin Institute of Health at Charité – Universitätsmedizin Berlin, BIH Biomedical Innovation Academy, BIH Charité Clinician Scientist Program, Berlin, Deutschland, 3Berlin Institute for Medical Systems Biology (BIMSB), Max Delbrück Center for Molecular Medicine in the Helmholtz Association (MDC), Berlin, Deutschland

Introduction: Biological therapies have improved outcomes of patients diagnosed with Inflammatory Bowel Diseases (IBD) such as Ulcerative colitis (UC) and Crohn’s disease (CD). However, nonresponse or loss of response remains a significant challenge. Primary sclerosing cholangitis (PSC) is associated with IBDs, but the impact of concurrent PSC on response to IBD therapy is not well explored.
Aims: This study compared therapy response to IBD treatment with Infliximab (IFX), Vedolizumab (VDZ) and Ustekinumab (UST) in patients diagnosed with PSC and IBD (PSC/IBD group) versus patients diagnosed with IBD only (control group).
Methods: We identified 46 patients in the PSC/IBD group and 180 in the control group treated with IFX, VDZ and/or UST at our IBD outpatient clinic at Charité – Universitätsmedizin Berlin. Propensity score matching was employed to match the groups with a ratio of 1:1 based on age, sex, BMI, smoking status, Charlson Comorbidity Index (CCI), IBD subtype, duration of IBD, age at IBD diagnosis and Montreal-Classification (tolerance = 0.2).
The primary outcome was clinical therapy response within 20 weeks, defined as remission (partial Mayo Score (pMS) ≤ 1/Harvey-Bradshaw-Index (HBI) < 5) or partial response (decrease of pMS ≥2/HBI >3). Group differences were compared using Fisher´s Exact test.
Secondary outcomes included time to loss of response, mucosal healing (defined as no or mild inflammation e.g. Mayo Endoscopic Score 0 or 1) and decreased levels of C-reactive Protein (CRP) <5mg/l and faecal calprotectin (FC) <50mg/g. Only patients achieving clinical remission or partial response were included in the secondary analyses.
Results: After matching, 46 patients per group were analysed, with a total of 136 treatments administered (Table 1). While clinical response rates did not significantly differ between groups in patients receiving IFX or VDZ, in patients treated with UST clinical remission and partial response rates were significantly lower in the PSC/IBD group (p=0.04, Table 2). The time to loss of response was not different between groups across all therapies. Mucosal healing rates were lower in the PSC/IBD group compared to controls as well as decreased levels of CRP and FC (Table 2).
Conclusion: IFX and VDZ appear equally efficient for achieving clinical response in IBD patients with and without PSC, while the efficacy of UST is significantly lower in IBD patients with PSC. Future prospective data is needed to strengthen our knowledge of treatment outcomes in this population.

Table 1 Propensity Score matched cohort demographics and disease characteristics
Variables PSC/IBD group (n=46) Control group (n=46) p-value (Chi-2/t-test)
Age (Mean ± SD) 39.7 ± 12.4 39.9 ± 13.9 0.962
Sex – male (%) 31 (67.4%) 24 (52.2%) 0.137
BMI (Mean ± SD) 23.1 ± 3.9 23.8 ± 4.8 0.443
Smoker – yes (%) 9 (20.0%) 13 (31.7%) 0.214
CCI (Mean ± SD) 0.6 ± 1.1 0.5 ± 1.0 0.692
UC N (%) 34 (73.9%) 34 (73.9%) 1.000
Pancolitis (% from UC) 31 (93.9%) 26 (81.3%) 0.150
CD (%) 12 (26.1%) 12 (26.1%) 1.000
Patients treated with Infliximab 19 20
Patients treated with Vedolizumab 28 22
Patients treated with Ustekinumab 21 26

Table 2 Comparison of therapy response to IBD treatment with Infliximab, Vedolizumab and Ustekinumab between patients
Variables IFX-PSC (n=19) IFX-control (n=20) VDZ-PSC (n=28) VDZ-control (n=22) UST-PSC (n=21) UST-control (n=26)
IBD-subtype UC (%) 11 (57.9%) 16 (80.0%) 24 (85.7%) 20 (90.9%) 14 (66.7%) 16 (61.5%)
Primary Outcome
clinical remission (%) 13 (68.4%) 14 (70.0%) 19 (67.9%) 18 (81.8%) 8 (38.1%) 18 (69.2%)
clinical partial response (%) 2 (10.5%) 1 (5.0%) 4 (14.3%) 1 (4.6%) 1 (4.8%) 2 (7.7%)
p-values (Fisher´s Exact test) p = 1.0 p = 0.521 p = 0.044
Secondary outcomes (only patients with clinical remission or partial response included)
Time to loss of response (M ± SD) 13 ± 11 months 16 ± 9 months 25 ± 18 months 32 ± 21 months 13 ± 4 months 12 ± 9 months
Mucosal healing (%) 4 (50.0%) 7 (87.5%) 9 (45.0%) 11 (84.6%) 1 (20.0%) 9 (75.0%)
Decreased CRP and FC (%) 10 (76.9%) 13 (86.7%) 8 (47.1%) 16 (88.9%) 2 (40.0%) 14 (77.8%)

Das Bild zeigt drei Balkendiagramme, welche die klinischen Ansprechraten auf die Medikamente Infliximab, Vedolizumab und Ustekinumab darstellen. Dabei ist jedes Balkendiagramm in zwei Gruppen unterteilt, die IBD/PSC-Gruppe (blau) und die Kontrollgruppe (grau).
Das Bild zeigt drei Balkendiagramme, welche die endoskopischen Ansprechraten auf die Medikamente Infliximab, Vedolizumab und Ustekinumab darstellen. Dabei ist jedes Balkendiagramm in zwei Gruppen unterteilt, die IBD/PSC-Gruppe (blau) und die Kontrollgruppe (grau).
Das Bild zeigt drei Balkendiagramme, welche die Raten an Patient*innen mit gesunkenen Laborwerten (CRP, FC) bei Erhalt der Medikamente Infliximab, Vedolizumab und Ustekinumab darstellen. Dabei ist jedes Balkendiagramm in zwei Gruppen unterteilt, die IBD/PSC-Gruppe (blau) und die Kontrollgruppe (grau).

15:03 – 15:09

KV 007 Progredient hepatosplenomegaly and skin lesions: a case report of extracutaneous pyoderma gangrenosum

Aisha Abu Ghaly (Mannheim)

KV 007 Progredient hepatosplenomegaly and skin lesions: a case report of extracutaneous pyoderma gangrenosum

A. Abu Ghaly1, M. Li1, L. Dreikhausen1, A. Thomann1, W. Reindl1, M.P. Ebert1, C. Antoni1

1Universitätsmedizin Mannheim, Medizinische Fakultät Mannheim der Universität Heidelberg, II. Medizinische Klinik, Mannheim, Deutschland

Introduction: Progredient hepatosplenomegaly with focal lesions can be associated with various differential diagnoses. However, hepatosplenomegaly as a manifestation of extracutaneous pyoderma gangrenosum with sterile neutrophilic infiltration in the liver and spleen has not been rarely reported.
Objectives: This is a report of pyoderma gangrenosum-related hepatosplenomegaly with focal lesions in an adult.
Methods: This is a case report of a 28-year-old female hospitalized in January 2025 at University Hospital Mannheim. Diagnostics including imaging, biopsies, microbiological tests, endoscopy, and multidisciplinary discussions and clinical treatment were reported.
Results: The patient presented with progredient hepatosplenomegaly, newly identified liver and spleen lesions, and painful erythematous skin papulae on both legs. Laboratory results showed pronounced leukocytosis, significantly elevated CRP levels, and only minimally elevated procalcitonin. Serological testing ruled out infectious diseases including HIV, viral hepatitis, cytomegalovirus (CMV), Epstein-Barr virus (EBV), tuberculosis, and echinococcosis. Computer tomography imaging revealed subcapsular liver lesions. Biopsy of the lesions demonstrated histological findings of inflammation and granulocytic infiltration without cellular atypia. Dermatological punch biopsies of skin lesions revealed necrotic material, without pathogens in microbiological tests. Imaging characterized the subcutaneous skin lesions as nodular and without abscess suspicion. Further examinations ruled out vasculitis, inflammatory bowel disease, and malignancy. Recommendations from the autoimmune board led to lymph node excision and bone marrow puncture, excluding lymphoma and other hematological malignancies. Following multidisciplinary discussions, weight-adapted corticosteroid therapy and immunosuppressive treatment with ciclosporin were initiated. The patient responded well to this therapeutic approach with prompt laboratory and clinical improvements and was discharged to outpatient care with arrangements for regular follow-ups.
Conclusion: For patients presenting with inflammatory skin lesions, extracutaneous neutrophilic diseases such as pyoderma gangrenosum should be considered as a potential differential diagnosis for hepatosplenomegaly. Effective diagnostics and management of such rare conditions require a multidisciplinary approach.

Computer tomography showing hepatosplenomegaly
Skin lesions on lower leg
Skin lesions on both legs

15:11 – 15:17

KV 008 Klinischer Verlauf von Patienten mit chronisch-entzündlichen Darmerkrankungen vor und nach Lebertransplantation: Einfluss und Auswirkungen von CED-spezifischen Therapien

Ebru Ar

KV 008 Klinischer Verlauf von Patienten mit chronisch-entzündlichen Darmerkrankungen vor und nach Lebertransplantation: Einfluss und Auswirkungen von CED-spezifischen Therapien

E. Ar1, I. Solomonidou2, H. Lenzen3, M. Wiestler3, C. Veltkamp1, K. Willuweit1, J. Rashidi-Alavijeh1, H. Schmidt1, R. Vollenberg2, P.R. Tepasse2, J. Trebicka2, S. Tischendorf4, C. Elfers4, K. Hamesch4, A. Bokemeyer1,2,5

1Universitätsklinikum Essen, Medizinische Fakultät der Universität Duisburg-Essen, Klinik für Gastroenterologie, Hepatologie und Transplantationsmedizin, Essen, Deutschland, 2Universitätsklinikum Münster, Medizinischen Klinik B (Gastroenterologie, Hepatologie, Endokrinologie und Klinische Infektiologie), Münster, Deutschland, 3Medizinische Hochschule Hannover, Klinik für Gastroenterologie, Hepatologie, Infektiologie und Endokrinologie, Münster, Deutschland, 4Uniklinik RWTH Aachen, Medizinische Klinik III, Gastroenterologie, Stoffwechselerkrankungen, internistische Intensivmedizin, Aachen, Deutschland, 5Bonifatius Krankenhaus Lingen, Klinik für Gastroenterologie, Diabetologie und Palliativmedizin, Lingen, Deutschland

Hintergrund und Ziele: Patienten mit chronisch-entzündlichen Darmerkrankungen (CED) können aufgrund fortgeschrittener Lebererkrankungen wie der primär sklerosierenden Cholangitis eine Leberzirrhose entwickeln, weshalb eine Lebertransplantation (LT) erforderlich sein kann. Die Daten über die Aktivität der CED und den Einsatz neuerer, CED-spezifischer Therapien bei transplantierten Patienten sind nach wie vor begrenzt. Primäres Ziel dieser Arbeit war es, die CED-Aktivität vor und nach der Lebertransplantation zu untersuchen und den Einsatz neuerer CED-Therapien in dieser Kohorte zu bewerten.
Methoden: In diese multizentrische, retrospektive Datenanalyse wurden insgesamt 253 Patienten mit einer CED eingeschlossen, die sich zwischen 2000 und 2022 an vier deutschen Universitätskliniken einer LT unterzogen. Die klinische und endoskopische Aktivität der CED sowie die Anwendung CED-spezifischer Therapien wurden vor und nach der Transplantation untersucht.
Ergebnis: Die Kohorte umfasste 213 Patienten mit einer Colitis ulcerosa (CU) und 40 Patienten mit einem Morbus Crohn (MC). Die klinischen Remissionsraten betrugen vor der Transplantation 84,7 % bei der CU und 89,7 % beim MC, wobei sich nach der Transplantation keine signifikanten Veränderungen der Remissionsraten zeigten (CU: 81,2 %, MC: 85,7 %; p=0,554 und p=0,650). Trotz dieser stabilen klinischen Remission nach der Transplantation wies ein großer Teil der CED-Patienten im Langzeitverlauf endoskopische Anzeichen einer mittelschweren bis schweren Entzündung auf (27,9 % der CU- und 22,6 % der MC-Patienten). Der Einsatz von CED-spezifischen Therapien stieg nach der Transplantation signifikant an (von 5,9 % auf 12,6 %, p = 0,022), ohne dass es zu einem Anstieg infektiöser Komplikationen kam (p = 0,102).
Schlussfolgerung: Die klinische CED-Aktivität bleibt zwar nach der LT stabil, dennoch kann bei einem nicht zu vernachlässigenden Teil der CED-Patienten eine mäßige bis schwere mukosale Inflammation im Langzeitverlauf nachgewiesen werden. Der Einsatz neuartiger, CED-spezifischer Therapien nimmt im Langzeitverlauf nach Transplantation zu, ohne dass es zu einem erhöhten Infektionsrisiko kommt, was die Notwendigkeit eines individuellen, langfristigen CED-Managements bei Patienten nach LT unterstreicht.

15:19 – 15:25

KV 009 Biologikatherapie bei lebertransplantierten Patienten mit chronisch-entzündlichen Darmerkrankungen – Fallserie

Tanja Elger (Regensburg)

KV 009 Biologikatherapie bei lebertransplantierten Patienten mit chronisch-entzündlichen Darmerkrankungen – Fallserie

T. Elger1, C. Koch1, H.C. Tews1, J. Loibl1, L. Baier-Kleinhenz1, A. Kandulski1, A. Kandulski1, M. Müller-Schilling1

1Uniklinik Regensburg, Regensburg, Deutschland

Einleitung: Lebererkrankungen und chronisch-entzündliche Darmerkrankungen (CED) sind eng miteinander assoziiert, insbesondere die primär sklerosierende Cholangitis (PSC) und die Colitis ulcerosa (CU). Schwere Verläufe der PSC können eine Lebertransplantation erforderlich machen; ebenso kann eine ausgeprägte CED den Einsatz von Biologika notwendig machen. Die Kombination aus klassischer Immunsuppression nach Lebertransplantation und Biologika zur Behandlung der CED erfolgt off-label, sodass nur wenige Daten zur Wirksamkeit und Sicherheit vorliegen – insbesondere im Hinblick auf Hepatotoxizität, Infektanfälligkeit und Medikamenteninteraktionen.

Ziele: Ziel dieser Arbeit ist es, die Wirksamkeit und Sicherheit von Biologika zur Behandlung von CED bei lebertransplantierten Patienten zu untersuchen – mit Fokus auf Leberfunktion, Medikamenteninteraktionen mit Immunsuppressiva und Infektionshäufigkeit.
Methodik: In dieser retrospektiven, monozentrischen Fallserie wurden alle Patienten aus den universitären Ambulanzen für CED und für post-Lebertransplantation am Universitätsklinikum Regensburg gescreent. Eingeschlossen wurden Patienten mit gleichzeitig bestehender Lebertransplantation und CED. Arztbriefe, Laborwerte und bildgebende Verfahren wurden ausgewertet. Ab Beginn der Biologika-Therapie erfolgte die systematische Erfassung von Infektionen, Laborveränderungen und potenziellen Medikamenteninteraktionen.
Ergebnisse: Insgesamt wurden 17 lebertransplantierte Patienten mit CED identifiziert. Elf Patienten litten an einer PSC, die übrigen an einer Autoimmunhepatitis (AIH), einem PSC-AIH-Overlap-Syndrom oder einer kryptogenen Leberzirrhose. Drei Patienten hatten Morbus Crohn, 14 Colitis ulcerosa. Bei insgesamt fünf Patienten war aufgrund des Schweregrads der CED eine Biologika-Therapie erforderlich. Eingesetzt wurden Vedolizumab, Ustekinumab und Risankizumab. Zwei Patienten erhielten bereits zwei verschiedene, eine Patientin drei verschiedene Biologika. Bisher traten keine schwerwiegenden sicherheitsrelevanten Ereignisse in Bezug auf Hepatotoxizität, Infektanfälligkeit oder Wechselwirkungen mit anderen Immunsuppressiva (z. B. Tacrolimus, Mycophenolat-Mofetil, Ciclosporin und Prednisolon) auf.
Schlussfolgerung: Unsere Daten zeigen keine Hinweise auf schädliche Wirkungen der Biologika-Therapie bei lebertransplantierten Patienten mit CED. Der kombinierte Einsatz von Biologika und Immunsuppressiva erscheint trotz Off-Label-Anwendung bei aktiver CED sinnvoll.

15:27 – 15:33

KV 010 Rezidiv-appendizitis

Katharina Haidacher (Leipzig)

KV 010 Rezidiv-appendizitis

K. Haidacher1, M. Braunert1, B. Jansen-Winkeln1

1Klinikum St.Georg Leipzig, Klinik für Allgemein-, Viszeral-, Thorax- und Gefäßchirurgie, Leipzig, Deutschland

Der vorliegende Fall dokumentiert die erneute operative Versorgung eines 55-jährigen Patienten bei Z.n. Appendektomie im Jahre zuvor.
Die Vorstellung des Patienten erfolgte zunächst im März 2024 über die zentrale Notfallambulanz unseres Hauses. CT-morphologisch ergab sich eine gedeckt perforierte Appendizitis mit Abszess. Wir stellten die Indikation zur operativen Versorgung. Intraoperativ zeigte sich zunächst eine massiv putride Unterbauchperitonitis. Nach Absaugung von 580 ml Pus konnte die Appendix dargestellt werden, welche gangränös perforiert war. Es erfolgte die laparoskopische Appendektomie. Zudem entschieden wir uns für eine intravenöse antibiotische Therapie mit Cefuroxim und Metronidazol, welche im Verlauf oralisiert werden konnte.
Am fünften postoperativen Tag erfolgte die Entlassung des Patienten unter noch laufender oraler antibiotischer Therapie. Die histologische Untersuchung des OP-Präparates ergab eine phlegmonös-eitrige Appendix mit granulomatöser Periappendizitis ohne erkennbare Appendixspitze.
Im Februar 2025 stellte sich der Patient mit kolikartigen Bauchschmerzen erneut über unsere zentrale Notfallambulanz vor. Zunächst erfolgte die stationäre Aufnahme zur konservativen antibiotischen Therapie. Bei fehlender klinischer Besserung führten wir ein CT durch, welches mehrere interenterische Abszesse im rechten Unterbauch und im Becken sowie eine mögliche Restappendix im kleinen Becken zeigte.
Wir stellten die Indikation zur diagnostischen Laparoskopie. Intraoperativ zeigte sich eine Unterbauchperitonitis mit Abszessbildung sowie eine appendixähnliche Struktur am Abgang des Zökums, welche wir resezierten. Die postoperative histologische Untersuchung ergab eine Appendix vermiformis überwiegend bestehend aus Appendixspitze mit akuter ulzero-phlegmonöser und chronisch-fibrosierender Entzündung und begleitender fibrinös-eitriger Periappendizitis. Am fünften postoperativen Tag konnte der Patient in gutem Allgemeinzustand entlassen werden.
Auf Grund der schweren Peritonitis mit Abszedierung war in der Primäroperation eine inkomplette Resektion der Appendix erfolgt. Dementsprechend muss auch bei Z.n. nach Appendektomie bei entsprechender Klinik und Bildgebung an eine Rezidivappendizitis gedacht werden.

15:35 – 15:41

KV 011 Impact of advanced therapies for inflammatory bowel disease on disease activity, health-related quality of life, fatigue and psychological symptoms – real-world evidence from a prospective cohort study at a tertiary care center

Sophia Sediq

KV 011 Impact of advanced therapies for inflammatory bowel disease on disease activity, health-related quality of life, fatigue and psychological symptoms – real-world evidence from a prospective cohort study at a tertiary care center

S. Sediq1, F. Thielen1, N. Reuter1, C. Hartl1, T. Hof1, L. Mayer1, P. Hasselblatt1

1Medical Center – University of Freiburg, Department of Medicine II, Freiburg, Deutschland

Introduction and objectives: To date, predictive biomarkers of therapeutic response in IBD are still lacking. The CLINNOVA-IBD study aims to identify such markers by integrative analysis of clinical, laboratory and multi-omics data in IBD patients undergoing treatment changes. In preparation for this trial, we performed a pilot study to assess clinical response and other patient-reported outcomes (PROs) and to explore potential influencing and predictive factors in an IBD outpatient cohort.
Methods: Patients were enrolled at the time of a substantial treatment change and followed up for up to one year (scheduled visits after 3, 6 and 12 months), including regular assessments of clinical outcomes, PROs (quality of life [QoL], fatigue, anxiety and depression) and laboratory parameters. Patients were asked to provide blood samples for biobanking.
Results: Between June 2020 and October 2022, 118 patients (51 with Ulcerative Colitis, 67 with Crohn’s disease) were enrolled, the majority of whom had received advanced therapies before. High rates of clinical response were observed by the first follow-up visit already (UC: 69%, CD: 55%). Clinical remission was achieved in 61 and 73% by the end of the follow-up period. Approximately half of patients suffered from anxiety, depression or fatigue and this percentage markedly decreased following treatment initiation (48 vs. 23,9% after 3 months, p=0,02). Fatigue was significantly more prevalent in clinically active disease (33,8 vs. 3,8%, p=0,003) and responders showed numerically higher rates of fatigue improvement (70 % vs. 40 %, p=0,329). Anemia was associated with higher fatigue levels even after correction for disease activity, while there was no evidence for an association between fatigue and iron status, vitamin D or zinc levels resp. Fatigue was correlated with coexisting anxiety and depression and inversely correlated with QoL.
Conclusions: Our data demonstrate high rates of clinical response following the initiation of advanced IBD therapies, even in an extensively pretreated population with a long disease history. Fatigue and psychological comorbidities were highly prevalent, especially during active disease, and partially reversible following treatment initiation. QoL was markedly impaired during active disease and in fatigued patients. The pathogenetic links between disease activity and fatigue in IBD remain to be elucidated and biobanking studies such as CLINNOVA-IBD will play a pivotal role in this field.

Kurzvortragssitzung

Kolorektale Metastasen und Karzinogenese im Visier

15:50 – 16:46

Do 18.09.

Seminarraum 14 + 15

Open Accordion - Icon Close Accordion - Icon

Vorsitz: Christoph Treese (Berlin) und Lena-Christin Conradi (Göttingen)

15:50 – 15:56

KV 262 “High Precision Cut Tissue Slices” kolorektaler Lebermetastasen als ein ex-vivo Modell zur Therapie-Response Beurteilung

Ulrich Wirth (München)

KV 262 “High Precision Cut Tissue Slices” kolorektaler Lebermetastasen als ein ex-vivo Modell zur Therapie-Response Beurteilung

U. Wirth1, R. Yang1, A. Mourad1, H. Nieß1, J. Werner1

1LMU Klinikum, Klinik für Allgemein-, Viszeral- und Transplantationschirurgie, München, Deutschland

Einleitung: Kolorektale Karzinome sprechen häufig gut auf Polychemotherapie an, woraus ein akzeptables Überleben von Patienten mit metastasierter Erkrankung resultiert. Bei Ansprechen kann sogar die Resektion von Metastasen auch in kurativer Intention erfolgen. Die ex-vivo Therapie-Evaluation von primärem Tumorgewebe ist aktuell ein Feld intensiver Forschung mit der Intention auch einer personalisierten Medizin. Neben Tumor Organoiden und Sphäroiden sind die „High Precision Cut Tissue Slices“ ein weiteres ex-vivo Model.
Ziele: Etablierung und Untersuchung von „High Precision Cut Tissue Slices“ als ex-vivo Modell zur Beurteilung des Therapieansprechens kolorektaler Lebermetastasen.
Methodik: Aus kolorektalen Lebermetastasen wurden mittels einem Vibratom (Leica VT1000 S) 300µm Gewebeschnitte angefertigt und in Zellkultur kultiviert. An Tag 3 erfolgte eine Therapie mittels modifizierter FOLFOX-Regime für 24 Stunden. Die Beurteilung des Therapieansprechens erfolgte mittels Viability-Assay (Resazurin) und immunhistochemischen Analysen, jeweils im Vergleich zu nicht-behandelten Negativ-Kontrollen. Weiterhin wurden mittels Immunfluoreszenz auch u.a. Stammzellmarker, die Zellzyklusregulation und Tumor-assoziierte Fibroblastenpopulationen betrachtet.
Ergebnis: Es konnten erfolgreich Schnitte aus Lebermetastasen von n=10 Patienten angefertigt und therapiert werden. Unbehandelten Slices verändern ab dem 4. Tag in ex-vivo Kultur ihre Morphologie und zeigten weiterhin eine Abnahme der Viabilität und Proliferation.
Nach chemotherapeutischer Behandlung kommt es zu einer signifikanten Abnahme der Viabilität im Resazurin-Assay (p<0.01) im Vergleich zu unbehandelten Negativkontrollen. Weiterhin lassen sich eine Abnahme der Tumorzellproliferation (Ki67; p<0.01) sowie eine Zunahme von apoptotischen Tumorzellen (Cleaved Caspase 3; p<0.01) nachweisen. Weiterhin zeigen sich unter chemotherapeutischer Behandlung Veränderungen in der Zellzyklusregulation (cyclin D1), von Stammzellmarkern (ALDH) oder auch der Häufigkeit von Tumor-assoziierten Fibroblasten (FAP).
Schlussfolgerung: Sogenannte “High Precision Cut Tissue Slices” sind ein interessantes ex-vivo Modell zur Therapieevaluation solider Tumore. Ein Nachteil ist, dass sie aufgrund der benötigten Gewebemenge nur aus chirurgischen Resektaten gewonnen und nur für kurze Zeit (< 14 Tage) in Kultur gehalten werden können bei jedoch erhaltenem Verbund mit extrazellulärem Milieu und Immunzellen.

15:58 – 16:04

KV 263 Combining cell-free DNA fragmentomes and total tumour volume improves prognostication and tumour response evaluation in patients with colorectal cancer liver metastases

Nerma Crnovrsanin (Heidelberg)

KV 263 Combining cell-free DNA fragmentomes and total tumour volume improves prognostication and tumour response evaluation in patients with colorectal cancer liver metastases

N. Crnovrsanin1, M. Zeeuw2, M. Ali2, R. Kemna2, B. Alipanahi3, K. Lumbard3, L. Rinaldi3, I. van ‚t Erve4, N. Wesdorp2, J. Huiskens2, D. van Steijn4, J.H. Waesberghe2, J. van den Bergh2, I. Nota2, S. Moos2, M. Bond5, L. Meiqari4, I. Huitink4, E. Giovannetti6, J. Stoker7, I. Verpalen7, D. van den Broek4, G. Meijer4, R.-J. Swijnenburg2, C.J. Punt5, R.B. Scharpf8, A. Leal3, N. Dracopoli3, V.E. Velculescu8, N.F. Kok4, G. Kazemier2, R.J. Fijneman4

1University Hospital Heidelberg, Heidelberg, Deutschland, 2Vrije Universiteit Amsterdam, Amsterdam, Niederlande, 3Delfi Diagnostics, Pao Alto, Vereinigte Staaten, 4Netherlands Cancer Institute, Amsterdam, Niederlande, 5Julius Center for Health Sciences and Primary Care, Utrecht, Niederlande, 6Cancer Center Amsterdam, Amsterdam, Niederlande, 7University of Amsterdam, Amsterdam, Niederlande, 8Johns Hopkins University School of Medicine, Baltimore, Vereinigte Staaten

Background: Treatment decisions in patients with unresectable colorectal liver metastases (CRLM) are largely guided by radiological response to induction systemic therapy. However, radiological assessment alone provides an imprecise estimate of underlying tumour biology or treatment response. Circulating tumour DNA (ctDNA) is an emerging biomarker that can support clinical decision-making. This study evaluated the combined prognostic value of radiological tumour burden and DELFI-TF, a tumour tissue- and mutation-independent cell-free DNA (cfDNA) fragmentome-based ctDNA assay.
Methods: We analysed 202 plasma samples and CT scans collected at baseline and following induction systemic therapy from 101 patients with unresectable, liver-limited CRC enrolled in the phase-III CAIRO5 trial (NCT02162563), treated with FOLFOX/FOLFIRI plus bevacizumab. Total tumour volume (TTV) was centrally quantified via semi-automated segmentation of liver metastases. ctDNA was measured using the DELFI-TF score. Associations with overall survival (OS) and early recurrence were evaluated using multivariable models.
Results: At baseline, TTV (median=139mL, IQR=23–497mL) strongly correlated with DELFI-TF (median=0.29, IQR=0.13–0.41; Spearman’s ρ=0.70). DELFI-TF showed a more pronounced reduction than TTV on-treatment ( –97.6% vs –49.9%). Baseline levels and on-treatment changes of DELFI-TF (P=0.001;P=0.012) and TTV (P=0.002;P=0.002) were independently associated with OS in the multivariable model; their combination improved prognostic performance (Uno’s C-statistic 0.78 vs 0.73;P=0.036). Baseline (P=0.016) and on-treatment DELFI-TF (P=0.001) also predicted early recurrence after local therapy.
Conclusion: Integrating cfDNA fragmentome-based testing with radiological tumour volume provides complementary and clinically meaningful insights for prognostication and treatment response in patients with unresectable CRLM. These findings support a multimodal biomarker approach to guide personalized treatment strategies.

TTV and DELFI-TF at baseline and on systemic treatment. Prognostic value of predictors for OS and interaction between TTV and DELFI-TF.

16:06 – 16:12

KV 264 GLUT1-positive Immunzellen am Tumorinfiltrationsrand verlängern das Überleben bei kolorektalen Lebermetastasen

Stefan Brunner (Regensburg)

KV 264 GLUT1-positive Immunzellen am Tumorinfiltrationsrand verlängern das Überleben bei kolorektalen Lebermetastasen

S. Brunner1, N. Bogovic1, E. Grießhammer1, H.J. Schlitt1

1Universitätsklinikum Regensburg, Klinik und Poliklinik für Chirurgie, Regensburg, Deutschland

Einleitung: Der Glukosetransporter 1 (GLUT1) ist essentiell für die zelluläre Energieregulierung. Eine erhöhte GLUT1-Expression in Tumorzellen wurde mit einer schlechten Prognose bei verschiedenen bösartigen Erkrankungen, einschließlich des kolorektalen Karzinoms, in Verbindung gebracht. Die Auswirkung einer erhöhten GLUT1-Expression in Immunzellen auf deren Antitumorfunktionalität ist jedoch noch nicht gründlich erforscht worden.
Ziele: In dieser Studie wird untersucht, welchen Einfluss GLUT1-positive Immunzellen am Infiltrationsrand von kolorektalen Lebermetastasen auf das Überleben der Patienten haben. Es wurde eine detaillierte Analyse durchgeführt, um zwischen GLUT1-positiven und GLUT1-negativen CD8+ TEMRA-Zellen zu unterscheiden, von denen angenommen wird, dass sie die Patientenprognose erheblich beeinflussen.
Methodik: Die immunhistochemische Färbung für GLUT1 wurde an Gewebeproben von kolorektalen Lebermetastasen durchgeführt, und die GLUT1-Expression wurde mit Überlebensdaten aus einer Patientendatenbank korreliert. Darüber hinaus wurden Leukozyten, die aus dem Infiltrationsrand resezierter kolorektaler Lebermetastasen isoliert wurden, mittels Durchflusszytometrie differenziert, und die Zytotoxizität von CD8+ TEMRA-Zellen untersucht.
Ergebnis: Unsere Ergebnisse zeigen, dass eine erhöhte GLUT1-Expression innerhalb des Infiltrationsrandes signifikant mit einem verlängerten Überleben der Patienten korreliert (p=0,011), unabhängig von der Proliferationsrate des Tumors. Dieser Überlebensvorteil war besonders ausgeprägt in einer Untergruppe von Patienten mit solitären Lebermetastasen. Die durchflusszytometrische Analyse ergab eine erhöhte Häufigkeit von CD8+ TEMRA-Zellen mit einer höheren Expression von Zytotoxizitätsmarkern in GLUT1-positiven im Vergleich zu GLUT1-negativen CD8+ TEMRA-Zellen. Zusätzlich waren diese Zellen im Killingassay in der Lage, Tumorzellen effektiv abzutöten.
Schlussfolgerung: Diese Ergebnisse deuten darauf hin, dass die Expression von GLUT1 in Immunzellen an der Schnittstelle zwischen Tumor und Wirt die antitumorale Immunantwort durch eine erhöhte zytotoxische Aktivität von CD8+ TEMRA-Zellen verstärkt. Diese Studie unterstreicht das Potenzial von GLUT1 als prognostischer Marker und als Ziel für therapeutische Strategien, die darauf abzielen, die immunvermittelte Tumorsuppression bei kolorektalen Lebermetastasen zu unterstützen.

16:14 – 16:20

KV 265 Vergleich des Gesamtüberlebens nach primärer und sekundärer Resektion bei Patienten mit synchroner hepatischer Metasierung bei Kolonkarzinom- Auswertung Zahlen deutsches Krebsregister

16:22 – 16:28

KV 266 Zweizeitige Resektion synchroner Lebermetastasen beim kolorektalen Karzinom verbessert das Überleben: eine retrospektive vergleichende Kohortenstudie

Sebastian Lünse (Brandenburg/Havel)

KV 266 Zweizeitige Resektion synchroner Lebermetastasen beim kolorektalen Karzinom verbessert das Überleben: eine retrospektive vergleichende Kohortenstudie

S. Lünse1, A. von Rüsten2, C. Schneider2, S. Gretschel3, A. Loew4, R. Mantke1

1Universitätsklinikum Brandenburg, Klinik für Allgemein- und Viszeralchirurgie, Brandenburg/Havel, Deutschland, 2Klinisch-Epidemiologisches Krebsregister Brandenburg-Berlin, Cottbus, Deutschland, 3Universitätsklinikum Ruppin-Brandenburg, Klinik für Allgemein-, Viszeral-, Thorax- und Gefäßchirurgie, Neuruppin, Deutschland, 4Universitätsklinikum Ruppin-Brandenburg, Medizinische Klinik B – Gastroenterologie, Hepatologie, Hämatologie, Onkologie, Endokrinologie/Diabetologie, Palliativmedizin, Neuruppin, Deutschland

Einleitung: Das kolorektale Karzinom ist weltweit die dritthäufigste Krebserkrankung, wobei 15-25% der Patienten bei Diagnosestellung synchrone Lebermetastasen aufweisen (UICC-Stadium IV). Die chirurgische Resektion ist von entscheidender Bedeutung, jedoch ist die optimale Operationssequenz weiterhin umstritten.
Ziele: Diese Studie analysiert den Einfluss verschiedener chirurgischer Strategien auf das Überleben von Patienten mit kolorektalem Karzinom und synchronen Lebermetastasen (CRLM) und identifiziert Faktoren, die die Mortalität beeinflussen.
Methodik: Diese retrospektive Kohortenstudie analysierte CRLM-Patienten aus den deutschen Krebsregistern Brandenburg und Berlin von 2017 bis 2022, gruppiert nach der chirurgischen Operationssequenz: simultane Primärtumorresektion (PTR) und Leberresektion, PTR vor Leberresektion und Leberresektion vor PTR. Kaplan-Meier- und Cox-Regressionsanalysen evaluierten das Gesamtüberleben und den Einfluss von Radio- und Chemotherapie sowie verschiedener Patientenmerkmale.
Ergebnisse: Von 23.394 Patienten mit kolorektalem Karzinom erfüllten 209 die Einschlusskriterien. Eine simultane Resektion wurde bei 45% (N=93), eine PTR vor Leberresektion bei 43% (N=90) und eine „liver first“ Resektion bei 12% (N=26) durchgeführt. Die PTR vor der Leberresektion zeigte das beste 5-Jahres-Gesamtüberleben (68% vs. 53% bei synchroner Operation; HR 0.46, 95% CI=0.23-0.91, p=0.025). Bei der simultanen Resektion zeigte sich die höchste 30-Tage-Mortalität (6.5%, N=6). Eine postoperative Chemotherapie verbesserte das 5-Jahres-Gesamtüberleben signifikant (66% vs. 57% ohne Chemotherapie; HR 0.40, 95% CI=0.20-0.79, p=0.009). Ohne Berücksichtigung der 30-Tage-Mortalität waren die Überlebensunterschiede jedoch nicht mehr signifikant.
Schlussfolgerung: Die zweizeitige Resektion des kolorektalen Primärtumors vor der Leberresektion verbessert das Langzeitüberleben von CRLM-Patienten. Eine synchrone Resektion sollte wegen einer erhöhten Mortalität sorgfältig abgewogen werden, vor allem bei älteren Patienten mit schlechterem Performance-Status und geplanter größerer Leberresektion. Die postoperative Chemotherapie verbessert das Überleben, was die Notwendigkeit individuell angepasster Behandlungsstrategien unterstreicht.

16:30 – 16:36

KV 267 From cirrhosis to cancer: α-SMA⁺ CAF and CD68⁺ macrophage rewiring in the cirrhosis–HCC transition

Seddik Hammad (Mannheim)

KV 267 From cirrhosis to cancer: α-SMA⁺ CAF and CD68⁺ macrophage rewiring in the cirrhosis–HCC transition

S. Hammad1, C. Tong1, L. Robrahn2, S. Müller-Dott3, T. Fuchs4, S. Wolf5, M. Ebert6, J. Saez-Rodriguez3, T. Cramer2, J. Bode5, S. Dooley1

1Medical Faculty Mannheim, Heidelberg University, Molecular Hepatology Section, Department of Medicine II, Mannheim, Deutschland, 2Department of General, Visceral and Transplantation Surgery, RWTH University Hospital, Aachen, Deutschland, 3Institute for Computational Biomedicine, Faculty of Medicine, Heidelberg University Hospital, Bioquant, Heidelberg University, Heidelberg, Deutschland, 4Institute for Clinical Chemistry, University of Heidelberg Medical Faculty Mannheim, Mannheim, Deutschland, 5Department of Gastroenterology, Hepatology and Infectious Diseases, University Hospital Düsseldorf, Medical Faculty of Heinrich Heine University Düsseldorf, Düsseldorf, Deutschland, 6Department of Medicine II, University Medical Center Mannheim, Medical Faculty Mannheim, Heidelberg University, 68167-Mannheim, Mannheim, Deutschland

Introduction and aims: Hepatocellular carcinoma (HCC), the third leading cause of cancer-related mortality worldwide, often arises in the context of cirrhosis. This study investigates the spatial dynamics and functional contributions of hepatic stellate cells (HSCs/CAFs), macrophages (Mph/TAMs), and hepatocytes across distinct regions—distant cirrhosis (C), cirrhosis at the tumor margin (CT), and intratumoral tissue (T)—to elucidate mechanisms driving hepatocarcinogenesis.
Method: Using GeoMx Digital Spatial Profiling (DSP) on FFPE tissues from 8 patients with cirrhosis-based HCC, 350 regions of interest were profiled with a multiplexed antibody panel (α-SMA, CD68, CK8/18) and oligo-conjugated probes.
Results: Spatial transcriptomics revealed consistent upregulation of extracellular matrix (ECM)-related genes including COL1A1, COL1A2, FN1, and TIMP1 in HSCs/CAFs within tumor regions, suggesting a role in tumor progression. Deconvolution analysis identified a phenotypic shift from cytokine-producing to myofibroblastic HSCs (cyHSC → myHSC) from CT to T, correlating with tumorigenic transformation. Ligand-receptor analysis indicated that HSC-derived COL1A1 and FN1 interact with upregulated integrins (ITGA2, ITGA5, ITGAV) on hepatocytes, a finding validated by immunofluorescence. In vitro, FN1 and COL1 enhanced HepaRG hepatocyte adhesion, proliferation, and migration. RNA-seq of FN1-exposed HepaRG cells showed elevated TGFβ1 and MMPs (MMP1, MMP10), indicating a pro-tumorigenic transcriptional program. Co-culture with LX-2 cell supernatant induced proliferation (PCNA, Ki67) and epithelial-mesenchymal transition (EMT) markers (vimentin, N-cadherin, decreased E-cadherin) alongside integrin receptor upregulation. For Mph/TAM populations, immunoglobulin genes (IGHG1-4, IGKC) were downregulated in tumor regions, with ongoing analyses focused on subtype deconvolution and intercellular signaling. Future directions include the stimulation of HSCs/CAFs with TGFβ or GAS6, followed by ECM decellularization to assess hepatocyte transformation on reconstituted matrices. Additionally, ECM hydrogels derived from porcine liver will be engineered with tunable COL1/FN1 ratios for 3D hepatocyte culture to dissect ECM-driven tumorigenic mechanisms.
Conclusion: These findings highlight the pivotal role of ECM remodeling, HSC and macrophage reprogramming, and integrin-mediated signaling in HCC development, offering new insights into the cirrhosis-to-cancer transition.

16:38 – 16:44

KV 268 Brg1-Mangel fördert die Hepatokarzinogenese und beschleunigt die Tumorentstehung in einem DEN-induzierten HCC-Modell

Benedikt Kaufmann (Tübingen)

KV 268 Brg1-Mangel fördert die Hepatokarzinogenese und beschleunigt die Tumorentstehung in einem DEN-induzierten HCC-Modell

B. Kaufmann1, B. Wang1, C. Mogler2, J. Wang3, M. Mathias Schillmaier4, Z. Cheng5, R. Öllinger6, R. Braren4, R.R. Rad7, R.M. Schmid8, H. Fries3, N. Hüser3, G. von Figura8, D. Hartmann1

1Department of General, Visceral and Transplant Surgery; University Hospital Tübingen, Germany, Tübingen, Deutschland, 2Institute of Pathology, TUM School of Medicine, Klinikum rechts der Isar, Technical University of Munich, Munich, 81675, Germany, München, Deutschland, 3Department of Surgery, TUM School of Medicine, Klinikum rechts der Isar, Technical University of Munich, Munich, 81675, Germany, München, Deutschland, 4Institute for diagnostic and interventional Radiology, Klinikum rechts der Isar, Technical University of Munich, Munich, 81675, Germany, München, Deutschland, 5Department of General Surgery, the Affiliated Zhongda Hospital, School of Medicine, Southeast University, Nanjing, 210000, China, Nanjing, China, 6Department of Medicine II, TUM School of Medicine, Klinikum rechts der Isar, Center for Translational Cancer Research (TranslaTUM), Technische Universität München, 81675 Munich, Germany, München, Deutschland, 7Department of Medicine II, TUM School of Medicine, Klinikum rechts der Isar, Center for Translational Cancer Research (TranslaTUM), Technische Universität München, 81675 Munich, Germany, München, Deutschland, 8Department of Medicine II, TUM School of Medicine, Klinikum rechts der Isar, Technical University of Munich, Munich, 81675, Germany, München, Deutschland

Einleitung: Das hepatozelluläre Karzinom (HCC) ist die häufigste Form eines primären Lebertumors. Für verschiedene Mutationen von Untereinheiten des SWItch/Sucrose Non-Fermentable (SWI/SNF) chromatin remodeling complex konnte in der Pathogenese verschiedener maligner Erkrankungen eine wichtige Rolle gezeigt werden. Brahmarelated gene 1 (Brg1), eine wichtige Untereinheit des SWI/SNF-Komplexes, hat eine entscheidende Funktion bei Vorgängen des Chromatin remodeling und der Genregulation. Die Rolle von Brg1 bei der Hepatokarzinogenese ist jedoch bisher noch nicht ausreichend geklärt.
Ziel: Ziel dieser Studie war es, die Rolle von Brg1 bei der Hepatokarzinogenese näher zu untersuchen.
Methode: Um die Rolle von Brg1 bei der Hepatokarzinogenese zu untersuchen, verwendeten wir ein Diethylnitrosamin (DEN)-induziertes HCC-Modell in Wildtyp- (Kontrolle) und Hepatozyten-spezifischen Brg1-Knockout-Mäusen (Brg1 KO). Den Mäusen wurden intraperitoneale DEN injiziert und nach 11 Monaten die Lebertumorlast untersucht. Molekulare Analysen wurden in verschiedenen Stadien der Tumorentwicklung durchgeführt.
Ergebnisse: Die Expression von Brg1 war in Lebertumorgewebe im Vergleich zu angrenzendem Nicht-Tumorgewebe bei DEN-injizierten Wildtyp-Mäusen deutlich erhöht. Insbesondere wiesen DEN-injizierte Brg1 KO-Mäuse im Vergleich zu DEN-injizierten Kontrollmäusen einen erheblichen Anstieg der Lebertumorinzidenz, der Anzahl der Tumoren in der Leber und des Tumorvolumens auf. Diese Ergebnisse deuten darauf hin, dass eine verminderte Brg1-Expression die Tumorigenese in der Leber fördert. Darüber hinaus ergaben Untersuchungen zur Überlebenszeit eine signifikant reduzierte Lebenserwartung bei DEN-injizierten Brg1 KO-Mäusen im Vergleich zur Kontrollgruppe (p < 0,05). Molekulare Analysen ergaben eine Dysregulation wichtiger onkogener Signalwege in Brg1 KO-Mäusen, was die Rolle von Brg1 bei der Aufrechterhaltung der Leberhomöostase und der Tumorsuppression unterstreicht.
Schlussfolgerung: Eine verminderte Brg1 Expression fördert die Hepatokarzinogenese nach DEN-Injektion und deutet auf eine Tumorsuppressor-Funktion von Brg1 hin. Darüber hinaus unterstreichen diese Ergebnisse die kritische Rolle von Brg1 bei der Entstehung von Lebertumoren und bieten einen neuen Ansatz als therapeutisches Target beim HCC

Chirurgie

CAES Mitgliederversammlung

16:00 – 17:00

Fr 19.09.

Vortragsraum 12

Open Accordion - Icon Close Accordion - Icon

Kurzvortragssitzung

KI-Systeme, Datenmanagement & Workflow-Optimierung in der Endoskopie

17:25 – 18:29

Fr 19.09.

Seminarraum 6 + 7

Open Accordion - Icon Close Accordion - Icon

Vorsitz: Christian Maaser (Lüneburg) und Hagen Rövekamp (Celle)

17:25 – 17:31

KV 420 Der Dresdner Endoskopie Datensatz für Endoskopisch Retrograde Cholangiopankreatikographie

Jonas L. Steinhäuser (Dresden)

KV 420 Der Dresdner Endoskopie Datensatz für Endoskopisch Retrograde Cholangiopankreatikographie

J.L. Steinhäuser1,2, A.A. Rapprich2, H. Tolle1,2, M. Le Floch1,2, A. Kolbig2, C. Stopp1,2, R. Langanke1,2, S. Kirk1,2, M. Berning1, S. Sulk1, R. Schmelz1, J. Babatz1, S. Brückner1, J. Hampe1,2, F. Brinkmann1,2

1Universitätsklinikum Dresden, Medizinische Klinik und Poliklinik I, Dresden, Deutschland, 2Medizinische Fakultät, Technische Universität Dresden, Else Kröner-Fresenius Zentrum für Digitale Gesundheit, Dresden, Deutschland

Einleitung: Die Anwendung von künstlicher Intelligenz (KI) erweitert diagnostische Möglichkeiten in der Medizin. In der Endoskopie kommen KI-Modelle bereits zur Detektion von Polypen und Karzinomen zum Einsatz. Für fortgeschrittene Prozeduren wie die endoskopische retrograde Cholangiopankreatikographie (ERCP) ist KI-Entwicklung jedoch durch die fehlende Verfügbarkeit öffentlicher, hochqualitativer Datensätze limitiert.
Ziele: Ziel der Studie war die erstmalige Erstellung eines endoskopischen ERCP-Videodatensatzes als Grundlage für die Entwicklung assistiver und prädiktiver KI-Modelle.
Methodik: Seit Januar 2021 wurden am Universitätsklinikum Dresden endoskopische Videos der ERCPs aufgezeichnet. Die Rohdaten wurden semi-automatisch verarbeitet, um sie für KI-Anwendungen zu optimieren. Die Schritte umfassten (1) Zuschneiden, (2) Einkürzen auf den intraluminalen Teil der Untersuchung und (3) Maskieren störendender Texteinblendungen. Die Videos wurden gemeinsam mit den schriftlichen Untersuchungsbefunden in einer sicheren Online-Forschungsdatenbank verwaltet. Unstrukturierte Untersuchungsbefunde wurden von geschultem Personal mithilfe eines strukturierten Fragebogens in maschinenlesbares Format überführt und durch einen Facharzt für Gastroenterologie verifiziert. Zur technischen Validierung des Datensatzes wurde ein multiple instance learning (MIL)-Modell auf eine Teilmenge der Videos trainiert.
Ergebnis: Zwischen 2021 und 2024 wurden Videos von 1.024 ERCPs mit vielseitigen Indikationen aufgezeichnet. Die strukturierte Aufbereitung der Befunde ermöglichte die Erfassung zentraler Untersuchungselemente wie Stentplatzierung, signifikante Blutungen, Ausfluss aus der Papilla Vateri, anatomische Varianten, Papillotomie, sowie eingesetzte Instrumente.
Das MIL-Modell wurde zur technischen Validierung auf drei spezifische Aufgaben trainiert: Nachweis eines Stents zu Untersuchungsbeginn, Blutungen mit Hämostasetechniken und Ausfluss aus der Papille (Tabelle 1).
Schlussfolgerung: Dieser erste ERCP-Videodatensatz legt den Grundstein für die Entwicklung assistiver und prädiktiver KI-Modelle. Die grundsätzliche Verwendbarkeit wurde durch eine technische Validierung bestätigt. Für generalisierbare Modelle sind künftig multizentrische Datensätze mit Endoskopen unterschiedlicher Hersteller erforderlich. Zudem könnten künftige Datensätze, die zusätzlich das fluoroskopische Videosignal enthalten, die Einsatzmöglichkeiten KI-gestützter Anwendungen bei ERCP erweitern.

Signifikante Blutung Papillärer Ausfluss Stent einliegend
N (%) in analysiertem Teildatensatz
(n = 527)
32 (6%) 230 (43%) 268 (50%)
Präzision 19.3% 65.0% 81.4%
Recall / Sensitivität 100% 56.5% 88.9%
Spezifität 74.7% 76.2% 78.4%
F1-Score 32.4% 60.5% 84.9%
AUROC 95.5% 78.0% 92.9%

Abbildung 1. Beispielbilder aus der technischen Validierung des Datensatzes: (a) signifikante Blutung, (b) Ausfluss aus der Papilla Vateri, (c) Stent einliegend zu Untersuchungsbeginn.

Abbildung 2. ROC Kurven der drei ERCP-spezifischen Klassifizierungen zur technischen Validierung des Datensatzes.

17:33 – 17:39

KV 421 Instrumentenerkennung während der endoskopischen Submukosadissektion mittels künstlicher Intelligenz

Markus Scheppach (Augsburg)

KV 421 Instrumentenerkennung während der endoskopischen Submukosadissektion mittels künstlicher Intelligenz

M.W. Scheppach1, D. Rauber2, C. Zingler1, D. Weber Nunes2, A. Probst1, C. Römmele1, S. Nagl1, A. Ebigbo3, C. Palm2, H. Messmann1

1Universitätsklinikum Augsburg, 3. Medizinische Klinik – Gastroenterologie, Augsburg, Deutschland, 2Ostbayerische Technische Hochschule Regensburg, Regensburg Medical Image Computing (ReMIC), Regensburg, Deutschland, 3Ruhr-Universität Bochung St. Josef-Hospital, Medizinische Klinik I, Bochum, Deutschland

Einleitung: Die endoskopische Submukosadissektion (ESD) ist eine komplexe Technik zur Resektion gastrointestinaler Frühneoplasien. Dabei werden für die verschiedenen Schritte der Intervention spezifische endoskopische Instrumente verwendet. Die präzise und automatische Erkennung und Abgrenzung der verwendeten Instrumente (Injektionsnadeln, elektrochirurgische Messer mit unterschiedlichen Konfigurationen, hämostatische Zangen) könnte wertvolle Informationen über den Fortschritt und die Verfahrensmerkmale der ESD liefern und eine automatische standardisierte Berichterstattung ermöglichen.
Ziele: Ziel dieser Studie war die Entwicklung eines KI-Algorithmus zur Erkennung und Delineation von endoskopischen Instrumenten bei der ESD.
Methodik: 17 ESD-Videos (9× rektal, 5× ösophageal, 3× gastrisch) wurden retrospektiv zusammengestellt. Auf 8530 Einzelbilder dieser Videos wurden durch 2 Studienmitarbeiter die folgenden Klassen eingezeichnet: Hakenmesser – Spitze, Hakenmesser – Katheter, Nadelmesser – Spitze und – Katheter, Injektionsnadel -Spitze und – Katheter sowie hämostatische Zange – Spitze und – Katheter. Der annotierte Datensatz wurde zum Training eines DeepLabV3+-Deep-Learning-Algorithmus mit ConvNeXt-Backbone zur Erkennung und Abgrenzung der genannten Klassen verwendet. Die Evaluation erfolgte durch 5-fache interne Kreuzvalidierung.
Ergebnis: Die Validierung auf Einzelpixelbasis ergab insgesamt einen F1-Score von 0,80, eine Sensitivität von 0,81 und eine Spezifität von 1,00. Es wurden F1-Scores von 1,00, 0,97, 0,80, 0,98, 0,85, 0,97, 0,80, 0,51 bzw. 0,85 für die Klassen Hakenmesser – Katheter und – Spitze, Nadelmesser – Katheter und – Spitze, Injektionsnadel – Katheter und – Spitze, hämostatische Zange – Katheter und – Spitze gemessen.
Schlussfolgerung: In dieser Studie wurden die wichtigsten endoskopischen Instrumente, die während der ESD verwendet werden, mit hoher Genauigkeit erkannt. Die geringere Leistung bei der hämostatische Zange – Katheter kann auf die Unterrepräsentation dieser Klassen in den Trainingsdaten zurückgeführt werden. Zukünftige Studien werden sich auf die Erweiterung der Instrumentenklassen sowie auf die Ausbalancierung der Trainingsdaten konzentrieren.

17:41 – 17:47

KV 422 Künstliche Intelligenz-basierte Erkennung von interventionellen Phasen bei der endoskopischen Submukosadissektion

Markus Scheppach (Augsburg)

KV 422 Künstliche Intelligenz-basierte Erkennung von interventionellen Phasen bei der endoskopischen Submukosadissektion

M.W. Scheppach1, D. Weber Nunes2, D. Rauber2, X. Arizi3, A. Probst1, S. Nagl1, C. Römmele1, A. Ebigbo4, C. Palm2, H. Messmann1

1Universitätsklinikum Augsburg, 3. Medizinische Klinik – Gastroenterologie, Augsburg, Deutschland, 2Ostbayerische Technische Hochschule Regensburg, Regensburg Medical Image Computing (ReMIC), Regensburg, Deutschland, 3Universitätsklinikum Augsburg, Radiologie, Augsburg, Deutschland, 4Ruhr-Universität Bochung St. Josef-Hospital, Medizinische Klinik I, Bochum, Deutschland

Einleitung: Die endoskopische Submukosadissektion (ESD) ist ein komplexes endoskopisches Verfahren, das technische Expertise erfordert. Objektive Methoden zur Analyse von interventionellen Abläufen bei ESD könnten für Qualitätssicherung und Ausbildung, wie auch eine automatische Befunderstellung von Nutzen sein.
Ziele: In dieser Studie wurde ein KI-Algorithmus für die Erkennung und Klassifizierung der interventionellen Phasen der ESD entwickelt, um die technische Basis für eine standardisierte Leistungsbewertung und automatische Befunderstellung zu schaffen.
Methodik: Vollständige ESD-Videoaufnahmen von 49 Patienten wurden retrospektiv zusammengestellt. Der Datensatz umfasste 6.390.151 Einzelbilder, die alle für die folgenden interventionellen Phasen annotiert wurden: Diagnostik, Markierung, Injektion, Dissektion und Hämostase. 3.973.712 Bilder (28 Patienten) wurden für das Training eines Video-Swin-Transformers genutzt. Dabei wurde temporale Information durch standardisierte BIldextraktion in festgelegten zeitlichen Abständen zum analysierten Bild inkorporiert. 2.416.439 separate Bilder (21 Patienten) wurden für eine interne Validierung genutzt.
Ergebnis: Bei der internen Evaluation erreichte das System insgesamt einen F1-Wert von 0,88. Es wurden F1-Werte von 0,99, 0,89, 0,89, 0,91 und 0,52 für Diagnostik, Markierung, Injektion, Dissektion bzw. Blutungsmanagement gemessen. Die Sensitivitäten für dieselben Parameter betrugen 1,00, 0,80, 0,94, 0,89 und 0,67, die Spezifitäten lagen bei 1,00, 1,00, 0,98, 0,88 und 0,93. Positive prädiktive Werte wurden mit 0,98, 1,00, 0,85, 0,94 und 0,43 gemessen.
Schlussfolgerung: In dieser vorläufigen Studie zeigte ein KI-Algorithmus eine hohe Leistungsfähigkeit für die Einzelbild-Erkennung von Verfahrensphasen während der ESD. Die vergleichsweise niedrige Leistung für die Blutungsphase wurde auf das seltene Auftreten von Blutungsepisoden im Trainingsdatensatz zurückgeführt, der zu diesem Zeitpunkt nur Videos in voller Länge umfasste. Die zukünftige Entwicklung des Algorithmus wird sich auf die Reduzierung von Klassenungleichgewichten durch selektive Annotationsprotokolle konzentrieren.

17:49 – 17:55

KV 423 Praxistaugliche strukturierte Befundung? EndoReg-DB – Ein neuer Ansatz zur integrativen Datenhaltung in der Endoskopie

Thomas Lux (Würzburg)

KV 423 Praxistaugliche strukturierte Befundung? EndoReg-DB – Ein neuer Ansatz zur integrativen Datenhaltung in der Endoskopie

T. Lux1, M. Hild1, S.M.H. Zahid1, A. Meining1, AG-Lux

1Universitätsklinik Würzburg, Medizinische Klinik II, Gastroenterologie, Würzburg, Deutschland

Einleitung: Zugänglichkeit von Daten spielt eine große Rolle in der klinischen Praxis und Forschung. Insbesondere bei Interventionen, beispielsweise Endoskopischen Eingriffen, ist eine gründliche Dokumentation entscheidend um Informationsverlust zu vermeiden. Bisherige Versuche einer strukturierten endoskopischen Befundung hatten mäßigen Erfolg. Neben dem regelmäßigen Aktualisieren zeigte sich auch ein hoher Zeitaufwand als limitierend für die Nutzung im klinischen Alltag. Selbst bei adäquater Nutzung der Systeme sind Daten oft nur im beschränkten Maße zugänglich und geeignet zur Nutzung in der Forschung.
Ziele: Entwicklung einer Open-Source Datenbank-Plattform zur Abbildung endoskopischer Fälle. Durch direktes Einbinden von PyTorch-basierter Videoverarbeitung können klinische Daten standardisiert zur zügigen Entwicklung, Anpassung und Evaluation neuer KI-Modelle genutzt werden. Die KI-Modelle können zur Befundungsunterstützung genutzt werden.
Methodik: Leitlinien zur Versorgungsqualität in der Endoskopie sowie zur endoskopischen Darmkrebsvorsorge wurden analysiert und Anforderungsprofile für die verschiedenen Anwendungszwecke wurden erstellt:
– Klinische Unterstützung (Aufklärung, Koloskopie-Befundung)
– Weiterbildung (strukturiertes Abbilden von spezifischen Leitlinienempfehlungen am Beispiel Antikoagulations-Management vor Koloskopie)
– Forschung (KI-Anwendungen, Anonymisierungsprozess, Video und PDF Dateien)
Anschließend erfolgte die Entwicklung einer Python / Django / PyTorch basierten Web-Applikation mit integrierter relationaler Datenbank.
Ergebnis: Quellcode, Dokumentation, Basisdaten, KI-Modell inkl. Video-Clips zum Testen finden sich unter https://github.com/wg-lux/endoreg-db . Die entwickelte Datenbank gliedert sich in 6 Module um medizinische Daten für Klinik und Forschung zu erfassen:

Tabelle 1.

Modul Submodul Datenbank Modelle Kurzbeschreibung
Administration Künstliche Intelligenz ActiveModel, AiModel, AiModelType KI Modelle zur Bild, Video und Textverarbeitung
Administration Zentrum Klinik, Klinik-Produkte, -Resourcen, -Abfälle Zentrums-Spezifische Informationen
Administration Person Namen, Untersucher, Patient, Beruf Repräsentation unterschiedlicher Personengruppen
Administration Produkt Produkt, Produkt-Gruppe, -Material, -Gewicht, Repräsentation Medizinischer Materialien
Label Label Label, Label-Type, LabelSet Annotation und Labelling für KI Interaktion
Label Annotation Bild-Klassifikation, Video-Segmentierung Annotation und Labelling für KI Interaktion
Media pdf RawPdfFile, DocumentType, AnonymExaminationReport, AnonymHistologyReport Import von Dokumenten, Verarbeitung zu de-personalisierten, standardisierten Datensätzen
Media Video VideoFile Repräsentation von VideoDateien
Media Frame Frame Repräsentation von Einzelbildern
Medical Krankheit Disease, DiseaseClassification, DiseaseClassificationChoice Erkrankungen und deren Klassifikationen
Medical Event Event, EventClassification, EventClassificationChoice Ereignisse und deren Klassifikationen
Medical Untersuchung Examination, ExaminationType, ExaminationIndication, ExaminationIndicationClassification, ExaminationIndicationClassificationChoice, ExaminationTime, ExaminationTimeType Repräsentation von endoskopischen Untersuchungen
Medical Befund Finding, FindingType, FindingLocationClassification, FindingLocationClassificationChoice, FindingMorphologyClassification, FindingIntervention, FindingInterventionType Repräsentation von Befunden
Medical Patient PatientExamination, PatientFinding, PatientFindingLocation, PatientFindingLocation, PatientFindingMorphology, PatientFindingIntervention, PatientDisease, PatientEvent, PatientExaminationIndication, PatientLabSample, PatientLabSampleType, PatientLabValue, PatientMedication, PatientMedicationSchedule Patientenbezogene Datenbank Objekte mit Bezug auf andere Klassen (bspw Examination, Finding, …)
Medical Risiko Risk, RiskType Risikofaktoren, bspw. Blutungsrisiko
Medical Medikation Medication, MedicationSchedule, MedicationIntakeTime, MedicationIndicationType, MedicationIndication Repräsentation von Medikamenten inkl. deren Indikation und Einnahme-Empfehlungen
Medical Hardware Endoscope, EndoscopeType, EndoscopyProcessor Repräsentation von Hardware, inkl. Prozessorspezifischer Informationen wie bspw. Pixel-Koordinaten
Medical Labor LabValue Repräsentation von Laborwerten inkl. Einheit und Referenzwert
Medical Organ Organ Repräsentation von Organen
Metadata Künstliche Intelligenz ModelMeta, VideoPredictionMeta Modell Versionierung etc.
Metadata pdf PdfMeta, PdfType Bspw. Regeln zur Verarbeitung bestimmter Dokumenten-Typen
Metadata Sensitive Daten SensitiveMeta Isolierte Haltung sensibler Informationen; Pseudonymisierung; Anonymisierung
Metadata Video VideoMeta, FFMpegMeta Bspw. Framerate, Farbtiefe, genutzter Endoskopie-Prozessor
Other Verteilung BaseValueDistribution,NumericValueDistribution, SingleCategoricalValueDistribution, MultipleCategoricalValueDistribution, DateValueDistribution Mathematische Verteilungen und Helferfunktionen zur Anwendung
Other Emission EmissionFactor Emissionsfaktoren zur Berechnung von CO2 Fußabdrücken
Other Geschlecht Gender
Other Quellen InformationSource Bspw. Leitlinien-Kapitel, KI-Vorhersage, Experten-Annotation
Other Material Material Bspw. Kupfer, Titan
Other Ressourcen Resource Bspw. Erdgas
Other Transport TransportRoute Transportmittel und Emissionsfaktoren
Other Einheit Unit Bspw. kg, ml
Other Abfall Waste Bspw. Restmüll, Sondermüll

Die enthaltenen Basisdaten enthalten umfangreiche Informationen zu den o.g. Anwendungszwecken.
Abbildung 1. Vereinfachte Übersicht der Beziehungen relevanter Datenbank Tabellen
Abbildung 1. Vereinfachte Übersicht der Beziehungen relevanter Datenbank Tabellen.

Schlussfolgerung: Der erarbeitete Prototyp ermöglicht es klinische Endoskopie-Daten strukturiert zu verarbeiten und auszuwerten. Aktuell richtet sich das Framework primär an klinische Forscher und soll das Datenmanagement erleichtern und standardisieren.

17:57 – 18:03

KV 424 ​Endoscopic submucosal dissection (ESD) by trainees tutored by experts: long-term results of ESGE-endorsed courses and live endoscopic events 2011-2015

Frieder Berr (Salzburg)

KV 424 ​Endoscopic submucosal dissection (ESD) by trainees tutored by experts: long-term results of ESGE-endorsed courses and live endoscopic events 2011-2015

D. Neureiter1, N. Yahagi2, T. Oyama3, T. Kiesslich4, A. Wagner5, T. Toyonaga6, T. Uraoka7, A. Takahashi3, A. Ziachehabi8, H.-P. Allgaier9, F.-L. Dumoulin10, G. Kleber11, M. Anzinger12, M. Lutz13, H. Seifert14, K. Heiler15, A. Herreros de Tejada16, I. Steinbrueck17, B. Tribl18, A. Tringali19, C. Österreicher20, A. Ebigbo21, J. Hochberger22, S.V. Kantsevoy23, F. Berr24

1Inst. f. Pathologie, Salzburg, Österreich, 2Keio Univ. School of Medicine, Div. of Research & Development of Min. Invas. Tretment., Tokyo, Japan, 3Saku Central Hospital Advanced Care Ctr, Dept. of Endoscopy, Saku, Japan, 4Paracelsus Med. Univ. Hospital, Dept. of Medicine I & Inst. of Physiology, Salzburg, Österreich, 5Klinikum SO-Bayern, Bad Reichenhall, Dept Medicine-Gastroenteology, Bad Reichenhall, Deutschland, 6Kobe Univ. Hospital, Dept. of Endoscopy, Kobe, Japan, 7Gunma Univ. Hospital, Dept. of Gastroenterology & Hepatology, Maebashi, Japan, 8Ordensklinikum Linz GmbH, Dept. Medicine IV, Linz, Österreich, 9Evang. Diakoniekrankenhaus, Viszeralmedizinische Zentrum, Freiburg, Deutschland, 10Gemeinschaftskrankenhaus Bonn, Dept. Internal Medicine, Bonn, Deutschland, 11Ostalb-Klinikum Aalen, Med. Klinik I, Aalen, Deutschland, 12Barmherzige Brüder Krankenhaus, Innere Medizin I – Gastroenterologie, Muenchen, Deutschland, 13Caritas Klinikum Saarbrücken, Dept. of Gastroenterology, Saarbruecken, Deutschland, 14Klinikum Oldenburg, Dept. Gastroenterology, Oldenburg, Deutschland, 15Klinikum SO-Bayern Traunstein, Dept. ofGastroenterology, Traunstein, Deutschland, 16Univ. Hosp. Puerta de Hierro, Dept of Gastroenterology, Madrid, Spanien, 17Asklepios Klinikum Barmbeck, Dept. of Gastroenterology, Hamburg, Deutschland, 18AKH, Med. Univ. Wien, Medicine – Dept. Gastroenterology, Wien, Österreich, 19Ospedale Conegliano, Dept. Medicine-Gastroenterology, Conegliano, Italien, 20Hanusch Krankenhaus, Medizin – Gastroenterologie, Wien, Österreich, 21Univ. Hospital Bochum, Dept. Medicine – Gastroenterology, Bochum, Deutschland, 22Charité – Universitätsmedizin Berlin, Med. Clinic – Gastroenterology & Hepatology, Berlin, Deutschland, 23Univ. Maryland School of Medicine, Mercy Med Ctr – Instit. Digestive & Liver Diseases, Baltimore, PA, Vereinigte Staaten, 24Paracelsus Med. Univ. Hospital, Prof. em. of Dept. Medicine I, Salzburg, Österreich

Introduction: Endoscopic diagnostic and electrosurgical skills for accurate indication and curative en bloc resection with ESD of early malignant lesion have been developed and validated in Japan.
Aim: To enhance curative resection rate and learning curve for implementation of ESD on site.
Methods: Patients (n = 106; 68 [37 – 91] years old, 38% comorbidity ≥ grade III) with neoplasias (n = 123; 22 esophageal, 14 gastric, 13 duodenal, 74 colorectal) fulfilling Japanese criteria for en-bloc resection were referred with consent for tutored ESD to Salzburg from Sept 2011 – June 2015. European endoscopists with initial clinical ESD experience and one of the four Japanese experts resected the lesions – under legal responsibility of the organizer* – in 20 tutoring sessions (each lasting 1 – 4 days, 22 active and 39 passive participants from 17 countries) and 5 Live Endoscopic Events (each 1 day, 2 more experts).
Results: Tutors a priori performed piecemeal-EMR in 4 patients. ESD intention (ESD-ITT, 119 lesions; 59 benign, 60 malignant) was diagnostic (5%) for 6 carcinomas cN0 (2 esophageal, 3 Barrett´s, 1 rectum LST-GN) and curative for 113 lesions. Accuracy of visual grading for ESD indication was 87%. ESD was en bloc (95%) for 113 neoplasias including all malignancies (R0 93%; R curative 88%), and 4 of 6 diagnostic ESD underwent curative oncosurgery. Self-completion rate of 90 trainee ESD-ITT was 75 [25-100]%. Recurrence rate was zero after resection R0, and 4% after resection R1/Rx, i.e. 1 coloncarcinoma pT1b sm1 cured with 2nd ESD, and 4 LGIEN snared without recurrence. Adverse events (11 AE) occurred in 9.2% of ESD-ITT, all managed without mortality or surgery or long-term morbidity; 5 colorectal microperforations (4%) were inconsequential. Long-term follow-up is 98% for the living (n=60; 11±1.6 yrs, RFS 9±2.8 yrs; age 74±10 yrs), and 100% (endoscopic 93%) for the deceased (n=42; 5.7±3.2 yrs, RFS 4.4±3 yrs, died at age 80±10 yrs). Recurrent progressive disease did not occur in any patient after non-curative ESD.
Conclusion: Performance of ESD under tutoring of experts leads to the best curative outcomes even for challenging lesions in comorbid elderly patients, and optimally enhances the diagnostic and electrosurgical skills of ESD trainees.

18:05 – 18:11

KV 425 OnlineEndoTrainer – Synergie zwischen einer Trainingsplattform und der KI-Entwicklung

Thomas Lux (Würzburg)

KV 425 OnlineEndoTrainer – Synergie zwischen einer Trainingsplattform und der KI-Entwicklung

T. Lux1, S.M.H. Zahid1, M. Hild1, A. Meining1, AG-Lux

1Universitätsklinik Würzburg, Medizinische Klinik II, Gastroenterologie, Würzburg, Deutschland

Hintergrund: Diese Studie baut auf einem zuvor entwickelten KI-System auf, welches die Dokumentation von Koloskopien unterstützen soll. Das ursprüngliche Modell, das mit über 10.000 annotierten Frames aus multizentrischen Datensätzen trainiert wurde, segmentierte unterschiedliche Untersuchungsabschnitte (Vorschub, Rückzug, Polypektomie) und selektierte Bild-Vorschläge für den Untersuchungsbefund (Lux et al. 2023).
Ziel: Ziel war es, die Anwendung des bestehenden KI-Systems zu erweitern, um Bilder aus den Videos zu selektieren welche auf einer Online-Plattform zur Weiterbildung in Form eines Quiz zur Verfügung zu stellen. Die erhobenen Nutzungs-Statistiken können zur Identifikation „strittiger“ Polypen und zum Training weiterer KI-Modelle genutzt werden.
Methoden: Anonymisierte Koloskopie-Videos mit gesichertem Vorkommen von Polypen (n=10) wurden mit dem zuvor trainierten KI-Modell analysiert. Es wurde je ein Bilder-Set zum Training der Paris und eines zum Training der NICE Klassifikation erstellt. Ausgewählt wurden Video-Sequenzen mit der Vorhersage „Polyp“ jedoch ohne „Instrument“ (maximal 3 Sequenzen pro Video; Uniform Selection aus Sequenzen > 2 s). Das vorhergesagte Label „digital chomoendoscopy“ galt als Ausschlusskriterium für das Paris-Set und als Einschlusskriterium für das NICE-Set. Insgesamt wurden maximal 2 x 15 Bilder pro Video gesammelt. Alle selektierten Bilder wurden von einem Experten auf Tauglichkeit zur Nutzung auf der o.g. Plattform geprüft (ja / nein).
Design der geplanten Nutzerstudie: Teilnehmende geben ihre endoskopische Erfahrung an (Anfänger: < 100 Koloskopien, intermediär: 100 – 1000, Experte: >1000). Anschließend können Nutzer bzgl. Paris / NICE Klassifikation bewerten. Geplant ist die Analyse von Inter-Rater Agreement nach Erfahrung. Antworten zu allen Bildern identischer Polypen werden gepoolt (anhand vorheriger Videoannotation).
Ergebnisse: Die maximale Bildanzahl von 2 x 1500 Bildern wurde erreicht. Alle selektierten Sequenzen enthielten Polypen. Für das Paris-Set waren 1322 / 1500 (88 %) für das NICE Set 1190 / 1500 (79 %) der Bilder zur Nutzung auf der Plattform geeignet.
Schlussfolgerung: Diese Studie stellt einen Fortschritt bei der stetigen Re-Evaluation von Polypenklassifikation dar. Auch eine Nutzung zum zentrums-spezifischen Fine-Tuning von Modellen ist denkbar. Die öffentliche Bereitstellung bietet Mehrwert durch die Verfügbarkeit von Trainings-Material. Die Nutzung durch eine breite Nutzerbasis hat das Potenzial, zuverlässige Datensätze zu erheben.

18:13 – 18:19

KV 426 Anonymisierung endoskopischer Befunde auf Studien-Laptops mittels kleiner, reproduzierbarer lokal ausführbarer LLMs und RegEx

Thomas Lux (Würzburg)

KV 426 Anonymisierung endoskopischer Befunde auf Studien-Laptops mittels kleiner, reproduzierbarer lokal ausführbarer LLMs und RegEx

T. Lux1, M. Hild1, S.M.H. Zahid1, P. Sodmann1, A. Meining1, AG-Lux

1Universitätsklinik Würzburg, Medizinische Klinik II, Gastroenterologie, Würzburg, Deutschland

Einleitung: Der Schutz der Privatsphäre von Patienten ist etisch und rechtlich verpflichtend. Dies bedeutet oft einen erheblichen manuellen Aufwand. Große Sprachmodelle (LLMs) zeigen Erfolge bei der De-Identifikation medizinischer Freitextdokumente (Wiest et al., 2024) und übertreffen traditionelle regelbasierte Ansätze (Yang et al., 2022). Typische Modelle (~7-70 Milliarden Parameter) übersteigen die Kapazitäten handelsüblicher Studienlaptops. DeepSeek-R1, ein destilliertes Modell (~1,5 Milliarden Parameter) lässt sich ohne Internetzugang auf Standard-Hardware ausführen (DeepSeek-AI, 2024).
Ziele: Evaluation verschiedener On-Site ausführbarer Lösungen zur automatisierten Anonymisierung und Strukturierung durch zielsichere Identifikation von Patienten-Namen.
Methodik: Wir verglichen DeepSeek-R1 mit einer handoptimierten RegEx-basierten Referenzlösung auf einem synthetischen, stark verrauschten Textkorpus (n=207, UTF-8-Namen, diverse Anreden, unvollständige Einträge).Die Berichte wurden manuell annotiert.
LLM: DeepSeek-R1 lief auf einem Laptop mit Ollama-Backend (16 GB RAM / 8 GB VRAM).
RegEx: Deterministische Pipeline basierend auf dem quelloffenen Regelwerk von Philter (https://github.com/philterd/philter).
Metriken: Token-sortierte Ähnlichkeit für Vor- und Nachnamen pro Bericht; Präzision / Recall / F1 für Anwesenheit/Abwesenheit der Namen.
Rechenzeit: Alle Experimente wurden offline durchgeführt; Verarbeitungsdauer pro Bericht ca. 0,8 s (LLM) gegenüber 0,02 s (RegEx).
Ergebnis:

System Vornamen
( %, Mittel ± SD)
Nachnamen
(%, Mittel ± SD)
Perfekte Treffer
(% Vornamen / % Nachnamen)
DeepSeek-R1 1,5b 58,6 ± 33,6 59,7 ± 41,7 59 / 92
RegEx Baseline 21,6 ± 36,3 8,7 ± 14,9 50 / 0

DeepSeek übertraf die RegEx-Lösung in mehrsprachigen, „noisy“ Datensätzen um mehr als 50 Prozentpunkte. Bei exakter Musterübereinstimmungen war die RegEx-Lösung ausreichend. Somit erreichte DeepSeek-R1 etwa dreimal mehr korrekte Namenswiederherstellungen als eine leistungsstarke RegEx-basierte Lösung.
Verbleibende Haupt-Fehlerquellen:

  • Vermischung von Anrede, Vor- und Nachnamen
  • Entfernung von Diakritika (bspw. Anhängsel an Buchstaben)

Schlussfolgerung: Das lokal ausführbare LLM in Kombination mit regelbasierter Nachverarbeitung zeigt solide Erfolge bei der Anonymisierung. Die ausschließliche Offline-Ausführung erfüllt Sicherheitsanforderungen (bspw. Art. 32, DSGVO) minimiert Datenschutzrisiken. Die Verarbeitung von Dokumenten ohne spezialisierte Server erleichtert multizentrische Forschungsvorhaben. Aktuell ist weiterhin eine manuelle Validierung notwendig. Dennoch birgt dieser Ansatz erhebliches Potenzial, die Forschungsprozesse künftig zu beschleunigen.

18:21 – 18:27

KV 427 Prospektive Studie zur KI-gestützten Bestimmung der Rückzugszeit bei der Koloskopie

Ioannis Kafetzis (Würzburg)

KV 427 Prospektive Studie zur KI-gestützten Bestimmung der Rückzugszeit bei der Koloskopie

I. Kafetzis1, P. Sodmann1, B.-E. Herghelegiu1, M. Pauletti1, M. Brand1, K. Schöttker1, J. Albert2, W. Zoller2, A. Meining1, A. Hann1

1Universitätsklinikum Würzburg, Medizinische Klinik und Poliklinik II, Würzburg, Deutschland, 2Katharinenhospital, Klinik für Allgemeine Innere Medizin, Gastroenterologie, Hepatologie, Infektiologie und Pneumologie, Stuttgart, Deutschland

Einleitung: Die präzise Bestimmung der Rückzugszeit ist eines der entscheidenden Qualitätskriterien in der Koloskopie. Bei zunehmenden, neuen, auf künstliche Intelligenz (KI) basierten Methoden die Rückzugszeit zu schätzen besteht ein Bedarf diese prospektiv zu evaluieren.
Ziele: Diese prospektive Studie soll die Leistung einer neuen KI zur Rückzugszeit-Bestimmung im Vergleich zur Beurteilung von Ärztinnen und Ärzten während Routinekoloskopien evaluieren. Zudem soll die Qualität der KI-basierten, automatisch generierten Bildberichte von Endoskopierenden beurteilt werden.
Methodik: Von Dezember 2023 bis März 2024 wurden konsekutive für eine Koloskopie vorgesehene Patientinnen und Patienten rekrutiert. Während der Untersuchungen analysierte und speicherte eine KI in Echtzeit die für die Rückzugszeit wichtigen Ereignisse. Als Goldstandard diente die manuelle Videoannotation. Die KI-generierten Bildberichte wurden von vier unabhängigen Endoskopierenden beurteilt. ClinicalTrials.gov NCT06094270
Ergebnis: In den 126 analysierten Koloskopien zeigte die KI einen signifikant geringeren mittleren absoluten Fehler mit 2,17 min. bei der Rückzugszeit-Bestimmung im Vergleich zu den Beurteilungen der Untersuchenden mit 4,23 min, p<0,01. Die Endoskopierenden gaben mit 97% eine hohe Zufriedenheit mit der Darstellung der graphischen Zeitachse mit Ereignissen an.
Schlussfolgerung: Die Ergebnisse legen das Potenzial der KI zur Verbesserung der Präzision der Rückzugszeit-Berechnung in der klinischen Praxis nahe. Sie sind ein weiterer Schritt zur Integration von KI-gestützten Lösungen zur Verbesserung der Qualität der Darmkrebsvorsorge.

Kurzvortragssitzung

Endoskopische Diagnostik & Therapie

14:45 – 16:05

Fr 19.09.

MZF 4

Open Accordion - Icon Close Accordion - Icon

Vorsitz: Daniel Schmitz (Schwerin) und Renata Miler (Celle)

14:45 – 14:51

KV 394 Prophylaktische Anlage einer EndoVAC-Foliendrainage nach abdominothorakalen Ösophagusresektionen in Patienten mit Risikofaktoren für perioperativen Komplikationen

Nicolas Jorek (Heidelberg)

KV 394 Prophylaktische Anlage einer EndoVAC-Foliendrainage nach abdominothorakalen Ösophagusresektionen in Patienten mit Risikofaktoren für perioperativen Komplikationen

N. Jorek1, M. Kantowski1, A. Ramouz1, A. Majlesara1, A. Mehrabi1, C. Michalski1, F. Pianka1, H. Nienhüser1

1Uniklinikum Heidelberg, Klinik für Allgemein-, Viszeral- und Transplantationschirurgie, Heidelberg, Deutschland

Einleitung: Ösophagusresektionen mit einer intrathorakalen Anastomose sind mit einer erheblichen postoperativen Morbidität und Mortalität assoziiert. Die Anastomoseninsuffizienz (AI) stellt mit einer Inzidenz von ca. 20% eine potentiell lebensbedrohliche Komplikation dar. In den letzten Jahren hat die endoskopische Vakuumtherapie bei der Behandlung von Anastomoseninsuffizienzen deren Mortalität deutlich reduziert.
Ziel: Ziel unserer Studie war die Evaluation des Einflusses einer prophylaktischen EndoVAC-Foliendrainage auf den Schweregrad und die Inzidenz postoperativer Anastomoseninsuffizienzen in Patienten mit erhöhtem perioperativem Risiko.
Methodik: Im Rahmen dieser Studie erfolgte nach abdominothorakaler Ösophagusresektion mit intrathorakaler Anastomose und vorliegenden Risikofaktoren die prophylaktische Einlage einer EndoVAC-Foliendrainage innerhalb von 24 Stunden postoperativ. Als Risikofaktoren wurden kardiopulmonale Risikofaktoren, Patientenalter ≥75 Jahre, BMI ≥26, neoadjuvante Bestrahlung sowie die individuelle Entscheidung des Chirurgen als Einschlussindikation herangezogen.
Ergebnis: Es wurden 24 Patienten mit intrathorakaler Anastomose nach abdominothorakaler Ösophagusresektion im Rahmen dieser Studie durch eine prophylaktische Einlage einer EndoVAC-Foliendrainage behandelt. Bei n=14 Patienten lagen kardiopulmonale Risikofaktoren vor, ebenfalls n=14 Patienten wiesen präoperativ einen BMI ≥26 kg/m² , 11 eine mind. erstgradiger Adipositas, auf. Vier Patienten wurden neoadjuvant bestrahlt. Sieben Patienten entwickelten eine Anastomoseninsuffizienz (29,2%), die durchschnittliche Dauer der EndoVAC-Therapie betrug 11,9 Tage (27,9 Tage (AI) vs. 5,4 Tage (keine AI)) mit 2,8 EndoVAC-Anlagen pro Patient (6,3 EndoVAC-Anlagen (AI) vs. 1,4 EndoVAC-Anlagen (keine AI)). Die Patienten blieben im Durchschnitt 15,3 Tage auf der Intensiv- oder Intermediate Care Station (33,1 Tage (AI) vs. 7,9 Tage (keine AI)) und konnten im Durchschnitt nach 31,6 Tagen entlassen werden (53,7 Tage (AI) vs. 22,5 Tage (keine AI)).
Schlussfolgerung: Im Rahmen dieser Studie wurde das Konzept einer präventiven Foliendrainage für Patienten mit erhöhtem perioperativem Risiko evaluiert. Es konnte gezeigt werden, dass diese sicher durchführbar ist und die potenziell lebensbedrohliche Komplikation der Anastomoseninsuffizienz erfolgreich therapiert. Zukünftige Studien sind erforderlich, um den Benefit für Patienten mit perioperativen Risikofaktoren zu validieren.

14:53 – 14:59

KV 395 Perioperative care and relevance of programmed postoperative endoscopy after peroral endoscopic myotomy – a risk-factor adapted stratification of patients?

Carolin Kastner (Würzburg)

KV 395 Perioperative care and relevance of programmed postoperative endoscopy after peroral endoscopic myotomy – a risk-factor adapted stratification of patients?

C. Kastner1, F. Seyfried1, L. Kollmann1

1Uniklinik Würzburg, Klinik und Poliklinik für Allgemein-, Viszeral-, Transplantations-, Gefäß- und Kinderchirurgie, Würzburg, Deutschland

Background: POEM has emerged as a valuable treatment option for achalasia and other esophageal motility disorders. Although its efficacy have been proven, certain concerns remain regarding its learning curve and the optimal protocol for perioperative care.
Objective: To identify factors impacting on perioperative safety of POEM and to evaluate whether programmed postoperative endoscopy constitutes a valuable tool in this context.
Methods: This retrospective study was performed at the University Hospital Würzburg. Data were extracted from medical records of all patients who underwent POEM from 01/2013 to 12/2022. Primary outcomes include the incidence and identification of risk factors for intra- and postoperative adverse events (AEs), as well as clinically relevant complications following POEM. The number needed to screen is calculated in relation to the efficacy of programmed re-endoscopy identifying postoperative abnormalities.
Results: POEM was performed in 336 patients by two endoscopic-experienced surgeons. 116 patients (34.5 %) received either surgical (2.1 %) or endoscopic pre-treatment (32.4 %). Intraoperative AEs occurred in 11.0 %, of which 11 (3.3 %) were attributed to mucosal lesions and 10 (3.0 %) to submucosal bleeding. Multivariate analysis revealed patient-associated factors (obesity and comorbidity with autoimmune disease), technical factors (myotomy length and speed) and the level of expertise (< 50 POEMs performed) as independent risk factors. AEs dropped from 13 % to 4.1 % after 100 procedures performed by the individual surgeon while operation times plateaued by 5.3 min/cm myotomy. Postoperative endoscopy revealed any abnormal findings in 6.8 %, with 1.2 % requiring intervention. Multivariate analysis identified intraoperative AEs, especially mucosal lesions/bleeding, as well as speed of myotomy as independent risk factors for postoperative abnormalities. 12 patients (3.6 %) had postoperative complications ≥ Clavien Dindo IIIa.
Conclusion: POEM is safe but entails a relevant learning curve and can be associated with serious complications. To optimise postoperative care, a risk-stratified approach appears to be a rational strategy. Intraoperative AEs, especially (sub)mucosal lesions/bleeding, were identified as independent risk factors for postoperative conspicuousness. Consequently, implementing a programmed re-endoscopy in this subgroup of patients may be justified to prevent severe complications and facilitate early intervention.

15:01 – 15:07

KV 396 Seltene Ursache einer gastrointestinalen Blutung

Kai Koch

KV 396 Seltene Ursache einer gastrointestinalen Blutung

K. Koch1, J. Liebemann1, M. Götzberger1, M. Dollhopf1

1Abteilung für Gastroenterologie und Hepatologie, Muenchen Klinik Neuperlach, München, Deutschland

Einleitung: Das Blue‑Rubber‑Bleb‑Naevus‑Syndrom (BRBNS) ist eine seltene angeborene Erkrankung, die sich durch multiple venöse Malformationen und kavernöse Hämangiome in Haut und viszeralen Organen – insbesondere im Gastrointestinaltrakt – auszeichnet. Wir berichten von einem ungewöhnlichen Verlauf bei einem 84‑jährigen Patienten.
Anamnese: Ein 84‑jähriger Mann stellte sich mit rezidivierenden gastrointestinalen Blutungen vor. Sein Hämoglobinwert fiel trotz mehrerer Transfusionen mit Erythrozytenkonzentraten auf minimal 6,1 g/dL ab. Die Stuhlausscheidungen wechselten zwischen teerstuhlartigen und frischblutigen Passagen.
Untersuchung: Die Gastroskopie und Koloskopie zeigte multiple blau durchscheinende, erhabene subepitheliale Läsionen im Magen und Rektum. Die Kapselendoskopie wies vergleichbare Malformationen im Jejunum und Ileum nach. Endosonographisch zeigten sich in der Magenwand echoarme, mukosa‑begrenzte Herde mit cavernöser Gefäßstruktur von < 1 cm Größe.
Diagnose und Therapie: Aufgrund der Befunde wurde der Verdacht auf Blue-Rubber-Bleb-Naevus-Syndrom gestellt. Im Rahmen einer kombinierten endoskopischen Therapie – Gastroskopie, Koloskopie und Doppelballon-Enteroskopie – erfolgten Kaltschlingenpolypektomien und Argon‑Plasma‑Koagulation mehrerer Läsionen im gesamten Gastrointestinaltrakt mit anschließendem Hämoclipping. Histologisch zeigten sich jeweils kavernöse Hämangiome mit mukosaler Begrenzung, passend zu einem Befund bei BRBNS. Wir stellten anschließend die Diagnose eines BRBNS im Erwachsenenalter. Im 30 Tage Follow‑Up traten keine erneuten Blutungsereignisse auf.
Diskussion & Schlussfolgerung: In der Literatur sind bislang nur rund 200 Fälle von BRBNS beschrieben, wobei die Erstmanifestation zumeist im Kindes‑ oder jungen Erwachsenenalter auftritt. Dieser Fall erweitert das bekannte Altersspektrum des BRBNS, da die erstmalige klinische Manifestation von Blutungen erst im hohen Lebensalter auftrat. Kleinere Läsionsgrößen bleiben lange asymptomatisch und können erst bei Wachstum klinisch relevant werden. Der Einfluss verschiedener Umweltfaktoren, Polypharmazie sowie epigenetische Veränderungen werden als Ursache diskutiert. Sporadische Fälle bei Patienten über 60 Jahren sind äußerst selten und bislang nur in Einzelfällen beschrieben. Der hier vorliegende Fall ist damit der älteste beschriebene Einzelfall in der Literatur. Multimodale endoskopische Verfahren erweisen sich als effektiver Ansatz für Diagnose und Therapie spätmanifesten BRBNS.

15:09 – 15:15

KV 397 Texture and Colour Enhancement Imaging (TXI) zur endoskopischen Beurteilung der entzündlichen Aktivität bei chronisch-entzündlichen Darmerkrankungen

Anna Melzer (Ulm)

KV 397 Texture and Colour Enhancement Imaging (TXI) zur endoskopischen Beurteilung der entzündlichen Aktivität bei chronisch-entzündlichen Darmerkrankungen

A. Melzer1,2, A. Beck3, J. Mayer3, B. Mayer4, T. Seufferlein1, M. Müller1, B. Walter1,2

1Universitätsklinikum Ulm, Klinik für Innere Medizin 1, Ulm, Deutschland, 2Universitätsklinikum Ulm, Endoscopy Research Unit, Ulm, Deutschland, 3Universitätsklinikum Ulm, Institut für Pathologie, Ulm, Deutschland, 4Universität Ulm, Institut für Epidemiologie und Medizinische Biometrie, Ulm, Deutschland

Einleitung: Die Ileokoloskopie mit Stufenbiopsien gilt als diagnostischer Goldstandard zur Beurteilung der entzündlichen Aktivität bei chronisch-entzündlichen Darmerkrankungen (CED). Laut Literatur besteht jedoch nur eine mäßige Korrelation zwischen etablierten endoskopischen und histologischen Scores. Dabei ist unklar, ob die entzündliche Aktivität durch alternative Lichtmodi wie dem Texture and Colour Enhancement Imaging (TXI) endoskopisch ebenso gut oder besser vorhergesagt werden kann als durch die klassische Weißlicht-Endoskopie (WLE).
Ziele: Ziel ist die Prüfung auf Nichtunterlegenheit von TXI gegenüber WLE während der Ileokoloskopie bei der Vorhersage histologischer Veränderungen bei CED unter Verwendung der area under the curve (AUC) als Maß für die Prognosegüte.
Methodik: Während der Ileokoloskopie von Patient:innen mit CED erfolgt eine standardisierte Bilddokumentation in den fünf Regionen Ileum, Coecum/Colon ascendens, Colon transversum, Colon descendens/Sigma und Rektum, jeweils im WLE- und TXI-Modus. Aus jeder Region wird eine Zangenbiopsie entnommen. Die entzündliche Aktivität wird mittels klinischer (Modified Mayo Score für Colitis ulcerosa, Harvey-Bradshaw-Index für M. Crohn), endoskopischer (Mayo Endoscopic Subscore für Colitis ulcerosa, SES-CD für M. Crohn) und histologischer (Geboes Score für Colitis ulcerosa, GHAS für M. Crohn) Scores evaluiert. Anhand der Bilddokumentation wird die entzündliche Aktivität retrospektiv von sieben endoskopisch tätigen Untersuchern separat im WLE- bzw. TXI-Modus beurteilt (Abbildung 1). Primär wird auf Nichtunterlegenheit von TXI gegenüber WLE hinsichtlich der Bewertung „Entzündung“ und „keine Entzündung“ untersucht, wobei für die Auswertung mit ROC-Kurven (receiver operating characteristics) und AUC der Mehrheitsentscheid gilt. Für sekundäre Analysen werden die verschiedenen Entzündungsgrade des Scores berücksichtigt.
Ergebnis: Von Mai 2024 bis März 2025 wurden insgesamt 80 Patient:innen mit CED eingeschlossen, davon je 40 mit Colitis ulcerosa bzw. M. Crohn. Zum Zeitpunkt der Ileokoloskopie erhielten 46/80 eine Therapie mit Biologika und nur 6/80 Steroide (Tabelle 1). Die statistische Auswertung steht aktuell (Stand April 2025) noch aus.
Schlussfolgerung: Ein positives Ergebnis könnte zur Validierung des TXI-Modus als ergänzendes Verfahren zur Beurteilung der Entzündungsaktivität bei CED beitragen.

Tabelle 1: Basischarakteristika der untersuchten Patient:innen mit Colitis ulcerosa und M. Crohn

Charakteristikum Kategorie Colitis ulcerosa M. Crohn
N % N %
Geschlecht Männlich 24 30,0 19 23,8
Weiblich 16 20,0 20 25,0
Divers 0 0,0 1 1,3
Medianes Alter in Jahren (Range) 45 (18-73) 43 (21-65)
Mediane Erkrankungsdauer in Jahren (Range) 23 (1-45) 21 (1-41)
Gastrointestinale OP ICR 0 0,0 11 13,8
Appendektomie 2 2,5 2 2,5
Kolon-Teilresektion 1 1,3 3 3,8
Sonstige 1 1,3 1 1,3
Keine gastrointestinale OP 36 45,0 24 30,0
Therapie Biologikum 22 27,5 24 30,0
5-ASA-Präparat 25 31,3 3 3,8
Orales Kortikoid 2 2,5 4 5,0
Keine Therapie 2 2,5 11 13,8
Abkürzungen: 5-ASA, 5-Aminosalicylsäure; ICR, Ileozökalresektion; OP, Operation

Abbildung 1: Beurteilung der entzündlichen Aktivität im WLE- und TXI-Modus am Beispiel der Bilddokumentation im Colon ascendens bei einer Patientin mit Colitis ulcerosa

15:17 – 15:23

KV 398 Diagnostische Ausbeute einer kombinierten Screening-Gastroskopie und Koloskopie: Erste Ergebnisse der europäischen multizentrischen Pilotstudie des TOGAS-Konsortiums

Jan Bornschein (Oxford)

KV 398 Diagnostische Ausbeute einer kombinierten Screening-Gastroskopie und Koloskopie: Erste Ergebnisse der europäischen multizentrischen Pilotstudie des TOGAS-Konsortiums

J. Bornschein1, M. Dinis-Ribeiro2, J. Weigt3, TOGAS Consortium

1John Radcliffe Hospital, Medical Research Council Translational Immune Discovery Unit, Oxford, Vereinigtes Königreich, 2Portuguese Institute of Porto, Porto, Portugal, 3Otto-v.-Guericke Universität Magdeburg, Klinik f. Gastroenterologie, Hepatologie und Infektiologie, Magdeburg, Deutschland

Einleitung: Das TOGAS-Konsortium untersucht verschiedene Strategien zur Primär- und Sekundärprävention von Magenkrebs in Europa.
Ziele: Ziel der vorliegenden Pilotstudie ist es, den Nutzen einer Vorsorge-Ösophagogastroduodenoskopie zu bewerten.
Methodik: Berichtet werden erste Ergebnisse von 602 Patientinnen, die in acht europäischen Zentren rekrutiert wurden. Eingeschlossen wurden Personen im Alter von 50 bis 74 Jahren, die zur Screening- oder Überwachungskoloskopie kamen und keine Vorgeschichte präneoplastischer Magenveränderungen mit Überwachungsbedarf aufwiesen. Erfasst wurden demografische Daten, Komorbiditäten, Medikation sowie anamnestische Angaben zu chirurgischen Eingriffen und familiären Belastungen. Zur Analyse wurden der Mann-Whitney-U-Test für Altersvergleiche und der Chi²-Test für kategoriale Variablen verwendet (Signifikanzniveau p<0,05).
Ergebnisse: Das mittlere Alter betrug 62 ±8,0 Jahre. 56 % männlich. Bei 245 lag bereits eine ÖGD vor, wobei 93 % vor mehr als drei Jahre erfolgte (60 % in einem tertiären Zentrum). Insgesamt wurden sechs (1 %) maligne/neoplastische Läsionen festgestellt: vier Magenkarzinome oder dysplastische Läsionen sowie zwei Ösophaguskarzinome. Bei 217 (36 %) wurden präneoplastische Veränderungen diagnostiziert: 84 (14 %) wiesen eine Magenatrophie, 45 (7 %) eine intestinale Metaplasie und 75 (12 %) beide Veränderungen kombiniert auf. Eine multifokale Atrophie lag bei 44 Teilnehmenden (28 %) mit Atrophie und bei 45 (37 %) mit intestinaler Metaplasie vor. Die Stadieneinteilung ergab OLGA-Stadium 3 und 4 bei 1,9 % bzw. 0,8 % sowie OLGIM-Stadium 3 und 4 bei 2,3 % bzw. 0,4 % der Patient*innen. Eine H. pylori-Infektion wurde bei 34 % diagnostiziert. Ulzera wurden bei 25 Teilnehmenden festgestellt (19 Magen, 9 Duodenum und 2 Ösophagus). Bei 13 Teilnehmenden (2 %) wurde ein Barrett-Ösophagus diagnostiziert. Insgesamt wurden 12 kolorektale Karzinome (2,0 %) entdeckt. H. pylori war signifikant mit einem Überwachungsbedarf für den Magen assoziiert (p=0,031).
Schlussfolgerung: Im Hinblick auf die Detektion von malignen und präneoplastischen Läsionen des oberen Gastrointestinaltrakts bestätigen unsere Ergebnisse frühere systematische Übersichtsarbeiten. Darüber hinaus zeigen wir eine relevante Rate nicht-maligner Befunde, die bei der Definition optimaler Screening-Strategien für Europa berücksichtigt werden sollten.

15:25 – 15:31

KV 399 Endoscopic features predictive of clinical response in rectal cancer following neoadjuvant therapy

Moying Li (Mannheim)

KV 399 Endoscopic features predictive of clinical response in rectal cancer following neoadjuvant therapy

M. Li1, S. Schweitzer1, C. Weiß2, M. von Boscamp1, S. Belle1, M.P. Ebert1, T. Zhan1

1Universitätsmedizin Mannheim, Medizinische Fakultät Mannheim der Universität Heidelberg, II. Medizinische Klinik, Mannheim, Deutschland, 2Universitätsmedizin Mannheim, Medizinische Fakultät Mannheim der Universität Heidelberg, Abteilung für Medizinische Statistik und Biomathematik, Mannheim, Deutschland

Introduction: Accurate identification of clinical complete response (cCR) in rectal cancer following chemoradiotherapy (CRT) remains a diagnostic challenge. Endoscopic evaluation offers a promising avenue for improving therapy response assessment.
Objectives: 1) To assess the correlation between specific endoscopic features and treatment response in rectal cancer patients undergoing conventional neoadjuvant CRT (nCRT) or total neoadjuvant therapy (TNT); 2) To evaluate the diagnostic utility of endoscopic biopsies in the response assessment.
Methods: This retrospective study included patients with rectal cancer treated with neoadjuvant CRT or TNT at University Hospital Mannheim between 2013 and 2025. Sigmoidoscopies after nCRT or TNT were included for the study. Endoscopic images were analyzed for predefined features: a flat scar, a small flat ulcer, a large ulcer, ulcer with irregular border, adenomatous mass and tumorous mass. Therapy response was classified into pathological complete response (pCR) or sustained (>1 year) clinical complete response (cCR), or non-pCR/cCR.
Results: A total of 177 sigmoidoscopies (cases) were analyzed. Of those, 64 (36.2%) sigmoidoscopies were performed in patients who demonstrated pCR or cCR during clinical follow-up, while 113 (63.8%) sigmoidoscopies were performed in patients who experienced non-pCR/cCR. 72 (40.7%) sigmoidoscopies were performed after nCRT and 105 (59.3%) after TNT setting.
The following endoscopic features were observed: a flat scar was observed in 41.2%, a flat small ulcer in 13.6%, a large ulcer in 30.5%, an ulcer with irregular boarder in 9.0 %, an adenomatous mass in 10.2% and a tumorous mass in 31.1% of cases. There was a strong association between the presence of a flat scar and pCR/cCR (p<0.0001). Conversely, a large ulcer, an ulcer with irregular border and a tumorous mass correlated significantly with non-pCR/cCR (p<0.001, p=0.039, p<0.001 respectively).
In 97 cases (54.8%), biopsies were performed. Endoscopic biopsies showed a high specificity of 97.7% and a high positive predictive value of 95.0%, but a low sensitivity of 36.5% and a low negative predictive value of 56.6%.
Conclusion: Distinct endoscopic features demonstrated a correlation with pCR or cCR in rectal cancer after neoadjuvant therapy. Implementing a standardized endoscopic documentation protocol could enhance the accuracy and reproducibility of response assessment.

Endoscopic features at response assessment. (A), Flat scar, (B) small flat ulcer <1cm, (C) large ulcer, (D) ulcer with an irregular border, (E) adenomatous mass, (F) tumorous mass.

Figure 2: Study design. cCR: clinical complete response; nCRT: neoadjvuant chemoradiotherapy; pCR pathological complete response; TNT: total neoadjvuant therapy.

15:33 – 15:39

KV 400 „EMR, ESD, TEM, TATA, TAMIS – thank you for your service“. Erste Erfahrungen mit der transanalen Resektion von Rektumadenomen mit dem da Vinci SP-System

Stephan Kersting (Greifswald)

KV 400 „EMR, ESD, TEM, TATA, TAMIS – thank you for your service“. Erste Erfahrungen mit der transanalen Resektion von Rektumadenomen mit dem da Vinci SP-System

S. Kersting1, J. Baecker1, R. Hummel1, M. Langheinrich1

1Universitätsmedizin Greifswald, Allgemeine Chirurgie, Viszeral-, Thorax- und Gefäßchirurgie, Greifswald, Deutschland

Einleitung/Ziele: Transanale endoskopische Verfahren wie EMR oder ESD und chirurgische wie TEM und TAMIS waren lange Zeit Goldstandard in der minimalinvasiven Resektion von Rektumadenomen und Frühkarzinomen. Ihre Anwendung ist jedoch technisch anspruchsvoll, zeit- und materialintensiv. Mit dem da Vinci SP-System (Single Port) eröffnet sich eine neue Ära der roboterassistierten transanalen Chirurgie, die viele dieser Limitierungen überwindet.
Methodik: Seit Oktober 2024 wird an unserem Zentrum – eines der ersten in Europa – die transanale Resektion benigner Rektumprozesse mit dem da Vinci SP durchgeführt. Das System erlaubt über einen transanalen Zugang eine exzellente 3D-Sicht, vollständige Beweglichkeit der Instrumente und eine präzise Dissektion selbst bei schwieriger Lokalisation im oberen Rektum und rektosigmoidalen Übergang. Im Rahmen einer Fallserie stellen wir unsere ersten Erfahrungen mit dem System dar.
Ergebnis: Bis April 2025 wurden drei Patienten erfolgreich mittels SP transanal operiert. Die Resektionen verliefen komplikationslos, mit hervorragender intraoperativer Übersicht und effektiver Blutstillung. Die OP-Zeiten waren trotz Lernkurve bereits konkurrenzfähig, die Präparation deutlich ergonomischer als bei endoskopischen oder herkömmlichen chirurgischen transanalen Verfahren. Vollständige Resektionen konnten in allen Fällen erzielt werden. Die Technik wird im Rahmen eines Videovortrags demonstriert.
Schlussfolgerung: Die roboterassistierte transanale Resektion mit dem da Vinci SP stellt einen klaren Technologiesprung dar. Sie vereint die Vorteile klassischer transanaler Verfahren mit roboterassistierter Präzision und Übersichtlichkeit – bei deutlich vereinfachter Handhabung. Für die Zukunft der organerhaltenden Rektumchirurgie erscheint SP als überlegene Alternative. ESD, EMR, TEM, TATA und TAMIS dürften damit sukzessive abgelöst werden.

AdenomdissektionIntraluminale Naht mit da Vinci SP

15:41 – 15:47

KV 401 Vermeidung eines Stomas bei der Behandlung von kolorektalen Anastomoseninsuffizienzen mit dem VACStent – eine prospektive Registerstudie

Alexander Yohannes

KV 401 Vermeidung eines Stomas bei der Behandlung von kolorektalen Anastomoseninsuffizienzen mit dem VACStent – eine prospektive Registerstudie

J. Lange1, A. Yohannes2, J. Knievel1, U. Hügle2, A.J. Dormann2, C.F. Eisenberger1, M.M. Heiss1

1Kliniken der Stadt Köln, Klinik für Viszeral-, Tumor-, Transplantations- und Gefäßchirurgie, Köln, Deutschland, 2Kliniken der Stadt Köln, Klinik für Gastroenterologie, Gastrointestinale Onkologie, Gastrointestinale Infektionen und Ernährungsmedizin, Köln, Deutschland

Einleitung: Klinische Erfahrungen mit dem VACStent im oberen und unteren Gastrointestinaltrakt (GI-Trakt) belegen, dass ein zuverlässiger Verschluss von Darmwanddefekten oder Anastomosen-insuffizienzen bei gleichzeitiger Wunddrainage durch die intraluminale endoskopische Vakuumtherapie (EVT) effektiv möglich ist. Der Schwammzylinder saugt sich dabei sicher an der Darmwand fest, wodurch der VACStent stabil fixiert wird und die Darmpassage offen bleibt.
Ziel: Prospektive Untersuchung zur Vermeidung einer Stomaanlage bei der Behandlung und Prophylaxe von Anastomoseninsuffizienzen mit dem VACStent im unteren GI-Trakt.
Methodik: Im Rahmen der prospektiven VACStent-Registerstudie (DRKS00020782) wurden bislang 30 Patienten mit kolorektalen Resektionen behandelt. Insgesamt wurden 67 VACStents appliziert. Bei 2 Patienten mit synchron bestehendem Ileostoma wurde die Insuffizienzhöhle zunächst mit dem endokavitären Schwamm und dann die Resthöhle mit dem VACStent behandelt. Bei 15 Patienten erfolgte dann die Insuffizienzbehandlung ausschließlich mit dem VACStent, ohne Anlage eines Stomas. Bei 13 Hochrisiko-Patienten wurde prophylaktisch direkt nach Anastomosenerstellung der VACStent implantiert.
Ergebnisse: Die Ergebnisse zeigen, dass der Einsatz des VACStent im unteren GI-Trakt unproblematisch ist und Komplikationen (Migration, Ulzera, Blutungen) bei weniger als 5% der Patienten auftraten. Eine Vakuumdrainage mit 80-125 mmHg konnte bisher bei allen Patienten angelegt werden. Ein wesentliches Ergebnis ist, dass die Stuhlpassage durch den VACStent unter Konditionierung mit Movicol und faserfreier Nahrung ohne größere Probleme aufrechterhalten werden kann. Die Anastomose heilte bei allen Patienten im Median nach 14 Tagen (5-34 Tage) und 2 VACStents (1-5 VACStents) ab. Die prophylaktische VACStent-Behandlung dauerte im Median 7 Tage mit einem VACStent. Eine sekundäre Stomaanlage oder chirurgische Revision war nicht erforderlich.
Schlussfolgerung: Die bisherigen Erfahrungen zeigen, dass der VACStent durch seinen Sogeffekt auch im kolorektalen Bereich zuverlässig fixiert werden kann, um Anastomosen sicher abzudecken und Insuffizienzen zu verhindern. Durch die offene Stuhlpassage ermöglicht die Methode eine komplikationsarme Heilung, ohne dass ein protektives Stoma erforderlich ist. Diese Form der endoluminalen Therapie zur Anastomosenbehandlung und Stomavermeidung bietet ein vielversprechendes klinisches Potenzial und sollte in weiteren Studien vertieft untersucht werden.

15:49 – 15:55

KV 402 Intraoperative detection of colonoscopic perforation using a modified bubble test: a novel and practical diagnostic technique – a case-based experience

Ghassan Batikha (Neunkirchen)

KV 402 Intraoperative detection of colonoscopic perforation using a modified bubble test: a novel and practical diagnostic technique – a case-based experience

G. Batikha1

1Saarbrücken Klinikum, Department of General, Visceral, and Oncological Surgery, Saarbrücken, Deutschland

Introduction: Colonoscopy-related perforation is a rare but potentially life-threatening complication. Intraoperative identification of the perforation site remains a major surgical challenge, especially in patients without overt signs of peritonitis or those with significant visceral obesity.
Objectives: We aimed to introduce and assess a novel intraoperative technique—a modified bubble test—for the detection of colonoscopic perforations, with particular emphasis on right-sided colonic injuries.
Methods: Two cases of suspected colonoscopic perforation were managed using the modified bubble test. A small laparoscopic incision was created at the appendiceal base, allowing the insertion of a Robinson drain. The peritoneal cavity was filled with sterile saline, and controlled CO₂ insufflation through the drain facilitated real-time visualization of escaping air bubbles, indicating the site of perforation.

Plain abdominal radiographs demonstrated free subdiaphragmatic gas and significant colonic distension (Figure 1). Subsequent CT imaging confirmed pneumoperitoneum, mediastinal emphysema, and retroperitoneal free air, suggesting a perforation of the right colon (Figures 2–4).
1.	Appendiceal Access: A small laparoscopic incision is made at the base of the appendix. A Robinson drain is inserted through this opening, serving as a conduit for controlled CO₂ insufflation. 2.	Saline Infusion: The peritoneal cavity is filled with sterile saline to create a medium for visualizing escaping gas. 3.	Insufflation and Observation: Laparoscopic CO₂ is insufflated through the Robinson drain. Gentle external or laparoscopic palpation of the colon is performed to assess for air leaks. The appearance of air bubbles in the saline indicates a perforation site.
Positive bubble test demonstrating air leakage during insufflation, then after Confirmation of a perforation at the hepatic flexure Primary repair of the colonic defect and proceed withe the appendectomy and Closure of the appendiceal access using laparoscopic clips
Results: In the first case, the modified bubble test successfully localized a perforation at the hepatic flexure, which was then repaired primarily. In the second case, the absence of bubble formation ruled out a free perforation, a finding confirmed by further exploration. Both patients had uneventful postoperative recoveries without complications.
Conclusion: The modified bubble test offers a simple, cost-effective, and reproducible method for intraoperative assessment of colonic integrity. It allows prompt and accurate detection of perforation sites, particularly in challenging right-sided cases, potentially obviating the need for intraoperative colonoscopy. Further prospective studies are warranted to validate its efficacy and broader application.

15:57 – 16:03

KV 403 Selbstexpandierende Metallstents zur Versorgung von therapierefraktären Stomaproblemen

Marcus Kantowski (Heidelberg)

KV 403 Selbstexpandierende Metallstents zur Versorgung von therapierefraktären Stomaproblemen

M. Kantowski1

1Marcus Kantowski, Interdisziplinäres Endoskopie Zentrum, Chirurgische Klinik, Heidelberg, Deutschland

Einleitung: Die Behandlung von Stomaproblemen wie parastomaler Abszessl, Stromaretraktion oder- stenose können erhebliche Herausforderungen darstellen. Dicke Bauchwand, fixierter Darm bei Adaesionen, frozen Abdomen oder Peritonenealcarzinose können in Einzelfällen eine chirurgische Stomarevision schwierig bis technisch unmöglich machen. Die gute pflegerische Stomaversorgung führt leider auch nicht immer zum Ziel. Beim Revisionseingriff bleiben die Rezidiv- und postoperative Mortalitätsraten oft hoch. Die endoskopische Stentimplantation in das Stoma oder die Fistel kann für einige Patienten eine vielversprechende Alternative darstellen, bei denen chirurgische oder konservative Therapien versagen. Ziel dieser Studie war es, die Durchführbarkeit, Wirksamkeit und Sicherheit der endoskopischen Stentimplantation bei der Behandlung refraktärer Stomaprobleme zu bewerten.
Methoden: Patienten mit therapie-refraktären Stomaproblemen, die sich einer endoskopischen Stentimplantation unterzogen, wurden eingeschlossen. Die Problemursache waren parastomaler Abszess mit Fistel (n=5), Darmdefekt/ Deserosierung mit der Unfähigkeit einer Stomaausleitung (n=3), Stomaretraktion (n=2) oder Stomastenose (n=2). Der primäre Endpunkt war die erfolgreiche Problembehandlung mit Verbesserung der klinischen Stomasymptome, eine erfolgreiche Überbrückung bis zur anschließenden chirurgischen Revision oder die Wiederherstellung der enteralen Ernährung. Sekundäre Endpunkte umfassten die Durchführbarkeit des endoskopischen Verfahrens, verfahrensbedingte Komplikationen und die Mortalität.
Ergebnisse: Zwölf Patienten wurden eingeschlossen. Die mediane Nachbeobachtung betrug 4,7 Monate. Die primäre Implantation eines selbstexpandierenden Metallstents verlief bei allen Patienten erfolgreich. Die klinische Erfolgsrate lag bei 92 % (n = 11/12), was auf eine klinische Verbesserung der Stomasymptome, der Wundversorgung und der enteralen Ernährung hindeutet. Ein Stoma bei M. Crohn und multiplen Fisteln ließ sich nicht adäquat mit einem Stent versorgen. Bei einem Patienten (8 %; n = 1/12) trat eine Stentdislokation mit anschließender Dünndarmperforation auf, die chirurgisch behandelt wurde. Es wurde keine verfahrensbedingte Mortalität beobachtet.
Schlussfolgerungen: Die endoskopische Stentimplantation ist eine praktikable, effektive und sichere Option zur Behandlung bei therapierefraktärer Stomaproblemen. Die Anlage eines Stent-Stomas verbessert die Lebensqualität der Patienten.

Kurzvortragssitzung

Molekulare Mechanismen bei Pankreaskarzinom

15:50 – 17:18

Do 18.09.

Seminarraum 6 + 7

Open Accordion - Icon Close Accordion - Icon

Vorsitz: Kim Honselmann (Lübeck) und Sebastian Krug (Heidelberg)

15:50 – 15:56

KV 280 Einfluss von Adipozyten auf die Pankreaskarzinogenese

Laura Roth

KV 280 Einfluss von Adipozyten auf die Pankreaskarzinogenese

L. Roth1, S. Kfoury1, U. Biswas1, J. Füllekrug1, P. Michl1

1Universitätsklinkum Heidelberg, Klinik für Gastroenterologie, Heidelberg, Deutschland

Einleitung: Die Inzidenz des duktalen Adenokarzinom des Pankreas (PDAC) ist steigend. Es wird erwartet, dass das Pankreaskarzinom 2030 die zweithäufigste Krebstodesursache darstellen wird. Eine der wenigen vermeidbaren Risikofaktoren ist Adipositas, wobei die hierfür ursächlichen Mechanismen nicht vollständig verstanden sind. Dieses Projekt beschäftigt sich mit der Signalkommunikation zwischen Adipozyten und frühen Stadien des Pankreaskarzinoms.
Methoden: Präadipozyten werden aus dem Fettgewebe von Mäusen isoliert, in vitro zu Adipozyten differenziert und zur Gewinnung von Adipozyten-konditionierten Medium (ACM) verwendet. Mit diesem werden PDAC-Zellen behandelt. Diese wurden aus dem Tumor einer Maus mit einer Pankreas-spezifischen KrasG12D Mutation isoliert und weisen das Mutationsprofil eines frühen Stadiums der Karzinogenese auf. Die Zellproliferation wurde mittels verschiedener Methoden (Neubauer Zählkammer, Automatischer Zellzähler, Livemikroskopie) bestimmt. Darüber hinaus wurde der Zellzyklus (Durchflusszytometrie und Immunhistochemie) und die Genexpression (RNA-Sequenzierung) analysiert
Ergebnisse: Die Behandlung von KC-Zellen mit ACM über die Dauer von 24 Stunden führte zu einer Zunahme der Proliferation, die mittels Zellzählung und Livemikroskopie beobachtet wurden. Die Analyse des Zellzyklus mittels Durchflusszytometrie und Immunhistochemie zeigte, dass die Behandlung mit ACM den Anteil von KC-Zellen innerhalb der G2-Phase erhöhte. Auf Ebene der Genexpression zeigte sich neben einer erhöhten Expression von Genen des Zellzyklus eine Hochregulation von Genen, die in den Fettsäuremetabolismus und in die Adipogenese involviert sind.
Schlussfolgerung: Adipozyten führen zu einer erhöhten Zellproliferation von Pankreaskarzinomzellen, die das Expressionsmuster von frühen Stadien der Karzinogenese aufweisen. Darüber hinaus beeinflussen sie in diesen die Expression von Genen, die in den Lipidmetabolismus involviert sind. Fortlaufende Experimente beschäftigen sich mit der genaueren Charakterisierung der involvierten Signalwege, um ein besseres Verständnis zu erlangen, wie Adipozyten die Karzinogenese des Pankreaskarzinoms vorantreiben.

15:58 – 16:04

KV 282 Die Rolle von Oncostatin M für die Chemotherapieresistenz im duktalen Pankreasadenokarzinom

Phillip Melivn Feidel

KV 282 Die Rolle von Oncostatin M für die Chemotherapieresistenz im duktalen Pankreasadenokarzinom

P.M. Feidel1, N.A. Hering1, I. Pozios1

1Klinik für Allgemein- und Viszeralchirurgie, Charité – Universitätsmedizin Berlin Campus Benjamin Franklin, Berlin, Deutschland

Einleitung: Der durch Zytokine der Interleukin-6 (IL-6)-Familie aktivierte gp130/STAT3-Signalweg, spielt eine Schlüsselrolle bei der Entstehung und Progression des duktalen Pankreasadenokarzinoms (PDAC)(1). In der Tumormikroumgebung des PDAC interagieren stromale und epitheliale Zellen durch Zytokine der IL-6-Familie(2), zu denen neben IL-6 auch Oncostatin M (OSM) gehört. Die genaue Wirkung von OSM im PDAC und dessen Einfluss auf die Chemotherapieresistenz sind bisher jedoch wenig untersucht.
Ziele: Ziel dieser Arbeit ist die Untersuchung des Einflusses von OSM auf die Zytokinexpression und die Chemotherapieresistenz sowie die Rolle der gp130/STAT3-Signalkaskade für diese Prozesse.
Methodik: Die Expressionsregulation sowie der Einfluss auf die Wirkung der Chemotherapeutika nab-Paclitaxel und Gemcitabin wurden mittels qPCR, Immunfluoreszenzfärbung und MTT-Viabilitätsassays in vitro an der humanen PDAC-Zelllinie L3.6pl untersucht. Zur Inhibition des gp130/STAT3-Signalwegs wurden der spezifische gp130-Inhibitor SC144 und der Östrogenrezeptormodulator Raloxifen verwendet. Weiterhin wurde in Tissue Microarrays von 96 humanen Tumoren OSM gefärbt, die Expression evaluiert und mit den Survivaldaten der Patient:innen korreliert.
Ergebnis: In vitro nahm die IL-6 Expression durch OSM-Stimulation 320-fach zu (p<0,0001). SC144 hemmte diese Hochregulation nahezu vollständig. OSM-stimulierte Zellen zeigten unter Gemcitabin- oder nab-Paclitaxel-Behandlung eine höhere Viabilität als nicht stimulierte Zellen (p<0,05). SC144 und Raloxifen konnten diesen OSM-induzierten Effekt aufheben. Patient:innen mit schwacher OSM- Expression hatten durch Chemotherapeutika einen Überlebensvorteil im Vergleich zu Patient:innen ohne zytostatische Therapie (p<0,05). Bei starker OSM-Expression erzielten die Chemotherapien hingegen keinen signifikanten Überlebensvorteil.
Schlussfolgerung: Eine erhöhte OSM-Expression korreliert mit verminderter Chemosensitivität und kann durch gp130/STAT3-Inhibition moduliert werden. Inwiefern OSM bzw. der gp130/STAT3-Weg als therapeutisches Ziel genutzt werden können, um die Chemotherapieresistenz im PDAC zu verringern, soll in weiterführenden Studien untersucht werden.
1. Ns N et al. Pancreatic stellate cell secreted IL-6 stimulates STAT3 dependent invasiveness of pancreatic intraepithelial neoplasia and cancer cells.
Oncotarget 2016
2. Bhatia R et al. Cytokines Chattering in Pancreatic Ductal Adenocarcinoma Tumor Microenvironment. Semin Cancer Biol. 2022

16:06 – 16:12

KV 283 Illumination pancreatic cancer angiogenesis: Insights into tumor perfusion and microvascular architecture using the CAM model

Andreas Ettner-Sitter (Regensburg)

KV 283 Illumination pancreatic cancer angiogenesis: Insights into tumor perfusion and microvascular architecture using the CAM model

A. Ettner-Sitter1, B. Wagner2, T. Aung3, S. Haerteis1, C. Hackl2

1Universität Regensburg, Regensburg, Deutschland, 2Universitätsklinikum Regensburg, Regensburg, Deutschland, 3Institute of Technology Deggendorf, Deggendorf, Deutschland

Background: Global Cancer Statistics 2020 reported a total of 495773 new cases and 466003 related deaths for pancreatic cancer. Pancreatic ductal adenocarcinoma (PDAC) represents the fourth leading cause of cancer-related deaths with an overall published five-year survival rate of less than 6%. Currently, surgical resection is the only potentially curative option followed by adjuvant chemotherapy which can only be opted in about 15% of patients due to the advanced stage at which the disease is usually diagnosed. This study aims to test various chemotherapeutic drugs to discover the most effective one in the inhibition of tumor growth and metastasis.
Methods: To study the tumor’s microvascular architecture, human PDAC tissue are engrafted on the chorion allantois membrane (CAM) model, then changes in angiogenesis will be monitored by Laser Speckle Contrast Imaging (LSCI), perfusion will be visualized via ultra high frequency ultrasound and anastomoses can be visualized via immunohistological staining using isolectin and human CD31.
Tumor spheroids derived from circulating tumor cells displayed heightened invasiveness and vascular integration, offering critical insights into their metastatic behavior. In this project PDAC and tumorspheres are cultured on the CAM and histological sections support the findings above, opening a gateway to tumor microvasculature insights and future potential treatment options.
Result: Throughout a seven-day cultivation period, PDAC tissues exhibited progressive vascularization, marked by the formation of functional anastomoses between human and chicken blood vessels within 72 hours post-engraftment. Whole-mount staining and immunofluorescence confirm the presence of anastomoses between both species, underscoring active and dynamic angiogenic mechanisms. Quantitative analyses revealed significant changes in tumor volume and perfusion, supported by histological evaluations and advanced 3D.
Conclusion: The effect of oxaliplatin can be evaluated in the CAM model, which is a promising model for the future. This will help shed light on future therapies, including personalized therapy for individual patients, and will potentially improve the prognosis of future PDAC patients.

16:14 – 16:20

KV 284 Schwann-Zellen als Treiber der PDAC-Progression: Einfluss auf Tumorwachstum, -mikroumgebung und Tumor-assoziiertes Überleben

Mara Rebecca Goetz (Hamburg)

KV 284 Schwann-Zellen als Treiber der PDAC-Progression: Einfluss auf Tumorwachstum, -mikroumgebung und Tumor-assoziiertes Überleben

M.R. Goetz1,2, C. Müller1, H. Friess1, R. Istvanffy1, I.E. Demir1, G. Yurteri1

1Klinik und Poliklinik für Chirurgie, Technische Universität München, München, Deutschland, 2Klinik für Allgemein-, Viszeral-, und Thoraxchirurgie, Universitätsklinikum Hamburg-Eppendorf, Hamburg, Deutschland

Das Pankreaskarzinom (PDAC) ist durch hohe Rezidivraten und eine schlechte Prognose gekennzeichnet. Die perineurale Invasion (PNI) ist ein typisches Charakteristikum des PDAC und assoziiert mit einer ungünstigen Prognose. Schwann-Zellen (SC), als neuroprotektive Gliazellen, sind vermutlich die Hauptkontaktpartner der Tumorzellen. Ihr Einfluss auf Neuropathie, Schmerz, Tumorprogression und Überleben sowie ihr therapeutisches Potenzial und die zugrundeliegenden Mechanismen sind bislang unzureichend verstanden.

Zwei genetisch modifizierte Mausmodelle (KC: PanIN; KPC: PDAC) wurden mit GFAP-TK-Mäusen gekreuzt, um proliferierende SC durch Ganciclovir gezielt zu eliminieren. Parallel erfolgten orthotope Tumorimplantationen mit und ohne Chemotherapie. Schmerzempfinden wurde mittels von-Frey-Tests gemessen. PDAC-Gewebe wurde immunhistochemisch hinsichtlich Tumorwachstum, Stromareaktion, Immuninfiltration, Neuropathie und Angiopathie untersucht. Zusätzlich analysierten wir die neuronale Aktivität im Rückenmark sowie die Mikroglia- und Astroglia-Aktivierung. Das Überleben tumortragender Mäuse wurde unter SC-Depletion dokumentiert. In vitro wurden humane PDAC-Zellen mit humanen Schwann-Zellen (hSC) ko-kultiviert und transkriptomisch sowie per qRT-PCR analysiert. Protein-Stimulationsassays bestätigten mechanistische Zusammenhänge.

Die SC-Depletion verringerte sowohl die Schmerzempfindlichkeit als auch das Tumorwachstum in beiden Modellen. Zudem reduzierten sich Stromareaktion, Immunzellinfiltration, Neuropathie und Angiopathie. Die erhöhte Gliaaktivität im KPC-Modell nahm nach SC-Elimination deutlich ab. Mäuse mit SC-Depletion überlebten signifikant länger (im Mittel 22 Wochen) als Kontrollen (im Mittel 13 Wochen). In der Ko-Kultur zeigten hSCs eine Hochregulation der Chemokine CXCL2, CXCL3 und CXCL8, während Tumorzellen vermehrt IL-6 und Col1A2 exprimierten – bestätigt durch die Proteinanalyse. Die Effekte auf die Zellfunktion und Zellmetabolismus werden nun in Anschluss überprüft.

Zusammenfassend fördern die Schwann-Zellen das PDAC-Wachstum, die assoziierte stromale Reaktion und beeinflussen das tumorassoziierte Überleben. Ihr Effekt basiert offenbar auf einem Chemokin-vermittelten Crosstalk, insbesondere über CXCL2 und CXCL3. Diese Achse stellt ein potenzielles therapeutisches Ziel dar.

16:22 – 16:28

KV 285 Macrophage adipocyte crosstalk as a node of intervention for pancreatic cancer-associated weight loss

Max Heckler

KV 285 Macrophage adipocyte crosstalk as a node of intervention for pancreatic cancer-associated weight loss

F. Hambitzer1, F. Faghihi1, B. Parent2, S. Roth1,3, S. Yusouf1, C. Michalski1, M. Loos1, E. Mills2, S. Dougan2, M. Heckler1

1Universitätsklinikum Heidelberg, Chirurgie, Heidelberg, Deutschland, 2Dana Farber Cancer Institute, Boston, Vereinigte Staaten, 3Universitätsklinikum Tübingen, Chirurgie, Tübingen, Deutschland

Introduction: Up to 85% of pancreatic ductal adenocarcinoma (PDAC) patients are afflicted with cachexia – a metabolic syndrome characterized by loss of skeletal muscle mass and adipose tissue (AT) wasting. Cachexia worsens the already reduced quality of life of PDAC patients, their ability to tolerate therapeutic interventions, and, ultimately, their survival. Drawing insights from obesity research, where local changes in the adipose tissue play a crucial role in the pathophysiology, we explore adipose tissue in the context of PDAC cachexia at single-cell resolution.
Methods: We established a workflow for the characterization of human AT by single nucleus sequencing, which we applied to a representative cohort of surgical patients from Heidelberg University Hospital, grouped (1) PDAC with cachexia (2) PDAC without cachexia and (3) patients without a history of malignancy. In order to validate factors directly affecting glycerol release from adipocytes, we developed an in vitro murine co-culture system. This robust platform allowed us to examine the effect of macrophages, a central immune cell type in the AT, on adipocyte lipolysis by measuring the amount of released glycerol from adipocytes following a 6h-incubation in macrophage supernatant. Metabolomics analysis was applied to investigate metabolite abundance in the macrophage supernatants.
Results: Our analysis of 280,000+ cells reveal distinct subpopulations of adipocytes, adipose stem and progenitor cells, mesothelial and immune cells. Our data identify cachexia-associated immune signatures and highlight changes at the immunometabolic junction, linking specific cell types to an increased risk of PDAC-associated cachexia. Additionally, we outline a framework of cellular interactions within the adipose niche in the context of cachexia. The biggest phenotypic shifts were observed in macrophages and adipocytes which showed signs of oxidative stress and altered metabolism. Accordingly, macrophage conditioned media significantly elevated lipid release from murine adipocytes, demonstrating that macrophages may play a role in cancer-associated adipose wasting.
Conclusion: With the largest single-nucleus RNA dataset present to date, we offer a detailed view of the human adipose tissue microenvironment in PDAC-associated cachexia. This dataset serves as a crucial resource for understanding the cellular mechanisms underlying cachexia and may help identify novel therapeutic targets.

16:30 – 16:36

KV 286 NUCKS1 protein as a marker of aggressivity in PDAC. a single center cohort

Remus Bobe (Düsseldorf)

KV 286 NUCKS1 protein as a marker of aggressivity in PDAC. a single center cohort

R. Bobe1, G. Flügen1

1Universitätsklinikum Düsseldorf, Allgemein-, Viszeral- und Kinderchirurgie, Düsseldorf, Deutschland

Introduction: The ductal adenocarcinoma of the pancreas (PDAC) is an aggressive form of cancer that remains difficult to manage despite intensive research. NUCKS1 (nuclear casein kinase and cyclin dependent kinase substrate1) is a protein present in almost all human cells with an important role in proliferation and DNA repair, demonstrated to have correlated with aggressivity and prognosis in many types of cancer.
Objectives: The objective of this study was to examine the expression of NUCKS1 and p53 protein in a large cohort of PDAC to elucidate if NUCKS1, similar to p53, can be used as a potential marker to determine prognosis.
Methods: The patient collective is comprised of 192 patients with PDAC that underwent surgery at the University Clinic of Düsseldorf between September 2003 and January 2017. Tissue microarrays (TMA) composed of pancreatic tumor tissue, lymph node metastasis and normal pancreatic tissue were stained for NUCS1 and p53 for each patient. The IHC staining results were evaluated using the IRS (immune reactive score) in case of the NUCKS1 staining and a proprietary score for the p53 staining.
Results: 192 patients were enrolled (93 female and 99 male, mean age 68yrs), and 175 presented with T3 tumors. The patient collective was divided into two groups according to the NUCKS1 staining: above or beneath the median of the IRS. An assessment was made between the two groups concerning the clinical and histopthological factors, and statistical differences were discovered. A significantly higher expression of NUCKS1 was shown in less aberrant (≤G2) tumors, as well as a tendency for a longer survival (p=0,051, Log-Rank Test). Similarly, patients without distant metastases (M0) showed a significantly higher expression of nuclear NUCKS1 in lymph node metastases and the cytoplasm of normal tissue, compared to patients with distant metastases (M1). There was no relevant co-expression of p53 and NUCKS1, as well as no correlation between aberrant p53 protein and clinicopathological characteristics. In our patient collective there was no statistically significant difference in the 5-year OS based on NUCKS1 or p53 expression.
Conclusions: The higher NUCKS1 expression seems to correlate to a less aggressive tumor phenotype (≤G2, M0). Surprisingly, an aberrant p53 expression did not correlate with NUCKS1 expression or worse OS. NUCKS1 seems to be rather a protective factor in PDAC patients, possibly due to the known role of NUCKS1 in genome repair.

16:38 – 16:44

KV 287 FAS (CD95) vermittelt die neurale Invasion beim Pankreaskarzinom

Mara Rebecca Goetz (Hamburg)

KV 287 FAS (CD95) vermittelt die neurale Invasion beim Pankreaskarzinom

M.R. Goetz1,2, C. Müller1, H. Taher1, C. Mota-Reyes1, R. Göß1, H. Friess1, I.E. Demir1

1Klinik und Poliklinik für Chirurgie, Technische Universität München, München, Deutschland, 2Klinik für Allgemein-, Viszeral-, und Thoraxchirurgie, Universitätsklinikum Hamburg-Eppendorf, Hamburg, Deutschland

Studien zeigen eine erhöhte Expression des FAS-Rezeptors (CD95; FAS) beim Pankreaskarzinom (PDAC), assoziiert mit einer ungünstigen Prognose. Ein zentrales Merkmal des PDAC ist die perineurale Invasion (PNI), ein unabhängiger prognostischer Marker. FAS, ein Schlüsselmolekül des extrinsischen apoptotischen Signalwegs, scheint auch bei der Zellmigration involviert zu sein. Erste Hinweise deuten darauf hin, dass die FAS-Signalkaskade die Zellmigration und PNI bei PDAC beeinflusst. ​Die folgende Studie hat das ​Ziel zu klären, ob FAS ​eine Rolle spielt bei der Zellmigration und PNI beim PDAC und welche Mechanismen ​auf ​molekularer Ebene dem zugrunde liegen.

Transkriptomische Analysen wurden an gentechnisch veränderten Mausmodellen (GEMMs) mit humanähnlichen PNI- oder Nicht-PNI-Phänotypen durchgeführt. Human- und mausbasierte neuroinvasive PDAC-Zelllinien wurden mittels qRT-PCR und Western Blot auf FAS-RNA- und Proteinlevel untersucht. Multigewebeblöcke (Tissue Micro Arrays; TMAs) von PDAC-Patienten mit und ohne PNI wurden immunhistochemisch mit Anti-FAS-Antikörpern gefärbt. Caspase-3 wurde als nachgeschalteter Marker analysiert. Die nicht-apoptotische Rolle von FAS bei der Zellmigration wurde in einem 3D-Migrationsassay mit Neuronen aus Dorsalwurzelganglien (DRG) und invasiven PDAC-Zellen jeweils unter Exposition gegenüber FAS siRNA, FAS neutralisierenden Antikörperm sowie alternativ nach Exposition gegenüber dem Fas-Liganden (FasL) analysiert. Anschließend wurde die Aktivierung von GTP-gebundenem CDC42 als Marker der Zellmigration per Western Blot analysiert.

Transkriptomische Daten zeigten eine erhöhte FAS-Expression in PNI-GEMMs im Vergleich zu Nicht-PNI-Modellen. qRT-PCR und Western Blot bestätigten diese Ergebnisse in PDAC-Zelllinien. Histologische Analysen humaner Tumoren ergaben eine signifikant höhere FAS-Expression in PNI-positiven Tumoren. Caspase-3 war nur geringfügig erhöht, was auf eine begrenzte Apoptoseaktivität hinweist. Im 3D-Migrationsassay zeigten PDAC-Zellen eine ausgeprägte Affinität zu Neuronen. Die Inhibition von FAS verringerte die Migration deutlich, während FasL diese verstärkte. Die GTP-Bindung von CDC42 nahm nach FasL-Stimulation zu – ein Hinweis auf die Beteiligung von FAS an Zellmigrationssignalkaskaden.

Diese Befunde zeigen, dass FAS in neuroinvasiven PDAC-Zellen stark exprimiert ist und wesentlich zur Tumorzellmigration beiträgt.

16:46 – 16:52

KV 288 All-trans Retinsäure und Arsentrioxid verbessern die Wirksamkeit von Gemcitabin im PDAC: Funktionelle Validierung im Organoidmodell und Analyse klinischer Biomarker

Carola Focke

KV 288 All-trans Retinsäure und Arsentrioxid verbessern die Wirksamkeit von Gemcitabin im PDAC: Funktionelle Validierung im Organoidmodell und Analyse klinischer Biomarker

C. Focke1, S. Niesen2, S. Keller1, H. Scheffold1, J. Duyster2, S. Fichtner-Feigl1, H. Becker2, D.A. Ruess1,3

1Universitätsklinikum Freiburg, Klinik für Allgemein- und Viszeralchirurgie, Freiburg, Deutschland, 2Universitätsklinikum Freiburg, Klinik für Hämatologie, Onkologie und Stammzelltransplantation, Freiburg, Deutschland, 3Deutsches Konsortium für Translationale Krebsforschung (DKTK), Standort Freiburg, und Deutsches Krebsforschungszentrum (DKFZ), Heidelberg, Deutschland

Einleitung: Das duktale Adenokarzinom des Pankreas (PDAC) ist eine aggressive Tumorerkrankung mit schlechter Prognose. Die ausgeprägte Therapieresistenz wird unter anderem durch die desmoplastische, immunsuppressive Tumorumgebung begünstigt. Aktivierte pankreatische Sternzellen (PSC) verlieren ihre Retinsäurespeicher und produzieren vermehrt entzündliche und stromaremodellierende Proteine. All-trans Retinsäure (ATRA) könnte, insb. in Kombination mit Arsentrioxid (ATO), durch Modulation des Tumor-assoziierten Fibroblasten (CAF) im Rahmen einer Gemcitabin (GEM)-basierten Therapie wirksam sein. Besonders ältere oder gebrechliche Patient:innen, die meist mit GEM behandelt werden, könnten von einer Steigerung der GEM-Wirksamkeit ohne erhöhte Toxizität profitieren.
Ziele: Ziel der Studie war die Verifizierung der Wirksamkeit einer ATRA-(ATO)-GEM-Kombination im murinen und humanen Organoidmodell. Parallel wurde das Potenzial von PTX3- und Vitamin-A-Serumspiegel als prädiktive Biomarker untersucht.
Methodik: Aus Primärtumoren oder Metastasen gewonnenes Frischgewebe wurde zur Generierung patientenabgeleiteter Organoide (PDOs) verwendet. Diese wurden 72 Stunden mit GEM, GEM+ATRA oder GEM+ATRA+ATO in verschiedenen Konzentrationen behandelt, anschließend wurde die Zellviabilität bestimmt. Zur Validierung wurden Ko-Kulturen aus Tumorzellen mit PSC bzw. CAF untersucht. Zusätzlich erfolgte die Analyse von PTX3- und Vitamin-A-Spiegeln in Blutproben einer prospektiven Kohorte von Patient:innen mit metastasiertem PDAC unter GEM-basierter Therapie (ohne ATRA) in Bezug auf das klinische Ansprechen.
Ergebnis: In den PDOs (n=11) zeigte sich ein additiver Effekt von ATRA/(ATO) und GEM auf die Organoid-Viabilität. In den Ko-Kulturen (n=2 humane; n=2 murine Tumorzell-CAF/PSC-Kombinationen) war die Kombination von GEM mit ATRA potenter als GEM alleine. Die Zugabe von ATO steigerte die Wirksamkeit in allen vier Ko-Kulturen zusätzlich. In der klinischen Kohorte (n=18) korrelierte ein Abfall von PTX3 und stabile Vitamin-A-Spiegel mit Therapieansprechen.
Schlussfolgerung: ATRA/(ATO) erhöht die Wirksamkeit von GEM in der PDAC-Organoid- und CAF-Ko-Kultur-Modellen. Unsere Daten unterstützen die Kombination in klinischen Studien zu untersuchen. PTX3 und Vitamin A könnten hierin als potenzielle Biomarker des Therapieansprechens benutzt werden.
Figure 1: Additive Effect of ATRA/(ATO) and Gemcitabine on PDO Viability. This figure demonstrates the combined effect of ATRA/(ATO) and gemcitabine on organoid viability. The x-axis represents different concentrations of gemcitabine, the concentration of added ATRA is always 10µM, while the y-axis shows the relative viability of organoids. The data points (dots) represent technical triplicates for each treatment condition. Error bars represent standard deviation (SD) of technical triplicates.
Fig. 1: Additive Effect of ATRA/(ATO) and GEM on PDO Viability.

16:54 – 17:00

KV 289 Vertical RAS-pathway inhibition in pancreatic cancer drives therapeutically exploitable mitochondrial alterations

Philipp Hafner (Freiburg im Breisgau)

KV 289 Vertical RAS-pathway inhibition in pancreatic cancer drives therapeutically exploitable mitochondrial alterations

P. Hafner1, S. Keller1, X. Chen1, A. Alrawashdeh1, H. Jumaa1, F. Nollmann1, S. Besson1, J. Kemming1, O. Gorka2, T. Das3, B. Appiah3, A. Lehmann3, M. Li4, P. Apostolova5, B. Bengsch6, S. Tholen4, O. Schilling4, O. Groß2, A. Vlachos7, U.A. Wittel1, D. von Elverfeldt8, W. Reichardt8, M. Boerries3, G. Andrieux3, G.J. Heynen9, S. Fichtner-Feigl1, L. Hannibal10, D.A. Ruess1

1Medical Center – University of Freiburg, Department of General and Visceral Surgery, Freiburg im Breisgau, Deutschland, 2Medical Center – University of Freiburg, Institute of Neuropathology, Freiburg im Breisgau, Deutschland, 3Medical Center – University of Freiburg, Institute of Medical Bioinformatics and Systems Medicine, Freiburg im Breisgau, Deutschland, 4Medical Center – University of Freiburg, Institute of Surgical Pathology,, Freiburg im Breisgau, Deutschland, 5University Hospital Basel, Division of Hematology, Basel, Schweiz, 6Medical Center – University of Freiburg, Department of Internal Medicine II, Freiburg im Breisgau, Deutschland, 7Medical Center – University of Freiburg, Department of Neuroanatomy, Freiburg im Breisgau, Deutschland, 8Medical Center – University of Freiburg, Division of Medical Physics, Freiburg im Breisgau, Deutschland, 9Medical Department – Charité Universitätsmedizin Berlin, Division of Hematology, Oncology and Tumor Immunology, Berlin, Deutschland, 10Medical Center – University of Freiburg, Department of Pediatrics, Freiburg im Breisgau, Deutschland

Oncogenic KRAS mutations drive metabolic rewiring in pancreatic ductal adenocarcinoma (PDAC). Src-homology 2 domain-containing phosphatase 2 (SHP2) is essential for full KRAS activity and promising dual SHP2/mitogen-activated protein kinase (MAPK) inhibition is currently being tested in clinical trials. Exploitable metabolic adaptations may contribute to an invariably evolving resistance.
To understand the metabolic changes induced by dual inhibition, we comprehensively tested cell lines, endogenous tumor models, and patient-derived organoids representing the full spectrum of PDAC molecular subtypes.
We find that dual SHP2/mitogen-activated protein kinase kinase (MEK1/2) inhibition induces major mitochondrial alterations, elevates reactive oxygen species (ROS) levels and triggers a lipid peroxidase dependency. While anabolic pathways, glycolysis and autophagy were also affected, mitochondrial alterations persisted longterm into a therapy resistant state.
The resulting vulnerability to induction of ferroptotic cell death via combined SHP2/MEK1/2 and glutathione peroxidase (GPX4) inhibition provides a metabolic lever to reinforce RAS-pathway inhibition for targeted PDAC treatment.

17:02 – 17:08

KV 290 IRE1a as a prognostic marker and therapeutic target in Pancreatic Ductal Adenocarcinoma (PDAC)

Tamal Sarkar (Giessen)

KV 290 IRE1a as a prognostic marker and therapeutic target in Pancreatic Ductal Adenocarcinoma (PDAC)

T. Sarkar1, C. Niemeyer2, L. Fieberg1, C. Tuffs1, D. Lucas2, M. Strowitzki1, M. Bartkuhn3, K. Giehl4, M. Kiran5, J. Harnoss1

1University Hospital Giessen, Department of General, Visceral, Thoracic, and Transplantation Surgery, Giessen, Deutschland, 2University Hospital Heidelberg, Department of General, Visceral, And Transplant Surgery, Heidelberg, Deutschland, 3Justus-Liebig-University Giessen, Biomedical Informatics and Systems Medicine, Giessen, Deutschland, 4Justus Liebig University Giessen, Signal Transduction of Cellular Motility, Internal Medicine IV, Science Unit for Basic and Clinical Medicine, Giessen, Deutschland, 5University of Hyderabad, Department of Systems and Computational Biology, School of Life Sciences, Hyderabad, Indien

Introduction: Pancreatic ductal adenocarcinoma (PDAC) is an aggressive disease with limited therapeutic options and poor prognosis. Current treatment options remain limited, urging for better understanding of the molecular mechanisms in PDAC. Cells from PDAC tumors face significant ER stress due to increased secretory demand, oncogenic activation and the tumor microenvironment. The unfolded protein response (UPR), a cellular stress response that helps manage unfolded proteins in the endoplasmic reticulum (ER) is of paramount importance in this context. The Inositol requiring enzyme 1 alpha (IRE1a) arm of UPR has emerged as a promising target for therapeutic intervention. However, its role in PDAC remains insufficiently explored.
Objectives: This study aims to evaluate IRE1a as a prognostic marker in patients with PDAC and to explore its potential as a therapeutic target.
Methods: IRE1a knockdown was introduced using shRNA interference. Viability and apoptosis was measured using glow assays. RNA sequencing was utilised to study effect of IRE1a knockdown in PDAC cells. Western blotting was used to validate alterations in key proteins. An IRE1a dependent signature, dubbed PRIME (Pancreatic cancer Response to IRE1 Mediated stress), was established to stratify patients into risk groups.
Results: IRE1a knockdown resulted in reduction of cell viability and increase in apoptosis that could not be rescued by apoptosis inhibition using Z-VAD-FMK. RNA sequencing revealed downregulation of cell cycle and validated upregulation of apoptosis pathway. Western blotting confirmed reduction in cell cycle related proteins phosphor-r retinoblastoma (pRb), and tumor protein 53 (p53) expression, upregulation of cell cycle attenuator cyclin dependent kinase 1 B (p27). Simultaneous downregulation of phospho-protein kinase B ser473 (pAKTser473) might be the link between IRE1a kd and p27 mediated cell cycle arrest. Survival analysis using from a combined cohort of TCGA-PAAD and ICGC-PACA-AU provided a list of 9 genes. A risk score derived from this 9-gene signature significantly stratified patients into high- and low-risk groups, with median survival times of 515 and 919 days.
Conclusions:
This study establishes IRE1a as a crucial regulator of PDAC cell viability and cell cycle arrest. The association between IRE1a knockdown and patient survival highlights its potential as both a prognostic biomarker and a therapeutic target, particularly for high-risk PDAC patients.

17:10 – 17:16

KV 281 Transitional type circulating tumor cells predict systemic recurrence and benefit of adjuvant chemotherapy after resection of pancreatic ductal adenocarcinoma: long-term outcomes of the CLUSTER trial

Ingmar F. Rompen (Heidelberg)

KV 281 Transitional type circulating tumor cells predict systemic recurrence and benefit of adjuvant chemotherapy after resection of pancreatic ductal adenocarcinoma: long-term outcomes of the CLUSTER trial

I.F. Rompen1, J.R. Habib2, A. Marchetti2, E. Sereni2, J. He3, B. Hewitt2, G. Sacks2, K. Morgan2, A. Javed2, C.L. Wolfgang2

1Universitätsklinikum Heidelberg, Departement für Allgemein, Viszeral und Transplantationschirurgie, Heidelberg, Deutschland, 2New York University, Department of Surgery, New York, Vereinigte Staaten, 3Johns Hopkins, Department of Surgery, Baltimore, Vereinigte Staaten

Aim: To evaluate the role of transitional circulating tumor cells (trCTCs) in predicting systemic recurrence and survival benefit from adjuvant chemotherapy.
Background: The high metastatic potential of pancreatic cancer (PDAC) is presumed to be associated with early dissemination after cancer cell reprogramming via an epithelial-to-mesenchymal transition. These cells are detectable in circulation as trCTCs and could serve as valuable biomarker capturing systemic disease involvement.
Methods: The prospective CLUSTER trial enrolled patients planned for PDAC resection (2016-2018). CTCs were isolated pre- and postoperatively using the Isolation by SizE of Tumor Cells device and characterized by immunofluorescence. Cox-regression models with spline terms were used to estimate non-linear associations between preoperative serologic biomarkers and systemic recurrence. Additionally, multivariable cox-subgroup analyses with interaction tests were performed to assess overall survival differences associated with adjuvant chemotherapy.
Results: In preoperative samples, trCTCs were detected in 82 (67%) of 123 patients with a median number of two cells per ml (IQR 1-3). A linear association of preoperative trCTC-counts with systemic recurrence (χ²=13.2, p=0.004, Figure 1 and 2) was observed. Furthermore, there was an associated treatment benefit of adjuvant treatment only in trCTC positive patients after resection (N=31, 0.21, 95%CI: 0.09-0.49) whereas there was no associated benefit for trCTC negative patients (HR 1.62, 95%CI: 0.51-5.16) after adjustment for tumor stage and neoadjuvant chemotherapy.
Conclusions: Preoperatively, increase of trCTC count is associated with a strong increase in risk for systemic recurrence. Furthermore, we could confirm that postoperative presence of trCTC represents minimal residual disease and that these patients benefit from adjuvant chemotherapy. The integration of trCTC into the clinical pathway for patients with PDAC could enhance risk stratification and enable more personalized treatment decisions.

Figure 1 shows the joint association of pre-operative trCTC count and CA19-9. There was no correlation between both preoperative assessed serologic biomarkers however both were associated with systemic recurrence. For example, a CA19-9 within normal range (5-37) and two detectable trCTCs has similar predictivity as negative trCTCs with a CA19-9 of 200, whereas a patient with two trCTCs and a CA19-9 of 200 was predicted to have an 85-90% chance of systemic recurrence. White dots represent actual patient values.
Kaplan-Meier Curves showing unadjusted survival for subgroups. 95%-Intervals are shown in hatched color, crosses represent time of censoring.
Subgroup analyses show different OS-improvement associated with the receipt of adjuvant treatment. P-Interaction for differing treatment effects between subgroups: postoperative trCTC (0.004). CA19-9 (0.504), tumor stage (0.136), lymph node status (0.069), receipt of neoadjuvant treatment (0.099). dots represent estimates, whereas lines represent 95%CI, * represent out of bounds 95*CI.

Kurzvortragssitzung

Metabolische Chirurgie

16:00 – 17:04

Do 18.09.

Vortragsraum 10

Open Accordion - Icon Close Accordion - Icon

Vorsitz: Susanne Bayerköhler (Garmisch-Partenkirchen) und Sebastian Schölch (Mannheim)

16:00 – 16:06

KV 352 Präoperativer Abbruch vor bariatrischen Operationen – Single- Centre- Experience in Bayern

Raphael Werner (Regensburg)

KV 352 Präoperativer Abbruch vor bariatrischen Operationen – Single- Centre- Experience in Bayern

R. Werner1, L. Halmy1, A. Rahja1, P. Piso1, E. Bonrath1,2

1Klinik für Allgemein- und Viszeralchirurgie, Barmherzige Brüder, Regensburg, Deutschland, 2Praxis für Chirurgie und Handchirurgie, Regensburg, Deutschland

Einleitung: Obwohl die Inzidenz der Adipositas auch in Deutschland weiterhin steigt, bleibt die Zahl der durchgeführten metabolischen Operationen pro 100.000 Einwohner hinter dem internationalen Vergleich zurück. Die Ursachen hierfür sind multifaktoriell; eine mögliche Begründung könnte eine hohe Abbruchrate vor einem Eingriff in der Vorbereitungsphase sein.
Ziele: Wir möchten die Rate und Gründe des präoperativen Abbruchs in unserem operativen Zentrum besser verstehen, um strukturelle Strategien zu entwickeln, die die Zahl hoher Therapieabbrüche verringern könnten.
Methodik: Patient*innen, die sich im Jahr 2022 erstmalig in unserem Zentrum vorgestellt haben, wurden in drei Gruppen unterteilt: Patient*innen, die sich einer Operation unterzogen haben, Patient*innen, die sich keiner Operation unterzogen haben, aber noch Termine wahrgenommen haben und Untersuchungen zur Vorbereitung erfolgten, und Patient*innen, die nicht mehr vorstellig wurden oder weitere Untersuchungen bis zum Stichtag am 30.03.2025 nicht durchführen ließen.
Der präoperative Therapieabbruch wurde definiert als diejenigen Patienten, die bis März 2025 nicht operiert wurden, bei der Kontrolle die Operation nicht mehr wünschten oder die seit dem ersten Kontakt keine geplanten Nachuntersuchungen/Termine wahrgenommen hatten. Von dieser Gruppe wurden 50 % für ein kurzes strukturiertes Telefon-Interview randomisiert ausgewählt.
Ergebnisse: Es gab 222 Erstvorstellungen, davon wurden im Zeitraum 68 (30 %) operiert. Von den nicht operierten (n=154) waren 59 (27 %) nochmals vorstellig, von diesen brachen 8 die Behandlung ab. Bei 51 erfolgt noch die Behandlung. 95 (43 %) waren nicht mehr vorstellig (Patientenfluss in Abbildung 1). Der mediane Zeitraum von Vorstellung bis zur Operation betrug 329 Tage (IQR 248 – 443 Tage).
Schlussfolgerung: Die Abbruchrate in unserem Zentrum ist hoch. Die Zeit bis zur erfolgreichen Operation beträgt fast ein Jahr, teils jedoch auch deutlich länger. Die erforderlichen Voruntersuchungen vor einer Operation sind bei knappen Ressourcen bei Facharztterminen eine Herausforderung für unsere Patient*innen. Um bessere Strukturen zu schaffen, werden wir nun die detaillierten Gründe für den Therapieabbruch in Telefoninterviews evaluieren.

16:08 – 16:14

KV 353 Diagnostische Genauigkeit von nicht-invasiven Tests der MASLD bei Patienten mit Adipositas: Ergebnisse der BariNASH Studie

Clara Böker (Hannover)

KV 353 Diagnostische Genauigkeit von nicht-invasiven Tests der MASLD bei Patienten mit Adipositas: Ergebnisse der BariNASH Studie

C. Böker1, A. Campos-Murguia2, M. Manns2, C. Terkamp2, K. Yamac1, L. Wilkens3, H. Wedemeyer2, J. Mall1, K. Hupa-Breier2

1KRH Klinikum Nordstadt, Klinik für Allgemein-, Viszeral-, Gefäß- und Adipositaschirurgie, Hannover, Deutschland, 2Medizinische Hochschule Hannover, Klinik für Gastroenterologie, Hepatologie, Infektiologie und Endokrinologie, Hannover, Deutschland, 3KRH Klinikum Nordstadt, Institut für Pathologie, Hannover, Deutschland

Einleitung: Patienten mit Adipositas und Indikation zur bariatrischen Operation sind ein besonderes Risikokollektiv für das Vorhandensein einer Metabolischen Dysfunktion-assoziierten steatotischen Lebererkrankung (MASLD). Allerdings fehlen bislang einfache präoperative Testverfahren zur Diagnostik der aggressiven Form, der Metabolischen Dysfunktion-assoziierten Steatohepatitis (MASH) und der assoziierten Leberfibrose.
Ziele: Ziel dieser Arbeit ist die Testung nicht-invasiver diagnostischer Marker der MASLD und MASH bei Patienten mit Adipositas II und III.
Methodik: Die BariNASH Studie ist eine prospektive Beobachtungsstudie an Patienten, die sich einer bariatrischen Operation unterziehen. Nach Studieneinschluss erfolgte eine intraoperative Leberbiopsie. Anschließend wurde das Vorhandensein einer MASLD und MASH mit klinischen Parametern sowie verschiedenen nicht-invasiven Fibrose- und MASLD- Testverfahren korreliert.
Ergebnisse: Zwischen 2020 bis 2023 wurden insgesamt 278 Patienten eingeschlossen, von denen 263 Patienten ein histologisches Ergebnis hatten. Der Großteil der Patienten war weiblich (70 %), der mediane BMI lag bei 50,1 kg/m². Insgesamt hatten 48% der Patienten eine MASLD (n=126), 45% der Patienten bereits eine MASH (n= 119). In nur 7% der Fälle lag keine MASLD/MASH vor (n=18). Nur 10% der Pateinten (n=26) hatten eine Fibrose ≥2. Patienten mit einer MASLD/MASH hatten häufiger Diabetes und eine Dyslipidämie.
Laborchemisch waren AST, ALT, yGT, HbA1c, Basalinsulin, Triglyceride und Triglycerid/HDL (Tri/HDL) Ratio signifikant höher bei Patienten mit MASLD oder MASH im Vergleich zu Patienten ohne Steatose. Interessanterweise unterschieden sich Patienten mit MASLD und MASH nur hinsichtlich erhöhter Trigylceride und einer erhöhten Tri/HDL Ratio. Der Fatty Liver Index (FLI) zeigt in diesem Kollektiv eine gute diagnostische Genauigkeit (AUC: 0,88), gefolgt von dem NAFLD liver fat score (NLFS; AUC: 0,78). Weder der Ni-NASH Score (AUC: 0,52) noch der M30 Marker (AUC: 0,60) zeigten in diesem Kollektiv jedoch eine ausreichende diagnostische Genauigkeit.
Schlussfolgerung: Die überwiegende Mehrheit an Patienten mit der Indikation zur bariatrischen OP leiden bereits an einer MASLD oder MASH. Die Höhe der Triglyceride und die Tri/HDL Ratio korrelieren mit dem Vorhandensein einer MASH. Der FLI erscheint in diesem Kollektiv als geeignetes Tool zum präoperativen Assessment einer MASLD.

16:16 – 16:22

KV 355 Gewichtsreduktion mit der digitale Adipositastherapie zanadio bei Patienten mit kardiovaskulären Erkrankungen und assoziierten Risikofaktoren

16:24 – 16:30

KV 356 Additiver Effekt von Roux-Y Magenbypass und niedrigkalorischer Diät auf MASLD im Vergleich zur niedrigkalorischen Diät alleine

Alida Finze (Mannheim)

KV 356 Additiver Effekt von Roux-Y Magenbypass und niedrigkalorischer Diät auf MASLD im Vergleich zur niedrigkalorischen Diät alleine

A. Finze1, S. Blank1, J. Scholtissek1, M. Otto1

1Universitätsmedizin Mannheim, Chirurgische Klinik, Mannheim, Deutschland

Einleitung: Inzwischen ist die langfristige Wirksamkeit einer RYGB-Operation im Rahmen eines metabolisch-bariatrischen Eingriffs zur Therapie der nicht-alkoholischen Fettlebererkrankung (MASLD) nachgewiesen. Bisher gilt jedoch die niedrigkalorische Diät (VLCD) und Gewichtsreduktion weiterhin als therapeutischer Goldstandard. Ein direkter Vergleich zwischen den beiden Therapieformen ist bisher nicht veröffentlicht.
Ziele: In der hier präsentierten prospektiven, randomisiert kontrollierten Studie sollen mittels Leberbiopsien der kurzfristige histologische Effekt einer VLCD mit einer Kombination von VLCD und RYGB bei PatientInnen mit MASLD verglichen werden.
Methodik: Es wurden alle PatientInnen mit geplantem RYGB mittels Risikoscore gescreent. Ein möglicher Einschluss erfolgte bei erhöhtem Risiko im NAFLD Fibrosis score. Insgesamt wurden 47 PatientInnen in zwei Gruppen eingeteilt. Gruppe A (n=25) erhielt eine Leberbiopsie 2 Wochen vor Operation, dann eine VLCD und eine zweite Biopsie intraoperativ. Gruppe B (n=22) erhielt eine Leberbiopsie intraoperativ und eine zweite Biopsie 2 Wochen postoperativ. Nach einer Zwischenanalyse wurde bei fehlenden Effekten die Studie frühzeitig beendet.
Ergebnis: Es konnte eine signifikante Abnahme des prozentualen Leberfettanteils in Gruppe B (p=0,0435) festgestellt werden. Der Mittelwert lag bei 7% im Vergleich zu Gruppe A mit 2,77%. Weiterhin zeigte sich in Gruppe B ein signifikanter laborchemischer Anstieg der Alkalischen Phosphatase von 69U/L auf 79U/L sowie ein Abfall von 80U/L auf 75U/L in Gruppe A (p=0,0007). Signifikante Veränderungen bei NAS-Score oder im Fibrosegrad konnten nicht beobachtet werden. 3 PatientInnen aus Gruppe B zeigten 2 Wochen postoperativ eine Exazerbation der MASLD mit Wechsel von Steatosis Hepatis zur Steatohepatitis.
Schlussfolgerung: Im untersuchten Zeitraum von 2 Wochen konnte keine signifikante Besserung der Inflammation oder Fibrose bei Kombination von RYGB und VLCD dargestellt werden. Als neue Erkenntnis kann jedoch der intensivierte Effekt der Kombination von RYGB und VLCD auf den prozentualen Leberfettanteil dargestellt werden. Weiterhin konnte bei einzelnen PatientInnen nach RYGB ein relevantes histologisches Aufflammen der MASLD beobachtet werden. Weitere Untersuchungen sind zu dieser Erkenntnis und deren Ursachen dringend notwendig.

16:32 – 16:38

KV 357 Netzwerk-Metaanalyse zum Vergleich des Outcomes nach metabolischer Chirurgie vs. Konservativer Therapie bezüglich Verbesserung von Nebenerkrankungen wie Diabetes und makrovaskulärem Outcome

Donna Noeva

KV 357 Netzwerk-Metaanalyse zum Vergleich des Outcomes nach metabolischer Chirurgie vs. Konservativer Therapie bezüglich Verbesserung von Nebenerkrankungen wie Diabetes und makrovaskulärem Outcome

D. Noeva1, A. Billeter2, B. Müller2, D.C. Kümmerli2

1Universität Heidelberg, Heidelberg, Deutschland, 2Clarunis Universitäres Bauchzentrum Basel, Viszeralchirurgie, Basel, Schweiz

Einleitung: Der Diabetes Mellitus ist eine metabolische Erkrankung, die mit einer gestörten Insulin- und Glucosetoleranz einhergeht. Dabei leidet die große Mehrheit der Diabeteskranken an Diabetes Mellitus Typ 2. Unter den Langzeitkomplikationen der Erkrankung fallen Mikro- und Makroangiopathien. Zur Therapie sind über die letzten Jahre die SGLT-2 Antagonisten sowie die GLP-1 Agonisten aufgrund ihrer positiven Auswirkung auf kardiovaskuläre Aspekte in den Fokus geraten. Parallel wurde von mehreren Studien die Bedeutung metabolischer Eingriffe wie die Sleeve-Gastrectomie (LSG) oder Roux-Y-Gastric-Bypass (LRYGB) für die Diabetes-Remission und das Auftreten kardiovaskulärer Ereignisse abgebildet.
Ziel: Das Ziel ist eine Darstellung, sowie Vergleich, der Komplikationen und kardiovaskulären Ereignisse bei den chirurgisch-metabolischen und den medikamentösen (Insbesondere SGLT2 und GLP1 Medikamente) Interventionen bei Patienten mit DMT2.
Methodik: Es wurde eine Netzwerk-Metaanalyse durchgeführt. Eingeschlossen wurden ausschließlich randomisierte kontrollierte Studien (RCT), die im Rahmen einer mehrstufigen Literaturrecherche selektiert wurden. Anhand der veröffentlichten Daten wurden sowohl direkte als auch indirekte Vergleiche zwischen den verschiedenen Interventionen ermöglicht.
Ergebnis: Die Komplikationen wurden gemäß der modifizierten Clavien-Dindo-Klassifikation sortiert, die einen Vergleich zwischen chirurgischen und internistischen Maßnahmen ermöglicht. Für CD V (Tod) ergab sich keinen signifikanten Unterschied zwischen den untersuchten Armen. Das geringste Risiko für schwere Komplikationen (CD III-IV) zeigten die Biliopankreatische Diversion (BPD) und der LRYGB. Leichte Komplikationen (CD I-II) traten am seltensten in den Armen der Lifestyle-Intervention sowie der medikamentösen Therapie auf.
Das Risiko von MACE (Major Adverse Cardiac Event) zeigte sich am geringsten bei BPD, LRYGB und der LSG.
Schlussfolgerung: Die Analyse zeigt ein niedrigeres Risiko für schwere Komplikationen und MACE bei chirurgischen Eingriffen. Leichte Komplikationen treten hingegen seltener bei medizinischen Interventionen und Lifestyle-Veränderungen auf. Aufgrund der erheblichen Heterogenität zwischen den ausgewählten Studien wird die Interpretation und die Vergleichbarkeit der Ergebnisse beeinflusst. Die Befunde betonen die Relevanz einer individuellen Behandlungsstrategie, die Komplikationen minimiert und gleichzeitig die kardiovaskuläre Gesundheit fördert.

16:40 – 16:46

KV 358 EUS-Directed Transgastric ERCP (EDGE) after conversion of sleeve gastrectomy to roux-en-Y gastric bypass (SG-RYGB): managing biliary leak and stones in complex surgically altered anatomy

16:48 – 16:54

KV 354 Treatment pathways and outcomes in patients with BMI ≥50 kg/m²: conservative treatment, immediate surgery or stepwise surgical approach

Sara Notz (Hamburg)

KV 354 Treatment pathways and outcomes in patients with BMI ≥50 kg/m²: conservative treatment, immediate surgery or stepwise surgical approach

S. Notz1, R. Grotelueschen1, J. Pape1, B.-O. Stueben2,3, L. Stern1, J. Gerullies1, A. Lautenbach4, T. Hackert1, P. Busch1, A. Duprée1, D. Weber3, O. Mann1, G. Plitzko1,3

1University Medical Center Hamburg-Eppendorf, Department of General, Visceral and Thoracic Surgery, Hamburg, Deutschland, 2Medical Center University Duisburg-Essen, Department of General-, Visceral- and Transplant Surgery, Essen, Deutschland, 3Royal Perth Hospital, Department of General Surgery, Perth, Australien, 4University Medical Center Hamburg-Eppendorf, III Department of Medicine, Hamburg, Deutschland

Introduction: In the developed world, obesity is one of the greatest public health problems. The global prevalence of obesity has increased substantially over the past 40 years. Obesity is associated with an increased risk for type 2 diabetes, hypertension, dyslipidaemia, cardiovascular diseases, certain types of cancer and mortality. Treatment options for obesity include non-surgical treatment and bariatric surgery.
Purpose: Bariatric surgery is the most effective treatment for patients with a BMI ≥50 kg/m², yet preoperative conservative therapy is often mandated. The benefit of such an approach remains controversial. This study aimed to compare outcomes of conservative treatment alone, immediate surgery, and stepwise surgery following failed conservative therapy in patients with BMI ≥50 kg/m².
Methods: All patients with BMI ≥50 kg/m² presenting to a German bariatric center between 2015–2021 were retrospectively categorized into three groups: Non-Surg (conservative therapy only), Surg-First (immediate surgery), and Step-Treat (initial conservative therapy followed by surgery). Primary outcomes were assessed at 6, 12, and 24 months and included weight loss, resolution of obesity-associated comorbidities (hypertension, T2DM , dyslipidemia, OSAS), and overall outcome measured by the SF-BARI score.
Results: Of 918 screened patients, 538 met inclusion criteria and were allocated to Non-Surg (n=203), Surg-First (n=225), and Step-Treat (n=110) (Fig. 1). After 6 months, median %TWL and %EWL were significantly higher in the Surg-First group (%TWL: 23.6% vs. 0%; %EWL: 42% vs. 0%; both P < .001) compared to Non-Surg (Tab. 1). Only 3% of Non-Surg patients achieved adequate weight loss. Surg-First patients also showed higher remission rates of T2DM (54.1% vs. 21.2%; P < .001) and fewer de novo T2DM cases. Compared to Surg-First, the Step-Treat group showed comparable short-term weight loss, but significantly lower %TWL and %EWL at 12 and 24 months (Fig. 2 & 3). Severe postoperative complications (Grade IIIb) were more common in Step-Treat (11.8% vs. 3.6%; P < .001), and SF-BARI scores were significantly higher in Surg-First, indicating superior overall outcomes (Tab. 2).
Conclusion: In patients with BMI ≥50 kg/m², immediate bariatric surgery was associated with superior weight loss, improved comorbidity resolution, and fewer complications compared to conservative therapy alone or a stepwise approach. These findings support direct surgical treatment in this population.

Patient flow in the study
Figure 2 and 3: Percentage Total Weight Loss and Percentage Excess Weight Loss for the Step-Treat and Surg-First group 6, 12 and 24 months after treatment.
Table 1: Weight outcomes and changes in metabolic parameters in the Non-Surg and Surg-First group 6 months after treatment. Table 2: Operative and postoperative metrics of Step-Treat and Surg-First group.

16:56 – 17:02

KV 359 Zwei Seiten einer Medaille – vom Mangel im Überfluss: Fallbericht eines Patienten mit metabolischem Syndrom, Sarkopenie und Mangelernährung

Annekatrin Schwanstecher (Rotenburg)

KV 359 Zwei Seiten einer Medaille – vom Mangel im Überfluss: Fallbericht eines Patienten mit metabolischem Syndrom, Sarkopenie und Mangelernährung

A. Schwanstecher1, J.C. Arnold1

1Diakonieklinikum Rotenburg (Wümme), Klinik für Gastroenterologie, Diabetologie, Endokrinologie – Hepatologie und Ernährungsmedizin, Rotenburg, Deutschland

Einleitung: Adipositas ist als Kernelement des metabolischen Syndroms prädisponierender Faktor für kardiovaskuläre, inflammatorische und maligne Erkrankungen. Sie stellt ein zentrales globales Problem dar, das nicht nur die Industrienationen betrifft.
Die medikamentöse Adipositastherapie erfährt aktuell durch inkretinbasierte Substanzen eine Revolution. Beeindruckende Daten zu diesen zeigen bezüglich Gewichtsreduktion erstmalig die Größenordnung der Effekte bariatrischer Operationen.
Ziele: Ziel unseres Beitrages ist es, anhand eines beeindruckenden Fallbeispiels für die Krankheitsbilder der sarkopenen Adipositas und Mangelernährung zu sensibilisieren.
Methodik: Wir berichten über einen 51-jährigen Patient, der sich mit anhaltendem Gewichtsverlust, Schwäche, Diarrhoen und Verschlechterung des Sehvermögens in unserer Klinik vorstellte.
Ergebnisse: Die medizinische Vorgeschichte ist in Abb. 1, die klinische und laborchemische Konstellation bei Aufnahme sowie weiterführende Diagnostik sind in Tab. 1 dargestellt. Wir stellten die Diagnose einer schweren Mangelernährung bei sarkopener Präadipositas bei Z.n. bariatrischer OP, inkretinbasierter Diabetesmedikation und exokriner Pankreasinsuffizienz, a.e. auf dem Boden einer chronischen Pankreatitis, klinisch apparent erst post OP i.R. pankreatikozibaler Asynchronie.
Unter mehrwöchiger stationärer Realimentierung und Rehabilitation kam es zur sukzessiven Besserung bzw. Normalisierung der auffälligen Laborparameter und Befunde.
Schlussfolgerungen: Unser Patient ist in der o.g. klinischen Konstellation ein Extrembeispiel. Nichtsdestotrotz erscheint die Entwicklung einer so ausgeprägten Mangelernährung bei einem gebildeten, sozial gut eingebundenen Patienten unter Betreuung mehrerer Facharztgruppen erstaunlich.
Ursächlich hierfür ist vermutlich einerseits, dass Mangelernährung aus gesellschaftlicher, teils aber auch ärztlicher Perspektive lediglich am BMI festgemacht wird. Zum anderen besteht große Euphorie bezüglich der Effizienz neuer Optionen in der Adipositastherapie.
Hoch prozessierte, energiereiche, faktisch aber nährstoffarme Produkte tragen zusammen mit Bewegungsarmut entscheidend zur Entstehung von Adipositas bei. In Kombination mit effizenten neuen inkretinbasierten Therapien prädisponieren sie jedoch auch für Mangelernährung und Sarkopenie. Beide haben detrimentale Auswirkungen auf die Lebensqualität und Gesamtprognose und verdienen besondere Aufmerksamkeit und Sorgfalt in der Betreuung adipöser Patienten.

Darstellung des zeitlichen Verlaufs

Kurzvortragssitzung

Multimodale Therapie des kolorektalen Karzinoms

09:30 – 10:47

Do 18.09.

Vortragsraum 11

Open Accordion - Icon Close Accordion - Icon

Vorsitz: Joachim Böttger (Bad Saarow) und Annegrit Decker (Freiburg)

09:30 – 09:35

KV 251 Jugendliche mit familiärer adenomatöser Polyposis coli – Karzinomentstehung und Kolektomie vor dem 18. Lebensjahr

Martin Laaß (Dresden)

KV 251 Jugendliche mit familiärer adenomatöser Polyposis coli – Karzinomentstehung und Kolektomie vor dem 18. Lebensjahr

M.W. Laass1, D. Aust2, A. Jahn3, J. Weitz4

1Universitätsklinikum Carl Gustav Carus an der Technischen Universität Dresden, Klinik und Poliklinik f. Kinder- u. Jugendmedizin, Dresden, Deutschland, 2Universitätsklinikum Carl Gustav Carus an der Technischen Universität Dresden, Institut für Pathologie, Dresden, Deutschland, 3Universitätsklinikum Carl Gustav Carus an der Technischen Universität Dresden, Institut für Klinische Genetik, Dresden, Deutschland, 4Universitätsklinikum Carl Gustav Carus an der Technischen Universität Dresden, Klinik und Poliklinik für Viszeral , Thorax- und Gefäßchirurgie, Dresden, Deutschland

Einleitung: Das mittlere Alter der Karzinomentstehung bei der klassischen familiären adenomatösen Polyposis coli (FAP) liegt bei 40 Jahren. In 80% kann eine pathogene Keimbahnmutation im APC Gen gefunden werden. Unbehandelt entwickeln alle Patienten ein kolorektales Karzinom. Dessen Entstehung vor dem 18. Lebensjahr ist mit ca. 0,05% jedoch selten.
Ziele: Wie hoch ist das Risiko für die Entwicklung eines Kolonkarzinoms vor dem 18. Lebensjahr bei unseren Patienten? Wann und wie sollten die Vorsorgeendoskopien begonnen werden?
Ergebnis: Bei von uns betreuten 40 Kindern (aus 29 Familien) mit einer FAP war bei 3 Betroffenen eine Kolektomie mit Pouch-Anlage bereits vor dem 18. Geburtstag notwendig: einem 16-jährigen Jungen (Patient 1), seiner 14-jährigen Schwester (Patientin 2) und einem 14-jährigen Jungen (Patient 3).
Bei den drei Jugendlichen fanden wir bereits in der ersten Koloskopie > 100 Polypen, überwiegend Adenome mit niedriggradiger Dysplasie (Wien Kategorie 3). Die beiden Jungen hatten bereits große, sessile und ulcerierte Polypen mit hochgradiger Dysplasie (Wien Kategorie 4). Wir stellten bei den drei Jugendlichen die Indikation zur Kolektomie. Beim Patient 1 wurde ein mittelhoch differenziertes Adenokarzinom des rektosigmoidalen Überganges mit Lymphknotenmetastasen nachgewiesen, weshalb eine adjuvante Chemotherapie erfolgte. Bei seiner Schwester fanden sich hochgradige Dysplasien, aber kein Karzinom. Beim Patienten 3 wurde ein Mukosa-Karzinom (Wien Kategorie 4.4) nachgewiesen. Die genetischen Untersuchungen des APC-Gens ergaben bei dem Geschwisterpaar eine Nukleotid-Substitution an der Position -6 von Intron 11, die ein verändertes Spleißen verursacht. Beim Patienten 3 fanden wir heterozygot eine Duplikation im Codon 1301 mit Verschiebung des Leserasters und Einführung eines Stopp-Codons.
Schlussfolgerung: Bei Risikopersonen für eine FAP empfiehlt die DGVS-S3-Leitlinie jährlich Sigmoidoskopien ab dem 10. Lebensjahr und bei Adenom-Nachweis komplette Koloskopien. Europäische Leitlinien empfehlen z.T. den Beginn erst zwischen 12 bis 14 Jahren. Unsere Erfahrung zeigt, dass die erste Vorsorgeendoskopie spätestens ab dem 12. Lebensjahr erfolgen sollte. Eine Kenntnis des Genotyps ist wichtig; Mutationen zwischen Codon 1250 und 1464 führen zu einem schwereren Phänotyp. In unserem Kollektiv hatten 5% der Betroffenen (2/40) ein Kolonkarzinom vor dem 18. Lebensjahr. Die Betreuung dieser Patienten soll interdisziplinär und entsprechend den Leitlinien erfolgen.

09:37 – 09:42

KV 252 Lynch-Syndrom Screening in der deutschen Pathologie: Aktuelle deutsche Leitlinie für das kolorektale Karzinom im Kontext der Empfehlung internationaler Fachgesellschaften. Diagnosealgorithmen und Kostenanalyse am Beispiel eines größeren Instituts für Pathologie

Yelyzaveta Reinhardt (Korbach)

KV 252 Lynch-Syndrom Screening in der deutschen Pathologie: Aktuelle deutsche Leitlinie für das kolorektale Karzinom im Kontext der Empfehlung internationaler Fachgesellschaften. Diagnosealgorithmen und Kostenanalyse am Beispiel eines größeren Instituts für Pathologie

Y. Reinhardt1, F. Reinhardt1, E. Heinmöller2

1Stadtkrankenhaus Korbach, Gastroenterologie und Allg. Innere, Korbach, Deutschland, 2Institut für Pathologie Nordhessen, Kassel, Deutschland

Einleitung: LS-Patienten weisen bereits in der Keimbahn ein defektes Allel vor allem in einem der vier häufigsten zugrundeliegenden Reparaturgene auf (MLH1, PMS2, MSH2, MSH6). Während der Zellteilung kommt es zu Fehlpaarungen (Mismatches), die zu Verlängerungen oder auch Verkürzungen von DNA-Strängen führen, was als Mikrosatelliteninstabilität (MSI) oder Mismatch-Reparatur-Defizienz (dMMR) bezeichnet wird. MSI ist einer der besten Prädiktoren für das Ansprechen auf eine Immun-Checkpoint-Therapie. Grundlage in der Diagnostik des LS waren bisher klinische Kriterien zur Identifizierung von Patienten mit LS-Risiko (die Bethesda-Kriterien).
Ziele: Kann durch primäre (Upfront-) MSI/dMMR Testung aller KRK die Detektion des LS in der Routine gegenüber den Empfehlungen der S3-Leitlinie zum KRK (2019) verbessert werden? Welcher Testalgorithmus ist zu empfehlen?
Methodik: Am Institut für Pathologie Nordhessen (Kassel) wurde die Datenbank der archivierten Tumordiagnosen aller KRK der Jahre 2016 bis 2020 retrospektiv analysiert. Verglichen wurde die dMMR-Testung in KRK unter Berücksichtigung der deutschen Leitlinienempfehlungen mit der dMMR-Testung in allen KRK. Die routinemäßig ist IHC in der primären Diagnostik eines KRK zur Prüfung auf MSI erfolgte. Für die Kostenberechnung wurde die GOÄ und der EBM verwendet.
Testalgorithmus zur dMMR/MSI-H-Analyse in der Routinediagnostik am Institut für Pathologie Nordhessen (Rüschoff 2021).

Ergebnis: Mit dem Upfront-Screeningansatz stieg die Anzahl der detektierten Fälle pro Jahr auf fast das Doppelte. Für eine Berechnung der Kosteneffizienz des MSI-Nachweises mittels IHC mit/ohne primäre Selektion mittels PCR erfolgte die Analyse aller KRK in Deutschland im Jahr 2020. Die Kosten für die MSI-Diagnostik mit primärer Selektion aller KRK mittels PCR (Idylla) und weiterer MMR-Testung mittels IHC wurden berechnet. Insgesamt ergibt sich eine Kostenersparnis von ca. 40%.
Abbildung 2: Kosteneffizienz der MMR-Testung in Pathologie Nordhessen.

Abbildung 3: Vergleich der Kosteneffizienz pro Patient für beide Versicherungsgruppen in Pathologie Nordhessen in 2020 je nach Testverfahren.

Schlussfolgerung: Es konnte gezeigt werden, dass die Daten einer kleinen Region des Screenings nach einem LS mit Einschränkungen auf ganz Deutschland übertragbar sind. Mit der Upfront-Teststrategie wurden 45,6% mehr LS diagnostiziert. Durch den vorgeschlagenen dualen antikörperbasierten immungesteuerten MMR-Analyseansatz ein hoher diagnostischer Wert mit höchster Kosteneffizienz kombiniert werden kann.

09:44 – 09:49

KV 253 Adjuvante Chemotherapie bei Patient:innen im höheren Lebensalter mit UICC-Stadium III Kolonkarzinom – Eine Entscheidung mit Überlebensrelevanz. Ergebnisse von 41.630 Patient:innen aus 20 Jahren Tumorregisterdaten

Melanie Camilla Langheinrich (Greifswald)

KV 253 Adjuvante Chemotherapie bei Patient:innen im höheren Lebensalter mit UICC-Stadium III Kolonkarzinom – Eine Entscheidung mit Überlebensrelevanz. Ergebnisse von 41.630 Patient:innen aus 20 Jahren Tumorregisterdaten

M. Langheinrich1, M. Gerken2, V. Völkel2, M. Klinkhammer-Schalke2, S. Kersting1, S. Benz3

1Universitätsmedizin Greifswald, Klinik für Allgemeine Chirurgie, Viszeral-, Thorax- und Gefäßchirurgie, Greifswald, Deutschland, 2Universität Regensburg, Tumorzentrum Regensburg, Zentrum für Qualitätssicherung und Versorgungsforschung, Regensburg, Deutschland, 3Klinikverbund Südwest, Klinik für Allgemein-, Viszeral-, Thorax- und Kinderchirurgie Böblingen, Böblingen, Deutschland

Einleitung: Die Wirksamkeit der adjuvanten Chemotherapie bei Patienten mit UICC-Stadium III Kolonkarzinom ist durch zahlreiche Studien gut belegt. Für Patienten ab 75 Jahren sehen aktuelle Leitlinien jedoch keine generelle Empfehlung vor, da belastbare Evidenz aus klinischen Studien fehlt. Obwohl ältere Patienten einen großen Teil der Betroffenen ausmachen, sind sie in randomisierten kontrollierten Studien deutlich unterrepräsentiert – lediglich 1–5 % der Studienteilnehmer sind 75 Jahre oder älter. Diese Evidenzlücke erschwert Therapieentscheidungen im klinischen Alltag erheblich und gewinnt mit dem demografischen Wandel weiter an Bedeutung.
Ziel: Ziel dieser Studie ist es, auf Basis klinischer Krebsregisterdaten den Einfluss einer adjuvanten Chemotherapie auf das Gesamt- und rezidivfreie Überleben (OS und RFS) bei älteren Patient:innen (≥75 Jahre) mit UICC-Stadium III Kolonkarzinom zu untersuchen.
Methodik: Die Studie basiert auf einem onkologischen Basisdatensatz (ADT- Arbeitsgemeinschaft Deutscher Tumorzentren e.V.) und umfasst den Zeitraum 2000–2020. Es wurden 41.630 Patient:innen mit R0-reseziertem Stadium III Kolonkarzinom eingeschlossen. Die Kohorte wurde nach Alter (<75 vs. ≥75 Jahre) und adjuvante Chemotherapie (ja/nein) gruppiert. Überlebensraten wurden mittels Kaplan-Meier-Analysen sowie uni- und multivariater Cox-Regression berechnet.
Ergebnisse: Nur 28,2 % der ≥75-Jährigen erhielten eine adjuvante Chemotherapie (vs. 64,0 % der <75-Jährigen). Bei älteren Patient:innen betrug das 5-Jahres-OS mit adjuvanter Chemotherapie 62,0 % (vs. 41,8 % ohne adjuvante Chemotherapie; HR 0,677; 95 %-KI 0,646–0,710; p<0,001). Der Überlebensvorteil war in der multivariablen Cox Regression auch nach Adjustierung für relevante Tumor- und Patient:innenmerkmale konsistent und in allen Alters-Subgruppen ≥75 Jahre nachweisbar.
Schlussfolgerung: Die Ergebnisse unterstreichen die Relevanz individualisierter Therapieentscheidungen auf Basis von Real-World-Daten. Ältere Patient:innen sollten differenziert aufgeklärt und nicht pauschal von einer adjuvanten Chemotherapie ausgeschlossen werden

09:51 – 09:56

KV 254 High expression of BMP-9 in colorectal cancer (CRC) is associated with a better patients’ prognosis

Ting Jiang (Mannheim)

KV 254 High expression of BMP-9 in colorectal cancer (CRC) is associated with a better patients’ prognosis

T. Jiang1, D. Rana-Seyfert1, H. Gaitantzi1, C. Reißfelder1, K. Breitkopf-Heinlein1

1University Hospital Mannheim, University of Heidelberg, Department of Surgery, Mannheim, Deutschland

BMP-9 is a secreted cytokine belonging to the TGF-β superfamily and circulating with the blood stream of healthy individuals in a constitutive fashion. We previously showed that in addition to the liver, BMP-9 is also locally expressed in the small intestine and by upregulating ID1 expression, it seems to have protective functions in the setting of colorectal cancer (CRC).
We therefore further analysed the mechanism(s) of such potentially protective effects of BMP-9.
By in silico data analyses (TNMplot) we found that in colon cancer tissue BMP-9 expression is often reduced compared to the surrounding normal mucosa. Furthermore, low BMP-9 expression in CRC patient samples was associated with reduced survival times, indicating again that BMP-9 might have protective effects.
In mice low but clearly detectable expression of BMP-9 was found in all segments of the intestinal tract (stomach, duodenum, jejunum, ileum, colon) at comparable levels. ALK1, the high affinity BMP-9 receptor, was higher expressed at both “ends” (stomach/duodenum and colon) and this was even more prominent for the LPS receptor TLR4. We previously showed that LPS can down-regulate BMP-9 expression in vitro and this might explain why cancers in stomach or colon develop more often than in the small intestine (jejunum and ileum): LPS would down-regulate local BMP-9 via TLR4 signalling leading to a more vulnerable mucosa with low ID1 expression.
In the high fat diet (HFD) feeding model in mice the liver-to-body weight ratio gets significantly increased. Using this model, we found that this is accompanied by enhanced hepatic BMP-9 expression and elevated BMP-9 serum levels. In parallel HFD feeding led to an increase in serum cholesterol. This prompted us to measure BMP-9 and cholesterol in a set of human serum samples and we found that both are significantly positively correlated. Furthermore, in human colon organoids BMP-9 stimulation upregulated the expression of the cholesterol/LDL binding receptor LDLR. These data imply that BMP-9, by upregulating LDLR might further act protective in the intestinal tract by promoting clearance of diet-induced cholesterol from the circulation.
We conclude that BMP-9 acts protective against intestinal cancer development via (at least) two mechanisms: up-regulation of ID1 (which was shown to be associated with better survival times) and dampening the damaging effects of diet-induced cholesterol accumulation by mediating its uptake into the cells.

09:58 – 10:03

KV 255 Die histopathologische Tumorregression als Prognosefaktor beim neoadjuvant radiochemotherapierten Rektumkarzinom unter Anwendung eines modifizierten Dworak Grading-Systems

Klaus Weber (Erlangen)

KV 255 Die histopathologische Tumorregression als Prognosefaktor beim neoadjuvant radiochemotherapierten Rektumkarzinom unter Anwendung eines modifizierten Dworak Grading-Systems

K. Weber1, M.C. Langheinrich2, C. Handtrack1, A. Denz1, R. Grützmann1, S. Merkel1

1Universitätsklinikum Erlangen, Chirurgische Klinik, Erlangen, Deutschland, 2Universitätsklinikum Greifswald, Klinik und Poliklinik für Allgemeine Chirurgie, Visceral-, Thorax- und Gefäßchirurgie, Greifswald, Deutschland

Für Karzinome des Ösophagus und des Magens ist es unzweifelhaft, dass die histopathologische Tumorregression (TR) nach neoadjuvanter Therapie einen Prognosefaktor darstellt. Die Datenlage für Tumore des unteren Gastrointestinaltrakts ist diesbezüglich aber inhomogen. Die vor zwei Jahren veröffentlichten Ergebnisse der FOxTROT-Sudie zeigten für das Kolonkarzinom allerdings, dass die Prognose hier mit der Tumorregression korrelierte.
Ziel dieser Studie war es, den potenziellen Einfluss der TR auf die Rezidiv- und Überlebensraten bei Patienten mit Rektumkarzinom anhand des ursprünglich bei uns von Dworak entwickelten Tumorregressions-Grading-Systems (TRG) zu analysieren.
Im eigenen prospektiven Tumorregister (ERCRC) wurden die Daten von 496 konsekutiven Patienten aus den Jahren 1995 bis 2019 mit einem R0-resezierten M0 Adenokarzinom des unteren und mittleren Rektumdrittels analysiert, die vor einer offenen Resektion des Primärtumors eine Radiochemotherapie erhielten und deren initiales Staging einen cT3 oder cT4 Befund erbrachte. Die Raten für Lokalrezidive (LR) und Fernmetastasen (FM) sowie das krankheitsfreie (DFS) und das Gesamtüberleben (OS) wurden nach der Kaplan-Meier-Methode berechnet. Standardmäßig wurde das 5-Punkte System von Dworak zur Klassifizierung der Tumorregression verwendet. Um kleine Kohorten zu vermeiden wurde eine Modifizierung mit vier Kategorien angewandt: schlechte Regression (TRG 0/1), intermediäre Regression (>25-50%), gute Regression (>50%) und vollständige Regression (TRG 4).
Die Patientenanzahl in den Gruppen war TRG 0/1 n=54, 2 n=94, 3 n=269, 4 n=79. Die 5-Jahres Raten an LR waren 20,0 %, 2,3 %, 6,0 % und 0 % (p<0,001), die für FM 33,5 %, 32,2 %, 23,4 % und 2,5 % (p<0,001). Die 5-Jahres DFS-Raten lagen bei 59,3 %, 61,7 %, 70,6 % und 96,2 % (p<0,001), die OS-Raten bei 74,1 %, 79,7 %, 81,8 % und 98,7 % (p<0,001). Beim Vergleich zwischen TRG 0/1 und 2 war nur das Risiko für LR signifikant unterschiedlich (p<0,001). Beim Vergleich von TRG 3 mit 4 erreichten alle Analysen Signifikanz in Bezug auf die Prognose (p<0,05).
Bei den Patienten mit neoadjuvant therapiertem Rektumkarzinom fanden wir signifikante regressionsabhängige Unterschiede sowohl bei den Rezidiv- als auch den Überlebensraten unter Anwendung eines modifizerten Dworak-Systems. Leider werden im internationalen Vergleich mehrere Systeme verwendet, was eine Vergleichbarkeit der publizierten Daten erheblich einschränkt. Hier wäre eine Standardisierung unbedingt wünschenswert.

10:05 – 10:10

KV 256 Statistische Analyse des Zusammenhangs zwischen MTHFR-Genpolymorphismen und dem Ergebnis der neoadjuvanten Radiochemotherapie beim Rektumkarzinom des mittleren und unteren Drittels

Ernst W. Kolbe (Herford)

KV 256 Statistische Analyse des Zusammenhangs zwischen MTHFR-Genpolymorphismen und dem Ergebnis der neoadjuvanten Radiochemotherapie beim Rektumkarzinom des mittleren und unteren Drittels

E.W. Kolbe1, V. Frehe1, S. Leerhoff1, M. Balog1, O. Thunich1, A. Petrovitch2, U. Lang3, A. Krieg1, G. Winde1

1Universitätsklinik für Allgemeine- und Viszeralchirurgie, Thoraxchirurgie und Proktologie Kreiskliniken Herford-Bünde AÖR, MedizinCampus OWL der Ruhr-Universität Bochum RUB, Herford, Deutschland, 2Institut für diagnostische und interventionelle Radiologie Kreiskliniken Herford-Bünde AÖR, MedizinCampus OWL der Ruhr-Universität Bochum RUB, Herford, Deutschland, 3Institut für Pathologie Kreiskliniken Herford-Bünde AÖR, MedizinCampus OWL der Ruhr-Universität Bochum RUB, Herford, Deutschland

Einleitung: Die neoadjuvante Radiochemotherapie ist in der Behandlung des Rektumkarzinoms im mittleren und unteren Drittel etabliert und Standard. Das Ansprechen des Tumors ist jedoch sehr unterschiedlich. Während bei einigen Patienten eine komplette Remission erreicht werden kann, ist bei anderen Patienten kaum eine Rückbildung des Tumors nachweisbar. Das MTHFR-Gen (Methylentetrahydrofolatreduktase) ist ein wichtiger Bestandteil des 5-FU-Stoffwechsels. Dieser Stoffwechselweg ist hauptsächlich an der Metabolisierung der Standardchemotherapie in der neoadjuvanten Therapie beteiligt. Es liegt daher nahe, dass ein Zusammenhang zwischen genetischen Varianten des MTHFR-Gens und der Tumorrückbildung nach neoadjuvanter Therapie bestehen könnte.
Methoden: Um diese Hypothese zu untersuchen, haben wir SNP-Polymorphismen, die mit dem MTHFR-Gen assoziiert sind, als Parameter verwendet, um das Ansprechen vom prätherapeutischen UICC-Stadium auf das posttherapeutische Stadium vorherzusagen. Zu diesem Zweck wurde das prätherapeutische UICC-Stadium mittels Bildgebung mit dem postoperativen histopathologischen Stadium verglichen und mit den SNP-Polymorphismen korreliert.
Die Genotypisierung von MTHFR rs1801133 (c.665C>T) und rs1801131 (c.1409A>C) erfolgte aus DNA, die aus formalinfixiertem und paraffineingebettetem gesundem Gewebe von 140 Patienten extrahiert wurde.
Ergebnis: Obwohl in der univariaten Analyse des Einflusses der genetischen Marker auf die Reduktion des UICC-Stadiums keine signifikanten Effekte gefunden wurden, ergaben sich einige bemerkenswerte Hinweise.
Die CC-Varianten des MTHFR_CT-Markers sowie die Kombinationen beider Marker zu CCAC und CCAA erwiesen sich als besonders vorteilhaft für das Überleben.
Die AC-Variante des MTHFR_AC-Markers hatte ebenso wie die kombinierten Varianten CCAC und TTAA einen Einfluss auf die Tumorausdehnung (T). Darüber hinaus hatte die CTAC-Variante des kombinierten Markers im Vergleich zum Referenzwert CTAA einen Einfluss auf den Lymphknotenbefall (N).
Schlussfolgerung: Die Modellierung der verschiedenen Ergebnisvariablen war aufgrund der relativ kleinen Studienpopulation suboptimal und für eine genaue Vorhersage der Erfolgswahrscheinlichkeit nicht geeignet. Weitere Untersuchungen zu diesen Markern könnten dennoch von besonderem Interesse sein, insbesondere unter Verwendung größerer Stichproben von Patientendaten mit gleicher Indikation zur neoadjuvanten Radiochemotherapie; der Aufwand für diese Untersuchungen wäre überschaubar.

10:12 – 10:17

KV 257 Prädiktive Faktoren für das perioperative Outcome nach Salvage-Operation des Analkarzinoms – eine monozentrische retrospektive Datenanalyse

Lea Gries (Heidelberg)

KV 257 Prädiktive Faktoren für das perioperative Outcome nach Salvage-Operation des Analkarzinoms – eine monozentrische retrospektive Datenanalyse

C. Engerer1, L. Gries1, G. Polychronidis1, A. Brandl1, L. Peters1, M. Al-Saeedi1

1Universitätsklinikum Heidelberg, Klinik für Allgemein-, Viszeral- und Transplantationschirurgie, Heidelberg, Deutschland

Einleitung: Bei der Behandlung des Analkarzinoms stellt die definitive Radiochemotherapie (RCTx) den Therapiestandard dar. Beim Versagen dieser Therapie und im Rezidivfall ist die Salvage-Operation, häufig in Form einer ausgedehnten Resektion bis hin zur Beckenexenteration, die einzige kurativ intendierte Therapieoption.
Ziele: Ziel der vorliegenden Studie ist die Identifikation von prädiktiven Faktoren, die das perioperative Outcome nach Salvage-Chirurgie des Analkarzinoms beeinflussen.
Es sollen die 30- sowie 90-Tage-Mortalität untersucht werden. Darüber hinaus soll die Relevanz möglicher Einflussfaktoren wie Alter, Begleiterkrankungen, OP-Dauer und -Technik sowie der HPV-Status auf das perioperative Outcome untersucht werden.
Methodik: In einer monozentrischen, retrospektiven Kohorte werden alle Patient*innen (Pat.) eingeschlossen, die zwischen 2008 und 2022 am Universitätsklinikum Heidelberg wegen eines Analkarzinoms operativ behandelt wurden. Erfasst werden präoperative Risikofaktoren, OP-Daten und Komplikationen. Die statistische Auswertung erfolgt mittels deskriptiver Analysen sowie uni- und multivariater Regressionsanalysen; Gruppenvergleiche kategorialer Variablen wurden mit dem Chi-Quadrat-Test durchgeführt (SPSS, p<0,05).
Ergebnisse: 80 Pat. wurden im o.g. Zeitraum operiert. Bei 63 (78,8%) Pat. war die OP-Indikation ein Tumorrezidiv; bei 6 (7,5%) war der Tumor nach RCTx persistent, 11 (13,8%) wurden primär operiert. Die 30-Tage-Mortalität lag bei 2,5%, die 90-Tage-Mortalität bei 6,3%. Major-Komplikationen (Clavien-Dindo≥3b) traten bei 38 (47,5%) Pat. auf, wobei perineale Wundheilungsstörungen mit 37,5% dominierten. Das Vorliegen eines Rezidivs zeigte keinen signifikanten Einfluss auf das Auftreten schwerwiegender postoperativer Komplikationen (p=0,251). Ebenso konnte bei einer Tumorpersistenz kein Zusammenhang mit postoperativen Major-Komplikationen (p=0,552) gezeigt werden.
Pat. mit ASA-Stadium ≥3 zeigten eine signifikant erhöhte postoperative Mortalität (p<0,001). Ob ein Zusammenhang mit dem HPV-Status besteht, ist aufgrund der eingeschränkten Datenlage derzeit noch unklar. Eine ergänzende Nachuntersuchung läuft aktuell.
Schlussfolgerung: Die Salvage-Operation des Analkarzinoms stellt eine vertretbare Therapieoption dar. Die Tumorpersistenz nach RCTx und der Rezidivstatus haben keinen signifikanten Einfluss auf das Auftreten postoperativer Major-Komplikationen. Die Bedeutung des HPV-Status als prognostischer Marker wird derzeit weiter untersucht.

10:19 – 10:24

KV 258 Der Einfluss von metabolischen Erkrankungen auf das früh-auftretende Kolorektale Karzinom – Eine retrospektive Kohortenstudie

Jacques Hilbert (Freiburg)

KV 258 Der Einfluss von metabolischen Erkrankungen auf das früh-auftretende Kolorektale Karzinom – Eine retrospektive Kohortenstudie

J. Hilbert1

1Universitätsklinikum Freiburg, Klinik für Allgemein- und Viszeralchirurgie, Freiburg im Breisgau, Deutschland

Einleitung: Das kolorektale Karzinom (CRC) ist die dritthäufigste Krebserkrankung und die zweithäufigste Ursache für krebsbedingte Todesfälle. CRC wird nach Diagnosealter in früh-auftretend (eoCRC) und spät-auftretend (loCRC) klassifiziert, wobei die Grenze typischerweise bei 50 Jahren liegt. Während die Inzidenz von loCRC rückläufig ist, steigt die von eoCRC in Ländern wie den USA, China, Japan und mehreren europäischen Ländern. Die Mechanismen hinter dieser Zunahme sind unklar, könnten jedoch nicht-genetische, umweltbedingte und Lebensstilfaktoren umfassen. Patienten mit eoCRC haben oft fortgeschrittenere, schlechter differenzierte Tumore, die aufgrund des Fokus von Screening-Programmen auf loCRC spät entdeckt werden. Etwa ein Drittel der eoCRC-Fälle ist erblich bedingt, der Rest sporadisch. Die Rolle metabolischer Risikofaktoren bei eoCRC ist schwer quantifizierbar und erfordert hochwertige Daten.
Ziele: Diese retrospektive Kohortenstudie zielt darauf ab, die Prävalenz von metabolischen Risikofaktoren bei Patienten mit Kolorektalkarzinom zu beschreiben und metabolische Prädiktoren für das krebsfreie Überleben bei eoCRC und loCRC zu etablieren und zu vergleichen.
Methodik: Seit 2012 wurden am Universitätsklinikum Freiburg 251 eoCRC- und 1.353 loCRC-Fälle behandelt. Daten aus Patientenberichten, Pathologiebefunden und Biobanken wurden inkludiert. Größe, Gewicht, Medikamente, Diagnosen und Laborparameter dienten zur Analyse metabolischer Faktoren. Fälle mit unzureichenden Daten zu Begleiterkrankungen wie Diabetes, Adipositas und Hypertonie wurden ausgeschlossen.
Dieses Bild visualisiert den Aufbau der Multi-System-Datenbank mit Daten aus dem CCCF, der Immunologie und Mikrobiologie sowie der Biobank
Ergebnisse: Von 1.604 Patienten hatten 594 Kolonkarzinome, darunter 78 eoCRC. Frauen machten in der eoCRC-Kohorte 51 % aus (gegenüber 40 % bei loCRC). Stadium III/IV war bei eoCRC häufiger (70 % vs. 40 %). Junge Patienten mit fortgeschrittenem Stadium wurden häufiger in quartären Zentren behandelt. eoCRC-Patienten wiesen häufiger Mikrosatelliteninstabilität auf (20 % vs. 11 %) und hatten einen niedrigeren BMI (23,8 vs. 25,5 kg/m²). Adipositas (13 % vs. 20 %) und Diabetes Typ 2 (8 % vs. 18 %) waren bei eoCRC weniger verbreitet. Weitere statistische Analysen werden folgen.

Das Bild zeigt ein Balkendiagramm, welches die Geschlechterverteilung zwischen eoCC und loCC visualisiertDas Diagramm visualisiert die BMI-Verteilung in eoCC vergleichend mit loCC

Schlussfolgerung: Mehrere epidemiologische Studien zeigen Zusammenhänge zwischen metabolischen Faktoren und frühem CRC, allerdings fehlt oft die Datengranularität. Diese Kohortenstudie nutzt eine integrative Multi-System-Datenbank, um genau auf diese Einschränkungen einzugehen.

10:26 – 10:31

KV 259 Dual-track oncologic-metabolic treatment in patients with colorectal carcinoma and clinical obesity – a case series report of the Oncologic-Metabolic Board, Comprehensive Cancer Center Freiburg

Lars Schmitt (Freiburg)

KV 259 Dual-track oncologic-metabolic treatment in patients with colorectal carcinoma and clinical obesity – a case series report of the Oncologic-Metabolic Board, Comprehensive Cancer Center Freiburg

L. Schmitt1, S. Herrmann1, M. Koukou2, A. Pahl2, C. Greil2, C. Struck2, H. Neeff1, S. Fichtner-Feigl1, G. Seifert1

1Universitätsklinikum Freiburg, Klinik für Allgemein- und Viszeralchirurgie, Freiburg, Deutschland, 2Universitätsklinikum Freiburg, Freiburg, Deutschland

Background: Many oncologic patients present with severe obesity and metabolic disorders. They face particularly complex challenges. In clinical practice, obesity management comes secondary to oncologic care. In fact, weight-loss therapy has traditionally been contraindicated in cancer therapy, especially due to the known association between involuntary weight loss and poor prognosis in cancer patients. Here, we report on a dual-track approach in patients with colorectal carcinoma and clinical obesity.
Methods: Initial patient BMI ranged between 32.5 and 65.7 kg/m2. All patients fulfilled the new obesity definition criteria of clinical disease. Oncological therapy was in accordance with current guidelines. All patients were metabolically screened and discussed in our multi-disciplinary oncologic-metabolic board. In parallel to oncologic treatment, patients received multimodal obesity therapy including low-dose incretine therapy in combination with individualized nutrition and resistance training regimens as part of a novel “dual-track” approach. At screening and during therapy, we conducted in-depth clinical phenotyping including anthropometric, laboratory and body composition data. Patients were metabolically staged using the Edmonton Obesity Staging System (EOSS) and the new definition criteria of obesity.
Results: All patients achieved clinically relevant weight loss during neoadjuvant therapy and preoperative preparation. We observed improvement of physical functionality and dramatic reduction of obesity associated risk factors, including uncontrolled arterial hypertension, severe sleep apnea, and poorly controlled diabetes. We observed an increase in fat-free mass and skeletal muscle. All patients became eligible for and underwent curative oncologic surgery. There were no discernible negative effects regarding tumor progression detected relating to weight loss. Importantly, all patients experienced a heightened sense of empowerment and engagement over treatment outcomes and exhibited exceptional compliance.
Conclusion: These cases suggest that evaluation of this novel dual-track neoadjuvant therapy may be warranted for selected patients.

10:33 – 10:38

KV 260 Iterative hepatische und pulmonale Metastasektomie bei kolorektalem Karzinom im Stadium IV: Einfluss auf Überleben und chirurgisches Outcome

Luisa Schäfer (Freiburg)

KV 260 Iterative hepatische und pulmonale Metastasektomie bei kolorektalem Karzinom im Stadium IV: Einfluss auf Überleben und chirurgisches Outcome

L. Schäfer1, P. Holzner1, M. Menzel1, G. Stöger1, A. Gengenbach1, C. Hillebrecht1, F. Reimer1, R. Kesselring1, U.-T. Le2, S. Fichtner-Feigl1, C. Berlin1

1Uniklinik Freiburg, Klinik für Allgemein- und Viszeralchirurgie, Freiburg, Deutschland, 2Uniklinik Freiburg, Klinik für Thoraxchirurgie, Freiburg, Deutschland

Einleitung: Das kolorektale Karzinom metastasiert häufig in Leber und Lunge. Trotz kurativ intendierter Resektionen sind die Rezidivraten hoch. Während die Ergebnisse initialer hepatischer und pulmonaler Metastasektomien gut untersucht sind, liegen nur begrenzte Daten zu wiederholten Resektionen bei Rezidivmetastasen in beiden Organen vor.
Ziele: Untersuchung der Langzeitergebnisse (> 10 Jahre) iterativer hepatischer und pulmonaler Resektionen bei Patienten mit rezidivierenden kolorektalen Metastasen.
Methodik: Retrospektive Analyse von 97 Patient:innen, die sich iterativen hepatischen und pulmonalen Resektionen bei rezidivierenden kolorektalen Metastasen unterzogen.
Ergebnis: Die Überlebensraten nach initialer hepatischer Metastasektomie unterschieden sich nicht zwischen synchronen und metachronen Lebermetastasen. Mehrfache hepatische und pulmonale Metastasektomien führten zu einem vergleichbaren Überleben wie bei Patienten mit Einzeleingriffen. Postoperative Komplikationen ≥ Clavien-Dindo Grad II nach der zweiten Leberresektion waren mit einer reduzierten Gesamtüberlebensrate assoziiert, während nach pulmonalen Resektionen keine Auswirkungen auf das Überleben festzustellen waren. Iterative Leber- und Lungeneingriffe führten nicht zu einer Zunahme postoperativer Komplikationen, wobei die mediane Schwere der Komplikationen über die Resektionsserien hinweg bei Clavien-Dindo Grad II–IIIa blieb.
Schlussfolgerung: Die hepatische Metastasektomie zeigt vergleichbaren Nutzen unabhängig von der Sequenz der Metastasierung. Iterative hepatische und pulmonale Resektionen bei rezidivierenden kolorektalen Metastasen erscheinen sicher und potenziell überlebensverlängernd. Die Daten unterstützen ein aggressives chirurgisches Vorgehen bei ausgewählten Patient:innen mit Rezidivmetastasen.

Figure 1. Kaplan-Meier curve of univariate overall survival in patients with singular or multiple hepatic metastasectomies. n = 97. p = 0.089. HR (logrank): 1.49 (95% CI: 0.95-2.31). “OS”: overall survival.
Figure 1. Kaplan-Meier curve of univariate overall survival in patients with singular or multiple hepatic metastasectomies. n = 97. p = 0.089. HR (logrank): 1.49 (95% CI: 0.95-2.31). “OS”: overall survival.

Figure 2. Kaplan-Meier curve of univariate overall survival in patients with singular or multiple pulmonary metastasectomies. n = 97. p = 0.858. HR (logrank): 1.04 (95% CI: 0.67-1.62).
Figure 2. Kaplan-Meier curve of univariate overall survival in patients with singular or multiple pulmonary metastasectomies. n = 97. p = 0.858. HR (logrank): 1.04 (95% CI: 0.67-1.62).

10:40 – 10:45

KV 261 Spezialisierung in der kolorektalen Chirurgie reduziert perioperative Komplikationen und verbessert das onkologische Langzeitüberleben nach Notfallresektion bei kolorektalen Karzinomen

Julius Maximilian Plewe (Berlin)

KV 261 Spezialisierung in der kolorektalen Chirurgie reduziert perioperative Komplikationen und verbessert das onkologische Langzeitüberleben nach Notfallresektion bei kolorektalen Karzinomen

J. Plewe1, L. Dittrich1, R. Siegel1, O. Haase1

1Charité – Universitätsmedizin Berlin, Chirurgische Klinik, Campus Virchow-Klinikum, Berlin, Deutschland

Einleitung: Notfallresektionen bei kolorektalem Karzinom (CRC) sind mit einer erhöhten perioperativen Morbidität, sowie einer eingeschränkten onkologischen Langzeitprognose assoziiert. Der Einfluss der chirurgischen Spezialisierung auf das Outcome im Notfallsetting ist bislang nicht abschließend geklärt.
Ziele: Ziel dieser Studie war es, den Einfluss einer kolorektalen Spezialisierung der Operateure auf die perioperative Morbidität und das onkologische Langzeitüberleben nach Notfallresektionen von CRC zu analysieren.
Methodik: Wir führten eine retrospektive Analyse aller Patienten durch, die sich zwischen 2008 und 2019 an der Charité – Universitätsmedizin Berlin bei Notfallindikation einer kolorektalen Tumorresektion unterzogen.
Die Patienten wurden entsprechend der Qualifikation der Operateure in zwei Gruppen eingeteilt: kolorektal spezialisierte Chirurg:innen (CS) versus nicht spezialisierte Chirurg:innen (NCS).
Primäre Endpunkte waren das Auftreten schwerwiegender Komplikationen (Clavien-Dindo ≥ III), die Stomarate sowie die R0-Resektionsrate. Sekundäre Endpunkte waren das Gesamtüberleben (OS) und rezidivfreie Überleben (RFS). Statistische Analysen erfolgten mittels logistischer Regressionsverfahren und multivariater Cox-Regressionsmodelle.
Ergebnis: 135 Patienten wurden eingeschlossen (Medianalter 71 Jahre). 56 (41 %) wurden durch CS operiert. Die Ausgangscharakteristika zeigten keine signifikanten Unterschiede zwischen den Gruppen.
Major-Komplikationen traten bei 15,2 % der Patienten in der CS vs. 28,8 % in der NCS-Gruppe auf (p = 0,049). Eine permanente Stomaanlage war bei 21,4 % (CS) versus 37,5 % (NCS) erforderlich (p = 0,03). R0-Resektionsraten und Krankenhausaufenthaltsdauer war zwischen den Gruppen vergleichbar. Das 5-Jahres OS betrug 47,9 % (95% CI: 35.6–64.3) % in der CS-Gruppe versus 28,7 % (95% CI: 20.0–41.1) in der NCS-Gruppe (p = 0.042). Das 5-Jahres RFS betrug 45.4% (CI: 33.5–61.5) vs. 22.6% (CI: 14.8–34.5) (p = 0.0049). In der multivariaten Analyse zeigte sich die Spezialisierung als unabhängiger Prädiktor für ein verbessertes Gesamtüberleben (HR: 0,51; 95 %-KI: 0,32–0,83; p = 0,0063) sowie krankheitsfreies Überleben (HR: 0,59; 95 %-KI: 0,36–0,98; p = 0,042).
Schlussfolgerung: Eine kolorektale Spezialisierung der Operateure reduziert signifikant die perioperative Morbidität und verbessert das Langzeitüberleben. Behandlungsalgorithmen, die eine Zuweisung an spezialisierte Teams ermöglichen sollten daher angestrebt werden.

Kurzvortragssitzung

High-End im oberen GI-Trakt: Intervention zwischen Innovation und Routine

15:50 – 17:02

Do 18.09.

Vortragsraum 11

Open Accordion - Icon Close Accordion - Icon

Vorsitz: Anna Melzer (Ulm) und Golo Petzold (Göttingen)

15:50 – 15:56

KV 437 Z-POEM: retrospektive Auswertung der Therapie des Zenker-Divertikels hinsichtlich Rezidiven und Symptomfreiheit

Nele Butz (Frankfurt am Main)

KV 437 Z-POEM: retrospektive Auswertung der Therapie des Zenker-Divertikels hinsichtlich Rezidiven und Symptomfreiheit

N. Butz1, L. Welsch2, A. Genthner2, F. Straulino2, S. Kangalli2, T. Mollnow2, A. Eickhoff2

1Johann Wolfgang Goethe-Universität, Frankfurt am Main, Deutschland, 2Klinikum Hanau, Klinik für Gastroenterologie, Diabetologie und Infektiologie, Hanau, Deutschland

Hintergrund: Die endoskopische Divertikulotomie mittels Nadelmesser gilt als bewährtes Verfahren zur Behandlung des Zenker-Divertikels. Mit der Zenker-Peroral Endoscopic-Myotomy (Z-POEM) steht seit 2021 eine neue Technik in unserem Zentrum zur Verfügung, die durch eine gezieltere Myotomie potenziell bessere Langzeitergebnisse ermöglicht.
Ziel dieser retrospektiven Untersuchung war es, die technische Durchführbarkeit, Rezidiv- und Komplikationsraten sowie die Dauer der Beschwerdefreiheit nach unterschiedlichen Therapieformen, insbesondere Z-POEM, systematisch zu erfassen.
Methodik: Zwischen 01/2019 und 02/2025 wurden in unserem Zentrum 100 endoskopische Eingriffe bei Zenker-Divertikeln durchgeführt (61 Nadelmesser, 35 Z POEM, 4 alternative Verfahren). Erfasst wurden alle Eingriffe, unabhängig davon, ob es sich um primäre oder erneute Behandlungen handelte. Im Rahmen eines telefonischen Follow-ups konnten 40 individuelle Patient*innen befragt werden, auf die 56 Eingriffe entfielen (27 Nadelmesser, 27 Z-POEM, 2 APC). Dokumentiert wurden das Wiederauftreten typischer Symptome sowie die Dauer der subjektiv empfundenen Beschwerdefreiheit.
Ergebnisse: Das mittlere Alter der behandelten Patient*innen über alle im eingeschlossenen Zeitraum betrachteten Eingriffe betrug 71,1 ± 11,5 Jahre (Range 42-96 Jahre), 62 % waren männlich. Die durchschnittliche Divertikelgröße lag bei 2,7 cm. Komplikationen traten bei 2 Z-POEM- und 4 Nadelmesser-Eingriffen auf. Für die 56 Eingriffe mit Follow-up betrug die mittlere Nachbeobachtungszeit 929 Tage, gemessen ab dem jeweils letzten bei uns erfolgten Eingriff. Die mediane beschwerdefreie Phase lag nach Z-POEM bei 12 Monaten, nach Nadelmesser bei 9,5 Monaten. Rezidive wurden nach 29,6 % der Z-POEM- und nach 37 % der Nadelmesser-Eingriffe beobachtet. Häufigste Beschwerden bei Rezidiv waren erneut auftretende Dysphagie und Regurgitation.
Schlussfolgerung: Die Z-POEM Technik ist ein effektives und sicheres Verfahren zur Behandlung des Zenker-Divertikels. Sie zeigte in dieser retrospektiven Erhebung eine geringere Rezidivrate sowie eine längere Phase der Beschwerdefreiheit im Vergleich zur klassischen Divertikulotomie mit Nadelmesser. Die Ergebnisse stehen im Einklang mit den in der aktuellen Literatur beschriebenen Vorteilen der Z-POEM-Technik hinsichtlich Effektivität und Nachhaltigkeit der Symptomkontrolle.

15:58 – 16:04

KV 438 Perorale endoskopische Stufenmyotomie in Achalasie Typ II erhöht die Rate an propulsiver Peristaltik nach Intervention

Mate Knabe (Frankfurt am Main)

KV 438 Perorale endoskopische Stufenmyotomie in Achalasie Typ II erhöht die Rate an propulsiver Peristaltik nach Intervention

M. Knabe1, S. Vetter1, S. Blösser1, A. Madisch1,2, F. Finkelmeier1

1Centrum Gastroenterologie Bethanien, Frankfurt am Main, Deutschland, 2Zentrum für Innere Medizin Friederikenstift, Innere Medizin und Gastroenterologie, Hannover, Deutschland

Einleitung: Die Perorale endoskopische Myotomie (POEM) ist ein anerkanntes Verfahren in der Behandlung der Achalasie. Nach Myotomie kann zwar der Integrierte Relaxationsdruck (IRP) des Ösophagus relevant gesenkt werden, die Widerherstellung der Peristaltik ist jedoch nur bei ca. 10-20% der Patienten möglich.
Ziele: Durch eine veränderte Myotomietechnik soll eine verbesserte Peristaltik im Ösophagus erreicht werden
Methodik: Bei der Stufen-POEM wird die Mukularis propria des tubulären Ösophagus von proximal nach distal myotomiert. Im proximalen Anteil nur leicht angeschnitten, im weiteren Verlauf tiefere , eben stufenweise, Myotomie bis zur totalen Durchtrennung der Muskulatur im Bereich der Kardia und subkardialen Anteile. Patienten erhielten vor und nach POEM eine HR-Manometrie. Die Auswertung erfolgte retrospektiv.
Ergebnis: 16 Patienten mit Achalasie Typ II, zwischen 24 und 76 Jahren, erhielten eine Stufenmyotomie. Davon wurde bei 9 Patienten postoperativ (Median 3,2 Monaten) eine HR Manometrie durchgeführt. Relevante Komplikationen waren 1/16 Pneumoperitoneum und 1/16 überwachungspflichtige Blutung. Bei allen Patienten konnte die Stufenmyotomie technisch umgesetzt werden. Die Myotomielänge war im Median 7,9cm lang. Eckartscore sank von Prä-OP 7,38 auf Post-OP 1.63. Der IRP sank von Pä-OP 41,3mmHG ( Standard-Instruments) auf post-OP 10.75 mmHg. In 66% stellte sich eine Propulsive Peristaltik ein.
Schlussfolgerung: In der ersten retrospektiven Studie, zeigt sich die neue Methode der Stufenmyotomie, einer Standard POEM nicht unterlegen. Eine hohe Rate an postoperativer Peristaltik zeigt einen interessanten Aspekt , so dass hier weitere Erfahrungen gesammelt werden sollten

16:06 – 16:12

KV 439 Perkutane endoskopische Vakuumtherapie von postoperativen enterokutanen Fisteln

Christine Zhang (Heidelberg)

KV 439 Perkutane endoskopische Vakuumtherapie von postoperativen enterokutanen Fisteln

C. Zhang1, N. Melling2, T. Roesch3, M. Kantowski1,3,4

1Universitätsklinikum Heidelberg, Interdisziplinäres Endoskopiezentrum, Heidelberg, Deutschland, 2Universitätsklinikum Hamburg Eppendorf, Klinik und Poliklinik für Allgemein-, Viszeral- und Thoraxchirurgie, Hamburg, Deutschland, 3Universitätsklinikum Hamburg Eppendorf, Klinik und Poliklinik für Interdisziplinäre Endoskopie, Hamburg, Deutschland, 4Universitätsklinikum Heidelberg, Klinik für Allgemein-, Viszeral- und Transplantationschirurgie, Heidelberg, Deutschland

Einleitung: Enterokutane Fisteln nach viszeralchirurgischen Eingriffen sind gefürchtete Komplikationen mit hohen Rezidiv- und Mortalitätsraten. Die Therapie ist nach wie vor schwierig und umfasst konservative und chirurgische Maßnahmen. In jüngster Zeit wurden verschiedene endoskopische Therapien entwickelt. Die perkutane endoskopische Vakuumtherapie könnte eine vielversprechende Behandlungsoption sein.
Ziele: Ziel dieser retrospektiven Studie war es, die Machbarkeit, Wirksamkeit und Sicherheit der perkutanen endoskopischen Vakuumtherapie bei postoperativen enterokutanen Fisteln zu untersuchen.
Methodik: Alle Patienten mit postoperativen enterokutanen Fisteln, die mittels perkutaner endoskopischer Vakuumtherapie behandelt wurden, wurden eingeschlossen. Der primäre Endpunkt war die erfolgreiche Fistelbehandlung mittels perkutaner endoskopischer Vakuumtherapie. Zu den sekundären Endpunkten gehörten die Durchführbarkeit des endoskopischen Verfahrens, verfahrensbedingte Komplikationen und die Mortalität.
Ergebnis: Vierundvierzig Patienten mit einer mittleren Follow-up Zeit von 5,9 Monaten wurden eingeschlossen. Die meisten Patienten (n=35/44, 79,5 %) erhielten eine Kombination aus verschiedenen endoskopischen Therapien. Zweiundvierzig Patienten (95,5 %) hatten eine Foliendrainage, während bei 24 Patienten (54,5 %) eine endoskopische Vakuumtherapie mit einem Schwamm durchgeführt wurde. Die mittlere Dauer der perkutanen endoskopischen Vakuumtherapie betrug 37 Tage mit einer mittleren Anzahl von 6 endoskopischen Eingriffen. Ein Therapieerfolg wurde bei dreißig Patienten (68,2 %) allein durch die perkutane endoskopische Vakuumtherapie erreicht. Vierzehn Patienten benötigten eine chirurgische Revision (31.8 %), während zehn davon (71.4 %) nach der Operation eine vollständige Heilung erreichten. Die Gesamterfolgsquote lag bei 90,1 % (n=40/44). Verfahrensbedingte Komplikationen (Anastomosenstenose und Duodenalulcusblutung) traten bei sechs Patienten auf (n=6/44; 13,6%), vier konnten erfolgreich endoskopisch behandelt werden, während zwei Patienten erneut operiert werden mussten. Die 30-Tage-Sterblichkeitsrate lag bei 20,5 % (n=9/44), keiner der Todesfälle war behandlungsbedingt.
Schlussfolgerung: Die perkutane endoskopische Vakuumtherapie ist eine praktikable, wirksame und sichere endoskopische Behandlungsoption für postoperative enterokutane Fisteln.

Patienten insgesamt, n 44
Geschlecht (männlich/%) 27 (61,4)
Alter bei Diagnose, Jahre, Median (Range) 56 (12-83)
Diagnose
Karzinom, n (%) 22 (50)
Perforation, n (%) 2 (4,5)
CED, n (%) 2 (4,5)
Adipositas, n (%) 2 (4,5)
Andere, n (%) 16 (36,5)
Chirurgischer Eingriff
Ösophagusresektion, n (%) 10 (22,7)
Magenresektion, n (%) 4 (9,1)
Duodenumresektion, n (%) 6 (13,6)
Dünndarmresektion, n (%) 6 (13,6)
Kolorektale Resektion, n (%) 12 (27,3)
Tumordebulking, n (%) 2 (4,5)
Fistelentfernung, n (%) 2 (4,5)
Andere, n (%) 4 (9,1)
Art der Fistel
Enterokutan, n (%) 24 (54,5)
Ösophagopleural, n (%) 5 (11,4)
Gastrokutan, n (%) 3 (6,8)
Rektosakral, n (%) 3 (6,8)
Rektovaginal, n (%) 1 (2,3)
Perineal, n (%) 1 (2,3)
Mediane Nachbeobachtungszeit, Tage (Range) 176 (0-855)

Tabelle 1: Baseline Charakteristika.
CED: chronisch entzündliche Darmerkrankung.
Mediane Dauer der perkutanen Therapie, Tage (Range) 37 (1-370)
Mediane Anzahl der endoskopischen Eingriffe, n (Range) 6 (1-15)
Zugang für die perkutane Endoskopie
Vorherige chirurgische Inzision, n (%) 16 (36,4)
Vorbestehender Drainagekanal, n (%) 19 (43,2)
Kutane Fistel, n (%) 9 (20,5)
Neue Inzision, n (%) 4 (9)
First-line Therapie
Chirurgisch, n (%) 31 (70,5)
Standard endoskopisch, n (%) 11 (25)
Perkutan endoskopisch, n (%) 2 (4,5)
Größe der behandelten Abszesshöhle, cm, Median (Range) 1 (0,3-7)
Länge der Fistel, cm, Median (Range) 5 (0,2-30)
Perkutane endoskopische Techniken
Foliendrainage, n (%) 42 (95,5)
Endoskopische Vakuumtherapie mit Schwamm, n (%) 24 (54,5)
Kombination, n (%) 35 (79,5)

Tabelle 2: Therapie enterokutaner Fisteln mittels perkutaner endoskopischer Vakuumtherapie.

Therapieerfolg
Erfolgreiche perkutane Therapie, n (%) 30 (68,2)
Revision, n (%) 14 (31,8)
Erfolgreiche Behandlung nach der Operation, n (%) 10 (71,4)
Therapieerfolg insgesamt, n (%) 40 (90,1)
Therapiebedingte Komplikationen, n (%) 6 (13,6)
Anastomosenstenose, n (%) 5 (11,3)
Blutungen, n (%) 1 (2,3)
Erfolgreiche endoskopische Therapie der Komplikation, n (%) 4 (66,7)
Erfolgreiche chirurgische Therapie der Komplikation, n (%) 2 (33,3)
30-Tage-Mortalität, n (%) 9 (20,5)
Gesamtmortalität, n (%) 12 (27,3)
Behandlungsbedingter Tod, n (%) 0 (0)
Tabelle 3: Effektivität und Sicherheit der perkutanen endoskopischen Vakuumtherapie zur Behandlung enterokutaner Fisteln.

16:14 – 16:20

KV 440 Gewebetraktion durch Freihandnaht während endoskopischer Submukosadissektionen

Jochen Weigt (Magdeburg)

KV 440 Gewebetraktion durch Freihandnaht während endoskopischer Submukosadissektionen

L. Kowalski1, S. Hartmann1, J. Weigt1, S. Erfurth1, V. Keitel-Anselmino1

1Otto-v.-Guericke Universität Magdeburg, Klinik f. Gastroenterologie, Hepatologie und Infektiologie, Magdeburg, Deutschland

Einleitung: Durch die Einführung spezieller Nähte und Nadelhalter für die flexible Endoskopie wurde das Freihandnähen in der Endoskopie ermöglicht. Aufbauend auf dieser Innovation entwickelten wir eine neue Technik zur Traktionsapplikation während der ESD.
Ziel dieser Studie war es, die Machbarkeit und Performance der sog. „tethered ESD“ in einem ex-vivo Schweinemodell zu evaluieren sowie die Anwendung beim ersten Patientenfall zu präsentieren.
Methoden: In einem ex-vivo Modell mit Schweinemägen wurden in jedem Präparat zwei standardisierte Resektionen durchgeführt. Nach Markierung künstlicher Läsionen mittels Polypektomieschlinge und Koagulationspunkten erfolgte eine submukosale Inzision. Der resultierende Mukosaflap wurde mit einer Naht (3/0, V-LOC 180) fixiert und an der gegenüberliegenden Magenwand proximal der Läsion befestigt. Die resultierende Traktion exponierte den submukosalen Raum. Alle Resektionen erfolgten unter Einsatz eines Hybridmessers (Endocut Q für Inzision, Precise-Sec Modus für Dissektion) mit dem dann zunächst vollständig umschnitten und anschließend dissiziiert wurde. Die Technik wurde ebenfalls in einem ersten humanen Fall bei einer 2 cm großen Magenläsion am Angulus angewendet.
Ergebnisse: Insgesamt wurden sechs Resektionen im Tiermodell durchgeführt. Die mittlere Größe der Resektate betrug 30 ± 4 mm, die mittlere Gesamtprozedurdauer lag bei 24,6 ± 9,37 Minuten. Es waren im Mittel 15,5 ± 5,24 Nadelmanöver für 4,17 ± 2,14 Nähte ( Stichfürungen) erforderlich; durchschnittlich 2,33 ± 2,31 Maneuver zur Spannungsanpassung des Fadens wurden durchgeführt. Es kam zu keinen Perforationen oder Ausrißen der Naht unter Zugbelastung. Alle Resekte wurden en-bloc und vollständig entfernt.
Im ersten klinischen Anwendungsfall verlief die Resektion ohne Komplikationen. Trotz der schwierigen Lokalisation am Angulus konnte der Eingriff komplett in antegrader Position durchgeführt werden. Die Prozedurdauer incl. Naht und Präparation betrug 14 Minuten.
Schlussfolgerungen: Das Freihandnähen zur Traktionsapplikation während der ESD ist sicher, technisch einfach durchführbar und verbessert die Exposition des submukosalen Raumes. Diese Methode könnte insbesondere bei der Resektion größerer oder schwierig lokaliserter Läsionen einen wichtigen Vorteil darstellen.

16:22 – 16:28

KV 441 Effektivität, Sicherheit und Langzeitergebnisse der endoskopischen Mukosaresektion (EMR) bei HGIEN und Barrettfrühkarzinomen: eine retrospektive monozentrische Analyse. Ist die EMR noch die Therapie der Wahl?

Jeyhun Aliguliyev

KV 441 Effektivität, Sicherheit und Langzeitergebnisse der endoskopischen Mukosaresektion (EMR) bei HGIEN und Barrettfrühkarzinomen: eine retrospektive monozentrische Analyse. Ist die EMR noch die Therapie der Wahl?

J. Aliguliyev1, T. Blasberg1, M. Meiborg1, J. Richl1, M. Weber1, A. Mekolli1, A. Amanzada2, V. Ellenrieder2, E. Wedi1

1Sana Klinikum Offenbach, Gastroenterologie, Offenbach, Deutschland, 2Universitätsmedizin Göttingen, Gastroenterologie, Göttingen, Deutschland

Einleitung: Der Barrett-Ösophagus stellt eine fakultative Präkanzerose für das Adenokarzinom des Ösophagus dar. Bei Nachweis einer hochgradigen intraepithelialen Neoplasie (HGIEN) oder eines Barrettfrühkarzinoms (BAC) wird eine endoskopische Resektion empfohlen. Die aktuelle Leitlinie der ESGE empfiehlt die EMR als Standardtherapie für sichtbare Läsionen ≤20mm mit geringer Wahrscheinlichkeit einer submukosalen Infiltration.
Ziele: Ziel der Studie war es, die Effektivität und Sicherheit der EMR bei Patienten mit HGIEN oder BAC zu evaluieren.
Methodik: In dieser retrospektiven, monozentrischen Studie wurden Patienten eingeschlossen, die im Zeitraum von April 2014 bis Juni 2019 am Sana Klinikum Offenbach aufgrund einer HGIEN oder eines BAC mittels EMR behandelt wurden. Primäre Endpunkte waren die vollständige Remission (histologisch bestätigte R0-Resektion mit einer unauffälligen Kontrolle bzw. bei R1/Rx-Situation im Lateralbereich zwei unauffällige Kontrollen) sowie die langfristige Remission (Neoplasiefreiheit am Ende des Follow-ups). Sekundäre Endpunkte umfassten Komplikationsraten (Blutung, Perforation, Stenose) sowie En-bloc-, R0-Resektions- und Rezidivraten.
Ergebnis: Insgesamt wurden 301 Patienten eingeschlossen (HGIEN: 9,3 % [28/301], BAC: 90,7 % [273/301]). Die vollständige Remissionsrate betrug 69,1 % (208/301), die langfristige Remission wurde bei 91,7 % (276/301) erreicht. Intraprozedurale Blutungen traten bei 25,9 % (78/301) der Patienten auf und konnten in allen Fällen endoskopisch gestillt werden. Postprozedurale Blutungen wurden bei 6,6 % (20/301) festgestellt, waren klinisch nicht relevant und wurden im Rahmen der Kontrolle diagnostiziert. Intraprozedurale Perforationen traten in 0,7 % (2/301) der Fälle auf. Eine post-EMR Stenose entwickelte sich bei 14,3 % (43/301). Die En-bloc-Resektionsrate lag bei 58,1 % (175/301), die R0-Resektionsrate bei 22,9 % (69/301). Rezidive wurden bei 4,3 % (13/301) dokumentiert; in 84,6 % (11/13) erfolgte eine erfolgreiche endoskopische Therapie. Das mittlere Follow-Up betrug 35,6± 22,8 Monate.
Schlussfolgerung: Die EMR zeigte in dieser Kohorte eine moderate vollständige Remissionsrate, was vermutlich auf die niedrige En-bloc- und R0-Resektionsrate zurückzuführen ist. Die Methode ist insgesamt sicher, jedoch mit einer relevanten post-EMR Stenoserate assoziiert. Eine flächige En-bloc-Resektion mittels endoskopischer Submukosadissektion (ESD) könnte potentiell zu besseren onkologischen Ergebnissen führen.

16:30 – 16:36

KV 442 EUS-Directed Transduodenal ERCP (EDDE): Eine multizentrische Studie

Andreas Wannhoff (Ludwigsburg)

KV 442 EUS-Directed Transduodenal ERCP (EDDE): Eine multizentrische Studie

R. Hosari1, R. Khan2, R. Roshanshad3, M. Khashab3, R. Law2, K. Caca1, A. Wannhoff1

1RKH Klinikum Ludwigsburg, Ludwigsburg, Deutschland, 2Mayo Clinic, Rochester, Vereinigte Staaten, 3John Hopkins Hospital, Baltimore, Vereinigte Staaten

Einleitung: Patienten mit maligner Magenausgangsstenose können erfolgreich mittels Endosonographie(EUS)-gestützter Gastroenterostomie (EUS-GE) behandelt werden. Hierzu erfolgt eine Anastomose zwischen Magen und Duodenum oder oberen Jejunum mit Hilfe eines Lumen-aposing Metallstents (LAMS). Liegt zeitgleich eine Cholestase aufgrund einer malignen Gallengangsobstruktion vor und kann die Papille endoskopisch nicht erreicht werden, muss auf alternative Drainageverfahren zurückgegriffen werden. Eine Möglichkeit kann dabei der transduodenale Zugang zur Papille über die LAMS-Anastomose sein (sog. EDDE: EUS-directed transduodenal ERCP).
Ziele: Untersuchung des technischen Erfolgs und der möglichen Komplikationen der transduodenalen ERCP über die LAMS-Anastomose.
Methodik: Internationale, retrospektive Multizenterstudie zur Evaluation der EDDE-Prozedur bei Patienten mit Magenausgangsstenose. Patienten mit postoperativ veränderter Antomie des oberen Gastrointestinaltrakts waren ausgeschlossen. Patienten wurden retrospektiv an den Zentren RKH Klinikum Ludwigsburg, Mayo Clinic Rochester (USA) und John Hopkins Hospital Baltimore (USA) identifiziert. Zielkriterien waren Prozedur-assoziierte Kriterien wie technischer Erfolg und Adverse Events (AE).
Ergebnis: Insgesamt wurden 20 Patienten eingeschlossen. Das mittlere Alter lag bei 66 Jahren. In 19 Fällen lag eine maligne Magenausgangstenose und in einem Fall eine benige Stenose vor. Die EUS-GE erfolgte im median 36,5 Tage vor der EDDE und nur bei einem Patienten erfolgte eine „single-session EDDE“. Bei 9 Patienten wurde ein 20 mm LAMS und bei 11 Patienten ein 15 mm LAMS eingesetzt. Die EDDE war bei 19 / 20 Fällen erfolgreich. In einem Fall konnte die Papille aufgrund der Tumorinfiltration auch über den LAMS nicht erreicht werden. In 14 Fällen war bereits zuvor eine ERCP erfolgt und in 2 Fällen eine PTCD, während nur in 4 Fällen keine vorhergehende biliäre Intervention erfolgt war. Der LAMS wurde zuvor in 3 Fällen fixiert. In einem Fall kam es zur LAMS-Dislokation während der EDDE, die erfolgreich endoskopisch therapiert werden konnte.
Schlussfolgerung: Die transduodenale ERCP ist eine sichere und in vielen Fällen erfolgreiche Prozedur, die im Gegensatz zur anderen EUS-Verfahren die „native“ Anatomie der Gallenwege bewahrt. Besonders interessant könnte die Prozedur zum Wechsel zuvor eingebrachter Stents sein.

16:38 – 16:44

KV 443 Anastomosenstenose nach Resektion einer biliären intraduktalen papillären Neoplasie (IPN-B) mit bilioenterischer Anastomose: Interdisziplinäre Diagnostik und Therapie mittels EUS directed transenteric ERCP (EDEE) einschließlich prä- und intraoperativer Cholangioskopie und Resektion (mit Video)

Thomas Veiser (Düsseldorf)

KV 443 Anastomosenstenose nach Resektion einer biliären intraduktalen papillären Neoplasie (IPN-B) mit bilioenterischer Anastomose: Interdisziplinäre Diagnostik und Therapie mittels EUS directed transenteric ERCP (EDEE) einschließlich prä- und intraoperativer Cholangioskopie und Resektion (mit Video)

T. Veiser1, G. Alexander2, L. Grossmann1, W. Hartwig2, T. Beyna1

1Evangelisches Krankenhaus Düsseldorf, Medizinische Klinik, Düsseldorf, Deutschland, 2Evangelisches Krankenhaus Düsseldorf, Klinik für Allgemein-, Viszeral- und Onkologische Chirurgie, Düsseldorf, Deutschland

Einleitung: Diagnostische oder therapeutische Eingriffe an den Gallenwegen bei postoperativ veränderter Anatomie stellen eine besondere Herausforderung an die interventionelle Endoskopie dar.
In vielen Fällen kann mittels konventioneller oder device-assistierter Enteroskopie mit ERCP das diagnostische bzw. therapeutische Ziel erreicht werden. In Fällen, in denen die Papille bzw. biliodigestive Anastomose (BDA) nicht erreicht werden kann, kamen bisher in erster Linie perkutane oder transhepatische, endosonographische Verfahren in Betracht. Eine Alternative hierzu stellt ein neues Verfahren dar, bei dem zunächst endosonographisch gesteuert, mittels Lumen-adaptierendem Metallstent (LAMS), eine enteroenterische Anastomose zur biliären Schlinge angelegt wird. Über diese kann konsekutiv eine konventionelle ERCP erfolgen. Letztere ist dann ohne diagnostische oder therapeutische Einschränkungen und, sofern erforderlich, wiederholt möglich.
Fallbeschreibung: Im vorliegenden Fall handelt es sich um eine 66 Jahre alte Patientin, bei der 2021 aufgrund einer IPN-B eine histopathologisch verifizierte R0 Resektion des Choledochus mit Anlage einer biliodigestiven Anastomose auf die Hepaticusgabel durchgeführt wurde. 01/2025 erfolgte die Vorstellung aufgrund einer isolierten Cholestase des linken Gallenwegssystems sowie einer in der MRCP vermuteten, intraduktalen Läsion rechts posterior. Aufgrund der Notwendigkeit einer Intervention an beiden Gallenwegssystemen, einschließlich einer Cholangioskopie des rechts posterioren Segmentastes, entschieden wir uns primär für die Durchführung einer EDEE. Das Rezidiv einer IPN-B mit high-grade Dysplasie konnte im linken Hauptgallengang histologisch gesichert werden. Entgegen der MRCP stellte sich cholangioskopisch das rechte Gallenwegssystem komplett frei dar, sodass die vermutete Zweitläsion rechts posterior ausgeschlossen werden konnte. Die Patientin wurde zur (partiell erweiterten) Hemihepatektomie links mit intraoperativer Cholangioskopie und Neuanalage der biliodigestiven Anastomose auf den rechten Hauptgallengang vorgestellt (aktuell noch ausstehend, die chir. Resektion mit intraoperativer Cholangioskopie wird mit präsentiert).
Schlussfolgerung: Die EDEE stellt eine vielversprechende neue Methode zur Diagnostik und Therapie komplexer biliopankreatischer Krankheitsbilder bei postoperativ veränderter Anatomie dar.

16:46 – 16:52

KV 444 Steuerbare endoskopische Instrumente: Prototyp eines auslenkbaren ESD-Messers mit Ein-Personen-Bedienung

Franz Brinkmann (Dresden)

KV 444 Steuerbare endoskopische Instrumente: Prototyp eines auslenkbaren ESD-Messers mit Ein-Personen-Bedienung

F. Brinkmann1,2, J. Steinhäuser1,2, K. Henkel3, M. Pietsch3, L. Woodworth3, R. Körbitz3, R. Hüttner3, K. Uhlig4, S. Bruk4, A. Richter3, S. Brückner1, J. Hampe1,2

1Universitätsklinikum Dresden, Medizinische Klinik I, Gastroenterologie, Dresden, Deutschland, 2Else Kröner-Fresenius Zentrum für digitale Gesundheit, Dresden, Deutschland, 3Technische Universität Dresden (TU Dresden), Fakultät für Elektrotechnik, Professur für Mikrosystemtechnik, Dresden, Deutschland, 4Leibniz-Institut für Polymerforschung Dresden e.V., Abteilung für Polymerwerkstoffe, Dresden, Deutschland

Einleitung: Die endoskopische Submukosadissektion (ESD), Standardtherapie für gastrointestinale Frühkarzinome, ist technisch anspruchsvoll, mit einer flachen Lernkurve, langen Eingriffszeiten und einem relevanten Komplikationsrisiko. Limitierend wirken die im Milimeterbereich suboptimale Präzision des Endoskops und die fehlende unabhängige Instrumentensteuerung.
Ziele: Entwicklung eines von der Endoskopbewegung unabhängig steuerbaren ESD-Messers, optimiert für präzise Auslenkungen, zur Verbesserung der Präzision, Reduktion der Komplikationsraten und Verkürzung der Lernkurve.
Ziele: war zudem eine intuitive Ein-Personen-Steuerung, integriert in etablierte endoskopische Handpositionen.
Methodik: Wir entwickelten einen Prototypen mit biegbarem 5 mm langen Gelenk, einem Durchmesser von 2,6 mm und einem fünflumig extrudierten Schlauch zur Integration der Elektrode und Steuerfasern für eine präzise Spitzenablenkung. Die Antriebseinheit umfasst vier unabhängig gesteuerte Motoren. Ein mobiler Joystick am Endoskopschaft ermöglicht die simultane Ein-Personen-Steuerung von Endoskop und Instrument bei voller Kompatibilität mit den gewohnten Arbeitsabläufen und allen herkömmlichen Endoskopen. Erste Machbarkeitsstudien einer ESD mit Prototypen wurden am Schweinemagenmodell durch erfahrene Endoskopiker durchgeführt.
Ergebnis: Der Prototyp erreicht einen 360°-Bewegungsumfang mit bis zu 30° steuerbarer Ablenkung, bedient durch eine Bedieneinheit mit Joystick am Endoskopschaft. Dieses Design ermöglicht eine intuitive, simultane Ein-Personen-Bedienung von Endoskop und Instrument und ist nahtlos in bestehende ESD-Abläufe integrierbar. Die Bedieneinheit ist so konzipiert, dass sie komplexe Eingriffe erleichtert und gleichzeitig die Manövrierfähigkeit des Endoskopschafts zum Vorschieben, Zurückziehen und Drehen ermöglicht. Im Schweinemodell bestätigte sich in einer ersten Machbarkeitsstudie die prinzipielle Durchführbarkeit einer ESD, jedoch zeigte sich das Gelenk in der aktuellen Version mit 5 mm als zu lang.
Schlussfolgerung:
Diese Studie demonstriert die grundsätzliche Machbarkeit eines unabhängig aktuierbaren ESD-Messers im Arbeitskanal, sowie dessen erfolgreiche ex-vivo-Evaluierung im Schweinemagen. Die nächste Version muss ein verkürztes Gelenk aufweisen und zukünftige Studien müssen Leistung, Usability sowie den potentiellen Nutzen in präklinischen und klinischen Settings evaluieren, insbesondere hinsichtlich Präzision, Lernkurve und Patienten-Outcome
Abbildung 1: Ein-Personen-Bedienung des steuerbaren ESD-Messers

Abbildung 2: Steuerbares ESD-Messer mit Gelenk und Bedieneinheit am Endoskopschlauch.

Abbildung 3: ESD mit dem steuerbaren ESD-Messer im Schweinemagenmodell im Rahmen einer Machbarkeitsstudie

16:54 – 17:00

KV 445 Die bimanuelle ESDplus mit dem neuartigen AWC duo (Additional working cannel duo) ist der traditionellen Kappen-ESD überlegen. Präsentation der ersten Vergleichsstudie im ex-vivo Model

Steffen Kunsch (Winnenden)

KV 445 Die bimanuelle ESDplus mit dem neuartigen AWC duo (Additional working cannel duo) ist der traditionellen Kappen-ESD überlegen. Präsentation der ersten Vergleichsstudie im ex-vivo Model

S. Kunsch1, R. Knoop2

1Rems-Murr-Kliniken Winnenden, Gastroenterologie, Winnenden, Deutschland, 2Universitätsmedizin Göttingen, Gastroenterologie, Göttingen, Deutschland

Einleitung: Der AWC duo ist die konsequente Weiterentwicklung des bekannten AWC der Firma Ovesco. Neu ist die Kombination des zusätzlichen Arbeitskanals mit einer transparenten Abstandskappe. Somit ist es nun möglich, bei einer traditionelle Kappen-ESD im Bedarfsfall bimanuell zusätzliche Traktion über den zusätzlichen Arbeitskanal mit einem Greifer zu vermitteln.
Ziele: Erstmalige Durchführung der bimanuellen ESD plus mit dem neuartigen AWC duo im ex-vivo Modell im Vergleich mit der traditionellen Kappen-ESD ohne zusätzlichen Arbeitskanal.
Methodik: In einem ex vivo Schweinemagenmodell wurden insgesamt 15 ESD plus Resektion mit dem AWC duo und 15 traditionelle Kappen-ESDs bei Läsionen von 4cm Größe durchgeführt. Dokumentiert wurden Resektionszeiten, en-bloc Rate und Benutzungszeit des Extrakanals. Ebenso wurde dokumentiert, ob und wie hilfreich der Extrakanal empfunden wurde.
Ergebnis: Der neuartige AWC duo konnte problemlos montiert werden, verrutschte während der Resektionen nicht und schränkte die Flexibiliät des Endoskops nicht merklich ein. Alle Resektionen konnten En-bloc durchgeführt werden. In der AWC duo Gruppe betrug die mittlere Resektionszeit 26 min, davon 17 min Dissektionszeit. In der Kappengruppe betrug die mittlere Resektionszeit 29 min, davon 22 min Dissektionszeit. In der statistischen Analyse erreichte der unterschied bei der Dissektionszeit signifikanz (p<0,05). Perforationen traten nicht auf. Muskuläre Verletzungen zeigten sich tendenziell weniger in der AWC duo Gruppe (2 versus 4 in der Kappengruppe). Durchschnittlich wurde der Extrakanal 32% der Resektionszeit genutzt. Der AWC wurde in 13% der Resektionen als nicht hilfreich, in 60% als hilfreich und in 27% der Resektionen als sehr hilfreich bewertet.
Schlussfolgerung: Der hier vorgestellte erstmalige Einsatz des AWC duo im vergleichenden Ex vivo Modell zeigt durch die neu integrierte Kappe zu dem Extrakanal einen signifikanten Vorteil im Vergleich zu der traditionellen Kappen ESD. Somit hat der neuartige AWC duo mit seiner Möglichkeit zum bimanuellen resezieren das Potential die ESD technisch einfacher und sicherer zu machen. Dies ist notwendig um diese hochwertige Resektionstechnik auch in Europa flächendeckend in die Patientenversorgung zu bekommen.

AWC duo

Kurzvortragssitzung

Therapieeskalation bei CED

09:30 – 11:06

Do 18.09.

MZF 1

Open Accordion - Icon Close Accordion - Icon

Vorsitz: Malte Lehmann (Berlin) und Ursula Seidler (Hannover)

09:30 – 09:36

KV 064 Understanding gastroenterologist preferences at the time of treatment escalation to first-line advanced therapies in ulcerative colitis: a discrete choice experiment in five European countries

Stefan Schreiber (Kiel)

KV 064 Understanding gastroenterologist preferences at the time of treatment escalation to first-line advanced therapies in ulcerative colitis: a discrete choice experiment in five European countries

S. Schreiber1, A. Walsh2, P. Hur3, L. Panattoni4, B. Hauber3, G. Gahlon4, J. Coulter3, K. Wosik5, J.C. Cappelleri6, N. Prood4, X. Guo7, A. Buisson8,9

1Department of Internal Medicine I, University Hospital Schleswig-Holstein, Kiel University, Kiel, Deutschland, 2Translational Gastroenterology Unit, Oxford University Hospital, Oxford, Vereinigtes Königreich, 3Pfizer Inc, New York, NY, Vereinigte Staaten, 4PRECISIONheor, New York, NY, Vereinigte Staaten, 5Pfizer Canada, Kirkland, QC, Kanada, 6Pfizer Inc, Groton, CT, Vereinigte Staaten, 7Pfizer Inc, Collegeville, PA, Vereinigte Staaten, 8University Hospital Estaing, Clermont-Ferrand, Frankreich, 9Clermont Auvergne University, Inserm U1071, M2iSH, USC-INRA 2018, F-63000 Clermont-Ferrand, Frankreich

Introduction: As the number of advanced therapies for moderately to severely active ulcerative colitis (UC) increases, it is necessary to understand the factors driving gastroenterologist (GE) choice in escalating patients (pts) from conventional to advanced therapy.
Objective: To quantify GE therapy attribute preferences when escalating pts to their first advanced UC therapy.
Methodology: We conducted an online, cross-sectional survey using a discrete choice experiment (DCE) design. Attribute and level selection was informed by targeted literature search and formative qualitative research with pts and clinicians. Survey responders were practising GEs experienced in treating pts with moderately to severely active UC, recruited from France, Germany, Italy, Spain and the United Kingdom (UK). Preference weights were estimated using a random parameters logit model for multiple levels of seven attributes: time to symptom improvement, probability of remission at one year, difference between probability of remission and corticosteroid-free remission, five-year risk of malignancy, annual risk of serious infection, annual risk of major adverse cardiovascular events, and mode and frequency of administration. Relative importance (RI) was calculated as the difference in preference weights between the most and least preferred level of each attribute, proportionate to all attribute differences. An extra survey section was added to understand GE treatment and prescribing practices.
Results: A total of 397 GEs were included (France n=140; Germany n=40; Italy n=40; Spain n=47; UK n=130). The most common GE-reported barriers to prescribing advanced therapies were concerns about contraindications and risks/side effects from pts (54.9%) and GEs (39.8%), perceived patient concerns about receiving injections or infusions (35.5%) and concerns about cost or insufficient reimbursement (32.2%). All DCE attributes factored into GE treatment decisions (see Table for RI and preference weights). The three most important attributes were probability of remission at one year (RI 48.4%), five-year risk of malignancy (RI 11.4%) and time to symptom improvement (RI 11.1%; Table).
Conclusion: All attributes factored into the trade-offs GEs consider when escalating pts with moderately to severely active UC to their first advanced therapy. While risk of side effects was the most stated GE barrier to prescribing advanced therapy, probability of remission outweighed all other DCE attributes.

Table. Preference weights and RI of attributes influencing advanced UC therapy choice (N=397)
Time to symptom improvement Probability of remission at one year Difference between probability of remission and CS-free remission Five-year risk of malignancy Annual risk of serious infection Annual risk of MACE Mode and frequency of administration
Attribute RI,a % (95% CI)b 11.1
(8.9, 13.4)
48.4
(45.7, 51.1)
8.0
(6.1, 10.0)
11.4
(9.5, 13.2)
6.7
(4.9, 8.5)
6.8
(5.0, 8.6)
7.5
(5.4, 10.1)
Preference weight level (95% CI)c
Level 1 2 weeks
0.50
(0.31, 0.69)
20% probability
-2.11
(-2.42, -1.81)
0% difference
0.27
(0.13, 0.41)
1/1000 pts
0.49
(0.35, 0.62)
1/100 pts
0.27
(0.14, 0.40)
1/1000 pts
0.27
(0.14, 0.40)
Oral pill 1–2 times daily with potential dose change
0.15
(-0.02, 0.33)
Level 2 4 weeks
0.22
(0.09, 0.34)
35% probability
0.26
(0.18, 0.34)
5% difference
0.12
(0.03, 0.21)
3/1000 pts
-0.04
(-0.13, 0.05)
3/100 pts
0.02
(-0.07, 0.10)
3/1000 pts
0.01
(-0.08, 0.10)
Oral pill 1–2 times daily with the same dose throughout
0.23
(0.10, 0.35)
Level 3 8 weeks
-0.31
(-0.44, -0.18)
45% probability
1.85
(1.65, 2.06)
15% difference
-0.39
(-0.48, -0.29)
5/1000 pts
-0.45
(-0.54, -0.35)
5/100 pts
-0.28
(-0.38, -0.19)
5/1000 pts
-0.28
(-0.38, -0.19)
Injection every
1–2 weeks

0.01
(-0.12, 0.14)
Level 4 12 weeks
-0.41
(-0.55, -0.27)
N/A N/A N/A N/A N/A Infusion every
4–8 weeks

-0.39
(-0.52, -0.26)
The DCE model included seven attributes, each with several preference weight levels.
aRI is calculated as the difference in preference weights between the most preferred and least preferred level divided by the sum of the differences across all attributes; estimates sum to 100%.
b95% CIs that do not include zero indicate a statistically significant RI of an attribute. All seven attributes were statistically significantly important when selecting an advanced therapy. 95% CIs that do not overlap for pairs of attributes indicate a statistically significant difference in importance between attributes. Probability of remission at one year was statistically significantly more important than all other attributes.
cPreference weight levels are effects coded; zero indicates the mean effect across all attribute levels.

CI, confidence interval; CS, corticosteroid; DCE, discrete choice experiment; MACE, major adverse cardiovascular events; N, total number of pts; N/A, not applicable; pts, patients; RI, relative importance; UC, ulcerative colitis.

09:38 – 09:44

KV 065 Dose escalation of advanced therapies for Crohn’s disease in Germany: a database analysis of German health insurance fund claims

Tatjana Rößler (Bad Homburg)

KV 065 Dose escalation of advanced therapies for Crohn’s disease in Germany: a database analysis of German health insurance fund claims

T. Rößler1, S. Bölz1, J. Glatte1, F. Rösemann1, K. Weber2, I. Weinhold2, A. Stallmach3

1Lilly Deutschland GmbH, Bad Homburg, Deutschland, 2WIG2 GmbH, Scientific Institute for Health Economics and Health System Research, Markt 8, 04109 Leipzig, Deutschland, 3Universitätsklinikum Jena, Am Klinikum 1 07747 Jena, Deutschland

Introduction: Dose escalation is a common strategy to address inadequate or lost response in patients (pts) with Crohn’s disease (CD); dose escalations or alternative dosing regimens are permitted in certain cases by the Summary of Product Characteristics (SmPC) of various biologic treatments. Given lack of recent data, we aimed to evaluate real-world data in pts with moderately to severely active CD in Germany to identify and characterize real-world dosing and escalation patterns for advanced biologic therapies.
Methods: We retrospectively analyzed data from the WIG2 benchmark database (anonymized healthcare claims). Adults (≥18 years) with moderately to severely active CD in Germany who started a new biologic therapy from 2020–2021 were included. Pts were required to have ≥1 prescription for a CD-indicated biologic index drug (adalimumab, infliximab, ustekinumab, or vedolizumab) in the same quarter as ≥1 CD diagnostic code, without a diagnostic code for ulcerative colitis. Analyses were conducted in the total group and stratified by biologic-naïve and -experienced pts. Dose escalations were defined as a >30% increase of the prescribed daily dose (PDD) compared with the minimum SmPC-recommended defined daily dose (DDD).
Results: In total, 816 German pts with CD from the WIG2 database who received ≥1 advanced index therapy were included in this analysis. Baseline characteristics indicated demographic variations among pts receiving different index therapies, as well as between biologic-naïve and biologic-experienced pts (Table 1). Mean doses of index biologic therapies during the first 365 treatment days (Table 2) predominantly exceeded the SmPC-recommended minimum maintenance dose, especially in biologic-experienced pts. Within 12 months of maintenance dose initiation, pts having ≥1 dose escalation ranged from 50% of pts treated with adalimumab to 86% treated with ustekinumab; dose escalation was generally more frequent in biologic-experienced pts. Mean time to dose escalation ranged from 95.3 days with ustekinumab to 123.2 days with vedolizumab, while the mean duration of dose escalation ranged from 54.9 days with vedolizumab to 131.4 days with ustekinumab (Table 3).
Conclusion: Our analysis of dosing patterns showed that maintenance dosing frequently exceeded the SmPC-recommended minimum across the analyzed advanced biologic therapies. Further, dose escalations were common during maintenance therapy.

Table 1. Baseline characteristics
Index drug Group N Mean age, years (SD) Male sex, n (%)
Adalimumab Total 328 40.1 (14.3) 143 (43.6)
Biologic-naïve 260 40.4 (14.8) 110 (42.3)
Biologic-experienced 68 38.9 (12.6) 33 (48.5)
Infliximab Total 220 37.7(13.5) 104 (47.3)
Biologic-naïve 136 38.8 (14.8) 75 (55.2)
Biologic-experienced 84 35.9 (11.0) 29 (34.5)
Ustekinumab Total 237 40.7 (14.9) 103 (43.5)
Biologic-naïve 63 44.6 (16.0) 28 (44.4)
Biologic-experienced 174 39.3 (14.2) 75 (43.1)
Vedolizumab Total 177 41.9 (15.5) 81 (45.8)
Biologic-naïve 56 44.1 (18.2) 21 (37.5)
Biologic-experienced 121 40.9 (14.0) 60 (49.6)
SD, standard deviation.


Table 2. Prescribed maintenance dose of index advanced biologic therapies.
Index drug Administration route Group Na Mean PDD,b
mg/day (SD)
Percent of minimum DDD,b mean (SD)
Adalimumab s.c. Total 254 3.11 (0.98) 108.8 (34.2)
Biologic-naïve 198 3.02 (0.83) 105.8 (28.9)
Biologic-experienced 56 3.42 (1.36) 119.5 (47.5)
Infliximab i.v. Total 129 8.78 (3.34) 129.4 (48.1)
Biologic-naïve 78 8.77 (3.56) 127.0 (46.9)
Biologic-experienced 51 8.81 (3.00) 133.0 (50.1)
s.c. Total 39 9.29 (3.13) 108.2 (36.5)
Biologic-naïve 23 8.87 (1.19) 103.3 (13.9)
Biologic-experienced 16 9.89 (4.70) 115.3 (54.8)
Ustekinumab s.c. Total 194 1.45 (0.37) 136.3 (35.2)
Biologic-naïve 51 1.37 (0.27) 129.3 (25.6)
Biologic-experienced 143 1.47 (0.40) 138.8 (37.9)
Vedolizumab i.v. Total 74 6.63 (2.76) 124.1 (51.6)
Biologic-naïve 23 5.74 (1.31) 107.5 (24.5)
Biologic-experienced 51 7.02 (3.14) 131.5 (58.7)
s.c. Total 63 7.48 (1.48) 96.9 (19.2)
Biologic-naïve 18 6.75 (1.40) 87.4 (18.1)
Biologic-experienced 45 7.77 (1.43) 100.7 (18.5)
aPatients with at least two application-specific prescriptions of respective index drug in maintenance phase.
bDDD and PDD are based on total prescribed dosage within the first 365 treatment days: Percentage values represent the PDD compared with the minimum recommended daily dose according to the SmPC. Values >100% indicate higher than minimum recommended dosing
DDD, defined daily dose; i.v., intravenous; PDD, prescribed daily dose; s.c., subcutaneous; SD, standard deviation

Table 3. Dose escalationsa, time-to dose escalation, and duration of escalated advanced biologic therapies.
Index drug Group N Patients with dose escalation, n (%) Mean time to dose escalation,b
days (SD)
Mean duration of dose escalation,b
days (SD)
Adalimumab Total 254 127 (50.0) 120.0 (113.2) 75.4 (74.7)
Biologic-naïve 198 95 (48.0) 114.0 (110.6) 69.3 (67.0)
Biologic-experienced 56 32 (57.1) 139.3 (120.5) 95.0 (93.7)
Infliximab Total 157 108 (68.8) 113.5 (115.4) 82.8 (84.7)
Biologic-naïve 97 62 (63.9) 121.2 (118.1) 87.5 (88.1)
Biologic-experienced 60 46 (76.7) 102.6 (111.6) 76.2 (79.7)
Ustekinumab
Total 194 167 (86.1) 95.3 (115.4) 131.4 (101.6)
Biologic-naïve 51 44 (86.3) 102.2 (119.2) 139.9 (109.0)
Biologic-experienced 143 123 (86.0) 93.0 (114.3) 128.6 (99.1)
Vedolizumab Total 127 73 (57.5) 123.2 (118.5) 54.9 (67.7)
Bio-naïve 38 18 (47.4) 129.6 (126.7) 59.1 (95.8)
Bio-experienced 89 55 (61.8) 121.4 (116.8) 53.6 (58.0)
aDefined as >30% over minimal maintenance defined daily dose (based on the dosage between two prescriptions).
bOnly patients who escalated dose were included.
SD, standard deviation.

09:46 – 09:52

KV 066 Langzeitvergleich von „Advanced Therapies“ bei chronisch entzündlichen Darmerkrankungen (CED): Ergebnisse aus dem TARGET Register für Patienten mit CED in Deutschland

Sandra Plachta-Danielzik (Kiel)

KV 066 Langzeitvergleich von „Advanced Therapies“ bei chronisch entzündlichen Darmerkrankungen (CED): Ergebnisse aus dem TARGET Register für Patienten mit CED in Deutschland

S. Plachta-Danielzik1, E. Gilman1, P. Efken2, W. Mohl3, F. Holtkamp-Endemann4, M. von der Ohe5, S. Fajardo Salmon1, S. Langness1, U. Tappe6, S. Schreiber7,1, B. Bokemeyer8,7,1

1Kompetenznetz Darmerkrankungen, Kiel, Deutschland, 2Gastroenterologische Gemeinschaftspraxis Minden, Minden, Deutschland, 3Zentrum für Gastroenterologie Saar MVZ GmbH, Saarbrücken, Deutschland, 4Gastroenterologische Gemeinschaftspraxis, Münster, Deutschland, 5Gastroenterologische Gemeinschaftspraxis Herne, Herne, Deutschland, 6Gastropraxis an der St. Barbaraklinik, Hamm, Deutschland, 7Universitätsklinikum Schleswig-Holstein, Klinik für Innere Medizin I, Kiel, Deutschland, 8Interdisziplinäres Crohn Colitis Centre Minden, Minden, Deutschland

Einleitung: Die Möglichkeiten der Behandlung bei chronisch entzündlichen Darmerkrankungen (CED) mit Biologika und Small Molecules (Advanced Therapies (AT)) haben sich in den letzten Jahren durch die Zulassung neuer gezielter Medikamente, auch teils mit neuen Wirkmechanismen, stark erweitert. Ein direkter Vergleich der Effektivität im Real-World-Setting ist nicht ganz einfach. Die Therapie-Persistenz zeigt die Bereitschaft von Ärzten und Patienten, eine Therapie fortzusetzen, und ist damit ein Langzeit-Indikator für die Wirksamkeit und Sicherheit einer Therapie.
Ziel ist ein indirekter Vergleich der Therapie-Persistenz verschiedener ATs (Adalimumab (ADA), Infliximab (IFX), Vedolizumab (VDZ), IL12/23 und IL 23-Inhibitoren (IL 12/23) und JAK-Inhibitoren (JAKi).
Methoden: Das TARGET Register sammelt deutschlandweit Daten über die Wirksamkeit und Sicherheit von ATs bei CED-Patienten und ist als prospektive, indikationsstratifizierte (Morbus Crohn (MC), Colitis ulcerosa (CU)), multizentrische, nicht-interventionelle Kohorte angelegt. Die Datenerhebung erfolgt aktuell nach einer wöchentlichen Kontrolle in der Induktionsphase, dann in der Verlaufstherapie alle 6 Monate. In dieser Analyse zum 31.12.2024 konnten Daten von 813 Patienten, die zwischen November 2019 und Dezember 2023 eingeschlossen und mindestens 12 Monate im TARGET Register beobachtet wurden, ausgewertet werden. Die Persistenz der einzelnen Therapien wurde bis zu 5 Jahre verfolgt und mit Hilfe von Kaplan-Meier (KM) Kurven (Log-Rank-Test) verglichen.
Ergebnisse: Insgesamt gab es 956 Therapieverläufe mit einer jeweils neu begonnenen AT: 245 ADA, 265 IFX, 202 VDZ, 195 IL12/23 (187 UST, 7 RISA, 1 MIRI), 49 JAKi (9 TOFA, 10 FIL, 30 UPA) mit einer durchschnittlichen Beobachtungsdauer von 36, 37, 33, 31 und 14 Monaten. Die Patientencharakteristika sind in Tabelle 1 dargestellt. Die Therapiegruppen unterschieden sich bzgl. der Krankheitsindikation sowie der Krankheitsdauer und dem Anteil an Biologika-erfahrenen Patienten, wobei beide Kriterien bei anti-TNF am niedrigsten waren. Die Persistenzraten betrugen nach 5 Jahren bei ADA 77,1%, IFX 80,8%, VDZ 72,3%, IL 12/23 79,5% und JAKi 93,9% und waren statistisch nicht unterschiedlich (p=0,141) (Abb. 1).

Tabelle 1 zeigt die Baseline-Charakterisitka der Patienten des TARGET Registers zu Beginn der jeweiligen Therapie stratifiziert nach Medikamentengruppen
Abb. 1 zeigt die Therapie-Persistenzen bis zu 5 Jahren bei Patienten des TARGET Registers.
Schlussfolgerung: Alle Advanced Therapies zeigten eine hohe Therapiepersistenz bis zu 5 Jahren mit ca. 70-80% der CED-Patienten. Bei dieser aktuellen Analyse gab es statistisch keine Unterschiede zwischen den einzelnen Therapielinien.

09:54 – 10:00

KV 067 Ein-Jahres-Verlaufsdaten bei Patienten mit Colitis ulcerosa unter einer Filgotinib-Therapie im Real-World Setting: Daten der prospektiven FilgoColitis-Studie

Sandra Plachta-Danielzik (Kiel)

KV 067 Ein-Jahres-Verlaufsdaten bei Patienten mit Colitis ulcerosa unter einer Filgotinib-Therapie im Real-World Setting: Daten der prospektiven FilgoColitis-Studie

S. Plachta-Danielzik1, B. Bokemeyer2,3,1, T. Hellms4, W. Landry5, M. Kahl6, R. Ehehalt7, L. Zimmermann8, A. Schiffelholz9, P. Efken10, J. Reiner11, S. Fajardo Salmon1, T. Wenske1, S. Schreiber3,1

1Kompetenznetz Darmerkrankungen, Kiel, Deutschland, 2Interdisziplinäres Crohn Colitis Centre Minden, Minden, Deutschland, 3Universitätsklinikum Schleswig-Holstein, Klinik für Innere Medizin I, Kiel, Deutschland, 4Medizinische Hochschule Hannover (MHH), Klinik für Gastroenterologie, Hepatologie und Endokrinologie, Hannover, Deutschland, 5Medizinisches Versorgungszentrum Dachau, Dachau, Deutschland, 6Fachinternistische Schwerpunktpraxis, Hamburg, Hamburg, Deutschland, 7Praxis für Gastroenterologie Heidelberg, Heidelberg, Deutschland, 8GastroPraxis Magdeburg, Magdeburg, Deutschland, 9Gastroenterologische Schwerpunktpraxis, Augsburg, Deutschland, 10Gastroenterologische Gemeinschaftspraxis Minden, Minden, Deutschland, 11Universitätsmedizin Rostock, Abteilung für Gastroenterologie, Endokrinologie und Stoffwechselkrankheiten, Rostock, Deutschland

Einleitung und Ziele: Analyse der klinischen Wirksamkeit und psychosozialer Parameter nach einem Jahr Therapie mit einer Filgotinib (FIL)-Therapie bei Patienten mit Colitis ulcerosa (CU) im Real-World Setting. Zusätzlich sollen neue patientenbezogene Outcomes durch Wearables evaluiert werden.
Methodik: FilgoColitis ist eine prospektive, multizentrische, nicht-interventionelle, 24-monatige Beobachtungsstudie bei Patienten mit aktiver CU und neuer FIL-Therapie.
Betrachtet werden die Krankheitsaktivität (Ansprechen: Verringerung des pMayo-Wertes um >3 Punkte vom Ausgangswert bis Monat 12 und eine Verringerung um mindestens 30 % oder Erreichen einer Remission zu Monat 12; klinische Remission (CR): pMayo ≤ 1 plus ein Blutungs-Subscore=0; steroidfreie Remission: CR und keine systemische Anwendung von Steroiden oder oralem Budesonid), Lebensqualität (sIBDQ und EQ-5D) und Fatigue-Score (FACIT-F). In einer Untergruppe wurde die Schrittzahl mit dem SensMotion® Oberschenkel-Accelerometer für mindestens 2 Tage nach der Baseline- und Monats-12-Visite aufgezeichnet (n=17).
Ergebnisse: 202 CU-Patienten mit einer neu eingeleiteten FIL-Therapie wurden in die Studie eingeschlossen. Nach 12 Monaten wurden 59,7% der Patienten immer noch mit FIL behandelt (Abb. 1). 140 Patienten standen mit vollständigen Daten zu Beginn und Monat 12 für die Wirksamkeitsanalyse zur Verfügung (Tab. 1). Die Ansprechrate zu Monat 12 betrug 59,3% und die klinische Remissionsrate 44,3% (Tab. 2). Bei Biologika-naïven war die Remissionsrate 50,0%, während sie bei Biologika-erfahrenen Patienten bei 43,4% lag (p=0,788). Bei Patienten, die nach der Induktion (W10) angesprochen haben, war die Remissionsrate zu Monat 12 65,6%. Der mediane EQ-VAS stieg von 68 bei Baseline auf 80 bei Monat 12 an, der mediane sIBDQ-Score von 41 auf 56, was eine signifikante Verbesserung der Lebensqualität widerspiegelt (bei beiden: p<0,001). Auch der Fatigue-Score konnte signifikant verbessert werden (FACIT-F Score Teil I: 9,0 vs 5,0, p<0,001). Bei den Patienten, die sich zu Monat 12 in Remission befanden, unterschieden sich die während der Nacht gemessenen Schritte von denen bei Patienten, die nicht in Remission waren: 167 (75-272) gegenüber 342 (94-620). Dies stand im Einklang mit der Frage an die Patienten, ob sie nächtlichen Stuhlgang hatten (0 % versus 33,4%).
Schlussfolgerung: Im Real-World Setting zeigte FIL bei aktiver CU eine gute Remissionsrate von 44% zu Monat 12 bei einer signifikant verbesserten Lebensqualität.
Abb. 1 zeigt die Persistenz der Behandlung mit Filgotinib bis zu Monat 12 inder FilgoColitis Studie.Tabelle 1 zeigt die Baseline-Charakterisitka der Patienten der FilgoCOlitis Studie, bei denen auch zu Monat 12 vollständige Daten vorlagen.Tabelle 2 zeigt die Raten des Ansprechens, der klinischen Remission sowie der steroid-freien Remissionder Filgotinib-Therapie bei allen CU-Patienten der FilgoColitis Studie sowie stratifiziert nach Biologika-erfahrenen und naiven Patienten zu Monat 12.

10:02 – 10:08

KV 068 Sustained corticosteroid-sparing effects of upadacitinib maintenance therapy in patients with moderate-to-severe crohn’s disease: 2-year results from the U-ENDURE long-term extension study

Irina Blumenstein (Frankfurt am Main)

KV 068 Sustained corticosteroid-sparing effects of upadacitinib maintenance therapy in patients with moderate-to-severe crohn’s disease: 2-year results from the U-ENDURE long-term extension study

I. Blumenstein1, V. Jairath2, M.C. Dubinsky3, L. Biedermann4, T. Fujii5, C. Cunneen6, E. Dubcenco6, S. Ford6, A. Garrison6, E.V. Loftus Jr7

1Goethe-University Hospital, Department of Internal Medicine 1, Frankfurt am Main, Deutschland, 2Western University, Department of Medicine, London, Kanada, 3Icahn School of Medicine at Mount Sinai, Susan and Lenard Feinstein IBD Clinical Center, New York, Vereinigte Staaten, 4University Hospital Zurich, Department of Gastroenterology and Hepatology, Zürich, Schweiz, 5Institute of Science Tokyo, Tokio, Japan, 6AbbVie Inc., North Chicago, Vereinigte Staaten, 7Mayo Clinic College of Medicine and Science, Division of Gastroenterology and Hepatology, Rochester, Vereinigte Staaten

Background: Long-term use of corticosteroids (CS) is a concern for patients (pts) with Crohn’s disease (CD), as prolonged use is associated with increased mortality and adverse outcomes. Upadacitinib (UPA), an oral, selective, reversible JAK inhibitor, approved for moderateto-severe CD, demonstrated CS-sparing efficacy with a consistent safety profile through maintenance week (wk) 52.1-4 We evaluated the long-term efficacy of UPA in achieving CS-free clinical and endoscopic outcomes in pts in the U-ENDURE long-term extension (LTE) study.
Methods: Pts who completed the U-ENDURE 52-wk maintenance study were eligible for the LTE study where they continued their assigned treatment (1x daily UPA 15mg [UPA15] or UPA 30mg [UPA30]). Efficacy was assessed from LTE wk0-48, among pts with 2 year (yr) (100wk) of total maintenance therapy, within the overall pts and in pts with baseline (BL) CS use (induction wk0). CS-free endpoints (without CS use for ≥90 days), included clinical remission (per stool frequency/abdominal pain score [SF/APS] and CDAI), endoscopic response, and endoscopic remission, were evaluated using both as-observed and nonresponder imputation (NRI) methods, with NRI analysis presented in text. Safety was not evaluated here but was reported previously.3
Results: Among pts with 2 yr of total maintenance therapy, 35.7% (87/244) received CS at baseline, with 13.1% (32/244) receiving CS at any time during the LTE regardless of BL CS use. Among pts taking BL CS and those who received CS at any time during the LTE (n=20), the median (range) time of CS use was 127.5 (2-1589) days. CS-free clinical remission at LTE wk0 and wk48 per SF/APS (overall pts: UPA15, 71.7%, 58.9%; UPA30, 81.8%, 57.7%; pts with BL CS use: UPA15, 71.8%, 53.8%; UPA30, 79.2%, 54.2%, NRI, Fig.1A-B) and CDAI criteria (overall pts: UPA15, 74.8%, 60.7%; UPA30, 83.9%, 65.0%; pts with BL CS use: UPA15, 74.4%, 56.4%; UPA30, 81.3%, 58.3%, NRI, Fig.1C-D). At LTE wk48, high rates of UPA-treated pts achieved CS-free endoscopic response (overall pts: UPA15, 48.6%; UPA30, 55.5%; pts with BL CS use: UPA15, 38.5%; UPA30, 60.4%, NRI) and CS-free endoscopic remission (overall pts: UPA15, 33.6%; UPA30, 46.0%; pts with BL CS use: UPA15, 28.2%; UPA30, 54.2%, NRI, Fig.2).
Conclusion: Pts with moderate-to-severe CD who received long-term UPA maintenance treatment sustained high rates of CS-free clinical and endoscopic outcomes, suggesting that UPA may serve as an effective long-term CS-sparing therapy.

References

  1. RINVOQ [package insert], extended-release tablets, FDA Prescribing Information. AbbVie Inc; 2022. Accessed 1 June 2022.
  2. RINVOQ [package insert], prolonged-release tablets. EMA Summary of Product Characteristics. AbbVie; 2022. Accessed 1 June 2022.
  3. Loftus EV and Panes J et al. N Engl J Med 2023;388:1966-1980.
  4. M C Dubinsky, et al. Journal of Crohn’s and Colitis, 17; (Supp_1); 2023: i104–i106.

The results for corticosteroid-free SF/APS clinical remission for A) Overall population and B) Patients with baseline corticosteroid use over 48 weeks are presented. In addition, the results for corticosteroid-free CDAI clinical remission for C) Overall population and D) Patients with baseline corticosteroid use over 48 weeks are presented.

Figure 1. Corticosteroid-Free Clinical Remission in Patients Treated With Upadacitinib Through Week 48 of the U-ENDURE Long-Term Extension Study. Patients on CS at baseline of induction began a mandatory taper at induction wk 4. CS-free clinical remission was evaluated throughout LTE among patients who abstained from CS use for 90 days before assessment. Patients were blinded until the last patient completed wk 52 of maintenance. For NRI analysis on binary variables, patients were categorized as “nonresponder” after initiation of any protocol rescue medications or missing data. For AO analysis, all available baseline measurements before initiation of open-label UPA 30 mg QD rescue in LTE were used for analysis, and no missing data were imputed.
A and B) SF/APS clinical remission was defined as average daily, very soft, or liquid SF ≤ 2.8 and average daily, AP score ≤ 1.0, and both not greater than induction baseline.
C and D) Clinical remission per CDAI was defined as CDAI < 150.
AO, as observed; CDAI, Crohn’s disease activity index; CI, confidence interval; CS, corticosteroid; LTE, long-term extension; NRI, nonresponder imputation; QD, once daily; SF/APS, stool frequency/abdominal pain score; UPA, upadacitinib, wk, week.

The results for corticosteroid-free endoscopic response for A) Overall population and B) Patients with baseline corticosteroid use for week 0 and week 48 are presented. In addition, the results for corticosteroid-free endoscopic remission for C) Overall population and D) Patients with baseline corticosteroid use are presented.

Figure 2. Corticosteroid-Free Endoscopic Outcomes in Patients Treated With Upadacitinib Through Week 48 of the U-ENDURE Long-Term Extension Study. Patients on CS at baseline of induction began a mandatory taper at induction wk 4. CS-free endoscopic outcomes were evaluated at LTE wk 0 and wk 48 among patients who abstained from CS use for 90 days before assessment. Patients were blinded until the last patient completed wk 52 of maintenance. For NRI analysis on binary variables, patients were categorized as “nonresponder” after initiation of any protocol rescue medications or missing data. For AO analysis, all available baseline measurements before initiation of open-label UPA 30 mg QD rescue therapy in LTE were used for analysis, and no missing data were imputed.
A and B) Endoscopic response was defined as a decrease in SES-CD > 50% from baseline of the induction study (or for patients with an SES-CD of 4 at baseline of the induction study, at least a 2-point reduction from baseline), as scored by a central reviewer. Endoscopies were performed annually.
C and D) Endoscopic remission was defined as SES-CD ≤ 4 and at least a 2-point reduction from baseline and no subscore > 1 in any individual variable baseline, as scored by a central reviewer and measured up to LTE wk 48.
AO, as-observed; CDAI, Crohn’s disease activity index; CI, confidence interval; CS, corticosteroid; LTE, long-term extension; NRI, nonresponder imputation; QD, once daily; SES-CD, simple endoscopic score for patients with Crohn’s disease; UPA, upadacitinib; wk, week.

10:10 – 10:16

KV 069 Analyse von Drug Survival und Abbruchgründe von Biologikatherapien bei Morbus Crohn – eine retrospektive, monozentrische Kohortenstudie

Muhammad Mujtaba Siddiqi

KV 069 Analyse von Drug Survival und Abbruchgründe von Biologikatherapien bei Morbus Crohn – eine retrospektive, monozentrische Kohortenstudie

M.M. Siddiqi1, M. Kreysing1, D. Pinzaru1, A. Gauss1

1Medizinische Klinik, Universitätsklinikum Heidelberg, Klinik für Gastroenterologie und Hepatologie, Heidelberg, Deutschland

Einleitung: Biologikatherapien haben eine große Bedeutung im Alltag von Menschen mit Morbus Crohn (MC) gewonnen. Allerdings sind Therapieabbrüche weiterhin häufig und beeinträchtigen die Remissionserhaltung.
Ziele: Ziel dieser Studie ist die systematische Analyse und Vergleich von Drug Survival als Surrogatparameter für langfristigen Therapieerfolg und Abbruchgründe der häufigsten Biologikatherapien bei MC.
Methodik: In einer retrospektiven Kohortenstudie wurden elektronische Verlaufsbögen von Patienten mit MC ausgewertet, die von 2017 bis April 2024 immunsuppressiv in der CED-Ambulanz des Universitätsklinikums Heidelberg behandelt und in die CED-Datenbank der Klinik aufgenommen wurden. Primärer Endpunkt war das Drug Survival, sekundärer Endpunkt war der Therapieabbruchgrund. Zudem wurde das Drug Survival von Infliximab (IFX) und Adalimumab (ADA) bei Biologika-naiven Patienten mit MC mittels 1:2-Propensity Score Matching im Log-Rank-Test statistisch verglichen.
Ergebnisse: Von 1020 Patienten wurden 396 Patienten mit MC eingeschlossen. Das mediane Alter betrug 48 Jahre (IQR: 35-60), 44,9 % waren männlich, und die mediane Krankheitsdauer bis Therapiebeginn lag bei 9 Jahren (IQR: 2-20). 25,5 % hatten eine perianale Fistelbeteiligung. Von 1035 immunsuppressiven Therapien waren 771 mit ADA, IFX, Vedolizumab (VDZ) und Ustekinumab (UST).
ADA wies das höchste (27 Monate; 95 %-CI: 19,8-34,2), gefolgt von UST (22 Monate; 95 %-CI: 13,4-30,6), VDZ (15 Monate, 95 %-CI: 7,2-22,8) und IFX (14 Monate; 95 %-CI: 10,6-17,4).
Der häufigste Abbruchgrund für ADA (41,3 %), VDZ (76,8 %) und UST (61,8 %) war unzureichendes Therapieansprechen, für IFX waren Nebenwirkungen (24,4 %), unzureichendes Therapieansprechen (21,1 %) und Anti-Drug-Antikörper (20,3 %) etwa gleich.
Beim Vergleich von 47 (IFX) vs. 94 (ADA) Biologika-naiven Patienten wies ADA ein signifikant höheres mittleres Drug Survival auf als IFX (49,7 vs. 33,6 Monate; p=0,034).
Schlussfolgerung: Adalimumab zeigte sowohl insgesamt als auch bei Biologika-naiven Patienten mit MC ein längeres Drug Survival als Infliximab. Der häufigste Therapieabbruchgrund war unzureichendes Ansprechen. Es sind weitere prospektive, multizentrsiche Studien erforderlich, um die Therapiewahl sowie das -ansprechen für Patienten mit MC zu optimieren.

Untersuchte Patienten mit Morbus Crohn (N = 396)
Geschlecht
Männlich
Weiblich
178 (44,9 %)
218 (55,1 %)
Alter, Median (IQR) 48 (35-60)
Dauer von Erstdiagnose bis Therapiebeginn in Jahren, Median (IQR) 9 (2-20)
Nikotinkonsum zu Beginn der Vorstellung
Ja
Nein
Unbekannt
135 (34,1 %)
258 /65,2 %)
3 (0,7 %)
CED-Familienanamnese 1. Grades
Ja
Nein
Unbekannt
51 (12,9 %)
336 (84,8 %)
9 (0,3 %)
Krankheitslokalisation (nach Montréal)
L1: Terminales Ileum
L2: Kolon
L3: Ileokolon

Obere Gastrointestinaltrakt-Beteiligung (L4)
Ja
Nein

121 (30,6 %)
45 (11,4 %)
230 (58,1 %)

39 (9,8 %)
357 (90,2 %)

Krankheitsverhalten (nach Montréal)
B1: Nicht stenosierend, nicht fistulierend
B2: Stenosierend
B3: Fistulierend
B2 + B3: Stenosierend und fistulierend
Unbekannt
129 (32,6 %)
101(25,5 %)
93 (23,5 %)
69 (17,4 %)
4 (1,0 %)
Perianale Fistelbeteiligung
Ja
Nein
101 (25,5 %)
295 (74,5 %)
Serologische Marker
ASCA IgG-Status
Positiv
Negativ
Unbekannt

ASCA IgA-Status
Positiv
Negativ
Unbekannt

132 (33,3 %)
175 (44,2 %)
89 (22,5 %)

151 (38,1 %)
155 (39,1 %)
90 (22,7 %)

Extraintestinale Manifestationen
Axiale Gelenkbeteiligung
Ja
Nein
Periphere Gelenkbeteiligung
Ja
Nein
Erythema nodosum
Ja
Nein
Pyoderma gangraenosum
Ja
Nein

26 (6,6 %)
370 (93,4 %)

99 (25,0 %)
297 (75,0 %)

20 (5,1 %)
376 (94,9 %)

8 (2,0 %)
388 (98,0 %)

Anzahl an CED-assoziierten Operationen, Median 1
Anzahl an medikamentösen Therapien, Median 2

Drug Survival von Biologikatherapien bei Patienten mit Morbus Crohn
Median

Medikament (Zahl der Therapien)

Geschätzter Median (in Monaten) Standardfehler 95 %-Konfidenzintervall
Untergrenze Obergrenze
Adalimumab (N = 293) 27 3,66 19,8 34,2
Ustekinumab (N = 199) 22 4,40 13,4 30,6
Vedolizumab (N = 122) 15 3,98 7,2 22,8
Infliximab (N = 157) 14 1,74 10,6 17,4
Gründe für den Abbruch einer Biologikatherapie bei Patienten mit Morbus Crohn
Abbruchgründe Medikament; Anzahl an Fälle (Anteil am jeweiligen Medikament)
Adalimumab Ustekinumab Vedolizumab Infliximab
Remission 16 (7,1 %) 0 (0,0 %) 2 (2,4 %) 7 (5,7 %)
Unzureichende Wirkung 93 (41,3 %) 67 (61,5 %) 63 (76,8 %) 26 (21,1 %)
Sekundärer Wirkverlust 41 (18,2 %) 5 (4,6 %) 5 (6,1 %) 14 (11,4 %)
Bildung von Anti-Drug-Antibodies 5 (2,2 %) 0 (0,0 %) 0 (0,0 %) 25 (20,3 %)
Infektionen 11 (4,9 %) 1 (0,9 %) 0 (0,0 %) 4 (3,3 %)
Nebenwirkungen 34 (15,1 %) 14 (12,8 %) 7 (8,5 %) 30 (24,4 %)
Sonstige Gründe 25 (11,1 %) 17 (13,8 %) 5 (6,1 %) 22 (20,2 %)
Alle Gründe 225 (100 %) 123 (100 %) 82 (100 %) 109 (100 %)

Flussdiagramm mit Einschlusskriterien für die Kohortenstudie

Vier Kaplan-Meier Kurven für das Drug Survival von Biologika bei Patienten mit Morbus Crohn

Zwei Kaplan-Meier Kurven für Adalimumab und Inflxiimab bei Biologika-naiven Patienten mit Morbus Crohn

10:18 – 10:24

KV 070 Upadacitinib erreicht bei Patient∙innen mit Colitis ulcerosa nach einjähriger Behandlung hohe symptomatische Remissionsraten, unabhängig der Werte potenzieller prognostischer Marker zu Woche 8 – Interimsdaten aus der IBD-DACH-Studie EUROPE

Sebastian Zeißig (Greifswald)

KV 070 Upadacitinib erreicht bei Patient∙innen mit Colitis ulcerosa nach einjähriger Behandlung hohe symptomatische Remissionsraten, unabhängig der Werte potenzieller prognostischer Marker zu Woche 8 – Interimsdaten aus der IBD-DACH-Studie EUROPE

S. Zeißig1, R. Schmelz2, U. Helwig3,4, A.R. Moschen5, T. Greuter6, I. Fischer7, J. Martin8, S. Rath8, T. Kucharzik9, C. Maaser10

1Universitätsmedizin Greifswald, Klinik und Poliklinik für Innere Medizin A, Greifswald, Deutschland, 2Technische Universität (TU) Dresden, Medizinische Klinik I und Zentrum für Regenerative Therapien Dresden, Dresden, Deutschland, 3Praxis für Gastroenterologie, Oldenburg, Deutschland, 4Universität Kiel, Kiel, Deutschland, 5Johannes Kepler Universität Linz, Universitätsklinik für Innere Medizin 2, Linz, Österreich, 6GZO AG Spital Wetzikon, Klinik für Gastroenterologie, Zürich, Schweiz, 7Biostatistik-Tübingen, Tübingen, Deutschland, 8AbbVie Germany GmbH & Co. KG, Medizinische Abteilung, Wiesbaden, Deutschland, 9Klinikum Lüneburg, Klinik für Innere Medizin und Gastroenterologie, Lüneburg, Deutschland, 10MVZ am Klinikum Lüneburg, Lüneburg, Deutschland

Einleitung: Upadacitinib (UPA) ist ein reversibler und selektiver Januskinase-Inhibitor (JAK) und seit 2022 für die Behandlung der mittelschweren bis schweren Colitis ulcerosa (CU) zugelassen. Während die klinische Wirksamkeit und Sicherheit gut dokumentiert sind, sind Real-World Daten noch begrenzt.
Ziele: EUROPE ist eine laufende, prospektive, nicht-interventionelle, multizentrische Studie zu UPA bei aktiver CU. Ziel ist die Erhebung von Wirksamkeit und Sicherheit sowie die Untersuchung prognostischer Marker.
Methodik: In dieser Interimsanalyse sind Ergebnisse der symptomatischen Remission und der intestinalen Ultraschalluntersuchungen (IUS) nach einem Jahr UPA-Therapie bei 123 Patienten mit fortlaufender UPA-Behandlung in Woche 52 (W52) dargestellt. Sicherheitsdaten umfassen 303 Patienten (≥ 1 Dosis UPA).
Ergebnisse: Von 270 Patienten mit W8-Visite wurden 248 weiterhin mit UPA behandelt (91,9%), bei W52 waren es 123 von 159 (77,4%). 61% der 123 Patienten waren männlich, 51,2% hatten eine Pancolitis, die mediane Krankheitsdauer betrug 6,7 Jahre. 82,1% waren advanced-Therapy (AT)-erfahren. Zu W8 zeigten AT-naive (81,8%) und AT-erfahrene Patienten (79%) ähnliche symptomatische Ansprechraten. 89,1% verzeichneten ≥25% Darmwanddicken-(BWT)-Reduktion im am stärksten betroffenen Segment im Vergleich zu Baseline (BL). Zu W8 normalisierte sich die Stuhlfrequenz bei über 53% der Patienten, zu W52 bei über 68%. Ab W8 hatten über 85% keine rektalen Blutungen (BL 39,8%) (Abb.1). Der Steroidgebrauch sank von 43,1% zu BL auf 11,4% zu W8 und 7,3% zu W52. 94,9% der UPA-Patienten in symptomatischer Remission (W52) waren steroidfrei (94/99). AT-naive Patienten zeigten höhere Remissionsraten zu W52 (86,4%) als unter AT-Vortherapie (Abb.2). Die BWT sank von 5,1 mm (Median) bei BL auf 3 mm zu W8 und 2,4 mm zu W52. Zu W8 zeigten 61,7% der Patienten BWT-Normalisierung; Remissionsraten in W52 waren ähnlich hoch und unabhängig von einer BWT-Normalisierung zu W8 (Abb.3). Eine Stratifizierung nach zusätzlichen Markern zu W8 erzielte ähnliche Ergebnisse. Bei 303 Patienten wurden in der Sicherheitsanalyse 148 unerwünschte Ereignisse (AEs) und 22 schwerwiegende AEs gemeldet. 34 Patienten setzten UPA wegen AEs ab.
Schlussfolgerung: In dieser einjährigen Interimsanalyse zeigten Patienten unter UPA-Therapie zu W52 hohe Raten an symptomatischer Remission. Dieses Ergebnis war konstant hoch, unabhängig davon, ob andere Parameter (BWT, Biomarker) bereits zu W8 normalisiert waren oder nicht.

Patienten mit symptomatischer Normalisierung über die Zeit. Dargestellt sind keine rektalen Blutungen, die sich von BL 39,8 auf über 85% zu W8 und W52 erhöht. Auch die normalisierte Stuhlfrequenz erhöht sich von 4,1% BL auf 53,3% zu W8 und 68,1% zu W52. Patienten in symptomatischer Remission zu Woche 52, stratifiziert nach der Anzahl vorheriger Advanced Therapies. Bei AT-naiven Patienten lag die symptomatische Remission zu W52 bei 86,4% mit abnehmender Tendenz bei steigender Anzahl der Vortherapien. Bei minestens 3 Vortherapien lag die symptomatische Remission bei 76,3%.
Patienten in symptomatischer Remission zu Woche 52, stratifiziert nach Darmwanddicke zu Woche 8. Patienten mit normalisierten BWT zu Woche 8 erreichten zu 86,5% eine symptomatische Remission. Patienten mit noch erhöhter BWT zu Woche 8 erreichten zu 82,6% eine symptomatische Remission zu Woche 52.

10:26 – 10:32

KV 071 Symptomatic response trajectories of etrasimod in UC patients: a post hoc analysis of the ELEVATE UC 52 trial

Veit Sollacher

KV 071 Symptomatic response trajectories of etrasimod in UC patients: a post hoc analysis of the ELEVATE UC 52 trial

V. Sollacher1, J.C. Woolcott2, C.W. Lees3, S. Jelinsky4, W. Niezychowski2, S. Schreiber5

1Pfizer Pharma GmbH, Berlin, Deutschland, 2Pfizer Inc, Collegeville, PA, Vereinigte Staaten, 3Western General Hospital, Edinburgh, Vereinigtes Königreich, 4Pfizer Inc, Cambridge, MA, Vereinigte Staaten, 5Department of Internal Medicine I, University Hospital Schleswig-Holstein, Kiel University, Kiel, Deutschland

Introduction: Identifying patient (pt) populations and long-term treatment response factors can enable personalised management strategies in ulcerative colitis (UC). Etrasimod is an oral, once-daily, selective sphingosine 1-phosphate (S1P)1,4,5 receptor modulator for the treatment of moderately to severely active UC.
Objectives: To identify subgroups with distinct response trajectories based on changes in combined rectal bleeding subscore (RBS) and stool frequency subscore (SFS) over time.
Methodology: This post hoc analysis of etrasimod-treated pts from ELEVATE UC 52 used pt-reported outcome 2 (PRO2; RBS+SFS) to identify response trajectories and assess Week (Wk) 52 endpoint achievement. A composite of objective and subjective disease activity measures, previously used in trajectory modelling, was assessed as comprehensive disease control (CDC). CDC was defined by Wk 52 criteria: complete treatment (Wk 50), clinical remission, RBS and SFS =0, endoscopic subscore =0/1, complete Mayo score ≤2, histological remission (Geboes score <2 or Robarts Histopathology Index <3) and C-reactive protein and/or faecal calprotectin in normal range. Longitudinal k-means analysed PRO2 disease activity data as individual time-series connected datasets. Response trajectory groups (TGs) were related to maintenance outcomes and baseline characteristics. Clinical relevance of this grouping was assessed by the proportions of pts achieving key endpoints and their association with baseline demographics.
Results: In 283 etrasimod-treated pts with UC, five TGs were identified (Figure). 57% of super responders achieving CDC were clustered in TGs C and E, characterised by rapid response and sustained clinical remission (C: 34/51, E: 25/44), with lower baseline disease activity per histology and Mayo score components. In TGs B and D, 31.7% and 34% achieved clinical remission and 48.3% (29/60) and 53.2% (25/47) achieved clinical response. In TG E, symptomatic improvement per PRO2 continued beyond Wk 12.
Conclusion: Trajectory modelling identifies phenotypic subgroups in pts with UC responding to targeted therapy, revealing heterogeneity often masked in single population analyses. Notably, some etrasimod-treated pts had super-fast and fast response dynamics, linked with higher clinical remission and CDC rates. This may provide utility for therapeutic choice and pt management. Further studies across therapies are ongoing to validate results and identify cross-population treatment effects.

Among 283 etrasimod-treated pts with UC, the graph illustrates predicted trajectories of five distinct trajectory groups based on PRO2 (RBS+SFS) response over a 52-week treatment period with etrasimod. The x-axis represents time in weeks, ranging from 0 to 52, marked at intervals of 10 weeks. The y-axis represents the RBS+SFS score, ranging from 0 to 5. The graph features five lines, each corresponding to a different group: Group A (red), Group B (olive green), Group C (green), Group D (light blue) and Group E (purple). Initially, all groups exhibit a decline in scores between Weeks 0 and 10, which then plateau over the subsequent weeks.

10:34 – 10:40

KV 072 Etrasimod efficacy in patients with mildly to moderately active ulcerative colitis (modified Mayo score 4–6) in the phase 3 ELEVATE UC clinical programme

Martina Goetsch

KV 072 Etrasimod efficacy in patients with mildly to moderately active ulcerative colitis (modified Mayo score 4–6) in the phase 3 ELEVATE UC clinical programme

A.J. Yarur1, G.R. D’Haens2, F. Baert3, M. Goetsch4, C. Zang5, G. Gu6, R. Mazur4, M. Keating7, E. Kudlacz8, S. Sidhu7, K. Wosik9, S. Danese10

1Inflammatory Bowel Disease Center and Division of Gastroenterology and Hepatology, Cedars-Sinai Medical Center, Los Angeles, CA, Vereinigte Staaten, 2Department of Gastroenterology and Hepatology, Amsterdam University Medical Centers, Amsterdam, Niederlande, 3Department of Gastroenterology, AZ Delta, Roeselare, Belgien, 4Pfizer AG, Zürich, Schweiz, 5Pfizer Inc, Collegeville, PA, Vereinigte Staaten, 6Pfizer Inc, La Jolla, CA, Vereinigte Staaten, 7Pfizer Inc, New York, NY, Vereinigte Staaten, 8Pfizer Inc, Groton, CT, Vereinigte Staaten, 9Pfizer Canada, Kirkland, QC, Kanada, 10Division of Gastroenterology and Endoscopy, IRCCS San Raffaele Hospital and Vita Salute San Raffaele University, Milan, Italien

Introduction: Etrasimod is an oral, once-daily (QD), selective sphingosine 1-phosphate (S1P)1,4,5 receptor modulator for the treatment of moderately to severely active ulcerative colitis (UC).
Objectives: To evaluate the efficacy and safety of etrasimod 2 mg QD vs placebo (PBO) in a subpopulation of patients (pts) from the ELEVATE UC clinical programme with mildly to moderately active UC at baseline (BL).
Methodology: Data were pooled from the phase 3, randomised ELEVATE UC 52 (NCT03945188), ELEVATE UC 12 (NCT03996369) and ELEVATE UC 40 JAPAN (NCT04706793) trials.1,2 This post hoc analysis used a subset of pts aged ≥18 years with a BL modified Mayo score (MMS) of 4–6 (with a centrally read endoscopic subscore ≥2 and a rectal bleeding subscore [RBS] ≥1). Efficacy endpoints at Week (Wk) 12 and Wk 52 included clinical remission, endoscopic improvement, symptomatic remission and endoscopic improvement-histologic remission (EIHR); at Wk 52, sustained clinical remission and corticosteroid (CS)-free clinical remission were assessed. Least square mean change from BL in pt-reported outcome 2 (PRO2) score (sum of RBS and stool frequency subscore) was assessed to Wk 52. Proportions of pts with treatment-emergent adverse events (TEAEs), serious TEAEs and TEAEs leading to discontinuation were assessed.
Results: In this subgroup analysis, 221 pts received etrasimod and 109 received PBO. BL characteristics were generally balanced between treatment groups; 95 (28.8%) pts were taking CS at BL; 241 (73.0%) were biologic/Janus kinase inhibitor naïve. Median BL MMS was 6.0 in both treatment groups. Significantly greater proportions of pts receiving etrasimod vs PBO achieved all efficacy endpoints at Wk 12 and Wk 52 (Figure). A significant decrease in PRO2 score for etrasimod vs PBO was observed at Wk 2 and continued to Wk 32, with numerically greater score decreases from Wk 36 to Wk 52 (Table). Safety was similar across treatment groups, and consistent with the overall ELEVATE UC population.1
Conclusion: Etrasimod demonstrated robust efficacy in clinical, symptomatic and endoscopic endpoints and safety consistent with the overall population in pts with mildly to moderately active UC (MMS 4–6).

Four bar graphs (A-D) compare Etrasimod 2 mg QD (blue) to Placebo QD (gray) at Weeks 12 and 52. The Y-axis is the percentage of patients achieving endpoints (0–100%). A) Clinical remission, Etrasimod: 40.7% (Week 12), 42.1% (Week 52); Placebo: 18.3% (Week 12), 12.7% (Week 52); B) Endoscopic Improvement, Etrasimod: 50.2% (Week 12), 50.4% (Week 52); Placebo: 23.9% (Week 12), 19.0% (Week 52); C) Symptomatic remission, Etrasimod: 53.8% (Week 12), 47.4% (Week 52); Placebo: 32.1% (Week 12), 25.4% (Week 52); D) EIHR, Etrasimod: 30.3% (Week 12), 38.3% (Week 52); Placebo: 9.2% (Week 12), 15.9% (Week 52). Each graph displays Δ, 95% CI, and p values.

Table 1. LS mean change from BL up to Wk 52 in PRO2 score in pts with mildly to moderately active UC (MMS 4–6)
Pooled pt populationa
PBO QD, LS red (SE) [n]
N=109
Etrasimod 2 mg QD, LS mean (SE) [n]
N=221
LS mean difference (95% CI) p value
Wk 2 -0.60 (0.134) [102] -1.06 (0.096) [212] -0.46 (-0.77, -0.15) 0.004
Wk 4 -0.89 (0.131) [104] -1.63 (0.094) [211] -0.74 (-1.04, -0.43) <0.001
Wk 8 -1.11 (0.137) [101] -1.89 (0.098) [205] -0.78 (-1.10, -0.46) <0.001
Wk 12 -1.12 (0.144) [95] -1.96 (0.102) [202] -0.84 (-1.18, -0.50) <0.001
Wk 16 -1.07 (0.216) [33] -1.90 (0.152) [101] -0.82 (-1.28, -0.37) <0.001
Wk 20 -1.07 (0.211) [34] -2.06 (0.147) [104] -0.99 (-1.43, -0.55) <0.001
Wk 24 -1.36 (0.213) [31] -1.99 (0.146) [102] -0.64 (-1.08, -0.19) 0.005
Wk 32 -1.31 (0.224) [29] -1.88 (0.148) [99] -0.57 (-1.04, -0.11) 0.017
Wk 40 -1.23 (0.265) [30] -1.71 (0.171) [95] -0.48 (-1.06, 0.09) 0.096
Wk 48 -1.30 (0.263) [27] -1.75 (0.167) [90] -0.45 (-1.02, 0.11) 0.116
Wk 52 -1.42 (0.249) [29] -1.90 (0.163) [89] -0.48 (-1.01, 0.05) 0.078
p<0.05 values are highlighted in bold. PRO2 score was defined as the sum of the RBS and SFS per individual protocol. Change from BL estimates are from an MMRM model that included BL score as a covariate and factors for study, naïve to biologic/Janus kinase inhibitor therapy at study entry (yes/no), BL CS use (yes/no), treatment, visit and the treatment by visit interaction. Data are as observed without imputation for missing values.
aData were pooled from ELEVATE UC 52 and ELEVATE UC 12 up to Wk 12, and from ELEVATE UC 52 and ELEVATE UC 40 JAPAN after Wk 12 up to Wk 52.
BL, baseline; CI, confidence interval; CS, corticosteroid; LS, least squares; MMRM, mixed model for repeated measures; MMS, modified Mayo score; N, total number of patients per treatment group; n, number of patients with assessment at the specified visit; PBO, placebo; pt, patient; PRO2, patient-reported outcome 2; QD, once-daily; RBS, rectal bleeding subscore; SE, standard error; SFS, stool frequency subscore; UC, ulcerative colitis; Wk, Week.

References:

  1. Sandborn, WJ et al. Lancet 2023; 401: 1159–1171.
  2. Takeuchi K et al. Digestion 2024; ePub ahead of print.

10:42 – 10:48

KV 073 Etrasimod for the treatment of ulcerative colitis: up to 4 years of safety data from the global clinical programme

Martina Goetsch

KV 073 Etrasimod for the treatment of ulcerative colitis: up to 4 years of safety data from the global clinical programme

S. Vermeire1, D.T. Rubin2, M.D. Regueiro3, K. Takeuchi4, A. Walsh5, P.G. Kotze6, A. Charabaty7, M. Goetsch8, K. Lazin8, J. Wu9, G. Tsamos10, M. Segovia11, D. Branquinho11, S. Danese12

1Department of Gastroenterology and Hepatology, University Hospitals Leuven, Leuven, Belgien, 2University of Chicago Medicine Inflammatory Bowel Disease Center, Chicago, IL, Vereinigte Staaten, 3Department of Gastroenterology, Hepatology and Nutrition, Cleveland Clinic, Cleveland, OH, Vereinigte Staaten, 4Department of Gastroenterology, IBD Centre, Tsujinaka Hospital Kashiwanoha, Chiba, Japan, 5Translational Gastroenterology Unit, Oxford University Hospital, Oxford, Vereinigtes Königreich, 6IBD Outpatient Clinics, Colorectal Surgery Unit, Pontifícia Universidade Católica do Paraná (PUCPR), Curitiba, Brasilien, 7Division of Gastroenterology and Hepatology, Johns Hopkins School of Medicine, Washington, DC, Vereinigte Staaten, 8Pfizer AG, Zürich, Schweiz, 9Pfizer Inc, Cambridge, MA, Vereinigte Staaten, 10Pfizer, Thessaloniki, Central Macedonia, Griechenland, 11Pfizer Inc, New York, NY, Vereinigte Staaten, 12Division of Gastroenterology and Endoscopy, IRCCS San Raffaele Hospital and Vita Salute San Raffaele University, Milan, Italien

Introduction: Etrasimod is an oral, once-daily, selective sphingosine 1-phosphate (S1P)1,4,5 receptor modulator for the treatment of moderately to severely active ulcerative colitis (UC). The long-term safety, tolerability and efficacy of etrasimod are being evaluated in an ongoing open-label extension (OLE) study.1
Objective: To report an updated cumulative safety analysis from the etrasimod UC clinical programme with ≤4 years of exposure.
Methodology: Patients who received etrasimod in completed phase 2 (OASIS; OASIS open-label extension [OLE]), phase 3 (ELEVATE UC 52; ELEVATE UC 12) and ongoing ELEVATE UC OLE (data cutoff 30 August 2023) and ES101002 OLE (data snapshot 30 August 2022) studies were included. Treatment-emergent adverse event (TEAE) frequency and exposure-adjusted incidence rates (IRs) per 100 patient-years (PYs) were analysed.
Results: Overall, 1196 patients received ≥1 dose of etrasimod once daily (Table 1; mean [standard deviation] exposure 70.66 [54.36] weeks; total exposure 1619.5 PYs). Most TEAEs were nonserious and rarely led to discontinuation. TEAEs leading to death were reported in three patients (all deemed unrelated to treatment). IRs of TEAEs of interest were generally low (Table 2). Serious infection and herpes zoster infections were infrequent (all IRs <2.0). Three patients experienced four nonserious events of macular oedema (0.3%; IR 0.18), including one leading to discontinuation that resolved. One patient experienced two nonserious events of cystoid macular oedema (<0.1%; IR 0.06) that resolved. Malignancies were uncommon and included five patients with serious events (0.4%), two patients with squamous cell carcinomas and one with basal cell carcinoma. Eleven patients (0.9%) had alanine aminotransferase levels >3 times the upper limit of normal at two consecutive post-baseline visits. No patients met laboratory criteria for Hy’s law. No serious TEAEs of hypertension or bradycardia were reported. No events of second-degree Mobitz type 2 atrioventricular block or higher occurred.
Conclusion: Etrasimod remains well tolerated in patients with moderately to severely active UC, with a favourable safety profile that has not changed with longer-term treatment exposure for up to 4 years.
Reference:
1. Vermeire S et al. J Crohns Colitis 2023; 17: i619–i620.

Table 1. Patient demographics and baseline disease characteristics
Characteristic Etrasimod any dosea (N=1196)
Age, years; mean (SD)b 41.8 (13.37)
Female sex; n (%) 506 (42.3)
Race; n (%)
White 749 (62.6)
Asian 211 (17.6)
Baseline MMS; mean (SD) 5.8 (1.94)
Baseline total Mayo Clinic score; mean (SD) 8.2 (2.27)
Duration of UC, years; mean (SD) 7.3 (6.95)
The cohort comprised the following studies: OASIS (NCT02447302), ELEVATE UC 52 (NCT03945188), ELEVATE UC 12 (NCT03996369), OASIS OLE (NCT02536404), ELEVATE UC OLE (NCT03950232) and the open-label period of ES101002 (NCT04176588). TEAEs were assessed since the first dose of etrasimod (1 mg or 2 mg QD) as Day 1. For patients switching from placebo in randomised studies to OLE studies, their first dose of etrasimod in the OLE was considered as Day 1.
Baseline was defined as the last nonmissing measurement taken on or prior to the study treatment group start date.
aIncludes patients who received any dose of etrasimod 1 mg or 2 mg QD (52 patients received etrasimod 1 mg).
bAge at treatment start.
MMS, modified Mayo score; N, number of patients in the All UC Cohort; n, number of patients with event; OLE, open-label extension; QD, once daily; SD, standard deviation; TEAE, treatment-emergent adverse event; UC, ulcerative colitis.

Table 2. Safety data from the etrasimod UC clinical programme
Etrasimod any dosea (N=1196)
n (%) Exposure-adjusted IR per 100 PYs
Any TEAE 904 (75.6) 163.35
Related TEAEb 382 (31.9) 30.98
Any Grade 3 or higher TEAE 162 (13.5) 10.54
Serious TEAE 126 (10.5) 7.95
Any TEAE leading to study treatment discontinuation 130 (10.9) 7.89
Any TEAE leading to deathc 3 (0.3) 0.18
Infections and infestationsd,e 412 (34.4) 34.13
Serious infections 28 (2.3) 1.71
Herpes zosterf 9 (0.8) 0.54
Posterior reversible encephalopathy syndrome 0 0.00
Macular oedema 3 (0.3) 0.18
Cystoid macular oedemag 1 (<0.1) 0.06
Malignancies (excluding NMSC)h,i 5 (0.4) 0.30
Hypertensionj 40 (3.3) 2.48
Bradycardiak 12 (1.0) 0.72
Sinus bradycardial 9 (0.8) 0.54
AV block, first degree 4 (0.3) 0.24
AV block, second degree (Mobitz type 1) 4 (0.3) 0.24
AV block, second degree (Mobitz type 2) or higher 0 0.00
The All UC cohort comprised the following studies: OASIS (NCT02447302), ELEVATE UC 52 (NCT03945188), ELEVATE UC 12 (NCT03996369), OASIS OLE (NCT02536404), ELEVATE UC OLE (data cutoff 30 August 2023; NCT03950232) and the open-label period of ES101002 (data snapshot 30 August 30 2022; NCT04176588). For patients switching from placebo in randomised studies to OLE studies, their first dose of etrasimod in the OLE was considered as Day 1.
TEAE is defined as an AE that started after the first dose of etrasimod (1 mg or 2 mg QD). Terms are coded using MedDRA version 25.1.
Exposure-adjusted IR is defined as the number of patients with AE divided by the total PYs at risk for AE (sum of individual time to first episode of AE, or time in the study if patient was event free). Exposure-adjusted IR is presented per 100 PYs.
aIncludes patients who received any dose of etrasimod 1 mg or 2 mg QD (52 patients received etrasimod 1 mg).
bAs determined by the physician.
cOne event of neuroendocrine tumour of unknown primary site that resulted in death in a patient who received etrasimod 2 mg QD for approximately 24.3 weeks; one event of acute monocytic leukaemia that resulted in death due to cardiac arrest in a patient who received etrasimod 2 mg QD for approximately 43.4 weeks; one event of cardiac arrest during a scheduled colectomy procedure resulting in death in a patient who received etrasimod 2 mg QD in ELEVATE UC 12 and subsequently for 70.4 weeks during ELEVATE OLE. All deaths were deemed unrelated to study treatment as assessed by investigators.
dInfections of interest included nonserious events of cytomegalovirus (three patients) and tuberculosis (one patient). One patient experienced a herpes simplex meningitis event that led to discontinuation and resolved.
eSevere infections and infestations of CTCAE Grade 3–5 were experienced by 19 (1.6%) patients (Grade 3, n=18 [1.5%]; Grade 4, n=1 [<0.1%]; Grade 5, n=0).
fAll events were nonserious and did not lead to discontinuation.
gTwo nonserious events were reported in one patient that led to treatment discontinuation; both events were moderate and resolved.
hDefined as Serious TEAE under System Organ Class of Neoplasm benign, malignant and unspecified (including cysts and polyps).
iFive patients experienced serious TEAEs: neuroendocrine tumour of unknown primary site, acute monocytic leukaemia, neuroendocrine carcinoma metastatic, colon cancer and intraductal proliferative breast lesion; all were deemed unrelated to study treatment as assessed by investigators.
jNo serious TEAEs of hypertension or confirmed cases of hypertensive crisis have been reported to date.
kThree events led to treatment discontinuation; all were nonserious and resolved.
lTwo events led to treatment discontinuation; both were nonserious and resolved.
AE, adverse event; AV, atrioventricular; CTCAE, common terminology criteria for adverse events; IR, incidence rate; MedDRA, Medical Dictionary for Regulatory Activities; N, number of patients in the All UC cohort; n, number of patients with event; NMSC, non-melanoma skin cancer; OLE, open-label extension; PY, patient-year; QD, once daily; TEAE, treatment-emergent adverse event; UC, ulcerative colitis.

10:50 – 10:56

KV 074 Real-World-Evidenz zum Wechsel (Switch) eines Adalimumab-Präparates auf Fresenius Kabi Adalimumab (FK-Ada) bei CED: 6-Monatsdaten der IDEA-Studie

Jürgen Stein (Frankfurt am Main)

KV 074 Real-World-Evidenz zum Wechsel (Switch) eines Adalimumab-Präparates auf Fresenius Kabi Adalimumab (FK-Ada) bei CED: 6-Monatsdaten der IDEA-Studie

J. Stein1, L. Rosemeyer2, J. Trapp2, S. Howaldt3

1DGD Kliniken Frankfurt Sachsenhausen, Gastroenterologie/Ernährungsmedizin, Frankfurt, Deutschland, 2Fresenius Kabi Deutschland GmbH, Biopharma, Bad Homburg, Deutschland, 3Hamburgisches Forschungsinstitut für CED – HaFCED e.K, Hamburg, Deutschland

Einleitung: Biosimilars bieten eine ihren Originalpräparaten vergleichbare Wirksamkeit und Sicherheit und verbessern den Zugang zu kostengünstigeren Behandlungen. Fresenius Kabi-Adalimumab (FK-Ada) wird seit 2019 zur Behandlung von chronisch-entzündlichen Erkrankungen wie Morbus Crohn (MC) und Colitis ulcerosa (CU) eingesetzt. Die Entwicklung umfasste Studien mit 1234 Patienten, seit der Erstzulassung (> 115.000 Patientenjahre) traten keine unerwarteten Sicherheitssignale auf.
Ziele: IDEA ist eine internationale, multizentrische RWE-Studie zur Untersuchung der Therapiepersistenz unter FK-Ada. Erhobene Daten dienen der Entwicklung eines Vorhersagemodells für die Persistenz nach 12 Monaten.
Methoden: Erwachsene Patienten, die von einem anderen Adalimumab-Präparat auf FK-Ada umgestellt wurden, werden bis zu 52-Wochen lang beobachtet. Erhobene Daten umfassen Demografie- und Patientencharakteristika, Gründe für die Umstellung auf FK-Ada, und den klinischen Verlauf. Eingeschlossen wurden erwachsene Patienten mit MC oder CU, die im Rahmen der klinischen Routineversorgung behandelt wurden. Die Daten wurden deskriptiv ausgewertet und prädiktive Faktoren mittels logistischer Regression ermittelt. Hier werden Ausgangsmerkmale und erste 6-Monats-Zwischenergebnisse vorgestellt.
Ergebnisse: 136 CED-Patienten (MC: 112, CU: 24) wurden an 18 Zentren in Frankreich, Deutschland und Spanien rekrutiert. 56,6 % der Patienten waren männlich, das Durchschnittsalter lag bei 43,6 Jahren (±15,74), der durchschnittliche BMI bei 25,2 (±4,83). Zum Zeitpunkt der Umstellung waren 97,3 % der MC- und 87,5 % der CU-Patienten in Remission oder hatten eine milde bis moderate Krankheitsaktivität. 54,4% der Patienten wechselten vom Originalpräparat, 45,6% von einem anderen Biosimilar zu FK-Ada. Insgesamt 103 CED-Patienten (MC: 87, CU: 16) nahmen an der 6-monatigen Untersuchung teil (Tab. 1). Die 6-Monats-Persistenzrate unter FK-Ada lag bei 76,4 % (MC: 79%, CU: 65,2%). Dauerhafte Therapieabbrüche mit FK-Ada erfolgten meist nach 3 Monaten (Median 3,6), vor allem aufgrund von Reaktionen an der Injektionsstelle. Insgesamt trat bei 34% der Patienten mindestens ein unerwünschtes Ereignis auf, bei 22% waren diese auf FK-Ada zurückzuführen.
Tabelle zeigt klinische Parameter von Patienten mit Morbus Crohn (MC) und Colitis ulcerosa (CU) zu Studienbeginn und nach 6 Monaten. Die gemessenen Parameter sind BMI, Krankheitslokalisation, Krankheitsaktivität und fäkales Calprotectin. Für beide Gruppen sind Medianwerte sowie Änderungen vom Ausgangswert angegeben. Bei MC blieb der BMI im Median stabil (24,5 auf 24,4), 94,3 % zeigten keine Änderung der Krankheitslokalisation, 70 % hatten stabile oder verbesserte Krankheitsaktivität und der Calprotectinwert sank von 81,6 auf 60,2 µg/g. Bei CU blieb der BMI ebenfalls stabil (25,3 auf 25,4), es gab keine Änderung der Lokalisation bei allen Patienten, 75 % zeigten stabile oder verbesserte Krankheitsaktivität und das Calprotectin stieg leicht von 57,0 auf 103,0 µg/g. Alle Werte sind mit Interquartilsabständen oder Prozentangaben ergänzt.
Schlussfolgerung: Stabile Krankheitsverläufe und der Remissionserhalt von FK-Ada könnten die langfristige Persistenz beeinflussen und zur Therapietreue betragen. Weitere Daten zur Entwicklung eines belastbaren Vorhersagemodells sollen erhoben werden.

10:58 – 11:04

KV 075 Nachweis der Biosimilarität von Fresenius Kabi Ustekinumab (FK-Uste) zum Referenz-Ustekinumab – Entwicklung nach dem Prinzip der „Totality of Evidence“

Christian Prinz (Wuppertal)

KV 075 Nachweis der Biosimilarität von Fresenius Kabi Ustekinumab (FK-Uste) zum Referenz-Ustekinumab – Entwicklung nach dem Prinzip der „Totality of Evidence“

C. Prinz1, L. Rosemeyer2, Z. Sözen2, S. Balser3, B. Freudensprung3, K. Nopora3, M. Trieb3, M. Romanova-Michaelides4, M. Storr5,6

1Helios Universitätsklinikum Wuppertal – Campus Barmen, Klinik für Gastroenterologie, Hepatologie, Endokrinologie, Diabetologie, Wuppertal, Deutschland, 2Fresenius Kabi Deutschland GmbH, Biopharma, Bad Homburg, Deutschland, 3Formycon AG, Planegg, Deutschland, 4Fresenius Kabi SwissBioSim, Eysins, Schweiz, 5Zentrum für Endoskopie, Internistenzentrum – MVZ Gauting-Starnberg, Gauting, Deutschland, 6Ludwig-Maximilians Universität München, Medizinische Klinik II, München, Deutschland

Einleitung: Ustekinumab ist ein IgG1/kappa-Antikörper gegen Interleukin (IL)-12/23 zur Behandlung von Plaque-Psoriasis, Psoriasis-Arthritis und chronisch-entzündlichen Darmerkrankungen. Das Ustekinumab Biosimilar FK-Uste (Fresenius Kabi) wurde 2024 von der EMA und der FDA als Biosimilar zugelassen. Die Zulassung basiert auf einer umfassenden Charakterisierung des Moleküls und dem Nachweis der Äquivalenz bzgl. klinischer Wirksamkeit.
Ziele: Nachweis der Biosimilarität von FK-Uste zum Referenz-Ustekinumab in Struktur, Reinheit, biologischer Funktion, Pharmakokinetik, klinischer Wirksamkeit, -Sicherheit und -Immunogenität.
Methodik: Die Biosimilarität wurde durch eine umfassende analytische Charakterisierung, funktionelle Tests (IL-12/IL-23-Bindung, Bioassays) und in klinischen Studien geprüft: Durchführung einer Phase-I-Studie1 zum Nachweis der pharmakokinetischen (PK-) Äquivalenz an gesunden Probanden und einer Phase-III-Wirksamkeitsstudie2 zur Bewertung von Wirksamkeit, Sicherheit, Verträglichkeit und Immunogenität an Patienten mit mittelschwerer-schwerer Plaque-Psoriasis.
Ergebnis: FK-Uste weist eine vergleichbare Potenz zu Referenz-Ustekinumab, sowohl in der IL-12- als auch in der IL-23-Bindungsaktivität auf (Abb. 1). In der PK-Studie (n=491) wurde die PK-Äquivalenz zwischen FK-Uste und sowohl EU- als auch US-Referenz-Ustekinumab nachgewiesen. Alle 90%-Konfidenzintervalle lagen innerhalb der vordefinierten Äquivalenzgrenzen (80–125%), die Konzentrations-Zeit-Profile waren äquivalent (Abb. 2). In der klinischen Phase-III-Studie (n=392) lag die mittlere prozentuale Verbesserung des PASI-Scores nach 12 Wochen innerhalb der vordefinierten Äquivalenzintervalle, sowohl für die EU- und US-spezifische Analyse. Alle Produkte erreichten eine vergleichbare Verbesserung des PASI-Scores nach 12 Wochen. Der klinische Verlauf blieb über die gesamte Studiendauer hinweg konsistent – auch ein Wechsel vom Referenzprodukt zu FK-Uste hatte keinen klinisch relevanten Einfluss auf Wirksamkeit, Sicherheit oder Immunogenität.
Schlussfolgerung: FK-Uste ist mit dem Referenz-Ustekinumab hinsichtlich Struktur, Funktion und klinischer Wirkung vergleichbar. Die Gesamtheit der Evidenz belegt die therapeutische Äquivalenz bei Plaque-Psoriasis, wodurch eine Indikationsextrapolation ermöglicht wird. FK-Uste stellt eine sichere und wirksame Biosimilar-Option für Patienten dar, die eine Ustekinumab-Therapie benötigen.

Vier Streudiagramme zeigen die relative Potenz (%) verschiedener Formulierungen von Referenz-Ustekinumab (Stelara® aus den USA und der EU) und FK-Uste in vier Bioassays. Die oberen beiden Diagramme zeigen IL-12-Potenzdaten: links basierend auf einem ELISA, rechts auf einem NK92-Zellassay. Die unteren beiden Diagramme zeigen IL-23-Potenzdaten: links basierend auf einem ELISA, rechts auf einem iLite-Zellassay. Farblich und symbolisch werden die Produkte unterschieden (z. B. FK-Uste in Rot, US-Stelara in Blau, EU-Stelara in Grün; unterschiedliche Symbolformen für Vial oder Fertigspritze, 45 mg oder 90 mg). Die Datenpunkte liegen gruppiert im Bereich von etwa 85 % bis 115 % relativer Potenz, abhängig vom Assay.
Zweiteilige Abbildung zur Darstellung der klinischen Wirksamkeit von FK-Uste im Vergleich zu Referenzprodukten Stelara EU und Stelara US. Teil (a) zeigt ein Liniendiagramm mit den mittleren Serumkonzentrationen (ng/mL) über 112 Tage. Die Kurven für FK-Uste (rosa), EU-Stelara (dunkelblau) und US-Stelara (hellblau) verlaufen nahezu parallel mit ähnlichen Konzentrationsverläufen und abnehmenden Werten über die Zeit. Teil (b) ist ein gruppiertes Säulendiagramm mit PASI-75-Ansprechraten (in Prozent) an sieben Zeitpunkten (Woche 4 bis 52). Die Balken für FK-Uste, Stelara EU und Stelara EU zu FK-Uste zeigen vergleichbare Ansprechraten, vor und nach Re-Randomisierung, mit ansteigender Tendenz bis Woche 28 und stabil hohen Werten danach. Zwei Literaturquellen zu Studien mit dem Biosimilar Ustekinumab FYB202. Die erste Publikation von Balser et al. aus dem Jahr 2024 beschreibt eine randomisierte, doppelblinde Parallelgruppenstudie mit Einzeldosisgabe zur Untersuchung der pharmakokinetischen Äquivalenz von FYB202 im Vergleich zu Referenz-Ustekinumab bei gesunden Probanden. Die zweite Publikation von Papp et al. aus dem Jahr 2025 berichtet über eine randomisierte, doppelblinde Studie zur Wirksamkeit, Sicherheit und Immunogenität von FYB202 im Vergleich zu Referenz-Ustekinumab bei Patienten mit mittelschwerer bis schwerer Plaque-Psoriasis.

Kurzvortragssitzung

Oberer GI-Trakt: Ernährung & funktionelle Beschwerden

09:45 – 11:13

Fr 19.09.

MZF 4

Open Accordion - Icon Close Accordion - Icon

Vorsitz: Elisabeth Blüthner (Berlin) und Franziska Renger (Mainz)

09:45 – 09:51

KV 012 Vergleichende Analyse der Genauigkeit eines formelbasierten PICC-Line-Längenrechners im Vergleich zu klinischen Schätzungen

Hans-Peter Erasmus (Frankfurt am Main)

KV 012 Vergleichende Analyse der Genauigkeit eines formelbasierten PICC-Line-Längenrechners im Vergleich zu klinischen Schätzungen

H.-P. Erasmus1, K. Stratmann-Vollrath1, L. Hofbauer1, F.A. Michael1, N. Zeltner2, F. Andreas1, M. Friedrich-Rust1, S. Zeuzem1, I. Blumenstein1

1Universitätsmedizin Frankfurt, Zentrum der Inneren Medizin, Medizinische Klinik 1, Frankfurt am Main, Deutschland, 2Universitätsmedizin Frankfurt, Zentrum der Inneren Medizin, Medizinische Klinik 2, Frankfurt am Main, Deutschland

Einleitung: Der peripher eingeführte zentrale Venenkatheter (PICC-Line) ist ein essenzieller Gefäßzugang in vielen klinischen Situationen – etwa bei längerer Antibiotikatherapie, mittelfristiger parenteraler Ernährung, prolongierten Krankenhausaufenthalten mit i.v.-Therapie oder erschwertem peripherem Zugang. PICC-Lines werden in Standardlängen (ca. 60 cm) geliefert und vor der Anlage auf die passende Länge gekürzt. Verschiedene Methoden zur Längenschätzung existieren: Neben anatomischen Landmarken und Erfahrung wurde in einer früheren retrospektiven Analyse eine prädiktive Formel entwickelt. Diese Studie vergleicht deren Genauigkeit mit den Schätzungen von Kliniker:innen mit verschiedenen Erfahrungsstufen.
Ziele: Vergleich der Genauigkeit der entwickelten Formel zur Schätzung der idealen PICC-Länge zu mit ärztlichen Schätzungen.
Methoden: 60 retrospektiv analysierte Fälle (inkl. Gewicht, Größe, Alter, Seite und Körpermaße) wurden aufbereitet und anonymisiert. Die ideale PICC-Länge dieser Fälle war bekannt. Ärztliche Teilnehmer:innen mit unterschiedlicher Erfahrung im Legen von PICC-Lines schätzten die optimale Katheterlänge mittels online-Fragebogen. Die Abweichungen zur Ideal-Länge laut Formel wurden absolut sowie in Toleranzbereichen (±2 cm, ±3 cm, ±4 cm) ausgewertet.
Ergebnisse: 12 Teilnehmer:innen gaben insgesamt 329 Schätzungen ab. Die mittlere Abweichung betrug 5,8 cm (Spanne: 2,8–12,5 cm). Innerhalb:

  • ±2 cm: 89 Schätzungen (27,1 %)

  • ±3 cm: 129 Schätzungen (39,2 %)

  • ±4 cm: 154 Schätzungen (46,8 %)

Die Formel zeigte eine mittlere Abweichung von der idealen PICC-Länge von nur 0,4 cm und erreichte:

  • ±2 cm: 30 von 60 Fällen (50,0 %, p<0,05)

  • ±3 cm: 49 von 60 Fällen (81,7 %, p<0,05)

  • ±4 cm: 57 von 60 Fällen (95,0 %, p<0,05)

Fazit: Die ärztliche Schätzung der PICC-Länge ist mit hoher Variabilität und eingeschränkter Genauigkeit verbunden. Die getestete Formel zeigte eine signifikant höhere Präzision. Ein datenbasierter, in einen Webrechner integrierter Ansatz könnte helfen, Fehllagen zu reduzieren und Patientensicherheit zu erhöhen. Eine weiterführende Validierung in größeren, prospektiven Kohorten ist sinnvoll.

09:53 – 09:59

KV 013 Retrospektive monozentrische Analyse von PICC-Lines (peripherally inserted central catheter) zur Entwicklung einer Formel zur Bestimmung der idealen PICC-Länge

Hans-Peter Erasmus (Frankfurt am Main)

KV 013 Retrospektive monozentrische Analyse von PICC-Lines (peripherally inserted central catheter) zur Entwicklung einer Formel zur Bestimmung der idealen PICC-Länge

H.-P. Erasmus1, K. Stratmann-Vollrath1, F.A. Michael1, L. Hofbauer1, D. Hessz1, M. Friedrich-Rust1, S. Zeuzem1, I. Blumenstein1

1Universitätsmedizin Frankfurt, Zentrum der Inneren Medizin, Medizinische Klinik 1, Frankfurt am Main, Deutschland

Einleitung: Peripher eingeführte zentrale Venenkatheter (PICC-Lines) stellen eine wertvolle Möglichkeit des Gefäßzugangs in vielen klinischen Bereichen dar. Sie kommen insbesondere bei Patient:innen mit langfristiger Antibiotikatherapie, mittelfristiger parenteraler Ernährung, verlängerten i.v.-Therapien während stationärer Aufenthalte oder erschwertem venösem Zugang zum Einsatz. Die Katheter werden standardmäßig in 60 cm Länge geliefert und müssen vor der Anlage patientenindividuell gekürzt werden. Zur Längenschätzung existieren verschiedene Methoden.
Ziel: Entwicklung einer praktikablen und präzisen Methodik zur Schätzung der benötigten PICC-Länge zu entwickeln.
Methoden: Zwischen November 2023 und April 2025 wurden bei Katheteranlagen verschiedene Körpermaße erhoben. Die Punktionsvene wurde sonografisch vermessen. Körpergröße, Gewicht und Geschlecht wurden dokumentiert. Die verwendete Katheterlänge wurde anhand klinischer Einschätzung festgelegt. Ein Röntgen-Thorax nach Anlage diente zur Positionskontrolle. Die Entfernung der Katheterspitze zur Carina wurde objektiv gemessen, um die zentrale Lage zu definieren. Mehrere in der Klinik gebräuchliche Formeln wurden hinsichtlich ihrer Genauigkeit verglichen. Eine Regressionsanalyse wurde zur Entwicklung einer neuen, einfach anwendbaren Formel durchgeführt.
Ergebnisse: Insgesamt wurden 61 PICC-Lines komplikationslos platziert. Die mediane Körpergröße betrug 168 cm (Spanne: 164,3–175,8 cm), das Gewicht 59 kg (50,0–83,8 kg) und das Alter 56,5 Jahre (46–65,8). 35 Katheter wurden bei weiblichen Patientinnen gelegt. Die ideale Katheterlänge lag bei 42 cm (38–44,5 cm). Die besten Korrelationen zeigten sich für Formel 5 (Punktion bis Jugulum + Jugulum bis 3. ICR) mit r = 0,68 (p = 0,0005) sowie Formel 3 (Punktion bis Akromion + Klavikula + Jugulum bis 4. ICR) mit r = 0,67 (p = 0,0005). In der linearen Regression waren die Distanzen von der Punktionsstelle zu Akromion und Jugulum signifikant korreliert (p = 0,0007 bzw. p = 0,0019). Das beste Modell in der multiplen Regression umfasste Alter, Größe, Gewicht, Armseite, Punktionsstelle bis Jugulum sowie bis zum 4. ICR (p = 0,0005).

10:01 – 10:07

KV 014 Behandlungsoptionen der Gastroparese – Systematischer Review und Netzwerkmetaanalyse

Daniel Eckhardt (Nürnberg)

KV 014 Behandlungsoptionen der Gastroparese – Systematischer Review und Netzwerkmetaanalyse

D. Eckhardt1, M. Elshafei2, K. Fechner3, M.K. Diener1, F.J. Hüttner1

1Klinikum Nürnberg, Klinik für Allgemein-, Viszeral- und Thoraxchirurgie, Nürnberg, Deutschland, 2St. Elisabethen Hospital Frankfurt, Allgemein-, Viszeral- und Tumorchirurgie, Frankfurt am Main, Deutschland, 3Universitätsklinikum Erlangen, Chirurgische Klinik, Erlangen, Deutschland

Einleitung: Die Gastroparese (GP) ist eine beeinträchtigende Störung der Magenmotilität, für die es nur begrenzte hochqualitative Vergleiche der Wirksamkeit verfügbarer Behandlungsoptiontn gibt, die von medikamentösen bis hin zu chirurgischen Interventionen reichen.
Ziele: Ziel dieser Analyse war es, die Wirksamkeit verschiedener Behandlungsoptionen für GP, einschließlich diätetischer, pharmakologischer, endoskopischer, elektromodulatorischer und chirurgischer Interventionen, mittels einer systematischen Übersicht und Netzwerk-Metaanalyse zu vergleichen.
Methodik: Eine systematische Literaturrecherche wurde in PubMed, Google Scholar und Cochrane CENTRAL bis Mai 2024 durchgeführt. Eingeschlossen wurden Studien mit Erwachsenen, bei denen GP durch Szintigraphie bestätigt und die Symptome mit dem Gastroparesis Cardinal Symptom Index (GCSI) oder dem Total Symptom Score (TSS) bewertet wurden. Insgesamt wurden 2292 Studien gesichtet, 55 erfüllten die Einschlusskriterien. Eine Vorher-Nachher-Metaanalyse und Netzwerk-Metaanalyse (NMA) wurden durchgeführt, um die Wirksamkeit der Behandlungen zu bewerten und die Interventionen zu ranken.
Ergebnis: Vier Behandlungen – gastrale perorale endoskopische Myotomie (G-POEM), intrapylorische Botulinumtoxin-Injektion, gastrale elektrische Stimulation (GES) und Pyloroplastik – erfüllten die Einschlusskriterien. Alle Behandlungen zeigten eine signifikante Symptomverbesserung im Kurzzeitverlauf (≤3 Monate), wobei G-POEM den größten Effekt erzielte und auch eine Verbesserung der Magenentleerung in der Szintigraphie zeigte. In der Netzwerk-Metaanalyse erzielte G-POEM den höchsten Rang (P-Wert = 1.0), gefolgt von Botox, Pyloroplastik und GES. Im mittelfristigen Verlauf (>3–36 Monate) schnitt GES am Besten ab (P-Wert = 0.92). Langzeitdaten (>36 Monate) lagen nur für G-POEM vor, wodurch eine anhaltende Verbesserung der Symptome und der Magenentleerung erreicht werden konnte.
Schlussfolgerung: G-POEM ist die effektivste Kurzzeitbehandlung für GP, während GES im mittelfristigen Verlauf die besten Ergebnisse liefert und die einzige Methode ist, die in sham-kontrollierten Studien signifikante Vorteile gegenüber Placebo zeigte. Diese Ergebnisse unterstützen die Integration von G-POEM und GES in ein gestuftes Behandlungsschema. Weitere hochwertige vergleichende Studien sind jedoch erforderlich.

10:09 – 10:15

KV 015 Robotic Placement of Experimental Prototypes for Wireless Gastric Electrical Stimulation

10:17 – 10:23

KV 016 Applicability and results of the consensus definition of delayed gastric conduit emptying after esophagectomy

Petro Zgurskyi (Hamburg)

KV 016 Applicability and results of the consensus definition of delayed gastric conduit emptying after esophagectomy

P. Zgurskyi1, A. Ruiz Janje1, S. Spiewok1, M. Kemper1, A. Preuschkas1, A. Willner1, F. Nickel1, T. Hackert1, T. Welsch2,1

1Universitätsklinikum Hamburg-Eppendorf, Klinik für Allgemein-, Viszeral- und Thoraxchirurgie, Hamburg, Deutschland, 2Krankenhaus Nordwest, Klinik für Allgemein-, Viszeral- und Tumorchirurgie, Frankfurt am Main, Deutschland

Background: Delayed gastric conduit emptying (DGCE) is observed in 15%–60% of patients after esophagectomy, depending on the definition used. The diagnosis of DGCE has been challenging due to the absence of standardized criteria. However, in 2020, an expert consensus was published.
Aims: This study aimed to determine the DGCE rate according to the new consensus definition and evaluate its clinical and scientific applicability. Additionally, nasogastric tube (NGT) output volumes were analyzed to approximate a threshold for safe removal.
Methods: This retrospective study included all patients who underwent elective esophagectomy at the Department of General, Visceral and Thoracic Surgery, Universitätsklinikum Eppendorf, Hamburg, Germany, using the Ivor Lewis or McKeown procedure for oncological or non-oncological esophageal diseases between 2020 and 2024.
Results: A total of 160 patients were included. The majority underwent robot-assisted esophagectomy (n=65 [40.6%]), whereas open approach was performed in 38 cases (23,7%). Early DGCE occurred in 65 patients (40.6%), with 95.4% diagnosed based on NGT output and 4.6% based on radiological imaging. DGCE patients had a significantly longer hospital stay (24 days [IQR 16–38] vs. 18 days [IQR 15–36], p=0.034) and a higher NGT reinsertion rate (47.0% vs. 28.7%, p=0.02). DGCE was observed across all surgical approaches without a significant difference. No significant difference was found in the number or severity of postoperative complications, including anastomotic leakage (CDC > IIIa: 18.2% vs. 13.8%, p=0.72). Late DGCE was diagnosed in only 8 patients (5%), mainly due to the low use of routine radiological imaging. Patients requiring NGT reinsertion had a significantly higher complication rate, with anastomotic leakage observed in 60.3% compared to 8.8% in patients without reinsertion (p<0.001). The median NGT volume in the two days prior to removal was significantly higher in DGCE patients: 300 ml (IQR 188–525) vs. 100 ml (IQR 0–229) in non-DGCE patients (p<0.001).
Conclusion: The consensus definition of DGCE is applicable. Early DGCE is a relevant complication in >40% after esophagectomy irrespective of the surgical approach. An average NGT output of <300 ml during the two days before removal is associated with a low rate of DGCE and may serve as a threshold for NGT removal.

10:25 – 10:31

KV 017 Konzepte zur Ernährungsoptimierung bei Leberzirrhose und Lebertransplantationskandidaten

Rainer Günther (Kiel)

KV 017 Konzepte zur Ernährungsoptimierung bei Leberzirrhose und Lebertransplantationskandidaten

R. Günther1, K. Sämrau1, C. Günther2, M. Pangerl1

1UKSH, Campus Kiel, Klinik für Innere Medizin I,Bereich Hepatologie/Transplantationshepatologie, Kiel, Deutschland, 2Praxis für Ernährungsberatung, Kiel, Deutschland

Einleitung: Mangelernährung ist ein häufiger Befund bei Patienten mit Leberzirrhose und Lebertransplantationskandidaten1. Sie steht in engem Zusammenhang mit Sarkopenie und Gebrechlichkeit (Frailty). Ihre Auswirkungen auf Morbidität und Mortalität sind klinisch relevant. Es gibt bisher keine spezifischen, Leitlinien-definierten Interventionen hinsichtlich der Art oder des Zeitpunkts der Ernährungsintervention zur Verbesserung des Outcomes und der Ergebnisse der Lebertransplantation. Die Hauptbeschränkungen der bisherigen Studien sind das überwiegend retrospektive Studiendesign, die unterschiedlichen Interventionen und die heterogene Messung des Interventionseffekts, was Vergleiche zwischen Studien erschwert.
Methoden: In einer monozentrischen, einarmigen, nicht randomisierten klinischen Studie untersuchten wir die Wirkung und Durchführbarkeit einer Analyse des Ernährungszustandes, der Sarkopenie und Frailty (Ernährungsberater, RFH-SGA, LFI, SF-36, MFI) im Rahmen der stationären LTx-Evaluation und der nachfolgenden häuslichen Intervention (Ernährungsplan, Ernährungsratgeber bei Leberzirrhose2, Ernährungs-APP/DIGA, Ernährungsfortbildung3).
Ergebnisse: Über 50 % der LTx-Kandidaten litten unter manifester Mangelernährung und den daraus resultierenden Folgen. Mit der häuslichen Intervention konnte auch im Langzeitverlauf eine deutliche Verbesserung des Ernährungs- und Muskelzustands erreicht werden.
Schlussfolgerungen: Im Gegensatz zu älteren Studien konnte durch ein standardisiertes Screeningverfahren und strukturierte Interventionsstrategien eine signifikante Verbesserung des Ernährungszustands erreicht werden. Bereits bei der klinischen Erstvorstellung sollte daher eine strukturierte Evaluation des Ernährungszustandes, der Sarkopenie sowie der Frailty erfolgen und Strukturen für die ambulante Umsetzung der entsprechenden Maßnahmen koordiniert werden.
Literatur:

1 Dobbermann, H., Guenther, R., Marquardt, J. U. Aktuel Ernährungsmed 2021; 46: 109–126
2 Guenther, R., Guenther. C. Ernährungsratgeber bei Leberzirrhose 2020 https://www.uksh.de/uksh_media/Dateien_Kliniken_Institute/Kiel+Campuszentrum/Innere1_KI/Dokumente/Hepatologie/Brosch%C3%BCre_Ern%C3%A4hrung_bei_Leberzirrhose.pdf
3 Guenther, R., Guenther. C. Ernährung bei Leberzirrhose 2025
https://www.dge-sh.de/fort-und-weiterbildung-detailseite/ernaehrung-bei-leberzirrhose.html

10:33 – 10:39

KV 018 Langzeitverlauf der Enzymersatztherapie des M. Gaucher über 15 Jahre: eine multizentrische Studie an 100 Patienten aus deutschen Behandlungszentren

Kaneschka Yaqubi (Düsseldorf)

KV 018 Langzeitverlauf der Enzymersatztherapie des M. Gaucher über 15 Jahre: eine multizentrische Studie an 100 Patienten aus deutschen Behandlungszentren

K. Yaqubi1, J.B. Hennermann2, D. Schöler1, C. Niederau3, C. Baerwald4, A. Lachmann5, P. Oppenheim5, E. Mengel6, A. Ziagaki7, C. Terkamp8, T. Burkard9, U. Faude10, S. vom Dahl1

1Universitätsklinikum Düsseldorf, Klinik für Gastroenterologie, Hepatologie und Infektiologie, Düsseldorf, Deutschland, 2Universitätsmedizin Mainz, Klinik und Poliklinik für Kinder- und Jugendmedizin, Villa Metabolica, Mainz, Deutschland, 3Postfach 101203, Oberhausen, Deutschland, 4Universitätsklinikum Leipzig, Klinik und Poliklinik für Endokrinologie, Nephrologie und Rheumatologie, Leipzig, Deutschland, 5Takeda Pharma Vertrieb GmbH & Co. KG, Berlin, Deutschland, 6SphinCS GmbH, Hochheim, Deutschland, 7Charité Universitätsmedizin Berlin, Klinik für Endokrinologie, Kompetenzzentrum Seltene Stoffwechselkrankheiten, Berlin, Deutschland, 8Medizinische Hochschule Hannover, Klinik für Gastroenterologie, Hepatologie, Infektiologie und Endokrinologie, Hannover, Deutschland, 9Anfomed GmbH, Möhrendorf, Deutschland, 10Shire GmbH, Berlin, Deutschland

Einleitung: M. Gaucher ist eine seltene Lipidspeicherkrankheit (1:50.000), die auf dem autosomal-rezessiv vererbten Defekt lysosomaler Glucocerebrosidase beruht. Klinische Manifestationen sind Hepatosplenomegalie, Anämie, Thrombozytopenie, eine destruierende Knochenerkrankung sowie pulmonale Manifestationen, die in Summe die Mortalität erhöhen und die Lebensqualität verringern. Im deutschen Sprachraum leben ca. 350 Patienten. Betroffene mit Morbus Gaucher Typ 1 (GD1) zeigen heterogene Krankheitsmanifestationen und Behandlungsansprechen.
Ziele: Das Erreichen der therapeutischen Ziele und die Normalisierung der klinischen Parameter wurden bei GD1-Patienten, die eine langfristige Enzymersatztherapie (ERT) mit Imiglucerase oder Velaglucerase (88:28) erhielten, in einer multizentrischen nicht-interventionellen Registerstudie deutscher Behandlungszentren untersucht.
Methodik: Es wurden GD1-Patienten aus 7 Zentren (Zeitraum 2015-2020, Zahl der Patienten 1-44/Zentrum) analysiert, die ≥ 3 Jahre lang mit ERT behandelt wurden. Endpunkt war das Erreichen der Therapieziele Normalisierung/Verbesserung von Anämie, Thrombozytopenie, Hepatomegalie, Splenomegalie, Lungenbeteiligung, Skelettbeteiligung sowie Lebensqualität. Weitere Endpunkte waren die Normalisierung der klinisch-chemischen Marker und der Plasma-Chitotriosidase-Spiegel. Die Daten wurden deskriptiv analysiert und nach Splenektomiestatus stratifiziert.
Ergebnis: Von 100 Patienten (Alter: 6–79, 59/41 % w/m) waren 21 splenektomiert, die mittlere ERT-Dauer betrug 14,5 Jahre. Der Anteil der nach langfristiger ERT erreichten Therapieziele betrug, bezogen auf die obigen Merkmale, 95-73 %, bei splenektomierten Patienten 100-75 %. Der Anteil der Patienten mit mäßigen, starken und sehr starken Schmerzen nahm signifikant ab (splenektomiert: 21 % vs. 10 %, 21 % vs. 5 % bzw. 21 % vs. 5 % beziehungsweise; nicht splenektomiert: 22 % vs. 8 %, 10 % vs. 5 % bzw. 9 % vs. 4 %). Die Plasma-Chitotriosidase-Aktivität verringerte sich signifikant (7844 vs. 1103 nmol/ml/h) und die Lebensqualität verbesserte sich bei 89 % der Patienten signifikant innerhalb von ≤ 2–3 Jahren nach Beginn der Therapie.
Schlussfolgerung: Die Langzeit-ERT des M. Gaucher ist erfolgreich. Multizentrische Registerstudien bei „Rare diseases“ unter „Real-World“-Bedingungen sind sehr wichtig und können für die Beurteilung und Planung der Therapie hilfreich sein.

10:41 – 10:47

KV 019 Monozentrische retrospektive Analyse bei Alkaptonurie, einer ultraseltenen Aminoacidopathie: Diagnostischer Time lag, GI-Manifestationen und Therapie

Kaneschka Yaqubi (Düsseldorf)

KV 019 Monozentrische retrospektive Analyse bei Alkaptonurie, einer ultraseltenen Aminoacidopathie: Diagnostischer Time lag, GI-Manifestationen und Therapie

K. Yaqubi1, J.P. Köhler1, K. von Gradowski1, P. May1, C. Poll1, T. Lüdde1, S. vom Dahl1

1Universitätsklinikum Düsseldorf, Klinik für Gastroenterologie, Hepatologie und Infektiologie, Düsseldorf, Deutschland

Einleitung: Die Alkaptonurie ist eine ultraseltene (1:200.000) autosomal-rezessive Störung des Aminosäurestoffwechsels (OMIM # 203500). Ursächlich ist ein Mangel an Homogentisinsäure-(HGA)-1,2-Dioxygenase (EC 1.13.11.5). Beim Abbau von Phenylalanin und Tyrosin entstehende Benzochinon-Derivate führen zu einer Schwarzfärbung des Urins und Destruktion des Knorpels sowie internistischen Folgeerscheinungen. Goldstandard der Diagnostik ist die Bestimmung der HGA-Ausscheidung im 24-h-Urin, die unbehandelt 4-15 g/d beträgt (Norm < 30 mg/d). Nitisinon (2-(α,α,α,-trifluoro-2-nitro-p-toluoyl)-1,3-cyclohexanedione) ist seit 2020 zur Therapie zugelassen.
Ziel: Analyse des Time-Lags der Diagnose, Beschreibung der GI-Manifestationen und Charakterisierung der therapeutischen Erfolge von Nitisinon.
Methodik: Deskriptive Analyse der Erwachsenen-Kohorte am UKD mit kumulativ 138 Therapiejahren. Diese umfasst derzeit 37 Patienten (22-77 Jahre, w:m 17:20).
Ergebnisse: Nur 1/6 der Patienten wurde im Kindesalter anhand der Braunfärbung des Windelurins diagnostiziert. Der größte Teil der Patienten wurde aufgrund von ochronotischen Befunden gefunden, 10 % durch Selbstdiagnose und Internetrecherche, 1/3 aufgrund von betroffenen Geschwistern. Die späteste Diagnose wurde bei einer 74jährigen Patientin gestellt. Degenerative Veränderungen des Bewegungsapparats waren sehr häufig (100 %), invariabel ab dem 30. Lebensjahr, Rückenschmerzen durch Aufbrauch der Zwischenwirbelscheiben (92 %) und der Intervertebralgelenke, eine zunehmende schwere Bewegungseinschränkung (54 %), Ochronose (Verfärbung der Sklera sowie der Ohrmuschel) ab dem 4. Lebensjahrzehnt (87 %), Achillessehnen- sowie Quadrizepsrupturen (13 %) sowie Gelenkersatz (36 %). Oft erst ab dem 5. Lebensjahrzehnt traten internistische Befunde auf: Aortenklappenfehler (14 %), Aortenektasie (n=4), KHK (12 %) sowie Cholelithiasis (35 %) und Urolithiasis (27 %). Mit Nitisinon (2-10 mg/d) kam es zu einer Normalisierung der HGA-Ausscheidung im Urin. Es trat eine Verbesserung der Ochronose auf, der Analgetikabedarf reduzierte sich. Nitisinon war gut verträglich. Die Compliance betrug 100 %. Ein Patient verstarb vor Zulassung der Therapie. Zwei Patienten lehnen die Therapie ab.
Schlussfolgerung: Ochronose, Größenverlust und Verfärbung des Urins fehlen bei Erwachsenen fast nie. Die Krankheit wird zu spät diagnostiziert. Die Therapie mit Nitisinon eröffnet vermutlich neue Lebensperspektiven. GI-Manifestationen stehen nicht im Vordergrund.

10:49 – 10:55

KV 020 KI-basierte Vorhersage von Nährwertangaben bei Rezepten für Patienten mit Krebserkrankungen

Dominik Benchert (Schweinfurt)

KV 020 KI-basierte Vorhersage von Nährwertangaben bei Rezepten für Patienten mit Krebserkrankungen

D. Benchert1,2, P. Sodmann1, U. Haidn3, M.I. Cruz1,4,5, B. Scheerer3,4, A. Blumer4, S. Neubauer4, P. Heumann6, S. Schlosser-Hupf6, A. Kandulski6, C. Wolz1, A. Fleischer1, N. Erickson3,4,7, A. Hann1, R. Pryss2

1Interventionelle und Experimentelle Endoskopie (InExEn), Medizinische Klinik und Poliklinik 2, Zentrum für Innere Medizin (ZIM), Universitätsklinikum Würzburg, Würzburg, Würzburg, Deutschland, 2Institute of Medical Data Science (ImDS), Würzburg, Deutschland, 3Comprehensive Cancer Center (CCC Munich LMU), München, Deutschland, 4Eat What You Need e.v. – Allianz für bedarfsgerechte Ernährung bei Krebs, Tübingen, Deutschland, 5Bavarian Cancer Research Center (BZKF), Würzburg, Würzburg, Deutschland, 6Klinik und Poliklinik für Innere Medizin I, Gastroenterologie, Hepatologie, Endokrinologie, Rheumatologie und Infektiologie. Universitätsklinikum Regensburg, Regensburg, Deutschland, 7Bavarian Cancer Research Center (BZKF), LMU München, München, Deutschland

Einleitung: Betroffene von Tumorerkrankungen leiden häufig unter Appetitlosigkeit, was zu ungewolltem Gewichts- und Muskelverlust und daraus resultierender Verschlechterung des Algemeinzustandes. Eine frühzeitige ernährungstherapeutische Intervention erfordert verlässliche Angaben zu Kalorien‑ und Makronährstoffgehalten. Die manuelle Berechnung durch Fachpersonal ist jedoch zeit‑ und ressourcen­intensiv. Große Sprachmodelle (Large Language Models, LLMs) könnten diese Aufgabe automatisieren, sofern ihre Genauigkeit ausreichend hoch ist.
Ziele: Evaluation der Eignung eines LLMs zur automatisierten Schätzung von Kalorien und Makronährstoffen (Kohlenhydrate, Proteine, Fett, Ballaststoffe) in Rezepten im Vergleich zur manuellen Berechnung durch Di.
Methodik: Für 125 Rezepte der Plattform was‑essen‑bei‑krebs.de wurden die tatsächlichen Nährwerte in Form von Kalorien, Kohlenhydraten, Proteingehalt, Fettmenge und Ballaststoffen pro 100 g bestimmt. ChatGPT o1 wurde mit einem hierfür entwickelten Prompt verwendet, um eine Schätzung der Makronährstoffe je Zutat einschließlich Aggregation auf die Gesamt­menge durchzuführen. Für jedes Rezept wurde der gleiche Prompt fünfmal wiederholt. Der absolute Fehler (AE) wurde als |Schätzung – Referenz| berechnet und pro 100 g normiert. Analog zu Angaberichtlinien bei abgepackten Lebensmitteln in der EU wurde ein Fehler von 20 % als akzeptabel vordefiniert. Als primären Endpunkt wurde die Anzahl als akzeptabel ermittelter Schätzungen über alle Kategorien definiert.
Ergebnis: Das LLM lieferte bei allen 625 durchgeführten Prompts zu den 125 auf Krebs-Betroffene abgestimmten Rezepten ein auswertbares Ergebnis zurück.
Bei den durch das LLM bestimmten Kalorienwerten lagen 74,3% in einem akzeptablen Intervall von ±20%, Proteingehalt wurde in 64,2%, Kohlenhydrate in 50,4% der Fettgehalt in 58,1% akzeptabel geschätzt. Der durchschnittliche absolute Fehler bei der Kalorienbestimmung lag bei 20,5 Kalorien pro 100 g.
Schlussfolgerung: Die vorläufigen Daten deuten darauf hin, dass ChatGPT o1 bereits in der Lage ist, Nährwertschätzungen in hoher Qualität auszugeben. LLMs haben das Potenzial, die derzeit noch manuell stattfindenden Berechnungen des Nährwertgehaltes zu automatisieren.

10:57 – 11:03

KV 022 Pflanzliches Wacholderbeeröl führt zu Verbesserung der Beschwerden bei dyspeptischen Verdauungsbeschwerden wie Krämpfen im Magen-Darm-Bereich, Blähungen und Völlegefühl

Uwe Albrecht (Hannover)

KV 022 Pflanzliches Wacholderbeeröl führt zu Verbesserung der Beschwerden bei dyspeptischen Verdauungsbeschwerden wie Krämpfen im Magen-Darm-Bereich, Blähungen und Völlegefühl

U. Albrecht1, A. Madisch2, N. Lonnemann1, L. Schablauer1

1Mediconomics GmbH, Hannover, Deutschland, 2Centrum Gastroenterologie Bethanien, Frankfurt, Deutschland

Einleitung: Wacholder (Juniperus communis L.) wird in der Phytotherapie aufgrund seines hohen Gehalts an bioaktiven ätherischen Ölen (EO) mit einem Anteil von 0,8–2,0 % häufig eingesetzt. Die Inhaltsstoffe des Wacholders sind für eine verdauungsfördernde, entzündungshemmende, und harntreibende Wirkung bekannt. Die in dieser Studie erhobenen Ergebnisse einer randomisierten, placebokontrollierten klinischen Studie erbringen den Wirksamkeits- und Sicherheitsnachweis, um die klinische Anwendung weiter zu erhöhen.
Ziel der Studie: Im Rahmen der prospektiven Dokumentation der Wirksamkeit von Wacholderbeeröl im Vergleich zu Placebo bei dyspeptischen Verdauungsbeschwerden wurde die Verbesserung der Lebensqualität der Patienten anhand der Änderung des Scores im Nepean Dyspepsia Index ermittelt. Dabei wurden insbesondere die Werte nach Abschluss der Behandlung (V3) mit den Werten vor der Behandlung (V1) verglichen. In diesem Kontext wurde die signifikante Verbesserung dreier spezifischer Parameter des Nepean Dyspepsia Index (Beschwerden im Oberbauch, Druckgefühl im Oberbauch und Völlegefühl) als Summenscore zur spezifischen Zielsetzung definiert.
Methoden: Die klinische Prüfung wurde als randomisierte, zweiarmige, Placebo-kontrollierte Studie gemäß den Standards der Guten Klinischen Praxis (GCP) durchgeführt. Im Rahmen der klinischen Prüfung erfolgte je nach Prüfungsarm die Einnahme einer Einheit der Studienmedikation (= 1 Unit Wacholderbeeröl oder Placebo) einmal pro Tag über einen Zeitraum von 4 Wochen.
Ergebnisse: Die vorliegende Untersuchung wurde an einer Gruppe von 75 Patienten durchgeführt. Bei der Randomisierung wurden die Patienten auf die beiden Gruppen (Wacholderbeeröl oder Placebo) aufgeteilt.
Der konfirmatorische Differenzen-p-Wert wies für die Visite 3 einen signifikanten Rückgang des Beschwerdescores gegenüber Baseline auf. Der Kennwert für die prozentualen Differenzwerte von der Baseline bis zum 28. Tag belegt einen erheblichen Vorteil zugunsten der Wacholderbehandlung.
Schlussfolgerung: Die Beschwerdeverläufe der beiden Gruppen zeigen in den ersten 14 Tagen einen ähnlichen Verlauf, dann folgend ist jedoch ein deutlicherer und statistisch signifikanter Unterschied in der Abnahme der Beschwerden in der Wacholder-Gruppe bewiesen.
Diese manifestiert sich in den ärztlichen Beurteilungen. Der Behandlung mit Wacholderbeeröl wird häufiger eine moderate bzw. gute Wirksamkeit zugesprochen mit häufiger auftretenden leichten bis wesentlichen Besserungen.

Kurzvortragssitzung

Gut Feeling: Mikrobiom und Barriere im Fokus

08:30 – 09:50

Fr 19.09.

Vortragsraum 10

Open Accordion - Icon Close Accordion - Icon

Vorsitz: Dorothea Henniger (Würzburg) und Ulrich Wirth (München)

08:30 – 08:36

KV 322 Chronische Lebererkrankungen sind mit Veränderungen der fäkalen MicroRNAs und des Darmmikrobioms assoziiert

Theresa Lederer (Magdeburg)

KV 322 Chronische Lebererkrankungen sind mit Veränderungen der fäkalen MicroRNAs und des Darmmikrobioms assoziiert

T. Lederer1, K. Lehr1, C. Thon1, D. Schanze2, M. Zenker2, A. Canbay3, V. Keitel-Anselmino1, A. Link1

1Otto-von-Guericke Universität Magdeburg, Klinik für Gastroenterologie, Hepatologie und Infektionskrankheiten, Magdeburg, Deutschland, 2Otto-von-Guericke Universität Magdeburg, Institut für Humangenetik, Magdeburg, Deutschland, 3Universitätsklinikum Knappschaftskrankenhaus Bochum,, Medizinische Klinik, Bochum, Deutschland

Einleitung: Die Entwicklung eines hepatozellulären Karzinoms (HCC) wird durch genetische, ernährungs- und umweltbedingte Faktoren beeinflusst. Während alkoholbedingte Lebererkrankungen (ALD/MetALD) weiterhin eine bedeutende Rolle spielen, gewinnt die mit metabolischer Dysfunktion assoziierte steatotische Lebererkrankung (MASLD) an Relevanz. Bakterien wie Bifidobacterium und Blautia gelten als schützend, während Streptococcus mit Krankheitsfortschreiten assoziiert wird. Über Veränderungen fäkaler microRNA (miRNA) und ihre Wechselwirkungen mit dem Mikrobiom ist jedoch wenig bekannt.
Ziel: Ziel dieser Studie war es, Veränderungen fäkaler miRNA im Zusammenhang mit unterschiedlichen Stadien der Lebererkrankung in Abhängigkeit von der Ätiologie sowie deren Zusammenhang mit Veränderungen des Mikrobioms zu untersuchen.
Methoden: Untersucht wurden 59 Patienten mit Lebererkrankungen und gesunde Kontrollen. Die Charakterisierung umfasste klinische, laborchemische und bildgebende Parameter. Die Einteilung erfolgte nach Fibrosestadium (keine Fibrose, Fibrose, Zirrhose) und Ätiologie (MetALD/ALD vs. MASLD). Fäkale miRNAs wurden mittels Qiagen miRNeasy Kit extrahiert und mit Agilent Microarrays profiliert. Mikrobiomanalysen erfolgten durch Amplifikation der V1-V2-Region des 16S rRNA-Gens und Illumina-Sequenzierung.
Ergebnisse: Für weitere Analysen wurden 202 miRNAs mit zuverlässig messbaren Konzentrationen im Rahmen des miRNA Profiling ausgewählt. Davon waren 28 miRNA positiv und 7 miRNA negativ mit Lebererkrankungen assoziiert. Der Vergleich mit den Mikrobiomdaten zeigte, dass miR-6795-5p positiv mit Streptococcus korrelierte (r = 0,29; p = 0,047) und zudem mit erhöhter Lebersteifigkeit (r = 0,39; p = 0,01) assoziiert war. Umgekehrt zeigten die bei Zirrhose erniedrigten miR-6869, miR-4467 und miR-5001 positive Korrelationen mit den Gattungen Blautia und Bifidobacterium (z.B. miR-6869: Bifidobacterium r = 0,35; p = 0,012; Blautia r = 0,37; p = 0,008). MiR-4467 korrelierte zusätzlich negativ mit GGT (r = -0,34; p = 0,026) und M65 (r = -0,42; p = 0,005).
Schlussfolgerung: Die Multi-omics-Analyse zeigt deutliche Veränderungen von miRNA und der Darmmikrobiota in verschiedenen Stadien der Lebererkrankung. Die Verbindung zwischen bakterieller Zusammensetzung und miRNA-Profilen deutet auf eine funktionelle Interaktion hin. Integrierte Mikrobiom-miRNA-Signaturen könnten neue Ansätze für Diagnostik und Therapie bieten.

08:38 – 08:44

KV 323 Lebensstil und Mikrobiom bei benignen Erkrankungen der Gallenwege: symptomatische Cholezystolithiasis und Cholezystitis

Ulrich Wirth (München)

KV 323 Lebensstil und Mikrobiom bei benignen Erkrankungen der Gallenwege: symptomatische Cholezystolithiasis und Cholezystitis

U. Wirth1, R. Vilchez-Vargas2, F. Fuchs1, J. Schardey1, C. Schulz2, J. Werner1, J. Andrassy1

1LMU Klinikum, Klinik für Allgemein-, Viszeral- und Transplantationschirurgie, München, Deutschland, 2LMU Klinikum, Medizinische Klinik und Poliklinik 2, München, Deutschland

Einleitung: Die Gallenwege wurden lange als „physiologisch steril“ betrachtet, jedoch konnte in den vergangenen Jahren eine komplexe mikrobielle Besiedelung nachgewiesen werden. Die Rolle dieser Bakterien für die Entstehung von Gallensteinen und anderen entzündlichen Erkrankungen der Gallenwege bliebt unklar.
Ziele: Evaluation des Einflusses des fäkalen und biliären Mikrobioms auf benigne Erkrankungen der Gallenwege.
Methodik: Im Rahmen einer prospektiven Studie wurden im Rahmen von elektiven und dringlichen Cholezystektomien bei symptomatischer Cholezystolithiasis oder Cholezystitis zum Zeitpunkt der Operation sowie im Rahmen von ERCs bei Choledocholithiasis Proben aus der Gallenflüssigkeit, von Konkrementen, Speichel und Stuhl gesammelt. Zusätzlich haben die Patienten einen Fragebogen u.a. zu Ernährungsgewohnheiten beantwortet. Aus den Bioproben erfolgten 16S rDNA-Gen basierte Mikrobiomanalysen von transkriptionell aktiven Bakterien.
Ergebnis: Insgesamt konnten 80 Patienten in die Studie eingeschlossen werden. Bei 28 Patienten erfolgte die Operation aufgrund einer zuvor symptomatischen Cholezystolithiasis, bei 22 Patienten aufgrund einer chronischen Cholezystitis. In 20 Fällen lag eine akute Cholezystitis vor und in 10 Fällen erfolgte eine ERC bei Choledocholithiasis. Nach der Sequenzierung, der Rarefikation bis zur minimalen Sequenzierungstiefe und der taxonomischen Annotation wurden in 227 Proben insgesamt 7.241 unterschiedliche Phylotypen identifiziert, die sich auf 24 Phyla und 417 Gattungen sowie 119 nicht klassifizierte Gattungen verteilen. Die bakterielle Komposition der verschiedenen Nischen wurde anhand der verschiedenen Erkrankungen verglichen mit den deutlichsten Unterschieden zwischen Patienten mit chronischer versus akuter Cholecystitis. Weiterhin bestehen Unterschiede auch zwischen verschiedenen Altersgruppen der Patienten. Lebensstilgewohnheiten hatten keinen Einfluss auf die verschiedenen mikrobiellen Nischen. Die Bakteriengemeinschaften aus Speichel- und Fäkalienproben bildeten unterschiedliche Cluster, während die aus Gallen- und Gallensteinen getrennt von den beiden clustern.
Schlussfolgerung: Mit dieser Arbeit erfolgt erstmals eine umfassende Charakterisierung insbesondere der biliären Nische bei den genannten benignen Erkrankungen der Gallenwege, um den Einfluss verschiedener mikrobieller Nischen auf die Entstehung vor allem dieser Gallenstein-assoziierten Erkrankungen der Gallenwege zu untersuchen.

08:46 – 08:52

KV 324 Gallengangsstents-Mikrobiota als potentielle Biomarker in der Diagnostik von biliären Karzinomen

Noam Mathias Hipler (Magdeburg)

KV 324 Gallengangsstents-Mikrobiota als potentielle Biomarker in der Diagnostik von biliären Karzinomen

N.M. Hipler1, K. Lehr1, C. Thon1, R. Vilchez-Vargas1, D. Schanze2, M. Zenker2, M. Müsken3, D. Bruder3,4, W. Obst1, V. Keitel-Anselmino1, J. Weigt1, A. Link1

1Universitätsklinikum Magdeburg, Klinik für Gastroenterologie, Hepatologie und Infektiologie, Magdeburg, Deutschland, 2Universitätsklinikum Magdeburg, Institut für Humangenetik, Magdeburg, Deutschland, 3Helmholtz-Zentrum für Infektionsforschung, Braunschweig, Deutschland, 4Universitätsklinikum Magdeburg, Institut für medizinische Mikrobiologie und Krankenhaushygiene, Magdeburg, Deutschland

Einleitung: Karzinome des biliären Systems (BTC) gehören zu den häufigsten Differentialdiagnosen der obstruktiven Cholestase. Die Diagnostik stellt aufgrund der geringen Sensitivität der Bürstenzytologie und potenziell schwierigen histologischen Sicherung eine Herausforderung dar. Zur Behandlung der Cholestase erfolgt oft eine endoskopische retrograde Cholangiographie (ERC) mit Stenteinlage. Kürzlich konnten wir zeigen, dass das Material aus Gallengangsstents potenziell als molekularer Biomarker sowie zur Mikrobiomanalyse genutzt werden kann.
Ziel: Ziel dieser Studie war es, das Potential des Stentmikrobioms als Biomarker für BTC zu untersuchen und zu validieren.
Methodik: Die prospektive Studie wurde in drei Phasen durchgeführt: Screening, Bestätigungs- und Validierungsphase. Die Screening-Kohorte umfasste 123 Patienten, 54 mit einer malignen, davon 28 mit BTC, und 69 mit einer nicht-malignen Stenose. Die Bestätigungskohorte umfasste 54 Patienten (16 mit BTC) aus der Entdeckungskohorte, wobei Stents anderer Zeitpunkte oder desselben Zeitpunkts (Multi-Stenting) einbezogen wurden. Die Validierungskohorte umfasste 38 unabhängige Patienten (11 mit BTC). V1-V2-Region des 16S rRNA-Gens wurde zur Mikrobiomanalyse angewendet. Die Receiver-Operating-Characteristic (ROC)-Kurve wurde erstellt und anschließend die Fläche unter der Kurve (AUC) berechnet.
Ergebnis: Es zeigten sich signifikante Unterschiede zwischen dem Mikrobiom von BTC-Patienten und Patienten mit anderen Erkrankungen. BTC war mit einer erhöhten Abundanz von Bacillales, Peptoniphilaceae, Erysipelotrichaceae und Actinomyces und einer geringeren Abundanz von Fusobacteriaceae, Klebsiella, Dialister und Anaeroglobus assoziiert. Basierend auf den Veränderungen des Mikrobioms wurde ein Score entwickelt, um die Wahrscheinlichkeit von BTC abzuschätzen. Die ROC-Analyse der Screening-Kohorte ergab eine AUC zur Identifikation von BTC von 0,82 (95%-CI: 0,73 bis 0,90, p < 0,0001). In der Bestätigungskohorte betrug die AUC 0,85 (95%-CI: 0,74 bis 0,97, p < 0,0001), was ein vergleichbares Ergebnis darstellt. Die Analyse der unabhängigen Validierungskohorte zeigte eine hohe Reproduzierbarkeit mit einer AUC von 0,83 (95%-CI: 0,71 bis 0,96, p = 0,0014).
Schlussfolgerung: Patienten mit biliärer Stenose weisen charakteristische Veränderungen des biliären Mikrobioms auf. Der auf dem Mikrobiom basierende Score hat das Potenzial, die Wahrscheinlichkeit eines BTC bei Patienten mit biliärer Stenose vorherzusagen.

08:54 – 09:00

KV 325 Charakterisierung des transkriptionell aktiven biliären Mikrobioms in Lebertransplantaten

Ulrich Wirth (München)

KV 325 Charakterisierung des transkriptionell aktiven biliären Mikrobioms in Lebertransplantaten

U. Wirth1, T. Jiang1, N. Koch2, M. Schirren1, M. Guba1, C. Schulz2, J. Werner1, J. Andrassy1

1LMU Klinikum, Klinik für Allgemein-, Viszeral- und Transplantationschirurgie, München, Deutschland, 2LMU Klinikum, Medizinische Klinik und Poliklinik 2, München, Deutschland

Einleitung: Gallengangskomplikationen wie Gallenaustritt, Anastomosenstrikturen und ischämische Gallengangsläsionen spielen sowohl für den kurzfristigen perioperativen Verlauf als auch für das langfristige Überleben von Lebertransplantationspatienten eine Rolle. Höchstwahrscheinlich hat das Mikrobiom, das die Gallengänge besiedelt, einen Einfluss auf die Entwicklung von Gallenkomplikationen. Daten über das Mikrobiom der Gallenwege bei Lebertransplantationen sind jedoch noch spärlich.
Ziel dieser Arbeit ist eine detaillierte Charakterisierung der biliären Nische von Spenderlebertransplantaten.
Methodik: In einer prospektiven Beobachtungsstudie am LMU Klinikum wurden Proben (Galle, Gallengang) von Spenderorgantransplantaten (n=91) während der Kaltpräparation (n=73) und nach der Reperfusion (n=69) bei Lebertransplantationen gesammelt. Weitere Proben wurden im Follow-Up je nach Verfügbarkeit gesammelt. NGS-basierte 16S-Mikrobiomanalysen transkriptionell aktiver Bakterien wurden aus Galle und Gallengangsgewebe durchgeführt. Nach RNA-Extraktion, Transkription in DNA und Amplifikation mit spezifischen Primern wurde die Sequenzierung auf einer Illumina MiSeq-Plattform durchgeführt. Follow-up-Daten und Spenderdaten werden in der biostatistischen Datenanalyse mit den Mikrobiomdaten korreliert.
Ergebnis: In den Gallenwegen der Spenderlebern findet sich ein Mikrobiom, das über den Verlauf des Eingriffes relativ stabil erscheint. Die häufigsten Phyla in den Proben sind Proteobacteria, Firmicutes und Actinobacteria. Die Mikrobiomdaten werden mit Spenderdaten korreliert, z. B. Antibiotikaexposition vor Organentnahme, Todesursache, Body-Mass-Index sowie Ischämiezeit. Es werden Subgruppenanalysen durchgeführt, um die mikrobielle Nische zwischen Kaltagerung und Maschinenperfusion sowie zwischen Patienten mit und ohne Gallenkomplikationen während der dreijährigen Nachbeobachtungszeit zu vergleichen. Weiterhin können Rückschlüsse auf die longitudinale Entwicklung des biliären Mikrobioms gerade von Patienten mit biliären Komplikationen gezogen werden.
Schlussfolgerung: Wir waren in der Lage, das transkriptionell aktive Mikrobiom der biliären Nische von Spenderlebern zu charakterisieren. Es finden sich diverse Unterschiede in der Diversität und der relativen Abundanz zwischen den Untergruppen. Die Follow-Up Proben erlauben eine Einsicht in die longitudinale Entwicklung des Mikrobioms zumindest bei Patienten mit biliären Komplikationen.

09:02 – 09:08

KV 326 Identifikation darmmikrobieller Prädiktoren für den Verlauf nach Lebertransplantation mithilfe maschinellen Lernens

Laura Zmuda (Aachen)

KV 326 Identifikation darmmikrobieller Prädiktoren für den Verlauf nach Lebertransplantation mithilfe maschinellen Lernens

L. Zmuda1, Z. Soons2, L. Kuepfer2, A. Lautz3, N. Treichel4, F. Vondran5, T. Clavel4, T. Wirtz3

1RWTH Aachen University, Aachen, Deutschland, 2Institute for Systems Medicine with Focus on Organ Interaction, RWTH Aachen University, Aachen, Deutschland, 3Medizinische Klinik III, RWTH Aachen University, Aachen, Deutschland, 4Functional Microbiome Research Group, RWTH Aachen University, Aachen, Deutschland, 5Department of General, Visceral, Pediatric and Transplant Surgery, RWTH Aachen University, Aachen, Deutschland

Einleitung: Eine reduzierte Mikrobiomdiversität bei Patient:innen mit fortgeschrittenen Lebererkrankungen ist mit dem Auftreten klinischer Komplikationen assoziiert. Dennoch ist wenig darüber bekannt, wie die präoperative Mikrobiomzusammensetzung den Verlauf nach Lebertransplantation (LT) beeinflusst. Maschinelles Lernen stellt einen vielversprechenden Ansatz zur Verbesserung der Risikostratifizierung bei Patient:innen auf der Warteliste für eine Lebertransplantation dar.
Ziele: Ziel dieser Studie war es, darmmikrobielle Marker zum Zeitpunkt vor der LT zu identifizieren und deren Potential, frühzeitig auf einen ungünstigen klinischen Verlauf hinzuweisen, zu untersuchen.
Methodik: 79 Patient:innen mit einer Indikation für eine Lebertransplantation wurden prospektiv zum Zeitpunkt der Aufnahme auf die Warteliste rekrutiert. Neben der Analyse des präoperativen intestinalen Mikrobioms mittels 16S-rRNA-Gensequenzierung erfolgt die Erfassung klinischer Parameter, u.a. des Auftretens postoperativer Komplikationen sowie der Länge der Verweildauer auf Intensivstation. Zur Identifikation präoperativer mikrobieller Marker mit prädiktiver Relevanz wurden Random Forests Analysen und der Boruta-Algorithmus eingesetzt. Die Daten wurden mit der Rhea-Pipeline verarbeitet und mithilfe von DeSeq2 normalisiert.
Ergebnisse: Basierend auf ersten Analysen von 28 Patient:innen wurden die vier Gattungen Actinomyces, Klebsiella, Bifidobacterium und Eggerthella im Boruta-Algorithmus als potenziell relevante Marker identifiziert. Diese vier Gattungen ermöglichten in 71,5 % der Fälle eine korrekte Zuordnung der Patienten zur Gruppe mit kurzem (≤ 7 Tage) bzw. langem (> 7 Tage) ICU-Aufenthalt. Eine erhöhte präoperative relative Abundanz von Bifidobacterium war tendenziell mit kürzeren ICU-Aufenthalten assoziiert, während eine erhöhte relative Abundanz von Actinomyces signifikant häufiger bei Patient:innen mit verlängertem intensivstationärem Verlauf vorkam. Unterschiede in der Alpha-Diversität zwischen Gruppen mit kurzem vs. langem ICU-Aufenthalt waren nicht signifikant. Weitere Analysen erfolgen im Zuge der fortlaufenden Datenerhebung.
Schlussfolgerung: Bestimmte bakterielle Gattungen bereits vor der LT können potenziell Hinweise auf einen komplizierten postoperativen Verlauf nach LT geben. Das intestinale Mikrobiom zeigt somit Potenzial als prädiktiver Marker und die hier präsentierten Daten Grundlage für eine gezielte Risikostratifikation im Transplantationskontext.
Abbildung 1. Univariante Merkmalsauswahl basierend auf der relativen Genus-Abundanz mithilfe des Boruta Algorithmus. Dargestellt ist die Wichtigkeit (importance) jedes mikrobiellen Genera bei der Vorhersage zur ICU Aufenthaltsdauer über 1500 Wiederholungen im Vergleich zu zufällig generierten Merkmalen (shadow features).Abbildung 2. Partial Dependence Plots. Einfluss der relativen Genus-Abundanz präoperativ auf die erwartete Wahrscheinlichkeit eines langen ICU-Aufenthaltes im Random-Forest-Modell. Die Werte auf der y-Achse zeigen die erwartete Wahrscheinlichkeit eines langen Aufenthalts bei gegebener relativer Genus-Abundanz. Die gestrichelten roten Linien zeigen ±2 Standardfehler. Die roten Punkte stehen für einzelne Proben. Die erwartete Wahrscheinlichkeit basierend auf zufälliger Klassifikation beträgt 0,43.

09:10 – 09:16

KV 327 Paraptose als möglicher Zelltodmechanismus bei spontan bakterieller Peritonitis

Noah Sendtner (Regensburg)

KV 327 Paraptose als möglicher Zelltodmechanismus bei spontan bakterieller Peritonitis

N. Sendtner1, N. Brandl1, M. Ernst1, C. Brochhausen2, C. Kunst1, K. Gülow1, M. Müller-Schilling1

1Universitätsklinikum Regensburg, Klinik und Poliklinik für Innere Medizin I, Gastroenterologie, Hepatologie, Endokrinologie, Rheumatologie, Immunologie und Infektiologie, Regensburg, Deutschland, 2Institut für Pathologie, Medizinische Fakultät Mannheim, Universität Heidelberg, Mannheim, Deutschland

Einleitung: Die intestinale Barriere ist essenziell für die Homöostase zwischen Wirt und Mikrobiom. Eine Störung dieser Barriere ist mit verschiedenen Krankheitsbildern assoziiert, unter anderem der spontan bakteriellen Peritonitis (SBP) – einer schweren Komplikation der Leberzirrhose. Wir konnten zeigen, dass das Vorliegen einer Leberzirrhose zur Destabilisierung der gastrointestinalen Barriere und der Zell-Zell-Kontakte führen kann (Haderer et al. Gut 2022). Dadurch wird die bakterielle Translokation in den Aszites begünstigt, was einen entscheidenden Pathomechanismus der SBP darstellt.
Ziele: Ziel der Studie war die molekulare Charakterisierung des durch Bakterien-Epithelzell-Interaktion induzierten Zelltods.
Methodik: HCT116-Zellen wurden bis zu 4 Stunden mit Bakterienisolaten (Escherichia coli und Proteus mirabilis) aus dem Aszites von Patienten mit SBP ko-kultiviert. Der Zelltod wurde mithilfe spezifischer Inhibitoren (zVAD, Actinomycin D, Ferrostatin-1) analysiert und nach Annexin-V/DAPI-Färbung durchflusszytometrisch quantifiziert. Die Spiegel zelltod-spezifischer Markerproteine wurden mittels Western Blot bestimmt. Morphologische Veränderungen wurden elektronenmikroskopisch dargestellt.
Ergebnis: Der direkte Kontakt zwischen Bakterien und HCT116-Zellen führte zur Induktion von Zelltod. Klassische Formen des regulierten Zelltods (Apoptose, Ferroptose, Nekroptose) konnten anhand fehlender Markerexpression im Western Blot sowie durchflusszytometrischer Analysen unter Einsatz spezifischer Inhibitoren ausgeschlossen werden. Der bakterieninduzierte Zelltod war morphologisch durch ausgeprägte Vakuolisierung, Dilatation des endoplasmatischen Retikulums und der Mitochondrien sowie Chromatinkondensation gekennzeichnet. Proteinanalysen zeigten bakterienabhängige Unterschiede in der Regulation paraptoserelevanter Marker: Prohibitin war induziert, β-Tubulin und Alix waren reduziert, SHP-2 selektiv hochreguliert. Wir zeigen somit erstmals, dass die direkte Interaktion von Bakterien mit Epithelzellen auf molekularer Ebene Paraptose induzieren kann.
Schlussfolgerung: Die Identifikation von Paraptose als Folge bakterieller Interaktion mit intestinalen Epithelzellen weist auf einen bislang unbekannten Mechanismus der gestörten Barrierefunktion hin. Paraptose könnte eine zentrale Rolle in der Pathogenese der SBP bei Leberzirrhose spielen und stellt damit ein potenzielles Ziel für diagnostische und therapeutische Ansätze dar.

09:18 – 09:24

KV 328 Intestinale Barriere bei Leberzirrhose: Organoide als translationales Modell

Noah Brandl

KV 328 Intestinale Barriere bei Leberzirrhose: Organoide als translationales Modell

N. Brandl1, M. Peisl-Gunckel1, N. Sendtner1, N. Hahn1, M. Haderer1, C. Kunst1, K. Gülow1, M. Müller-Schilling1

1Universitätsklinikum Regensburg, Klinik und Poliklinik für Innere Medizin I, Gastroenterologie, Hepatologie, Endokrinologie, Rheumatologie, Immunologie und Infektiologie, Regensburg, Deutschland

Einleitung: Organoide aus Kolonbiopsien sind ein effektives Modell zur patientenspezifischen und physiologisch relevanten Untersuchung von Wirt-Pathogen-Interaktionen. Vorarbeiten unserer Arbeitsgruppe zur spontan bakteriellen Peritonitis (SBP), einer schweren Komplikation der Leberzirrhose, zeigten eine stark reduzierte Mukusschicht im Darm Betroffener. Diese Reduktion ermöglicht den direkten Kontakt von Bakterien mit dem intestinalen Epithel und begünstigt den Abbau von Zell-Zell-Kontakten, was bakterielle Translokation erleichtert (Haderer et al. Gut 2022). Zur Aufklärung der zugrundeliegenden Pathomechanismen etablierten wir ein translationales Modell basierend auf patientenabgeleiteten intestinalen Organoiden.
Ziel: Ziel ist die Etablierung und Charakterisierung eines intestinalen Organoidmodells aus Kolonbiopsien von Patienten mit Leberzirrhose, um bakterielle Effekte auf die Integrität der gastrointestinalen Epithelbarriere zu untersuchen und neue therapeutische Zielstrukturen für die SBP zu identifizieren.
Methoden: Organoide wurden aus Kolonbiopsien von Patienten mit Leberzirrhose und Kontrollen (Vorsorgekoloskopie) generiert und differenziert. Die apikal-basolaterale Orientierung wurde mittels Immunfluoreszenzfärbung überprüft. Zur Untersuchung bakterieller Effekte wurden differenzierte Organoide dissoziiert, als Monolayer kultiviert und mit Bakterien (E. coli und P. mirabilis aus Aszites) ko-kultiviert. Die Auswirkungen auf Zell-Zell-Kontaktproteine sowie Marker für Zelltod/Paraptose wurden per Western Blot analysiert. Ko-Kulturen mit hitzeinaktivierten Bakterien dienten als Kontrolle.
Ergebnisse: Nach 10 Tagen Differenzierung zeigten die Organoide einen Anstieg des Differenzierungsmarkers ALPI und eine Abnahme des Stammzellmarkers LGR5. Immunfärbungen belegten eine gut organisierte epitheliale Architektur mit basolateraler Ausrichtung nach außen. Die Ko-Kultur mit lebenden Bakterien führte dosisabhängig zur Degradation von Occludin und E-Cadherin sowie zu Veränderungen paraptoseassoziierter Marker. Diese Effekte traten bei hitzeinaktivierten Bakterien nicht auf.
Schlussfolgerung: Ein detailliertes Verständnis der intestinalen Barrierefunktionsstörung bei Leberzirrhose ist essenziell für neue Therapien der SBP. Das hier etablierte Organoidmodell erlaubt patientenspezifische Untersuchungen zentraler Prozesse der SBP-Pathogenese, insbesondere der Störung von Zell-Zell-Kontakten, und dient als Plattform zur Identifikation neuer therapeutischer Ansätze.

09:26 – 09:32

KV 329 Sepsisassoziierte Escherichia coli und ihre Auswirkungen auf die Integrität der gastrointestinalen Barriere

Isabell Schmidt

KV 329 Sepsisassoziierte Escherichia coli und ihre Auswirkungen auf die Integrität der gastrointestinalen Barriere

P. Mester-Pavel1, I. Schmidt1, H. Gschwendtner1, K. Gülow1, C. Kunst1, M. Müller-Schilling1, V. Pavel1

1Universitätsklinikum Regensburg, Klinik und Poliklinik für Innere Medizin I, Gastroenterologie, Hepatologie, Endokrinologie, Rheumatologie, Immunologie und Infektiologie, Regensburg, Deutschland

Einleitung: Sepsis ist ein lebensbedrohliches Syndrom, das durch eine fehlregulierte Immunantwort auf eine Infektion mit Organdysfunktion gekennzeichnet ist. Ein zentrales Merkmal ist das Auftreten von Bakterien im Blutkreislauf oder die Translokation intestinaler Mikroben in entfernte Organe. Viele dieser Erreger stammen aus der intestinalen Mikrobiota. Die Darmschleimhaut bildet eine essenzielle Barriere, ihre Schädigung oder Dysfunktion gilt als Schlüsselfaktor für das Eindringen von Bakterien und die systemische Ausbreitung während der Sepsis.
Ziel und Methodik: Ziel dieser Studie ist die Charakterisierung der durch Sepsis verursachten Störung der intestinalen Barrierefunktion. Untersucht wurde, ob und in welcher Weise Sepsis verursachende Bakterienstämme die Funktionen der gastrointestinalen Epithelbarriere beeinflussen. Hierzu wurde ein in-vitro-Modell unter Verwendung intestinaler epithelialer Zelllinien (HCT-116 und Caco-2) etabliert, die mit bakteriellen Isolaten ko-kultiviert wurden. Die Isolate stammten aus dem Blut septischer Patienten und repräsentierten unterschiedliche Sepsis Ursachen. Der Einfluss der Bakterien auf die epitheliale Integrität wurde mittels Western Blot durch Quantifizierung der Proteinlevel von E-Cadherin und Occludin bewertet.
Ergebnisse: Die Ko-Kultur mit Sepsis assoziierten Bakterienstämmen führte zu einer Störung der epithelialen Zell-Zell-Kontakte. Insbesondere die Escherichia coli-Stämme BK10478, BK01267 und BK06223 induzierten bei einer MOI (multiplicity of infection) von 5 eine deutliche Herunterregulation von Occludin (ein Tight-Junction-Protein) und E-Cadherin (ein Adherens-Junction-Protein) in HCT-116-Zellen. Auffällig war, dass nur ein Teil dieser Stämme vergleichbare Effekte in Caco-2-Zellen auslöste. Einige bakterielle Isolate zeigten keinerlei nachweisbaren Einfluss auf die Expression der Zellkontaktproteine, was stammspezifische und zelltypspezifische Unterschiede verdeutlicht.
Schlussfolgerung: Sepsis ist ein heterogenes Syndrom, das durch komplexe Wirt-Erreger-Interaktionen geprägt ist. Unsere Ergebnisse zeigen, dass die Fähigkeit sepsisassoziierter E. coli-Stämme zur Beeinträchtigung epithelialer Zellkontakte sowohl stammspezifisch als auch zelltypspezifisch ist. Angesichts der zentralen Bedeutung der Barriereintegrität zur Verhinderung bakterieller Translokation liefern diese Befunde neue Erkenntnisse zur Pathogenese der Sepsis.

09:34 – 09:40

KV 330 Nachweis von Candida Spezies mittels Shotgun Sequencing bei Patient*innen mit dekompensierter Zirrhose ist assoziiert mit eingeschränkter Überlebenswahrscheinlichkeit und erhöhtem Risiko eines akut-auf-chronischen Leberversagen

Sarah L. Schütte (Hannover)

KV 330 Nachweis von Candida Spezies mittels Shotgun Sequencing bei Patient*innen mit dekompensierter Zirrhose ist assoziiert mit eingeschränkter Überlebenswahrscheinlichkeit und erhöhtem Risiko eines akut-auf-chronischen Leberversagen

S.L. Schütte1, N. Safaei2,3, Z.-L. Deng2,3, V. Ohlendorf1, V. Spielmann1, J. Kahlhöfer1,4, L. Buttler1, H. Wedemeyer1,2,5, M. Griemsmann1, T.L. Tergast1, M. Cornberg1,2,5, A.R. Kraft1,2,5, A. McHardy2,3,5, B. Maasoumy1,5

1Medizinische Hochschule Hannover, Klinik für Gastroenterologie, Hepatologie, Infektiologie und Endokrinologie, Hannover, Deutschland, 2Medizinische Hochschule Hannover, Cluster of Excellence RESIST (EXC 2155), Hannover, Deutschland, 3Helmholtz-Zentrum für Infektionsforschung GmbH, Braunschweig, Deutschland, 4HepNet Study-House/ German Liver Foundation, Hannover, Deutschland, 5Deutsches Zentrum für Infektionsforschung e. V., Braunschweig, Deutschland

Einleitung: Bei einer Vielzahl von Patient*innen mit Leberzirrhose lässt sich eine Dysbiose nachweisen, welche unter anderem durch Behandlungen mit Antiinfektiva begründet ist. Häufig kommt es bei diesen Patient*innen zum Nachweis von Pilzorganismen. Die klinische Relevanz des Nachweises von Candida-Spezies bei Patient*innen mit Leberzirrhose ist bislang kaum untersucht worden.
Ziele: Das klinische Outcome von Patient*innen mit und ohne Candida-Nachweis zu vergleichen.
Methodik: 155 Patient*innen mit dekompensierter Zirrhose wurden in diese Studie eingeschlossen. Soweit möglich, wurden von allen Patient*innen Urin- und Aszitesproben untersucht. Der Nachweis von Candida wurde mittels Shotgun Metagenomics Sequencing der fungalen DNA erbracht. Klinische Daten wurden in einer binären logistischen Regression oder Competing Risk Analyse, mit Tod oder LTx als Komparator, untersucht. Alle Parameter mit einem signifikanten Einfluss auf den Endpunkt wurden in die multivariablen Modelle inkludiert. Studienendpunkte waren Mortalität, akutes Nierenversagen (AKI), akut-auf-chronisches Leberversagen (ACLF) und Infektionen innerhalb von 365 Tagen nach Probenuntersuchung.
Ergebnis: Bei 60 (39%) Patient*innen wurden Candida-Spezies in Urin oder Aszites nachgewiesen (Cand+). Bei 95 (61%) gelang kein Nachweis (Cand-). Candida kamen in Urin (31%) und Aszites (31%) ähnlich häufig vor. Patient*innen hatten zum Zeitpunkt der Untersuchung vergleichbare MELD- (Cand+: 16 [12-21] vs. Cand-: 15 [11-21], p=0.71) und CRP-Werte (Cand+: 18 [9-34] vs. 15 [7-28] mg/dL, p=0.41). Eine hohe alkalische Phosphatase wurde als einzige signifikant mit dem Candida-Nachweis assoziierte Variable identifiziert (OR 1.004, 95% CI 1.001–1.007, p=0.01). Cand+ Patient*innen hatten eine erhöhte Mortalität (HR 2.28, 95% CI 1.11-4.68, p=0.03) und ein signifikant gesteigertes Risiko für ACLF (HR 1.97, 95% CI 1.02–3.80, p=0.04). Das Risiko für AKI (HR 1.82, 95% CI 0.99–3.32, p=0.053) oder Infektionen (HR 1.59, 95% CI 0.88–2.88, p=0.13) war nicht unterschiedlich.
Schlussfolgerung: Mit dem Einsatz moderner hoch-sensitiver Analytikmethoden können Candida-Spezies bei einer Vielzahl von Patient*innen nachgewiesen werden. Der Nachweis von Candida im Aszites und Urin ist ein unabhängiger Prädiktor für Mortalität und ACLF. Weitere Untersuchungen sind notwendig, um den Einsatz als Prognosemarker abschließend zu evaluieren und zu überprüfen, ob es einen mechanistischen Effekt auf die Krankheitsprogression gibt.

09:42 – 09:48

KV 331 Higher prevalence of Cytomegalovirus and Epstein–Barr virus in acute-on-chronic liver failure

Jannik Sonnenberg (Münster)

KV 331 Higher prevalence of Cytomegalovirus and Epstein–Barr virus in acute-on-chronic liver failure

J. Sonnenberg1, K. Thiyagarajah2,3, E. Görgülü3, P. Lembeck1, N. Kraus3, M. Glitscher2, F.E. Uschner1, M.J. Brol1, W. Gu1, R. Schierwagen1, S. Klein1, M.S. Schulz1, M.M. Mücke3, T. Wiedemann3, P.A. Reuken4, J. Reißing5, F. Schneider6, M. Praktiknjo1, P.-R. Tepasse1, J. Fischer1, S. Zeuzem3, C. Welsch3, S. Ciesek3, A. Stallmach4, J. Trebicka1, J. Chang6, T. Bruns5, E. Hildt2,7, K.-H. Peiffer1,3

1Universitätsklinikum Münster, Münster, Deutschland, 2Paul-Ehrlich-Institut, Langen, Deutschland, 3Universitätsklinikum Frankfurt, Frankfurt, Deutschland, 4Universitätsklinikum Jena, Jena, Deutschland, 5Universitätsklinikum Aachen, Aachen, Deutschland, 6Universitätsklinikum Bonn, Bonn, Deutschland, 7Hasso-Plattner-Institute-Digital Health Cluster, Potsdam, Deutschland

Background & Aims: Acute-on-chronic liver failure (ACLF) is a life-threatening syndrome characterized by acute decompensation and multi-organ failure in patients with pre-existing chronic liver disease. Patients who develop ACLF within 90 days are referred to as pre-ACLF. Known precipitants include bacterial infections and viral hepatitis. However, in 40-60% of patients the precipitant remains unknown. Cytomegalovirus (CMV) and Epstein Barr virus (EBV) are highly prevalent viruses, but their impact on ACLF is unclear.
Methods: A total of 211 patients (43 ACLF, 16 pre-ACLF, 152 non-ACLF) of the ACLF-I cohort study and an external validation cohort (Aachen, Jena and Bonn) with 153 patients (39 ACLF, 33 pre-ACLF, 81 non-ACLF) were included. All were analysed for CMV/EBV DNAemia (multiplex-qPCR), cytokine assays were performed in 102 ACLF-I samples (multiplex assays) and correlated with clinical data.
Results: Higher prevalence of CMV DNAemia (25.6% vs. 8.9%, OR 3.88, 95% CI 1.61-9.36, p<0.01) and EBV DNAemia (16.3% vs. 6.0%, OR 3.71, 95% CI 1.30-10.59, p<0.05) was observed in the ACLF-I, despite absence of clinical signs of viral infections. 54.8% of DNAemic ACLF patients in the validation cohort had no identified precipitant compared to 26.5% in ACLF patients without DNAemia (p<0.05). CMV was associated with liver failure (p<0.001) and in the regression model 90-day mortality (p<0.001). DNAemia was associated with a distinct pattern of inflammatory activity. The results were validated externally, with pre-ACLF additionally showing trends towards a higher frequency of DNAemia (pre-ACLF vs. non-ACLF CMV 15.2% vs. 4.9%, p=0.065, EBV 9.1% vs. 2.4%, p=0.103).
Conclusion: CMV and EBV DNAemia are more frequently observed in ACLF. Presence of CMV/EBV DNAemia in chronic liver disease may contribute to the development of ACLF by exacerbating liver inflammation and impairing hepatocellular function. Our data suggest that CMV/EBV DNAemia may represent a precipitant and/or consequence of ACLF.

Kurzvortragssitzung

Immun gesteuert: Leberregeneration zwischen Inflammation und Regeneration

10:05 – 11:41

Fr 19.09.

Vortragsraum 11

Open Accordion - Icon Close Accordion - Icon

Vorsitz: Tobias Böttler (Freiburg) und Helenie Kefalakes (Hannover)

10:05 – 10:11

KV 110 Liver logic: Spatio-temporal ploidy modelling unravels hepatocyte regenerative strategies

Seddik Hammad (Mannheim)

KV 110 Liver logic: Spatio-temporal ploidy modelling unravels hepatocyte regenerative strategies

S. Rhebock1, A. Othman2, M. Albadry3, S. Hoehme4, A. Weber5, J. Hengstler2, U. Klingmüller6, M. Ebert7, B. Müllhaupt8, S. Dooley1, U. Dahmen3, S. Hammad1

1Medical Faculty Mannheim, Heidelberg University, Molecular Hepatology Section, Department of Medicine II, Mannheim, Deutschland, 2Leibniz Research Centre for Working Environment and Human Factors at TU Dortmund (IfADo), System Toxicology, Dortmund, Deutschland, 3Department of General, Visceral and Vascular Surgery, Jena University Hospital, 07747, Jena, Jena, Deutschland, 4Institute for Computer Science, University of Leipzig, Leipzig, Deutschland, 5Institute of Pathology and Molecular Pathology, University Hospital Zurich, Zurich, Schweiz, 6Division Systems Biology of Signal Transduction, German Cancer Research Center (DKFZ), Heidelberg, Deutschland, 7Department of Medicine II, University Medical Center Mannheim, Medical Faculty Mannheim, Heidelberg University, 68167-Mannheim, Mannheim, Deutschland, 8Division of Gastroenterology and Hepatology, University Hospital Zurich, University of Zurich, Zurich, Zurich, Schweiz

Introduction. Postnatal liver growth and regeneration involve unique hepatocyte proliferation modes, including nuclear division without cytokinesis, leading to diverse ploidy classes. Understanding hepatocyte nuclearity and ploidy dynamics is essential for characterizing regeneration and developing predictive models.
Aim and Methods. We analyzed these dynamics using high-resolution 3D imaging of 100 µm-thick vibratome liver slices from mice undergoing 2/3 partial hepatectomy (PHx) across time points from 0.5 to 90 days post-surgery, compared to sham controls. Liver sections were stained to label the sinusoidal network, pericentral hepatocytes, S-phase (BrdU), and DNA. Nuclearity (mono-/binucleation) and ploidy (nuclear DNA content) were quantified using TiQuant² software.
Results. In healthy adult mouse livers, approximately 75% of hepatocytes are binucleated, with polyploid cells comprising over 85% of the population. Remarkably, within 24 hours post-PHx, nearly 50% of binucleated hepatocytes are lost, indicating a rapid shift in cellular composition. This shift results in hepatocytes with fewer nuclei but increased DNA content per nucleus, highlighting a transient dominance of mononucleated polyploid cells during regeneration. BrdU incorporation studies demonstrated that DNA synthesis occurs equally in mono- and binucleated hepatocytes, suggesting that both contribute to the regenerative process. To model these transitions, we developed a heuristic yet statistically rigorous state transition model that simulates hepatocyte proliferation states, incorporating cytokinesis, nuclear fusion, and polyploidy dynamics. Model simulations indicate that cytokinesis and nuclear fusion are key regulators of transitions between mono- and binucleated states. Corroborative 2D imaging of human liver tissues obtained during in situ split procedures revealed a positive correlation between the percentage of binucleated hepatocytes and the remnant liver volume, suggesting translational relevance. These findings establish binucleation as a quantitative marker of regenerative potential.
Conclusion. Our combined experimental and computational approach provides novel insights into the cellular mechanisms underpinning liver regeneration. We demonstrate that hepatocyte nuclearity and ploidy can serve as measurable, predictive indicators of regenerative capacity in both mice and humans, offering potential biomarkers and modeling tools for clinical and translational applications.

10:13 – 10:19

KV 111 Molekulare Dynamik der Genexpression Während der Leber Regeneration

Eva Sistermanns (München)

KV 111 Molekulare Dynamik der Genexpression Während der Leber Regeneration

E. Sistermanns1, R. Trozzo2, X. Zhang1, R. Rad2, H. Friess1, N. Hüser1, D. Hartman3, B. Kaufmann3

1TUM School of Medicine, Klinikum rechts der Isar, Technische Universität München, Klinik und Poliklinik für Chirurgie, München, Deutschland, 2Klinik und Poliklinik für Innere Medizin II, TranslaTUM Zentralinstitut für translationale Krebsforschung, Klinikum rechts der Isar, Technische Universität München, Institut für Molekulare Onkologie und Funktionelle Genomik, München, Deutschland, 3Universitätsklinikum Tübingen, Allgemeine, Viszeral- und Transplantationschirurgie, Tübingen, Deutschland

Hintergrund: Die Leberregeneration ist ein hochdynamischer und komplexer Prozess, der durch zeitlich koordinierte Veränderungen der Genexpression gesteuert wird. Diese molekularen Anpassungen fördern die Gewebeerneuerung, Zellproliferation und die Wiederherstellung der Organfunktion nach Verletzung. Trotz erheblicher Fortschritte im Verständnis der zugrunde liegenden Mechanismen sind sowohl die präzise zeitliche Regulation als auch das funktionelle Zusammenspiel regenerationsrelevanter Signalwege bislang unzureichend charakterisiert. Dies unterstreicht den Bedarf an einer umfassenden, systembiologischen Analyse des regenerativen Prozesses.
Methode: Das Ziel dieser Studie war es, die zeitabhängige Dynamik der Genexpression während der Leberregeneration auf molekularer Ebene zu untersuchen. Hierzu wurde ein etabliertes Mausmodell der partiellen Hepatektomie eingesetzt. Die mRNA-Expression wurde mittels RNA-Sequenzierung (RNA-seq) zu sechs definierten Zeitpunkten (0, 12, 24, 48, 72 und 168 Stunden postoperativ) erfasst und analysiert.
Ergebnisse: Die Analyse zeigte die stärksten Transkriptomveränderungen innerhalb der ersten 12 Stunden nach Resektion. Ein zweiter, schwächer ausgeprägter Peak wurde nach 48 Stunden beobachtet. In der frühen Phase der Regeneration kam es zur Aktivierung zentraler Schlüsselwege, insbesondere solcher, die mit Zellzyklus, Zellproliferation, DNA-Reparatur und Immunantwort assoziiert sind. Diese Gencluster zeigten eine signifikante Hochregulation in der initialen Phase, gefolgt von einem transienten Abfall, bevor ein erneuter Anstieg um 48 Stunden verzeichnet wurde. Darüber hinaus zeigten auch Signalwege wie TGF-β, extrazelluläre Matrixbildung/-remodellierung und Zelladhäsion eine deutliche Aktivierung, was auf ihre potenzielle Rolle in der frühen Gewebeheilung hinweist.
Schlussfolgerung: Unsere Daten unterstreichen die Relevanz früher transkriptioneller Ereignisse für die Leberregeneration und liefern neue Einblicke in die molekularen Steuerungsmechanismen dieses Prozesses. Um das therapeutische Potenzial dieser Erkenntnisse perspektivisch zu evaluieren, sind weiterführende Studien erforderlich – insbesondere im Hinblick auf die gezielte Ansteuerung relevanter Signalwege und die Aktivierung spezifischer Gencluster mit dem Ziel, die endogene Heilungskapazität der Leber zu unterstützen.

10:21 – 10:27

KV 112 Korrelation und Dynamik von regulatorischen B-Lymphozyten bei Autoimmunhepatitis und Leberzirrhose.

Nargiz Nuruzade

KV 112 Korrelation und Dynamik von regulatorischen B-Lymphozyten bei Autoimmunhepatitis und Leberzirrhose.

N. Nuruzade1, J.R.-A. Rashidi-Alavijeh1

1Universitätsmedizin Essen, Gastroenterologie und Hepatologie, Essen, Deutschland

Einleitung: B-Zellen sind wesentliche Bestandteile des adaptiven Immunsystems und spielen eine wichtige Rolle bei der Pathogenese von Autoimmunerkrankungen. Als regulatorische B-Zellen (Bregs) werden diejenigen B-Lymphozyten bezeichnet, welche einen supprimierenden Effekt auf das Immunsystem haben. Jedoch wurde die Bedeutung dieser Zellpopulation bei Patientinnen und Patienten mit Autoimmunhepatitis sowie bei Leberzirrhose bislang kaum untersucht.
Ziele: Bewertung der Korrelation von Bregs bei Patientinnen und Patienten mit Autoimmunhepatitis sowie bei Leberzirrhose im Vergleich zu gesunden Probanden.
Methodik: Prospektiv wurden die klinischen sowie immunologischen Daten von 104 Patientinnen und Patienten mit Autoimmunhepatitis und Leberzirrhose sowie 23 gesunden Probanden erfasst und statistisch ausgewertet. Der statische Teil wurde mit Prism Programm Version 8 und Kaluza Durchflusszytometrie ausgewertet.
Ergebnis: In der ersten Analyse wurde der prozentuale Anteil der gesamten Breg-Zellen in der Population mit Leberzirrhose im Vergleich zu der ohne Leberzirrhose statistisch ausgewertet. Dabei zeigte sich eine deutliche Signifikanz zwischen den beiden Kohorten mit signifikant geringerem Anteil an Bregs in der Kohorte mit Leberzirrhose (p-Wert p < 0,01). Patienten mit AIH ohne Leberzirrhose zeigten signifikant weniger Bregs als gesunde Probanden (p < 0,05). In der zweiten Analyse wurden die Patienten der AIH-Leberzirrhose-Kohorte nach ihrem Child-Score in Subgruppen eingeteilt. Die Analyse erfolgte entsprechend dem Schweregrad der Leberzirrhose. Es konnte ein signifikanter Unterschied zwischen den Gruppen AIH Child A und Child B beobachtet werden (p<0.05). Es zeigte auch ein signifikanter Unterschied zwischen Child A und Child C (p<0.05). Bei den Patientinnen und Patienten mit alkoholtoxischer Genese der Leberzirrhose zeigten sich keine signifikanten Unter­schiede zwischen den CHILD-Stadien festgestellt. Bei Patienten mit Child A Leberzirrhose zeigten diejenigen, welche eine äthyltoxische Genese hatten, signifikant weniger Bregs als diejenigen, bei welchen die Leberzirrhose AIH-bedingt war (p < 0,01).
Schlussfolgerung: Anhand der oben genannten Untersuchungen konnte festgestellt werden, dass Patienten mit Leberzirrhose signifikant weniger Bregs zeigen als Patienten ohne Leberzirrhose. Zudem konnte festgestellt werden, dass Patienten mit alkoholtoxischer Genese signifikant weniger Bregs zeigen als Patienten mit einer AIH-bedingten Leberzirrhose.

10:29 – 10:35

KV 113 Extracellular matrix protein 1 (ECM1) As a dual regulator of liver regeneration via HGF/c-MET and TGF-β signaling pathways

Ye Yao (Mannheim)

KV 113 Extracellular matrix protein 1 (ECM1) As a dual regulator of liver regeneration via HGF/c-MET and TGF-β signaling pathways

Y. Yao1, Y. Li1, A. Friebel2, C. Huang1,3, S. Hammad1, E. Holstein4, L. Danielczyk1, R. Liebe5, C. Gao3, M. Ebert1,6,7, H. Weng1, U. Klingmüller4, P. ten Dijke8, S. Höhme2, S. Dooley1, S. Wang1

1University Medical Center Mannheim, Department of Medicine II, Mannheim, Deutschland, 2University of Leipzig, Interdisciplinary Centre for Bioinformatics, Leipzig, Deutschland, 3Yueyang Hospital of Integrated Traditional Chinese and Western Medicine, Shanghai University of Traditional Chinese Medicine, Department of Clinical Laboratory Medicine Center, Shanghai, China, 4German Cancer Research Center, DKFZ, Heidelberg, Deutschland, 5Otto-von-Guericke-University, Clinic of Gastroenterology, Hepatology and Infectious Diseases, Magdeburg, Deutschland, 6European Molecular Biology Laboratory, Molecular Medicine Partnership Unit, Heidelberg, Deutschland, 7DKFZ-Hector Cancer Institute at the University Medical Center, Mannheim, Deutschland, 8Leiden University Medical Center, Oncode Institute and Department of Cell and Chemical Biology, Leiden, Niederlande

Introduction: Extracellular matrix protein 1 (ECM1) is crucial for liver homeostasis and negatively correlates with chronic liver disease progression. However, its role in acute liver injury and regeneration (LR) remains unclear.
Objective: This study investigates ECM1’s impact on LR and its underlying mechanisms.
Methodology: Ecm1-tdTomato mice were administered adeno-associated virus 8 (AAV8)-ECM1 seven days before 70% partial hepatectomy (PHx). Hepatic gene expression was analyzed with RNA sequencing. Functional assays were done with hepatocytes, mouse liver tissue and patient samples.
Results: ECM1 is downregulated during LR after PHx. Interference with ECM1 downregulation by AAV8-ECM1 delays proliferation and liver mass gain at days 2 and 4, but catches up by day 8, as indicated by the liver-to-body weight ratio and immunostaining of BrdU and PCNA. Mechanistically, in early-stages of LR (days 0–4), downregulation of ECM1 is required for efficient HGF/c-MET/ERK/MYC signaling to mediate cell cycle progression, including CyclinA2, B1, B2, and Birc5 expression. In the late stage (days 4–8), overexpression of ECM1 inhibits latent TGF-β activation, therefore interfering with TGF-β-induced cell cycle kinase inhibitors p15, p16, p18, and p19, required for regeneration termination, which finally restores the liver mass. Additionally, Myc overexpression in hepatocytes rescues ECM1 mediated proliferation inhibition. In the liver of patients, ECM1-negative tissues display increased nuclear expression of MYC and PCNA.
Conclusion: ECM1 regulates liver regeneration by modulating HGF/c-MET/ERK/MYC and TGF-β/SMAD pathways. We hypothesize that for patients requiring liver regeneration, ECM1 downregulation benefits hepatocyte proliferation and liver function restoration. However, its inhibitory effect on TGF-β signaling should also be considered.

10:37 – 10:43

KV 114 Soluble CD46 optimiert die präoperative Identifikation von Steatose durch kontrastmittelverstärkte Computertomographie

Laura Kupke

KV 114 Soluble CD46 optimiert die präoperative Identifikation von Steatose durch kontrastmittelverstärkte Computertomographie

L. Kupke1, P. Kupke1, G. Glehr1, K. Evert1, I. Einspieler1, M. Hornung1, C. Stroszczynski1, E. Geissler1, H. Schlitt1, J. Hutchinson1, J. Werner1

1Universitätsklinikum Regensburg, Regensburg, Deutschland

Einleitung: Soluble CD46 (sCD46) hat sich kürzlich als wirksamer Biomarker für die in der westlichen Welt weit verbreitete steatotische Lebererkrankung (SLD) erwiesen. Da sich SLD direkt auf die Ergebnisse nach Hepatektomien und Lebertransplantationen auswirkt, ist die Identifikation schwerer Steatose präoperativ unerlässlich.
Ziele: In dieser Studie wurde untersucht, ob bei Patienten vor Leberoperation die Analyse von sCD46 im Plasma die präoperative Vorhersage von SLD durch kontrastmittelverstärkte Computertomographie (KM-CT) verbessern kann.
Methodik: Es wurden insgesamt 82 Patienten vor Leberresektion eingeschlossen, bei denen präoperativ eine KM-CT durchgeführt wurde. sCD46 wurde im Plasma dieser Patienten präoperativ bestimmt. Zur CT-graphischen Quantifizierung der abschließend histopathologisch gesicherten Steatose wurden in Leber und Milz in der arteriellen als auch in der portalvenösen Phase je fünf Regions of Interest (ROI) analysiert.
Ergebnis: Unsere Daten zeigen, dass die kombinierte Performance von KM-CT und sCD46 bezüglich der Vorhersage von hochgradiger SLD eine Area under the Curve (AUC) von 0,956 ergibt, welche bei der alleinigen Identifikation mittels KM-CT lediglich bei 0,798 liegt. Nach Kreuzvalidierung führt ein im Rahmen dieser Studie neu definierter klinischer Score zu einer von 76,83 % bei der KM-CT auf 95,12 % verbesserten Genauigkeit bei der Erkennung schwerer Steatose.
Schlussfolgerung: sCD46 ist ein vielversprechender Biomarker, der die präoperative Identifikation von SLD optimiert. Dadurch können die Patienten selektiert werden, bei denen aufgrund eines erhöhten perioperativen Risikos eine alternative Behandlungsstrategie bevorzugt werden sollte.

Logistisches Regressionsmodell mit Leber-Milz-Ratio (LSR) und sCD46 zur Quantifizierung hochgradiger SLD mit 10-facher Kreuzvalidierung. ROC-Kurve mit AUC sind zusätzlich dargestellt. Es wurde ein optimaler ROC-basierter Cut-off-Wert von 0,345 festgelegt. Abschließend Kreuztabellierung der vorhergesagten Steatosegrade unter Verwendung des kreuzvalidierten Scores.

10:45 – 10:51

KV 115 Anti-inflammatory effects of magnolol-encapsulated nanoparticles on peritoneal macrophages isolated from cirrhotic patients

Alireza Ahmadi (Jena)

KV 115 Anti-inflammatory effects of magnolol-encapsulated nanoparticles on peritoneal macrophages isolated from cirrhotic patients

A. Ahmadi1, N. Ruhnke2, S. Schubert2, E. Gardey1, A. Stallmach1

1Jena University Hospital, Department of Internal Medicine IV (Gastroenterology, Hepatology, Infectious Diseases and Interdisciplinary Endoscopy), Jena, Deutschland, 2Friedrich Schiller University Jena, Laboratory of Organic and Macromolecular Chemistry, Jena, Deutschland

Introduction: Cirrhosis is a chronic liver condition characterized by persistent inflammation and fibrosis, which contributes to a significant mortality rate worldwide. Magnolol (MAG) is a polyphenolic compound derived from the bark of Magnolia officinalis, possessing various biological properties, including anti-inflammatory effects. However, the effectiveness of MAG is challenged by its poor biocompatibility and cytotoxicity. To address these limitations, nanoparticle-based drug delivery systems offer a promising strategy to reduce MAG cytoxicity.
Objectives: The present study investigates the anti-inflammatory effects of MAG-encapsulated nanoparticles (NPs) on peritoneal macrophages (PMs) isolated from patients with liver cirrhosis.
Methodology: PMs, freshly isolated from the ascitic fluid of cirrhotic patients, were stimulated with lipopolysaccharide (LPS), and treated with MAG-encapsulated poly (lactideco-glycolic acid) (PLGA), Eudragit S100 or a combination of both (PLGA/ Eudragit S100-50/50). Following a 24 h incubation, the expression levels of cytokines, including tumor necrosis factor-α (TNF-α), interleukin-6 (IL-6), and interleukin-10 (IL-10), were quantified using ELISA. Furthermore, cell lysates were collected for western blotting to assess the expression levels of phosphorylated extracellular signal-regulated kinase (p-ERK1/2) and phosphorylated p38 MAPK (p-p38). The cellular uptake of labeled PLGA-MAG was evaluated by flow cytometry and fluorescent microscopy.
Results: Encapsulation of MAG into NPs enhances its biocompatibility by reducing cytotoxicity and modulating inflammatory responses in LPS-stimulated human PMs. Specifically, PLGA-MAG effectively attenuates inflammation in LPS-stimulated PMs by suppressing pro-inflammatory cytokines (TNF-α and IL-6), while preserving IL-10 levels, which may contribute to maintaining a balanced immune response. Furthermore, MAG-encapsulated NP suppressed MAPK signalling by downregulating the phosphorylation of ERK1/2 and p38 proteins. Moreover, flow cytometry and fluorescent microscopy indicated that over 90% of cells uptake the labeled PLGA-MAG.
Conclusion: For the first time the anti-inflammatory effects of Magnolol were demonstrated in human peritoneal macrophages. Moreover, encapsulating MAG in NPs modulates its potential cytotoxicity. Thus, MAG-encapsulated PLGA nanoparticles may represent a promising therapeutic approach against peritoneal inflammation in cirrhotic patients.
Figure. 1. The effect of magnolol-encapsulated nanoparticles on cytokine production in human peritoneal macrophages. Expression levels of TNF-α (A), IL-6 (B), and IL-10 (C) in cell culture supernatants were analysed by ELISA. Dexamethasone (DEX) was used as a positive control, while cells without treatment were used as a negative control (CTR). The results are presented as M ± SEM. n=11 patients with liver cirrhosis. *p < 0.05; **p < 0.01; ***p < 0.001.Figure. 1. The effect of magnolol-encapsulated nanoparticles on cytokine production in human peritoneal macrophages. Expression levels of TNF-α (A), IL-6 (B), and IL-10 (C) in cell culture supernatants were analysed by ELISA. Dexamethasone (DEX) was used as a positive control, while cells without treatment were used as a negative control (CTR). The results are presented as M ± SEM. n=11 patients with liver cirrhosis. *p < 0.05; **p < 0.01; ***p < 0.001.
Figure. 2. Effect of magnolol (MAG)-encapsulated nanoparticles on the phosphorylation levels of MAPK pathway in LPS-stimulated peritoneal macrophages. Representative immunoblots and quantitative analysis for p-ERK1/2 (A), and p-p38 (B) in whole cell lysates of LPS-stimulated peritoneal macrophages. Here, β-actin was used as a loading control. n = 3-5 patients with liver cirrhosis. The results are presented as M ± SEM.
Figure. 2. Effect of magnolol (MAG)-encapsulated nanoparticles on the phosphorylation levels of MAPK pathway in LPS-stimulated peritoneal macrophages. Representative immunoblots and quantitative analysis for p-ERK1/2 (A), and p-p38 (B) in whole cell lysates of LPS-stimulated peritoneal macrophages. Here, β-actin was used as a loading control. n = 3-5 patients with liver cirrhosis. The results are presented as M ± SEM.

10:53 – 10:59

KV 116 ECM1 as a Biomarker for Liver Disease: Development of an ELISA and Analysis of Human Serum Levels

Samil M. Ayvaz (Mannheim)

KV 116 ECM1 as a biomarker for liver disease: Development of an ELISA and analysis of human serum levels

S.M. Ayvaz1, R.L. Baccetto1, A. Dropmann1, A. Teufel2, S. Al Aoua3, H. Bantel3, W. Mikulits4, G. Giannelli5, M.P. Ebert2, S. Dooley1

1Medizinische Fakultät Mannheim,, Molekulare Hepatologie, II. Medizinische Klinik, Mannheim, Deutschland, 2Medizinische Fakultät Mannheim, II. Medizinische Klinik, Mannheim, Deutschland, 3Medizinische Hochschule Hannover, Klinik für Gastroenterologie, Hepatologie, Infektiologie und Endokrinologie, Hannover, Deutschland, 4Medizinische Universität Wien, Medizinische Klinik I, Zentrum für Krebsforschung,, Wien, Österreich, 5Candiolo Zentrum für Krebsforschung, IRCCS „Saverio de Bellis“, Gastroenterologie, Castellana Grotte, Italien

Extracellular Matrix Protein 1 (ECM1) is an 85 kDa glycoprotein that is a component of the extracellular matrix, particularly in the liver and other organs. It has been identified to perform various physiological functions and plays a crucial role in liver fibrogenesis and the progression of cirrhosis (Fan et al., 2019).
While ultrasonography, computed tomography (CT) and magnetic resonance imaging (MRI) are commonly used for diagnosing liver cirrhosis, no known specific peripheral blood biomarker currently exists for the diagnosis of acute and chronic liver diseases (Shuppan and Afdhal, 2008) (Lurie et al., 2015).
The aim of this study was the assessment of ECM1 protein concentration in human serum samples to determine its role under different physiological or pathological conditions and to evaluate its potential as a biomarker. To achieve this, an enzyme-linked immunosorbent assay (ELISA) was developed for the quantification of ECM1 in human serum.
The assay’s precision was confirmed through strong parallelism, and recovery was shown to be within the accepted range using spiked samples.
Reproducibility and consistency were further validated by assessing intra- and interassay variation, with the ECM1 ELISA yielding reliable and accurate results.
A total of 35 patients with liver fibrosis, 50 with autoimmune hepatitis (AIH), 144 with liver cirrhosis and 141 with hepatocellular carcinoma (HCC) were included in the study. Results were compared to 84 healthy controls. No significant differences in ECM1 levels were observed in patients with mild stages of liver disease, such as fibrosis; notably, AIH patients even exhibited reduced ECM1 concentrations. In contrast, patients with advanced liver conditions, including cirrhosis and HCC, demonstrated significantly elevated ECM1 levels.
For liver cirrhosis the optimal diagnostic cutoff value was 2.79 ug/mL, yielding a sensitivity 62.3%, specificity of 61.9%, positive predictive value (PPV) of 43.2% and a negative predictive value (NPV) of 78%.
For HCC the cutoff value was at 2.73 ug/mL, with a sensitivity of 54.6%, a specificity of 54.8%, PPV of 35.2% and NPV 72.8%.
The area under the receiver operating characteristic curve (AUC) was 0.668 for liver cirrhosis and 0.584 for HCC.
In conclusion, ECM1 may serve as a potential biomarker in peripheral blood for the detection and monitoring of severe and progressive liver diseases, however additional studies are warranted to validate its diagnostic and prognostic value.

11:01 – 11:07

KV 117 Evaluation of potential therapeutic effects of GLP-1 receptor agonists on the state of secondary bile acid loss in mice

Nooshin mohebali

KV 117 Evaluation of potential therapeutic effects of GLP-1 receptor agonists on the state of secondary bile acid loss in mice

N. Mohebali1, P. Berlin1, R. Jaster1, G. Lamprecht1, J. Reiner1

1Rostock University Medical Center, Division of Gastroenterology and Endocrinology, Department of Medicine II, Rostock, Deutschland

Introduction: Chronic inflammatory bowel diseases may lead to severe diarrhea that is difficult to manage despite effective anti-inflammatory treatments. For some forms of diarrhea, secondary bile acid loss may be one contributing mechanism. One form of diarrhea that is particularly difficult to treat is the diarrhea inherent to an ileoanal pouch. Recent evidence has pointed to a role for GLP-1 analogues in reducing diarrhea in patients with an ileoanal pouch. Recent evidence has shown efficacy for GLP-1 analogues in treating primary bile acid diarrhea. Patients with a high output pouch have a deficiency in secondary bile acids. While GLP-1 analogues primarily slow gastric and small intestinal transit, their effect on enterohepatic circulation and bile acid signalling pathways is unknown.
Objectives: This study aimed to investigate the therapeutic effects of GLP-1 receptor agonists on the state of secondary bile acid loss in mice.
Methodology: Secondary bile acid loss was induced in C57BL/6 mice with a colestyramine supplemented diet. Mice were randomized into treatment groups receiving either vehicle, low or high doses of short-acting or long-acting GLP-1 receptor agonists. Body weight and stool water content were monitored. mRNA expression of genes involved in bile acid synthesis and transport was assessed in hepatic and ileal tissues.
Results: Colestyramine-treated mice experienced weight loss to a small degree, while controls maintained stable body weight. Co-treatment with the long-acting agonist led to significant weight reduction.Colestyramine treatment caused a marked increase in stool volume and water content, indicating bile acid-induced diarrhea. High-dose co-treatment with either GLP-1 receptor agonist significantly reduced stool volume and water content. Low-dose co-treatment produced a modest reduction in stool water content. Molecular analysis showed that colestyramine significantly downregulated FXR-dependent bile acid transporter genes in the ileum (p<0.05). Co-administration of the long-acting GLP-1 receptor agonist upregulated Fgf15 expression in the ileum. Colestyramine significantly increased Cyp7a1 expression in the liver (p<0.05), which was suppressed by both GLP-1 receptor agonists.
Conclusion: GLP-1 receptor agonists counteract colestyramine-induced diarrhea and associated molecular disturbances by promoting fluid reabsorption, reducing intestinal motility, and restoring bile acid regulatory pathways.

11:09 – 11:15

KV 118 Bedeutung von Pkd1l1 in der Epithelzellarchitektur und Entzündungsregulation der Cholangiozyten in der Pathogenese der biliären Atresie

Caroline Klindt

KV 118 Bedeutung von Pkd1l1 in der Epithelzellarchitektur und Entzündungsregulation der Cholangiozyten in der Pathogenese der biliären Atresie

C. Klindt1, D.H. Lee2, D.J. Hellen2, A.L. Bennett2, M. Ebert1, P.A. Dawson2, S.J. Karpen3

1Medizinische Fakultät Mannheim, Universität Heidelberg, II. Medizinische Klinik, Mannheim, Deutschland, 2Children’s Healthcare of Atlanta and Emory University School of Medicine, Division of Pediatric Gastroenterology, Department of Pediatrics, Hepatology, and Nutrition, Atlanta, Vereinigte Staaten, 3Virginia Commonwealth University, Stravitz-Sanyal Liver Institute for Liver Disease and Metabolic Health, Richmond, Vereinigte Staaten

Einleitung: Die Biliäre Atresie (BA) ist die häufigste Ursache für Lebertransplantationen bei Säuglingen, aber ihre Ätiopathologie ist nicht vollständig geklärt. In einer landesweiten Genomstudie wurden Mutationen in PKD1L1 als ein Kandidatengen für die Entstehung der BA identifiziert. Die leberspezifische Deletion von Pkd1l1 bei Mäusen führt zu einer Leberpathologie, die den bei BA beobachteten Veränderungen entspricht, aber es ist unbekannt, wie sich Pkd1l1-defizienten Cholangiozyten von Wildtypzellen unterscheiden.
Ziele: Ziel dieser Studie war es, die Rolle von Pkd1l1 in der Zellhomöostase anhand von isolierten biliären Epithelzellen (BECs) und intrahepatischen biliären Organoiden (ICOs) zu klären.
Methodik: Intrahepatische BECs wurden aus 6-8 Wochen alten männlichen Pkd1l1Fl/Fl (Kontrolle) und Pkd1l1-defizienten (KO) Mäusen durch fluoreszenzaktiviertes Cell-Sorting isoliert. Diese wurden zur Erzeugung von ICOs in 3-D-Kulturen genutzt. Die Zellen wurden mit DMSO, CDCA (Chenodeoxycholsäure, 100µM) und Lipopolysacchariden (LPS, 100 IU/ml) 1 bis 24 Stunden lang inkubiert. Die Organoide wurden mit Hilfe von Lichtmikroskopie dargestellt. BECs und Organoide wurden durch RT-qPCR, ELISA und Immunfluoreszenz (IF) charakterisiert.
Ergebnis: Von KO-Mäusen stammende ICOs waren im Vergleich zur Kontrolle signifikant kleiner (durchschnittliche Größe 60204 µm2 gegenüber 2912 µm2, 20-fache Abnahme; p<0,0001). Die Tight Junctions, die durch IF von Markern wie beta-Catenin angezeigt werden, waren in KO-Zellen im Vergleich zu Kontrollzellen in beiden Systemen desorganisiert. Nach einer Provokation mit CDCA und LPS zur Induktion eines reaktiven Cholangiozytenphänotyps zeigten die ICOs eine erhöhte mRNA- und Protein-Level mehrerer proinflammatorischer Zytokine in KO-Zellen im Vergleich zu Kontrollzellen (z. B. Ccl5 und Cxcl2 mit einer 5- bzw. 4-fach höheren Expression in KO-Zellen im Vergleich zu Kontrollzellen).
Schlussfolgerungen: Unsere Studien zeigen, dass Pkd1l1 für die Aufrechterhaltung der normalen epithelialen tight-junction Struktur von BECs und die Regulierung der Entzündungsreaktion essentiell ist. Der reaktive duktuläre Phänotyp der KO-Zellen spiegelt Merkmale menschlicher BA-Lebern wider. Diese Ergebnisse unterstreichen die Relevanz des Pkd1l1 KO Mausmodell für BA als ein wertvolles Instrument zur Bewertung möglicher Therapien für diese verheerende Krankheit.

11:17 – 11:23

KV 119 Der geschlechtsspezifische Einfluss von Estradiol auf die biliäre Zirrhose mit portaler Hypertension

Fabian Schachteli (Münster)

KV 119 Der geschlechtsspezifische Einfluss von Estradiol auf die biliäre Zirrhose mit portaler Hypertension

F. Schachteli1, S. Klein1, R. Schierwagen1, M.J. Brol1, J. Trebicka1, F.E. Uschner1

1Medizinische Klinik B, Universitätsklinikum Münster, Münster, Deutschland

Einleitung: Sowohl in Bezug auf die Ätiologie, als auch im klinischen Verlauf und im Therapieansprechen bestehen in der Leberzirrhose geschlechtsspezifische Unterschiede. Estradiol (E2) vermittelt, neben dem nukleären Estradiolrezeptor α (ERα) Signalweg, auch nicht-genomische Effekte über den G-Protein gekoppelten Estradiolrezeptor (GPER). Die Rolle des GPER in der Leberzirrhose mit portaler Hypertension ist jedoch unklar.
Ziel: Ziel dieser Studie ist es, den geschlechtsspezifischen Einfluss von E2 auf GPER auf die portale Hypertension in der biliären Leberzirrhose zu untersuchen.
Methodik: In männlichen Ratten wurde mittels Gallengangsligatur (BDL) eine cholestatische Leberzirrhose induziert. In weiblichen Ratten wurde zusätzlich zur BDL eine Ovariektomie oder eine Scheinoperation durchgeführt. Die Tiere erhielten entweder (i) eine einmalige Dosis E2, (ii) eine akute Dosis eines PDE-5-Inhibitors (PDE-5-I) zur Steigerung des cGMP, (iii) eine Kombinationstherapie oder (iv) ein Placebo. Danach wurden invasiv die portale und systemische Hämodynamik gemessen. Die Expression der E2-Rezeptoren und des NO-Signalweges (eNOS, PDE, VASP, p-VASP) wurden mittels Western Blot und qPCR in Aorta und Leber analysiert.
Ergebnis: Bei männlichen BDL-Ratten beeinflusste E2 weder Hämodynamik, ER-Expressionen noch Wirkung des PDE-5-I. Bei weiblichen BDL-Ratten führte eine Ovariektomie zu einem erhöhten portalen Gefäßwiderstand (HpVR), einer verminderten hepatischen GPER-Expression, sowie einer reduzierten Aktivität des hepatischen NO-Signalwegs im Vergleich zu nicht ovariektomierten weiblichen BDL-Ratten. Ovariektomierte, weibliche Ratten zeigten zudem einen verringerten systemischen Gefäßwiderstand sowie eine erhöhte GPER und ERα Expression in der Aorta. Bei weiblichen BDL-Ratten senkte der PDE-5-I den Pfortaderdruck (PP) signifikant, hatte jedoch keinen Effekt nach Ovariektomie in weiblichen BDL-Ratten. Die Substitution von E2 bei ovariektomierten BDL-Ratten senkte den HpVR und PP signifikant und stellte somit die PDE-5-I Wirkung wieder her.
Schlussfolgerung: Ein Estradiolmangel nach Ovariektomie aggraviert die portale Hypertension in Weibchen mit biliärer Zirrhose. Die Estradiolsubstitution kann über den cGMP-NO-Signalweg diesen Effekt umkehren. Eine E2 Substitutionstherapie mit PDE-5-I könnte einen therapeutischen Ansatz bei postmenopausalen Frauen mit portaler Hypertension darstellen.

11:25 – 11:31

KV 120 Detailing the immune response to TGFB2 in cholestatic liver disease of PSC patients and MDR2KO mice

Emma-Carlotta Bötsch

KV 120 Detailing the immune response to TGFB2 in cholestatic liver disease of PSC patients and MDR2KO mice

E.-C. Bötsch1, S. Hammad1, H.P. Nehring2, A. Stojanovic2, C. De La Torre3, S. Uhlig4, V. Ast3, M.P. Ebert5, N. Meindl-Beinker1, A. Dropmann1

1Medizinische Fakultät Mannheim der Universität Heidelberg, II Medizinische Klinik – Molekulare Hepatologie AG Dooley, Mannheim, Deutschland, 2Medizinische Fakultät Mannheim der Universität Heidelberg, Immunobiochemistry – AG Cerwenka, Mannheim, Deutschland, 3Medizinische Fakultät Mannheim der Universität Heidelberg, Bioinformatics, Mannheim, Deutschland, 4Medizinische Fakultät Mannheim der Universität Heidelberg, Flow Core Facility, Mannheim, Deutschland, 5Medizinische Fakultät Mannheim der Universität Heidelberg, II Medizinische Klinik, Mannheim, Deutschland

Primary sclerosing cholangitis (PSC) and the MDR2KO mouse model are characterized by chronic cholestatic liver inflammation and fibrosis. Silencing of transforming growth factor-beta 2 (TGF-β2), a known driver of fibrosis, has shown a decrease of CD45+ cells, an increase of F4/80+ cells and CD8+ T cells, and recruitment of eosinophils in the livers of MDR2KO mice, implicating a key immunomodulatory role in this context. This project aims to delineate the specific mechanisms involved upon TGF-β2 treatment in regulating immune cell behavior in biliary liver disease.
TGF-β2 conjugated to AAV8 was administered to MDR2KO and wild type mice aged 12 weeks. After 7 days, immune cell phenotyping of the livers was performed using multicolor FACS and immunohistochemistry analysis, focusing on key lymphoid and myeloid populations. RNAScope was performed to localize and quantify eosinophils. In vitro, the impact of TGF-β2 on differentiation of human T cell subsets was examined using FACS analysis. Furthermore, TGF-β2 effects on T cell proliferation and apoptosis were monitored with real-time imaging.
Blood analysis revealed elevated ALT and AST levels in wild type and MDR2KO mice treated with AAV8-TGF-β2, suggesting an increased cell damage by TGF-β2. Interestingly, triglyceride levels decreased in both wild type and MDR2KO mice treated with TGF-β2, indicating an influence on lipid metabolism. In MDR2KO mice, eosinophils were predominantly located around the portal triads and in fibrotic regions. Treatment of T cells with TGF-β2 increased the expression of CD25, a marker for T cell activation and Tregs, as well as CD69 and CD154. The effects were more pronounced with TGF-β2 as compared to TGF-β1, indicating distinct and nuanced differential signaling. Despite reduced apoptosis compared to naïve cells, the TGF-β2-treated group showed decreased cell numbers and proliferation, suggesting impaired expansion or altered survival dynamics.
FACS data are currently undergoing analysis to further characterize immune cell subsets and validate preliminary observations. These analyses will be extended to monocytic cell cultures and human liver tissues from PSC, PBC, and CCA patients to enhance translational relevance.
These preliminary results indicate that TGF-β2 contributes to liver damage, promotes T cell differentiation, and regulates T cell behavior, thereby helping to elucidate its role in modulating immune competence and disease progression in cholestatic liver disease.

11:33 – 11:39

KV 121 Evaluation of the potential impact of seladelpar on the pharmacokinetics of midazolam, tolbutamide, simvastatin, rosuvastatin, and atorvastatin

Kathrin Sprinzl (Frankfurt am Main)

KV 121 Evaluation of the potential impact of seladelpar on the pharmacokinetics of midazolam, tolbutamide, simvastatin, rosuvastatin, and atorvastatin

J. Zhou1, R. Bhardwaj2, K. Sprinzl3, J. McFarlane1, X. Liu1, D.B. Crittenden1

1Gilead Sciences, Inc., Foster City, Vereinigte Staaten, 2Certara USA, Radnor, Vereinigte Staaten, 3Goethe University Frankfurt, Medical Center 1 (ZIM1), University Hospital Frankfurt Main, Frankfurt, Deutschland

Introduction: Seladelpar (SEL) is an oral first-in-class selective PPAR-delta agonist (-delpar) indicated for the treatment of primary biliary cholangitis in combination with ursodeoxycholic acid (UDCA) in adults who have an inadequate response to UDCA, or as monotherapy in patients (pts) unable to tolerate UDCA. SEL is mainly metabolised by cytochrome P450 (CYP) CYP2C9, and to a lesser extent by CYP2C8 and CYP3A4.
Objectives: Here, we tested the effects of SEL on CYP3A4, CYP2C9, organic anion-transporting polypeptide (OATP), and breast cancer resistance protein (BCRP), using midazolam, tolbutamide, simvastatin, rosuvastatin, and atorvastatin in clinical drug-drug interaction studies.
Methodology: Healthy pts received a single dose of midazolam (15 mg), tolbutamide (500 mg), simvastatin (80 mg), or rosuvastatin (20 mg) with or without SEL coadministration (single or multiple doses) in crossover studies. The effect of SEL on CYP3A4 and OATP was also tested in moderately obese hyperlipidemia pts in a parallel group design comparing atorvastatin (20 mg) with or without SEL. Pharmacokinetic (PK) parameters included maximum plasma concentration (Cmax) and area under the plasma concentration curve (AUC).
Results: Midazolam levels were not affected by SEL; geometric mean ratio (GMR) (90% CI) of midazolam Cmax, and AUC0–inf with vs without SEL (200 mg once daily [QD]) were 0.94 (0.84, 1.06) and 0.98 (0.91, 1.06), respectively. Tolbutamide levels were not affected by SEL; GMR (90% CI) of tolbutamide Cmax and AUC0-inf with or without SEL (200 mg, 2 doses, at least 7 days apart with washout) were 1.03 (0.97, 1.09) and 1.00 (0.98, 1.03), respectively. Simvastatin levels were not altered with SEL (200 mg single dose); GMR (90% CI) for simvastatin Cmax and AUC0-inf were 0.95 (0.78, 1.14) and 1.17 (0.97, 1.41), respectively. SEL did not significantly decrease rosuvastatin levels; GMR (90% CI) for rosuvastatin Cmax and AUC0-inf with or without SEL (10 mg single dose) were 0.86 (0.69, 1.07) and 0.87 (0.70, 1.07), respectively. Atorvastatin levels were similar with or without SEL (50 mg QD); GMR (90% CI) for atorvastatin Cmax, and AUCall with or without SEL were 0.88 (0.54, 1.43), and 0.85 (0.57, 1.27), respectively.
Conclusion: SEL did not significantly impact the PK of midazolam, tolbutamide, simvastatin, rosuvastatin, and atorvastatin. Thus, it is unlikely that SEL would have a clinically significant impact on drugs that are substrates of CYP3A4, CYP2C9, OATP, or BCRP.